Spandidos Publications Logo
  • About
    • About Spandidos
    • Aims and Scopes
    • Abstracting and Indexing
    • Editorial Policies
    • Reprints and Permissions
    • Job Opportunities
    • Terms and Conditions
    • Contact
  • Journals
    • All Journals
    • Oncology Letters
      • Oncology Letters
      • Information for Authors
      • Editorial Policies
      • Editorial Board
      • Aims and Scope
      • Abstracting and Indexing
      • Bibliographic Information
      • Archive
    • International Journal of Oncology
      • International Journal of Oncology
      • Information for Authors
      • Editorial Policies
      • Editorial Board
      • Aims and Scope
      • Abstracting and Indexing
      • Bibliographic Information
      • Archive
    • Molecular and Clinical Oncology
      • Molecular and Clinical Oncology
      • Information for Authors
      • Editorial Policies
      • Editorial Board
      • Aims and Scope
      • Abstracting and Indexing
      • Bibliographic Information
      • Archive
    • Experimental and Therapeutic Medicine
      • Experimental and Therapeutic Medicine
      • Information for Authors
      • Editorial Policies
      • Editorial Board
      • Aims and Scope
      • Abstracting and Indexing
      • Bibliographic Information
      • Archive
    • International Journal of Molecular Medicine
      • International Journal of Molecular Medicine
      • Information for Authors
      • Editorial Policies
      • Editorial Board
      • Aims and Scope
      • Abstracting and Indexing
      • Bibliographic Information
      • Archive
    • Biomedical Reports
      • Biomedical Reports
      • Information for Authors
      • Editorial Policies
      • Editorial Board
      • Aims and Scope
      • Abstracting and Indexing
      • Bibliographic Information
      • Archive
    • Oncology Reports
      • Oncology Reports
      • Information for Authors
      • Editorial Policies
      • Editorial Board
      • Aims and Scope
      • Abstracting and Indexing
      • Bibliographic Information
      • Archive
    • Molecular Medicine Reports
      • Molecular Medicine Reports
      • Information for Authors
      • Editorial Policies
      • Editorial Board
      • Aims and Scope
      • Abstracting and Indexing
      • Bibliographic Information
      • Archive
    • World Academy of Sciences Journal
      • World Academy of Sciences Journal
      • Information for Authors
      • Editorial Policies
      • Editorial Board
      • Aims and Scope
      • Abstracting and Indexing
      • Bibliographic Information
      • Archive
    • International Journal of Functional Nutrition
      • International Journal of Functional Nutrition
      • Information for Authors
      • Editorial Policies
      • Editorial Board
      • Aims and Scope
      • Abstracting and Indexing
      • Bibliographic Information
      • Archive
    • International Journal of Epigenetics
      • International Journal of Epigenetics
      • Information for Authors
      • Editorial Policies
      • Editorial Board
      • Aims and Scope
      • Abstracting and Indexing
      • Bibliographic Information
      • Archive
    • Medicine International
      • Medicine International
      • Information for Authors
      • Editorial Policies
      • Editorial Board
      • Aims and Scope
      • Abstracting and Indexing
      • Bibliographic Information
      • Archive
  • Articles
  • Information
    • Information for Authors
    • Information for Reviewers
    • Information for Librarians
    • Information for Advertisers
    • Conferences
  • Language Editing
Spandidos Publications Logo
  • About
    • About Spandidos
    • Aims and Scopes
    • Abstracting and Indexing
    • Editorial Policies
    • Reprints and Permissions
    • Job Opportunities
    • Terms and Conditions
    • Contact
  • Journals
    • All Journals
    • Biomedical Reports
      • Information for Authors
      • Editorial Policies
      • Editorial Board
      • Aims and Scope
      • Abstracting and Indexing
      • Bibliographic Information
      • Archive
    • Experimental and Therapeutic Medicine
      • Information for Authors
      • Editorial Policies
      • Editorial Board
      • Aims and Scope
      • Abstracting and Indexing
      • Bibliographic Information
      • Archive
    • International Journal of Epigenetics
      • Information for Authors
      • Editorial Policies
      • Editorial Board
      • Aims and Scope
      • Abstracting and Indexing
      • Bibliographic Information
      • Archive
    • International Journal of Functional Nutrition
      • Information for Authors
      • Editorial Policies
      • Editorial Board
      • Aims and Scope
      • Abstracting and Indexing
      • Bibliographic Information
      • Archive
    • International Journal of Molecular Medicine
      • Information for Authors
      • Editorial Policies
      • Editorial Board
      • Aims and Scope
      • Abstracting and Indexing
      • Bibliographic Information
      • Archive
    • International Journal of Oncology
      • Information for Authors
      • Editorial Policies
      • Editorial Board
      • Aims and Scope
      • Abstracting and Indexing
      • Bibliographic Information
      • Archive
    • Medicine International
      • Information for Authors
      • Editorial Policies
      • Editorial Board
      • Aims and Scope
      • Abstracting and Indexing
      • Bibliographic Information
      • Archive
    • Molecular and Clinical Oncology
      • Information for Authors
      • Editorial Policies
      • Editorial Board
      • Aims and Scope
      • Abstracting and Indexing
      • Bibliographic Information
      • Archive
    • Molecular Medicine Reports
      • Information for Authors
      • Editorial Policies
      • Editorial Board
      • Aims and Scope
      • Abstracting and Indexing
      • Bibliographic Information
      • Archive
    • Oncology Letters
      • Information for Authors
      • Editorial Policies
      • Editorial Board
      • Aims and Scope
      • Abstracting and Indexing
      • Bibliographic Information
      • Archive
    • Oncology Reports
      • Information for Authors
      • Editorial Policies
      • Editorial Board
      • Aims and Scope
      • Abstracting and Indexing
      • Bibliographic Information
      • Archive
    • World Academy of Sciences Journal
      • Information for Authors
      • Editorial Policies
      • Editorial Board
      • Aims and Scope
      • Abstracting and Indexing
      • Bibliographic Information
      • Archive
  • Articles
  • Information
    • For Authors
    • For Reviewers
    • For Librarians
    • For Advertisers
    • Conferences
  • Language Editing
Login Register Submit
  • This site uses cookies
  • You can change your cookie settings at any time by following the instructions in our Cookie Policy. To find out more, you may read our Privacy Policy.

    I agree
Search articles by DOI, keyword, author or affiliation
Search
Advanced Search
presentation
Experimental and Therapeutic Medicine
Join Editorial Board Propose a Special Issue
Print ISSN: 1792-0981 Online ISSN: 1792-1015
Journal Cover
October-2023 Volume 26 Issue 4

Full Size Image

Sign up for eToc alerts
Recommend to Library

Journals

International Journal of Molecular Medicine

International Journal of Molecular Medicine

International Journal of Molecular Medicine is an international journal devoted to molecular mechanisms of human disease.

International Journal of Oncology

International Journal of Oncology

International Journal of Oncology is an international journal devoted to oncology research and cancer treatment.

Molecular Medicine Reports

Molecular Medicine Reports

Covers molecular medicine topics such as pharmacology, pathology, genetics, neuroscience, infectious diseases, molecular cardiology, and molecular surgery.

Oncology Reports

Oncology Reports

Oncology Reports is an international journal devoted to fundamental and applied research in Oncology.

Experimental and Therapeutic Medicine

Experimental and Therapeutic Medicine

Experimental and Therapeutic Medicine is an international journal devoted to laboratory and clinical medicine.

Oncology Letters

Oncology Letters

Oncology Letters is an international journal devoted to Experimental and Clinical Oncology.

Biomedical Reports

Biomedical Reports

Explores a wide range of biological and medical fields, including pharmacology, genetics, microbiology, neuroscience, and molecular cardiology.

Molecular and Clinical Oncology

Molecular and Clinical Oncology

International journal addressing all aspects of oncology research, from tumorigenesis and oncogenes to chemotherapy and metastasis.

World Academy of Sciences Journal

World Academy of Sciences Journal

Multidisciplinary open-access journal spanning biochemistry, genetics, neuroscience, environmental health, and synthetic biology.

International Journal of Functional Nutrition

International Journal of Functional Nutrition

Open-access journal combining biochemistry, pharmacology, immunology, and genetics to advance health through functional nutrition.

International Journal of Epigenetics

International Journal of Epigenetics

Publishes open-access research on using epigenetics to advance understanding and treatment of human disease.

Medicine International

Medicine International

An International Open Access Journal Devoted to General Medicine.

Journal Cover
October-2023 Volume 26 Issue 4

Full Size Image

Sign up for eToc alerts
Recommend to Library

  • Article
  • Citations
    • Cite This Article
    • Download Citation
    • Create Citation Alert
    • Remove Citation Alert
    • Cited By
  • Similar Articles
    • Related Articles (in Spandidos Publications)
    • Similar Articles (Google Scholar)
    • Similar Articles (PubMed)
  • Download PDF
  • Download XML
  • View XML
Case Report Open Access

MRI diagnosis of tumor‑like IgG4 masses in bilateral distal ureters: A case report

  • Authors:
    • Jianghui Cao
    • Anna Gong
    • Peng An
    • Ran Chen
    • Hong Chen
    • Yong Wang
    • Ping Gao
  • View Affiliations / Copyright

    Affiliations: Department of Radiology, Xiangyang No. 1 People's Hospital, Hubei University of Medicine, Xiangyang, Hubei 441000, P.R. China
    Copyright: © Cao et al. This is an open access article distributed under the terms of Creative Commons Attribution License.
  • Article Number: 464
    |
    Published online on: August 11, 2023
       https://doi.org/10.3892/etm.2023.12163
  • Expand metrics +
Metrics: Total Views: 0 (Spandidos Publications: | PMC Statistics: )
Metrics: Total PDF Downloads: 0 (Spandidos Publications: | PMC Statistics: )
Cited By (CrossRef): 0 citations Loading Articles...

This article is mentioned in:


Abstract

IgG4 masses in the bilateral distal ureters are rare and frequently misdiagnosed. The present study reported the case of a 55‑year‑old male patient with IgG4‑related disease (IgG4‑RD) who had symmetrical soft tissue masses of the bilateral distal ureters found on magnetic resonance imaging (MRI) with a significant increase in the serum levels of IL‑6, IgG4 and IgE. Regarding treatment, this patient received prednisone acetate tablets (40 mg/day) and mycophenolate mofetil dispersible tablets (1 g/day). During the follow‑up, significant reductions in the levels of IgG4 and IgE were found after 30 days. MRI after 6 months indicated complete disappearance of the masses. The prognosis has been good so far. In clinical practice, it is necessary to consider the possibility of IgG4‑RD in cases with soft tissue masses surrounding both ureters and elevated levels of serum IgG4.

Introduction

IgG4-related disease (IgG4-RD) is a chronic inflammatory disease related to fibrosis that is mediated by the immune system. The characteristic features of IgG4-RD include elevated serum IgG4 levels, infiltration of abundant IgG4+ plasma cells and lymphocytes and fibrosis in affected organs (1). This disease may occur in various parts of the body, with the pancreas being the most commonly involved organ, followed by the hepatobiliary system, salivary glands, lacrimal glands, lungs, posterior peritoneum, kidneys and prostate (1,2). Furthermore, IgG4-RD is a disease characterized by involvement of multiple organs and systems. Due to the limited knowledge and understanding of IgG4-RD, it is common for doctors to misdiagnose IgG4-RD as malignant or infectious lesions, resulting in certain patients undergoing unnecessary surgical interventions. However, as an immune-mediated systemic disease, IgG4-RD was indicated to show excellent responses to glucocorticoid therapy (2,3). Thus, early diagnosis and accurate treatment are crucial for patients to acquire more benefits. Imaging examinations are effective methods to find the lesions of IgG4-RD. Furthermore, they may be used to describe the scope of lesions and evaluate the efficiency of hormone therapy (2,4). The present study reported a case of IgG4-RD of the bilateral distal ureters, which are rarely involved in IgG4-RD, and the magnetic resonance imaging (MRI) features were analyzed to improve the understanding and diagnosis of the disease.

Case report

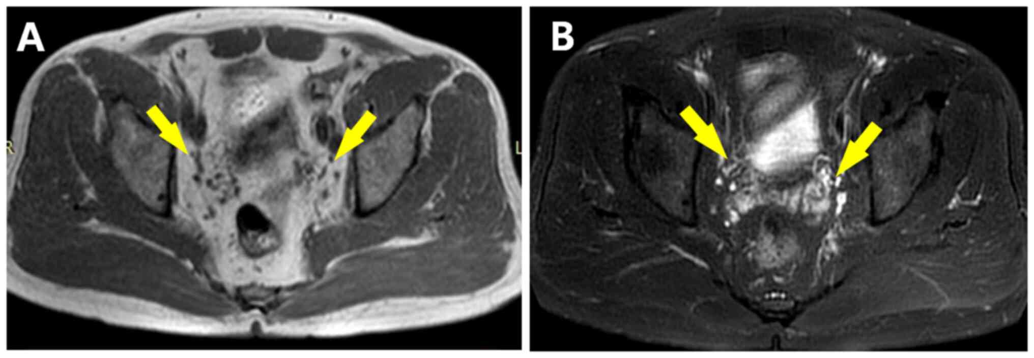
In September 2021, a 55-year-old male patient sought medical attention at Xiangyang No. 1 People's Hospital (Xiangyang, China) due to complaints of ‘lower back pain for one week’, without any symptoms such as painful urination, gross hematuria, frequent urination and urgency of urination. The medical record indicated a history of oral medication therapy for hypertension and hypothyroidism. Physical examination on admission found no obvious abnormality. MRI showed symmetrical soft tissue masses around the bilateral distal ureters, with equal signal on T1-weighted imaging (T1WI) (Fig. 1A), slightly higher signal on T2WI (Fig. 1B) and significant enhancement (Fig. 1C and D). In the diffusion-weighted imaging sequence (DWI), the lesions had a high signal (Fig. 1E), while they had a low signal in the apparent diffusion coefficient (ADC) image (Fig. 1F). The size of the larger mass was 25x23x35 mm and the smaller one was 18x21x23 mm(right). Magnetic resonance urography indicated stenoses of bilateral distal ureters and proximal hydronephrosis (Fig. 2). The serological results revealed that the IgG4 level was 8.690 g/l (0.03-2.01, for IgG4-RD cutoff, >1.35 g/l), IL-6 level was 7.1 pg/ml (normal range: 0.1-2.9 pg/ml)and IgE level was 255.10 IU/ml (normal, ≤100 IU/ml). Due to consideration of IgG4-RD, prednisone acetate tablets (40 mg/day) and mycophenolate mofetil dispersible tablets (1 g/day) were administered. After 30 days, the IgG4 level had dropped to 4.610 g/l and the IgE level had decreased to 130.60 IU/ml. After 6 months, the masses had disappeared completely in the follow-up MRI (Fig. 3A and B). In May 2022, laboratory examination at another hospital indicated that IgE and IL-6 had dropped to normal. The patient continued to take mesalazine dispersible tablets (0.5 g/day) to prevent relapse. According to an MRI scan conducted in April 2023, there was no significant recurrence of the lesions observed at the distal ends of both ureters.

Figure 1

Imaging presentation of a 55-year-old male patient with IgG4-related retroperitoneal disease. In the axial (A) T1WI and (B) T2WI magnetic resonance imaging, bilateral lumpy soft tissue masses around the lower ureter are visible, the border is clear, the contour is not polished, T1WI has equal signal intensity and T2WI has equal or slightly higher signal intensity. On (C) T1WI axial enhanced and (D) T1WI sagittal enhanced, the masses display as significantly enhanced. (E) On diffusion-weighted imaging, the masses were displayed with a high signal. (F) In the apparent diffusion coefficient image, the masses had a low signal. T1WI, T1-weighted imaging. Yellow arrows indicate the soft tissue masses.

Figure 2

Magnetic resonance urography indicates that the local ureter is compressed and narrowed with hydronephrosis. Yellow arrows indicate local ureter compressed.

Figure 3

Follow-up. (A) T1W1 and (B) T2WI magnetic resonance imaging after 6 months of treatment, indicating that the masses had completely disappeared. T1WI, T1-weighted imaging. Yellow arrows indicate the previous location of the soft tissue masses.

Discussion

Patients with IgG4-RD usually undergo a two-stage progression, including an inflammatory phase and a fibrotic phase. The inflammatory lesions of IgG4-RD may be related to immune disorders, environmental pollution or drug abuse (5). According to a study conducted in Japan, there has been an increase in the incidence rate of IgG4-RD over a period of 10 years, from 0.8 cases per 100,000 individuals to 3.1 cases per 100,000 individuals. This may be attributed to the improvement in the diagnosis of IgG4-RD (6). Of note, IgG4-RDs more commonly occur in middle-aged and elderly individuals (with an average age of 56 years) and males (7). An important characteristic of IgG4-RD is its ability to affect multiple organs. Several previous studies have provided insight into the prevalence of multi organ involvement, reporting that it ranges from 51 to 92% (7-10). Furthermore, the symptoms of IgG4-RD are usually nonspecific and vary according to the organs involved. For patients with retroperitoneal IgG4-RD, the initial symptoms are milder and more undetectable than those with other organs involved. As a result, the diagnosis of retroperitoneal IgG4-RD may be delayed (11). Ureteral IgG4-RD is a fairly uncommon condition that is predominantly reported as an individual case with symptoms including lower back pain, loss of appetite and renal dysfunction (12,13). In the case of the present study, the patient only had lower back pain.

Thus far, there are no unified diagnostic criteria for IgG4-RD. Elevated serum IgG4 is an important indicator for the diagnosis and evaluation of IgG4-RD. It can be found in 55-97% of cases, particularly in Asian patients, and it is correlated with the number of organs involved (14). Serum IgG4 levels of >1.35 g/l are considered strong evidence for the diagnosis of IgG4-RD (15). However, elevated serum IgG4 is not a specific biomarker for IgG4-RD, as it may be found in numerous other diseases, such as tumors, infections, connective tissue diseases, hematological diseases and allergic conditions. In addition, not all patients with IgG4-RD have elevated serum IgG4 levels. Thus, higher serum IgG4 is neither sufficient nor necessary for the diagnosis of IgG4-RD. Higher serum IL-6 is a marker to reflect acute phase response (16). The IgG4 and IL-6 levels in the present case were significantly elevated, which may support the diagnosis and suggest that the disease is in an active phase.

The pathogenesis of IgG4-RD has remained to be elucidated; however, it is thought to be mainly mediated by immunological imbalance. Its main pathological features are lymphocyte and plasma cell infiltration and fibrosis within the affected tissues or organs, and the histopathological presentation remains the gold standard for diagnosis (17). The pathological changes of IgG4-RD provide an important basis for characteristic radiological manifestations, particularly MRI signal changes and enhancement patterns (7). Although the international diagnostic criteria for IgG4-RD are different, they all emphasize that imaging findings are the main basis for the diagnosis of IgG4-RD (2), particularly CT and MRI (18), which may display the location, scope and shape and size of the lesion. MRI is slightly superior to CT in determining the nature of the lesion involving retroperitoneal organs. MRI may show a patchy soft tissue signal shadow surrounding the anterolateral abdominal aorta and the common iliac artery, which is similar to the psoas major muscle signal, frequently causing medial displacement or obstruction of the lower ureter (11). The imaging findings of retroperitoneal IgG4-RD are mostly isodense on plain CT scan. MRI shows an equal or slightly lower signal on T1WI and T2WI, and mild to moderate delayed enhancement after enhancement (19). The characteristic imaging features may be related to intrafocal fibrosis and more infiltration of lymphocytes and plasma cells. When the lesion stays in the active phase, T2WI shows high signal intensity (19). DWI is conducive to identifying whether IgG4-RD is in the active phase and presenting similar retroperitoneal malignancies (20). The ADC value of nonactive lesions is higher than that of active lesions and retroperitoneal malignant tumors. When a patient is clinically suspected to have IgG4-RD with a retroperitoneal mass, a puncture biopsy of the retroperitoneal lesion is often necessary. However, Raglianti et al (19) suggested that when clinical suspicion of retroperitoneal mass associated with IgG4-RD is confirmed by serological examinations, and there are typical imaging manifestations as described above, hormone treatment may be directly initiated to avoid the potential risk of retroperitoneal vascular injury caused by biopsy. IgG4-RD occurring in the ureter is relatively rare and the imaging manifestation is often segmental thickening of the ureter wall or the formation of local masses, accompanied by mild to moderate hydronephrosis (13,21). It may affect any part of the ureter, but unilateral involvement is more common, with the left side being more frequently affected than the right side (13). When the ureter is affected unilaterally, it is difficult to differentiate from ureteral malignancy. According to previous reports, it has been frequently misdiagnosed as an ureteral malignancy prior to surgery and surgical resection was performed (12,13,21). However, in patients with ureteral IgG4-RD, the degree of hydronephrosis is relatively mild compared to that with malignant tumors (21). This may be because the ureteral stenosis in this disease is mostly due to compression by wall or peripheral inflammatory lesions, rather than direct obstruction by intraluminal soft tissue masses (21). In cases where no malignant tumor cells are found in cytological and ureteroscopic brush specimens, particularly when the mass involves the bilateral ureters, consideration should be given to the possibility of ureteral IgG4-RD and further related serological immunological tests may be performed to assist in the diagnosis. The imaging manifestation of the case of the present study is relatively special, with the main features being symmetrical, round, soft tissue signal masses at the bilateral distal ureters, accompanied by limited lesions and irregular morphology. The T2WI signal is higher than that of the surrounding muscle and soft tissue, with significant enhancement, diffusion limitation and a significant decrease in ADC value, suggesting that the patient may be in the active stage, which is prone to be misdiagnosed as a neoplastic lesion. The reasons for the relatively accurate imaging diagnosis at initial MRI may include the following: i) The lesion simultaneously involves the bilateral ureters and symmetry development may be an important basis for excluding other malignant tumors; ii) the signal of the lesion is relatively uniform, without obvious cystic changes, necrosis and bleeding; iii) the boundary of the lesion is relatively vague with surrounding adipose tissue, while other tumors at this site generally have clear boundaries or exhibit aggressive growth patterns and peripheral tissue traction; iv) bilateral hydronephrocalyces are not serious. Most malignant tumors feature severe hydronephrosis, frequently accompanied by hematuria (21).

IgG4-RD retroperitoneal lesions may be divided into three subtypes based on the anatomical location and their involvement (22): i) Surrounding the abdominal aorta or iliac artery; ii) surrounding the renal pelvis and ureter; iii) no clear correlation with any pelvic cavity organ and only distributed behind the pelvic peritoneum. The first subtype is the most common. When the lesion is localized around the bilateral ureters, it is mainly differentiated from the following malignant tumors in the ureter: A) Primary tumors of the ureter: Clinically rare, most are transitional cell carcinoma. The major clinical manifestation is recurrent gross hematuria. MRI often shows a mass in the ureter or invade its surroundings, with T1WI and T2WI signals higher and lower than those in urine, respectively, and frequently uneven signals involving the outside of the lumen. Symmetrical involvement of bilateral ureters is rare and it is difficult to differentiate from unilateral ureteral involvement of IgG4-RD. However, when urinary cytology examination and ureteroscopic biopsy are inconclusive regarding malignant tumors, IgG4-RD should be considered and further relevant serum immunological tests should be performed (13,23). B) Lymphoma: Lymphoma has a wide range, with common retroperitoneal enlarged lymph nodes appearing from the peripancreatic level, and some of them can be fused; ‘when the lymph nodes behind the abdominal aorta are gradually enlarged, the abdominal aorta can be pushed forward and obscure display, resulting in an aortic submersion sign. However, the lymphoma is soft and rarely causes bilateral ureteral stenosis’ (24). C) Periureteral metastatic tumor: It can appear as a parenchymal mass or enlarged lymph nodes adjacent to the ureter, the former having no obvious characteristics, while the latter often presents as a single or multiple discontinuous nodular lesions with a clear boundary. Most patients have a history of primary malignant tumors.

Glucocorticoids are generally effective for IgG4-RD and immunosuppressants are also necessary as drugs to induce remission. The responsiveness of glucocorticoids to treatment is also one of the diagnostic inclusion criteria for IgG4-RD (25). When IgG4-RD is suspected, timely serum immunologic testing and hormone impact treatment may spare patients from having to undergo surgery, radiotherapy and chemotherapy. Biological targeted therapy, particularly the anti-CD20 monoclonal antibody rituximab, has achieved good results in the treatment of IgG4-RD (26). Rituximab may be considered for patients who have failed traditional treatment, experienced relapse during steroid tapering, or have steroid resistance or intolerance. However, precautions should be taken to prevent infection after using this medication. In urgent situations where specific sites affected by IgG4-RD cause organ dysfunction due to compression, if medication fails to rapidly control the condition, surgical or interventional treatments may be considered. IgG4-RD is a disease prone to relapse. Different studies have reported risk factors for relapse, including male gender, younger age, history of allergies, elevated baseline serum IgG4 levels, low maintenance steroid dosage and previous relapse history (27,28). Furthermore, a subsequent increase in serum IgG4 levels during follow-up is also a risk factor for disease relapse (29). In this case, the patient's IgG4 and IgE levels significantly decreased after one month of combined treatment with glucocorticoids and immunosuppressive agents. Six months later, a follow-up MRI showed the disappearance of the retroperitoneal mass, and thus, no further treatment with targeted biological drugs or surgery was considered. The patient continued to take mesalazine dispersible tablets (0.5 g/day) to prevent relapse. In April 2023, the patient came to our hospital for re-examination and pelvic MRI showed no obvious recurrence of bilateral ureteral terminal masses. The prognosis has been good so far. The patient has shown sensitivity and effectiveness to hormone and immunosuppressive therapy, which provides strong evidence for the diagnosis of IgG4-RD in this case.

Therefore, when clinically encountering patients with subacute onset, only presenting with lower back pain and retroperitoneal soft tissue masses surrounding the bilateral ureters, the possibility of IgG4-RD should be considered and a comprehensive diagnosis should be made in combination with serological examination, imaging characteristics and treatment response to avoid misdiagnosis.

Acknowledgements

Not applicable.

Funding

Funding: No funding was received.

Availability of data and materials

All data generated or analyzed during this study are included in this published article.

Authors' contributions

JC, YW and PG contributed to the conceptualization and design of the study and drafting of the manuscript. AG, PA, HC and RC collected the patient's clinical information and images and assisted with the drafting of the manuscript. YW and PG contributed to critical revisions of the intellectual content and confirmed the authenticity of all the raw data. All authors have read and approved the final manuscript.

Ethics approval and consent to participate

The present study was approved by the Institutional Review Board of Xiangyang No.1 People's Hospital, Hubei University of Medicine (approval no. 2023KY037), complied with the Health Insurance Portability and Accountability Act, and followed the guidelines of the Declaration of Helsinki.

Patient consent for publication

Written informed consent was provided by the patient for publication of data and images.

Competing interests

The authors have no competing interests to declare.

References

1 

Kamisawa T, Zen Y, Pillai S and Stone JH: IgG4-related disease. Lancet. 385:1460–1471. 2015.PubMed/NCBI View Article : Google Scholar

2 

Wallace ZS, Naden RP, Chari S, Choi H, Della-Torre E, Dicaire JF, Hart PA, Inoue D, Kawano M, Khosroshahi A, et al: The 2019 American college of rheumatology/european league against rheumatism classification criteria for IgG4-related disease. Ann Rheum Dis. 79:77–87. 2020.PubMed/NCBI View Article : Google Scholar

3 

Kamisawa T, Funata N, Hayashi Y, Eishi Y, Koike M, Tsuruta K, Okamoto A, Egawa N and Nakajima H: A new clinicopathological entity of IgG4-related autoimmune disease. J Gastroenterol. 38:982–984. 2003.PubMed/NCBI View Article : Google Scholar

4 

Okazaki K, Uchida K, Koyabu M, Miyoshi H, Ikeura T and Takaoka M: IgG4 cholangiopathy: Current concept, diagnosis, and pathogenesis. J Hepatol. 61:690–695. 2014.PubMed/NCBI View Article : Google Scholar

5 

Masamune A, Kikuta K, Hamada S, Tsuji I, Takeyama Y, Shimosegawa T and Okazaki K: Collaborators. Nationwide epidemiological survey of autoimmune pancreatitis in Japan in 2016. J Gastroenterol. 55:462–470. 2020.PubMed/NCBI View Article : Google Scholar

6 

Lanzillotta M, Mancuso G and Della-Torre E: Advances in the diagnosis and management of IgG4 related disease. BMJ. 369(m1067)2020.PubMed/NCBI View Article : Google Scholar

7 

Pan YY, Zhou SC, Wang YJ, Zhu TT, Peng D and Guan HX: IgG4-related disease: A retrospective Chinese study of features and treatment response of 98 patients including 4 rare cases. Curr Med Sci. 41:390–397. 2021.PubMed/NCBI View Article : Google Scholar

8 

Ebbo M, Daniel L, Pavic M, Sève P, Hamidou M, Andres E, Burtey S, Chiche L, Serratrice J, Longy-Boursier M, et al: IgG4-related systemic disease: Features and treatment response in a French cohort: Results of a multicenter registry. Medicine (Baltimore). 91:49–56. 2012.PubMed/NCBI View Article : Google Scholar

9 

Inoue D, Yoshida K, Yoneda N, Ozaki K, Matsubara T, Nagai K, Okumura K, Toshima F, Toyama J, Minami T, et al: IgG4-related disease: Dataset of 235 consecutive patients. Medicine (Baltimore). 94(e680)2015.PubMed/NCBI View Article : Google Scholar

10 

Yamada K, Yamamoto M, Saeki T, Mizushima I, Matsui S, Fujisawa Y, Hara S, Takahashi H, Nomura H, Kawa S and Kawano M: New clues to the nature of immunoglobulin G4-related disease: A retrospective Japanese multicenter study of baseline clinical features of 334 cases. Arthritis Res Ther. 19(262)2017.PubMed/NCBI View Article : Google Scholar

11 

Liu Y, Zhu L, Wang Z, Zeng Q, Yang F, Gao J, Wang Z, Wang K, Ren L, Zhang Y, et al: Clinical features of IgG4-related retroperitoneal fibrosis among 407 patients with IgG4-related disease: A retrospective study. Rheumatology (Oxford). 60:767–772. 2021.PubMed/NCBI View Article : Google Scholar

12 

Moriarty MA, Dahmoush L and Nepple KG: IgG4 related disease of the ureter (inflammatory pseudotumor). J Urol. 191:1126–1127. 2014.PubMed/NCBI View Article : Google Scholar

13 

Marando A, D'Ambrosio G, Catanzaro F, La Rosa S and Sessa F: IgG4-related disease of the ureter: Report of two cases and review of the literature. Virchows Arch. 462:673–678. 2013.PubMed/NCBI View Article : Google Scholar

14 

Fernández-Codina A, Pinilla B, Pinal-Fernández I, López C, Fraile-Rodríguez G, Fonseca-Aizpuru E, Carballo I, Brito-Zerón P, Feijóo-Massó C, López-Dupla M, et al: Treatment and outcomes in patients with IgG4-related disease using the IgG4 responder index. Joint Bone Spine. 85:721–726. 2018.PubMed/NCBI View Article : Google Scholar

15 

Dai T and He YQ: CT and MRI features of multi-organ involvement in IgG4-related disease. Diagn Interv Imaging. 104:261–262. 2023.PubMed/NCBI View Article : Google Scholar

16 

Vaglio A, Catanoso MG, Spaggiari L, Magnani L, Pipitone N, Macchioni P, Pulsatelli L, Nicastro M, Becchi G, Corradi D, et al: Interleukin-6 as an inflammatory mediator and target of therapy in chronic periaortitis. Arthritis Rheum. 65:2469–2475. 2013.PubMed/NCBI View Article : Google Scholar

17 

Adding Ref, Arora K, Rivera M, Ting DT and Deshpande V: The histological diagnosis of IgG4-related disease on small biopsies: challenges and pitfalls. Histopathology. 74:688–698. 2019.PubMed/NCBI View Article : Google Scholar

18 

Lecler A and Sene T: MRI and ultrasonography are useful tools for a non-invasive diagnosis of IgG4-related disease. Ann Rheum Dis. 81(e51)2022.PubMed/NCBI View Article : Google Scholar

19 

Raglianti V, Rossi GM and Vaglio A: Idiopathic retroperitoneal fibrosis: An update for nephrologists. Nephrol Dial Transplant. 36:1773–1781. 2021.PubMed/NCBI View Article : Google Scholar

20 

Bakir B, Yilmaz F, Turkay R, Ozel S, Bilgiç B, Velioglu A, Saka B and Salmaslioglu A: Role of diffusion-weighted MR imaging in the differentiation of benign retroperitoneal fibrosis from malignant neoplasm: Preliminary study. Radiology. 272:438–445. 2014.PubMed/NCBI View Article : Google Scholar

21 

Abe H, Morikawa T, Araki A, Shima T, Nakatsu H, Fukayama M and Suzuki Y: IgG4-related periureteral fibrosis presenting as a unilateral ureteral mass. Pathol Res Pract. 207:712–714. 2011.PubMed/NCBI View Article : Google Scholar

22 

Kawano M, Saeki T and Nakashima H: IgG4-related kidney disease and retroperitoneal fibrosis: An update. Mod Rheumatol. 29:231–239. 2019.PubMed/NCBI View Article : Google Scholar

23 

Lei WH, Xin J, Shao CX, Mao MF, Zhu CY, Wu CF and Jin L: IgG4-related kidney disease mimicking malignant ureter tumor: Case report and literature review. Medicine (Baltimore). 95(e2550)2016.PubMed/NCBI View Article : Google Scholar

24 

Improta L, Tzanis D, Bouhadiba T, Abdelhafidh K and Bonvalot S: Overview of primary adult retroperitoneal tumours. Eur J Surg Oncol. 46:1573–1579. 2020.PubMed/NCBI View Article : Google Scholar

25 

Katz G and Stone JH: Clinical perspectives on IgG4-related disease and its classification. Annu Rev Med. 73:545–562. 2022.PubMed/NCBI View Article : Google Scholar

26 

Carruthers MN, Topazian MD, Khosroshahi A, Witzig TE, Wallace ZS, Hart PA, Deshpande V, Smyrk TC, Chari S and Stone JH: Rituximab for IgG4-related disease: A prospective, open-label trial. Ann Rheum Dis. 74:1171–1177. 2015.PubMed/NCBI View Article : Google Scholar

27 

Miki M, Fujimori N, Oono T, Kawabe K, Ohno A, Matsumoto K, Teramatsu K, Tachibana Y and Ogawa Y: Relapse patterns and predictors of IgG4-related diseases involved with autoimmune pancreatitis: A single-center retrospective study of 115 patients. J Dig Dis. 20:152–158. 2019.PubMed/NCBI View Article : Google Scholar

28 

Liu Y, Zeng Q, Zhu L, Gao J, Wang Z, Wang Z, Yang F, Wang K, Chen D, Xia C, et al: Relapse predictors and serologically unstable condition of IgG4-related disease: A large Chinese cohort. Rheumatology (Oxford). 59:2115–2123. 2020.PubMed/NCBI View Article : Google Scholar

29 

Peng Y, Li JQ, Zhang PP, Zhang X, Peng LY, Chen H, Zhou JX, Zhang SZ, Yang HX, Liu JJ, et al: Clinical outcomes and predictive relapse factors of IgG4-related disease following treatment: A long-term cohort study. J Intern Med. 286:542–552. 2019.PubMed/NCBI View Article : Google Scholar

Related Articles

  • Abstract
  • View
  • Download
  • Twitter
Copy and paste a formatted citation
Spandidos Publications style
Cao J, Gong A, An P, Chen R, Chen H, Wang Y and Gao P: MRI diagnosis of tumor‑like IgG4 masses in bilateral distal ureters: A case report. Exp Ther Med 26: 464, 2023.
APA
Cao, J., Gong, A., An, P., Chen, R., Chen, H., Wang, Y., & Gao, P. (2023). MRI diagnosis of tumor‑like IgG4 masses in bilateral distal ureters: A case report. Experimental and Therapeutic Medicine, 26, 464. https://doi.org/10.3892/etm.2023.12163
MLA
Cao, J., Gong, A., An, P., Chen, R., Chen, H., Wang, Y., Gao, P."MRI diagnosis of tumor‑like IgG4 masses in bilateral distal ureters: A case report". Experimental and Therapeutic Medicine 26.4 (2023): 464.
Chicago
Cao, J., Gong, A., An, P., Chen, R., Chen, H., Wang, Y., Gao, P."MRI diagnosis of tumor‑like IgG4 masses in bilateral distal ureters: A case report". Experimental and Therapeutic Medicine 26, no. 4 (2023): 464. https://doi.org/10.3892/etm.2023.12163
Copy and paste a formatted citation
x
Spandidos Publications style
Cao J, Gong A, An P, Chen R, Chen H, Wang Y and Gao P: MRI diagnosis of tumor‑like IgG4 masses in bilateral distal ureters: A case report. Exp Ther Med 26: 464, 2023.
APA
Cao, J., Gong, A., An, P., Chen, R., Chen, H., Wang, Y., & Gao, P. (2023). MRI diagnosis of tumor‑like IgG4 masses in bilateral distal ureters: A case report. Experimental and Therapeutic Medicine, 26, 464. https://doi.org/10.3892/etm.2023.12163
MLA
Cao, J., Gong, A., An, P., Chen, R., Chen, H., Wang, Y., Gao, P."MRI diagnosis of tumor‑like IgG4 masses in bilateral distal ureters: A case report". Experimental and Therapeutic Medicine 26.4 (2023): 464.
Chicago
Cao, J., Gong, A., An, P., Chen, R., Chen, H., Wang, Y., Gao, P."MRI diagnosis of tumor‑like IgG4 masses in bilateral distal ureters: A case report". Experimental and Therapeutic Medicine 26, no. 4 (2023): 464. https://doi.org/10.3892/etm.2023.12163
Follow us
  • Twitter
  • LinkedIn
  • Facebook
About
  • Spandidos Publications
  • Careers
  • Cookie Policy
  • Privacy Policy
How can we help?
  • Help
  • Live Chat
  • Contact
  • Email to our Support Team