Spandidos Publications Logo
  • About
    • About Spandidos
    • Aims and Scopes
    • Abstracting and Indexing
    • Editorial Policies
    • Reprints and Permissions
    • Job Opportunities
    • Terms and Conditions
    • Contact
  • Journals
    • All Journals
    • Oncology Letters
      • Oncology Letters
      • Information for Authors
      • Editorial Policies
      • Editorial Board
      • Aims and Scope
      • Abstracting and Indexing
      • Bibliographic Information
      • Archive
    • International Journal of Oncology
      • International Journal of Oncology
      • Information for Authors
      • Editorial Policies
      • Editorial Board
      • Aims and Scope
      • Abstracting and Indexing
      • Bibliographic Information
      • Archive
    • Molecular and Clinical Oncology
      • Molecular and Clinical Oncology
      • Information for Authors
      • Editorial Policies
      • Editorial Board
      • Aims and Scope
      • Abstracting and Indexing
      • Bibliographic Information
      • Archive
    • Experimental and Therapeutic Medicine
      • Experimental and Therapeutic Medicine
      • Information for Authors
      • Editorial Policies
      • Editorial Board
      • Aims and Scope
      • Abstracting and Indexing
      • Bibliographic Information
      • Archive
    • International Journal of Molecular Medicine
      • International Journal of Molecular Medicine
      • Information for Authors
      • Editorial Policies
      • Editorial Board
      • Aims and Scope
      • Abstracting and Indexing
      • Bibliographic Information
      • Archive
    • Biomedical Reports
      • Biomedical Reports
      • Information for Authors
      • Editorial Policies
      • Editorial Board
      • Aims and Scope
      • Abstracting and Indexing
      • Bibliographic Information
      • Archive
    • Oncology Reports
      • Oncology Reports
      • Information for Authors
      • Editorial Policies
      • Editorial Board
      • Aims and Scope
      • Abstracting and Indexing
      • Bibliographic Information
      • Archive
    • Molecular Medicine Reports
      • Molecular Medicine Reports
      • Information for Authors
      • Editorial Policies
      • Editorial Board
      • Aims and Scope
      • Abstracting and Indexing
      • Bibliographic Information
      • Archive
    • World Academy of Sciences Journal
      • World Academy of Sciences Journal
      • Information for Authors
      • Editorial Policies
      • Editorial Board
      • Aims and Scope
      • Abstracting and Indexing
      • Bibliographic Information
      • Archive
    • International Journal of Functional Nutrition
      • International Journal of Functional Nutrition
      • Information for Authors
      • Editorial Policies
      • Editorial Board
      • Aims and Scope
      • Abstracting and Indexing
      • Bibliographic Information
      • Archive
    • International Journal of Epigenetics
      • International Journal of Epigenetics
      • Information for Authors
      • Editorial Policies
      • Editorial Board
      • Aims and Scope
      • Abstracting and Indexing
      • Bibliographic Information
      • Archive
    • Medicine International
      • Medicine International
      • Information for Authors
      • Editorial Policies
      • Editorial Board
      • Aims and Scope
      • Abstracting and Indexing
      • Bibliographic Information
      • Archive
  • Articles
  • Information
    • Information for Authors
    • Information for Reviewers
    • Information for Librarians
    • Information for Advertisers
    • Conferences
  • Language Editing
Spandidos Publications Logo
  • About
    • About Spandidos
    • Aims and Scopes
    • Abstracting and Indexing
    • Editorial Policies
    • Reprints and Permissions
    • Job Opportunities
    • Terms and Conditions
    • Contact
  • Journals
    • All Journals
    • Biomedical Reports
      • Information for Authors
      • Editorial Policies
      • Editorial Board
      • Aims and Scope
      • Abstracting and Indexing
      • Bibliographic Information
      • Archive
    • Experimental and Therapeutic Medicine
      • Information for Authors
      • Editorial Policies
      • Editorial Board
      • Aims and Scope
      • Abstracting and Indexing
      • Bibliographic Information
      • Archive
    • International Journal of Epigenetics
      • Information for Authors
      • Editorial Policies
      • Editorial Board
      • Aims and Scope
      • Abstracting and Indexing
      • Bibliographic Information
      • Archive
    • International Journal of Functional Nutrition
      • Information for Authors
      • Editorial Policies
      • Editorial Board
      • Aims and Scope
      • Abstracting and Indexing
      • Bibliographic Information
      • Archive
    • International Journal of Molecular Medicine
      • Information for Authors
      • Editorial Policies
      • Editorial Board
      • Aims and Scope
      • Abstracting and Indexing
      • Bibliographic Information
      • Archive
    • International Journal of Oncology
      • Information for Authors
      • Editorial Policies
      • Editorial Board
      • Aims and Scope
      • Abstracting and Indexing
      • Bibliographic Information
      • Archive
    • Medicine International
      • Information for Authors
      • Editorial Policies
      • Editorial Board
      • Aims and Scope
      • Abstracting and Indexing
      • Bibliographic Information
      • Archive
    • Molecular and Clinical Oncology
      • Information for Authors
      • Editorial Policies
      • Editorial Board
      • Aims and Scope
      • Abstracting and Indexing
      • Bibliographic Information
      • Archive
    • Molecular Medicine Reports
      • Information for Authors
      • Editorial Policies
      • Editorial Board
      • Aims and Scope
      • Abstracting and Indexing
      • Bibliographic Information
      • Archive
    • Oncology Letters
      • Information for Authors
      • Editorial Policies
      • Editorial Board
      • Aims and Scope
      • Abstracting and Indexing
      • Bibliographic Information
      • Archive
    • Oncology Reports
      • Information for Authors
      • Editorial Policies
      • Editorial Board
      • Aims and Scope
      • Abstracting and Indexing
      • Bibliographic Information
      • Archive
    • World Academy of Sciences Journal
      • Information for Authors
      • Editorial Policies
      • Editorial Board
      • Aims and Scope
      • Abstracting and Indexing
      • Bibliographic Information
      • Archive
  • Articles
  • Information
    • For Authors
    • For Reviewers
    • For Librarians
    • For Advertisers
    • Conferences
  • Language Editing
Login Register Submit
  • This site uses cookies
  • You can change your cookie settings at any time by following the instructions in our Cookie Policy. To find out more, you may read our Privacy Policy.

    I agree
Search articles by DOI, keyword, author or affiliation
Search
Advanced Search
presentation
Experimental and Therapeutic Medicine
Join Editorial Board Propose a Special Issue
Print ISSN: 1792-0981 Online ISSN: 1792-1015
Journal Cover
October-2023 Volume 26 Issue 4

Full Size Image

Sign up for eToc alerts
Recommend to Library

Journals

International Journal of Molecular Medicine

International Journal of Molecular Medicine

International Journal of Molecular Medicine is an international journal devoted to molecular mechanisms of human disease.

International Journal of Oncology

International Journal of Oncology

International Journal of Oncology is an international journal devoted to oncology research and cancer treatment.

Molecular Medicine Reports

Molecular Medicine Reports

Covers molecular medicine topics such as pharmacology, pathology, genetics, neuroscience, infectious diseases, molecular cardiology, and molecular surgery.

Oncology Reports

Oncology Reports

Oncology Reports is an international journal devoted to fundamental and applied research in Oncology.

Experimental and Therapeutic Medicine

Experimental and Therapeutic Medicine

Experimental and Therapeutic Medicine is an international journal devoted to laboratory and clinical medicine.

Oncology Letters

Oncology Letters

Oncology Letters is an international journal devoted to Experimental and Clinical Oncology.

Biomedical Reports

Biomedical Reports

Explores a wide range of biological and medical fields, including pharmacology, genetics, microbiology, neuroscience, and molecular cardiology.

Molecular and Clinical Oncology

Molecular and Clinical Oncology

International journal addressing all aspects of oncology research, from tumorigenesis and oncogenes to chemotherapy and metastasis.

World Academy of Sciences Journal

World Academy of Sciences Journal

Multidisciplinary open-access journal spanning biochemistry, genetics, neuroscience, environmental health, and synthetic biology.

International Journal of Functional Nutrition

International Journal of Functional Nutrition

Open-access journal combining biochemistry, pharmacology, immunology, and genetics to advance health through functional nutrition.

International Journal of Epigenetics

International Journal of Epigenetics

Publishes open-access research on using epigenetics to advance understanding and treatment of human disease.

Medicine International

Medicine International

An International Open Access Journal Devoted to General Medicine.

Journal Cover
October-2023 Volume 26 Issue 4

Full Size Image

Sign up for eToc alerts
Recommend to Library

  • Article
  • Citations
    • Cite This Article
    • Download Citation
    • Create Citation Alert
    • Remove Citation Alert
    • Cited By
  • Similar Articles
    • Related Articles (in Spandidos Publications)
    • Similar Articles (Google Scholar)
    • Similar Articles (PubMed)
  • Download PDF
  • Download XML
  • View XML
Article Open Access

Spinal‑pelvic sagittal imbalance and paraspinal muscle degeneration in patients with degenerative lumbar spinal stenosis: A monocentric, prospective and observational study

  • Authors:
    • Keyu Zhao
    • Tianlian Bao
    • Wupeng Yang
    • Chunmei Wang
    • Yongjiang Wang
    • Tiantian Wang
    • Bin Xiao
    • Qingxin Zhang
    • Feng Gao
    • Hao Liu
    • Xiaoyang Tao
    • Gang Gao
    • Tinxin Zhang
  • View Affiliations / Copyright

    Affiliations: The Ordos Clinic Medical College, Inner Mongolia Medical University, Ordos, Inner Mongolia Autonomous Region 017000, P.R. China, Department of Orthopedics, Ordos Central Hospital, Ordos, Inner Mongolia Autonomous Region 017000, P.R. China
    Copyright: © Zhao et al. This is an open access article distributed under the terms of Creative Commons Attribution License.
  • Article Number: 479
    |
    Published online on: August 25, 2023
       https://doi.org/10.3892/etm.2023.12178
  • Expand metrics +
Metrics: Total Views: 0 (Spandidos Publications: | PMC Statistics: )
Metrics: Total PDF Downloads: 0 (Spandidos Publications: | PMC Statistics: )
Cited By (CrossRef): 0 citations Loading Articles...

This article is mentioned in:



Abstract

Degenerative lumbar spinal stenosis (DLSS) is a condition in which the body is held in a poor posture for a long period of time, resulting in a change in the stress structure of the lumbar spine that causes degenerative changes in the muscles of the spine. The sagittal balance of the spine and pelvis and the degeneration of the paravertebral muscles have been the focus of recent research. To explore the relationship between paraspinal muscle degeneration and changes in spine‑pelvic sagittal parameters in patients with DLSS, 95 patients with DLSS (experimental group) and 70 healthy volunteers (control group) hospitalized in the Ordos Central Hospital between January 2020 and January 2022 were included as study subjects. All patients underwent lumbar magnetic resonance imaging and spinal X‑ray using uniform criteria. The correlation between paravertebral muscle parameters and sagittal‑pelvic sagittal parameters in patients with DLSS was obtained from two imaging examinations, and the data were organized and grouped in order to explore the correlation between these parameters. There was no significant difference in the general data between the two groups (P>0.05). In the L4‑5 DLSS patient group, the ratio of fat infiltration in the right erector spinae (ES) muscle was negatively correlated with thoracic kyphosis (TK) (r=‑0.536; P<0.05) but not significantly in the left side. The relative cross‑sectional area of the left multifidus muscle (MF RCSA) was positively correlated with TK (r=0.685; r=0.615; P<0.05) but not significantly in the right side. In the L5‑S1DLSS patient group, the right MF RCSA and right ES RCSA were significantly positively correlated with TK (r=0.685; r=0.615; P<0.05) but not significant in the left side. Thus, paravertebral muscle parameters were correlated with spinal‑pelvic sagittal parameters in patients with DLSS.

Introduction

In China, middle-aged and elderly individuals ≥60 years old, accounted for 18.7% of all cases in the 7th census data. The proportion of elderly is growing, and the incidence of degenerative lumbar spinal stenosis (DLSS) is increasing annually (1).

DLSS refers to a chronic lumbar disease in which secondary degenerative changes of the vertebral body, intervertebral disc and paraspinal soft tissue occur due to stress imbalances in the lumbar spine, resulting in a series of back and leg pain and neurological symptoms caused by spinal canal volume change and dural sac stenosis (2). Parameters related to the sagittal position of the spine and pelvis can be used as criteria to evaluate the state of physical balance (3). The ‘cone of economy’, first described by Dubousset (4), indicates that the normal spinal and pelvic shape curve can enable individuals to fulfill the needs of physiological posture and daily activities with minimum energy consumption. Once the sagittal alignment of the spine is altered, balances of the spine require more energy from the surrounding tissues to maintain, resulting in muscle fatigue and paravertebral pain. Artificial muscle removal experiments have demonstrated that the lumbar spine can appear unstable under very mild loading without the support of the corresponding muscles (5). Therefore, paravertebral muscle mass is an important factor for the entire process of lumbar degeneration. Paravertebral muscle degeneration is associated with the development of a variety of lumbar diseases and the emergence of postoperative complications (6-9).

Previous studies on DLSS have mostly investigated the sagittal imbalance of the spine-pelvis or the degeneration of paravertebral muscles (10-13). However, the combination of the two has not been explored, to the best of the authors’ knowledge, resulting in imperfect treatment options and ultimately affecting therapeutic outcomes. Therefore, the literature on DLSS, spinal-pelvic sagittal imbalance, and paravertebral muscle degeneration was reviewed and the present study was designed to analyze the link between lumbar paravertebral muscles and spinal-pelvic parameters in patients with DLSS by measuring the parameters associated with lumbar paravertebral muscles and spinal-pelvic sagittal position. The results obtained in the present study may provide a basis for the subsequent treatment and prognosis of DLSS.

Materials and methods

Study design

A total of 165 patients and healthy volunteers with lumbar spinal stenosis who were admitted to Ordos Central Hospital for treatment between January 2020 and January 2022 were included. Among all the patients (n=165) who participated in the present study, there were 72 men and 93 women, ranging in age from 53 to 80 years old, including 95 patients in the experimental group (patients with DLSS) and 70 patients in the control group (healthy volunteers). The present study was approved by the Ethics Committee of Ordos Central Hospital (Ordos, China; approval no. 2022-012). Informed consent was obtained from all subjects and/or their legal guardians for the present study.

Inclusion and exclusion criteria

The inclusion criteria consisted of a clinical diagnosis of DLSS including spondylolisthesis (I˚ or II˚), with lumbar magnetic resonance imaging (MRI) and defined as single-segment stenosis, including central canal stenosis and/or lateral recess stenosis, spinal x-ray, radiating pain in the lower extremity and/or neurogenic claudication after a single trip of less than 100 m.

The exclusion criteria consisted of other spinal and soft tissue diseases, such as spinal trauma, spinal infection, spinal metastatic lesions, spondylolisthesis (III˚ or IV˚), a history of spinal surgery, severe osteoarthritis of the hip and knee, lower limb paralysis, Parkinson's disease, multiple sclerosis, soft tissue tumors, or infections.

The inclusion criteria for the control group were individuals with lumbar MRI and spinal X-ray. No history of any lumbar disease, low back pain, radiation pain in the lower extremities, and neurogenic claudication. The exclusion criteria were the same as in the experimental group.

Imaging examination. Spinal X-ray

A universal digital radiography system (General Medical Merate S.p.A.) was used to obtain anteroposterior and lateral radiographs of the full-length spine. Lateral images were imported into Surgimap (v2.3.2.1; Nemaris, Inc.) to measure and calculate each sagittal parameter.

Lumbar MRI

MRI was performed using a Signa HDxt 3.0T magnetic resonance scanner (GE Healthcare). For conventional MRI scans of the sagittal fat-suppressed FSE T2WI, the following settings were used: Echo time (TE)=42.72; repetition time (TR)=3,246; display field of view (DFOV)=31x31 cm; slice thickness=4, interslice distance=5 and number of excitations (NEX)=2. For cross-sectional T2WI the following settings were used: TE=123.66; TR=2854; DFOV=20x20 cm; slice thickness=4; interslice distance=5; NEX=2. In the present study, the location and degree of compression of spinal stenosis were observed primarily through multiple angles in the axial and sagittal planes. The responsible lesion was confirmed in accordance with the medical history and clinical signs of the patients, and the cross-sectional MRI T2WI corresponding to the lesion was selected as the baseline image for measurement.

Evaluation indicators. Spine-pelvic parameters

Surgimap allowed the measurement of spine-related parameters. Lafage et al (14) confirmed that the application of Surgimap to calculate the relevant parameters had the advantages of shorter processing periods, less errors and easier data storage compared with traditional manual methods, and was thus suitable for clinical use. Full-length X-ray lateral images of the standard spine as JPG files were imported from the Radiology Department into Surgimap to measure the spinal sagittal parameters separately according to the corresponding operating criteria (Figs. 1 and 2).

Figure 1

Measurement diagram developed using Surgimap. (A) LL, the angle formed by the tangent of the upper edge of the L1 vertebral body and the tangent of the upper endplate of the S1 vertebral body. (B) TK, the angle formed by the tangent of the upper edge of the T4 vertebral body and the tangent of the lower edge of the T12 vertebral body. (C) PT, passing through the middle of the upper endplate of S1, a straight line between the point and the midpoint of the line connecting the centers of the bilateral femoral heads was added in order to exhibit the angle formed by the straight line and the long axis of the body. SS, the angle formed by the tangent line of the upper endplate of S1 and the horizontal line. PI, a straight line through the midpoint of the line connecting the midpoint of the upper endplate of S1 and the center of the bilateral femoral heads was added. The angle formed by the vertical line of the upper endplate of S1 is depicted. (D) SVA, the distance between the plumb line of the seventh cervical vertebra and the posterior upper angle of the first sacrum. LL, lumbar lordosis; TK, thoracic kyphosis; PT, pelvic tilt; SS, sacral slope; PI, pelvic incidence; SVA, sagittal vertical axis.

Figure 2

Spine-pelvic parameters measured using Surgimap. (A) TK, the angle formed by the tangent of the upper edge of the T4 vertebral body and the tangent of the lower edge of the T12 vertebral body. SVA, the distance between the plumb line of the seventh cervical vertebra and the posterior upper angle of the first sacrum. (B) LL, the angle formed by the tangent of the upper edge of the L1 vertebral body and the tangent of the upper endplate of the S1 vertebral body. PT, passing through the middle of the upper endplate of S1, a straight line between the point and the midpoint of the line connecting the centers of the bilateral femoral heads was created, and the angle formed by the straight line and the long axis of the body is depicted. SS, the angle formed by the tangent line of the upper endplate of S1 and the horizontal line. PI, a straight line through the midpoint of the line connecting the midpoint of the upper endplate of S1 and the center of the bilateral femoral heads was added. The angle formed by the vertical line of the upper endplate of S1 is revealed. LL, lumbar lordosis; TK, thoracic kyphosis; PT, pelvic tilt; SS, sacral slope; PI, pelvic incidence; SVA, sagittal vertical axis.

Paraspinal muscle parameters

After image selection, a region of interest was drawn using ImageJ (v1.53c; National Institutes of Health) (Fig. 3), and the bilateral paravertebral muscles cross-sectional area (CSA) of the upper vertebral body at the lesion space, and subcutaneous fat extent were demonstrated and analyzed. The relative CSA (RCSA) was calculated using the following formula: Paravertebral muscle area/vertebral body area x 100% (the interindividual difference mostly decreased using this ratio). Furthermore, the software threshold technique (15) was used to measure the gray values of paravertebral muscles and the subcutaneous fat (Fig. 4), which were subsequently imported into Microsoft® Excel for Mac (v.16.48; Microsoft Corporation) and line graphs were created for analysis (Fig. 5). The ratio of the gray values of the coincident parts of the two to the gray values of paravertebral muscles was used to calculate the fatty infiltration ratio (FIR) (16). It is important to note that if the areas of interest of the multifidus and erector spinalis muscles cannot be drawn on the lumbar MRI, the case will be excluded. All parameters were measured using an independent attending physician.

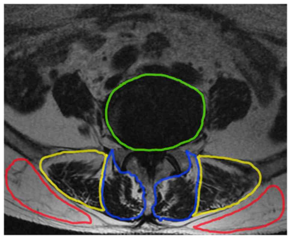
Figure 3

Example of the area of interest defined using ImageJ. Erector spinae CSA is indicated by yellow color, CSA of the target vertebral body is indicated by green, multifidus-CSA by blue and subcutaneous fat range by red. CSA, cross-sectional area.

Figure 4

Grey-scale map of paravertebral muscle and subcutaneous fat constructed using ImageJ. (A) ES, (B) MF, (C) subcutaneous fat. MF, multifidus; ES, erector spinae.

Figure 5

Gray Value Distribution Line Plot. Blue line, MF/ES muscle gray distribution; red, subcutaneous fat gray distribution. MF, multifidus; ES, erector spinae.

Statistical analysis

Statistical analysis was performed using IBM SPSS Statistics (v.26.0; IBM Corp.). Continuous data are presented as the mean ± SD. An independent samples Student's t-test was used for comparison between two groups (two-tailed tests). A paired samples Student's t-test was used for comparison within a group (two-tailed tests). A one-way ANOVA was used for comparison between multiple groups (one-tailed tests). If the difference was statistically significant, Tukey's post hoc test was used for pound-wise comparison after the fact. Categorical data have been presented as frequencies (percentages). A Pearson's χ2 test was used for comparison of the distribution between two groups (two-tailed tests). A Spearman's rank correlation analysis was used for correlation analysis (two-tailed tests). P<0.05 was considered to indicate a statistically significant difference.

Results

Analysis of general data results

A total of 165 subjects were included in the present study, including 70 subjects in the control group and 95 in the experimental group. The mean age of the experimental group (L4-5 group, 67.44±10.98 years; L5-S1 group, 64.17±4.9 years). The age range was 57-83 years. There were no statistically significant differences in age, sex, or body mass index amongst the three groups (P>0.05; Table I). In the experimental group, 66 patients had symptoms of low back pain, accounting for ~70% of the whole experimental group, and 33 patients revealed scoliosis on the spinal X-ray (Fig. 6).

Figure 6

Statistical diagram of low back pain and scoliosis in case group. Low back pain and scoliosis is described by the X-axis while the number of people is revealed by the Y-axis.

Table I

Clinicopathological characteristics of the study population

Table I

Clinicopathological characteristics of the study population

Clinicopathological characteristicsDLSS (L4-5)DLSS (L5-S1)Control group χ2/FP-value
Male, n (%)22 (44.9)21 (45.7)29 (41.4)0.2460.884
Female, n (%)27 (55.1)25 (54.3)41 (58.6)  
Age, years67.44±10.9864.17±4.963.91±8.972.2720.111
Body mass index (kg/m2)a21.68±3.322.66±2.8322.95±2.322.6510.074

[i] aMean ± SD. DLSS, degenerative lumbar spinal stenosis.

Analysis of the spine-pelvis parameters

Pelvic incidence (PI), pelvic tilt (PT) and sagittal vertical axis (SVA) values were significantly higher in patients with DLSS compared with the controls, in contrast, lumbar lordosis (LL) was significantly lower. Post-hoc test results revealed that there were no significant differences in all indexes between L4-5 and L5-S1 patients (all P>0.05; Table II).

Table II

Spinal-pelvic sagittal parameters in the DLSS patients and control group.

Table II

Spinal-pelvic sagittal parameters in the DLSS patients and control group.

 DLSS patient group 
IndicatorL4-5L5-S1Control group
SVA, mm 63.95±28.31a 64.3±42.56a37.07±22.77
TK, ˚32.49±13.7730.73±4.8731.9±10.85
LL, ˚39. 20±11.83a 38.92±8.89a46.83±10.72
PI, ˚ 52.63±10.14a 49.62±8.92a41.07±10
PT, ˚ 22.39±6.94a 21.54±7.97a11.64±7.28
SS, ˚29.88±6.2731.01±429.42±7.2

[i] aP<0.05 vs. control group. DLSS, degenerative lumbar spinal stenosis.

Analysis of paravertebral muscle parameters

There were no significant differences in the bilateral multifidus (MF), the ratio of fat infiltration in the erector Spinus muscle (ES FIR), and RCSA within the control group (P>0.05).

Both right MF FIR and right ES FIR were significantly higher in patients with DLSS (L4-5) than in the ipsilateral controls, and the right MF FIR was higher than its contralateral (all P<0.05). The left and right MF-RCSA were significantly lower in patients with DLSS (L4-5) than in the ipsilateral ES-RCSA (P<0.05). In addition, left and right MF RCSA were significantly lower in the control group than in the ipsilateral ES RCSA as well (P<0.05). There was no significant difference in the CSA of the upper vertebral body between the DLSS patient group (L4-5) and the control group (P>0.05) (Table III).

Table III

Paravertebral muscle parameters in the DLSS patients (L4-5) and control group.

Table III

Paravertebral muscle parameters in the DLSS patients (L4-5) and control group.

 DLSS patient group (L4-5)Control group
IndicatorRightLeftRightLeft
MF-FIR, % 19.23±5.12a,b15.23±7.3815.45±3.8214.89±3.86
ES-FIR, % 18.86±7.62a12.6±13.4612.70±2.2612.53±1.00
MF-CSA, mm2738.95±307.57707.46±295.31927.47±167.98948.92±219.73
ES-CSA, mm2 1,092.77±389.81 1,099.69±337.68898.4±110.42932.76±107.48
MF-RCSA, %41.08±21.4443.17±16.6439.64±7.9540.25±7.87
ES-RCSA, %52.65±12.8456.73±16.4148.64±8.4749.99±5.43
Upper vertebral body CSA, mm2 1,931.89±388.23- 1,881.14±279.68-

[i] aP<0.05 vs. ipsilateral control group;

[ii] bP<0.05 vs. contralateral value within the same group. MF, multifidus; ES, erector spinae; FIR, fat infiltration in the right; CSA, cross-sectional area; RCSA, relative CSA; DLSS, degenerative lumbar spinal stenosis.

The right MF-FIR in the DLSS (L5-S1) patients was significantly higher than that in the ipsilateral side of the control group (P<0.05). MF RCSA in both the left and right sides in DLSS patients was significantly higher than that in the ipsilateral side ES RCSA (P<0.05) MF RCSA in both the left and right sides in the control group was significantly higher than that in the ipsilateral ES RCSA (P<0.05). There was no significant difference in the upper vertebral body CSA values between patients with DLSS (L5-S1) and the control group (P>0.05) (Table IV).

Table IV

Paravertebral muscle parameters in DLSS patients (L5-S1) and control group.

Table IV

Paravertebral muscle parameters in DLSS patients (L5-S1) and control group.

 DLSS patient group (L5-S1)Control group
IndicatorRightLeftRightLeft
MF-FIR, % 19.59±6.56a18.42±3.4114.98±3.4315.84±2.82
ES-FIR, %13.00±7.0014.13±5.5913.67±2.0414.53±2.41
MF-CSA, mm2696.32±200.41857.71±242.24840.43±146.76851.95±123.32
ES-CSA, mm2 1,039.28±269.05 1,044.17±313.66817.07±122.82834.6±134.77
MF-RCSA, %58.99±30.1062.87±21.9647.35±6.7548.24±7.00
ES-RCSA, %39.92±14.0441.01±22.7436.44±8.0427.48±9.61
Upper vertebral body CSA, mm2 1,914.92±310.66- 1,781.91±251.36-

[i] aP<0.05 vs. ipsilateral control group. MF, multifidus; ES, erector spinae; FIR, fat infiltration in the right; CSA, cross-sectional area; RCSA, relative CSA; DLSS, degenerative lumbar spinal stenosis.

Correlation analysis of the paraspinal parameters with the spinal-pelvic sagittal parameters

In the DLSS (L4-5) patient group, right ES FIR was negatively correlated with thoracic kyphosis (TK). Left MF RCSA was positively correlated with TK, whilst the left ES RCSA was negatively correlated with SVA (all P<0.05). In the DLSS (L5-S1) group, there was a significant positive correlation between the right MF RCSA and right ES RCSA with TK (both P<0.05) (Table V).

Table V

Correlation analysis between the paravertebral muscle parameters and spinal-pelvic parameters in patients with DLSS .

Table V

Correlation analysis between the paravertebral muscle parameters and spinal-pelvic parameters in patients with DLSS .

 SVATKLLPIPTSS
IndicatorL4-5L5-S1L4-5L5-S1L4-5L5-S1L4-5L5-S1L4-5L5-S1L4-5L5-S1
MF-FIR, %            
     Right-0.087-0.2520.000-0.210.0820.1890.2380.1400.077-0.1050.294-0.091
     Left-0.0750.231-0.0560.2450.000-0.035-0.3090.357-0.3720.336-0.054-0.315
ES-FIR, %            
     Right0.346-0.021-0.536a0.392-0.4110. 2240.172-0.2520.0990.1330.304-0.063
     Left0.054-0.14-0.4560.371-0.2720.5660.119-0.1330.0910.1190.2160.329
MF-RCSA, %            
     Right0.2970.3080.1210.685a0.156-0.252-0.241-0.35-0.3760.2450.1180.308
     Left-0.224-0.2170.502a-0.3290.300-0.0280.021-0.266-0.1460.098-0.0230.175
ES-RCSA, %            
     Right0.126-0.0280.1820.615a0.1 74-0.112-0.097-0.203-0.374-0.0420.0770.343
     Left-0.504a-0.1680.3930.1540.1 50-0.056-0.1860.231-0.044-0.238-0.2000.105
Upper vertebral body CSA, mm2-0.103-0.0980.097-0.315-0.044-0.252-0.009-0.3430.262-0.035-0.118-0.434

[i] aP<0.05. MF, multifidus; ES, erector spinae; FIR, fatty infiltration ratio; CSA, cross-sectional area; RCSA, relative CSA; DLSS, degenerative lumbar spinal stenosis; LL, lumbar lordosis; TK, thoracic kyphosis; PT, pelvic tilt; SS, sacral slope; PI, pelvic incidence; SVA, sagittal vertical axis.

Discussion

DLSS is affected by spine-pelvis sagittal imbalances since the beginning and during the progression and outcome of the disease. The study of the relationship between DLSS and spine-pelvis sagittal imbalances is important for the prediction of the occurrence, development, prognosis, improvement and therapeutic management of the condition. A previous study demonstrated that spinal-pelvic sagittal balance should satisfy the following values: SVA <40 mm; PI-LL <10˚ and PT <20˚ (17). The quality of life scores of the patients were higher when SVA was <50 mm. However, when SVA was ≥50 mm, patients exhibited severe clinical symptoms, and quality of life scores also decreased notably. Thus, SVA ≥50 mm was considered indicative of spinopelvic sagittal imbalance. In the present study, patients with DLSS had an SVA value of >50 mm (64.10±34.40 mm), a PI-LL value of >10˚ (11.91˚±16.17˚) and a PT value of >20˚ (22.02˚±7.27˚), thus, indicating significant sagittal imbalance. This was inconsistent with Lim and Kim (18) who obtained normal PI values and favorable spinal-pelvic sagittal balance in patients with DLSS during comparative analysis of spinal-pelvic sagittal balance parameters between degenerative spondylolisthesis and patients with DLSS, possibly due to ethnic differences and differing lifestyles. The present study also observed that patients with DLSS had a larger PI. Amongst the sagittal parameters, PI is of special interest. Mac-Thiong et al (19) identified that PI values were constant after skeletal development was completed in each person and that they did not change the posture in the receptor position. In the present study, the patient group had a larger PI value, indicating that a larger PI value may be one of the risk factors for DLSS.

In the present study, it was also revealed that patients with DLSS had a larger SVA, PT, PI and smaller LL than the control group, which was consistent with the study conducted by Barrey et al (20), and again demonstrated that patients with DLSS are likely to exhibit sagittal imbalances. Three bulges of the human spine, cervical anterior, and TK, can be clearly observed from lateral radiographs of the whole spine in normal population, and these are associated with the pelvis through LL. The lumbar spine is the link between the spine and the pelvis, and the imbalance of the spine in the sagittal position eventually affects the changes in pelvic parameters through the conduction of LL, thus, it is important to maintain the balance of the spinopelvic LL in the sagittal plane. Based on the results of the present study, LL was decreased compared with the healthy individuals; if LL is smaller, the physiological curvature of the lumbar spine is straighter in patients, which is reflected in the body posture by significant anteversion and forward movement of the center of gravity; the body has to compensate for pelvic retroversion in order to correct this posture, thus PT is increased. The physiological curvature of the lumbar spine disappears, the lumbar regions bear more burden from the body, and degeneration of the lumbar spine, facet joint hyperplasia, and ligamentum flavum hypertrophy occur over time. The results of the present study highlight certain avenues for future surgical treatment of DLSS, and surgery should not only decompress the spinal canal at the affected level, but also appropriately correct the imbalances in the sagittal position.

The psoas major muscle (PS) of the anterior group and MF and ES of the posterior group in the paravertebral muscles are often referred to as spinal dynamic stabilizers (21,22). PS maintains lumbar anteversion and curvature (23), MF aids rotational motion of the lumbar spine (24), and ES participates in lumbar flexion and extension (25). A previous study demonstrated that PS shows no obvious signs of fatty infiltration in either normal subjects or patients with lower back pain (26), thus, only MF and ES for FIR and RCSA were measured and compared. Paravertebral muscle degeneration, including decreased muscle fibers and increased fatty infiltration, is associated with the development and progression of a variety of lumbar diseases and the development of postoperative complications (9,27). The physiological function of an individual muscle is reflected in muscle CSA and density (28). Denervation and disuse decrease muscle CSA while increased fatty infiltration decreases muscle density (29). In the present study, it was identified that the right MF FIR was significantly higher in patients with DLSS than in ipsilateral controls, which is consistent with the findings of Lee et al (30) who exhibited a significantly higher degree of fatty infiltration in the paravertebral muscles of patients with spinal degeneration than in healthy subjects. Within muscle per unit area, the higher the degree of fat infiltration, the fewer the muscle fibers, and the lower the muscle strength. The maintenance of lumbar stability is inseparable from the action of paravertebral muscles. When the muscle strength decreases to a point where the muscle is insufficient to maintain lumbar stability, pain and discomfort are experienced in the lumbar region. Lower back pain was the primary symptom in 70% of the cases included in the present study. It was also observed that at the L4-5 group, the right MF FIR in patients with DLSS was higher than that in the contralateral side, indicating that the right MF muscle strength was lower than that in the left side, which is similar to the results of Jiang et al (16). However, Shafaq et al (31) revealed in their study that there were no significant differences in the CSA of bilateral MF and the degree of fat infiltration in patients with DLSS alone. Thus, it was hypothesized by the authors of the present study that when there is a different degree of fatty infiltration in the left and right lumbar muscles, the strength of the muscles on both sides is inconsistent, and this will result in significant left and right tilt in the lumbar region, followed by scoliosis and coronal imbalance. A total of 33 patients who were included in the present study, exhibited significant scoliosis on admission. A retrospective study observed that both DLSS (L4-5) and degenerative spondylolisthesis (L4-5) patients had a smaller PS CSA, MF CSA, and ES CSA at the lower edge of L3, L4, and L5 vertebral bodies than in the controls. However, the CSA studied failed to exclude deviations caused by individual body size. In the present study, the RCSA was calculated using an adjusted calculation method described by Urrutia et al (29), thus, eliminating the effect of individual differences on the results. However, no significant difference in RCSA was identified between the patient group and the control group, indicating that the degeneration of the paravertebral muscles was primarily due to fatty infiltration, and the RCSA of the muscles did not change notably. Patients with DLSS exhibited a greater degree of severe paravertebral muscle degeneration (greater degree of fatty infiltration), and lower functional scores (32,33). The results of the present study also demonstrated that right and left MF RCSA were significantly lower than ipsilateral ES RCSA at L4-5, while right and left MF RCSA was significantly higher than ipsilateral ES RCSA at L5-S1 in both patients with DLSS and controls, and this finding may be associated with natural morphological changes in human MF and ES. Fortin et al (33) observed similar results in their study.

A previous study revealed that standardized exercise of the paravertebral muscles slowed the progression of DLSS (34). The early symptoms of discomfort in patients with DLSS can be relieved by exercising the lower back muscles, using acupuncture, massaging, and other traditional Chinese medicine treatment methods to relieve paravertebral muscle fatigue, with small swallow fly and other movements to strengthen the strength of the core muscle groups in the lower back. Preoperative exercise of the lower back muscles can reduce the early clinical symptoms of patients with DLSS and the frequency of the disease. Postoperative exercises of the lower back muscles can improve the prognosis and improve the quality of life of patients. Notably, exercising the lower back muscles improves lumbar degenerative diseases, whilst healthy individuals should also strengthen the lower back muscles to prevent the occurrence of lumbar degenerative diseases.

The relationship between spinal-pelvic sagittal imbalance and paravertebral muscle degeneration has become a research hotspot in recent years. The results of the present study showed that the ratio of fat infiltration in the right ES FIR was negatively associated with TK in patients with DLSS at L4-5, similar to that observed by Jun et al (35), in which imaging data from 50 elderly patients were analyzed. They concluded that paravertebral muscle FIR was associated with TK. Thus, the imbalance in the sagittal position of the body (increased TK) requires greater muscle strength to correct, and greater muscle strength can only be demonstrated when the muscle FIR is smaller. Hiyama et al (36) detected that the mean CSAs of PS at L4 and L5 were negatively associated with PT by analyzing data from 140 patients with DLSS. Although PS was not studied in detail, MF RCSA and ES RCSA were identified to be positively associated with TK in patients with DLSS patients in the present study. When the lower lumbar spine loses its physiological curvature, LL becomes smaller, the body shows significant anteversion, the center of gravity moves forward, SVA and TK increase in order to maintain the overall balance of the body in the sagittal position, the pelvis compensates for retroversion. However, the pelvic retroversion is controlled by the paravertebral muscles, and the strength producing ability of the muscles is related to their physical size, and greater muscle strength is required to ensure the stability of the lumbar spine. Thus, when TK increases, the lower lumbar spine requires a larger RCSA. Overall, to the best of the authors' knowledge, there are no studies investigating the relationship between spinal-pelvic sagittal imbalance and paravertebral muscle degeneration in patients with DLSS, and it is expected that the results obtained in the present study will highlight novel avenues for the improvement of the clinical basis for the treatment of DLSS.

The present study has several limitations. Due to the slow onset and long course of DLSS, the majority of patients opt for conservative treatment to manage the symptoms. However, surgical treatment is usually required for multi-segmental spinal stenosis. Therefore, fewer patients with single-level spinal stenosis were enrolled in the present study, and subsequent studies should include more cases and consider each type of DLSS. A complete study would include simple to complex DLSS. Through the results of the present study, the general path of the occurrence and development of DLSS was determined. However, treatment could not be performed based on a single aspect, and other factors related to DLSS are key to treatment. When the patient is determined to have surgical treatment, the patient should be informed of the correct way to perform lumbar and dorsal muscle exercises, and initiate these exercises sometime before the operation. In order to increase the chances of rapid postoperative recovery, the patients should continue to perform long-term postoperative lumbar and dorsal muscle exercises to strengthen the rehabilitation effect. The correction of the sagittal position line and lumbodorsal muscle fat removal are the two aspects of fusion treatment, which may result in an improved rehabilitation effect. However, the relationship between the start time of preoperative lumbar and dorsal muscle exercises and the time of elective surgery needs to be determined. Under the premise of ensuring no delay in treatment, preoperative lumbar and dorsal muscle exercise should be assisted to increase the chances of a quicker recovery and fine treatment of single-stage/multi-stage spinal stenosis.

In conclusion, FIR and RCSA in the paraspinal muscles of patients with DLSS were associated with TK. Therefore, a comprehensive assessment of the individual differences in performance is necessary for the prevention and treatment of DLSS. For patients requiring surgical treatment, a detailed surgical plan should be developed prior to surgery. The correction angle of the spinal and pelvic-related parameters is critical, and reasonable post-operative core muscle exercises are particularly important.

Acknowledgements

Not applicable.

Funding

Funding: The present study was supported by the Inner Mongolia Autonomous Region Health Science and Technology Program (grant no. 202202376) and the Ordos City Science and Technology Program Project.

Availability of data and materials

All data generated or analyzed during this study are included in this published article.

Authors' contributions

KZ and WY prepared and revised the manuscript, KZ and TB contributed to the collection and analysis of the data. KZ and TB confirm the authenticity of all the raw data. CW, BX, TW, FG, QZ, HL, XT, TZ and GG contributed to the collection and classification of the data. YW and WY designed and supervised the overall research and revised the manuscript. All authors have read and approved the final version of the manuscript.

Ethics approval and consent to participate

All methods were carried out in accordance with the relevant guidelines and regulations. All experimental protocols were approved by the Ethics Committee of Ordos Central Hospital, Inner Mongolia Medical University (Ordos, China; approval no. 2022-012). Informed consent was obtained from all subjects and/or their legal guardians for the present study.

Patient consent for publication

Not applicable.

Competing interests

The authors declare that they have no competing interests.

References

1 

Xu C, Zhang Y, Dong M, Wu H, Yu W, Tian Y, Cao P, Chen H, Wang X, Shen X, et al: The relationship between preoperative cervical sagittal balance and clinical outcome of laminoplasty treated cervical ossification of the posterior longitudinal ligament patients. Spine J. 20:1422–1429. 2020.PubMed/NCBI View Article : Google Scholar

2 

Kreiner DS, Baisden J, Mazanec DJ, Patel RD, Bess RS, Burton D, Chutkan NB, Cohen BA, Crawford CH 3rd, Ghiselli G, et al: Guideline summary review: An evidence-based clinical guideline for the diagnosis and treatment of adult isthmic spondylolisthesis. Spine J. 16:1478–1485. 2016.PubMed/NCBI View Article : Google Scholar

3 

Aizenshtein A, Kachel E, Liza GR, Hijazi B and Blum A: Effects of preoperative WBC count on post-CABG surgery clinical outcome. South Med J. 113:305–310. 2020.PubMed/NCBI View Article : Google Scholar

4 

Dubousset J: Three-dimentional analysis of the scoliotic deformity. The Pediatric Spine: Principles and Practice 1994.

5 

Panjabi MM: The stabilizing system of the spine. Part I. Function, dysfunction, adaptation, and enhancement. J Spinal Disord. 5:383–389. 1992.PubMed/NCBI View Article : Google Scholar

6 

Ogon I, Takebayashi T, Takashima H, Morita T, Yoshimoto M, Terashima Y and Yamashita T: Magnetic resonance spectroscopic analysis of multifidus muscles lipid content and association with spinopelvic malalignment in chronic low back pain. Br J Radiol. 90(20160753)2017.PubMed/NCBI View Article : Google Scholar

7 

Sun D, Liu P, Cheng J, Ma Z, Liu J and Qin T: Correlation between intervertebral disc degeneration, paraspinal muscle atrophy, and lumbar facet joints degeneration in patients with lumbar disc herniation. BMC Musculoskelet Disord. 18(167)2017.PubMed/NCBI View Article : Google Scholar

8 

Hyun SJ, Kim YJ and Rhim SC: Patients with proximal junctional kyphosis after stopping at thoracolumbar junction have lower muscularity, fatty degeneration at the thoracolumbar area. Spine J. 16:1095–1101. 2016.PubMed/NCBI View Article : Google Scholar

9 

Kalichman L, Hodges P, Li L, Guermazi A and Hunter DJ: Changes in paraspinal muscles and their association with low back pain and spinal degeneration: CT study. Eur Spine J. 19:1136–1144. 2010.PubMed/NCBI View Article : Google Scholar

10 

Vives MJ: The paraspinal muscles and their role in the maintenance of global spinal alignment. Another wrinkle in an already complex problem. Spine J. 16:459–461. 2016.PubMed/NCBI View Article : Google Scholar

11 

Suh DW, Kim Y, Lee M, Lee S, Park SJ and Yoon B: Reliability of histographic analysis for paraspinal muscle degeneration in patients with unilateral back pain using magnetic resonance imaging. J Back Musculoskelet Rehabil. 30:403–412. 2017.PubMed/NCBI View Article : Google Scholar

12 

Ravindra VM, Senglaub SS, Rattani A, Dewan MC, Härtl R, Bisson E, Park KB and Shrime MG: Degenerative lumbar spine disease: Estimating global incidence and worldwide volume. Global Spine J. 8:784–794. 2018.PubMed/NCBI View Article : Google Scholar

13 

Pratali RR, Battisti R, Oliveira C, Maranho DAC and Herrero C: Correlation between the severity of the lumbar degenerative disease and sagittal spinopelvic alignment. Rev Bras Ortop (Sao Paulo). 57:41–46. 2022.PubMed/NCBI View Article : Google Scholar

14 

Lafage R, Ferrero E, Henry JK, Challier V, Diebo B, Liabaud B, Lafage V and Schwab F: Validation of a new computer-assisted tool to measure spino-pelvic parameters. Spine J. 15:2493–2502. 2015.PubMed/NCBI View Article : Google Scholar

15 

Fortin M and Battié MC: Quantitative paraspinal muscle measurements: inter-software reliability and agreement using OsiriX and ImageJ. Phys Ther. 92:853–864. 2012.PubMed/NCBI View Article : Google Scholar

16 

Jiang J, Wang H, Wang L, Zhang B, Guo Q, Yuan W and Lu X: Multifidus degeneration, a new risk factor for lumbar spinal stenosis: A case-control study. World Neurosurg. 99:226–231. 2017.PubMed/NCBI View Article : Google Scholar

17 

Schwab F, Patel A, Ungar B, Farcy JP and Lafage V: Adult spinal deformity-postoperative standing imbalance: how much can you tolerate? An overview of key parameters in assessing alignment and planning corrective surgery. Spine (Phila Pa 1976). 35:2224–2231. 2010.PubMed/NCBI View Article : Google Scholar

18 

Lim JK and Kim SM: Comparison of sagittal spinopelvic alignment between lumbar degenerative spondylolisthesis and degenerative spinal stenosis. J Korean Neurosurg Soc. 55:331–336. 2014.PubMed/NCBI View Article : Google Scholar

19 

Mac-Thiong JM, Labelle H and Roussouly P: Pediatric sagittal alignment. Eur Spine J. 20 (Suppl 5):S586–S590. 2011.PubMed/NCBI View Article : Google Scholar

20 

Barrey C, Jund J, Noseda O and Roussouly P: Sagittal balance of the pelvis-spine complex and lumbar degenerative diseases. A comparative study about 85 cases. Eur Spine J. 16:1459–1467. 2007.PubMed/NCBI View Article : Google Scholar

21 

Freeman MD, Woodham MA and Woodham AW: The role of the lumbar multifidus in chronic low back pain: A review. PM R. 2:142–146. 2010.PubMed/NCBI View Article : Google Scholar

22 

Wagner H, Anders Ch, Puta Ch, Petrovitch A, Mörl F, Schilling N, Witte H and Blickhan R: Musculoskeletal support of lumbar spine stability. Pathophysiology. 12:257–265. 2005.PubMed/NCBI View Article : Google Scholar

23 

Regev GJ, Kim CW, Tomiya A, Lee YP, Ghofrani H, Garfin SR, Lieber RL and Ward SR: Psoas muscle architectural design, in vivo sarcomere length range, and passive tensile properties support its role as a lumbar spine stabilizer. Spine (Phila Pa 1976). 36:E1666–E1674. 2011.PubMed/NCBI View Article : Google Scholar

24 

Andersson EA, Grundström H and Thorstensson A: Diverging intramuscular activity patterns in back and abdominal muscles during trunk rotation. Spine (Phila Pa 1976). 27:E152–E160. 2002.PubMed/NCBI View Article : Google Scholar

25 

Ng JK, Richardson CA and Jull GA: Electromyographic amplitude and frequency changes in the iliocostalis lumborum and multifidus muscles during a trunk holding test. Phys Ther. 77:954–961. 1997.PubMed/NCBI View Article : Google Scholar

26 

Ropponen A, Videman T and Battié MC: The reliability of paraspinal muscles composition measurements using routine spine MRI and their association with back function. Man Ther. 13:349–356. 2008.PubMed/NCBI View Article : Google Scholar

27 

Buckinx F, Reginster JY, Dardenne N, Croisiser JL, Kaux JF, Beaudart C, Slomian J and Bruyère O: Concordance between muscle mass assessed by bioelectrical impedance analysis and by dual energy X-ray absorptiometry: A cross-sectional study. BMC Musculoskelet Disord. 16(60)2015.PubMed/NCBI View Article : Google Scholar

28 

Hicks GE, Simonsick EM, Harris TB, Newman AB, Weiner DK, Nevitt MA and Tylavsky FA: Cross-sectional associations between trunk muscle composition, back pain, and physical function in the health, aging and body composition study. J Gerontol A Biol Sci Med Sci. 60:882–887. 2005.PubMed/NCBI View Article : Google Scholar

29 

Urrutia J, Besa P, Lobos D, Campos M, Arrieta C, Andia M and Uribe S: Lumbar paraspinal muscle fat infiltration is independently associated with sex, age, and inter-vertebral disc degeneration in symptomatic patients. Skeletal Radiol. 47:955–961. 2018.PubMed/NCBI View Article : Google Scholar

30 

Lee JC, Cha JG, Kim Y, Kim YI and Shin BJ: Quantitative analysis of back muscle degeneration in the patients with the degenerative lumbar flat back using a digital image analysis: Comparison with the normal controls. Spine (Phila Pa 1976). 33:318–325. 2008.PubMed/NCBI View Article : Google Scholar

31 

Shafaq N, Suzuki A, Matsumura A, Terai H, Toyoda H, Yasuda H, Ibrahim M and Nakamura H: Asymmetric degeneration of paravertebral muscles in patients with degenerative lumbar scoliosis. Spine (Phila Pa 1976). 37:1398–1406. 2012.PubMed/NCBI View Article : Google Scholar

32 

Fortin M, Omidyeganeh M, Battié MC, Ahmad O and Rivaz H: Evaluation of an automated thresholding algorithm for the quantification of paraspinal muscle composition from MRI images. Biomed Eng Online. 16(61)2017.PubMed/NCBI View Article : Google Scholar

33 

Fortin M, Lazáry À, Varga PP, McCall I and Battié MC: Paraspinal muscle asymmetry and fat infiltration in patients with symptomatic disc herniation. Eur Spine J. 25:1452–1459. 2016.PubMed/NCBI View Article : Google Scholar

34 

Fritz JM, Lurie JD, Zhao W, Whitman JM, Delitto A, Brennan GP and Weinstein JN: Associations between physical therapy and long-term outcomes for individuals with lumbar spinal stenosis in the SPORT study. Spine J. 14:1611–1621. 2014.PubMed/NCBI View Article : Google Scholar

35 

Jun HS, Kim JH, Ahn JH, Chang IB, Song JH, Kim TH, Park MS, Chan Kim Y, Kim SW, Oh JK and Yoon DH: The effect of lumbar spinal muscle on spinal sagittal alignment: Evaluating muscle quantity and quality. Neurosurgery. 79:847–855. 2016.PubMed/NCBI View Article : Google Scholar

36 

Hiyama A, Katoh H, Sakai D, Tanaka M, Sato M and Watanabe M: The correlation analysis between sagittal alignment and cross-sectional area of paraspinal muscle in patients with lumbar spinal stenosis and degenerative spondylolisthesis. BMC Musculoskelet Disord. 20(352)2019.PubMed/NCBI View Article : Google Scholar

Related Articles

  • Abstract
  • View
  • Download
  • Twitter
Copy and paste a formatted citation
Spandidos Publications style
Zhao K, Bao T, Yang W, Wang C, Wang Y, Wang T, Xiao B, Zhang Q, Gao F, Liu H, Liu H, et al: Spinal‑pelvic sagittal imbalance and paraspinal muscle degeneration in patients with degenerative lumbar spinal stenosis: A monocentric, prospective and observational study. Exp Ther Med 26: 479, 2023.
APA
Zhao, K., Bao, T., Yang, W., Wang, C., Wang, Y., Wang, T. ... Zhang, T. (2023). Spinal‑pelvic sagittal imbalance and paraspinal muscle degeneration in patients with degenerative lumbar spinal stenosis: A monocentric, prospective and observational study. Experimental and Therapeutic Medicine, 26, 479. https://doi.org/10.3892/etm.2023.12178
MLA
Zhao, K., Bao, T., Yang, W., Wang, C., Wang, Y., Wang, T., Xiao, B., Zhang, Q., Gao, F., Liu, H., Tao, X., Gao, G., Zhang, T."Spinal‑pelvic sagittal imbalance and paraspinal muscle degeneration in patients with degenerative lumbar spinal stenosis: A monocentric, prospective and observational study". Experimental and Therapeutic Medicine 26.4 (2023): 479.
Chicago
Zhao, K., Bao, T., Yang, W., Wang, C., Wang, Y., Wang, T., Xiao, B., Zhang, Q., Gao, F., Liu, H., Tao, X., Gao, G., Zhang, T."Spinal‑pelvic sagittal imbalance and paraspinal muscle degeneration in patients with degenerative lumbar spinal stenosis: A monocentric, prospective and observational study". Experimental and Therapeutic Medicine 26, no. 4 (2023): 479. https://doi.org/10.3892/etm.2023.12178
Copy and paste a formatted citation
x
Spandidos Publications style
Zhao K, Bao T, Yang W, Wang C, Wang Y, Wang T, Xiao B, Zhang Q, Gao F, Liu H, Liu H, et al: Spinal‑pelvic sagittal imbalance and paraspinal muscle degeneration in patients with degenerative lumbar spinal stenosis: A monocentric, prospective and observational study. Exp Ther Med 26: 479, 2023.
APA
Zhao, K., Bao, T., Yang, W., Wang, C., Wang, Y., Wang, T. ... Zhang, T. (2023). Spinal‑pelvic sagittal imbalance and paraspinal muscle degeneration in patients with degenerative lumbar spinal stenosis: A monocentric, prospective and observational study. Experimental and Therapeutic Medicine, 26, 479. https://doi.org/10.3892/etm.2023.12178
MLA
Zhao, K., Bao, T., Yang, W., Wang, C., Wang, Y., Wang, T., Xiao, B., Zhang, Q., Gao, F., Liu, H., Tao, X., Gao, G., Zhang, T."Spinal‑pelvic sagittal imbalance and paraspinal muscle degeneration in patients with degenerative lumbar spinal stenosis: A monocentric, prospective and observational study". Experimental and Therapeutic Medicine 26.4 (2023): 479.
Chicago
Zhao, K., Bao, T., Yang, W., Wang, C., Wang, Y., Wang, T., Xiao, B., Zhang, Q., Gao, F., Liu, H., Tao, X., Gao, G., Zhang, T."Spinal‑pelvic sagittal imbalance and paraspinal muscle degeneration in patients with degenerative lumbar spinal stenosis: A monocentric, prospective and observational study". Experimental and Therapeutic Medicine 26, no. 4 (2023): 479. https://doi.org/10.3892/etm.2023.12178
Follow us
  • Twitter
  • LinkedIn
  • Facebook
About
  • Spandidos Publications
  • Careers
  • Cookie Policy
  • Privacy Policy
How can we help?
  • Help
  • Live Chat
  • Contact
  • Email to our Support Team