Spandidos Publications Logo
  • About
    • About Spandidos
    • Aims and Scopes
    • Abstracting and Indexing
    • Editorial Policies
    • Reprints and Permissions
    • Job Opportunities
    • Terms and Conditions
    • Contact
  • Journals
    • All Journals
    • Oncology Letters
      • Oncology Letters
      • Information for Authors
      • Editorial Policies
      • Editorial Board
      • Aims and Scope
      • Abstracting and Indexing
      • Bibliographic Information
      • Archive
    • International Journal of Oncology
      • International Journal of Oncology
      • Information for Authors
      • Editorial Policies
      • Editorial Board
      • Aims and Scope
      • Abstracting and Indexing
      • Bibliographic Information
      • Archive
    • Molecular and Clinical Oncology
      • Molecular and Clinical Oncology
      • Information for Authors
      • Editorial Policies
      • Editorial Board
      • Aims and Scope
      • Abstracting and Indexing
      • Bibliographic Information
      • Archive
    • Experimental and Therapeutic Medicine
      • Experimental and Therapeutic Medicine
      • Information for Authors
      • Editorial Policies
      • Editorial Board
      • Aims and Scope
      • Abstracting and Indexing
      • Bibliographic Information
      • Archive
    • International Journal of Molecular Medicine
      • International Journal of Molecular Medicine
      • Information for Authors
      • Editorial Policies
      • Editorial Board
      • Aims and Scope
      • Abstracting and Indexing
      • Bibliographic Information
      • Archive
    • Biomedical Reports
      • Biomedical Reports
      • Information for Authors
      • Editorial Policies
      • Editorial Board
      • Aims and Scope
      • Abstracting and Indexing
      • Bibliographic Information
      • Archive
    • Oncology Reports
      • Oncology Reports
      • Information for Authors
      • Editorial Policies
      • Editorial Board
      • Aims and Scope
      • Abstracting and Indexing
      • Bibliographic Information
      • Archive
    • Molecular Medicine Reports
      • Molecular Medicine Reports
      • Information for Authors
      • Editorial Policies
      • Editorial Board
      • Aims and Scope
      • Abstracting and Indexing
      • Bibliographic Information
      • Archive
    • World Academy of Sciences Journal
      • World Academy of Sciences Journal
      • Information for Authors
      • Editorial Policies
      • Editorial Board
      • Aims and Scope
      • Abstracting and Indexing
      • Bibliographic Information
      • Archive
    • International Journal of Functional Nutrition
      • International Journal of Functional Nutrition
      • Information for Authors
      • Editorial Policies
      • Editorial Board
      • Aims and Scope
      • Abstracting and Indexing
      • Bibliographic Information
      • Archive
    • International Journal of Epigenetics
      • International Journal of Epigenetics
      • Information for Authors
      • Editorial Policies
      • Editorial Board
      • Aims and Scope
      • Abstracting and Indexing
      • Bibliographic Information
      • Archive
    • Medicine International
      • Medicine International
      • Information for Authors
      • Editorial Policies
      • Editorial Board
      • Aims and Scope
      • Abstracting and Indexing
      • Bibliographic Information
      • Archive
  • Articles
  • Information
    • Information for Authors
    • Information for Reviewers
    • Information for Librarians
    • Information for Advertisers
    • Conferences
  • Language Editing
Spandidos Publications Logo
  • About
    • About Spandidos
    • Aims and Scopes
    • Abstracting and Indexing
    • Editorial Policies
    • Reprints and Permissions
    • Job Opportunities
    • Terms and Conditions
    • Contact
  • Journals
    • All Journals
    • Biomedical Reports
      • Information for Authors
      • Editorial Policies
      • Editorial Board
      • Aims and Scope
      • Abstracting and Indexing
      • Bibliographic Information
      • Archive
    • Experimental and Therapeutic Medicine
      • Information for Authors
      • Editorial Policies
      • Editorial Board
      • Aims and Scope
      • Abstracting and Indexing
      • Bibliographic Information
      • Archive
    • International Journal of Epigenetics
      • Information for Authors
      • Editorial Policies
      • Editorial Board
      • Aims and Scope
      • Abstracting and Indexing
      • Bibliographic Information
      • Archive
    • International Journal of Functional Nutrition
      • Information for Authors
      • Editorial Policies
      • Editorial Board
      • Aims and Scope
      • Abstracting and Indexing
      • Bibliographic Information
      • Archive
    • International Journal of Molecular Medicine
      • Information for Authors
      • Editorial Policies
      • Editorial Board
      • Aims and Scope
      • Abstracting and Indexing
      • Bibliographic Information
      • Archive
    • International Journal of Oncology
      • Information for Authors
      • Editorial Policies
      • Editorial Board
      • Aims and Scope
      • Abstracting and Indexing
      • Bibliographic Information
      • Archive
    • Medicine International
      • Information for Authors
      • Editorial Policies
      • Editorial Board
      • Aims and Scope
      • Abstracting and Indexing
      • Bibliographic Information
      • Archive
    • Molecular and Clinical Oncology
      • Information for Authors
      • Editorial Policies
      • Editorial Board
      • Aims and Scope
      • Abstracting and Indexing
      • Bibliographic Information
      • Archive
    • Molecular Medicine Reports
      • Information for Authors
      • Editorial Policies
      • Editorial Board
      • Aims and Scope
      • Abstracting and Indexing
      • Bibliographic Information
      • Archive
    • Oncology Letters
      • Information for Authors
      • Editorial Policies
      • Editorial Board
      • Aims and Scope
      • Abstracting and Indexing
      • Bibliographic Information
      • Archive
    • Oncology Reports
      • Information for Authors
      • Editorial Policies
      • Editorial Board
      • Aims and Scope
      • Abstracting and Indexing
      • Bibliographic Information
      • Archive
    • World Academy of Sciences Journal
      • Information for Authors
      • Editorial Policies
      • Editorial Board
      • Aims and Scope
      • Abstracting and Indexing
      • Bibliographic Information
      • Archive
  • Articles
  • Information
    • For Authors
    • For Reviewers
    • For Librarians
    • For Advertisers
    • Conferences
  • Language Editing
Login Register Submit
  • This site uses cookies
  • You can change your cookie settings at any time by following the instructions in our Cookie Policy. To find out more, you may read our Privacy Policy.

    I agree
Search articles by DOI, keyword, author or affiliation
Search
Advanced Search
presentation
Experimental and Therapeutic Medicine
Join Editorial Board Propose a Special Issue
Print ISSN: 1792-0981 Online ISSN: 1792-1015
Journal Cover
October-2023 Volume 26 Issue 4

Full Size Image

Sign up for eToc alerts
Recommend to Library

Journals

International Journal of Molecular Medicine

International Journal of Molecular Medicine

International Journal of Molecular Medicine is an international journal devoted to molecular mechanisms of human disease.

International Journal of Oncology

International Journal of Oncology

International Journal of Oncology is an international journal devoted to oncology research and cancer treatment.

Molecular Medicine Reports

Molecular Medicine Reports

Covers molecular medicine topics such as pharmacology, pathology, genetics, neuroscience, infectious diseases, molecular cardiology, and molecular surgery.

Oncology Reports

Oncology Reports

Oncology Reports is an international journal devoted to fundamental and applied research in Oncology.

Experimental and Therapeutic Medicine

Experimental and Therapeutic Medicine

Experimental and Therapeutic Medicine is an international journal devoted to laboratory and clinical medicine.

Oncology Letters

Oncology Letters

Oncology Letters is an international journal devoted to Experimental and Clinical Oncology.

Biomedical Reports

Biomedical Reports

Explores a wide range of biological and medical fields, including pharmacology, genetics, microbiology, neuroscience, and molecular cardiology.

Molecular and Clinical Oncology

Molecular and Clinical Oncology

International journal addressing all aspects of oncology research, from tumorigenesis and oncogenes to chemotherapy and metastasis.

World Academy of Sciences Journal

World Academy of Sciences Journal

Multidisciplinary open-access journal spanning biochemistry, genetics, neuroscience, environmental health, and synthetic biology.

International Journal of Functional Nutrition

International Journal of Functional Nutrition

Open-access journal combining biochemistry, pharmacology, immunology, and genetics to advance health through functional nutrition.

International Journal of Epigenetics

International Journal of Epigenetics

Publishes open-access research on using epigenetics to advance understanding and treatment of human disease.

Medicine International

Medicine International

An International Open Access Journal Devoted to General Medicine.

Journal Cover
October-2023 Volume 26 Issue 4

Full Size Image

Sign up for eToc alerts
Recommend to Library

  • Article
  • Citations
    • Cite This Article
    • Download Citation
    • Create Citation Alert
    • Remove Citation Alert
    • Cited By
  • Similar Articles
    • Related Articles (in Spandidos Publications)
    • Similar Articles (Google Scholar)
    • Similar Articles (PubMed)
  • Download PDF
  • Download XML
  • View XML
Article

Comparison of the clinical efficacy of three cannulated screws with parallel distribution and inverted triangular distribution in the treatment of femoral neck fractures in the elderly

  • Authors:
    • Jiuxiang Liu
    • Qiang Zuo
    • Hao Zhou
    • Xiaowen Huang
  • View Affiliations / Copyright

    Affiliations: Department of Orthopedics, The First Affiliated Hospital of Nanjing Medical University (Jiangsu Province Hospital), Nanjing, Jiangsu 210029, P.R. China
  • Article Number: 498
    |
    Published online on: September 6, 2023
       https://doi.org/10.3892/etm.2023.12197
  • Expand metrics +
Metrics: Total Views: 0 (Spandidos Publications: | PMC Statistics: )
Metrics: Total PDF Downloads: 0 (Spandidos Publications: | PMC Statistics: )
Cited By (CrossRef): 0 citations Loading Articles...

This article is mentioned in:



Abstract

The aim of the present study was to investigate the clinical efficacy of three cannulated screws with parallel distribution in comparison with the ‘gold standard’ of inverting three cannulated screws with triangular distribution, in the treatment of femoral neck fractures in the elderly. A total of 106 elderly patients with femoral neck fractures treated at the Department of Orthopedics of the First Affiliated Hospital of Nanjing Medical University (Jiangsu Provincial Hospital) from October 2018 to March 2020 were retrospectively analyzed and divided into groups A and B. Group A consisted of 51 patients with a mean age of 73.3±6.8 years; and group B consisted of 55 patients with a mean age of 74.5±7.3 years. Group A was treated with closed reduction + inverted triangular distribution of three cannulated screws, while group B was treated with closed reduction + parallel distribution of three cannulated screws, and the general surgical conditions, including fracture reduction quality, fracture healing, incidence of avascular necrosis of the femoral head, and functional recovery scale (FRS) score of hip joint function were assessed in both groups. All patients were followed up for an average of 14.8 months. Compared with group A, group B had significant advantages in operation time, number of times intraoperative fluoroscopy was performed, number of intraoperative guide wire adjustments, and proportion of postoperative referrals to the intensive care unit (P<0.05). There were no significant differences in fracture reduction quality, fracture healing, incidence of avascular necrosis of the femoral head, and FRS score of hip joint function between groups A and B (P>0.05). For elderly patients with femoral neck fractures, distributing three cannulated screws in parallel after closed reduction achieved similar clinical efficacy to ‘gold standard’ inverted triangular distribution, and had obvious advantages in operation time, with significantly reduced surgical difficulty. This procedure is therefore deemed worthy of promotion and clinical application in the primary hospitals of China.

Introduction

In recent years, with the aggravation of global aging, the incidence of hip fractures in the elderly is increasing year by year, and femoral neck fractures account for >50% of hip fractures (1,2). Conservative treatment of femoral neck fractures in the elderly has increased risk of complications and high mortality, which seriously affects the quality of life of patients. Although researchers all around the world have investigated femoral neck fractures in the elderly, the best surgical treatment is still a controversial topic in clinical practice (3-5). At present, the treatment of femoral neck fractures in the elderly is mainly divided into two categories: Internal fixation and artificial joint replacement (6-12). Most of the severely displaced Garden III-IV femoral neck fractures in the elderly are treated with hip replacement (6-8), but for nondisplaced Garden I-II and less displaced Garden III femoral neck fractures, internal fixation operation is still an important treatment, especially for elderly patients with a variety of medical diseases who cannot tolerate joint replacement (9,10). Although there are numerous types of internal fixation devices for internal fixation of femoral neck fractures, such as cannulated screw, dynamic hip screw (DHS) and femoral neck system (FNS), proximal femoral nail, and proximal femoral locking plate (11), cannulated screw internal fixation remains the most important surgical method in the certain areas of China, where economic development is limited. Three cannulated screws with inverted triangular distribution have become the ‘gold standard’ for cannulated screw treatment due to high biomechanical stability (12). However, there are drawbacks to this method, such as the inability to place the screws due to anatomically slender femoral necks, or the destruction of bone quality and blood supply, and longer operation time caused by repeated needle insertion during surgery in order to achieve three-point fixation of screws. Over the years, the First Affiliated Hospital of Nanjing Medical University (Jiangsu Province Hospital) (Nanjing, China), has used three cannulated screws with parallel distribution to treat femoral neck fractures in the elderly, and the clinical efficacy, as reported in the present study, is remarkable. The aim of the present study was to investigate the clinical efficacy of three cannulated screws with parallel distribution compared with the ‘gold standard’ of inverting three cannulated screws with triangular distribution in the treatment of femoral neck fractures in the elderly.

Materials and methods

Clinical data

Retrospective analysis was performed on patients with femoral neck fractures who visited the Orthopedic Arthropathy ward and Trauma ward of the First Affiliated Hospital of Nanjing Medical University (Jiangsu Provincial Hospital; Nanjing, China) from October 2018 to March 2020, and a total of 106 patients, including 38 male patients and 68 female patients with a mean age of 73.9±7.1 years, met the inclusion and exclusion criteria for this study. All patients were admitted to the Emergency Department of First Affiliated Hospital of Nanjing Medical University (Jiangsu Provincial Hospital) and were routinely included in the fast track for hip fractures in the elderly, with preoperative waiting times of <48 h. According to the distribution pattern of screws during surgery, the patients were divided into group A (control group, three cannulated screws with inverted triangular distribution) and group B (experimental group, three cannulated screws with parallel distribution). There were 51 patients in group A and 55 patients in group B. The medical complications of the 106 patients were as follows: 78 cases of cardiovascular diseases such as hypertension, coronary heart disease, PCI stent implantation for myocardial infarction, and mild to moderate heart failure; 63 cases of nervous system disorders such as lacunar infarction, mild cerebral infarction, and cerebral infarction sequelae; 48 cases of respiratory diseases such as chronic bronchitis, emphysema, and pulmonary heart disease; 56 cases of type 2 diabetes mellitus; 38 cases of digestive system diseases such as atrophic gastritis and gastrointestinal ulcers; and 19 cases of tumors. An in-depth inquiry into the medical history of the patients was performed, patients underwent an X-ray and hip CT examination and signed the operation consent form before surgery. There were no significant differences in general demographic data [sex, age, injured side, American Society of Anesthesiologists (ASA) grade, Garden type, fracture site, cause of injury, and Pauwels type] between groups A and B (P>0.05; Table I).

Table I

Comparison of baseline data between the two groups of patients with femoral neck fractures.

Table I

Comparison of baseline data between the two groups of patients with femoral neck fractures.

 SexSide ASA gradeGarden typeClassification of fracture siteCauses of injuryPauwels type
GroupNo. of subjectsMaleFemaleLeftRightAge (± s, years)IIIIIIVGrade IGrade IIGrade IIISubcapitalTranscervicalFallsAutomobile accidentIIIIII
Group A512031252673.3±6.8143161524122031411017286
Group B551837262974.5±7.3163451629101936431221304
T-value 0.4844 0.0323 -0.87390.7431  0.5356  0.2482 0.0786 0.7401  
P-value 0.486 0.857 0.3840.690  0.765  0.618 0.779 0.691  
Inclusion and exclusion criteria

The inclusion criteria were as follows: i) Patients diagnosed with unilateral subcapital or transcervical fresh femoral neck fracture; ii) aged >65 years; iii) nondisplaced Garden I-II or Garden III femoral neck fracture displaced within 5 mm; iv) admitted to the Emergency Department within 24 h after injury; v) underwent intraoperative closed reduction + three cannulated screws with inverted triangular distribution or parallel distribution; and vi) patients and their families were highly compliant and cooperated with treatment and follow-up. The exclusion criteria were as follows: i) Patients also diagnosed with severe cardiovascular and cerebrovascular diseases and other medical conditions or mental illness; ASA grade IV or above; with severe surgical contraindications, and unable to tolerate surgery; ii) patients also diagnosed with ipsilateral hip joint infection, tumors, rheumatic immune diseases, etc.; iii) patients with old, open or pathological fractures; iv) patients who had undergone previous ipsilateral hip operations; v) patients treated with other methods of internal fixation such as with DHS or FNS; and vi) patients and their families who did not cooperate with follow-up.

Treatment methods

Skin traction immobilization of the affected limb was applied and low molecular weight heparin anticoagulation was administered after admission. Complete preoperative relevant examinations were performed to regulate blood glucose and blood pressure and fast-track anesthesiology consultation for hip fracture was performed. Routine preoperative blood tests were performed and intensive care unit (ICU) beds were prepared for future use.

Surgery was completed within 48 h for patients in both groups. According to the ASA grade and the pre-existing diseases of the patients, different anesthesia methods such as general anesthesia, unilateral spinal anesthesia + fascia iliaca nerve block, fascia iliaca nerve block + local anesthesia were adopted. The patient was placed in supine position with the affected limb fixed on an orthopedic traction operating bed, and after the fracture end was unlocked, longitudinal traction, moderate adduction, and closed reduction with internal rotation were performed. The fracture reduction was monitored under C-arm fluoroscopy, with referral to the Garden reduction index. The bone was fixed in the corresponding position when both anteroposterior and lateral reductions were satisfactory. In order to reduce the times of subsequent intraoperative fluoroscopy, a 2.0-mm Kirschner wire (DePuy Synthes; Johnson & Johnson) was placed in front of the hip joint after successful reduction, parallel to the femoral neck and close to the femoral calcar, and after fluoroscopic localization, the placement of the Kirschner wire was adjusted to scribing for future use. In group A, the first guide wire (anteroposterior parallel femoral neck and close to the femoral calcar; lateral position pointing to the direction of the femoral head along the longitudinal axis of the femoral neck and located in the center of the femur) was placed first along the positioning line before disinfection under fluoroscopic localization. The second and third guide wires were placed anteroposteriorly and posteriorly of the lateral femoral wall, respectively, with three guide wires distributed in an inverted triangle, with wires of the second and third guide placed as close as possible to the anterior and posterior cortex of the femoral neck within a distance of 2-3 mm, making the cross-sectional area of the inverted triangle as large as possible. In group B, the first guide wire was placed in the same way, and then the second and third guide wires were placed in parallel at the ½ and upper 1/3 of the femoral neck, respectively. The second and third guide wires were parallel to the first guide wire in the anteroposterior position and were centered on the lateral femoral wall in the lateral position. A hole was then opened with a drill bit (DePuy Synthes; Johnson & Johnson), and the 7.3 mm diameter cannulated screws were placed, with the end of the cannulated screws reaching 5 mm below the subchondral bone of the femoral head to ensure that all threads passed the fracture line, adding additional spacers for some patients with severe osteoporosis. Three cannulated screws were gradually compressed separately to avoid fracture displacement during screw compression. Finally, fluoroscopy was performed again to confirm good fracture reduction and acceptable screw position and length. The hip was punctured aseptically to extract hemarthrosis, the wound was irrigated and then sutured. Patients in group A were operated on by senior directors including surgeons Dr Fang Jiahu and Dr Qin Xiaodong of the Department of Trauma and Orthopedics [the First Affiliated Hospital of Nanjing Medical University (Jiangsu Province Hospital)] and patients in group B were operated on by senior directors including surgeons Dr Liu Feng, Dr Cui Weiding and Dr Wan Bin of the Department of Joint Surgery [(the First Affiliated Hospital of Nanjing Medical University (Jiangsu Province Hospital)]. The present study was approved (approval no. 2019-SRFA-453) by the Ethics Committee of the First Affiliated Hospital of Nanjing Medical University. Informed consent was obtained from all patients or their families for participation in the present study. Consent for publication was also obtained from all the patients.

After surgery, the patients were treated with pain relief, anti-infection and anticoagulation therapies. On the second day after surgery, the patients could perform lower limb functional exercises in a sitting position. Full weight-bearing of the affected limb was avoided for three months, and gradual weight-bearing to full weight-bearing was performed with the help of a walking aid according to fracture healing during follow-up examinations. Patients in groups A and B visited the First Affiliated Hospital of Nanjing Medical University (Jiangsu Province Hospital) for regular follow-up examinations at 1, 2, 3, 6 and 12 months after surgery. At these follow-ups, anteroposterior and lateral hip radiographs (digital radiography equipment; Ysio Max Smart Speed MAX Platform; Siemens Healthineers) were performed and used to assess fracture healing, and a functional assessment of the hip joint was performed. Typical cases in both groups are shown in Figs. 1 and 2.

Figure 1

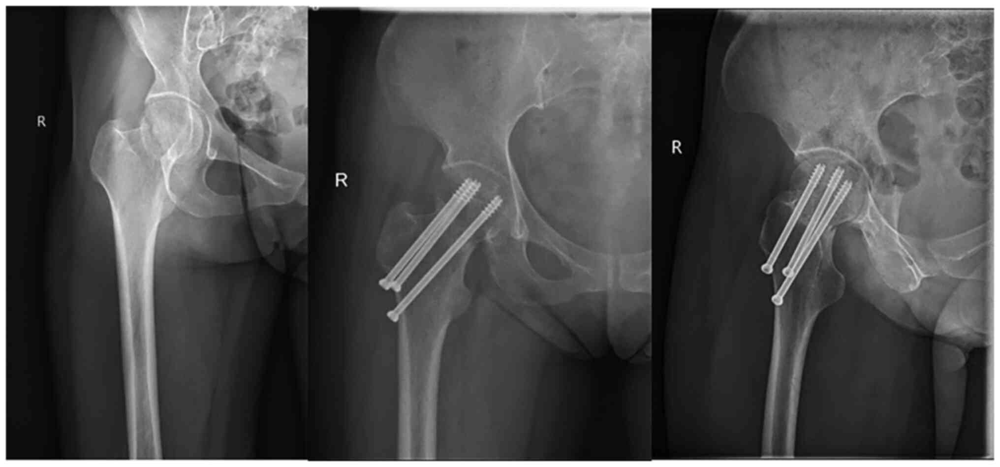
Case from group A: Liu, male, 76 years old. The left panel shows the patient with a subcapital femoral neck fracture on a preoperative X-ray; the middle and right panels show the postoperative femoral neck fracture, at the last follow-up visit, 12 months after surgery. Anteroposterior X-ray and lateral radiographs with three cannulated screws with inverted triangular distribution demonstrate that the fracture has already healed.

Figure 2

Case from group B: Li, male, 80 years old. The left panel shows the patient with a subcapital femoral neck fracture on a preoperative X-ray; the middle and left panels show the postoperative femoral neck fracture, at the last follow-up visits, at 16 and 12 months after surgery, respectively. Anteroposterior X-ray and lateral radiographs with three cannulated screws with parallel distribution demonstrate that the fracture has already healed.

Clinical efficacy assessments

The general surgical conditions including the anesthesia method, the preoperative waiting time, the operation time, intraoperative bleeding, the number of times intraoperative fluoroscopy was performed, the number of intraoperative guide wire adjustments, the proportion of postoperative referrals to the ICU, and complications (wound infection, hypostatic pneumonia, bed sores, deep venous thrombosis, internal fixation failure, etc.) were recorded in groups A and B.

For fracture reduction and healing, the Garden alignment index (13) was used to evaluate the reduction of the femoral neck fracture in groups A and B. The fracture healing time, incidence of avascular necrosis of the femoral head and incidence of fracture nonunion were recorded according to the follow-up results.

For hip function assessment, the daily activity function of the hip joint was recorded during follow-up in groups A and B and the functional recovery scale (FRS) (14) for elderly patients with hip fractures was used.

Statistical analysis

The statistical software Stata 15.0 (StataCorp LLC) was used for analysis, and numerical variables were expressed as mean ± SD. Independent sample t-tests were performed for two groups of continuous numerical variables satisfying normal distribution. FRS scores were compared between patients in the same group Before injury and at the last follow-up after fracture treatment. Paired t-tests were performed. Categorical variables were analyzed using χ2 test or Fisher's exact test at a test level of α=0.05. P<0.05 was considered to indicate a statistically significant difference.

Results

Patients in both groups A and B were followed up for 12-25 months, with an average of 14.8 months, and there were no cases of loss to follow-up. During follow-up, one patient in group A succumbed to myocardial infarction 15 months after surgery.

The results revealed that there were no significant differences with regard to anesthesia, preoperative waiting times, and intraoperative bleeding between groups A and B (P>0.05; Table II). However, when the number of times of intraoperative fluoroscopy, the number of intraoperative guide wire adjustments, the proportion of postoperative referrals to the ICU, which were performed during surgery, were compared, it was found that group B exhibited significant advantages compared with group A, and the differences were statistically significant (P<0.05; Table II).

Table II

Comparison of general surgical conditions between the two groups of patients with femoral neck fractures.

Table II

Comparison of general surgical conditions between the two groups of patients with femoral neck fractures.

 Anesthesia 
GroupNo. of subjectsGeneral anesthesiaSpinal anesthesia + nerve blockNerve block + local anesthesiaPreoperative waiting time from injury to operation (h)Operation time (min)Intraoperative bleeding (ml)Intraoperative fluoroscopy (no. of times)Intraoperative guide wire adjustments (no. of times)Postoperative transfer to the ICU
Group A51426331.7±5.946.7±9.135.6±8.345.1±6.528.2±7.67
Group B55447430.6±7.528.8±6.934.8±7.528.3±5.815.5±4.31
T-value 0.1155  0.834811.46240.521314.060310.6870Fisher
P-value 0.944  0.406<0.0010.603<0.001<0.0010.027

In addition, there were no significant differences, as regards fracture reduction quality, rate of fracture healing, incidence of femoral neck fracture nonunion, incidence of avascular necrosis of the femoral head and other complications between groups A and B (P>0.05; Table III). In group A, there were 2 cases of lower extremity deep venous thrombosis and 2 cases of superficial wound infection, while in group B, there were 1 case of lower extremity deep venous thrombosis, 1 case of mild lung infection, and 1 case of superficial wound infection. In both groups, the femoral neck was shortened in all patients after surgery, ranging from 1 to 4 mm. No other complications such as screw cutting and bed sores occurred in either group (data not shown).

Table III

Comparison of fracture reduction, fracture healing and postoperative complications between the two groups of patients with femoral neck fractures.

Table III

Comparison of fracture reduction, fracture healing and postoperative complications between the two groups of patients with femoral neck fractures.

 Garden alignment indexFracture healing 
GroupNo. of subjectsIIIIIIIV<16 weeks>16 weeksFracture nonunionFemoral head necrosisOther complications
Group A5142810465124
Group B55451000523013
T-value Fisher   Fisher FisherFisherFisher
P-value 0.701   0.316 0.4810.4710.709

With regard to hip joint function assessment, there were no significant differences in FRS scores before injury, before surgery and at 1, 3 and 12 months following surgery between groups A and B (P>0.05; Table IV). There were also no significant statistical differences in FRS scores at the last follow-up in each group compared with those before injury, indicating that the two groups of patients basically restored their hip function, as before injury, at 12 months after surgery (P>0.05; Table IV).

Table IV

Comparison of hip FRS functional scores between the two groups of patients with femoral neck fractures.

Table IV

Comparison of hip FRS functional scores between the two groups of patients with femoral neck fractures.

ParameterTime-pointGroup A (n=51)Group B (n=55)T-valueP-value
Hip function FRS scoreBefore injury83.8±6.984.3±6.2-0.39290.6952
 Before surgery27.5±3.928.2±4.8-0.82020.4140
 1 month after surgery52.1±2.552.3±3.1-0.36390.7167
 3 months after surgery55.3±3.556.2±2.9-1.44570.1513
 12 months after surgery83.3±7.584.1±6.9-0.57200.5686
F-valuea 0.35040.1599  
P-valuea 0.72680.8733  

[i] aComparison of hip FRS scores at 12 months after surgery and before injury between groups A and B. FRS, functional recovery scale.

Discussion

Femoral neck fractures are common hip fractures in the elderly, with an incidence of ~3%. Femoral neck fractures are a serious threat to the life safety of elderly patients. If conservatively treated, patients often succumb from complications such as hypostatic pneumonia, deep venous thrombosis, bed sores, and urinary system infections. Therefore, surgical treatment to quickly restore hip function and avoid bedridden complications, has been unanimously recognized by the academic community. At present, hip replacement is often performed for severely displaced Garden III and IV femoral neck fractures in the elderly; at the same time, internal fixation is recommended for nondisplaced Garden I-II and less displaced Garden type III femoral neck fractures. In addition, internal fixation is also the preferred alternative for elderly patients who cannot tolerate joint replacement surgery (12,15).

Since Dr Smith-Petersen, an American physician, invented trifin screws for treating femoral neck fractures in 1931, femoral neck internal fixation surgical devices have been rapidly developed over the decades, and various internal fixation devices such as cannulated screws, DHS, proximal femoral locking plate, percutaneous compression plate, medial buttress plate, and FNS have been invented are used in clinical practice to this day. Among them, the novel FNS has obvious biomechanical advantages and can support the fracture in multi-axial direction, with excellent anti-rotation and anti-shortening properties, with significant clinical efficacy (15-19). However, in China, limited by unbalanced economic development, cannulated screw internal fixation is still the most important surgical method, especially in the vast Central and Western regions and primary hospitals. After closed reduction of femoral neck fracture, internal fixation of three cannulated screws has obvious economic and safety advantages, significantly reducing surgical trauma and retaining better joint function. Therefore, this surgical intervention is widely used in primary hospitals in China. The arrangement of three half-threaded cannulated screws has always been the focus of the attention of clinicians, and a number of previous biomechanical experiments have shown that inverted triangular distribution has theoretically strong biomechanical properties and is the ‘gold standard’ for treatment with three cannulated screws (12,18,20,21).

However, it must be emphasized that inverted triangular distribution has numerous shortcomings and limitations as well (15,16,22-24). First of all, osteoporosis is common in elderly patients. During injury, due to the traction of hip muscles and ligaments, femoral neck fractures are often angulated anteriorly, and the posterolateral cortex is often compressed and comminuted. However, in biomechanical experiments, the fracture line of the femoral neck fracture model is commonly neatly cut artificially. Therefore, during inverted triangular fixation, posterolateral screws often have shortcomings such as difficult guide wire placement, poor screw holding force, and even increased screws on the lateral and posterior sides to improve biomechanical stability. Secondly, the Chinese population, especially the female population, often has small bones, anatomically slender femoral necks and narrow screw placement spaces, making it difficult to place two 7.3 mm or even 6.5 mm diameter cannulated screws in the same plane of the lateral femoral wall. The core of inverted triangular distribution is to maximize the biomechanical efficacy through the ‘cortical support’ effect of three screws. The key point of cortical support is to arrange each screw to be as close as possible to the anterior, posterior, and inferior cortex of the femoral neck so that the distance between the screw and the cortex is within 3 mm, thereby maximizing screw holding force. However, in the sagittal position, the proximal femur is wider at the top and narrower at the bottom. As a result, the screw can only be guided by fluoroscopy after closed reduction. In order to achieve the inverted triangular distribution of the three screws and provide enough support, multiple fluoroscopies are often required during the operation to repeatedly adjust the direction of the guide wire, and repeated adjustment of the guide wire in elderly patients easily causes severe destruction of the residual bone due to severe osteoporosis, resulting in decreased screw holding force after screw placement, and repeated operations can cause more soft tissue injuries. Therefore, in recent years, some scholars have continuously proposed the use of novel guidance devices (25), such as a 3D printing navigation module, and even the placement of guide wires and screws under robotic navigation (20), but these devices are all costly and not suitable for the national economic conditions of China. In addition, such surgical methods have a long learning cycle for doctors in primary care institutions and young doctors in China, and are difficult to operate. Because the blood supply of the femoral head is mainly supplied by the vascular network around the femoral neck (especially the retinacular artery and supraepiphyseal artery network) (26,27), repeated adjustment of the guide wire during operation is also likely to cause new iatrogenic vascular injury, resulting in an increased incidence of avascular necrosis of the femoral head.

Therefore, the Department of Joint Surgery of the First Affiliated Hospital of Nanjing Medical University (Jiangsu Province Hospital), has been working on the treatment of femoral neck fractures in the elderly with three cannulated screws with parallel distribution for numerous years, and have achieved satisfactory clinical results. Compared with traditional inverted triangular distribution, the operation steps of parallel distribution are significantly simplified, with significant advantages in the operation time, number of times intraoperative fluoroscopy is performed and number of intraoperative guide wire adjustments, and without the need for various complex navigation devices. The learning period required for this surgical technique is short, making it particularly suitable for young doctors and inexperienced orthopedic surgeons. The main reason is that parallel distribution only requires locating the spatial position of the guide wire on the anteroposterior view, and the lateral view can only be in the direction of the femoral neck axis, without considering the needle insertion direction of the two planes in the anteroposterior and lateral views to pursue the cortical support effect which is required for inverted triangular distribution. Central screw placement in the lateral femoral neck axis can also reduce injury to the anterolateral and posterolateral cortex, which instead increases system stability. Moreover, parallel distribution theoretically reduces the incidence of femoral head necrosis due to the simple operation which reduces the interference with the vascular network around the femoral neck. For elderly patients, parallel distribution accelerates the speed of surgery, significantly shortens the anesthesia time, significantly reduces the surgical stress and surgical injury to patients, significantly increases the incidence of extubation in patients after surgery, and significantly decreases the proportion of patients transferred to the ICU. Therefore, it is more conducive to the rehabilitation of patients, and is more in line with the ERAS concept of orthopedics (28). In addition, in terms of fracture healing and fracture reduction, cannulated screws with parallel distribution achieve similar clinical efficacy to the ‘gold standard’ inverted triangular distribution and do not increase the probability of femoral neck nonunion and avascular necrosis of the femoral head. Although postoperative functional recovery is emphasized, there is still a significant gap between Chinese patients and Western patients with regard to functional rehabilitation. The majority of patients continue bed rest at home for 6-8 weeks after discharge, resulting in a low incidence of complications such as back-off of the screws and failure of fixation. At the beginning of 2022, Chinese scholars reported the clinical efficacy of cannulated screws with parallel distribution and cannulated screws with inverted triangular distribution in the treatment of young and middle-aged femoral neck fractures. The final results showed that the parallel distribution of three cannulated screws in the screw placement group had achieved satisfactory clinical efficacy, which is worthy of clinical promotion (29). At present, to the best of the authors' knowledge there is no clinical report on the treatment of femoral neck fractures in the elderly with three cannulated screws with parallel distribution in China. In biomechanical studies, the biomechanical stability of various femoral neck fixation devices varied due to their own structure and indications (17,18,30,31). At present, the mainstream view is that FNS exhibits good stability (17,18). However, there is a lack of biomechanical stability studies on three cannulated screws with parallel distribution and inverted triangular distribution, thus requiring further elucidation in future studies. The next research plan of the authors will be to develop related biomechanical studies.

In conclusion, the elderly patients with femoral neck fractures that underwent surgery with the parallel distribution of three cannulated screws after closed reduction achieved similar clinical efficacy to the ‘gold standard’ of inverted triangular distribution, and had obvious advantages in terms of operation time, number of times intraoperative fluoroscopy was performed and number of intraoperative guide wire adjustments, with significantly reduced surgical difficulty. In summary, this procedure is worthy of promotion and clinical application in the majority of primary hospitals in China.

Acknowledgements

Not applicable.

Funding

Funding: No funding was received.

Availability of data and materials

All data generated or analyzed during this study are included in this published article.

Authors' contributions

XH designed the whole study, collected the data regarding hospitalization and follow-up of all patients, and agreed to be accountable for all aspects of the study. JL analyzed and interpreted the data, and drafted the initial manuscript. QZ and HZ analyzed and interpreted the data. XH and JL confirm the authenticity of all the raw data. All authors read and approved the final manuscript.

Ethics approval and consent to participate

The present study was approved (approval no. 2019-SRFA-453) by the Ethics Committee of the First Affiliated Hospital of Nanjing Medical University (Nanjing, China). All patients signed the operation consent form before surgery, and informed consent for participation was obtained from the patients or their families.

Patient consent for publication

Patient consent for publication was obtained from all the patients.

Competing interests

The authors declare that they have no competing interests.

References

1 

Walter N, Szymski D, Kurtz SM, Lowenberg DW, Alt V, Lau EC and Rupp M: Epidemiology and treatment of proximal femoral fractures in the elderly U.S. population. Sci Rep. 13(12734)2023.PubMed/NCBI View Article : Google Scholar

2 

Veronese N and Maggi S: Epidemiology and social costs of hip fracture. Injury. 49:1458–1460. 2018.PubMed/NCBI View Article : Google Scholar

3 

Parker MJ and Cawley S: A long term follow-up for a randomised trial of total hip arthroplasty versus hemiarthroplasty for displaced intracapsular fractures. Injury. 54(110925)2023.PubMed/NCBI View Article : Google Scholar

4 

Zhang J, Chang X, Sun Z and Tang X: Comparison of femoral neck system versus cannulated compression screws in treating femoral neck fractures: A systematic review and meta-analysis. Asian J Surg. 46:3259–3260. 2023.PubMed/NCBI View Article : Google Scholar

5 

Li L, Bennett-Brown K, Morgan C and Dattani R: Hip fractures. Br J Hosp Med (Lond). 81:1–10. 2020.PubMed/NCBI View Article : Google Scholar

6 

Bartels S, Kristensen TB, Gjertsen JE, Frihagen F, Rogmark C, Dolatowski FC, Figved W, Benth JŠ and Utvåg SE: Total Hip arthroplasty leads to better results after low-energy displaced femoral neck fracture in patients aged 55 to 70 years: A randomized controlled multicenter trial comparing internal fixation and total hip arthroplasty. J Bone Joint Surg Am. 104:1341–1351. 2022.PubMed/NCBI View Article : Google Scholar

7 

Ekhtiari S, Gormley J, Axelrod DE, Devji T, Bhandari M and Guyatt GH: Total hip arthroplasty versus hemiarthroplasty for displaced femoral neck fracture: A systematic review and meta-analysis of randomized controlled trials. J Bone Joint Surg Am. 102:1638–1645. 2020.PubMed/NCBI View Article : Google Scholar

8 

Guyen O: Hemiarthroplasty or total hip arthroplasty in recent femoral neck fractures? Orthop Traumatol Surg Res. 105(1S):S95–S101. 2019.PubMed/NCBI View Article : Google Scholar

9 

Dekhne MS, Thomas HM, Haider T, Mortensen S, Rodriguez EK, Weaver MJ and Keudell AV: Treatment and outcomes of basicervical femoral neck fractures: A systematic review. J Orthop Surg (Hong Kong). 29(23094990211003344)2021.PubMed/NCBI View Article : Google Scholar

10 

Tang Y, Zhang Z, Wang L, Xiong W, Fang Q and Wang G: Femoral neck system versus inverted cannulated cancellous screw for the treatment of femoral neck fractures in adults: A preliminary comparative study. J Orthop Surg Res. 16(504)2021.PubMed/NCBI View Article : Google Scholar

11 

Augat P, Bliven E and Hackl S: Biomechanics of femoral neck fractures and implications for fixation. J Orthop Trauma. 33 (Suppl 1):S27–S32. 2019.PubMed/NCBI View Article : Google Scholar

12 

Zelle BA, Salazar LM, Howard SL, Parikh K and Pape HC: Surgical treatment options for femoral neck fractures in the elderly. Int Orthop. 46:1111–1122. 2022.PubMed/NCBI View Article : Google Scholar

13 

Garden RS: Malreduction and avascular necrosis in subcapital fractures of the femur. J Bone Joint Surg Br. 53:183–197. 1971.PubMed/NCBI

14 

Zuckerman JD, Koval KJ, Aharonoff GB and Skovron ML: A functional recovery score for elderly hip fracture patients: II. Validity and reliability. J Orthop Trauma. 14:26–30. 2000.PubMed/NCBI View Article : Google Scholar

15 

Davidson A, Blum S, Harats E, Kachko E, Essa A, Efraty R, Peyser A and Giannoudis PV: Neck of femur fractures treated with the femoral neck system: outcomes of one hundred and two patients and literature review. Int Orthop. 46:2105–2115. 2022.PubMed/NCBI View Article : Google Scholar

16 

Tian P, Kuang L, Li ZJ, Xu GJ and Fu X: Comparison between femoral neck systems and cannulated cancellous screws in treating femoral neck fractures: A meta-analysis. Geriatr Orthop Surg Rehabil. 13(21514593221113533)2022.PubMed/NCBI View Article : Google Scholar

17 

Teng Y, Zhang Y and Guo C: Finite element analysis of femoral neck system in the treatment of Pauwels type III femoral neck fracture. Medicine (Baltimore). 101(e29450)2022.PubMed/NCBI View Article : Google Scholar

18 

Wang F, Liu Y, Cheng L and Zhao D: Research progress in biomechanics of common internal fixation for femoral neck fracture. ZhongguoXiu Fu Chong Jian Wai Ke Za Zhi. 36:896–901. 2022.PubMed/NCBI View Article : Google Scholar : (In Chinese).

19 

Wu ZF, Luo ZH, Hu LC and Luo YW: Efficacy of the femoral neck system in femoral neck fracture treatment in adults: A systematic review and meta-analysis. World J Clin Cases. 10:11454–11465. 2022.PubMed/NCBI View Article : Google Scholar

20 

Cheng QH, Li PB, Lu TT, Guo SF, Di WF, Yang KH and Qian YW: Computer-assisted cannulated screw internal fixation versus conventional cannulated screw internal fixation for femoral neck fractures: A systematic review and meta-analysis. J Orthop Surg Res. 16(687)2021.PubMed/NCBI View Article : Google Scholar

21 

Long Y, Zhang S, Wang K, Liu C, Zhou M, Wang X, Zhang W and Qiao L: Strategies of closed reduction in treatment of femoral neck fracture using cannulated screw fixation. ZhongguoXiu Fu Chong Jian Wai Ke Za Zhi. 30:809–814. 2016.PubMed/NCBI View Article : Google Scholar : (In Chinese).

22 

Yuan KX, Yang F, Fu K, Zhu DY, Jiang CY, Jin DX, Wang ZH, Peng XY, Gao YS and Luo PB: Internal fixation using fully threaded cannulated compression screws for fresh femoral neck fractures in adults. J Orthop Surg Res. 17(108)2022.PubMed/NCBI View Article : Google Scholar

23 

Cuellar DO III, Garcia Velez DA, Bledsoe G and Tracy Watson J: Hybrid screw fixation for femoral neck fractures: Does it prevent mechanical failure? Injury. 53:2839–2845. 2022.PubMed/NCBI View Article : Google Scholar

24 

Jin ZY, Gu C, Yang HL and Xu M: Outcome of percutaneous compression plate for treatment of femoral neck fractures: mean follow-up of 4.4 years. Int Orthop. 46:1891–1898. 2022.PubMed/NCBI View Article : Google Scholar

25 

Ren BF, Li G, Ma QP, Lv X and Sun J: Quick and accurate placement of cannulated screws to internal fixation of femoral neck fractures using a novel guide device. Adv Ther Nov. 40:844–852. 2022.PubMed/NCBI View Article : Google Scholar

26 

Wu SH, Miao Y, Zhu XZ and Li GY: Assessment of the local blood supply when femoral neck fracture occurs: Advances in the anatomy research and its clinical application. Zhongguo Gu Shang. 36:294–298. 2023.PubMed/NCBI View Article : Google Scholar : (In Chinese).

27 

Seijas R, Sallent A, Rivera E and Ares O: Avascular necrosis of the femoral head. J Invest Surg. 32:218–219. 2019.PubMed/NCBI View Article : Google Scholar

28 

Liu SY, Li C and Zhang PX: Enhanced recovery after surgery for hip fractures: A systematic review and meta-analysis. Perioper Med (Lond). 10(31)2021.PubMed/NCBI View Article : Google Scholar

29 

Ma Z, Zhang S, Zhang Z, et al: Comparison of therapeutic effects between parallel and inverted triangular nail placement in the treatment of femoral neck fractures in middle-aged and young adults. J North Sichuan Med College. 37:509–512. 2022.

30 

Wang J, Gao Y, Song D and Ni J: Biomechanical study on parallel cannulated compression screw combined with medial buttress plate fixation and F-type cannulated compression screw fixation in Pauwels III femoral neck fracture: A finite element analysis. Zhong Nan Da XueXue Bao Yi Xue Ban. 47:1143–1153. 2022.PubMed/NCBI View Article : Google Scholar : (In Chinese).

31 

Zhang RY, Li JT, Zhao JX, Zhao Z, Zhang LC, Yun C, Su XY and Tang PF: The oblique triangle configuration of three parallel screws for femoral neck fracture fixation using computer-aided design modules. Sci Rep. 12(325)2022.PubMed/NCBI View Article : Google Scholar

Related Articles

  • Abstract
  • View
  • Download
  • Twitter
Copy and paste a formatted citation
Spandidos Publications style
Liu J, Zuo Q, Zhou H and Huang X: Comparison of the clinical efficacy of three cannulated screws with parallel distribution and inverted triangular distribution in the treatment of femoral neck fractures in the elderly. Exp Ther Med 26: 498, 2023.
APA
Liu, J., Zuo, Q., Zhou, H., & Huang, X. (2023). Comparison of the clinical efficacy of three cannulated screws with parallel distribution and inverted triangular distribution in the treatment of femoral neck fractures in the elderly. Experimental and Therapeutic Medicine, 26, 498. https://doi.org/10.3892/etm.2023.12197
MLA
Liu, J., Zuo, Q., Zhou, H., Huang, X."Comparison of the clinical efficacy of three cannulated screws with parallel distribution and inverted triangular distribution in the treatment of femoral neck fractures in the elderly". Experimental and Therapeutic Medicine 26.4 (2023): 498.
Chicago
Liu, J., Zuo, Q., Zhou, H., Huang, X."Comparison of the clinical efficacy of three cannulated screws with parallel distribution and inverted triangular distribution in the treatment of femoral neck fractures in the elderly". Experimental and Therapeutic Medicine 26, no. 4 (2023): 498. https://doi.org/10.3892/etm.2023.12197
Copy and paste a formatted citation
x
Spandidos Publications style
Liu J, Zuo Q, Zhou H and Huang X: Comparison of the clinical efficacy of three cannulated screws with parallel distribution and inverted triangular distribution in the treatment of femoral neck fractures in the elderly. Exp Ther Med 26: 498, 2023.
APA
Liu, J., Zuo, Q., Zhou, H., & Huang, X. (2023). Comparison of the clinical efficacy of three cannulated screws with parallel distribution and inverted triangular distribution in the treatment of femoral neck fractures in the elderly. Experimental and Therapeutic Medicine, 26, 498. https://doi.org/10.3892/etm.2023.12197
MLA
Liu, J., Zuo, Q., Zhou, H., Huang, X."Comparison of the clinical efficacy of three cannulated screws with parallel distribution and inverted triangular distribution in the treatment of femoral neck fractures in the elderly". Experimental and Therapeutic Medicine 26.4 (2023): 498.
Chicago
Liu, J., Zuo, Q., Zhou, H., Huang, X."Comparison of the clinical efficacy of three cannulated screws with parallel distribution and inverted triangular distribution in the treatment of femoral neck fractures in the elderly". Experimental and Therapeutic Medicine 26, no. 4 (2023): 498. https://doi.org/10.3892/etm.2023.12197
Follow us
  • Twitter
  • LinkedIn
  • Facebook
About
  • Spandidos Publications
  • Careers
  • Cookie Policy
  • Privacy Policy
How can we help?
  • Help
  • Live Chat
  • Contact
  • Email to our Support Team