Spandidos Publications Logo
  • About
    • About Spandidos
    • Aims and Scopes
    • Abstracting and Indexing
    • Editorial Policies
    • Reprints and Permissions
    • Job Opportunities
    • Terms and Conditions
    • Contact
  • Journals
    • All Journals
    • Oncology Letters
      • Oncology Letters
      • Information for Authors
      • Editorial Policies
      • Editorial Board
      • Aims and Scope
      • Abstracting and Indexing
      • Bibliographic Information
      • Archive
    • International Journal of Oncology
      • International Journal of Oncology
      • Information for Authors
      • Editorial Policies
      • Editorial Board
      • Aims and Scope
      • Abstracting and Indexing
      • Bibliographic Information
      • Archive
    • Molecular and Clinical Oncology
      • Molecular and Clinical Oncology
      • Information for Authors
      • Editorial Policies
      • Editorial Board
      • Aims and Scope
      • Abstracting and Indexing
      • Bibliographic Information
      • Archive
    • Experimental and Therapeutic Medicine
      • Experimental and Therapeutic Medicine
      • Information for Authors
      • Editorial Policies
      • Editorial Board
      • Aims and Scope
      • Abstracting and Indexing
      • Bibliographic Information
      • Archive
    • International Journal of Molecular Medicine
      • International Journal of Molecular Medicine
      • Information for Authors
      • Editorial Policies
      • Editorial Board
      • Aims and Scope
      • Abstracting and Indexing
      • Bibliographic Information
      • Archive
    • Biomedical Reports
      • Biomedical Reports
      • Information for Authors
      • Editorial Policies
      • Editorial Board
      • Aims and Scope
      • Abstracting and Indexing
      • Bibliographic Information
      • Archive
    • Oncology Reports
      • Oncology Reports
      • Information for Authors
      • Editorial Policies
      • Editorial Board
      • Aims and Scope
      • Abstracting and Indexing
      • Bibliographic Information
      • Archive
    • Molecular Medicine Reports
      • Molecular Medicine Reports
      • Information for Authors
      • Editorial Policies
      • Editorial Board
      • Aims and Scope
      • Abstracting and Indexing
      • Bibliographic Information
      • Archive
    • World Academy of Sciences Journal
      • World Academy of Sciences Journal
      • Information for Authors
      • Editorial Policies
      • Editorial Board
      • Aims and Scope
      • Abstracting and Indexing
      • Bibliographic Information
      • Archive
    • International Journal of Functional Nutrition
      • International Journal of Functional Nutrition
      • Information for Authors
      • Editorial Policies
      • Editorial Board
      • Aims and Scope
      • Abstracting and Indexing
      • Bibliographic Information
      • Archive
    • International Journal of Epigenetics
      • International Journal of Epigenetics
      • Information for Authors
      • Editorial Policies
      • Editorial Board
      • Aims and Scope
      • Abstracting and Indexing
      • Bibliographic Information
      • Archive
    • Medicine International
      • Medicine International
      • Information for Authors
      • Editorial Policies
      • Editorial Board
      • Aims and Scope
      • Abstracting and Indexing
      • Bibliographic Information
      • Archive
  • Articles
  • Information
    • Information for Authors
    • Information for Reviewers
    • Information for Librarians
    • Information for Advertisers
    • Conferences
  • Language Editing
Spandidos Publications Logo
  • About
    • About Spandidos
    • Aims and Scopes
    • Abstracting and Indexing
    • Editorial Policies
    • Reprints and Permissions
    • Job Opportunities
    • Terms and Conditions
    • Contact
  • Journals
    • All Journals
    • Biomedical Reports
      • Information for Authors
      • Editorial Policies
      • Editorial Board
      • Aims and Scope
      • Abstracting and Indexing
      • Bibliographic Information
      • Archive
    • Experimental and Therapeutic Medicine
      • Information for Authors
      • Editorial Policies
      • Editorial Board
      • Aims and Scope
      • Abstracting and Indexing
      • Bibliographic Information
      • Archive
    • International Journal of Epigenetics
      • Information for Authors
      • Editorial Policies
      • Editorial Board
      • Aims and Scope
      • Abstracting and Indexing
      • Bibliographic Information
      • Archive
    • International Journal of Functional Nutrition
      • Information for Authors
      • Editorial Policies
      • Editorial Board
      • Aims and Scope
      • Abstracting and Indexing
      • Bibliographic Information
      • Archive
    • International Journal of Molecular Medicine
      • Information for Authors
      • Editorial Policies
      • Editorial Board
      • Aims and Scope
      • Abstracting and Indexing
      • Bibliographic Information
      • Archive
    • International Journal of Oncology
      • Information for Authors
      • Editorial Policies
      • Editorial Board
      • Aims and Scope
      • Abstracting and Indexing
      • Bibliographic Information
      • Archive
    • Medicine International
      • Information for Authors
      • Editorial Policies
      • Editorial Board
      • Aims and Scope
      • Abstracting and Indexing
      • Bibliographic Information
      • Archive
    • Molecular and Clinical Oncology
      • Information for Authors
      • Editorial Policies
      • Editorial Board
      • Aims and Scope
      • Abstracting and Indexing
      • Bibliographic Information
      • Archive
    • Molecular Medicine Reports
      • Information for Authors
      • Editorial Policies
      • Editorial Board
      • Aims and Scope
      • Abstracting and Indexing
      • Bibliographic Information
      • Archive
    • Oncology Letters
      • Information for Authors
      • Editorial Policies
      • Editorial Board
      • Aims and Scope
      • Abstracting and Indexing
      • Bibliographic Information
      • Archive
    • Oncology Reports
      • Information for Authors
      • Editorial Policies
      • Editorial Board
      • Aims and Scope
      • Abstracting and Indexing
      • Bibliographic Information
      • Archive
    • World Academy of Sciences Journal
      • Information for Authors
      • Editorial Policies
      • Editorial Board
      • Aims and Scope
      • Abstracting and Indexing
      • Bibliographic Information
      • Archive
  • Articles
  • Information
    • For Authors
    • For Reviewers
    • For Librarians
    • For Advertisers
    • Conferences
  • Language Editing
Login Register Submit
  • This site uses cookies
  • You can change your cookie settings at any time by following the instructions in our Cookie Policy. To find out more, you may read our Privacy Policy.

    I agree
Search articles by DOI, keyword, author or affiliation
Search
Advanced Search
presentation
Experimental and Therapeutic Medicine
Join Editorial Board Propose a Special Issue
Print ISSN: 1792-0981 Online ISSN: 1792-1015
Journal Cover
December-2023 Volume 26 Issue 6

Full Size Image

Sign up for eToc alerts
Recommend to Library

Journals

International Journal of Molecular Medicine

International Journal of Molecular Medicine

International Journal of Molecular Medicine is an international journal devoted to molecular mechanisms of human disease.

International Journal of Oncology

International Journal of Oncology

International Journal of Oncology is an international journal devoted to oncology research and cancer treatment.

Molecular Medicine Reports

Molecular Medicine Reports

Covers molecular medicine topics such as pharmacology, pathology, genetics, neuroscience, infectious diseases, molecular cardiology, and molecular surgery.

Oncology Reports

Oncology Reports

Oncology Reports is an international journal devoted to fundamental and applied research in Oncology.

Experimental and Therapeutic Medicine

Experimental and Therapeutic Medicine

Experimental and Therapeutic Medicine is an international journal devoted to laboratory and clinical medicine.

Oncology Letters

Oncology Letters

Oncology Letters is an international journal devoted to Experimental and Clinical Oncology.

Biomedical Reports

Biomedical Reports

Explores a wide range of biological and medical fields, including pharmacology, genetics, microbiology, neuroscience, and molecular cardiology.

Molecular and Clinical Oncology

Molecular and Clinical Oncology

International journal addressing all aspects of oncology research, from tumorigenesis and oncogenes to chemotherapy and metastasis.

World Academy of Sciences Journal

World Academy of Sciences Journal

Multidisciplinary open-access journal spanning biochemistry, genetics, neuroscience, environmental health, and synthetic biology.

International Journal of Functional Nutrition

International Journal of Functional Nutrition

Open-access journal combining biochemistry, pharmacology, immunology, and genetics to advance health through functional nutrition.

International Journal of Epigenetics

International Journal of Epigenetics

Publishes open-access research on using epigenetics to advance understanding and treatment of human disease.

Medicine International

Medicine International

An International Open Access Journal Devoted to General Medicine.

Journal Cover
December-2023 Volume 26 Issue 6

Full Size Image

Sign up for eToc alerts
Recommend to Library

  • Article
  • Citations
    • Cite This Article
    • Download Citation
    • Create Citation Alert
    • Remove Citation Alert
    • Cited By
  • Similar Articles
    • Related Articles (in Spandidos Publications)
    • Similar Articles (Google Scholar)
    • Similar Articles (PubMed)
  • Download PDF
  • Download XML
  • View XML
Article Open Access

Value of CT‑derived fractional flow reserve in identifying patients with acute myocardial infarction based on coronary computed tomography angiography

  • Authors:
    • Fei Yang
    • Zhiying Pang
    • Zhixiang Yang
    • Yue Yang
    • Yanfei Wang
    • Peng Jia
    • Dawei Wang
    • Shujun Cui
  • View Affiliations / Copyright

    Affiliations: Department of Medical Imaging, The First Affiliated Hospital of Hebei North University, Zhangjiakou, Hebei 075000, P.R. China, Graduate School, Hebei North University, Zhangjiakou, Hebei 075000, P.R. China, Department of Medical Imaging, Beijing Huairou Hospital, Beijing 101400, P.R. China, Department of Cardiothoracic Surgery, The First Affiliated Hospital of Hebei North University, Zhangjiakou, Hebei 075000, P.R. China
    Copyright: © Yang et al. This is an open access article distributed under the terms of Creative Commons Attribution License.
  • Article Number: 558
    |
    Published online on: October 17, 2023
       https://doi.org/10.3892/etm.2023.12258
  • Expand metrics +
Metrics: Total Views: 0 (Spandidos Publications: | PMC Statistics: )
Metrics: Total PDF Downloads: 0 (Spandidos Publications: | PMC Statistics: )
Cited By (CrossRef): 0 citations Loading Articles...

This article is mentioned in:



Abstract

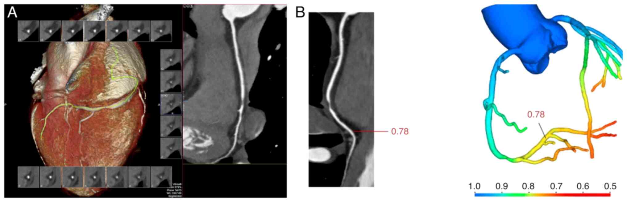
The aim of the present study was to determine whether coronary stenosis and computed tomography‑derived fractional flow reserve (CT‑FFR), detected by coronary computed tomography angiography (CCTA), can potentially contribute to distinguish acute myocardial infarction (AMI) from unstable angina (UA). The study retrospectively collected data from consecutive patients who were admitted with obstructive coronary artery disease (CAD) and who received CCTA and invasive coronary angiography (ICA) as part of their clinical workup. According to the inclusion criteria, the patients were divided into the AMI group and UA group, and the basic clinical data, CCTA stenosis degree and CT‑FFR values were compared between the two groups. Univariate and multivariate logistic regression methods were used to analyze the association between ≥70% CCTA stenosis, ≤0.80 CT‑FFR and AMI. A diagnostic model of AMI was established (model 1, ≤0.80 CT‑FFR; model 2, ≥70% CCTA stenosis; and model 3, ≤0.80 CT‑FFR combined with ≥70% CCTA stenosis), and the diagnostic efficacy of the three models for AMI was compared. The significance level was set at P<0.05. A total of 116 participants were finally enrolled in this study. There were 37 patients in the AMI group, with an average age of 62.06±7.74 years, and 79 patients in the UA group, with an average age of 58.11±10.0 years; there was no significant difference in age (P>0.05). The multivariate regression analysis revealed that ≤0.80 CT‑FFR (HR=28.074; 95% CI: 5.712‑137.973; P<0.001), and ≥70% CCTA stenosis (HR=10.796; 95% CI: 2.566‑45.425; P=0.001) were independent risk factors for AMI. The diagnostic model of ≤0.80 CT‑FFR combined with ≥70% CCTA stenosis (AUC=0.914; 95% CI: 0.847‑0.958) exhibited increased diagnosis performance than the ≤0.80 CT‑FFR model (AUC=0.865; 95% CI: 0.790‑0.922; P=0.0060) and the ≥70% CCTA stenosis model (AUC=0.827; 95% CI: 0.745‑0.891; P=0.0008). Collectively, it was demonstrated that ≤0.80 CT‑FFR and ≥70% CCTA stenosis were independent risk factors for the diagnosis of AMI, and the combination of CT‑FFR and CCTA stenosis further improved AMI diagnosis performance.
View Figures

Figure 1

Figure 2

Figure 3

View References

1 

Dudas K, Björck L, Jernberg T, Lappas G, Wallentin L and Rosengren A: Differences between acute myocardial infarction and unstable angina: A longitudinal cohort study reporting findings from the register of information and knowledge about swedish heart intensive care admissions (RIKS-HIA). BMJ Open. 3(e002155)2013.PubMed/NCBI View Article : Google Scholar

2 

Benjamin EJ, Virani SS, Callaway CW, Chamberlain AM, Chang AR, Cheng S, Chiuve SE, Cushman M, Delling FN, Deo R, et al: Heart disease and stroke statistics-2018 update: A Report from the american heart association. Circulation. 137:e67–e492. 2018.PubMed/NCBI View Article : Google Scholar

3 

Koskinas KC, Ughi GJ, Windecker S, Tearney GJ and Räber L: Intracoronary imaging of coronary atherosclerosis: Validation for diagnosis, prognosis and treatment. Eur Heart J. 37(524-535a-c)2016.PubMed/NCBI View Article : Google Scholar

4 

Grech ED and Ramsdale DR: Acute coronary syndrome: Unstable angina and non-ST segment elevation myocardial infarction. BMJ. 326:1259–1261. 2003.PubMed/NCBI View Article : Google Scholar

5 

Meier D, Skalidis I, De Bruyne B, Qanadli SD, Rotzinger D, Eeckhout E, Collet C, Muller O and Fournier S: Ability of FFR-CT to detect the absence of hemodynamically significant lesions in patients with high-risk NSTE-ACS admitted in the emergency department with chest pain, study design and rationale. Int J Cardiol Heart Vasc. 27(100496)2020.PubMed/NCBI View Article : Google Scholar

6 

Ahmadi A, Stone GW, Leipsic J, Serruys PW, Shaw L, Hecht H, Wong G, Nørgaard BL, O'Gara PT, Chandrashekhar Y and Narula J: Association of coronary stenosis and plaque morphology with fractional flow reserve and outcomes. JAMA Cardiol. 1:350–357. 2016.PubMed/NCBI View Article : Google Scholar

7 

Ciccarelli G, Barbato E, Toth GG, Gahl B, Xaplanteris P, Fournier S, Milkas A, Bartunek J, Vanderheyden M, Pijls N, et al: Angiography versus hemodynamics to predict the natural history of coronary stenoses: fractional flow reserve versus angiography in multivessel evaluation 2 substudy. Circulation. 137:1475–1485. 2018.PubMed/NCBI View Article : Google Scholar

8 

Ahmed W, Schlett CL, Uthamalingam S, Truong QA, Koenig W, Rogers IS, Blankstein R, Nagurney JT, Tawakol A, Januzzi JL and Hoffmann U: Single resting hsTnT level predicts abnormal myocardial stress test in acute chest pain patients with normal initial standard troponin. JACC Cardiovasc Imaging. 6:72–82. 2013.PubMed/NCBI View Article : Google Scholar

9 

Raza S and Efstathiou M: CT coronary angiogram with FFR CT-A revolution in the diagnostic flow of coronary artery disease. J Ayub Med Coll Abbottabad. 33:376–381. 2021.PubMed/NCBI

10 

De Bruyne B, Fearon WF, Pijls NH, Barbato E, Tonino P, Piroth Z, Jagic N, Mobius-Winckler S, Rioufol G, Witt N, et al: Fractional flow reserve-guided PCI for stable coronary artery disease. N Engl J Med. 371:1208–1217. 2014.PubMed/NCBI View Article : Google Scholar

11 

Fairbairn TA, Nieman K, Akasaka T, Nørgaard BL, Berman DS, Raff G, Hurwitz-Koweek LM, Pontone G, Kawasaki T, Sand NP, et al: Real-world clinical utility and impact on clinical decision-making of coronary computed tomography angiography-derived fractional flow reserve: Lessons from the ADVANCE registry. Eur Heart J. 39:3701–3711. 2018.PubMed/NCBI View Article : Google Scholar

12 

Thygesen K, Alpert JS, Jaffe AS, Chaitman BR, Bax JJ, Morrow DA and White HD: Executive Group on behalf of the Joint European Society of Cardiology (ESC)/American College of Cardiology (ACC)/American Heart Association (AHA)/World Heart Federation (WHF) Task Force for the Universal Definition of Myocardial Infarction. Fourth universal definition of myocardial infarction (2018). J Am Coll Cardiol. 72:2231–2264. 2018.PubMed/NCBI View Article : Google Scholar

13 

Collet JP, Thiele H, Barbato E, Barthélémy O, Bauersachs J, Bhatt DL, Dendale P, Dorobantu M, Edvardsen T, Folliguet T, et al: 2020 ESC guidelines for the management of acute coronary syndromes in patients presenting without persistent ST-segment elevation. Eur Heart J. 42:1289–1367. 2021.PubMed/NCBI View Article : Google Scholar

14 

Matsumura-Nakano Y, Kawaji T, Shiomi H, Kawai-Miyake K, Kataoka M, Koizumi K, Matsuda A, Kitano K, Yoshida M, Watanabe H, et al: Optimal cutoff value of fractional flow reserve derived from coronary computed tomography angiography for predicting hemodynamically significant coronary artery disease. Circ Cardiovasc Imaging. 12(e008905)2019.PubMed/NCBI View Article : Google Scholar

15 

Dey D, Achenbach S, Schuhbaeck A, Pflederer T, Nakazato R, Slomka PJ, Berman DS and Marwan M: Comparison of quantitative atherosclerotic plaque burden from coronary CT angiography in patients with first acute coronary syndrome and stable coronary artery disease. J Cardiovasc Comput Tomogr. 8:368–374. 2014.PubMed/NCBI View Article : Google Scholar

16 

DeLong ER, DeLong DM and Clarke-Pearson DL: Comparing the areas under two or more correlated receiver operating characteristic curves: A nonparametric approach. Biometrics. 44:837–845. 1988.PubMed/NCBI

17 

Hoffmann U, Bamberg F, Chae CU, Nichols JH, Rogers IS, Seneviratne SK, Truong QA, Cury RC, Abbara S, Shapiro MD, et al: Coronary computed tomography angiography for early triage of patients with acute chest pain: The ROMICAT (rule out myocardial infarction using computer assisted tomography) trial. J Am Coll Cardiol. 53:1642–1650. 2009.PubMed/NCBI View Article : Google Scholar

18 

Hollander JE, Chang AM, Shofer FS, Collin MJ, Walsh KM, McCusker CM, Baxt WG and Litt HI: One-year outcomes following coronary computerized tomographic angiography for evaluation of emergency department patients with potential acute coronary syndrome. Acad Emerg Med. 16:693–698. 2009.PubMed/NCBI View Article : Google Scholar

19 

Rubinshtein R, Halon DA, Gaspar T, Jaffe R, Karkabi B, Flugelman MY, Kogan A, Shapira R, Peled N and Lewis BS: Usefulness of 64-slice cardiac computed tomographic angiography for diagnosing acute coronary syndromes and predicting clinical outcome in emergency department patients with chest pain of uncertain origin. Circulation. 115:1762–1768. 2007.PubMed/NCBI View Article : Google Scholar

20 

Chang HJ, Lin FY, Lee SE, Andreini D, Bax J, Cademartiri F, Chinnaiyan K, Chow BJW, Conte E, Cury RC, et al: Coronary atherosclerotic precursors of acute coronary syndromes. J Am Coll Cardiol. 71:2511–2522. 2018.PubMed/NCBI View Article : Google Scholar

21 

Tonino PAL, De Bruyne B, Pijls NH, Siebert U, Ikeno F, van 't Veer M, Klauss V, Manoharan G, Engstrøm T, Oldroyd KG, et al: Fractional flow reserve versus angiography for guiding percutaneous coronary intervention. N Engl J Med. 360:213–224. 2009.PubMed/NCBI View Article : Google Scholar

22 

Williams MC, Kwiecinski J, Doris M, McElhinney P, D'Souza MS, Cadet S, Adamson PD, Moss AJ, Alam S, Hunter A, et al: Low-attenuation noncalcified plaque on coronary computed tomography angiography predicts myocardial infarction: Results from the multicenter SCOT-HEART trial (scottish computed tomography of the HEART). Circulation. 141:1452–1462. 2020.PubMed/NCBI View Article : Google Scholar

23 

Si N, Shi K, Li N, Dong X, Zhu C, Guo Y, Hu J, Cui J, Yang F and Zhang T: Identification of patients with acute myocardial infarction based on coronary CT angiography: The value of pericoronary adipose tissue radiomics. Eur Radiol. 32:6868–6877. 2022.PubMed/NCBI View Article : Google Scholar

24 

Lin A, Kolossváry M, Yuvaraj J, Cadet S, McElhinney PA, Jiang C, Nerlekar N, Nicholls SJ, Slomka PJ, Maurovich-Horvat P, et al: Myocardial infarction associates with a distinct pericoronary adipose tissue radiomic phenotype: A prospective case-control study. JACC Cardiovasc Imaging. 13:2371–2383. 2020.PubMed/NCBI View Article : Google Scholar

25 

Benton SM Jr, Tesche C, De Cecco CN, Duguay TM, Schoepf UJ and Bayer RR II: Noninvasive derivation of fractional flow reserve from coronary computed tomographic angiography: A review. J Thorac Imaging. 33:88–96. 2018.PubMed/NCBI View Article : Google Scholar

26 

Tang CX, Wang YN, Zhou F, Schoepf UJ, Assen MV, Stroud RE, Li JH, Zhang XL, Lu MJ, Zhou CS, et al: Diagnostic performance of fractional flow reserve derived from coronary CT angiography for detection of lesion-specific ischemia: A multi-center study and meta-analysis. Eur J Radiol. 116:90–97. 2019.PubMed/NCBI View Article : Google Scholar

27 

Zhuang B, Wang S, Zhao S and Lu M: Computed tomography angiography-derived fractional flow reserve (CT-FFR) for the detection of myocardial ischemia with invasive fractional flow reserve as reference: Systematic review and meta-analysis. Eur Radiol. 30:712–725. 2020.PubMed/NCBI View Article : Google Scholar

28 

Liu X, Wang Y, Zhang H, Yin Y, Cao K, Gao Z, Liu H, Hau WK, Gao L, Chen Y, et al: Evaluation of fractional flow reserve in patients with stable angina: Can CT compete with angiography? Eur Radiol. 29:3669–3677. 2019.PubMed/NCBI View Article : Google Scholar

29 

Liu X, Mo X, Zhang H, Yang G, Shi C and Hau WK: A 2-year investigation of the impact of the computed tomography-derived fractional flow reserve calculated using a deep learning algorithm on routine decision-making for coronary artery disease management. Eur Radiol. 31:7039–7046. 2021.PubMed/NCBI View Article : Google Scholar

30 

Arena M, Caretta G, Gistri R, Tonelli G, Scardigli V, Rezzaghi M, Ragazzini A and Menozzi A: Fractional flow reserve in patients with type 1 or type 2 non-ST elevation acute myocardial infarction. J Cardiovasc Med (Hagerstown). 23:119–126. 2022.PubMed/NCBI View Article : Google Scholar

31 

Tesche C, De Cecco CN, Albrecht MH, Duguay TM, Bayer RR II, Litwin SE, Steinberg DH and Schoepf UJ: Coronary CT angiography-derived fractional flow reserve. Radiology. 285:17–33. 2017.PubMed/NCBI View Article : Google Scholar

Related Articles

  • Abstract
  • View
  • Download
  • Twitter
Copy and paste a formatted citation
Spandidos Publications style
Yang F, Pang Z, Yang Z, Yang Y, Wang Y, Jia P, Wang D and Cui S: Value of CT‑derived fractional flow reserve in identifying patients with acute myocardial infarction based on coronary computed tomography angiography. Exp Ther Med 26: 558, 2023.
APA
Yang, F., Pang, Z., Yang, Z., Yang, Y., Wang, Y., Jia, P. ... Cui, S. (2023). Value of CT‑derived fractional flow reserve in identifying patients with acute myocardial infarction based on coronary computed tomography angiography. Experimental and Therapeutic Medicine, 26, 558. https://doi.org/10.3892/etm.2023.12258
MLA
Yang, F., Pang, Z., Yang, Z., Yang, Y., Wang, Y., Jia, P., Wang, D., Cui, S."Value of CT‑derived fractional flow reserve in identifying patients with acute myocardial infarction based on coronary computed tomography angiography". Experimental and Therapeutic Medicine 26.6 (2023): 558.
Chicago
Yang, F., Pang, Z., Yang, Z., Yang, Y., Wang, Y., Jia, P., Wang, D., Cui, S."Value of CT‑derived fractional flow reserve in identifying patients with acute myocardial infarction based on coronary computed tomography angiography". Experimental and Therapeutic Medicine 26, no. 6 (2023): 558. https://doi.org/10.3892/etm.2023.12258
Copy and paste a formatted citation
x
Spandidos Publications style
Yang F, Pang Z, Yang Z, Yang Y, Wang Y, Jia P, Wang D and Cui S: Value of CT‑derived fractional flow reserve in identifying patients with acute myocardial infarction based on coronary computed tomography angiography. Exp Ther Med 26: 558, 2023.
APA
Yang, F., Pang, Z., Yang, Z., Yang, Y., Wang, Y., Jia, P. ... Cui, S. (2023). Value of CT‑derived fractional flow reserve in identifying patients with acute myocardial infarction based on coronary computed tomography angiography. Experimental and Therapeutic Medicine, 26, 558. https://doi.org/10.3892/etm.2023.12258
MLA
Yang, F., Pang, Z., Yang, Z., Yang, Y., Wang, Y., Jia, P., Wang, D., Cui, S."Value of CT‑derived fractional flow reserve in identifying patients with acute myocardial infarction based on coronary computed tomography angiography". Experimental and Therapeutic Medicine 26.6 (2023): 558.
Chicago
Yang, F., Pang, Z., Yang, Z., Yang, Y., Wang, Y., Jia, P., Wang, D., Cui, S."Value of CT‑derived fractional flow reserve in identifying patients with acute myocardial infarction based on coronary computed tomography angiography". Experimental and Therapeutic Medicine 26, no. 6 (2023): 558. https://doi.org/10.3892/etm.2023.12258
Follow us
  • Twitter
  • LinkedIn
  • Facebook
About
  • Spandidos Publications
  • Careers
  • Cookie Policy
  • Privacy Policy
How can we help?
  • Help
  • Live Chat
  • Contact
  • Email to our Support Team