Spandidos Publications Logo
  • About
    • About Spandidos
    • Aims and Scopes
    • Abstracting and Indexing
    • Editorial Policies
    • Reprints and Permissions
    • Job Opportunities
    • Terms and Conditions
    • Contact
  • Journals
    • All Journals
    • Oncology Letters
      • Oncology Letters
      • Information for Authors
      • Editorial Policies
      • Editorial Board
      • Aims and Scope
      • Abstracting and Indexing
      • Bibliographic Information
      • Archive
    • International Journal of Oncology
      • International Journal of Oncology
      • Information for Authors
      • Editorial Policies
      • Editorial Board
      • Aims and Scope
      • Abstracting and Indexing
      • Bibliographic Information
      • Archive
    • Molecular and Clinical Oncology
      • Molecular and Clinical Oncology
      • Information for Authors
      • Editorial Policies
      • Editorial Board
      • Aims and Scope
      • Abstracting and Indexing
      • Bibliographic Information
      • Archive
    • Experimental and Therapeutic Medicine
      • Experimental and Therapeutic Medicine
      • Information for Authors
      • Editorial Policies
      • Editorial Board
      • Aims and Scope
      • Abstracting and Indexing
      • Bibliographic Information
      • Archive
    • International Journal of Molecular Medicine
      • International Journal of Molecular Medicine
      • Information for Authors
      • Editorial Policies
      • Editorial Board
      • Aims and Scope
      • Abstracting and Indexing
      • Bibliographic Information
      • Archive
    • Biomedical Reports
      • Biomedical Reports
      • Information for Authors
      • Editorial Policies
      • Editorial Board
      • Aims and Scope
      • Abstracting and Indexing
      • Bibliographic Information
      • Archive
    • Oncology Reports
      • Oncology Reports
      • Information for Authors
      • Editorial Policies
      • Editorial Board
      • Aims and Scope
      • Abstracting and Indexing
      • Bibliographic Information
      • Archive
    • Molecular Medicine Reports
      • Molecular Medicine Reports
      • Information for Authors
      • Editorial Policies
      • Editorial Board
      • Aims and Scope
      • Abstracting and Indexing
      • Bibliographic Information
      • Archive
    • World Academy of Sciences Journal
      • World Academy of Sciences Journal
      • Information for Authors
      • Editorial Policies
      • Editorial Board
      • Aims and Scope
      • Abstracting and Indexing
      • Bibliographic Information
      • Archive
    • International Journal of Functional Nutrition
      • International Journal of Functional Nutrition
      • Information for Authors
      • Editorial Policies
      • Editorial Board
      • Aims and Scope
      • Abstracting and Indexing
      • Bibliographic Information
      • Archive
    • International Journal of Epigenetics
      • International Journal of Epigenetics
      • Information for Authors
      • Editorial Policies
      • Editorial Board
      • Aims and Scope
      • Abstracting and Indexing
      • Bibliographic Information
      • Archive
    • Medicine International
      • Medicine International
      • Information for Authors
      • Editorial Policies
      • Editorial Board
      • Aims and Scope
      • Abstracting and Indexing
      • Bibliographic Information
      • Archive
  • Articles
  • Information
    • Information for Authors
    • Information for Reviewers
    • Information for Librarians
    • Information for Advertisers
    • Conferences
  • Language Editing
Spandidos Publications Logo
  • About
    • About Spandidos
    • Aims and Scopes
    • Abstracting and Indexing
    • Editorial Policies
    • Reprints and Permissions
    • Job Opportunities
    • Terms and Conditions
    • Contact
  • Journals
    • All Journals
    • Biomedical Reports
      • Information for Authors
      • Editorial Policies
      • Editorial Board
      • Aims and Scope
      • Abstracting and Indexing
      • Bibliographic Information
      • Archive
    • Experimental and Therapeutic Medicine
      • Information for Authors
      • Editorial Policies
      • Editorial Board
      • Aims and Scope
      • Abstracting and Indexing
      • Bibliographic Information
      • Archive
    • International Journal of Epigenetics
      • Information for Authors
      • Editorial Policies
      • Editorial Board
      • Aims and Scope
      • Abstracting and Indexing
      • Bibliographic Information
      • Archive
    • International Journal of Functional Nutrition
      • Information for Authors
      • Editorial Policies
      • Editorial Board
      • Aims and Scope
      • Abstracting and Indexing
      • Bibliographic Information
      • Archive
    • International Journal of Molecular Medicine
      • Information for Authors
      • Editorial Policies
      • Editorial Board
      • Aims and Scope
      • Abstracting and Indexing
      • Bibliographic Information
      • Archive
    • International Journal of Oncology
      • Information for Authors
      • Editorial Policies
      • Editorial Board
      • Aims and Scope
      • Abstracting and Indexing
      • Bibliographic Information
      • Archive
    • Medicine International
      • Information for Authors
      • Editorial Policies
      • Editorial Board
      • Aims and Scope
      • Abstracting and Indexing
      • Bibliographic Information
      • Archive
    • Molecular and Clinical Oncology
      • Information for Authors
      • Editorial Policies
      • Editorial Board
      • Aims and Scope
      • Abstracting and Indexing
      • Bibliographic Information
      • Archive
    • Molecular Medicine Reports
      • Information for Authors
      • Editorial Policies
      • Editorial Board
      • Aims and Scope
      • Abstracting and Indexing
      • Bibliographic Information
      • Archive
    • Oncology Letters
      • Information for Authors
      • Editorial Policies
      • Editorial Board
      • Aims and Scope
      • Abstracting and Indexing
      • Bibliographic Information
      • Archive
    • Oncology Reports
      • Information for Authors
      • Editorial Policies
      • Editorial Board
      • Aims and Scope
      • Abstracting and Indexing
      • Bibliographic Information
      • Archive
    • World Academy of Sciences Journal
      • Information for Authors
      • Editorial Policies
      • Editorial Board
      • Aims and Scope
      • Abstracting and Indexing
      • Bibliographic Information
      • Archive
  • Articles
  • Information
    • For Authors
    • For Reviewers
    • For Librarians
    • For Advertisers
    • Conferences
  • Language Editing
Login Register Submit
  • This site uses cookies
  • You can change your cookie settings at any time by following the instructions in our Cookie Policy. To find out more, you may read our Privacy Policy.

    I agree
Search articles by DOI, keyword, author or affiliation
Search
Advanced Search
presentation
Experimental and Therapeutic Medicine
Join Editorial Board Propose a Special Issue
Print ISSN: 1792-0981 Online ISSN: 1792-1015
Journal Cover
December-2023 Volume 26 Issue 6

Full Size Image

Sign up for eToc alerts
Recommend to Library

Journals

International Journal of Molecular Medicine

International Journal of Molecular Medicine

International Journal of Molecular Medicine is an international journal devoted to molecular mechanisms of human disease.

International Journal of Oncology

International Journal of Oncology

International Journal of Oncology is an international journal devoted to oncology research and cancer treatment.

Molecular Medicine Reports

Molecular Medicine Reports

Covers molecular medicine topics such as pharmacology, pathology, genetics, neuroscience, infectious diseases, molecular cardiology, and molecular surgery.

Oncology Reports

Oncology Reports

Oncology Reports is an international journal devoted to fundamental and applied research in Oncology.

Experimental and Therapeutic Medicine

Experimental and Therapeutic Medicine

Experimental and Therapeutic Medicine is an international journal devoted to laboratory and clinical medicine.

Oncology Letters

Oncology Letters

Oncology Letters is an international journal devoted to Experimental and Clinical Oncology.

Biomedical Reports

Biomedical Reports

Explores a wide range of biological and medical fields, including pharmacology, genetics, microbiology, neuroscience, and molecular cardiology.

Molecular and Clinical Oncology

Molecular and Clinical Oncology

International journal addressing all aspects of oncology research, from tumorigenesis and oncogenes to chemotherapy and metastasis.

World Academy of Sciences Journal

World Academy of Sciences Journal

Multidisciplinary open-access journal spanning biochemistry, genetics, neuroscience, environmental health, and synthetic biology.

International Journal of Functional Nutrition

International Journal of Functional Nutrition

Open-access journal combining biochemistry, pharmacology, immunology, and genetics to advance health through functional nutrition.

International Journal of Epigenetics

International Journal of Epigenetics

Publishes open-access research on using epigenetics to advance understanding and treatment of human disease.

Medicine International

Medicine International

An International Open Access Journal Devoted to General Medicine.

Journal Cover
December-2023 Volume 26 Issue 6

Full Size Image

Sign up for eToc alerts
Recommend to Library

  • Article
  • Citations
    • Cite This Article
    • Download Citation
    • Create Citation Alert
    • Remove Citation Alert
    • Cited By
  • Similar Articles
    • Related Articles (in Spandidos Publications)
    • Similar Articles (Google Scholar)
    • Similar Articles (PubMed)
  • Download PDF
  • Download XML
  • View XML
Case Report

Treatment and diagnosis of hyperlipidemia acute pancreatitis in pregnancy associated with pre‑pregnancy obesity and diabetes: A case report

  • Authors:
    • Weiping Cao
    • Xia Ni
    • Mengwen Gan
    • Bing Xie
    • Yurong Xie
    • Qin Wang
    • Lishi Meng
    • Chao He
    • Juan Chen
    • Xinzhi Wang
  • View Affiliations / Copyright

    Affiliations: Department of Obstetrics, Maternity and Child Health Hospital of Zhenjiang, Zhenjiang, Jiangsu 212001, P.R. China, Department of Nursing, School of Medicine, Jiangsu University, Zhenjiang, Jiangsu 212013, P.R. China, Department of Computed Tomography, Maternity and Child Health Hospital of Zhenjiang, Zhenjiang, Jiangsu 212001, P.R. China, Central Laboratory of Medicine, Maternity and Child Health Hospital of Zhenjiang, Zhenjiang, Jiangsu 212001, P.R. China, New Drug Screening Center, Jiangsu Center for Pharmacodynamics Research and Evaluation, China Pharmaceutical University, Nanjing, Jiangsu 210009, P.R. China
  • Article Number: 573
    |
    Published online on: October 24, 2023
       https://doi.org/10.3892/etm.2023.12272
  • Expand metrics +
Metrics: Total Views: 0 (Spandidos Publications: | PMC Statistics: )
Metrics: Total PDF Downloads: 0 (Spandidos Publications: | PMC Statistics: )
Cited By (CrossRef): 0 citations Loading Articles...

This article is mentioned in:



Abstract

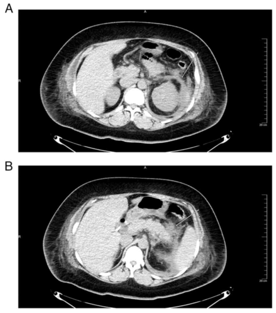
Hyperlipidemia acute pancreatitis (HLAP) is a specific type of pancreatitis mainly caused by elevated serum triglyceride (TG) levels. Therefore, knowledge of patients' medical history is crucial to the identification of those at high risk of HLAP. Diabetes and obesity are associated with high levels of triglycerides, a risk factor for the development of HLAP, which should be controlled before pregnancy. Moreover, HLAP is associated with additional diagnostic and management challenges related to hyperlipidemia (HL) and pregnancy. HLAP during pregnancy has a rapid onset and rapid progression, and complications are more likely to damage the function of multiple organs. HLAP is more common after 28 weeks of pregnancy, the cause is mostly high TG and the serum TG of the patient is often >1,000 mg/d1. Clinicians should be alert to the occurrence of server acute pancreatitis (AP). Therefore, clinicians need to identify and implement effective treatment in a timely manner to control the progression of HLAP during pregnancy and improve pregnancy outcomes. The present study reported the case of a 26‑year‑old pregnant patient who was hospitalized for epigastric pain at 35 weeks and 2 days of gestation. Medical and family history reported previous diagnoses of diabetes and obesity (weight before pregnancy, 103 kg; BMI, 36.40 kg/m2). Laboratory tests demonstrated high levels of lipase and amylase, a notable systemic inflammatory response, HL, coagulopathy, hypoproteinemia and hyperglycemia. Abdominal ultrasonography demonstrated a hypoechoic pancreatic head. A clinical diagnosis of AP was confirmed using CT scanning. Initial interventions for HLAP included aggressive intravenous hydration, bowel rest, pain control and a combination of heparin and insulin. Lipid‑lowering agents were administered to reduce serum lipid levels. Hemoperfusion and continuous renal replacement therapy were also used to rapidly counteract the elevated lipid levels. Antibiotics were administered in the present case because inflammatory markers such as leukocytes, neutrophils and C‑reactive protein were elevated. The patient and newborn were discharged 11 days after hospitalization, with an improvement in maternal clinical health and the infant was healthy. When evaluating pregnant patients with pre‑obesity and diabetes presenting with abdominal pain, obstetricians should consider HLAP. Timely diagnosis and multi‑team precision treatment are effective for good outcomes for mother and baby.
View Figures

Figure 1

Figure 2

View References

1 

Cain MA, Ellis J, Vengrove MA, Wilcox B, Yankowitz J and Smulian JC: Gallstone and severe hypertriglyceride-induced pancreatitis in pregnancy. Obstet Gynecol Surv. 70:577–583. 2015.PubMed/NCBI View Article : Google Scholar

2 

Mali P: Pancreatitis in pregnancy: Etiology, diagnosis, treatment, and outcomes. Hepatobiliary Pancreat Dis Int. 15:434–438. 2016.PubMed/NCBI View Article : Google Scholar

3 

Jain P: Acute pancreatitis in pregnancy: An unresolved issue. World J Gastroenterol. 16:2065–2066. 2010.PubMed/NCBI View Article : Google Scholar

4 

Hacker FM, Whalen PS, Lee VR and Caughey AB: Maternal and fetal outcomes of pancreatitis in pregnancy. Am J Obstet Gynecol. 213:568.e1–e5. 2015.PubMed/NCBI View Article : Google Scholar

5 

Cai E, Czuzoj-Shulman N and Abenhaim HA: Perinatal outcomes in pregnancies complicated by acute pancreatitis. J Perinat Med. 50:68–73. 2021.PubMed/NCBI View Article : Google Scholar

6 

Yang AL and McNabb-Baltar J: Hypertriglyceridemia and acute pancreatitis. Pancreatology. 20:795–800. 2020.PubMed/NCBI View Article : Google Scholar

7 

Athar S, Ramawat J and Aziz MA: Hypertriglyceridemia induced acute pancreatitis in pregnancy: Learning experiences and challenges of a case report. Clin J Obstet Gynecol. 2:6–12. 2019.

8 

Pancreas Study Group, Chinese Society of Gastroenterology, Chinese Medical Association, Editorial Board of Chinese Journal of Pancreatology, Editorial Board of Chinese Journal of Digestion. Chinese guidelines for the management of acute pancreatitis (Shenyang, 2019). J Clin Hepatol. 35:2706–2711. 2019.

9 

Pascual I, Sanahuja A, García N, Vázquez P, Moreno O, Tosca J, Peña A, Garayoa A, Lluch P and Mora F: Association of elevated serum triglyceride levels with a more severe course of acute pancreatitis: Cohort analysis of 1457 patients. Pancreatology. 19:623–629. 2019.PubMed/NCBI View Article : Google Scholar

10 

Vipperla K, Somerville C, Furlan A, Koutroumpakis E, Saul M, Chennat J, Rabinovitz M, Whitcomb DC, Slivka A, Papachristou GI and Yadav D: Clinical profile and natural course in a large cohort of patients with hypertriglyceridemia and pancreatitis. J Clin Gastroenterol. 51:77–85. 2017.PubMed/NCBI View Article : Google Scholar

11 

Schepers NJ, Bakker OJ, Besselink MG, Ahmed Ali U, Bollen TL, Gooszen HG, van Santvoort HC and Bruno MJ: Dutch Pancreatitis Study Group. Impact of characteristics of organ failure and infected necrosis on mortality in necrotising pancreatitis. Gut. 68:1044–1051. 2019.PubMed/NCBI View Article : Google Scholar

12 

Mosztbacher D, Hanák L, Farkas N, Szentesi A, Mikó A, Bajor J, Sarlós P, Czimmer J, Vincze Á, Hegyi PJ, et al: Hypertriglyceridemia induced acute pancreatitis: A prospective, multicenter, international cohort analysis of 716 acute pancreatitis cases. Pancreatology. 20:608–616. 2020.PubMed/NCBI View Article : Google Scholar

13 

Wang Q, Wang G, Qiu Z, He X and Liu C: Elevated serum triglycerides in the prognostic assessment of acute pancreatitis: A systematic review and meta-analysis of observational studies. J Clin Gastroenterol. 51:586–593. 2017.PubMed/NCBI View Article : Google Scholar

14 

Van Dijk SM, Hallensleben NDL, van Santvoort HC, Fockens P, van Goor H, Bruno MJ and Besselink MG: Dutch Pancreatitis Study Group. Acute pancreatitis: Recent advances through randomised trials. Gut. 66:2024–2032. 2017.PubMed/NCBI View Article : Google Scholar

15 

Banks PA, Bollen TL, Dervenis C, Gooszen HG, Johnson CD, Sarr MG, Tsiotos GG and Vege SS: Acute Pancreatitis Classification Working Group. Classification of acute pancreatitis-2012: Revision of the atlanta classification and definitions by international consensus. Gut. 62:102–111. 2013.PubMed/NCBI View Article : Google Scholar

16 

Khatua B, El-Kurdi B and Singh VP: Obesity and pancreatitis. Curr Opin Gastroenterol. 33:374–382. 2017.PubMed/NCBI View Article : Google Scholar

17 

Simmons SC, Dorn DP, Walton CM, Williams LA III and Pham HP: Hypertriglyceridemia in pregnancy. Transfusion. 57:2824–2825. 2017.PubMed/NCBI View Article : Google Scholar

18 

Rawla P, Sunkara T, Thandra KC and Gaduputi V: Hypertriglyceridemia-induced pancreatitis: Updated review of current treatment and preventive strategies. Clin J Gastroenterol. 11:441–448. 2018.PubMed/NCBI View Article : Google Scholar

19 

Pancreatic Surgery Group, Surgical Branch of Chinese Medical Association. Guidelines for the diagnosis and treatment of acute pancreatitis in China (2021). Chinese Journal of Practical Surgery. 41:739–746. 2021.PubMed/NCBI View Article : Google Scholar

20 

Benson M, Arena Goncharov D and Jain S: Diagnosis and management of acute pancreatitis in pregnancy. Clin Obstet Gyneco1. 66:237–249. 2023.PubMed/NCBI View Article : Google Scholar

21 

Garg R and Rustagi T: Management of hypertriglyceridemia induced acute pancreatitis. Biomed Res Int. 2018(4721357)2018.PubMed/NCBI View Article : Google Scholar

22 

Knaus WA, Draper EA and Wagner DPl: APACHE Ⅱ: A severity of disease classification system. Crit Care Med. 13:818–829. 1985.PubMed/NCBI

23 

Witcher TJ, Jurdi S, Kumar V, Gupta A, Moores RR Jr, Khoury J and Rozycki HJ: Neonatal Resuscitation and Adaptation Score vs Apgar: Newborn assessment and predictive ability. J Perinatol. 38:1476–1482. 2018.PubMed/NCBI View Article : Google Scholar

24 

Jin J: Application of multi-slice spiral CT in the diagnosis of pancreatic cancer. Modern Diagnosis and Treatment. 32:1094–1095. 2021.(In Chinese).

25 

Amin T, Poon LC, Teoh TG, Moorthy K, Robinson S, Neary N and Valabhji J: Management of hypertriglyceridemia-induced acute pancreatitis in pregnancy. J Matern Fetal Neonatal Med. 28:954–958. 2015.PubMed/NCBI View Article : Google Scholar

26 

Papachristou GI and Whitcomb DC: Inflammatory markers of disease severity in acute pancreatitis. Clin Lab Med. 25:17–37. 2005.PubMed/NCBI View Article : Google Scholar

27 

Shah AP, Mourad MM and Bramhall SR: Acute pancreatitis: Current perspectives on diagnosis and management. J Inflamm Res. 11:77–85. 2018.PubMed/NCBI View Article : Google Scholar

28 

Laufs U, Parhofer KG, Ginsberg HN and Hegele RA: Clinical review on triglycerides. Eur Heart J. 41:99–109c. 2020.PubMed/NCBI View Article : Google Scholar

29 

Pedersen SB, Langsted A and Nordestgaard BG: Non-fasting mild-to-moderate hypertriglyceridemia and risk of acute pancreatitis. JAMA Intern Med. 176:1834–1842. 2016.PubMed/NCBI View Article : Google Scholar

30 

Cruciat G, Nemeti G, Goidescu I, Anitan S and Florian A: Hypertriglyceridemia triggered acute pancreatitis in pregnancy-giagnonostic approach, management and follow-up care. Lipids Health Dis. 19(2)2020.PubMed/NCBI View Article : Google Scholar

31 

Zeng L, Cai X, Chen J, Jin G and Zheng Y: Role of mean platelet volume in hypertriglyceridemia-induced acute pancreatitis during pregnancy. BMC Pregnancy Childbirth. 20(592)2020.PubMed/NCBI View Article : Google Scholar

32 

Lei JJ, Zhou L, Liu Q, Xiong C and Xu CF: Can mean platelet volume play a role in evaluating the severity of acute pancreatitis. World J Gastroenterol. 23:2404–2413. 2017.PubMed/NCBI View Article : Google Scholar

33 

Valaiyapathi B, Sunil B and Ashraf AP: Approach to hypertriglyceridemia in the pediatric population. Pediatr Rev. 8:424–434. 2017.PubMed/NCBI View Article : Google Scholar

34 

Gupta M, Liti B, Barrett C, Thompson PD and Fernandez AB: Prevention and management of hypertriglyceridemia-induced acute pancreatitis during pregnancy: A systematic review. Am J Med. 135:709–714. 2022.PubMed/NCBI View Article : Google Scholar

35 

Padmanabhan A, Connelly-Smith L, Aqui N, Balogun RA, Klingel R, Meyer E, Pham HP, Schneiderman J, Witt V, Wu Y, et al: Guidelines on the use of therapeutic apheresis in clinical practice-evidence-based approach from the writing committee of the American society for apheresis: The eighth special issue. J Clin Apher. 34:171–354. 2019.PubMed/NCBI View Article : Google Scholar

36 

Kuchay MS, Farooqui KJ, Bano T, Khandelwal M, Gill H and Mithal A: Heparin and insulin in the management of hypertriglyceridemia-associated pancreatitis: Case series and literature review. Arch Endocrinol Metab. 61:198–201. 2017.PubMed/NCBI View Article : Google Scholar

37 

James TW and Crpckett SD: Management of acute pancreatitis in the first 72 hours. Curr Opin Gastroenterol. 34:330–335. 2018.PubMed/NCBI View Article : Google Scholar

38 

Liu S, Zheng B and He Y: Effect of early plasma exchange combined with continuous blood filtration in treatment of severe acute pancreatitis. Chin J Modern Med. 19:3323–3325. 2009.(In Chinese).

39 

Noel P, Patel K, Durgampudi C, Trivedi RN, de Oliveira C, Crowell MD, Pannala R, Lee K, Brand R, Chennat J, et al: Per-pancreatic fat necrosis worsens acute pancreatitis independent of pancreatic necrosis via unsaturated fatty acids increased in human pancreatic necrosis collections. Gut. 65:100–111. 2016.PubMed/NCBI View Article : Google Scholar

40 

Kilinc F, Senates E, Demircan F, Pekkolay Z, Gozel N, Guven M, Bahcecioglu IH and Tuzcu AK: Are There Differences in the Management of Acute Pancreatitis Cases Due to Severe Hypertriglyceridemia in Pregnant Women? Med Sci Monit. 24:5619–5623. 2018.PubMed/NCBI View Article : Google Scholar

41 

Landry A, Docherty P, Ouellette S and Cartier LJ: Causes and outcomes of markedly elevated C-reactive protein levels. Can Fam Physician. 63:e316–e323. 2017.PubMed/NCBI

42 

Komolafe O, Pereira SP, Davidson BR and Gurusamy KS: Serum C-reactive protein, procalcitonin, and lactate dehydrogenase for the diagnosis of pancreatic necrosis. Cochrane Database Syst Rev. 4(CD012645)2017.PubMed/NCBI View Article : Google Scholar

43 

Demirkol ME, Aktas G, Bilgin S, Kahveci G, Kurtkulagi O, Atak BM and Duman TT: C-reactive protein to lymphocyte count ratio is a promising novel marker in hepatitis C infection: The clear hep-c study. Rev Assoc Med Bras (1992). 68:838–841. 2022.PubMed/NCBI View Article : Google Scholar

44 

Sendler M, Van den Brandt C, Glaubitz J, Wilden A, Golchert J, Weiss FU, Homuth G, De Freitas Chama LL, Mishra N, Mahajan UM, et al: NLRP3 inflammasome regulates development of systemic inflammatory response and compensatory anti-inflammatory response syndromes in mice with acute pancreatitis. Gastroenterology. 158:253–269. e14. 2020.PubMed/NCBI View Article : Google Scholar

45 

Cao W, Ni X, Wang Q, Li J, Li Y, Chen T and Wang X: Early diagnosis and precision treatment of right ovarian veinand inferior vena cava thrombosis following caesarean section: A case report. Exp Ther Med. 19:2923–2926. 2020.PubMed/NCBI View Article : Google Scholar

46 

Watanabe T, Kudo M and Strober W: Immunopathogenesis of pancreatitis. Mucosal Immunol. 10:283–298. 2017.PubMed/NCBI View Article : Google Scholar

47 

Xi L and Yingchun Z: Value of combined detection of serum amylase, C-reactive protein and leukocytes in the differential of acute pancreatitis. Laboratory Medicine and Clinic (Chinese). 16:161–163. 2019.

48 

Salomone T, Tosi P, Palareti G, Tomassetti P, Migliori M, Guariento A, Saieva C, Raiti C, Romboli M and Gullo L: Coagulative disorders in human acute pancreatitis: Role for the D-dimer. Pancreas. 26:111–116. 2003.PubMed/NCBI View Article : Google Scholar

49 

Badhal SS, Sharma S, Saraya A and Mukhopadhyay AK: Prognostic significance of D-dimer, natural anti-coagulants and routine coagulation parameters in acute pancreatitis. Trop Gastroenterol. 33:193–199. 2012.PubMed/NCBI View Article : Google Scholar

50 

Hong W, Lin S, Zippi M, Geng W, Stock S, Basharat Z, Cheng B, Pan J and Zhou M: Serum albumin is independently associate d with persistent organ failure in acute pancreatitis. Can J Gastroenterol Hepatol. 2017(5297143)2017.PubMed/NCBI View Article : Google Scholar

51 

Horwich TB, Kalantar-Zadeh K, MacLellan RW and Fonarow GC: Albumin levels predict survival in patients with systolic heart failure. Am Heart J. 155:883–889. 2008.PubMed/NCBI View Article : Google Scholar

52 

Li Y, Lin S, Shu J, Hong W and Pan J: Bedside severity index plus serum albumin test for acute pancreatitis in early assessment of acute pancreatitis severity. Chinese Journal of Digestion. 39:868–871. 2019.(In Chinese).

53 

Ismail OZ and Bhayana V: Lipase or amylase for the diagnosis of acute pancreatitis? Clin Biochem. 50:1275–1280. 2017.PubMed/NCBI View Article : Google Scholar

54 

Alam A, Rahman MFU and Rahman M: A case of acute pancreatitis with normal serum lipase. Bangladesh Med J. 43:162–164. 2016.

55 

Hameed AM, Lam VW and Pleass HC: Significant elevations of serum lipase not caused by pancreatitis: A systematic review. HPB (Oxford). 17:99–112. 2015.PubMed/NCBI View Article : Google Scholar

56 

IAP/APA Evidence-Based Guidelines for the Management of Acute Pancreatitis. Working Group IAP/APA Acute Pancreatitis Guidelines. Pancreatology. 13 (Suppl. 2):e1–e15. 2013.PubMed/NCBI View Article : Google Scholar

57 

Crockett SD, Wani S, Gardner TB, Falck-Ytter Y and Barkun AN: American Gastroenterological Association Institute Clinical Guidelines Committee. American Gastroenterological Association Institute Guideline on Initial Management of Acute Pancreatitis. Gastroenterology. 154:1096–1101. 2018.PubMed/NCBI View Article : Google Scholar

Related Articles

  • Abstract
  • View
  • Download
  • Twitter
Copy and paste a formatted citation
Spandidos Publications style
Cao W, Ni X, Gan M, Xie B, Xie Y, Wang Q, Meng L, He C, Chen J, Wang X, Wang X, et al: Treatment and diagnosis of hyperlipidemia acute pancreatitis in pregnancy associated with pre‑pregnancy obesity and diabetes: A case report. Exp Ther Med 26: 573, 2023.
APA
Cao, W., Ni, X., Gan, M., Xie, B., Xie, Y., Wang, Q. ... Wang, X. (2023). Treatment and diagnosis of hyperlipidemia acute pancreatitis in pregnancy associated with pre‑pregnancy obesity and diabetes: A case report. Experimental and Therapeutic Medicine, 26, 573. https://doi.org/10.3892/etm.2023.12272
MLA
Cao, W., Ni, X., Gan, M., Xie, B., Xie, Y., Wang, Q., Meng, L., He, C., Chen, J., Wang, X."Treatment and diagnosis of hyperlipidemia acute pancreatitis in pregnancy associated with pre‑pregnancy obesity and diabetes: A case report". Experimental and Therapeutic Medicine 26.6 (2023): 573.
Chicago
Cao, W., Ni, X., Gan, M., Xie, B., Xie, Y., Wang, Q., Meng, L., He, C., Chen, J., Wang, X."Treatment and diagnosis of hyperlipidemia acute pancreatitis in pregnancy associated with pre‑pregnancy obesity and diabetes: A case report". Experimental and Therapeutic Medicine 26, no. 6 (2023): 573. https://doi.org/10.3892/etm.2023.12272
Copy and paste a formatted citation
x
Spandidos Publications style
Cao W, Ni X, Gan M, Xie B, Xie Y, Wang Q, Meng L, He C, Chen J, Wang X, Wang X, et al: Treatment and diagnosis of hyperlipidemia acute pancreatitis in pregnancy associated with pre‑pregnancy obesity and diabetes: A case report. Exp Ther Med 26: 573, 2023.
APA
Cao, W., Ni, X., Gan, M., Xie, B., Xie, Y., Wang, Q. ... Wang, X. (2023). Treatment and diagnosis of hyperlipidemia acute pancreatitis in pregnancy associated with pre‑pregnancy obesity and diabetes: A case report. Experimental and Therapeutic Medicine, 26, 573. https://doi.org/10.3892/etm.2023.12272
MLA
Cao, W., Ni, X., Gan, M., Xie, B., Xie, Y., Wang, Q., Meng, L., He, C., Chen, J., Wang, X."Treatment and diagnosis of hyperlipidemia acute pancreatitis in pregnancy associated with pre‑pregnancy obesity and diabetes: A case report". Experimental and Therapeutic Medicine 26.6 (2023): 573.
Chicago
Cao, W., Ni, X., Gan, M., Xie, B., Xie, Y., Wang, Q., Meng, L., He, C., Chen, J., Wang, X."Treatment and diagnosis of hyperlipidemia acute pancreatitis in pregnancy associated with pre‑pregnancy obesity and diabetes: A case report". Experimental and Therapeutic Medicine 26, no. 6 (2023): 573. https://doi.org/10.3892/etm.2023.12272
Follow us
  • Twitter
  • LinkedIn
  • Facebook
About
  • Spandidos Publications
  • Careers
  • Cookie Policy
  • Privacy Policy
How can we help?
  • Help
  • Live Chat
  • Contact
  • Email to our Support Team