Spandidos Publications Logo
  • About
    • About Spandidos
    • Aims and Scopes
    • Abstracting and Indexing
    • Editorial Policies
    • Reprints and Permissions
    • Job Opportunities
    • Terms and Conditions
    • Contact
  • Journals
    • All Journals
    • Oncology Letters
      • Oncology Letters
      • Information for Authors
      • Editorial Policies
      • Editorial Board
      • Aims and Scope
      • Abstracting and Indexing
      • Bibliographic Information
      • Archive
    • International Journal of Oncology
      • International Journal of Oncology
      • Information for Authors
      • Editorial Policies
      • Editorial Board
      • Aims and Scope
      • Abstracting and Indexing
      • Bibliographic Information
      • Archive
    • Molecular and Clinical Oncology
      • Molecular and Clinical Oncology
      • Information for Authors
      • Editorial Policies
      • Editorial Board
      • Aims and Scope
      • Abstracting and Indexing
      • Bibliographic Information
      • Archive
    • Experimental and Therapeutic Medicine
      • Experimental and Therapeutic Medicine
      • Information for Authors
      • Editorial Policies
      • Editorial Board
      • Aims and Scope
      • Abstracting and Indexing
      • Bibliographic Information
      • Archive
    • International Journal of Molecular Medicine
      • International Journal of Molecular Medicine
      • Information for Authors
      • Editorial Policies
      • Editorial Board
      • Aims and Scope
      • Abstracting and Indexing
      • Bibliographic Information
      • Archive
    • Biomedical Reports
      • Biomedical Reports
      • Information for Authors
      • Editorial Policies
      • Editorial Board
      • Aims and Scope
      • Abstracting and Indexing
      • Bibliographic Information
      • Archive
    • Oncology Reports
      • Oncology Reports
      • Information for Authors
      • Editorial Policies
      • Editorial Board
      • Aims and Scope
      • Abstracting and Indexing
      • Bibliographic Information
      • Archive
    • Molecular Medicine Reports
      • Molecular Medicine Reports
      • Information for Authors
      • Editorial Policies
      • Editorial Board
      • Aims and Scope
      • Abstracting and Indexing
      • Bibliographic Information
      • Archive
    • World Academy of Sciences Journal
      • World Academy of Sciences Journal
      • Information for Authors
      • Editorial Policies
      • Editorial Board
      • Aims and Scope
      • Abstracting and Indexing
      • Bibliographic Information
      • Archive
    • International Journal of Functional Nutrition
      • International Journal of Functional Nutrition
      • Information for Authors
      • Editorial Policies
      • Editorial Board
      • Aims and Scope
      • Abstracting and Indexing
      • Bibliographic Information
      • Archive
    • International Journal of Epigenetics
      • International Journal of Epigenetics
      • Information for Authors
      • Editorial Policies
      • Editorial Board
      • Aims and Scope
      • Abstracting and Indexing
      • Bibliographic Information
      • Archive
    • Medicine International
      • Medicine International
      • Information for Authors
      • Editorial Policies
      • Editorial Board
      • Aims and Scope
      • Abstracting and Indexing
      • Bibliographic Information
      • Archive
  • Articles
  • Information
    • Information for Authors
    • Information for Reviewers
    • Information for Librarians
    • Information for Advertisers
    • Conferences
  • Language Editing
Spandidos Publications Logo
  • About
    • About Spandidos
    • Aims and Scopes
    • Abstracting and Indexing
    • Editorial Policies
    • Reprints and Permissions
    • Job Opportunities
    • Terms and Conditions
    • Contact
  • Journals
    • All Journals
    • Biomedical Reports
      • Information for Authors
      • Editorial Policies
      • Editorial Board
      • Aims and Scope
      • Abstracting and Indexing
      • Bibliographic Information
      • Archive
    • Experimental and Therapeutic Medicine
      • Information for Authors
      • Editorial Policies
      • Editorial Board
      • Aims and Scope
      • Abstracting and Indexing
      • Bibliographic Information
      • Archive
    • International Journal of Epigenetics
      • Information for Authors
      • Editorial Policies
      • Editorial Board
      • Aims and Scope
      • Abstracting and Indexing
      • Bibliographic Information
      • Archive
    • International Journal of Functional Nutrition
      • Information for Authors
      • Editorial Policies
      • Editorial Board
      • Aims and Scope
      • Abstracting and Indexing
      • Bibliographic Information
      • Archive
    • International Journal of Molecular Medicine
      • Information for Authors
      • Editorial Policies
      • Editorial Board
      • Aims and Scope
      • Abstracting and Indexing
      • Bibliographic Information
      • Archive
    • International Journal of Oncology
      • Information for Authors
      • Editorial Policies
      • Editorial Board
      • Aims and Scope
      • Abstracting and Indexing
      • Bibliographic Information
      • Archive
    • Medicine International
      • Information for Authors
      • Editorial Policies
      • Editorial Board
      • Aims and Scope
      • Abstracting and Indexing
      • Bibliographic Information
      • Archive
    • Molecular and Clinical Oncology
      • Information for Authors
      • Editorial Policies
      • Editorial Board
      • Aims and Scope
      • Abstracting and Indexing
      • Bibliographic Information
      • Archive
    • Molecular Medicine Reports
      • Information for Authors
      • Editorial Policies
      • Editorial Board
      • Aims and Scope
      • Abstracting and Indexing
      • Bibliographic Information
      • Archive
    • Oncology Letters
      • Information for Authors
      • Editorial Policies
      • Editorial Board
      • Aims and Scope
      • Abstracting and Indexing
      • Bibliographic Information
      • Archive
    • Oncology Reports
      • Information for Authors
      • Editorial Policies
      • Editorial Board
      • Aims and Scope
      • Abstracting and Indexing
      • Bibliographic Information
      • Archive
    • World Academy of Sciences Journal
      • Information for Authors
      • Editorial Policies
      • Editorial Board
      • Aims and Scope
      • Abstracting and Indexing
      • Bibliographic Information
      • Archive
  • Articles
  • Information
    • For Authors
    • For Reviewers
    • For Librarians
    • For Advertisers
    • Conferences
  • Language Editing
Login Register Submit
  • This site uses cookies
  • You can change your cookie settings at any time by following the instructions in our Cookie Policy. To find out more, you may read our Privacy Policy.

    I agree
Search articles by DOI, keyword, author or affiliation
Search
Advanced Search
presentation
Experimental and Therapeutic Medicine
Join Editorial Board Propose a Special Issue
Print ISSN: 1792-0981 Online ISSN: 1792-1015
Journal Cover
January-2024 Volume 27 Issue 1

Full Size Image

Sign up for eToc alerts
Recommend to Library

Journals

International Journal of Molecular Medicine

International Journal of Molecular Medicine

International Journal of Molecular Medicine is an international journal devoted to molecular mechanisms of human disease.

International Journal of Oncology

International Journal of Oncology

International Journal of Oncology is an international journal devoted to oncology research and cancer treatment.

Molecular Medicine Reports

Molecular Medicine Reports

Covers molecular medicine topics such as pharmacology, pathology, genetics, neuroscience, infectious diseases, molecular cardiology, and molecular surgery.

Oncology Reports

Oncology Reports

Oncology Reports is an international journal devoted to fundamental and applied research in Oncology.

Experimental and Therapeutic Medicine

Experimental and Therapeutic Medicine

Experimental and Therapeutic Medicine is an international journal devoted to laboratory and clinical medicine.

Oncology Letters

Oncology Letters

Oncology Letters is an international journal devoted to Experimental and Clinical Oncology.

Biomedical Reports

Biomedical Reports

Explores a wide range of biological and medical fields, including pharmacology, genetics, microbiology, neuroscience, and molecular cardiology.

Molecular and Clinical Oncology

Molecular and Clinical Oncology

International journal addressing all aspects of oncology research, from tumorigenesis and oncogenes to chemotherapy and metastasis.

World Academy of Sciences Journal

World Academy of Sciences Journal

Multidisciplinary open-access journal spanning biochemistry, genetics, neuroscience, environmental health, and synthetic biology.

International Journal of Functional Nutrition

International Journal of Functional Nutrition

Open-access journal combining biochemistry, pharmacology, immunology, and genetics to advance health through functional nutrition.

International Journal of Epigenetics

International Journal of Epigenetics

Publishes open-access research on using epigenetics to advance understanding and treatment of human disease.

Medicine International

Medicine International

An International Open Access Journal Devoted to General Medicine.

Journal Cover
January-2024 Volume 27 Issue 1

Full Size Image

Sign up for eToc alerts
Recommend to Library

  • Article
  • Citations
    • Cite This Article
    • Download Citation
    • Create Citation Alert
    • Remove Citation Alert
    • Cited By
  • Similar Articles
    • Related Articles (in Spandidos Publications)
    • Similar Articles (Google Scholar)
    • Similar Articles (PubMed)
  • Download PDF
  • Download XML
  • View XML
Article Open Access

Prognostic implication of glomerular filtration rates in patients with chronic thromboembolic pulmonary hypertension who have undergone balloon pulmonary angioplasty

  • Authors:
    • Yu Zhang
    • Yongxiang Zhang
    • Chang Liao
    • Xiaoxu Wang
  • View Affiliations / Copyright

    Affiliations: Department of Nephrology, The Second Affiliated Hospital of Harbin Medical University, Harbin, Heilongjiang 150086, P.R. China, Department of Cardiology, The Second Affiliated Hospital of Harbin Medical University, Harbin, Heilongjiang 150086, P.R. China, Department of Infectious Disease, Heilongjiang Provincial People's Hospital, Harbin, Heilongjiang 150001, P.R. China
    Copyright: © Zhang et al. This is an open access article distributed under the terms of Creative Commons Attribution License.
  • Article Number: 18
    |
    Published online on: November 17, 2023
       https://doi.org/10.3892/etm.2023.12306
  • Expand metrics +
Metrics: Total Views: 0 (Spandidos Publications: | PMC Statistics: )
Metrics: Total PDF Downloads: 0 (Spandidos Publications: | PMC Statistics: )
Cited By (CrossRef): 0 citations Loading Articles...

This article is mentioned in:



Abstract

Chronic thromboembolic pulmonary hypertension (CTEPH) plays a key role in the deterioration of lung hemodynamics and contributes to secondary dysfunction of the right heart, which is consistently accompanied by systemic malperfusion and a reduced glomerular filtration rate (GFR). The prognosis of CTEPH is markedly influenced by renal function. The aim of the present study was to evaluate the prognostic value of GFR in patients with CTEPH who have undergone balloon pulmonary angioplasty (BPA). From December 2012 to September 2020, a total of 47 patients diagnosed with CTEPH who received BPA were retrospectively studied. Patients were categorized according to their renal function on admission into two groups: GFR >53 and ≤53. Biological, clinical and demographic data of the patients were collected. Data for the two groups in hospital and during follow‑up were systematically analyzed and compared. All‑cause mortality, death from right heart failure (RHF) and rehospitalization associated with RHF were considered major adverse events (MAEs). The results revealed that the 6‑min walk distance, N‑terminal pro‑B type natriuretic peptide (NT‑proBNP), Troponin I and right ventricle diameter were significantly lower, and tricuspid annular plane systolic excursion was significantly higher in the GFR >53 group compared with the GFR ≤53 group at final follow‑up. In addition, GFR levels were significantly correlated with NT‑proBNP at baseline and final follow‑up. Furthermore, based on a multivariate analysis, it was determined that the decreased GFR was an independent predictor of MAEs during follow‑up. Therefore, it may be concluded that in addition to being associated with right ventricular function, decreased GFR is also a prognostic marker in CTEPH treated with BPA.

Introduction

Chronic thromboembolic pulmonary hypertension (CTEPH), which may be diagnosed by the identification of precapillary pulmonary hypertension (PH) using right heart catheterization (RHC) and imaging results consistent with chronic thromboembolism, is a long-term complication of pulmonary embolism (1) with a poor prognosis (2). Due to the persistence of thrombotic material, the pulmonary arteries become obstructed, which triggers secondary right heart dysfunction and the impairment of pulmonary hemodynamics, accompanied by systemic malperfusion (3). Pulmonary endarterectomy (PEA) is currently used as an established treatment method with the potential to be curative (2). However, the use of PEA is not applicable in approximately one-third of patients, mainly due to the presence of peripheral lesions (4). In such cases, balloon pulmonary angioplasty (BPA) is emerging as an alternative interventional treatment (5).

Renal insufficiency is one of the most common comorbidities in patients who experience dysfunction of the right heart attributed to pulmonary arterial hypertension (6,7). It has been suggested that renal failure in patients with pulmonary arterial hypertension is caused by an interaction between factors associated with renal and cardiac functions (7). It has been demonstrated that in patients with CTEPH, the elevation of N-terminal pro-brain natriuretic peptide (NT-proBNP) levels is reversed in most patients when BPA is performed, although not in cases with chronic failure of the right heart (8). The accumulation of NT-proBNP can be attributed to renal function impairment characterized by a reduced glomerular filtration rate (GFR), which complicates its prognostic utility in CTEPH (9,10). A study has shown that chronic kidney disease (CKD) is an independent predictor of outcome in patients with pulmonary arterial hypertension and is a marker of disease severity (11). BPA facilitates right ventricular recovery and the improvement of pulmonary hemodynamics, which promotes systemic circulation and ameliorates venous congestion, thereby increasing perfusion of the systemic organs (7). It is possible that renal function may reflect the effects of BPA on the systemic circulation and serve as an indicator for these effects.

It is not yet known whether GFR levels have any impact on the clinical prognosis of patients with CTEPH during follow-up. Therefore, the objective of the present study was to investigate the prognostic implications of GFR in patients with CTEPH who have undergone BPA.

Materials and methods

Study population

The data in the present study were obtained from two prospective studies conducted at The Second Affiliated Hospital of Harbin Medical University (Harbin, China), with ethical approval numbers SYDWGZR-2010-152 and SYDWGZR-2013-088. Each patient included in this retrospective study provided written informed consent during follow-up. The study population comprised 47 patients (25 male patients and 22 female patients; mean age, 65.34±8.84) with confirmed CTEPH as verified by a pulmonary ventilation/perfusion scan, pulmonary angiography and chest computed tomography (CT) scan, at least two of which revealed areas of deficient pulmonary blood flow (12,13). The diagnostic criteria for CTEPH included: i) Mean pulmonary artery pressure ≥25 mmHg at rest measured by RHC; ii) mismatched perfusion defects stronger than ventilation defects observed by lung scanning; iii) evidence of chronic and organized thrombi or emboli in proximal pulmonary arteries revealed by CT/magnetic resonance imaging or pulmonary angiography; iv) exclusion of left heart disease, respiratory disorders or other causes of PH (12,13). The exclusion criteria included cardiogenic shock, active bleeding or high risk of bleeding, interstitial lung disease on high-resolution CT, severe hepatic impairment (Child-Pugh class C liver disease) and left ventricular heart failure with an ejection fraction of <30%, severe renal impairment, severe liver disease, inability to comply with study procedures and follow-up visits and a life expectancy <6 months.

Patients who were treated with BPA and received intensive care in the period from December 2012 to September 2020 were included in the present study. The patients were grouped into two categories based on the renal function levels assessed by estimated GFR upon admission. The GFR levels were as defined as low level (GFR ≤53 ml/min/1.73 m2) and high level (GFR >53 ml/min/1.73 m2).

The pre- and post-operative management of patients with CTEPH was performed as described in a previous study (14). In summary, all patients underwent a series of examinations including clinical examinations, echocardiography, 12-lead electrocardiography, laboratory tests, 6-min walk tests, CT scans, RHC and pulmonary angiography. The final diagnosis of CTEPH was established based on the 2015 European Society of Cardiology and European Respiratory Society guidelines (15). An interdisciplinary CTEPH conference was held for all patients, with the aim of conceptualizing the therapeutic approach. BPA was performed as a staged procedure based on standard clinical practice, with interventional radiologists, cardiologists and thoracic surgeons planning the procedure together. BPA sessions were held every 4-8 weeks. Before the BPA sessions, examinations adapted to the requirements of each patient were followed up, with assessment of laboratory test results and clinical status. During the study, all patients received BPA therapy four times, and after the final BPA procedure, a 6-month follow-up with a comprehensive assessment including vital signs, laboratory tests, RHC and major adverse events (MAEs) was performed (Fig. 1). MAEs were defined as all-cause mortality, death from right heart failure (RHF) and rehospitalization associated with RHF.

Figure 1

Time course of BPA procedures and patient follow-up. BPA, balloon pulmonary angioplasty.

Echocardiography

All echocardiograms were performed by expert sonographers with a 2.5-MHz transducer using Vivid 5 ultrasonography equipment (GE Healthcare). All examinations were subjected to offline analysis by another experienced investigator at the center. Offline assessment was conducted using commercially available software (EchoPAC, version 8; GE Healthcare). A qualitative wall motion score assessed the right ventricle (RV) hypokinesis, which was determined at the following four locations along the free wall of the right ventricle in the apical 4-chamber view: Apex, midapical free wall, midbasal free wall and base (16). Corresponding echocardiographic parameters for evaluating right heart function such as pulmonary artery systolic pressure (PASP), pulmonary artery diastolic pressure (PADP), mean pulmonary artery pressure, pulmonary vascular resistance (PVR), RV diameter and RV hypokinesis were listed. An M-mode cursor was utilized to measure tricuspid annular plane systolic excursion (TAPSE) in the lateral tricuspid annulus from the apical 4-chamber view (17).

RHC

The diagnostic work-up included RHC as a key component (15), which was routinely carried out via the internal jugular vein on the right side of the body using a standard Swan-Ganz catheter and 6F sheath. Prior to or during RHC, no medication modifications were made to the regimens of the patients. In particular, no vasoactive agents were administered. The RHC assessment indicated that treatment for PH was acceptable for all patients, with drugs including riociguat, phosphodiesterase-5 inhibitors or endothelin receptor antagonists being administered. Right heart catheterization hemodynamic characteristics including PASP, PADP, right ventricular mean pressure, pulmonary arterial oxygen saturation percentage (PAO%), right atrial mean pressure, cardiac output, cardiac index (CI) and PVR from baseline to follow-up between the two groups according to GFR were also evaluated.

BPA

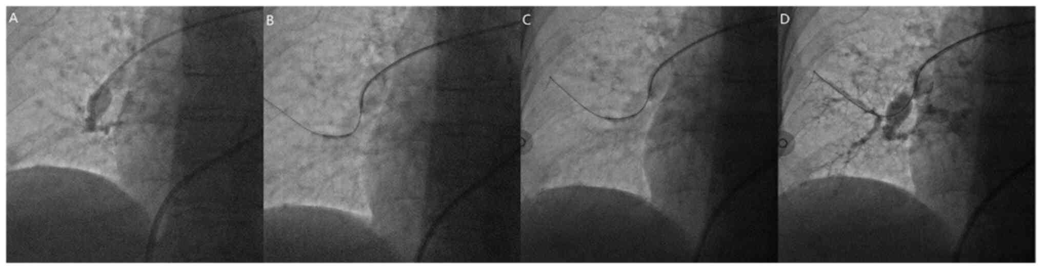
All patients underwent a comprehensive clinical evaluation before the first BPA (baseline), before each BPA session and 4-8 months after the last BPA. Assessment at baseline and the last evaluation included New York Heart Association functional class, 6-min walk distance, blood gases on room air, serum levels of NT-proBNP and complete RHC. Femoral or jugular access was used to perform BPA, which was carried out under moderate sedation in stages as previously described (Fig. 2) (18). All patients accepted rivaroxaban as an anticoagulant, which was paused on the day of intervention; in addition, no bridging therapy with low-molecular-weight heparin was administered. However, during the evaluation, to maintain an activated clotting time of ≥250 sec, ~100 IU/kg heparin was administered intravenously to each patient. A 6F sheath (Terumo Interventional Systems) was placed in the pulmonary artery and intubation of the partially obstructed segmental arteries was accomplished via the insertion of a 6F guiding catheter (JR4; Covidien; Medtronic) into the pulmonary artery. As the guidewire (Runthrough® NS-PTCA; Terumo Interventional Systems) was passed through the obstructing endoluminal material, it was directed into the subsegmental arterial branches. Multiple inflations of semi-compliant balloons (Emerge; Boston Scientific) were then used to dilate the subsegmental branches. The post-procedure morphologic result was documented by a final fluoroscopic exam.

Figure 2

Digital subtraction angiography of the middle lobe arteries in a 73-year-old woman with inoperable chronic thromboembolic pulmonary hypertension at various BPA stages. Pulmonary arteriography (A) before BPA, (B) during the first BPA, (C) during the second BPA and (D) after the final BPA. BPA, balloon pulmonary angioplasty.

Blood sampling and laboratory assessment

Each patient participating in the study underwent blood sampling from an elbow vein. NT-proBNP and troponin I were assessed on admission. Elecsys® NT-proBNP automated electrochemiluminescent sandwich immunoassays (Roche Diagnostics GmbH) were used to measure NT-proBNP in plasma. Commercially available immunonephelometric kinetic assays (BN ProSpec System; Siemens Healthineers) with CardioPhase CRP reagents (Siemens Healthineers) were used to measure C-reactive protein (CRP) levels. Biochemistry measurements were also made using a Hitachi 7600 autoanalyzer (Hitachi, Ltd.) using the Jaffe kinetic method.

During the baseline evaluation, before and after each BPA procedure, and at the end of the study, plain tubes were used to collect venous blood for the determination of creatinine and urea levels in serum. A modified diet that was designed to reduce proteinuria and hyperlipidemia while ensuring adequate nutrition by optimizing the intake of calories, high quality proteins, sodium, potassium, phosphorus, fluids and lipids was administered, and the GFR was calculated in order to evaluate chronic renal function (19). The estimated GFR was determined using the modification of diet in renal disease formula as follows: GFR=186.3 (serum creatinine)-1.154x(age)-0.203 (x 0.742 if female) (20). Based on the Acute Kidney Injury (AKI) Network recommendations, acute renal failure was considered as an increase in serum creatinine of >0.3 mg/dl (26.4 mmol/l) or ≥150% from baseline (21). In most cases, if contrast-induced renal failure were to develop it would occur within 72 h of exposure (22).

Treatment

Several prevention strategies were applied, which involved the use of low-osmolar contrast media in small doses (Visipaque; GE Healthcare), nephroprotective drugs and hydration during hospitalization. A composition comprising 500 ml saline, 20 mg furosemide and 1 g potassium chloride was administered to all patients who underwent BPA intervention once a day before BPA treatment, once as soon as possible after BPA treatment and once during the BPA treatment. Adaptations were made based on serum electrolyte levels if necessary.

Statistical analysis

Quantitative data are presented as the mean ± standard deviation, and qualitative data are presented as frequency (%). Comparisons between groups were made using an independent two-sample t-test. Comparisons of categorical variables were carried out using Chi-square and Fisher's exact tests. Correlations between the residual GFR and NT-proBNP were assessed using Pearson's correlation analysis. Univariate and multivariate logistic regression analysis were performed in order to identify independent predictors of MAEs at final follow-up. For the comparison of RHC hemodynamic characteristics between two groups, the data are presented as box plots with a median bar, 25 and 75% quartiles and range of values. Statistical analyses were carried using SPSS 19.0 version (IBM Corp.). Two-sided P<0.05 was regarded as statistically significant.

Results

Baseline and final follow-up characteristics

The number of BPA interventions performed was 195 (mean, 4 BPAs/patient), and the number of vessels treated was 392 (mean, 8 vessels/patient). The most frequent complications among the patients who underwent BPA were hemoptysis in three cases (6.4%) and reperfusion injury in one case (2.1%). However, no cases of periinterventional AKI were observed.

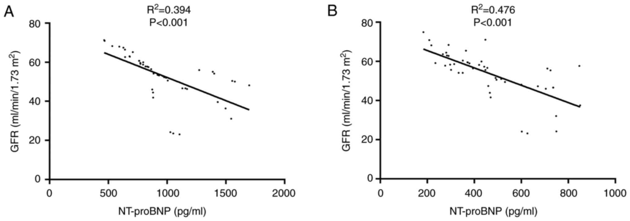
The baseline characteristics of patients categorized by GFR values are listed in Table I. A significant difference was observed between the low and high level GFR groups in terms of NT-proBNP levels (P=0.007). There were no other significant differences identified in any other variables at baseline. Characteristics at final follow-up for patients categorized by GFR values are listed in Table II. NT-proBNP (P=0.046), Troponin I (P<0.001) and right ventricle diameter (P=0.041) were significantly lower in the GFR >53 group compared with the GFR ≤53 group. 6MWD (P=0.001) and TAPSE (P=0.045) was significantly higher in the GFR >53 group compared with the GFR ≤53 group. As shown in Fig. 3, the GFR and NT-proBNP levels were significantly correlated at baseline and final follow-up (P<0.001).

Figure 3

Correlations between GFR and NT-proBNP levels. Correlations at (A) baseline (linear correlation equation: y=-0.02366x + 75.84) and (B) final follow-up (linear correlation equation: y=-0.04432x + 74.42). GFR, glomerular filtration rate; NT-proBNP, N-terminal pro-B type natriuretic peptide.

Table I

Baseline characteristics categorized by GFR values.

Table I

Baseline characteristics categorized by GFR values.

CharacteristicsGFR >53 (n=26)GFR ≤53 (n=21)P-value
Age at first BPA, years67.04±7.4763.24±10.070.145
Male, n (%)13 (50.00)12 (57.14)0.770
BMI, kg/m224.08±2.8424.29±1.980.777
6MWD, m377.38±18.95376.90±23.080.938
Duration from PE to CTEPH, months16.42±5.8414.24±4.870.177
Vital signs   
     Systolic blood pressure, mmHg109.04±11.70106.10±14.630.447
     Heart rate, beats/min94.19±5.1095.33±4.890.441
     Respiratory rate, breaths/min22.15±3.5522.52±5.620.795
PE location   
     Unilateral, right1 (3.85)0 (0.00)1.000
     Unilateral, left0 (0.00)0 (0.00)1.000
     Central only1 (3.85)2 (9.52)0.574
     Bilateral only14 (53.85)10 (47.62)0.772
     Central plus bilateral10 (38.46)9 (42.86)0.775
Medical history   
     Prostanoid9 (34.61)9 (42.86)0.763
     Riociguat18 (69.23)17 (80.95)0.505
     Sildenafil7 (26.92)5 (23.81)1.000
     Endothelin receptor blockers13 (50.00)15 (71.43)0.232
     Diuretic18 (69.23)17 (80.95)0.505
Laboratory testing   
     D-dimers, µg/l191.31±85.15153.10±56.290.084
     NT-proBNP, pg/ml852.00±250.021091.38±331.250.007
     Troponin I, µg/l0.77±0.490.84±0.540.648
     Serum sodium, mmol/l142.22±2.60142.21±0.350.993
Echocardiographic parameters   
     PASP, mmHg77.08±10.9178.33±11.010.698
     PADP, mmHg23.19±10.4523.33±7.190.958
     mPAP, mmHg40.12±6.5841.38±7.180.532
     PVR, WU4.94±1.644.67±1.340.547
     RV diameter, mm37.98±7.0839.57±7.800.468
     RV hypokinesis or dyskinesia10 (38.46)9 (42.86)0.775
     TAPSE, cm2.12±1.111.91±0.550.418

[i] Mean ± standard deviation and n (%) values are reported for continuous and categorical variables, respectively. GFR, glomerular filtration rate; BPA, balloon pulmonary angioplasty; BMI, body mass index; 6MWD, 6-min walk distance; PE, pulmonary embolism; CTEPH, chronic thromboembolic pulmonary hypertension; NT-proBNP, N-terminal pro-B type natriuretic peptide; PASP, pulmonary artery systolic pressure; PADP, pulmonary artery diastolic pressure; mPAP, mean pulmonary artery pressure; PVR, pulmonary vascular resistance; RV, right ventricle; TAPSE, tricuspid annular plane systolic excursion; WU, Wood units.

Table II

Characteristics at final follow-up categorized by GFR values.

Table II

Characteristics at final follow-up categorized by GFR values.

CharacteristicsGFR >53 (n=26)GFR ≤53 (n=21)P-value
6MWD, m425.92±14.63408.69±10.470.001
Vital signs   
     Systolic blood pressure, mmHg109.08±14.65105.50±15.030.525
     Heart rate, beats/min85.46±3.5385.25±7.960.925
     Respiratory rate, breaths/min19.08±1.8018.38±5.120.615
Serum values   
     WBC, x109/l9.60±2.2010.53±3.980.458
     CRP, mg/l5.42±3.027.19±2.740.111
     D-dimers, µg/l164.62±57.75152.81±46.460.547
     NT-proBNP, pg/ml387.31±105.87519.94±221.310.046
     Troponin I, µg/l0.26±0.190.89±0.29<0.001
     Serum sodium, mmol/l144.98±2.76144.64±3.670.780
Echocardiographic parameters   
     PASP, mmHg38.44±15.7939.75±9.610.768
     PADP, mmHg17.04±9.2717.88±8.520.773
     mPAP, mmHg24.56±11.3125.19±3.490.831
     PVR, WU2.68±1.633.46±1.780.155
     RV diameter, mm34.78±4.7941.51±11.140.041
     RV hypokinesis13 (50.00)16 (76.19)0.80
     TAPSE, cm3.76±0.523.30±0.660.045

[i] Mean ± standard deviation and n (%) values are reported for continuous and categorical variables, respectively. GFR, glomerular filtration rate; 6MWD, 6-min walk distance; WBC, white blood cell; CRP, C-reactive protein; NT-proBNP, N-terminal pro-B type natriuretic peptide; PASP, pulmonary artery systolic pressure; PADP, pulmonary artery diastolic pressure; mPAP, mean pulmonary artery pressure; PVR, pulmonary vascular resistance; RV, right ventricle; TAPSE, tricuspid annular plane systolic excursion; WU, Wood units.

RHC

All 47 patients underwent RHC on admission for BPA treatment and 41 patients underwent RHC at the final follow-up. The changes in the hemodynamic characteristics determined by RHC from baseline to final follow-up are shown in Fig. 4. Among all RHC hemodynamic characteristics, pulmonary arterial oxygen saturation, cardiac output and CI exhibited an increasing trend; pulmonary artery systolic pressure, pulmonary artery diastolic pressure, right atrial mean pressure and pulmonary vascular resistance exhibited a decreasing trend; and the right ventricular mean pressure appeared to be unchanged. Furthermore, the RHC results of the two groups did not differ on admission (Fig. 5A and B). At the final follow-up, 6 patients died before the RHC was performed, and the remaining patients in the two groups did not exhibit any significant differences in RHC hemodynamic characteristics (Fig. 5C and D).

Figure 4

Changes of right heart catheterization hemodynamic characteristics from baseline to follow-up. (A) PASP, PADP, RVMP and PAO%, and (B) RA, CO, CI and PVR from baseline to follow-up. PASP, pulmonary artery systolic pressure; PADP, pulmonary artery diastolic pressure; RVMP, right ventricular mean pressure; PAO%, pulmonary arterial oxygen saturation percentage; RA, right atrial mean pressure; CO, cardiac output; CI, cardiac index; PVR, pulmonary vascular resistance.

Figure 5

Comparison of right heart catheterization hemodynamic characteristics between the two groups according to GFR. (A) PASP, PADP, RVMP and PAO% and (B) RA, CO, CI and PVR on admission. (C) PASP, PADP, RV and PAO% and (D) RA, CO, CI and PVR at final follow-up. The data are presented as box plots with a median bar, 25 and 75% quartiles and range of values. GFR, glomerular filtration rate; PASP, pulmonary artery systolic pressure; PADP, pulmonary artery diastolic pressure; RVMP, right ventricular mean pressure; PAO%, pulmonary arterial oxygen saturation percentage; RA, right atrial mean pressure; CO, cardiac output; CI, cardiac index; PVR, pulmonary vascular resistance.

Major adverse events at final follow-up

As shown in Table III, the proportion of MAEs in the GFR >53 group was significantly lower than that in the GFR ≤53 group at final follow-up (P=0.002). In the univariate logistic regression analysis, MAEs were associated with the GFR (odds ratio, 0.730; P=0.001) and NT-proBNP (odds ratio, 1.004; P=0.010) (Table IV). The GFR (odds ratio, 0.693; P=0.008) was demonstrated to be independently associated with MAEs at the final follow-up in the multivariate logistic regression analysis (Table IV).

Table III

Major adverse events at final follow-up.

Table III

Major adverse events at final follow-up.

EventsGFR >53 (n=26)GFR ≤53 (n=21)P-value
MAEs12 (46.15)19 (90.48)0.002
All-cause mortality1 (3.85)5 (23.81)0.076
Death from RHF1 (3.85)4 (16.80)0.158
Rehospitalization associated with RHF10 (38.46)10 (47.62)0.566

[i] Values are presented as n (%). GFR, glomerular filtration rate; MAEs, major adverse events; RHF, right heart failure.

Table IV

Univariate and multivariate logistic regression analysis of MAEs at final follow-up.

Table IV

Univariate and multivariate logistic regression analysis of MAEs at final follow-up.

 UnivariateMultivariate
VariableOdds ratio (95% CI)P-valueOdds ratio (95% CI)P-value
6MWD0.975 (0.944-1.007)0.128--
Heart rate1.017 (0.900-1.148)0.729--
GFR0.730 (0.603-0.885)0.0010.693 (0.529-0.908)0.008
NT-proBNP1.004 (1.001-1.008)0.0101.002 (0.999-1.006)0.222

[i] CI, confidence interval; 6MWD, 6-min walk distance; GFR, estimated glomerular filtration rate; NT-proBNP, N-terminal pro-B type natriuretic peptide.

Discussion

To the best of our knowledge, this is the first study that has investigated the impact of different GFR levels on the clinical and prognostic outcome of patients with CTEPH who have undergone BPA. The results in the present study showed that MAEs during follow-up can be independently predicted by renal function, as indicated by GFR.

According to a previous study, even symptoms of mild renal dysfunction with an estimated GFR of between 60 and 80 ml/min/1.73 m2 are closely associated with cardiovascular disease, and all-cause mortality can be partly attributed to CKD (23). GFR is an important indicator used to assess the severity of RHF. RHF leads to reductions in cardiac output and blood flow to the kidneys, and the reduction in renal perfusion causes the GFR to decline. A markedly reduced GFR indicates that RHF has progressed to an advanced stage with critical underfilling of the arterial circulation. Monitoring the GFR allows clinicians to classify the degree of RHF as mild, moderate or severe. A progressive decline in GFR serves as a warning of the exacerbation of RHF and systemic congestion. Thus, monitoring GFR over time provides crucial information about the status of right heart function and fluid overload in patients with RHF (24). There is evidence to support the notion that renal function is associated with outcome in patients with pulmonary arterial hypertension (25). Venous congestion, caused by PH-associated RHF, is generally considered to be one of the main reasons for renal dysfunction (26). Insufficient cardiac output, congestion of the retrograde veins and feedback from the secondary neurohumoral system are suggested to be the major mechanisms leading to malperfusion (27). The procedure used to assess renal function in patients with CTEPH who undergo BPA deserves further discussion.

It is currently considered that BPA should be carried out in stages involving several sessions at intervals of 4-8 weeks (28). BPA can result in a distinct reduction in reperfusion injury but has the disadvantages of increasing the number of interventions, and the utilization of iodine contrast agents and radiation. According to the present research, following BPA, the renal function of patients significantly improved and no periinterventional AKI was detected. Three mechanisms for the improvement may be proposed as follows: i) Following strict periprocedural renal protection guidelines, including nephroprotective drugs, hydration and low-dose contrast media prior to each BPA; ii) the BPA therapy effectively increases circulating blood volume, and the appropriate perfusion of tissues is preserved, improving renal function; iii) venous congestion, known to be a major cause of worsening renal function in patients with decompensated heart failure (29,30), is reduced.

Previous studies have examined the frequent coincidence of cardiac disease and renal dysfunction, including chronic renal impairment as a comorbidity of PH. It is possible that chronic increases in the right ventricular afterload may ultimately RHF, resulting in backward failure and congestion of the veins, further contributing to renal failure. This may ultimately result is reduction of the estimated GFR (31). It has been reported that venous congestion following a reduction in the circulating blood volume is potentially the main cause of renal insufficiency (26). Based on the analysis of a cohort of patients with pulmonary arterial hypertension, Bitker et al (6) reported that CI and right atrial pressure correlated with estimated GFR at baseline. Following BPA therapy, the improvement of pulmonary hemodynamics led to decreased pressure in the right heart, which was reflected in the reduction of NT-proBNP concentration and venous congestion and thereby improved renal function in two other studies (32,33). Importantly, these findings indicate that there is a balance between the advantage mediated by hemodynamic improvements, possibly through improved venous congestion, and the disadvantage of renal function impairment.

In addition to expanding the coronary and lung circulation, BNP reduces myocardial oxygen consumption and increases coronary blood flow, which prevents cardiac remodeling (34,35). The present study revealed that the serum levels of troponin I and NT-proBNP were significantly decreased in the GFR >53 group at final follow-up. Thus, we hypothesize that an elevated GFR is an indicator of improved perfusion of the myocardium, limited myocardial impairment size, ameliorated dysfunction of the heart and reduced ventricular remodeling in patients with CTEPH who receive BPA. The findings support this, as they suggest that all patients with CTEPH after BPA may experience a significant improvement in renal function. In the cohort in the present study, the GFR exhibited an independent association with clinical prognosis at follow-up, which may be interpreted as indicating the predominant role of venous congestion in the context of renal function.

We hypothesize that patients with CTEPH and less impairment of the kidney function at baseline may have greater physiological reserves enabling them to endure the intraprocedural hemodynamic shifts during BPA. Preserved renal perfusion and the avoidance of AKI during BPA may portend improved postoperative recovery of kidney function. This mitigates the risk of exacerbated CKD progression, which has established associations with morbidity and mortality. Therefore, less compromised baseline renal function in patients with CTEPH undergoing BPA may confer protection against perioperative renal decompensation, which may translate to more optimal long-term outcomes. However, further research is required to precisely define the relationship between pre-procedural renal function, the risk of worsening kidney dysfunction with BPA, and post-BPA prognosis.

The present study has certain limitations. Firstly, a relatively small number of patients were included in the study. Secondly, considering the retrospective nature of the study and its single-center design, a significant referral bias may exist. Thirdly, few data were collected on long-term events and follow-up, and it is planned to collect more of such data in a future study. In conclusion, the present study indicated that besides being associated with right ventricular function, GFR is also a prognostic marker in CTEPH treated with BPA.

Acknowledgements

Not applicable.

Funding

Funding: The study was funded by the National Natural Science Foundation of China (grant no. 81970297).

Availability of data and materials

The datasets used and/or analyzed during the current study are available from the corresponding author on reasonable request.

Authors' contributions

YuZ and XW were responsible for the research concept and study design. YuZ, YoZ, CL and XW acquired the data and organized the study. YuZ performed data management and CL performed the statistical analysis. YoZ and XW interpreted the data. CL and XW supervised or provided mentorship. YuZ and XW confirm the authenticity of all the raw data. All authors read and approved the final version of the manuscript.

Ethics approval and consent to participate

The study protocol was approved by the Research Ethics Committee of The Second Affiliated Hospital of Harbin Medical University (approval nos. SYDWGZR-2010-152 and SYDWGZR-2013-088) in compliance with the 1975 Declaration of Helsinki. Each patient provided written informed consent for inclusion in this retrospective study.

Patient consent for publication

Not applicable.

Competing interests

The authors declare that they have no competing interests.

References

1 

Teerapuncharoen K and Bag R: Chronic thromboembolic pulmonary hypertension. Lung. 200:283–299. 2022.PubMed/NCBI View Article : Google Scholar

2 

Galiè N, Humbert M, Vachiery J, Gibbs S, Lang I, Torbicki A, Simonneau G, Peacock A, Vonk Noordegraaf A, Beghetti M, et al: 2015 ESC/ERS guidelines for the diagnosis and treatment of pulmonary hypertension. Rev Esp Cardiol (Engl Ed). 69(177)2016.PubMed/NCBI View Article : Google Scholar

3 

Delcroix M, Lang I, Pepke-Zaba J, Jansa P, D'Armini A, Snijder R, Bresser P, Torbicki A, Mellemkjaer S, Lewczuk J, et al: Long-term outcome of patients with chronic thromboembolic pulmonary hypertension: Results from an international prospective registry. Circulation. 133:859–871. 2016.PubMed/NCBI View Article : Google Scholar

4 

Pepke-Zaba J, Delcroix M, Lang I, Mayer E, Jansa P, Ambroz D, Treacy C, D'Armini A, Morsolini M, Snijder R, et al: Chronic thromboembolic pulmonary hypertension (cteph): Results from an international prospective registry. Circulation. 124:1973–1981. 2011.PubMed/NCBI View Article : Google Scholar

5 

Mizoguchi H, Ogawa A, Munemasa M, Mikouchi H, Ito H and Matsubara H: Refined balloon pulmonary angioplasty for inoperable patients with chronic thromboembolic pulmonary hypertension. Circ Cardiovasc Interv. 5:748–755. 2012.PubMed/NCBI View Article : Google Scholar

6 

Bitker L, Sens F, Payet C, Turquier S, Duclos A, Cottin V and Juillard L: Presence of kidney disease as an outcome predictor in patients with pulmonary arterial hypertension. Am J Nephrol. 47:134–143. 2018.PubMed/NCBI View Article : Google Scholar

7 

Shah S, Thenappan T, Rich S, Tian L, Archer S and Gomberg-Maitland M: Association of serum creatinine with abnormal hemodynamics and mortality in pulmonary arterial hypertension. Circulation. 117:2475–2483. 2008.PubMed/NCBI View Article : Google Scholar

8 

Andreassen A, Ragnarsson A, Gude E, Geiran O and Andersen R: Balloon pulmonary angioplasty in patients with inoperable chronic thromboembolic pulmonary hypertension. Heart. 99:1415–1420. 2013.PubMed/NCBI View Article : Google Scholar

9 

Srisawasdi P, Vanavanan S, Charoenpanichkit C and Kroll M: The effect of renal dysfunction on bnp, nt-probnp, and their ratio. Am J Clin Pathol. 133:14–23. 2010.PubMed/NCBI View Article : Google Scholar

10 

Anwaruddin S, Lloyd-Jones DM, Baggish A, Chen A, Krauser D, Tung R, Chae C and Januzzi JL Jr: Renal function, congestive heart failure, and amino-terminal pro-brain natriuretic peptide measurement: Results from the ProBNP Investigation of Dyspnea in the Emergency Department (PRIDE) study. J Am Coll Cardiol. 47:91–97. 2006.PubMed/NCBI View Article : Google Scholar

11 

Wang Y, Gu X, Fan W, Fan Y, Li W and Fu X: Effects of recombinant human brain natriuretic peptide on renal function in patients with acute heart failure following myocardial infarction. Am J Transl Res. 8:239–245. 2016.PubMed/NCBI

12 

Ogo T, Shimokawahara H, Kinoshita H, Sakao S, Abe K, Matoba S, Motoki H, Takama N, Ako J, Ikeda Y, et al: Selexipag for the treatment of chronic thromboembolic pulmonary hypertension. Eur Respir J. 60(2101694)2022.PubMed/NCBI View Article : Google Scholar

13 

Humbert M, Kovacs G, Hoeper MM, Badagliacca R, Berger RMF, Brida M, Carlsen J, Coats AJS, Escribano-Subias P, Ferrari P, et al: 2022 esc/ers guidelines for the diagnosis and treatment of pulmonary hypertension. Eur Respir J. 61:2023.PubMed/NCBI View Article : Google Scholar

14 

Wiedenroth C, Ghofrani H, Adameit M, Breithecker A, Haas M, Kriechbaum S, Rieth A, Hamm C, Mayer E, Guth S and Liebetrau C: Sequential treatment with riociguat and balloon pulmonary angioplasty for patients with inoperable chronic thromboembolic pulmonary hypertension. Pulm Circ. 8(2045894018783996)2018.PubMed/NCBI View Article : Google Scholar

15 

Galiè N, Humbert M, Vachiery JL, Gibbs S, Lang I, Torbicki A, Simonneau G, Peacock A, Vonk Noordegraaf A, Beghetti M, et al: 2015 ESC/ERS guidelines for the diagnosis and treatment of pulmonary hypertension: The joint task force for the diagnosis and treatment of pulmonary hypertension of the european society of cardiology (ESC) and the european respiratory society (ERS): Endorsed by: Association for european paediatric and congenital cardiology (AEPC), international society for heart and lung transplantation (ISHLT). Eur Heart J. 37:67–119. 2016.PubMed/NCBI View Article : Google Scholar

16 

McConnell MV, Solomon SD, Rayan ME, Come PC, Goldhaber SZ and Lee RT: Regional right ventricular dysfunction detected by echocardiography in acute pulmonary embolism. Am J Cardiol. 78:469–473. 1996.PubMed/NCBI View Article : Google Scholar

17 

Qu C, Feng W, Zhao Q, Liu Q, Luo X, Wang G, Sun M, Yao Z, Sun Y, Hou S, et al: Effect of levosimendan on acute decompensated right heart failure in patients with connective tissue disease-associated pulmonary arterial hypertension. Front Med. 9(778620)2022.PubMed/NCBI View Article : Google Scholar

18 

Olsson K, Wiedenroth C, Kamp J, Breithecker A, Fuge J, Krombach G, Haas M, Hamm C, Kramm T, Guth S, et al: Balloon pulmonary angioplasty for inoperable patients with chronic thromboembolic pulmonary hypertension: The initial german experience. Eur Respir J. 49(1602409)2017.PubMed/NCBI View Article : Google Scholar

19 

Smilde T, van Veldhuisen D, Navis G, Voors A and Hillege H: Drawbacks and prognostic value of formulas estimating renal function in patients with chronic heart failure and systolic dysfunction. Circulation. 114:1572–1580. 2006.PubMed/NCBI View Article : Google Scholar

20 

National Kidney Foundation. K/DOQI clinical practice guidelines for chronic kidney disease: Evaluation, classification, and stratification. Am J Kidney Dis. 39(2 Suppl 1):S1–S266. 2002.PubMed/NCBI

21 

Mehta R, Kellum J, Shah S, Molitoris B, Ronco C, Warnock D and Levin A: Acute kidney injury network: Report of an initiative to improve outcomes in acute kidney injury. Crit Care. 11(R31)2007.PubMed/NCBI View Article : Google Scholar

22 

Pistolesi V, Regolisti G, Morabito S, Gandolfini I, Corrado S, Piotti G and Fiaccadori E: Contrast medium induced acute kidney injury: A narrative review. J Nephrol. 31:797–812. 2018.PubMed/NCBI View Article : Google Scholar

23 

Manjunath G, Tighiouart H, Ibrahim H, MacLeod B, Salem DN, Griffith JL, Coresh J, Levey AS and Sarnak MJ: Level of kidney function as a risk factor for atherosclerotic cardiovascular outcomes in the community. J Am Coll Cardiol. 41:47–55. 2003.PubMed/NCBI View Article : Google Scholar

24 

Damman K and Testani JM: The kidney in heart failure: An update. Eur Heart J. 36:1437–1444. 2015.PubMed/NCBI View Article : Google Scholar

25 

Navaneethan SD, Wehbe E, Heresi GA, Gaur V, Minai OA, Arrigain S, Nally JV Jr, Schold JD, Rahman M and Dweik RA: Presence and outcomes of kidney disease in patients with pulmonary hypertension. Clin J Am Soc Nephrol. 9:855–863. 2014.PubMed/NCBI View Article : Google Scholar

26 

Damman K, van Deursen VM, Navis G, Voors AA, van Veldhuisen DJ and Hillege HL: Increased central venous pressure is associated with impaired renal function and mortality in a broad spectrum of patients with cardiovascular disease. J Am Coll Cardiol. 53:582–588. 2009.PubMed/NCBI View Article : Google Scholar

27 

Felker GM, Adams KF, Konstam MA, O'Connor CM and Gheorghiade M: The problem of decompensated heart failure: Nomenclature, classification, and risk stratification. Am Heart J. 145:S18–S25. 2003.PubMed/NCBI View Article : Google Scholar

28 

Muller D and Liebetrau C: Percutaneous treatment of chronic thromboembolic pulmonary hypertension (CTEPH). EuroIntervention. 12 (Suppl X):X35–X43. 2016.PubMed/NCBI View Article : Google Scholar

29 

Kimura M, Kataoka M, Kawakami T, Inohara T, Takei M and Fukuda K: Balloon pulmonary angioplasty using contrast agents improves impaired renal function in patients with chronic thromboembolic pulmonary hypertension. Int J Cardiol. 188:41–42. 2015.PubMed/NCBI View Article : Google Scholar

30 

Mullens W, Abrahams Z, Francis GS, Sokos G, Taylor DO, Starling RC, Young JB and Tang WHW: Importance of venous congestion for worsening of renal function in advanced decompensated heart failure. J Am Coll Cardiol. 53:589–596. 2009.PubMed/NCBI View Article : Google Scholar

31 

Vonk-Noordegraaf A, Haddad F, Chin K, Forfia P, Kawut S, Lumens J, Naeije R, Newman J, Oudiz R, Provencher S, et al: Right heart adaptation to pulmonary arterial hypertension: Physiology and pathobiology. J Am Coll Cardiol. 62 (Suppl 25):D22–D33. 2013.PubMed/NCBI

32 

Kriechbaum S, Wiedenroth C, Hesse M, Ajnwojner R, Keller T, Sebastian Wolter J, Haas M, Roller F, Breithecker A, Rieth A, et al: Development of renal function during staged balloon pulmonary angioplasty for inoperable chronic thromboembolic pulmonary hypertension. Scand J Clin Lab Invest. 79:268–275. 2019.PubMed/NCBI View Article : Google Scholar

33 

Li N, Jin H, Song Z, Bai C, Cui Y and Gao Y: Protective effect of recombinant human brain natriuretic peptide on acute renal injury induced by endotoxin in canines. Cell Biochem Biophys. 70:1317–1324. 2014.PubMed/NCBI View Article : Google Scholar

34 

Miao Z, Hou A, Zang H, Huang R, Zheng X, Lin H, Wang W, Hou P, Xia F and Li Z: Effects of recombinant human brain natriuretic peptide on the prognosis of patients with acute anterior myocardial infarction undergoing primary percutaneous coronary intervention: A prospective, multi-center, randomized clinical trial. J Thorac Dis. 9:54–63. 2017.PubMed/NCBI View Article : Google Scholar

35 

Chen H, Martin F, Gibbons R, Schirger J, Wright R, Schears R, Redfield M, Simari R, Lerman A, Cataliotti A and Burnett JC Jr: Low-dose nesiritide in human anterior myocardial infarction suppresses aldosterone and preserves ventricular function and structure: A proof of concept study. Heart. 95:1315–1319. 2009.PubMed/NCBI View Article : Google Scholar

Related Articles

  • Abstract
  • View
  • Download
  • Twitter
Copy and paste a formatted citation
Spandidos Publications style
Zhang Y, Zhang Y, Liao C and Wang X: Prognostic implication of glomerular filtration rates in patients with chronic thromboembolic pulmonary hypertension who have undergone balloon pulmonary angioplasty. Exp Ther Med 27: 18, 2024.
APA
Zhang, Y., Zhang, Y., Liao, C., & Wang, X. (2024). Prognostic implication of glomerular filtration rates in patients with chronic thromboembolic pulmonary hypertension who have undergone balloon pulmonary angioplasty. Experimental and Therapeutic Medicine, 27, 18. https://doi.org/10.3892/etm.2023.12306
MLA
Zhang, Y., Zhang, Y., Liao, C., Wang, X."Prognostic implication of glomerular filtration rates in patients with chronic thromboembolic pulmonary hypertension who have undergone balloon pulmonary angioplasty". Experimental and Therapeutic Medicine 27.1 (2024): 18.
Chicago
Zhang, Y., Zhang, Y., Liao, C., Wang, X."Prognostic implication of glomerular filtration rates in patients with chronic thromboembolic pulmonary hypertension who have undergone balloon pulmonary angioplasty". Experimental and Therapeutic Medicine 27, no. 1 (2024): 18. https://doi.org/10.3892/etm.2023.12306
Copy and paste a formatted citation
x
Spandidos Publications style
Zhang Y, Zhang Y, Liao C and Wang X: Prognostic implication of glomerular filtration rates in patients with chronic thromboembolic pulmonary hypertension who have undergone balloon pulmonary angioplasty. Exp Ther Med 27: 18, 2024.
APA
Zhang, Y., Zhang, Y., Liao, C., & Wang, X. (2024). Prognostic implication of glomerular filtration rates in patients with chronic thromboembolic pulmonary hypertension who have undergone balloon pulmonary angioplasty. Experimental and Therapeutic Medicine, 27, 18. https://doi.org/10.3892/etm.2023.12306
MLA
Zhang, Y., Zhang, Y., Liao, C., Wang, X."Prognostic implication of glomerular filtration rates in patients with chronic thromboembolic pulmonary hypertension who have undergone balloon pulmonary angioplasty". Experimental and Therapeutic Medicine 27.1 (2024): 18.
Chicago
Zhang, Y., Zhang, Y., Liao, C., Wang, X."Prognostic implication of glomerular filtration rates in patients with chronic thromboembolic pulmonary hypertension who have undergone balloon pulmonary angioplasty". Experimental and Therapeutic Medicine 27, no. 1 (2024): 18. https://doi.org/10.3892/etm.2023.12306
Follow us
  • Twitter
  • LinkedIn
  • Facebook
About
  • Spandidos Publications
  • Careers
  • Cookie Policy
  • Privacy Policy
How can we help?
  • Help
  • Live Chat
  • Contact
  • Email to our Support Team