Spandidos Publications Logo
  • About
    • About Spandidos
    • Aims and Scopes
    • Abstracting and Indexing
    • Editorial Policies
    • Reprints and Permissions
    • Job Opportunities
    • Terms and Conditions
    • Contact
  • Journals
    • All Journals
    • Oncology Letters
      • Oncology Letters
      • Information for Authors
      • Editorial Policies
      • Editorial Board
      • Aims and Scope
      • Abstracting and Indexing
      • Bibliographic Information
      • Archive
    • International Journal of Oncology
      • International Journal of Oncology
      • Information for Authors
      • Editorial Policies
      • Editorial Board
      • Aims and Scope
      • Abstracting and Indexing
      • Bibliographic Information
      • Archive
    • Molecular and Clinical Oncology
      • Molecular and Clinical Oncology
      • Information for Authors
      • Editorial Policies
      • Editorial Board
      • Aims and Scope
      • Abstracting and Indexing
      • Bibliographic Information
      • Archive
    • Experimental and Therapeutic Medicine
      • Experimental and Therapeutic Medicine
      • Information for Authors
      • Editorial Policies
      • Editorial Board
      • Aims and Scope
      • Abstracting and Indexing
      • Bibliographic Information
      • Archive
    • International Journal of Molecular Medicine
      • International Journal of Molecular Medicine
      • Information for Authors
      • Editorial Policies
      • Editorial Board
      • Aims and Scope
      • Abstracting and Indexing
      • Bibliographic Information
      • Archive
    • Biomedical Reports
      • Biomedical Reports
      • Information for Authors
      • Editorial Policies
      • Editorial Board
      • Aims and Scope
      • Abstracting and Indexing
      • Bibliographic Information
      • Archive
    • Oncology Reports
      • Oncology Reports
      • Information for Authors
      • Editorial Policies
      • Editorial Board
      • Aims and Scope
      • Abstracting and Indexing
      • Bibliographic Information
      • Archive
    • Molecular Medicine Reports
      • Molecular Medicine Reports
      • Information for Authors
      • Editorial Policies
      • Editorial Board
      • Aims and Scope
      • Abstracting and Indexing
      • Bibliographic Information
      • Archive
    • World Academy of Sciences Journal
      • World Academy of Sciences Journal
      • Information for Authors
      • Editorial Policies
      • Editorial Board
      • Aims and Scope
      • Abstracting and Indexing
      • Bibliographic Information
      • Archive
    • International Journal of Functional Nutrition
      • International Journal of Functional Nutrition
      • Information for Authors
      • Editorial Policies
      • Editorial Board
      • Aims and Scope
      • Abstracting and Indexing
      • Bibliographic Information
      • Archive
    • International Journal of Epigenetics
      • International Journal of Epigenetics
      • Information for Authors
      • Editorial Policies
      • Editorial Board
      • Aims and Scope
      • Abstracting and Indexing
      • Bibliographic Information
      • Archive
    • Medicine International
      • Medicine International
      • Information for Authors
      • Editorial Policies
      • Editorial Board
      • Aims and Scope
      • Abstracting and Indexing
      • Bibliographic Information
      • Archive
  • Articles
  • Information
    • Information for Authors
    • Information for Reviewers
    • Information for Librarians
    • Information for Advertisers
    • Conferences
  • Language Editing
Spandidos Publications Logo
  • About
    • About Spandidos
    • Aims and Scopes
    • Abstracting and Indexing
    • Editorial Policies
    • Reprints and Permissions
    • Job Opportunities
    • Terms and Conditions
    • Contact
  • Journals
    • All Journals
    • Biomedical Reports
      • Information for Authors
      • Editorial Policies
      • Editorial Board
      • Aims and Scope
      • Abstracting and Indexing
      • Bibliographic Information
      • Archive
    • Experimental and Therapeutic Medicine
      • Information for Authors
      • Editorial Policies
      • Editorial Board
      • Aims and Scope
      • Abstracting and Indexing
      • Bibliographic Information
      • Archive
    • International Journal of Epigenetics
      • Information for Authors
      • Editorial Policies
      • Editorial Board
      • Aims and Scope
      • Abstracting and Indexing
      • Bibliographic Information
      • Archive
    • International Journal of Functional Nutrition
      • Information for Authors
      • Editorial Policies
      • Editorial Board
      • Aims and Scope
      • Abstracting and Indexing
      • Bibliographic Information
      • Archive
    • International Journal of Molecular Medicine
      • Information for Authors
      • Editorial Policies
      • Editorial Board
      • Aims and Scope
      • Abstracting and Indexing
      • Bibliographic Information
      • Archive
    • International Journal of Oncology
      • Information for Authors
      • Editorial Policies
      • Editorial Board
      • Aims and Scope
      • Abstracting and Indexing
      • Bibliographic Information
      • Archive
    • Medicine International
      • Information for Authors
      • Editorial Policies
      • Editorial Board
      • Aims and Scope
      • Abstracting and Indexing
      • Bibliographic Information
      • Archive
    • Molecular and Clinical Oncology
      • Information for Authors
      • Editorial Policies
      • Editorial Board
      • Aims and Scope
      • Abstracting and Indexing
      • Bibliographic Information
      • Archive
    • Molecular Medicine Reports
      • Information for Authors
      • Editorial Policies
      • Editorial Board
      • Aims and Scope
      • Abstracting and Indexing
      • Bibliographic Information
      • Archive
    • Oncology Letters
      • Information for Authors
      • Editorial Policies
      • Editorial Board
      • Aims and Scope
      • Abstracting and Indexing
      • Bibliographic Information
      • Archive
    • Oncology Reports
      • Information for Authors
      • Editorial Policies
      • Editorial Board
      • Aims and Scope
      • Abstracting and Indexing
      • Bibliographic Information
      • Archive
    • World Academy of Sciences Journal
      • Information for Authors
      • Editorial Policies
      • Editorial Board
      • Aims and Scope
      • Abstracting and Indexing
      • Bibliographic Information
      • Archive
  • Articles
  • Information
    • For Authors
    • For Reviewers
    • For Librarians
    • For Advertisers
    • Conferences
  • Language Editing
Login Register Submit
  • This site uses cookies
  • You can change your cookie settings at any time by following the instructions in our Cookie Policy. To find out more, you may read our Privacy Policy.

    I agree
Search articles by DOI, keyword, author or affiliation
Search
Advanced Search
presentation
Experimental and Therapeutic Medicine
Join Editorial Board Propose a Special Issue
Print ISSN: 1792-0981 Online ISSN: 1792-1015
Journal Cover
January-2024 Volume 27 Issue 1

Full Size Image

Sign up for eToc alerts
Recommend to Library

Journals

International Journal of Molecular Medicine

International Journal of Molecular Medicine

International Journal of Molecular Medicine is an international journal devoted to molecular mechanisms of human disease.

International Journal of Oncology

International Journal of Oncology

International Journal of Oncology is an international journal devoted to oncology research and cancer treatment.

Molecular Medicine Reports

Molecular Medicine Reports

Covers molecular medicine topics such as pharmacology, pathology, genetics, neuroscience, infectious diseases, molecular cardiology, and molecular surgery.

Oncology Reports

Oncology Reports

Oncology Reports is an international journal devoted to fundamental and applied research in Oncology.

Experimental and Therapeutic Medicine

Experimental and Therapeutic Medicine

Experimental and Therapeutic Medicine is an international journal devoted to laboratory and clinical medicine.

Oncology Letters

Oncology Letters

Oncology Letters is an international journal devoted to Experimental and Clinical Oncology.

Biomedical Reports

Biomedical Reports

Explores a wide range of biological and medical fields, including pharmacology, genetics, microbiology, neuroscience, and molecular cardiology.

Molecular and Clinical Oncology

Molecular and Clinical Oncology

International journal addressing all aspects of oncology research, from tumorigenesis and oncogenes to chemotherapy and metastasis.

World Academy of Sciences Journal

World Academy of Sciences Journal

Multidisciplinary open-access journal spanning biochemistry, genetics, neuroscience, environmental health, and synthetic biology.

International Journal of Functional Nutrition

International Journal of Functional Nutrition

Open-access journal combining biochemistry, pharmacology, immunology, and genetics to advance health through functional nutrition.

International Journal of Epigenetics

International Journal of Epigenetics

Publishes open-access research on using epigenetics to advance understanding and treatment of human disease.

Medicine International

Medicine International

An International Open Access Journal Devoted to General Medicine.

Journal Cover
January-2024 Volume 27 Issue 1

Full Size Image

Sign up for eToc alerts
Recommend to Library

  • Article
  • Citations
    • Cite This Article
    • Download Citation
    • Create Citation Alert
    • Remove Citation Alert
    • Cited By
  • Similar Articles
    • Related Articles (in Spandidos Publications)
    • Similar Articles (Google Scholar)
    • Similar Articles (PubMed)
  • Download PDF
  • Download XML
  • View XML
Case Report Open Access

Methotrexate‑related other iatrogenic immunodeficiency‑associated lymphoproliferative disorder in the CNS and medication‑related osteonecrosis of the jaw occurring simultaneously: A case report

  • Authors:
    • Tomoki Kato
    • Chisaki Mizumoto
    • Fuminori Inoue
    • Takuma Watanabe
    • Shigeki Yamanaka
    • Shizuko Fukuhara
    • Kazumasa Nakao
  • View Affiliations / Copyright

    Affiliations: Department of Oral and Maxillofacial Surgery, Graduate School of Medicine, Kyoto University, Kyoto 606‑8507, Japan, Department of Hematology and Oncology, Graduate School of Medicine, Kyoto University, Kyoto 606‑8507, Japan
    Copyright: © Kato et al. This is an open access article distributed under the terms of Creative Commons Attribution License.
  • Article Number: 41
    |
    Published online on: November 28, 2023
       https://doi.org/10.3892/etm.2023.12329
  • Expand metrics +
Metrics: Total Views: 0 (Spandidos Publications: | PMC Statistics: )
Metrics: Total PDF Downloads: 0 (Spandidos Publications: | PMC Statistics: )
Cited By (CrossRef): 0 citations Loading Articles...

This article is mentioned in:



Abstract

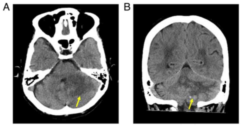
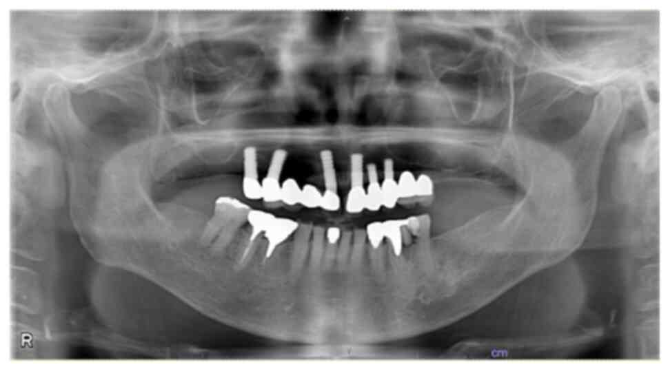
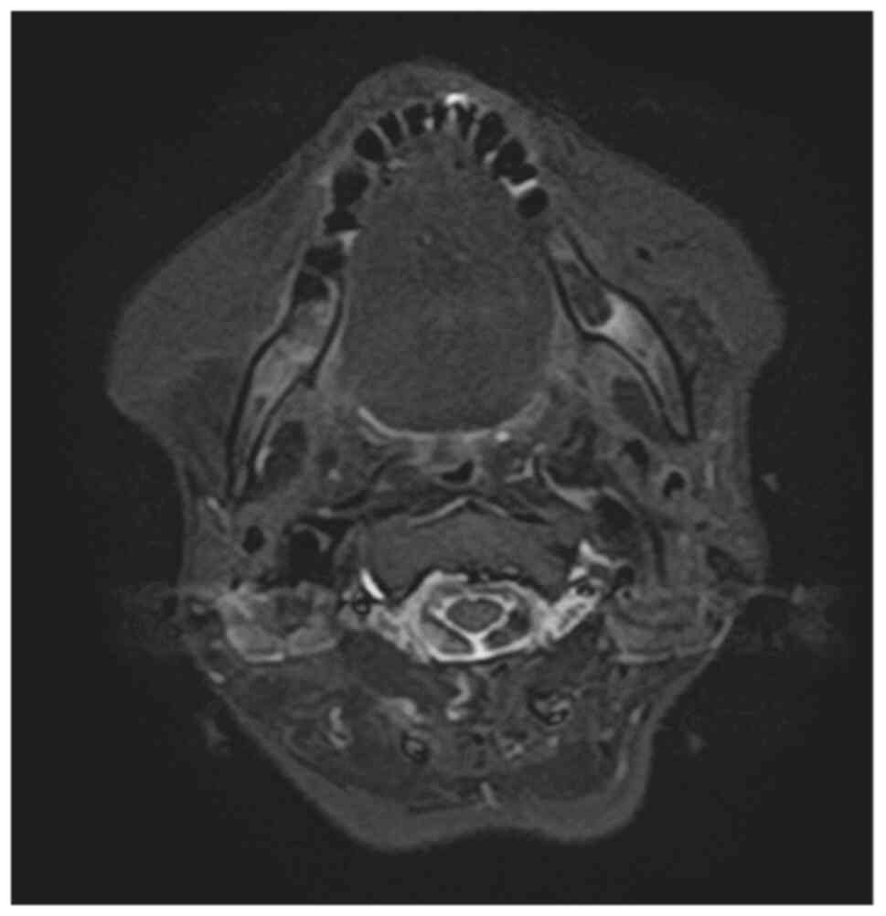
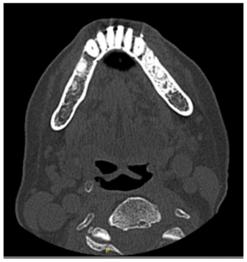
Methotrexate‑related other iatrogenic immunodeficiency‑associated lymphoproliferative disorder (MTX‑OIIA‑LPD) is prone to extranodal involvement but rarely involves the central nervous system (CNS). The present study reports a case of MTX‑OIIA‑LPD of the CNS discovered during medication‑related osteonecrosis of the jaw (MRONJ) treatment in a 76‑year‑old woman with rheumatoid arthritis (RA). The chief complaint of the patient was bone exposure and pain in the right mandibular molar. The patient had been receiving MTX for RA and alendronate sodium hydrate for osteoporosis, followed by denosumab. Treatment was initiated based on a diagnosis of MRONJ. However, the patient experienced lightheadedness and floating dizziness afterwards. Examinations revealed scattered neoplastic lesions in the brain. The histopathological diagnosis was diffuse large B‑cell lymphoma. A systemic search also revealed adrenal involvement. Since the patient was taking MTX, a diagnosis of MTX‑OIIA‑LPD was made and MTX was discontinued. Chemotherapeutic agents were administered since the central lesions became symptomatic. The MTX‑OIIA‑LPD lesions in the brain and adrenal glands completely resolved 8 months after onset. The physical condition of the patient improved, and the bone‑exposed areas became epithelialized. Reports on MTX‑LPD in the oral and maxillofacial region are few, which may delay its diagnosis. Therefore, biopsy of oral lesions in patients with MRONJ who are taking MTX and collaboration with related diagnostic departments, such as rheumatology and hematology, must be done to initiate the diagnosis and treatment of extraoral MTX‑LPD.
View Figures

Figure 1

Figure 2

Figure 3

Figure 4

Figure 5

Figure 6

Figure 7

Figure 8

View References

1 

Wang W, Zhou H and Liu L: Side effects of methotrexate therapy for rheumatoid arthritis: A systematic review. Eur J Med Chem. 158:502–516. 2018.PubMed/NCBI View Article : Google Scholar

2 

Harigai M: Lymphoproliferative disorders in patients with rheumatoid arthritis in the era of widespread use of methotrexate: A review of the literature and current perspective. Mod Rheumatol. 28:1–8. 2018.PubMed/NCBI View Article : Google Scholar

3 

Kleinschmidt-DeMasters BK, Damek DM, Lillehei KO, Dogan A and Giannini C: Epstein Barr virus-associated primary CNS lymphomas in elderly patients on immunosuppressive medications. J Neuropathol Exp Neurol. 67:1103–1111. 2008.PubMed/NCBI View Article : Google Scholar

4 

Fukushima M, Katayama Y, Yokose N, Kura Y, Sawada U, Kotani A and Yoshino A: Primary central nervous system malignant lymphoma in a patient with rheumatoid arthritis receiving low-dose methotrexate treatment. Br J Neurosurg. 27:824–826. 2013.PubMed/NCBI View Article : Google Scholar

5 

Hoshida Y, Xu JX, Fujita S, Nakamichi I, Ikeda J, Tomita Y, Nakatsuka S, Tamaru J, Iizuka A, Takeuchi T and Aozasa K: Lymphoproliferative disorders in rheumatoid arthritis: Clinicopathological analysis of 76 cases in relation to methotrexate medication. J Rheumatol. 34:322–331. 2007.PubMed/NCBI

6 

Migita K, Miyashita T, Mijin T, Sakito S, Kurohama H, Ito M, Toda K, Tsustumi K, Baba H, Izumi Y, et al: Epstein-Barr virus and methotrexate-related CNS lymphoma in a patient with rheumatoid arthritis. Mod Rheumatol. 23:832–836. 2013.PubMed/NCBI View Article : Google Scholar

7 

Liu W, Xue J, Yu S, Chen Q, Li X and Yu R: Primary central nervous system lymphoma mimicking recurrent depressive disorder: A case report. Oncol Lett. 9:1819–1821. 2015.PubMed/NCBI View Article : Google Scholar

8 

Shimada H, Dobashi H, Morimoto H, Kameda T, Susaki K, Izumikawa M, Takeuchi Y, Nakashima S, Imataki O and Bandoh S: Primary central nervous system lymphoma in a rheumatoid arthritis patient treated with methotrexate: A case report. BMC Res Notes. 8(88)2015.PubMed/NCBI View Article : Google Scholar

9 

Kikuchi J, Kaneko Y, Kasahara H, Emoto K, Kubo A, Okamoto S and Takeuchi T: Methotrexate-associated intravascular large B-cell lymphoma in a patient with rheumatoid arthritis. Intern Med. 55:1661–1665. 2016.PubMed/NCBI View Article : Google Scholar

10 

Matsuda I and Hirota S: Methotrexate-associated lymphoproliferative disorder masquerading as multiple cerebral metastases. Br J Haematol. 180(628)2018.PubMed/NCBI View Article : Google Scholar

11 

Miyaza S, Matsuda R, Nakamura M, Nakagawa I, Motoyama Y and Nakase H: Intracranial methotrexate-associated lymphoproliferative disorder in rheumatoid arthritis. World Neurosurg. 130:138–141. 2019.PubMed/NCBI View Article : Google Scholar

12 

Kawazoe M, Kaneko K and Nanki T: Methotrexate-associated lymphoproliferative disorders in the central nervous system and stomach: A case report. Medicine (Baltimore). 99(e19850)2020.PubMed/NCBI View Article : Google Scholar

13 

Uneda A, Hirashita K, Kanda T, Yunoki M, Yoshino K, Kurozumi K and Date I: rimary central nervous system methotrexate-associated lymphoproliferative disorder in a patient with rheumatoid arthritis: Case report and review of literature. NMC Case Rep J. 7:121–127. 2020.PubMed/NCBI View Article : Google Scholar

14 

Kawano H, Kitamura T, Higuchi K and Nozaki K: Primary central nervous system T-cell lymphoma as methotrexate-associated lymphoproliferative disorders: Case report. NMC Case Rep J. 8:253–259. 2021.PubMed/NCBI View Article : Google Scholar

15 

Ueno H, Ohno N, Abe T, Kimoto K, Matsuoka C, Giga M, Naito H, Kono T, Takasu M, Kidani N, et al: Prognosis prediction using magnetic resonance spectroscopy and oligoclonal bands in central nervous system methotrexate-associated lymphoproliferative disorder. Intern Med. 61:3733–3738. 2022.PubMed/NCBI View Article : Google Scholar

16 

Mizushima M, Ishi Y, Ikeda H, Echizenya I, Otsuka T, Mitsuhashi T, Yamaguchi S and Fujimura M: Successful treatment of intracranial methotrexate-associated lymphoproliferative disorder without Epstein-Barr virus infection using rituximab, methotrexate, procarbazine, and vincristine: A case report. NMC Case Rep J. 9:237–242. 2022.PubMed/NCBI View Article : Google Scholar

17 

Ellman MH, Hurwitz H, Thomas C and Kozloff M: Lymphoma developing in a patient with rheumatoid arthritis taking low dose weekly methotrexate. J Rheumatol. 18:1741–1743. 1991.PubMed/NCBI

18 

Gaulard P, Swerdlow SH, Harris NL, Sundstrom C and Jaffe ES: Other iatrogenic immunodeficiency-associated lymphoproliferative disorders. In: Swerdlow SH, Campo E, Harris NL, Jaffe ES, Pileri SA, Stein H and Thiele J (eds). WHO classification of tumours of haematopoietic and lymphoid tissues. Revised 4th edition. IARC, Lyon, France, pp462-464, 2017.

19 

Rizzi R, Curci P, Delia M, Rinaldi E, Chiefa A, Specchia G and Liso V: Spontaneous remission of ‘methotrexate-associated lymphoproliferative disorders’ after discontinuation of immunosuppressive treatment for autoimmune disease. Review of the literature. Med Oncol. 26:1–9. 2009.PubMed/NCBI View Article : Google Scholar

20 

Katsuyama T, Sada KE, Yan M, Zeggar S, Hiramatsu S, Miyawaki Y, Ohashi K, Morishita M, Watanabe H, Katsuyama E, et al: Prognostic factors of methotrexate-associated lymphoproliferative disorders associated with rheumatoid arthritis and plausible application of biological agents. Mod Rheumatol. 27:773–777. 2017.PubMed/NCBI View Article : Google Scholar

21 

Furukawa S, Oobu K, Moriyama M, Kawano S, Sako S, Hayashida JN, Matsubara R, Ogata KI, Kiyoshima T and Nakamura S: Oral methotrexate-related lymphoproliferative disease presenting with severe osteonecrosis of the jaw: A case report and literature review. Intern Med. 57:575–581. 2018.PubMed/NCBI View Article : Google Scholar

22 

Ruggiero SL, Dodson TB, Assael LA, Landesberg R, Marx RE and Mehrotra B: American Association of Oral and Maxillofacial Surgeons. American association of oral and maxillofacial surgeons position paper on bisphosphonate-related osteonecrosis of the Jaws-2009 update. J Oral Maxillofac Surg. 67 (Suppl):S2–S12. 2009.PubMed/NCBI View Article : Google Scholar

23 

Ficarra G and Beninati F: Bisphosphonate-related osteonecrosis of the Jaws: An update on clinical, pathological and management aspects. Head Neck Pathol. 1:132–140. 2007.PubMed/NCBI View Article : Google Scholar

24 

Ruggiero SL, Dodson TB, Aghaloo T, Carlson ER, Ward BB and Kademani D: American association of oral and maxillofacial surgeons' position paper on medication-related osteonecrosis of the Jaws-2022 update. J Oral Maxillofac Surg. 80:920–943. 2022.PubMed/NCBI View Article : Google Scholar

Related Articles

  • Abstract
  • View
  • Download
  • Twitter
Copy and paste a formatted citation
Spandidos Publications style
Kato T, Mizumoto C, Inoue F, Watanabe T, Yamanaka S, Fukuhara S and Nakao K: Methotrexate‑related other iatrogenic immunodeficiency‑associated lymphoproliferative disorder in the CNS and medication‑related osteonecrosis of the jaw occurring simultaneously: A case report. Exp Ther Med 27: 41, 2024.
APA
Kato, T., Mizumoto, C., Inoue, F., Watanabe, T., Yamanaka, S., Fukuhara, S., & Nakao, K. (2024). Methotrexate‑related other iatrogenic immunodeficiency‑associated lymphoproliferative disorder in the CNS and medication‑related osteonecrosis of the jaw occurring simultaneously: A case report. Experimental and Therapeutic Medicine, 27, 41. https://doi.org/10.3892/etm.2023.12329
MLA
Kato, T., Mizumoto, C., Inoue, F., Watanabe, T., Yamanaka, S., Fukuhara, S., Nakao, K."Methotrexate‑related other iatrogenic immunodeficiency‑associated lymphoproliferative disorder in the CNS and medication‑related osteonecrosis of the jaw occurring simultaneously: A case report". Experimental and Therapeutic Medicine 27.1 (2024): 41.
Chicago
Kato, T., Mizumoto, C., Inoue, F., Watanabe, T., Yamanaka, S., Fukuhara, S., Nakao, K."Methotrexate‑related other iatrogenic immunodeficiency‑associated lymphoproliferative disorder in the CNS and medication‑related osteonecrosis of the jaw occurring simultaneously: A case report". Experimental and Therapeutic Medicine 27, no. 1 (2024): 41. https://doi.org/10.3892/etm.2023.12329
Copy and paste a formatted citation
x
Spandidos Publications style
Kato T, Mizumoto C, Inoue F, Watanabe T, Yamanaka S, Fukuhara S and Nakao K: Methotrexate‑related other iatrogenic immunodeficiency‑associated lymphoproliferative disorder in the CNS and medication‑related osteonecrosis of the jaw occurring simultaneously: A case report. Exp Ther Med 27: 41, 2024.
APA
Kato, T., Mizumoto, C., Inoue, F., Watanabe, T., Yamanaka, S., Fukuhara, S., & Nakao, K. (2024). Methotrexate‑related other iatrogenic immunodeficiency‑associated lymphoproliferative disorder in the CNS and medication‑related osteonecrosis of the jaw occurring simultaneously: A case report. Experimental and Therapeutic Medicine, 27, 41. https://doi.org/10.3892/etm.2023.12329
MLA
Kato, T., Mizumoto, C., Inoue, F., Watanabe, T., Yamanaka, S., Fukuhara, S., Nakao, K."Methotrexate‑related other iatrogenic immunodeficiency‑associated lymphoproliferative disorder in the CNS and medication‑related osteonecrosis of the jaw occurring simultaneously: A case report". Experimental and Therapeutic Medicine 27.1 (2024): 41.
Chicago
Kato, T., Mizumoto, C., Inoue, F., Watanabe, T., Yamanaka, S., Fukuhara, S., Nakao, K."Methotrexate‑related other iatrogenic immunodeficiency‑associated lymphoproliferative disorder in the CNS and medication‑related osteonecrosis of the jaw occurring simultaneously: A case report". Experimental and Therapeutic Medicine 27, no. 1 (2024): 41. https://doi.org/10.3892/etm.2023.12329
Follow us
  • Twitter
  • LinkedIn
  • Facebook
About
  • Spandidos Publications
  • Careers
  • Cookie Policy
  • Privacy Policy
How can we help?
  • Help
  • Live Chat
  • Contact
  • Email to our Support Team