Spandidos Publications Logo
  • About
    • About Spandidos
    • Aims and Scopes
    • Abstracting and Indexing
    • Editorial Policies
    • Reprints and Permissions
    • Job Opportunities
    • Terms and Conditions
    • Contact
  • Journals
    • All Journals
    • Oncology Letters
      • Oncology Letters
      • Information for Authors
      • Editorial Policies
      • Editorial Board
      • Aims and Scope
      • Abstracting and Indexing
      • Bibliographic Information
      • Archive
    • International Journal of Oncology
      • International Journal of Oncology
      • Information for Authors
      • Editorial Policies
      • Editorial Board
      • Aims and Scope
      • Abstracting and Indexing
      • Bibliographic Information
      • Archive
    • Molecular and Clinical Oncology
      • Molecular and Clinical Oncology
      • Information for Authors
      • Editorial Policies
      • Editorial Board
      • Aims and Scope
      • Abstracting and Indexing
      • Bibliographic Information
      • Archive
    • Experimental and Therapeutic Medicine
      • Experimental and Therapeutic Medicine
      • Information for Authors
      • Editorial Policies
      • Editorial Board
      • Aims and Scope
      • Abstracting and Indexing
      • Bibliographic Information
      • Archive
    • International Journal of Molecular Medicine
      • International Journal of Molecular Medicine
      • Information for Authors
      • Editorial Policies
      • Editorial Board
      • Aims and Scope
      • Abstracting and Indexing
      • Bibliographic Information
      • Archive
    • Biomedical Reports
      • Biomedical Reports
      • Information for Authors
      • Editorial Policies
      • Editorial Board
      • Aims and Scope
      • Abstracting and Indexing
      • Bibliographic Information
      • Archive
    • Oncology Reports
      • Oncology Reports
      • Information for Authors
      • Editorial Policies
      • Editorial Board
      • Aims and Scope
      • Abstracting and Indexing
      • Bibliographic Information
      • Archive
    • Molecular Medicine Reports
      • Molecular Medicine Reports
      • Information for Authors
      • Editorial Policies
      • Editorial Board
      • Aims and Scope
      • Abstracting and Indexing
      • Bibliographic Information
      • Archive
    • World Academy of Sciences Journal
      • World Academy of Sciences Journal
      • Information for Authors
      • Editorial Policies
      • Editorial Board
      • Aims and Scope
      • Abstracting and Indexing
      • Bibliographic Information
      • Archive
    • International Journal of Functional Nutrition
      • International Journal of Functional Nutrition
      • Information for Authors
      • Editorial Policies
      • Editorial Board
      • Aims and Scope
      • Abstracting and Indexing
      • Bibliographic Information
      • Archive
    • International Journal of Epigenetics
      • International Journal of Epigenetics
      • Information for Authors
      • Editorial Policies
      • Editorial Board
      • Aims and Scope
      • Abstracting and Indexing
      • Bibliographic Information
      • Archive
    • Medicine International
      • Medicine International
      • Information for Authors
      • Editorial Policies
      • Editorial Board
      • Aims and Scope
      • Abstracting and Indexing
      • Bibliographic Information
      • Archive
  • Articles
  • Information
    • Information for Authors
    • Information for Reviewers
    • Information for Librarians
    • Information for Advertisers
    • Conferences
  • Language Editing
Spandidos Publications Logo
  • About
    • About Spandidos
    • Aims and Scopes
    • Abstracting and Indexing
    • Editorial Policies
    • Reprints and Permissions
    • Job Opportunities
    • Terms and Conditions
    • Contact
  • Journals
    • All Journals
    • Biomedical Reports
      • Information for Authors
      • Editorial Policies
      • Editorial Board
      • Aims and Scope
      • Abstracting and Indexing
      • Bibliographic Information
      • Archive
    • Experimental and Therapeutic Medicine
      • Information for Authors
      • Editorial Policies
      • Editorial Board
      • Aims and Scope
      • Abstracting and Indexing
      • Bibliographic Information
      • Archive
    • International Journal of Epigenetics
      • Information for Authors
      • Editorial Policies
      • Editorial Board
      • Aims and Scope
      • Abstracting and Indexing
      • Bibliographic Information
      • Archive
    • International Journal of Functional Nutrition
      • Information for Authors
      • Editorial Policies
      • Editorial Board
      • Aims and Scope
      • Abstracting and Indexing
      • Bibliographic Information
      • Archive
    • International Journal of Molecular Medicine
      • Information for Authors
      • Editorial Policies
      • Editorial Board
      • Aims and Scope
      • Abstracting and Indexing
      • Bibliographic Information
      • Archive
    • International Journal of Oncology
      • Information for Authors
      • Editorial Policies
      • Editorial Board
      • Aims and Scope
      • Abstracting and Indexing
      • Bibliographic Information
      • Archive
    • Medicine International
      • Information for Authors
      • Editorial Policies
      • Editorial Board
      • Aims and Scope
      • Abstracting and Indexing
      • Bibliographic Information
      • Archive
    • Molecular and Clinical Oncology
      • Information for Authors
      • Editorial Policies
      • Editorial Board
      • Aims and Scope
      • Abstracting and Indexing
      • Bibliographic Information
      • Archive
    • Molecular Medicine Reports
      • Information for Authors
      • Editorial Policies
      • Editorial Board
      • Aims and Scope
      • Abstracting and Indexing
      • Bibliographic Information
      • Archive
    • Oncology Letters
      • Information for Authors
      • Editorial Policies
      • Editorial Board
      • Aims and Scope
      • Abstracting and Indexing
      • Bibliographic Information
      • Archive
    • Oncology Reports
      • Information for Authors
      • Editorial Policies
      • Editorial Board
      • Aims and Scope
      • Abstracting and Indexing
      • Bibliographic Information
      • Archive
    • World Academy of Sciences Journal
      • Information for Authors
      • Editorial Policies
      • Editorial Board
      • Aims and Scope
      • Abstracting and Indexing
      • Bibliographic Information
      • Archive
  • Articles
  • Information
    • For Authors
    • For Reviewers
    • For Librarians
    • For Advertisers
    • Conferences
  • Language Editing
Login Register Submit
  • This site uses cookies
  • You can change your cookie settings at any time by following the instructions in our Cookie Policy. To find out more, you may read our Privacy Policy.

    I agree
Search articles by DOI, keyword, author or affiliation
Search
Advanced Search
presentation
Experimental and Therapeutic Medicine
Join Editorial Board Propose a Special Issue
Print ISSN: 1792-0981 Online ISSN: 1792-1015
Journal Cover
January-2024 Volume 27 Issue 1

Full Size Image

Sign up for eToc alerts
Recommend to Library

Journals

International Journal of Molecular Medicine

International Journal of Molecular Medicine

International Journal of Molecular Medicine is an international journal devoted to molecular mechanisms of human disease.

International Journal of Oncology

International Journal of Oncology

International Journal of Oncology is an international journal devoted to oncology research and cancer treatment.

Molecular Medicine Reports

Molecular Medicine Reports

Covers molecular medicine topics such as pharmacology, pathology, genetics, neuroscience, infectious diseases, molecular cardiology, and molecular surgery.

Oncology Reports

Oncology Reports

Oncology Reports is an international journal devoted to fundamental and applied research in Oncology.

Experimental and Therapeutic Medicine

Experimental and Therapeutic Medicine

Experimental and Therapeutic Medicine is an international journal devoted to laboratory and clinical medicine.

Oncology Letters

Oncology Letters

Oncology Letters is an international journal devoted to Experimental and Clinical Oncology.

Biomedical Reports

Biomedical Reports

Explores a wide range of biological and medical fields, including pharmacology, genetics, microbiology, neuroscience, and molecular cardiology.

Molecular and Clinical Oncology

Molecular and Clinical Oncology

International journal addressing all aspects of oncology research, from tumorigenesis and oncogenes to chemotherapy and metastasis.

World Academy of Sciences Journal

World Academy of Sciences Journal

Multidisciplinary open-access journal spanning biochemistry, genetics, neuroscience, environmental health, and synthetic biology.

International Journal of Functional Nutrition

International Journal of Functional Nutrition

Open-access journal combining biochemistry, pharmacology, immunology, and genetics to advance health through functional nutrition.

International Journal of Epigenetics

International Journal of Epigenetics

Publishes open-access research on using epigenetics to advance understanding and treatment of human disease.

Medicine International

Medicine International

An International Open Access Journal Devoted to General Medicine.

Journal Cover
January-2024 Volume 27 Issue 1

Full Size Image

Sign up for eToc alerts
Recommend to Library

  • Article
  • Citations
    • Cite This Article
    • Download Citation
    • Create Citation Alert
    • Remove Citation Alert
    • Cited By
  • Similar Articles
    • Related Articles (in Spandidos Publications)
    • Similar Articles (Google Scholar)
    • Similar Articles (PubMed)
  • Download PDF
  • Download XML
  • View XML
Case Report Open Access

Diagnosis of pancreatic focal nesidioblastosis assisted by dual‑nuclide tracer positron emission tomography/computed tomography: A case report

  • Authors:
    • Guangwen Zhu
    • Liting Xie
    • Xianwen Hu
  • View Affiliations / Copyright

    Affiliations: Department of Endocrinology, Zunyi Hospital of Traditional Chinese Medicine, Zunyi, Guizhou 563000, P.R. China, Department of Gynaecology, Zunyi Hospital of Traditional Chinese Medicine, Zunyi, Guizhou 563000, P.R. China, Department of Nuclear Medicine, The Affiliated Hospital of Zunyi Medical University, Zunyi, Guizhou 563003, P.R. China
    Copyright: © Zhu et al. This is an open access article distributed under the terms of Creative Commons Attribution License.
  • Article Number: 42
    |
    Published online on: November 28, 2023
       https://doi.org/10.3892/etm.2023.12330
  • Expand metrics +
Metrics: Total Views: 0 (Spandidos Publications: | PMC Statistics: )
Metrics: Total PDF Downloads: 0 (Spandidos Publications: | PMC Statistics: )
Cited By (CrossRef): 0 citations Loading Articles...

This article is mentioned in:



Abstract

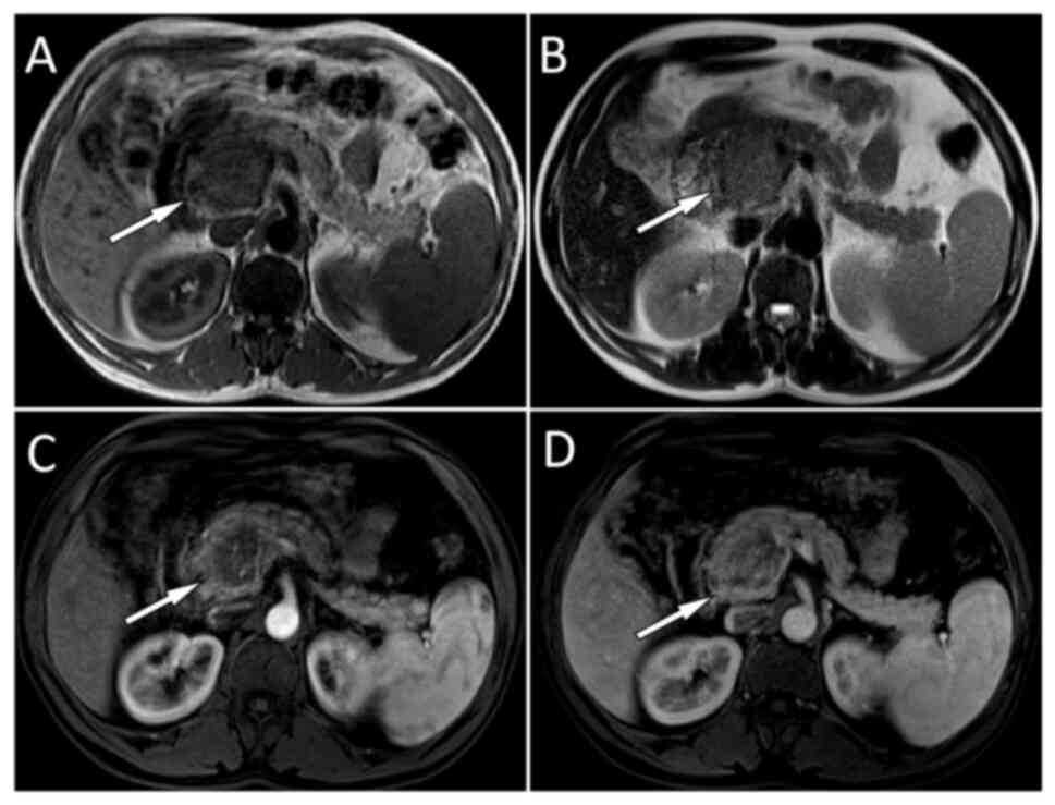
Nesidioblastosis is a rare cause of hyperinsulinemic hypoglycemia in adults and its clinical features are similar to those of insulinoma with recurrent hypoglycemic attacks. The present study reports the case of a 48‑year‑old man who visited the Affiliated Hospital of Zunyi Medical University (Zunyi, China) with a 5‑year history of recurrent hypoglycemic symptoms such as dizziness and palpitations. Abdominal magnetic resonance imaging (MRI) showed a mass of ~1.2x1.0 cm in the head of the pancreas, which was suspected to be an insulinoma. For confirmation, the patient underwent both fluorine‑18‑fluorodeoxyglucose (18F‑FDG) and gallium‑68‑labeled 1,4,7,10‑tetraazacyclododecane‑1,4,7,10‑teraacetic acid‑d‑Phel‑Tyr3‑Thr8‑OC (68Ga‑DOTATATE) positron emission tomography/computed tomography (PET/CT), which showed a moderately increased uptake of 18F‑FDG but no uptake of 68Ga‑DOTATATE in the corresponding lesion. The patient subsequently underwent surgery to remove the lesion, which was pathologically confirmed as a pancreatic nesidioblastosis. This case showed that nesidioblastosis should be considered a differential diagnosis for insulinoma and that dual nuclear tracer PET/CT imaging is helpful for differentiating between the two. If conventional imaging techniques such as ultrasound, CT and MRI cannot identify the cause of hypoglycemia in future cases, dual‑nuclide tracer PET/CT imaging should be considered.
View Figures

Figure 1

Figure 2

Figure 3

Figure 4

View References

1 

Laidlaw GF: Nesidioblastoma, the islet tumor of the pancreas. Am J Pathol. 14:125–134.5. 1938.PubMed/NCBI

2 

García-Santos EP, Manzanares-Campillo Mdel C, Padilla-Valverde D, Villarejo-Campos P, Gil-Rendo A, Muñoz-Atienza V, Sánchez-García S, Puig-Rullán AM, Rodríguez-Peralto JL and Martín-Fernández J: Nesidioblastosis. A case of hyperplasia of the islets of Langerhans in the adult. Pancreatology. 13:544–548. 2013.PubMed/NCBI View Article : Google Scholar

3 

Klöppel G, Anlauf M, Raffel A, Perren A and Knoefel WT: Adult diffuse nesidioblastosis: Genetically or environmentally induced? Hum Pathol. 39:3–8. 2008.PubMed/NCBI View Article : Google Scholar

4 

Yamada Y, Kitayama K, Oyachi M, Higuchi S, Kawakita R, Kanamori Y and Yorifuji T: Nationwide survey of endogenous hyperinsulinemic hypoglycemia in Japan (2017-2018): Congenital hyperinsulinism, insulinoma, non-insulinoma pancreatogenous hypoglycemia syndrome and insulin autoimmune syndrome (Hirata's disease). J Diabetes Investig. 11:554–563. 2020.PubMed/NCBI View Article : Google Scholar

5 

Anlauf M, Wieben D, Perren A, Sipos B, Komminoth P, Raffel A, Kruse ML, Fottner C, Knoefel WT, Mönig H, et al: Persistent hyperinsulinemic hypoglycemia in 15 adults with diffuse nesidioblastosis: Diagnostic criteria, incidence, and characterization of beta-cell changes. Am J Surg Pathol. 29:524–533. 2005.PubMed/NCBI View Article : Google Scholar

6 

Witteles RM, Straus II FH, Sugg SL, Koka MR, Costa EA and Kaplan EL: Adult-onset nesidioblastosis causing hypoglycemia: An important clinical entity and continuing treatment dilemma. Arch Surg. 136:656–663. 2001.PubMed/NCBI View Article : Google Scholar

7 

Prasad V, Sainz-Esteban A, Arsenic R, Plöckinger U, Denecke T, Pape UF, Pascher A, Kühnen P, Pavel M and Blankenstein O: Role of (68)Ga somatostatin receptor PET/CT in the detection of endogenous hyperinsulinaemic focus: An explorative study. Eur J Nucl Med Mol Imaging. 43:1593–1600. 2016.PubMed/NCBI View Article : Google Scholar

8 

Dravecka I and Lazurova I: Nesidioblastosis in adults. Neoplasma. 61:252–256. 2014.PubMed/NCBI View Article : Google Scholar

9 

Glaser B, Chiu KC, Anker R, Nestorowicz A, Landau H, Ben-Bassat H, Shlomai Z, Kaiser N, Thornton PS, Stanley CA, et al: Familial hyperinsulinism maps to chromosome 11p14-15.1, 30 cM centromeric to the insulin gene. Nat Genet. 7:185–188. 1994.PubMed/NCBI View Article : Google Scholar

10 

Rumilla KM, Erickson LA, Service FJ, Vella A, Thompson GB, Grant CS and Lloyd RV: Hyperinsulinemic hypoglycemia with nesidioblastosis: Histologic features and growth factor expression. Mod Pathol. 22:239–245. 2009.PubMed/NCBI View Article : Google Scholar

11 

Dieterle MP, Husari A, Prozmann SN, Wiethoff H, Stenzinger A, Röhrich M, Pfeiffer U, Kießling WR, Engel H, Sourij H, et al: Diffuse, adult-onset nesidioblastosis/non-insulinoma pancreatogenous hypoglycemia syndrome (NIPHS): Review of the literature of a rare cause of hyperinsulinemic hypoglycemia. Biomedicines. 11(1732)2023.PubMed/NCBI View Article : Google Scholar

12 

Ahmed FW, Majeed MS and Kirresh O: Non-Diabetic Hypoglycemia. In: StatPearls [Internet]. Treasure Island (FL): StatPearls Publishing; 2023.

13 

Geraghty M, Draman M, Moran D, Muldoon C, Reynolds JV and Cullen MJ: Hypoglycaemia in an adult male: A surprising finding in pursuit of insulinoma. Surgeon. 6:57–60. 2008.PubMed/NCBI View Article : Google Scholar

14 

Starke A, Saddig C, Kirch B, Tschahargane C and Goretzki P: Islet hyperplasia in adults: Challenge to preoperatively diagnose non-insulinoma pancreatogenic hypoglycemia syndrome. World J Surg. 30:670–679. 2006.PubMed/NCBI View Article : Google Scholar

15 

Doi S, Yamada T, Kito Y, Obara S, Fujii Y, Nishimura T, Kato T, Nakayama H, Tsutsumi M and Okamura R: Adult-Onset Focal Nesidioblastosis With Nodular Formation Mimicking Insulinoma. J Endocr Soc. 6(bvab185)2021.PubMed/NCBI View Article : Google Scholar

16 

Mehrabi A, Fischer L, Hafezi M, Dirlewanger A, Grenacher L, Diener MK, Fonouni H, Golriz M, Garoussi C, Fard N, et al: A systematic review of localization, surgical treatment options, and outcome of insulinoma. Pancreas. 43:675–686. 2014.PubMed/NCBI View Article : Google Scholar

17 

Hu X, Li D, Wang R, Wang P and Cai J: Comparison of the application of 18F-FDG and 68Ga-DOTATATE PET/CT in neuroendocrine tumors: A retrospective study. Medicine (Baltimore). 102(e33726)2023.PubMed/NCBI View Article : Google Scholar

18 

Deroose CM, Hindié E, Kebebew E, Goichot B, Pacak K, Taïeb D and Imperiale A: Molecular imaging of gastroenteropancreatic neuroendocrine tumors: Current status and future directions. J Nucl Med. 57:1949–1956. 2016.PubMed/NCBI View Article : Google Scholar

19 

Kalff V, Iravani A, Akhurst T, Pattison DA, Eu P, Hofman MS and Hicks RJ: Utility of 68Ga-DOTA-Exendin-4 positron emission tomography-computed tomography imaging in distinguishing between insulinoma and nesidioblastosis in patients with confirmed endogenous hyperinsulinaemic hypoglycaemia. Intern Med J. 51:1657–1664. 2021.PubMed/NCBI View Article : Google Scholar

20 

Antwi K, Hepprich M, Müller NA, Reubi JC, Fani M, Rottenburger C, Nicolas G, Kaul F, Christ ER and Wild D: Pitfalls in the detection of insulinomas with glucagon-like peptide-1 receptor imaging. Clin Nucl Med. 45:e386–e392. 2020.PubMed/NCBI View Article : Google Scholar

21 

Dauriz M, Maneschi C, Castelli C, Tomezzoli A, Fuini A, Landoni L, Malleo G, Ferdeghini M, Bonora E and Moghetti P: A case report of insulinoma relapse on background nesidioblastosis: A rare cause of adult hypoglycemia. J Clin Endocrinol Metab. 104:773–778. 2019.PubMed/NCBI View Article : Google Scholar

22 

Arao T, Okada Y, Hirose A and Tanaka Y: A rare case of adult-onset nesidioblastosis treated successfully with diazoxide. Endocr J. 53:95–100. 2006.PubMed/NCBI View Article : Google Scholar

23 

Demartin S, Goffette P, Christ E, Freitag MT, Maiter D and Maria Furnica R: Adult-onset nesidioblastosis: A challenging diagnosis revealed by glucagon-like-peptide-1 receptor imaging. Endocrinol Diabetes Metab Case Rep. 2022:22–0325. 2022.PubMed/NCBI View Article : Google Scholar

24 

Nagtegaal ID, Odze RD, Klimstra D, Paradis V, Rugge M, Schirmacher P, Washington KM, Carneiro F and Cree IA: WHO Classification of Tumours Editorial Board. The 2019 WHO classification of tumours of the digestive system. Histopathology. 76:182–188. 2020.PubMed/NCBI View Article : Google Scholar

Related Articles

  • Abstract
  • View
  • Download
  • Twitter
Copy and paste a formatted citation
Spandidos Publications style
Zhu G, Xie L and Hu X: Diagnosis of pancreatic focal nesidioblastosis assisted by dual‑nuclide tracer positron emission tomography/computed tomography: A case report. Exp Ther Med 27: 42, 2024.
APA
Zhu, G., Xie, L., & Hu, X. (2024). Diagnosis of pancreatic focal nesidioblastosis assisted by dual‑nuclide tracer positron emission tomography/computed tomography: A case report. Experimental and Therapeutic Medicine, 27, 42. https://doi.org/10.3892/etm.2023.12330
MLA
Zhu, G., Xie, L., Hu, X."Diagnosis of pancreatic focal nesidioblastosis assisted by dual‑nuclide tracer positron emission tomography/computed tomography: A case report". Experimental and Therapeutic Medicine 27.1 (2024): 42.
Chicago
Zhu, G., Xie, L., Hu, X."Diagnosis of pancreatic focal nesidioblastosis assisted by dual‑nuclide tracer positron emission tomography/computed tomography: A case report". Experimental and Therapeutic Medicine 27, no. 1 (2024): 42. https://doi.org/10.3892/etm.2023.12330
Copy and paste a formatted citation
x
Spandidos Publications style
Zhu G, Xie L and Hu X: Diagnosis of pancreatic focal nesidioblastosis assisted by dual‑nuclide tracer positron emission tomography/computed tomography: A case report. Exp Ther Med 27: 42, 2024.
APA
Zhu, G., Xie, L., & Hu, X. (2024). Diagnosis of pancreatic focal nesidioblastosis assisted by dual‑nuclide tracer positron emission tomography/computed tomography: A case report. Experimental and Therapeutic Medicine, 27, 42. https://doi.org/10.3892/etm.2023.12330
MLA
Zhu, G., Xie, L., Hu, X."Diagnosis of pancreatic focal nesidioblastosis assisted by dual‑nuclide tracer positron emission tomography/computed tomography: A case report". Experimental and Therapeutic Medicine 27.1 (2024): 42.
Chicago
Zhu, G., Xie, L., Hu, X."Diagnosis of pancreatic focal nesidioblastosis assisted by dual‑nuclide tracer positron emission tomography/computed tomography: A case report". Experimental and Therapeutic Medicine 27, no. 1 (2024): 42. https://doi.org/10.3892/etm.2023.12330
Follow us
  • Twitter
  • LinkedIn
  • Facebook
About
  • Spandidos Publications
  • Careers
  • Cookie Policy
  • Privacy Policy
How can we help?
  • Help
  • Live Chat
  • Contact
  • Email to our Support Team