Spandidos Publications Logo
  • About
    • About Spandidos
    • Aims and Scopes
    • Abstracting and Indexing
    • Editorial Policies
    • Reprints and Permissions
    • Job Opportunities
    • Terms and Conditions
    • Contact
  • Journals
    • All Journals
    • Oncology Letters
      • Oncology Letters
      • Information for Authors
      • Editorial Policies
      • Editorial Board
      • Aims and Scope
      • Abstracting and Indexing
      • Bibliographic Information
      • Archive
    • International Journal of Oncology
      • International Journal of Oncology
      • Information for Authors
      • Editorial Policies
      • Editorial Board
      • Aims and Scope
      • Abstracting and Indexing
      • Bibliographic Information
      • Archive
    • Molecular and Clinical Oncology
      • Molecular and Clinical Oncology
      • Information for Authors
      • Editorial Policies
      • Editorial Board
      • Aims and Scope
      • Abstracting and Indexing
      • Bibliographic Information
      • Archive
    • Experimental and Therapeutic Medicine
      • Experimental and Therapeutic Medicine
      • Information for Authors
      • Editorial Policies
      • Editorial Board
      • Aims and Scope
      • Abstracting and Indexing
      • Bibliographic Information
      • Archive
    • International Journal of Molecular Medicine
      • International Journal of Molecular Medicine
      • Information for Authors
      • Editorial Policies
      • Editorial Board
      • Aims and Scope
      • Abstracting and Indexing
      • Bibliographic Information
      • Archive
    • Biomedical Reports
      • Biomedical Reports
      • Information for Authors
      • Editorial Policies
      • Editorial Board
      • Aims and Scope
      • Abstracting and Indexing
      • Bibliographic Information
      • Archive
    • Oncology Reports
      • Oncology Reports
      • Information for Authors
      • Editorial Policies
      • Editorial Board
      • Aims and Scope
      • Abstracting and Indexing
      • Bibliographic Information
      • Archive
    • Molecular Medicine Reports
      • Molecular Medicine Reports
      • Information for Authors
      • Editorial Policies
      • Editorial Board
      • Aims and Scope
      • Abstracting and Indexing
      • Bibliographic Information
      • Archive
    • World Academy of Sciences Journal
      • World Academy of Sciences Journal
      • Information for Authors
      • Editorial Policies
      • Editorial Board
      • Aims and Scope
      • Abstracting and Indexing
      • Bibliographic Information
      • Archive
    • International Journal of Functional Nutrition
      • International Journal of Functional Nutrition
      • Information for Authors
      • Editorial Policies
      • Editorial Board
      • Aims and Scope
      • Abstracting and Indexing
      • Bibliographic Information
      • Archive
    • International Journal of Epigenetics
      • International Journal of Epigenetics
      • Information for Authors
      • Editorial Policies
      • Editorial Board
      • Aims and Scope
      • Abstracting and Indexing
      • Bibliographic Information
      • Archive
    • Medicine International
      • Medicine International
      • Information for Authors
      • Editorial Policies
      • Editorial Board
      • Aims and Scope
      • Abstracting and Indexing
      • Bibliographic Information
      • Archive
  • Articles
  • Information
    • Information for Authors
    • Information for Reviewers
    • Information for Librarians
    • Information for Advertisers
    • Conferences
  • Language Editing
Spandidos Publications Logo
  • About
    • About Spandidos
    • Aims and Scopes
    • Abstracting and Indexing
    • Editorial Policies
    • Reprints and Permissions
    • Job Opportunities
    • Terms and Conditions
    • Contact
  • Journals
    • All Journals
    • Biomedical Reports
      • Information for Authors
      • Editorial Policies
      • Editorial Board
      • Aims and Scope
      • Abstracting and Indexing
      • Bibliographic Information
      • Archive
    • Experimental and Therapeutic Medicine
      • Information for Authors
      • Editorial Policies
      • Editorial Board
      • Aims and Scope
      • Abstracting and Indexing
      • Bibliographic Information
      • Archive
    • International Journal of Epigenetics
      • Information for Authors
      • Editorial Policies
      • Editorial Board
      • Aims and Scope
      • Abstracting and Indexing
      • Bibliographic Information
      • Archive
    • International Journal of Functional Nutrition
      • Information for Authors
      • Editorial Policies
      • Editorial Board
      • Aims and Scope
      • Abstracting and Indexing
      • Bibliographic Information
      • Archive
    • International Journal of Molecular Medicine
      • Information for Authors
      • Editorial Policies
      • Editorial Board
      • Aims and Scope
      • Abstracting and Indexing
      • Bibliographic Information
      • Archive
    • International Journal of Oncology
      • Information for Authors
      • Editorial Policies
      • Editorial Board
      • Aims and Scope
      • Abstracting and Indexing
      • Bibliographic Information
      • Archive
    • Medicine International
      • Information for Authors
      • Editorial Policies
      • Editorial Board
      • Aims and Scope
      • Abstracting and Indexing
      • Bibliographic Information
      • Archive
    • Molecular and Clinical Oncology
      • Information for Authors
      • Editorial Policies
      • Editorial Board
      • Aims and Scope
      • Abstracting and Indexing
      • Bibliographic Information
      • Archive
    • Molecular Medicine Reports
      • Information for Authors
      • Editorial Policies
      • Editorial Board
      • Aims and Scope
      • Abstracting and Indexing
      • Bibliographic Information
      • Archive
    • Oncology Letters
      • Information for Authors
      • Editorial Policies
      • Editorial Board
      • Aims and Scope
      • Abstracting and Indexing
      • Bibliographic Information
      • Archive
    • Oncology Reports
      • Information for Authors
      • Editorial Policies
      • Editorial Board
      • Aims and Scope
      • Abstracting and Indexing
      • Bibliographic Information
      • Archive
    • World Academy of Sciences Journal
      • Information for Authors
      • Editorial Policies
      • Editorial Board
      • Aims and Scope
      • Abstracting and Indexing
      • Bibliographic Information
      • Archive
  • Articles
  • Information
    • For Authors
    • For Reviewers
    • For Librarians
    • For Advertisers
    • Conferences
  • Language Editing
Login Register Submit
  • This site uses cookies
  • You can change your cookie settings at any time by following the instructions in our Cookie Policy. To find out more, you may read our Privacy Policy.

    I agree
Search articles by DOI, keyword, author or affiliation
Search
Advanced Search
presentation
Experimental and Therapeutic Medicine
Join Editorial Board Propose a Special Issue
Print ISSN: 1792-0981 Online ISSN: 1792-1015
Journal Cover
January-2024 Volume 27 Issue 1

Full Size Image

Sign up for eToc alerts
Recommend to Library

Journals

International Journal of Molecular Medicine

International Journal of Molecular Medicine

International Journal of Molecular Medicine is an international journal devoted to molecular mechanisms of human disease.

International Journal of Oncology

International Journal of Oncology

International Journal of Oncology is an international journal devoted to oncology research and cancer treatment.

Molecular Medicine Reports

Molecular Medicine Reports

Covers molecular medicine topics such as pharmacology, pathology, genetics, neuroscience, infectious diseases, molecular cardiology, and molecular surgery.

Oncology Reports

Oncology Reports

Oncology Reports is an international journal devoted to fundamental and applied research in Oncology.

Experimental and Therapeutic Medicine

Experimental and Therapeutic Medicine

Experimental and Therapeutic Medicine is an international journal devoted to laboratory and clinical medicine.

Oncology Letters

Oncology Letters

Oncology Letters is an international journal devoted to Experimental and Clinical Oncology.

Biomedical Reports

Biomedical Reports

Explores a wide range of biological and medical fields, including pharmacology, genetics, microbiology, neuroscience, and molecular cardiology.

Molecular and Clinical Oncology

Molecular and Clinical Oncology

International journal addressing all aspects of oncology research, from tumorigenesis and oncogenes to chemotherapy and metastasis.

World Academy of Sciences Journal

World Academy of Sciences Journal

Multidisciplinary open-access journal spanning biochemistry, genetics, neuroscience, environmental health, and synthetic biology.

International Journal of Functional Nutrition

International Journal of Functional Nutrition

Open-access journal combining biochemistry, pharmacology, immunology, and genetics to advance health through functional nutrition.

International Journal of Epigenetics

International Journal of Epigenetics

Publishes open-access research on using epigenetics to advance understanding and treatment of human disease.

Medicine International

Medicine International

An International Open Access Journal Devoted to General Medicine.

Journal Cover
January-2024 Volume 27 Issue 1

Full Size Image

Sign up for eToc alerts
Recommend to Library

  • Article
  • Citations
    • Cite This Article
    • Download Citation
    • Create Citation Alert
    • Remove Citation Alert
    • Cited By
  • Similar Articles
    • Related Articles (in Spandidos Publications)
    • Similar Articles (Google Scholar)
    • Similar Articles (PubMed)
  • Download PDF
  • Download XML
  • View XML
Case Report

Hospital‑acquired pneumonia caused by Kodamaea ohmeri during extracorporeal membrane oxygenation treatment: A case report and literature review

  • Authors:
    • Tao Ding
    • Yi Zhu
    • Zhong-Man Zhang
    • Yue Zou
    • Di An
    • Wei Li
    • Xu-Feng Chen
  • View Affiliations / Copyright

    Affiliations: Emergency Department, The First Affiliated Hospital of Nanjing Medical University and Jiangsu Province Hospital, Nanjing, Jiangsu 210029, P.R. China
  • Article Number: 43
    |
    Published online on: November 30, 2023
       https://doi.org/10.3892/etm.2023.12331
  • Expand metrics +
Metrics: Total Views: 0 (Spandidos Publications: | PMC Statistics: )
Metrics: Total PDF Downloads: 0 (Spandidos Publications: | PMC Statistics: )
Cited By (CrossRef): 0 citations Loading Articles...

This article is mentioned in:



Abstract

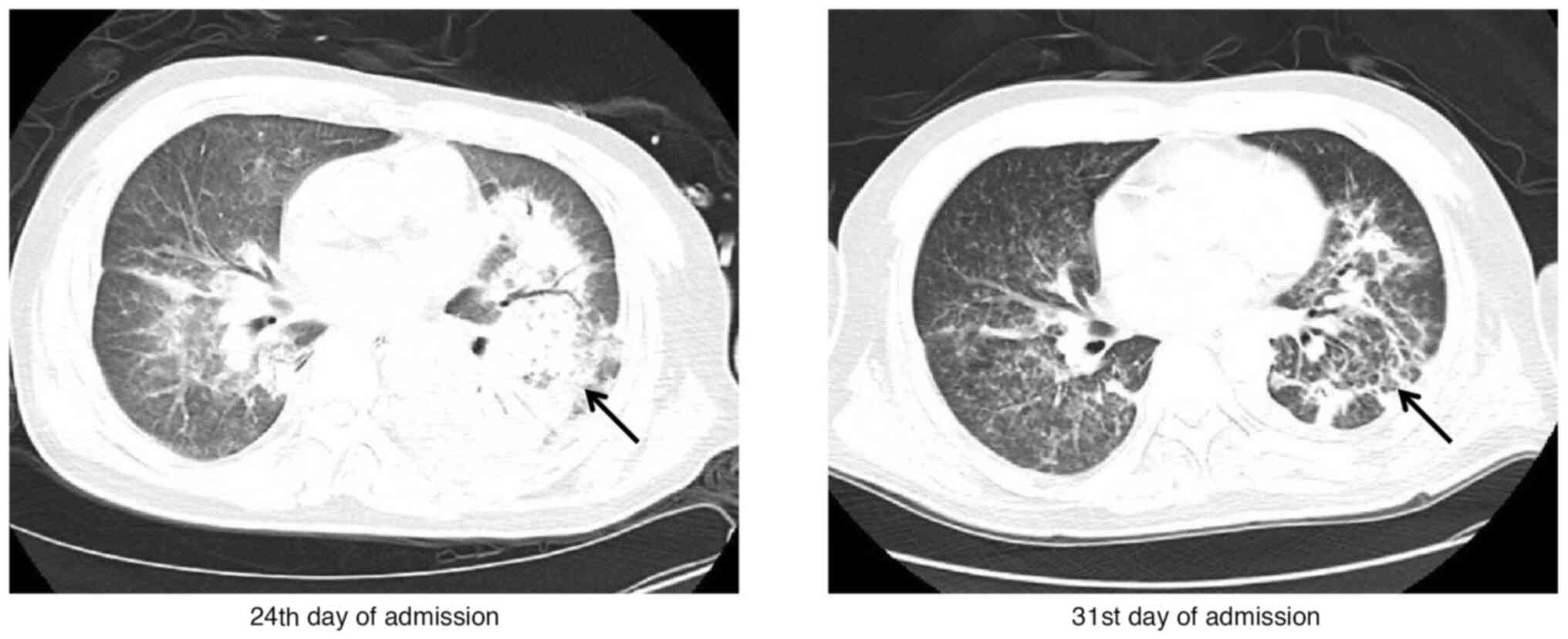
Kodamaea ohmeri (K. ohmeri) is an ascosporogenic species of yeast that belongs to the genus Ascosporogenous and the family of Saccharomycetaceae. It has recently been found to cause various types of infections, particularly in critically ill immunocompromised patients. The present study describes a case of hospital‑acquired pneumonia caused by K. ohmeri during veno‑arterial extracorporeal membrane oxygenation. The fungal culture turned negative after the administration of caspofungin and amphotericin B. Extracorporeal membrane oxygenation (ECMO) is an adjunctive medical technique that provides temporary cardiopulmonary support for patients. Previous observations have suggested that the immune function of patients will typically decline during the use of ECMO, rendering infection to be one of the main complications of ECMO. K. ohmeri is a rare pathogenic fungus, particularly in immunocompromised individuals with vascular catheters, while amphotericin B is the most common antifungal therapy administered to treat K. ohmeri infections. It is important to raise awareness of rare fungal infections and actively treat them.
View Figures

Figure 1

Figure 2

Figure 3

View References

1 

Fernández-Ruiz M, Guinea J, Puig-Asensio M, Zaragoza Ó, Almirante B, Cuenca-Estrella M and Aguado JM: CANDIPOP Project; GEIH-GEMICOMED (SEIMC) and REIPI. Fungemia due to rare opportunistic yeasts: data from a population-based surveillance in Spain. Med Mycol. 55:125–136. 2017.PubMed/NCBI View Article : Google Scholar

2 

Jayaweera JAAS, Kothalawala M and Sooriyar S: Infected tricuspid valve myxoma with Kodamaea ohmeri: Case report. Indian J Med Microbiol. 39:252–255. 2021.PubMed/NCBI View Article : Google Scholar

3 

Hou C: Catheter-related bloodstream infection caused by Kodamaea ohmeri in China. Infect Prev Pract. 1(100006)2019.PubMed/NCBI View Article : Google Scholar

4 

Santino I, Bono S, Borruso L, Bove M, Cialdi E, Martinelli D and Alari A: Kodamaea ohmeri isolate from two immunocompromised patients: First report in Italy. Mycoses. 56:179–181. 2013.PubMed/NCBI View Article : Google Scholar

5 

Guo DW, Gao J, Wu HL, Wu C, Wu JX, Rui Q, Bao Y, Liu ZH, Wang XY, Xu LD, et al: Extracorporeal membrane oxygenation combined with minimally invasive surgery for acute respiratory failure and sudden cardiac arrest: A case report. Exp Ther Med. 25(250)2023.PubMed/NCBI View Article : Google Scholar

6 

Tsao NW, Shih CM, Yeh JS, Kao YT, Hsieh MH, Ou KL, Chen JW, Shyu KG, Weng ZC, Chang NC, et al: Extracorporeal membrane oxygenation-assisted primary percutaneous coronary intervention may improve survival of patients with acute myocardial infarction complicated by profound cardiogenic shock. J Crit Care. 27:530.e1–e11. 2012.PubMed/NCBI View Article : Google Scholar

7 

Frerou A, Lesouhaitier M, Gregoire M, Uhel F, Gacouin A, Reizine F, Moreau C, Loirat A, Maamar A, Nesseler N, et al: Venoarterial extracorporeal membrane oxygenation induces early immune alterations. Crit Care. 25(9)2021.PubMed/NCBI View Article : Google Scholar

8 

Cho HJ, Kayumov M, Kim D, Lee K, Onyekachi FO, Jeung KW, Kim Y, Suen JY, Fraser JF and Jeong IS: Acute immune response in venoarterial and venovenous extracorporeal membrane oxygenation models of rats. ASAIO J. 67:546–553. 2021.PubMed/NCBI View Article : Google Scholar

9 

Ki KK, Millar JE, Langguth D, Passmore MR, McDonald CI, Shekar K, Shankar-Hari M, Cho HJ, Suen JY and Fraser JF: Current understanding of leukocyte phenotypic and functional modulation during extracorporeal membrane oxygenation: A narrative review. Front Immunol. 11(600684)2021.PubMed/NCBI View Article : Google Scholar

10 

Calderón Checa RM, Rojo Conejo P, González-Posada Flores AF, Llorente de la Fuente AM, Palacios Cuesta A, Aguilar JM and Belda Hofheinz S: Experience with infections in the use of extracorporeal membrane oxygenation. An Pediatr (Engl Ed). 89:86–91. 2018.PubMed/NCBI View Article : Google Scholar : (In Spanish).

11 

MacLaren G, Schlapbach LJ and Aiken AM: Nosocomial infections during extracorporeal membrane oxygenation in neonatal, pediatric, and adult patients: A comprehensive narrative review. Pediatr Crit Care Med. 21:283–290. 2020.PubMed/NCBI View Article : Google Scholar

12 

Biffi S, Di Bella S, Scaravilli V, Peri AM, Grasselli G, Alagna L, Pesenti A and Gori A: Infections during extracorporeal membrane oxygenation: Epidemiology, risk factors, pathogenesis and prevention. Int J Antimicrob Agents. 50:9–16. 2017.PubMed/NCBI View Article : Google Scholar

13 

Allou N, Lo Pinto H, Persichini R, Bouchet B, Braunberger E, Lugagne N, Belmonte O, Martinet O, Delmas B, Dangers L and Allyn J: Cannula-related infection in patients supported by peripheral ECMO: Clinical and microbiological characteristics. ASAIO J. 65:180–186. 2019.PubMed/NCBI View Article : Google Scholar

14 

Kim HS, Park S, Ko HH, Ha SO, Lee SH and Kim YK: Different characteristics of bloodstream infection during venoarterial and venovenous extracorporeal membrane oxygenation in adult patients. Sci Rep. 11(9498)2021.PubMed/NCBI View Article : Google Scholar

15 

Kanno Y, Wakabayashi Y, Ikeda M, Tatsuno K, Misawa Y, Sato T, Yanagimoto S, Okugawa S, Moriya K and Yotsuyanagi H: Catheter-related bloodstream infection caused by Kodamaea ohmeri: A case report and literature review. J Infect Chemother. 23:410–414. 2017.PubMed/NCBI View Article : Google Scholar

16 

Yu Q, Yan J, Gao Z, Yang H, Tang Y and Yang L: Subcutaneous granuloma caused by Kodamaea ohmeri in an immunocompromised patient in China. Australas J Dermatol. 61:e213–e216. 2020.PubMed/NCBI View Article : Google Scholar

17 

Ma XF, Hu WB, Wang GQ, Gao WM, Wang MS, Tong GA, Zhu L and Zhu Y: A case of patient with Pichia ohmeri fungemia associated with HLD successfully treated with caspofungin and a literature review. Anhui Med J. 37:136–139. 2016.(In Chinese).

18 

Tashiro A, Nei T, Sugimoto R, Watanabe A, Hagiwara J, Takiguchi T, Yokota H and Kamei K: Kodamaea ohmeri fungemia in severe burn: Case study and literature review. Med Mycol Case Rep. 22:21–23. 2018.PubMed/NCBI View Article : Google Scholar

19 

Wang CH, Su YS and Lee WS: Necrotizing cellulitis caused by Kodamaea ohmeri fungemia in a HIV-infected patient. J Infect. 84:579–613. 2022.PubMed/NCBI View Article : Google Scholar

20 

Zhou M, Li Y, Kudinha T, Xu Y and Liu Z: Kodamaea ohmeri as an emerging human pathogen: A review and update. Front Microbiol. 12(736582)2021.PubMed/NCBI View Article : Google Scholar

21 

Diallo K, Lefevre B, Cadelis G, Gallois JC, Gandon F, Nicolas M and Hoen B: A case report of fungemia due to Kodamaea ohmeri. BMC Infect Dis. 19(570)2019.PubMed/NCBI View Article : Google Scholar

22 

Ascioglu S, Rex JH, de Pauw B, Bennett JE, Bille J, Crokaert F, Denning DW, Donnelly JP, Edwards JE, Erjavec Z, et al: Defining opportunistic invasive fungal infections in immunocompromised patients with cancer and hematopoietic stem cell transplants: An international consensus. Clin Infect Dis. 34:7–14. 2002.PubMed/NCBI View Article : Google Scholar

23 

Zhou M, Yu S, Kudinha T, Xiao M, Wang H, Xu Y and Zhao H: Identification and antifungal susceptibility profiles of Kodamaea ohmeri based on a seven-year multicenter surveillance study. Infect Drug Resist. 12:1657–1664. 2019.PubMed/NCBI View Article : Google Scholar

24 

Ioannou P and Papakitsou I: Kodamaea ohmeri infections in humans: A systematic review. Mycoses. 63:636–643. 2020.PubMed/NCBI View Article : Google Scholar

25 

Mei Y, Chen X, Sun K, Lv J, Sun H and Zhang J: Scedosporium apiospermum infection: Lethal complication after extracorporeal cardiopulmonary resuscitation. Perfusion. 33:71–73. 2018.PubMed/NCBI View Article : Google Scholar

Related Articles

  • Abstract
  • View
  • Download
  • Twitter
Copy and paste a formatted citation
Spandidos Publications style
Ding T, Zhu Y, Zhang Z, Zou Y, An D, Li W and Chen X: Hospital‑acquired pneumonia caused by <em>Kodamaea ohmeri</em> during extracorporeal membrane oxygenation treatment: A case report and literature review. Exp Ther Med 27: 43, 2024.
APA
Ding, T., Zhu, Y., Zhang, Z., Zou, Y., An, D., Li, W., & Chen, X. (2024). Hospital‑acquired pneumonia caused by <em>Kodamaea ohmeri</em> during extracorporeal membrane oxygenation treatment: A case report and literature review. Experimental and Therapeutic Medicine, 27, 43. https://doi.org/10.3892/etm.2023.12331
MLA
Ding, T., Zhu, Y., Zhang, Z., Zou, Y., An, D., Li, W., Chen, X."Hospital‑acquired pneumonia caused by <em>Kodamaea ohmeri</em> during extracorporeal membrane oxygenation treatment: A case report and literature review". Experimental and Therapeutic Medicine 27.1 (2024): 43.
Chicago
Ding, T., Zhu, Y., Zhang, Z., Zou, Y., An, D., Li, W., Chen, X."Hospital‑acquired pneumonia caused by <em>Kodamaea ohmeri</em> during extracorporeal membrane oxygenation treatment: A case report and literature review". Experimental and Therapeutic Medicine 27, no. 1 (2024): 43. https://doi.org/10.3892/etm.2023.12331
Copy and paste a formatted citation
x
Spandidos Publications style
Ding T, Zhu Y, Zhang Z, Zou Y, An D, Li W and Chen X: Hospital‑acquired pneumonia caused by <em>Kodamaea ohmeri</em> during extracorporeal membrane oxygenation treatment: A case report and literature review. Exp Ther Med 27: 43, 2024.
APA
Ding, T., Zhu, Y., Zhang, Z., Zou, Y., An, D., Li, W., & Chen, X. (2024). Hospital‑acquired pneumonia caused by <em>Kodamaea ohmeri</em> during extracorporeal membrane oxygenation treatment: A case report and literature review. Experimental and Therapeutic Medicine, 27, 43. https://doi.org/10.3892/etm.2023.12331
MLA
Ding, T., Zhu, Y., Zhang, Z., Zou, Y., An, D., Li, W., Chen, X."Hospital‑acquired pneumonia caused by <em>Kodamaea ohmeri</em> during extracorporeal membrane oxygenation treatment: A case report and literature review". Experimental and Therapeutic Medicine 27.1 (2024): 43.
Chicago
Ding, T., Zhu, Y., Zhang, Z., Zou, Y., An, D., Li, W., Chen, X."Hospital‑acquired pneumonia caused by <em>Kodamaea ohmeri</em> during extracorporeal membrane oxygenation treatment: A case report and literature review". Experimental and Therapeutic Medicine 27, no. 1 (2024): 43. https://doi.org/10.3892/etm.2023.12331
Follow us
  • Twitter
  • LinkedIn
  • Facebook
About
  • Spandidos Publications
  • Careers
  • Cookie Policy
  • Privacy Policy
How can we help?
  • Help
  • Live Chat
  • Contact
  • Email to our Support Team