Spandidos Publications Logo
  • About
    • About Spandidos
    • Aims and Scopes
    • Abstracting and Indexing
    • Editorial Policies
    • Reprints and Permissions
    • Job Opportunities
    • Terms and Conditions
    • Contact
  • Journals
    • All Journals
    • Oncology Letters
      • Oncology Letters
      • Information for Authors
      • Editorial Policies
      • Editorial Board
      • Aims and Scope
      • Abstracting and Indexing
      • Bibliographic Information
      • Archive
    • International Journal of Oncology
      • International Journal of Oncology
      • Information for Authors
      • Editorial Policies
      • Editorial Board
      • Aims and Scope
      • Abstracting and Indexing
      • Bibliographic Information
      • Archive
    • Molecular and Clinical Oncology
      • Molecular and Clinical Oncology
      • Information for Authors
      • Editorial Policies
      • Editorial Board
      • Aims and Scope
      • Abstracting and Indexing
      • Bibliographic Information
      • Archive
    • Experimental and Therapeutic Medicine
      • Experimental and Therapeutic Medicine
      • Information for Authors
      • Editorial Policies
      • Editorial Board
      • Aims and Scope
      • Abstracting and Indexing
      • Bibliographic Information
      • Archive
    • International Journal of Molecular Medicine
      • International Journal of Molecular Medicine
      • Information for Authors
      • Editorial Policies
      • Editorial Board
      • Aims and Scope
      • Abstracting and Indexing
      • Bibliographic Information
      • Archive
    • Biomedical Reports
      • Biomedical Reports
      • Information for Authors
      • Editorial Policies
      • Editorial Board
      • Aims and Scope
      • Abstracting and Indexing
      • Bibliographic Information
      • Archive
    • Oncology Reports
      • Oncology Reports
      • Information for Authors
      • Editorial Policies
      • Editorial Board
      • Aims and Scope
      • Abstracting and Indexing
      • Bibliographic Information
      • Archive
    • Molecular Medicine Reports
      • Molecular Medicine Reports
      • Information for Authors
      • Editorial Policies
      • Editorial Board
      • Aims and Scope
      • Abstracting and Indexing
      • Bibliographic Information
      • Archive
    • World Academy of Sciences Journal
      • World Academy of Sciences Journal
      • Information for Authors
      • Editorial Policies
      • Editorial Board
      • Aims and Scope
      • Abstracting and Indexing
      • Bibliographic Information
      • Archive
    • International Journal of Functional Nutrition
      • International Journal of Functional Nutrition
      • Information for Authors
      • Editorial Policies
      • Editorial Board
      • Aims and Scope
      • Abstracting and Indexing
      • Bibliographic Information
      • Archive
    • International Journal of Epigenetics
      • International Journal of Epigenetics
      • Information for Authors
      • Editorial Policies
      • Editorial Board
      • Aims and Scope
      • Abstracting and Indexing
      • Bibliographic Information
      • Archive
    • Medicine International
      • Medicine International
      • Information for Authors
      • Editorial Policies
      • Editorial Board
      • Aims and Scope
      • Abstracting and Indexing
      • Bibliographic Information
      • Archive
  • Articles
  • Information
    • Information for Authors
    • Information for Reviewers
    • Information for Librarians
    • Information for Advertisers
    • Conferences
  • Language Editing
Spandidos Publications Logo
  • About
    • About Spandidos
    • Aims and Scopes
    • Abstracting and Indexing
    • Editorial Policies
    • Reprints and Permissions
    • Job Opportunities
    • Terms and Conditions
    • Contact
  • Journals
    • All Journals
    • Biomedical Reports
      • Information for Authors
      • Editorial Policies
      • Editorial Board
      • Aims and Scope
      • Abstracting and Indexing
      • Bibliographic Information
      • Archive
    • Experimental and Therapeutic Medicine
      • Information for Authors
      • Editorial Policies
      • Editorial Board
      • Aims and Scope
      • Abstracting and Indexing
      • Bibliographic Information
      • Archive
    • International Journal of Epigenetics
      • Information for Authors
      • Editorial Policies
      • Editorial Board
      • Aims and Scope
      • Abstracting and Indexing
      • Bibliographic Information
      • Archive
    • International Journal of Functional Nutrition
      • Information for Authors
      • Editorial Policies
      • Editorial Board
      • Aims and Scope
      • Abstracting and Indexing
      • Bibliographic Information
      • Archive
    • International Journal of Molecular Medicine
      • Information for Authors
      • Editorial Policies
      • Editorial Board
      • Aims and Scope
      • Abstracting and Indexing
      • Bibliographic Information
      • Archive
    • International Journal of Oncology
      • Information for Authors
      • Editorial Policies
      • Editorial Board
      • Aims and Scope
      • Abstracting and Indexing
      • Bibliographic Information
      • Archive
    • Medicine International
      • Information for Authors
      • Editorial Policies
      • Editorial Board
      • Aims and Scope
      • Abstracting and Indexing
      • Bibliographic Information
      • Archive
    • Molecular and Clinical Oncology
      • Information for Authors
      • Editorial Policies
      • Editorial Board
      • Aims and Scope
      • Abstracting and Indexing
      • Bibliographic Information
      • Archive
    • Molecular Medicine Reports
      • Information for Authors
      • Editorial Policies
      • Editorial Board
      • Aims and Scope
      • Abstracting and Indexing
      • Bibliographic Information
      • Archive
    • Oncology Letters
      • Information for Authors
      • Editorial Policies
      • Editorial Board
      • Aims and Scope
      • Abstracting and Indexing
      • Bibliographic Information
      • Archive
    • Oncology Reports
      • Information for Authors
      • Editorial Policies
      • Editorial Board
      • Aims and Scope
      • Abstracting and Indexing
      • Bibliographic Information
      • Archive
    • World Academy of Sciences Journal
      • Information for Authors
      • Editorial Policies
      • Editorial Board
      • Aims and Scope
      • Abstracting and Indexing
      • Bibliographic Information
      • Archive
  • Articles
  • Information
    • For Authors
    • For Reviewers
    • For Librarians
    • For Advertisers
    • Conferences
  • Language Editing
Login Register Submit
  • This site uses cookies
  • You can change your cookie settings at any time by following the instructions in our Cookie Policy. To find out more, you may read our Privacy Policy.

    I agree
Search articles by DOI, keyword, author or affiliation
Search
Advanced Search
presentation
Experimental and Therapeutic Medicine
Join Editorial Board Propose a Special Issue
Print ISSN: 1792-0981 Online ISSN: 1792-1015
Journal Cover
April-2024 Volume 27 Issue 4

Full Size Image

Sign up for eToc alerts
Recommend to Library

Journals

International Journal of Molecular Medicine

International Journal of Molecular Medicine

International Journal of Molecular Medicine is an international journal devoted to molecular mechanisms of human disease.

International Journal of Oncology

International Journal of Oncology

International Journal of Oncology is an international journal devoted to oncology research and cancer treatment.

Molecular Medicine Reports

Molecular Medicine Reports

Covers molecular medicine topics such as pharmacology, pathology, genetics, neuroscience, infectious diseases, molecular cardiology, and molecular surgery.

Oncology Reports

Oncology Reports

Oncology Reports is an international journal devoted to fundamental and applied research in Oncology.

Experimental and Therapeutic Medicine

Experimental and Therapeutic Medicine

Experimental and Therapeutic Medicine is an international journal devoted to laboratory and clinical medicine.

Oncology Letters

Oncology Letters

Oncology Letters is an international journal devoted to Experimental and Clinical Oncology.

Biomedical Reports

Biomedical Reports

Explores a wide range of biological and medical fields, including pharmacology, genetics, microbiology, neuroscience, and molecular cardiology.

Molecular and Clinical Oncology

Molecular and Clinical Oncology

International journal addressing all aspects of oncology research, from tumorigenesis and oncogenes to chemotherapy and metastasis.

World Academy of Sciences Journal

World Academy of Sciences Journal

Multidisciplinary open-access journal spanning biochemistry, genetics, neuroscience, environmental health, and synthetic biology.

International Journal of Functional Nutrition

International Journal of Functional Nutrition

Open-access journal combining biochemistry, pharmacology, immunology, and genetics to advance health through functional nutrition.

International Journal of Epigenetics

International Journal of Epigenetics

Publishes open-access research on using epigenetics to advance understanding and treatment of human disease.

Medicine International

Medicine International

An International Open Access Journal Devoted to General Medicine.

Journal Cover
April-2024 Volume 27 Issue 4

Full Size Image

Sign up for eToc alerts
Recommend to Library

  • Article
  • Citations
    • Cite This Article
    • Download Citation
    • Create Citation Alert
    • Remove Citation Alert
    • Cited By
  • Similar Articles
    • Related Articles (in Spandidos Publications)
    • Similar Articles (Google Scholar)
    • Similar Articles (PubMed)
  • Download PDF
  • Download XML
  • View XML
Case Report

Clinical application of a connection device consisting of a bag valve mask and nebulizer in first aid: Two case reports

  • Authors:
    • Ting-Ting Wang
    • Yu-Ting Hou
    • Yingzhen Yang
    • Bin Mei
    • Xue-Sheng Liu
    • Yao Lu
    • Shan-Gui Chen
  • View Affiliations / Copyright

    Affiliations: Department of Anesthesiology, The First Affiliated Hospital of Anhui Medical University, Hefei, Anhui 230022, P.R. China, Department of Infectious Disease, The First Affiliated Hospital of Anhui Medical University, Hefei, Anhui 230000, P.R. China, Ambulatory Surgery Center, The First Affiliated Hospital of Anhui Medical University, Hefei, Anhui 230022, P.R. China
  • Article Number: 172
    |
    Published online on: February 28, 2024
       https://doi.org/10.3892/etm.2024.12460
  • Expand metrics +
Metrics: Total Views: 0 (Spandidos Publications: | PMC Statistics: )
Metrics: Total PDF Downloads: 0 (Spandidos Publications: | PMC Statistics: )
Cited By (CrossRef): 0 citations Loading Articles...

This article is mentioned in:



Abstract

In clinical practice, several emergencies may threaten the life of patients, and these emergencies can be unpredictable and challenging. During the coronavirus disease 2019 pandemic, in January 2023, a patient developed respiratory distress caused by coronavirus, but was unable to access respiratory support due to shortages of medical resources, intensive care unit beds and ventilators. The medical staff quickly created a portable high‑flow atomized oxygen therapy apparatus consisting of a simple breathing bag connected to a nebulizer to provide breathing support. In addition, the Ambulatory Surgery Center, The First Affiliated Hospital of Anhui Medical University (Hefei, China) witnessed a case of severe laryngeal spasm after tracheal extubation during the recovery period from general anesthesia. Due to the lack of an anesthesia machine nebulizer, the aforementioned device was used to provide oxygen under pressure and initiate treatment to quickly relieve the symptoms of laryngeal obstruction. The present case report describes how the medical staff quickly applied emergency airway management skills and knowledge to create a portable high‑flow atomized oxygen therapy apparatus in a resource‑poor setting to save the lives of two patients.

Introduction

Beginning in December 2022, China entered a new phase of COVID-19 control policy, with a rapid increase in infected and critically ill patients. The signs and symptoms of COVID-19 infection include fever, cough, and dyspnoea. COVID-19 can cause acute respiratory distress syndrome (ARDS); therefore, prompt non-invasive or invasive ventilation, including intermittent mandatory ventilation, and prompt improvement of hypoxemia are vital for improving patient conditions (1).

Acute respiratory distress is life-threatening to patients. Notably, there are various causes of acute respiratory distress, such as pulmonary infection or laryngeal edema. Once acute respiratory distress occurs, prompt initiation of treatment is essential upon the onset to ensure patient survival (2). One of the most important measures is to restore air exchange, improve the ventilation status of the patient and maintain normal blood oxygen saturation (3). Therefore, professional knowledge and practical experience are needed to address these issues to ensure patient safety. However, in some cases, medical staff may be faced with resource-poor conditions and must make use of what is available. The present study describes two cases of first aid with a shortage of supplies. The medical staff designed a custom-made high-flow oxygen nebulization device, which was designed to increase blood oxygen.

Case report

Case presentation 1

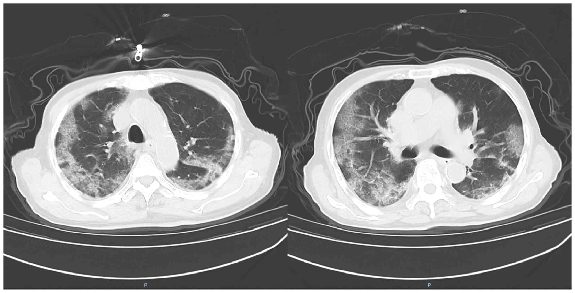
In January 2023, a 95-year-old man (weight, 54 kg) was admitted to the Department of Infectious Diseases (The First Affiliated Hospital of Anhui Medical University, Hefei, China) due to pneumonia. The results of a physical examination at admission included a temperature of 38.4˚C (normal range, 36-37˚C of axillary temperature), a pulse of 90 bpm (normal range, 60-100 bpm), a respiratory rate of 20 breaths/min (normal range, 12-20 breaths/min) and a blood pressure of 128/65 mmHg (normal range, 90-140/60-90 mmHg). The nucleic acid test for SARS-Cov-2 was positive after admission. The white blood cell count was 2.9x109/l, the percentage of neutrophils was 84.8%, the percentage of lymphocytes was 9.3%, the absolute value of lymphocytes was 0.27x109/l, the C-reactive protein level was 69.8 mg/l and the hemoglobin level was 119 g/l. The initial computed tomography scan (Fig. 1) showed bilateral pulmonary pneumonia. The diagnoses at admission were pneumonia and coronary atherosclerotic heart disease. The blood oxygen saturation was maintained at 86-92% with a 7 l/min high-flow mask providing centrally supplied oxygen. The partial pressures of carbon dioxide and oxygen were monitored using a transcutaneous partial pressure oxygen/carbon dioxide monitor (TCM CombiM; Radiometre Medical) on the left forearm (4,5). Patient transfer to the intensive care unit was not possible owing to the limited number of beds.

Figure 1

Computed tomography scans of the patient at different levels. Patchy fuzzy shadows with unclear boundaries and uneven internal density were observed in both lungs, especially in the lobus inferior pulmonis.

After 3 days in the hospital, the blood oxygen saturation of the patient was 88% and the oxygen flow rate was 7 l/min. The transcutaneous partial pressure of carbon dioxide (TcPCO2) was 33 mmHg (normal range, 35-45 mmHg) and the transcutaneous oxygen pressure (TcPO2) was 47 mmHg (normal range, 60-100 mmHg). As the patient exited their bed to urinate while using an oxygen mask, physical exertion and oxygen consumption occurred, leading to a rapid decline in oxygen levels and the onset of severe respiratory distress. The oxygen saturation decreased to 78%, and the patient was short of breath and irritable. The oxygen flow rate was increased to 10 l/min and the oxygen saturation rate was increased to 83%. The TCM CombiM monitor showed a partial pressure of carbon dioxide of 27 mmHg and a partial pressure of oxygen of 35 mmHg. The use of a custom-made high-flow rate oxygen nebulization device was subsequently implemented.

The pressure safety valve of a sterile adult bag valve mask (BVM; ShineBall Enterprise) was removed (Fig. 2A) and the outer diameter of the mask was wrapped with adhesive tape (Fig. 2B). A nebulizer (Emedical) containing nebulization solution that could provide relief from symptoms and promote better respiratory function was connected to the BVM (Fig. 2C), and the duckbill valve outlet was connected to a catheter mount connected to a mask (Fig. 2D). Two breathing tubes were connected to the nebulizer and the inlet of the BVM (Fig. 2E). Oxygen was used to drive the nebulizer at an oxygen flow rate of 7 l/min. Similarly, in the BVM, wall-based central oxygen was used to regulate the flow of oxygen to 7 l/min. Head straps were used to fix the mask to the mouth and nose of the patient. After 5 min, the blood oxygen saturation gradually increased from 83 to 97%. The patient was conscious and oriented, and their shortness of breath improved slightly. The TCM CombiM monitor showed a partial pressure of carbon dioxide of 36 mmHg and a partial pressure of oxygen of 87 mmHg. After 4 h, a high-flow nasal cannula (HFNC) was applied, and the parameters were as follows: Oxygen flow rate, 45 l/min; oxygen concentration, 49%; temperature, 36˚C; pulse oximetry oxygen saturation, 92%; TcPCO2, 31 mmHg; and TcPO2, 65 mmHg. There was a slight decrease in oxygen saturation in the early stages of using HFNC, as the patient experienced a temporary discomfort with high flow (Fig. 3). After 2 h, the blood oxygen saturation was maintained at 98%, the transcutaneous partial pressure of carbon dioxide was 34 mmHg and the partial pressure of oxygen was 69 mmHg. The vital signs of the patient were stable and they slept peacefully.

Figure 2

Steps taken to create the custom-made high-flow oxygen nebulization device: (A) The pressure safety valve of the sterile adult BVM was removed; (B) the outer diameter of the mask was wrapped with adhesive tape; (C) the nebulizer with nebulization solutions was connected to the BVM; (D) the duckbill valve outlet was connected to the catheter mount connected to a mask; and (E) the two breathing tubes were connected to the nebulizer and the inlet of the BVM. BVM, bag valve mask.

Figure 3

Changes in TcPO2 and TcPCO2 30 min after the custom-made high-flow-rate oxygen nebulization device was replaced by an HFNC. HFNC, high-flow nasal cannula; TcPCO2, transcutaneous partial pressure of carbon dioxide; TcPO2, transcutaneous oxygen pressure.

Case presentation 2

A 58-year-old male patient was admitted to the Ambulatory Surgery Center (The First Affiliated Hospital of Anhui Medical University) in May 2023 due to experiencing hoarseness for 1 year. Vocal cord polypectomy under general anesthesia was performed the next day. After the operation, the patient was transferred to the recovery room to assist in breathing via an endotracheal tube. After 25 min, the patient's spontaneous breathing recovered and the catheter was removed after the patient regained consciousness. Due to a lack of assessment of muscle strength during extubation, the extubation was performed under light anesthesia, leading to laryngospasm. The patient subsequently exhibited wheezing and labored breathing, and the three concave sign was obvious. The blood oxygen saturation gradually decreased to 87%. Oxygen was administered via the same mask on the anesthesia machine and the patient was sedated via an intravenous injection of 30 mg propofol (6). The blood oxygen saturation increased to 99% but the laryngeal wheezing did not improve. Since the department was not equipped with an anesthetic machine nebulizer (Fig. 4A, special atomizer for the anesthesia machine), the following procedure was performed: The balloon of the BVM was removed from the custom-made high-flow nebulizer used in case 1, the duckbill valve head was inserted into the intake end of the anesthesia machine, and 2 ml budesonide suspension was added into the nebulizer for atomization to reduce airway edema and inflammation (Fig. 4B) (7). After 5 min, the laryngeal sounds completely disappeared and the treatment effect was satisfactory.

Figure 4

Anesthetic machine nebulizer and custom-made atomizer: (A) Special atomizer for the anesthesia machine. (B) Custom-made atomizer: The balloon of the BVM was removed and the duckbill valve head was inserted into the intake end of the anesthesia machine for nebulization treatment.

Discussion

In the present case report, a custom-made high-flow-rate oxygen nebulization device was able to supply high-flow oxygen therapy and airway humidification, and may be used to provide respiratory support for patients to maintain blood oxygen saturation and ensure safety while they are waiting for respiratory equipment.

Before emergency intervention, the first patient mentioned used a standard oxygen mask with a flow rate of 7 l/min, and their blood oxygen saturation was maintained at 86-92%. When there was a change in their condition, the flow rate was increased to 10 l/min, but the blood oxygen saturation was maintained at only 83%. The use of an oxygen mask failed to sustain a normal oxygen saturation level in the patient. In the context of limited medical resources at that time, the custom-made device, equipped with an oxygen reservoir bag, features two oxygen supply channels, each with a flow rate of 7 l/min; this allows for the provision of oxygen support at a combined flow rate of 14 l/min, which can provide 100% oxygen concentration (8). The patient in case one experienced a quick recovery of oxygen saturation using this device. Additionally, a high-flow humidifier is effective at improving patient blood oxygen saturation. The patient experienced a temporary drop in blood oxygen saturation, due to the initial discomfort of the patient with the high flow, there was a slight decrease in oxygen saturation in the early stages (9). However, after a 2-h adaptation period, the oxygen saturation reached 98%. Furthermore, the mask of the custom-made device has gaps on both sides of the cheeks in order to prevent suffocation, while continuous dynamic monitoring of TcPO2 and TcPCO2 is conducted using a TCM CombiM monitor. The patient did not experience complications within the 4-h usage period.

In addition, the custom-made device can be used for simultaneous nebulization, as indicated in the second patient, and it did not cause hypoxia or interfere with positive pressure ventilation. As in the case of assisting positive pressure ventilation with a simple breathing bag during assisted positive pressure ventilation, oxygen and nebulized particles enter the patient's airway through the oxygen outlet. Additionally, the device's duckbill valve, along with appropriately applied sterile tape, ensures a secure seal without causing air leakage.

In conclusion, the custom-made device described in the present study can be used as a temporary anesthesia machine for nebulization of patients with acute laryngeal oedema or laryngospasm, or in airway surface anesthesia in resource-poor settings. The materials for this device are easy to obtain, and adult or pediatric BVMs can be used until respirators become available in resource-poor settings. Hence, this approach is worth promoting in clinical practice.

Acknowledgements

Not applicable.

Funding

Funding: No funding was received.

Availability of data and materials

The data generated in the present study may be requested from the corresponding author.

Authors' contributions

TW and YH are co-first authors of this paper, they collected and analyzed the data, and drafted the manuscript. YY and BM collated and analyzed the data, TW and SC confirm the authenticity of all the raw data. XL and YL analyzed and interpreted the data. SC designed the study, is the corresponding author of this paper and revised the final manuscript. All authors read and approved the final manuscript.

Ethics approval and consent to participate

Both patients' families consented to participate in the treatment using the custom-made device.

Patient consent for publication

Both patients and their families provided written consent for this report, including the figures, to be published.

Competing interests

The authors declare that they have no competing interests.

References

1 

Lavorini F, Usmani OS and Dhand R: Aerosol delivery systems for treating obstructive airway diseases during the SARS-CoV-2 pandemic. Intern Emerg Med. 16:2035–2039. 2021.PubMed/NCBI View Article : Google Scholar

2 

Saguil A and Fargo M: Acute respiratory distress syndrome: Diagnosis management. Am Fam Physician. 85:352–358. 2012.PubMed/NCBI

3 

Rutt AL, Bojaxhi E and Torp KD: Management of refractory laryngospasm. J Voice. 35:633–635. 2021.PubMed/NCBI View Article : Google Scholar

4 

Zhu XW, Shi Y, Shi LP, Liu L, Xue J and Ramanathan R: NHFOV Study Group. Non-invasive high-frequency oscillatory ventilation versus nasal continuous positive airway pressure in preterm infants with respiratory distress syndrome: Study protocol for a multi-center prospective randomized controlled trial. Trials. 19(319)2018.PubMed/NCBI View Article : Google Scholar

5 

Janssens JP, Borel JC, Pépin JL and SomnoNIV Group: Nocturnal monitoring of home non-invasive ventilation: The contribution of simple tools such as pulse oximetry, capnography, built-in ventilator software and autonomic markers of sleep fragmentation. Thorax. 66:438–445. 2011.PubMed/NCBI View Article : Google Scholar

6 

Afshan G, Chohan U, Qamar-Ul-Hoda M and Kamal RS: Is there a role of a small dose of propofol in the treatment of laryngeal spasm? Paediatr Anaesth. 12:625–628. 2002.PubMed/NCBI View Article : Google Scholar

7 

Huang C, Yang M and Jiang R: The effect of premedication with budesonide aerosol inhalation on the incidence of respiratory adverse events during anesthesia recovery period in pediatric patients. Bio Res. 29:437–441. 2018.

8 

Kabak M and Çil B: Feasibility of non-rebreather masks and nasal cannula as a substitute for high flow nasal oxygen in patients with severe COVID-19 infection. Acta Medica Mediterr. 37:949–954. 2021.

9 

Chanques G, Constantin JM, Sauter M, Jung B, Sebbane M, Verzilli D, Lefrant JY and Jaber S: Discomfort associated with underhumidified high-flow oxygen therapy in critically ill patients. Intensive Care Med. 35:996–1003. 2009.PubMed/NCBI View Article : Google Scholar

Related Articles

  • Abstract
  • View
  • Download
  • Twitter
Copy and paste a formatted citation
Spandidos Publications style
Wang T, Hou Y, Yang Y, Mei B, Liu X, Lu Y and Chen S: Clinical application of a connection device consisting of a bag valve mask and nebulizer in first aid: Two case reports. Exp Ther Med 27: 172, 2024.
APA
Wang, T., Hou, Y., Yang, Y., Mei, B., Liu, X., Lu, Y., & Chen, S. (2024). Clinical application of a connection device consisting of a bag valve mask and nebulizer in first aid: Two case reports. Experimental and Therapeutic Medicine, 27, 172. https://doi.org/10.3892/etm.2024.12460
MLA
Wang, T., Hou, Y., Yang, Y., Mei, B., Liu, X., Lu, Y., Chen, S."Clinical application of a connection device consisting of a bag valve mask and nebulizer in first aid: Two case reports". Experimental and Therapeutic Medicine 27.4 (2024): 172.
Chicago
Wang, T., Hou, Y., Yang, Y., Mei, B., Liu, X., Lu, Y., Chen, S."Clinical application of a connection device consisting of a bag valve mask and nebulizer in first aid: Two case reports". Experimental and Therapeutic Medicine 27, no. 4 (2024): 172. https://doi.org/10.3892/etm.2024.12460
Copy and paste a formatted citation
x
Spandidos Publications style
Wang T, Hou Y, Yang Y, Mei B, Liu X, Lu Y and Chen S: Clinical application of a connection device consisting of a bag valve mask and nebulizer in first aid: Two case reports. Exp Ther Med 27: 172, 2024.
APA
Wang, T., Hou, Y., Yang, Y., Mei, B., Liu, X., Lu, Y., & Chen, S. (2024). Clinical application of a connection device consisting of a bag valve mask and nebulizer in first aid: Two case reports. Experimental and Therapeutic Medicine, 27, 172. https://doi.org/10.3892/etm.2024.12460
MLA
Wang, T., Hou, Y., Yang, Y., Mei, B., Liu, X., Lu, Y., Chen, S."Clinical application of a connection device consisting of a bag valve mask and nebulizer in first aid: Two case reports". Experimental and Therapeutic Medicine 27.4 (2024): 172.
Chicago
Wang, T., Hou, Y., Yang, Y., Mei, B., Liu, X., Lu, Y., Chen, S."Clinical application of a connection device consisting of a bag valve mask and nebulizer in first aid: Two case reports". Experimental and Therapeutic Medicine 27, no. 4 (2024): 172. https://doi.org/10.3892/etm.2024.12460
Follow us
  • Twitter
  • LinkedIn
  • Facebook
About
  • Spandidos Publications
  • Careers
  • Cookie Policy
  • Privacy Policy
How can we help?
  • Help
  • Live Chat
  • Contact
  • Email to our Support Team