Spandidos Publications Logo
  • About
    • About Spandidos
    • Aims and Scopes
    • Abstracting and Indexing
    • Editorial Policies
    • Reprints and Permissions
    • Job Opportunities
    • Terms and Conditions
    • Contact
  • Journals
    • All Journals
    • Oncology Letters
      • Oncology Letters
      • Information for Authors
      • Editorial Policies
      • Editorial Board
      • Aims and Scope
      • Abstracting and Indexing
      • Bibliographic Information
      • Archive
    • International Journal of Oncology
      • International Journal of Oncology
      • Information for Authors
      • Editorial Policies
      • Editorial Board
      • Aims and Scope
      • Abstracting and Indexing
      • Bibliographic Information
      • Archive
    • Molecular and Clinical Oncology
      • Molecular and Clinical Oncology
      • Information for Authors
      • Editorial Policies
      • Editorial Board
      • Aims and Scope
      • Abstracting and Indexing
      • Bibliographic Information
      • Archive
    • Experimental and Therapeutic Medicine
      • Experimental and Therapeutic Medicine
      • Information for Authors
      • Editorial Policies
      • Editorial Board
      • Aims and Scope
      • Abstracting and Indexing
      • Bibliographic Information
      • Archive
    • International Journal of Molecular Medicine
      • International Journal of Molecular Medicine
      • Information for Authors
      • Editorial Policies
      • Editorial Board
      • Aims and Scope
      • Abstracting and Indexing
      • Bibliographic Information
      • Archive
    • Biomedical Reports
      • Biomedical Reports
      • Information for Authors
      • Editorial Policies
      • Editorial Board
      • Aims and Scope
      • Abstracting and Indexing
      • Bibliographic Information
      • Archive
    • Oncology Reports
      • Oncology Reports
      • Information for Authors
      • Editorial Policies
      • Editorial Board
      • Aims and Scope
      • Abstracting and Indexing
      • Bibliographic Information
      • Archive
    • Molecular Medicine Reports
      • Molecular Medicine Reports
      • Information for Authors
      • Editorial Policies
      • Editorial Board
      • Aims and Scope
      • Abstracting and Indexing
      • Bibliographic Information
      • Archive
    • World Academy of Sciences Journal
      • World Academy of Sciences Journal
      • Information for Authors
      • Editorial Policies
      • Editorial Board
      • Aims and Scope
      • Abstracting and Indexing
      • Bibliographic Information
      • Archive
    • International Journal of Functional Nutrition
      • International Journal of Functional Nutrition
      • Information for Authors
      • Editorial Policies
      • Editorial Board
      • Aims and Scope
      • Abstracting and Indexing
      • Bibliographic Information
      • Archive
    • International Journal of Epigenetics
      • International Journal of Epigenetics
      • Information for Authors
      • Editorial Policies
      • Editorial Board
      • Aims and Scope
      • Abstracting and Indexing
      • Bibliographic Information
      • Archive
    • Medicine International
      • Medicine International
      • Information for Authors
      • Editorial Policies
      • Editorial Board
      • Aims and Scope
      • Abstracting and Indexing
      • Bibliographic Information
      • Archive
  • Articles
  • Information
    • Information for Authors
    • Information for Reviewers
    • Information for Librarians
    • Information for Advertisers
    • Conferences
  • Language Editing
Spandidos Publications Logo
  • About
    • About Spandidos
    • Aims and Scopes
    • Abstracting and Indexing
    • Editorial Policies
    • Reprints and Permissions
    • Job Opportunities
    • Terms and Conditions
    • Contact
  • Journals
    • All Journals
    • Biomedical Reports
      • Information for Authors
      • Editorial Policies
      • Editorial Board
      • Aims and Scope
      • Abstracting and Indexing
      • Bibliographic Information
      • Archive
    • Experimental and Therapeutic Medicine
      • Information for Authors
      • Editorial Policies
      • Editorial Board
      • Aims and Scope
      • Abstracting and Indexing
      • Bibliographic Information
      • Archive
    • International Journal of Epigenetics
      • Information for Authors
      • Editorial Policies
      • Editorial Board
      • Aims and Scope
      • Abstracting and Indexing
      • Bibliographic Information
      • Archive
    • International Journal of Functional Nutrition
      • Information for Authors
      • Editorial Policies
      • Editorial Board
      • Aims and Scope
      • Abstracting and Indexing
      • Bibliographic Information
      • Archive
    • International Journal of Molecular Medicine
      • Information for Authors
      • Editorial Policies
      • Editorial Board
      • Aims and Scope
      • Abstracting and Indexing
      • Bibliographic Information
      • Archive
    • International Journal of Oncology
      • Information for Authors
      • Editorial Policies
      • Editorial Board
      • Aims and Scope
      • Abstracting and Indexing
      • Bibliographic Information
      • Archive
    • Medicine International
      • Information for Authors
      • Editorial Policies
      • Editorial Board
      • Aims and Scope
      • Abstracting and Indexing
      • Bibliographic Information
      • Archive
    • Molecular and Clinical Oncology
      • Information for Authors
      • Editorial Policies
      • Editorial Board
      • Aims and Scope
      • Abstracting and Indexing
      • Bibliographic Information
      • Archive
    • Molecular Medicine Reports
      • Information for Authors
      • Editorial Policies
      • Editorial Board
      • Aims and Scope
      • Abstracting and Indexing
      • Bibliographic Information
      • Archive
    • Oncology Letters
      • Information for Authors
      • Editorial Policies
      • Editorial Board
      • Aims and Scope
      • Abstracting and Indexing
      • Bibliographic Information
      • Archive
    • Oncology Reports
      • Information for Authors
      • Editorial Policies
      • Editorial Board
      • Aims and Scope
      • Abstracting and Indexing
      • Bibliographic Information
      • Archive
    • World Academy of Sciences Journal
      • Information for Authors
      • Editorial Policies
      • Editorial Board
      • Aims and Scope
      • Abstracting and Indexing
      • Bibliographic Information
      • Archive
  • Articles
  • Information
    • For Authors
    • For Reviewers
    • For Librarians
    • For Advertisers
    • Conferences
  • Language Editing
Login Register Submit
  • This site uses cookies
  • You can change your cookie settings at any time by following the instructions in our Cookie Policy. To find out more, you may read our Privacy Policy.

    I agree
Search articles by DOI, keyword, author or affiliation
Search
Advanced Search
presentation
Experimental and Therapeutic Medicine
Join Editorial Board Propose a Special Issue
Print ISSN: 1792-0981 Online ISSN: 1792-1015
Journal Cover
July-2024 Volume 28 Issue 1

Full Size Image

Sign up for eToc alerts
Recommend to Library

Journals

International Journal of Molecular Medicine

International Journal of Molecular Medicine

International Journal of Molecular Medicine is an international journal devoted to molecular mechanisms of human disease.

International Journal of Oncology

International Journal of Oncology

International Journal of Oncology is an international journal devoted to oncology research and cancer treatment.

Molecular Medicine Reports

Molecular Medicine Reports

Covers molecular medicine topics such as pharmacology, pathology, genetics, neuroscience, infectious diseases, molecular cardiology, and molecular surgery.

Oncology Reports

Oncology Reports

Oncology Reports is an international journal devoted to fundamental and applied research in Oncology.

Experimental and Therapeutic Medicine

Experimental and Therapeutic Medicine

Experimental and Therapeutic Medicine is an international journal devoted to laboratory and clinical medicine.

Oncology Letters

Oncology Letters

Oncology Letters is an international journal devoted to Experimental and Clinical Oncology.

Biomedical Reports

Biomedical Reports

Explores a wide range of biological and medical fields, including pharmacology, genetics, microbiology, neuroscience, and molecular cardiology.

Molecular and Clinical Oncology

Molecular and Clinical Oncology

International journal addressing all aspects of oncology research, from tumorigenesis and oncogenes to chemotherapy and metastasis.

World Academy of Sciences Journal

World Academy of Sciences Journal

Multidisciplinary open-access journal spanning biochemistry, genetics, neuroscience, environmental health, and synthetic biology.

International Journal of Functional Nutrition

International Journal of Functional Nutrition

Open-access journal combining biochemistry, pharmacology, immunology, and genetics to advance health through functional nutrition.

International Journal of Epigenetics

International Journal of Epigenetics

Publishes open-access research on using epigenetics to advance understanding and treatment of human disease.

Medicine International

Medicine International

An International Open Access Journal Devoted to General Medicine.

Journal Cover
July-2024 Volume 28 Issue 1

Full Size Image

Sign up for eToc alerts
Recommend to Library

  • Article
  • Citations
    • Cite This Article
    • Download Citation
    • Create Citation Alert
    • Remove Citation Alert
    • Cited By
  • Similar Articles
    • Related Articles (in Spandidos Publications)
    • Similar Articles (Google Scholar)
    • Similar Articles (PubMed)
  • Download PDF
  • Download XML
  • View XML

  • Supplementary Files
    • Supplementary_Data.pdf
Article Open Access

Meteorin‑like/meteorin‑β protects against cardiac dysfunction after myocardial infarction in mice by inhibiting autophagy

  • Authors:
    • Jiahong Shangguan
    • Gangqiong Liu
    • Lili Xiao
    • Wenjing Zhang
    • Xiaodan Zhu
    • Ling Li
  • View Affiliations / Copyright

    Affiliations: Department of Cardiology, The First Affiliated Hospital of Zhengzhou University, Zhengzhou, Henan 450052, P.R. China
    Copyright: © Shangguan et al. This is an open access article distributed under the terms of Creative Commons Attribution License.
  • Article Number: 293
    |
    Published online on: May 22, 2024
       https://doi.org/10.3892/etm.2024.12582
  • Expand metrics +
Metrics: Total Views: 0 (Spandidos Publications: | PMC Statistics: )
Metrics: Total PDF Downloads: 0 (Spandidos Publications: | PMC Statistics: )
Cited By (CrossRef): 0 citations Loading Articles...

This article is mentioned in:



Abstract

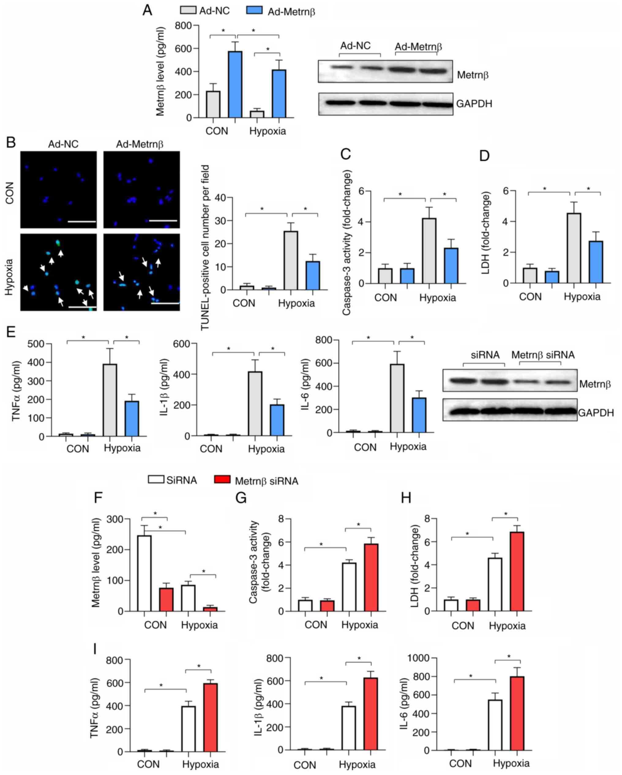
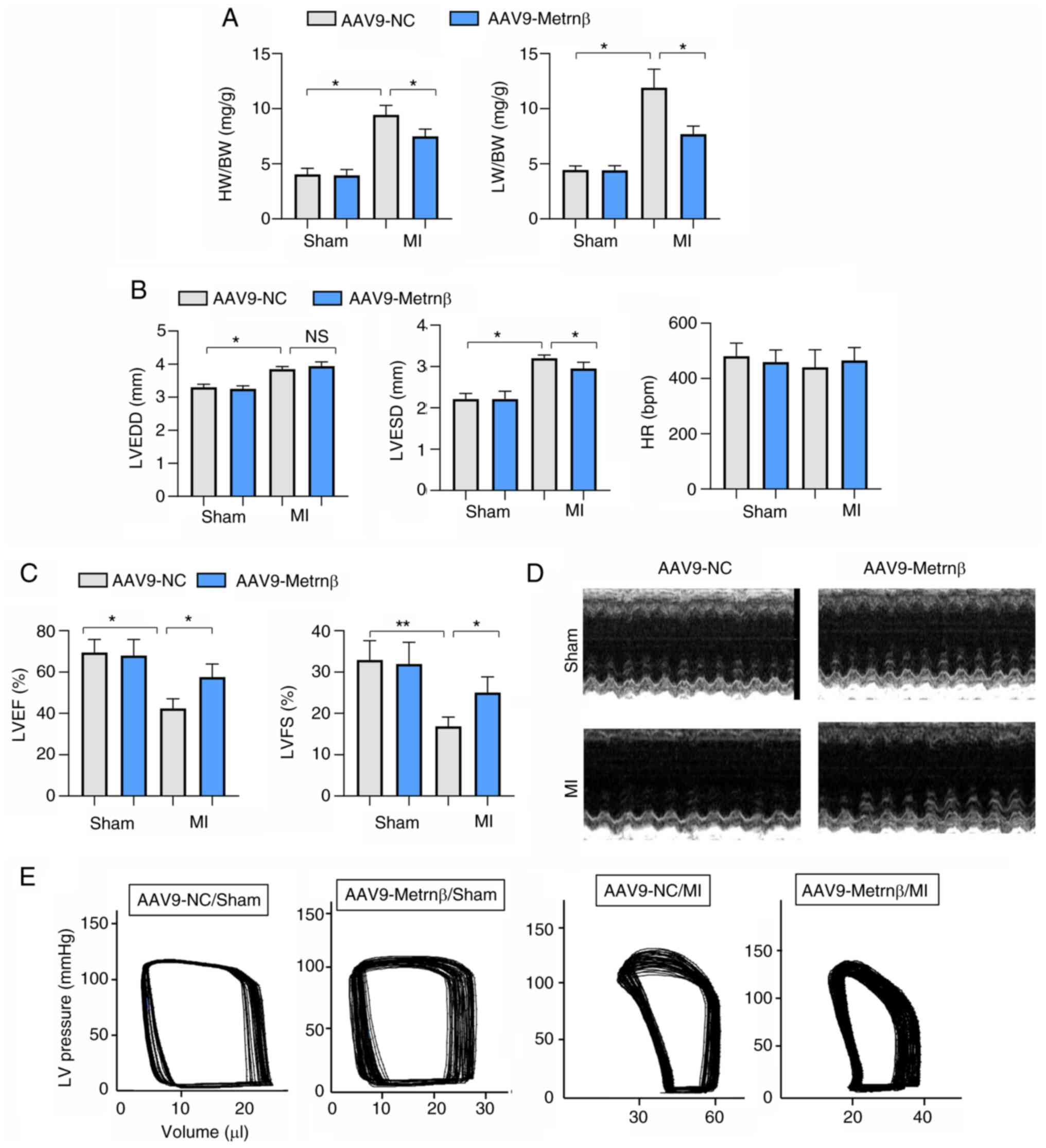
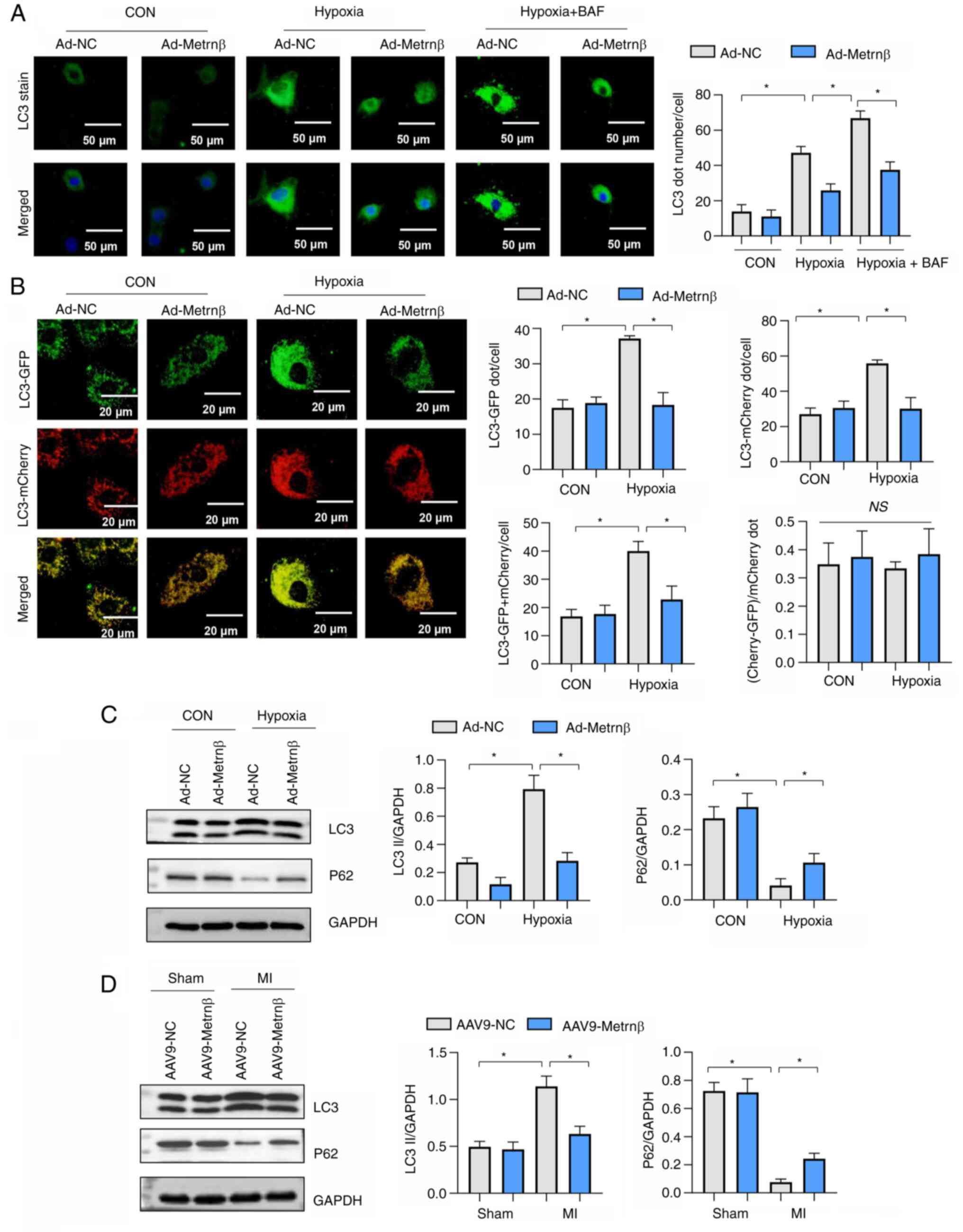
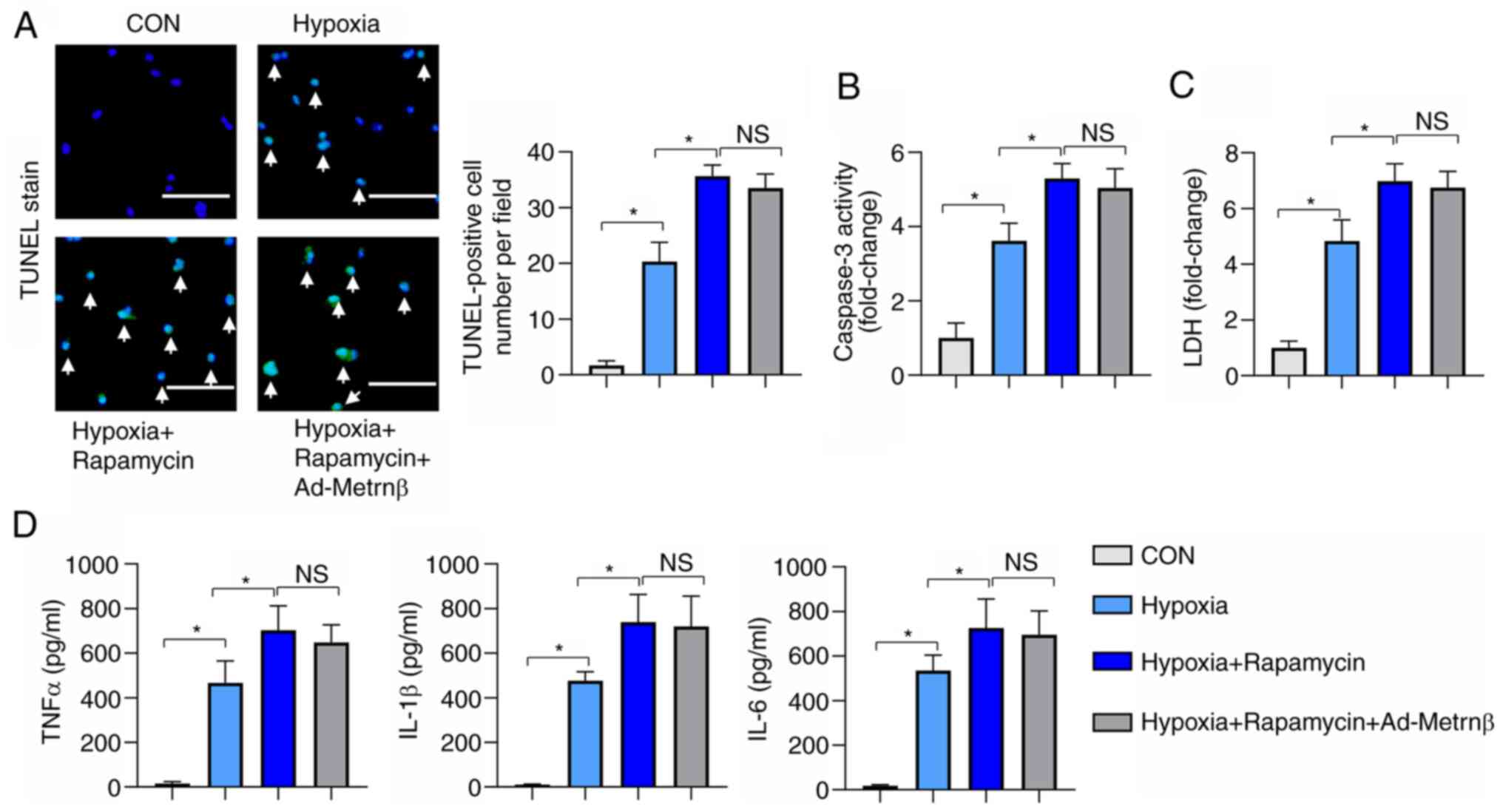
Meteorin‑β (Metrnβ) is a protein that is secreted by skeletal muscle and adipose tissue, and participates in cardiovascular diseases. However, its role in myocardial infarction (MI) has not been fully elucidated to date. The aim of the present study was to investigate the role and underlying mechanism of Metrnβ in MI. In the present study, mice were subjected to left coronary ligation to induce a MI model before being injected with adeno‑associated virus 9 (AAV9)‑Metrnβ to overexpress Metrnβ. Mice were subjected to echocardiography and pressure‑volume measurements 2 weeks after ligation. Cardiac injury was measured from the levels of cardiac troponin T and pro‑inflammatory factors, which were detected using ELISA kits. Cardiac remodelling was determined from the cross‑sectional areas detected using H&E and wheat germ agglutinin staining as well as from the transcriptional levels of hypertrophic and fibrosis markers detected using reverse transcription‑quantitative PCR. Cardiac function was detected using echocardiography and pressure‑volume measurements. In addition, H9c2 cardiomyocytes were transfected with Ad‑Metrnβ to overexpress Metrnβ, before being exposed to hypoxia to induce ischaemic injury. Apoptosis was determined using TUNEL staining and caspase 3 activity. Cell inflammation was detected using ELISA assays for pro‑inflammatory factors. Autophagy was detected using LC3 staining and assessing the protein level of LC3II using western blotting. H9c2 cells were also treated with rapamycin to induce autophagy. It was revealed that Metrnβ expression was reduced in both mouse serum and heart tissue 2 weeks post‑MI. Metrnβ overexpression using AAV9‑Metrnβ delivery reduced the mortality rate, decreased the infarction size and reduced the extent of myocardial injury 2 weeks post‑MI. Furthermore, Metrnβ overexpression inhibited cardiac hypertrophy, fibrosis and inflammation post‑MI. In ischaemic H9c2 cells, Metrnβ overexpression using adenovirus also reduced cell injury, cell death and inflammatory response. Metrnβ overexpression suppressed MI‑induced autophagy in vitro. Following autophagy activation using rapamycin in vitro, the protective effects induced by Metrnβ were reversed. Taken together, these results indicated that Metrnβ could protect against cardiac dysfunction post‑MI in mice by inhibiting autophagy.
View Figures

Figure 1

Figure 2

Figure 3

Figure 4

Figure 5

Figure 6

Figure 7

View References

1 

Bahit MC, Kochar A and Granger CB: Post-myocardial infarction heart failure. JACC Heart Fail. 6:179–186. 2018.PubMed/NCBI View Article : Google Scholar

2 

Berezin AE and Berezin AA: Adverse cardiac remodelling after acute myocardial infarction: Old and new biomarkers. Dis Markers. 2020(1215802)2020.PubMed/NCBI View Article : Google Scholar

3 

Jenča D, Melenovský V, Stehlik J, Staněk V, Kettner J, Kautzner J, Adámková V and Wohlfahrt P: Heart failure after myocardial infarction: Incidence and predictors. ESC Heart Fail. 8:222–237. 2021.PubMed/NCBI View Article : Google Scholar

4 

Mouton AJ, Rivera OJ and Lindsey ML: Myocardial infarction remodeling that progresses to heart failure: A signaling misunderstanding. Am J Physiol Heart Circ Physiol. 315:H71–H79. 2018.PubMed/NCBI View Article : Google Scholar

5 

Du J, Liu Y and Fu J: Autophagy and heart failure. Adv Exp Med Biol. 1207:223–227. 2020.PubMed/NCBI View Article : Google Scholar

6 

Du J, Li Y and Zhao W: Autophagy and myocardial ischemia. Adv Exp Med Biol. 1207:217–222. 2020.PubMed/NCBI View Article : Google Scholar

7 

Liu CY, Zhang YH, Li RB, Zhou LY, An T, Zhang RC, Zhai M, Huang Y, Yan KW, Dong YH, et al: LncRNA CAIF inhibits autophagy and attenuates myocardial infarction by blocking p53-mediated myocardin transcription. Nat Commun. 9(29)2018.PubMed/NCBI View Article : Google Scholar

8 

Baht GS, Bareja A, Lee DE, Rao RR, Huang R, Huebner JL, Bartlett DB, Hart CR, Gibson JR, Lanza IR, et al: Meteorin-like facilitates skeletal muscle repair through a Stat3/IGF-1 mechanism. Nat Metab. 2:278–289. 2020.PubMed/NCBI View Article : Google Scholar

9 

Wu Q, Dan YL, He YS, Xiang K, Hu YQ, Zhao CN, Zhong X, Wang DG and Pan HF: Circulating meteorin-like levels in patients with type 2 diabetes mellitus: A meta-analysis. Curr Pharm Des. 26:5732–5738. 2020.PubMed/NCBI View Article : Google Scholar

10 

Ushach I, Arrevillaga-Boni G, Heller GN, Pone E, Hernandez-Ruiz M, Catalan-Dibene J, Hevezi P and Zlotnik A: Meteorin-like/Meteorin-β is a novel immunoregulatory cytokine associated with inflammation. J Immunol. 201:3669–3676. 2018.PubMed/NCBI View Article : Google Scholar

11 

Rupérez C, Ferrer-Curriu G, Cervera-Barea A, Florit L, Guitart-Mampel M, Garrabou G, Zamora M, Crispi F, Fernandez-Solà J, Lupón J, et al: Meteorin-like/Meteorin-β protects heart against cardiac dysfunction. J Exp Med. 218(e20201206)2021.PubMed/NCBI View Article : Google Scholar

12 

Cai J, Wang QM, Li JW, Xu F, Bu YL, Wang M, Lu X and Gao W: Serum meteorin-like is associated with weight loss in the elderly patients with chronic heart failure. J Cachexia Sarcopenia Muscle. 13:409–417. 2022.PubMed/NCBI View Article : Google Scholar

13 

Li F, Zong J, Zhang H, Zhang P, Xu L, Liang K, Yang L, Yong H and Qian W: Orientin reduces myocardial infarction size via eNOS/NO signaling and thus mitigates adverse cardiac remodeling. Front Pharmacol. 8(926)2017.PubMed/NCBI View Article : Google Scholar

14 

Livak KJ and Schmittgen TD: Analysis of relative gene expression data using real-time quantitative PCR and the 2(-Delta Delta C(T)) method. Methods. 25:402–408. 2001.PubMed/NCBI View Article : Google Scholar

15 

Wu QQ, Xiao Y, Duan MX, Yuan Y, Jiang XH, Yang Z, Liao HH, Deng W and Tang QZ: Aucubin protects against pressure overload-induced cardiac remodelling via the beta3 -adrenoceptor-neuronal NOS cascades. Br J Pharmacol. 175:1548–1566. 2018.PubMed/NCBI View Article : Google Scholar

16 

Xiao Y, Yang Z, Wu QQ, Jiang XH, Yuan Y, Chang W, Bian ZY, Zhu JX and Tang QZ: Cucurbitacin B protects against pressure overload induced cardiac hypertrophy. J Cell Biochem. 118:3899–3910. 2017.PubMed/NCBI View Article : Google Scholar

17 

Franke WW, Dörflinger Y, Kuhn C, Zimbelmann R, Winter-Simanowski S, Frey N and Heid H: Protein LUMA is a cytoplasmic plaque constituent of various epithelial adherens junctions and composite junctions of myocardial intercalated disks: A unifying finding for cell biology and cardiology. Cell Tissue Res. 357:159–172. 2014.PubMed/NCBI View Article : Google Scholar

18 

Guo Z, Tuo H, Tang N, Liu FY, Ma SQ, An P, Yang D, Wang MY, Fan D, Yang Z and Tang QZ: Neuraminidase 1 deficiency attenuates cardiac dysfunction, oxidative stress, fibrosis, inflammatory via AMPK-SIRT3 pathway in diabetic cardiomyopathy mice. Int J Biol Sci. 18:826–840. 2022.PubMed/NCBI View Article : Google Scholar

19 

Wan N, Liu X, Zhang XJ, Zhao Y, Hu G, Wan F, Zhang R, Zhu X, Xia H and Li H: Toll-interacting protein contributes to mortality following myocardial infarction through promoting inflammation and apoptosis. Br J Pharmacol. 172:3383–3396. 2015.PubMed/NCBI View Article : Google Scholar

20 

Wu QQ, Xu M, Yuan Y, Li FF, Yang Z, Liu Y, Zhou MQ, Bian ZY, Deng W, Gao L, et al: Cathepsin B deficiency attenuates cardiac remodeling in response to pressure overload via TNF-α/ASK1/JNK pathway. Am J Physiol Heart Circ Physiol. 308:H1143–H1154. 2015.PubMed/NCBI View Article : Google Scholar

21 

Fan D, Yang Z, Yuan Y, Wu QQ, Xu M, Jin YG and Tang QZ: Sesamin prevents apoptosis and inflammation after experimental myocardial infarction by JNK and NF-κB pathways. Food Funct. 8:2875–2885. 2017.PubMed/NCBI View Article : Google Scholar

22 

Lomas O, Brescia M, Carnicer R, Monterisi S, Surdo NC and Zaccolo M: Adenoviral transduction of FRET-based biosensors for cAMP in primary adult mouse cardiomyocytes. Methods Mol Biol. 1294:103–115. 2015.PubMed/NCBI View Article : Google Scholar

23 

Alonso-Herranz L, Porcuna J and Ricote M: Isolation and purification of tissue resident macrophages for the analysis of nuclear receptor activity. Methods Mol Biol. 1951:59–73. 2019.PubMed/NCBI View Article : Google Scholar

24 

Gao X, Leung TF, Wong GW, Ko WH, Cai M, He EJ, Chu IM, Tsang MS, Chan BC, Ling J, et al: Meteorin-β/Meteorin like/IL-41 attenuates airway inflammation in house dust mite-induced allergic asthma. Cell Mol Immunol. 19:245–259. 2022.PubMed/NCBI View Article : Google Scholar

25 

Hu C, Zhang X, Song P, Yuan YP, Kong CY, Wu HM, Xu SC, Ma ZG and Tang QZ: Meteorin-like protein attenuates doxorubicin-induced cardiotoxicity via activating cAMP/PKA/SIRT1 pathway. Redox Biol. 37(101747)2020.PubMed/NCBI View Article : Google Scholar

26 

Wang D, Lv L, Xu Y, Jiang K, Chen F, Qian J, Chen M, Liu G and Xiang Y: Cardioprotection of panax notoginseng saponins against acute myocardial infarction and heart failure through inducing autophagy. Biomed Pharmacother. 136(111287)2021.PubMed/NCBI View Article : Google Scholar

27 

Gao G, Chen W, Yan M, Liu J, Luo H, Wang C and Yang P: Rapamycin regulates the balance between cardiomyocyte apoptosis and autophagy in chronic heart failure by inhibiting mTOR signaling. Int J Mol Med. 45:195–209. 2020.PubMed/NCBI View Article : Google Scholar

28 

Fei Q, Ma H, Zou J, Wang W, Zhu L, Deng H, Meng M, Tan S, Zhang H, Xiao X, et al: Metformin protects against ischaemic myocardial injury by alleviating autophagy-ROS-NLRP3-mediated inflammatory response in macrophages. J Mol Cell Cardiol. 145:1–13. 2020.PubMed/NCBI View Article : Google Scholar

Related Articles

  • Abstract
  • View
  • Download
  • Twitter
Copy and paste a formatted citation
Spandidos Publications style
Shangguan J, Liu G, Xiao L, Zhang W, Zhu X and Li L: Meteorin‑like/meteorin‑β protects against cardiac dysfunction after myocardial infarction in mice by inhibiting autophagy. Exp Ther Med 28: 293, 2024.
APA
Shangguan, J., Liu, G., Xiao, L., Zhang, W., Zhu, X., & Li, L. (2024). Meteorin‑like/meteorin‑β protects against cardiac dysfunction after myocardial infarction in mice by inhibiting autophagy. Experimental and Therapeutic Medicine, 28, 293. https://doi.org/10.3892/etm.2024.12582
MLA
Shangguan, J., Liu, G., Xiao, L., Zhang, W., Zhu, X., Li, L."Meteorin‑like/meteorin‑β protects against cardiac dysfunction after myocardial infarction in mice by inhibiting autophagy". Experimental and Therapeutic Medicine 28.1 (2024): 293.
Chicago
Shangguan, J., Liu, G., Xiao, L., Zhang, W., Zhu, X., Li, L."Meteorin‑like/meteorin‑β protects against cardiac dysfunction after myocardial infarction in mice by inhibiting autophagy". Experimental and Therapeutic Medicine 28, no. 1 (2024): 293. https://doi.org/10.3892/etm.2024.12582
Copy and paste a formatted citation
x
Spandidos Publications style
Shangguan J, Liu G, Xiao L, Zhang W, Zhu X and Li L: Meteorin‑like/meteorin‑β protects against cardiac dysfunction after myocardial infarction in mice by inhibiting autophagy. Exp Ther Med 28: 293, 2024.
APA
Shangguan, J., Liu, G., Xiao, L., Zhang, W., Zhu, X., & Li, L. (2024). Meteorin‑like/meteorin‑β protects against cardiac dysfunction after myocardial infarction in mice by inhibiting autophagy. Experimental and Therapeutic Medicine, 28, 293. https://doi.org/10.3892/etm.2024.12582
MLA
Shangguan, J., Liu, G., Xiao, L., Zhang, W., Zhu, X., Li, L."Meteorin‑like/meteorin‑β protects against cardiac dysfunction after myocardial infarction in mice by inhibiting autophagy". Experimental and Therapeutic Medicine 28.1 (2024): 293.
Chicago
Shangguan, J., Liu, G., Xiao, L., Zhang, W., Zhu, X., Li, L."Meteorin‑like/meteorin‑β protects against cardiac dysfunction after myocardial infarction in mice by inhibiting autophagy". Experimental and Therapeutic Medicine 28, no. 1 (2024): 293. https://doi.org/10.3892/etm.2024.12582
Follow us
  • Twitter
  • LinkedIn
  • Facebook
About
  • Spandidos Publications
  • Careers
  • Cookie Policy
  • Privacy Policy
How can we help?
  • Help
  • Live Chat
  • Contact
  • Email to our Support Team