Spandidos Publications Logo
  • About
    • About Spandidos
    • Aims and Scopes
    • Abstracting and Indexing
    • Editorial Policies
    • Reprints and Permissions
    • Job Opportunities
    • Terms and Conditions
    • Contact
  • Journals
    • All Journals
    • Oncology Letters
      • Oncology Letters
      • Information for Authors
      • Editorial Policies
      • Editorial Board
      • Aims and Scope
      • Abstracting and Indexing
      • Bibliographic Information
      • Archive
    • International Journal of Oncology
      • International Journal of Oncology
      • Information for Authors
      • Editorial Policies
      • Editorial Board
      • Aims and Scope
      • Abstracting and Indexing
      • Bibliographic Information
      • Archive
    • Molecular and Clinical Oncology
      • Molecular and Clinical Oncology
      • Information for Authors
      • Editorial Policies
      • Editorial Board
      • Aims and Scope
      • Abstracting and Indexing
      • Bibliographic Information
      • Archive
    • Experimental and Therapeutic Medicine
      • Experimental and Therapeutic Medicine
      • Information for Authors
      • Editorial Policies
      • Editorial Board
      • Aims and Scope
      • Abstracting and Indexing
      • Bibliographic Information
      • Archive
    • International Journal of Molecular Medicine
      • International Journal of Molecular Medicine
      • Information for Authors
      • Editorial Policies
      • Editorial Board
      • Aims and Scope
      • Abstracting and Indexing
      • Bibliographic Information
      • Archive
    • Biomedical Reports
      • Biomedical Reports
      • Information for Authors
      • Editorial Policies
      • Editorial Board
      • Aims and Scope
      • Abstracting and Indexing
      • Bibliographic Information
      • Archive
    • Oncology Reports
      • Oncology Reports
      • Information for Authors
      • Editorial Policies
      • Editorial Board
      • Aims and Scope
      • Abstracting and Indexing
      • Bibliographic Information
      • Archive
    • Molecular Medicine Reports
      • Molecular Medicine Reports
      • Information for Authors
      • Editorial Policies
      • Editorial Board
      • Aims and Scope
      • Abstracting and Indexing
      • Bibliographic Information
      • Archive
    • World Academy of Sciences Journal
      • World Academy of Sciences Journal
      • Information for Authors
      • Editorial Policies
      • Editorial Board
      • Aims and Scope
      • Abstracting and Indexing
      • Bibliographic Information
      • Archive
    • International Journal of Functional Nutrition
      • International Journal of Functional Nutrition
      • Information for Authors
      • Editorial Policies
      • Editorial Board
      • Aims and Scope
      • Abstracting and Indexing
      • Bibliographic Information
      • Archive
    • International Journal of Epigenetics
      • International Journal of Epigenetics
      • Information for Authors
      • Editorial Policies
      • Editorial Board
      • Aims and Scope
      • Abstracting and Indexing
      • Bibliographic Information
      • Archive
    • Medicine International
      • Medicine International
      • Information for Authors
      • Editorial Policies
      • Editorial Board
      • Aims and Scope
      • Abstracting and Indexing
      • Bibliographic Information
      • Archive
  • Articles
  • Information
    • Information for Authors
    • Information for Reviewers
    • Information for Librarians
    • Information for Advertisers
    • Conferences
  • Language Editing
Spandidos Publications Logo
  • About
    • About Spandidos
    • Aims and Scopes
    • Abstracting and Indexing
    • Editorial Policies
    • Reprints and Permissions
    • Job Opportunities
    • Terms and Conditions
    • Contact
  • Journals
    • All Journals
    • Biomedical Reports
      • Information for Authors
      • Editorial Policies
      • Editorial Board
      • Aims and Scope
      • Abstracting and Indexing
      • Bibliographic Information
      • Archive
    • Experimental and Therapeutic Medicine
      • Information for Authors
      • Editorial Policies
      • Editorial Board
      • Aims and Scope
      • Abstracting and Indexing
      • Bibliographic Information
      • Archive
    • International Journal of Epigenetics
      • Information for Authors
      • Editorial Policies
      • Editorial Board
      • Aims and Scope
      • Abstracting and Indexing
      • Bibliographic Information
      • Archive
    • International Journal of Functional Nutrition
      • Information for Authors
      • Editorial Policies
      • Editorial Board
      • Aims and Scope
      • Abstracting and Indexing
      • Bibliographic Information
      • Archive
    • International Journal of Molecular Medicine
      • Information for Authors
      • Editorial Policies
      • Editorial Board
      • Aims and Scope
      • Abstracting and Indexing
      • Bibliographic Information
      • Archive
    • International Journal of Oncology
      • Information for Authors
      • Editorial Policies
      • Editorial Board
      • Aims and Scope
      • Abstracting and Indexing
      • Bibliographic Information
      • Archive
    • Medicine International
      • Information for Authors
      • Editorial Policies
      • Editorial Board
      • Aims and Scope
      • Abstracting and Indexing
      • Bibliographic Information
      • Archive
    • Molecular and Clinical Oncology
      • Information for Authors
      • Editorial Policies
      • Editorial Board
      • Aims and Scope
      • Abstracting and Indexing
      • Bibliographic Information
      • Archive
    • Molecular Medicine Reports
      • Information for Authors
      • Editorial Policies
      • Editorial Board
      • Aims and Scope
      • Abstracting and Indexing
      • Bibliographic Information
      • Archive
    • Oncology Letters
      • Information for Authors
      • Editorial Policies
      • Editorial Board
      • Aims and Scope
      • Abstracting and Indexing
      • Bibliographic Information
      • Archive
    • Oncology Reports
      • Information for Authors
      • Editorial Policies
      • Editorial Board
      • Aims and Scope
      • Abstracting and Indexing
      • Bibliographic Information
      • Archive
    • World Academy of Sciences Journal
      • Information for Authors
      • Editorial Policies
      • Editorial Board
      • Aims and Scope
      • Abstracting and Indexing
      • Bibliographic Information
      • Archive
  • Articles
  • Information
    • For Authors
    • For Reviewers
    • For Librarians
    • For Advertisers
    • Conferences
  • Language Editing
Login Register Submit
  • This site uses cookies
  • You can change your cookie settings at any time by following the instructions in our Cookie Policy. To find out more, you may read our Privacy Policy.

    I agree
Search articles by DOI, keyword, author or affiliation
Search
Advanced Search
presentation
Experimental and Therapeutic Medicine
Join Editorial Board Propose a Special Issue
Print ISSN: 1792-0981 Online ISSN: 1792-1015
Journal Cover
July-2024 Volume 28 Issue 1

Full Size Image

Sign up for eToc alerts
Recommend to Library

Journals

International Journal of Molecular Medicine

International Journal of Molecular Medicine

International Journal of Molecular Medicine is an international journal devoted to molecular mechanisms of human disease.

International Journal of Oncology

International Journal of Oncology

International Journal of Oncology is an international journal devoted to oncology research and cancer treatment.

Molecular Medicine Reports

Molecular Medicine Reports

Covers molecular medicine topics such as pharmacology, pathology, genetics, neuroscience, infectious diseases, molecular cardiology, and molecular surgery.

Oncology Reports

Oncology Reports

Oncology Reports is an international journal devoted to fundamental and applied research in Oncology.

Experimental and Therapeutic Medicine

Experimental and Therapeutic Medicine

Experimental and Therapeutic Medicine is an international journal devoted to laboratory and clinical medicine.

Oncology Letters

Oncology Letters

Oncology Letters is an international journal devoted to Experimental and Clinical Oncology.

Biomedical Reports

Biomedical Reports

Explores a wide range of biological and medical fields, including pharmacology, genetics, microbiology, neuroscience, and molecular cardiology.

Molecular and Clinical Oncology

Molecular and Clinical Oncology

International journal addressing all aspects of oncology research, from tumorigenesis and oncogenes to chemotherapy and metastasis.

World Academy of Sciences Journal

World Academy of Sciences Journal

Multidisciplinary open-access journal spanning biochemistry, genetics, neuroscience, environmental health, and synthetic biology.

International Journal of Functional Nutrition

International Journal of Functional Nutrition

Open-access journal combining biochemistry, pharmacology, immunology, and genetics to advance health through functional nutrition.

International Journal of Epigenetics

International Journal of Epigenetics

Publishes open-access research on using epigenetics to advance understanding and treatment of human disease.

Medicine International

Medicine International

An International Open Access Journal Devoted to General Medicine.

Journal Cover
July-2024 Volume 28 Issue 1

Full Size Image

Sign up for eToc alerts
Recommend to Library

  • Article
  • Citations
    • Cite This Article
    • Download Citation
    • Create Citation Alert
    • Remove Citation Alert
    • Cited By
  • Similar Articles
    • Related Articles (in Spandidos Publications)
    • Similar Articles (Google Scholar)
    • Similar Articles (PubMed)
  • Download PDF
  • Download XML
  • View XML
Case Report Open Access

Groove pancreatitis presenting with upper gastrointestinal obstruction and abnormal renal function: A case report and literature review

  • Authors:
    • Xiaoyuan Fan
    • Chihong Shi
    • Dewen Lu
  • View Affiliations / Copyright

    Affiliations: Department of Gastroenterology, The Affiliated People's Hospital of Ningbo University, Ningbo, Zhejiang 315000, P.R. China
    Copyright: © Fan et al. This is an open access article distributed under the terms of Creative Commons Attribution License.
  • Article Number: 296
    |
    Published online on: May 22, 2024
       https://doi.org/10.3892/etm.2024.12585
  • Expand metrics +
Metrics: Total Views: 0 (Spandidos Publications: | PMC Statistics: )
Metrics: Total PDF Downloads: 0 (Spandidos Publications: | PMC Statistics: )
Cited By (CrossRef): 0 citations Loading Articles...

This article is mentioned in:



Abstract

Groove pancreatitis (GP) is a rare type of chronic pancreatitis characterized by fibrotic lesions localized to the groove between the pancreatic head, duodenum, and common bile duct. We present a case of a 59‑year‑old male alcoholic with vomiting and renal dysfunction found to have duodenal obstruction and low‑density pancreatic head lesions on computed tomography concerning for GP. The patient underwent pancreaticoduodenectomy and pathology confirmed the diagnosis postoperatively. The patient recovered well without complications or relapse at follow‑up. Although rare, GP should be included in the differential for pancreatic head masses in middle‑aged alcoholics and surgical resection may be necessary for symptom relief and exclusion of malignancy.

Introduction

Groove pancreatitis (GP) is a unique form of chronic pancreatitis with an insidious onset, first reported by Becker in 1973(1). The lesions mainly involve the groove area between the head of the pancreas, duodenum, and lower part of the common bile duct, with a scar plate between the areas (2). In 1982, Stolte et al (3) introduced the term ‘groove pancreatitis’ to describe this specific type of chronic pancreatitis, and in 1991, Becker and Mischke (4) classified it into pure, segmental and non-segmental types based on its effect on the pancreatic parenchyma (5).

Despite these advancements in understanding GP, its diagnosis remains challenging due to limited awareness among clinicians and the consequent potential for misdiagnosis (6). This lack of recognition often leads to a treatment dilemma for patients grappling with this condition. The exact prevalence of GP is difficult to determine, but based on several surgical series, it appears to range from 3-24% of patients operated for chronic pancreatitis (6,7). The exact etiology of GP has not been fully elucidated, but several factors have been proposed as potential contributors, including chronic alcohol consumption, smoking, anatomical abnormalities in the pancreaticobiliary junction and previous pancreatic surgery (6,8).

Patients with GP typically present with nonspecific symptoms, and diagnostic imaging plays a crucial role in confirming the presence of GP and differentiating it from other pancreatic disorders (9,10). Treatment strategies aim to alleviate symptoms, manage complications and improve the overall quality of life for affected individuals. Conservative management is often the initial approach, but in some cases, surgical intervention may be necessary, such as pancreaticoduodenectomy or local resection of the affected pancreatic segment (6,8,11). Increased awareness and a multidisciplinary approach can help improve the clinical outcomes for patients with this rare and complex condition.

Case report

A 59-year-old male patient was admitted to the Affiliated People's Hospital of Ningbo University (Zhejiang, China) in May, 2019, due to a 2-week history of recurrent vomiting, diarrhea and oliguria. The patient mainly presented with nausea and vomiting after eating and had experienced diarrhea for a day, 7-8 times per day, but with small amounts each time. The patient had no abdominal pain, blood in stool, or fever. The patient had taken medicine to alleviate the diarrhea but continued to experience repeated nausea and vomiting, leading to a weight loss of 8 pounds over the 2-week period. The patient had a 20-year history of smoking and a 30-year history of alcohol consumption. Additionally, the patient had a history of hypertension and surgery for hemorrhoids, but denied any other medical history.

The initial outpatient examination showed normal white blood cell count, C-reactive protein level, platelet count and hemoglobin level of 169 g/l, but abnormal renal function with elevated urea nitrogen level of 28.12 mmol/l, creatinine level of 201 µmol/l and uric acid level of 794 µmol/l. The patient also had low blood sodium level of 130 mmol/l and low blood calcium level of 2.67 mmol/l. The patient was admitted to the nephrology department with a diagnosis of acute kidney injury, gastroenteritis, hypertension and hyponatremia.

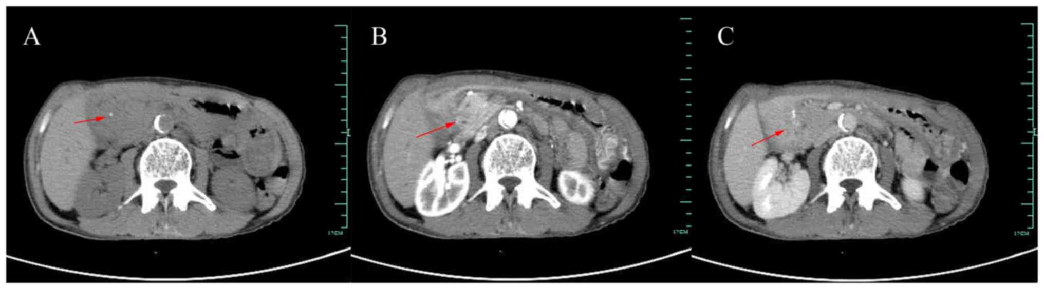
Following admission, laboratory tests revealed carcinoembryonic antigen (CEA) level of 5.49 ng/ml, and ferritin level of 645.1 ng/ml, with a normal carbohydrate antigen 19-9 (CA 19-9) level. The rest of the patient's liver function, troponin, thyroid function, parathyroid hormone, coagulation function, HIV, hepatitis B, hepatitis C, autoantibodies, immunoglobulin, blood and urine light chain were all normal. Abdominal computed tomography (CT) suggested thickening of the sinusoidal wall with gastric retention, patchy shadow of the pancreatic-gastric gap with calcification, mild dilatation of the intra- and extrahepatic bile ducts and dilated pancreatic ducts (Fig. 1). At this point, it became clear that the patient was not simply suffering from gastroenteritis but rather from gastric retention, so the patient was transferred to the gastroenterology department. The patient was treated with fasting, gastrointestinal decompression, acid suppression and rehydration support. After treatment, the patient's urine output increased, creatinine level returned to normal, blood calcium level returned to normal and hyponatremia was more persistent at 127 mmol/l.

Figure 1

CT images. CT revealed significant gastric dilatation and pancreatic compression distortion. (A) An ill-defined hypodense lesion was visible between the pancreas and gastroduodenum, with (B) speckled calcification and poor demarcation from the duodenal wall (red arrows). CT, computed tomography.

Initially, it was suspected that the patient's gastric retention was due to obstruction caused by stenosis from peptic ulcer scarring. However, gastroscopy revealed a significant narrowing of the lumen in the descending duodenal bulb that was too severe for ordinary gastroscopy to pass through. The mucosal surface displayed coarse granular changes, but no obvious ulcer or heterogeneous glands were seen (Fig. 2A). Endoscopic ultrasonography (EUS) indicated that the mucosal layer was predominantly hyperechoic and fused with the submucosal layer, with unclear demarcation from the muscular layer. The duodenal wall was markedly thickened, and the structural level was disturbed, with an indistinguishable echogenic line of the plasma layer. A stenotic lesion in the descending duodenal bulb was considered, with a high possibility of extravasation or inflammation. Biopsy pathology results indicated chronic inflammation.

Figure 2

Gastroscopic images. (A) Gastroscopy showed marked duodenal lumen narrowing and mucosal swelling, obstructing endoscope passage; (B) Gastroscopy 3 years earlier demonstrated duodenal mucosal edema with hyperplasia-like changes.

Magnetic resonance cholangiopancreatography of the patient showed mild dilatation of the bile duct and pancreatic duct, narrowing of the lower part of the common bile duct, no obvious occupancy and no abnormal signal in the pancreatic parenchyma. The contrast-enhanced CT of the abdomen showed patchy soft tissue density shadow in the pancreatic-gastroduodenal space with speckled calcification, poorly demarcated from the surrounding organs and no abnormal enhancement was seen. Additionally, the intra- and extra-hepatic bile ducts and pancreatic ducts were dilated (Fig. 3). We accessed the patient's endoscopic and imaging data at the time of hospitalization for hemorrhoid surgery 3 years before. At that time, the patient had no discomfort, CEA 8.04 ng/ml, ferritin 338.2 ng/ml and gastroscopy suggestive of duodenal erosion (recommended in combination with CT examination; Fig. 2B). No abnormalities were reported by the abdominal contrast-enhanced CT then but our review of the images revealed the presence of a lesion in the pancreaticoduodenal space at that time. For differential diagnosis, we refined tuberculin purified protein derivative test, T-spot, and the results were positive. Blood amylase and chest CT showed no abnormalities. Although there was no manifestation of pulmonary tuberculosis and the possibility of abdominal tuberculosis was small, rare cases could not be excluded. In addition, it was suggested to the patient to have a positron emission tomography computed tomography examination to exclude tumor disease, however the patient refused due to financial factors.

Figure 3

Contrast-enhanced CT. Contrast-enhanced CT disclosed a homogenously enhancing hypodense lesion between the pancreas and duodenum, with small cystic hypodense foci locally (red arrows). (A) Plain scan, (B) arterial phase, (C) delayed phase. CT, computed tomography.

For further treatment to relieve the obstruction and clarify the diagnosis, the patient was referred to surgery for laparoscopic exploration. Intraoperatively, a duodenal and pancreatic head mass measuring ~4x5 cm was seen (Fig. 4), and intraoperative cytopathology suggested collagenous fibrous tissue and vascular tissue with a small amount of inflammatory cell infiltration, and tuberculosis was not considered, so pancreaticoduodenectomy was performed. The excised lesion tissues were sent for postoperative pathological examination. The specimen was fixed with 10% neutral formalin, dehydrated at room temperature for 24 h, and paraffin embedded. Next, 3- to 4-µm thick sections were prepared and stained with hematoxylin-eosin at room temperature (18-25˚C) for ~5-10 min. The stained sections were viewed at x400 magnification under a bright field optical microscope. The surgical pathology suggested chronic inflammation of the duodenal mucosa with nodular hyperplasia of Brunner's glands, consistent with a so-called Brunner's adenoma (4x3.5x0.5 cm; Fig. 5), ductal hyperplasia with focal dilated cystic changes within the muscular layer of part of the duodenum and within the pancreatic tissue.

Figure 4

Resected specimen. The resected pancreaticoduodenectomy specimen exhibited a mass between the pancreatic head and duodenum, white in color, resulting in descending duodenal narrowing.

Figure 5

Histology image. Hematoxylin-eosin staining showed that the submucosa was filled with Brunner's glands containing neutral mucin and the glands were separated by a fibrous layer; magnification, x400.

Following surgery, the patient recovered well and was discharged. The follow-up results showed that the patient had no discomfort and the levels of CEA and ferritin had returned to normal. The patient was followed up for three years and did not experience any relapse or readmission during that period.

Discussion

Due to the rarity of the disease and a lack of clinical recognition, no large clinical studies have been reported and most of the literature consists of only case reports. As a result, the true incidence of GP is unclear. The onset age is more common in individuals aged 40-50, with the youngest reported case being a 17-year-old patient (12). A retrospective study involving 48 cases of GP reported by Ooka et al (11) found a mean age of 53 years and 79% of cases were male.

The pathogenesis of GP is still unclear, and there are a number of different views. One of the main mechanisms considered is obstruction of the small duodenal papilla (12) and a number of studies have found congenital anomalies or absence of the Santorini duct with protein plugs obstructing pancreatic fluid drainage, which may lead to GP (13). Therefore, the appearance of the Santorini duct on endoscopic retrograde cholangiopancreatography is a critical factor for the diagnosis of GP (14).

Numerous patients have a history of medium to long-term alcohol consumption and smoking, with long-term alcohol consumption leading to increased protein content and viscosity of pancreatic fluid, which exacerbates the inflammatory response (15). Additionally, patients with GP often have duodenal Brunner's gland hyperplasia, but it is uncertain whether gland hyperplasia is the cause or effect. Ectopic pancreas may also play a role in the development of GP (12). The present case fits the aforementioned description with the presence of a large adenoma of the Brunner's glands.

Endoscopic biopsy or endoscopic ultrasound-guided fine needle aspiration (EUS-FNA) reveals evidence of chronic inflammation. Gross specimens show grayish scar tissue in the pancreas grooves, thickening of the duodenal wall, cystic changes and mild dilation of the peripancreatic and common bile ducts. Microscopic examination shows fibrosis and cystic changes in the duodenal wall (the most distinctive feature, with an incidence of ~49%), atypical hyperplasia of Brunner's glands, fibrosis and scarring in the groove area, mild dilation of the peripancreatic and pancreatic ducts with visible protein plugs in the lumen and significant proliferation of duodenal submucosal myofibroblasts (12). Gábos et al (8) reported a case of GP with duodenal stenosis and a mass in the head of the pancreas. The authors used EUS-FNA to clarify that the mass was chronic inflammation and avoided misdiagnosis as a tumor. This patient did not present with biliary obstruction or gastric outlet obstruction and was discharged with relief of symptoms after conservative management. Otherwise, the patient might have had to be treated surgically due to complete duodenal obstruction as in the present case. This shows that EUS-FNA plays a crucial role in the diagnosis of GP.

Clinical manifestations of GP typically include acute and chronic epigastric pain, nausea, vomiting and weight loss (8,16). Jaundice is rare and this can be differentiated from pancreatic cancer (12). Tumor markers such as CEA and CA 19-9 levels are usually in the normal range or only mildly elevated as in this case (17). Blood leukocytes and C-reactive protein levels are usually normal, while liver enzyme levels are often normal or slightly elevated. Serum amylase and lipase levels are mostly normal or mildly elevated, but not exceeding three times the normal range. A number of patients exhibit symptoms of acute pancreatitis or are diagnosed with chronic pancreatitis prior to the GP diagnosis. In the present case, the patient did not experience significant symptoms in the early stages until the development of severe duodenal obstruction, leading to dehydration, electrolyte imbalance, and acute renal insufficiency.

On CT, the classic presentation of GP is a hypoenhancing slab-like hypodense soft tissue lesion in the middle of the pancreas and duodenum (7). Poor enhancement may be due to delayed circulation resulting from fibrous tissue hyperplasia and secondary stenosis of the arteries (18). Additionally, thickening of the duodenal wall and narrowing of the lumen may be observed, with cystic lesions often visible within the wall. In cases of segmental GP, mild dilation of the bile duct and pancreatic duct may be present and the lower portion of the common bile duct may be narrowed without evidence of vascular invasion (10,19). Unfortunately, early diagnosis of GP remains challenging through CT imaging. In the present case, the abnormalities in the groove area were overlooked by imaging specialists and clinicians three years earlier. Inflammatory changes in the groove region, thickening of the descending duodenal wall, and small cystic dilatations are crucial signs that should be emphasized. Early detection via CT provides prospective diagnostic value and can markedly guide treatment (7). Conservative management of patients with early-stage GP can often avoid unnecessary surgical procedures (16). In clinical practice, there remain instances wherein despite CT findings suggestive of inflammation and negative results from puncture pathology, clinicians encounter challenges in definitively excluding the prospect of malignant tumors. Consequently, they may opt for surgical intervention (10).

The main manifestation of GP is fibrosis in the groove region, which generally appears as a low signal on magnetic resonance imaging (MRI) (10,20). Progressive enhancement is seen on contrast-enhanced MRI, indicating that the lesion may be fibrous tissue. However, if the inflammatory edema is more pronounced, the T2-weighted signal may be high. Mild dilatation of the pancreatic duct and common bile duct may occur when the lesion invades the pancreatic head. Smooth stenosis in the lower part of the common bile duct may also be present. Magnetic resonance cholangiopancreatography effectively delineates abnormalities in the distal common bile duct and downstream pancreatic duct, often characterized by constriction near the ampulla. Assessment of the distance between the ampulla and the duodenal lumen serves as an indicator for abnormalities within the groove, commonly observed in GP. This widening typically arises due to soft tissue deposition in the groove and thickening of the duodenal wall (10,20,21).

In the early stages of GP, gastroscopy may not reveal any significant abnormalities, or mild mucosal edema and hyperplasia may be observed in the second segment of the duodenum. However, as the disease progresses and fibrosis increases, severe edema and thickening of the duodenal mucosa occur, leading to significant luminal narrowing that may hinder endoscopic examination. The comparative endoscopic performance of the present case illustrates this evolution well. Under EUS, the majority of hypoechoic masses are seen in the groove region, with severe fibrosis appearing hyperechoic and occasionally displaying indistinct borders (22). Calcified foci are also visible. The lesion is poorly delineated from the duodenum and pancreatic head, and cystic changes of varying sizes may be present in the lesion or within the duodenal wall. Fine needle aspiration under EUS can aid in the diagnosis (23,24).

It can be challenging to distinguish GP from other conditions such as duodenal tumors, bile duct cancer, periampullary carcinoma and pancreatic cancer, particularly in the early stages of the disease (9,25). In a case study by Kim et al (12), a patient was initially diagnosed with GP but was later found to have distal peribiliary carcinoma on postoperative pathology, which can have similarities in presentation to GP when the tumor contains a fibrous component. However, GP typically does not invade blood vessels or the rest of the pancreas, which can aid in the differential diagnosis (6,26).

Depending on the severity of the disease, various treatment options are available. Conservative treatment may include alcohol cessation, pain relief, growth inhibitor analogs and nutritional support. Endoscopic therapies, such as cystgastrostomy, pancreatic and biliary duct stenting, cystenterostomy, pancreatic and/or biliary duct drainage and duodenal dilation, are also available (27). A meta-analysis including 1,404 patients revealed that endoscopic therapy achieved success in 50% of cases (6). Consequently, it is advisable to reserve this treatment for patients experiencing recurrent pain unresponsive to conservative measures and those presenting with moderate to marked morphological alterations (6). Surgical treatment options may include pancreaticoduodenectomy and gastrojejunostomy, as well as choledochotomy with T-tube drainage (11,28,29). Pancreaticoduodenectomy has been shown to markedly reduce the use of painkillers and completely eliminate clinical symptoms in patients with late-stage complications such as obstruction and severe pain, but there is a lack of relevant outcome studies available to confirm its efficacy (6,12,30,31).

GP is a rare pancreatic disease with good overall prognosis, but of varying severity. Conservative treatment can be effective for early-stage patients, while endoscopic or surgical intervention is often necessary for advanced complications (11). Unfortunately, due to low disease recognition, a number of patients are already diagnosed with advanced complications. Although the prognosis of surgically treated patients is mostly favorable, there is a lack of specific clinical data. Moreover, there have been reported cases of postoperative complications such as asphyxia and upper gastrointestinal bleeding leading to patient mortality (12).

The diagnosis of GP is challenging due to the complex anatomical findings around the paraduodenal groove of the pancreatic head. Imaging and clinical presentations alone are often insufficient, and pathological confirmation after pancreaticoduodenectomy is frequently necessary. In cases where malignancy cannot be excluded and symptoms persist despite conservative treatment, surgical intervention may still be required (6). It is imperative that clinicians increase their awareness of this disease to avoid unnecessary surgical procedures.

Acknowledgements

Not applicable.

Funding

Funding: No funding was received.

Availability of data and materials

The data generated in the present study are included in the figures and/or tables of this article.

Authors' contributions

XYF designed the present study, collected clinical data and wrote the manuscript. CHS collected clinical data, managed the patient and drafted the manuscript. XYF and DWL confirm the authenticity of all the raw data. DWL made contributions to conception and design of the work and wrote the manuscript. All authors read and approved the final manuscript.

Ethics approval and consent to participate

Not applicable.

Patient consent for publication

Written informed consent was obtained from the patient for the publication of this case report and accompanying images.

Competing interests

The authors declare that they have no competing interests.

References

1 

Becker V: Proceedings: Fundamental morphological aspects of acute and chronic pancreatitis (author's transl). Langenbecks Arch Chir. 334:317–322. 1973.PubMed/NCBI View Article : Google Scholar : (In German).

2 

Joshi SS, Dhok A, Mitra K and Onkar P: Groove pancreatitis: A unique case of focal pancreatitis. J Clin Imaging Sci. 12(54)2022.PubMed/NCBI View Article : Google Scholar

3 

Stolte M, Weiss W, Volkholz H and Rosch W: A special form of segmental pancreatitis: ‘Groove pancreatitis’. Hepatogastroenterology. 29:198–208. 1982.PubMed/NCBI

4 

Becker V and Mischke U: Groove pancreatitis. Int J Pancreatol. 10:173–182. 1991.PubMed/NCBI View Article : Google Scholar

5 

Manzelli A, Petrou A, Lazzaro A, Brennan N, Soonawalla Z and Friend P: Groove pancreatitis. A mini-series report and review of the literature. JOP. 12:230–233. 2011.PubMed/NCBI

6 

Ukegjini K, Steffen T, Tarantino I, Jonas JP, Rössler F, Petrowsky H, Gubler C, Müller PC and Oberkofler CE: Systematic review on groove pancreatitis: Management of a rare disease. BJS Open. 7(zrad094)2023.PubMed/NCBI View Article : Google Scholar

7 

Patel BN, Brooke Jeffrey R, Olcott EW and Zaheer A: Groove pancreatitis: A clinical and imaging overview. Abdom Radiol (NY). 45:1439–1446. 2020.PubMed/NCBI View Article : Google Scholar

8 

Gábos G, Nicolau C, Martin A and Mosteanu O: Groove pancreatitis-tumor-like lesion of the pancreas. Diagnostics (Basel). 13(866)2023.PubMed/NCBI View Article : Google Scholar

9 

Sanchez-Bueno F, Torres Salmeron G, de la Pena Moral J, Ortiz Ruiz E, Fuster Quiñonero M, Gutiérrez Zárate WV, Claver Valderas MA and Parrilla Paricio P: Groove pancreatitis vs. pancreatic adenocarcinoma: A review of 8 cases. Cir Esp. 94:346–352. 2016.PubMed/NCBI View Article : Google Scholar : (In English, Spanish).

10 

Raman SP, Salaria SN, Hruban RH and Fishman EK: Groove pancreatitis: Spectrum of imaging findings and radiology-pathology correlation. AJR Am J Roentgenol. 201:W29–W39. 2013.PubMed/NCBI View Article : Google Scholar

11 

Ooka K, Singh H, Warndorf MG, Saul M, Althouse AD, Dasyam AK, Paragomi P, Phillips AE, Zureikat AH, Lee KK, et al: Groove pancreatitis has a spectrum of severity and can be managed conservatively. Pancreatology. 21:81–88. 2021.PubMed/NCBI View Article : Google Scholar

12 

Kim JD, Han YS and Choi DL: Characteristic clinical and pathologic features for preoperative diagnosed groove pancreatitis. J Korean Surg Soc. 80:342–347. 2011.PubMed/NCBI View Article : Google Scholar

13 

Shudo R, Obara T, Tanno S, Fujii T, Nishino N, Sagawa M, Ura H and Kohgo Y: Segmental groove pancreatitis accompanied by protein plugs in Santorini's duct. J Gastroenterol. 33:289–294. 1998.PubMed/NCBI View Article : Google Scholar

14 

Latham J, Sanjay P, Watt DG, Walsh SV and Tait IS: Groove pancreatitis: A case series and review of the literature. Scott Med J. 58:e28–e31. 2013.PubMed/NCBI View Article : Google Scholar

15 

Levenick JM, Gordon SR, Sutton JE, Suriawinata A and Gardner TB: A comprehensive, case-based review of groove pancreatitis. Pancreas. 38:e169–e175. 2009.PubMed/NCBI View Article : Google Scholar

16 

Triantopoulou C, Dervenis C, Giannakou N, Papailiou J and Prassopoulos P: Groove pancreatitis: A diagnostic challenge. Eur Radiol. 19:1736–1743. 2009.PubMed/NCBI View Article : Google Scholar

17 

Goransky J, Alvarez FA, Picco P, Spina JC, Santibanes M and Mazza O: Groove pancreatitis vs groove pancreatic adenocarcinoma. Report of two cases and review of the literature. Acta Gastroenterol Latinoam. 43:248–253. 2013.PubMed/NCBI

18 

Zaheer A, Haider M, Kawamoto S, Hruban RH and Fishman EK: Dual-phase CT findings of groove pancreatitis. Eur J Radiol. 83:1337–1343. 2014.PubMed/NCBI View Article : Google Scholar

19 

Ray S, Ghatak S, Misra D, Dasgupta J, Biswas J, Khamrui S, Bandyopadhyay D and Ghosh R: Groove pancreatitis: Report of three cases with brief review of literature. Indian J Surg. 79:344–348. 2017.PubMed/NCBI View Article : Google Scholar

20 

Castell-Monsalve FJ, Sousa-Martin JM and Carranza-Carranza A: Groove pancreatitis: MRI and pathologic findings. Abdom Imaging. 33:342–348. 2008.PubMed/NCBI View Article : Google Scholar

21 

Blasbalg R, Baroni RH, Costa DN and Machado MC: MRI features of groove pancreatitis. AJR Am J Roentgenol. 189:73–80. 2007.PubMed/NCBI View Article : Google Scholar

22 

Lopez-Munoz P, Lorenzo-Zuniga V, Alonso-Lazaro N, García-Campos M, Argüello L, Bustamante-Balén M and Pons-Beltrán V: Endoscopic findings of paraduodenal or groove pancreatitis. Endoscopy. 54:E735–E736. 2022.PubMed/NCBI View Article : Google Scholar

23 

Oria IC, Pizzala JE, Villaverde AM, Spina JC, Pasqua AV, Lazarte JC, Mazza OM and Marcolongo MM: Endoscopic ultrasound in the diagnosis of pancreatoduodenal groove pathology: Report of three cases and brief review of the literature. Clin Endosc. 52:196–200. 2019.PubMed/NCBI View Article : Google Scholar

24 

She YM and Ge N: Diagnostic value of endoscopic ultrasound in groove pancreatitis. Ann Med. 55(2295991)2023.PubMed/NCBI View Article : Google Scholar

25 

Han C, Ling X, Sheng L, Yang M, Lin R and Ding Z: Distal extrahepatic cholangiocarcinoma mimicking groove pancreatitis: A case report and literature review. Front Oncol. 12(948799)2022.PubMed/NCBI View Article : Google Scholar

26 

Ito R, Shiba H, Okamoto T, Fujioka S, Gocho T and Yanaga K: Groove pancreatitis with several cystic lesions around the pancreatic head treated conservatively: Report of a case. Case Rep Gastroenterol. 2:405–409. 2008.PubMed/NCBI View Article : Google Scholar

27 

Arvanitakis M, Rigaux J, Toussaint E, Eisendrath P, Bali MA, Matos C, Demetter P, Loi P, Closset J, Deviere J and Delhaye M: Endotherapy for paraduodenal pancreatitis: A large retrospective case series. Endoscopy. 46:580–587. 2014.PubMed/NCBI View Article : Google Scholar

28 

Munthali Lovemore CE, Hsu JT, Chiu CT, Chen HM and Chen MF: Groove pancreatitis: Case report and literature review. Chang Gung Med J. 24:512–516. 2001.PubMed/NCBI

29 

Aguilera F, Tsamalaidze L, Raimondo M, Puri R, Asbun HJ and Stauffer JA: Pancreaticoduodenectomy and Outcomes for Groove Pancreatitis. Dig Surg. 35:475–481. 2018.PubMed/NCBI View Article : Google Scholar

30 

Levenick JM, Sutton JE, Smith KD, Gordon SR, Suriawinata A and Gardner TB: Pancreaticoduodenectomy for the treatment of groove pancreatitis. Dig Dis Sci. 57:1954–1958. 2012.PubMed/NCBI View Article : Google Scholar

31 

Ismail IB, Zenaidi H, Yahmadi A, Rebii S and Zoghlami A: Surgical management of groove pancreatitis: A case report. Pan Afr Med J. 36(99)2020.PubMed/NCBI View Article : Google Scholar

Related Articles

  • Abstract
  • View
  • Download
  • Twitter
Copy and paste a formatted citation
Spandidos Publications style
Fan X, Shi C and Lu D: Groove pancreatitis presenting with upper gastrointestinal obstruction and abnormal renal function: A case report and literature review. Exp Ther Med 28: 296, 2024.
APA
Fan, X., Shi, C., & Lu, D. (2024). Groove pancreatitis presenting with upper gastrointestinal obstruction and abnormal renal function: A case report and literature review. Experimental and Therapeutic Medicine, 28, 296. https://doi.org/10.3892/etm.2024.12585
MLA
Fan, X., Shi, C., Lu, D."Groove pancreatitis presenting with upper gastrointestinal obstruction and abnormal renal function: A case report and literature review". Experimental and Therapeutic Medicine 28.1 (2024): 296.
Chicago
Fan, X., Shi, C., Lu, D."Groove pancreatitis presenting with upper gastrointestinal obstruction and abnormal renal function: A case report and literature review". Experimental and Therapeutic Medicine 28, no. 1 (2024): 296. https://doi.org/10.3892/etm.2024.12585
Copy and paste a formatted citation
x
Spandidos Publications style
Fan X, Shi C and Lu D: Groove pancreatitis presenting with upper gastrointestinal obstruction and abnormal renal function: A case report and literature review. Exp Ther Med 28: 296, 2024.
APA
Fan, X., Shi, C., & Lu, D. (2024). Groove pancreatitis presenting with upper gastrointestinal obstruction and abnormal renal function: A case report and literature review. Experimental and Therapeutic Medicine, 28, 296. https://doi.org/10.3892/etm.2024.12585
MLA
Fan, X., Shi, C., Lu, D."Groove pancreatitis presenting with upper gastrointestinal obstruction and abnormal renal function: A case report and literature review". Experimental and Therapeutic Medicine 28.1 (2024): 296.
Chicago
Fan, X., Shi, C., Lu, D."Groove pancreatitis presenting with upper gastrointestinal obstruction and abnormal renal function: A case report and literature review". Experimental and Therapeutic Medicine 28, no. 1 (2024): 296. https://doi.org/10.3892/etm.2024.12585
Follow us
  • Twitter
  • LinkedIn
  • Facebook
About
  • Spandidos Publications
  • Careers
  • Cookie Policy
  • Privacy Policy
How can we help?
  • Help
  • Live Chat
  • Contact
  • Email to our Support Team