Spandidos Publications Logo
  • About
    • About Spandidos
    • Aims and Scopes
    • Abstracting and Indexing
    • Editorial Policies
    • Reprints and Permissions
    • Job Opportunities
    • Terms and Conditions
    • Contact
  • Journals
    • All Journals
    • Oncology Letters
      • Oncology Letters
      • Information for Authors
      • Editorial Policies
      • Editorial Board
      • Aims and Scope
      • Abstracting and Indexing
      • Bibliographic Information
      • Archive
    • International Journal of Oncology
      • International Journal of Oncology
      • Information for Authors
      • Editorial Policies
      • Editorial Board
      • Aims and Scope
      • Abstracting and Indexing
      • Bibliographic Information
      • Archive
    • Molecular and Clinical Oncology
      • Molecular and Clinical Oncology
      • Information for Authors
      • Editorial Policies
      • Editorial Board
      • Aims and Scope
      • Abstracting and Indexing
      • Bibliographic Information
      • Archive
    • Experimental and Therapeutic Medicine
      • Experimental and Therapeutic Medicine
      • Information for Authors
      • Editorial Policies
      • Editorial Board
      • Aims and Scope
      • Abstracting and Indexing
      • Bibliographic Information
      • Archive
    • International Journal of Molecular Medicine
      • International Journal of Molecular Medicine
      • Information for Authors
      • Editorial Policies
      • Editorial Board
      • Aims and Scope
      • Abstracting and Indexing
      • Bibliographic Information
      • Archive
    • Biomedical Reports
      • Biomedical Reports
      • Information for Authors
      • Editorial Policies
      • Editorial Board
      • Aims and Scope
      • Abstracting and Indexing
      • Bibliographic Information
      • Archive
    • Oncology Reports
      • Oncology Reports
      • Information for Authors
      • Editorial Policies
      • Editorial Board
      • Aims and Scope
      • Abstracting and Indexing
      • Bibliographic Information
      • Archive
    • Molecular Medicine Reports
      • Molecular Medicine Reports
      • Information for Authors
      • Editorial Policies
      • Editorial Board
      • Aims and Scope
      • Abstracting and Indexing
      • Bibliographic Information
      • Archive
    • World Academy of Sciences Journal
      • World Academy of Sciences Journal
      • Information for Authors
      • Editorial Policies
      • Editorial Board
      • Aims and Scope
      • Abstracting and Indexing
      • Bibliographic Information
      • Archive
    • International Journal of Functional Nutrition
      • International Journal of Functional Nutrition
      • Information for Authors
      • Editorial Policies
      • Editorial Board
      • Aims and Scope
      • Abstracting and Indexing
      • Bibliographic Information
      • Archive
    • International Journal of Epigenetics
      • International Journal of Epigenetics
      • Information for Authors
      • Editorial Policies
      • Editorial Board
      • Aims and Scope
      • Abstracting and Indexing
      • Bibliographic Information
      • Archive
    • Medicine International
      • Medicine International
      • Information for Authors
      • Editorial Policies
      • Editorial Board
      • Aims and Scope
      • Abstracting and Indexing
      • Bibliographic Information
      • Archive
  • Articles
  • Information
    • Information for Authors
    • Information for Reviewers
    • Information for Librarians
    • Information for Advertisers
    • Conferences
  • Language Editing
Spandidos Publications Logo
  • About
    • About Spandidos
    • Aims and Scopes
    • Abstracting and Indexing
    • Editorial Policies
    • Reprints and Permissions
    • Job Opportunities
    • Terms and Conditions
    • Contact
  • Journals
    • All Journals
    • Biomedical Reports
      • Information for Authors
      • Editorial Policies
      • Editorial Board
      • Aims and Scope
      • Abstracting and Indexing
      • Bibliographic Information
      • Archive
    • Experimental and Therapeutic Medicine
      • Information for Authors
      • Editorial Policies
      • Editorial Board
      • Aims and Scope
      • Abstracting and Indexing
      • Bibliographic Information
      • Archive
    • International Journal of Epigenetics
      • Information for Authors
      • Editorial Policies
      • Editorial Board
      • Aims and Scope
      • Abstracting and Indexing
      • Bibliographic Information
      • Archive
    • International Journal of Functional Nutrition
      • Information for Authors
      • Editorial Policies
      • Editorial Board
      • Aims and Scope
      • Abstracting and Indexing
      • Bibliographic Information
      • Archive
    • International Journal of Molecular Medicine
      • Information for Authors
      • Editorial Policies
      • Editorial Board
      • Aims and Scope
      • Abstracting and Indexing
      • Bibliographic Information
      • Archive
    • International Journal of Oncology
      • Information for Authors
      • Editorial Policies
      • Editorial Board
      • Aims and Scope
      • Abstracting and Indexing
      • Bibliographic Information
      • Archive
    • Medicine International
      • Information for Authors
      • Editorial Policies
      • Editorial Board
      • Aims and Scope
      • Abstracting and Indexing
      • Bibliographic Information
      • Archive
    • Molecular and Clinical Oncology
      • Information for Authors
      • Editorial Policies
      • Editorial Board
      • Aims and Scope
      • Abstracting and Indexing
      • Bibliographic Information
      • Archive
    • Molecular Medicine Reports
      • Information for Authors
      • Editorial Policies
      • Editorial Board
      • Aims and Scope
      • Abstracting and Indexing
      • Bibliographic Information
      • Archive
    • Oncology Letters
      • Information for Authors
      • Editorial Policies
      • Editorial Board
      • Aims and Scope
      • Abstracting and Indexing
      • Bibliographic Information
      • Archive
    • Oncology Reports
      • Information for Authors
      • Editorial Policies
      • Editorial Board
      • Aims and Scope
      • Abstracting and Indexing
      • Bibliographic Information
      • Archive
    • World Academy of Sciences Journal
      • Information for Authors
      • Editorial Policies
      • Editorial Board
      • Aims and Scope
      • Abstracting and Indexing
      • Bibliographic Information
      • Archive
  • Articles
  • Information
    • For Authors
    • For Reviewers
    • For Librarians
    • For Advertisers
    • Conferences
  • Language Editing
Login Register Submit
  • This site uses cookies
  • You can change your cookie settings at any time by following the instructions in our Cookie Policy. To find out more, you may read our Privacy Policy.

    I agree
Search articles by DOI, keyword, author or affiliation
Search
Advanced Search
presentation
Experimental and Therapeutic Medicine
Join Editorial Board Propose a Special Issue
Print ISSN: 1792-0981 Online ISSN: 1792-1015
Journal Cover
August-2024 Volume 28 Issue 2

Full Size Image

Sign up for eToc alerts
Recommend to Library

Journals

International Journal of Molecular Medicine

International Journal of Molecular Medicine

International Journal of Molecular Medicine is an international journal devoted to molecular mechanisms of human disease.

International Journal of Oncology

International Journal of Oncology

International Journal of Oncology is an international journal devoted to oncology research and cancer treatment.

Molecular Medicine Reports

Molecular Medicine Reports

Covers molecular medicine topics such as pharmacology, pathology, genetics, neuroscience, infectious diseases, molecular cardiology, and molecular surgery.

Oncology Reports

Oncology Reports

Oncology Reports is an international journal devoted to fundamental and applied research in Oncology.

Experimental and Therapeutic Medicine

Experimental and Therapeutic Medicine

Experimental and Therapeutic Medicine is an international journal devoted to laboratory and clinical medicine.

Oncology Letters

Oncology Letters

Oncology Letters is an international journal devoted to Experimental and Clinical Oncology.

Biomedical Reports

Biomedical Reports

Explores a wide range of biological and medical fields, including pharmacology, genetics, microbiology, neuroscience, and molecular cardiology.

Molecular and Clinical Oncology

Molecular and Clinical Oncology

International journal addressing all aspects of oncology research, from tumorigenesis and oncogenes to chemotherapy and metastasis.

World Academy of Sciences Journal

World Academy of Sciences Journal

Multidisciplinary open-access journal spanning biochemistry, genetics, neuroscience, environmental health, and synthetic biology.

International Journal of Functional Nutrition

International Journal of Functional Nutrition

Open-access journal combining biochemistry, pharmacology, immunology, and genetics to advance health through functional nutrition.

International Journal of Epigenetics

International Journal of Epigenetics

Publishes open-access research on using epigenetics to advance understanding and treatment of human disease.

Medicine International

Medicine International

An International Open Access Journal Devoted to General Medicine.

Journal Cover
August-2024 Volume 28 Issue 2

Full Size Image

Sign up for eToc alerts
Recommend to Library

  • Article
  • Citations
    • Cite This Article
    • Download Citation
    • Create Citation Alert
    • Remove Citation Alert
    • Cited By
  • Similar Articles
    • Related Articles (in Spandidos Publications)
    • Similar Articles (Google Scholar)
    • Similar Articles (PubMed)
  • Download PDF
  • Download XML
  • View XML
Article Open Access

Protective effects of lupeol in rats with renal ischemia‑reperfusion injury

  • Authors:
    • Alparslan Kapisiz
    • Cem Kaya
    • Sibel Eryilmaz
    • Ramazan Karabulut
    • Zafer Turkyilmaz
    • Mehmet Arda Inan
    • Ozlem Gulbahar
    • Kaan Sonmez
  • View Affiliations / Copyright

    Affiliations: Department of Pediatric Surgery, Gazi University Faculty of Medicine, Yenimahalle, 06500 Ankara, Turkey, Department of Pathology, Gazi University Faculty of Medicine, Yenimahalle, 06500 Ankara, Turkey, Department of Biochemistry, Gazi University Faculty of Medicine, Yenimahalle, 06500 Ankara, Turkey
    Copyright: © Kapisiz et al. This is an open access article distributed under the terms of Creative Commons Attribution License.
  • Article Number: 313
    |
    Published online on: June 7, 2024
       https://doi.org/10.3892/etm.2024.12602
  • Expand metrics +
Metrics: Total Views: 0 (Spandidos Publications: | PMC Statistics: )
Metrics: Total PDF Downloads: 0 (Spandidos Publications: | PMC Statistics: )
Cited By (CrossRef): 0 citations Loading Articles...

This article is mentioned in:



Abstract

Acute kidney injury (AKI) caused by ischemia and, exogenous or endogenous nephrotoxic agents poses a serious health issue. AKI is seen in 1% of all hospital admissions, 2‑5% of hospitalizations and 67% of intensive care unit (ICU) patients. The in‑hospital mortality rates for AKI is 40‑50, and >50% for ICU patients. Ischemia‑reperfusion (I/R) injury in the kidney can activate inflammatory responses and oxidative stress, resulting in AKI. The common endpoint in acute tubular necrosis is a cellular insult secondary to ischemia or direct toxins, which results in effacement of brush border, cell death and decreased function of tubular cells. The aim of the present study was to assess if the reported antioxidant and anti‑inflammatory agent lupeol can exert any effects against renal I/R damage. In total, 24 Wistar Albino rats were randomly assigned into four groups of 6, namely Sham, lupeol, ischemia and therapy groups. In the lupeol group, intraperitoneal administration of 100 mg/kg lupeol was given 1 h before laparotomy, whilst only laparotomy was conducted in the sham group. The renal arteries of both kidneys were clamped for 45 min, 1 h after either intraperitoneal saline injection (in the ischemia group) or 100 mg/kg lupeol application (in the therapy group). The blood samples and renal tissues of all rats were collected after 24 h. In blood samples, blood urea nitrogen (BUN) was measured by the urease enzymatic method, and creatinine was measured by the kinetic Jaffe method. Using ELISA method, TNF‑α and IL‑6 levels were measured in the blood samples, whereas malondialdehyde (MDA), glutathione (GSH), caspase‑3 levels were measured in kidney tissues. In addition, kidney histopathological analysis was performed by evaluating the degree of degeneration, tubular dilatation, interstitial lymphocyte infiltration, protein cylinders, necrosis and loss of brush borders. It was determined that renal damage occurred due to higher BUN, creatinine, MDA, TNF‑α and caspase‑3 values observed in the kidney tissues and blood samples of rats in ischemia group compared with the Sham group. Compared with those in the ischemia group, rats in the therapy group exhibited increased levels of GSH and reduced levels of BUN, TNF‑α, MDA. Furthermore, the ischemia group also had reduced histopathological damage scores. Although differences in creatinine, IL‑6 and caspase‑3 levels were not statistically significant, they were markedly reduced in the treatment group. Taken together, these findings suggest that lupeol can prevent kidney damage as mainly evidenced by the reduced histopathological damage scores, decreased levels of oxidative stress and reduced levels of inflammatory markers. These properties may allow lupeol to be used in the treatment of AKI.

Introduction

An abrupt reduction in renal function is the hallmark of acute kidney injury (AKI), which occurs in 10-15% of hospitalizations and affects >50% patients in intensive care in the United States (1,2). Acute tubular necrosis, which is the most common cause of AKI, may result from ischemia, exogenous nephrotoxic agents (such as iodinated contrast media, aminoglycosides, amphotericin B and vancomycin) or endogenous nephrotoxic damage due to rhabdomyolysis and hemolysis (2). In particular, ischemia can arise in the kidney after various urological treatments, including kidney transplantation, partial nephrectomy and renal artery surgery (3,4). Additionally, trauma, shock and sepsis are also amongst the most commonly reported causes of kidney ischemia (3-5). Ischemia is considered to be one of the primary causes of AKI (6). Renal damage first occurs during ischemia, which is then exacerbated by the restoration of blood flow (3). Diagnosis of renal injury caused by ischemia/reperfusion (I/R) depends on clinical assessment, urinary or blood biochemical markers, radiological findings and eventually histologic examination (7,8). Blood urea nitrogen (BUN) and serum creatinine are useful key markers of renal I/R injury (8). CT is not applicable for renal I/R injury diagnosis due to the contrast toxicity seen in acute tubular necrosis (ATN) (7). Although MRI with contrasts can exert toxic effects on kidney functions, T1 and T2-weighted MRI can provide useful information regarding the extent of damage induced by hypoxia (7,8). Histopathologically, I/R injury frequently manifests as damage to the tubular epithelium, primarily due to the high energy demands of renal tubules. This can result in ATN and/or AKI (9).

Alterations in the mitochondrial oxidative phosphorylation system during ischemia results in decreased adenosine triphosphate (ATP) and antioxidant production (10). Furthermore, disruption of ion pumps (Na+/K+/ATPase, Na+/H+, Ca2+/ATPase pumps) leads to the accumulation of hydrogen, sodium and calcium ions, resulting in cell swelling and the activation of proteases (such as apoptosis protease-activating factor) and phosphatases (such as serine/threonine-protein phosphates) in the cytoplasm (4,10-12). Activated enzymes then degrade the cytoskeleton and membrane phospholipids, resulting in the production of reactive oxygen species (ROS). With the resupply of oxygen following reperfusion, ROS are produced by the xanthine oxidase system (due to the shift from xanthine dehydrogenase to xanthine oxidoreductase under ATP-deficient conditions during the hypoxic periods), by the mitochondrial electron transport chain, the NADPH oxidase system and unbound nitrite oxide synthase system (4,10).

The pathophysiology of ischemia-reperfusion (I/R)-induced AKI is a highly complex process that has been reported to involve the activation of neutrophils, release of reactive oxygen species (ROS) and secretion of various inflammatory mediators, including adhesion molecules (such as P-selectin and ICAM-1) and cytokines (such as TNF-α and IL-6) (13). However, there is currently no effective therapeutic option available for the treatment of renal I/R injury (RIRI), other than supportive therapies such as renal replacement therapy or hydration (14).

Lupeol is a biologically active triterpene that can be found in various edible vegetables and fruits, such as mangoes, cabbage, green peppers and strawberries (15). A previous study reported that lupeol possesses anti-inflammatory, anticancer, cardioprotective, hepatoprotective and wound-healing properties (16). Lupeol has been found to function through the toll like receptor 4/myeloid differentiation primary response 88/NF-κB p65, IL-1 receptor-associated kinase and p38 MAPK pathways (16). It has been previously tested in clinical studies for the treatment of cancer (such as bone, liver, lung, colon, rectum and bladder), actinic keratosis and nocturnal enuresis (17-19). In a study conducted with actinic keratosis patients, the birch-bark-containing Lupeol managed to clear 75% of the lesions (18). It was determined that there was a significant decrease in the number of day frequency, nocturia and total incontinence with lupeol treatment (19). Lupeol has been demonstrated to exert anti-cancer effects by promoting apoptosis, limiting cancer cell migration and invasion, decreasing cell proliferation and increasing cancer cell susceptibility to chemotherapy and radiotherapy both in vitro and in vivo (17-19).

Lupeol has been investigated in previous studies for its protective effects in an animal model of hypercholesterolemia-induced kidney damage and its effects against renal cell carcinoma in human cell culture via modulation of mitochondrial dynamics by decreased cell viability and mitochondrial fission (17,20). In rats in which hypercholesterolemia was induced by feeding a high-cholesterol diet, the decreased antioxidant status, increased renal lysosomal acid hydrolase activities and acute phase proteins, which indicates increased inflammation, were reversed by lupeol treatment (20). However, to date, to the best of our knowledge, no studies have evaluated its effects on RIRI. Therefore, the present study aimed to assess the effects of lupeol on this condition.

Materials and methods

Animals and treatments

Lupeol (purity, 99.31%) was purchased from TargetMol Chemicals, Inc. and dissolved in olive oil using heat (37˚C) and sonication at frequency of 42 kHz (3 h) as previously described by Nitta et al (21). This process was performed until it dissolved homogeneously with no visible particles remaining in the solution. Previous studies have attempted to administer lupeol through a variety of routes, including the subcutaneous, intraperitoneal, topical and oral routes (22-25). It has been previously shown that an oral dose of 100 mg/kg is more effective in inhibiting IL-2, IFN-gamma, and TNF-α in pleural exudate than oral doses of 25-50-200 mg/kg, whilst an intraperitoneal dose reaching as high as 200 mg/kg did not cause toxicity in rats. Therefore, in the present study, an intraperitoneal dose of 100 mg/kg was used (25,26). The present experimental animal study was performed under the supervision of expert veterinarians at the Gazi University Animal Laboratory and Experimental Research Center and the animals' respiration and heart rate were examined every 15 min. The Gazi University Animal Experiments Ethics Committee granted ethical approval (approval no. G.U.ET-22.006; Ankara, Turkey).

For the present study, a total of 24 healthy Wistar Albino female rats (age, 3-4 months; weight, 200-250 g) were obtained from the aforementioned center. The animals were housed in cages with proper ambient temperature (at 20-21˚C) and humidity (average 55±5%), with a 12 h light/dark cycle. Before and after the procedure, all animals had free access to a normal diet and water. For general anesthesia, intramuscular ketamine hydrochloride (50 mg/kg) and xylazine hydrochloride (5 mg/kg) were used. To maintain sterility 10% povidone-iodine was used.

The rats were divided into the following four groups at random (n=6): i) Sham group (group S), where no further surgeries were performed apart from the median laparotomy; ii) the lupeol group (group L), where at 1 h after the intraperitoneal injection of 100 mg/kg lupeol, a median laparotomy was performed; iii) the renal ischemia group (group I), where a median laparotomy was performed at 1 h after the administration of intraperitoneal saline, before ischemia was applied in right and left main renal arteries for 45 min, and the rats were under anesthesia throughout the 45 min; and iv) the lupeol therapy group (group T), where at 1 h after the intraperitoneal injection of 100 mg/kg lupeol, a median laparotomy was performed under anesthesia, before right and left main renal arteries were subjected to ischemia for 45 min.

Experimental rat renal ischemia model

Each animal was anesthetized and then placed in a supine position on the surgical table. A 3-cm incision was made through the midline of the abdomen. Renal ischemia was induced in the rats in the I and T groups by bilaterally blocking their renal pedicles, including the renal artery, using atraumatic microvascular clamps for 45 min (Fig. 1). To provide reperfusion following ischemia, the atraumatic microvascular clamps were removed. Subsequently, abdominal incisions were repaired with 3/0 silk sutures in all groups. At the end of the experiment, deep anesthesia was achieved in the rats by confirming that they did not respond to tail clamping following the administration of intramuscularly injected ketamine hydrochloride (50 mg/kg) and xylazine hydrochloride (5 mg/kg; Alfazyne 2%). Subsequently, the animals were euthanized by exsanguination through intracardiac puncture. Death was confirmed by absence of heartbeats determined by listening to cardiac sounds with the use of a stethoscope (27,28). Bilateral nephrectomy was then performed by re-laparotomy. Both kidneys were removed from each animal, with one frozen in liquid nitrogen and kept at -80˚C for further biochemical analysis, whilst the other was preserved in 10% formalin at room temperature for 48 h for histological analysis. The centrifugation of blood samples was performed at 2,110 x g for 10 min at 2-8˚C. Serum was stored in Eppendorf tubes at -80˚C for TNF-α and IL-6 testing after BUN and creatinine levels were measured for the assessment of renal function.

Figure 1

Image of the right renal pedicle being obstructed with an atraumatic microvascular clamp. Blue arrow showing the right kidney and red arrow showing the intestines.

Histopathological evaluation

The kidney tissues were processed in standard procedures with automatic tissue processers (Sakura Inc.). In standard tissue processing, after formalin fixation, the samples went through a series of graded ethanol solutions (70, 95 and 100%) to dehydrate them. Alcohol was replaced by xylene to clear the tissue samples. Molten paraffin wax was then infiltrated to impregnate them with paraffin. Paraffinized tissue samples were then blocked in paraffin. Slides were cut in microtomes from paraffin blocks for 4 microns and were transferred to the staining station.

The staining process started with deparaffinization in a 60˚C laboratory oven for 5 min. The rest of the staining process was performed using a Tissue-Tek Prisma (Sakura Inc.) automatic tissue stainer at room temperature. The first step was rehydration with a series of ethanol solutions (100, 95 and 70%) and transferring to distilled water. The rehydrated slides were immersed in hematoxylin solution at room temperature for 7 min and then rinsed briefly in tap water. Slides were then dipped in acid alcohol for a few sec, to remove excess hematoxylin and rinsed with tap water. Counterstaining with eosin started with immersing in eosin Y solution at room temperature for 3 min and rinsing with tap water. Another step of dehydration was performed by transferring through a series of ethanol solutions (70, 95 and 100%). Finally, the slides were cleared in xylene and covered by Tissue-Tek (Sakura Inc.) film slips in the automatic cover slipper.

Histopathological analysis was performed by two pathologists blinded to the subjects and each other. After overall assessment of the injury, in the most harmed foci, 10 high power fields were histopathologically analyzed under a light microscope (Olympus BX53; Evident Inc.) to assess the degree of degeneration, tubular dilatation, interstitial lymphocyte infiltration, protein cylinders, necrosis and loss of brush borders (Fig. 2). Each criterion was evaluated individually using a binary scale, depending only on the presence or absence of the criteria (present, 1; absent, 0), without taking into consideration the degree of severity of the histopathological changes or increments. They were then summed to generate a numerical score. A highly injured specimen would receive the maximum score of 6. The injury was also scored according to the percentage of the entire kidney which demonstrated damage. Percentages were scored as follows: i) 0, none; ii) #x003C;10%, 1; iii) 11-25%, 2; iv) 26-45%, 3; v) 46-75%, 4; and vi) 76-100%, 5. Numerical score of injury was multiplied with the percentage score before the final histopathological injury score was recorded by each pathologist (9). The maximum possible histopathological injury score was 30. Any scores that did not concur within pathologists were revised together on a two-headed microscope and re-scored with consensus.

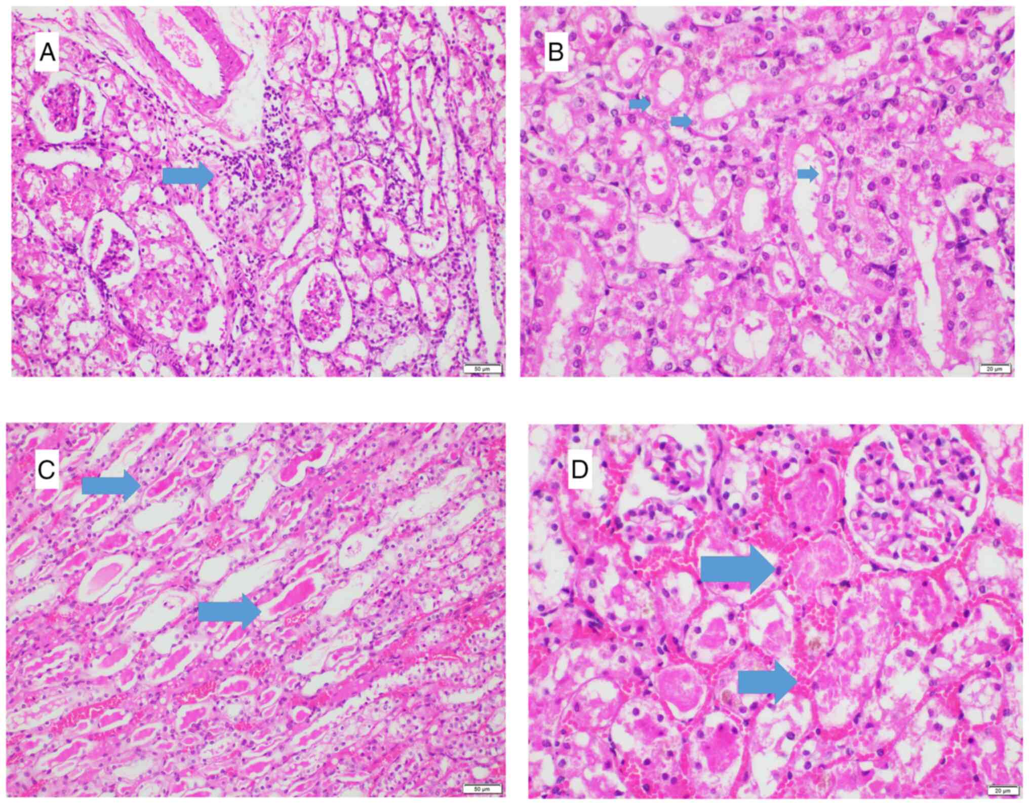
Figure 2

Representative histopathological images of each of the five criteria. (A) Arrow showing lymphocytic infiltration of the tubular structures. Magnification, x200. (B) All arrows indicate brush borders of the preserved cilia of proximal tubules. Magnification, x400. (C) Both arrows showing eosinophilic hyaline casts (protein cylinders) in the tubules. Magnification, x400. (D) Both arrows showing necrosis and degeneration of the tubular epithelium and the lower arrow pointing tubular dilatation. Magnification, x400.

Biochemical parameters

The BUN and creatinine results in blood samples were measured using Beckman Coulter kits (creatinine, cat. no. OSR6178; BUN, cat. no. OSR6134) on an AU 480 Chemistry analyzer (Beckman Coulter, Inc.) according to the manufacturer's protocols. The IL-6 (cat. no. E0135Ra) and TNF-α (cat. no. E0764Ra) levels in blood samples were determined using commercial ELISA kits (Shanghai Korain Biotech Co., Ltd.).

The kidney tissues were homogenized using PBS (pH 7.2) to create a 10% (w/v) homogenate. Homogenization was performed in an ice bath using a tissue grinder with a Teflon pestle, and then the supernatant was collected after centrifugation at 960 x g for 15 min at 21-23˚C. Through the use of commercial ELISA kits (Shanghai Korain Biotech Co., Ltd.), the levels of malondialdehyde (MDA; cat. no. E0156Ra), glutathione (GSH; cat. no. E1101Ra) and caspase-3 (cat. no. E1648Ra) were measured.

Statistical analysis

SPSS version 22.0 for Windows (IBM Corp.) was used for the statistical analysis of the data. The results of each experiment are reported as the mean ± standard deviation. Histopathological injury scores are reported as median (Q1-Q3). Shapiro-Wilk test was used to assess the normal distribution of each data. Tukey's post hoc test was utilized after one-way analysis of variance for the statistical analysis of normally distributed data. In the event that the data were not normally distributed, Kruskal-Wallis with Bonferroni post hoc test was performed. P#x003C;0.05 was considered to indicate a statistically significant difference.

Results

Biochemical analysis

The results revealed that group I had significantly higher levels of BUN compared with those in group S (P#x003C;0.001). Group T had lower BUN levels compared with those in group I, but there was no significant difference (Table I). BUN levels were similar between group S and Group L. Creatinine levels were found to be significantly higher in group I compared with those in group S (P#x003C;0.001), but there was no significant difference between group T and group I, or between group L and group S. Regarding the IL-6 levels, although there was no significant difference between group S and group I, there was a statistically significant difference between group T and group I (P#x003C;0.05). Additionally, there were significant decreases in group L compared with those in group S (P#x003C;0.05). Group I had significantly higher levels of TNF-α compared with those in groups S and T (P#x003C;0.05 and P#x003C;0.01, respectively). Although TNF-α was lowest in group L, there was no significant difference between this group and group S.

Table I

Effects of lupeol on the levels of kidney injury markers in serum or tissue samples from animals in the experimental groups.

Table I

Effects of lupeol on the levels of kidney injury markers in serum or tissue samples from animals in the experimental groups.

Parameters testedShamLupeolIschemiaTherapy
Serum Blood urea nitrogen, mg/dl23.83±3.7622.50±3.98 111.00±12.04a83.16±12.65
Serum Creatinine, mg/dl0.41±0.070.36±0.04 1.32±0.55a0.67±0.13
Serum IL-6, ng/l26.20±5.87 17.35±3.05b33.43±10.35 20.98±1.30c
Serum TNF-α, ng/l184.68±17.76168.93±20.26 217.18±13.69d 177.15±19.75e
Tissue Malondialdehyde, nmol/ml1.65±0.121.56±0.19 2.10±0.27f 1.66±0.18e
Tissue Glutathione, mg/l527.35±68.83533.03±67.14 415.23±58.56d 517.45±38.24c
Tissue Caspase 3, ng/ml7.50±1.456.86±1.028.88±1.137.55±1.15

[i] Data are presented as mean ± standard deviation.

[ii] aP#x003C;0.001 vs. Sham.

[iii] bP#x003C;0.05 vs. Sham.

[iv] cP#x003C;0.05 vs. Ischemia.

[v] dP#x003C;0.05 vs. Sham.

[vi] eP#x003C;0.01 vs. Ischemia.

[vii] fP#x003C;0.01 vs. Sham.

Group I had the highest MDA value. There was a significant difference between this group and group S (P#x003C;0.01), in addition to between group I and group T (P#x003C;0.01). The lowest MDA value was obtained in group L, but there was no significant difference between this group and group S. GSH levels were found to be significantly lower in group I compared with those in group S (P#x003C;0.05). Similarly, there was a significant difference between the ischemia and treatment groups (P#x003C;0.05), but there was no difference between groups S and L. Although group I had the highest caspase-3 value, there was no significant difference between group I and group S, or between group I and T (Table I). The results in group T were markedly lower even though there was no statistically significant difference in BUN, creatinine or caspase-3 levels when compared with group I.

Pathological analysis

A difference was found between group I and group S in terms of the numerical injury score (P#x003C;0.05). In group S, the median histopathological injury score was 9.00 (3.75-12.75). In group L, it was 8.00 (2.00-10.50). In group I, it was 17.50 (13.75-21.25) and in group T, it was 8.00 (7.50-11.25) (Table II). Group I had significantly higher histopathological injury score compared with that in group S (P#x003C;0.05). The levels of tubular dilatation, protein cylinders, numerical score of injury and the percentage score in group T were lower, despite the observation that there was no significant difference between group T and the group I (Table II).

Table II

Histopathological evaluation scores of renal tissues from each of the experimental groups.

Table II

Histopathological evaluation scores of renal tissues from each of the experimental groups.

Parameters testedShamLupeolIschemiaTherapy
Sub-categories of numerical injury score    
     Loss of brush borders1.00 (1.00-1.00)1.00 (1.00-1.00)1.00 (1.00-1.00)1.00 (1.00-1.00)
     Lymphocyte infiltration0.00 (0.00-0.25)0.00 (0.00-1.00)0.00 (0.00-0.00)0.00 (0.00-0.00)
     Degeneration1.00 (1.00-1.00)1.00 (1.00-1.00)1.00 (1.00-1.00)1.00 (1.00-1.00)
     Tubular dilatation0.00 (0.00-0.25)0.00 (0.00-0.00)1.00 (1.00-1.00)1.00 (0.00-1.00)
     Protein cylinders0.50 (0.00-1.00)0.50 (0.00-1.00)1.00 (1.00-1.00)0.50 (0.00-1.00)
     Necrosis1.00 (0.75-1.00)1.00 (0.00-1.00)1.00 (1.00-1.00)1.00 (1.00-1.00)
Total numerical injury score3.50 (3.00-4.25)3.50 (2.00-5.00)5.00 (5.00-5.00)a4.00 (3.75-5.00)
Percentage score2.50 (1.00-3.25)2.00 (1.00-2.25)3.50 (2.75-4.25)2.00 (2.00-2.25)
Histopathological injury score9.00 (3.75-12.75)8.00 (2.00-10.50)17.50 (13.75-21.25)a8.00 (7.50-11.25)b

[i] Data were presented as the median (25th - 75th percentiles).

[ii] aP#x003C;0.05 vs. Sham.

[iii] bP#x003C;0.05 vs. Ischemia.

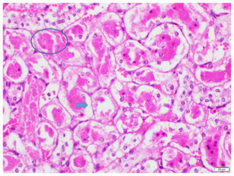
The highest observed histopathological injury score of 25 was observed in two animals in group I (Figs. 3 and 4A), indicating an extensively damaged kidney histology, which was characterized by loss of brush borders, necrosis, degeneration, tubular dilatation and protein casts. Conversely, the lowest histopathological injury score of 2 was observed in two animals in group L, where brush border loss and mild degeneration were noted (Fig. 4B). Groups S (score range, 3-20; Fig. 4C) and T (score range, 8-25; Figs. 4D and 5) exhibited average histopathological injury scores, with variations in percentages observed among the kidneys. No glomerular necrosis was observed in any group.

Figure 3

Representative histopathological image of a damaged kidney from the ischemia group. Necrosis, degeneration, tubular dilatation and protein cylinders can all be seen in the circle. Lack of an epithelium on the basal membrane is shown by the arrow. Magnification, x400.

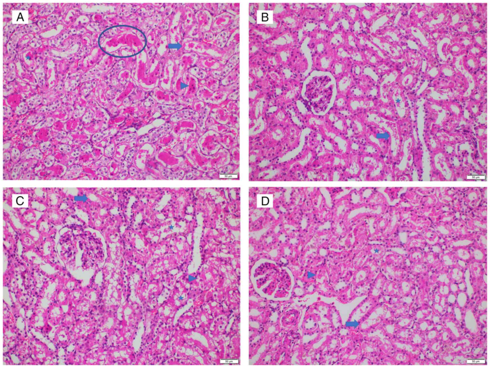
Figure 4

Representative histopathological image from each group. (A) Group I, score 25. Prominent hyalin casts and dilatation of tubules with degeneration, necrosis and loss of brush borders are indicated. (B) Group L, score 2. Locations of degeneration and loss of brush borders are shown. (C) Group S, score 12. Locations of degeneration, loss of brush borders, necrosis, and dilatation are indicated. (D) Group T, score 12. Locations of degeneration, loss of brush borders, necrosis, and dilatation are indicated. Magnification, x200. Ovals, prominent hyalin casts; asterisks, dilatation of tubules with degeneration; arrowhead, necrosis; arrows, loss of brush borders.

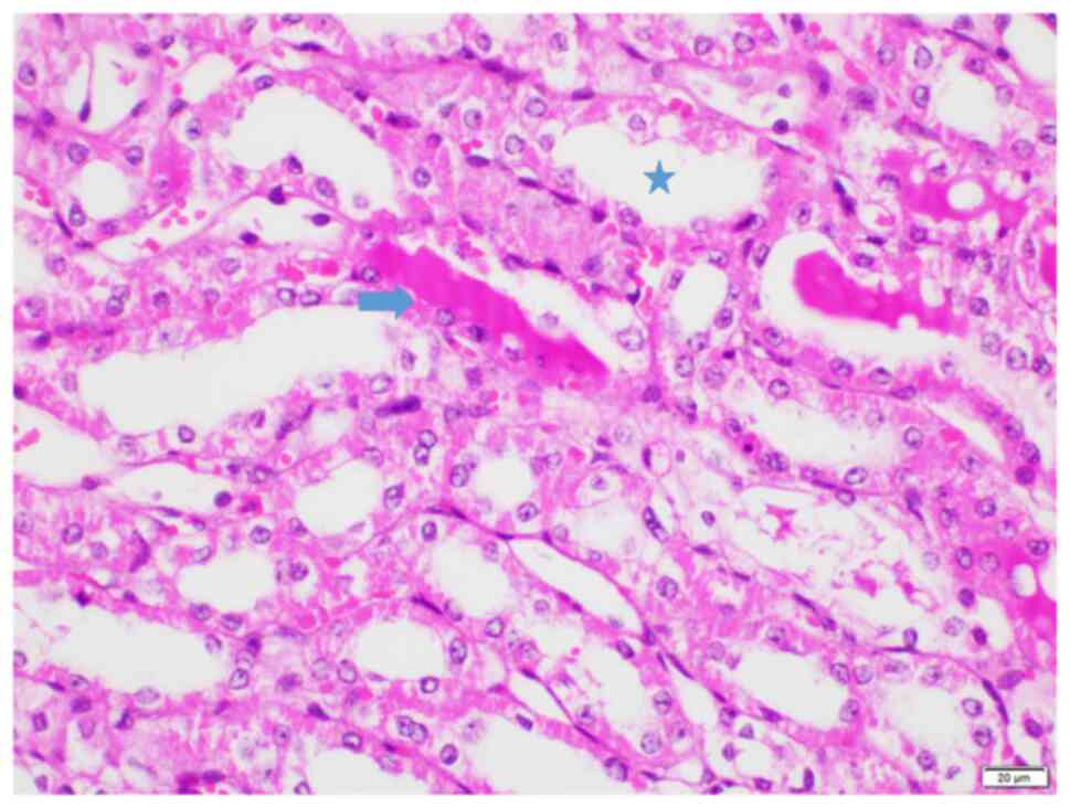
Figure 5

Representative histopathological image of a sparsely damaged kidney from the therapy group. Untreated group animals usually had more severe injury. Arrows indicate the location of tubular dilatation and focal protein cylinders. Star in the tubule represent the location of the partial loss of brush borders. Magnification, x400.

Discussion

In the present study, it was found that renal damage occurred due to the high levels of various markers observed in the kidney tissues and blood samples from rats in group I, namely BUN, creatinine, MDA, TNF-α and caspase-3. Elevated BUN level during ischemia may be associated with tubular blockage or reverse tubular leakage. This suggests oxidative, inflammatory, biochemical and cellular damage. In addition, it was found that the levels of GSH, which is an antioxidant marker, were decreased in renal tissue following ischemia (29). Lupeol treatment was then found to exert antioxidant, anti-inflammatory and general protective effects against ischemia.

In previous studies, reperfusion was performed 30-60 min after ischemia in models of experimental RIRI (30-32). In addition, following 45 min of ischemia in rats, kidney damage commenced at 4 h and reached its maximal extent at 24 h (33). Therefore, the present study opted to terminate the ischemia procedure at 45 min followed by 24 h of reperfusion prior to euthanasia.

Renal I/R is a multifactorial process that results in a cascade of renal damage, both histopathological and functional (34). During ischemia, ROS from the xanthine oxidase system, mitochondrial electron transport chain, NADPH oxidase system and uncoupled nitrite oxide synthase (NOS) system may accumulate in ischemic cells due to low antioxidant agent concentration (10). Following tissue reperfusion, local inflammation occurs and ROS production becomes amplified, which then enters the systemic circulation to induce cell damage (renal structural damage) via apoptosis and necrosis (35). Numerous agents, such as allicin, urolithin A, empagliflozin, asiaticoside and dapsone, have all been used before and after renal ischemia to prevent this type of damage. These studies are experimental and further studies are required for clinical use (36-40).

Lupeol is a bioactive triterpene that can be found in various edible vegetables and fruits, such as mangoes, cabbage, green peppers, strawberries, olives and grapes. It can also be found in various medicinal plants, such as Bowdichia virgilioides and Crataeva nurvala (15,41,42). Previous in vivo and in vitro experimental studies have reported anti-inflammatory, antimicrobial, antioxidant, anticancer, cardioprotective, hepatoprotective, antiarthritic and wound healing effects of lupeol and its therapeutic potential (16). In the present study, lupeol demonstrated its antioxidant effects by lowering MDA levels whilst increasing those of GSH in group T compared with those in group I. To the best of our knowledge, the present study was the first in which lupeol was found to exert anti-inflammatory and antioxidant effects in a renal I/R model. Lupeol (100 mg/kg) has been previously reported to confer combined antioxidant potential and hepatoprotective effects, such as silymarin in aflatoxin B1-induced liver injury, following the detection of oxidant (MDA and catalase), antioxidant [GSH and superoxide dismutase (SOD)] parameters and histopathological evaluation (42). In another study that previously tested the effects of lupeol for wound healing in diabetic rats, antioxidant effects were observed and stimulatory effects were exerted on wound healing (41). It has also been experimentally shown that lupeol treatment can confer antioxidant effects against acetaminophen (AAP)-induced liver injury, middle cerebral artery occlusion-induced cerebral ischemia and selenite-induced cataract and myocardial ischemia (29,43-45). In addition, antioxidant effects of lupeol have been previously demonstrated in models of liver damage, where it was observed to restore the levels of antioxidant enzymes, reduce lipid peroxidation and ROS formation, which in turn maintained the redox balance (29). Lupeol has been shown to inhibit oxidative stress-induced NF-κB activation in culture of isolated lymphocytes obtained from peripheral blood of healthy non-smoking donors (46). With neuronal cells in rat models of cerebral ischemia, lupeol treatment was found to reduce the expression levels of oxidation (by increasing SDO, GSH and decreasing ROS production) and inflammation markers (by decreasing TNF-α and IL-1β) through the activation of nuclear factor erythroid 2-related factor 2, a key antioxidant in vascular cells, through the inhibition of p38 MAPK signaling (43).

The anti-inflammatory activity of lupeol has also been investigated in the nervous system, digestive system and cardiovascular diseases. Lupeol has been documented to inhibit the expression of inflammatory genes and proteins through the TLR4/MyD88/NF-κB P65 signaling pathway, IRAK (interleukin-1 receptor-associated kinase)-mediated TLR (toll like receptor) inflammatory signaling, P38 MAPK, and JNK (c-Jun N-terminal kinase) pathways, whilst reducing that of cytokines, such as TNF-α, IFN-γ and IL-2(16). Kim et al (47) previously demonstrated in a model of cerulein-induced acute pancreatitis that lupeol treatment could reduce the degree of pancreatic edema and neutrophil infiltration, whilst inhibiting the release of pro-inflammatory cytokines such as TNF-α, IL-1β, and IL-6. In another study, Ahmad et al (26) reported that the optimal dose to reduce leukocyte count, IL-2, IFN-γ and TNF-α production in their cytometric investigation was 100 mg/kg of lupeol compared to 25-50-200 mg/kg. In the present study, lupeol was used to assess the possibility of these aforementioned effects in the kidney. Consistently in the present study, a significant decrease in the levels of in IL-6 and TNF-α was observed in the therapy group compared with the ischemia group.

Sudhahar et al (20) previously established a model of renal damage induced by hypercholesterolemia, where the initiation of oxidative damage in hypercholesterolemic rats was indicated by an increase in MDA levels (a product of lipid peroxidation) and a decrease in antioxidant levels (such as SOD and GSH). Additionally, Sudhahar et al (20) found that the expression of acute-phase proteins, including fibrinogen and C-reactive protein, in addition to the activity of renal lysosomal acid hydrolases (such as acid phosphatase, β-glucuronidase, β-galactosidase, N-acetyl glucosaminidase and cathepsin D), were all increased in proportion to the degree of inflammation. Subsequent histopathological findings revealed that kidney damage occurred in a hypercholesterolemic state (20), which lead to the conclusion that hypercholesterolemia increased oxidative stress and inflammation, triggering glomerulosclerosis and renal damage. By contrast, lupeol and lupeol linoleate treatment lead to the effective reversals of these aforementioned abnormalities (20).

Renal tubules can become damaged during episodes of ischemia (48). Since the inhibition of cell pyroptosis has been shown to exert a protective effect against renal I/R damage, Ni et al (48) previously measured the number of pyroptotic cells after hydrogen sulfide treatment. Decreased numbers of pyroptotic cells and reduced expression of pyroptosis protein markers, such as caspase-1, gasdermin D, IL-1β and IL-18, were observed (48). In the present study, caspase-3 expression was examined as a marker of pyroptosis, which is an indicator of inflammatory cell death (49). Caspase 3 levels were found to be lower in group T, indicating that lupeol reduced the extent of cell death. To the best of our knowledge, the only previous study on the effects of lupeol on kidney damage was the aforementioned hypercholesterolemia-induced kidney damage model, which did not examine caspase-3 expression (20). However, lupeol has been shown to inhibit caspase-3 in a rat cerebral I/R model (50).

In the present study, it was found that group I had higher BUN and creatinine levels. Increased blood levels of BUN and creatinine during ischemia may be caused by tubular blockage or reverse tubular leakage, but the exact underlying mechanism of this phenomenon remains unknown. However, acute renal failure, as indicated by increased BUN and creatinine levels, has been shown to occur before tubular necrosis develops (51). In previous studies with the effects of hydrogen sulfide and lycopene on renal I/R injury, BUN and creatinine values were found to be lower in the treatment groups (4,48). Similarly, lupeol has been shown to decrease serum BUN and creatinine values following hypercholesterolemia-induced renal damage (20). Although results from the present study did not reveal a statistically significant difference in the BUN and creatinine levels, the values were markedly decreased in group T. The reason for this improvement may be the sum of the antioxidant, anti-inflammatory and cytoprotective effects exerted by lupeol.

Previous studies have examined histological characteristics of renal I/R, such as tubular dilatation, tubular vacuolization, brush border loss, glomerular necrosis and tubular necrosis. After lycopene and hydrogen sulfide were administered to the treatment group following ischemia, a reduction in the extent of brush boundary loss, tubular vacuolization and tubular dilatation was observed (4,48). In addition, tubular epithelial denudation with casts attributable to lipemic-oxidative damage, and damage to the tubules predisposing to hypoxic injury were found in a model of hypercholesterolemia-induced renal injury, whilst intact renal architecture comparable to that of healthy kidneys was noted in the lupeol treatment groups (20). In the present study, the histopathological injury score was determined, where the highest values were found in group I. By contrast, scores close to Sham group level were obtained following lupeol treatment. The antioxidant and anti-inflammatory properties of lupeol may be partly responsible for such protective effects, similar to those previously observed in other organs, such as the eyes, brain, heart, liver and skin (16,20).

Lupeol has been shown to be effective even when applied through different routes, such as subcutaneously, topically, orally and intraperitoneally. In vivo, no systemic toxicity was observed upon treatment with 200 mg/kg intraperitoneally in rats or 2,000 mg/kg orally in mice (25). Yokoe et al (52) previously showed that subcutaneously administering lupeol can prevent local tumor progression and distant metastasis by canine oral malignant melanoma in dogs, whereas Jesus et al (53) reported that intraperitoneally administering lupeol could protect the liver and spleen against leishmaniasis. Beserra et al (41) showed that topically administering lupeol could accelerate wound healing, whilst Asha et al (44) found that orally administering lupeol alleviated selenite-induced cataracts. Another previous study, in which 200 mg/kg lupeol was administered orally to mice, found the level of lupeol in both plasma and organs such as kidney, liver, small and large intestine to be remains in high concentration and constant over time (T1/2 for lupeol was 13.564±2.912 h) (54). Although lupeol can be found in various fruits, consumption of ≥555 g/kg mango fruit is needed to reach the dose of 100 mg/kg lupeol in humans, which was used in the present experimental study. By contrast, the oral bioavailability of lupeol was previously reported to be #x003C;1% (18). Therefore, lupeol may be more appropriately applied as a drug instead of a dietary supplement. The demonstration of antioxidant, anti-inflammatory, anticancer and anti-apoptotic effects of lupeol in both experimental in vivo and in vitro human cell cultures has supported its use for a number of human diseases. Lupeol has been tested in various clinical studies on hepatocellular cancer and actinic keratoses treatment. In addition, this drug has been previously tested a randomized placebo-controlled clinical study for the treatment of nocturnal enuresis in children (16-19,55).

In the present study, lupeol was shown to exert protective effects in the kidney against RIRI by reducing the histopathological damage score and oxidative stress, whilst suppressing the production of inflammatory proteins. In conclusion, results from the present study support the clinical use of lupeol for AKI.

Acknowledgements

Not applicable.

Funding

Funding: The present study was sponsored by the Scientific Research Foundation of Gazi University (grant no. 6/2022-7842).

Availability of data and materials

The data generated in the present study may be requested from the corresponding author.

Authors' contributions

AK and RK designed the study. CK and SE performed the experiments. ZT and KS analyzed the data. AK, RK and CK wrote the manuscript. AK, CK and SE searched the literature. MAI and OG analyzed the tissues. All authors have read and approved the final manuscript. AK and CK confirm the authenticity of all the raw data.

Ethics approval and consent to participate

The Gazi University Animal Experiments Ethics Committee granted ethical approval (approval no. G.U.ET-22.006; Ankara, Turkey). All methods were performed in accordance with the relevant guidelines and regulations.

Patient consent for publication

Not applicable.

Competing interests

The authors declare that they have no competing interests.

References

1 

Ronco C, Bellomo R and Kellum JA: Acute kidney injury. Lancet. 394:1949–1964. 2019.PubMed/NCBI View Article : Google Scholar

2 

Shaikhouni S and Yessayan L: Management of acute kidney injury/renal replacement therapy in the intensive care unit. Surg Clin North Am. 102:181–198. 2022.PubMed/NCBI View Article : Google Scholar

3 

Thapa K, Singh TG and Kaur A: Targeting ferroptosis in ischemia/reperfusion renal injury. Naunyn Schmiedebergs Arch Pharmacol. 395:1331–1341. 2022.PubMed/NCBI View Article : Google Scholar

4 

Kaya C, Karabulut R, Turkyilmaz Z, Sonmez K, Kulduk G, Gülbahar Ö, Köse F and Basaklar AC: Lycopene has reduced renal damage histopathologically and biochemically in experimental renal ischemia-reperfusion injury. Ren Fail. 37:1390–1395. 2015.PubMed/NCBI View Article : Google Scholar

5 

Kinra M, Mudgal J, Arora D and Nampoothiri M: An insight into the role of cyclooxygenase and lipooxygenase pathway in renal ischemia. Eur Rev Med Pharmacol Sci. 21:5017–5020. 2017.PubMed/NCBI

6 

Miao AF, Liang JX, Yao L, Han JL and Zhou LJ: Hypoxia-inducible factor prolyl hydroxylase inhibitor roxadustat (FG-4592) protects against renal ischemia/reperfusion injury by inhibiting inflammation. Ren Fail. 43:803–810. 2021.PubMed/NCBI View Article : Google Scholar

7 

Katagiri D, Wang F, Gore JC, Harris RC and Takahashi T: Clinical and experimental approaches for imaging of acute kidney injury. Clin Exp Nephrol. 25:685–699. 2021.PubMed/NCBI View Article : Google Scholar

8 

Tao Q, Zhang Q, An Z, Chen Z and Feng Y: Multi-Parametric MRI for evaluating variations in renal structure, function, and endogenous metabolites in an animal model with acute kidney injury induced by ischemia reperfusion. J Magn Reson Imaging: Oct 26, 2023 (Epub ahead of print).

9 

Bonventre JV and Yang L: Cellular pathophysiology of ischemic acute kidney injury. J Clin Invest. 121:4210–4221. 2011.PubMed/NCBI View Article : Google Scholar

10 

Wu MY, Yiang GT, Liao WT, Tsai AP, Cheng YL, Cheng PW, Li CY and Li CJ: Current mechanistic concepts in ischemia and reperfusion injury. Cell Physiol Biochem. 46:1650–1667. 2018.PubMed/NCBI View Article : Google Scholar

11 

Nath KA and Norby SM: Reactive oxygen species and acute renal failure. Am J Med. 109:665–678. 2000.PubMed/NCBI View Article : Google Scholar

12 

Zhu H, Tan Y, Du W, Li Y, Toan S, Mui D, Tian F and Zhou H: Phosphoglycerate mutase 5 exacerbates cardiac ischemia-reperfusion injury through disrupting mitochondrial quality control. Redox Biol. 38(101777)2021.PubMed/NCBI View Article : Google Scholar

13 

Malek M and Nematbakhsh M: Renal ischemia/reperfusion injury; from pathophysiology to treatment. J Renal Inj Prev. 4:20–27. 2015.PubMed/NCBI View Article : Google Scholar

14 

Lin Y, Xu L, Lin H, Cui W, Jiao Y, Wang B, Li H, Wang X and Wu J: Network pharmacology and experimental validation to investigate the mechanism of Nao-Ling-Su capsule in the treatment of ischemia/reperfusion-induced acute kidney injury. J Ethnopharmacol. 326(117958)2024.PubMed/NCBI View Article : Google Scholar

15 

Ruiz-Rodríguez MA, Vedani A, Flores-Mireles AL, Cháirez-Ramírez MH, Gallegos-Infante JA and González-Laredo RF: In Silico prediction of the toxic potential of lupeol. Chem Res Toxicol. 30:1562–1571. 2017.PubMed/NCBI View Article : Google Scholar

16 

Liu K, Zhang X, Xie L, Deng M, Chen H, Song J, Long J, Li X and Luo J: Lupeol and its derivatives as anticancer and anti-inflammatory agents: Molecular mechanisms and therapeutic efficacy. Pharmacol Res. 164(105373)2021.PubMed/NCBI View Article : Google Scholar

17 

Sohag AAM, Hossain MT, Rahaman MA, Rahman P, Hasan MS, Das RC, Khan MK, Sikder MH, Alam M, Uddin MJ, et al: Molecular pharmacology and therapeutic advances of the pentacyclic triterpene lupeol. Phytomedicine. 99(154012)2022.PubMed/NCBI View Article : Google Scholar

18 

Park JS, Rehman IU, Choe K, Ahmad R, Lee HJ and Kim MO: A triterpenoid lupeol as an antioxidant and anti-neuroinflammatory agent: Impacts on oxidative stress in Alzheimer's disease. Nutrients. 15(3059)2023.PubMed/NCBI View Article : Google Scholar

19 

Schloss J, Ryan K, Reid R and Steel A: A randomised, double-blind, placebo-controlled clinical trial assessing the efficacy of bedtime buddy® for the treatment of nocturnal enuresis in children. BMC Pediatr. 19(421)2019.PubMed/NCBI View Article : Google Scholar

20 

Sudhahar V, Ashok Kumar S, Varalakshmi P and Sujatha V: Protective effect of lupeol and lupeol linoleate in hypercholesterolemia associated renal damage. Mol Cell Biochem. 317:11–20. 2008.PubMed/NCBI View Article : Google Scholar

21 

Nitta M, Azuma K, Hata K, Takahashi S, Ogiwara K, Tsuka T, Imagawa T, Yokoe I, Osaki T, Minami S and Okamoto Y: Systemic and local injections of lupeol inhibit tumor growth in a melanoma-bearing mouse model. Biomed Rep. 1:641–645. 2013.PubMed/NCBI View Article : Google Scholar

22 

Sunitha S, Nagaraj M and Varalakshmi P: Hepatoprotective effect of lupeol and lupeol linoleate on tissue antioxidant defence system in cadmium-induced hepatotoxicity in rats. Fitoterapia. 72:516–523. 2001.PubMed/NCBI View Article : Google Scholar

23 

Murtaza I, Saleem M, Adhami VM, Hafeez BB and Mukhtar H: Suppression of cFLIP by lupeol, a dietary triterpene, is sufficient to overcome resistance to TRAIL-mediated apoptosis in chemoresistant human pancreatic cancer cells. Cancer Res. 69:1156–1165. 2009.PubMed/NCBI View Article : Google Scholar

24 

Saleem M, Afaq F, Adhami VM and Mukhtar H: Lupeol modulates NF-kappaB and PI3K/Akt pathways and inhibits skin cancer in CD-1 mice. Oncogene. 23:5203–5214. 2004.PubMed/NCBI View Article : Google Scholar

25 

Siddique HR and Saleem M: Beneficial health effects of lupeol triterpene: A review of preclinical studies. Life Sci. 88:285–293. 2011.PubMed/NCBI View Article : Google Scholar

26 

Ahmad SF, Pandey A, Kour K and Bani S: Downregulation of pro-inflammatory cytokines by lupeol measured using cytometric bead array immunoassay. Phytother Res. 24:9–13. 2010.PubMed/NCBI View Article : Google Scholar

27 

Al-Mousawi AM, Kulp GA, Branski LK, Kraft R, Mecott GA, Williams FN, Herndon DN and Jeschke MG: Impact of anesthesia, analgesia, and euthanasia technique on the inflammatory cytokine profile in a rodent model of severe burn injury. Shock. 34:261–268. 2010.PubMed/NCBI View Article : Google Scholar

28 

Rampil IJ and Laster MJ: No correlation between quantitative electroencephalographic measurements and movement response to noxious stimuli during isoflurane anesthesia in rats. Anesthesiology. 77:920–925. 1992.PubMed/NCBI View Article : Google Scholar

29 

Kumari A and Kakkar P: Lupeol protects against acetaminophen-induced oxidative stress and cell death in rat primary hepatocytes. Food Chem Toxicol. 50:1781–1789. 2012.PubMed/NCBI View Article : Google Scholar

30 

Liu H, Wang L, Weng X, Chen H, Du Y, Diao C, Chen Z and Liu X: Inhibition of Brd4 alleviates renal ischemia/reperfusion injury-induced apoptosis and endoplasmic reticulum stress by blocking FoxO4-mediated oxidative stress. Redox Biol. 24(101195)2019.PubMed/NCBI View Article : Google Scholar

31 

Zheng Y, Zhang N and Bai F: Gastrodin pretreatment alleviates renal ischemia-reperfusion injury. Urol Int. 106:630–637. 2022.PubMed/NCBI View Article : Google Scholar

32 

Feng W, Remedies CE, Obi IE, Aldous SR, Meera SI, Sanders PW, Inscho EW and Guan Z: Restoration of afferent arteriolar autoregulatory behavior in ischemia-reperfusion injury in rat kidneys. Am J Physiol Renal Physiol. 320:F429–F441. 2021.PubMed/NCBI View Article : Google Scholar

33 

Williams P, Lopez H, Britt D, Chan C, Ezrin A and Hottendorf R: Characterization of renal ischemia-reperfusion injury in rats. J Pharmacol Toxicol Methods. 37:1–7. 1997.PubMed/NCBI View Article : Google Scholar

34 

Chatterjee PK: Novel pharmacological approaches to the treatment of renal ischemia-reperfusion injury: A comprehensive review. Naunyn Schmiedebergs Arch Pharmacol. 376:1–43. 2007.PubMed/NCBI View Article : Google Scholar

35 

Eryilmaz S, Turkyilmaz Z, Karabulut R, Gulburun MA, Poyraz A, Gulbahar O, Arslan B and Sonmez K: The effects of hydrogen-rich saline solution on intestinal anastomosis performed after intestinal ischemia reperfusion injury. J Pediatr Surg. 55:1574–1578. 2020.PubMed/NCBI View Article : Google Scholar

36 

Shan Y, Chen D, Hu B, Xu G, Li W, Jin Y, Jin X, Jin X and Jin L: Allicin ameliorates renal ischemia/reperfusion injury via inhibition of oxidative stress and inflammation in rats. Biomed Pharmacother. 142(112077)2021.PubMed/NCBI View Article : Google Scholar

37 

Zhang Y, Liu M, Zhang Y, Tian M, Chen P, Lan Y and Zhou B: Urolithin A alleviates acute kidney injury induced by renal ischemia reperfusion through the p62-Keap1-Nrf2 signaling pathway. Phytother Res. 36:984–995. 2022.PubMed/NCBI View Article : Google Scholar

38 

Wang Q, Ju F, Li J, Liu T, Zuo Y, Abbott GW and Hu Z: Empagliflozin protects against renal ischemia/reperfusion injury in mice. Sci Rep. 12(19323)2022.PubMed/NCBI View Article : Google Scholar

39 

Tang S, Xie X, Wang M, Yang L and Wei W: Protective effects of asiaticoside on renal ischemia reperfusion injury in vivo and in vitro. Bioengineered. 13:10235–10243. 2022.PubMed/NCBI View Article : Google Scholar

40 

Nezamoleslami S, Sheibani M, Jahanshahi F, Mumtaz F, Abbasi A and Dehpour AR: Protective effect of dapsone against renal ischemia-reperfusion injury in rat. Immunopharmacol Immunotoxicol. 42:272–279. 2020.PubMed/NCBI View Article : Google Scholar

41 

Beserra FP, Vieira AJ, Gushiken LFS, de Souza EO, Hussni MF, Hussni CA, Nóbrega RH, Martinez ERM, Jackson CJ, de Azevedo Maia GL, et al: Lupeol, a dietary triterpene, enhances wound healing in streptozotocin-induced hyperglycemic rats with modulatory effects on inflammation, oxidative stress, and angiogenesis. Oxid Med Cell Longev. 2019(3182627)2019.PubMed/NCBI View Article : Google Scholar

42 

Preetha SP, Kanniappan M, Selvakumar E, Nagaraj M and Varalakshmi P: Lupeol ameliorates aflatoxin B1-induced peroxidative hepatic damage in rats. Comp Biochem Physiol C Toxicol Pharmacol. 143:333–339. 2006.PubMed/NCBI View Article : Google Scholar

43 

Zhang Z, Xu C, Hao J, Zhang M, Wang Z, Yin T, Lin K, Liu W, Jiang Q, Li Z, et al: Beneficial consequences of Lupeol on middle cerebral artery-induced cerebral ischemia in the rat involves Nrf2 and P38 MAPK modulation. Metab Brain Dis. 35:841–848. 2020.PubMed/NCBI View Article : Google Scholar

44 

Asha R, Gayathri Devi V and Abraham A: Lupeol, a pentacyclic triterpenoid isolated from Vernonia cinerea attenuate selenite induced cataract formation in Sprague Dawley rat pups. Chem Biol Interact. 245:20–29. 2016.PubMed/NCBI View Article : Google Scholar

45 

Li J, Ma X, Yang J, Wang L, Huang Y and Zhu Y: Lupeol alleviates myocardial ischemia-reperfusion injury in rats by regulating NF-[Formula: See text]B and Nrf2 pathways. Am J Chin Med. 50:1269–1280. 2022.PubMed/NCBI View Article : Google Scholar

46 

Srivastava AK, Mishra S, Ali W and Shukla Y: Protective effects of lupeol against mancozeb-induced genotoxicity in cultured human lymphocytes. Phytomedicine. 23:714–724. 2016.PubMed/NCBI View Article : Google Scholar

47 

Kim MJ, Bae GS, Choi SB, Jo IJ, Kim DG, Shin JY, Lee SK, Kim MJ, Song HJ and Park SJ: Lupeol protects against cerulein-induced acute pancreatitis in mice. Phytother Res. 29:1634–1639. 2015.PubMed/NCBI View Article : Google Scholar

48 

Ni J, Jiang L, Shen G, Xia Z, Zhang L, Xu J, Feng Q, Qu H, Xu F and Li X: Hydrogen sulfide reduces pyroptosis and alleviates ischemia-reperfusion-induced acute kidney injury by inhibiting NLRP3 inflammasome. Life Sci. 284(119466)2021.PubMed/NCBI View Article : Google Scholar

49 

Zhang B, Wan S, Liu H, Qiu Q, Chen H, Chen Z, Wang L and Liu X: Naringenin alleviates renal ischemia reperfusion injury by suppressing ER stress-induced pyroptosis and apoptosis through activating Nrf2/HO-1 signaling pathway. Oxid Med Cell Longev. 2022(5992436)2022.PubMed/NCBI View Article : Google Scholar

50 

Wang Z, Han Y, Tian S, Bao J, Wang Y and Jiao J: Lupeol alleviates cerebral ischemia-reperfusion injury in correlation with modulation of PI3K/Akt pathway. Neuropsychiatr Dis Treat. 16:1381–1390. 2020.PubMed/NCBI View Article : Google Scholar

51 

Karimi G, Ramezani M and Tahoonian Z: Cisplatin nephrotoxicity and protection by milk thistle extract in rats. Evid Based Complement Alternat Med. 2:383–386. 2005.PubMed/NCBI View Article : Google Scholar

52 

Yokoe I, Azuma K, Hata K, Mukaiyama T, Goto T, Tsuka T, Imagawa T, Itoh N, Murahata Y, Osaki T, et al: Clinical systemic lupeol administration for canine oral malignant melanoma. Mol Clin Oncol. 3:89–92. 2015.PubMed/NCBI View Article : Google Scholar

53 

Jesus JA, da Silva TNF, Sousa IMO, Ferreira AF, Laurenti MD, da Costa PC, de Carvalho Ferreira D and Passero LFD: Nanostructured lipid carriers as robust systems for lupeol delivery in the treatment of experimental visceral leishmaniasis. Pharmaceuticals (Basel). 16(1646)2023.PubMed/NCBI View Article : Google Scholar

54 

Cháirez-Ramírez MH, Gallegos-Infante JA, Moreno-Jiménez MR, González-Laredo RF and Rocha-Guzmán NE: Absorption and distribution of lupeol in CD-1 mice evaluated by UPLC-APCI+ -MS/MS. Biomed Chromatogr. 33(e4432)2019.PubMed/NCBI View Article : Google Scholar

55 

Yang X, Feng Y, Liu Y, Ye X, Ji X, Sun L, Gao F, Zhang Q, Li Y, Zhu B and Wang X: Fuzheng Jiedu Xiaoji formulation inhibits hepatocellular carcinoma progression in patients by targeting the AKT/CyclinD1/p21/p27 pathway. Phytomedicine. 87(153575)2021.PubMed/NCBI View Article : Google Scholar

Related Articles

  • Abstract
  • View
  • Download
  • Twitter
Copy and paste a formatted citation
Spandidos Publications style
Kapisiz A, Kaya C, Eryilmaz S, Karabulut R, Turkyilmaz Z, Inan MA, Gulbahar O and Sonmez K: Protective effects of lupeol in rats with renal ischemia‑reperfusion injury. Exp Ther Med 28: 313, 2024.
APA
Kapisiz, A., Kaya, C., Eryilmaz, S., Karabulut, R., Turkyilmaz, Z., Inan, M.A. ... Sonmez, K. (2024). Protective effects of lupeol in rats with renal ischemia‑reperfusion injury. Experimental and Therapeutic Medicine, 28, 313. https://doi.org/10.3892/etm.2024.12602
MLA
Kapisiz, A., Kaya, C., Eryilmaz, S., Karabulut, R., Turkyilmaz, Z., Inan, M. A., Gulbahar, O., Sonmez, K."Protective effects of lupeol in rats with renal ischemia‑reperfusion injury". Experimental and Therapeutic Medicine 28.2 (2024): 313.
Chicago
Kapisiz, A., Kaya, C., Eryilmaz, S., Karabulut, R., Turkyilmaz, Z., Inan, M. A., Gulbahar, O., Sonmez, K."Protective effects of lupeol in rats with renal ischemia‑reperfusion injury". Experimental and Therapeutic Medicine 28, no. 2 (2024): 313. https://doi.org/10.3892/etm.2024.12602
Copy and paste a formatted citation
x
Spandidos Publications style
Kapisiz A, Kaya C, Eryilmaz S, Karabulut R, Turkyilmaz Z, Inan MA, Gulbahar O and Sonmez K: Protective effects of lupeol in rats with renal ischemia‑reperfusion injury. Exp Ther Med 28: 313, 2024.
APA
Kapisiz, A., Kaya, C., Eryilmaz, S., Karabulut, R., Turkyilmaz, Z., Inan, M.A. ... Sonmez, K. (2024). Protective effects of lupeol in rats with renal ischemia‑reperfusion injury. Experimental and Therapeutic Medicine, 28, 313. https://doi.org/10.3892/etm.2024.12602
MLA
Kapisiz, A., Kaya, C., Eryilmaz, S., Karabulut, R., Turkyilmaz, Z., Inan, M. A., Gulbahar, O., Sonmez, K."Protective effects of lupeol in rats with renal ischemia‑reperfusion injury". Experimental and Therapeutic Medicine 28.2 (2024): 313.
Chicago
Kapisiz, A., Kaya, C., Eryilmaz, S., Karabulut, R., Turkyilmaz, Z., Inan, M. A., Gulbahar, O., Sonmez, K."Protective effects of lupeol in rats with renal ischemia‑reperfusion injury". Experimental and Therapeutic Medicine 28, no. 2 (2024): 313. https://doi.org/10.3892/etm.2024.12602
Follow us
  • Twitter
  • LinkedIn
  • Facebook
About
  • Spandidos Publications
  • Careers
  • Cookie Policy
  • Privacy Policy
How can we help?
  • Help
  • Live Chat
  • Contact
  • Email to our Support Team