Spandidos Publications Logo
  • About
    • About Spandidos
    • Aims and Scopes
    • Abstracting and Indexing
    • Editorial Policies
    • Reprints and Permissions
    • Job Opportunities
    • Terms and Conditions
    • Contact
  • Journals
    • All Journals
    • Oncology Letters
      • Oncology Letters
      • Information for Authors
      • Editorial Policies
      • Editorial Board
      • Aims and Scope
      • Abstracting and Indexing
      • Bibliographic Information
      • Archive
    • International Journal of Oncology
      • International Journal of Oncology
      • Information for Authors
      • Editorial Policies
      • Editorial Board
      • Aims and Scope
      • Abstracting and Indexing
      • Bibliographic Information
      • Archive
    • Molecular and Clinical Oncology
      • Molecular and Clinical Oncology
      • Information for Authors
      • Editorial Policies
      • Editorial Board
      • Aims and Scope
      • Abstracting and Indexing
      • Bibliographic Information
      • Archive
    • Experimental and Therapeutic Medicine
      • Experimental and Therapeutic Medicine
      • Information for Authors
      • Editorial Policies
      • Editorial Board
      • Aims and Scope
      • Abstracting and Indexing
      • Bibliographic Information
      • Archive
    • International Journal of Molecular Medicine
      • International Journal of Molecular Medicine
      • Information for Authors
      • Editorial Policies
      • Editorial Board
      • Aims and Scope
      • Abstracting and Indexing
      • Bibliographic Information
      • Archive
    • Biomedical Reports
      • Biomedical Reports
      • Information for Authors
      • Editorial Policies
      • Editorial Board
      • Aims and Scope
      • Abstracting and Indexing
      • Bibliographic Information
      • Archive
    • Oncology Reports
      • Oncology Reports
      • Information for Authors
      • Editorial Policies
      • Editorial Board
      • Aims and Scope
      • Abstracting and Indexing
      • Bibliographic Information
      • Archive
    • Molecular Medicine Reports
      • Molecular Medicine Reports
      • Information for Authors
      • Editorial Policies
      • Editorial Board
      • Aims and Scope
      • Abstracting and Indexing
      • Bibliographic Information
      • Archive
    • World Academy of Sciences Journal
      • World Academy of Sciences Journal
      • Information for Authors
      • Editorial Policies
      • Editorial Board
      • Aims and Scope
      • Abstracting and Indexing
      • Bibliographic Information
      • Archive
    • International Journal of Functional Nutrition
      • International Journal of Functional Nutrition
      • Information for Authors
      • Editorial Policies
      • Editorial Board
      • Aims and Scope
      • Abstracting and Indexing
      • Bibliographic Information
      • Archive
    • International Journal of Epigenetics
      • International Journal of Epigenetics
      • Information for Authors
      • Editorial Policies
      • Editorial Board
      • Aims and Scope
      • Abstracting and Indexing
      • Bibliographic Information
      • Archive
    • Medicine International
      • Medicine International
      • Information for Authors
      • Editorial Policies
      • Editorial Board
      • Aims and Scope
      • Abstracting and Indexing
      • Bibliographic Information
      • Archive
  • Articles
  • Information
    • Information for Authors
    • Information for Reviewers
    • Information for Librarians
    • Information for Advertisers
    • Conferences
  • Language Editing
Spandidos Publications Logo
  • About
    • About Spandidos
    • Aims and Scopes
    • Abstracting and Indexing
    • Editorial Policies
    • Reprints and Permissions
    • Job Opportunities
    • Terms and Conditions
    • Contact
  • Journals
    • All Journals
    • Biomedical Reports
      • Information for Authors
      • Editorial Policies
      • Editorial Board
      • Aims and Scope
      • Abstracting and Indexing
      • Bibliographic Information
      • Archive
    • Experimental and Therapeutic Medicine
      • Information for Authors
      • Editorial Policies
      • Editorial Board
      • Aims and Scope
      • Abstracting and Indexing
      • Bibliographic Information
      • Archive
    • International Journal of Epigenetics
      • Information for Authors
      • Editorial Policies
      • Editorial Board
      • Aims and Scope
      • Abstracting and Indexing
      • Bibliographic Information
      • Archive
    • International Journal of Functional Nutrition
      • Information for Authors
      • Editorial Policies
      • Editorial Board
      • Aims and Scope
      • Abstracting and Indexing
      • Bibliographic Information
      • Archive
    • International Journal of Molecular Medicine
      • Information for Authors
      • Editorial Policies
      • Editorial Board
      • Aims and Scope
      • Abstracting and Indexing
      • Bibliographic Information
      • Archive
    • International Journal of Oncology
      • Information for Authors
      • Editorial Policies
      • Editorial Board
      • Aims and Scope
      • Abstracting and Indexing
      • Bibliographic Information
      • Archive
    • Medicine International
      • Information for Authors
      • Editorial Policies
      • Editorial Board
      • Aims and Scope
      • Abstracting and Indexing
      • Bibliographic Information
      • Archive
    • Molecular and Clinical Oncology
      • Information for Authors
      • Editorial Policies
      • Editorial Board
      • Aims and Scope
      • Abstracting and Indexing
      • Bibliographic Information
      • Archive
    • Molecular Medicine Reports
      • Information for Authors
      • Editorial Policies
      • Editorial Board
      • Aims and Scope
      • Abstracting and Indexing
      • Bibliographic Information
      • Archive
    • Oncology Letters
      • Information for Authors
      • Editorial Policies
      • Editorial Board
      • Aims and Scope
      • Abstracting and Indexing
      • Bibliographic Information
      • Archive
    • Oncology Reports
      • Information for Authors
      • Editorial Policies
      • Editorial Board
      • Aims and Scope
      • Abstracting and Indexing
      • Bibliographic Information
      • Archive
    • World Academy of Sciences Journal
      • Information for Authors
      • Editorial Policies
      • Editorial Board
      • Aims and Scope
      • Abstracting and Indexing
      • Bibliographic Information
      • Archive
  • Articles
  • Information
    • For Authors
    • For Reviewers
    • For Librarians
    • For Advertisers
    • Conferences
  • Language Editing
Login Register Submit
  • This site uses cookies
  • You can change your cookie settings at any time by following the instructions in our Cookie Policy. To find out more, you may read our Privacy Policy.

    I agree
Search articles by DOI, keyword, author or affiliation
Search
Advanced Search
presentation
Experimental and Therapeutic Medicine
Join Editorial Board Propose a Special Issue
Print ISSN: 1792-0981 Online ISSN: 1792-1015
Journal Cover
August-2024 Volume 28 Issue 2

Full Size Image

Sign up for eToc alerts
Recommend to Library

Journals

International Journal of Molecular Medicine

International Journal of Molecular Medicine

International Journal of Molecular Medicine is an international journal devoted to molecular mechanisms of human disease.

International Journal of Oncology

International Journal of Oncology

International Journal of Oncology is an international journal devoted to oncology research and cancer treatment.

Molecular Medicine Reports

Molecular Medicine Reports

Covers molecular medicine topics such as pharmacology, pathology, genetics, neuroscience, infectious diseases, molecular cardiology, and molecular surgery.

Oncology Reports

Oncology Reports

Oncology Reports is an international journal devoted to fundamental and applied research in Oncology.

Experimental and Therapeutic Medicine

Experimental and Therapeutic Medicine

Experimental and Therapeutic Medicine is an international journal devoted to laboratory and clinical medicine.

Oncology Letters

Oncology Letters

Oncology Letters is an international journal devoted to Experimental and Clinical Oncology.

Biomedical Reports

Biomedical Reports

Explores a wide range of biological and medical fields, including pharmacology, genetics, microbiology, neuroscience, and molecular cardiology.

Molecular and Clinical Oncology

Molecular and Clinical Oncology

International journal addressing all aspects of oncology research, from tumorigenesis and oncogenes to chemotherapy and metastasis.

World Academy of Sciences Journal

World Academy of Sciences Journal

Multidisciplinary open-access journal spanning biochemistry, genetics, neuroscience, environmental health, and synthetic biology.

International Journal of Functional Nutrition

International Journal of Functional Nutrition

Open-access journal combining biochemistry, pharmacology, immunology, and genetics to advance health through functional nutrition.

International Journal of Epigenetics

International Journal of Epigenetics

Publishes open-access research on using epigenetics to advance understanding and treatment of human disease.

Medicine International

Medicine International

An International Open Access Journal Devoted to General Medicine.

Journal Cover
August-2024 Volume 28 Issue 2

Full Size Image

Sign up for eToc alerts
Recommend to Library

  • Article
  • Citations
    • Cite This Article
    • Download Citation
    • Create Citation Alert
    • Remove Citation Alert
    • Cited By
  • Similar Articles
    • Related Articles (in Spandidos Publications)
    • Similar Articles (Google Scholar)
    • Similar Articles (PubMed)
  • Download PDF
  • Download XML
  • View XML
Case Report Open Access

Acute disseminated encephalomyelitis in a young patient: A case report

  • Authors:
    • Ramona Andreea Codreanu-Balaban
    • Alina Zorina Stuparu
    • Daniela Musat
    • Radu-Andrei Baz
    • Radu Baz
    • Silviu Docu-Axelerad
    • Diana-Marina Vranau
    • Cristina Ramona Tase
    • Anca Elena Gogu
    • Dragos Catalin Jianu
    • Corina Elena Frecus
    • Lavinia-Florenta Muja
  • View Affiliations / Copyright

    Affiliations: Department of Neurology, ‘Sf. Ap. Andrei’ Emergency County Clinical Hospital, 900591 Constanta, Romania, Department of Radiology and Imaging Laboratory, ‘Sf. Ap. Andrei’ Emergency County Clinical Hospital, 900591 Constanta, Romania, Faculty of General Medicine, ‘Titu Maiorescu’ University, 040441 Bucuresti, Romania, Department of Neurology, ‘Victor Babeș’ University of Medicine and Pharmacy, Timișoara 300041, Romania, Department of Pediatrics, ‘Sf. Ap. Andrei’ Emergency County Clinical Hospital, 900591 Constanta, Romania
    Copyright: © Codreanu-Balaban et al. This is an open access article distributed under the terms of Creative Commons Attribution License.
  • Article Number: 323
    |
    Published online on: June 17, 2024
       https://doi.org/10.3892/etm.2024.12612
  • Expand metrics +
Metrics: Total Views: 0 (Spandidos Publications: | PMC Statistics: )
Metrics: Total PDF Downloads: 0 (Spandidos Publications: | PMC Statistics: )
Cited By (CrossRef): 0 citations Loading Articles...

This article is mentioned in:



Abstract

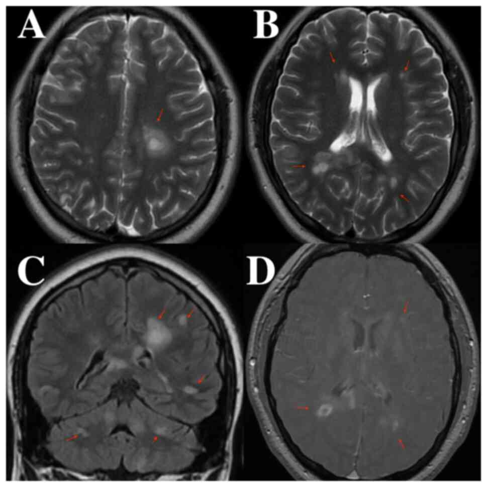
The diagnosis of acute disseminated encephalomyelitis (ADEM) is challenging due to the existence of other medical conditions that mimic its symptoms and the lack of precise biomarkers. Timely diagnosis is essential for commencing an appropriate treatment, which enhances the clinical trajectory and long‑term prognosis. The purpose of the present study was to emphasize significant concerns, specifically for neurologists and radiologists, due to the difficulties involved in identifying this disorder. Neurologists must have an extensive understanding of the clinical manifestations and constraints of current diagnostic tests. Furthermore, this understanding is equally essential for radiologists, as it serves as the foundation for precise diagnostic interpretations derived from imaging findings. The intricate nature of neurological disorders frequently necessitates a cooperative effort between neurologists and radiologists to guarantee precise diagnosis and efficient therapy strategizing. The present study discusses a case of a male patient who was diagnosed with ADEM based on clinical, biological and imaging evaluations.
View Figures

Figure 1

Figure 2

Figure 3

View References

1 

Carlisi E, Pavese C, Mandrini S, Carenzio G and Dalla Toffola E: Early rehabilitative treatment for pediatric acute disseminated encephalomyelitis: Case report. Eur J Phys Rehabil Med. 51:341–343. 2015.PubMed/NCBI

2 

Paolilo RB, Deiva K, Neuteboom R, Rostásy K and Lim M: Acute disseminated encephalomyelitis: Current perspectives. Children (Basel). 7(210)2020.PubMed/NCBI View Article : Google Scholar

3 

Eckstein C, Saidha S and Levy M: A differential diagnosis of central nervous system demyelination: Beyond multiple sclerosis. J Neurol. 259:801–816. 2012.PubMed/NCBI View Article : Google Scholar

4 

Wildner P, Stasiołek M and Matysiak M: Differential diagnosis of multiple sclerosis and other inflammatory CNS diseases. Mult Scler Relat Disord. 37(101452)2020.PubMed/NCBI View Article : Google Scholar

5 

Tüzün E and Dalmau J: Limbic encephalitis and variants: Classification, diagnosis and treatment. Neurologist. 13:261–271. 2007.PubMed/NCBI View Article : Google Scholar

6 

Mihai CM, Chisnoiu T, Cambrea CS, Frecus CE, Mihai L, Balasa AL, Stroe AZ, Gogu AE and Docu Axelerad A: Neurological manifestations found in children with multisystem inflammatory syndrome. Exp Ther Med. 23(261)2022.PubMed/NCBI View Article : Google Scholar

7 

Sirbu CA, Dantes E, Plesa CF, Docu Axelerad A and Ghinescu MC: Active pulmonary tuberculosis triggered by interferon beta-1b therapy of multiple sclerosis: Four case reports and a literature review. Medicina (Kaunas). 56(202)2020.PubMed/NCBI View Article : Google Scholar

8 

Pirko I and Noseworthy JH: Chapter 48 - Demyelinating Disorders of the Central Nervous System. In: Textbook of Clinical Neurology. 3rd edition. Elsevier, pp1103-1133, 2007.

9 

Tillema JM and Pirko I: Neuroradiological evaluation of demyelinating disease. Ther Adv Neurol Disord. 6:249–268. 2013.PubMed/NCBI View Article : Google Scholar

10 

Heath F, Hurley SA, Johansen-Berg H and Sampaio-Baptista C: Advances in noninvasive myelin imaging. Dev Neurobiol. 78:136–151. 2018.PubMed/NCBI View Article : Google Scholar

10 

Hancu A, Mihai MC and Axelerad AD: Wilson's disease: A challenging diagnosis. Clinical manifestations and diagnostic procedures in 12 patients. Rev Med Chir Soc Med Nat Iasi. 115:58–63. 2011.PubMed/NCBI

11 

Docu Axelerad A, Stroe AZ, Arghir OC, Docu Axelerad D and Gogu AE: Respiratory dysfunctions in Parkinson's disease patients. Brain Sci. 11(595)2021.PubMed/NCBI View Article : Google Scholar

12 

Gogu AE, Motoc AG, Stroe AZ, Docu Axelerad A, Docu Axelerad D, Petrica L and Jianu DC: Plasminogen activator inhibitor-1 (PAI-1) gene polymorphisms associated with cardiovascular risk factors involved in cerebral venous sinus thrombosis. Metabolites. 11(266)2021.PubMed/NCBI View Article : Google Scholar

13 

Budisteanu M, Andrei E, Linca F, Hulea DS, Velicu AC, Mihailescu I, Riga S, Arghir A, Papuc SM, Sirbu CA, et al: Predictive factors in early onset schizophrenia. Exp Ther Med. 20(210)2020.PubMed/NCBI View Article : Google Scholar

Related Articles

  • Abstract
  • View
  • Download
  • Twitter
Copy and paste a formatted citation
Spandidos Publications style
Codreanu-Balaban R, Stuparu A, Musat D, Baz R, Baz R, Docu-Axelerad S, Vranau D, Tase C, Gogu A, Jianu D, Jianu D, et al: Acute disseminated encephalomyelitis in a young patient: A case report. Exp Ther Med 28: 323, 2024.
APA
Codreanu-Balaban, R., Stuparu, A., Musat, D., Baz, R., Baz, R., Docu-Axelerad, S. ... Muja, L. (2024). Acute disseminated encephalomyelitis in a young patient: A case report. Experimental and Therapeutic Medicine, 28, 323. https://doi.org/10.3892/etm.2024.12612
MLA
Codreanu-Balaban, R., Stuparu, A., Musat, D., Baz, R., Baz, R., Docu-Axelerad, S., Vranau, D., Tase, C., Gogu, A., Jianu, D., Frecus, C., Muja, L."Acute disseminated encephalomyelitis in a young patient: A case report". Experimental and Therapeutic Medicine 28.2 (2024): 323.
Chicago
Codreanu-Balaban, R., Stuparu, A., Musat, D., Baz, R., Baz, R., Docu-Axelerad, S., Vranau, D., Tase, C., Gogu, A., Jianu, D., Frecus, C., Muja, L."Acute disseminated encephalomyelitis in a young patient: A case report". Experimental and Therapeutic Medicine 28, no. 2 (2024): 323. https://doi.org/10.3892/etm.2024.12612
Copy and paste a formatted citation
x
Spandidos Publications style
Codreanu-Balaban R, Stuparu A, Musat D, Baz R, Baz R, Docu-Axelerad S, Vranau D, Tase C, Gogu A, Jianu D, Jianu D, et al: Acute disseminated encephalomyelitis in a young patient: A case report. Exp Ther Med 28: 323, 2024.
APA
Codreanu-Balaban, R., Stuparu, A., Musat, D., Baz, R., Baz, R., Docu-Axelerad, S. ... Muja, L. (2024). Acute disseminated encephalomyelitis in a young patient: A case report. Experimental and Therapeutic Medicine, 28, 323. https://doi.org/10.3892/etm.2024.12612
MLA
Codreanu-Balaban, R., Stuparu, A., Musat, D., Baz, R., Baz, R., Docu-Axelerad, S., Vranau, D., Tase, C., Gogu, A., Jianu, D., Frecus, C., Muja, L."Acute disseminated encephalomyelitis in a young patient: A case report". Experimental and Therapeutic Medicine 28.2 (2024): 323.
Chicago
Codreanu-Balaban, R., Stuparu, A., Musat, D., Baz, R., Baz, R., Docu-Axelerad, S., Vranau, D., Tase, C., Gogu, A., Jianu, D., Frecus, C., Muja, L."Acute disseminated encephalomyelitis in a young patient: A case report". Experimental and Therapeutic Medicine 28, no. 2 (2024): 323. https://doi.org/10.3892/etm.2024.12612
Follow us
  • Twitter
  • LinkedIn
  • Facebook
About
  • Spandidos Publications
  • Careers
  • Cookie Policy
  • Privacy Policy
How can we help?
  • Help
  • Live Chat
  • Contact
  • Email to our Support Team