Spandidos Publications Logo
  • About
    • About Spandidos
    • Aims and Scopes
    • Abstracting and Indexing
    • Editorial Policies
    • Reprints and Permissions
    • Job Opportunities
    • Terms and Conditions
    • Contact
  • Journals
    • All Journals
    • Oncology Letters
      • Oncology Letters
      • Information for Authors
      • Editorial Policies
      • Editorial Board
      • Aims and Scope
      • Abstracting and Indexing
      • Bibliographic Information
      • Archive
    • International Journal of Oncology
      • International Journal of Oncology
      • Information for Authors
      • Editorial Policies
      • Editorial Board
      • Aims and Scope
      • Abstracting and Indexing
      • Bibliographic Information
      • Archive
    • Molecular and Clinical Oncology
      • Molecular and Clinical Oncology
      • Information for Authors
      • Editorial Policies
      • Editorial Board
      • Aims and Scope
      • Abstracting and Indexing
      • Bibliographic Information
      • Archive
    • Experimental and Therapeutic Medicine
      • Experimental and Therapeutic Medicine
      • Information for Authors
      • Editorial Policies
      • Editorial Board
      • Aims and Scope
      • Abstracting and Indexing
      • Bibliographic Information
      • Archive
    • International Journal of Molecular Medicine
      • International Journal of Molecular Medicine
      • Information for Authors
      • Editorial Policies
      • Editorial Board
      • Aims and Scope
      • Abstracting and Indexing
      • Bibliographic Information
      • Archive
    • Biomedical Reports
      • Biomedical Reports
      • Information for Authors
      • Editorial Policies
      • Editorial Board
      • Aims and Scope
      • Abstracting and Indexing
      • Bibliographic Information
      • Archive
    • Oncology Reports
      • Oncology Reports
      • Information for Authors
      • Editorial Policies
      • Editorial Board
      • Aims and Scope
      • Abstracting and Indexing
      • Bibliographic Information
      • Archive
    • Molecular Medicine Reports
      • Molecular Medicine Reports
      • Information for Authors
      • Editorial Policies
      • Editorial Board
      • Aims and Scope
      • Abstracting and Indexing
      • Bibliographic Information
      • Archive
    • World Academy of Sciences Journal
      • World Academy of Sciences Journal
      • Information for Authors
      • Editorial Policies
      • Editorial Board
      • Aims and Scope
      • Abstracting and Indexing
      • Bibliographic Information
      • Archive
    • International Journal of Functional Nutrition
      • International Journal of Functional Nutrition
      • Information for Authors
      • Editorial Policies
      • Editorial Board
      • Aims and Scope
      • Abstracting and Indexing
      • Bibliographic Information
      • Archive
    • International Journal of Epigenetics
      • International Journal of Epigenetics
      • Information for Authors
      • Editorial Policies
      • Editorial Board
      • Aims and Scope
      • Abstracting and Indexing
      • Bibliographic Information
      • Archive
    • Medicine International
      • Medicine International
      • Information for Authors
      • Editorial Policies
      • Editorial Board
      • Aims and Scope
      • Abstracting and Indexing
      • Bibliographic Information
      • Archive
  • Articles
  • Information
    • Information for Authors
    • Information for Reviewers
    • Information for Librarians
    • Information for Advertisers
    • Conferences
  • Language Editing
Spandidos Publications Logo
  • About
    • About Spandidos
    • Aims and Scopes
    • Abstracting and Indexing
    • Editorial Policies
    • Reprints and Permissions
    • Job Opportunities
    • Terms and Conditions
    • Contact
  • Journals
    • All Journals
    • Biomedical Reports
      • Information for Authors
      • Editorial Policies
      • Editorial Board
      • Aims and Scope
      • Abstracting and Indexing
      • Bibliographic Information
      • Archive
    • Experimental and Therapeutic Medicine
      • Information for Authors
      • Editorial Policies
      • Editorial Board
      • Aims and Scope
      • Abstracting and Indexing
      • Bibliographic Information
      • Archive
    • International Journal of Epigenetics
      • Information for Authors
      • Editorial Policies
      • Editorial Board
      • Aims and Scope
      • Abstracting and Indexing
      • Bibliographic Information
      • Archive
    • International Journal of Functional Nutrition
      • Information for Authors
      • Editorial Policies
      • Editorial Board
      • Aims and Scope
      • Abstracting and Indexing
      • Bibliographic Information
      • Archive
    • International Journal of Molecular Medicine
      • Information for Authors
      • Editorial Policies
      • Editorial Board
      • Aims and Scope
      • Abstracting and Indexing
      • Bibliographic Information
      • Archive
    • International Journal of Oncology
      • Information for Authors
      • Editorial Policies
      • Editorial Board
      • Aims and Scope
      • Abstracting and Indexing
      • Bibliographic Information
      • Archive
    • Medicine International
      • Information for Authors
      • Editorial Policies
      • Editorial Board
      • Aims and Scope
      • Abstracting and Indexing
      • Bibliographic Information
      • Archive
    • Molecular and Clinical Oncology
      • Information for Authors
      • Editorial Policies
      • Editorial Board
      • Aims and Scope
      • Abstracting and Indexing
      • Bibliographic Information
      • Archive
    • Molecular Medicine Reports
      • Information for Authors
      • Editorial Policies
      • Editorial Board
      • Aims and Scope
      • Abstracting and Indexing
      • Bibliographic Information
      • Archive
    • Oncology Letters
      • Information for Authors
      • Editorial Policies
      • Editorial Board
      • Aims and Scope
      • Abstracting and Indexing
      • Bibliographic Information
      • Archive
    • Oncology Reports
      • Information for Authors
      • Editorial Policies
      • Editorial Board
      • Aims and Scope
      • Abstracting and Indexing
      • Bibliographic Information
      • Archive
    • World Academy of Sciences Journal
      • Information for Authors
      • Editorial Policies
      • Editorial Board
      • Aims and Scope
      • Abstracting and Indexing
      • Bibliographic Information
      • Archive
  • Articles
  • Information
    • For Authors
    • For Reviewers
    • For Librarians
    • For Advertisers
    • Conferences
  • Language Editing
Login Register Submit
  • This site uses cookies
  • You can change your cookie settings at any time by following the instructions in our Cookie Policy. To find out more, you may read our Privacy Policy.

    I agree
Search articles by DOI, keyword, author or affiliation
Search
Advanced Search
presentation
Experimental and Therapeutic Medicine
Join Editorial Board Propose a Special Issue
Print ISSN: 1792-0981 Online ISSN: 1792-1015
Journal Cover
September-2024 Volume 28 Issue 3

Full Size Image

Sign up for eToc alerts
Recommend to Library

Journals

International Journal of Molecular Medicine

International Journal of Molecular Medicine

International Journal of Molecular Medicine is an international journal devoted to molecular mechanisms of human disease.

International Journal of Oncology

International Journal of Oncology

International Journal of Oncology is an international journal devoted to oncology research and cancer treatment.

Molecular Medicine Reports

Molecular Medicine Reports

Covers molecular medicine topics such as pharmacology, pathology, genetics, neuroscience, infectious diseases, molecular cardiology, and molecular surgery.

Oncology Reports

Oncology Reports

Oncology Reports is an international journal devoted to fundamental and applied research in Oncology.

Experimental and Therapeutic Medicine

Experimental and Therapeutic Medicine

Experimental and Therapeutic Medicine is an international journal devoted to laboratory and clinical medicine.

Oncology Letters

Oncology Letters

Oncology Letters is an international journal devoted to Experimental and Clinical Oncology.

Biomedical Reports

Biomedical Reports

Explores a wide range of biological and medical fields, including pharmacology, genetics, microbiology, neuroscience, and molecular cardiology.

Molecular and Clinical Oncology

Molecular and Clinical Oncology

International journal addressing all aspects of oncology research, from tumorigenesis and oncogenes to chemotherapy and metastasis.

World Academy of Sciences Journal

World Academy of Sciences Journal

Multidisciplinary open-access journal spanning biochemistry, genetics, neuroscience, environmental health, and synthetic biology.

International Journal of Functional Nutrition

International Journal of Functional Nutrition

Open-access journal combining biochemistry, pharmacology, immunology, and genetics to advance health through functional nutrition.

International Journal of Epigenetics

International Journal of Epigenetics

Publishes open-access research on using epigenetics to advance understanding and treatment of human disease.

Medicine International

Medicine International

An International Open Access Journal Devoted to General Medicine.

Journal Cover
September-2024 Volume 28 Issue 3

Full Size Image

Sign up for eToc alerts
Recommend to Library

  • Article
  • Citations
    • Cite This Article
    • Download Citation
    • Create Citation Alert
    • Remove Citation Alert
    • Cited By
  • Similar Articles
    • Related Articles (in Spandidos Publications)
    • Similar Articles (Google Scholar)
    • Similar Articles (PubMed)
  • Download PDF
  • Download XML
  • View XML

  • Supplementary Files
    • Supplementary_Data.pdf
Article Open Access

Diagnosis of light‑chain deposition disease after renal transplantation: A case report and literature review

  • Authors:
    • Jing Yue
    • Fang Xu
    • Ya Zhang
    • Jingjing Wen
    • Qiaolin Zhou
  • View Affiliations / Copyright

    Affiliations: Department of Haematology, Mianyang Central Hospital, School of Medicine, University of Electronic Science and Technology of China, Mianyang, Sichuan 621000, P.R. China
    Copyright: © Yue et al. This is an open access article distributed under the terms of Creative Commons Attribution License.
  • Article Number: 339
    |
    Published online on: June 28, 2024
       https://doi.org/10.3892/etm.2024.12628
  • Expand metrics +
Metrics: Total Views: 0 (Spandidos Publications: | PMC Statistics: )
Metrics: Total PDF Downloads: 0 (Spandidos Publications: | PMC Statistics: )
Cited By (CrossRef): 0 citations Loading Articles...

This article is mentioned in:



Abstract

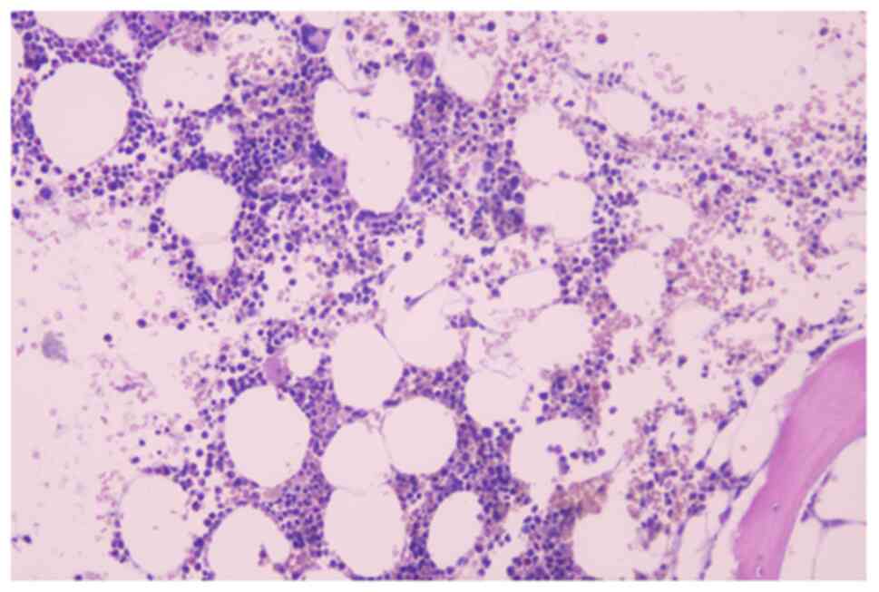
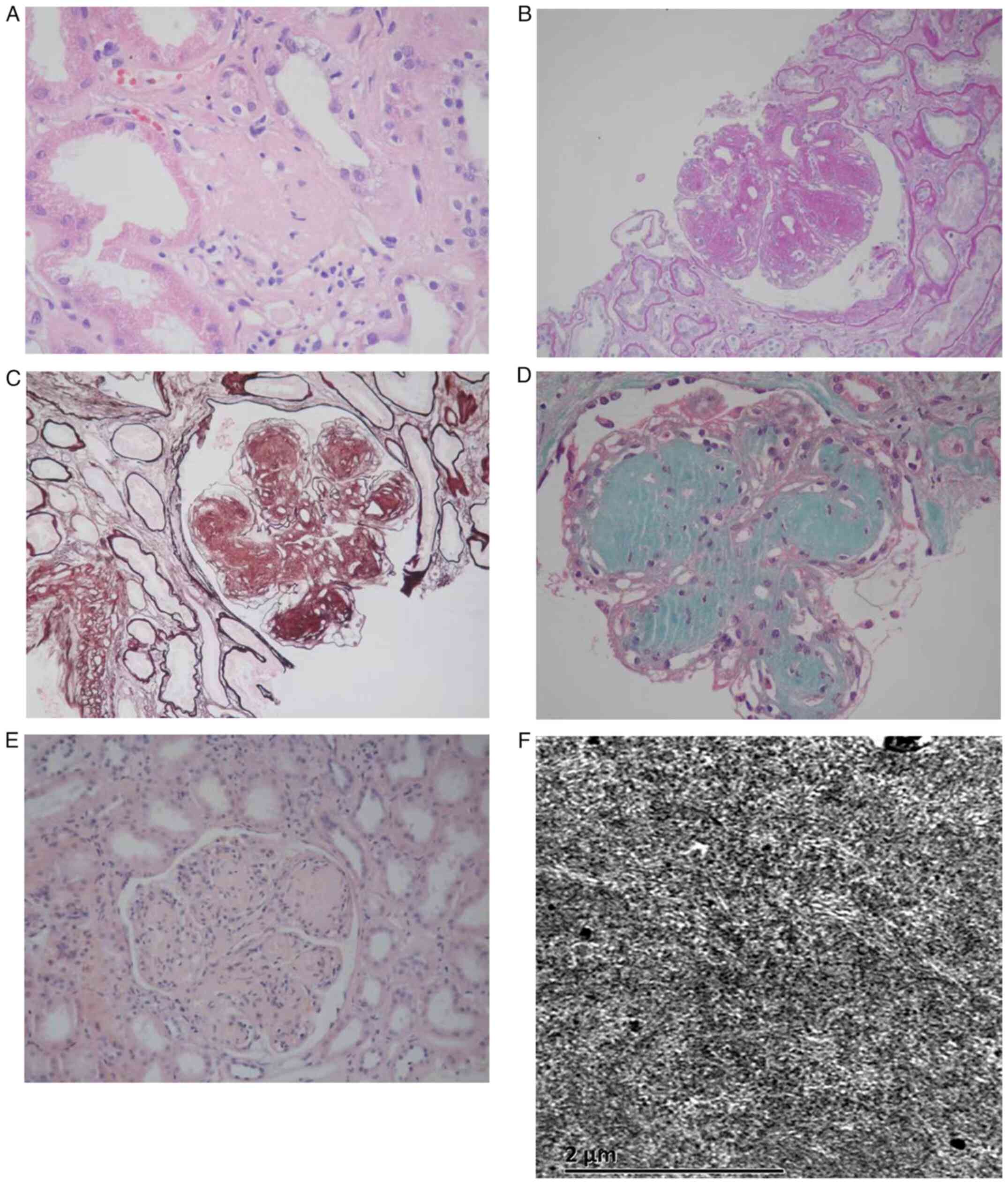
Light chain deposition disease (LCDD) is a rare, clonal plasma cell proliferative condition. The deposition of nonamyloid monoclonal immunoglobulin light chains predominantly affects the kidneys, which may lead to end‑stage renal disease, eventually requiring renal replacement therapy. The present study reported a rare case of LCDD that was confirmed after renal transplantation. A 49‑year‑old man initially presented with heavy proteinuria, hypoproteinemia, hyperlipidemia and renal insufficiency. The patient was diagnosed with nephrotic syndrome and pathological examination revealed fibrillary glomerulonephritis in 2014. Treatment was started with prednisolone. About 5 years later, the patient began to receive continuous hemodialysis due to worsening serum creatinine levels. Renal allograft transplantation was performed in 2020 and dialysis independence was achieved. Laboratory findings before renal transplantation revealed that serum and urine immunofixation electrophoresis was negative. Allograft kidney biopsy established the pathological diagnosis of LCDD at >1 year after renal transplantation for renal dysfunction. The treatment is challenging due to the lack of generally accepted standard treatment practices. Administration of bortezomib combined with dexamethasone was started. As anemia and renal failure developed progressively, the treatment was switched to anti‑CD38 antibody and continuous hemodialysis was restarted. The best response achieved was hematological partial response and relief of anemia. However, the patient's renal function did not improve and he remains to have end‑stage kidney disease. LCDD is easily missed in cases in which serum and urine immunofixation electrophoresis is negative. Hence, early recognition of LCCD based on kidney biopsy is important. To the best of our knowledge, the use of anti‑CD38 antibody therapy in patients with LCDD is rarely reported. Anti‑CD38 antibody is effective in treating LCDD, but it may not reverse the marked deterioration of renal function. 
View Figures

Figure 1

Figure 2

Figure 3

Figure 4

Figure 5

View References

1 

Bisht K, Fukao T, Chiron M, Richardson P, Atanackovic D, Chini E, Chng WJ, Van De Velde H and Malavasi F: Immunomodulatory properties of CD38 antibodies and their effect on anticancer efficacy in multiple myeloma. Cancer Med. 12:20332–20352. 2023.PubMed/NCBI View Article : Google Scholar

2 

Arrossi AV, Merzianu M, Farver C, Yuan C, Wang SH, Nakashima MO and Cotta CV: Nodular pulmonary light chain deposition disease: an entity associated with Sjögren syndrome or marginal zone lymphoma. J Clin Pathol. 69:490–496. 2016.PubMed/NCBI View Article : Google Scholar

3 

Steward M, Yu JH and Gibbons MA: Sjögren's syndrome as a cause of both lymphoid interstitial pneumonia and light chain deposition disease in a single patient. BMJ Case Rep. 15(e249747)2022.PubMed/NCBI View Article : Google Scholar

4 

Aoudia R, Bacha MM, Ounissi M, Gaied H, Jerbi M, Abderrahim E, Abdallah TB and Goucha R: Monoclonal gammopathy of renal significance with light-chain deposition disease in kidney transplantation. Saudi J Kidney Dis Transpl. 30:1161–1165. 2019.PubMed/NCBI View Article : Google Scholar

5 

Li W, Liang L, Liao Q, Li Y and Zhou Y: CD38: An important regulator of T cell function. Biomed Pharmacother. 153(113395)2022.PubMed/NCBI View Article : Google Scholar

6 

Ye X, Zhao Y, Ma W, Ares I, Martínez M, Lopez-Torres B, Martínez-Larrañaga MR, Wang X, Anadón A and Martínez MA: The potential of CD38 protein as a target for autoimmune diseases. Autoimmun Rev. 22(103289)2023.PubMed/NCBI View Article : Google Scholar

7 

Holzer MT, Ruffer N, Huber TB, Kötter I, Ostendorf L and Krusche M: Daratumumab for autoimmune diseases: A systematic review. RMD Open. 9(e003604)2023.PubMed/NCBI View Article : Google Scholar

8 

De Novellis D, Fontana R, Giudice V, Serio B and Selleri C: Innovative anti-CD38 and anti-BCMA targeted therapies in multiple myeloma: Mechanisms of action and resistance. Int J Mol Sci. 24(645)2022.PubMed/NCBI View Article : Google Scholar

9 

Kastritis E, Rousakis P, Kostopoulos IV, Gavriatopoulou M, Theodorakakou F, Fotiou D, Dialoupi I, Migkou M, Roussou M, Kanellias N, et al: Consolidation with a short course of daratumumab in patients with AL amyloidosis or light chain deposition disease. Amyloid. 28:259–266. 2021.PubMed/NCBI View Article : Google Scholar

10 

Milani P, Basset M, Curci P, Foli A, Rizzi R, Nuvolone M, Guido R, Gesualdo L, Specchia G, Merlini G, et al: Daratumumab in light chain deposition disease: Rapid and profound hematologic response preserves kidney function. Blood Adv. 4:1321–1324. 2020.PubMed/NCBI View Article : Google Scholar

11 

Leung N, Bridoux F, Batuman V, Chaidos A, Cockwell P, D'Agati VD, Dispenzieri A, Fervenza FC, Fermand JP, Gibbs S, et al: The evaluation of monoclonal gammopathy of renal significance: A consensus report of the International Kidney and Monoclonal Gammopathy Research Group. Nat Rev Nephrol. 15:45–59. 2019.PubMed/NCBI View Article : Google Scholar

12 

Kobayashi A, Takeda A, Shinjo H, Iguchi D, Ito C, Okada E, Goto N, Futamura K, Okada M, Hiramitsu T, et al: Light chain deposition disease recurrence in renal allograft after long-term remission. Nephron. 147 (Suppl 1):96–100. 2023.PubMed/NCBI View Article : Google Scholar

13 

Li J, Koerner J, Basler M, Brunner T, Kirk CJ and Groettrup M: Immunoproteasome inhibition induces plasma cell apoptosis and preserves kidney allografts by activating the unfolded protein response and suppressing plasma cell survival factors. Kidney Int. 95:611–623. 2019.PubMed/NCBI View Article : Google Scholar

14 

Masood A, Ehsan H, Iqbal Q, Salman A and Hashmi H: Treatment of light chain deposition disease: A systematic review. J Hematol. 11:123–130. 2022.PubMed/NCBI View Article : Google Scholar

15 

Shimamura Y, Ogawa Y, Takizawa H, Hayashi T and Sakurai Y: Light chain deposition disease diagnosed using computed tomography-guided kidney biopsy. Cureus. 13(e15102)2021.PubMed/NCBI View Article : Google Scholar

16 

Tsushima T, Suzuki T, Terao T, Miura D, Narita K, Takeuchi M, Shimuzu A and Matsue K: Light chain deposition disease involving kidney and liver in a patient with IgD myeloma. BMC Nephrol. 22(40)2021.PubMed/NCBI View Article : Google Scholar

17 

Heybeli C, Alexander MP, Bentall AJ, Amer H, Buadi FK, Dean PG, Dingli D, Dispenzieri A, El Ters M, Gertz MA, et al: Kidney transplantation in patients with monoclonal gammopathy of renal significance (MGRS)-associated lesions: A case series. Am J Kidney Dis. 79:202–216. 2022.PubMed/NCBI View Article : Google Scholar

18 

Nambirajan A, Bhowmik D, Singh G, Agarwal SK and Dinda AK: Monoclonal gammopathy of renal significance with light-chain deposition disease diagnosed postrenal transplant: A diagnostic and therapeutic challenge. Transpl Int. 28:375–379. 2015.PubMed/NCBI View Article : Google Scholar

19 

Kuppachi S, Holanda D and Thomas CP: Light chain deposition disease after kidney transplantation with long graft survival: Case report. Transplant Proc. 48:255–258. 2016.PubMed/NCBI View Article : Google Scholar

20 

Jimenez-Zepeda VH, Vajpeyi R, John R and Trudel S: Light chain deposition disease affecting the gastrointestinal tract in the setting of post-living donor kidney transplantation. Int J Hematol. 96:125–131. 2012.PubMed/NCBI View Article : Google Scholar

21 

Tanenbaum ND, Howell DN, Middleton JP and Spurney RF: Lambda light chain deposition disease in a renal allograft. Transplant Proc. 37:4289–4292. 2005.PubMed/NCBI View Article : Google Scholar

22 

Larsen T, Hammer A and Jørgensen KA: Recurrence of light-chain deposition disease after renal transplantation. Scand J Urol Nephrol. 42:187–188. 2008.PubMed/NCBI View Article : Google Scholar

23 

Ecder T, Tbakhi A, Braun WE, Tubbs RR, Myles J and McMahon JT: De novo light-chain deposition disease in a cadaver renal allograft. Am J Kidney Dis. 28:461–465. 1996.PubMed/NCBI View Article : Google Scholar

24 

Horike K, Takeda A, Otsuka Y, Inaguma D, Goto N, Watarai Y, Uchida K and Morozumi K: A case of recurrent light chain deposition disease after living-related renal transplantation-Detailed process of the recurrence. Clin Transplant. 26 (Suppl 24):64–69. 2012.PubMed/NCBI View Article : Google Scholar

25 

Taneda S, Honda K, Horita S, Koyama I, Teraoka S, Oda H and Yamaguchi Y: Light chain deposition disease after renal transplantation. Am J Kidney Dis. 52:621–625. 2008.PubMed/NCBI View Article : Google Scholar

26 

Ziogas DC, Kastritis E, Terpos E, Roussou M, Migkou M, Gavriatopoulou M, Spanomichou D, Eleutherakis-Papaiakovou E, Fotiou D, Panagiotidis I, et al: Hematologic and renal improvement of monoclonal immunoglobulin deposition disease after treatment with bortezomib-based regimens. Leuk Lymphoma. 58:1832–1839. 2017.PubMed/NCBI View Article : Google Scholar

Related Articles

  • Abstract
  • View
  • Download
  • Twitter
Copy and paste a formatted citation
Spandidos Publications style
Yue J, Xu F, Zhang Y, Wen J and Zhou Q: Diagnosis of light‑chain deposition disease after renal transplantation: A case report and literature review. Exp Ther Med 28: 339, 2024.
APA
Yue, J., Xu, F., Zhang, Y., Wen, J., & Zhou, Q. (2024). Diagnosis of light‑chain deposition disease after renal transplantation: A case report and literature review. Experimental and Therapeutic Medicine, 28, 339. https://doi.org/10.3892/etm.2024.12628
MLA
Yue, J., Xu, F., Zhang, Y., Wen, J., Zhou, Q."Diagnosis of light‑chain deposition disease after renal transplantation: A case report and literature review". Experimental and Therapeutic Medicine 28.3 (2024): 339.
Chicago
Yue, J., Xu, F., Zhang, Y., Wen, J., Zhou, Q."Diagnosis of light‑chain deposition disease after renal transplantation: A case report and literature review". Experimental and Therapeutic Medicine 28, no. 3 (2024): 339. https://doi.org/10.3892/etm.2024.12628
Copy and paste a formatted citation
x
Spandidos Publications style
Yue J, Xu F, Zhang Y, Wen J and Zhou Q: Diagnosis of light‑chain deposition disease after renal transplantation: A case report and literature review. Exp Ther Med 28: 339, 2024.
APA
Yue, J., Xu, F., Zhang, Y., Wen, J., & Zhou, Q. (2024). Diagnosis of light‑chain deposition disease after renal transplantation: A case report and literature review. Experimental and Therapeutic Medicine, 28, 339. https://doi.org/10.3892/etm.2024.12628
MLA
Yue, J., Xu, F., Zhang, Y., Wen, J., Zhou, Q."Diagnosis of light‑chain deposition disease after renal transplantation: A case report and literature review". Experimental and Therapeutic Medicine 28.3 (2024): 339.
Chicago
Yue, J., Xu, F., Zhang, Y., Wen, J., Zhou, Q."Diagnosis of light‑chain deposition disease after renal transplantation: A case report and literature review". Experimental and Therapeutic Medicine 28, no. 3 (2024): 339. https://doi.org/10.3892/etm.2024.12628
Follow us
  • Twitter
  • LinkedIn
  • Facebook
About
  • Spandidos Publications
  • Careers
  • Cookie Policy
  • Privacy Policy
How can we help?
  • Help
  • Live Chat
  • Contact
  • Email to our Support Team