Spandidos Publications Logo
  • About
    • About Spandidos
    • Aims and Scopes
    • Abstracting and Indexing
    • Editorial Policies
    • Reprints and Permissions
    • Job Opportunities
    • Terms and Conditions
    • Contact
  • Journals
    • All Journals
    • Oncology Letters
      • Oncology Letters
      • Information for Authors
      • Editorial Policies
      • Editorial Board
      • Aims and Scope
      • Abstracting and Indexing
      • Bibliographic Information
      • Archive
    • International Journal of Oncology
      • International Journal of Oncology
      • Information for Authors
      • Editorial Policies
      • Editorial Board
      • Aims and Scope
      • Abstracting and Indexing
      • Bibliographic Information
      • Archive
    • Molecular and Clinical Oncology
      • Molecular and Clinical Oncology
      • Information for Authors
      • Editorial Policies
      • Editorial Board
      • Aims and Scope
      • Abstracting and Indexing
      • Bibliographic Information
      • Archive
    • Experimental and Therapeutic Medicine
      • Experimental and Therapeutic Medicine
      • Information for Authors
      • Editorial Policies
      • Editorial Board
      • Aims and Scope
      • Abstracting and Indexing
      • Bibliographic Information
      • Archive
    • International Journal of Molecular Medicine
      • International Journal of Molecular Medicine
      • Information for Authors
      • Editorial Policies
      • Editorial Board
      • Aims and Scope
      • Abstracting and Indexing
      • Bibliographic Information
      • Archive
    • Biomedical Reports
      • Biomedical Reports
      • Information for Authors
      • Editorial Policies
      • Editorial Board
      • Aims and Scope
      • Abstracting and Indexing
      • Bibliographic Information
      • Archive
    • Oncology Reports
      • Oncology Reports
      • Information for Authors
      • Editorial Policies
      • Editorial Board
      • Aims and Scope
      • Abstracting and Indexing
      • Bibliographic Information
      • Archive
    • Molecular Medicine Reports
      • Molecular Medicine Reports
      • Information for Authors
      • Editorial Policies
      • Editorial Board
      • Aims and Scope
      • Abstracting and Indexing
      • Bibliographic Information
      • Archive
    • World Academy of Sciences Journal
      • World Academy of Sciences Journal
      • Information for Authors
      • Editorial Policies
      • Editorial Board
      • Aims and Scope
      • Abstracting and Indexing
      • Bibliographic Information
      • Archive
    • International Journal of Functional Nutrition
      • International Journal of Functional Nutrition
      • Information for Authors
      • Editorial Policies
      • Editorial Board
      • Aims and Scope
      • Abstracting and Indexing
      • Bibliographic Information
      • Archive
    • International Journal of Epigenetics
      • International Journal of Epigenetics
      • Information for Authors
      • Editorial Policies
      • Editorial Board
      • Aims and Scope
      • Abstracting and Indexing
      • Bibliographic Information
      • Archive
    • Medicine International
      • Medicine International
      • Information for Authors
      • Editorial Policies
      • Editorial Board
      • Aims and Scope
      • Abstracting and Indexing
      • Bibliographic Information
      • Archive
  • Articles
  • Information
    • Information for Authors
    • Information for Reviewers
    • Information for Librarians
    • Information for Advertisers
    • Conferences
  • Language Editing
Spandidos Publications Logo
  • About
    • About Spandidos
    • Aims and Scopes
    • Abstracting and Indexing
    • Editorial Policies
    • Reprints and Permissions
    • Job Opportunities
    • Terms and Conditions
    • Contact
  • Journals
    • All Journals
    • Biomedical Reports
      • Information for Authors
      • Editorial Policies
      • Editorial Board
      • Aims and Scope
      • Abstracting and Indexing
      • Bibliographic Information
      • Archive
    • Experimental and Therapeutic Medicine
      • Information for Authors
      • Editorial Policies
      • Editorial Board
      • Aims and Scope
      • Abstracting and Indexing
      • Bibliographic Information
      • Archive
    • International Journal of Epigenetics
      • Information for Authors
      • Editorial Policies
      • Editorial Board
      • Aims and Scope
      • Abstracting and Indexing
      • Bibliographic Information
      • Archive
    • International Journal of Functional Nutrition
      • Information for Authors
      • Editorial Policies
      • Editorial Board
      • Aims and Scope
      • Abstracting and Indexing
      • Bibliographic Information
      • Archive
    • International Journal of Molecular Medicine
      • Information for Authors
      • Editorial Policies
      • Editorial Board
      • Aims and Scope
      • Abstracting and Indexing
      • Bibliographic Information
      • Archive
    • International Journal of Oncology
      • Information for Authors
      • Editorial Policies
      • Editorial Board
      • Aims and Scope
      • Abstracting and Indexing
      • Bibliographic Information
      • Archive
    • Medicine International
      • Information for Authors
      • Editorial Policies
      • Editorial Board
      • Aims and Scope
      • Abstracting and Indexing
      • Bibliographic Information
      • Archive
    • Molecular and Clinical Oncology
      • Information for Authors
      • Editorial Policies
      • Editorial Board
      • Aims and Scope
      • Abstracting and Indexing
      • Bibliographic Information
      • Archive
    • Molecular Medicine Reports
      • Information for Authors
      • Editorial Policies
      • Editorial Board
      • Aims and Scope
      • Abstracting and Indexing
      • Bibliographic Information
      • Archive
    • Oncology Letters
      • Information for Authors
      • Editorial Policies
      • Editorial Board
      • Aims and Scope
      • Abstracting and Indexing
      • Bibliographic Information
      • Archive
    • Oncology Reports
      • Information for Authors
      • Editorial Policies
      • Editorial Board
      • Aims and Scope
      • Abstracting and Indexing
      • Bibliographic Information
      • Archive
    • World Academy of Sciences Journal
      • Information for Authors
      • Editorial Policies
      • Editorial Board
      • Aims and Scope
      • Abstracting and Indexing
      • Bibliographic Information
      • Archive
  • Articles
  • Information
    • For Authors
    • For Reviewers
    • For Librarians
    • For Advertisers
    • Conferences
  • Language Editing
Login Register Submit
  • This site uses cookies
  • You can change your cookie settings at any time by following the instructions in our Cookie Policy. To find out more, you may read our Privacy Policy.

    I agree
Search articles by DOI, keyword, author or affiliation
Search
Advanced Search
presentation
Experimental and Therapeutic Medicine
Join Editorial Board Propose a Special Issue
Print ISSN: 1792-0981 Online ISSN: 1792-1015
Journal Cover
October-2024 Volume 28 Issue 4

Full Size Image

Sign up for eToc alerts
Recommend to Library

Journals

International Journal of Molecular Medicine

International Journal of Molecular Medicine

International Journal of Molecular Medicine is an international journal devoted to molecular mechanisms of human disease.

International Journal of Oncology

International Journal of Oncology

International Journal of Oncology is an international journal devoted to oncology research and cancer treatment.

Molecular Medicine Reports

Molecular Medicine Reports

Covers molecular medicine topics such as pharmacology, pathology, genetics, neuroscience, infectious diseases, molecular cardiology, and molecular surgery.

Oncology Reports

Oncology Reports

Oncology Reports is an international journal devoted to fundamental and applied research in Oncology.

Experimental and Therapeutic Medicine

Experimental and Therapeutic Medicine

Experimental and Therapeutic Medicine is an international journal devoted to laboratory and clinical medicine.

Oncology Letters

Oncology Letters

Oncology Letters is an international journal devoted to Experimental and Clinical Oncology.

Biomedical Reports

Biomedical Reports

Explores a wide range of biological and medical fields, including pharmacology, genetics, microbiology, neuroscience, and molecular cardiology.

Molecular and Clinical Oncology

Molecular and Clinical Oncology

International journal addressing all aspects of oncology research, from tumorigenesis and oncogenes to chemotherapy and metastasis.

World Academy of Sciences Journal

World Academy of Sciences Journal

Multidisciplinary open-access journal spanning biochemistry, genetics, neuroscience, environmental health, and synthetic biology.

International Journal of Functional Nutrition

International Journal of Functional Nutrition

Open-access journal combining biochemistry, pharmacology, immunology, and genetics to advance health through functional nutrition.

International Journal of Epigenetics

International Journal of Epigenetics

Publishes open-access research on using epigenetics to advance understanding and treatment of human disease.

Medicine International

Medicine International

An International Open Access Journal Devoted to General Medicine.

Journal Cover
October-2024 Volume 28 Issue 4

Full Size Image

Sign up for eToc alerts
Recommend to Library

  • Article
  • Citations
    • Cite This Article
    • Download Citation
    • Create Citation Alert
    • Remove Citation Alert
    • Cited By
  • Similar Articles
    • Related Articles (in Spandidos Publications)
    • Similar Articles (Google Scholar)
    • Similar Articles (PubMed)
  • Download PDF
  • Download XML
  • View XML
Review Open Access

Immune checkpoint inhibitor therapy‑related pneumonitis: How, when and why to diagnose and manage (Review)

  • Authors:
    • Salvatore Lavalle
    • Edoardo Masiello
    • Maria Rosaria Valerio
    • Alberto Aliprandi
    • Giuseppa Scandurra
    • Vittorio Gebbia
    • Daniela Sambataro
  • View Affiliations / Copyright

    Affiliations: Department of Medicine and Surgery, Kore University of Enna, I‑94100 Enna, Italy, Radiology Unit, University Vita e Salute, Institute San Raffaele, I‑20132 Milan, Italy, Medical Oncology Unit, Policlinic P Giaccone, University of Palermo, I‑90127 Palermo, Italy, Radiology Unit, Zucchi Clinical Institutes, University of Milan-Bicocca, I-20900 Monza, Italy
    Copyright: © Lavalle et al. This is an open access article distributed under the terms of Creative Commons Attribution License.
  • Article Number: 381
    |
    Published online on: July 30, 2024
       https://doi.org/10.3892/etm.2024.12670
  • Expand metrics +
Metrics: Total Views: 0 (Spandidos Publications: | PMC Statistics: )
Metrics: Total PDF Downloads: 0 (Spandidos Publications: | PMC Statistics: )
Cited By (CrossRef): 0 citations Loading Articles...

This article is mentioned in:



Abstract

Immune checkpoint inhibitor (ICI) therapy has revolutionized cancer treatment by enhancing the immune response against tumor cells. However, their influence on immune pathways can lead to immune‑related adverse events such as pneumonitis, necessitating rapid diagnosis and management to prevent severe complications. These adverse events arise from the activation of the immune system by immunotherapeutic drugs, leading to immune‑mediated inflammation and tissue damage in various organs and tissues throughout the body. The present review article discusses the pathophysiology, clinical presentation, diagnostic modalities and management strategies for ICI‑related pneumonitis, emphasizing early recognition and tailored interventions. Future research endeavors should focus on elucidating the underlying mechanisms of pneumonitis and identifying predictive biomarkers to guide personalized treatment strategies in this evolving field of oncology.

1. Introduction

To date, immune checkpoint inhibitors (ICIs) represent a cornerstone in treating various cancers as they harness the potential of the immune system to treat malignancies. However, their influence on immune pathways can lead to immune-related adverse events (irAEs). IrAEs are a spectrum of side effects that can occur because of treatment with ICIs (1). These adverse events arise from the dysregulation of the immune system by immunotherapeutic drugs, leading to immune-mediated inflammation and tissue damage in various organs and tissues throughout the body (2). The spectrum of irAEs is broad and can involve any organ system, including the skin, gastrointestinal tract, liver, endocrine glands and lungs (3). Common irAEs include dermatitis, colitis, hepatitis and thyroid dysfunction, with pneumonitis standing as a particularly significant concern (4). Pneumonitis, characterized by inflammation of lung tissue, emerges as one of the notable irAEs due to its potential for severe morbidity and mortality if not promptly recognized and managed (5). However, the severity and specific manifestations of irAEs can significantly vary among patients depending on the type of immunotherapy, the underlying cancer, and the immune status of patients (6). The clinical presentation of irAEs can range from mild, self-limited symptoms to severe, life-threatening complications (7). Rapid identification and management of irAEs are crucial to prevent severe morbidity and mortality (8). Treatment typically involves the temporary or permanent discontinuation of immunotherapy and the initiation of immunosuppressive medications, such as corticosteroids or other immunomodulators such as infliximab or vedolizumab related to the severity and nature of the adverse event (9). The mechanisms underlying irAEs are complex and need to be fully elucidated. However, the dysregulation of immune checkpoints and the resultant immune activation against normal tissues is considered to play a central role (10). The diversity of irAEs underscores the need for a multidisciplinary approach to diagnose and manage these adverse events best, involving collaboration between oncologists, immunologists, rheumatologists and other specialists as needed.

2. Incidence

ICI-related pneumonitis is relatively rare compared with other irAEs, such skin reactions, flu-like- and gastrointestinal symptoms, yet it is the most fatal complication associated with programmed cell death protein 1 inhibitors (PD-1/PD-L1) (1). Studies indicate that ICI-related pneumonitis is responsible for a substantial proportion of deaths attributed to PD-1/PD-L1 inhibitor monotherapy, accounting for ~35% of such fatalities (11-13). The overall incidence rate of ICI-related pneumonitis in clinical trials involving ICI monotherapy is 2.5-5.0%, while that in trials involving ICI combination therapy is higher, at 7-10% (12). Clinical trials typically enroll patients without underlying lung disease or autoimmune conditions, and thus, real-world data reveal a broader incidence of 7-19% (13). Additionally, studies have demonstrated that PD-1/PD-L1 inhibitors exhibit a greater incidence and severity of pulmonary toxicity compared with anti-cytotoxic T-lymphocyte-associated antigen 4 (CTLA-4) agents (14,15). Specifically, PD-1 inhibitors have been found to have a higher occurrence and severity of pulmonary toxicity than PD-L1 inhibitors (14). Moreover, the incidence of ICI-related pneumonitis tends to be higher in non-small cell lung cancer compared with other tumor types, such as melanoma and renal cell carcinoma (15). The overall incidence of ICI-related pneumonitis for all grades is 1.4-5.8% in patients with non-small cell lung cancer (NSCLC), 1-4% in patients with melanoma and 1-4.8% in those with renal cell carcinoma (15). These statistics underscore the importance of cautious monitoring and prompt management of pneumonitis in patients undergoing ICI therapy.

3. Pathophysiology

The pathogenesis of ICI-related pneumonitis is complex and multifactorial, involving dysregulated immune responses against pulmonary tissues triggered by the blockade of immune checkpoints such as CTLA-4 and PD-1 or its ligand PD-L1(16). While the exact mechanisms remain not fully understood, several vital processes contribute to the development of pneumonitis in ICI therapy. As depicted in Fig. 1, the disruption of immune tolerance lies at the core of ICI-related pneumonitis pathogenesis (17). Due to the action of these immunotherapeutic drugs, including checkpoint inhibition and blockade, aimed to disrupt immune regulation in tumor tissue, such alteration, may also occur in normal tissues, such as lungs, even though a full elucidation of the mechanisms underlying irAEs is still lacking. Consequently, the irAE mechanism appears similar to insufficient immune regulation of tissue homeostasis rather than activation of the immune system. This is supported by the lack of laboratory confirmation of autoimmunity, since in most cases, auto-antibodies are absent.

Figure 1

Outline of the pathophysiological mechanisms of ICI-related pneumonitis. The pathogenesis of immune-related adverse events seems linked to the disruption of immune regulation of tissue homeostasis rather than the activation of the immune system, as suggested by the lack of laboratory confirmation of autoimmunity. ICI, immune checkpoint inhibitor; Treg cell, T-regulatory cell; Th1 cell, type 1 T-helper cell; CCL17, C-C motif chemokine ligand 17.

Immune checkpoints are crucial in maintaining self-tolerance and preventing excessive immune activation against normal tissues (18). Blockade of CTLA-4, PD-1, or PD-L1 releases the ‘brakes’ on the immune system, leading to increased activation of T cells (19). In some cases, this heightened immune response may result in recognizing self-antigens in lung tissue, triggering an autoimmune reaction (20). Consequently, the release of pro-inflammatory cytokines and the infiltration of immune cells into the lung parenchyma perpetuate tissue damage and contribute to the development of pneumonitis (21). The activation of effector T cells plays an essential role in the pathogenesis of lung inflammation. ICIs promote the activation and proliferation of effector T cells, crucial for mounting an effective antitumor immune response (20-22). However, in the context of pneumonitis, the activation of effector T cells may lead to their infiltration into the lung parenchyma. Once within the lung tissue, these activated T cells release a cascade of pro-inflammatory cytokines and chemokines, including tumor necrosis factor-α (TNF-α), interleukin-6 (IL-6) and interferon-γ (IFN-γ) (20-22). This inflammatory milieu contributes to tissue damage and exacerbates the immune-mediated lung injury characteristic of pneumonitis (20-22). The dysregulated cytokine production (TNF-α, IL-6 and IFN-γ) orchestrates a cascade of inflammatory responses, recruiting immune cells to the injury site and amplifying the immune-mediated lung injury process (22). Moreover, they can disrupt the delicate balance between pro-inflammatory and anti-inflammatory signals, further exacerbating tissue damage and contributing to the severity of pneumonitis (23). Lastly, genetic and environmental factors play crucial roles in influencing the development of ICI-related pneumonitis (24). Specific genetic polymorphisms, such as the gamma-aminobutyric acid type A receptor subunit pi, the desmocollin and the bromodomain adjacent to zinc finger domain 2B genes, related to immune regulation and inflammation have been implicated in the susceptibility to irAEs, although further research is needed to elucidate their particular roles in pneumonitis (23,24). Additionally, factors such as microbiota composition, prior lung injury, smoking history and concomitant use of other medications may modulate the risk of developing pneumonitis in patients receiving ICIs (25,26).

4. Clinical presentation

ICI-related pneumonitis typically presents nonspecific respiratory symptoms that can mimic other pulmonary conditions such as infection or malignancy (27). Patients may initially complain of nonspecific symptoms such as dyspnea, cough, pain and chest discomfort, which can gradually worsen (28). In more severe cases, respiratory distress and hypoxia may develop rapidly, warranting urgent medical attention (29). Constitutional symptoms such as fatigue, malaise and low-grade fever may accompany respiratory complaints, further complicating the clinical picture (Table I) (30). It is important to note that the onset of symptoms can vary widely, occurring weeks to months after initiating ICI therapy (31). Clinical suspicion should be high in patients receiving ICIs who develop new or worsening respiratory symptoms, especially in the absence of alternative etiologies and particularly in patients receiving PD-1/PD-L1 inhibitors (32). Close monitoring for respiratory symptoms and early intervention is paramount to mitigate the risk of disease progression and minimize morbidity and mortality associated with this adverse event.

Table I

Concise overview of the main clinical features of ICI-related pneumonitis.

Table I

Concise overview of the main clinical features of ICI-related pneumonitis.

Clinical featuresDescription
Respiratory symptomsDyspnea, cough and chest discomfort
Constitutional symptomsFatigue, generalized weakness or tiredness, malaise and low-grade fever
OnsetVariable: Symptoms may develop weeks to months after initiating ICI therapy
SeverityRange: Symptoms can range from mild to severe, with potential for rapid progression
Progression• Gradual worsening: Symptoms may worsen over time, impacting daily activities and quality of life
 • Respiratory distress: Severe cases may present with acute respiratory distress, requiring urgent medical attention
Associated risk factors• Treatment type: Higher incidence with PD-1/PD-L1 inhibitors compared to anti-CTLA-4 agents
 • Tumor type: Increased risk in non-small cell lung cancer compared with other malignancies
 • Pre-existing lung disease: History of lung disease may predispose to pneumonitis
Management challenges• Diagnosis: Nonspecific symptoms may mimic other pulmonary conditions, necessitating careful evaluation
 • Severity assessment: Accurate assessment of disease severity is crucial for appropriate management.
Monitoring and treatment• Close monitoring: Regular assessment of respiratory symptoms and clinical status is essential
 • Prompt intervention: Early recognition and initiation of treatment can minimize morbidity and mortality

[i] ICI, immune checkpoint inhibitor; CTLA-4, cytotoxic T-lymphocyte-associated antigen 4; PD-1, programmed cell death 1; PD-L1, programmed cell death protein 1.

5. Diagnostic evaluation

Diagnosing ICI-related pneumonitis requires a comprehensive assessment encompassing clinical, radiological and laboratory findings (1-3). The detailed description of these examinations extends beyond the scope of the present review. Pulmonary function tests (PFTs), including spirometry and diffusion capacity testing, provide valuable information about lung function and may reveal restrictive or obstructive patterns indicative of lung involvement (1-3). However, PFT findings can be nonspecific and should be interpreted with clinical and radiological findings (3). The European Society for Medical Oncology and the American Society for Clinical Oncology recommend bronchoscopy with bronchoalveolar lavage, and, in some cases, transbronchial lung biopsy may be performed to obtain samples for analysis (33,34). Bronchoalveolar lavage fluid analysis, including cell counts, protein level analysis and microbiological cultures, can evidence a high lymphoid infiltrate consistent with immune-mediated pneumonitis, helping to exclude alternative diagnoses and guide therapeutic decisions (35). Transbronchial biopsy may be utilized in cases of diagnostic uncertainty or severe disease to obtain histological samples for pathological evaluation (33-35). Surgical lung biopsy using video-assisted thoracoscopic surgery to ascertain differential diagnosis from tumor progression may be used in cases where the suspicion of progressive cancer persists (33,34). However, these investigations must be integrated with clinical and radiological findings. Specifically, CT scanning of the chest serves as the cornerstone in radiological evaluation, revealing characteristic patterns of pneumonitis such as ground-glass opacities (GGOs), consolidations or interstitial infiltrates (1-3,36-38).

6. Radiological findings

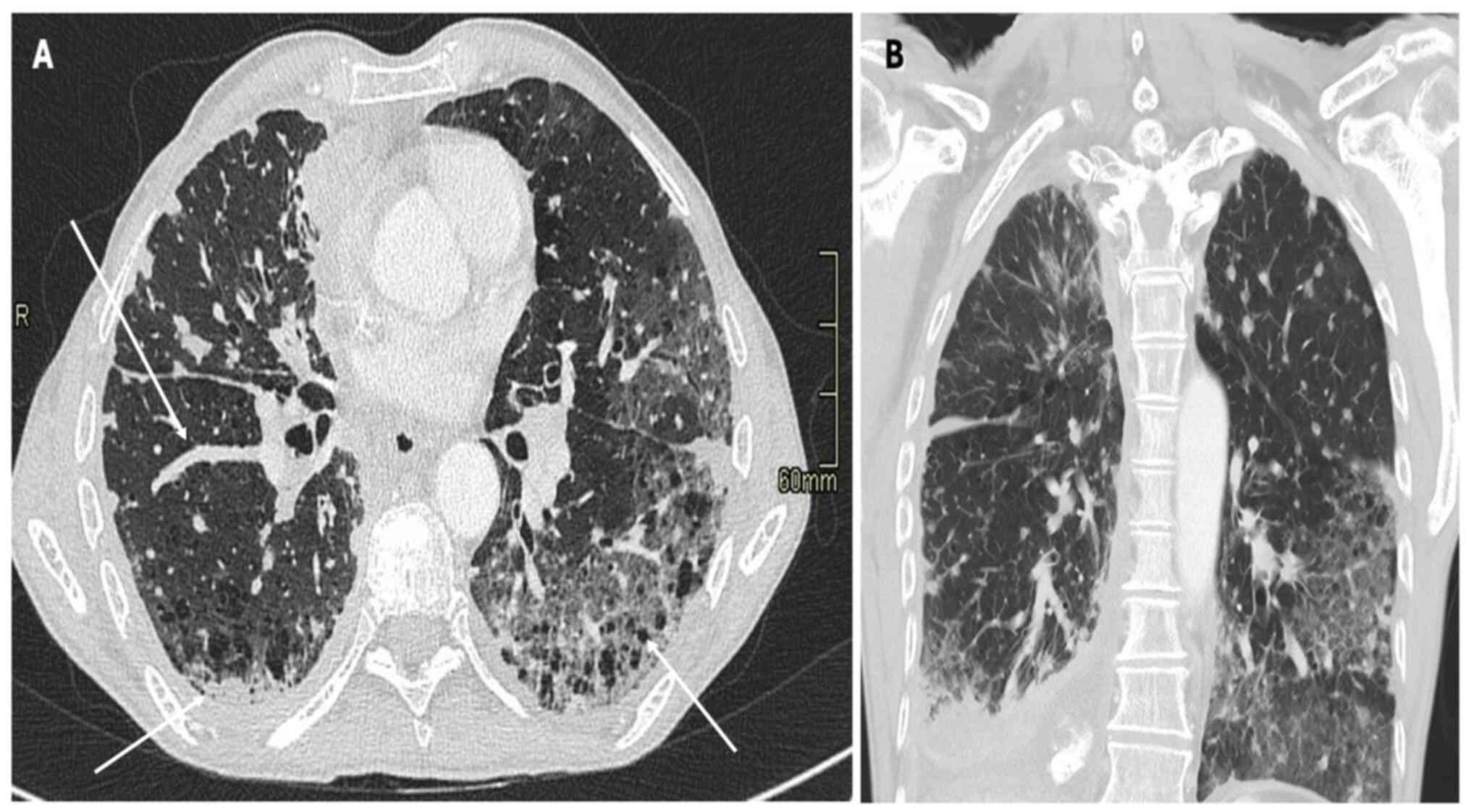
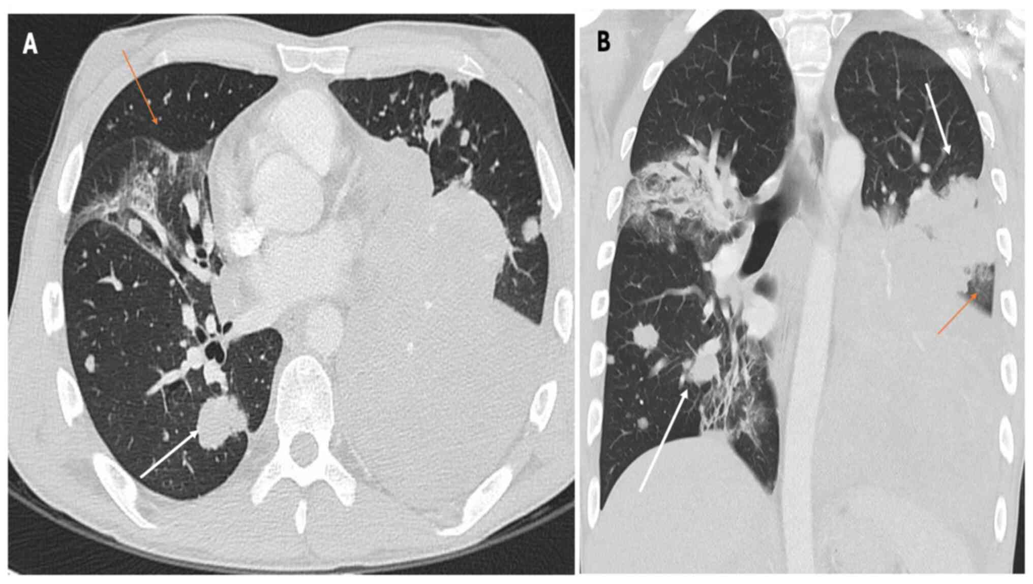
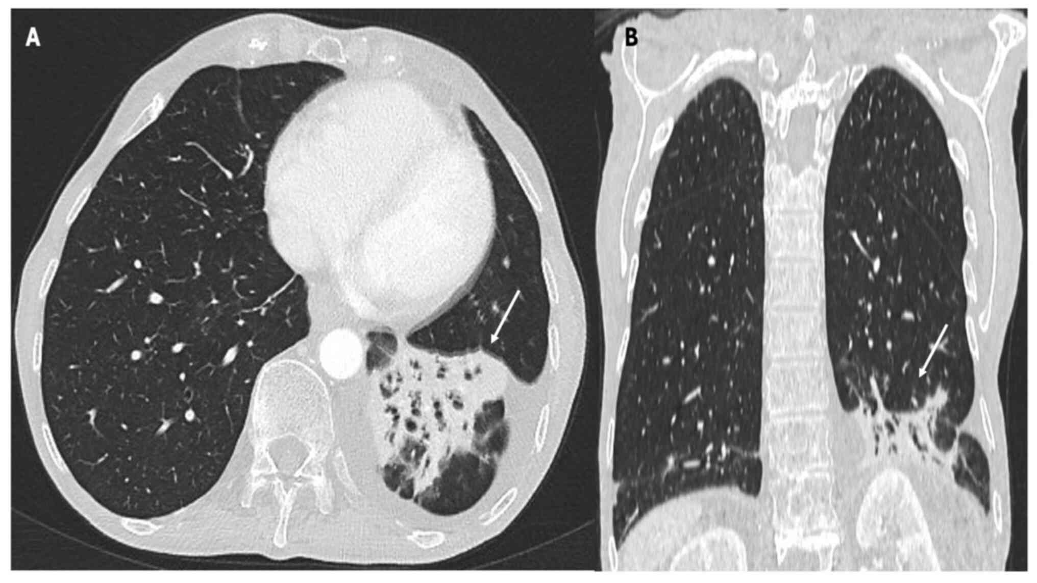
Pneumonitis is a rare irAE following ICI therapy, and it manifests as interstitial lung disease (36). Table II summarizes the main CT patterns observed in ICI-related pneumonitis. Pneumonitis secondary to ICI treatment presents in four distinct patterns: i) Organizing pneumonia (OP); ii) nonspecific interstitial pneumonia (NSIP); iii) hypersensitivity pneumonitis (HP); and iv) diffuse alveolar damage (DAD) (36). While chest X-ray findings in ICI-related pneumonitis may be nonspecific, characteristic abnormalities can aid the diagnostic process (37). Common radiographic manifestations include patchy or diffuse opacities, consolidations and interstitial infiltrates, which may be bilateral and involve multiple lung lobes (37,38). Additionally, air bronchograms or a ‘ground-glass’ appearance may suggest alveolar involvement and inflammatory changes within the lung parenchyma as shown in Fig. 2, Fig. 3 and Fig. 4, which report on a case of gastric, lung and rectal cancer, respectively. However, it is essential to recognize that chest X-ray findings alone may not be sufficient to diagnose or exclude pneumonitis (37) definitively. Further imaging with CT of the chest is often necessary to delineate the extent and nature of pulmonary abnormalities and guide subsequent management decisions (38).

Figure 2

(A) Axial and (B) coronal CT scan with lung parenchyma reconstruction demonstrating consolidation in the left lower lobe characterized by air bronchograms (see arrows). The image is from a 52-year-old patient undergoing therapy with nivolumab for locally advanced gastric cancer.

Figure 3

(A) Axial and (B) coronal CT scans with lung parenchyma reconstruction revealed extensive ground-glass opacity predominantly distributed peripherally in the lower lung lobes, accompanied by interstitial septal thickening and more consolidated regions (see arrows). The consolidations are notably pronounced and extensive in the right lower lobe, confirming immunotherapy-induced pneumonia in a 58-year-old patient recently diagnosed with lung adenocarcinoma and undergoing osimertinib therapy.

Figure 4

(A) Axial and (B) coronal CT scan with lung parenchyma reconstruction depicting a 58-year-old female patient with metastatic rectal adenocarcinoma with progressing pulmonary metastases undergoing experimental immunotherapy with Nivolumab (see white arrows). Note several areas of increased parenchymal density, predominantly perilesional, characterized by ground-glass opacity (see orange arrows).

Table II

Main CT patterns of ICI-related pneumonitis.

Table II

Main CT patterns of ICI-related pneumonitis.

CT PatternPatternFeaturesHistopathology
Organizing pneumoniaConsolidation with a peri-bronchial and subpleural distribution, often migrating over timeGGOs with areas of consolidation and air bronchogramsGranulation tissue plugs within airspaces
Nonspecific interstitial pneumoniaBilateral, symmetric, peripheral and basal predominantGGOs with reticular or linear opacities, traction bronchiectasis, and honeycombingUniform interstitial inflammation and fibrosis
Hypersensitivity pneumonitisCentrilobular nodules with a ground-glass or reticular pattern, often with upper lobe predominanceCentrilobular nodules, GGOs, mosaic attenuation, and air trappingPeribronchiolar inflammation and granuloma formation
Diffuse alveolar damageDiffuse GGOs and consolidations with a bilateral and symmetric distributionDiffuse involvement of both lungs, often associated with severe respiratory compromiseAlveolar damage with hyaline membrane formation

[i] GGOs, ground-glass opacities; ICI, immune checkpoint inhibitor.

OP

The characteristic radiographic pattern of OP in ICI-related pneumonitis often manifests as patchy areas of consolidation with or without GGOs on high-resolution computed tomography (HRCT) of the chest (39). OP is characterized by intraluminal plugs of granulation tissue within the distal airspaces, leading to consolidative opacities on imaging (37). These consolidations typically have a subpleural and peri broncho vascular distribution (37). They may show a migratory or ‘reverse halo’ pattern, where a rim of consolidation surrounds a central area of ground-glass opacity but is not pathognomonic (40).

NSIP

The HRCT pattern of NSIP in ICI-related pneumonitis typically manifests as bilateral, patchy ground-glass and reticular opacities with a basal and peripheral distribution (37,38). These findings may be accompanied by traction bronchiectasis and architectural distortion (37,38). Additionally, unlike usual interstitial pneumonia, NSIP in ICI-related pneumonitis tends to spare the subpleural regions and show less honeycombing (41).

HP

The CT pattern of HP can resemble certain features observed in ICI-related pneumonitis, particularly with NSIP. The characteristic pattern typically includes diffuse GGOs, centrilobular nodules and mosaic attenuation patterns, reflecting the characteristic involvement of the airspaces and small airways (12,41,42). Findings such as bronchial wall thickening, air trapping, and mosaic perfusion on perfusion imaging may also indicate HP (12). Conversely, NSIP typically presents with bilateral and symmetric reticular opacities, GGOs, or a combination of both, with a predominantly basal and subpleural distribution (12). Honeycombing, traction bronchiectasis and architectural distortion are more commonly observed in advanced stages of NSIP and may aid in distinguishing it from HP (42).

DAD

On CT scans, DAD manifests as diffuse bilateral GGOs with or without associated consolidations and interstitial thickening, often accompanied by traction bronchiectasis (43). These findings reflect the underlying pathophysiology of pneumonitis, characterized by widespread injury to the alveolar epithelium and capillary endothelium, leading to alveolar flooding, interstitial edema and inflammatory cell infiltration (44). This pattern has been observed in patients treated with EGFR-TKIs, anaplastic lymphoma kinase inhibitors and ICIs in various stages of their disease (45-47). Its severity increases over time and is associated with severe clinical outcomes.

7. Management strategies

At present, there are no validated recommendations for ICI-related pneumonitis treatment; patient management relies on clinical experience and a multidisciplinary approach (3,35). The ASCO expert consensus developed clinical practice guidelines according to The Common Terminology Criteria for Adverse Events (35). The grading was as follows: i) Grade 1, asymptomatic disease; ii) grade 2, symptomatic disease with limited instrumental activities of daily living (ADL) needing medical intervention; iii) grade 3, severe symptoms limiting self-care ADL requiring oxygen; and iv) grade 4, life-threatening respiratory compromise requiring urgent intervention (35). Managing ICI-related pneumonitis necessitates a tailored approach balancing immunosuppression with oncologic efficacy (48,49). Treatment algorithms involve prompt cessation of ICIs and initiation of corticosteroids, typically prednisone or methylprednisolone, at a dose of 1-2 mg/kg/day (48). Close monitoring of clinical and radiological response is paramount, with gradual tapering of corticosteroids guided by symptom resolution and radiographic improvement (49). In refractory cases or those with severe pneumonitis, additional immunosuppressive agents such as infliximab or mycophenolate mofetil may be considered, although their efficacy remains uncertain (50). Infliximab or cyclophosphamide have been proposed in clinical trials and initially approved by the US FDA for patients receiving ipilimumab, especially for severe, immune-mediated gastrointestinal side effects (33,50). Anecdotal reports have suggested the use of interleukin-17 blockade may provide relief from immune-mediated skin and gastrointestinal toxic effects (33,50). Collaborative efforts between oncologists, pulmonologists and rheumatologists are essential in optimizing patient outcomes and minimizing treatment-related complications (33).

8. Differential diagnosis from disease progression in lung cancer

Distinguishing between ICI-related pneumonitis and disease progression in lung cancer demands a comprehensive evaluation incorporating multiple criteria, including variations in tumor growth rate and tumor growth kinetics (51-53). It typically represents a diagnosis of exclusion, necessitating the comprehensive exclusion of alternative etiologies such as infection and radiation-related pneumonitis (54). Given the overlapping clinical and radiological features of these conditions, a thorough evaluation is essential to differentiate ICI-related pneumonitis from other potential causes of pulmonary symptoms (Table III). Firstly, the clinical context is crucial, as recent initiation or ongoing treatment with ICIs raises suspicion for pneumonitis (51-53). At the same time, a history of lung cancer or evidence of disease progression suggests tumor advancement (51-53). Secondly, the temporal relationship plays a pivotal role, with ICI-related pneumonitis typically manifesting weeks to months after therapy initiation, contrasting with the more gradual progression of lung cancer (33). Symptomatology, including respiratory and constitutional symptoms, offers additional insight, as does the response to treatment; improvement with corticosteroids favors pneumonitis, while lack thereof may indicate disease progression (16). Radiographic findings, mainly CT, provide further differentiation, with characteristic patterns such as GGOs favoring pneumonitis and progressive nodules suggesting tumor growth (44).

Table III

Features of ICI-related pneumonitis vs. cancer progression.

Table III

Features of ICI-related pneumonitis vs. cancer progression.

FeatureICI-related pneumonitisDisease progression
OnsetVariable, can occur weeks to months after initiating ICI therapyTypically gradual, may occur at any stage of cancer progression
SymptomsRespiratory symptoms including dyspnea and cough; constitutional symptoms including fatigue and malaiseMay be asymptomatic and respiratory symptoms may worsen gradually
Radiographic findingsGround-glass opacities, consolidations, interstitial infiltrates and air bronchogramsProgression of known or new pulmonary nodules, infiltrative or cavitary lesions and pleural effusions (in advanced stages)
Progression of symptomsMay fluctuate with treatment and symptoms and may improve with corticosteroid therapyProgressive worsening of symptoms over time and symptoms may not respond to corticosteroids
Response to treatmentImprovement in symptoms and radiographic findings with corticosteroid therapyLack of improvement or worsening despite treatment
Clinical contextRecent initiation or ongoing treatment with immune checkpoint inhibitorsKnown history of lung cancer or evidence of disease progression on imaging
Multidisciplinary approachCollaboration among oncologists, pulmonologists and radiologists is essential for diagnosis and managementCollaboration among oncologists, radiologists and pathologists is crucial for accurate staging and treatment decisions

[i] ICI, immune checkpoint inhibitor.

9. Concluding statement

ICI-related pneumonitis represents a clinically significant irAE associated with immunotherapy, necessitating timely recognition and management to mitigate morbidity and mortality. A systematic diagnostic approach integrating clinical, radiological and laboratory findings is imperative for accurate diagnosis and appropriate therapeutic interventions (55). Future research endeavors should focus on elucidating the underlying mechanisms of pneumonitis and identifying predictive biomarkers to guide personalized treatment strategies in this evolving field of oncology.

Acknowledgements

Not applicable.

Funding

Funding: No funding was received.

Availability of data and materials

Not applicable.

Authors' contributions

SL, MRV and EM equally participated in the conceptualization of the paper. EM and VG wrote and edited the manuscript. AA, GS and DS critically revised the literature and manuscript. All authors read and approved the final version of the manuscript. Data authentication is not applicable.

Ethics approval and consent to participate

Not applicable.

Patient consent to publication

Not applicable.

Competing interests

The authors declare that they have no competing interests.

References

1 

Choi J and Lee SY: Clinical characteristics and treatment of immune-related adverse events of immune checkpoint inhibitors. Immune Netw. 20(e9)2020.PubMed/NCBI View Article : Google Scholar

2 

Yin Q, Wu L, Han L, Zheng X, Tong R, Li L, Bai L and Bian Y: Immune-related adverse events of immune checkpoint inhibitors: A review. Front Immunol. 14(1167975)2023.PubMed/NCBI View Article : Google Scholar

3 

Ramos-Casals M, Brahmer JR, Callahan MK, Flores-Chávez A, Keegan N, Khamashta MA, Lambotte O, Mariette X, Prat A and Suárez-Almazor ME: Immune-related adverse events of checkpoint inhibitors. Nat Rev Dis Primers. 6(38)2020.PubMed/NCBI View Article : Google Scholar

4 

Spain L, Diem S and Larkin J: Management of toxicities of immune checkpoint inhibitors. Cancer Treat Rev. 44:51–60. 2016.PubMed/NCBI View Article : Google Scholar

5 

Rapoport BL, Shannon VR, Cooksley T, Johnson DB, Anderson L, Blidner AG, Tintinger GR and Anderson R: Pulmonary toxicities associated with the use of immune checkpoint inhibitors: An update from the immuno-oncology subgroup of the neutropenia, infection & myelosuppression study group of the multinational association for supportive care in cancer. Front Pharmacol. 12(743582)2021.PubMed/NCBI View Article : Google Scholar

6 

Georgakopoulou VE, Garmpis N, Mermigkis D, Damaskos C, Chlapoutakis S, Mantzouranis K, Gkoufa A, Papageorgiou C, Garmpi A, Makrodimitri S, et al: Pulmonary adverse events due to immune checkpoint inhibitors: A literature review. Monaldi Arch Chest Dis. 92:2021.PubMed/NCBI View Article : Google Scholar

7 

Liu YH, Zang XY, Wang JC, Huang SS, Xu J and Zhang P: Diagnosis and management of immune related adverse events (irAEs) in cancer immunotherapy. Biomed Pharmacother. 120(109437)2019.PubMed/NCBI View Article : Google Scholar

8 

Connolly C, Bambhania K and Naidoo J: Immune-related adverse events: A case-based approach. Front Oncol. 9(530)2019.PubMed/NCBI View Article : Google Scholar

9 

Morgado M, Plácido A, Morgado S and Roque F: Management of the adverse effects of immune checkpoint inhibitors. Vaccines (Basel). 8(575)2020.PubMed/NCBI View Article : Google Scholar

10 

Casagrande S, Sopetto GB, Bertalot G, Bortolotti R, Racanelli V, Caffo O, Giometto B, Berti A and Veccia A: Immune-related adverse events due to cancer immunotherapy: Immune mechanisms and clinical manifestations. Cancers (Basel). 16(1440)2024.PubMed/NCBI View Article : Google Scholar

11 

Wang DY, Salem JE, Cohen JV, Chandra S, Menzer C, Ye F, Zhao S, Das S, Beckermann KE, Ha L, et al: Fatal toxic effects associated with immune checkpoint inhibitors: A systematic review and meta-analysis. JAMA Oncol. 4:1721–1728. 2018.PubMed/NCBI View Article : Google Scholar

12 

Naidoo J, Wang X, Woo KM, Iyriboz T, Halpenny D, Cunningham J, Chaft JE, Segal NH, Callahan MK, Lesokhin AM, et al: Pneumonitis in patients treated with anti-programmed death-1/programmed death ligand 1 therapy. J Clin Oncol. 35:709–717. 2017.PubMed/NCBI View Article : Google Scholar

13 

Suresh K, Naidoo J, Lin CT and Danoff S: Immune checkpoint immunotherapy for non-small cell lung cancer: Benefits and pulmonary toxicities. Chest. 154:1416–1423. 2018.PubMed/NCBI View Article : Google Scholar

14 

Sternschein R, Moll M, Ng J and D'Ambrosio C: Immune checkpoint inhibitor-related pneumonitis. Incidence, risk factors, and clinical and radiographic features. Am J Respir Crit Care Med. 198:951–953. 2018.PubMed/NCBI View Article : Google Scholar

15 

Ma K, Lu Y, Jiang S, Tang J, Li X and Zhang Y: The relative risk and incidence of immune checkpoint inhibitors related pneumonitis in patients with advanced cancer: A meta-analysis. Front Pharmacol. 9(1430)2018.PubMed/NCBI View Article : Google Scholar

16 

Lin MX, Zang D, Liu CG, Han X and Chen J: Immune checkpoint inhibitor-related pneumonitis: Research advances in prediction and management. Front Immunol. 15(1266850)2024.PubMed/NCBI View Article : Google Scholar

17 

Ando H, Suzuki K and Yanagihara T: Insights into potential pathogenesis and treatment options for immune-checkpoint inhibitor-related pneumonitis. Biomedicines. 9(1484)2021.PubMed/NCBI View Article : Google Scholar

18 

Okobi TJ, Uhomoibhi TO, Akahara DE, Odoma VA, Sanusi IA, Okobi OE, Umana I, Okobi E, Okonkwo CC and Harry NM: Immune checkpoint inhibitors as a treatment option for bladder cancer: Current evidence. Cureus. 15(e40031)2023.PubMed/NCBI View Article : Google Scholar

19 

Guo Z, Yu J, Chen Z, Chen S and Wang L: Immunological mechanisms behind anti-PD-1/PD-L1 immune checkpoint blockade: Intratumoral reinvigoration or systemic induction? Biomedicines. 12(764)2024.PubMed/NCBI View Article : Google Scholar

20 

Sakowska J, Arcimowicz Ł, Jankowiak M, Papak I, Markiewicz A, Dziubek K, Kurkowiak M, Kote S, Kaźmierczak-Siedlecka K, Połom K, et al: Autoimmunity and cancer-two sides of the same coin. Front Immunol. 13(793234)2022.PubMed/NCBI View Article : Google Scholar

21 

Yin J, Wu Y, Yang X, Gan L and Xue J: Checkpoint inhibitor pneumonitis induced by anti-PD-1/PD-L1 therapy in non-small-cell lung cancer: Occurrence and mechanism. Front Immunol. 13(830631)2022.PubMed/NCBI View Article : Google Scholar

22 

Zhao H, Wu L, Yan G, Chen Y, Zhou M, Wu Y and Li Y: Inflammation and tumor progression: Signaling pathways and targeted intervention. Signal Transduct Target Ther. 6(263)2021.PubMed/NCBI View Article : Google Scholar

23 

Riondino S, Rosenfeld R, Formica V, Morelli C, Parisi G, Torino F, Mariotti S and Roselli M: Effectiveness of immunotherapy in non-small cell lung cancer patients with a diagnosis of COPD: Is this a hidden prognosticator for survival and a risk factor for immune-related adverse events? Cancers (Basel). 16(1251)2024.PubMed/NCBI View Article : Google Scholar

24 

Abdel-Wahab N, Diab A, Yu RK, Futreal A, Criswell LA, Tayar JH, Dadu R, Shannon V, Shete SS and Suarez-Almazor ME: Genetic determinants of immune-related adverse events in patients with melanoma receiving immune checkpoint inhibitors. Cancer Immunol Immunother. 70:1939–1949. 2021.PubMed/NCBI View Article : Google Scholar

25 

Vétizou M, Pitt JM, Daillère R, Lepage P, Waldschmitt N, Flament C, Rusakiewicz S, Routy B, Roberti MP, Duong CP, et al: Anticancer immunotherapy by CTLA-4 blockade relies on the gut microbiota. Science. 350:1079–1084. 2015.PubMed/NCBI View Article : Google Scholar

26 

Chao Y, Zhou J, Hsu S, Ding N, Li J, Zhang Y, Xu X, Tang X, Wei T, Zhu Z, et al: Risk factors for immune checkpoint inhibitor-related pneumonitis in non-small cell lung cancer. Transl Lung Cancer Res. 11:295–306. 2022.PubMed/NCBI View Article : Google Scholar

27 

Postow MA, Sidlow R and Hellmann MD: Immune-related adverse events associated with immune checkpoint blockade. N Engl J Med. 378:158–168. 2018.PubMed/NCBI View Article : Google Scholar

28 

Cadranel J, Canellas A, Matton L, Darrason M, Parrot A, Naccache JM, Lavolé A, Ruppert AM and Fallet V: Pulmonary complications of immune checkpoint inhibitors in patients with nonsmall cell lung cancer. Eur Respir Rev. 28(190058)2019.PubMed/NCBI View Article : Google Scholar

29 

Kumar V, Chaudhary N, Garg M, Floudas CS, Soni P and Chandra AB: Current diagnosis and management of immune related adverse events (irAEs) induced by immune checkpoint inhibitor therapy. Front Pharmacol. 8(49)2017.PubMed/NCBI View Article : Google Scholar

30 

Rashdan S, Minna JD and Gerber DE: Diagnosis and management of pulmonary toxicity associated with cancer immunotherapy. Lancet Respir Med. 6:472–478. 2018.PubMed/NCBI View Article : Google Scholar

31 

Chhabra N and Kennedy J: A review of cancer immunotherapy toxicity: Immune checkpoint inhibitors. J Med Toxicol. 17:411–424. 2021.PubMed/NCBI View Article : Google Scholar

32 

Martins F, Sofiya L, Sykiotis GP, Lamine F, Maillard M, Fraga M, Shabafrouz K, Ribi C, Cairoli A, Guex-Crosier Y, et al: Adverse effects of immune-checkpoint inhibitors: Epidemiology, management and surveillance. Nat Rev Clin Oncol. 16:563–580. 2019.PubMed/NCBI View Article : Google Scholar

33 

Brahmer JR, Lacchetti C, Schneider BJ, Atkins MB, Brassil KJ, Caterino JM, Chau I, Ernstoff MS, Gardner JM, Ginex P, et al: Management of immune-related adverse events in patients treated with immune checkpoint inhibitor therapy: American society of clinical oncology clinical practice guideline. J Clin Oncol. 36:1714–1768. 2018.PubMed/NCBI View Article : Google Scholar

34 

Haanen JBAG, Carbonnel F, Robert C, Kerr KM, Peters S, Larkin J and Jordan K: ESMO Guidelines Committee. Management of toxicities from immunotherapy: ESMO clinical practice guidelines for diagnosis, treatment and follow-up. Ann Oncol. 28: (Suppl 4):iv119–iv142. 2017.PubMed/NCBI View Article : Google Scholar

35 

Antoniou KM, Margaritopoulos GA, Tomassetti S, Bonella F, Costabel U and Poletti V: Interstitial lung disease. Eur Respir Rev. 23:40–54. 2014.PubMed/NCBI View Article : Google Scholar

36 

Sears CR, Peikert T, Possick JD, Naidoo J, Nishino M, Patel SP, Camus P, Gaga M, Garon EB, Gould MK, et al: Knowledge gaps and research priorities in immune checkpoint inhibitor-related pneumonitis. An official American thoracic society research statement. Am J Respir Crit Care Med. 200:e31–e43. 2019.PubMed/NCBI View Article : Google Scholar

37 

Beigelman-Aubry C and Schmidt S: Pulmonary infections: Imaging with CT. In: Schoepf U, Meinel F (eds) Multidetector-Row CT of the Thorax. Medical Radiology. Springer, Cham, pp131-161, 2016.

38 

Cordier JF: Cryptogenic organising pneumonia. Eur Respir J. 28:422–446. 2006.PubMed/NCBI View Article : Google Scholar

39 

Cherian SV, Patel D, Machnicki S, Naidich D, Stover D, Travis WD, Brown KK, Naidich JJ, Mahajan A, Esposito M, et al: Algorithmic approach to the diagnosis of organizing pneumonia: A correlation of clinical, radiologic, and pathologic features. Chest. 162:156–178. 2022.PubMed/NCBI View Article : Google Scholar

40 

Godoy MCB, Viswanathan C, Marchiori E, Truong MT, Benveniste MF, Rossi S and Marom EM: The reversed halo sign: Update and differential diagnosis. Br J Radiol. 85:1226–1235. 2012.PubMed/NCBI View Article : Google Scholar

41 

Hashisako M and Fukuoka J: Pathology of idiopathic interstitial pneumonias. Clin Med Insights Circ Respir Pulm Med. 9 (Suppl 1):S123–S133. 2016.PubMed/NCBI View Article : Google Scholar

42 

Brixey AG, Oh AS, Alsamarraie A and Chung JH: Pictorial review of fibrotic interstitial lung disease on high-resolution CT scan and updated classification. Chest. 165:908–923. 2024.PubMed/NCBI View Article : Google Scholar

43 

Cozzi D, Cavigli E, Moroni C, Smorchkova O, Zantonelli G, Pradella S and Miele V: Ground-glass opacity (GGO): A review of the differential diagnosis in the era of COVID-19. Jpn J Radiol. 39:721–732. 2021.PubMed/NCBI View Article : Google Scholar

44 

Swenson KE and Swenson ER: Pathophysiology of acute respiratory distress syndrome and COVID-19 lung injury. Crit Care Clin. 37:749–776. 2021.PubMed/NCBI View Article : Google Scholar

45 

Nishino M, Sholl LM, Hodi FS, Hatabu H and Ramaiya NH: Anti-PD-1-related pneumonitis during cancer immunotherapy. N Engl J Med. 373:288–290. 2015.PubMed/NCBI View Article : Google Scholar

46 

Min JH, Lee HY, Lim H, Ahn MJ, Park K, Chung MP and Lee KS: Drug-induced interstitial lung disease in tyrosine kinase inhibitor therapy for non-small cell lung cancer: A review on current insight. Cancer Chemother Pharmacol. 68:1099–1109. 2011.PubMed/NCBI View Article : Google Scholar

47 

Rossi SE, Erasmus JJ, McAdams HP, Sporn TA and Goodman PC: Pulmonary drug toxicity: Radiologic and pathologic manifestations. Radiographics. 20:1245–1259. 2000.PubMed/NCBI View Article : Google Scholar

48 

Haanen J, Obeid M, Spain L, Carbonnel F, Wang Y, Robert C, Lyon AR, Wick W, Kostine M, Peters S, et al: Management of toxicities from immunotherapy: ESMO clinical practice guideline for diagnosis, treatment and follow-up. Ann Oncol. 33:1217–1238. 2022.PubMed/NCBI View Article : Google Scholar

49 

Mohammed N, Zhou RR and Xiong Z: Imaging evaluation of lung cancer treated with PD-1/PD-L1 inhibitors. Br J Radiol. 94(20210228)2021.PubMed/NCBI View Article : Google Scholar

50 

Vaddepally R, Doddamani R, Sodavarapu S, Madam NR, Katkar R, Kutadi AP, Mathew N, Garje R and Chandra AB: Review of immune-related adverse events (irAEs) in non-small-cell lung cancer (NSCLC)-their incidence, management, multiorgan irAEs, and rechallenge. Biomedicines. 10(790)2022.PubMed/NCBI View Article : Google Scholar

51 

Ferrara R, Mezquita L, Texier M, Lahmar J, Audigier-Valette C, Tessonnier L, Mazieres J, Zalcman G, Brosseau S, Le Moulec S, et al: Hyperprogressive disease in patients with advanced non-small cell lung cancer treated with PD-1/PD-L1 inhibitors or with single-agent chemotherapy. JAMA Oncol. 4:1543–1552. 2018.PubMed/NCBI View Article : Google Scholar

52 

Kanjanapan Y, Day D, Wang L, Al-Sawaihey H, Abbas E, Namini A, Siu LL, Hansen A, Razak AA, Spreafico A, et al: Hyperprogressive disease in early-phase immunotherapy trials: Clinical predictors and association with immune-related toxicities. Cancer. 125:1341–1349. 2019.PubMed/NCBI View Article : Google Scholar

53 

Kim CG, Kim KH, Pyo KH, Xin CF, Hong MH, Ahn BC, Kim Y, Choi SJ, Yoon HI, Lee JG, et al: Hyperprogressive disease during PD-1/PD-L1 blockade in patients with non-small-cell lung cancer. Ann Oncol. 30:1104–1113. 2019.PubMed/NCBI View Article : Google Scholar

54 

Naidoo J, Nishino M, Patel SP, Shankar B, Rekhtman N, Illei P and Camus P: Immune-related pneumonitis after chemoradiotherapy and subsequent immune checkpoint blockade in unresectable stage III non-small-cell lung cancer. Clin Lung Cancer. 21:e435–e444. 2020.PubMed/NCBI View Article : Google Scholar

55 

Delaunay M, Prévot G, Collot S, Guilleminault L, Didier A and Mazières J: Management of pulmonary toxicity associated with immune checkpoint inhibitors. Eur Respir Rev. 28(190012)2019.PubMed/NCBI View Article : Google Scholar

Related Articles

  • Abstract
  • View
  • Download
  • Twitter
Copy and paste a formatted citation
Spandidos Publications style
Lavalle S, Masiello E, Valerio MR, Aliprandi A, Scandurra G, Gebbia V and Sambataro D: Immune checkpoint inhibitor therapy‑related pneumonitis: How, when and why to diagnose and manage (Review). Exp Ther Med 28: 381, 2024.
APA
Lavalle, S., Masiello, E., Valerio, M.R., Aliprandi, A., Scandurra, G., Gebbia, V., & Sambataro, D. (2024). Immune checkpoint inhibitor therapy‑related pneumonitis: How, when and why to diagnose and manage (Review). Experimental and Therapeutic Medicine, 28, 381. https://doi.org/10.3892/etm.2024.12670
MLA
Lavalle, S., Masiello, E., Valerio, M. R., Aliprandi, A., Scandurra, G., Gebbia, V., Sambataro, D."Immune checkpoint inhibitor therapy‑related pneumonitis: How, when and why to diagnose and manage (Review)". Experimental and Therapeutic Medicine 28.4 (2024): 381.
Chicago
Lavalle, S., Masiello, E., Valerio, M. R., Aliprandi, A., Scandurra, G., Gebbia, V., Sambataro, D."Immune checkpoint inhibitor therapy‑related pneumonitis: How, when and why to diagnose and manage (Review)". Experimental and Therapeutic Medicine 28, no. 4 (2024): 381. https://doi.org/10.3892/etm.2024.12670
Copy and paste a formatted citation
x
Spandidos Publications style
Lavalle S, Masiello E, Valerio MR, Aliprandi A, Scandurra G, Gebbia V and Sambataro D: Immune checkpoint inhibitor therapy‑related pneumonitis: How, when and why to diagnose and manage (Review). Exp Ther Med 28: 381, 2024.
APA
Lavalle, S., Masiello, E., Valerio, M.R., Aliprandi, A., Scandurra, G., Gebbia, V., & Sambataro, D. (2024). Immune checkpoint inhibitor therapy‑related pneumonitis: How, when and why to diagnose and manage (Review). Experimental and Therapeutic Medicine, 28, 381. https://doi.org/10.3892/etm.2024.12670
MLA
Lavalle, S., Masiello, E., Valerio, M. R., Aliprandi, A., Scandurra, G., Gebbia, V., Sambataro, D."Immune checkpoint inhibitor therapy‑related pneumonitis: How, when and why to diagnose and manage (Review)". Experimental and Therapeutic Medicine 28.4 (2024): 381.
Chicago
Lavalle, S., Masiello, E., Valerio, M. R., Aliprandi, A., Scandurra, G., Gebbia, V., Sambataro, D."Immune checkpoint inhibitor therapy‑related pneumonitis: How, when and why to diagnose and manage (Review)". Experimental and Therapeutic Medicine 28, no. 4 (2024): 381. https://doi.org/10.3892/etm.2024.12670
Follow us
  • Twitter
  • LinkedIn
  • Facebook
About
  • Spandidos Publications
  • Careers
  • Cookie Policy
  • Privacy Policy
How can we help?
  • Help
  • Live Chat
  • Contact
  • Email to our Support Team