Spandidos Publications Logo
  • About
    • About Spandidos
    • Aims and Scopes
    • Abstracting and Indexing
    • Editorial Policies
    • Reprints and Permissions
    • Job Opportunities
    • Terms and Conditions
    • Contact
  • Journals
    • All Journals
    • Oncology Letters
      • Oncology Letters
      • Information for Authors
      • Editorial Policies
      • Editorial Board
      • Aims and Scope
      • Abstracting and Indexing
      • Bibliographic Information
      • Archive
    • International Journal of Oncology
      • International Journal of Oncology
      • Information for Authors
      • Editorial Policies
      • Editorial Board
      • Aims and Scope
      • Abstracting and Indexing
      • Bibliographic Information
      • Archive
    • Molecular and Clinical Oncology
      • Molecular and Clinical Oncology
      • Information for Authors
      • Editorial Policies
      • Editorial Board
      • Aims and Scope
      • Abstracting and Indexing
      • Bibliographic Information
      • Archive
    • Experimental and Therapeutic Medicine
      • Experimental and Therapeutic Medicine
      • Information for Authors
      • Editorial Policies
      • Editorial Board
      • Aims and Scope
      • Abstracting and Indexing
      • Bibliographic Information
      • Archive
    • International Journal of Molecular Medicine
      • International Journal of Molecular Medicine
      • Information for Authors
      • Editorial Policies
      • Editorial Board
      • Aims and Scope
      • Abstracting and Indexing
      • Bibliographic Information
      • Archive
    • Biomedical Reports
      • Biomedical Reports
      • Information for Authors
      • Editorial Policies
      • Editorial Board
      • Aims and Scope
      • Abstracting and Indexing
      • Bibliographic Information
      • Archive
    • Oncology Reports
      • Oncology Reports
      • Information for Authors
      • Editorial Policies
      • Editorial Board
      • Aims and Scope
      • Abstracting and Indexing
      • Bibliographic Information
      • Archive
    • Molecular Medicine Reports
      • Molecular Medicine Reports
      • Information for Authors
      • Editorial Policies
      • Editorial Board
      • Aims and Scope
      • Abstracting and Indexing
      • Bibliographic Information
      • Archive
    • World Academy of Sciences Journal
      • World Academy of Sciences Journal
      • Information for Authors
      • Editorial Policies
      • Editorial Board
      • Aims and Scope
      • Abstracting and Indexing
      • Bibliographic Information
      • Archive
    • International Journal of Functional Nutrition
      • International Journal of Functional Nutrition
      • Information for Authors
      • Editorial Policies
      • Editorial Board
      • Aims and Scope
      • Abstracting and Indexing
      • Bibliographic Information
      • Archive
    • International Journal of Epigenetics
      • International Journal of Epigenetics
      • Information for Authors
      • Editorial Policies
      • Editorial Board
      • Aims and Scope
      • Abstracting and Indexing
      • Bibliographic Information
      • Archive
    • Medicine International
      • Medicine International
      • Information for Authors
      • Editorial Policies
      • Editorial Board
      • Aims and Scope
      • Abstracting and Indexing
      • Bibliographic Information
      • Archive
  • Articles
  • Information
    • Information for Authors
    • Information for Reviewers
    • Information for Librarians
    • Information for Advertisers
    • Conferences
  • Language Editing
Spandidos Publications Logo
  • About
    • About Spandidos
    • Aims and Scopes
    • Abstracting and Indexing
    • Editorial Policies
    • Reprints and Permissions
    • Job Opportunities
    • Terms and Conditions
    • Contact
  • Journals
    • All Journals
    • Biomedical Reports
      • Information for Authors
      • Editorial Policies
      • Editorial Board
      • Aims and Scope
      • Abstracting and Indexing
      • Bibliographic Information
      • Archive
    • Experimental and Therapeutic Medicine
      • Information for Authors
      • Editorial Policies
      • Editorial Board
      • Aims and Scope
      • Abstracting and Indexing
      • Bibliographic Information
      • Archive
    • International Journal of Epigenetics
      • Information for Authors
      • Editorial Policies
      • Editorial Board
      • Aims and Scope
      • Abstracting and Indexing
      • Bibliographic Information
      • Archive
    • International Journal of Functional Nutrition
      • Information for Authors
      • Editorial Policies
      • Editorial Board
      • Aims and Scope
      • Abstracting and Indexing
      • Bibliographic Information
      • Archive
    • International Journal of Molecular Medicine
      • Information for Authors
      • Editorial Policies
      • Editorial Board
      • Aims and Scope
      • Abstracting and Indexing
      • Bibliographic Information
      • Archive
    • International Journal of Oncology
      • Information for Authors
      • Editorial Policies
      • Editorial Board
      • Aims and Scope
      • Abstracting and Indexing
      • Bibliographic Information
      • Archive
    • Medicine International
      • Information for Authors
      • Editorial Policies
      • Editorial Board
      • Aims and Scope
      • Abstracting and Indexing
      • Bibliographic Information
      • Archive
    • Molecular and Clinical Oncology
      • Information for Authors
      • Editorial Policies
      • Editorial Board
      • Aims and Scope
      • Abstracting and Indexing
      • Bibliographic Information
      • Archive
    • Molecular Medicine Reports
      • Information for Authors
      • Editorial Policies
      • Editorial Board
      • Aims and Scope
      • Abstracting and Indexing
      • Bibliographic Information
      • Archive
    • Oncology Letters
      • Information for Authors
      • Editorial Policies
      • Editorial Board
      • Aims and Scope
      • Abstracting and Indexing
      • Bibliographic Information
      • Archive
    • Oncology Reports
      • Information for Authors
      • Editorial Policies
      • Editorial Board
      • Aims and Scope
      • Abstracting and Indexing
      • Bibliographic Information
      • Archive
    • World Academy of Sciences Journal
      • Information for Authors
      • Editorial Policies
      • Editorial Board
      • Aims and Scope
      • Abstracting and Indexing
      • Bibliographic Information
      • Archive
  • Articles
  • Information
    • For Authors
    • For Reviewers
    • For Librarians
    • For Advertisers
    • Conferences
  • Language Editing
Login Register Submit
  • This site uses cookies
  • You can change your cookie settings at any time by following the instructions in our Cookie Policy. To find out more, you may read our Privacy Policy.

    I agree
Search articles by DOI, keyword, author or affiliation
Search
Advanced Search
presentation
Experimental and Therapeutic Medicine
Join Editorial Board Propose a Special Issue
Print ISSN: 1792-0981 Online ISSN: 1792-1015
Journal Cover
October-2024 Volume 28 Issue 4

Full Size Image

Sign up for eToc alerts
Recommend to Library

Journals

International Journal of Molecular Medicine

International Journal of Molecular Medicine

International Journal of Molecular Medicine is an international journal devoted to molecular mechanisms of human disease.

International Journal of Oncology

International Journal of Oncology

International Journal of Oncology is an international journal devoted to oncology research and cancer treatment.

Molecular Medicine Reports

Molecular Medicine Reports

Covers molecular medicine topics such as pharmacology, pathology, genetics, neuroscience, infectious diseases, molecular cardiology, and molecular surgery.

Oncology Reports

Oncology Reports

Oncology Reports is an international journal devoted to fundamental and applied research in Oncology.

Experimental and Therapeutic Medicine

Experimental and Therapeutic Medicine

Experimental and Therapeutic Medicine is an international journal devoted to laboratory and clinical medicine.

Oncology Letters

Oncology Letters

Oncology Letters is an international journal devoted to Experimental and Clinical Oncology.

Biomedical Reports

Biomedical Reports

Explores a wide range of biological and medical fields, including pharmacology, genetics, microbiology, neuroscience, and molecular cardiology.

Molecular and Clinical Oncology

Molecular and Clinical Oncology

International journal addressing all aspects of oncology research, from tumorigenesis and oncogenes to chemotherapy and metastasis.

World Academy of Sciences Journal

World Academy of Sciences Journal

Multidisciplinary open-access journal spanning biochemistry, genetics, neuroscience, environmental health, and synthetic biology.

International Journal of Functional Nutrition

International Journal of Functional Nutrition

Open-access journal combining biochemistry, pharmacology, immunology, and genetics to advance health through functional nutrition.

International Journal of Epigenetics

International Journal of Epigenetics

Publishes open-access research on using epigenetics to advance understanding and treatment of human disease.

Medicine International

Medicine International

An International Open Access Journal Devoted to General Medicine.

Journal Cover
October-2024 Volume 28 Issue 4

Full Size Image

Sign up for eToc alerts
Recommend to Library

  • Article
  • Citations
    • Cite This Article
    • Download Citation
    • Create Citation Alert
    • Remove Citation Alert
    • Cited By
  • Similar Articles
    • Related Articles (in Spandidos Publications)
    • Similar Articles (Google Scholar)
    • Similar Articles (PubMed)
  • Download PDF
  • Download XML
  • View XML

  • Supplementary Files
    • Supplementary_Data.pdf
Case Report Open Access

Angiomyxoma coexisting with focal nodular hyperplasia: A case report

  • Authors:
    • Xin Li
    • Wanghong Li
    • Chen Liu
    • Kai Xu
    • Chao Yi
    • Jintian Tang
    • Zhiying Jia
    • Xinxia Li
    • Yong Zhou
    • Boqing Wang
  • View Affiliations / Copyright

    Affiliations: Department of Hepatopancreatobiliary Surgery, The Affiliated Tumor Hospital of Xinjiang Medical University, Urumqi, Xinjiang Uygur Autonomous Region 830011, P.R. China, Department of Hepatopancreatobiliary Surgery, The Affiliated Tumor Hospital of Xinjiang Medical University, Urumqi, Xinjiang Uygur Autonomous Region 830011, P.R. China, Department of Ultrasound, Affiliated Tumor Hospital of Xinjiang Medical University, Urumqi, Xinjiang Uygur Autonomous Region 830011, P.R. China, Department of Pathology, Affiliated Tumor Hospital of Xinjiang Medical University, Urumqi, Xinjiang Uygur Autonomous Region 830011, P.R. China, Medical Imaging Center, Affiliated Tumor Hospital of Xinjiang Medical University, Urumqi, Xinjiang Uygur Autonomous Region 830011, P.R. China
    Copyright: © Li et al. This is an open access article distributed under the terms of Creative Commons Attribution License.
  • Article Number: 386
    |
    Published online on: August 2, 2024
       https://doi.org/10.3892/etm.2024.12675
  • Expand metrics +
Metrics: Total Views: 0 (Spandidos Publications: | PMC Statistics: )
Metrics: Total PDF Downloads: 0 (Spandidos Publications: | PMC Statistics: )
Cited By (CrossRef): 0 citations Loading Articles...

This article is mentioned in:



Abstract

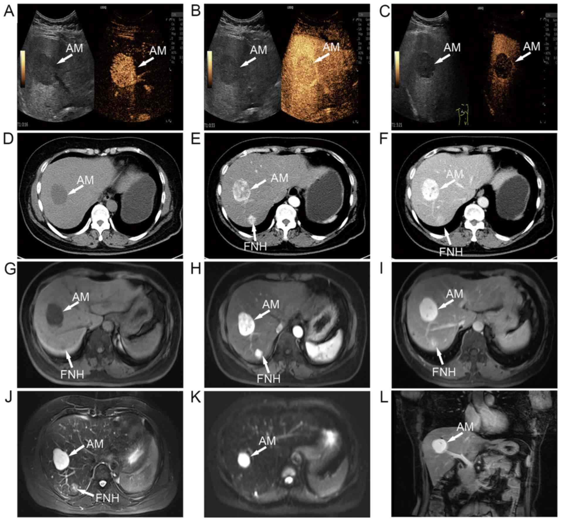
Angiomyxoma (AM) occurs almost exclusively in the soft tissues of the pelvic and perineal regions. AM is a highly uncommon condition that can be easily misdiagnosed when it is present in other regions of the body. The current study presents a case in which AM of the liver coexisted with focal nodular hyperplasia (FNH). A 56‑year‑old woman presented with two space‑occupying lesions of the liver without any other clinical symptoms, and it was not easy to definitively diagnose the two intrahepatic lesions by imaging examinations. Due to the low incidence of AM in the liver, precise and clear clinical information on the condition is still unavailable, and the lesion was initially misdiagnosed as other hepatic tumors preoperatively. Once a tumor resection had been performed, a histopathological examination revealed that the microscopic features of the lesions were consistent with those of AM and FNH. The patient was followed up for 1 year, and no recurrence or metastasis was found. Surgical excision is an effective treatment for AM, and long‑term follow‑up is essential due to the risk of recurrence. The joint presentation of AM and FNH is rare in clinical practice, and although FNH of the liver is commonly reported, the difficulty of diagnosis increases when both conditions occur at the same time. Therefore, it is necessary to assist clinicians in making informed decisions regarding diagnosis and treatment.
View Figures

Figure 1

Figure 2

View References

1 

Sun J, Lian PH, Ye ZX, Dong X, Ji ZG, Wen J and Li HZ: Aggressive angiomyxoma in the scrotum: A case series and literature review. Front Surg. 9(762212)2022.PubMed/NCBI View Article : Google Scholar

2 

Li W, Chen J, Zhang E, Chen W, Hu Y, Miao C and Luo C: Characteristics and outcomes of patients with primary abdominopelvic aggressive angiomyxoma: A retrospective review of 12 consecutive cases from a sarcoma referral center. BMC Surg. 23(88)2023.PubMed/NCBI View Article : Google Scholar

3 

Ding Z, Lin K, Fu J, Huang Q, Fang G, Tang Y, You W, Lin Z, Lin Z, Pan X and Zeng Y: An MR-based radiomics model for differentiation between hepatocellular carcinoma and focal nodular hyperplasia in non-cirrhotic liver. World J Surg Oncol. 19(181)2021.PubMed/NCBI View Article : Google Scholar

4 

Steeper TA and Rosai J: Aggressive angiomyxoma of the female pelvis and perineum. Report of nine cases of a distinctive type of gynecologic soft-tissue neoplasm. Am J Surg Pathol. 7:463–475. 1983.PubMed/NCBI View Article : Google Scholar

5 

Qi S, Li B, Peng J, Wang P, Li W, Chen Y, Cui X, Liu C and Li F: Aggressive angiomyxoma of the liver: A case report. Int J Clin Exp Med. 8:15862–15865. 2015.PubMed/NCBI

6 

Sato K, Ohira M, Shimizu S, Kuroda S, Ide K, Ishiyama K, Kobayashi T, Tahara H, Shiroma N, Arihiro K, et al: Aggressive angiomyxoma of the liver: A case report and literature review. Surg Case Rep. 3(92)2017.PubMed/NCBI View Article : Google Scholar

7 

Malik AK, Filobbos R, Manoharan A, Harvey N, O'Reilly DA and de Liguori Carino N: A case report of an angiomyxoma in the liver. Ann R Coll Surg Engl. 100:e81–e84. 2018.PubMed/NCBI View Article : Google Scholar

8 

Sun PJ, Yu YH and Cui XJ: Large aggressive angiomyxoma of the liver: A case report and brief review of the literature. Front Oncol. 9(133)2019.PubMed/NCBI View Article : Google Scholar

9 

Zhao CY, Su N, Jiang YX and Yang M: Application of ultrasound in aggressive angiomyxoma: Eight case reports and review of literature. World J Clin Cases. 6:811–819. 2018.PubMed/NCBI View Article : Google Scholar

10 

Kumar N, Goyal A, Manchanda S, Sharma R, Kumar A and Bansal VK: Aggressive pelvic angiomyxoma and its mimics: Can imaging be the guiding light? Br J Radiol. 93(20200255)2020.PubMed/NCBI View Article : Google Scholar

11 

Qiu P, Wang Z, Li Y and Cui G: Giant pelvic angiomyofibroblastoma: Case report and literature review. Diagn Pathol. 9(106)2014.PubMed/NCBI View Article : Google Scholar

12 

Wang YF, Qian HL and Jin HM: Local recurrent vaginal aggressive angiomyxoma misdiagnosed as cellular angiomyofibroblastoma: A case report. Exp Ther Med. 11:1893–1895. 2016.PubMed/NCBI View Article : Google Scholar

13 

Shaker N, Iwenofu H, Shaker N, Tynski Z, Sangueza OP and Abid A: Myxoid neurofibroma masquerading as lymphatic-venous malformation and poses a diagnostic challenge on fine needle aspiration biopsy. Diagn Cytopathol. 52:E111–E115. 2024.PubMed/NCBI View Article : Google Scholar

14 

De Vita A, Mercatali L, Recine F, Pieri F, Riva N, Bongiovanni A, Liverani C, Spadazzi C, Miserocchi G, Amadori D and Ibrahim T: Current classification, treatment options, and new perspectives in the management of adipocytic sarcomas. Onco Targets Ther. 9:6233–6246. 2016.PubMed/NCBI View Article : Google Scholar

15 

Qian XH, Yan YC, Gao BQ and Wang WL: Prevalence, diagnosis, and treatment of primary hepatic gastrointestinal stromal tumors. World J Gastroenterol. 26:6195–6206. 2020.PubMed/NCBI View Article : Google Scholar

16 

Wakui N, Takayama R, Kamiyama N, Kobayashi K, Matsui D, Matsukiyo Y, Kanekawa T, Ikehara T, Ishii K and Sumino Y: Arrival time parametric imaging using Sonazoid-enhanced ultrasonography is useful for the detection of spoke-wheel patterns of focal nodular hyperplasia smaller than 3 cm. Exp Ther Med. 5:1551–1554. 2013.PubMed/NCBI View Article : Google Scholar

17 

Lin XM, Wang L and Wang Q: Aggressive angiomyxoma of pelvis: A case report and literature review. Medicine (Baltimore). 101(e31617)2022.PubMed/NCBI View Article : Google Scholar

18 

Fukahori S, Kawano T, Obase Y, Umeyama Y, Sugasaki N, Kinoshita A, Fukushima C, Yamakawa M, Omagari K and Mukae H: Fluctuation of hepatic focal nodular hyperplasia size with oral contraceptives use. Am J Case Rep. 20:1124–1127. 2019.PubMed/NCBI View Article : Google Scholar

19 

LeGout JD, Bolan CW, Bowman AW, Caserta MP, Chen FK, Cox KL, Sanyal R, Toskich BB, Lewis JT and Alexander LF: Focal nodular hyperplasia and focal nodular hyperplasia-like lesions. Radiographics. 42:1043–1061. 2022.PubMed/NCBI View Article : Google Scholar

20 

Gay F, Champigneulle J, Tortuyaux JM, Cuny T, Régent D and Laurent-Croisé V: Aggressive angiomyxoma. Diagn Interv Imaging. 94:657–661. 2013.PubMed/NCBI View Article : Google Scholar

21 

Gorgulu G, Kole M, Ayaz D, Kuru O, Gokcu M and Sanci M: Aggressive Angiomyxoma. A case series of eight years of experience. Ann Ital Chir. 93:562–565. 2022.PubMed/NCBI

Related Articles

  • Abstract
  • View
  • Download
  • Twitter
Copy and paste a formatted citation
Spandidos Publications style
Li X, Li W, Liu C, Xu K, Yi C, Tang J, Jia Z, Li X, Zhou Y, Wang B, Wang B, et al: Angiomyxoma coexisting with focal nodular hyperplasia: A case report. Exp Ther Med 28: 386, 2024.
APA
Li, X., Li, W., Liu, C., Xu, K., Yi, C., Tang, J. ... Wang, B. (2024). Angiomyxoma coexisting with focal nodular hyperplasia: A case report. Experimental and Therapeutic Medicine, 28, 386. https://doi.org/10.3892/etm.2024.12675
MLA
Li, X., Li, W., Liu, C., Xu, K., Yi, C., Tang, J., Jia, Z., Li, X., Zhou, Y., Wang, B."Angiomyxoma coexisting with focal nodular hyperplasia: A case report". Experimental and Therapeutic Medicine 28.4 (2024): 386.
Chicago
Li, X., Li, W., Liu, C., Xu, K., Yi, C., Tang, J., Jia, Z., Li, X., Zhou, Y., Wang, B."Angiomyxoma coexisting with focal nodular hyperplasia: A case report". Experimental and Therapeutic Medicine 28, no. 4 (2024): 386. https://doi.org/10.3892/etm.2024.12675
Copy and paste a formatted citation
x
Spandidos Publications style
Li X, Li W, Liu C, Xu K, Yi C, Tang J, Jia Z, Li X, Zhou Y, Wang B, Wang B, et al: Angiomyxoma coexisting with focal nodular hyperplasia: A case report. Exp Ther Med 28: 386, 2024.
APA
Li, X., Li, W., Liu, C., Xu, K., Yi, C., Tang, J. ... Wang, B. (2024). Angiomyxoma coexisting with focal nodular hyperplasia: A case report. Experimental and Therapeutic Medicine, 28, 386. https://doi.org/10.3892/etm.2024.12675
MLA
Li, X., Li, W., Liu, C., Xu, K., Yi, C., Tang, J., Jia, Z., Li, X., Zhou, Y., Wang, B."Angiomyxoma coexisting with focal nodular hyperplasia: A case report". Experimental and Therapeutic Medicine 28.4 (2024): 386.
Chicago
Li, X., Li, W., Liu, C., Xu, K., Yi, C., Tang, J., Jia, Z., Li, X., Zhou, Y., Wang, B."Angiomyxoma coexisting with focal nodular hyperplasia: A case report". Experimental and Therapeutic Medicine 28, no. 4 (2024): 386. https://doi.org/10.3892/etm.2024.12675
Follow us
  • Twitter
  • LinkedIn
  • Facebook
About
  • Spandidos Publications
  • Careers
  • Cookie Policy
  • Privacy Policy
How can we help?
  • Help
  • Live Chat
  • Contact
  • Email to our Support Team