Spandidos Publications Logo
  • About
    • About Spandidos
    • Aims and Scopes
    • Abstracting and Indexing
    • Editorial Policies
    • Reprints and Permissions
    • Job Opportunities
    • Terms and Conditions
    • Contact
  • Journals
    • All Journals
    • Oncology Letters
      • Oncology Letters
      • Information for Authors
      • Editorial Policies
      • Editorial Board
      • Aims and Scope
      • Abstracting and Indexing
      • Bibliographic Information
      • Archive
    • International Journal of Oncology
      • International Journal of Oncology
      • Information for Authors
      • Editorial Policies
      • Editorial Board
      • Aims and Scope
      • Abstracting and Indexing
      • Bibliographic Information
      • Archive
    • Molecular and Clinical Oncology
      • Molecular and Clinical Oncology
      • Information for Authors
      • Editorial Policies
      • Editorial Board
      • Aims and Scope
      • Abstracting and Indexing
      • Bibliographic Information
      • Archive
    • Experimental and Therapeutic Medicine
      • Experimental and Therapeutic Medicine
      • Information for Authors
      • Editorial Policies
      • Editorial Board
      • Aims and Scope
      • Abstracting and Indexing
      • Bibliographic Information
      • Archive
    • International Journal of Molecular Medicine
      • International Journal of Molecular Medicine
      • Information for Authors
      • Editorial Policies
      • Editorial Board
      • Aims and Scope
      • Abstracting and Indexing
      • Bibliographic Information
      • Archive
    • Biomedical Reports
      • Biomedical Reports
      • Information for Authors
      • Editorial Policies
      • Editorial Board
      • Aims and Scope
      • Abstracting and Indexing
      • Bibliographic Information
      • Archive
    • Oncology Reports
      • Oncology Reports
      • Information for Authors
      • Editorial Policies
      • Editorial Board
      • Aims and Scope
      • Abstracting and Indexing
      • Bibliographic Information
      • Archive
    • Molecular Medicine Reports
      • Molecular Medicine Reports
      • Information for Authors
      • Editorial Policies
      • Editorial Board
      • Aims and Scope
      • Abstracting and Indexing
      • Bibliographic Information
      • Archive
    • World Academy of Sciences Journal
      • World Academy of Sciences Journal
      • Information for Authors
      • Editorial Policies
      • Editorial Board
      • Aims and Scope
      • Abstracting and Indexing
      • Bibliographic Information
      • Archive
    • International Journal of Functional Nutrition
      • International Journal of Functional Nutrition
      • Information for Authors
      • Editorial Policies
      • Editorial Board
      • Aims and Scope
      • Abstracting and Indexing
      • Bibliographic Information
      • Archive
    • International Journal of Epigenetics
      • International Journal of Epigenetics
      • Information for Authors
      • Editorial Policies
      • Editorial Board
      • Aims and Scope
      • Abstracting and Indexing
      • Bibliographic Information
      • Archive
    • Medicine International
      • Medicine International
      • Information for Authors
      • Editorial Policies
      • Editorial Board
      • Aims and Scope
      • Abstracting and Indexing
      • Bibliographic Information
      • Archive
  • Articles
  • Information
    • Information for Authors
    • Information for Reviewers
    • Information for Librarians
    • Information for Advertisers
    • Conferences
  • Language Editing
Spandidos Publications Logo
  • About
    • About Spandidos
    • Aims and Scopes
    • Abstracting and Indexing
    • Editorial Policies
    • Reprints and Permissions
    • Job Opportunities
    • Terms and Conditions
    • Contact
  • Journals
    • All Journals
    • Biomedical Reports
      • Information for Authors
      • Editorial Policies
      • Editorial Board
      • Aims and Scope
      • Abstracting and Indexing
      • Bibliographic Information
      • Archive
    • Experimental and Therapeutic Medicine
      • Information for Authors
      • Editorial Policies
      • Editorial Board
      • Aims and Scope
      • Abstracting and Indexing
      • Bibliographic Information
      • Archive
    • International Journal of Epigenetics
      • Information for Authors
      • Editorial Policies
      • Editorial Board
      • Aims and Scope
      • Abstracting and Indexing
      • Bibliographic Information
      • Archive
    • International Journal of Functional Nutrition
      • Information for Authors
      • Editorial Policies
      • Editorial Board
      • Aims and Scope
      • Abstracting and Indexing
      • Bibliographic Information
      • Archive
    • International Journal of Molecular Medicine
      • Information for Authors
      • Editorial Policies
      • Editorial Board
      • Aims and Scope
      • Abstracting and Indexing
      • Bibliographic Information
      • Archive
    • International Journal of Oncology
      • Information for Authors
      • Editorial Policies
      • Editorial Board
      • Aims and Scope
      • Abstracting and Indexing
      • Bibliographic Information
      • Archive
    • Medicine International
      • Information for Authors
      • Editorial Policies
      • Editorial Board
      • Aims and Scope
      • Abstracting and Indexing
      • Bibliographic Information
      • Archive
    • Molecular and Clinical Oncology
      • Information for Authors
      • Editorial Policies
      • Editorial Board
      • Aims and Scope
      • Abstracting and Indexing
      • Bibliographic Information
      • Archive
    • Molecular Medicine Reports
      • Information for Authors
      • Editorial Policies
      • Editorial Board
      • Aims and Scope
      • Abstracting and Indexing
      • Bibliographic Information
      • Archive
    • Oncology Letters
      • Information for Authors
      • Editorial Policies
      • Editorial Board
      • Aims and Scope
      • Abstracting and Indexing
      • Bibliographic Information
      • Archive
    • Oncology Reports
      • Information for Authors
      • Editorial Policies
      • Editorial Board
      • Aims and Scope
      • Abstracting and Indexing
      • Bibliographic Information
      • Archive
    • World Academy of Sciences Journal
      • Information for Authors
      • Editorial Policies
      • Editorial Board
      • Aims and Scope
      • Abstracting and Indexing
      • Bibliographic Information
      • Archive
  • Articles
  • Information
    • For Authors
    • For Reviewers
    • For Librarians
    • For Advertisers
    • Conferences
  • Language Editing
Login Register Submit
  • This site uses cookies
  • You can change your cookie settings at any time by following the instructions in our Cookie Policy. To find out more, you may read our Privacy Policy.

    I agree
Search articles by DOI, keyword, author or affiliation
Search
Advanced Search
presentation
Experimental and Therapeutic Medicine
Join Editorial Board Propose a Special Issue
Print ISSN: 1792-0981 Online ISSN: 1792-1015
Journal Cover
March-2025 Volume 29 Issue 3

Full Size Image

Sign up for eToc alerts
Recommend to Library

Journals

International Journal of Molecular Medicine

International Journal of Molecular Medicine

International Journal of Molecular Medicine is an international journal devoted to molecular mechanisms of human disease.

International Journal of Oncology

International Journal of Oncology

International Journal of Oncology is an international journal devoted to oncology research and cancer treatment.

Molecular Medicine Reports

Molecular Medicine Reports

Covers molecular medicine topics such as pharmacology, pathology, genetics, neuroscience, infectious diseases, molecular cardiology, and molecular surgery.

Oncology Reports

Oncology Reports

Oncology Reports is an international journal devoted to fundamental and applied research in Oncology.

Experimental and Therapeutic Medicine

Experimental and Therapeutic Medicine

Experimental and Therapeutic Medicine is an international journal devoted to laboratory and clinical medicine.

Oncology Letters

Oncology Letters

Oncology Letters is an international journal devoted to Experimental and Clinical Oncology.

Biomedical Reports

Biomedical Reports

Explores a wide range of biological and medical fields, including pharmacology, genetics, microbiology, neuroscience, and molecular cardiology.

Molecular and Clinical Oncology

Molecular and Clinical Oncology

International journal addressing all aspects of oncology research, from tumorigenesis and oncogenes to chemotherapy and metastasis.

World Academy of Sciences Journal

World Academy of Sciences Journal

Multidisciplinary open-access journal spanning biochemistry, genetics, neuroscience, environmental health, and synthetic biology.

International Journal of Functional Nutrition

International Journal of Functional Nutrition

Open-access journal combining biochemistry, pharmacology, immunology, and genetics to advance health through functional nutrition.

International Journal of Epigenetics

International Journal of Epigenetics

Publishes open-access research on using epigenetics to advance understanding and treatment of human disease.

Medicine International

Medicine International

An International Open Access Journal Devoted to General Medicine.

Journal Cover
March-2025 Volume 29 Issue 3

Full Size Image

Sign up for eToc alerts
Recommend to Library

  • Article
  • Citations
    • Cite This Article
    • Download Citation
    • Create Citation Alert
    • Remove Citation Alert
    • Cited By
  • Similar Articles
    • Related Articles (in Spandidos Publications)
    • Similar Articles (Google Scholar)
    • Similar Articles (PubMed)
  • Download PDF
  • Download XML
  • View XML
Case Report Open Access

Renal venous hemangioma: Report of a rare case

  • Authors:
    • Jun Liu
    • Yunpeng Li
    • Rui Yang
    • Liang Zhang
    • Xiong Zhang
    • Jian Wang
    • Yaqing Qi
    • Jun Qian
    • Jiaxi Yao
  • View Affiliations / Copyright

    Affiliations: Department of Urology, Ganzhou District People's Hospital, Zhangye, Gansu 734000, P.R. China, Department of Urology, Hexi University Affiliated Zhangye People's Hospital, Zhangye, Gansu 734000, P.R. China, Xiangya Medical College, Central South University, Changsha, Hunan 410013, P.R. China, Department of Surgery, Shandan County Traditional Chinese Medicine Hospital, Zhangye, Gansu 734000, P.R. China, Department of Pathology, Hexi University Affiliated Zhangye People's Hospital, Zhangye, Gansu 734000, P.R. China, Department of Imaging Center, Hexi University Affiliated Zhangye People's Hospital, Zhangye, Gansu 734000, P.R. China, Institute of Urology, Hexi University, Zhangye, Gansu 734000, P.R. China
    Copyright: © Liu et al. This is an open access article distributed under the terms of Creative Commons Attribution License.
  • Article Number: 60
    |
    Published online on: January 27, 2025
       https://doi.org/10.3892/etm.2025.12810
  • Expand metrics +
Metrics: Total Views: 0 (Spandidos Publications: | PMC Statistics: )
Metrics: Total PDF Downloads: 0 (Spandidos Publications: | PMC Statistics: )
Cited By (CrossRef): 0 citations Loading Articles...

This article is mentioned in:



Abstract

Renal hemangiomas are typically asymptomatic and considered benign lesions. Arterial hemangiomas are common; however, venous hemangiomas are extremely rare and frequently found incidentally during imaging examinations, which can result in misdiagnosis. The present study reported the case of a 37‑year‑old man with renal vein hemangioma, initially diagnosed as a left retroperitoneal space‑occupying lesion on computed tomography (CT). The patient complained of frequent urination for 1 week, urgency for 1 week and hematuria for 1 day. Renal CT revealed a 3‑cm space‑occupying lesion in the left retroperitoneum. Subsequently, surgical resection was performed and the venous hemangioma was identified as a left renal vein aneurysm. Due to the rarity of venous hemangioma and the lack of standardized imaging criteria, it is frequently misdiagnosed, making its preoperative diagnosis challenging. The present study summarized and reported this rare case to serve as a reference for clinical physicians.

Introduction

A hemangioma is a benign vascular mass lesion that can occur in various parts of the body, including the kidneys, liver, head, bladder and neck. They are rare, isolated, small and usually unilateral (1-3). Hemangiomas can have sponge-like, capillary-like or fibrous shapes; however, venous hemangioma is a rarer subtype with non-specific clinical manifestations (4). Certain patients seek medical attention for hematuria; however, most patients are asymptomatic. Hemangiomas are typically discovered incidentally during physical or surgical examinations. Due to the rarity of venous hemangioma, its preoperative diagnosis is challenging and can often lead to misdiagnosis. Enhanced computed tomography (CT) cannot completely distinguish between retroperitoneal and renal venous hemangioma (5,6). Although diagnosis is challenging, these venous hemangiomas are benign with a good prognosis. Most patients receive a definitive diagnosis during surgery and ultimate confirmation through pathological examination (7). The present study reported the case of a patient with renal vein hemangioma that was initially detected as a left retroperitoneal mass on CT and confirmed via histopathological examination postoperatively.

Case report

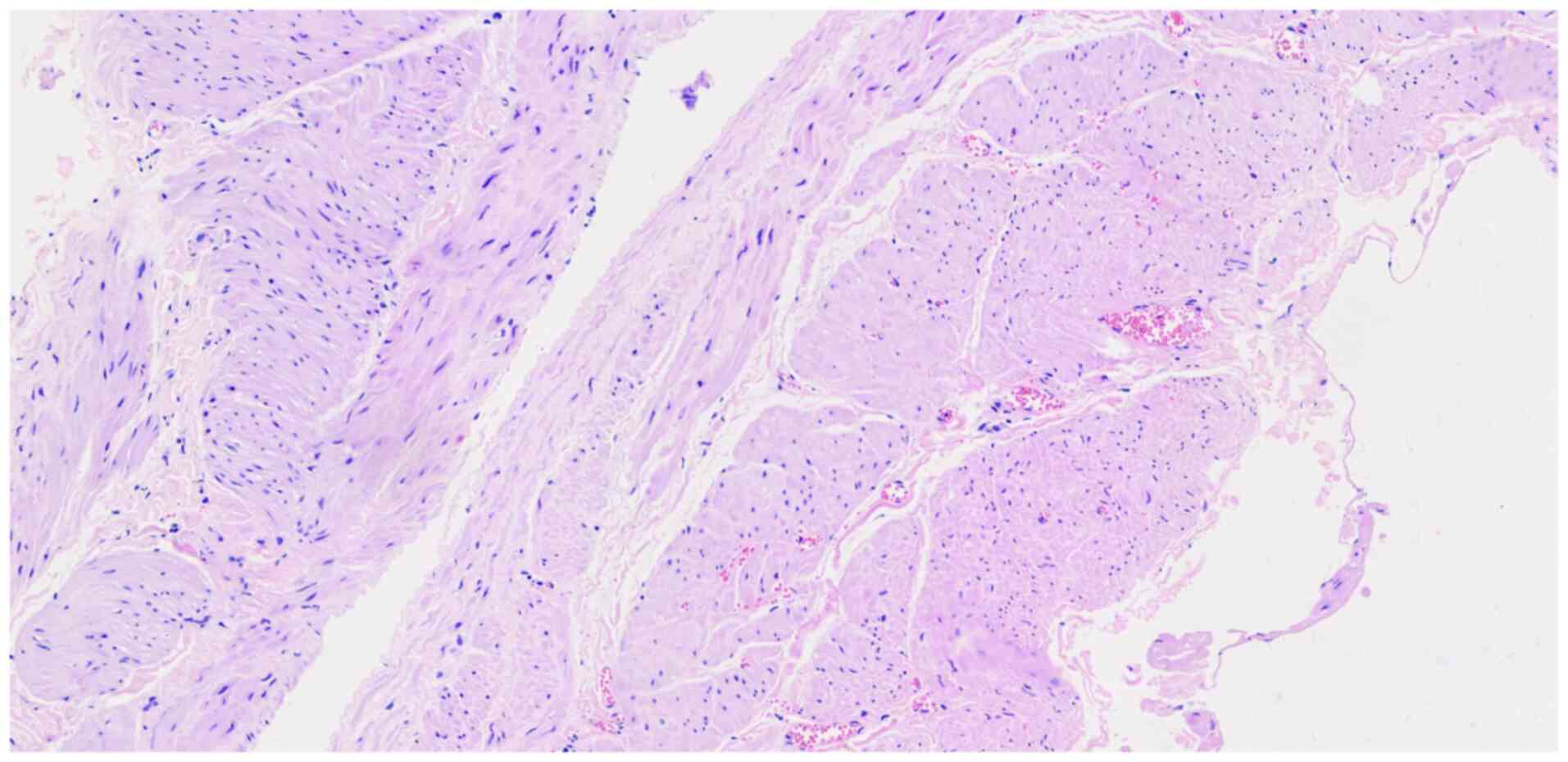
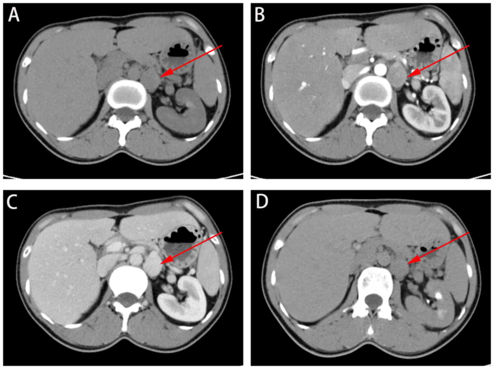
The present study reports on a 37-year-old man with a left renal venous hemangioma. The patient presented with frequent urination for 1 week, urgency for 1 week, urethral pain for 1 week and hematuria for 1 day at Zhangye People's Hospital affiliated with Hexi University (Zhangye, China). Physical examination revealed no palpable lumps, vertebral tenderness or skin damage. Upon admission, blood examination revealed normal levels of white blood cells, red blood cells, platelets and coagulation. CT revealed a left retroperitoneal mass, considered a left adrenal tumor (Fig. 1). Surgical treatment was performed, and a 3x2.6 cm, dark-purple soft mass was found next to the left renal vein, which was compressed and deformed (Fig. 2A). A left renal venous hemangioma was suspected (Fig. 2). Left renal venous hemangioma resection was performed, resulting in the disappearance of the patient's hematuria symptoms postoperatively. Pathological examination revealed a gray-red mass with smooth wall and visible smooth muscle on hematoxylin-eosin staining; combined with clinical findings, this confirmed the presence of a left renal venous hemangioma (Fig. 3). The patient was satisfied with the treatment and recovered well before being discharged.

Figure 1

Left retroperitoneal mass. (A) Computed tomography plain scan, (B) cortical phase, (C) medullary phase and (D) excretory phase (red arrow).

Figure 2

Intraoperative images of left renal vein venous hemangioma. (A) Renal venous hemangioma exposed, (B) renal venous hemangioma pedicle is ligated, (C) blood vessels beneath the venous hemangioma (yellow arrow) and (D) postoperative surgical view (yellow circle).

Figure 3

Left renal vein venous hemangioma pathological hematoxylin-eosin staining (original magnification, x200).

Discussion

Most renal hemangiomas are non-specific and asymptomatic. The majority of renal hemangiomas are discovered incidentally and occur in asymptomatic patients (8). A small percentage of patients may experience clinical symptoms, including hematuria and lower back pain. The current case report showcases that these diseases are easily misdiagnosed preoperatively due to a lack of specific clinical and imaging manifestations. Similar reports have been published in the literature, and certain patients have undergone nephrectomies. Hemangiomas and vascular sarcomas may at times appear very similar (9). On CT, their characteristic features include increased early peripheral and delayed enhancement. Abdominal cavernous hemangioma typically has distinct features on imaging, and ultrasound may be helpful in its differentiation, showing peripheral enhancement accompanied by a central hypoechoic area (10,11). These features distinguish renal hemangiomas from renal aneurysms, as well as renal tumors from adrenal tumors. However, these signs are not unique to renal vein hemangiomas and relying solely on an ultrasound diagnosis may be insufficient. Enhanced CT or magnetic resonance imaging (MRI) is required for differential diagnosis.

Renal venous hemangiomas are benign and may be associated with congenital diseases (5). The patient's family history has an important role in the genetic diagnosis of any vascular malformation; however, the patient of the present study had no family history after consultation. The incidence of spontaneous bleeding in patients with renal hemangiomas is low. However, adverse events may occur due to diseases such as vascular fragility, infarction, necrosis, cystic inflammation and increased pressure from the blood vessels. It is crucial to increase awareness of this rare disease. Preoperative imaging is essential and enhanced CT and MRI examinations can be performed if needed (6). However, mature and minimally invasive kidney surgical techniques and professional knowledge are crucial. Laparoscopic or robotic surgery at experienced medical institutions is a safe and effective treatment method.

In conclusion, the preoperative diagnosis of renal venous hemangioma is challenging because no imaging or clinical standards exist for reference. The best treatment should be tailored to a specific situation, even if the venous hemangioma is accidentally discovered during surgery, requiring temporary decision-making based on factors such as location, size and symptoms. Based on our experience, a thorough preoperative impact assessment and precise minimally invasive surgery are necessary for ensuring a good patient prognosis at professional medical institutions.

Acknowledgements

Not applicable.

Funding

Funding: This study was funded by a grant from the Hexi University 14th Science and Technology Innovation Project (grant no. 164).

Availability of data and materials

The data generated in the present study may be requested from the corresponding author.

Authors' contributions

JL, YPL and JXY contributed to the drafting of the manuscript and the design of the study. RY, LZ, XZ, JW, YQQ and JQ contributed substantially to the conceptualization and design of the study. JXY aided with the completion of the surgery. JQ and JXY approved the final version of the manuscript for publication. JQ and JY confirm the authenticity of all the raw data. All authors have read and approved the final manuscript.

Ethics approval and consent to participate

The study was conducted according to the guidelines of the Declaration of Helsinki and approved by the Ethics Committee of Hexi University affiliated Zhangye People's Hospital (approval no. B2024-026; Zhangye, China).

Patient consent for publication

Written informed consent was obtained from the patient for the publication of the patient's data/images included in this case report.

Competing interests

The authors declare that they have no competing interests.

References

1 

Torrence D and Antonescu CR: The genetics of vascular tumours: An update. Histopathology. 80:19–32. 2022.PubMed/NCBI View Article : Google Scholar

2 

Garaz R, Stühler V, Stenzl A, Rottscholl R and Amend B: Hemangioma of the urinary bladder: A brief narrative review of their diagnosis, histology, and treatment options. Urol Int. 108:83–88. 2024.PubMed/NCBI View Article : Google Scholar

3 

Iacobas I, Phung TL, Adams DM, Trenor CC III, Blei F, Fishman DS, Hammill A, Masand PM and Fishman SJ: Guidance document for hepatic hemangioma (infantile and congenital) evaluation and monitoring. J Pediatr. 203:294–300.e2. 2018.PubMed/NCBI View Article : Google Scholar

4 

Mansfield SA, Williams RF and Iacobas I: Vascular tumors. Semin Pediatr Surg. 29(150975)2020.PubMed/NCBI View Article : Google Scholar

5 

Montanaro F, Bertolo R, Costantino S, De Maria N, Veccia A, Migliorini F, Caliò A, Brunelli M, Montemezzi S, Cerruto MA and Antonelli A: Robot-assisted excision of hemangioma of the right renal vein. Urol Case Rep. 53(102651)2024.PubMed/NCBI View Article : Google Scholar

6 

Elek A, Kwon JW, Ertugrul S and Oren NC: Radiologic and pathologic correlation of a renal venous hemangioma. Int Cancer Conf J. 12:227–232. 2023.PubMed/NCBI View Article : Google Scholar

7 

Yoshino N, Okada D, Ujiie H, Akiyama H, Nishimura Y, Koizumi K and Shimizu K: Venous hemangioma of the posterior mediastinum. Ann Thorac Cardiovasc Surg. 18:247–250. 2012.PubMed/NCBI View Article : Google Scholar

8 

Sternberg IA, Katz BF, Baldinger L, Mano R, Paz GE, Bernstein M, Akin O, Russo P and Karlo C: Can renal hemangiomas be diagnosed preoperatively? Isr Med Assoc J. 17:157–160. 2015.PubMed/NCBI

9 

Subramaniam A, Giani C, Napolitano A, Ravi V, Frezza AM and Jones RL: Management of vascular sarcoma. Surg Oncol Clin N Am. 31:485–510. 2022.PubMed/NCBI View Article : Google Scholar

10 

Goncharuk RA, Rakhmonov ZA, Stegnii KV, Krekoten AA, Shulga IV and Dvoinikova ER: Combined surgical treatment of giant cavernous hepatic hemangioma: A case report. Int J Surg Case Rep. 94(107012)2022.PubMed/NCBI View Article : Google Scholar

11 

Ferreira FG, Ribeiro MA, Abreu P, Ferreira R, Assef MS, Park JH and Szutan LA: Endoscopic Ultrasound-guided ethanol injection associated with Trans-arterial embolization of a giant Intra-abdominal cavernous hemangioma: Case report and new therapeutic option. J Gastrointest Cancer. 52:381–385. 2021.PubMed/NCBI View Article : Google Scholar

Related Articles

  • Abstract
  • View
  • Download
  • Twitter
Copy and paste a formatted citation
Spandidos Publications style
Liu J, Li Y, Yang R, Zhang L, Zhang X, Wang J, Qi Y, Qian J and Yao J: Renal venous hemangioma: Report of a rare case. Exp Ther Med 29: 60, 2025.
APA
Liu, J., Li, Y., Yang, R., Zhang, L., Zhang, X., Wang, J. ... Yao, J. (2025). Renal venous hemangioma: Report of a rare case. Experimental and Therapeutic Medicine, 29, 60. https://doi.org/10.3892/etm.2025.12810
MLA
Liu, J., Li, Y., Yang, R., Zhang, L., Zhang, X., Wang, J., Qi, Y., Qian, J., Yao, J."Renal venous hemangioma: Report of a rare case". Experimental and Therapeutic Medicine 29.3 (2025): 60.
Chicago
Liu, J., Li, Y., Yang, R., Zhang, L., Zhang, X., Wang, J., Qi, Y., Qian, J., Yao, J."Renal venous hemangioma: Report of a rare case". Experimental and Therapeutic Medicine 29, no. 3 (2025): 60. https://doi.org/10.3892/etm.2025.12810
Copy and paste a formatted citation
x
Spandidos Publications style
Liu J, Li Y, Yang R, Zhang L, Zhang X, Wang J, Qi Y, Qian J and Yao J: Renal venous hemangioma: Report of a rare case. Exp Ther Med 29: 60, 2025.
APA
Liu, J., Li, Y., Yang, R., Zhang, L., Zhang, X., Wang, J. ... Yao, J. (2025). Renal venous hemangioma: Report of a rare case. Experimental and Therapeutic Medicine, 29, 60. https://doi.org/10.3892/etm.2025.12810
MLA
Liu, J., Li, Y., Yang, R., Zhang, L., Zhang, X., Wang, J., Qi, Y., Qian, J., Yao, J."Renal venous hemangioma: Report of a rare case". Experimental and Therapeutic Medicine 29.3 (2025): 60.
Chicago
Liu, J., Li, Y., Yang, R., Zhang, L., Zhang, X., Wang, J., Qi, Y., Qian, J., Yao, J."Renal venous hemangioma: Report of a rare case". Experimental and Therapeutic Medicine 29, no. 3 (2025): 60. https://doi.org/10.3892/etm.2025.12810
Follow us
  • Twitter
  • LinkedIn
  • Facebook
About
  • Spandidos Publications
  • Careers
  • Cookie Policy
  • Privacy Policy
How can we help?
  • Help
  • Live Chat
  • Contact
  • Email to our Support Team