Spandidos Publications Logo
  • About
    • About Spandidos
    • Aims and Scopes
    • Abstracting and Indexing
    • Editorial Policies
    • Reprints and Permissions
    • Job Opportunities
    • Terms and Conditions
    • Contact
  • Journals
    • All Journals
    • Oncology Letters
      • Oncology Letters
      • Information for Authors
      • Editorial Policies
      • Editorial Board
      • Aims and Scope
      • Abstracting and Indexing
      • Bibliographic Information
      • Archive
    • International Journal of Oncology
      • International Journal of Oncology
      • Information for Authors
      • Editorial Policies
      • Editorial Board
      • Aims and Scope
      • Abstracting and Indexing
      • Bibliographic Information
      • Archive
    • Molecular and Clinical Oncology
      • Molecular and Clinical Oncology
      • Information for Authors
      • Editorial Policies
      • Editorial Board
      • Aims and Scope
      • Abstracting and Indexing
      • Bibliographic Information
      • Archive
    • Experimental and Therapeutic Medicine
      • Experimental and Therapeutic Medicine
      • Information for Authors
      • Editorial Policies
      • Editorial Board
      • Aims and Scope
      • Abstracting and Indexing
      • Bibliographic Information
      • Archive
    • International Journal of Molecular Medicine
      • International Journal of Molecular Medicine
      • Information for Authors
      • Editorial Policies
      • Editorial Board
      • Aims and Scope
      • Abstracting and Indexing
      • Bibliographic Information
      • Archive
    • Biomedical Reports
      • Biomedical Reports
      • Information for Authors
      • Editorial Policies
      • Editorial Board
      • Aims and Scope
      • Abstracting and Indexing
      • Bibliographic Information
      • Archive
    • Oncology Reports
      • Oncology Reports
      • Information for Authors
      • Editorial Policies
      • Editorial Board
      • Aims and Scope
      • Abstracting and Indexing
      • Bibliographic Information
      • Archive
    • Molecular Medicine Reports
      • Molecular Medicine Reports
      • Information for Authors
      • Editorial Policies
      • Editorial Board
      • Aims and Scope
      • Abstracting and Indexing
      • Bibliographic Information
      • Archive
    • World Academy of Sciences Journal
      • World Academy of Sciences Journal
      • Information for Authors
      • Editorial Policies
      • Editorial Board
      • Aims and Scope
      • Abstracting and Indexing
      • Bibliographic Information
      • Archive
    • International Journal of Functional Nutrition
      • International Journal of Functional Nutrition
      • Information for Authors
      • Editorial Policies
      • Editorial Board
      • Aims and Scope
      • Abstracting and Indexing
      • Bibliographic Information
      • Archive
    • International Journal of Epigenetics
      • International Journal of Epigenetics
      • Information for Authors
      • Editorial Policies
      • Editorial Board
      • Aims and Scope
      • Abstracting and Indexing
      • Bibliographic Information
      • Archive
    • Medicine International
      • Medicine International
      • Information for Authors
      • Editorial Policies
      • Editorial Board
      • Aims and Scope
      • Abstracting and Indexing
      • Bibliographic Information
      • Archive
  • Articles
  • Information
    • Information for Authors
    • Information for Reviewers
    • Information for Librarians
    • Information for Advertisers
    • Conferences
  • Language Editing
Spandidos Publications Logo
  • About
    • About Spandidos
    • Aims and Scopes
    • Abstracting and Indexing
    • Editorial Policies
    • Reprints and Permissions
    • Job Opportunities
    • Terms and Conditions
    • Contact
  • Journals
    • All Journals
    • Biomedical Reports
      • Information for Authors
      • Editorial Policies
      • Editorial Board
      • Aims and Scope
      • Abstracting and Indexing
      • Bibliographic Information
      • Archive
    • Experimental and Therapeutic Medicine
      • Information for Authors
      • Editorial Policies
      • Editorial Board
      • Aims and Scope
      • Abstracting and Indexing
      • Bibliographic Information
      • Archive
    • International Journal of Epigenetics
      • Information for Authors
      • Editorial Policies
      • Editorial Board
      • Aims and Scope
      • Abstracting and Indexing
      • Bibliographic Information
      • Archive
    • International Journal of Functional Nutrition
      • Information for Authors
      • Editorial Policies
      • Editorial Board
      • Aims and Scope
      • Abstracting and Indexing
      • Bibliographic Information
      • Archive
    • International Journal of Molecular Medicine
      • Information for Authors
      • Editorial Policies
      • Editorial Board
      • Aims and Scope
      • Abstracting and Indexing
      • Bibliographic Information
      • Archive
    • International Journal of Oncology
      • Information for Authors
      • Editorial Policies
      • Editorial Board
      • Aims and Scope
      • Abstracting and Indexing
      • Bibliographic Information
      • Archive
    • Medicine International
      • Information for Authors
      • Editorial Policies
      • Editorial Board
      • Aims and Scope
      • Abstracting and Indexing
      • Bibliographic Information
      • Archive
    • Molecular and Clinical Oncology
      • Information for Authors
      • Editorial Policies
      • Editorial Board
      • Aims and Scope
      • Abstracting and Indexing
      • Bibliographic Information
      • Archive
    • Molecular Medicine Reports
      • Information for Authors
      • Editorial Policies
      • Editorial Board
      • Aims and Scope
      • Abstracting and Indexing
      • Bibliographic Information
      • Archive
    • Oncology Letters
      • Information for Authors
      • Editorial Policies
      • Editorial Board
      • Aims and Scope
      • Abstracting and Indexing
      • Bibliographic Information
      • Archive
    • Oncology Reports
      • Information for Authors
      • Editorial Policies
      • Editorial Board
      • Aims and Scope
      • Abstracting and Indexing
      • Bibliographic Information
      • Archive
    • World Academy of Sciences Journal
      • Information for Authors
      • Editorial Policies
      • Editorial Board
      • Aims and Scope
      • Abstracting and Indexing
      • Bibliographic Information
      • Archive
  • Articles
  • Information
    • For Authors
    • For Reviewers
    • For Librarians
    • For Advertisers
    • Conferences
  • Language Editing
Login Register Submit
  • This site uses cookies
  • You can change your cookie settings at any time by following the instructions in our Cookie Policy. To find out more, you may read our Privacy Policy.

    I agree
Search articles by DOI, keyword, author or affiliation
Search
Advanced Search
presentation
Experimental and Therapeutic Medicine
Join Editorial Board Propose a Special Issue
Print ISSN: 1792-0981 Online ISSN: 1792-1015
Journal Cover
April-2025 Volume 29 Issue 4

Full Size Image

Sign up for eToc alerts
Recommend to Library

Journals

International Journal of Molecular Medicine

International Journal of Molecular Medicine

International Journal of Molecular Medicine is an international journal devoted to molecular mechanisms of human disease.

International Journal of Oncology

International Journal of Oncology

International Journal of Oncology is an international journal devoted to oncology research and cancer treatment.

Molecular Medicine Reports

Molecular Medicine Reports

Covers molecular medicine topics such as pharmacology, pathology, genetics, neuroscience, infectious diseases, molecular cardiology, and molecular surgery.

Oncology Reports

Oncology Reports

Oncology Reports is an international journal devoted to fundamental and applied research in Oncology.

Experimental and Therapeutic Medicine

Experimental and Therapeutic Medicine

Experimental and Therapeutic Medicine is an international journal devoted to laboratory and clinical medicine.

Oncology Letters

Oncology Letters

Oncology Letters is an international journal devoted to Experimental and Clinical Oncology.

Biomedical Reports

Biomedical Reports

Explores a wide range of biological and medical fields, including pharmacology, genetics, microbiology, neuroscience, and molecular cardiology.

Molecular and Clinical Oncology

Molecular and Clinical Oncology

International journal addressing all aspects of oncology research, from tumorigenesis and oncogenes to chemotherapy and metastasis.

World Academy of Sciences Journal

World Academy of Sciences Journal

Multidisciplinary open-access journal spanning biochemistry, genetics, neuroscience, environmental health, and synthetic biology.

International Journal of Functional Nutrition

International Journal of Functional Nutrition

Open-access journal combining biochemistry, pharmacology, immunology, and genetics to advance health through functional nutrition.

International Journal of Epigenetics

International Journal of Epigenetics

Publishes open-access research on using epigenetics to advance understanding and treatment of human disease.

Medicine International

Medicine International

An International Open Access Journal Devoted to General Medicine.

Journal Cover
April-2025 Volume 29 Issue 4

Full Size Image

Sign up for eToc alerts
Recommend to Library

  • Article
  • Citations
    • Cite This Article
    • Download Citation
    • Create Citation Alert
    • Remove Citation Alert
    • Cited By
  • Similar Articles
    • Related Articles (in Spandidos Publications)
    • Similar Articles (Google Scholar)
    • Similar Articles (PubMed)
  • Download PDF
  • Download XML
  • View XML

  • Supplementary Files
    • Supplementary_Data.pdf
Case Report Open Access

HIV complicated with severe pulmonary adenocarcinoma: A case report

  • Authors:
    • Ting Zhang
    • Hansheng Wang
    • Wenya Han
    • Xin Qian
    • Qi Li
    • Tao Ren
    • Meifang Wang
  • View Affiliations / Copyright

    Affiliations: Department of The First Clinical College, Hubei University of Medicine, Shiyan, Hubei 442000, P.R. China, Department of Pulmonary and Critical Care Medicine, Taihe Hospital, Hubei University of Medicine, Shiyan, Hubei 442000, P.R. China
    Copyright: © Zhang et al. This is an open access article distributed under the terms of Creative Commons Attribution License.
  • Article Number: 65
    |
    Published online on: February 5, 2025
       https://doi.org/10.3892/etm.2025.12816
  • Expand metrics +
Metrics: Total Views: 0 (Spandidos Publications: | PMC Statistics: )
Metrics: Total PDF Downloads: 0 (Spandidos Publications: | PMC Statistics: )
Cited By (CrossRef): 0 citations Loading Articles...

This article is mentioned in:



Abstract

Currently, lung cancer is the most common non‑AIDS‑defining cancer (NADC), with pulmonary adenocarcinoma being the most common histological subtype of lung cancer in human immunodeficiency virus (HIV)‑infected patients. Most previous studies have focused on the diagnosis of pulmonary malignancies following HIV infection, while fewer patients being diagnosed with acquired immunodeficiency syndrome (AIDS) following the diagnosis of lung cancer. The present report described the diagnosis and treatment of a young patient with HIV infection complicated with severe, rapidly progressing lung cancer, aiming to improve the understanding of this disease, reduce the number of missed diagnoses and misdiagnoses and improve the prognosis and quality of life for these patients.

Introduction

Acquired immunodeficiency syndrome (AIDS) is one of the most important public health problems threatening human health. In recent years, with the development of highly active antiretroviral therapy (HAART), the incidence of non-AIDS-defining cancer (NADC) has increased, especially in patients with lung cancer, and most patients are in advanced stages of NADC at the time of diagnosis (1). Numerous studies and case reports are based on the diagnosis of human immunodeficiency virus (HIV) infection followed by the diagnosis of cancer, whereas relatively few cases report diagnosis with AIDS following the diagnosis with cancer (2,3). The present study reported a young patient with HIV infection complicated with lung adenocarcinoma in acute progression. This case could serve as a reference for clinicians to understand the disease, reduce missed diagnoses and misdiagnoses, and improve the prognosis and quality of life of these patients.

Case report

Initial presentation

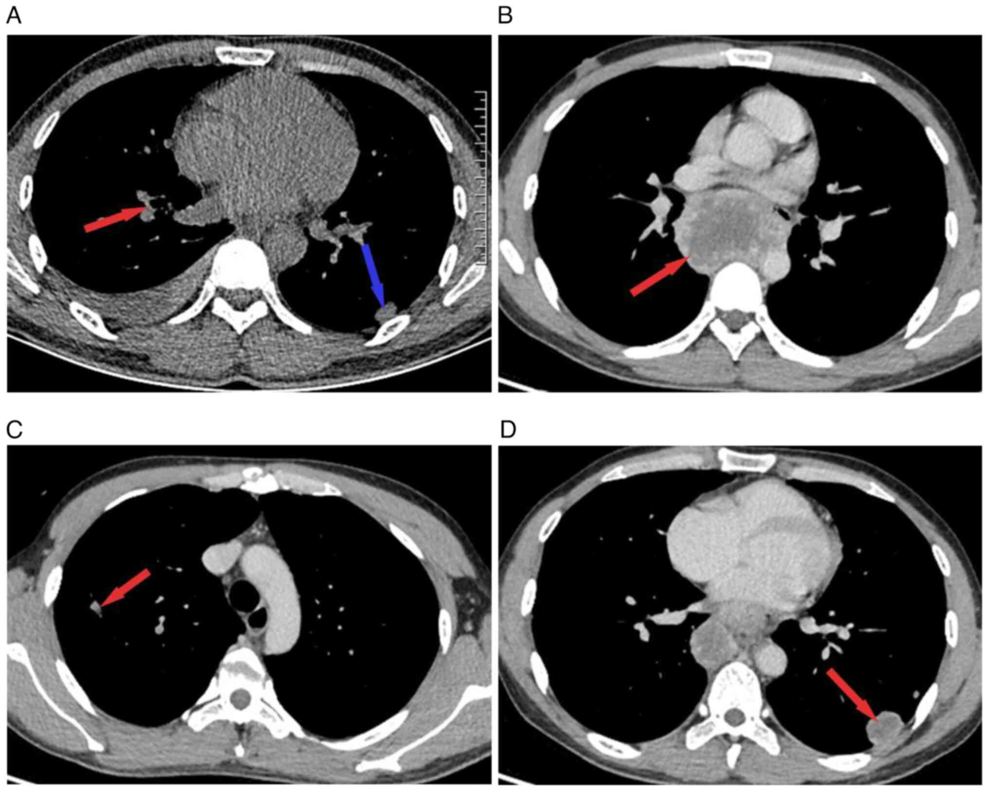
A 27-year-old male was admitted to Taihe Hospital (Shiyan, China) in September 2023 due to intermittent chest and abdominal discomfort for 20 days. 20 days prior to the presentation at Taihe Hospital, the patient presented with unexplained chest and abdominal pain and was admitted to the Department of Gastrointestinal Surgery at a local hospital, where the patient was diagnosed with ‘ileocecal inflammation and pleural effusion’. A chest computed tomography (CT) scan performed at the beginning of September, 2023, revealed nodules in the right upper lung and left lower lung (Fig. 1A). During the hospitalization, the patient received anti-infection treatment and was discharged after the condition improved. However, the patient continued to experience intermittent sternal and epigastric discomfort outside the hospital, accompanied by nausea and anorexia. The patient developed fever 5 days later, with a temperature of ~38˚C, accompanied by a dry cough and no other symptoms. The patient denied a history of smoking or drinking.

Figure 1

The changes of chest CT during September on mediastinal window. (A) Chest CT scan showing a 1.6x0.8-cm nodule in the right upper lobe (red arrow) and a 1.9x1.2-cm nodule in the left inferior lobe (blue arrow), with pleural effusion in the right lung. (B) Chest CT indicating an edge enhancement obvious and huge mass ~6.5x5.1x6.9-cm in the posterior mediastinal. (C and D) Chest CT showing multiple nodules of varying sizes in the upper and lower lobes of both lungs and the larger ones measuring ~2.5x1.8-cm in the lower lobe of the left lung. The pleural effusion disappeared. CT, computed tomography.

Physical examination revealed that the patient's body temperature was 36.5˚C, pulse rate was 82 beats/min, respiratory rate was 20 beats/min, and blood pressure was 123/82 mmHg. Table tennis-sized masses could be felt on both sides of the neck; these masses were tough in texture, were not tender, and had good mobility. No abnormalities were observed in other body systems.

Diagnostic findings

In September, 2023, contrast-enhanced CT revealed enlarged posterior mediastinal lymph nodes and multiple enlarged mediastinal lymph nodes (Fig. 1B). Moreover, there were multiple lesions in both lungs (Fig. 1C and D). Compared with the chest CT performed at the other hospital, the number of lung nodules had increased and the mediastinal lymph nodes were markedly enlarged, but the pleural effusion had disappeared. Laboratory examination revealed the following results: whole blood leukocytes, 5.72x109/l [neutrophils, 75.9% (normal range, 40-75%); lymphocytes, 16.3% (normal range, 20-50%); red blood cells, 4.30x1012/l (normal range, 4.3-5.8x 1012/l); platelets, 233x109/l (normal range, 125-135x109/l)]; hs-CRP, 88.03 mg/l (normal range, 0-10 mg/l); NSE, 17.5 ng/ml (normal range, 0-16.3 ng/ml); IL-6, 25.3 pg/ml (normal range, 0-6.6 pg/ml); ESR, 24 mm/h (normal range, 0-15 mm/h); and CEA (normal range, 0-4.7 ug/l) and PCT (normal range, <0.5 ng/ml).

To clarify the nature of the mediastinal lymph node lesions, endobronchial ultrasound-guided transbronchial needle aspiration was performed on September, 2023, and rapid on-site evaluation revealed adenocarcinoma. Histologically, the standard method by hematoxylin-eosin staining at room temperature revealed a glandular arrangement of tumor cells, and immunohistochemical results revealed the following: CK (P(+), CK7(+), CDX2(-), Ki-67(70%), vimentin(-), Villin(-), TTF-1(+), P63(-), CD5(-), CD117(-), NapsinA(+), BRG1(+), Pax8(-), and CD30(-). Metastatic pulmonary adenocarcinoma was confirmed based on the aforementioned evidence (Figs. 2A-C and S1 and S2). In addition, fluorescence in situ hybridization (FISH) using a digoxigenin-labeled EBER probe (OriGene Technologies, Inc.) to detect the expression of EBER in paraffin sections, revealed negative Epstein-Barr virus encoded RNA (EBER) results (Fig. S3A). Sputum Gram staining (Fig. 3B) and bacterial culture of bronchoalveolar lavage fluid (BALF) revealed no microorganisms. Acid-fast staining (Fig. S3C) was performed: After the three steps of primary staining by carbolic acid (cat. no. 1400022; BaSO Diagnostics Inc.), decolorization with ethanol hydrochloride (cat. no. 1400022; BaSO Diagnostics Inc.), and counterstaining with Beauty Blue (cat. no. 1400022; BaSO Diagnostics Inc.), the slides were observed under a microscope equipped with an oil immersion objective to observe whether red mycobacteria against a blue background were present in the smear. Gene X-pert Mycobacterium tuberculosis (MTB)/rifampicin (RIF) analysis was used to detect Mycobacterium tuberculosis. The simple protocol was as follows (4,5): The Gene Xpert MTB/RIF determination was run on a GeneXpert Dx instrument system (GX-XVI R2; Cepheid), which includes automated sample purification, nucleic acid amplification, and sequencing of MTB/rifampicin nucleic acids. After degradation, decontamination, and concentration, 0.5 ml of resuspended sediment was transferred to a conical screw-cap tube, 1.5 ml of Xpert MTB/RIF sample reagent was added via a sterile pipette, and the tube shaken 10-20 times. The sample was incubated at 20-30˚C for a total of 15 min, entering the incubation period at a point between 5 and 10 min. Next, the reagent-treated sample was transferred to the sample chamber of the Xpert MTB/RIF column (LOT:92008, Cepheid, USA) using a sterile pipette, and this was then loaded into the GeneXpert Dx instrument system for sample processing. After inputting sample-related information, the instrument automatically filtered and washed the sample, released DNA by ultrasonic lysis and mixed it with PCR reaction reagents, and detected the fluorescence signal by semi-nested real-time amplification. The instrument automatically gave the test results after 2 h but, in this case, none of them revealed acid-fast bacteria. Cytological examination of the BALF revealed malignant cells (Fig. 2D). Fine-needle aspiration smear cytology of the left cervical lymph node revealed malignancy, which was a metastatic, poorly differentiated carcinoma (Fig. 2F). Whole-body 18F-FDG positron emission tomography-computed tomography revealed elevated glucose metabolism in multiple bilateral lung nodules and a large soft tissue mass in the posterior mediastinum, bilateral cervical multiple lymph nodes, retroperitoneal lymph nodes, and bilateral pleural effusions (Fig. S4). Considering that the patient was a young male and radiologically presented with rapid progression of lung and mediastinal lesions, antibody testing for infectious diseases was performed. Laboratory tests revealed positive results for HIV-antibody by ELISA (Shanghai Cmbio Company), which mainly utilizes the specific reaction between HIV antigens and the HIV antibodies, as well as the catalytic reaction of enzymes on substrates, to detect the HIV antibodies. It revealed that the CD4/CD8 ratio of <0.5 (normal range, 0.80-2.40), and CD4+ T-cell count of ≤200 cells/µl by lymphocyte immunoassay, with a HIV viral load of 120,000 copies/ml by RT-qPCR. Based on the positive HIV results aforementioned, we did not perform resistance testing, western blotting, or other methods to further test for HIV-Ab) At the end of September 2023, the patient asked to be discharged.

Figure 2

Pathological data. (A) Microscopic findings of aspirated tissue from group 7 lymph nodes, suggested metastatic adenocarcinoma (H&E stain). Immunohistochemical stains showed strong positivity for (B) thyroid transcription factor-1 and (C) Napsin A. (D) Cytology of lavage fluid showing a few malignant cells (H&E stain). (E) Malignant tumor in aspirated smear from the left cervical lymph node, malignant tumor, tend to be poorly differentiated metastatic carcinoma (H&E stain; original magnification; 400x for all figures). H&E, hematoxylin and eosin.

Figure 3

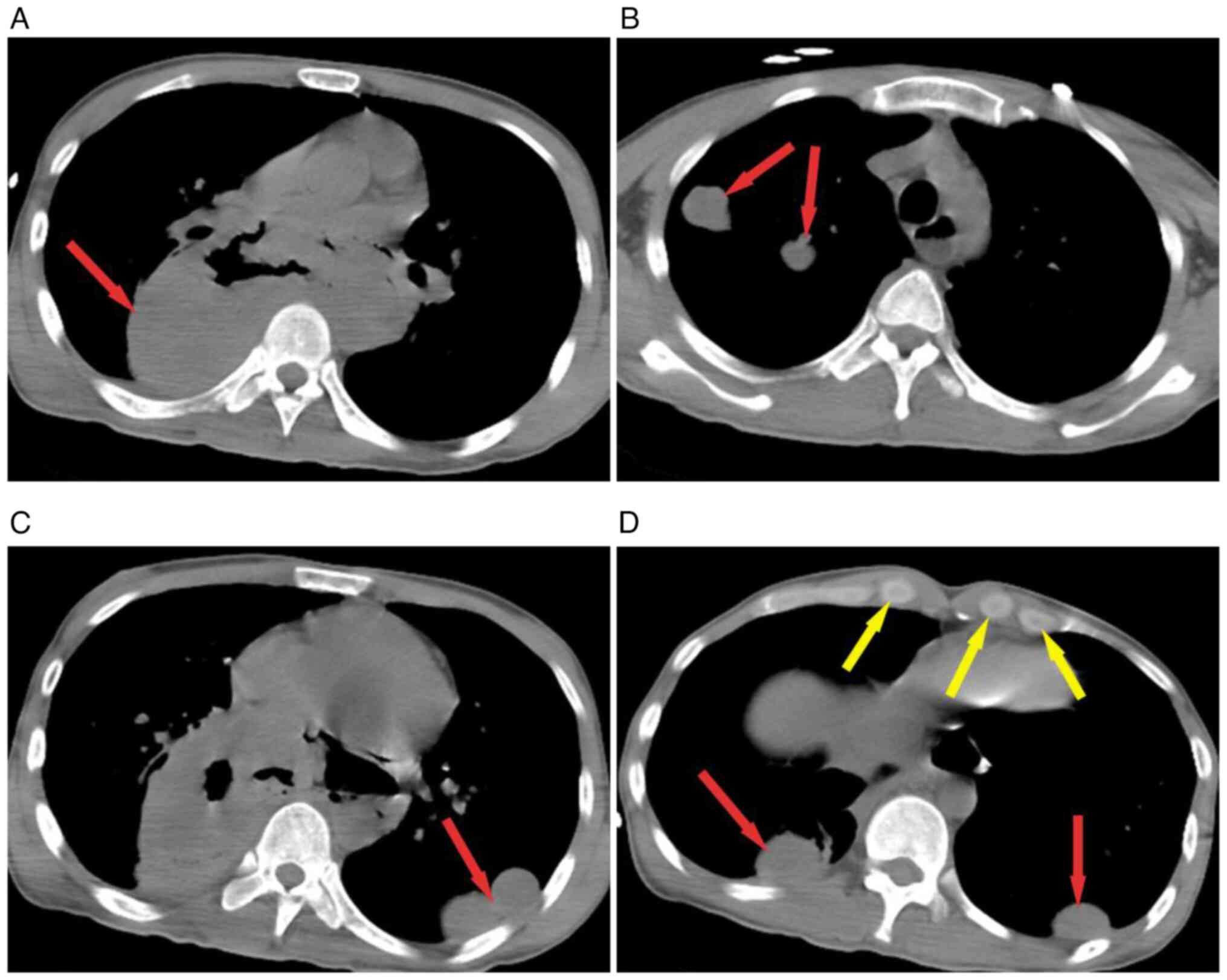
Chest CT changes in mediastinal window and lung window. (A) Chest CT scan showing a 13.6x6.6-cm huge mass with pneumatosis of the posterior mediastinal. (B and C) Multiple nodules (red arrows) of varying sizes are present in the upper and lower lobes of both lungs and the larger ones were ~3.5x2.7-cm in the lower lobe of the left lung. (D) Chest CT showing multiple nodules (yellow arrows) in both supraclavicular regions and the larger ones measuring ~1.8-cm in diameter. CT, computed tomography.

The authors followed up with the patient closely and learned that the patient had received systemic intravenous chemotherapy (carboplatin + paclitaxel) and anti-HIV therapy (tenofovir disoproxil, lamivudine and efavirenz) at other hospitals. Anti-HIV regimens included tenofovir disoproxil (doses: 300 mg/QD), lamivudine (doses: 300 mg/QD), and efavirenz (doses: 400 mg/QD). However, one month later, the patient developed drug intolerance, so tenofovir disoproxil (doses: 300 mg/QD) was replaced with zidovudine (doses: 300 mg/BID). Afterwards, the patient's drug intolerance improved, and the three drugs were continuously administered orally. In addition, the patient also received systemic intravenous chemotherapy, including carboplatin (250 mg /m2) and paclitaxel (175 mg/m2) for 21 days. The fourth chemotherapy session ended in mid-December. The patient was readmitted to Taihe Hospital, (Hubei, China) due to fever and dyspnea, and contrast-enhanced CT of the chest revealed carcinoma metastasis in both the lungs and mediastinum, including the bilateral supraclavicular lymph node. A markedly enlarged posterior mediastinal mass with air accumulation (esophageal fistula?) was noted (Fig. 3). Subsequently, an esophago-mediastinal fistula was confirmed by esophagography. Septic shock was cured with antibiotics (Merpenem, 1 g, iv, Q8h + teicoplanin, 0.4 g, iv, QD), intravenous nutritional support, fluid resuscitation and multiorgan system life support, but intermittent fever was still present. The patient was discharged after five days and transferred to an infectious disease hospital for further treatment. Then the patient was lost to follow-up after 5 months.

Discussion

To further study AIDS in modern medical treatment, HIV infection combined with malignant tumors is becoming increasingly common in clinical practice. AIDS-related cancers are currently divided into AIDS-defining cancers and NADCs. In terms of AIDS epidemiology, Kaposi's sarcoma, non-Hodgkin's lymphoma, and cervical cancer are the main types of cancer (6) and are associated with the immune deficiency status of infected individuals (7,8). In recent years, the risk of lung cancer, Hodgkin's disease, skin cancer, anal cancer, and gastrointestinal cancer has increased in numerous of those living with HIV (PLWH) compared with uninfected numerous (9). According to two meta-analyses, standardized incidence ratios for lung cancer were >2.5 higher in PLWH than in non-HIV patients (7,10). Studies have suggested that the risk of lung cancer among PLWH mainly occurs among those aged ≥60 years; however, the risk of lung cancer is higher among younger age groups (aged 20-49 years) compared with the general population (11). Despite the increasing number of HIV-positive patients, most HIV-positive cancer patients without typical clinical symptoms of AIDS are diagnosed with HIV infection during hospital visits due to tumors.

The specific cause of HIV infection complicated with lung cancer is unknown, but almost all studies on lung cancer in HIV-infected individuals have shown that smoking is an important risk factor for lung cancer in these individuals. In addition, a study by Mena et al (12) suggests that pulmonary infection, immunosuppression and chronic inflammation, such as in HIV infection, increase the risk of lung cancer. A large retrospective study (3) confirmed that HIV infection was an independent risk factor for lung cancer after the exclusion of major confounding factors such as age and smoking. This may be associated with HIV causing immune deficiency, which leads to tumorigenesis. HIV generally affects the innate immune system of the lungs by infecting airway epithelial cells, alveolar surface-active proteins, alveolar macrophages, dendritic cells, and natural killer cells. In addition, it can affect the acquired immune system of the lungs by causing damage to T cells and increasing the activation of B cells through immune activation and immunosuppression (13). In the present case, the patient had neither a history of smoking nor chronic lung inflammation and the cause of lung cancer may have been related to the destruction of cellular immunity following HIV infection. The progression period of lung cancer lesions in immune normal patients is ~2 months, whereas the progression of lesions in HIV-infected patients is faster, usually 3-4 weeks. In this case, an HIV test was performed and confirmed HIV positivity with radiology, revealing that the patient's lung cancer was progressing rapidly. Therefore, HIV screening is necessary when rapidly progressing lung malignancies are encountered in clinical practice.

A study of 3,426 HIV-infected patients with lung cancer revealed that the most common histological subtype was adenocarcinoma, followed by squamous cell carcinoma, small cell carcinoma and large cell carcinoma (11), which, as in the present case, is pathologically confirmed as adenocarcinoma. Most HIV-infected patients are already in locally advanced or metastatic cancer (stage III B or IV) when they are diagnosed with lung cancer (14). The radiological characteristics of patients with HIV infection complicated with lung cancer were not markedly different from those of patients with lung cancer alone. Additionally, most HIV-infected lung cancer patients present with nonspecific respiratory symptoms such as cough, chest pain and dyspnea (14). However, unlike previous reports in the literature, the patient in the present case presented with chest and abdominal pain and cough. In September, 2023, a chest CT revealed a large mass in the posterior mediastinum, which was markedly larger than that observed at the previous hospital. In December, the giant mediastinal mass was enlarged, accompanied by pneumatosis and an esophago-mediastinal fistula. While such rapidly progressing cases are relatively rare, in clinical practice, HIV-associated lung infections are relatively common, especially in patients with low-risk lung cancer and it is easy for pulmonologists or radiologists to overlook the possibility of lung malignancy when referring to chest CT (14). As the patient in our case had low-risk factors for lung cancer, including age, no history of smoking, and no underlying disease of the lung, it was easy to miss HIV-related lung cancer. As in the present case, the possibility of HIV infection was not considered before the diagnosis of lung cancer. In addition, according to the laboratory results, the patient's CD4+ T-cell count was ≤200 cells/µl, and the CD4/CD8 ratio was abnormal.

Survival is reportedly prolonged following treatment when CD4+ T-cell counts in HIV-infected patients with non-small cell lung cancer (NSCLC) are ≥200 cells/µl (15). However, when the CD4+ T-cell count is <200 cells/µl, the RRs for lung cancer are markedly elevated (16). Therefore, when diagnosing HIV-associated lung cancer, it should be systematically considered that patients should be protected against other opportunistic infections when initiating therapy, regardless of the CD4+ T-cell count. In the present case, lung cancer progressed rapidly, and it is unknown whether there was a significant decrease in CD4+ T cells that led to an opportunistic infection. After four rounds of chemotherapy, tracheal mediastinal fistula and septic shock occurred. With aggressive symptomatic treatment, the shock was reversed. According to the international consensus definition of severe lung cancer, due to various acute or chronic comorbidities, the tumor itself and/or treatment-related adverse events cause performance status (PS) scores between 2 and 4, but following supportive treatment and antitumor therapy, survival benefits and/or improved PS scores are achieved. Therefore, it was considered that the patient's lung malignancy reached the diagnostic criteria for severe lung cancer (17).

Currently, the treatments for lung cancer include surgery, radiotherapy, chemotherapy, targeted drug therapy, and immunotherapy, while HAART is still the first-line treatment for AIDS. For patients with HIV infection complicated with lung cancer, there is currently no unified treatment. Surgical treatment, radiation therapy, chemotherapy, targeted therapy and immunotherapy are recommended. However, the advantages and disadvantages of these options need to be discussed and the selection should be based on the patient's physical condition. After definite diagnosis and staging, the patient was recommended to undergo systemic chemotherapy immediately but was diagnosed with HIV infection before antitumor therapy. Specific treatment regimens for HIV-associated lung cancer are not extensively detailed in most of the literature. However, a previous case report mentioned a 59-year-old male patient who received cisplatin/vinorelbine chemotherapy combined with raltegravir for anti-HIV therapy (18). Marcus et al (19) reported that if the co-occurrence of lung cancer and HIV infection is identified, antiretroviral therapy should be performed as early as possible following antineoplastic therapy has been initiated if the patient's condition is stable. Studies have indicated that patients receiving a combination of antineoplastic agents and HAART achieve improved remission and survival rates compared with those treated with chemotherapy alone (20,21). The patient in the present case received systemic chemotherapy for antitumor and anti-HIV therapy at another hospital, which had poor tolerability and poor efficacy. In late December, the patient was readmitted to Taihe Hospital (Hubei, China) with sepsis, which illustrates the complexity and individuality of treatment for this disease. Regarding the prognosis of HIV-infected patients with lung cancer, Sigel et al (22) reported that the median overall survival of patients with HIV and NSCLC was 6 months [95% confidence interval (CI): 5-8 months]. The present patient has been followed for more than 5 months since onset and the prognosis is poor.

Based on the present case, other NADCs were compared. As shown in a study of HIV with breast carcinoma, the age at the cancer diagnosis was ~20 years younger in the HIV/AIDS population than in the general population. While it is similar to lung cancer, there was no direct association between breast carcinoma and the viral load or CD4+ T-cell count (23). In PLWH, hepatocellular carcinoma is often diagnosed in the late stage, and the prognosis is affected by the CD4+ T-cell count and immunosuppression, as in lung cancer (24). For patients with rapidly progressing cancer, relevant studies suggest that this may be due to HIV viral infection shaping and influencing the tumor immune microenvironment in cancer patients. HIV patients have difficulty mounting an effective anticancer immune response, as T cells become exhausted due to the high expression of multiple negative checkpoint receptors (25,26). HIV-infected individuals are at increased risk for lung cancer, but routine prevention of the occurrence and progression of the disease remains a challenge.

The present case differs from previous cases of HIV-associated cancers as it involves rapidly progressing lung adenocarcinoma. When investigating the cause of the rapid progression, it was found that the patient was HIV-positive. Therefore, for young patients with rapidly progressing malignant lung tumors, it is crucial to be vigilant about the possibility of HIV infection. Timely screening and appropriate treatment are essential. Based on the present study and associated risk factors, smoking cessation and low-dose CT screening are necessary (27). In clinical practice, patients suspected of having lung cancer by chest radiology should be considered according to radiological and clinical characteristics and young age should not be used as an exclusive diagnostic standard as. For those with rapid progress, HIV screening should be performed to avoid misdiagnosis and missed diagnosis. Once patients are diagnosed with HIV complicated with lung cancer, they should be treated as early as possible to improve their quality of life and prolong survival (28).

Supplementary Material

Immunohistochemical staining results (magnification, x200). immunohistochemical staining of tumor tissue revealed positive reaction for CK (P), CK7 and Ki-67(70%); while negative for CDX2, vimentin and Villin.
Immunohistochemical staining results (magnification, x200). immunohistochemical staining of tumor tissue revealed positive reaction for BRG1; while negative for P63, CD5, CD117, Pax8 and CD30.
FISH, Gram stain and acid-fast stain results. (A) FISH revealed negative EBER results (magnification, x200). (B) Gram stain (magnification, x400) and (C) acid-fast stain (magnification, x400) of sputum smear revealed no pathogenic microorganisms. FISH, fluorescence in situ hybridization; EBER, Epstein-Barr virus early RNA.
Positron emission tomography revealed multiple masses in both lung with an elevated glucose uptake. (A) A mass in the right lung revealed elevated glucose uptake. (B) A subpleural mass in the left lung revealed elevated glucose uptake.

Acknowledgements

Not applicable.

Funding

Funding: No funding was received.

Availability of data and materials

The data generated in the present study may be requested from the corresponding author.

Authors' contributions

TZ and MW executed the conception or design of the written study. TZ and HW drafted the manuscript and performed data acquisition, analysis or interpretation for the study. WH and XQ made contributions to the interpretation of the data for the work and critically revised the manuscript for important intellectual content. QL and TR collected pathological and surgical data from the patient. WH and QL assisted in updating patient follow-up information and the literature search. MW, TZ and HW confirmed the authenticity of all the raw data. All authors read and approved the final version of the manuscript.

Ethics approval and consent to participate

Not applicable.

Patient consent for publication

Written informed consent was obtained from the patient for publication of the present case report and any accompanying images.

Competing interests

The authors declare that they have no competing interests.

References

1 

Sigel K, Makinson A and Thaler J: Lung cancer in persons with HIV. Curr Opin HIV AIDS. 12:31–38. 2017.PubMed/NCBI View Article : Google Scholar

2 

Burke M, Furman A, Hoffman M, Marmor S, Blum A and Yust I: Lung cancer in patients with HIV infection: Is it AIDS-related? Hiv Med. 5:110–114. 2004.PubMed/NCBI View Article : Google Scholar

3 

Sigel K, Wisnivesky J, Gordon K, Dubrow R, Justice A, Brown ST, Goulet J, Butt AA, Crystal S, Rimland D, et al: HIV as an independent risk factor for incident lung cancer. AIDS. 26:1017–1025. 2012.PubMed/NCBI View Article : Google Scholar

4 

Kohli M, Schiller I, Dendukuri N, Dheda K, Denkinger CM, Schumacher SG and Steingart KR: Xpert® MTB/RIF assay for extrapulmonary tuberculosis and rifampicin resistance. Cochrane Database Syst Rev. 8(CD012768)2018.PubMed/NCBI View Article : Google Scholar

5 

Liu Q, Chen X, Dai X, Liu X, Xu F and Peng P: Comparative analysis of five inspection techniques for the application in the diagnosis and treatment of osteoarticular tuberculosis. Int J Infect Dis. 112:258–263. 2021.PubMed/NCBI View Article : Google Scholar

6 

Micali C, Russotto Y, Facciolà A, Marino A, Celesia BM, Pistarà E, Caci G, Nunnari G, Pellicanò GF and Venanzi Rullo E: Pulmonary kaposi sarcoma without respiratory symptoms and skin lesions in an HIV-Naïve patient: A case report and literature review. Infect Dis Rep. 14:228–242. 2022.PubMed/NCBI View Article : Google Scholar

7 

Grulich AE, Van-Leeuwen MT, Falster MO and Vajdic CM: Incidence of cancers in people with HIV/AIDS compared with immunosuppressed transplant recipients: A meta-analysis. Lancet. 370:59–67. 2007.PubMed/NCBI View Article : Google Scholar

8 

Pavone G, Marino A, Fisicaro V, Motta L, Spata A, Martorana F, Spampinato S, Celesia BM, Cacopardo B, Vigneri P and Nunnari G: Entangled connections: HIV and HPV interplay in cervical cancer-a comprehensive review. Int J Mol Sci. 25(10358)2024.PubMed/NCBI View Article : Google Scholar

9 

Yarchoan R and Uldrick TS: HIV-associated cancers and related diseases. N Engl J Med. 378:1029–1041. 2018.PubMed/NCBI View Article : Google Scholar

10 

Shiels MS, Cole SR, Kirk GD and Poole C: A meta-analysis of the incidence of non-AIDS cancers in HIV-infected individuals. J Acquir Immune Defic Syndr. 52:611–622. 2009.PubMed/NCBI View Article : Google Scholar

11 

Haas CB, Engels EA, Horner MJ, Freedman ND, Luo Q, Gershman S, Qiao B, Pfeiffer RM and Shiels MS: Trends and risk of lung cancer among people living with HIV in the USA: A population-based registry linkage study. Lancet HIV. 9:e700–e708. 2022.PubMed/NCBI View Article : Google Scholar

12 

Mena Á, Meijide H and Marcos PJ: Lung cancer in HIV-infected patients. AIDS Rev. 18:138–144. 2016.PubMed/NCBI

13 

Cribbs SK, Crothers K and Morris A: Pathogenesis of HIV-related lung disease: Immunity, infection, and inflammation. Physiol Rev. 100:603–632. 2020.PubMed/NCBI View Article : Google Scholar

14 

Mani D, Haigentz M Jr and Aboulafia DM: Lung cancer in HIV infection. Clin Lung Cancer. 13:6–13. 2012.PubMed/NCBI View Article : Google Scholar

15 

Makinson A, Tenon JC, Eymard-Duvernay S, Pujol JL, Allavena C, Cuzin L, Poizot-Martin I, de la Tribonnière X, Cabié A, Pugliese P, et al: Human immunodeficiency virus infection and non-small cell lung cancer: Survival and toxicity of antineoplastic chemotherapy in a cohort study. J Thorac Oncol. 6:1022–1029. 2011.PubMed/NCBI View Article : Google Scholar

16 

Silverberg MJ, Chao C, Leyden WA, Xu L, Horberg MA, Klein D, Towner WJ, Dubrow R, Quesenberry CP Jr, Neugebauer RS and Abrams DI: HIV infection, immunodeficiency, viral replication, and the risk of cancer. Cancer Epidemiol Biomarkers Prev. 20:2551–2559. 2011.PubMed/NCBI View Article : Google Scholar

17 

Zhou C, Li S, Liu J, Chu Q, Miao L, Cai L, Cai X, Chen Y, Cui F, Dong Y, et al: International consensus on severe lung cancer-the first edition. Transl Lung Cancer Res. 10:2633–2666. 2021.PubMed/NCBI View Article : Google Scholar

18 

Okuma Y, Hosomi Y and Imamura A: Lung cancer patients harboring epidermal growth factor receptor mutation among those infected by human immunodeficiency virus. Onco Targets Ther. 8:111–115. 2014.PubMed/NCBI View Article : Google Scholar

19 

Marcus JL, Chao C, Leyden WA, Xu L, Yu J, Horberg MA, Klein D, Towner WJ, Quesenberry CP Jr, Abrams DI and Silverberg MJ: Survival among HIV-infected and HIV-uninfected individuals with common non-AIDS-defining cancers. Cancer Epidemiol Biomarkers Prev. 24:1167–1173. 2015.PubMed/NCBI View Article : Google Scholar

20 

Berretta M, Caraglia M, Martellotta F, Zappavigna S, Lombardi A, Fierro C, Atripaldi L, Muto T, Valente D, De Paoli P, et al: Drug-drug interactions based on pharmacogenetic profile between highly active antiretroviral therapy and antiblastic chemotherapy in cancer patients with HIV infection. Front Pharmacol. 7(71)2016.PubMed/NCBI View Article : Google Scholar

21 

Ntekim AI and Folasire AM: CD4 count and anti retroviral therapy for HIV positive patients with cancer in nigeria-a pilot study. Clin Med Insights Oncol. 4:61–66. 2010.PubMed/NCBI View Article : Google Scholar

22 

Sigel K, Crothers K, Dubrow R, Krauskopf K, Jao J, Sigel C, Moskowitz A and Wisnivesky J: Prognosis in HIV-infected patients with non-small cell lung cancer. Br J Cancer. 109:1974–1980. 2013.PubMed/NCBI View Article : Google Scholar

23 

Marino A, Pavone G, Martorana F, Fisicaro V, Motta L, Spampinato S, Celesia BM, Cacopardo B, Vigneri P and Nunnari G: Navigating the nexus: HIV and breast cancer-a critical review. Int J Mol Sci. 25(3222)2024.PubMed/NCBI View Article : Google Scholar

24 

Micali C, Russotto Y, Caci G, Ceccarelli M, Marino A, Celesia BM, Pellicanò GF, Nunnari G and Venanzi Rullo E: Loco-regional treatments for hepatocellular carcinoma in people living with HIV. Infect Dis Rep. 14:43–55. 2022.PubMed/NCBI View Article : Google Scholar

25 

Mylvaganam G, Yanez AG, Maus M and Walker BD: Toward T cell-mediated control or elimination of HIV reservoirs: Lessons from cancer immunology. Front Immunol. 10(2109)2019.PubMed/NCBI View Article : Google Scholar

26 

Huang SH, McCann CD, Mota TM, Wang C, Lipkin SM and Jones RB: Have cells harboring the HIV reservoir been immunoedited? Front Immunol. 10(1842)2019.PubMed/NCBI View Article : Google Scholar

27 

Makinson A, Eymard-Duvernay S, Raffi F, Abgrall S, Bommart S, Zucman D, Valour F, Cheret A, Poizot-Martin I, Duvivier C, et al: Feasibility and efficacy of early lung cancer diagnosis with chest computed tomography in HIV-infected smokers. AIDS. 30:573–582. 2016.PubMed/NCBI View Article : Google Scholar

28 

El Zarif T, Nassar AH, Adib E, Fitzgerald BG, Huang J, Mouhieddine TH, Rubinstein PG, Nonato T, McKay RR, Li M, et al: Safety and activity of immune checkpoint inhibitors in people living with HIV and CANCER: A real-world report from the cancer therapy using checkpoint inhibitors in people living with HIV-international (CATCH-IT) consortium. J Clin Oncol. 41:3712–3723. 2023.PubMed/NCBI View Article : Google Scholar

Related Articles

  • Abstract
  • View
  • Download
  • Twitter
Copy and paste a formatted citation
Spandidos Publications style
Zhang T, Wang H, Han W, Qian X, Li Q, Ren T and Wang M: HIV complicated with severe pulmonary adenocarcinoma: A case report. Exp Ther Med 29: 65, 2025.
APA
Zhang, T., Wang, H., Han, W., Qian, X., Li, Q., Ren, T., & Wang, M. (2025). HIV complicated with severe pulmonary adenocarcinoma: A case report. Experimental and Therapeutic Medicine, 29, 65. https://doi.org/10.3892/etm.2025.12816
MLA
Zhang, T., Wang, H., Han, W., Qian, X., Li, Q., Ren, T., Wang, M."HIV complicated with severe pulmonary adenocarcinoma: A case report". Experimental and Therapeutic Medicine 29.4 (2025): 65.
Chicago
Zhang, T., Wang, H., Han, W., Qian, X., Li, Q., Ren, T., Wang, M."HIV complicated with severe pulmonary adenocarcinoma: A case report". Experimental and Therapeutic Medicine 29, no. 4 (2025): 65. https://doi.org/10.3892/etm.2025.12816
Copy and paste a formatted citation
x
Spandidos Publications style
Zhang T, Wang H, Han W, Qian X, Li Q, Ren T and Wang M: HIV complicated with severe pulmonary adenocarcinoma: A case report. Exp Ther Med 29: 65, 2025.
APA
Zhang, T., Wang, H., Han, W., Qian, X., Li, Q., Ren, T., & Wang, M. (2025). HIV complicated with severe pulmonary adenocarcinoma: A case report. Experimental and Therapeutic Medicine, 29, 65. https://doi.org/10.3892/etm.2025.12816
MLA
Zhang, T., Wang, H., Han, W., Qian, X., Li, Q., Ren, T., Wang, M."HIV complicated with severe pulmonary adenocarcinoma: A case report". Experimental and Therapeutic Medicine 29.4 (2025): 65.
Chicago
Zhang, T., Wang, H., Han, W., Qian, X., Li, Q., Ren, T., Wang, M."HIV complicated with severe pulmonary adenocarcinoma: A case report". Experimental and Therapeutic Medicine 29, no. 4 (2025): 65. https://doi.org/10.3892/etm.2025.12816
Follow us
  • Twitter
  • LinkedIn
  • Facebook
About
  • Spandidos Publications
  • Careers
  • Cookie Policy
  • Privacy Policy
How can we help?
  • Help
  • Live Chat
  • Contact
  • Email to our Support Team