Spandidos Publications Logo
  • About
    • About Spandidos
    • Aims and Scopes
    • Abstracting and Indexing
    • Editorial Policies
    • Reprints and Permissions
    • Job Opportunities
    • Terms and Conditions
    • Contact
  • Journals
    • All Journals
    • Oncology Letters
      • Oncology Letters
      • Information for Authors
      • Editorial Policies
      • Editorial Board
      • Aims and Scope
      • Abstracting and Indexing
      • Bibliographic Information
      • Archive
    • International Journal of Oncology
      • International Journal of Oncology
      • Information for Authors
      • Editorial Policies
      • Editorial Board
      • Aims and Scope
      • Abstracting and Indexing
      • Bibliographic Information
      • Archive
    • Molecular and Clinical Oncology
      • Molecular and Clinical Oncology
      • Information for Authors
      • Editorial Policies
      • Editorial Board
      • Aims and Scope
      • Abstracting and Indexing
      • Bibliographic Information
      • Archive
    • Experimental and Therapeutic Medicine
      • Experimental and Therapeutic Medicine
      • Information for Authors
      • Editorial Policies
      • Editorial Board
      • Aims and Scope
      • Abstracting and Indexing
      • Bibliographic Information
      • Archive
    • International Journal of Molecular Medicine
      • International Journal of Molecular Medicine
      • Information for Authors
      • Editorial Policies
      • Editorial Board
      • Aims and Scope
      • Abstracting and Indexing
      • Bibliographic Information
      • Archive
    • Biomedical Reports
      • Biomedical Reports
      • Information for Authors
      • Editorial Policies
      • Editorial Board
      • Aims and Scope
      • Abstracting and Indexing
      • Bibliographic Information
      • Archive
    • Oncology Reports
      • Oncology Reports
      • Information for Authors
      • Editorial Policies
      • Editorial Board
      • Aims and Scope
      • Abstracting and Indexing
      • Bibliographic Information
      • Archive
    • Molecular Medicine Reports
      • Molecular Medicine Reports
      • Information for Authors
      • Editorial Policies
      • Editorial Board
      • Aims and Scope
      • Abstracting and Indexing
      • Bibliographic Information
      • Archive
    • World Academy of Sciences Journal
      • World Academy of Sciences Journal
      • Information for Authors
      • Editorial Policies
      • Editorial Board
      • Aims and Scope
      • Abstracting and Indexing
      • Bibliographic Information
      • Archive
    • International Journal of Functional Nutrition
      • International Journal of Functional Nutrition
      • Information for Authors
      • Editorial Policies
      • Editorial Board
      • Aims and Scope
      • Abstracting and Indexing
      • Bibliographic Information
      • Archive
    • International Journal of Epigenetics
      • International Journal of Epigenetics
      • Information for Authors
      • Editorial Policies
      • Editorial Board
      • Aims and Scope
      • Abstracting and Indexing
      • Bibliographic Information
      • Archive
    • Medicine International
      • Medicine International
      • Information for Authors
      • Editorial Policies
      • Editorial Board
      • Aims and Scope
      • Abstracting and Indexing
      • Bibliographic Information
      • Archive
  • Articles
  • Information
    • Information for Authors
    • Information for Reviewers
    • Information for Librarians
    • Information for Advertisers
    • Conferences
  • Language Editing
Spandidos Publications Logo
  • About
    • About Spandidos
    • Aims and Scopes
    • Abstracting and Indexing
    • Editorial Policies
    • Reprints and Permissions
    • Job Opportunities
    • Terms and Conditions
    • Contact
  • Journals
    • All Journals
    • Biomedical Reports
      • Information for Authors
      • Editorial Policies
      • Editorial Board
      • Aims and Scope
      • Abstracting and Indexing
      • Bibliographic Information
      • Archive
    • Experimental and Therapeutic Medicine
      • Information for Authors
      • Editorial Policies
      • Editorial Board
      • Aims and Scope
      • Abstracting and Indexing
      • Bibliographic Information
      • Archive
    • International Journal of Epigenetics
      • Information for Authors
      • Editorial Policies
      • Editorial Board
      • Aims and Scope
      • Abstracting and Indexing
      • Bibliographic Information
      • Archive
    • International Journal of Functional Nutrition
      • Information for Authors
      • Editorial Policies
      • Editorial Board
      • Aims and Scope
      • Abstracting and Indexing
      • Bibliographic Information
      • Archive
    • International Journal of Molecular Medicine
      • Information for Authors
      • Editorial Policies
      • Editorial Board
      • Aims and Scope
      • Abstracting and Indexing
      • Bibliographic Information
      • Archive
    • International Journal of Oncology
      • Information for Authors
      • Editorial Policies
      • Editorial Board
      • Aims and Scope
      • Abstracting and Indexing
      • Bibliographic Information
      • Archive
    • Medicine International
      • Information for Authors
      • Editorial Policies
      • Editorial Board
      • Aims and Scope
      • Abstracting and Indexing
      • Bibliographic Information
      • Archive
    • Molecular and Clinical Oncology
      • Information for Authors
      • Editorial Policies
      • Editorial Board
      • Aims and Scope
      • Abstracting and Indexing
      • Bibliographic Information
      • Archive
    • Molecular Medicine Reports
      • Information for Authors
      • Editorial Policies
      • Editorial Board
      • Aims and Scope
      • Abstracting and Indexing
      • Bibliographic Information
      • Archive
    • Oncology Letters
      • Information for Authors
      • Editorial Policies
      • Editorial Board
      • Aims and Scope
      • Abstracting and Indexing
      • Bibliographic Information
      • Archive
    • Oncology Reports
      • Information for Authors
      • Editorial Policies
      • Editorial Board
      • Aims and Scope
      • Abstracting and Indexing
      • Bibliographic Information
      • Archive
    • World Academy of Sciences Journal
      • Information for Authors
      • Editorial Policies
      • Editorial Board
      • Aims and Scope
      • Abstracting and Indexing
      • Bibliographic Information
      • Archive
  • Articles
  • Information
    • For Authors
    • For Reviewers
    • For Librarians
    • For Advertisers
    • Conferences
  • Language Editing
Login Register Submit
  • This site uses cookies
  • You can change your cookie settings at any time by following the instructions in our Cookie Policy. To find out more, you may read our Privacy Policy.

    I agree
Search articles by DOI, keyword, author or affiliation
Search
Advanced Search
presentation
Experimental and Therapeutic Medicine
Join Editorial Board Propose a Special Issue
Print ISSN: 1792-0981 Online ISSN: 1792-1015
Journal Cover
April-2025 Volume 29 Issue 4

Full Size Image

Sign up for eToc alerts
Recommend to Library

Journals

International Journal of Molecular Medicine

International Journal of Molecular Medicine

International Journal of Molecular Medicine is an international journal devoted to molecular mechanisms of human disease.

International Journal of Oncology

International Journal of Oncology

International Journal of Oncology is an international journal devoted to oncology research and cancer treatment.

Molecular Medicine Reports

Molecular Medicine Reports

Covers molecular medicine topics such as pharmacology, pathology, genetics, neuroscience, infectious diseases, molecular cardiology, and molecular surgery.

Oncology Reports

Oncology Reports

Oncology Reports is an international journal devoted to fundamental and applied research in Oncology.

Experimental and Therapeutic Medicine

Experimental and Therapeutic Medicine

Experimental and Therapeutic Medicine is an international journal devoted to laboratory and clinical medicine.

Oncology Letters

Oncology Letters

Oncology Letters is an international journal devoted to Experimental and Clinical Oncology.

Biomedical Reports

Biomedical Reports

Explores a wide range of biological and medical fields, including pharmacology, genetics, microbiology, neuroscience, and molecular cardiology.

Molecular and Clinical Oncology

Molecular and Clinical Oncology

International journal addressing all aspects of oncology research, from tumorigenesis and oncogenes to chemotherapy and metastasis.

World Academy of Sciences Journal

World Academy of Sciences Journal

Multidisciplinary open-access journal spanning biochemistry, genetics, neuroscience, environmental health, and synthetic biology.

International Journal of Functional Nutrition

International Journal of Functional Nutrition

Open-access journal combining biochemistry, pharmacology, immunology, and genetics to advance health through functional nutrition.

International Journal of Epigenetics

International Journal of Epigenetics

Publishes open-access research on using epigenetics to advance understanding and treatment of human disease.

Medicine International

Medicine International

An International Open Access Journal Devoted to General Medicine.

Journal Cover
April-2025 Volume 29 Issue 4

Full Size Image

Sign up for eToc alerts
Recommend to Library

  • Article
  • Citations
    • Cite This Article
    • Download Citation
    • Create Citation Alert
    • Remove Citation Alert
    • Cited By
  • Similar Articles
    • Related Articles (in Spandidos Publications)
    • Similar Articles (Google Scholar)
    • Similar Articles (PubMed)
  • Download PDF
  • Download XML
  • View XML
Article Open Access

Indigo naturalis‑associated ischemic injury of colorectal mucosa: A case series study

  • Authors:
    • Yiheng Ke
    • Liang Xu
    • Qi Tang
    • Zheyu Ruan
    • Junjie Liu
    • Shuiliang Ruan
  • View Affiliations / Copyright

    Affiliations: Jiaxing University Master Degree Cultivation Base, Zhejiang Chinese Medical University, Hangzhou, Zhejiang 310000, P.R. China, Department of Gastroenterology, The Second Affiliated Hospital of Jiaxing University, Jiaxing, Zhejiang 314000, P.R. China
    Copyright: © Ke et al. This is an open access article distributed under the terms of Creative Commons Attribution License [CC BY 4.0].
  • Article Number: 68
    |
    Published online on: February 7, 2025
       https://doi.org/10.3892/etm.2025.12818
  • Expand metrics +
Metrics: Total Views: 0 (Spandidos Publications: | PMC Statistics: )
Metrics: Total PDF Downloads: 0 (Spandidos Publications: | PMC Statistics: )
Cited By (CrossRef): 0 citations Loading Articles...

This article is mentioned in:



Abstract

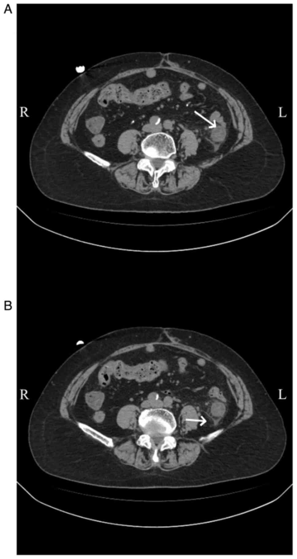
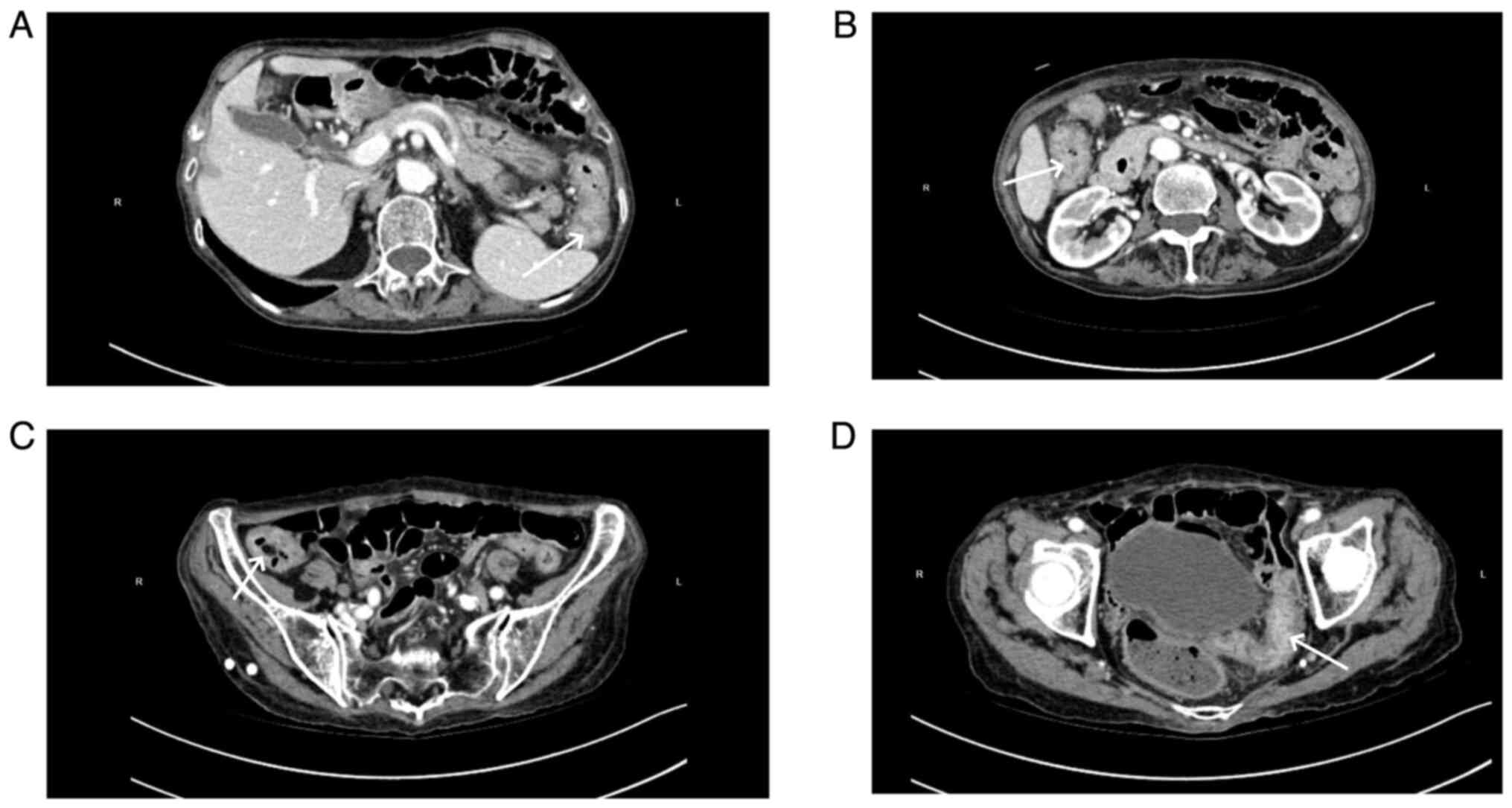
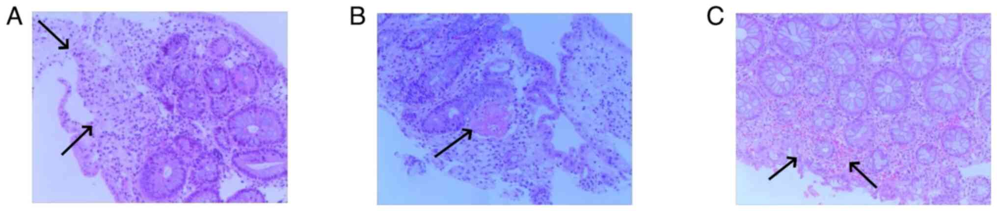
Indigo naturalis, a traditional Chinese herbal medicine characterized by its dark blue hue, is utilized in the treatment of a diverse array of diseases, including ulcerative colitis, psoriasis, oral ulcers, radiation proctitis, chronic myelocytic leukemia and herpes zoster. The common adverse effects associated with indigo naturalis include liver dysfunction, headaches, abdominal pain and nausea. Notably, case reports have documented instances of ischemic injury to the colorectal mucosa attributed to indigo naturalis. The present case series study aimed to elucidate the clinical characteristics of patients that experienced an ischemic injury of the colorectal mucosa due to consuming Chinese patent medicines containing indigo naturalis. The present study included 15 patients (mean age, 61.7±15.1 years; 5 male patients) that were admitted to the Second Affiliated Hospital of Jiaxing University (Jiaxing, China) between March 2013 and February 2016. The patients developed ischemic colonic mucosal injuries after consuming indigo naturalis through Chinese patent medicines, with an incidence rate of 1.3% (15/1,157 patients). Overall, 9/15 patients had idiopathic thrombocytopenic purpura and 6 patients had schistosomal liver fibrosis with hypersplenism but normal myeloproliferative thrombocytopenia. The duration of continuous treatment with indigo naturalis‑containing Chinese patent medicines ranged from 12‑330 days, with a mean of 98.0±52.3 days. Gastrointestinal symptoms, including abdominal pain, diarrhea and hematochezia, were observed 6‑90 days after starting the indigo naturalis‑containing Chinese patent medicines, with a mean onset of 28.9±22.2 days. Abdominal computed tomography scans and colonoscopy revealed lesions predominantly in the right hemi‑colon and the entire colon, including the rectum. Gastrointestinal symptoms resolved 17.3±12.4 days after discontinuing the treatment with indigo naturalis‑containing Chinese patent medicines, and patients had a favorable prognosis and did not experience a recurrence of ischemic colitis. Therefore, individuals taking indigo naturalis orally may be susceptible to developing ischemic injuries of the colorectal mucosa. In cases where colonoscopy indicates a suspected mucosal ischemic injury, it is suggested that endoscopists inquire about the medical history of the patient in order to establish a definitive diagnosis and adjust the dose of the indigo naturalis‑containing drug to mitigate the adverse effects.
View Figures

Figure 1

Figure 2

Figure 3

Figure 4

Figure 5

Figure 6

Figure 7

Figure 8

Figure 9

View References

1 

Dahal RH, Kim S, Kim YK, Kim ES and Kim J: Insight into gut dysbiosis of patients with inflammatory bowel disease and ischemic colitis. Front Microbiol. 14(1174832)2023.PubMed/NCBI View Article : Google Scholar

2 

Fairen Oro C and Beresneva O: Diagnosis and management of ischemic colitis. Dis Colon Rectum. 66:872–875. 2023.PubMed/NCBI View Article : Google Scholar

3 

Trotter JM, Hunt L and Peter MB: Ischaemic colitis. BMJ. 355(i6600)2016.PubMed/NCBI View Article : Google Scholar

4 

Yadav S, Dave M, Edakkanambeth Varayil J, Harmsen WS, Tremaine WJ, Zinsmeister AR, Sweetser SR, Melton LJ III, Sandborn WJ and Loftus EV Jr: A population-based study of incidence, risk factors, clinical spectrum, and outcomes of ischemic colitis. Clin Gastroenterol Hepatol. 13:731–738.e1-e6, e41. 2015.PubMed/NCBI View Article : Google Scholar

5 

Ichita C, Goto T, Sasaki A and Shimizu S: National trends in hospitalizations for gastrointestinal bleeding in Japan. J Clin Biochem Nutr. 75:60–64. 2024.PubMed/NCBI View Article : Google Scholar

6 

Vodusek Z, Feuerstadt P and Brandt LJ: Review article: The pharmacological causes of colon ischaemia. Aliment Pharmacol Ther. 49:51–63. 2019.PubMed/NCBI View Article : Google Scholar

7 

Suo BJ, Zhou LY, Ding SG, Lü YM, Gu F, Lin SR and Zheng YA: The endoscopic and clinical features of indigo naturalis-associated ischemic lesions of colonic mucosa. Zhonghua Nei Ke Za Zhi. 50:646–649. 2011.PubMed/NCBI(In Chinese).

8 

Cho B, Yoon SM, Son SM, Kim HW, Kim KB and Youn SJ: Ischemic colitis induced by indigo naturalis in a patient with ulcerative colitis: A case report. BMC Gastroenterol. 20(154)2020.PubMed/NCBI View Article : Google Scholar

9 

Kondo S, Araki T, Okita Y, Yamamoto A, Hamada Y, Katsurahara M, Horiki N, Nakamura M, Shimoyama T, Yamamoto T, et al: Colitis with wall thickening and edematous changes during oral administration of the powdered form of Qing-dai in patients with ulcerative colitis: A report of two cases. Clin J Gastroenterol. 11:268–272. 2018.PubMed/NCBI View Article : Google Scholar

10 

Sun Q, Leng J, Tang L, Wang L and Fu C: A comprehensive review of the chemistry, pharmacokinetics, pharmacology, clinical applications, adverse events, and quality control of indigo naturalis. Front Pharmacol. 12(664022)2021.PubMed/NCBI View Article : Google Scholar

11 

Hendrick V, Altshuler L and Whybrow P: Psychoneuroendocrinology of mood disorders. The hypothalamic-pituitary-thyroid axis. Psychiatr Clin North Am. 21:277–292. 1998.PubMed/NCBI View Article : Google Scholar

12 

Yang L, Li X, Huang W, Rao X and Lai Y: Pharmacological properties of indirubin and its derivatives. Biomed Pharmacother. 151(113112)2022.PubMed/NCBI View Article : Google Scholar

13 

Xu Y, Lin C, Tan HY and Bian ZX: The double-edged sword effect of indigo naturalis. Food Chem Toxicol. 185(114476)2024.PubMed/NCBI View Article : Google Scholar

14 

Matsuno Y, Torisu T, Umeno J, Shibata H, Hirano A, Fuyuno Y, Okamoto Y, Fujioka S, Kawasaki K, Moriyama T, et al: One-year clinical efficacy and safety of indigo naturalis for active ulcerative colitis: A real-world prospective study. Intest Res. 20:260–268. 2022.PubMed/NCBI View Article : Google Scholar

15 

Uchiyama K, Takami S, Suzuki H, Umeki K, Mochizuki S, Kakinoki N, Iwamoto J, Hoshino Y, Omori J, Fujimori S, et al: Efficacy and safety of short-term therapy with indigo naturalis for ulcerative colitis: An investigator-initiated multicenter double-blind clinical trial. PLoS One. 15(e0241337)2020.PubMed/NCBI View Article : Google Scholar

16 

Saiki JP, Andreasson JO, Grimes KV, Frumkin LR, Sanjines E, Davidson MG, Park KT and Limketkai B: Treatment-refractory ulcerative colitis responsive to indigo naturalis. BMJ Open Gastroenterol. 8(e000813)2021.PubMed/NCBI View Article : Google Scholar

17 

Ruan SL, Lu QM, Yang ZH, Yu YW and Tang LL: Clinical investigation on schistosomiasis after a 16-year-interruption program regarding its transmission, in Jiaxing region of Zhejiang province. Zhonghua Liu Xing Bing Xue Za Zhi. 34:523–525. 2013.PubMed/NCBI(In Chinese).

18 

Brandt LJ, Feuerstadt P, Longstreth GF and Boley SJ: American College of Gastroenterology. ACG clinical guideline: Epidemiology, risk factors, patterns of presentation, diagnosis, and management of colon ischemia (CI). Am J Gastroenterol. 110:18–45. 2015.PubMed/NCBI View Article : Google Scholar

19 

Zhou S, Shi Q, Zheng Y, Zhuang Y, Lin Y, Huang Z and Yu J: Sheng-Xue-Xiao-Ban Capsule-induced ischemic colitis and pulmonary embolism in an idiopathic thrombocytopenic purpura patient: A rare case report. Ann Transl Med. 10(1027)2022.PubMed/NCBI View Article : Google Scholar

20 

Ahmed M: Ischemic bowel disease in 2021. World J Gastroenterol. 27:4746–4762. 2021.PubMed/NCBI View Article : Google Scholar

21 

Cotter TG, Bledsoe AC and Sweetser S: Colon ischemia: An update for clinicians. Mayo Clin Proc. 91:671–677. 2016.PubMed/NCBI View Article : Google Scholar

22 

Chen MS and Du LY: Effect of Compound Qingdai Granula on the expression of TGF-β1 and VEGF in the colon tissue of rats with ulcerative colitis. Chin J Integr Tradit West Med Dig. 21:393–396. 2013.

23 

Wang Y, Liu L, Guo Y, Mao T, Shi R and Li J: Effects of indigo naturalis on colonic mucosal injuries and inflammation in rats with dextran sodium sulphate-induced ulcerative colitis. Exp Ther Med. 14:1327–1336. 2017.PubMed/NCBI View Article : Google Scholar

24 

Sugimoto S, Naganuma M and Kanai T: Indole compounds may be promising medicines for ulcerative colitis. J Gastroenterol. 51:853–861. 2016.PubMed/NCBI View Article : Google Scholar

25 

Kudo T, Jimbo K, Shimizu H, Iwama I, Ishige T, Mizuochi T, Arai K, Kumagai H, Uchida K, Abukawa D and Shimizu T: Qing-dai for pediatric ulcerative colitis multicenter survey and systematic review. Pediatr Int. 64(e15113)2022.PubMed/NCBI View Article : Google Scholar

26 

Naganuma M, Sugimoto S, Suzuki H, Matsuno Y, Araki T, Shimizu H, Hayashi R, Fukuda T, Nakamoto N, Iijima H, et al: Adverse events in patients with ulcerative colitis treated with indigo naturalis: A Japanese nationwide survey. J Gastroenterol. 54:891–896. 2019.PubMed/NCBI View Article : Google Scholar

27 

Xiao HT, Peng J, Hu DD, Lin CY, Du B, Tsang SW, Lin ZS, Zhang XJ, Lueng FP, Han QB and Bian ZX: Qing-dai powder promotes recovery of colitis by inhibiting inflammatory responses of colonic macrophages in dextran sulfate sodium-treated mice. Chin Med. 10(29)2015.

28 

Gu S, Xue Y, Gao Y, Shen S, Zhang Y, Chen K, Xue S, Pan J, Tang Y, Zhu H, et al: Mechanisms of indigo naturalis on treating ulcerative colitis explored by GEO gene chips combined with network pharmacology and molecular docking. Sci Rep. 10(15204)2020.PubMed/NCBI View Article : Google Scholar

29 

Adachi S, Hoshi N, Inoue J, Yasutomi E, Otsuka T, Dhakhwa R, Wang Z, Koo Y, Takamatsu T, Matsumura Y, et al: Indigo naturalis ameliorates oxazolone-induced dermatitis but aggravates colitis by changing the composition of gut microflora. Int Arch Allergy Immunol. 173:23–33. 2017.PubMed/NCBI View Article : Google Scholar

30 

Yang QY, Ma LL, Zhang C, Lin JZ, Han L, He YN and Xie CG: Exploring the mechanism of indigo naturalis in the treatment of ulcerative colitis based on TLR4/MyD88/NF-κB signaling pathway and gut microbiota. Front Pharmacol. 12(674416)2021.PubMed/NCBI View Article : Google Scholar

31 

Liang YN, Yu JG, Zhang DB, Zhang Z, Ren LL, Li LH, Wang Z and Tang ZS: Indigo naturalis ameliorates dextran sulfate sodium-induced colitis in mice by modulating the intestinal microbiota community. Molecules. 24(4086)2019.PubMed/NCBI View Article : Google Scholar

32 

Luo L, Li C, Huang N, Wang Q and Zhang Z, Song C, Yang H, Yuan M, Xu Z, Sun J and Zhang Z: Traditional mineral medicine realgar and realgar-indigo naturalis formula potentially exerted therapeutic effects by altering the gut microbiota. Front Microbiol. 14(1143173)2023.PubMed/NCBI View Article : Google Scholar

33 

Sun Z, Li J, Dai Y, Wang W, Shi R, Wang Z, Ding P, Lu Q, Jiang H, Pei W, et al: Indigo naturalis alleviates dextran sulfate sodium-induced colitis in rats via altering gut microbiota. Front Microbiol. 11(731)2020.PubMed/NCBI View Article : Google Scholar

34 

Maimone A, De Ceglie A, Siersema PD, Baron TH and Conio M: Colon ischemia: A comprehensive review. Clin Res Hepatol Gastroenterol. 45(101592)2021.PubMed/NCBI View Article : Google Scholar

35 

Lee JM and Lee KM: Endoscopic diagnosis and differentiation of inflammatory bowel disease. Clin Endosc. 49:370–375. 2016.PubMed/NCBI View Article : Google Scholar

36 

Li Z, Liping D, Weihong Y, et al: The clinical feature and possible pathogenesis of natural indigo (Qingdai) induced hematochezia. Chin J Gastroenterol Hepatol. 13:161–164. 2004.(In Chinese).

37 

Wang CL, Si ZK, Liu GH, Chen C, Zhao H and Li L: Ischemic colitis induced by a platelet-raising capsule: A case report. World J Clin Cases. 12:607–615. 2024.PubMed/NCBI View Article : Google Scholar

Related Articles

  • Abstract
  • View
  • Download
  • Twitter
Copy and paste a formatted citation
Spandidos Publications style
Ke Y, Xu L, Tang Q, Ruan Z, Liu J and Ruan S: Indigo naturalis‑associated ischemic injury of colorectal mucosa: A case series study. Exp Ther Med 29: 68, 2025.
APA
Ke, Y., Xu, L., Tang, Q., Ruan, Z., Liu, J., & Ruan, S. (2025). Indigo naturalis‑associated ischemic injury of colorectal mucosa: A case series study. Experimental and Therapeutic Medicine, 29, 68. https://doi.org/10.3892/etm.2025.12818
MLA
Ke, Y., Xu, L., Tang, Q., Ruan, Z., Liu, J., Ruan, S."Indigo naturalis‑associated ischemic injury of colorectal mucosa: A case series study". Experimental and Therapeutic Medicine 29.4 (2025): 68.
Chicago
Ke, Y., Xu, L., Tang, Q., Ruan, Z., Liu, J., Ruan, S."Indigo naturalis‑associated ischemic injury of colorectal mucosa: A case series study". Experimental and Therapeutic Medicine 29, no. 4 (2025): 68. https://doi.org/10.3892/etm.2025.12818
Copy and paste a formatted citation
x
Spandidos Publications style
Ke Y, Xu L, Tang Q, Ruan Z, Liu J and Ruan S: Indigo naturalis‑associated ischemic injury of colorectal mucosa: A case series study. Exp Ther Med 29: 68, 2025.
APA
Ke, Y., Xu, L., Tang, Q., Ruan, Z., Liu, J., & Ruan, S. (2025). Indigo naturalis‑associated ischemic injury of colorectal mucosa: A case series study. Experimental and Therapeutic Medicine, 29, 68. https://doi.org/10.3892/etm.2025.12818
MLA
Ke, Y., Xu, L., Tang, Q., Ruan, Z., Liu, J., Ruan, S."Indigo naturalis‑associated ischemic injury of colorectal mucosa: A case series study". Experimental and Therapeutic Medicine 29.4 (2025): 68.
Chicago
Ke, Y., Xu, L., Tang, Q., Ruan, Z., Liu, J., Ruan, S."Indigo naturalis‑associated ischemic injury of colorectal mucosa: A case series study". Experimental and Therapeutic Medicine 29, no. 4 (2025): 68. https://doi.org/10.3892/etm.2025.12818
Follow us
  • Twitter
  • LinkedIn
  • Facebook
About
  • Spandidos Publications
  • Careers
  • Cookie Policy
  • Privacy Policy
How can we help?
  • Help
  • Live Chat
  • Contact
  • Email to our Support Team