Spandidos Publications Logo
  • About
    • About Spandidos
    • Aims and Scopes
    • Abstracting and Indexing
    • Editorial Policies
    • Reprints and Permissions
    • Job Opportunities
    • Terms and Conditions
    • Contact
  • Journals
    • All Journals
    • Oncology Letters
      • Oncology Letters
      • Information for Authors
      • Editorial Policies
      • Editorial Board
      • Aims and Scope
      • Abstracting and Indexing
      • Bibliographic Information
      • Archive
    • International Journal of Oncology
      • International Journal of Oncology
      • Information for Authors
      • Editorial Policies
      • Editorial Board
      • Aims and Scope
      • Abstracting and Indexing
      • Bibliographic Information
      • Archive
    • Molecular and Clinical Oncology
      • Molecular and Clinical Oncology
      • Information for Authors
      • Editorial Policies
      • Editorial Board
      • Aims and Scope
      • Abstracting and Indexing
      • Bibliographic Information
      • Archive
    • Experimental and Therapeutic Medicine
      • Experimental and Therapeutic Medicine
      • Information for Authors
      • Editorial Policies
      • Editorial Board
      • Aims and Scope
      • Abstracting and Indexing
      • Bibliographic Information
      • Archive
    • International Journal of Molecular Medicine
      • International Journal of Molecular Medicine
      • Information for Authors
      • Editorial Policies
      • Editorial Board
      • Aims and Scope
      • Abstracting and Indexing
      • Bibliographic Information
      • Archive
    • Biomedical Reports
      • Biomedical Reports
      • Information for Authors
      • Editorial Policies
      • Editorial Board
      • Aims and Scope
      • Abstracting and Indexing
      • Bibliographic Information
      • Archive
    • Oncology Reports
      • Oncology Reports
      • Information for Authors
      • Editorial Policies
      • Editorial Board
      • Aims and Scope
      • Abstracting and Indexing
      • Bibliographic Information
      • Archive
    • Molecular Medicine Reports
      • Molecular Medicine Reports
      • Information for Authors
      • Editorial Policies
      • Editorial Board
      • Aims and Scope
      • Abstracting and Indexing
      • Bibliographic Information
      • Archive
    • World Academy of Sciences Journal
      • World Academy of Sciences Journal
      • Information for Authors
      • Editorial Policies
      • Editorial Board
      • Aims and Scope
      • Abstracting and Indexing
      • Bibliographic Information
      • Archive
    • International Journal of Functional Nutrition
      • International Journal of Functional Nutrition
      • Information for Authors
      • Editorial Policies
      • Editorial Board
      • Aims and Scope
      • Abstracting and Indexing
      • Bibliographic Information
      • Archive
    • International Journal of Epigenetics
      • International Journal of Epigenetics
      • Information for Authors
      • Editorial Policies
      • Editorial Board
      • Aims and Scope
      • Abstracting and Indexing
      • Bibliographic Information
      • Archive
    • Medicine International
      • Medicine International
      • Information for Authors
      • Editorial Policies
      • Editorial Board
      • Aims and Scope
      • Abstracting and Indexing
      • Bibliographic Information
      • Archive
  • Articles
  • Information
    • Information for Authors
    • Information for Reviewers
    • Information for Librarians
    • Information for Advertisers
    • Conferences
  • Language Editing
Spandidos Publications Logo
  • About
    • About Spandidos
    • Aims and Scopes
    • Abstracting and Indexing
    • Editorial Policies
    • Reprints and Permissions
    • Job Opportunities
    • Terms and Conditions
    • Contact
  • Journals
    • All Journals
    • Biomedical Reports
      • Information for Authors
      • Editorial Policies
      • Editorial Board
      • Aims and Scope
      • Abstracting and Indexing
      • Bibliographic Information
      • Archive
    • Experimental and Therapeutic Medicine
      • Information for Authors
      • Editorial Policies
      • Editorial Board
      • Aims and Scope
      • Abstracting and Indexing
      • Bibliographic Information
      • Archive
    • International Journal of Epigenetics
      • Information for Authors
      • Editorial Policies
      • Editorial Board
      • Aims and Scope
      • Abstracting and Indexing
      • Bibliographic Information
      • Archive
    • International Journal of Functional Nutrition
      • Information for Authors
      • Editorial Policies
      • Editorial Board
      • Aims and Scope
      • Abstracting and Indexing
      • Bibliographic Information
      • Archive
    • International Journal of Molecular Medicine
      • Information for Authors
      • Editorial Policies
      • Editorial Board
      • Aims and Scope
      • Abstracting and Indexing
      • Bibliographic Information
      • Archive
    • International Journal of Oncology
      • Information for Authors
      • Editorial Policies
      • Editorial Board
      • Aims and Scope
      • Abstracting and Indexing
      • Bibliographic Information
      • Archive
    • Medicine International
      • Information for Authors
      • Editorial Policies
      • Editorial Board
      • Aims and Scope
      • Abstracting and Indexing
      • Bibliographic Information
      • Archive
    • Molecular and Clinical Oncology
      • Information for Authors
      • Editorial Policies
      • Editorial Board
      • Aims and Scope
      • Abstracting and Indexing
      • Bibliographic Information
      • Archive
    • Molecular Medicine Reports
      • Information for Authors
      • Editorial Policies
      • Editorial Board
      • Aims and Scope
      • Abstracting and Indexing
      • Bibliographic Information
      • Archive
    • Oncology Letters
      • Information for Authors
      • Editorial Policies
      • Editorial Board
      • Aims and Scope
      • Abstracting and Indexing
      • Bibliographic Information
      • Archive
    • Oncology Reports
      • Information for Authors
      • Editorial Policies
      • Editorial Board
      • Aims and Scope
      • Abstracting and Indexing
      • Bibliographic Information
      • Archive
    • World Academy of Sciences Journal
      • Information for Authors
      • Editorial Policies
      • Editorial Board
      • Aims and Scope
      • Abstracting and Indexing
      • Bibliographic Information
      • Archive
  • Articles
  • Information
    • For Authors
    • For Reviewers
    • For Librarians
    • For Advertisers
    • Conferences
  • Language Editing
Login Register Submit
  • This site uses cookies
  • You can change your cookie settings at any time by following the instructions in our Cookie Policy. To find out more, you may read our Privacy Policy.

    I agree
Search articles by DOI, keyword, author or affiliation
Search
Advanced Search
presentation
Experimental and Therapeutic Medicine
Join Editorial Board Propose a Special Issue
Print ISSN: 1792-0981 Online ISSN: 1792-1015
Journal Cover
April-2025 Volume 29 Issue 4

Full Size Image

Sign up for eToc alerts
Recommend to Library

Journals

International Journal of Molecular Medicine

International Journal of Molecular Medicine

International Journal of Molecular Medicine is an international journal devoted to molecular mechanisms of human disease.

International Journal of Oncology

International Journal of Oncology

International Journal of Oncology is an international journal devoted to oncology research and cancer treatment.

Molecular Medicine Reports

Molecular Medicine Reports

Covers molecular medicine topics such as pharmacology, pathology, genetics, neuroscience, infectious diseases, molecular cardiology, and molecular surgery.

Oncology Reports

Oncology Reports

Oncology Reports is an international journal devoted to fundamental and applied research in Oncology.

Experimental and Therapeutic Medicine

Experimental and Therapeutic Medicine

Experimental and Therapeutic Medicine is an international journal devoted to laboratory and clinical medicine.

Oncology Letters

Oncology Letters

Oncology Letters is an international journal devoted to Experimental and Clinical Oncology.

Biomedical Reports

Biomedical Reports

Explores a wide range of biological and medical fields, including pharmacology, genetics, microbiology, neuroscience, and molecular cardiology.

Molecular and Clinical Oncology

Molecular and Clinical Oncology

International journal addressing all aspects of oncology research, from tumorigenesis and oncogenes to chemotherapy and metastasis.

World Academy of Sciences Journal

World Academy of Sciences Journal

Multidisciplinary open-access journal spanning biochemistry, genetics, neuroscience, environmental health, and synthetic biology.

International Journal of Functional Nutrition

International Journal of Functional Nutrition

Open-access journal combining biochemistry, pharmacology, immunology, and genetics to advance health through functional nutrition.

International Journal of Epigenetics

International Journal of Epigenetics

Publishes open-access research on using epigenetics to advance understanding and treatment of human disease.

Medicine International

Medicine International

An International Open Access Journal Devoted to General Medicine.

Journal Cover
April-2025 Volume 29 Issue 4

Full Size Image

Sign up for eToc alerts
Recommend to Library

  • Article
  • Citations
    • Cite This Article
    • Download Citation
    • Create Citation Alert
    • Remove Citation Alert
    • Cited By
  • Similar Articles
    • Related Articles (in Spandidos Publications)
    • Similar Articles (Google Scholar)
    • Similar Articles (PubMed)
  • Download PDF
  • Download XML
  • View XML
Case Report Open Access

Successful conversion surgery following tislelizumab with chemotherapy in a patient with stage IIIC lung adenocarcinoma harboring RET fusions: A case report and review of the literature

  • Authors:
    • De-Hao Tu
    • Rirong Qu
    • Fang Wen
    • Qiang Zhou
    • Qianyun Liu
    • Lingmei Huang
    • Tao Chen
  • View Affiliations / Copyright

    Affiliations: Department of Thoracic Surgery, Yueyang Central Hospital, Yueyang, Hunan 414000, P.R. China, Department of Thoracic Surgery, Tongji Hospital, Tongji Medical College, Huazhong University of Science and Technology, Wuhan, Hubei 430030, P.R. China, Department of Oncology, Yueyang Central Hospital, Yueyang, Hunan 414000, P.R. China, Department of Medical Imaging, Yueyang Central Hospital, Yueyang, Hunan 414000, P.R. China, Department of Pulmonary and Critical Care Medicine, Yueyang Central Hospital, Yueyang, Hunan 414000, P.R. China
    Copyright: © Tu et al. This is an open access article distributed under the terms of Creative Commons Attribution License.
  • Article Number: 70
    |
    Published online on: February 10, 2025
       https://doi.org/10.3892/etm.2025.12820
  • Expand metrics +
Metrics: Total Views: 0 (Spandidos Publications: | PMC Statistics: )
Metrics: Total PDF Downloads: 0 (Spandidos Publications: | PMC Statistics: )
Cited By (CrossRef): 0 citations Loading Articles...

This article is mentioned in:



Abstract

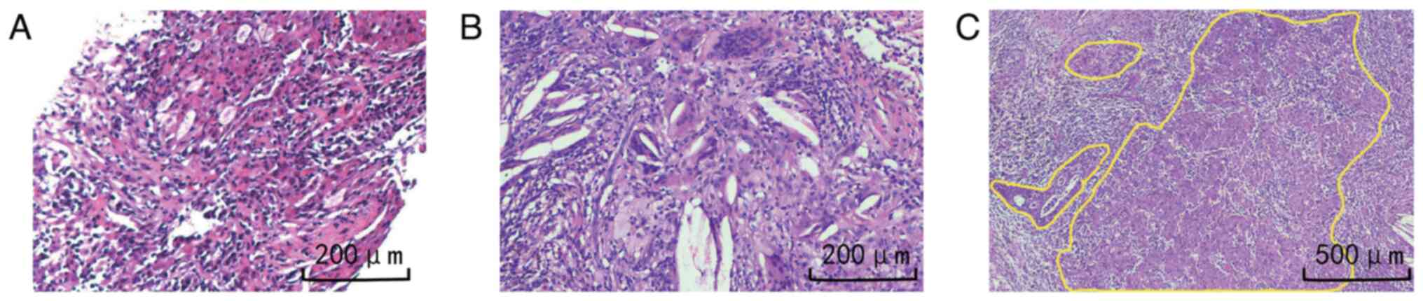
Immune checkpoint inhibitors (ICIs) have emerged as a beacon of hope for most patients with stage III non‑small cell lung cancer (NSCLC) who are no longer surgical candidates. However, the literature on the use of immunotherapy in patients with NSCLC with rearranged during transfection (RET) gene fusions is scant. The present study reports the case of a 61‑year‑old female patient, diagnosed with stage IIIC lung adenocarcinoma, exhibiting two RET gene fusions and high programmed death‑ligand 1 expression. Following four treatment cycles of tislelizumab in combination with pemetrexed and cisplatin, the patient was successfully downstaged, enabling radical surgery. The post‑operative pathology analysis indicated a major pathologic response. This case study contributes to the growing body of evidence supporting the use of ICIs in treating locally advanced NSCLC with RET gene fusions.
View Figures

Figure 1

Figure 2

Figure 3

Figure 4

View References

1 

Albain KS, Swann RS, Rusch VW, Turrisi AT III, Shepherd FA, Smith C, Chen Y, Livingston RB, Feins RH, Gandara DR, et al: Radiotherapy plus chemotherapy with or without surgical resection for stage III non-small-cell lung cancer: A phase III randomised controlled trial. Lancet. 374:379–386. 2009.PubMed/NCBI View Article : Google Scholar

2 

Eberhardt WE, Pöttgen C, Gauler TC, Friedel G, Veit S, Heinrich V, Welter S, Budach W, Spengler W, Kimmich M, et al: Phase III study of surgery versus definitive concurrent chemoradiotherapy boost in patients with resectable stage IIIA(N2) and selected IIIB non-small-cell lung cancer after induction chemotherapy and concurrent chemoradiotherapy (ESPATUE). J Clin Oncol. 33:4194–4201. 2015.PubMed/NCBI View Article : Google Scholar

3 

Provencio M, Nadal E, Insa A, García-Campelo MR, Casal-Rubio J, Dómine M, Majem M, Rodríguez-Abreu D, Martínez-Martí A, De Castro Carpeño J, et al: Neoadjuvant chemotherapy and nivolumab in resectable non-small-cell lung cancer (NADIM): An open-label, multicentre, single-arm, phase 2 trial. Lancet Oncol. 21:1413–1422. 2020.PubMed/NCBI View Article : Google Scholar

4 

Provencio M, Serna-Blasco R, Nadal E, Insa A, García-Campelo MR, Casal Rubio J, Dómine M, Majem M, Rodríguez-Abreu D, Martínez-Martí A, et al: Overall survival and biomarker analysis of neoadjuvant nivolumab plus chemotherapy in operable stage IIIA non-small-cell lung cancer (NADIM phase II trial). J Clin Oncol. 40:2924–2933. 2022.PubMed/NCBI View Article : Google Scholar

5 

Forde PM, Spicer J, Lu S, Provencio M, Mitsudomi T, Awad MM, Felip E, Broderick SR, Brahmer JR, Swanson SJ, et al: Neoadjuvant nivolumab plus chemotherapy in resectable lung cancer. N Engl J Med. 386:1973–1985. 2022.PubMed/NCBI View Article : Google Scholar

6 

Provencio M, Nadal E, González-Larriba JL, Martínez-Martí A, Bernabé R, Bosch-Barrera J, Casal-Rubio J, Calvo V, Insa A, Ponce S, et al: Perioperative nivolumab and chemotherapy in stage III non-small-cell lung cancer. N Engl J Med. 389:504–513. 2023.PubMed/NCBI View Article : Google Scholar

7 

Dantoing E, Piton N, Salaün M, Thiberville L and Guisier F: Anti-PD1/PD-L1 immunotherapy for non-small cell lung cancer with actionable oncogenic driver mutations. Int J Mol Sci. 22(6288)2021.PubMed/NCBI View Article : Google Scholar

8 

Seegobin K, Majeed U, Wiest N, Manochakian R, Lou Y and Zhao Y: Immunotherapy in non-small cell lung cancer with actionable mutations other than EGFR. Front Oncol. 11(750657)2021.PubMed/NCBI View Article : Google Scholar

9 

Grant MJ, Herbst RS and Goldberg SB: Selecting the optimal immunotherapy regimen in driver-negative metastatic NSCLC. Nat Rev Clin Oncol. 18:625–644. 2021.PubMed/NCBI View Article : Google Scholar

10 

Yan N, Zhang H, Shen S, Guo S and Li X: Response to immune checkpoint inhibitor combination therapy in metastatic RET-mutated lung cancer from real-world retrospective data. BMC Cancer. 24(178)2024.PubMed/NCBI View Article : Google Scholar

11 

Bhandari NR, Hess LM, Han Y, Zhu YE and Sireci AN: Efficacy of immune checkpoint inhibitor therapy in patients with RET fusion-positive non-small-cell lung cancer. Immunotherapy. 13:893–904. 2021.PubMed/NCBI View Article : Google Scholar

12 

Akers KG, Oskar S, Zhao B, Frederickson AM and Arunachalam A: Clinical outcomes of PD-1/PD-L1 inhibitors among patients with advanced or metastatic non-small cell lung cancer with BRAF, ERBB2/HER2, MET, or RET alterations: A systematic literature review. J Immunother. 47:128–138. 2024.PubMed/NCBI View Article : Google Scholar

13 

Burning Rock Dx. LungCore® 9-gene Panel Overview. Available online: https://www.brbiotech.com/service/c4 (Accessed on 2025-1-31).

14 

Ettinger DS, Wood DE and Aisner DL: NCCN guidelines version 2.2024 non-small cell lung cancer. National Comprehensive Cancer Network, Plymouth Meeting, PA, 2024.

15 

Chinese Society of Clinical Oncology Guidelines Working Committee: Chinese Society of Clinical Oncology (CSCO) guidelines for the diagnosis and treatment of non-small cell lung cancer, 2024 edition. People's Medical Publishing House, Beijing, p14, 2024.

16 

Deng H, Liu J, Cai X, Chen J, Rocco G, Petersen RH, Brunelli A, Ng CSH, D'Amico TA, Liang W and He J: Radical minimally invasive surgery after immuno-chemotherapy in initially-unresectable stage IIIB non-small cell lung cancer. Ann Surg. 275:e600–e602. 2022.PubMed/NCBI View Article : Google Scholar

17 

Zheng J, Li Y, Jin C, Ruan K, Sun K, Chen H, Wang M, Zhang S and Zhou J and Zhou J: Efficacy and surgical safety of sequential surgical resection after pembrolizumab plus chemotherapy for initial unresectable stage IIIB non-small cell lung cancer. Lung Cancer. 184(107326)2023.PubMed/NCBI View Article : Google Scholar

18 

Yue D, Wang W, Liu H, Chen Q, Chen C, Zhang J, Bai F and Wang C: LBA58 Pathological response to neoadjuvant tislelizumab (TIS) plus platinum-doublet (PtDb) chemotherapy (CT) in resectable stage II-IIIA NSCLC patients (pts) in the phase III (Ph3) RATIONALE-315 trial. Ann Oncol. 34 (Suppl 2)(S1299)2023.

19 

Spigel DR, Faivre-Finn C, Gray JE, Vicente D, Planchard D, Paz-Ares L, Vansteenkiste JF, Garassino MC, Hui R, Quantin X, et al: Five-year survival outcomes from the PACIFIC trial: Durvalumab after chemoradiotherapy in stage III non-small-cell lung cancer. J Clin Oncol. 40:1301–1311. 2022.PubMed/NCBI View Article : Google Scholar

20 

Jung HA, Noh JM, Sun JM, Lee SH, Ahn JS, Ahn MJ, Pyo H, Ahn YC and Park K: Real world data of durvalumab consolidation after chemoradiotherapy in stage III non-small-cell lung cancer. Lung Cancer. 146:23–29. 2020.PubMed/NCBI View Article : Google Scholar

21 

Mahul BA, Stephen BE, Frederick LG, Byrd DR, Brookland RK, Washington MK, Gershenwald JE, Compton CC, Hess KR, Sullivan DC, et al: AJCC cancer staging manual, 8th edition. Springer, New York, NY, p450, 2010.

22 

Puri S, Saltos A, Perez B, Le X and Gray JE: Locally advanced, unresectable non-small cell lung cancer. Curr Oncol Rep. 22(31)2020.PubMed/NCBI View Article : Google Scholar

23 

Heymach JV, Harpole D, Mitsudomi T, Taube JM, Galffy G, Hochmair M, Winder T, Zukov R, Garbaos G, Gao S, et al: Perioperative durvalumab for resectable non-small-cell lung cancer. N Engl J Med. 389:1672–1684. 2023.PubMed/NCBI View Article : Google Scholar

24 

He J, Gao S, Reck M, Harpole D, Mitsudomi T, Taube JM, Lee KY, Horio Y, Runglodvatana Y, Aperghis M, et al: OA12.06 Neoadjuvant durvalumab + chemotherapy followed by adjuvant durvalumab in resectable EGFR-mutated NSCLC (AEGEAN). J Thorac Oncol. 18 (11 Suppl):S72–S73. 2023.

25 

Wakelee H, Liberman M, Kato T, Tsuboi M, Lee SH, Gao S, Chen KN, Dooms C, Majem M, Eigendorff E, et al: Perioperative pembrolizumab for early-stage non-small-cell lung cancer. N Engl J Med. 389:491–503. 2023.PubMed/NCBI View Article : Google Scholar

26 

Zhang C, Sun YX, Yi DC, Jiang BY, Yan LX, Liu ZD, Peng LS, Zhang WJ, Sun H, Chen ZY, et al: Neoadjuvant sintilimab plus platinum-based chemotherapy in EGFR-mutant NSCLC: An updated analysis of a phase 2 prospective trial (NEOTIDE/CTONG2104). Cell Rep Med. 5(101615)2024.

27 

Lv C, Fang W, Wu N, Jiao W, Xu S, Ma H, Wang J, Wang R, Ji C, Li S, et al: Osimertinib as neoadjuvant therapy in patients with EGFR-mutant resectable stage II-IIIB lung adenocarcinoma (NEOS): A multicenter, single-arm, open-label phase 2b trial. Lung Cancer. 178:151–156. 2023.PubMed/NCBI View Article : Google Scholar

28 

Ferrara R, Auger N, Auclin E and Besse B: Clinical and translational implications of RET rearrangements in non-small cell lung cancer. J Thorac Oncol. 13:27–45. 2018.PubMed/NCBI View Article : Google Scholar

29 

Adashek JJ, Desai AP, Andreev-Drakhlin AY, Roszik J, Cote GJ and Subbiah V: Hallmarks of RET and co-occuring genomic alterations in RET-aberrant cancers. Mol Cancer Ther. 20:1769–1776. 2021.PubMed/NCBI View Article : Google Scholar

30 

Osta BE and Ramalingam SS: RET fusion: Joining the ranks of targetable molecular drivers in NSCLC. JTO Clin Res Rep. 1(100050)2020.PubMed/NCBI View Article : Google Scholar

31 

Gainor JF, Curigliano G, Kim DW, Lee DH, Besse B, Baik CS, Doebele RC, Cassier PA, Lopes G, Tan DSW, et al: Pralsetinib for RET fusion-positive non-small-cell lung cancer (ARROW): A multi-cohort, open-label, phase 1/2 study. Lancet Oncol. 22:959–969. 2021.PubMed/NCBI View Article : Google Scholar

32 

Drilon A, Oxnard GR, Tan DSW, Loong HHF, Johnson M, Gainor J, McCoach CE, Gautschi O, Besse B, Cho BC, et al: Efficacy of selpercatinib in RET fusion-positive non-small-cell lung cancer. N Engl J Med. 383:813–824. 2020.PubMed/NCBI View Article : Google Scholar

33 

Zhou C, Solomon B, Loong HH, Park K, Pérol M, Arriola E, Novello S, Han B, Zhou J, Ardizzoni A, et al: First-line selpercatinib or chemotherapy and pembrolizumab in RET fusion-positive NSCLC. N Engl J Med. 389:1839–1850. 2023.PubMed/NCBI View Article : Google Scholar

34 

Reck M, Rodríguez-Abreu D, Robinson AG, Hui R, Csőszi T, Fülöp A, Gottfried M, Peled N, Tafreshi A, Cuffe S, et al: Pembrolizumab versus chemotherapy for PD-L1-positive non-small-cell lung cancer. N Engl J Med. 375:1823–1833. 2016.PubMed/NCBI View Article : Google Scholar

35 

Marabelle A, Fakih M, Lopez J, Shah M, Shapira-Frommer R, Nakagawa K, Chung HC, Kindler HL, Lopez-Martin JA, Miller WH Jr, et al: Association of tumour mutational burden with outcomes in patients with advanced solid tumours treated with pembrolizumab: Prospective biomarker analysis of the multicohort, open-label, phase 2 KEYNOTE-158 study. Lancet Oncol. 21:1353–1365. 2020.PubMed/NCBI View Article : Google Scholar

36 

Lu C, Dong XR, Zhao J, Zhang XC, Chen HJ, Zhou Q, Tu HY, Ai XH, Chen XF, An GL, et al: Association of genetic and immuno-characteristics with clinical outcomes in patients with RET-rearranged non-small cell lung cancer: A retrospective multicenter study. J Hematol Oncol. 13(37)2020.PubMed/NCBI View Article : Google Scholar

37 

Offin M, Guo R, Wu SL, Sabari J, Land JD, Ni A, Montecalvo J, Halpenny DF, Buie LW, Pak T, et al: Immunophenotype and response to immunotherapy of RET-rearranged lung cancers. JCO Precis Oncol. 3(PO.18.00386)2019.PubMed/NCBI View Article : Google Scholar

38 

Nagahashi M, Sato S, Yuza K, Shimada Y, Ichikawa H, Watanabe S, Takada K, Okamoto T, Okuda S, Lyle S, et al: Common driver mutations and smoking history affect tumor mutation burden in lung adenocarcinoma. J Surg Res. 230:181–185. 2018.PubMed/NCBI View Article : Google Scholar

39 

Wang X, Ricciuti B, Nguyen T, Li X, Rabin MS, Awad MM, Lin X, Johnson BE and Christiani DC: Association between smoking history and tumor mutation burden in advanced non-small cell lung cancer. Cancer Res. 81:2566–2573. 2021.PubMed/NCBI View Article : Google Scholar

40 

Long JY, Li RZ, Wang DX, Liu H, Tian J, Ding ZN, Yan LJ, Dong ZR, Hong JG, Tian BW, et al: Comprehensive molecular analysis identifies RET alterations association with response of ICIs in multi-immunotherapy cohorts. Int Immunopharmacol. 126(111281)2024.PubMed/NCBI View Article : Google Scholar

41 

Wang Y, Wang Y, Li J, Li J and Che G: Clinical significance of PIK3CA gene in non-small-cell lung cancer: A systematic review and meta-analysis. Biomed Res Int. 2020(3608241)2020.PubMed/NCBI View Article : Google Scholar

42 

Chen JY, Cheng YN, Han L, Wei F, Yu WW, Zhang XW, Cao S and Yu JP: Predictive value of K-ras and PIK3CA in non-small cell lung cancer patients treated with EGFR-TKIs: A systemic review and meta-analysis. Cancer Biol Med. 12:126–139. 2015.PubMed/NCBI View Article : Google Scholar

43 

Saal LH, Holm K, Maurer M, Memeo L, Su T, Wang X, Yu JS, Malmström PO, Mansukhani M, Enoksson J, et al: PIK3CA mutations correlate with hormone receptors, node metastasis, and ERBB2, and are mutually exclusive with PTEN loss in human breast carcinoma. Cancer Res. 65:2554–2559. 2005.PubMed/NCBI View Article : Google Scholar

Related Articles

  • Abstract
  • View
  • Download
  • Twitter
Copy and paste a formatted citation
Spandidos Publications style
Tu D, Qu R, Wen F, Zhou Q, Liu Q, Huang L and Chen T: Successful conversion surgery following tislelizumab with chemotherapy in a patient with stage IIIC lung adenocarcinoma harboring RET fusions: A case report and review of the literature. Exp Ther Med 29: 70, 2025.
APA
Tu, D., Qu, R., Wen, F., Zhou, Q., Liu, Q., Huang, L., & Chen, T. (2025). Successful conversion surgery following tislelizumab with chemotherapy in a patient with stage IIIC lung adenocarcinoma harboring RET fusions: A case report and review of the literature. Experimental and Therapeutic Medicine, 29, 70. https://doi.org/10.3892/etm.2025.12820
MLA
Tu, D., Qu, R., Wen, F., Zhou, Q., Liu, Q., Huang, L., Chen, T."Successful conversion surgery following tislelizumab with chemotherapy in a patient with stage IIIC lung adenocarcinoma harboring RET fusions: A case report and review of the literature". Experimental and Therapeutic Medicine 29.4 (2025): 70.
Chicago
Tu, D., Qu, R., Wen, F., Zhou, Q., Liu, Q., Huang, L., Chen, T."Successful conversion surgery following tislelizumab with chemotherapy in a patient with stage IIIC lung adenocarcinoma harboring RET fusions: A case report and review of the literature". Experimental and Therapeutic Medicine 29, no. 4 (2025): 70. https://doi.org/10.3892/etm.2025.12820
Copy and paste a formatted citation
x
Spandidos Publications style
Tu D, Qu R, Wen F, Zhou Q, Liu Q, Huang L and Chen T: Successful conversion surgery following tislelizumab with chemotherapy in a patient with stage IIIC lung adenocarcinoma harboring RET fusions: A case report and review of the literature. Exp Ther Med 29: 70, 2025.
APA
Tu, D., Qu, R., Wen, F., Zhou, Q., Liu, Q., Huang, L., & Chen, T. (2025). Successful conversion surgery following tislelizumab with chemotherapy in a patient with stage IIIC lung adenocarcinoma harboring RET fusions: A case report and review of the literature. Experimental and Therapeutic Medicine, 29, 70. https://doi.org/10.3892/etm.2025.12820
MLA
Tu, D., Qu, R., Wen, F., Zhou, Q., Liu, Q., Huang, L., Chen, T."Successful conversion surgery following tislelizumab with chemotherapy in a patient with stage IIIC lung adenocarcinoma harboring RET fusions: A case report and review of the literature". Experimental and Therapeutic Medicine 29.4 (2025): 70.
Chicago
Tu, D., Qu, R., Wen, F., Zhou, Q., Liu, Q., Huang, L., Chen, T."Successful conversion surgery following tislelizumab with chemotherapy in a patient with stage IIIC lung adenocarcinoma harboring RET fusions: A case report and review of the literature". Experimental and Therapeutic Medicine 29, no. 4 (2025): 70. https://doi.org/10.3892/etm.2025.12820
Follow us
  • Twitter
  • LinkedIn
  • Facebook
About
  • Spandidos Publications
  • Careers
  • Cookie Policy
  • Privacy Policy
How can we help?
  • Help
  • Live Chat
  • Contact
  • Email to our Support Team