Spandidos Publications Logo
  • About
    • About Spandidos
    • Aims and Scopes
    • Abstracting and Indexing
    • Editorial Policies
    • Reprints and Permissions
    • Job Opportunities
    • Terms and Conditions
    • Contact
  • Journals
    • All Journals
    • Oncology Letters
      • Oncology Letters
      • Information for Authors
      • Editorial Policies
      • Editorial Board
      • Aims and Scope
      • Abstracting and Indexing
      • Bibliographic Information
      • Archive
    • International Journal of Oncology
      • International Journal of Oncology
      • Information for Authors
      • Editorial Policies
      • Editorial Board
      • Aims and Scope
      • Abstracting and Indexing
      • Bibliographic Information
      • Archive
    • Molecular and Clinical Oncology
      • Molecular and Clinical Oncology
      • Information for Authors
      • Editorial Policies
      • Editorial Board
      • Aims and Scope
      • Abstracting and Indexing
      • Bibliographic Information
      • Archive
    • Experimental and Therapeutic Medicine
      • Experimental and Therapeutic Medicine
      • Information for Authors
      • Editorial Policies
      • Editorial Board
      • Aims and Scope
      • Abstracting and Indexing
      • Bibliographic Information
      • Archive
    • International Journal of Molecular Medicine
      • International Journal of Molecular Medicine
      • Information for Authors
      • Editorial Policies
      • Editorial Board
      • Aims and Scope
      • Abstracting and Indexing
      • Bibliographic Information
      • Archive
    • Biomedical Reports
      • Biomedical Reports
      • Information for Authors
      • Editorial Policies
      • Editorial Board
      • Aims and Scope
      • Abstracting and Indexing
      • Bibliographic Information
      • Archive
    • Oncology Reports
      • Oncology Reports
      • Information for Authors
      • Editorial Policies
      • Editorial Board
      • Aims and Scope
      • Abstracting and Indexing
      • Bibliographic Information
      • Archive
    • Molecular Medicine Reports
      • Molecular Medicine Reports
      • Information for Authors
      • Editorial Policies
      • Editorial Board
      • Aims and Scope
      • Abstracting and Indexing
      • Bibliographic Information
      • Archive
    • World Academy of Sciences Journal
      • World Academy of Sciences Journal
      • Information for Authors
      • Editorial Policies
      • Editorial Board
      • Aims and Scope
      • Abstracting and Indexing
      • Bibliographic Information
      • Archive
    • International Journal of Functional Nutrition
      • International Journal of Functional Nutrition
      • Information for Authors
      • Editorial Policies
      • Editorial Board
      • Aims and Scope
      • Abstracting and Indexing
      • Bibliographic Information
      • Archive
    • International Journal of Epigenetics
      • International Journal of Epigenetics
      • Information for Authors
      • Editorial Policies
      • Editorial Board
      • Aims and Scope
      • Abstracting and Indexing
      • Bibliographic Information
      • Archive
    • Medicine International
      • Medicine International
      • Information for Authors
      • Editorial Policies
      • Editorial Board
      • Aims and Scope
      • Abstracting and Indexing
      • Bibliographic Information
      • Archive
  • Articles
  • Information
    • Information for Authors
    • Information for Reviewers
    • Information for Librarians
    • Information for Advertisers
    • Conferences
  • Language Editing
Spandidos Publications Logo
  • About
    • About Spandidos
    • Aims and Scopes
    • Abstracting and Indexing
    • Editorial Policies
    • Reprints and Permissions
    • Job Opportunities
    • Terms and Conditions
    • Contact
  • Journals
    • All Journals
    • Biomedical Reports
      • Information for Authors
      • Editorial Policies
      • Editorial Board
      • Aims and Scope
      • Abstracting and Indexing
      • Bibliographic Information
      • Archive
    • Experimental and Therapeutic Medicine
      • Information for Authors
      • Editorial Policies
      • Editorial Board
      • Aims and Scope
      • Abstracting and Indexing
      • Bibliographic Information
      • Archive
    • International Journal of Epigenetics
      • Information for Authors
      • Editorial Policies
      • Editorial Board
      • Aims and Scope
      • Abstracting and Indexing
      • Bibliographic Information
      • Archive
    • International Journal of Functional Nutrition
      • Information for Authors
      • Editorial Policies
      • Editorial Board
      • Aims and Scope
      • Abstracting and Indexing
      • Bibliographic Information
      • Archive
    • International Journal of Molecular Medicine
      • Information for Authors
      • Editorial Policies
      • Editorial Board
      • Aims and Scope
      • Abstracting and Indexing
      • Bibliographic Information
      • Archive
    • International Journal of Oncology
      • Information for Authors
      • Editorial Policies
      • Editorial Board
      • Aims and Scope
      • Abstracting and Indexing
      • Bibliographic Information
      • Archive
    • Medicine International
      • Information for Authors
      • Editorial Policies
      • Editorial Board
      • Aims and Scope
      • Abstracting and Indexing
      • Bibliographic Information
      • Archive
    • Molecular and Clinical Oncology
      • Information for Authors
      • Editorial Policies
      • Editorial Board
      • Aims and Scope
      • Abstracting and Indexing
      • Bibliographic Information
      • Archive
    • Molecular Medicine Reports
      • Information for Authors
      • Editorial Policies
      • Editorial Board
      • Aims and Scope
      • Abstracting and Indexing
      • Bibliographic Information
      • Archive
    • Oncology Letters
      • Information for Authors
      • Editorial Policies
      • Editorial Board
      • Aims and Scope
      • Abstracting and Indexing
      • Bibliographic Information
      • Archive
    • Oncology Reports
      • Information for Authors
      • Editorial Policies
      • Editorial Board
      • Aims and Scope
      • Abstracting and Indexing
      • Bibliographic Information
      • Archive
    • World Academy of Sciences Journal
      • Information for Authors
      • Editorial Policies
      • Editorial Board
      • Aims and Scope
      • Abstracting and Indexing
      • Bibliographic Information
      • Archive
  • Articles
  • Information
    • For Authors
    • For Reviewers
    • For Librarians
    • For Advertisers
    • Conferences
  • Language Editing
Login Register Submit
  • This site uses cookies
  • You can change your cookie settings at any time by following the instructions in our Cookie Policy. To find out more, you may read our Privacy Policy.

    I agree
Search articles by DOI, keyword, author or affiliation
Search
Advanced Search
presentation
Experimental and Therapeutic Medicine
Join Editorial Board Propose a Special Issue
Print ISSN: 1792-0981 Online ISSN: 1792-1015
Journal Cover
April-2025 Volume 29 Issue 4

Full Size Image

Sign up for eToc alerts
Recommend to Library

Journals

International Journal of Molecular Medicine

International Journal of Molecular Medicine

International Journal of Molecular Medicine is an international journal devoted to molecular mechanisms of human disease.

International Journal of Oncology

International Journal of Oncology

International Journal of Oncology is an international journal devoted to oncology research and cancer treatment.

Molecular Medicine Reports

Molecular Medicine Reports

Covers molecular medicine topics such as pharmacology, pathology, genetics, neuroscience, infectious diseases, molecular cardiology, and molecular surgery.

Oncology Reports

Oncology Reports

Oncology Reports is an international journal devoted to fundamental and applied research in Oncology.

Experimental and Therapeutic Medicine

Experimental and Therapeutic Medicine

Experimental and Therapeutic Medicine is an international journal devoted to laboratory and clinical medicine.

Oncology Letters

Oncology Letters

Oncology Letters is an international journal devoted to Experimental and Clinical Oncology.

Biomedical Reports

Biomedical Reports

Explores a wide range of biological and medical fields, including pharmacology, genetics, microbiology, neuroscience, and molecular cardiology.

Molecular and Clinical Oncology

Molecular and Clinical Oncology

International journal addressing all aspects of oncology research, from tumorigenesis and oncogenes to chemotherapy and metastasis.

World Academy of Sciences Journal

World Academy of Sciences Journal

Multidisciplinary open-access journal spanning biochemistry, genetics, neuroscience, environmental health, and synthetic biology.

International Journal of Functional Nutrition

International Journal of Functional Nutrition

Open-access journal combining biochemistry, pharmacology, immunology, and genetics to advance health through functional nutrition.

International Journal of Epigenetics

International Journal of Epigenetics

Publishes open-access research on using epigenetics to advance understanding and treatment of human disease.

Medicine International

Medicine International

An International Open Access Journal Devoted to General Medicine.

Journal Cover
April-2025 Volume 29 Issue 4

Full Size Image

Sign up for eToc alerts
Recommend to Library

  • Article
  • Citations
    • Cite This Article
    • Download Citation
    • Create Citation Alert
    • Remove Citation Alert
    • Cited By
  • Similar Articles
    • Related Articles (in Spandidos Publications)
    • Similar Articles (Google Scholar)
    • Similar Articles (PubMed)
  • Download PDF
  • Download XML
  • View XML
Case Report

Sclerosing angiomatoid nodular transformation mimicking a splenic metastasis from rectal cancer: A case report

  • Authors:
    • Hideo Tomihara
    • Masahiro Murakami
    • Akihiro Kitagawa
    • Yumiko Yasuhara
    • Masahisa Nakamura
    • Terukazu Yoshihara
    • Nobuyoshi Ohara
    • Tomohira Takeoka
    • Hisashi Hara
    • Atsushi Naito
    • Ryohei Kawabata
    • Shingo Noura
    • Atsushi Miyamoto
  • View Affiliations / Copyright

    Affiliations: Department of Gastroenterological Surgery, Sakai City Medical Center, Sakai, Osaka 593‑1199, Japan, Department of Pathology, Sakai City Medical Center, Sakai, Osaka 593‑1199, Japan, Department of Radiology, Sakai City Medical Center, Sakai, Osaka 593‑1199, Japan
  • Article Number: 78
    |
    Published online on: February 18, 2025
       https://doi.org/10.3892/etm.2025.12828
  • Expand metrics +
Metrics: Total Views: 0 (Spandidos Publications: | PMC Statistics: )
Metrics: Total PDF Downloads: 0 (Spandidos Publications: | PMC Statistics: )
Cited By (CrossRef): 0 citations Loading Articles...

This article is mentioned in:



Abstract

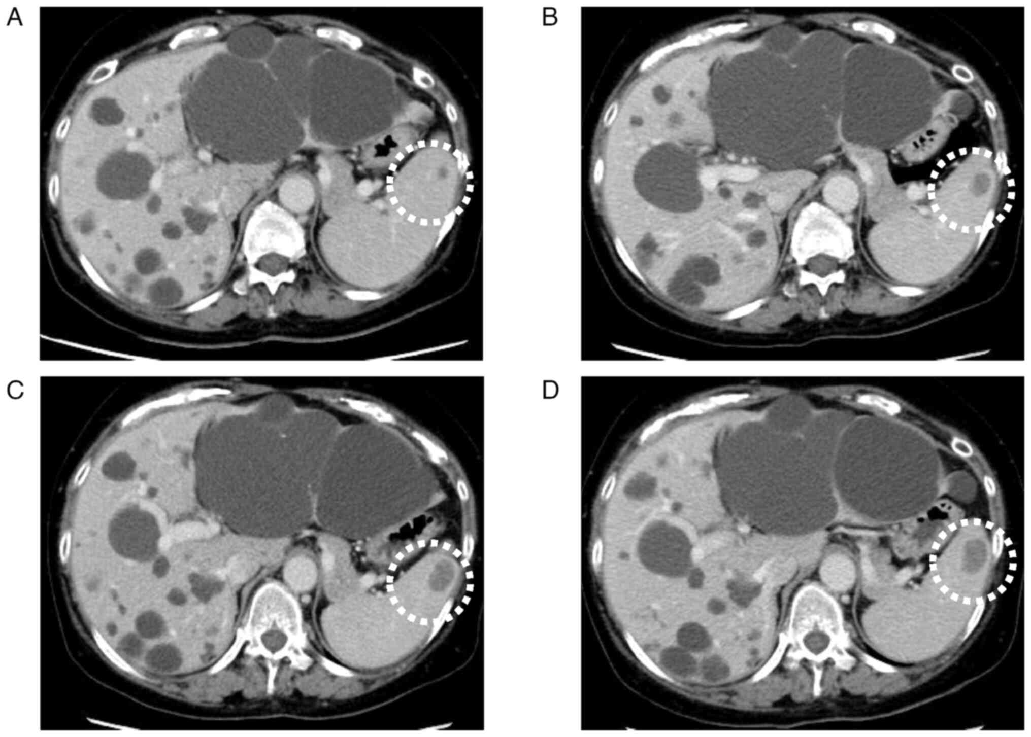
Sclerosing angiomatoid nodular transformation (SANT) is a rare, benign lesion of the spleen. Preoperative diagnosis of SANT without pathological examination poses significant challenges, particularly in patients with a previous history of malignancy. The present study describes the case of a 53‑year‑old woman that presented to our institution with general fatigue and anemia. Based on a diagnosis of rectal cancer, the patient underwent curative surgery. Postoperatively, with minor leakage and the need for endoluminal drainage, the patient was monitored without adjuvant chemotherapy. A total of 1 year post‑operation, enhanced computed tomography (CT) revealed a low‑density lesion measuring 7 mm in the spleen. While metachronous metastasis was considered, there was no accumulation of 18F‑fluorodeoxyglucose, and the levels of tumor markers, such as carcinoembryonic antigen and carbohydrate antigen 19‑9, remained unremarkable. Regular surveillance through contrast‑enhanced CT was performed. Over a period of 3 years, the tumor gradually increased to 25 mm. After a diagnosis of metachronous metastasis from rectal cancer, the patient opted for surgery, and laparoscopic splenectomy was performed successfully. Histopathological examination of multiple angiomatoid nodules in the fibrosclerotic stroma confirmed the diagnosis of SANT. The postoperative course of the patient was uneventful. In cases of SANT following a prior malignancy, splenectomy should be considered for both diagnostic and therapeutic purposes.
View Figures

Figure 1

Figure 2

Figure 3

View References

1 

Martel M, Cheuk W, Lombardi L, Lifschitz-Mercer B, Chan JK and Rosai J: Sclerosing angiomatoid nodular transformation (SANT): Report of 25 cases of a distinctive benign splenic lesion. Am J Surg Pathol. 28:1268–1279. 2004.PubMed/NCBI View Article : Google Scholar

2 

Abbott RM, Levy AD, Aguilera NS, Gorospe L and Thompson WM: From the archives of the AFIP: Primary vascular neoplasms of the spleen: Radiologic-pathologic correlation. Radiographics. 24:1137–1163. 2004.PubMed/NCBI View Article : Google Scholar

3 

Kashiwagi S, Kumasaka T, Bunsei N, Fukumura Y, Yamasaki S, Abe K, Mitani K, Abe H, Matsumoto T and Suda K: Detection of Epstein-Barr virus-encoded small RNA-expressed myofibroblasts and IgG4-producing plasma cells in sclerosing angiomatoid nodular transformation of the spleen. Virchows Archiv. 453:275–282. 2008.PubMed/NCBI View Article : Google Scholar

4 

Kim HH, Hur YH, Koh YS, Kim JC, Kim HJ, Kim JW, Kim Y, Lee JH and Cho CK: Sclerosing angiomatoid nodular transformation of the spleen related to IgG4-associated disease: Report of a case. Surg Today. 43:930–936. 2013.PubMed/NCBI View Article : Google Scholar

5 

Diebold J, Le Tourneau A, Marmey B, Prevot S, Müller-Hermelink HK, Sevestre H, Molina T, Billotet C, Gaulard P, Knopf JF, et al: Is sclerosing angiomatoid nodular transformation (SANT) of the splenic red pulp identical to inflammatory pseudotumour? Report of 16 cases. Histopathology. 53:299–310. 2008.PubMed/NCBI View Article : Google Scholar

6 

Kuo TT, Chen TC and Lee LY: Sclerosing angiomatoid nodular transformation of the spleen (SANT): Clinicopathological study of 10 cases with or without abdominal disseminated calcifying fibrous tumors, and the presence of a significant number of IgG4+ plasma cells. Pathol Int. 59:844–850. 2009.PubMed/NCBI View Article : Google Scholar

7 

Nagai Y, Hayama N, Kishimoto T, Furuya M, Takahashi Y, Otsuka M, Miyazaki M and Nakatani Y: Predominance of IgG4+ plasma cells and CD68 positivity in sclerosing angiomatoid nodular transformation (SANT). Histopathology. 53:495–498. 2008.PubMed/NCBI View Article : Google Scholar

8 

Weinreb I, Bailey D, Battaglia D, Kennedy M and Perez-Ordoñez B: CD30 and Epstein-Barr virus RNA expression in sclerosing angiomatoid nodular transformation of spleen. Virchows Archiv. 451:73–79. 2007.PubMed/NCBI View Article : Google Scholar

9 

Lee D, Wood B, Formby M and Cho T: F-18 FDG-avid sclerosing angiomatoid nodular transformation (SANT) of the spleen: Case study and literature review. Pathology. 39:181–183. 2007.PubMed/NCBI View Article : Google Scholar

10 

Kutok JL and Fletcher CD: Splenic vascular tumors. Semin Diagn Pathol. 20:128–139. 2003.PubMed/NCBI View Article : Google Scholar

11 

Budke HL, Breitfeld PP and Neiman RS: Functional hyposplenism due to a primary epithelioid hemangioendothelioma of the spleen. Arch Path Lab Med. 119:755–757. 1995.PubMed/NCBI

12 

Compérat E, Bardier-Dupas A, Camparo P, Capron F and Charlotte F: Splenic metastases: Clinicopathologic presentation, differential diagnosis, and pathogenesis. Arch Path Lab Med. 131:965–969. 2007.PubMed/NCBI View Article : Google Scholar

13 

Feng YM, Huang YC, Tu CW, Kao WS and Tu DG: Distinctive PET/CT features of splenic SANT. Clin Nucl Med. 38:e465–e466. 2013.PubMed/NCBI View Article : Google Scholar

14 

Dutta D, Sharma M, Mahajan V and Chopra P: Sclerosing angiomatoid nodular transformation of spleen masquerading as carcinoma breast metastasis: Importance of splenic biopsy in obviating splenectomy. Indian J Pathol Microbiol. 59:223–226. 2016.PubMed/NCBI View Article : Google Scholar

15 

Langer R, Dinges J, Dobritz M, Brauer RB, Perren A, Becker K and Kremer M: Sclerosing angiomatoid nodular transformation of the spleen presenting as a rapidly growing tumour in a patient with rectal cancer. BMJ Case Rep. 2009(bcr11.2008)2009.PubMed/NCBI View Article : Google Scholar

16 

Sitaraman LM, Linn JG, Matkowskyj KA and Wayne JD: Sclerosing angiomatoid nodular transformation of the spleen masquerading as a sarcoma metastasis. Rare Tumors. 2(e45)2010.PubMed/NCBI View Article : Google Scholar

17 

Demirci I, Kinkel H, Antoine D, Szynaka M, Klosterhalfen B, Herold S and Janßen H: Sclerosing angiomatoid nodular transformation of the spleen mimicking metastasis of melanoma: A case report and review of the literature. J Med Case Rep. 11(251)2017.PubMed/NCBI View Article : Google Scholar

18 

Lapa C, Steger U, Ritter CO, Wild V and Herrmann K: Differentiation of an unclear splenic lesion in a patient with cholangiocarcinoma. Clin Nucl Med. 39:470–471. 2014.PubMed/NCBI View Article : Google Scholar

19 

Efared B, Sidibé IS, Erregad F, Hammas N, Chbani L and El Fatemi H: Sclerosing angiomatoid nodular transformation of the spleen (SANT) in a patient with clear cell carcinoma of the uterus: A case report. J Med Case Rep. 12(377)2018.PubMed/NCBI View Article : Google Scholar

20 

Koyama R, Minagawa N, Maeda Y, Shinohara T and Hamada T: A sclerosing angiomatoid nodular transformation (SANT) mimicking a metachronous splenic metastasis from endometrioid cancer and ovarian cancer. Int J Surg Case Rep. 65:292–295. 2019.PubMed/NCBI View Article : Google Scholar

21 

Zhang ZB and Li L: Splenic sclerosing angiomatoid nodular transformation in a patient with right renal carcinoma: A case report. Asian J Surg. 44:396–397. 2021.PubMed/NCBI View Article : Google Scholar

22 

Xia L, Li Z, Jiang P, Zhang Y, Bu Z and Meng N: Sclerosing angiomatoid nodular transformation of the spleen: Case reports and literature review. Medicine (Baltimore). 103(e38466)2024.PubMed/NCBI View Article : Google Scholar

Related Articles

  • Abstract
  • View
  • Download
  • Twitter
Copy and paste a formatted citation
Spandidos Publications style
Tomihara H, Murakami M, Kitagawa A, Yasuhara Y, Nakamura M, Yoshihara T, Ohara N, Takeoka T, Hara H, Naito A, Naito A, et al: Sclerosing angiomatoid nodular transformation mimicking a splenic metastasis from rectal cancer: A case report. Exp Ther Med 29: 78, 2025.
APA
Tomihara, H., Murakami, M., Kitagawa, A., Yasuhara, Y., Nakamura, M., Yoshihara, T. ... Miyamoto, A. (2025). Sclerosing angiomatoid nodular transformation mimicking a splenic metastasis from rectal cancer: A case report. Experimental and Therapeutic Medicine, 29, 78. https://doi.org/10.3892/etm.2025.12828
MLA
Tomihara, H., Murakami, M., Kitagawa, A., Yasuhara, Y., Nakamura, M., Yoshihara, T., Ohara, N., Takeoka, T., Hara, H., Naito, A., Kawabata, R., Noura, S., Miyamoto, A."Sclerosing angiomatoid nodular transformation mimicking a splenic metastasis from rectal cancer: A case report". Experimental and Therapeutic Medicine 29.4 (2025): 78.
Chicago
Tomihara, H., Murakami, M., Kitagawa, A., Yasuhara, Y., Nakamura, M., Yoshihara, T., Ohara, N., Takeoka, T., Hara, H., Naito, A., Kawabata, R., Noura, S., Miyamoto, A."Sclerosing angiomatoid nodular transformation mimicking a splenic metastasis from rectal cancer: A case report". Experimental and Therapeutic Medicine 29, no. 4 (2025): 78. https://doi.org/10.3892/etm.2025.12828
Copy and paste a formatted citation
x
Spandidos Publications style
Tomihara H, Murakami M, Kitagawa A, Yasuhara Y, Nakamura M, Yoshihara T, Ohara N, Takeoka T, Hara H, Naito A, Naito A, et al: Sclerosing angiomatoid nodular transformation mimicking a splenic metastasis from rectal cancer: A case report. Exp Ther Med 29: 78, 2025.
APA
Tomihara, H., Murakami, M., Kitagawa, A., Yasuhara, Y., Nakamura, M., Yoshihara, T. ... Miyamoto, A. (2025). Sclerosing angiomatoid nodular transformation mimicking a splenic metastasis from rectal cancer: A case report. Experimental and Therapeutic Medicine, 29, 78. https://doi.org/10.3892/etm.2025.12828
MLA
Tomihara, H., Murakami, M., Kitagawa, A., Yasuhara, Y., Nakamura, M., Yoshihara, T., Ohara, N., Takeoka, T., Hara, H., Naito, A., Kawabata, R., Noura, S., Miyamoto, A."Sclerosing angiomatoid nodular transformation mimicking a splenic metastasis from rectal cancer: A case report". Experimental and Therapeutic Medicine 29.4 (2025): 78.
Chicago
Tomihara, H., Murakami, M., Kitagawa, A., Yasuhara, Y., Nakamura, M., Yoshihara, T., Ohara, N., Takeoka, T., Hara, H., Naito, A., Kawabata, R., Noura, S., Miyamoto, A."Sclerosing angiomatoid nodular transformation mimicking a splenic metastasis from rectal cancer: A case report". Experimental and Therapeutic Medicine 29, no. 4 (2025): 78. https://doi.org/10.3892/etm.2025.12828
Follow us
  • Twitter
  • LinkedIn
  • Facebook
About
  • Spandidos Publications
  • Careers
  • Cookie Policy
  • Privacy Policy
How can we help?
  • Help
  • Live Chat
  • Contact
  • Email to our Support Team