Spandidos Publications Logo
  • About
    • About Spandidos
    • Aims and Scopes
    • Abstracting and Indexing
    • Editorial Policies
    • Reprints and Permissions
    • Job Opportunities
    • Terms and Conditions
    • Contact
  • Journals
    • All Journals
    • Oncology Letters
      • Oncology Letters
      • Information for Authors
      • Editorial Policies
      • Editorial Board
      • Aims and Scope
      • Abstracting and Indexing
      • Bibliographic Information
      • Archive
    • International Journal of Oncology
      • International Journal of Oncology
      • Information for Authors
      • Editorial Policies
      • Editorial Board
      • Aims and Scope
      • Abstracting and Indexing
      • Bibliographic Information
      • Archive
    • Molecular and Clinical Oncology
      • Molecular and Clinical Oncology
      • Information for Authors
      • Editorial Policies
      • Editorial Board
      • Aims and Scope
      • Abstracting and Indexing
      • Bibliographic Information
      • Archive
    • Experimental and Therapeutic Medicine
      • Experimental and Therapeutic Medicine
      • Information for Authors
      • Editorial Policies
      • Editorial Board
      • Aims and Scope
      • Abstracting and Indexing
      • Bibliographic Information
      • Archive
    • International Journal of Molecular Medicine
      • International Journal of Molecular Medicine
      • Information for Authors
      • Editorial Policies
      • Editorial Board
      • Aims and Scope
      • Abstracting and Indexing
      • Bibliographic Information
      • Archive
    • Biomedical Reports
      • Biomedical Reports
      • Information for Authors
      • Editorial Policies
      • Editorial Board
      • Aims and Scope
      • Abstracting and Indexing
      • Bibliographic Information
      • Archive
    • Oncology Reports
      • Oncology Reports
      • Information for Authors
      • Editorial Policies
      • Editorial Board
      • Aims and Scope
      • Abstracting and Indexing
      • Bibliographic Information
      • Archive
    • Molecular Medicine Reports
      • Molecular Medicine Reports
      • Information for Authors
      • Editorial Policies
      • Editorial Board
      • Aims and Scope
      • Abstracting and Indexing
      • Bibliographic Information
      • Archive
    • World Academy of Sciences Journal
      • World Academy of Sciences Journal
      • Information for Authors
      • Editorial Policies
      • Editorial Board
      • Aims and Scope
      • Abstracting and Indexing
      • Bibliographic Information
      • Archive
    • International Journal of Functional Nutrition
      • International Journal of Functional Nutrition
      • Information for Authors
      • Editorial Policies
      • Editorial Board
      • Aims and Scope
      • Abstracting and Indexing
      • Bibliographic Information
      • Archive
    • International Journal of Epigenetics
      • International Journal of Epigenetics
      • Information for Authors
      • Editorial Policies
      • Editorial Board
      • Aims and Scope
      • Abstracting and Indexing
      • Bibliographic Information
      • Archive
    • Medicine International
      • Medicine International
      • Information for Authors
      • Editorial Policies
      • Editorial Board
      • Aims and Scope
      • Abstracting and Indexing
      • Bibliographic Information
      • Archive
  • Articles
  • Information
    • Information for Authors
    • Information for Reviewers
    • Information for Librarians
    • Information for Advertisers
    • Conferences
  • Language Editing
Spandidos Publications Logo
  • About
    • About Spandidos
    • Aims and Scopes
    • Abstracting and Indexing
    • Editorial Policies
    • Reprints and Permissions
    • Job Opportunities
    • Terms and Conditions
    • Contact
  • Journals
    • All Journals
    • Biomedical Reports
      • Information for Authors
      • Editorial Policies
      • Editorial Board
      • Aims and Scope
      • Abstracting and Indexing
      • Bibliographic Information
      • Archive
    • Experimental and Therapeutic Medicine
      • Information for Authors
      • Editorial Policies
      • Editorial Board
      • Aims and Scope
      • Abstracting and Indexing
      • Bibliographic Information
      • Archive
    • International Journal of Epigenetics
      • Information for Authors
      • Editorial Policies
      • Editorial Board
      • Aims and Scope
      • Abstracting and Indexing
      • Bibliographic Information
      • Archive
    • International Journal of Functional Nutrition
      • Information for Authors
      • Editorial Policies
      • Editorial Board
      • Aims and Scope
      • Abstracting and Indexing
      • Bibliographic Information
      • Archive
    • International Journal of Molecular Medicine
      • Information for Authors
      • Editorial Policies
      • Editorial Board
      • Aims and Scope
      • Abstracting and Indexing
      • Bibliographic Information
      • Archive
    • International Journal of Oncology
      • Information for Authors
      • Editorial Policies
      • Editorial Board
      • Aims and Scope
      • Abstracting and Indexing
      • Bibliographic Information
      • Archive
    • Medicine International
      • Information for Authors
      • Editorial Policies
      • Editorial Board
      • Aims and Scope
      • Abstracting and Indexing
      • Bibliographic Information
      • Archive
    • Molecular and Clinical Oncology
      • Information for Authors
      • Editorial Policies
      • Editorial Board
      • Aims and Scope
      • Abstracting and Indexing
      • Bibliographic Information
      • Archive
    • Molecular Medicine Reports
      • Information for Authors
      • Editorial Policies
      • Editorial Board
      • Aims and Scope
      • Abstracting and Indexing
      • Bibliographic Information
      • Archive
    • Oncology Letters
      • Information for Authors
      • Editorial Policies
      • Editorial Board
      • Aims and Scope
      • Abstracting and Indexing
      • Bibliographic Information
      • Archive
    • Oncology Reports
      • Information for Authors
      • Editorial Policies
      • Editorial Board
      • Aims and Scope
      • Abstracting and Indexing
      • Bibliographic Information
      • Archive
    • World Academy of Sciences Journal
      • Information for Authors
      • Editorial Policies
      • Editorial Board
      • Aims and Scope
      • Abstracting and Indexing
      • Bibliographic Information
      • Archive
  • Articles
  • Information
    • For Authors
    • For Reviewers
    • For Librarians
    • For Advertisers
    • Conferences
  • Language Editing
Login Register Submit
  • This site uses cookies
  • You can change your cookie settings at any time by following the instructions in our Cookie Policy. To find out more, you may read our Privacy Policy.

    I agree
Search articles by DOI, keyword, author or affiliation
Search
Advanced Search
presentation
Experimental and Therapeutic Medicine
Join Editorial Board Propose a Special Issue
Print ISSN: 1792-0981 Online ISSN: 1792-1015
Journal Cover
April-2025 Volume 29 Issue 4

Full Size Image

Sign up for eToc alerts
Recommend to Library

Journals

International Journal of Molecular Medicine

International Journal of Molecular Medicine

International Journal of Molecular Medicine is an international journal devoted to molecular mechanisms of human disease.

International Journal of Oncology

International Journal of Oncology

International Journal of Oncology is an international journal devoted to oncology research and cancer treatment.

Molecular Medicine Reports

Molecular Medicine Reports

Covers molecular medicine topics such as pharmacology, pathology, genetics, neuroscience, infectious diseases, molecular cardiology, and molecular surgery.

Oncology Reports

Oncology Reports

Oncology Reports is an international journal devoted to fundamental and applied research in Oncology.

Experimental and Therapeutic Medicine

Experimental and Therapeutic Medicine

Experimental and Therapeutic Medicine is an international journal devoted to laboratory and clinical medicine.

Oncology Letters

Oncology Letters

Oncology Letters is an international journal devoted to Experimental and Clinical Oncology.

Biomedical Reports

Biomedical Reports

Explores a wide range of biological and medical fields, including pharmacology, genetics, microbiology, neuroscience, and molecular cardiology.

Molecular and Clinical Oncology

Molecular and Clinical Oncology

International journal addressing all aspects of oncology research, from tumorigenesis and oncogenes to chemotherapy and metastasis.

World Academy of Sciences Journal

World Academy of Sciences Journal

Multidisciplinary open-access journal spanning biochemistry, genetics, neuroscience, environmental health, and synthetic biology.

International Journal of Functional Nutrition

International Journal of Functional Nutrition

Open-access journal combining biochemistry, pharmacology, immunology, and genetics to advance health through functional nutrition.

International Journal of Epigenetics

International Journal of Epigenetics

Publishes open-access research on using epigenetics to advance understanding and treatment of human disease.

Medicine International

Medicine International

An International Open Access Journal Devoted to General Medicine.

Journal Cover
April-2025 Volume 29 Issue 4

Full Size Image

Sign up for eToc alerts
Recommend to Library

  • Article
  • Citations
    • Cite This Article
    • Download Citation
    • Create Citation Alert
    • Remove Citation Alert
    • Cited By
  • Similar Articles
    • Related Articles (in Spandidos Publications)
    • Similar Articles (Google Scholar)
    • Similar Articles (PubMed)
  • Download PDF
  • Download XML
  • View XML
Case Report

A diagnostic and therapeutically challenging presentation of unicentric mesenteric Castleman disease: A case report

  • Authors:
    • Lixin Hua
    • Zhibin Yin
    • Ruirui Yang
  • View Affiliations / Copyright

    Affiliations: Department of General Surgery, Affiliated Huishan Hospital of Xinglin College, Nantong University (Wuxi Huishan District People's Hospital), Wuxi, Jiangsu 214000, P.R. China, Department of Science and Education, Affiliated Huishan Hospital of Xinglin College, Nantong University, Wuxi, Jiangsu 214000, P.R. China
  • Article Number: 80
    |
    Published online on: February 21, 2025
       https://doi.org/10.3892/etm.2025.12830
  • Expand metrics +
Metrics: Total Views: 0 (Spandidos Publications: | PMC Statistics: )
Metrics: Total PDF Downloads: 0 (Spandidos Publications: | PMC Statistics: )
Cited By (CrossRef): 0 citations Loading Articles...

This article is mentioned in:


Abstract

Castleman disease (CD) is a rare lymphoproliferative disorder primarily manifesting as either Multicentric CD (MCD) or Unicentric CD (UCD), with Unicentric Mesenteric CD (UMCD) representing a less common subtype within the UCD category. The present study presented an encounter with a 29‑year‑old male patient afflicted by UMCD, presenting with significant morbidity attributed to a sizable mesenteric mass. The diagnostic and therapeutic management of this condition posed notable challenges. In the absence of any additional abnormalities detected in auxiliary examinations, a distinct soft tissue density lesion in the abdominal region was revealed by computed tomography (CT). Despite the patient's reluctance to pursue further diagnostic procedures such as fine needle aspiration, a surgical approach was adopted under the suspicion of malignancy to establish a definitive diagnosis and implement treatment, confirming the condition as UMCD. Subsequent adjuvant chemotherapy was performed postoperatively. Fortunately, the patient achieved complete recovery, with no tumor recurrence observed during the 5‑year follow‑up period post‑surgery. Due to the special location of UMCD, its preoperative diagnosis posed challenges and the most effective treatment remains a topic of debate. The prevalent instances of delayed diagnosis and misdiagnosis underscore a deficiency in comprehending the etiology and features of the disease, essential for advancing novel therapeutic strategies. CT imaging and pathological examination both play a crucial role in UMCD diagnosis. The present study supported surgery as the primary treatment modality for UMCD, with chemotherapy and immunotherapy offering additional benefits for appropriately selected patients.

Introduction

Castleman's disease (CD), a rare condition, is frequently subject to delayed diagnosis and misidentification due to gaps in understanding its etiology and characteristics. CD is categorized as a rare lymphoproliferative disorder impacting lymph nodes and other immune cell structures within the body. Predominantly classified based on the abundance of germinal centers, CD is broadly categorized into multicentric CD (MCD) and Unicentric CD (UCD), with the latter being exceptionally uncommon in the Asian population. The incidence of UCD in the USA has been estimated as 16 per million person-years (PYs); Conversely, in Japan, the incidence is estimated to be 0.6-4.3 per million PYs (1). UCD typically manifests in various anatomical sites such as the mediastinum, lungs, neck, axilla, pelvis, and retroperitoneum. Among these localized forms, mesenteric involvement, termed Unicentric Mesenteric CD (UMCD), is particularly rare.

Due to its deep abdominal cavity location, UMCD often presents with highly atypical clinical manifestations. Some patients may only seek medical intervention when the tumor enlarges, leading to the manifestation of compression symptoms. This characteristic poses a substantial challenge to both diagnosis and treatment. Presently, there is a scarcity of literature detailing UMCD cases. Due to the scarcity of UMCD and its diverse clinical manifestations, diagnosis is difficult and the optimal treatment remains controversial. Complete surgical resection is frequently curative and is therefore the preferred first-line therapy, if possible. However, addressing unresectable UMCD poses a more intricate management dilemma.

The present study was a case study of a 29-year-old male patient with UMCD characterized by a sizable mesenteric mass, which posed significant challenges in terms of diagnosis and achieving complete resection.

Case report

Medical history

The patient was hospitalized at Affiliated Huishan Hospital of Xinglin College (Wuxi, China) in May 2019. A week prior to admission, an abdominal mass was incidentally detected, alongside a two-month history of abdominal pain. The pain was described as dull, intermittent, radiating to the left waist and back. The patient had no notable past medical or surgical history, with a personal habit of tobacco chewing and unremarkable family medical background. Bowel and bladder functions were reported as normal.

Inspection results

During the physical examination, a palpable 17-cm mass was identified in the left lower abdominal quadrant, with the abdomen demonstrating no tenderness. No lymph node enlargement was noted in other anatomical regions.

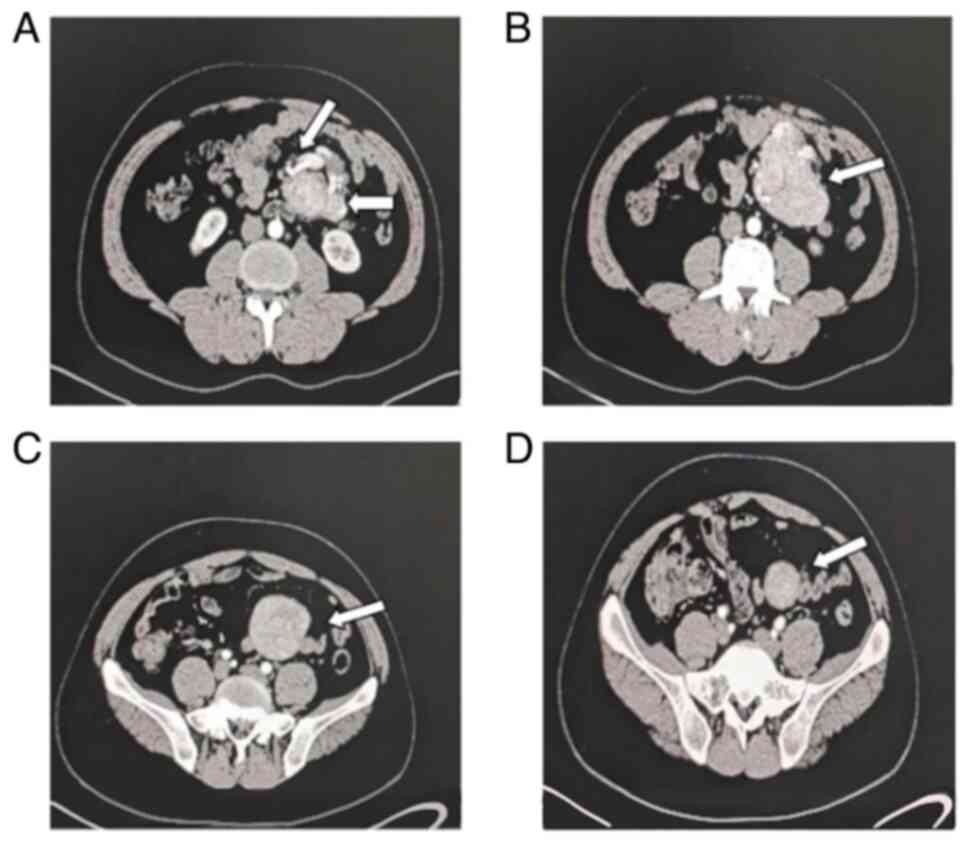
The laboratory results, including blood routine, liver function, kidney function, electrolytes, tumor markers, urine routine and stool routine tests, were all within the normal parameters. HIV test was negative. The chest X-ray was normal. Computerized tomography (CT) scan revealed a well-defined soft tissue density lesion measuring 16x12x10 cm, encircling large mesenteric blood vessels within the left mid-abdominal cavity (Fig. 1). Although CT scan revealed a clear soft tissue mass with calcification inside the mesentery, suggestive of Angiosarcoma, differential diagnoses including Castleman's disease and lymphoma could not be definitively excluded. At this point, fine needle aspiration was considered as a viable option for further pathological clarification; however, the patient declined this procedure. Given the suspicion of a malignant tumor, surgical intervention was chosen to facilitate a definitive diagnosis and subsequent treatment.

Figure 1

Relationship between tumors and mesenteric vessels (arrows indicate mesenteric vessels). (A) Enhanced computed tomography shows that the huge mass originates from the starting point of the mesenteric vessels, arterial enhancement of the mass, and feeding vessel. (B) The mass is surrounded by large mesenteric blood vessels and the boundary is unclear. (C) Relatively isolated location of mass. (D) The lowest boundary of the mass.

Surgical procedure

During the surgical procedure, an irregular circular mass measuring 15x11x10 cm was identified at the base of the jejunum mesentery, exhibiting an indistinct boundary with the mesenteric blood vessels. The mass displayed a firm consistency and was enveloped by a thin fibrous capsule. A thorough resection of the tumor was executed, navigating along the apparent space between the tumor capsule and surrounding tissues. Despite the difficulty, a successful tumor excision was accomplished, including intestinal resection and anastomosis. The surgical intervention, lasting 125 min, proceeded smoothly without any complications. Intraoperative blood loss was estimated at ~100 ml. Following surgery, the patient experienced an uneventful recovery, with resolution of abdominal pain and prompt restoration of gastrointestinal function.

Postoperative pathological results

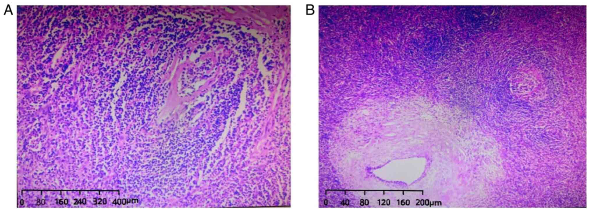
In the postoperative sectioning, a homogenous grey mass with a medium texture and localized calcifications was observed, displaying well-defined characteristics. Histopathologic analysis revealed the mass to be situated within the mesentery without involvement of the intestinal wall. The specimen exhibited lymphoid follicles segregated by connective tissue bands containing thickened blood vessels at the center, consistent with the hyaline vascular type of Castleman disease (Fig. 2). Additionally, a total of eight lymph nodes in the second and third stations demonstrated reactive hyperplasia upon examination. Through comprehensive postoperative pathological examination, differential diagnoses including angiosarcoma and lymphoma were successfully ruled out.

Figure 2

Pathological findings of postoperative tumor. (A) Lymphoid follicles can be observed with germinal centers, penetrated by sclerotic blood vessels (lollipop lesions) and broad mantle zones with concentric rings of small lymphocytes (onion skin pattern. Original magnification, x400. (B) Hematoxylin and eosin-stained section of the mesentery mass showed involuting germinal center surrounded by concentric rings of small lymphocytes penetrated by pathologicalhyaline blood vessels. Original magnification, x200.

Subsequent treatment and follow-up

Given the challenges posed by the tumor's substantial size and invasion of mesenteric blood vessels, achieving a complete resection was notably complex. To reduce the risk of tumor recurrence, we referred to previous treatment experience and administered on postoperative chemotherapy of cyclophosphamide, epirubicin, vincristine and prednisolone (CHOP) regimen at weeks 1, 4 and 7. The regimen included intravenous administration of cyclophosphamide at 750 mg/m2, epirubicin at 90 mg/m2, vincristine at 1.4 mg/m2 (capped at 2 mg dose) and oral prednisone at 100 mg for a 5-day period. Encouragingly, the patient did not encounter any adverse effects or toxicities associated with the chemotherapy agents. Due to family reasons, the patient declined further treatment, including the orphan targeted drug cetuximab for treating CD. Despite this decision, the patient was confirmed to have achieved complete recovery, with no evidence of tumor recurrence observed during the 5-year follow-up period (Fig. 3). At the 65th month since the last follow-up visit, complete remission persists, leading us to posit that the patient has achieved clinical cure.

Figure 3

Enhanced computed tomography showed no tumor recurrence in the surgical area and no distant metastasis in other organs. (A) 1-year follow-up after surgery. (B) 5-year follow-up after surgery.

Discussion

Diagnostic challenges. Despite the passage of decades since the initial documentation of CD (2), it continues to represent a rare clinical entity characterized by limited public awareness, rendering it prone to misdiagnosis and underdiagnosis, including UMCD. Initially characterized as hyaline-vascular type, plasma cell type, and mixed cellularity type, CD encompasses a spectrum of histopathological presentations (3). In clinical practice, CD is further categorized based on the origin or quantity of affected lymph nodes into MCD and UCD.

According to studies, the incidence rates of MUD and UCD varies greatly in different regions. For example, in the United States, an estimated 6,500-7,700 cases of Castleman's disease are reported annually, with 75% attributed UCD. Conversely, in Japan, while a comparable overall incidence of Castleman's disease has been documented, UCD represents 30% of cases, with MCD comprising the remaining 70%. The underlying rationale for this significant inter-regional variation remains unclear (4,5). One possible reason is that there are very few case series at present. These data have been provided by guidelines, including the diagnostic criteria and classification collaborative network developed for Castleman's disease since 2017, which have statistical biases. Another possible reason is that the evaluation of CD was limited by the lack of a specific ICD code or evidence-based consensus diagnostic criteria until a specific ICD-10 code for CD (ICD-10-CM D47.Z2) was created in 2016, and diagnostic criteria for iMCD were established in 2017(6).

Significant disparities exist in the incidence rate, clinical manifestations and treatment methods between MCD and UCD. In the United States, the estimated incidence of UCD is ~16 cases per million PYs. UCD occurs in individuals of all ages, with the median age of onset occurring in the fourth decade, and no discernible sex predilection (7). Conversely, in Japan, the estimated incidence ranges between 0.6-4.3 cases per million PYs (1). The regional difference in the cause of MCD in Japan is hypothesized to be potentially associated with the relatively low prevalence of Kaposi's sarcoma-associated herpesvirus in Japan compared to other nations.

According to the study by Wojtyś et al (8) UCD predominantly manifests in the mediastinum, whereas MCD typically presents as generalized lymphadenopathy. In fact, UCD is generally characterized by a uniform phenotype, often appearing as asymptomatic isolated lymph nodes or symptomatic manifestations related to mass effect (3). Symptoms in UCD patients are sparsely reported, with a minority experiencing pale complexion, abdominal discomfort, chest pain, fatigue, anorexia and growth retardation, while the majority are asymptomatic. Furthermore, UCD predominantly manifests in anatomical sites such as the mediastinum, lungs, neck, axilla, pelvis and retroperitoneum, with mesenteric involvement being exceptionally rare. Overall, peripherally located masses are readily discernible, facilitating prompt medical attention, reducing diagnostic delays and decreasing the likelihood of symptomatic presentation (9,10). Therefore, the diagnosis of UCD poses increased challenges, with higher rates of misdiagnosis and delayed diagnosis.

In a study by Hu et al (11), the median diagnostic delay for patients with UCD was reported as 6 months for asymptomatic individuals and 4.5 months for symptomatic cases. In the case of our patient, who presented with abdominal pain and bloating persisting for two months without a definitive diagnosis, diligent evaluation ultimately revealed a space-occupying lesion in the mesentery. Subsequent postoperative histopathological analysis confirmed the diagnosis of UMCD.

One reason for misdiagnosis is the patient's relative obesity, which can obscure the identification of abdominal masses. Additionally, insufficient attention to abdominal findings by both patients and healthcare providers during evaluations can lead to diagnostic oversights. In the present case, meticulous physical examination and use of CT imaging proved instrumental in promptly identifying the scope of lesion in the patient, although the etiology cannot be fully determined. Therefore, emphasizing physical examination and necessary auxiliary examinations can greatly reduce the misdiagnosis rate of UMCD.

Treatment considerations

Given the rarity and complexity of CD, treatment strategies remain a subject of ongoing debate, particularly in the case of UMCD. Individualized treatment approaches for CD are contingent upon the specific disease subtype. The prevailing consensus among experts advocates curative surgery as the primary therapeutic modality for UCD, whereas MCD necessitates monoclonal antibody-based immunotherapy (10,11). Patients with MCD had diagnostic partial surgical excision of the lesions, followed by a range of treatment modalities such as corticosteroids, chemotherapy, radiotherapy and immunomodulatory agents, or adopt a ‘watch and wait’ approach (12,13). Notably, anti-interleukin-6 therapy with cetuximab is an important treatment option for MCD, although its availability may be limited and efficacy is observed in less than half of patients (14). Conversely, for UCD, surgical intervention alone has demonstrated favorable outcomes without the need for adjuvant therapies (15-17). Complete surgical excision is the optimal therapy for resectable UCD, yielding a 5-year overall survival rate >90% (18,19).

However, managing unresectable UCD poses significant challenges. In rare instances where UCD is deemed unresectable due to size and location constraints, initial therapeutic interventions may render the lesion amenable to surgical resection through medical approaches such as rituximab, steroids, radiotherapy, or embolization (18,20,21). In the present case, the presence of numerous indistinct mesenteric blood vessels encircling a sizable lesion rendered complete resection surgery technically challenging. As per existing literature, therapy using rituximab, steroids and chemotherapy emerged as a potentially more optimal strategy for addressing the treatment needs of the present patient. However, the patient declined a pathology-determining puncture procedure for the mass, impeding the implementation of the aforementioned therapeutic interventions. Moreover, the challenging nature of complete excision was exacerbated by the unique location of the tumor. Furthermore, the absence of published systematic studies assessing the optimal management of unresectable UCD further complicates the treatment decision-making process in such cases. Nevertheless, due to the compression of adjacent structures causing symptoms in the patient, surgery emerged as the preferred treatment modality. After thorough deliberation and obtaining informed consent from the patient and their family, a relatively comprehensive resection surgery was performed. Subsequent to the postoperative pathological findings, further treatment was recommended to mitigate the risk of recurrence. Despite the patient's decision to undergo only three cycles of CHOP chemotherapy (22,23) and refusal of additional interventions, the 5-year follow-up revealed complete recovery without any recurrence or metastasis. Therefore, it may be asserted that surgery remains the primary treatment choice for similar conditions, with chemotherapy and immunotherapy serving as beneficial adjunctive options for patients with specific indications.

Further research is warranted in UMCD patients, particularly those who have undergone complete excision and exhibit normal laboratory markers. We aim for our experience to contribute to the breadth of UMCD literature, aiding healthcare providers in determining the optimal therapeutic approach for their patients (18).

Due to the special location of UMCD, its preoperative diagnosis is difficult and the optimal treatment is still controversial. The prevalent instances of delayed diagnosis and misdiagnosis underscore a deficiency in comprehending the disease's etiology and characteristics, essential for the development of novel therapies. Diagnostic modalities such as CT imaging and pathological examination are pivotal in confirming the diagnosis of UMCD. The present study supported surgery as the preferred treatment modality for UMCD, with chemotherapy and immunotherapy offering additional benefits for patients with indications.

Acknowledgements

The authors would like to thank Professor Zhong Ming, Department of Pathology, Qingdao University Affiliated Tai'an Central Hospital, China, for his comments and suggestions.

Funding

Funding: No funding was received.

Availability of data and materials

The data generated in the present study may be requested from the corresponding author.

Authors' contributions

LH was responsible for conceptualization, data curation, investigation, validation, writing of the original draft, reviewing and editing. ZY was responsible for writing, reviewing and editing. RY was responsible for conceptualization, writing, reviewing and editing. LH and RY confirm the authenticity of all the raw data. All authors read and approved the final manuscript.

Ethics approval and consent to participate

The present study was conducted following the Declaration of Helsinki. All treatment plans applied in the present study were conducted in accordance with the standards of the Ethics Committee of Huishan District People's Hospital of Wuxi City (approval no. HYLL20240607001), China.

Patient consent for publication

The diagnosis and treatment process, as well as the disclosure of data, have received fully informed oral consent from the patient.

Competing interests

The authors declare that they have no competing interests.

References

1 

Masaki Y, Kawabata H, Fujimoto S, Kawano M, Iwaki N, Kotani T, Nakashima A, Kurose N, Takai K, Suzuki R and Aoki S: Epidemiological analysis of multicentric and unicentric Castleman disease and TAFRO syndrome in Japan. J Clin Exp Hematop. 59:175–178. 2019.PubMed/NCBI View Article : Google Scholar

2 

Castleman B, Iverson L and Menendez VP: Localized mediastinal lymphnode hyperplasia resembling thymoma. Cance. 9:822–830. 1956.PubMed/NCBI View Article : Google Scholar

3 

Dispenzieri A and Fajgenbaum DC: Overview of Castleman disease. Blood. 135:1353–1364. 2020.PubMed/NCBI View Article : Google Scholar

4 

Simpson D: Epidemiology of Castleman disease. Hematol Oncol Clin North Am. 32:1–10. 2018.PubMed/NCBI View Article : Google Scholar

5 

Oksenhendler E, Boutboul D, Fajgenbaum D, Mirouse A, Fieschi C, Malphettes M, Vercellino L, Meignin V, Gérard L and Galicier L: The full spectrum of Castleman disease: 273 Patients studied over 20 years. Br J Haematol. 180:206–221. 2018.PubMed/NCBI View Article : Google Scholar

6 

Cohen AB, Swaminathan A, Wang X, Zamora S, Repucci MA, Kelly J, Hannan MD, Sepler D, Sridharma S, Orlando A, et al: Clinical characteristics, treatment patterns, and overall survival of real-world patients with idiopathic multicentric Castleman disease. J Clin Oncol. 39 (Suppl 15)(S7048)2021.

7 

Boutboul D, Fadlallah J, Chawki S, Fieschi C, Malphettes M, Dossier A, Gérard L, Mordant P, Meignin V, Oksenhendler E and Galicier L: Treatment and outcome of Unicentric Castleman disease: A retrospective analysis of 71 cases. Br J Haematol. 186:269–273. 2019.PubMed/NCBI View Article : Google Scholar

8 

Wojtyś M, Piekarska A, Kunc M, Ptaszyński K, Biernat W, Zaucha JM, Waloszczyk P, Lisowski P, Kubisa B and Grodzki T: Clinicopathological comparison and therapeutic approach to Castleman disease-a case-based review. J Thorac Dis. 11:4859–4874. 2019.PubMed/NCBI View Article : Google Scholar

9 

Muhammad T, Alkheder A, Mazloum A, Almooay A, Naziha L and Shaheen M: Unicentric Castleman disease: A case report of an atypical presentation and successful management. Int J Surg Case Rep. 118(109688)2024.PubMed/NCBI View Article : Google Scholar

10 

Talat N, Belgaumkar AP and Schulte KM: Surgery in Castleman's disease: A systematic review of 404 published cases. Ann Surg. 255:677–684. 2012.PubMed/NCBI View Article : Google Scholar

11 

Hu S, Li Z, Wang H, Chen L, Ma Y, Zhu X, Li J, Dong R, Yao W, Dong C, et al: Clinical features and treatment outcomes of Castleman disease in children: A retrospective cohort in China. Eur J Pediatr. 182:5519–5530. 2023.PubMed/NCBI View Article : Google Scholar

12 

van Rhee F, Wong RS, Munshi N, Rossi JF, Ke XY, Fosså A, Simpson D, Capra M, Liu T, Hsieh RK, et al: Siltuximab for multicentric Castleman's disease: A randomised, double-blind, placebo-controlled trial. Lancet Oncol. 15:966–974. 2014.PubMed/NCBI View Article : Google Scholar

13 

Zhang L, Zhao AL, Duan MH, Li ZY, Cao XX, Feng J, Zhou DB, Zhong DR, Fajgenbaum DC and Li J: Phase 2 study using oral thalidomide-cyclophosphamide-prednisone for idiopathic multicentric Castleman disease. Blood. 133:1720–1728. 2019.PubMed/NCBI View Article : Google Scholar

14 

Carbone A, Borok M, Damania B, Gloghini A, Polizzotto MN, Jayanthan RK, Fajgenbaum DC and Bower M: Castleman disease. Nat Rev Dis Primers. 7(84)2021.PubMed/NCBI View Article : Google Scholar

15 

Mitsos S, Stamatopoulos A, Patrini D, George RS, Lawrence DR and Panagiotopoulos N: The role of surgical resection in Unicentric Castleman's disease: A systematic review. Adv Respir Med. 86:36–43. 2018.PubMed/NCBI View Article : Google Scholar

16 

Zhang MY, Jia MN, Chen J, Feng J, Cao XX, Zhou DB, Fajgenbaum DC, Zhang L and Li J: UCD with MCD-like inflammatory state: Surgical excision is highly effective. Blood Adv. 5:122–128. 2021.PubMed/NCBI View Article : Google Scholar

17 

van Rhee F, Oksenhendler E, Srkalovic G, Voorhees P, Lim M, Dispenzieri A, Ide M, Parente S, Schey S, Streetly M, et al: International evidence-based consensus diagnostic and treatment guidelines for unicentric Castleman disease. Blood Adv. 4:6039–6050. 2020.PubMed/NCBI View Article : Google Scholar

18 

Abraham SS, Narayanan G, Thambi SM, Vasudevan JA, Joy Philip DS, Purushothaman PN, Nair SG and Nair R: Castleman disease: Experience from a single institution. Med Int (Lond). 3(56)2023.PubMed/NCBI View Article : Google Scholar

19 

Mohan M, Meek JC, Meek ME, Broadwater R, Alapat D and van Rhee F: Combinatorial treatment for unresectable unicentric Castleman disease. Eur J Haematol. 107:484–488. 2021.PubMed/NCBI View Article : Google Scholar

20 

Zhu SH, Yu YH, Zhang Y, Sun JJ, Han DL and Li J: Clinical features and outcome of patients with HIV-negative multicentric Castleman's disease treated with combination chemotherapy: A report on 10 patients. Med Oncol. 30(492)2013.PubMed/NCBI View Article : Google Scholar

21 

Seo HY, Kim EB, Kim JW, Shin BK, Kim SJ and Kim BS: Complete remission in a patient with human herpes virus-8 negative multicentric Castleman disease using CHOP chemotherapy. Cancer Res Treat. 41:104–107. 2009.PubMed/NCBI View Article : Google Scholar

22 

van Rhee F and Stone K: Storming the Castle with TCP. Blood. 133:1697–1698. 2019.PubMed/NCBI View Article : Google Scholar

23 

Kaneko H, Ohkawara T, Aragane H, Ohkawara Y and Taniwaki M: Clinicopathological analysis of a case with mesenteric solitary Castleman's disease: Diagnostic value of radiological findings. Int Surg. 92:272–275. 2007.PubMed/NCBI

Related Articles

  • Abstract
  • View
  • Download
  • Twitter
Copy and paste a formatted citation
Spandidos Publications style
Hua L, Yin Z and Yang R: A diagnostic and therapeutically challenging presentation of unicentric mesenteric Castleman disease: A case report. Exp Ther Med 29: 80, 2025.
APA
Hua, L., Yin, Z., & Yang, R. (2025). A diagnostic and therapeutically challenging presentation of unicentric mesenteric Castleman disease: A case report. Experimental and Therapeutic Medicine, 29, 80. https://doi.org/10.3892/etm.2025.12830
MLA
Hua, L., Yin, Z., Yang, R."A diagnostic and therapeutically challenging presentation of unicentric mesenteric Castleman disease: A case report". Experimental and Therapeutic Medicine 29.4 (2025): 80.
Chicago
Hua, L., Yin, Z., Yang, R."A diagnostic and therapeutically challenging presentation of unicentric mesenteric Castleman disease: A case report". Experimental and Therapeutic Medicine 29, no. 4 (2025): 80. https://doi.org/10.3892/etm.2025.12830
Copy and paste a formatted citation
x
Spandidos Publications style
Hua L, Yin Z and Yang R: A diagnostic and therapeutically challenging presentation of unicentric mesenteric Castleman disease: A case report. Exp Ther Med 29: 80, 2025.
APA
Hua, L., Yin, Z., & Yang, R. (2025). A diagnostic and therapeutically challenging presentation of unicentric mesenteric Castleman disease: A case report. Experimental and Therapeutic Medicine, 29, 80. https://doi.org/10.3892/etm.2025.12830
MLA
Hua, L., Yin, Z., Yang, R."A diagnostic and therapeutically challenging presentation of unicentric mesenteric Castleman disease: A case report". Experimental and Therapeutic Medicine 29.4 (2025): 80.
Chicago
Hua, L., Yin, Z., Yang, R."A diagnostic and therapeutically challenging presentation of unicentric mesenteric Castleman disease: A case report". Experimental and Therapeutic Medicine 29, no. 4 (2025): 80. https://doi.org/10.3892/etm.2025.12830
Follow us
  • Twitter
  • LinkedIn
  • Facebook
About
  • Spandidos Publications
  • Careers
  • Cookie Policy
  • Privacy Policy
How can we help?
  • Help
  • Live Chat
  • Contact
  • Email to our Support Team