Spandidos Publications Logo
  • About
    • About Spandidos
    • Aims and Scopes
    • Abstracting and Indexing
    • Editorial Policies
    • Reprints and Permissions
    • Job Opportunities
    • Terms and Conditions
    • Contact
  • Journals
    • All Journals
    • Oncology Letters
      • Oncology Letters
      • Information for Authors
      • Editorial Policies
      • Editorial Board
      • Aims and Scope
      • Abstracting and Indexing
      • Bibliographic Information
      • Archive
    • International Journal of Oncology
      • International Journal of Oncology
      • Information for Authors
      • Editorial Policies
      • Editorial Board
      • Aims and Scope
      • Abstracting and Indexing
      • Bibliographic Information
      • Archive
    • Molecular and Clinical Oncology
      • Molecular and Clinical Oncology
      • Information for Authors
      • Editorial Policies
      • Editorial Board
      • Aims and Scope
      • Abstracting and Indexing
      • Bibliographic Information
      • Archive
    • Experimental and Therapeutic Medicine
      • Experimental and Therapeutic Medicine
      • Information for Authors
      • Editorial Policies
      • Editorial Board
      • Aims and Scope
      • Abstracting and Indexing
      • Bibliographic Information
      • Archive
    • International Journal of Molecular Medicine
      • International Journal of Molecular Medicine
      • Information for Authors
      • Editorial Policies
      • Editorial Board
      • Aims and Scope
      • Abstracting and Indexing
      • Bibliographic Information
      • Archive
    • Biomedical Reports
      • Biomedical Reports
      • Information for Authors
      • Editorial Policies
      • Editorial Board
      • Aims and Scope
      • Abstracting and Indexing
      • Bibliographic Information
      • Archive
    • Oncology Reports
      • Oncology Reports
      • Information for Authors
      • Editorial Policies
      • Editorial Board
      • Aims and Scope
      • Abstracting and Indexing
      • Bibliographic Information
      • Archive
    • Molecular Medicine Reports
      • Molecular Medicine Reports
      • Information for Authors
      • Editorial Policies
      • Editorial Board
      • Aims and Scope
      • Abstracting and Indexing
      • Bibliographic Information
      • Archive
    • World Academy of Sciences Journal
      • World Academy of Sciences Journal
      • Information for Authors
      • Editorial Policies
      • Editorial Board
      • Aims and Scope
      • Abstracting and Indexing
      • Bibliographic Information
      • Archive
    • International Journal of Functional Nutrition
      • International Journal of Functional Nutrition
      • Information for Authors
      • Editorial Policies
      • Editorial Board
      • Aims and Scope
      • Abstracting and Indexing
      • Bibliographic Information
      • Archive
    • International Journal of Epigenetics
      • International Journal of Epigenetics
      • Information for Authors
      • Editorial Policies
      • Editorial Board
      • Aims and Scope
      • Abstracting and Indexing
      • Bibliographic Information
      • Archive
    • Medicine International
      • Medicine International
      • Information for Authors
      • Editorial Policies
      • Editorial Board
      • Aims and Scope
      • Abstracting and Indexing
      • Bibliographic Information
      • Archive
  • Articles
  • Information
    • Information for Authors
    • Information for Reviewers
    • Information for Librarians
    • Information for Advertisers
    • Conferences
  • Language Editing
Spandidos Publications Logo
  • About
    • About Spandidos
    • Aims and Scopes
    • Abstracting and Indexing
    • Editorial Policies
    • Reprints and Permissions
    • Job Opportunities
    • Terms and Conditions
    • Contact
  • Journals
    • All Journals
    • Biomedical Reports
      • Information for Authors
      • Editorial Policies
      • Editorial Board
      • Aims and Scope
      • Abstracting and Indexing
      • Bibliographic Information
      • Archive
    • Experimental and Therapeutic Medicine
      • Information for Authors
      • Editorial Policies
      • Editorial Board
      • Aims and Scope
      • Abstracting and Indexing
      • Bibliographic Information
      • Archive
    • International Journal of Epigenetics
      • Information for Authors
      • Editorial Policies
      • Editorial Board
      • Aims and Scope
      • Abstracting and Indexing
      • Bibliographic Information
      • Archive
    • International Journal of Functional Nutrition
      • Information for Authors
      • Editorial Policies
      • Editorial Board
      • Aims and Scope
      • Abstracting and Indexing
      • Bibliographic Information
      • Archive
    • International Journal of Molecular Medicine
      • Information for Authors
      • Editorial Policies
      • Editorial Board
      • Aims and Scope
      • Abstracting and Indexing
      • Bibliographic Information
      • Archive
    • International Journal of Oncology
      • Information for Authors
      • Editorial Policies
      • Editorial Board
      • Aims and Scope
      • Abstracting and Indexing
      • Bibliographic Information
      • Archive
    • Medicine International
      • Information for Authors
      • Editorial Policies
      • Editorial Board
      • Aims and Scope
      • Abstracting and Indexing
      • Bibliographic Information
      • Archive
    • Molecular and Clinical Oncology
      • Information for Authors
      • Editorial Policies
      • Editorial Board
      • Aims and Scope
      • Abstracting and Indexing
      • Bibliographic Information
      • Archive
    • Molecular Medicine Reports
      • Information for Authors
      • Editorial Policies
      • Editorial Board
      • Aims and Scope
      • Abstracting and Indexing
      • Bibliographic Information
      • Archive
    • Oncology Letters
      • Information for Authors
      • Editorial Policies
      • Editorial Board
      • Aims and Scope
      • Abstracting and Indexing
      • Bibliographic Information
      • Archive
    • Oncology Reports
      • Information for Authors
      • Editorial Policies
      • Editorial Board
      • Aims and Scope
      • Abstracting and Indexing
      • Bibliographic Information
      • Archive
    • World Academy of Sciences Journal
      • Information for Authors
      • Editorial Policies
      • Editorial Board
      • Aims and Scope
      • Abstracting and Indexing
      • Bibliographic Information
      • Archive
  • Articles
  • Information
    • For Authors
    • For Reviewers
    • For Librarians
    • For Advertisers
    • Conferences
  • Language Editing
Login Register Submit
  • This site uses cookies
  • You can change your cookie settings at any time by following the instructions in our Cookie Policy. To find out more, you may read our Privacy Policy.

    I agree
Search articles by DOI, keyword, author or affiliation
Search
Advanced Search
presentation
Experimental and Therapeutic Medicine
Join Editorial Board Propose a Special Issue
Print ISSN: 1792-0981 Online ISSN: 1792-1015
Journal Cover
May-2025 Volume 29 Issue 5

Full Size Image

Sign up for eToc alerts
Recommend to Library

Journals

International Journal of Molecular Medicine

International Journal of Molecular Medicine

International Journal of Molecular Medicine is an international journal devoted to molecular mechanisms of human disease.

International Journal of Oncology

International Journal of Oncology

International Journal of Oncology is an international journal devoted to oncology research and cancer treatment.

Molecular Medicine Reports

Molecular Medicine Reports

Covers molecular medicine topics such as pharmacology, pathology, genetics, neuroscience, infectious diseases, molecular cardiology, and molecular surgery.

Oncology Reports

Oncology Reports

Oncology Reports is an international journal devoted to fundamental and applied research in Oncology.

Experimental and Therapeutic Medicine

Experimental and Therapeutic Medicine

Experimental and Therapeutic Medicine is an international journal devoted to laboratory and clinical medicine.

Oncology Letters

Oncology Letters

Oncology Letters is an international journal devoted to Experimental and Clinical Oncology.

Biomedical Reports

Biomedical Reports

Explores a wide range of biological and medical fields, including pharmacology, genetics, microbiology, neuroscience, and molecular cardiology.

Molecular and Clinical Oncology

Molecular and Clinical Oncology

International journal addressing all aspects of oncology research, from tumorigenesis and oncogenes to chemotherapy and metastasis.

World Academy of Sciences Journal

World Academy of Sciences Journal

Multidisciplinary open-access journal spanning biochemistry, genetics, neuroscience, environmental health, and synthetic biology.

International Journal of Functional Nutrition

International Journal of Functional Nutrition

Open-access journal combining biochemistry, pharmacology, immunology, and genetics to advance health through functional nutrition.

International Journal of Epigenetics

International Journal of Epigenetics

Publishes open-access research on using epigenetics to advance understanding and treatment of human disease.

Medicine International

Medicine International

An International Open Access Journal Devoted to General Medicine.

Journal Cover
May-2025 Volume 29 Issue 5

Full Size Image

Sign up for eToc alerts
Recommend to Library

  • Article
  • Citations
    • Cite This Article
    • Download Citation
    • Create Citation Alert
    • Remove Citation Alert
    • Cited By
  • Similar Articles
    • Related Articles (in Spandidos Publications)
    • Similar Articles (Google Scholar)
    • Similar Articles (PubMed)
  • Download PDF
  • Download XML
  • View XML

  • Supplementary Files
    • Supplementary_Data.pdf
Article Open Access

ROCK signaling is involved in the entosis of both nonepithelial and epithelial tumors, whereas N‑cadherin is involved in the entosis of nonepithelial tumors

  • Authors:
    • Mizuha Oi
    • Raia Kushibiki
    • Yuki Kanehira
    • Yoshimi Nishijima
    • Sayaka Kobayashi
    • Masanao Saio
  • View Affiliations / Copyright

    Affiliations: Laboratory of Histopathology and Cytopathology, Department of Laboratory Sciences, Gunma University Graduate School of Health Sciences, Maebashi, Gunma 371‑8514, Japan
    Copyright: © Oi et al. This is an open access article distributed under the terms of Creative Commons Attribution License.
  • Article Number: 90
    |
    Published online on: March 7, 2025
       https://doi.org/10.3892/etm.2025.12840
  • Expand metrics +
Metrics: Total Views: 0 (Spandidos Publications: | PMC Statistics: )
Metrics: Total PDF Downloads: 0 (Spandidos Publications: | PMC Statistics: )
Cited By (CrossRef): 0 citations Loading Articles...

This article is mentioned in:



Abstract

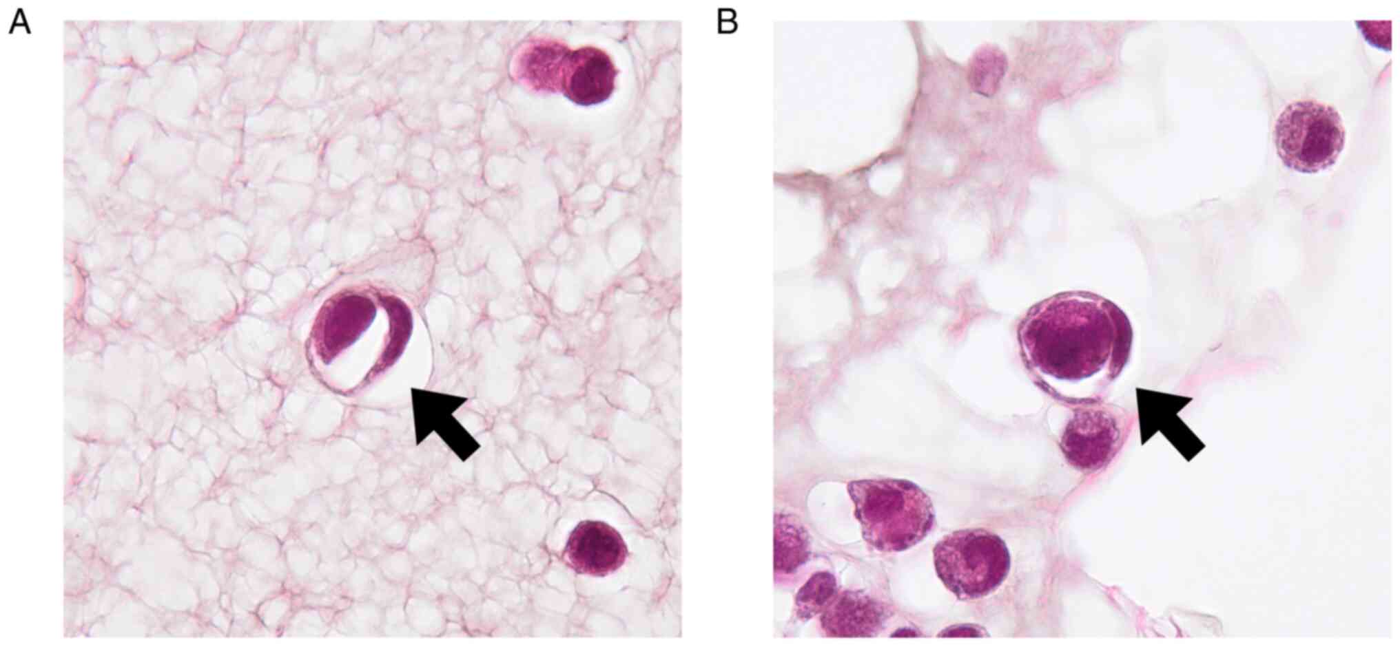
Entosis is a cell‑in‑cell phenomenon wherein cells detaching from the extracellular matrix are internalized by a neighboring cell. The present study examined whether entosis, which is observed in epithelial cells, also occurs in nonepithelial cells. The present study used the MCF‑7 breast cancer cell line as a positive control for entosis and compared this with three representative sarcoma cell lines (RD, HT1080 and ICH‑ERMS‑1). The formation of cell‑in‑cell structures was induced by culturing cells in adherent and nonadherent conditions. Cell lines that formed the cell‑in‑cell structures were cultured in nonadherent conditions with and without Rho‑associated coiled‑coil containing protein kinase (ROCK) inhibition, and the cell‑in‑cell structures were evaluated in slides prepared from cell blocks. It was examined whether ROCK inhibition blocked the formation of cell‑in‑cell structures, and the expression levels of specific cadherins associated with entosis were determined using quantitative PCR. The proportion of cells with cell‑in‑cell structures was significantly higher in nonadherent conditions in both MCF‑7 (P=0.0297) and RD (P=0.0098) cells, whereas few cell‑in‑cell structures were observed in both adherent and nonadherent conditions in HT1080 and ICH‑ERMS‑1 cells. Under nonadherent conditions, ROCK inhibition significantly reduced the proportion of cells with cell‑in‑cell structures in MCF‑7 (P=0.0021) and RD (P=0.0407) cells. Based on quantitative PCR, among the five cadherin genes, the E‑cadherin expression level was the lowest in MCF‑7 cells (ΔCt, 2.6) and the N‑cadherin expression level was lowest in RD cells (ΔCt, 4.8). By contrast, the N‑cadherin expression levels were higher in HT1080 (ΔCt, 11.0) and ICH‑ERMS‑1 (ΔCt, 8.8) cells. These results suggested that the cell‑in‑cell phenomenon observed in RD cells is an entotic process based on its emergence in nonadherent culture conditions and the involvement of ROCK signaling. Entosis observed in RD cells was mediated via N‑cadherin and not E‑cadherin.
View Figures

Figure 1

Figure 2

Figure 3

Figure 4

View References

1 

Overholtzer M, Mailleux AA, Mouneimne G, Normand G, Schnitt SJ, King RW, Cibas ES and Brugge JS: A nonapoptotic cell death process, entosis, that occurs by cell-in-cell invasion. Cell. 131:966–979. 2007.PubMed/NCBI View Article : Google Scholar

2 

Wang M, Niu Z, Qin H, Ruan B, Zheng Y, Ning X, Gu S, Gao L, Chen Z, Wang X, et al: Mechanical ring interfaces between adherens junction and contractile actomyosin to coordinate entotic cell-in-cell formation. Cell Rep. 32(108071)2020.PubMed/NCBI View Article : Google Scholar

3 

Wang M, Ning X, Chen A, Huang H, Ni C, Zhou C, Yu K, Lan S, Wang Q, Li S, et al: Impaired formation of homotypic cell-in-cell structures in human tumor cells lacking alpha-catenin expression. Sci Rep. 5(12223)2015.PubMed/NCBI View Article : Google Scholar

4 

Bauer MF, Hildebrand LS, Rosahl MC, Erber R, Schnellhardt S, Büttner-Herold M, Putz F, Ott OJ, Hack CC, Fietkau R and Distel L: Cell-in-cell structures in early breast cancer are prognostically valuable. Cells. 12(81)2022.PubMed/NCBI View Article : Google Scholar

5 

Dziuba I, Gawel AM, Tyrna P, Machtyl J, Olszanecka M, Pawlik A, Wójcik C, Bialy LP and Mlynarczuk-Bialy I: Homotypic entosis as a potential novel diagnostic marker in breast cancer. Int J Mol Sci. 24(6819)2023.PubMed/NCBI View Article : Google Scholar

6 

Wei Y, Niu Z, Hou X, Liu M, Wang Y, Zhou Y, Wang C, Ma Q, Zhu Y, Gao X, et al: Subtype-based analysis of cell-in-cell structures in non-small cell lung cancer. Am J Cancer Res. 13:1091–1102. 2023.PubMed/NCBI

7 

Liu X, Guo R, Li D, Wang Y, Ning J, Yang S and Yang J: Homotypic cell-in-cell structure as a novel prognostic predictor in non-small cell lung cancer and frequently localized at the invasive front. Sci Rep. 14(18952)2024.PubMed/NCBI View Article : Google Scholar

8 

Almangush A, Mäkitie AA, Hagström J, Haglund C, Kowalski LP, Nieminen P, Coletta RD, Salo T and Leivo I: Cell-in-cell phenomenon associates with aggressive characteristics and cancer-related mortality in early oral tongue cancer. BMC Cancer. 20(843)2020.PubMed/NCBI View Article : Google Scholar

9 

Kim Y, Choi JW, Lee JH and Kim YS: Spindle assembly checkpoint MAD2 and CDC20 overexpressions and cell-in-cell formation in gastric cancer and its precursor lesions. Hum Pathol. 85:174–183. 2019.PubMed/NCBI View Article : Google Scholar

10 

Song J, Xu R, Zhang H, Xue X, Ruze R, Chen Y, Yin X, Wang C and Zhao Y: Cell-in-cell-mediated entosis reveals a progressive mechanism in pancreatic cancer. Gastroenterology. 165:1505–1521.e20. 2023.PubMed/NCBI View Article : Google Scholar

11 

Lugini L, Matarrese P, Tinari A, Lozupone F, Federici C, Iessi E, Gentile M, Luciani F, Parmiani G, Rivoltini L, et al: Cannibalism of live lymphocytes by human metastatic but not primary melanoma cells. Cancer Res. 66:3629–3638. 2006.PubMed/NCBI View Article : Google Scholar

12 

Gupta K and Dey P: Cell cannibalism: Diagnostic marker of malignancy. Diagn Cytopathol. 28:86–87. 2003.PubMed/NCBI View Article : Google Scholar

13 

Wang S, He M, Li L, Liang Z, Zou Z and Tao A: Cell-in-cell death is not restricted by caspase-3 deficiency in MCF-7 cells. J Breast Cancer. 19:231–241. 2016.PubMed/NCBI View Article : Google Scholar

14 

Fais S: Cannibalism: A way to feed on metastatic tumors. Cancer Lett. 258:155–164. 2007.PubMed/NCBI View Article : Google Scholar

15 

Humble JG, Jayne WH and Pulvertaft RJ: Biological interaction between lymphocytes and other cells. Br J Haematol. 2:283–294. 1956.PubMed/NCBI View Article : Google Scholar

16 

Larsen TE: Emperipolesis of granular leukocytes within megakaryocytes in human hemopoietic bone marrow. Am J Clin Pathol. 53:485–489. 1970.PubMed/NCBI View Article : Google Scholar

17 

Sun Q, Cibas ES, Huang H, Hodgson L and Overholtzer M: Induction of entosis by epithelial cadherin expression. Cell Res. 24:1288–1298. 2014.PubMed/NCBI View Article : Google Scholar

18 

Sun Q, Luo T, Ren Y, Florey O, Shirasawa S, Sasazuki T, Robinson DN and Overholtzer M: Competition between human cells by entosis. Cell Res. 24:1299–1310. 2014.PubMed/NCBI View Article : Google Scholar

19 

Kianfar M, Balcerak A, Chmielarczyk M, Tarnowski L and Grzybowska EA: Cell death by entosis: Triggers, molecular mechanisms and clinical significance. Int J Mol Sci. 23(4985)2022.PubMed/NCBI View Article : Google Scholar

20 

Krajcovic M, Johnson NB, Sun Q, Normand G, Hoover N, Yao E, Richardson AL, King RW, Cibas ES, Schnitt SJ, et al: A non-genetic route to aneuploidy in human cancers. Nat Cell Biol. 13:324–330. 2011.PubMed/NCBI View Article : Google Scholar

21 

Liang J, Niu Z, Zhang B, Yu X, Zheng Y, Wang C, Ren H, Wang M, Ruan B, Qin H, et al: p53-dependent elimination of aneuploid mitotic offspring by entosis. Cell Death Differ. 28:799–813. 2021.PubMed/NCBI View Article : Google Scholar

22 

Wen S, Shang Z, Zhu S, Chang C and Niu Y: Androgen receptor enhances entosis, a non-apoptotic cell death, through modulation of Rho/ROCK pathway in prostate cancer cells. Prostate. 73:1306–1315. 2013.PubMed/NCBI View Article : Google Scholar

23 

Zhang X, Niu Z, Qin H, Fan J, Wang M, Zhang B, Zheng Y, Gao L, Chen Z, Tai Y, et al: Subtype-based prognostic analysis of cell-in-cell structures in early breast cancer. Front Oncol. 9(895)2019.PubMed/NCBI View Article : Google Scholar

24 

Ishikawa F, Ushida K, Mori K and Shibanuma M: Loss of anchorage primarily induces non-apoptotic cell death in a human mammary epithelial cell line under atypical focal adhesion kinase signaling. Cell Death Dis. 6(e1619)2015.PubMed/NCBI View Article : Google Scholar

25 

Wang C, Chen A, Ruan B, Niu Z, Su Y, Qin H, Zheng Y, Zhang B, Gao L, Chen Z, et al: PCDH7 inhibits the formation of homotypic cell-in-cell structure. Front Cell Dev Biol. 8(329)2020.PubMed/NCBI View Article : Google Scholar

26 

Durgan J, Tseng YY, Hamann JC, Domart MC, Collinson L, Hall A, Overholtzer M and Florey O: Mitosis can drive cell cannibalism through entosis. Elife. 6(e27134)2017.PubMed/NCBI View Article : Google Scholar

27 

Mackay HL, Moore D, Hall C, Birkbak NJ, Jamal-Hanjani M, Karim SA, Phatak VM, Piñon L, Morton JP, Swanton C, et al: Genomic instability in mutant p53 cancer cells upon entotic engulfment. Nat Commun. 9(3070)2018.PubMed/NCBI View Article : Google Scholar

28 

Bozkurt E, Dussmann H, Salvucci M, Cavanagh BL, Van Schaeybroeck S, Longley DB, Martin SJ and Prehn JHM: TRAIL signaling promotes entosis in colorectal cancer. J Cell Biol. 220(e202010030)2021.PubMed/NCBI View Article : Google Scholar

29 

Garanina AS, Kisurina-Evgenieva OP, Erokhina MV, Smirnova EA, Factor VM and Onishchenko GE: Consecutive entosis stages in human substrate-dependent cultured cells. Sci Rep. 7(12555)2017.PubMed/NCBI View Article : Google Scholar

30 

Rao X, Huang X, Zhou Z and Lin X: An improvement of the 2^(-delta delta CT) method for quantitative real-time polymerase chain reaction data analysis. Biostat Bioinforma Biomath. 3:71–85. 2013.PubMed/NCBI

31 

Uehata M, Ishizaki T, Satoh H, Ono T, Kawahara T, Morishita T, Tamakawa H, Yamagami K, Inui J, Maekawa M and Narumiya S: Calcium sensitization of smooth muscle mediated by a Rho-associated protein kinase in hypertension. Nature. 389:990–994. 1997.PubMed/NCBI View Article : Google Scholar

32 

Gutjahr MC, Rossy J and Niggli V: Role of Rho, Rac, and Rho-kinase in phosphorylation of myosin light chain, development of polarity, and spontaneous migration of Walker 256 carcinosarcoma cells. Exp Cell Res. 308:422–438. 2005.PubMed/NCBI View Article : Google Scholar

33 

Hatta K, Okada TS and Takeichi M: A monoclonal-antibody disrupting calcium-dependent cell cell-adhesion of brain-tissues-possible role of its target antigen in animal pattern-formation. Proc Natl Acad Sci USA. 82:2789–2793. 1985.PubMed/NCBI View Article : Google Scholar

34 

Yoshida-Noro C, Suzuki N and Takeichi M: Molecular nature of the calcium-dependent cell cell-adhesion system in mouse teratocarcinoma and embryonic-cells studied with a monoclonal-antibody. Dev Biol. 101:19–27. 1984.PubMed/NCBI View Article : Google Scholar

35 

Nose A and Takeichi M: A novel cadherin cell-adhesion molecule: Its expression patterns associated with implantation and organogenesis of mouse embryos. J Cell Biol. 103 (6 Pt 2):2649–2658. 1986.PubMed/NCBI View Article : Google Scholar

36 

Soler AP, Johnson KR, Wheelock MJ and Knudsen KA: Rhabdomyosarcoma-derived cell-lines exhibit aberrant expression of the cell-cell adhesion molecules N-Cam, N-Cadherin, and cadherin-associated proteins. Exp Cell Res. 208:84–93. 1993.PubMed/NCBI View Article : Google Scholar

37 

Derycke LD and Bracke ME: N-cadherin in the spotlight of cell-cell adhesion, differentiation, embryogenesis, invasion and signalling. Int J Dev Biol. 48:463–476. 2004.PubMed/NCBI View Article : Google Scholar

38 

Rapa E, Hill SK, Morten KJ, Potter M and Mitchell C: The over-expression of cell migratory genes in alveolar rhabdomyosarcoma could contribute to metastatic spread. Clin Exp Metastasis. 29:419–429. 2012.PubMed/NCBI View Article : Google Scholar

39 

Li M, Nagamori E and Kino-Oka M: Disruption of myoblast alignment by highly motile rhabdomyosarcoma cell in tissue structure. J Biosci Bioeng. 123:259–264. 2017.PubMed/NCBI View Article : Google Scholar

40 

Schwegler M, Wirsing AM, Schenker HM, Ott L, Ries JM, Büttner-Herold M, Fietkau R, Putz F and Distel LV: Prognostic value of homotypic cell internalization by nonprofessional phagocytic cancer cells. Biomed Res Int. 2015(359392)2015.PubMed/NCBI View Article : Google Scholar

41 

Druzhkova I, Potapov A, Ignatova N, Bugrova M, Shchechkin I, Lukina M, Shimolina L, Kolesnikova E, Shirmanova M and Zagaynova E: Cell hiding in colorectal cancer: Correlation with response to chemotherapy in vitro and in vivo. Sci Rep. 14(28762)2024.PubMed/NCBI View Article : Google Scholar

42 

Lugini L, Lozupone F, Matarrese P, Funaro C, Luciani F, Malorni W, Rivoltini L, Castelli C, Tinari A, Piris A, et al: Potent phagocytic activity discriminates metastatic and primary human malignant melanomas: A key role of ezrin. Lab Invest. 83:1555–1567. 2003.PubMed/NCBI View Article : Google Scholar

Related Articles

  • Abstract
  • View
  • Download
  • Twitter
Copy and paste a formatted citation
Spandidos Publications style
Oi M, Kushibiki R, Kanehira Y, Nishijima Y, Kobayashi S and Saio M: ROCK signaling is involved in the entosis of both nonepithelial and epithelial tumors, whereas N‑cadherin is involved in the entosis of nonepithelial tumors. Exp Ther Med 29: 90, 2025.
APA
Oi, M., Kushibiki, R., Kanehira, Y., Nishijima, Y., Kobayashi, S., & Saio, M. (2025). ROCK signaling is involved in the entosis of both nonepithelial and epithelial tumors, whereas N‑cadherin is involved in the entosis of nonepithelial tumors. Experimental and Therapeutic Medicine, 29, 90. https://doi.org/10.3892/etm.2025.12840
MLA
Oi, M., Kushibiki, R., Kanehira, Y., Nishijima, Y., Kobayashi, S., Saio, M."ROCK signaling is involved in the entosis of both nonepithelial and epithelial tumors, whereas N‑cadherin is involved in the entosis of nonepithelial tumors". Experimental and Therapeutic Medicine 29.5 (2025): 90.
Chicago
Oi, M., Kushibiki, R., Kanehira, Y., Nishijima, Y., Kobayashi, S., Saio, M."ROCK signaling is involved in the entosis of both nonepithelial and epithelial tumors, whereas N‑cadherin is involved in the entosis of nonepithelial tumors". Experimental and Therapeutic Medicine 29, no. 5 (2025): 90. https://doi.org/10.3892/etm.2025.12840
Copy and paste a formatted citation
x
Spandidos Publications style
Oi M, Kushibiki R, Kanehira Y, Nishijima Y, Kobayashi S and Saio M: ROCK signaling is involved in the entosis of both nonepithelial and epithelial tumors, whereas N‑cadherin is involved in the entosis of nonepithelial tumors. Exp Ther Med 29: 90, 2025.
APA
Oi, M., Kushibiki, R., Kanehira, Y., Nishijima, Y., Kobayashi, S., & Saio, M. (2025). ROCK signaling is involved in the entosis of both nonepithelial and epithelial tumors, whereas N‑cadherin is involved in the entosis of nonepithelial tumors. Experimental and Therapeutic Medicine, 29, 90. https://doi.org/10.3892/etm.2025.12840
MLA
Oi, M., Kushibiki, R., Kanehira, Y., Nishijima, Y., Kobayashi, S., Saio, M."ROCK signaling is involved in the entosis of both nonepithelial and epithelial tumors, whereas N‑cadherin is involved in the entosis of nonepithelial tumors". Experimental and Therapeutic Medicine 29.5 (2025): 90.
Chicago
Oi, M., Kushibiki, R., Kanehira, Y., Nishijima, Y., Kobayashi, S., Saio, M."ROCK signaling is involved in the entosis of both nonepithelial and epithelial tumors, whereas N‑cadherin is involved in the entosis of nonepithelial tumors". Experimental and Therapeutic Medicine 29, no. 5 (2025): 90. https://doi.org/10.3892/etm.2025.12840
Follow us
  • Twitter
  • LinkedIn
  • Facebook
About
  • Spandidos Publications
  • Careers
  • Cookie Policy
  • Privacy Policy
How can we help?
  • Help
  • Live Chat
  • Contact
  • Email to our Support Team