Spandidos Publications Logo
  • About
    • About Spandidos
    • Aims and Scopes
    • Abstracting and Indexing
    • Editorial Policies
    • Reprints and Permissions
    • Job Opportunities
    • Terms and Conditions
    • Contact
  • Journals
    • All Journals
    • Oncology Letters
      • Oncology Letters
      • Information for Authors
      • Editorial Policies
      • Editorial Board
      • Aims and Scope
      • Abstracting and Indexing
      • Bibliographic Information
      • Archive
    • International Journal of Oncology
      • International Journal of Oncology
      • Information for Authors
      • Editorial Policies
      • Editorial Board
      • Aims and Scope
      • Abstracting and Indexing
      • Bibliographic Information
      • Archive
    • Molecular and Clinical Oncology
      • Molecular and Clinical Oncology
      • Information for Authors
      • Editorial Policies
      • Editorial Board
      • Aims and Scope
      • Abstracting and Indexing
      • Bibliographic Information
      • Archive
    • Experimental and Therapeutic Medicine
      • Experimental and Therapeutic Medicine
      • Information for Authors
      • Editorial Policies
      • Editorial Board
      • Aims and Scope
      • Abstracting and Indexing
      • Bibliographic Information
      • Archive
    • International Journal of Molecular Medicine
      • International Journal of Molecular Medicine
      • Information for Authors
      • Editorial Policies
      • Editorial Board
      • Aims and Scope
      • Abstracting and Indexing
      • Bibliographic Information
      • Archive
    • Biomedical Reports
      • Biomedical Reports
      • Information for Authors
      • Editorial Policies
      • Editorial Board
      • Aims and Scope
      • Abstracting and Indexing
      • Bibliographic Information
      • Archive
    • Oncology Reports
      • Oncology Reports
      • Information for Authors
      • Editorial Policies
      • Editorial Board
      • Aims and Scope
      • Abstracting and Indexing
      • Bibliographic Information
      • Archive
    • Molecular Medicine Reports
      • Molecular Medicine Reports
      • Information for Authors
      • Editorial Policies
      • Editorial Board
      • Aims and Scope
      • Abstracting and Indexing
      • Bibliographic Information
      • Archive
    • World Academy of Sciences Journal
      • World Academy of Sciences Journal
      • Information for Authors
      • Editorial Policies
      • Editorial Board
      • Aims and Scope
      • Abstracting and Indexing
      • Bibliographic Information
      • Archive
    • International Journal of Functional Nutrition
      • International Journal of Functional Nutrition
      • Information for Authors
      • Editorial Policies
      • Editorial Board
      • Aims and Scope
      • Abstracting and Indexing
      • Bibliographic Information
      • Archive
    • International Journal of Epigenetics
      • International Journal of Epigenetics
      • Information for Authors
      • Editorial Policies
      • Editorial Board
      • Aims and Scope
      • Abstracting and Indexing
      • Bibliographic Information
      • Archive
    • Medicine International
      • Medicine International
      • Information for Authors
      • Editorial Policies
      • Editorial Board
      • Aims and Scope
      • Abstracting and Indexing
      • Bibliographic Information
      • Archive
  • Articles
  • Information
    • Information for Authors
    • Information for Reviewers
    • Information for Librarians
    • Information for Advertisers
    • Conferences
  • Language Editing
Spandidos Publications Logo
  • About
    • About Spandidos
    • Aims and Scopes
    • Abstracting and Indexing
    • Editorial Policies
    • Reprints and Permissions
    • Job Opportunities
    • Terms and Conditions
    • Contact
  • Journals
    • All Journals
    • Biomedical Reports
      • Information for Authors
      • Editorial Policies
      • Editorial Board
      • Aims and Scope
      • Abstracting and Indexing
      • Bibliographic Information
      • Archive
    • Experimental and Therapeutic Medicine
      • Information for Authors
      • Editorial Policies
      • Editorial Board
      • Aims and Scope
      • Abstracting and Indexing
      • Bibliographic Information
      • Archive
    • International Journal of Epigenetics
      • Information for Authors
      • Editorial Policies
      • Editorial Board
      • Aims and Scope
      • Abstracting and Indexing
      • Bibliographic Information
      • Archive
    • International Journal of Functional Nutrition
      • Information for Authors
      • Editorial Policies
      • Editorial Board
      • Aims and Scope
      • Abstracting and Indexing
      • Bibliographic Information
      • Archive
    • International Journal of Molecular Medicine
      • Information for Authors
      • Editorial Policies
      • Editorial Board
      • Aims and Scope
      • Abstracting and Indexing
      • Bibliographic Information
      • Archive
    • International Journal of Oncology
      • Information for Authors
      • Editorial Policies
      • Editorial Board
      • Aims and Scope
      • Abstracting and Indexing
      • Bibliographic Information
      • Archive
    • Medicine International
      • Information for Authors
      • Editorial Policies
      • Editorial Board
      • Aims and Scope
      • Abstracting and Indexing
      • Bibliographic Information
      • Archive
    • Molecular and Clinical Oncology
      • Information for Authors
      • Editorial Policies
      • Editorial Board
      • Aims and Scope
      • Abstracting and Indexing
      • Bibliographic Information
      • Archive
    • Molecular Medicine Reports
      • Information for Authors
      • Editorial Policies
      • Editorial Board
      • Aims and Scope
      • Abstracting and Indexing
      • Bibliographic Information
      • Archive
    • Oncology Letters
      • Information for Authors
      • Editorial Policies
      • Editorial Board
      • Aims and Scope
      • Abstracting and Indexing
      • Bibliographic Information
      • Archive
    • Oncology Reports
      • Information for Authors
      • Editorial Policies
      • Editorial Board
      • Aims and Scope
      • Abstracting and Indexing
      • Bibliographic Information
      • Archive
    • World Academy of Sciences Journal
      • Information for Authors
      • Editorial Policies
      • Editorial Board
      • Aims and Scope
      • Abstracting and Indexing
      • Bibliographic Information
      • Archive
  • Articles
  • Information
    • For Authors
    • For Reviewers
    • For Librarians
    • For Advertisers
    • Conferences
  • Language Editing
Login Register Submit
  • This site uses cookies
  • You can change your cookie settings at any time by following the instructions in our Cookie Policy. To find out more, you may read our Privacy Policy.

    I agree
Search articles by DOI, keyword, author or affiliation
Search
Advanced Search
presentation
Experimental and Therapeutic Medicine
Join Editorial Board Propose a Special Issue
Print ISSN: 1792-0981 Online ISSN: 1792-1015
Journal Cover
May-2025 Volume 29 Issue 5

Full Size Image

Sign up for eToc alerts
Recommend to Library

Journals

International Journal of Molecular Medicine

International Journal of Molecular Medicine

International Journal of Molecular Medicine is an international journal devoted to molecular mechanisms of human disease.

International Journal of Oncology

International Journal of Oncology

International Journal of Oncology is an international journal devoted to oncology research and cancer treatment.

Molecular Medicine Reports

Molecular Medicine Reports

Covers molecular medicine topics such as pharmacology, pathology, genetics, neuroscience, infectious diseases, molecular cardiology, and molecular surgery.

Oncology Reports

Oncology Reports

Oncology Reports is an international journal devoted to fundamental and applied research in Oncology.

Experimental and Therapeutic Medicine

Experimental and Therapeutic Medicine

Experimental and Therapeutic Medicine is an international journal devoted to laboratory and clinical medicine.

Oncology Letters

Oncology Letters

Oncology Letters is an international journal devoted to Experimental and Clinical Oncology.

Biomedical Reports

Biomedical Reports

Explores a wide range of biological and medical fields, including pharmacology, genetics, microbiology, neuroscience, and molecular cardiology.

Molecular and Clinical Oncology

Molecular and Clinical Oncology

International journal addressing all aspects of oncology research, from tumorigenesis and oncogenes to chemotherapy and metastasis.

World Academy of Sciences Journal

World Academy of Sciences Journal

Multidisciplinary open-access journal spanning biochemistry, genetics, neuroscience, environmental health, and synthetic biology.

International Journal of Functional Nutrition

International Journal of Functional Nutrition

Open-access journal combining biochemistry, pharmacology, immunology, and genetics to advance health through functional nutrition.

International Journal of Epigenetics

International Journal of Epigenetics

Publishes open-access research on using epigenetics to advance understanding and treatment of human disease.

Medicine International

Medicine International

An International Open Access Journal Devoted to General Medicine.

Journal Cover
May-2025 Volume 29 Issue 5

Full Size Image

Sign up for eToc alerts
Recommend to Library

  • Article
  • Citations
    • Cite This Article
    • Download Citation
    • Create Citation Alert
    • Remove Citation Alert
    • Cited By
  • Similar Articles
    • Related Articles (in Spandidos Publications)
    • Similar Articles (Google Scholar)
    • Similar Articles (PubMed)
  • Download PDF
  • Download XML
  • View XML
Case Report Open Access

Diagnosis and management of oesophageal granular cell tumour: A case report

  • Authors:
    • Rui Jian
    • Yanqing Shi
    • Ting Li
    • Nanhao Zhou
    • Xijin Wang
    • Shan Li
  • View Affiliations / Copyright

    Affiliations: Jiangxi Provincial Key Laboratory of Cell Precision Therapy, School of Basic Medical Sciences, Jiujiang University, Jiujiang, Jiangxi 332005, P.R. China, Department of Gastroenterology, Affiliated Hospital of Jiujiang University, Jiujiang, Jiangxi 332005, P.R. China, Department of Pathology, Affiliated Hospital of Jiujiang University, Jiujiang, Jiangxi 332005, P.R. China
    Copyright: © Jian et al. This is an open access article distributed under the terms of Creative Commons Attribution License.
  • Article Number: 92
    |
    Published online on: March 11, 2025
       https://doi.org/10.3892/etm.2025.12842
  • Expand metrics +
Metrics: Total Views: 0 (Spandidos Publications: | PMC Statistics: )
Metrics: Total PDF Downloads: 0 (Spandidos Publications: | PMC Statistics: )
Cited By (CrossRef): 0 citations Loading Articles...

This article is mentioned in:



Abstract

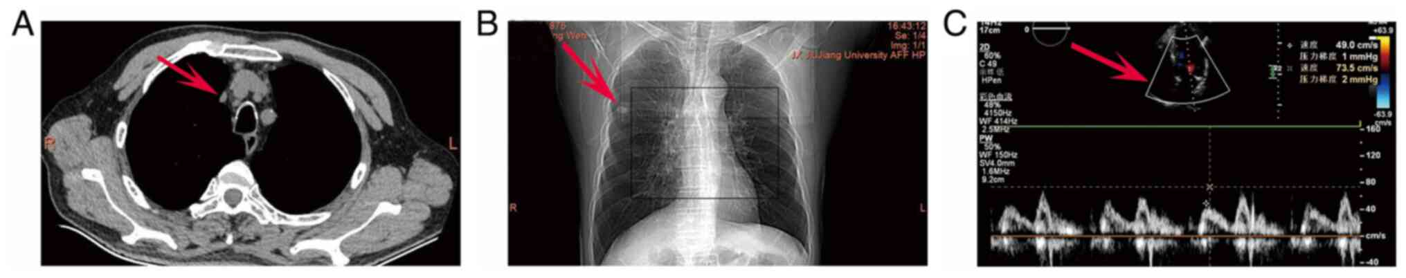
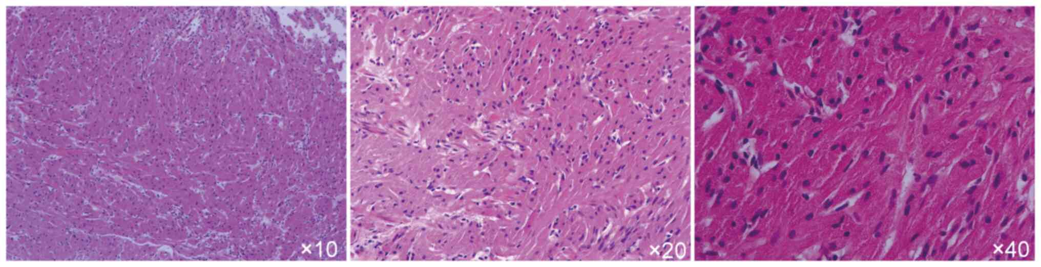
Granular cell tumours (GCTs) are rare and typically benign neoplasms that can arise in various parts of the body, including the oesophagus. These tumours are considered to originate from Schwann cells and are characterized by their granular cytoplasm. Oesophageal GCTs (EGCTs) are particularly uncommon and often present with non‑specific symptoms, making their diagnosis challenging. The present case report documents the case of a 68‑year‑old male patient who was admitted to the Affiliated Hospital of Jiujiang University (Jiujiang, China) after the incidental discovery of a submucosal oesophageal mass during a routine health examination. Upon diagnostic evaluation, including endoscopy and histopathological analysis, an EGCT was identified. Endoscopic ultrasonography revealed submucosal protrusion of the lower oesophagus, where endoscopic submucosal dissection (ESD) was subsequently performed. Histopathological staining and immunohistochemistry (IHC) indicated the presence of a GCT with positivity for S‑100. The patient successfully underwent ESD without any complications. Although EGCTs are typically benign, they have the potential for malignant transformation and therefore require careful evaluation. The present case highlights the importance of differentiating EGCTs from other submucosal oesophageal lesions through histological and IHC methods. In particular, early detection and appropriate management are crucial for optimal patient outcomes. In conclusion, EGCT is a rare entity with a generally favourable prognosis when detected early. The present case underscores the importance of considering EGCTs in the differential diagnosis of oesophageal submucosal lesions and outlines the role of endoscopic and histopathological evaluation in their management.
View Figures

Figure 1

Figure 2

Figure 3

Figure 4

Figure 5

View References

1 

Ryu DG, Choi CW, Kim SJ, Hwang CS, Kang DH, Kim HW, Park SB and Son BS: Clinical outcomes of esophageal granular cell tumors with different endoscopic resection methods. Sci Rep. 13(10738)2023.PubMed/NCBI View Article : Google Scholar

2 

Lu W, Xu MD, Zhou PH, Zhang YQ, Chen WF, Zhong YS and Yao LQ: Endoscopic submucosal dissection of esophageal granular cell tumor. World J Surg Oncol. 12(221)2014.PubMed/NCBI View Article : Google Scholar

3 

Shibagaki K, Ishimura N and Kinoshita Y: Endoscopic submucosal dissection for duodenal tumors. Ann Transl Med. 5(188)2017.PubMed/NCBI View Article : Google Scholar

4 

Dogom SA, Thongpiya J, Elmassry M, Feist M, Sharma M and Rateb G: Successful endoscopic submucosal dissection of an esophageal granular cell tumor in a pediatric patient: A case report and a therapeutic insight. JPGN Rep. 5:384–388. 2024.PubMed/NCBI View Article : Google Scholar

5 

Tipirneni K, Mehl A, Bowman B and Joshi V: Esophageal granular cell tumor: A benign tumor or an insidious cause for concern? Ochsner J. 16:558–561. 2016.PubMed/NCBI

6 

Wang HQ and Liu AJ: Esophageal granular cell tumors: Case report and literature review. World J Gastrointest Oncol. 7:123–127. 2015.PubMed/NCBI View Article : Google Scholar

7 

Benchekroun Z, Akammar A, Bennani H, Haloua M, Lamrani YA, Boubbou M, Chbani L, Maâroufi M and Alami B: Atypical esophageal granular cell tumor: Case report. Radiol Case Rep. 16:3995–3999. 2021.PubMed/NCBI View Article : Google Scholar

8 

Barat M, Pellat A, Dohan A, Hoeffel C, Coriat R and Soyer P: CT and MRI of gastrointestinal stromal tumors: New trends and perspectives. Can Assoc Radiol J. 75:107–117. 2024.PubMed/NCBI View Article : Google Scholar

9 

Çolak S, Gürbulak B, Çelik G, Bektaş H and Dursun N: Gastrointestinal tract schwannomas and brief review of literature. Turk J Surg. 37:408–412. 2021.PubMed/NCBI View Article : Google Scholar

10 

Riffle ME, Polydorides AD, Niakan J and Chehade M: Eosinophilic esophagitis and esophageal granular cell tumor: An unexpected association. Am J Surg Pathol. 41:616–621. 2017.PubMed/NCBI View Article : Google Scholar

11 

Malik F, Bernieh A and Saad AG: Esophageal granular cell tumor in children: A clinicopathologic study of 11 cases and review of the literature. Am J Clin Pathol. 160:106–112. 2023.PubMed/NCBI View Article : Google Scholar

12 

Yu-Fong Chang J, Hwang MJ, Sun A and Chiang CP: Granular cell tumor: Case report. J Dent Sci. 16:1018–1019. 2021.PubMed/NCBI View Article : Google Scholar

13 

Stefansson K and Wollmann RL: S-100 protein in granular cell tumors. (Granular cell myoblastomas). Cancer. 49:1834–1838. 1982.PubMed/NCBI View Article : Google Scholar

14 

Zhong N, Katzka DA, Smyrk TC, Wang KK and Topazian M: Endoscopic diagnosis and resection of esophageal granular cell tumors. Dis Esophagus. 24:538–543. 2011.PubMed/NCBI View Article : Google Scholar

15 

Stašek M, Aujeský R, Škarda J, Švébišová H, Vrba R, Szkorupa M and Neoral C: Malignant granular cell tumor of the esophagus: A case report. Ann Thorac Cardiovasc Surg. 26:359–364. 2020.PubMed/NCBI View Article : Google Scholar

16 

Menon L and Buscaglia JM: Endoscopic approach to subepithelial lesions. Therap Adv Gastroenterol. 7:123–130. 2014.PubMed/NCBI View Article : Google Scholar

17 

Solomon LW and Velez I: S-100 negative granular cell tumor of the oral cavity. Head Neck Pathol. 10:367–373. 2016.PubMed/NCBI View Article : Google Scholar

18 

Chelliah A, Kalimuthu S, Szentgyorgyi E and Chetty R: Granular cell tumour of the colon with extensive sclerosis. Diagn Histopathol. 22:279–281. 2016.

19 

Wei J, Wang D, Zhang R and Xu C: Granular cell tumor of the ampulla of Vater: Report of a unique case with emphasis on immunohistochemistry for TFE3 antigen expression. Int J Clin Exp Pathol. 9:318–323. 2016.

20 

Ding CKC, Chan S, Mak J, Umetsu SE, Simko JP, Ruiz-Cordero R, Saunders T and Chan E: An exploration in pitfalls in interpreting SDHB immunohistochemistry. Histopathology. 81:264–269. 2022.PubMed/NCBI View Article : Google Scholar

21 

Ferreira JCB, Oton-Leite AF, Guidi R and Mendonça EF: Granular cell tumor mimicking a squamous cell carcinoma of the tongue: A case report. BMC Res Notes. 10(14)2017.PubMed/NCBI View Article : Google Scholar

22 

Chrysomali E, Nikitakis NG, Tosios K, Sauk JJ and Papanicolaou SI: Immunohistochemical evaluation of cell proliferation antigen Ki-67 and apoptosis-related proteins Bcl-2 and caspase-3 in oral granular cell tumor. Oral Surg Oral Med Oral Pathol Oral Radiol Endod. 96:566–572. 2003.PubMed/NCBI View Article : Google Scholar

23 

Duvuru S, Sanker V, Pandit D, Khan S, Alebrahim S and Dave T: Granular cell tumor of the brain: Case report and review of literature. J Surg Case Rep. 2023(rjad701)2023.PubMed/NCBI View Article : Google Scholar

24 

Matsuzawa N, Nishikawa T, Ohno R, Inoue M, Nishimura Y, Okamoto T, Shimizu T, Shinagawa T, Nishizawa Y and Kazama S: Paraganglioma of the urinary bladder initially diagnosed as gastrointestinal stromal tumor requiring combined resection of the rectum: A case report. World J Surg Oncol. 20(185)2022.PubMed/NCBI View Article : Google Scholar

25 

Gagliardi F, Spina A, Barzaghi LR, Bailo M, Losa M, Terreni MR and Mortini P: Suprasellar granular cell tumor of the neurohypophysis: Surgical outcome of a very rare tumor. Pituitary. 19:277–285. 2016.PubMed/NCBI View Article : Google Scholar

26 

Koizumi E, Goto O, Nakagome S, Habu T, Ishikawa Y, Kirita K, Noda H, Higuchi K, Onda T, Akimoto T, et al: Technical outcomes and postprocedural courses of mucosal incision-assisted biopsy for possible gastric gastrointestinal stromal tumors: A series of 48 cases (with video). DEN Open. 4(e264)2023.PubMed/NCBI View Article : Google Scholar

27 

Krutsri C, Iwai T, Kida M, Imaizumi H, Kawano T, Tadehara M, Watanabe M, Okuwaki K, Yamauchi H and Wasaburo K: Pancreatic granular cell tumor diagnosed by endoscopic ultrasound-guided fine needle aspiration biopsy. Clin J Gastroenterol. 12:347–354. 2019.PubMed/NCBI View Article : Google Scholar

28 

Inokuchi Y, Watanabe M, Hayashi K, Kaneta Y, Furuta M, Machida N and Maeda S: A case of esophageal granular cell tumor diagnosed by mucosal incision-assisted biopsy. Clin J Gastroenterol. 15:53–58. 2022.PubMed/NCBI View Article : Google Scholar

29 

Finnegan DK, Cartoceti AN, Hauck AM and LaDouceur EEB: Meningeal granular cell tumour in a green tree python (morelia viridis). J Comp Pathol. 174:54–57. 2020.PubMed/NCBI View Article : Google Scholar

30 

Yamada S, Katayama Y, Fujimoto Y, Kobori I, Kusano Y, Soga K, Sato T, Matsushima J, Ban S and Tamano M: A case of a granular cell tumor arising in a patient with long-segment Barrett's esophagus. Intern Med. 64:557–561. 2025.PubMed/NCBI View Article : Google Scholar

31 

Martin-Broto J, Martinez-Marín V, Serrano C, Hindi N, López-Guerrero JA, Bisculoa M, Ramos-Asensio R, Vallejo-Benítez A, Marcilla-Plaza D and González-Cámpora R: Gastrointestinal stromal tumors (GISTs): SEAP-SEOM consensus on pathologic and molecular diagnosis. Clin Transl Oncol. 19:536–545. 2017.PubMed/NCBI View Article : Google Scholar

32 

Saito R, Chambers JK and Uchida K: Immunohistochemical study of autophagy associated molecules and cell adhesion molecules in canine intracranial granular cell tumors. J Vet Med Sci. 84:1474–1479. 2022.PubMed/NCBI View Article : Google Scholar

33 

Zhang M, Sun ZQ and Zou XP: Esophageal granular cell tumor: Clinical, endoscopic and histological features of 19 cases. Oncol Lett. 8:551–555. 2014.PubMed/NCBI View Article : Google Scholar

34 

Maekawa H, Maekawa T, Yabuki K, Sato K, Tamazaki Y, Kudo K, Wada R and Matsumoto M: Multiple esophagogastric granular cell tumors. J Gastroenterol. 38:776–780. 2003.PubMed/NCBI View Article : Google Scholar

35 

Lazǎr D, Tǎban S, Sporea I, Dema A, Cornianu M, Lazăr E, Goldiş A and Vernic C: Ki-67 expression in gastric cancer. Results from a prospective study with long-term follow-up. Rom J Morphol Embryol. 51:655–661. 2010.PubMed/NCBI

36 

Sun X and Kaufman PD: Ki-67: More than a proliferation marker. Chromosoma. 127:175–186. 2018.PubMed/NCBI View Article : Google Scholar

37 

Ocal I, Avci A, Cakalagaoglu F and Can H: Lack of correlations among histopathological parameters, Ki-67 proliferation index and prognosis in pheochromocytoma patients. Asian Pac J Cancer Prev. 15:1751–1755. 2014.PubMed/NCBI View Article : Google Scholar

38 

Graefe C, Eichhorn L, Wurst P, Kleiner J, Heine A, Panetas I, Abdulla Z, Hoeft A, Frede S, Kurts C, et al: Optimized Ki-67 staining in murine cells: A tool to determine cell proliferation. Mol Biol Rep. 46:4631–4643. 2019.PubMed/NCBI View Article : Google Scholar

39 

Trinidad CM, Wangsiricharoen S, Prieto VG and Aung PP: Rare variants of dermatofibrosarcoma protuberans: Clinical, histologic, and molecular features and diagnostic pitfalls. Dermatopathology (Basel). 10:54–62. 2023.PubMed/NCBI View Article : Google Scholar

40 

Sandeford J, Anderson L, Burling M and Carter J: Vulvar granular cell tumour in a recently post-partum woman: A case report. Eur J Gynaecol Oncol. 43:96–100. 2022.

41 

Fahim S, Aryanian Z, Ebrahimi Z, Kamyab-Hesari K, Mahmoudi H, Alizadeh N, Heidari N, Livani F, Ghanadan A and Goodarzi A: Cutaneous granular cell tumor: A case series, review, and update. J Family Med Prim Care. 11:6955–6958. 2022.PubMed/NCBI View Article : Google Scholar

42 

Okada M, Kitaoka M, Sakaeda H, Aono R, Satake T, Ohkawa Y, Umeshita J, Yano K, Tashima M and Nakashima J: A case report of esophageal granular cell tumor complicated with esophageal intramural pseudodiverticulosis successfully resected by ESD. Gastroenterol Endosc. 66:29–35. 2024.

43 

Takaya H, Kawaratani H, Kaneko M, Takeda S, Sawada Y, Kitade M, Moriya K, Namisaki T, Sawai M, Mitoro A, et al: Gastric granular cell tumor in a youth excised by endoscopic submucosal dissection: A case report and literature review. Acta Gastroenterol Belg. 80:317–319. 2017.PubMed/NCBI

44 

Li QL, Zhang YQ, Chen WF, Xu MD, Zhong YS, Ma LL, Qin WZ, Hu JW, Cai MY, Yao LQ and Zhou PH: Endoscopic submucosal dissection for foregut neuroendocrine tumors: An initial study. World J Gastroenterol. 18:5799–5806. 2012.PubMed/NCBI View Article : Google Scholar

45 

Sarker S, Gutierrez JP, Council L, Brazelton JD, Kyanam Kabir Baig KR and Mönkemüller K: Over-the-scope clip-assisted method for resection of full-thickness submucosal lesions of the gastrointestinal tract. Endoscopy. 46:758–761. 2014.PubMed/NCBI View Article : Google Scholar

46 

Kono Y, Hirata I, Katayama T, Uemura H, Hirata T, Gotoda T, Miyahara K, Moritou Y and Nakagawa M: Current evidence and issues of endoscopic submucosal dissection for gastric neoplasms during antithrombotic therapy. Clin J Gastroenterol. 13:650–659. 2020.PubMed/NCBI View Article : Google Scholar

47 

Fan X, Jiao J, Luo L, Zhu L, Zheng Z, Chen X, Wang T, Liu W and Wang B: Role of endoscopic ultrasound and endoscopic resection in the diagnosis and treatment of esophageal granular cell tumors. Scand J Gastroenterol. 57:1264–1271. 2022.PubMed/NCBI View Article : Google Scholar

Related Articles

  • Abstract
  • View
  • Download
  • Twitter
Copy and paste a formatted citation
Spandidos Publications style
Jian R, Shi Y, Li T, Zhou N, Wang X and Li S: Diagnosis and management of oesophageal granular cell tumour: A case report. Exp Ther Med 29: 92, 2025.
APA
Jian, R., Shi, Y., Li, T., Zhou, N., Wang, X., & Li, S. (2025). Diagnosis and management of oesophageal granular cell tumour: A case report. Experimental and Therapeutic Medicine, 29, 92. https://doi.org/10.3892/etm.2025.12842
MLA
Jian, R., Shi, Y., Li, T., Zhou, N., Wang, X., Li, S."Diagnosis and management of oesophageal granular cell tumour: A case report". Experimental and Therapeutic Medicine 29.5 (2025): 92.
Chicago
Jian, R., Shi, Y., Li, T., Zhou, N., Wang, X., Li, S."Diagnosis and management of oesophageal granular cell tumour: A case report". Experimental and Therapeutic Medicine 29, no. 5 (2025): 92. https://doi.org/10.3892/etm.2025.12842
Copy and paste a formatted citation
x
Spandidos Publications style
Jian R, Shi Y, Li T, Zhou N, Wang X and Li S: Diagnosis and management of oesophageal granular cell tumour: A case report. Exp Ther Med 29: 92, 2025.
APA
Jian, R., Shi, Y., Li, T., Zhou, N., Wang, X., & Li, S. (2025). Diagnosis and management of oesophageal granular cell tumour: A case report. Experimental and Therapeutic Medicine, 29, 92. https://doi.org/10.3892/etm.2025.12842
MLA
Jian, R., Shi, Y., Li, T., Zhou, N., Wang, X., Li, S."Diagnosis and management of oesophageal granular cell tumour: A case report". Experimental and Therapeutic Medicine 29.5 (2025): 92.
Chicago
Jian, R., Shi, Y., Li, T., Zhou, N., Wang, X., Li, S."Diagnosis and management of oesophageal granular cell tumour: A case report". Experimental and Therapeutic Medicine 29, no. 5 (2025): 92. https://doi.org/10.3892/etm.2025.12842
Follow us
  • Twitter
  • LinkedIn
  • Facebook
About
  • Spandidos Publications
  • Careers
  • Cookie Policy
  • Privacy Policy
How can we help?
  • Help
  • Live Chat
  • Contact
  • Email to our Support Team