Spandidos Publications Logo
  • About
    • About Spandidos
    • Aims and Scopes
    • Abstracting and Indexing
    • Editorial Policies
    • Reprints and Permissions
    • Job Opportunities
    • Terms and Conditions
    • Contact
  • Journals
    • All Journals
    • Oncology Letters
      • Oncology Letters
      • Information for Authors
      • Editorial Policies
      • Editorial Board
      • Aims and Scope
      • Abstracting and Indexing
      • Bibliographic Information
      • Archive
    • International Journal of Oncology
      • International Journal of Oncology
      • Information for Authors
      • Editorial Policies
      • Editorial Board
      • Aims and Scope
      • Abstracting and Indexing
      • Bibliographic Information
      • Archive
    • Molecular and Clinical Oncology
      • Molecular and Clinical Oncology
      • Information for Authors
      • Editorial Policies
      • Editorial Board
      • Aims and Scope
      • Abstracting and Indexing
      • Bibliographic Information
      • Archive
    • Experimental and Therapeutic Medicine
      • Experimental and Therapeutic Medicine
      • Information for Authors
      • Editorial Policies
      • Editorial Board
      • Aims and Scope
      • Abstracting and Indexing
      • Bibliographic Information
      • Archive
    • International Journal of Molecular Medicine
      • International Journal of Molecular Medicine
      • Information for Authors
      • Editorial Policies
      • Editorial Board
      • Aims and Scope
      • Abstracting and Indexing
      • Bibliographic Information
      • Archive
    • Biomedical Reports
      • Biomedical Reports
      • Information for Authors
      • Editorial Policies
      • Editorial Board
      • Aims and Scope
      • Abstracting and Indexing
      • Bibliographic Information
      • Archive
    • Oncology Reports
      • Oncology Reports
      • Information for Authors
      • Editorial Policies
      • Editorial Board
      • Aims and Scope
      • Abstracting and Indexing
      • Bibliographic Information
      • Archive
    • Molecular Medicine Reports
      • Molecular Medicine Reports
      • Information for Authors
      • Editorial Policies
      • Editorial Board
      • Aims and Scope
      • Abstracting and Indexing
      • Bibliographic Information
      • Archive
    • World Academy of Sciences Journal
      • World Academy of Sciences Journal
      • Information for Authors
      • Editorial Policies
      • Editorial Board
      • Aims and Scope
      • Abstracting and Indexing
      • Bibliographic Information
      • Archive
    • International Journal of Functional Nutrition
      • International Journal of Functional Nutrition
      • Information for Authors
      • Editorial Policies
      • Editorial Board
      • Aims and Scope
      • Abstracting and Indexing
      • Bibliographic Information
      • Archive
    • International Journal of Epigenetics
      • International Journal of Epigenetics
      • Information for Authors
      • Editorial Policies
      • Editorial Board
      • Aims and Scope
      • Abstracting and Indexing
      • Bibliographic Information
      • Archive
    • Medicine International
      • Medicine International
      • Information for Authors
      • Editorial Policies
      • Editorial Board
      • Aims and Scope
      • Abstracting and Indexing
      • Bibliographic Information
      • Archive
  • Articles
  • Information
    • Information for Authors
    • Information for Reviewers
    • Information for Librarians
    • Information for Advertisers
    • Conferences
  • Language Editing
Spandidos Publications Logo
  • About
    • About Spandidos
    • Aims and Scopes
    • Abstracting and Indexing
    • Editorial Policies
    • Reprints and Permissions
    • Job Opportunities
    • Terms and Conditions
    • Contact
  • Journals
    • All Journals
    • Biomedical Reports
      • Information for Authors
      • Editorial Policies
      • Editorial Board
      • Aims and Scope
      • Abstracting and Indexing
      • Bibliographic Information
      • Archive
    • Experimental and Therapeutic Medicine
      • Information for Authors
      • Editorial Policies
      • Editorial Board
      • Aims and Scope
      • Abstracting and Indexing
      • Bibliographic Information
      • Archive
    • International Journal of Epigenetics
      • Information for Authors
      • Editorial Policies
      • Editorial Board
      • Aims and Scope
      • Abstracting and Indexing
      • Bibliographic Information
      • Archive
    • International Journal of Functional Nutrition
      • Information for Authors
      • Editorial Policies
      • Editorial Board
      • Aims and Scope
      • Abstracting and Indexing
      • Bibliographic Information
      • Archive
    • International Journal of Molecular Medicine
      • Information for Authors
      • Editorial Policies
      • Editorial Board
      • Aims and Scope
      • Abstracting and Indexing
      • Bibliographic Information
      • Archive
    • International Journal of Oncology
      • Information for Authors
      • Editorial Policies
      • Editorial Board
      • Aims and Scope
      • Abstracting and Indexing
      • Bibliographic Information
      • Archive
    • Medicine International
      • Information for Authors
      • Editorial Policies
      • Editorial Board
      • Aims and Scope
      • Abstracting and Indexing
      • Bibliographic Information
      • Archive
    • Molecular and Clinical Oncology
      • Information for Authors
      • Editorial Policies
      • Editorial Board
      • Aims and Scope
      • Abstracting and Indexing
      • Bibliographic Information
      • Archive
    • Molecular Medicine Reports
      • Information for Authors
      • Editorial Policies
      • Editorial Board
      • Aims and Scope
      • Abstracting and Indexing
      • Bibliographic Information
      • Archive
    • Oncology Letters
      • Information for Authors
      • Editorial Policies
      • Editorial Board
      • Aims and Scope
      • Abstracting and Indexing
      • Bibliographic Information
      • Archive
    • Oncology Reports
      • Information for Authors
      • Editorial Policies
      • Editorial Board
      • Aims and Scope
      • Abstracting and Indexing
      • Bibliographic Information
      • Archive
    • World Academy of Sciences Journal
      • Information for Authors
      • Editorial Policies
      • Editorial Board
      • Aims and Scope
      • Abstracting and Indexing
      • Bibliographic Information
      • Archive
  • Articles
  • Information
    • For Authors
    • For Reviewers
    • For Librarians
    • For Advertisers
    • Conferences
  • Language Editing
Login Register Submit
  • This site uses cookies
  • You can change your cookie settings at any time by following the instructions in our Cookie Policy. To find out more, you may read our Privacy Policy.

    I agree
Search articles by DOI, keyword, author or affiliation
Search
Advanced Search
presentation
Experimental and Therapeutic Medicine
Join Editorial Board Propose a Special Issue
Print ISSN: 1792-0981 Online ISSN: 1792-1015
Journal Cover
May-2025 Volume 29 Issue 5

Full Size Image

Sign up for eToc alerts
Recommend to Library

Journals

International Journal of Molecular Medicine

International Journal of Molecular Medicine

International Journal of Molecular Medicine is an international journal devoted to molecular mechanisms of human disease.

International Journal of Oncology

International Journal of Oncology

International Journal of Oncology is an international journal devoted to oncology research and cancer treatment.

Molecular Medicine Reports

Molecular Medicine Reports

Covers molecular medicine topics such as pharmacology, pathology, genetics, neuroscience, infectious diseases, molecular cardiology, and molecular surgery.

Oncology Reports

Oncology Reports

Oncology Reports is an international journal devoted to fundamental and applied research in Oncology.

Experimental and Therapeutic Medicine

Experimental and Therapeutic Medicine

Experimental and Therapeutic Medicine is an international journal devoted to laboratory and clinical medicine.

Oncology Letters

Oncology Letters

Oncology Letters is an international journal devoted to Experimental and Clinical Oncology.

Biomedical Reports

Biomedical Reports

Explores a wide range of biological and medical fields, including pharmacology, genetics, microbiology, neuroscience, and molecular cardiology.

Molecular and Clinical Oncology

Molecular and Clinical Oncology

International journal addressing all aspects of oncology research, from tumorigenesis and oncogenes to chemotherapy and metastasis.

World Academy of Sciences Journal

World Academy of Sciences Journal

Multidisciplinary open-access journal spanning biochemistry, genetics, neuroscience, environmental health, and synthetic biology.

International Journal of Functional Nutrition

International Journal of Functional Nutrition

Open-access journal combining biochemistry, pharmacology, immunology, and genetics to advance health through functional nutrition.

International Journal of Epigenetics

International Journal of Epigenetics

Publishes open-access research on using epigenetics to advance understanding and treatment of human disease.

Medicine International

Medicine International

An International Open Access Journal Devoted to General Medicine.

Journal Cover
May-2025 Volume 29 Issue 5

Full Size Image

Sign up for eToc alerts
Recommend to Library

  • Article
  • Citations
    • Cite This Article
    • Download Citation
    • Create Citation Alert
    • Remove Citation Alert
    • Cited By
  • Similar Articles
    • Related Articles (in Spandidos Publications)
    • Similar Articles (Google Scholar)
    • Similar Articles (PubMed)
  • Download PDF
  • Download XML
  • View XML
Case Report Open Access

Kartagener syndrome combined with small cell lung cancer: A case report and literature review

  • Authors:
    • Jinhua Zhou
    • Lei Wang
    • Cuixia Bian
    • Jianlong Miao
    • Liping Han
    • Congcong Qi
  • View Affiliations / Copyright

    Affiliations: Department of Pulmonary and Critical Care Medicine, Jining No. 1 People's Hospital, Jining, Shandong 272000, P.R. China
    Copyright: © Zhou et al. This is an open access article distributed under the terms of Creative Commons Attribution License.
  • Article Number: 98
    |
    Published online on: March 17, 2025
       https://doi.org/10.3892/etm.2025.12848
  • Expand metrics +
Metrics: Total Views: 0 (Spandidos Publications: | PMC Statistics: )
Metrics: Total PDF Downloads: 0 (Spandidos Publications: | PMC Statistics: )
Cited By (CrossRef): 0 citations Loading Articles...

This article is mentioned in:



Abstract

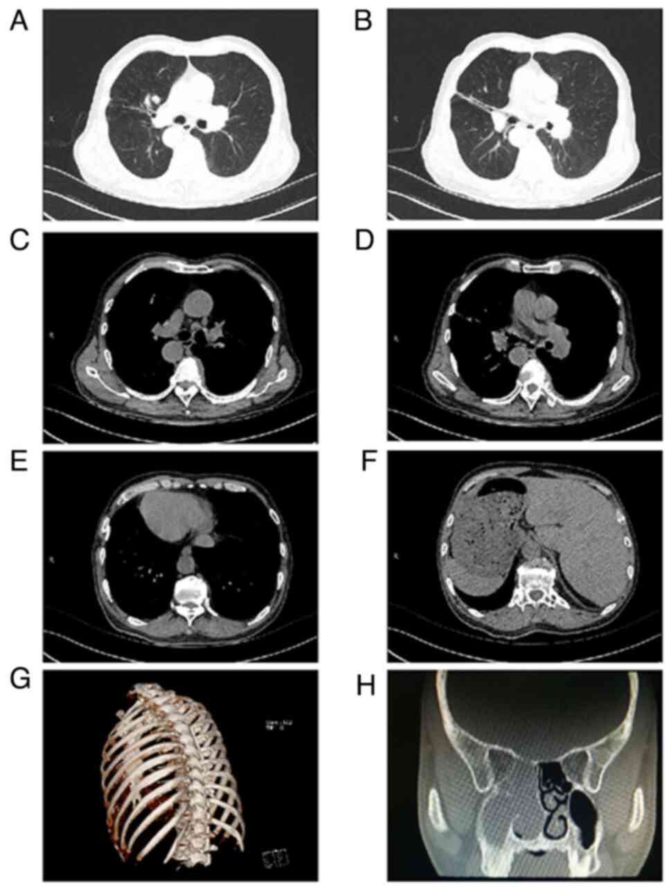
Kartagener syndrome (KS) is a rare autosomal recessive genetic disease characterized by visceral inversion, sinusitis and bronchiectasis. Small‑cell lung cancer, a common tumor with poor prognosis, rarely coexists with KS. The lack of typical clinical symptoms can lead to missed or incorrect diagnoses, and to date, only few cases of this combination have been reported. The current study presents a case of KS with small cell lung cancer that was promptly diagnosed and treated at Jining No. 1 People's Hospital (Jining, China). Sharing this case may contribute to the advancement of respiratory medicine and aid doctors in the diagnosis and management of similar conditions.
View Figures

Figure 1

Figure 2

Figure 3

Figure 4

View References

1 

Kartagener M: Zur Pathogenese der Bronchiedtasien. I. Mitte lung Bron chiektasien bei Situs viscerum inversus. Beitr Klin Tuberk. 83:489–501. 1933.

2 

Pedersen H and Mygind N: Absence of axonemal arms in nasal mucosa cilia in Kartagener's syndrome. Nature. 5:494–495. 1976.PubMed/NCBI View Article : Google Scholar

3 

Sleigh MA: Ciliary function in mucus transport. Chest. 80 (Suppl 6):S791–S795. 1981.PubMed/NCBI

4 

Torre LA, Siegel RL and Jemal A: Lung cancer statistics. Adv Exp Med Biol. 893:1–19. 2016.PubMed/NCBI View Article : Google Scholar

5 

Schnipper LE, Davidson NE, Wollins DS, Tyne C, Blayney DW, Blum D, Dicker AP, Ganz PA, Hoverman JR, Langdon R, et al: American Society of Clinical Oncology Statement: A conceptual framework to assess the value of cancer treatment options. J Clin Oncol. 33:2563–2577. 2015.PubMed/NCBI View Article : Google Scholar

6 

Zhi X, Shi Y and Yu J: Standards for the diagnosis and treatment of primary lung cancer (2015 version) in China. Zhonghua Zhong Liu Za Zhi. 37:67–78. 2015.PubMed/NCBI(In Chinese).

7 

Schwartz LH, Litière S, de Vries E, Ford R, Gwyther S, Mandrekar S, Shankar L, Bogaerts J, Chen A, Dancey J, et al: RECIST 1.1-update and clarification: From the RECIST committee. Eur J Cancer. 62:132–137. 2016.PubMed/NCBI View Article : Google Scholar

8 

Horie M, Arai H, Noguchi S, Suzuki M, Sakamoto Y and Oka T: Kartagener syndrome with lung cancer and mediastinal tumor. Nihon Kokyuki Gakkai Zasshi. 48:375–378. 2010.PubMed/NCBI(In Japanese).

9 

Zhou D, Tian Y, Lu Y and Yang X: Anatomical variants of pulmonary segments and uni-portal thoracoscopic segmentectomy for lung cancer in a patient with Kartagener syndrome: A case report. Gen Thorac Cardiovasc Surg. 69:1432–1437. 2021.PubMed/NCBI View Article : Google Scholar

10 

Zhang J, Xiao Y, Bai M and Bian J: A rare case of Kartagener syndrome combined with lung cancer. Asian J Surg. 46:4801–4802. 2023.PubMed/NCBI View Article : Google Scholar

11 

Ibrahim R and Daood H: Kartagener syndrome: A case report. Can J Respir Ther. 57:44–48. 2021.PubMed/NCBI View Article : Google Scholar

12 

Tadesse A, Alemu H, Silamsaw M and Gebrewold Y: Kartagener's syndrome: A case report. J Med Case Rep. 12(5)2018.PubMed/NCBI View Article : Google Scholar

13 

Pandey AK, Maithani T and Bhardwaj A: Kartagener's syndrome: A clinical reappraisal with two case reports. Egypt J Ear Nose Throat Allied Sci. 15:271–274. 2014.

14 

Flume PA, O'Sullivan BP, Robinson KA, Goss CH, Mogayzel PJ Jr, Willey-Courand DB, Bujan J, Finder J, Lester M, Quittell L, et al: Cystic fibrosis pulmonary guidelines: Chronic medications for maintenance of lung health. Am J Respir Crit Care Med. 176:957–969. 2007.PubMed/NCBI View Article : Google Scholar

Related Articles

  • Abstract
  • View
  • Download
  • Twitter
Copy and paste a formatted citation
Spandidos Publications style
Zhou J, Wang L, Bian C, Miao J, Han L and Qi C: Kartagener syndrome combined with small cell lung cancer: A case report and literature review. Exp Ther Med 29: 98, 2025.
APA
Zhou, J., Wang, L., Bian, C., Miao, J., Han, L., & Qi, C. (2025). Kartagener syndrome combined with small cell lung cancer: A case report and literature review. Experimental and Therapeutic Medicine, 29, 98. https://doi.org/10.3892/etm.2025.12848
MLA
Zhou, J., Wang, L., Bian, C., Miao, J., Han, L., Qi, C."Kartagener syndrome combined with small cell lung cancer: A case report and literature review". Experimental and Therapeutic Medicine 29.5 (2025): 98.
Chicago
Zhou, J., Wang, L., Bian, C., Miao, J., Han, L., Qi, C."Kartagener syndrome combined with small cell lung cancer: A case report and literature review". Experimental and Therapeutic Medicine 29, no. 5 (2025): 98. https://doi.org/10.3892/etm.2025.12848
Copy and paste a formatted citation
x
Spandidos Publications style
Zhou J, Wang L, Bian C, Miao J, Han L and Qi C: Kartagener syndrome combined with small cell lung cancer: A case report and literature review. Exp Ther Med 29: 98, 2025.
APA
Zhou, J., Wang, L., Bian, C., Miao, J., Han, L., & Qi, C. (2025). Kartagener syndrome combined with small cell lung cancer: A case report and literature review. Experimental and Therapeutic Medicine, 29, 98. https://doi.org/10.3892/etm.2025.12848
MLA
Zhou, J., Wang, L., Bian, C., Miao, J., Han, L., Qi, C."Kartagener syndrome combined with small cell lung cancer: A case report and literature review". Experimental and Therapeutic Medicine 29.5 (2025): 98.
Chicago
Zhou, J., Wang, L., Bian, C., Miao, J., Han, L., Qi, C."Kartagener syndrome combined with small cell lung cancer: A case report and literature review". Experimental and Therapeutic Medicine 29, no. 5 (2025): 98. https://doi.org/10.3892/etm.2025.12848
Follow us
  • Twitter
  • LinkedIn
  • Facebook
About
  • Spandidos Publications
  • Careers
  • Cookie Policy
  • Privacy Policy
How can we help?
  • Help
  • Live Chat
  • Contact
  • Email to our Support Team