Spandidos Publications Logo
  • About
    • About Spandidos
    • Aims and Scopes
    • Abstracting and Indexing
    • Editorial Policies
    • Reprints and Permissions
    • Job Opportunities
    • Terms and Conditions
    • Contact
  • Journals
    • All Journals
    • Oncology Letters
      • Oncology Letters
      • Information for Authors
      • Editorial Policies
      • Editorial Board
      • Aims and Scope
      • Abstracting and Indexing
      • Bibliographic Information
      • Archive
    • International Journal of Oncology
      • International Journal of Oncology
      • Information for Authors
      • Editorial Policies
      • Editorial Board
      • Aims and Scope
      • Abstracting and Indexing
      • Bibliographic Information
      • Archive
    • Molecular and Clinical Oncology
      • Molecular and Clinical Oncology
      • Information for Authors
      • Editorial Policies
      • Editorial Board
      • Aims and Scope
      • Abstracting and Indexing
      • Bibliographic Information
      • Archive
    • Experimental and Therapeutic Medicine
      • Experimental and Therapeutic Medicine
      • Information for Authors
      • Editorial Policies
      • Editorial Board
      • Aims and Scope
      • Abstracting and Indexing
      • Bibliographic Information
      • Archive
    • International Journal of Molecular Medicine
      • International Journal of Molecular Medicine
      • Information for Authors
      • Editorial Policies
      • Editorial Board
      • Aims and Scope
      • Abstracting and Indexing
      • Bibliographic Information
      • Archive
    • Biomedical Reports
      • Biomedical Reports
      • Information for Authors
      • Editorial Policies
      • Editorial Board
      • Aims and Scope
      • Abstracting and Indexing
      • Bibliographic Information
      • Archive
    • Oncology Reports
      • Oncology Reports
      • Information for Authors
      • Editorial Policies
      • Editorial Board
      • Aims and Scope
      • Abstracting and Indexing
      • Bibliographic Information
      • Archive
    • Molecular Medicine Reports
      • Molecular Medicine Reports
      • Information for Authors
      • Editorial Policies
      • Editorial Board
      • Aims and Scope
      • Abstracting and Indexing
      • Bibliographic Information
      • Archive
    • World Academy of Sciences Journal
      • World Academy of Sciences Journal
      • Information for Authors
      • Editorial Policies
      • Editorial Board
      • Aims and Scope
      • Abstracting and Indexing
      • Bibliographic Information
      • Archive
    • International Journal of Functional Nutrition
      • International Journal of Functional Nutrition
      • Information for Authors
      • Editorial Policies
      • Editorial Board
      • Aims and Scope
      • Abstracting and Indexing
      • Bibliographic Information
      • Archive
    • International Journal of Epigenetics
      • International Journal of Epigenetics
      • Information for Authors
      • Editorial Policies
      • Editorial Board
      • Aims and Scope
      • Abstracting and Indexing
      • Bibliographic Information
      • Archive
    • Medicine International
      • Medicine International
      • Information for Authors
      • Editorial Policies
      • Editorial Board
      • Aims and Scope
      • Abstracting and Indexing
      • Bibliographic Information
      • Archive
  • Articles
  • Information
    • Information for Authors
    • Information for Reviewers
    • Information for Librarians
    • Information for Advertisers
    • Conferences
  • Language Editing
Spandidos Publications Logo
  • About
    • About Spandidos
    • Aims and Scopes
    • Abstracting and Indexing
    • Editorial Policies
    • Reprints and Permissions
    • Job Opportunities
    • Terms and Conditions
    • Contact
  • Journals
    • All Journals
    • Biomedical Reports
      • Information for Authors
      • Editorial Policies
      • Editorial Board
      • Aims and Scope
      • Abstracting and Indexing
      • Bibliographic Information
      • Archive
    • Experimental and Therapeutic Medicine
      • Information for Authors
      • Editorial Policies
      • Editorial Board
      • Aims and Scope
      • Abstracting and Indexing
      • Bibliographic Information
      • Archive
    • International Journal of Epigenetics
      • Information for Authors
      • Editorial Policies
      • Editorial Board
      • Aims and Scope
      • Abstracting and Indexing
      • Bibliographic Information
      • Archive
    • International Journal of Functional Nutrition
      • Information for Authors
      • Editorial Policies
      • Editorial Board
      • Aims and Scope
      • Abstracting and Indexing
      • Bibliographic Information
      • Archive
    • International Journal of Molecular Medicine
      • Information for Authors
      • Editorial Policies
      • Editorial Board
      • Aims and Scope
      • Abstracting and Indexing
      • Bibliographic Information
      • Archive
    • International Journal of Oncology
      • Information for Authors
      • Editorial Policies
      • Editorial Board
      • Aims and Scope
      • Abstracting and Indexing
      • Bibliographic Information
      • Archive
    • Medicine International
      • Information for Authors
      • Editorial Policies
      • Editorial Board
      • Aims and Scope
      • Abstracting and Indexing
      • Bibliographic Information
      • Archive
    • Molecular and Clinical Oncology
      • Information for Authors
      • Editorial Policies
      • Editorial Board
      • Aims and Scope
      • Abstracting and Indexing
      • Bibliographic Information
      • Archive
    • Molecular Medicine Reports
      • Information for Authors
      • Editorial Policies
      • Editorial Board
      • Aims and Scope
      • Abstracting and Indexing
      • Bibliographic Information
      • Archive
    • Oncology Letters
      • Information for Authors
      • Editorial Policies
      • Editorial Board
      • Aims and Scope
      • Abstracting and Indexing
      • Bibliographic Information
      • Archive
    • Oncology Reports
      • Information for Authors
      • Editorial Policies
      • Editorial Board
      • Aims and Scope
      • Abstracting and Indexing
      • Bibliographic Information
      • Archive
    • World Academy of Sciences Journal
      • Information for Authors
      • Editorial Policies
      • Editorial Board
      • Aims and Scope
      • Abstracting and Indexing
      • Bibliographic Information
      • Archive
  • Articles
  • Information
    • For Authors
    • For Reviewers
    • For Librarians
    • For Advertisers
    • Conferences
  • Language Editing
Login Register Submit
  • This site uses cookies
  • You can change your cookie settings at any time by following the instructions in our Cookie Policy. To find out more, you may read our Privacy Policy.

    I agree
Search articles by DOI, keyword, author or affiliation
Search
Advanced Search
presentation
Experimental and Therapeutic Medicine
Join Editorial Board Propose a Special Issue
Print ISSN: 1792-0981 Online ISSN: 1792-1015
Journal Cover
July-2025 Volume 30 Issue 1

Full Size Image

Sign up for eToc alerts
Recommend to Library

Journals

International Journal of Molecular Medicine

International Journal of Molecular Medicine

International Journal of Molecular Medicine is an international journal devoted to molecular mechanisms of human disease.

International Journal of Oncology

International Journal of Oncology

International Journal of Oncology is an international journal devoted to oncology research and cancer treatment.

Molecular Medicine Reports

Molecular Medicine Reports

Covers molecular medicine topics such as pharmacology, pathology, genetics, neuroscience, infectious diseases, molecular cardiology, and molecular surgery.

Oncology Reports

Oncology Reports

Oncology Reports is an international journal devoted to fundamental and applied research in Oncology.

Experimental and Therapeutic Medicine

Experimental and Therapeutic Medicine

Experimental and Therapeutic Medicine is an international journal devoted to laboratory and clinical medicine.

Oncology Letters

Oncology Letters

Oncology Letters is an international journal devoted to Experimental and Clinical Oncology.

Biomedical Reports

Biomedical Reports

Explores a wide range of biological and medical fields, including pharmacology, genetics, microbiology, neuroscience, and molecular cardiology.

Molecular and Clinical Oncology

Molecular and Clinical Oncology

International journal addressing all aspects of oncology research, from tumorigenesis and oncogenes to chemotherapy and metastasis.

World Academy of Sciences Journal

World Academy of Sciences Journal

Multidisciplinary open-access journal spanning biochemistry, genetics, neuroscience, environmental health, and synthetic biology.

International Journal of Functional Nutrition

International Journal of Functional Nutrition

Open-access journal combining biochemistry, pharmacology, immunology, and genetics to advance health through functional nutrition.

International Journal of Epigenetics

International Journal of Epigenetics

Publishes open-access research on using epigenetics to advance understanding and treatment of human disease.

Medicine International

Medicine International

An International Open Access Journal Devoted to General Medicine.

Journal Cover
July-2025 Volume 30 Issue 1

Full Size Image

Sign up for eToc alerts
Recommend to Library

  • Article
  • Citations
    • Cite This Article
    • Download Citation
    • Create Citation Alert
    • Remove Citation Alert
    • Cited By
  • Similar Articles
    • Related Articles (in Spandidos Publications)
    • Similar Articles (Google Scholar)
    • Similar Articles (PubMed)
  • Download PDF
  • Download XML
  • View XML
Article

Clinical features and outcomes of thyroid hyalinizing trabecular tumors: An 11‑year experience at a tertiary referral hospital

  • Authors:
    • Hye Rin Lim
    • Hye-Bin Jang
    • Kyung-Hwa Lee
    • Ji Shin Lee
    • Tae Mi Yoon
  • View Affiliations / Copyright

    Affiliations: Department of Otolaryngology‑Head and Neck Surgery, Chonnam National University Medical School and Hwasun Hospital, Hwasun, Jeonnam 58128, Republic of Korea, Department of Pathology, Chonnam National University Medical School and Hwasun Hospital, Hwasun, Jeonnam 58128, Republic of Korea
  • Article Number: 136
    |
    Published online on: May 16, 2025
       https://doi.org/10.3892/etm.2025.12886
  • Expand metrics +
Metrics: Total Views: 0 (Spandidos Publications: | PMC Statistics: )
Metrics: Total PDF Downloads: 0 (Spandidos Publications: | PMC Statistics: )
Cited By (CrossRef): 0 citations Loading Articles...

This article is mentioned in:



Abstract

Hyalinizing trabecular tumors (HTTs) of the thyroid are rare neoplasms that generally exhibit benign behavior, lacking capsular or vascular invasion. Despite this, HTTs often present histopathological features that closely resemble those of papillary thyroid carcinoma (PTC), posing an important diagnostic challenge and leading to the frequent misinterpretation of fine needle aspiration biopsy (FNAB) results as PTC. The present study aimed to investigate the clinical characteristics and outcomes of HTTs observed over 11 years at a tertiary referral hospital [Chonnam National University Hwasun Hospital (Hwasun, South Korea)]. A retrospective analysis was conducted on 11 patients with pathologically confirmed HTT, evaluated between March 2011 and December 2021, following their final histological examinations after surgery. Of the 9,169 patients who underwent thyroid surgery during this period, 11 patients (0.12%) were histologically diagnosed with HTT. FNAB was performed in 10 patients, but HTT was included in the differential diagnosis in only 1 patient, while 6 patients were suspected as PTC or unspecific carcinoma. The average tumor size measured by preoperative ultrasonography (US) was 1.7±1.1 cm (range, 0.3‑3.9 cm). The majority of tumors appeared hypoechoic with well‑defined margins, and no US features indicative of malignancy were observed. Surgical management included thyroid lobectomy in 6 patients and total thyroidectomy in 5 patients. Over a mean follow‑up period of 38 months, no recurrences or metastases were observed. In summary, these findings highlight the limited diagnostic utility of FNAB or US in the preoperative identification of HTTs. In cases where preoperative US findings are benign and FNAB results suggest PTC, HTT should be considered in the differential diagnosis to avoid overtreatment.

Introduction

Hyalinizing trabecular tumors (HTTs) of the thyroid, which were first described by Carney et al (1) in 1987, represent a rare subtype of thyroid neoplasm that continues to present both clinical and pathological diagnostic challenges. These tumors are defined by their characteristic hyalinized stroma and trabecular growth pattern (2). Clinically, HTTs that usually present as asymptomatic, well circumscribed and solitary masses exhibit a benign course, with no evidence of capsular or vascular invasion (3). Even in rare cases where malignant features, such as focal invasion, are observed, the prognosis remains favorable, with no reports of recurrence or metastasis following surgical resection (1,4). Therefore, HTTs have traditionally been classified and managed as benign entities. Despite their benign nature, HTTs are frequently misdiagnosed as papillary thyroid carcinomas (PTCs) due to overlapping nuclear features, such as nuclear grooves, and intranuclear pseudoinclusions observed under light microscopy (5,6). These shared features can lead to confusion in the preoperative setting, particularly because PTC is a much more common malignant tumor of the thyroid with distinct clinical and histological implications (5,6). Furthermore, the amyloid-like appearance of the hyalinized stroma in HTTs may mimic the amyloid deposits characteristic of medullary thyroid carcinoma (MTC), leading to diagnostic confusion (5). Preoperative differentiation of HTTs from these malignancies is particularly challenging using fine needle aspiration biopsy (FNAB), often resulting in unnecessary overtreatment such as total thyroidectomy or lymph node dissection that is inappropriate for benign tumors. The potential harm of overtreatment of these cases emphasizes the need for a more nuanced understanding of HTTs and highlights the importance of refining diagnostic tools to differentiate them from other thyroid tumors. The present study aimed to address these diagnostic challenges by analyzing the clinical characteristics of HTTs over an 11-year period at a tertiary referral center. The findings of the present study may aid in the establishment of more accurate differential diagnostic criteria and guide the development of appropriate management strategies for similar cases.

Materials and methods

Patients

A retrospective analysis was conducted on the medical record data for 11 patients with pathologically confirmed HTTs based on their final histological examinations following thyroid surgeries at Chonnam National University Hwasun Hospital (CNUHH; Hwasun, South Korea), which functions as a tertiary referral hospital and regional national cancer institution. The patients underwent thyroid surgery between March 2011 and December 2021. Patients diagnosed with HTT were included, while patients without appropriate follow-up were excluded. The patients' characteristics, including the age and sex, are described in the results section and Table I. Clinical data were collected and analyzed retrospectively. The clinical information obtained included the patients' sex, age, past medical history, type of surgery (lobectomy or total thyroidectomy), tumor size, FNAB results, ultrasonography (US) features, final histopathological findings and follow-up duration. The present study was approved by the Institutional Review Board of CNUHH (approval no. CNUHH-2024-175).

Table I

Clinical characteristics of patients with hyalinizing trabecular tumors.

Table I

Clinical characteristics of patients with hyalinizing trabecular tumors.

CharacteristicValue
Sex 
     Male1
     Female10
Age, years54.9±11.2
Underlying disease 
     Hypertension4
     Diabetes1
     Asthma1
     Other malignancy or tumor3
     None5
Tumor long diameter, cm1.7±1.1
Fine needle aspiration biopsy result 
     Hurtle cell neoplasm1
     Suspicious for papillary thyroid carcinoma5
     Suspicious for medullary thyroid carcinoma1
     Benign nodule (adenomatous goiter, follicular nodule)3
     Atypia of undetermined significance2
     Suspicious for carcinoma, unspecified1
     Hyalinizing trabecular adenoma1
Feature of ultrasonography 
     Well-defined8
     Ill-defined3
     Hypoechoic10
     Isoechoic1
     Heterogenous10
     Homogenous1

[i] Data are presented as the number of patients or the mean ± standard deviation.

FNAB process

All FNAB procedures were performed under US guidance using a 25-gauge needle. The aspirated cellular material was immediately smeared onto glass slides, fixed with 95% ethanol for 15 min, and subsequently stained in hematoxylin for 1-3 min and then stained in Papanicolaou (PAP) for 1-3 min, at room temperature (7). Cytological interpretations (8,9) were carried out by experienced pathologists. The Korean Thyroid Association recommends FNAB for thyroid nodules >10 mm (10); however, FNAB is often performed on smaller nodules based on patient requests or clinical judgment. For this reason, FNAB was performed on some HTT cases with 3- or 5-mm nodules.

Immunohistochemical (IHC) analysis

Resected tumor samples were fixed at room temperature in 10% formalin for 3 days, embedded in paraffin and cut in 3-µm tissue sections. An automated immunostainer (BOND-MAX DC2002; Leica Microsystems, Inc.) was used for staining. The sections were stained with hematoxylin for 5-15 min and eosin for 1-3 min, at room temperature, and anti-human Ki-67 (MIB-1 clone; cat. no. 790-4286; Roche Diagnostics), calcitonin (cat. no. A0576; Dako; Agilent Technologies, Inc.), high molecular weight cytokeratin (HMCK; cat. no. M0630; Dako; Agilent Technologies, Inc.), CD56 (cat. no. M7304; Dako; Agilent Technologies, Inc.), paired box 8 (PAX8; cat. no 363M-15; Cell Marque; MilliporeSigma), thyroid transcription factor 1 (TTF-1, cat. no. M3575; Dako; Agilent Technologies, Inc.), BRAF V600E (cat. no. 760-5095; Roche Diagnostics) or CD31 (cat. no. M0823; Dako; Agilent Technologies, Inc.) antibodies. The specimens were reviewed by pathologists to confirm the diagnosis of HTT under a light microscope (11,12).

Results

Patients characteristics

The demographic and clinical characteristics of the 11 patients diagnosed with HTTs are summarized in Table I. Between March 2011 and December 2021, a total of 9,169 patients underwent thyroid surgery at CNUHH. Among these, 11 patients (0.12%) were histologically confirmed to have HTTs. Individual patient characteristics are detailed in Table II. Of the 11 patients, 1 (9.1%) was male and 10 (90.9%) were female, with a mean age of 54.9±11.2 years (range, 39-69 years). A total of 10 patients presented with an incidentally detected thyroid mass identified by US during routine medical checkups, while 1 patient presented with a lateral neck mass as the primary symptom.

Table II

Individual characteristics of patients with hyalinizing trabecular tumors.

Table II

Individual characteristics of patients with hyalinizing trabecular tumors.

SexAge, yearsUnderlying diseaseOperation typeSize, cmFNA biopsy resultFeature of ultrasonographyBiopsy resultIHC staining
F69NoneRt. lobectomy3.1Hurtle cell neoplasmWell-defined, heterogenous and hypoechoicHTT and oncocytomaMIB-1(-)
F41HTNTT with CLND0.5Some irregular clusters of follicular cells and numerous histocytes, suggestive of cystic change of adenomatous goiterWell-defined, heterogeneous and isoechoicHTT accompanied by PTC in the contralateral lobeMIB-1(+)
F62HTNTT0.6No aspiration for HTT (FNA for other nodules: Suspicious for PTC)Well-defined, heterogenous and hypoechoicHTC accompanied by PTC in the bilateral lobeMIB-1(+)
F64HTNTT2.2Suspicious for PTC and MTCWell-defined, heterogenous and hypoechoicHyalinizing trabecular adenoma, nodular hyperplasia with papillary epithelial growth and Hashimoto's thyroiditisMIB-1(+); calcitonin(-)
F55NoneTT with CLND2.4Suspicious for PTCWell-defined, heterogenous and hypoechoicHTTMIB-1(+); HMCK (focal+); CD56(+)
F50NoneTT with CLND1.4Benign, suggestive for adenomatous goiterWell-defined, heterogeneous and hypoechoicHTT accompanied by PTC in ipsilateral lobeMIB-1(+); HMCK(-)
M52ThymomaRt. lobectomy3.9Atypia of undetermined significanceIll-defined, heterogeneous and hypoechoicHTT, nodular hyperplasia with papillary epithelial growth and Hashimoto's thyroiditisNone performed
F39HTN, DM and breast cancerRt. lobectomy1.0Suspicious for PTC and hyalinizing trabecular adenomaWell-defined, homogeneous and hypoechoicHyalinizing trabecular adenomaMIB-1(+)
F69NoneLt. lobectomy with CLND1.2Atypia of undetermined significance (first aspiration); suspicious for PTC (second aspiration)Ill-defined, heterogeneous and hypoechoicHTTMIB-1(+)
F41NoneRt. lobectomy with CLND; Rt. MRND type III2.2Suspicious for carcinoma or metastatic carcinomaWell-defined, heterogeneous and hypoechoicHTTMIB-1(+); PAX8(+); TTF-1(+); BRAF(-); calcitonin(-); CD31(-)
F62Asthma and leukemiaLt. lobectomy0.3Benign follicular nodule (first aspiration); suspicious for PTC (second aspiration)Ill-defined, heterogeneous and hypoechoicHTT accompanied by PTC in ipsilateral lobeMIB-1(+)

[i] F, female; M, male; HTN, hypertension; DM, diabetes mellitus; Rt., right; Lt., left; TT, total thyroidectomy; CLND, central lymph node dissection; MRND, modified radical neck dissection; HMCK, high molecular weight cytokeratin; IHC, immunohistochemical; FNA, fine needle aspiration; HTT, hyalinizing trabecular tumor; PAX8, paired box 8; TTF-1, thyroid transcription factor 1; PTC, papillary thyroid carcinoma; MTC, medullary thyroid carcinoma.

US findings

The mean tumor size, as measured by the longest dimension on US, was 1.7±1.1 cm (range, 0.3-3.9 cm). Although no consistent US features were observed, most tumors (7 cases) appeared as hypoechoic lesions with well-defined margins (6 cases, heterogenous, Fig. 1A; 1 case, homogenous, Fig. 1B). Three tumors appeared as ill-defined, hypoechoic heterogenous lesions (Fig. 1C), and one tumor appeared as a well-defined, heterogenous isoechoic lesion (Fig. 1D).

Figure 1

Ultrasonography findings of hyalinizing trabecular tumors. (A) Most tumors (6 cases) appeared as heterogenous hypoechoic lesions with well-defined margins. (B) One tumor appeared as a homogenous hypoechoic lesion with well-defined margins. (C) Three tumors appeared as ill-defined, hypoechoic heterogenous lesions. (D) One tumor appeared as well-defined, heterogenous isoechoic lesion. The yellow crosses indicate the edges of the lesions. T, transverse view; V, vertical view.

FNAB findings

FNAB was performed on all 11 patients as part of the preoperative evaluation. A total of 10 out of the 11 patients underwent FNAB for a mass identified as HTT in the permanent biopsy after surgery. Out of 10 patients, 8 patients underwent FNAB once, while 2 patients underwent FNAB twice. However, in 1 patient, FNAB targeted another nodule that suggested PTC, rather than HTT. Of the 10 FNAB-targeted HTT masses, cytological findings suggested the inclusion of HTT in the differential diagnosis in only 1 patient. Nevertheless, even in this instance, the findings could not reliably differentiate between PTC and HTT. Additionally, in total 6 patients including 1 patient in whom HTT and PTC could not be differentiated, the FNAB findings indicated suspicious malignancy, including PTC or unspecified carcinoma. Detailed FNAB findings for the 11 cases are presented in Table II.

Surgery, histopathological findings and prognosis

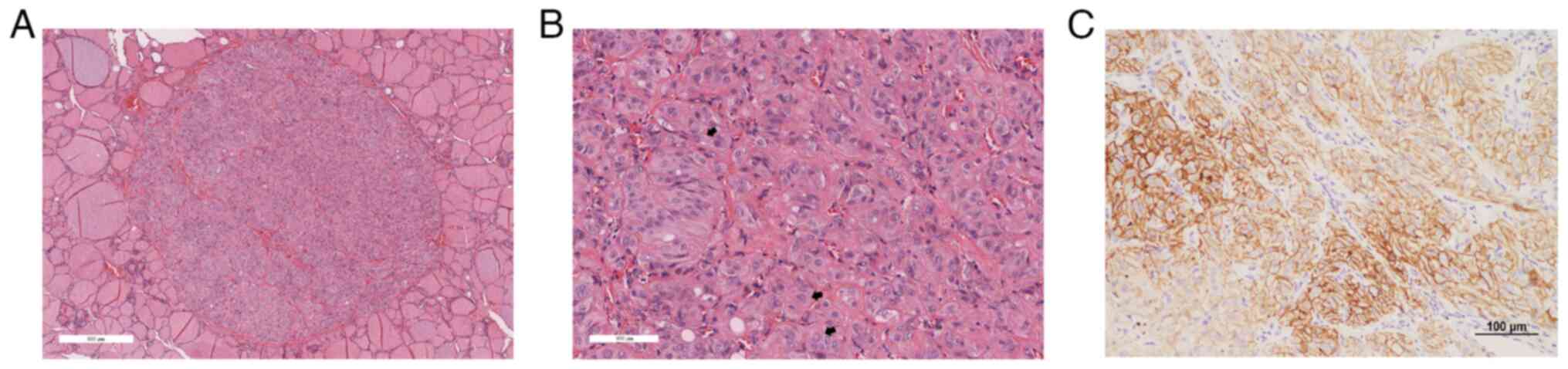
Surgical interventions included thyroid lobectomies in 6 patients and total thyroidectomies in 5 patients. Among the 5 patients who underwent total thyroidectomies, 3 patients exhibited both HTTs and PTCs in the same, contralateral or bilateral lobes upon final histological examination. Similarly, 1 patient who underwent a lobectomy was diagnosed with both a PTC and an HTT within the same lobe. One patient underwent total thyroidectomy due to FNAB findings that were inconclusive between MTC and PTC. Another patient underwent total thyroidectomy upon personal request. Notably, intraoperative frozen-section biopsies were not performed in any of the 11 cases based on the surgeon's judgement during the surgery. In all cases, the final histopathological evaluation revealed tumors that were clearly demarcated from the surrounding non-neoplastic thyroid tissue (Fig. 2A). Under high magnification, tumor cells exhibited trabecular and organoid arrangements, abundant eosinophilic cytoplasm with hyaline material, nuclear grooves and intranuclear inclusions (Fig. 2B), which supported the definitive diagnosis of HTT. IHC analysis revealed membranous positivity for Ki-67/MIB-1 clone in 9 cases (Fig. 2C). This membranous staining of MIB-1 is the characteristic pathological finding of HTT. The IHC staining results used for differential diagnosis are summarized in Table II. To exclude PTC from the differential diagnosis of HTT, the immunohistochemical markers HMCK, CD56 and BRAF were utilized (11-13). Calcitonin staining was employed to distinguish HTT from MTC (11-13), while CD31 was used to assess vascular invasion (14). Thyroid follicular origin was confirmed using PAX8 and TTF-1 (11,12). The present study involved patients over an 11-year-long period, and as a result the IHC slides have faded, making them unsuitable for publication. Therefore, a MIB-1 IHC image from a representative patient was presented. Postoperative follow-up was conducted for a mean duration of 38 months (range, 3-132 months). All patients remained free of recurrence or metastasis, and no major postoperative complications were reported.

Figure 2

Pathological features of thyroid hyalinizing trabecular tumors. (A) The tumor is well delineated from uninvolved thyroid tissue (hematoxylin and eosin staining; magnification, x40). (B) Tumor cells are arranged in trabecular and organoid architectures, with abundant eosinophilic cytoplasm containing hyaline material. Nuclear grooves and intranuclear inclusions (arrows) are observed (hematoxylin and eosin staining; magnification, x200). (C) Ki-67 immunostaining using the MIB-1 monoclonal antibody shows strong membranous staining (magnification, x200).

Discussion

HTTs are described in the literature as rare neoplasms originating from follicular cells, occurring in middle-aged women between 40 and 70 years and typically exhibiting benign behavior (15-18). The etiology of HTTs remains unclear; however, associations with chronic lymphocytic thyroiditis, Hashimoto's thyroiditis, multinodular goiter, a history of neck radiation exposure and PTC have been documented (17-19). Notably, instances of HTTs coexisting with micropapillary thyroid carcinoma have also been reported (20). In the present study, 4 out of 11 cases (36.4%) were accompanied by PTC in either the contralateral or ipsilateral lobe, and 2 patients presented with concurrent Hashimoto's thyroiditis. These findings are consistent with the aforementioned previous reports highlighting conditions associated with HTTs.

HTTs were first described by Carney et al (1) in 1987, who characterized their clinical and pathological features as either solitary lesions or components of multinodular presentations. These tumors are generally small, measuring ≤2 cm, with gross pathology revealing well-defined margins and capsular formation (1,2). Microscopically, HTTs are distinguished by the trabecular arrangement of polygonal, oval or spindle-shaped tumor cells set within a hyalinizing stroma (21-23). Certain trabeculae may appear curved, forming ribbon- or festoon-like patterns (24).

Although cases of HTTs with capsular invasion, vascular invasion, lymph node metastases and even lung metastases have been reported (25,26), Carney et al (2) noted that of 19 patients with HTTs, 18 exhibited benign clinical courses without malignancies, even in tumors with features suggestive of malignancy, and no recurrences or metastases were observed during long-term follow-up. Similarly, in the present study, none of the 11 patients demonstrated evidence of recurrence or metastasis during the follow-up period.

On preoperative FNAB, HTTs may present nuclear grooves, intranuclear inclusions and occasionally psammoma bodies, which can result in a misdiagnosis of PTC (19,21,22). Additionally, the hyalinizing stroma can mimic amyloid deposits, leading to potential diagnostic confusion with MTC (27). In certain cases, the tumor cells form glandular patterns, posing challenges in distinguishing HTTs from paragangliomas (23). Misdiagnoses due to cytological similarities with PTC or MTC have been documented, underscoring the necessity for meticulous histopathological evaluation and further research to refine diagnostic approaches for HTTs (20,22,24,27). The clues for an accurate diagnosis of HTTs include the absence of papillary structures or fibrovascular stalks and the presence of elongated nuclei in association with hyaline stroma (11,12). Although certain studies have explored the use of preoperative US, FNAB and frozen-section histopathology to identify HTTs, no definitive clinical diagnostic criteria for preoperative differentiation have been established (28,29). In the present study, only 1 patient was suspected to represent HTT based on preoperative FNAB, while diagnostic challenges were evident in 6 patients suspected as having PTC or unspecific carcinoma.

The final diagnosis of HTTs can only be confirmed through pathological examination. In cases where distinguishing tumor types based on histological features is challenging, IHC analysis plays a pivotal role. Unlike PTCs, which typically demonstrate minimal reactivity to the MIB-1 antibody, HTTs exhibit strong positive reactivity to MIB-1, localized along the tumor cell membranes. In the present study, 9 cases displayed MIB-1 positivity. Additionally, while PTCs exhibit strong positive IHC staining for galectin-3, HMCK and cytokeratin 19, HTTs generally show negative or weakly positive staining for these markers (30-32). IHC staining also distinguishes HTTs from MTCs, as HTTs are positive for thyroglobulin and negative for neuroendocrine markers, such as calcitonin, synaptophysin and chromogranin, whereas MTCs exhibit the opposite staining pattern (27).

Molecular analyses have further identified RET/PTC rearrangements in both PTCs and HTTs; however, BRAF and N-Ras mutations commonly observed in PTCs are absent in HTTs (13,33,34). Notably, Nikiforova et al (35) reported a high prevalence of GLIS rearrangements, particularly PAX8-GLIS3, in HTTs but not in PTCs. Among indeterminate FNAB results, PAX8-GLIS3 was detected in 0.1% of cases, and all 5 surgically confirmed cases were diagnosed as HTT, underscoring the utility of molecular testing using preoperative FNAB material (35). The incidence of HTT in the present study (~0.12%) aligns with the aforementioned reported rate, further highlighting the rarity of this entity. The lack of genetic testing is the main limitation of the present study. The current study was conducted over an 11-year-long period, which includes a notable time before the introduction of molecular testing for HTT. However, further research on the clinical impact of molecular testing, including GLIS rearrangements, on the diagnosis and treatment of HTT will be an important topic for future studies.

Despite these diagnostic advances, the utility of US and FNAB in reliably diagnosing HTTs preoperatively remains limited (28,29). Nevertheless, when preoperative US findings suggest the occurrence of benign tumors, but FNAB results raise suspicion for malignancy, particularly PTC, the differential diagnosis should include HTT. Particularly for FNAB results suspicious for PTC, the absence of BRAF mutations may heighten the suspicion for HTT. However, as demonstrated by the low incidence of HTT in the present study (only 11 cases among 9,169 thyroidectomy patients), its rarity poses an important diagnostic challenge for clinicians and pathologists (11). Limited exposure of clinicians to HTTs and their cytological features may further contribute to the difficulty in achieving a preoperative diagnosis. It is imperative for clinicians and pathologists to recognize the key clinical, cytological and molecular characteristics of HTT, including the use of additional tests, such as GLIS rearrangements, to improve diagnostic accuracy (36).

However, in cases of thyroid nodules, >30% of patients fall into the non-diagnostic, indeterminate and follicular neoplasm categories under the Bethesda System (8,9), where treatment decisions are unclear. However, cytological IHC and molecular testing are not performed for all cytologically difficult cases. IHC and molecular testing on preoperative cytological material could be helpful in the differential diagnosis, but this is only possible when clinicians or pathologists suspect HTT through conventional clinical aspects, including basic FNAB and US findings. As is often the case with rare entities, the main obstacle to diagnostic accuracy seems to be simply considering the diagnosis of HTT. Therefore, the present study is likely to help clinicians in suspecting HTT and considering further diagnostic tests.

Early clinical suspicion for HTT is crucial, as it may prevent unnecessary surgical procedures, such as total thyroidectomy. Compared with total thyroidectomy, thyroid lobectomy offers several advantages, including preservation of thyroid function, reduced dependence on lifelong thyroid hormone replacement therapy and avoidance of complications, such as recurrent laryngeal nerve injury and hypocalcemia (37). The type of thyroid surgery significantly impacts patient quality of life; therefore, when HTT is suspected preoperatively, a diagnostic lobectomy is preferable to total thyroidectomy to optimize patient outcomes through reduced surgical intervention (38).

In conclusion, while the diagnostic utility of US and FNAB for HTTs remains limited, their findings, in conjunction with molecular and IHC analyses, can aid in the identification of HTT preoperatively. In cases where preoperative US findings appear benign but discrepancies with FNAB results raise suspicion for PTC, HTT should be considered in the differential diagnosis. When HTT is clinically suspected, diagnostic lobectomy is recommended over total thyroidectomy to minimize surgical burden and preserve quality of life.

Acknowledgements

Not applicable.

Funding

Funding: The present study was supported by Chonnam National University (grant nos. 2022-2747 and 2023-0898).

Availability of data and materials

The data generated in the present study may be requested from the corresponding author.

Authors' contributions

HRL, HBJ and TMY analyzed the data and drafted the manuscript. JSL and KHL analyzed pathological data. TMY participated in the design of the study. HRL, HBJ and TMY contributed to the interpretation of the data. All authors read and approved the final version of the manuscript. HBJ and TMY confirm the authenticity of all the raw data.

Ethics approval and consent to participate

The present study was approved by the Institutional Review Board of Chonnam National University Hwasun Hospital (Hwasun, South Korea; approval no. CNUHH-2024-175). Patients provided written informed consent for the use of resected tissue specimens in research.

Patient consent for publication

Patients provided written informed consent for the publication of research results on their resected tissue specimens.

Competing interests

The authors declare that they have no competing interests.

References

1 

Carney JA, Ryan J and Goellner JR: Hyalinizing trabecular adenoma of the thyroid gland. Am J Surg Pathol. 11:583–591. 1987.PubMed/NCBI View Article : Google Scholar

2 

Carney JA, Hirokawa M, Lloyd RV, Papotti M and Sebo TJ: Hyalinizing trabecular tumors of the thyroid gland are almost all benign. Am J Surg Pathol. 32:1877–1889. 2008.PubMed/NCBI View Article : Google Scholar

3 

Gupta S, Modi S, Gupta V and Marwah N: Hyalinizing trabecular tumor of the thyroid gland. J Cytol. 27:63–65. 2010.PubMed/NCBI View Article : Google Scholar

4 

Katoh R, Jasani B and Williams ED: Hyalinizing trabecular adenoma of the thyroid. A report of three cases with immunohistochemical and ultrastructural studies. Histopathology. 15:211–224. 1989.PubMed/NCBI View Article : Google Scholar

5 

Evenson A, Mowschenson P, Wang H, Connolly J, Mendrinos S, Parangi S and Hasselgren PO: Hyalinizing trabecular adenoma-an uncommon thyroid tumor frequently misdiagnosed as papillary or medullary thyroid carcinoma. Am J Surg. 193:707–712. 2007.PubMed/NCBI View Article : Google Scholar

6 

McCluggage WG and Sloan JM: Hyalinizing trabecular carcinoma of thyroid gland. Histopathology. 28:357–362. 1996.PubMed/NCBI View Article : Google Scholar

7 

Bongiovanni M, Cibas ES and Faquin WC: The role of thyroid fine needle aspiration cytology and the Bethesda system for reporting thyroid cytopathology. Diagn Histopathol. 17:95–105. 2011.

8 

Baloch ZW, LiVolsi VA, Asa SL, Rosai J, Merino MJ, Randolph G, Vielh P, DeMay RM, Sidawy MK and Frable WJ: Diagnostic terminology and morphologic criteria for cytologic diagnosis of thyroid lesions: A synopsis of the national cancer institute thyroid fine-needle aspiration state of the science conference. Diagn Cytopathol. 36:425–437. 2008.PubMed/NCBI View Article : Google Scholar

9 

Crippa S, Mazzucchelli L, Cibas ES and Ali SZ: The Bethesda system for reporting thyroid fine-needle aspiration specimens. Am J Clin Pathol. 134:343–345. 2010.PubMed/NCBI View Article : Google Scholar

10 

Yi KH, Lee EK, Kang HC, Kim SW, Kim IJ, Park SY, Nam KH, Park JW, Bae SK, Baek SK, et al: 2016 Reivised Korean thyroid association management guidelines for patients with thyroid nodules and thyroid cancer. Int J Thyroidol. 9:59–126. 2016.

11 

Bishop JA and Ali SZ: Hyalinizing trabecular adenoma of the thyroid gland. Diagn Cytopathol. 39:306–310. 2011.PubMed/NCBI View Article : Google Scholar

12 

Rossi ED, Papotti M, Faquin W, Larocca LM and Pantanowiz L: The diagnosis of hyalinizing trabecular tumor: A difficult and controversial thyroid entity. Head Neck Pathol. 14:778–784. 2020.PubMed/NCBI View Article : Google Scholar

13 

Podany P and Gilani SM: Hyalinizing trabecular tumor: Cytologic, histologic and molecular features and diagnostic considerations. Ann Diagn Pathol. 54(151803)2021.PubMed/NCBI View Article : Google Scholar

14 

Lin X, Zhu B, Liu Y and Silverman JF: Follicular thyroid carcinoma invades venous rather than lymphatic vessels. Diagn Pathol. 5(8)2010.PubMed/NCBI View Article : Google Scholar

15 

DeLellis RA, Lloyd RV, Heitz PU and Eng C: Pathology and genetics of tumours of endocrine organs: WHO Classification of Tumours. Vol 8. 3rd edition. PathologyOutlines.com, Inc., Michigan, p300, 2004.

16 

Ergün S, Akıncı O, Öztürk T and Karataş A: Hyalinizing trabecular tumor of the thyroid gland. Turk J Surg. 34:149–151. 2018.PubMed/NCBI View Article : Google Scholar

17 

Nosé V, Volante M and Papotti M: Hyalinizing trabecular tumor of the thyroid: An update. Endocr Pathol. 19:1–8. 2008.PubMed/NCBI View Article : Google Scholar

18 

Thompson LDR: Hyalinizing trabecular adenoma of the thyroid gland. Ear Nose Throat J. 90:416–417. 2011.PubMed/NCBI View Article : Google Scholar

19 

Seo JH, Kim JP and Woo SH: A case of hyalinizing trabecular adenoma of the thyroid gland. Int J Thyroidol. 10:46–49. 2017.

20 

Jong HS, Kim EJ and Kim SW: A case of thyroid haylinizing trabecular tumor mistaken for papillary carcinoma in aspiration cytology. Korean J Head Neck Oncol. 34:33–36. 2018.

21 

Howard BE, Gnagi SH, Ocal IT and Hinni M: Hyalinizing trabecular tumor masquerading as papillary thyroid carcinoma on fine-needle aspiration. ORL J Otorhinolaryngol Relat Spec. 75:309–313. 2013.PubMed/NCBI View Article : Google Scholar

22 

Lee HK, Kim HS, Hur MH, Kang SS, Lee JH and Lee SK: Hyalinizing trabecular adenoma of thyroid gland. J Korean Surg Soc. 62:87–90. 2002.

23 

Park KS, Kim SW, Min HS, Han WS, Noh DY, Park SH, Youn YK, Oh SK and Choe KJ: Hyalinizing trabecular adenoma of thyroid. J Korean Surg Soc. 65:572–575. 2003.

24 

Yim H, Shim C and Soh EY: Hyalinizing trabecular adenoma of the thyroid: A case report. Korean J Pathol. 32:226–230. 1998.

25 

Sambade C, Franssila K, Cameselle-Teijeiro J, Nesland J and Sobrinho-Simões M: Hyalinizing trabecular adenoma: A misnomer for a peculiar tumor of the thyroid gland. Endocr Pathol. 2:83–91. 1991.PubMed/NCBI View Article : Google Scholar

26 

Gowrishankar S, Pai SA and Carney JA: Hyalinizing trabecular carcinoma of the thyroid gland. Histopathology. 52:529–531. 2008.PubMed/NCBI View Article : Google Scholar

27 

Han JJ, Lee YJ, Choi MC, Kwon M, Chon S and Lee J: A case of hyalinizing trabecular tumor of the thyroid gland misdiagnosed as medullary carinoma at cytologic examination. J Korean Endocr Soc. 23:327–331. 2008.

28 

Kuma S, Hirokawa M, Miyauchi A, Kakudo K and Katayama S: Cytologic features of hyalinizing trabecular adenoma of the thyroid. Acta Cytol. 47:399–404. 2003.PubMed/NCBI View Article : Google Scholar

29 

Sung SY, Shen HY, Hsieh CB, Duh QY, Su TF, Chan DC and Shih ML: Hyalinizing trabecular tumor of thyroid: Does frozen section prevent unnecessarily aggressive operation? Six new cases and a literature review. J Chin Med Assoc. 77:573–577. 2014.PubMed/NCBI View Article : Google Scholar

30 

Hirokawa M, Carney JA and Ohtsuki Y: Hyalinizing trabecular adenoma and papillary carcinoma of the thyroid gland express different cytokeratin patterns. Am J Surg Pathol. 24:877–881. 2000.PubMed/NCBI View Article : Google Scholar

31 

Hirokawa M and Carney JA: Cell membrane and cytoplasmic staining for MIB-1 in hyalinizing trabecular adenoma of the thyroid gland. Am J Surg Pathol. 24:575–578. 2000.PubMed/NCBI View Article : Google Scholar

32 

Gaffney RL, Carney JA, Sebo TJ, Erickson LA, Volante M, Papotti M and Lloyd RV: Galectin-3 expression in hyalinizing trabecular tumors of the thyroid gland. Am J Surg Pathol. 27:494–498. 2003.PubMed/NCBI View Article : Google Scholar

33 

Salvatore G, Chiappetta G, Nikiforov YE, Decaussin-Petrucci M, Fusco A, Carney JA and Santoro M: Molecular profile of hyalinizing trabecular tumours of the thyroid: High prevalence of RET/PTC rearrangements and absence of B-raf and N-ras point mutations. Eur J Cancer. 41:816–821. 2005.PubMed/NCBI View Article : Google Scholar

34 

Dell'Aquila M, Gravina C, Cocomazzi A, Capodimonti S, Musarra T, Sfregola S, Fiorentino V, Revelli L, Martini M, Fadda G, et al: A large series of hyalinizing trabecular tumors: Cytomorphology and ancillary techniques on fine needle aspiration. Cancer Cytopathol. 127:390–398. 2019.PubMed/NCBI View Article : Google Scholar

35 

Nikiforova MN, Nikitski AV, Panebianco F, Kaya C, Yip L, Williams M, Chiosea SI, Seethala RR, Roy S, Condello V, et al: GLIS rearrangement is a genomic hallmark of hyalinizing trabecula tumor of the thyroid gland. Thyroid. 29:161–173. 2019.PubMed/NCBI View Article : Google Scholar

36 

Nikiforova MN, Nikiforov YE and Ohori NP: GLIS rearrangements in thyroid nodules: A key to preoperative diagnosis of hyalinizing trabecular tumor. Cancer Cytopathol. 127:560–566. 2019.PubMed/NCBI View Article : Google Scholar

37 

Farkas EA, King TA, Bolton JS and Fuhrman GM: A comparison of total thyroidectomy and lobectomy in the treatment of dominant thyroid nodules. Am Surg. 68:678–683. 2002.PubMed/NCBI

38 

Kim BC, Pak SJ, Cho JW, Kim WW, Lee YM, Sung TY, Baek JH and Chung KW: Clinical characteristics of the hyalinizing trabecular tumor. J Endocr Surg. 22:116–122. 2022.

Related Articles

  • Abstract
  • View
  • Download
  • Twitter
Copy and paste a formatted citation
Spandidos Publications style
Lim HR, Jang H, Lee K, Lee JS and Yoon TM: Clinical features and outcomes of thyroid hyalinizing trabecular tumors: An 11‑year experience at a tertiary referral hospital. Exp Ther Med 30: 136, 2025.
APA
Lim, H.R., Jang, H., Lee, K., Lee, J.S., & Yoon, T.M. (2025). Clinical features and outcomes of thyroid hyalinizing trabecular tumors: An 11‑year experience at a tertiary referral hospital. Experimental and Therapeutic Medicine, 30, 136. https://doi.org/10.3892/etm.2025.12886
MLA
Lim, H. R., Jang, H., Lee, K., Lee, J. S., Yoon, T. M."Clinical features and outcomes of thyroid hyalinizing trabecular tumors: An 11‑year experience at a tertiary referral hospital". Experimental and Therapeutic Medicine 30.1 (2025): 136.
Chicago
Lim, H. R., Jang, H., Lee, K., Lee, J. S., Yoon, T. M."Clinical features and outcomes of thyroid hyalinizing trabecular tumors: An 11‑year experience at a tertiary referral hospital". Experimental and Therapeutic Medicine 30, no. 1 (2025): 136. https://doi.org/10.3892/etm.2025.12886
Copy and paste a formatted citation
x
Spandidos Publications style
Lim HR, Jang H, Lee K, Lee JS and Yoon TM: Clinical features and outcomes of thyroid hyalinizing trabecular tumors: An 11‑year experience at a tertiary referral hospital. Exp Ther Med 30: 136, 2025.
APA
Lim, H.R., Jang, H., Lee, K., Lee, J.S., & Yoon, T.M. (2025). Clinical features and outcomes of thyroid hyalinizing trabecular tumors: An 11‑year experience at a tertiary referral hospital. Experimental and Therapeutic Medicine, 30, 136. https://doi.org/10.3892/etm.2025.12886
MLA
Lim, H. R., Jang, H., Lee, K., Lee, J. S., Yoon, T. M."Clinical features and outcomes of thyroid hyalinizing trabecular tumors: An 11‑year experience at a tertiary referral hospital". Experimental and Therapeutic Medicine 30.1 (2025): 136.
Chicago
Lim, H. R., Jang, H., Lee, K., Lee, J. S., Yoon, T. M."Clinical features and outcomes of thyroid hyalinizing trabecular tumors: An 11‑year experience at a tertiary referral hospital". Experimental and Therapeutic Medicine 30, no. 1 (2025): 136. https://doi.org/10.3892/etm.2025.12886
Follow us
  • Twitter
  • LinkedIn
  • Facebook
About
  • Spandidos Publications
  • Careers
  • Cookie Policy
  • Privacy Policy
How can we help?
  • Help
  • Live Chat
  • Contact
  • Email to our Support Team