Spandidos Publications Logo
  • About
    • About Spandidos
    • Aims and Scopes
    • Abstracting and Indexing
    • Editorial Policies
    • Reprints and Permissions
    • Job Opportunities
    • Terms and Conditions
    • Contact
  • Journals
    • All Journals
    • Oncology Letters
      • Oncology Letters
      • Information for Authors
      • Editorial Policies
      • Editorial Board
      • Aims and Scope
      • Abstracting and Indexing
      • Bibliographic Information
      • Archive
    • International Journal of Oncology
      • International Journal of Oncology
      • Information for Authors
      • Editorial Policies
      • Editorial Board
      • Aims and Scope
      • Abstracting and Indexing
      • Bibliographic Information
      • Archive
    • Molecular and Clinical Oncology
      • Molecular and Clinical Oncology
      • Information for Authors
      • Editorial Policies
      • Editorial Board
      • Aims and Scope
      • Abstracting and Indexing
      • Bibliographic Information
      • Archive
    • Experimental and Therapeutic Medicine
      • Experimental and Therapeutic Medicine
      • Information for Authors
      • Editorial Policies
      • Editorial Board
      • Aims and Scope
      • Abstracting and Indexing
      • Bibliographic Information
      • Archive
    • International Journal of Molecular Medicine
      • International Journal of Molecular Medicine
      • Information for Authors
      • Editorial Policies
      • Editorial Board
      • Aims and Scope
      • Abstracting and Indexing
      • Bibliographic Information
      • Archive
    • Biomedical Reports
      • Biomedical Reports
      • Information for Authors
      • Editorial Policies
      • Editorial Board
      • Aims and Scope
      • Abstracting and Indexing
      • Bibliographic Information
      • Archive
    • Oncology Reports
      • Oncology Reports
      • Information for Authors
      • Editorial Policies
      • Editorial Board
      • Aims and Scope
      • Abstracting and Indexing
      • Bibliographic Information
      • Archive
    • Molecular Medicine Reports
      • Molecular Medicine Reports
      • Information for Authors
      • Editorial Policies
      • Editorial Board
      • Aims and Scope
      • Abstracting and Indexing
      • Bibliographic Information
      • Archive
    • World Academy of Sciences Journal
      • World Academy of Sciences Journal
      • Information for Authors
      • Editorial Policies
      • Editorial Board
      • Aims and Scope
      • Abstracting and Indexing
      • Bibliographic Information
      • Archive
    • International Journal of Functional Nutrition
      • International Journal of Functional Nutrition
      • Information for Authors
      • Editorial Policies
      • Editorial Board
      • Aims and Scope
      • Abstracting and Indexing
      • Bibliographic Information
      • Archive
    • International Journal of Epigenetics
      • International Journal of Epigenetics
      • Information for Authors
      • Editorial Policies
      • Editorial Board
      • Aims and Scope
      • Abstracting and Indexing
      • Bibliographic Information
      • Archive
    • Medicine International
      • Medicine International
      • Information for Authors
      • Editorial Policies
      • Editorial Board
      • Aims and Scope
      • Abstracting and Indexing
      • Bibliographic Information
      • Archive
  • Articles
  • Information
    • Information for Authors
    • Information for Reviewers
    • Information for Librarians
    • Information for Advertisers
    • Conferences
  • Language Editing
Spandidos Publications Logo
  • About
    • About Spandidos
    • Aims and Scopes
    • Abstracting and Indexing
    • Editorial Policies
    • Reprints and Permissions
    • Job Opportunities
    • Terms and Conditions
    • Contact
  • Journals
    • All Journals
    • Biomedical Reports
      • Information for Authors
      • Editorial Policies
      • Editorial Board
      • Aims and Scope
      • Abstracting and Indexing
      • Bibliographic Information
      • Archive
    • Experimental and Therapeutic Medicine
      • Information for Authors
      • Editorial Policies
      • Editorial Board
      • Aims and Scope
      • Abstracting and Indexing
      • Bibliographic Information
      • Archive
    • International Journal of Epigenetics
      • Information for Authors
      • Editorial Policies
      • Editorial Board
      • Aims and Scope
      • Abstracting and Indexing
      • Bibliographic Information
      • Archive
    • International Journal of Functional Nutrition
      • Information for Authors
      • Editorial Policies
      • Editorial Board
      • Aims and Scope
      • Abstracting and Indexing
      • Bibliographic Information
      • Archive
    • International Journal of Molecular Medicine
      • Information for Authors
      • Editorial Policies
      • Editorial Board
      • Aims and Scope
      • Abstracting and Indexing
      • Bibliographic Information
      • Archive
    • International Journal of Oncology
      • Information for Authors
      • Editorial Policies
      • Editorial Board
      • Aims and Scope
      • Abstracting and Indexing
      • Bibliographic Information
      • Archive
    • Medicine International
      • Information for Authors
      • Editorial Policies
      • Editorial Board
      • Aims and Scope
      • Abstracting and Indexing
      • Bibliographic Information
      • Archive
    • Molecular and Clinical Oncology
      • Information for Authors
      • Editorial Policies
      • Editorial Board
      • Aims and Scope
      • Abstracting and Indexing
      • Bibliographic Information
      • Archive
    • Molecular Medicine Reports
      • Information for Authors
      • Editorial Policies
      • Editorial Board
      • Aims and Scope
      • Abstracting and Indexing
      • Bibliographic Information
      • Archive
    • Oncology Letters
      • Information for Authors
      • Editorial Policies
      • Editorial Board
      • Aims and Scope
      • Abstracting and Indexing
      • Bibliographic Information
      • Archive
    • Oncology Reports
      • Information for Authors
      • Editorial Policies
      • Editorial Board
      • Aims and Scope
      • Abstracting and Indexing
      • Bibliographic Information
      • Archive
    • World Academy of Sciences Journal
      • Information for Authors
      • Editorial Policies
      • Editorial Board
      • Aims and Scope
      • Abstracting and Indexing
      • Bibliographic Information
      • Archive
  • Articles
  • Information
    • For Authors
    • For Reviewers
    • For Librarians
    • For Advertisers
    • Conferences
  • Language Editing
Login Register Submit
  • This site uses cookies
  • You can change your cookie settings at any time by following the instructions in our Cookie Policy. To find out more, you may read our Privacy Policy.

    I agree
Search articles by DOI, keyword, author or affiliation
Search
Advanced Search
presentation
Experimental and Therapeutic Medicine
Join Editorial Board Propose a Special Issue
Print ISSN: 1792-0981 Online ISSN: 1792-1015
Journal Cover
March-2026 Volume 31 Issue 3

Full Size Image

Sign up for eToc alerts
Recommend to Library

Journals

International Journal of Molecular Medicine

International Journal of Molecular Medicine

International Journal of Molecular Medicine is an international journal devoted to molecular mechanisms of human disease.

International Journal of Oncology

International Journal of Oncology

International Journal of Oncology is an international journal devoted to oncology research and cancer treatment.

Molecular Medicine Reports

Molecular Medicine Reports

Covers molecular medicine topics such as pharmacology, pathology, genetics, neuroscience, infectious diseases, molecular cardiology, and molecular surgery.

Oncology Reports

Oncology Reports

Oncology Reports is an international journal devoted to fundamental and applied research in Oncology.

Experimental and Therapeutic Medicine

Experimental and Therapeutic Medicine

Experimental and Therapeutic Medicine is an international journal devoted to laboratory and clinical medicine.

Oncology Letters

Oncology Letters

Oncology Letters is an international journal devoted to Experimental and Clinical Oncology.

Biomedical Reports

Biomedical Reports

Explores a wide range of biological and medical fields, including pharmacology, genetics, microbiology, neuroscience, and molecular cardiology.

Molecular and Clinical Oncology

Molecular and Clinical Oncology

International journal addressing all aspects of oncology research, from tumorigenesis and oncogenes to chemotherapy and metastasis.

World Academy of Sciences Journal

World Academy of Sciences Journal

Multidisciplinary open-access journal spanning biochemistry, genetics, neuroscience, environmental health, and synthetic biology.

International Journal of Functional Nutrition

International Journal of Functional Nutrition

Open-access journal combining biochemistry, pharmacology, immunology, and genetics to advance health through functional nutrition.

International Journal of Epigenetics

International Journal of Epigenetics

Publishes open-access research on using epigenetics to advance understanding and treatment of human disease.

Medicine International

Medicine International

An International Open Access Journal Devoted to General Medicine.

Journal Cover
March-2026 Volume 31 Issue 3

Full Size Image

Sign up for eToc alerts
Recommend to Library

  • Article
  • Citations
    • Cite This Article
    • Download Citation
    • Create Citation Alert
    • Remove Citation Alert
    • Cited By
  • Similar Articles
    • Related Articles (in Spandidos Publications)
    • Similar Articles (Google Scholar)
    • Similar Articles (PubMed)
  • Download PDF
  • Download XML
  • View XML
Case Report Open Access

Intralobar pulmonary sequestration coexisting with pulmonary cryptococcosis: A case report and literature review

  • Authors:
    • Dan Cheng
    • Yue Wang
    • Jun Li
    • Dan Yu
    • Yunyun Wang
    • Jinbo Fan
    • Jiankun Wang
    • Liqun He
  • View Affiliations / Copyright

    Affiliations: Department of Blood Transfusion Medicine, Taihe Hospital, Hubei University of Medicine, Shiyan, Hubei 442000, P.R. China, Clinical Molecular Diagnosis Center, Taihe Hospital, Hubei University of Medicine, Shiyan, Hubei 442000, P.R. China, Department of Laboratory, Clinical Molecular Diagnostics Center, Taihe Hospital, Hubei University of Medicine, Shiyan, Hubei 442000, P.R. China, Department of Pathology, Taihe Hospital, Hubei University of Medicine, Shiyan, Hubei 442000, P.R. China, Department of Thoracic Surgery, Taihe Hospital, Hubei University of Medicine, Shiyan, Hubei 442000, P.R. China, Department of Pulmonary and Critical Care Medicine, Taihe Hospital, Hubei University of Medicine, Shiyan, Hubei 442000, P.R. China, Department of Nephrology, Taihe Hospital, Hubei University of Medicine, Shiyan, Hubei 442000, P.R. China
    Copyright: © Cheng et al. This is an open access article distributed under the terms of Creative Commons Attribution License.
  • Article Number: 78
    |
    Published online on: January 23, 2026
       https://doi.org/10.3892/etm.2026.13073
  • Expand metrics +
Metrics: Total Views: 0 (Spandidos Publications: | PMC Statistics: )
Metrics: Total PDF Downloads: 0 (Spandidos Publications: | PMC Statistics: )
Cited By (CrossRef): 0 citations Loading Articles...

This article is mentioned in:


Abstract

Pulmonary sequestration (PS) is a rare congenital foregut abnormality characterized by non‑functioning lung tissue that receives an arterial blood supply from an anomalous systemic artery, typically the aorta, and is separated from the normal tracheobronchial tree. It often presents as a mass‑like, cystic, cavitary or pneumonic lesion on imaging. Patients often present with symptoms of recurrent pulmonary infection; however, cryptococcal infection is rare. The present case study reports on a 52‑year‑old man with PS and cryptococcal infection. The mass in the lower lobe of the right lung was removed by video‑assisted thoracoscopic surgery and diagnosed as PS. Furthermore, the nodule present in the left inferior lobe was identified as cryptococcal infection by percutaneous lung biopsy. Pulmonary cryptococcosis (PC) disappeared after antifungal treatment. During the 3‑year follow‑up, the patient was in good condition and no recurrence of either disease was observed on contrast‑enhanced CT. The present unique case of intralobar PS with a contralateral PC nodule underscores that in the absence of a classic systemic feeding artery on imaging, percutaneous biopsy is a key step in diagnosing PS and excluding malignancy. This demonstrates the necessity for anatomy‑driven management strategies, whereby spatially separated pathologies warrant a combined approach of surgical resection for the PS and targeted antifungal therapy for the PC. The definitive exclusion of cryptococcal infection within the resected PS tissue argues for a coincidental coexistence in this immunocompetent host, highlighting the importance of evaluating each lesion independently rather than seeking a unifying diagnosis in complex pulmonary presentations.

Introduction

Pulmonary sequestration (PS) is a rare pulmonary dysplasia, accounting for 0.2-6.4% of congenital pulmonary malformations (1,2). Radiologically, PS can manifest as a solid mass, a cystic lesion, a cavity or a pneumonic consolidation, with mass-like lesions being one of the most common presentations (3). It often presents as recurrent pulmonary infections; however, fungal infections are rare. Pulmonary cryptococcosis (PC) is an invasive fungal infection primarily caused by Cryptococcus neoformans or Cryptococcus gattii (4), which is widely distributed in nature and can be found in bird droppings, soil and decaying wood (5). This infection invades the respiratory system after inhalation of cryptococcal spores, followed by the central nervous system (6). Cryptococcal infections range from superficial, affecting the skin and mucous membranes, to deep-seated or disseminated, involving internal organs. PC falls into the latter category, representing an invasive fungal disease. While pathogenic fungi including Cryptococcus are ubiquitous in the environment, symptomatic infection typically occurs in individuals harboring specific risk factors. An immunocompromised state constitutes the primary risk factor for developing invasive cryptococcosis. This includes individuals living with HIV or acquired immunodeficiency syndrome, solid organ transplant recipients, patients with hematologic malignancies and those receiving immunosuppressive therapies such as corticosteroids or biologic agents (4,7). However, it is increasingly recognized that a marked proportion of PC cases, <30-50% in certain studies, occur in immunocompetent hosts who often exhibit a history of environmental exposure to soil, decaying wood or bird droppings (8). In these immunocompetent individuals, the clinical presentation is often more indolent and the disease is frequently localized to the lungs. However, to the best of our knowledge, the coexistence of PS and PC is exceedingly rare, with only one prior case reported in the published English literature to date (9). In this previously reported case, the cryptococcal infection was located within the sequestered lung segment. The concomitant occurrence of these two entities, particularly when presenting in separate lobes, poses unique diagnostic and therapeutic challenges. The non-specific radiological features often lead to an initial misdiagnosis of lung cancer, potentially resulting in inappropriate management (6,8). Therefore, enhancing awareness and understanding of this rare co-occurrence is of notable clinical importance. The present case report outlines a unique case of intralobar PS in the right lower lobe of the patient, coexisting with PC in the contralateral left lower lobe, representing an alternative clinical scenario from the previously reported, aforementioned case. Within the present case report, the clinical presentation, imaging findings, diagnostic workup and successful treatment strategy are described, followed by a review of the relevant literature, with the aim to provide insights that will aid clinicians in the timely diagnosis and appropriate management of such complex cases.

Case report

In August 2021, a 52-year-old Han male patient was admitted to Taihe Hospital (Shiyan, China), due to a cough, expectoration and chest tightness for 2 weeks. The patient complained of respiratory symptoms and denied any other discomfort. However, the total leukocyte (white blood cell) count was elevated at 11.2x109/l (normal range, 3.5-9.5x109/l). Contrast-enhanced chest CT scans showed an oval lesion measuring 3.5x2.7 cm in the right lower lobe of the lung (Fig. 1A). Notably, no definitive aberrant systemic artery supplying the lesion was identified on the contrast-enhanced CT scan due to institutional-specific practices. Within the institution, three-dimensional CT angiography reconstruction is performed only as part of a dedicated vascular CT angiography protocol, which was not included in contrast-enhanced CT. Furthermore, a 0.9x0.6 cm nodule in the lower lobe of the left lung (Fig. 1A) was also observed, which was initially suspected to be peripheral lung cancer. Given the non-specific imaging features and the primary differential diagnosis of lung cancer, a CT-guided percutaneous biopsy of the right lower lobe lesion was conducted to obtain a definitive diagnosis. The patient was immunocompetent, had no history of recent travel, no history of exposure to pigeon manure or soil, no history of smoking or drinking and no extensive use of hormones and antibiotics before presenting to Taihe Hospital (Shiyan, China). The medical history of the patient included chronic gastritis for >2 years. Upon admission, the vital signs were within normal limits: Heart rate was 77 bpm (normal, 60-100 bpm), blood pressure was 112/73 mmHg (normal, <120/80 mmHg), respiratory rate was 20 bpm (normal, 12-20 bpm) and body temperature was 36.6˚C (normal, 36.1-37.2˚C). Physical examination showed normal breath sounds. There were no skin lesions, lymph node enlargement or splenomegaly present. Laboratory results showed that the whole blood leukocyte count was 6.82x109/l [neutrophils, 63.6% (normal range, 50-70%); lymphocytes, 27.9% (normal range, 20-50%); monocytes, 6.2% (normal range, 3-10%); eosinophils, 1.7% (normal range, 0.4-8%); and basophils, 0.6% (normal range, 0-1%)], the red blood cell count was 5.1x1012/l (normal range, 4.3 to 5.8 x1012/l), hemoglobin was 157 g/l (normal range, 130-175 g/l) and the platelet count was 231x109/l (normal range, 125-350x109/l). Blood glucose was measured as 4.65 mmol/l (normal range, 3.9-6.1 mmol/l), total bilirubin was 21.85 µmol/l (normal range, 3.42-20.5 µmol/l), aspartate aminotransferase was 18 U/l (normal range, 0-40 U/l), alanine aminotransferase was 16 U/l (normal range, 0-50 U/l), lactate dehydrogenase was 99 IU/l (normal range, 100-240 IU/l) and highly sensitive C-reactive protein was 3.05 mg/l (normal range, 0-5 mg/l). Urinalysis and microscopic examination results appeared normal. Tumor marker analysis demonstrated that neuron-specific enolase [15.6 ng/ml (normal range, 0-16.3 ng/ml)], carcinoembryonic antigen [1.25 µg (normal range, 0-5 µg/l)] and ferritin [68.1 ng/ml, (normal range, 30-400 ng/ml)] exhibited normal levels. However, the cytokeratin 19 fragment exhibited a value of 5.8 µg/l (normal range, 0-3.3 µg/l), which exceeded the normal upper limit of 2.5 µg/l. The patient had normal T-lymphocyte subsets and was negative for HIV antibodies. Sputum gram stain and bacterial culture showed no microorganisms present. No acid-fast bacteria were found in acid-fast staining and sputum culture. Fiberbronchoscopy was performed and revealed no endobronchial lesions in either the right or left main bronchi. Given the peripheral location of both the right lower lobe mass and the left lower lobe nodule, a transbronchial biopsy was not attempted. Bronchoalveolar lavage was performed in the right lower lobe, targeting the region of the PS mass. The bacteriological, cytological and pathological examinations of the bronchoalveolar lavage fluid were negative. To obtain a definitive diagnosis, a CT-guided percutaneous lung biopsy of the lesion in the lower lobe of the right lung was performed, which was pathologically confirmed to be PS. The histopathological examination of the biopsy specimens revealed features highly suggestive of and consistent with PS, including: i) Marked fibrotic thickening of the alveolar septa; ii) chronic inflammation with lymphocyte infiltration; and iii) dilated, cystically remodeled airspaces. These features, in conjunction with the radiological presentation of a well-defined mass in a typical location (posteromedial lower lobe), the absence of an endobronchial lesion on bronchoscopy to suggest an obstructive etiology, as well as the overall clinical context, collectively supported a working diagnosis of PS. Malignancy was ruled out by the absence of malignant cells. One week after admission, a CT-guided percutaneous lung needle biopsy was performed in the left lower lobe nodule, which was histopathologically confirmed to be a PC infection. Histologically, hematoxylin and eosin (H&E) staining revealed granulomatous inflammation with multinucleated giant cells containing a number of round and oval yeast cells, which were identified as cryptococcus through periodic acid-Schiff (PAS) stain, silver hexamethonium (GMS) and mucocarsine staining (Fig. 2A-D). For histopathological examination, the percutaneous lung biopsy specimens from the left lower lobe nodule were immediately fixed in 10% neutral buffered formalin at room temperature for 24-48 h. After routine processing, tissues were embedded in paraffin and serially sectioned at 4-µm thickness. Sections were stained with H&E for initial assessment. For fungal identification, special stains including PAS, GMS and mucicarmine were performed according to the manufacturer's standard protocols (all reagents from Baso Inc.). Staining incubation was performed at room temperature with durations as follows: PAS (15 min), GMS (60 min) and mucicarmine (10 min). All stained slides were examined under a light microscope (Olympus CX31; Olympus Corp.). Photomicrographs were captured using an attached digital camera (Mshot MS60; Micro-shot Technology, Ltd.). The scale bars (50 µm) and magnifications (x200) for each image are provided in Fig. 2A-D.

Contrast-enhanced CT before and after
treatment. (A) The axial contrast-enhanced CT image shows an oval
lesion in the right lower lobe (red arrow). Careful evaluation of
the CT scan, including this image and the full series, did not
definitively demonstrate a systemic arterial supply to the lesion.
A nodule in the left lower lobe (yellow arrow) is also observed.
(B) Follow-up contrast-enhanced CT scan after surgery shows the
post-resection change in the right lower lobe (red arrow) and
resolution of the left lower lobe nodule (yellow arrow).

Figure 1

Contrast-enhanced CT before and after treatment. (A) The axial contrast-enhanced CT image shows an oval lesion in the right lower lobe (red arrow). Careful evaluation of the CT scan, including this image and the full series, did not definitively demonstrate a systemic arterial supply to the lesion. A nodule in the left lower lobe (yellow arrow) is also observed. (B) Follow-up contrast-enhanced CT scan after surgery shows the post-resection change in the right lower lobe (red arrow) and resolution of the left lower lobe nodule (yellow arrow).

Histopathological findings of nodules
in the posterior basal segment of the left lower lobe of the lung.
(A) Granulomatous inflammation with multinucleated giant cells
containing a number of round and oval cryptococcal yeasts (H&E
staining; yellow arrow; scale bar, 50 µm). (B) Periodic acid-Schiff
positive staining (red arrow; scale bar, 50 µm). (C) Silver
hexamethonium positive staining (green arrow). (D) Organisms
positive for mucicarmine (yellow arrow; scale bar, 50 µm;
magnification, x200).

Figure 2

Histopathological findings of nodules in the posterior basal segment of the left lower lobe of the lung. (A) Granulomatous inflammation with multinucleated giant cells containing a number of round and oval cryptococcal yeasts (H&E staining; yellow arrow; scale bar, 50 µm). (B) Periodic acid-Schiff positive staining (red arrow; scale bar, 50 µm). (C) Silver hexamethonium positive staining (green arrow). (D) Organisms positive for mucicarmine (yellow arrow; scale bar, 50 µm; magnification, x200).

At two weeks after admission, the patient underwent a video-assisted thoracoscopic surgery resection of PS. Notably, the decision to perform a lobectomy, rather than a more limited resection, was based on intraoperative findings and surgical principles for PS, namely the sequestered lung tissue was diffusely abnormal and involved multiple segments of the lower lobe. Furthermore, the risk of injury to the often large, friable and anomalous systemic vessels was deemed higher with a sublobar resection, making lobectomy the safer and more definitive procedure. Intraoperatively, careful dissection along the inferior pulmonary ligament and the posteromedial aspect of the lesion revealed a single aberrant systemic feeding artery. This vessel, ~6 mm in diameter, originated directly from the descending thoracic aorta. It was meticulously isolated, doubly ligated with non-absorbable suture and then divided prior to parenchymal dissection. Securing this anomalous vessel was a step prioritized to prevent catastrophic hemorrhage. Macroscopically, the resected lower lobe of the right lung was 17x11x3 cm and a capsule with a size of 3.5x3x1.5 cm was observed in the section 3.5 cm from the broken end of the bronchus (the contents had been lost; Fig. 3). The thickness of the capsule wall was 0.1-0.2 cm.

Gross appearance of operative
specimen. Macroscopically, the size of the resected right lung lobe
was 17x11x3 cm and a capsule with a size of 3.5x3x1.5 cm was
observed in the section 3.5 cm from the broken end of the bronchus.
The contents of the capsule were lost and the wall thickness was
0.1-0.2 cm. Within the section, the remaining (non-sequestered)
lung tissue of the resected lobe appeared soft and gray-red (scale
bar, 1 cm).

Figure 3

Gross appearance of operative specimen. Macroscopically, the size of the resected right lung lobe was 17x11x3 cm and a capsule with a size of 3.5x3x1.5 cm was observed in the section 3.5 cm from the broken end of the bronchus. The contents of the capsule were lost and the wall thickness was 0.1-0.2 cm. Within the section, the remaining (non-sequestered) lung tissue of the resected lobe appeared soft and gray-red (scale bar, 1 cm).

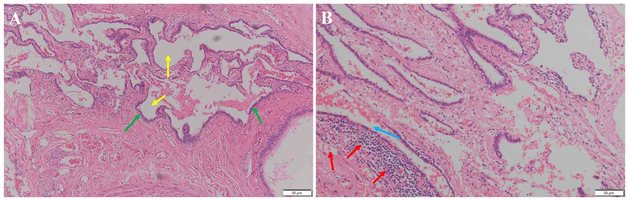
Histologically, compared to the normal lung architecture, the alveolar septa were widened, interstitial fibrous tissue was proliferated and there was increased lymphocyte infiltration, along with hemorrhage, cystic change and histiocyte aggregation-findings consistent with pulmonary sequestration (Fig. 4). Notably, a thorough histopathological examination of the entire resected PS specimen, including specific staining (PAS and GMS) for fungi, revealed no evidence of cryptococcal yeast forms or any other fungal elements within the sequestered lung tissue. Finally, PS in the right lower lobe and cryptococcal infection in the left lower lobe were confirmed. Fluconazole (200 mg/day) was administered after surgery for 6 months. Furthermore, for a total of 3 years after surgery, the patient was regularly followed up in the Department of Pulmonary and Critical Care Medicine (Taihe Hospital; Shiyan, China) and shown to be in good condition. In July 2024, contrast-enhanced CT showed that there was no recurrence of cryptococcal infection in the left lower lung and that the right lower lung appeared stable after surgery (Fig. 1B).

Histopathologically, the resected
specimen contained dilated cystic cavities of different sizes
(yellow arrow) and some of the cyst walls were covered with
pseudostratified ciliated columnar epithelium (green arrow). The
alveolar septa were widened, with hyperplasia of interstitial
fibrous tissue (blue arrow) and increased lymphocyte infiltration,
hemorrhage, cystic change and histocyte aggregation (red arrow).
(A) Original magnification, x100 (scale bar, 50 µm); (B) original
magnification, x200 (scale bar, 50 µm; H&E staining).

Figure 4

Histopathologically, the resected specimen contained dilated cystic cavities of different sizes (yellow arrow) and some of the cyst walls were covered with pseudostratified ciliated columnar epithelium (green arrow). The alveolar septa were widened, with hyperplasia of interstitial fibrous tissue (blue arrow) and increased lymphocyte infiltration, hemorrhage, cystic change and histocyte aggregation (red arrow). (A) Original magnification, x100 (scale bar, 50 µm); (B) original magnification, x200 (scale bar, 50 µm; H&E staining).

Literature review and discussion

PC is an invasive lung fungal disease caused by Cryptococcus neoformans or Cryptococcus gattii (4), which typically presents in immunosuppressed patients (10,11), often as a solitary nodule mimicking malignancy (10). PS, on the other hand, is a congenital malformation prone to recurrent infections (12). The concomitant occurrence of PS and PC is exceedingly rare. The established standard for the diagnosis of PS has previously been the demonstration of an aberrant systemic artery on angiography. While contrast-enhanced CT with three-dimensional reconstruction is highly sensitive and often diagnostic by visualizing this vascular anomaly (13,14), it is important to recognize that a subset of cases may present without clear identification of the feeding vessel on standard imaging (14-16). The present case exemplifies this challenging scenario. The absence of a definitively visualized aberrant artery on contrast-enhanced CT, compounded by the patient's decision to forgo three-dimensional reconstruction, shifted the diagnostic pathway towards tissue confirmation. This underscores a key clinical point, that in the presence of a radiologically ambiguous mass, particularly when malignancy is a concern, percutaneous biopsy remains an indispensable tool. The diagnosis of PS on biopsy is established by identifying characteristic histopathological features of dysplastic lung tissue, which in the present case included interstitial fibrosis, chronic inflammation and cystic changes, findings that are well-documented in the pathology literature on PS (17). The histopathological findings of characteristic dysplastic lung tissue with cystic changes, fibrosis and chronic inflammation can establish the diagnosis of PS even in the absence of the classic angiographic finding of an aberrant systemic feeding artery. Therefore, while non-invasive imaging is still a first-line investigation tool, biopsy remains a key method within ambiguous cases, in order to rule out malignancy and obtain tissue supporting the clinical and radiological suspicion of PS. Histopathological findings can support the diagnosis of PS when interpreted in conjunction with characteristic imaging findings and after excluding other causes of localized chronic lung pathology, such as obstruction (1,12,17).

The present report acknowledges that biopsy findings themselves are not specific. The definitive diagnosis of PS in the present case was therefore not based on pathology alone, but on the integration of the following: i) Typical radiological location and appearance; ii) histopathology ruling out malignancy and showing changes compatible with chronic sequestration/recurrent infection; iii) bronchoscopic exclusion of an endobronchial obstructing lesion (which would favor a diagnosis of obstructive pneumonia); and iv) the subsequent surgical resection and pathological examination of the entire specimen, which demonstrated the absence of a bronchial communication, a key feature of PS.

The majority of PSs often present as solid masses, with or without cavity lesions. Wei and Li (3) retrospectively analyzed the chest CT characteristics of 1,106 PS cases and found that there were four main types of PS, namely mass lesions (49.01%), cystic lesions (28.57%), cavitary lesions (11.57%) and pneumonic lesions (7.96%). Yue et al (13) demonstrated that the accuracy (>95%) and sensitivity (>95%) of CT angiography in diagnosing PS were relatively high, which was considered to be comparable to the established standard, digital subtraction angiography. In this case, PS exhibited a solid mass shadow upon chest CT scans. PC is primarily observed in patients who are immunosuppressed or those with a history of exposure to soil, dust or pigeon droppings (4,8,18). However, no history of immunosuppression or exposure was found in the present case.

Currently, to the best of our knowledge, there is no consensus on whether there is an association between PS and PC. Only one previous case by Guan et al (9) has reported this coexistence, whereby the cryptococcal infection was located within the sequestered lung segment. Despite aggressive antifungal therapy, the pulmonary infection relapsed, necessitating a lobectomy to eradicate the source of persistent infection within the PS. By contrast, the present case presents a novel pattern of ‘separated coexistence’, whereby the PS was situated in the right lower lobe and the cryptococcal nodule was identified as a distinct entity in the contralateral left lower lobe; therefore, a ‘split-and-conquer’ strategy was employed, involving surgical resection of the PS combined with targeted antifungal therapy for the PC. The surgery was primarily aimed at addressing the PS itself, rather than controlling a drug-refractory infection. The coexistence of PS and PC in the present case, albeit in different lobes, raises the question of a potential pathophysiological association beyond just a coincidence. While the patient in the present case was immunocompetent systemically, the local immune environment within a PS may be altered, predisposing it to infections. A PS is characterized by impaired bronchial communication and defective drainage, leading to the stagnation of secretions (19,20). This stagnant environment can compromise local mucociliary clearance and create a niche susceptible to colonization by a number of pathogens, including fungi. Furthermore, the chronic inflammation and structural damage within the sequestered lung tissue, as seen in the present case with lymphocyte infiltration and fibrosis, could disrupt the normal local immune surveillance. This concept of ‘local immunosuppression’ is supported by the well-documented higher incidence of aspergillosis in patients with PS compared with the general population (19). Although the cryptococcal infection in the present case was in a separate lobe, it is plausible that the patient had a generalized, subclinical susceptibility to respiratory infections, with the PS and the left lower lobe nodule representing two different manifestations of this susceptibility. The route of cryptococcal spread to the sequestration, as suggested in the literature, could be hematogenous, lymphatic or through the pores of Kohn (9). Therefore, while a causal relationship cannot be established from the present case, the presence of PS may indicate a regional lung environment that is more permissive to fungal establishment and proliferation. The management of coexisting PS and PC should be tailored based on the anatomical relationship between the two conditions (9,19). The present case underscores the importance of a nuanced treatment strategy. When PC is located within the sequestered lung segment, surgical resection of the PS serves a dual purpose. It is both an established treatment for the congenital malformation and an effective means of eradicating the entrenched fungal infection. By contrast, when PC presents as a separate lesion in a different lobe, as seen in the present patient, a staged approach is warranted. This involves surgical resection of the PS to address the source of recurrent infection and potential complications, combined with preoperative or postoperative antifungal therapy targeted at the distinct PC nodule. This bifurcated strategy optimizes outcomes by matching the intervention to the specific pathological context.

Surgical resection is the optimal choice in the treatment of PS. At present, PS accounts for 0.15-6.45% of congenital lung malformations, 1.1-1.8% of lung resections and the surgical detection rate is ~1.5% (21). A key procedure during this is complete resection of the diseased lung tissue and ligation of the blood supply vessels to prevent severe bleeding. The conventional treatment consists of surgical resection of the PS, but in previous years, endovascular embolization has been proposed as a valid therapeutic alternative (22-27). Deng et al (28) reported a PS case presented with haemoptysis, coil embolization was performed instead of surgery and no complications were found after the operation. In addition, Bi et al (23) conducted a single-center, retrospective study and assessed the safety and efficacy of transarterial embolization for PS, showing a clinical success rate of 90.9%. Borzelli et al (24) demonstrated that arterial embolization was a valid and effective therapeutic alternative to surgical resection in the treatment of PS. Based on previous literature, endovascular embolization concurs the advantages of less trauma, lower risk and fewer complications and may be the best alternative to surgery for PS treatment.

According to 2010 updated clinical practice guidelines from the Infectious Diseases Society of America (4), amphotericin B combined with fluconazole is recommended as a primary therapy regimen, followed by fluconazole as consolidation therapy (4). To avoid the occurrence of reinfection that destroys the adjacent lung parenchyma, resection of the malformation is recommended in the presence of complications such as persistent or recurrent infections, hemoptysis as well as in the absence of antifungal agents. In the previously reported case (9), the patient underwent right lower lobectomy and received liposomal amphotericin B for 3 months, after which the patient was stable. In the present case, PS was removed and cryptococcal lesions were treated with anti-infectives and 200 mg/day fluconazole was administered for 6 months. Therefore, the accurate differentiation between PS, PC and lung malignancy is of notable clinical importance, as it directly determines the treatment strategy and spares patients from potentially harmful and unnecessary therapies. In the present case, the initial suspicion of peripheral lung cancer could have led to more aggressive surgical intervention or even chemotherapy being performed. Notably, the definitive diagnosis of PC guided targeted antifungal therapy. The first-line treatment for cryptococcosis, fluconazole, while generally well-tolerated, is not without risks. Common side effects include gastrointestinal disturbances (nausea, vomiting and abdominal pain), a skin rash and headache. More marked adverse effects involve hepatotoxicity, evidenced by elevated liver enzymes and rare but serious conditions such as QT interval prolongation and alopecia (29,30). Long-term administration, as required for consolidation therapy (for example, 6-12 months), necessitates regular monitoring of liver function. Had the pulmonary nodule been misdiagnosed as a common bacterial infection, prolonged courses of broad-spectrum antibiotics could have been prescribed, increasing the risk of Clostridium difficile infection, fostering antimicrobial resistance and causing dysbiosis without any clinical benefit (30). Therefore, the combination of contrast-enhanced CT and histopathological examination was key in the present case, not only securing the correct diagnoses but also ensuring that the patient received the most appropriate and least harmful treatment. This manifested as surgical resection for the PS and targeted, time-limited antifungal therapy for the PC, thereby avoiding the consequences of misdirected and potentially toxic medical or surgical interventions.

This present study exhibits a number of limitations. Firstly, the spatial separation of the PS and PC lesions makes it challenging to definitively establish a direct pathophysiological association between the two conditions. A case with cryptococcal infection within the sequestered segment itself would provide a stronger model for investigating such a relationship. Second, advanced immunological profiling could not be performed on the resected lung tissue to characterize the local immune cell populations and cytokine environment, which could have provided mechanistic insights. Future research involving such cases should aim to incorporate detailed microbiological and immunological analyses of the sequestered tissue to improve the understanding of the local factors that might predispose to specific infections such as cryptococcosis.

The diagnostic challenge in the present case was two-fold. First, the solid mass appearance of the PS in the right lower lobe and the nodular presentation of PC in the left lower lobe are both radiological mimics of primary lung malignancy, as was initially suspected in the patient. This often leads to unnecessary anxiety and could prompt more invasive procedures if not correctly characterized. Second, the coexistence of two different pathologies in one immunocompetent patient is uncommon. There is a cognitive bias in clinical practice to seek a unifying diagnosis. Upon identifying one pathology (PS), there is a risk of attributing all abnormalities to this risk and overlooking a second, independent entity (PC). Therefore, meticulous evaluation of each lesion with appropriate diagnostic tools, such as image-guided biopsy for histopathological and microbiological confirmation, is key in such complex presentations to avoid missed diagnosis and ensure both conditions are adequately addressed.

Overall, the unique present case of intralobar pulmonary sequestration with a contralateral pulmonary cryptococcosis nodule underscores that in the absence of a classic systemic feeding artery on imaging, percutaneous biopsy is a key step towards diagnosing PS and excluding malignancy. It demonstrates the necessity of an anatomy-driven management strategy, whereby spatially separated pathologies warrant a combined approach of surgical resection for the PS and targeted antifungal therapy for the PC. The definitive exclusion of cryptococcal infection within the resected PS tissue argues for a coincidental coexistence in this immunocompetent host, highlighting the importance of evaluating each lesion independently rather than seeking a unifying diagnosis in complex pulmonary presentations.

Acknowledgements

Not applicable.

Funding

Funding: No funding was received.

Availability of data and materials

The data generated in the present study may be requested from the corresponding author.

Authors' contributions

LH and JW conceived and designed the clinical study. LH, DC, YueW, and DY were responsible for the acquisition, analysis, and interpretation of patient data. YueW, DY and YunW performed the histopathological and surgical data collection and interpretation. JL and JF contributed to the radiological and microbiological data interpretation. All authors participated in drafting the manuscript and critically revising it for important intellectual content. LH and JW supervised the study and coordinated the follow-up. JW and DC confirm the authenticity of all the raw data. All authors read and approved the final version of the manuscript.

Ethics approval and consent to participate

The present report was approved by the ethics committee of Taihe Hospital (approval no. 2024KS02) and performed in accordance with the principles of Good Clinical Practice following the Tri-Council guidelines.

Patient consent for publication

Written informed consent was obtained from the patient for anonymized information (including medical records, case information and images) to be published in the present report.

Competing interests

The authors declare that they have no competing interests.

References

1 

Savic B, Birtel FJ, Tholen W, Funke HD and Knoche R: Lung sequestration: Report of seven cases and review of 540 published cases. Thorax. 34:96–101. 1979.PubMed/NCBI View Article : Google Scholar

2 

Montjoy C, Hadique S, Graeber G and Ghamande S: Intralobar bronchopulmonary sequestra in adults over age 50: Case series and review. W V Med J. 108:8–13. 2012.PubMed/NCBI

3 

Wei Y and Li F: Pulmonary sequestration: A retrospective analysis of 2625 cases in China. Eur J Cardiothorac Surg. 40:e39–e42. 2011.PubMed/NCBI View Article : Google Scholar

4 

Perfect JR, Dismukes WE, Dromer F, Goldman DL, Graybill JR, Hamill RJ, Harrison TS, Larsen RA, Lortholary O, Nguyen MH, et al: Clinical practice guidelines for the management of cryptococcal disease: 2010 Update by the infectious diseases society of america. Clin Infect Dis. 50:291–322. 2010.PubMed/NCBI View Article : Google Scholar

5 

Swinne D, Deppner M, Laroche R, Floch JJ and Kadende P: Isolation of Cryptococcus neoformans from houses of AIDS-associated cryptococcosis patients in Bujumbura (Burundi). AIDS. 3:389–390. 1989.PubMed/NCBI View Article : Google Scholar

6 

Yang R, Yan Y, Wang Y, Liu X and Su X: Plain and contrast-enhanced chest computed tomography scan findings of pulmonary cryptococcosis in immunocompetent patients. Exp Ther Med. 14:4417–4424. 2017.PubMed/NCBI View Article : Google Scholar

7 

Zhou Y, Lin PC, Ye JR, Su SS, Dong L, Wu Q, Xu HY, Xie YP and Li YP: The performance of serum cryptococcal capsular polysaccharide antigen test, histopathology and culture of the lung tissue for diagnosis of pulmonary cryptococcosis in patients without HIV infection. Infect Drug Resist. 11:2483–2490. 2018.PubMed/NCBI View Article : Google Scholar

8 

Zhang Y, Li N, Zhang Y, Li H, Chen X, Wang S, Zhang X, Zhang R, Xu J, Shi J and Yung RC: Clinical analysis of 76 patients pathologically diagnosed with pulmonary cryptococcosis. Eur Respir J. 40:1191–1200. 2012.PubMed/NCBI View Article : Google Scholar

9 

Guan C, Chen H, Shao C, He L and Song Y: Intralobar pulmonary sequestration complicating with cryptococcal infection. Clin Respir J. 9:22–26. 2015.PubMed/NCBI View Article : Google Scholar

10 

Setianingrum F, Rautemaa-Richardson R and Denning DW: Pulmonary cryptococcosis: A review of pathobiology and clinical aspects. Med Mycol. 57:133–150. 2019.PubMed/NCBI View Article : Google Scholar

11 

Smith JA and Kauffman CA: Pulmonary fungal infections. Respirology. 17:913–926. 2012.PubMed/NCBI View Article : Google Scholar

12 

Qian X, Sun Y, Liu D, Wu X, Wang Z and Tang Y: Pulmonary sequestration: A case report and literature review. Int J Clin Exp Med. 8:21822–21825. 2015.PubMed/NCBI

13 

Yue SW, Guo H, Zhang YG, Gao JB, Ma XX and Ding PX: The clinical value of computer tomographic angiography for the diagnosis and therapeutic planning of patients with pulmonary sequestration. Eur J Cardiothorac Surg. 43:946–951. 2013.PubMed/NCBI View Article : Google Scholar

14 

Hertzenberg C, Daon E and Kramer J: Intralobar pulmonary sequestration in adults: Three case reports. J Thorac Dis. 4:516–519. 2012.PubMed/NCBI View Article : Google Scholar

15 

Corbett HJ and Humphrey GME: Pulmonary sequestration. Paediatr Respir Rev. 5:59–68. 2004.PubMed/NCBI View Article : Google Scholar

16 

Büyükoğlan H, Mavili E, Tutar N, Kanbay A, Bilgin M, Oymak FS, Gülmez I and Demir R: Evaluation of diagnostic accuracy of computed tomography to assess the angioarchitecture of pulmonary sequestration. Tuberk Toraks. 59:242–247. 2011.PubMed/NCBI

17 

Gezer S, Taştepe I, Sirmali M, Findik G, Türüt H, Kaya S, Karaoğlanoğlu N and Cetin G: Pulmonary sequestration: A single-institutional series composed of 27 cases. J Thorac Cardiovasc Surg. 133:955–959. 2007.PubMed/NCBI View Article : Google Scholar

18 

Hu XP, Wang RY, Wang X, Cao YH, Chen YQ, Zhao HZ, Wu JQ, Weng XH, Gao XH, Sun RH and Zhu LP: Dectin-2 polymorphism associated with pulmonary cryptococcosis in HIV-uninfected Chinese patients. Med Mycol. 53:810–816. 2015.PubMed/NCBI View Article : Google Scholar

19 

Morikawa H, Tanaka T, Hamaji M and Ueno Y: A case of aspergillosis associated with intralobar pulmonary sequestration. Asian Cardiovasc Thorac Ann. 19:66–68. 2011.PubMed/NCBI View Article : Google Scholar

20 

Sun X and Xiao Y: Pulmonary sequestration in adult patients: A retrospective study. Eur J Cardiothorac Surg. 48:279–282. 2015.PubMed/NCBI View Article : Google Scholar

21 

Kestenholz PB, Schneiter D, Hillinger S, Lardinois D and Weder W: Thoracoscopic treatment of pulmonary sequestration. Eur J Cardiothorac Surg. 29:815–818. 2006.PubMed/NCBI View Article : Google Scholar

22 

Belczak SQ, da Silva IT, Bernardes JC, de Macedo FB, Lucato LL, Rodrigues B and Zeque BS: Pulmonary sequestration and endovascular treatment: A case report. J Vasc Bras. 18(e20180110)2019.PubMed/NCBI View Article : Google Scholar

23 

Bi Y, Li J, Yi M, Ren J and Han X: Clinical outcomes of transarterial embolization in the treatment of pulmonary sequestration. Cardiovasc Intervent Radiol. 44:1491–1496. 2021.PubMed/NCBI View Article : Google Scholar

24 

Borzelli A, Paladini A, Giurazza F, Tecame S, Giordano F, Cavaglià E, Amodio F, Corvino F, Beomonte Zobel D, Frauenfelder G, et al: Successful endovascular embolization of an intralobar pulmonary sequestration. Radiol Case Rep. 13:125–129. 2017.PubMed/NCBI View Article : Google Scholar

25 

Szmygin M, Pyra K, Sojka M and Jargiełło T: Successful endovascular treatment of intralobar pulmonary sequestration-an effective alternative to surgery. Pol J Radiol. 86:e112–e114. 2021.PubMed/NCBI View Article : Google Scholar

26 

Ellis J, Brahmbhatt S, Desmond D, Ching B and Hostler J: Coil embolization of intralobar pulmonary sequestration-an alternative to surgery: A case report. J Med Case Rep. 12(375)2018.PubMed/NCBI View Article : Google Scholar

27 

Roman S, Millet C, Mekheal N, Mekheal E and Manickam R: Endovascular embolization of pulmonary sequestration presenting with hemoptysis: A promising alternative to surgery. Cureus. 13(e17399)2021.PubMed/NCBI View Article : Google Scholar

28 

Deng Y, Fang X and Wu B: Coil embolization to treat pulmonary sequestration in the right upper lobe. Interact Cardiovasc Thorac Surg. 35(ivac178)2022.PubMed/NCBI View Article : Google Scholar

29 

Egunsola O, Adefurin A, Fakis A, Jacqz-Aigrain E, Choonara I and Sammons H: Safety of fluconazole in paediatrics: A systematic review. Eur J Clin Pharmacol. 69:1211–1221. 2013.PubMed/NCBI View Article : Google Scholar

30 

Patangia DV, Anthony Ryan C, Dempsey E, Paul Ross R and Stanton C: Impact of antibiotics on the human microbiome and consequences for host health. Microbiologyopen. 11(e1260)2022.PubMed/NCBI View Article : Google Scholar

Related Articles

  • Abstract
  • View
  • Download
  • Twitter
Copy and paste a formatted citation
Spandidos Publications style
Cheng D, Wang Y, Li J, Yu D, Wang Y, Fan J, Wang J and He L: <p>Intralobar pulmonary sequestration coexisting with pulmonary cryptococcosis: A case report and literature review</p>. Exp Ther Med 31: 78, 2026.
APA
Cheng, D., Wang, Y., Li, J., Yu, D., Wang, Y., Fan, J. ... He, L. (2026). <p>Intralobar pulmonary sequestration coexisting with pulmonary cryptococcosis: A case report and literature review</p>. Experimental and Therapeutic Medicine, 31, 78. https://doi.org/10.3892/etm.2026.13073
MLA
Cheng, D., Wang, Y., Li, J., Yu, D., Wang, Y., Fan, J., Wang, J., He, L."<p>Intralobar pulmonary sequestration coexisting with pulmonary cryptococcosis: A case report and literature review</p>". Experimental and Therapeutic Medicine 31.3 (2026): 78.
Chicago
Cheng, D., Wang, Y., Li, J., Yu, D., Wang, Y., Fan, J., Wang, J., He, L."<p>Intralobar pulmonary sequestration coexisting with pulmonary cryptococcosis: A case report and literature review</p>". Experimental and Therapeutic Medicine 31, no. 3 (2026): 78. https://doi.org/10.3892/etm.2026.13073
Copy and paste a formatted citation
x
Spandidos Publications style
Cheng D, Wang Y, Li J, Yu D, Wang Y, Fan J, Wang J and He L: <p>Intralobar pulmonary sequestration coexisting with pulmonary cryptococcosis: A case report and literature review</p>. Exp Ther Med 31: 78, 2026.
APA
Cheng, D., Wang, Y., Li, J., Yu, D., Wang, Y., Fan, J. ... He, L. (2026). <p>Intralobar pulmonary sequestration coexisting with pulmonary cryptococcosis: A case report and literature review</p>. Experimental and Therapeutic Medicine, 31, 78. https://doi.org/10.3892/etm.2026.13073
MLA
Cheng, D., Wang, Y., Li, J., Yu, D., Wang, Y., Fan, J., Wang, J., He, L."<p>Intralobar pulmonary sequestration coexisting with pulmonary cryptococcosis: A case report and literature review</p>". Experimental and Therapeutic Medicine 31.3 (2026): 78.
Chicago
Cheng, D., Wang, Y., Li, J., Yu, D., Wang, Y., Fan, J., Wang, J., He, L."<p>Intralobar pulmonary sequestration coexisting with pulmonary cryptococcosis: A case report and literature review</p>". Experimental and Therapeutic Medicine 31, no. 3 (2026): 78. https://doi.org/10.3892/etm.2026.13073
Follow us
  • Twitter
  • LinkedIn
  • Facebook
About
  • Spandidos Publications
  • Careers
  • Cookie Policy
  • Privacy Policy
How can we help?
  • Help
  • Live Chat
  • Contact
  • Email to our Support Team