Spandidos Publications Logo
  • About
    • About Spandidos
    • Aims and Scopes
    • Abstracting and Indexing
    • Editorial Policies
    • Reprints and Permissions
    • Job Opportunities
    • Terms and Conditions
    • Contact
  • Journals
    • All Journals
    • Oncology Letters
      • Oncology Letters
      • Information for Authors
      • Editorial Policies
      • Editorial Board
      • Aims and Scope
      • Abstracting and Indexing
      • Bibliographic Information
      • Archive
    • International Journal of Oncology
      • International Journal of Oncology
      • Information for Authors
      • Editorial Policies
      • Editorial Board
      • Aims and Scope
      • Abstracting and Indexing
      • Bibliographic Information
      • Archive
    • Molecular and Clinical Oncology
      • Molecular and Clinical Oncology
      • Information for Authors
      • Editorial Policies
      • Editorial Board
      • Aims and Scope
      • Abstracting and Indexing
      • Bibliographic Information
      • Archive
    • Experimental and Therapeutic Medicine
      • Experimental and Therapeutic Medicine
      • Information for Authors
      • Editorial Policies
      • Editorial Board
      • Aims and Scope
      • Abstracting and Indexing
      • Bibliographic Information
      • Archive
    • International Journal of Molecular Medicine
      • International Journal of Molecular Medicine
      • Information for Authors
      • Editorial Policies
      • Editorial Board
      • Aims and Scope
      • Abstracting and Indexing
      • Bibliographic Information
      • Archive
    • Biomedical Reports
      • Biomedical Reports
      • Information for Authors
      • Editorial Policies
      • Editorial Board
      • Aims and Scope
      • Abstracting and Indexing
      • Bibliographic Information
      • Archive
    • Oncology Reports
      • Oncology Reports
      • Information for Authors
      • Editorial Policies
      • Editorial Board
      • Aims and Scope
      • Abstracting and Indexing
      • Bibliographic Information
      • Archive
    • Molecular Medicine Reports
      • Molecular Medicine Reports
      • Information for Authors
      • Editorial Policies
      • Editorial Board
      • Aims and Scope
      • Abstracting and Indexing
      • Bibliographic Information
      • Archive
    • World Academy of Sciences Journal
      • World Academy of Sciences Journal
      • Information for Authors
      • Editorial Policies
      • Editorial Board
      • Aims and Scope
      • Abstracting and Indexing
      • Bibliographic Information
      • Archive
    • International Journal of Functional Nutrition
      • International Journal of Functional Nutrition
      • Information for Authors
      • Editorial Policies
      • Editorial Board
      • Aims and Scope
      • Abstracting and Indexing
      • Bibliographic Information
      • Archive
    • International Journal of Epigenetics
      • International Journal of Epigenetics
      • Information for Authors
      • Editorial Policies
      • Editorial Board
      • Aims and Scope
      • Abstracting and Indexing
      • Bibliographic Information
      • Archive
    • Medicine International
      • Medicine International
      • Information for Authors
      • Editorial Policies
      • Editorial Board
      • Aims and Scope
      • Abstracting and Indexing
      • Bibliographic Information
      • Archive
  • Articles
  • Information
    • Information for Authors
    • Information for Reviewers
    • Information for Librarians
    • Information for Advertisers
    • Conferences
  • Language Editing
Spandidos Publications Logo
  • About
    • About Spandidos
    • Aims and Scopes
    • Abstracting and Indexing
    • Editorial Policies
    • Reprints and Permissions
    • Job Opportunities
    • Terms and Conditions
    • Contact
  • Journals
    • All Journals
    • Biomedical Reports
      • Information for Authors
      • Editorial Policies
      • Editorial Board
      • Aims and Scope
      • Abstracting and Indexing
      • Bibliographic Information
      • Archive
    • Experimental and Therapeutic Medicine
      • Information for Authors
      • Editorial Policies
      • Editorial Board
      • Aims and Scope
      • Abstracting and Indexing
      • Bibliographic Information
      • Archive
    • International Journal of Epigenetics
      • Information for Authors
      • Editorial Policies
      • Editorial Board
      • Aims and Scope
      • Abstracting and Indexing
      • Bibliographic Information
      • Archive
    • International Journal of Functional Nutrition
      • Information for Authors
      • Editorial Policies
      • Editorial Board
      • Aims and Scope
      • Abstracting and Indexing
      • Bibliographic Information
      • Archive
    • International Journal of Molecular Medicine
      • Information for Authors
      • Editorial Policies
      • Editorial Board
      • Aims and Scope
      • Abstracting and Indexing
      • Bibliographic Information
      • Archive
    • International Journal of Oncology
      • Information for Authors
      • Editorial Policies
      • Editorial Board
      • Aims and Scope
      • Abstracting and Indexing
      • Bibliographic Information
      • Archive
    • Medicine International
      • Information for Authors
      • Editorial Policies
      • Editorial Board
      • Aims and Scope
      • Abstracting and Indexing
      • Bibliographic Information
      • Archive
    • Molecular and Clinical Oncology
      • Information for Authors
      • Editorial Policies
      • Editorial Board
      • Aims and Scope
      • Abstracting and Indexing
      • Bibliographic Information
      • Archive
    • Molecular Medicine Reports
      • Information for Authors
      • Editorial Policies
      • Editorial Board
      • Aims and Scope
      • Abstracting and Indexing
      • Bibliographic Information
      • Archive
    • Oncology Letters
      • Information for Authors
      • Editorial Policies
      • Editorial Board
      • Aims and Scope
      • Abstracting and Indexing
      • Bibliographic Information
      • Archive
    • Oncology Reports
      • Information for Authors
      • Editorial Policies
      • Editorial Board
      • Aims and Scope
      • Abstracting and Indexing
      • Bibliographic Information
      • Archive
    • World Academy of Sciences Journal
      • Information for Authors
      • Editorial Policies
      • Editorial Board
      • Aims and Scope
      • Abstracting and Indexing
      • Bibliographic Information
      • Archive
  • Articles
  • Information
    • For Authors
    • For Reviewers
    • For Librarians
    • For Advertisers
    • Conferences
  • Language Editing
Login Register Submit
  • This site uses cookies
  • You can change your cookie settings at any time by following the instructions in our Cookie Policy. To find out more, you may read our Privacy Policy.

    I agree
Search articles by DOI, keyword, author or affiliation
Search
Advanced Search
presentation
Experimental and Therapeutic Medicine
Join Editorial Board Propose a Special Issue
Print ISSN: 1792-0981 Online ISSN: 1792-1015
Journal Cover
April-2026 Volume 31 Issue 4

Full Size Image

Sign up for eToc alerts
Recommend to Library

Journals

International Journal of Molecular Medicine

International Journal of Molecular Medicine

International Journal of Molecular Medicine is an international journal devoted to molecular mechanisms of human disease.

International Journal of Oncology

International Journal of Oncology

International Journal of Oncology is an international journal devoted to oncology research and cancer treatment.

Molecular Medicine Reports

Molecular Medicine Reports

Covers molecular medicine topics such as pharmacology, pathology, genetics, neuroscience, infectious diseases, molecular cardiology, and molecular surgery.

Oncology Reports

Oncology Reports

Oncology Reports is an international journal devoted to fundamental and applied research in Oncology.

Experimental and Therapeutic Medicine

Experimental and Therapeutic Medicine

Experimental and Therapeutic Medicine is an international journal devoted to laboratory and clinical medicine.

Oncology Letters

Oncology Letters

Oncology Letters is an international journal devoted to Experimental and Clinical Oncology.

Biomedical Reports

Biomedical Reports

Explores a wide range of biological and medical fields, including pharmacology, genetics, microbiology, neuroscience, and molecular cardiology.

Molecular and Clinical Oncology

Molecular and Clinical Oncology

International journal addressing all aspects of oncology research, from tumorigenesis and oncogenes to chemotherapy and metastasis.

World Academy of Sciences Journal

World Academy of Sciences Journal

Multidisciplinary open-access journal spanning biochemistry, genetics, neuroscience, environmental health, and synthetic biology.

International Journal of Functional Nutrition

International Journal of Functional Nutrition

Open-access journal combining biochemistry, pharmacology, immunology, and genetics to advance health through functional nutrition.

International Journal of Epigenetics

International Journal of Epigenetics

Publishes open-access research on using epigenetics to advance understanding and treatment of human disease.

Medicine International

Medicine International

An International Open Access Journal Devoted to General Medicine.

Journal Cover
April-2026 Volume 31 Issue 4

Full Size Image

Sign up for eToc alerts
Recommend to Library

  • Article
  • Citations
    • Cite This Article
    • Download Citation
    • Create Citation Alert
    • Remove Citation Alert
    • Cited By
  • Similar Articles
    • Related Articles (in Spandidos Publications)
    • Similar Articles (Google Scholar)
    • Similar Articles (PubMed)
  • Download PDF
  • Download XML
  • View XML

  • Supplementary Files
    • Supplementary_Data.pdf
Case Report Open Access

Gastric wall thickening and gastric outlet obstruction due to peritoneal metastasis in breast cancer: A case report

  • Authors:
    • Bin He
    • Lin Ling Li
    • Ting Yu
    • Yu Tan
    • Ling Zhang
  • View Affiliations / Copyright

    Affiliations: School of Clinical Medicine, Chengdu Medical College, Chengdu, Sichuan 610500, P.R. China, Department of Pathology, The General Hospital of Western Theater Command of the Chinese People's Liberation Army, Chengdu, Sichuan 610083, P.R. China, Department of Oncology, The General Hospital of Western Theater Command of the Chinese People's Liberation Army, Chengdu, Sichuan 610083, P.R. China
    Copyright: © He et al. This is an open access article distributed under the terms of Creative Commons Attribution License.
  • Article Number: 86
    |
    Published online on: January 29, 2026
       https://doi.org/10.3892/etm.2026.13081
  • Expand metrics +
Metrics: Total Views: 0 (Spandidos Publications: | PMC Statistics: )
Metrics: Total PDF Downloads: 0 (Spandidos Publications: | PMC Statistics: )
Cited By (CrossRef): 0 citations Loading Articles...

This article is mentioned in:


Abstract

Peritoneal metastasis from breast cancer is rare and diagnostically challenging. This challenge is particularly compounded in patients receiving CDK4/6 inhibitors, as their characteristic gastrointestinal adverse effects can mimic the symptoms of peritoneal carcinomatosis. A woman with hormone receptor‑positive/HER2‑negative metastatic breast cancer developed symptoms of functional gastric outlet obstruction (manifesting as delayed gastric emptying) 2 months after initiating palbociclib treatment. Imaging revealed diffuse and marked gastric wall thickening. Initial gastroscopic biopsies were non‑diagnostic, but laparotomy confirmed peritoneal carcinomatosis, with histology and immunohistochemistry confirming metastatic breast cancer. The present case underscores the diagnostic difficulty in differentiating drug toxicity from disease progression in patients on CDK4/6 inhibitors. The key clinical messages are: i) Persistent gastrointestinal symptoms despite CDK4/6 inhibitor withdrawal warrant investigation for peritoneal metastasis; ii) serosal‑based metastases have the potential to cause notable gastric wall thickening and functional gastric outlet obstruction while sparing the mucosa, potentially evading initial endoscopic diagnosis; and iii) a multifactorial pathogenesis involving structural infiltration and neuro‑myogenic dysfunction is proposed to underlie this clinical presentation.

Introduction

Invasive ductal carcinoma (IDC) is the most common histological subtype of breast cancer, accounting for 70-75% of all cases. Mortality in breast cancer is predominantly attributable to distant metastases, with the most frequent sites including the bones, lungs, liver and brain (1). By contrast, peritoneal metastasis is a relatively rare occurrence in the natural history of breast cancer, with contemporary data continuing to show a higher propensity for invasive lobular carcinoma (ILC) compared with IDC, attributable to its distinct pattern of dissemination (2,3). This disparity is marked, as one cohort study of metastatic breast cancer reported peritoneal involvement in 68.8% of ILC cases compared with only 1% of IDC cases (4). Diagnosis is often delayed due to its insidious onset and non-specific clinical manifestations, which can mimic a variety of benign abdominal disorders (such as functional dyspepsia, peptic ulcer disease, gastroenteritis or pancreatitis) and malignant abdominal conditions (such as primary ovarian, gastric or colorectal cancer, lymphoma or primary peritoneal carcinoma).

The introduction of CDK4/6 inhibitors has markedly improved outcomes for patients with hormone receptor (HR)-positive and HER2-negative metastatic breast cancer (5,6). However, gastrointestinal adverse effects, such as nausea, vomiting and diarrhea, commonly associated with this drug class may closely mimic symptoms of peritoneal carcinomatosis or other forms of disease progression, such as worsening peritoneal carcinomatosis (malignant ascites), bowel obstruction/ileus from peritoneal deposits or progression at other metastatic sites. This symptomatic overlap introduces notable diagnostic ambiguity, potentially delaying the recognition of metastatic spread.

The present study outlines an instructive case of a patient with HR+/HER2- IDC who developed extensive peritoneal metastases during treatment with the CDK4/6 inhibitor palbociclib, manifesting as symptomatic gastric wall thickening and functional gastric outlet obstruction. The present case highlights a key diagnostic challenge, underscores the difficulty in distinguishing drug-related toxicity from true disease progression and demonstrates how serosal-based metastases can evade conventional diagnostic modalities such as endoscopy and cross-sectional imaging. Furthermore, the multifactorial pathophysiology, including neural and myogenic dysfunction, that underlies the resulting delayed gastric emptying is explored. These observations underscore the need for clinicians to maintain a high index of suspicion in patients receiving similar therapies and to pursue prompt additional diagnostic procedures to establish a definitive diagnosis.

Case report

Patient presentation

Primary treatment, recurrence and the diagnostic journey for peritoneal metastasis across the complex clinical course, is summarized in the timeline provided in Fig. 1. In August 2016, a 48-year-old woman with no notable family history of malignancy presented to Ya'an People's Hospital (Sichuan, China) with a palpable right breast mass. A core needle biopsy confirmed IDC, clinically staged as cT2N2M0 (stage IIIA) according to the American Joint Committee on Cancer 7th edition TNM staging system (7). Subsequently, in August 2016, the patient underwent a right modified radical mastectomy with axillary lymph node dissection at The General Hospital of Western Theater Command (Sichuan, China). Subsequent adjuvant chemotherapy, radiotherapy and regular follow-ups were all conducted at this institution. Histopathological examination confirmed IDC, which was positive for estrogen receptor (ER) and progesterone receptor (PR), negative for HER2 and exhibited lymphovascular invasion (Fig. S1A-D). The Ki-67 proliferative index was ~20% (Fig. S1E). Metastatic carcinoma was identified in 8 out of 10 resected axillary lymph nodes, resulting in a final pathological stage of pT2N2M0 (stage IIIA).

Timeline of the clinical course of
the patient, outlining the key events, including initial diagnosis,
multidisciplinary treatments, recurrence, development of abdominal
symptoms, diagnostic workup and outcome. IDC, invasive ductal
carcinoma; BSO, bilateral salpingo-oophorectomy; AC-T, Adriamycin
cyclophosphamide-taxol.

Figure 1

Timeline of the clinical course of the patient, outlining the key events, including initial diagnosis, multidisciplinary treatments, recurrence, development of abdominal symptoms, diagnostic workup and outcome. IDC, invasive ductal carcinoma; BSO, bilateral salpingo-oophorectomy; AC-T, Adriamycin cyclophosphamide-taxol.

Postoperatively, the patient received adjuvant chemotherapy starting in September 2016, consisting of four 21-day cycles of epirubicin (100 mg/m2) and cyclophosphamide (600 mg/m2), followed by four 21-day cycles of paclitaxel (175 mg/m2). Upon completion of chemotherapy, the patient received adjuvant radiotherapy to the right chest wall and regional lymph nodes (axillary, supraclavicular and infraclavicular regions) at a total dose of 50 Gy delivered in 25 fractions across 5 weeks, which was completed in March 2017. Adjuvant endocrine therapy was initiated concurrently with chemotherapy in September 2016, consisting of tamoxifen (20 mg daily orally) and goserelin (3.6 mg subcutaneously every 28 days). After undergoing bilateral salpingo-oophorectomy for ovarian ablation in September 2017, the endocrine regimen of the patient was switched to letrozole (2.5 mg daily orally) alone. The patient was then followed up every 3 months in the Oncology Outpatient Clinic for 2 years, with no evidence of recurrence.

In September 2019, ~3 years after surgery, the patient developed neck pain. A chest CT scan with bone window reconstruction was subsequently performed at The General Hospital of Western Theatre Command in December 2019, which revealed multiple punctate and patchy sclerotic densities involving the bilateral humeral heads, scapulae, sternum, thoracic vertebral bodies and portions of the ribs (Fig. S2A and B). Concurrently, a spinal MRI demonstrated scattered speckled and patchy abnormal signals in multiple vertebrae (Fig. S3A and B). These imaging findings, in conjunction with the symptoms presented, were highly suggestive of osseous metastases. Treatment was initiated at this institution in December 2019, with monthly intravenous zoledronic acid and intramuscular fulvestrant administered at a loading dose of 500 mg on days 1, 15 and 29, followed by monthly maintenance therapy (500 mg intramuscularly every 28 days). The imaging findings were indicative of progressive metastatic disease at that time. Accordingly, from January to July 2020, the patient received six cycles of chemotherapy with liposomal paclitaxel (175 mg/m2) and capecitabine (1,000 mg/m2 twice daily for 14 days, every 21 days).

In June 2021, the patient was readmitted due to progressively worsening pain. A whole-body bone scan revealed multiple foci of increased metabolic activity throughout the skeleton, highly suggestive of metastatic disease (Fig. S2C). To obtain histological confirmation, a CT-guided pelvic biopsy was performed on July 23, 2021. However, it revealed no malignant cells (Fig. S1F). Despite this negative biopsy result, a subsequent spinal MRI in October 2021 demonstrated unequivocal progression of the bony lesions, with an increase in both the number and size of metastatic deposits compared with prior imaging (Fig. S3C and D). Given the compelling radiological and clinical evidence of progressive metastatic disease, treatment with palbociclib (125 mg daily, 21 days on and 7 days off) and fulvestrant (500 mg intramuscularly on days 1 and 15 of cycle 1, followed by 500 mg every 28 days) was initiated in October 2021.

In December 2021, after completing two cycles of palbociclib, the patient developed symptoms of abdominal distension, dyspepsia and vomiting. The temporal association initially suggested a potential adverse effect of palbociclib. These symptoms began ~8 weeks after initiating the drug. The symptoms of the patient persisted despite standard antiemetic support. In an initial attempt to manage these symptoms, the dosing schedule was modified to an alternate-day regimen for 1 week. However, the gastrointestinal symptoms showed no improvement. Furthermore, due to the worsening of their discomfort, the patient declined to continue taking the medication. Laboratory tests showed mild leukopenia (white blood cell count, 3.2x109/l; reference range, 3.5-9.5x109/l) but no notable neutropenia (absolute neutrophil count, 1.4x109/l; reference range, 1.8-6.3x109/l). The leukopenia was managed with subcutaneous recombinant human granulocyte colony-stimulating factor (150 µg daily), which normalized the white blood cell count. The drug was withheld after two cycles due to the suspicion of drug-induced toxicity and the decision of the patient. However, the symptoms exhibited by the patient persisted despite standard antiemetic support and, notably, showed no resolution for >4 weeks after palbociclib discontinuation. This protracted course, despite drug withdrawal, raised the first strong suspicion for an underlying malignant etiology, prompting further investigation.

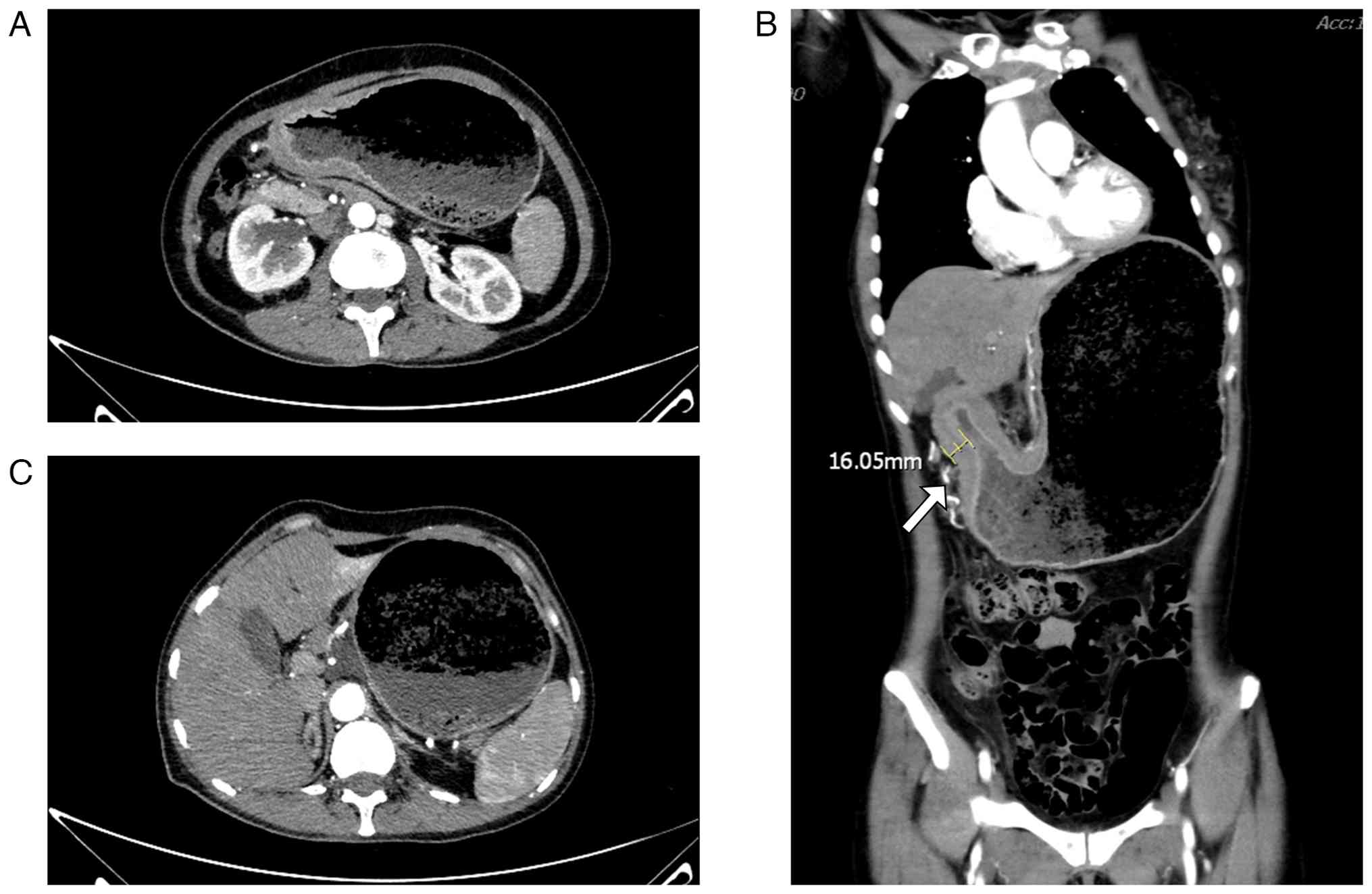
The patient was admitted to The General Hospital of Western Theater Command in January 2022 due to persistent symptoms. At admission, an Eastern Cooperative Oncology Group performance status of 2 was reported (8). The patient reported notable weight loss of ~6 kg across the preceding 2 months. Laboratory investigations revealed mild anemia (97 g/l; reference range, 115-150 g/l), hypokalemia (3.29 mmol/l; reference range, 3.5-5.3 mmol/l) and hypoalbuminemia (28 g/l; reference range, 35-52 g/l). Tumor markers were notably elevated, with carcinoembryonic antigen (CEA) at 219.74 ng/ml (reference value, <5 ng/ml), carbohydrate antigen (CA)125 at 124.90 U/ml (reference value, <35 U/ml) and CA15-3 at 146.30 U/ml (reference value, <25 U/ml). A longitudinal assessment of tumor markers (Fig. S4) demonstrated dynamic changes in serum CEA, CA125 and CA15-3 levels from the diagnosis of bone metastasis in December 2019 to the presentation of peritoneal disease in January 2022, which was associated with disease progression. A physical examination revealed notable abdominal distension, with no palpable mass detected in the left breast. Contrast-enhanced abdominal CT performed in January 2022 demonstrated marked circumferential wall thickening (maximum thickness 16.05 mm; Fig. 2C) extending from the gastric antrum to the pylorus, with heterogeneous attenuation, accompanied by notable gastric distension and fluid retention, consistent with pyloric obstruction and gastrostasis. Although these findings were consistent with gastrostasis, the primary clinical presentation was dominated by symptoms of functional gastric outlet obstruction, initially suggesting a gastroparesis-like mechanism rather than a fixed mechanical obstruction (Fig. 2). Gastroscopy performed in January 2022 revealed edema and narrowing in the gastric body and antrum (Fig. 3A-C). Given the poor nutritional status of the patient, a nasojejunal tube was placed under ultrathin gastroscopic guidance and biopsies were obtained. Histopathological examination of the gastric mucosal biopsies on routine sections showed only chronic superficial gastritis (Fig. 3D). The initial endoscopic biopsy was therefore considered non-diagnostic for malignancy.

Contrast-enhanced abdominal CT
findings at initial presentation with abdominal symptoms. (A) Axial
CT image demonstrates marked gastric distension with intragastric
fluid retention, consistent with gastrostasis. (B) Coronal CT image
shows circumferential wall thickening extending from the gastric
antrum to the pylorus (arrow), with heterogeneous attenuation; the
maximum wall thickness is ~16.05 mm. (C) Additional axial CT image
again demonstrates marked gastric distension and fluid retention,
consistent with pyloric obstruction and gastrostasis.

Figure 2

Contrast-enhanced abdominal CT findings at initial presentation with abdominal symptoms. (A) Axial CT image demonstrates marked gastric distension with intragastric fluid retention, consistent with gastrostasis. (B) Coronal CT image shows circumferential wall thickening extending from the gastric antrum to the pylorus (arrow), with heterogeneous attenuation; the maximum wall thickness is ~16.05 mm. (C) Additional axial CT image again demonstrates marked gastric distension and fluid retention, consistent with pyloric obstruction and gastrostasis.

Gastroscopic and corresponding
histopathological findings. (A) Gastroscopy of the gastric body
demonstrates edematous and nodular mucosa with luminal narrowing;
the mucosa was friable upon contact. (B) Gastroscopy of the gastric
antrum reveals prominent nodular, edematous mucosa with marked
luminal narrowing. (C) Additional gastroscopic view of the gastric
antrum shows diffusely nodular and edematous mucosa with persistent
luminal narrowing. (D) Photomicrograph of a biopsy specimen from
the gastric body (H&E stain; magnification, x100) shows chronic
superficial gastritis without evidence of malignant cells.

Figure 3

Gastroscopic and corresponding histopathological findings. (A) Gastroscopy of the gastric body demonstrates edematous and nodular mucosa with luminal narrowing; the mucosa was friable upon contact. (B) Gastroscopy of the gastric antrum reveals prominent nodular, edematous mucosa with marked luminal narrowing. (C) Additional gastroscopic view of the gastric antrum shows diffusely nodular and edematous mucosa with persistent luminal narrowing. (D) Photomicrograph of a biopsy specimen from the gastric body (H&E stain; magnification, x100) shows chronic superficial gastritis without evidence of malignant cells.

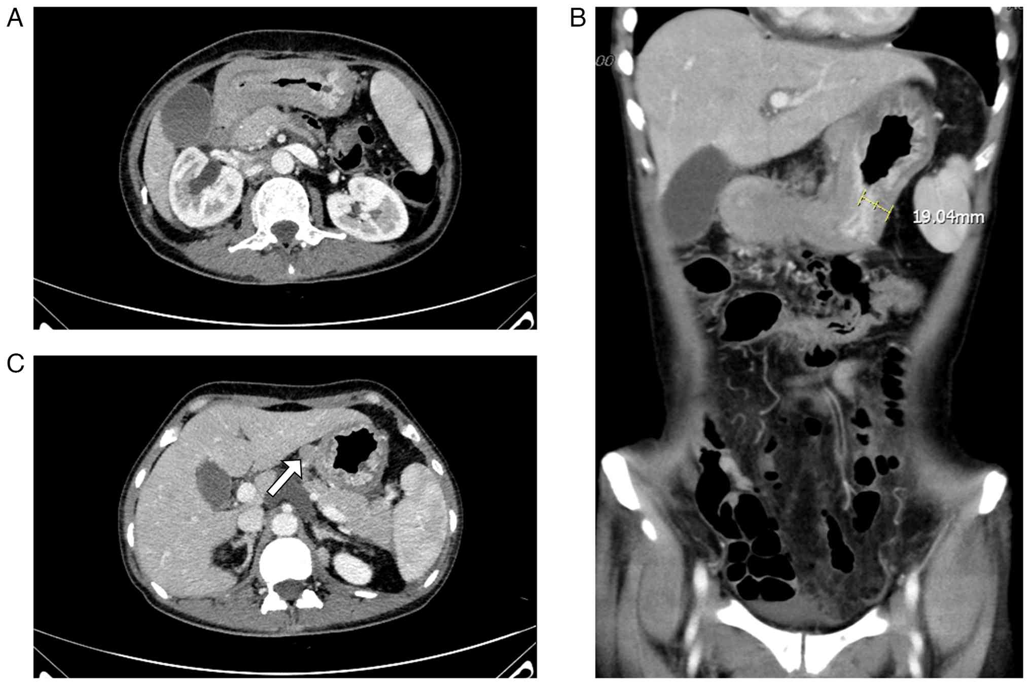
A total of 1 month later (36 days after the last conducted CT), in February 2022, the patient was readmitted due to persistent abdominal distension. Follow-up contrast-enhanced CT performed in February 2022 revealed progressive diffuse and irregular gastric wall thickening (maximum thickness 19.04 mm; Fig. 4C) extending from the fundus and body to the pyloric region, exhibiting heterogeneous enhancement and focal luminal narrowing (Fig. 4A-C). Additionally, newly enlarged nodules were detected within the hepatogastric ligament (Fig. 4B). The mesentery, omentum and peritoneal surfaces exhibited thickening, stranding and nodular changes, with newly identified implant-like nodules (Fig. S5). These findings were highly suggestive of metastatic disease. The persistent and progressive symptoms, coupled with the new radiographic evidence of peritoneal disease and the ongoing disparity between profound functional gastric outlet obstruction and the lack of a fixed luminal lesion, strengthened the suspicion of a motility disorder secondary to metastatic infiltration. Endoscopic ultrasound (EUS) and gallium-68 fibroblast activation protein inhibitor positron emission tomography/CT (68Ga-FAPI PET/CT) were considered but not performed owing to concerns regarding the tolerance and safety of the patient

Follow-up contrast-enhanced CT
imaging revealing disease progression. (A) Axial CT image shows
diffuse and irregular gastric wall thickening with heterogeneous
enhancement. (B) Coronal CT image demonstrates progressive, diffuse
and irregular wall thickening extending from the gastric
fundus/body to the pyloric region, with heterogeneous enhancement.
(C) Axial CT image reveals a newly enlarged nodule within the
hepatogastric ligament, highly suggestive of metastatic
involvement.

Figure 4

Follow-up contrast-enhanced CT imaging revealing disease progression. (A) Axial CT image shows diffuse and irregular gastric wall thickening with heterogeneous enhancement. (B) Coronal CT image demonstrates progressive, diffuse and irregular wall thickening extending from the gastric fundus/body to the pyloric region, with heterogeneous enhancement. (C) Axial CT image reveals a newly enlarged nodule within the hepatogastric ligament, highly suggestive of metastatic involvement.

Subsequently, an exploratory laparotomy was performed at The General Hospital of Western Theater Command in February 2022, whereby ~300 ml of clear yellowish ascitic fluid was drained intraoperatively. The surgical examination showed a notably thickened and indurated gastric wall, severe pyloric stenosis, enlarged perigastric lymph nodes and multiple firm nodules involving the serosal surfaces of the stomach, bowel and peritoneum. Representative intraoperative images documenting the nodular changes on the mesentery, omentum and peritoneal surfaces were not systematically archived during the exploratory laparotomy. Histopathological examination of the surgical specimens confirmed the extensive involvement of the intestinal wall, gastric wall and antrum with features suggesting poorly differentiated adenocarcinoma (Fig. 5). Omental biopsy specimens collected during the procedure confirmed a diagnosis of poorly differentiated adenocarcinoma (Fig. 6A). Immunohistochemical (IHC) analysis supported the diagnosis of metastatic breast carcinoma (Fig. 6B-L), demonstrating strong positive results for estrogen receptor (ER; 80%), GATA binding protein 3 (GATA3), gross cystic disease fluid protein 15 (GCDFP-15), cytokeratin (CK)-7 and CK8/18. The tumor was negative for CK20, CK5/6, p63, thyroid transcription factor 1 (TTF-1), Villin and Wilms tumor 1 (WT-1). The Ki-67 proliferative index was 40% (Fig. S6).

Histopathological examination of
surgical specimens from the exploratory laparotomy.
Photomicrographs (H&E stain; magnification, x100) show
infiltrating poorly differentiated adenocarcinoma involving
different sites. (A) Intestinal wall, revealing atypical cells with
eosinophilic cytoplasm infiltrating the fibrous and smooth muscle
stroma. (B) Gastric wall, showing infiltration of atypical cells
with eosinophilic cytoplasm within the fibrous stroma and adjacent
to small vessels. (C) Gastric antrum, deeper sectioning of the
initial gastroscopic biopsy specimen revealed occasional atypical
cells with eosinophilic cytoplasm at the edge of the submucosa. (D)
Strong nuclear positivity for GATA binding protein 3
(immunohistochemistry; magnification, x100) in the tumor cells from
the gastric antral lesion.

Figure 5

Histopathological examination of surgical specimens from the exploratory laparotomy. Photomicrographs (H&E stain; magnification, x100) show infiltrating poorly differentiated adenocarcinoma involving different sites. (A) Intestinal wall, revealing atypical cells with eosinophilic cytoplasm infiltrating the fibrous and smooth muscle stroma. (B) Gastric wall, showing infiltration of atypical cells with eosinophilic cytoplasm within the fibrous stroma and adjacent to small vessels. (C) Gastric antrum, deeper sectioning of the initial gastroscopic biopsy specimen revealed occasional atypical cells with eosinophilic cytoplasm at the edge of the submucosa. (D) Strong nuclear positivity for GATA binding protein 3 (immunohistochemistry; magnification, x100) in the tumor cells from the gastric antral lesion.

Histopathological and IHC findings of
the omental biopsy. (A) Photomicrograph (H&E stain;
magnification, x100) shows infiltration of poorly differentiated
adenocarcinoma composed of atypical cells with eosinophilic
cytoplasm within the fibroadipose tissue. IHC staining
(magnification, x100) demonstrates strong positivity for (B)
estrogen receptor (80%), (C) GATA binding protein 3, (D) gross
cystic disease fluid protein 15, (E) CK7 and (F) CK8/18. (G-L) The
tumor cells are negative for (G) CK20, (H) CK5/6, (I) p63, (J)
thyroid transcription factor 1, (K) Villin and (L) Wilms tumor 1.
This immunoprofile confirms metastatic breast carcinoma. Scale
bars, 100 µm. IHC, immunohistochemical; CK, cytokeratin.

Figure 6

Histopathological and IHC findings of the omental biopsy. (A) Photomicrograph (H&E stain; magnification, x100) shows infiltration of poorly differentiated adenocarcinoma composed of atypical cells with eosinophilic cytoplasm within the fibroadipose tissue. IHC staining (magnification, x100) demonstrates strong positivity for (B) estrogen receptor (80%), (C) GATA binding protein 3, (D) gross cystic disease fluid protein 15, (E) CK7 and (F) CK8/18. (G-L) The tumor cells are negative for (G) CK20, (H) CK5/6, (I) p63, (J) thyroid transcription factor 1, (K) Villin and (L) Wilms tumor 1. This immunoprofile confirms metastatic breast carcinoma. Scale bars, 100 µm. IHC, immunohistochemical; CK, cytokeratin.

This immunoprofile confirmed the breast origin of the metastasis, consistent with the known primary carcinoma the patient exhibited. The intraoperative findings thus confirmed extensive serosal and transmural tumor infiltration, which was associated with severe gastric dysmotility and functional gastric outlet obstruction. Given the confirmed diagnosis and the poor nutritional status of the patient due to functional gastric outlet obstruction, a jejunostomy was established through an open surgical technique, with the distal limb placed 20 cm beyond the ligament of Treitz, for enteral feeding. Owing to the overall poor condition of the patient, active antitumor therapy was not pursued and palliative care was initiated, including opioid analgesia (10 mg morphine subcutaneously every 4 h), antiemetics (8 mg ondansetron intravenously every 8 h) and total parenteral nutrition (2,000 kcal/day). The patient succumbed to disease progression in May 2022, with malignant ascites as a contributing complication.

To reconcile the initial non-diagnostic gastroscopic biopsy with the eventual confirmation of extensive peritoneal metastasis. Retrospective deeper sectioning of the same paraffin-embedded biopsy block was performed in February 2025 during the preparation of the present case report. This was prompted by the need to reconcile the initial non-diagnostic histopathology with the notable evidence of peritoneal metastasis, which included refractory symptoms (abdominal distension, dyspepsia, vomiting and marked weight loss) and radiological findings (marked diffuse gastric wall thickening, gastric distension and ascites). This later analysis revealed occasional atypical cells with eosinophilic cytoplasm at the edge of the submucosa (Fig. 5C), consistent with submucosal or muscular involvement and explaining the initial false-negative result. This finding supports the hypothesis of a mucosa-sparing, serosa-origin metastasis pattern. The absence of mucosal malignancy, coupled with the radiographic evidence of impaired gastric emptying despite anatomical patency, raised strong suspicion for a functional motility disorder consistent with functional gastric outlet obstruction.

Histopathological and immunohistochemical analysis

Tissue samples were fixed in 4% neutral buffered formalin at room temperature for 24-48 h, embedded in paraffin and sectioned at a thickness of 4 µm. Hematoxylin and eosin (H&E) staining was performed at room temperature: Sections were stained with hematoxylin for 5-7 min, followed by eosin for 1-2 min.

For immunohistochemical analysis, 4-µm-thick paraffin-embedded sections were deparaffinized and rehydrated. Heat-induced antigen retrieval was performed using citrate buffer (pH 6.0) at 95-100˚C for 20 min. Staining was performed using the Titan S automated immunohistochemistry system (Fuzhou Maixin Biotechnology Development Co., Ltd.). Endogenous peroxidase activity was blocked with 3% hydrogen peroxide for 15 min at room temperature. Non-specific binding was blocked using 5% normal mouse/rabbit serum (Fuzhou Maixin Biotechnology Development Co., Ltd.) for 30 min at room temperature. Sections were then incubated with primary antibodies (dilution 1:100; detailed in Table I) overnight at 4˚C. After washing, sections were incubated with an HRP-conjugated anti-mouse/rabbit IgG secondary antibody (ready-to-use; cat. no. KIT-5005; Fuzhou Maixin Biotechnology Development Co., Ltd.) for 1 h at room temperature. Signal detection was performed using 3,3'-diaminobenzidine (cat. no. TT-0805; Fuzhou Maixin Biotechnology Development Co., Ltd.). Sections were counterstained with hematoxylin for 1-2 min at room temperature. All slides were examined and imaged under a light microscope (Olympus BX43; Olympus Corporation) at a magnification of x100 (scale bar, 100 µm). Positive and negative controls were run concurrently and showed appropriate staining.

Table I

Antibodies and interpretation criteria used for immunohistochemical analysis.

Table I

Antibodies and interpretation criteria used for immunohistochemical analysis.

AntibodyCloneCat. no.Cellular localizationPositivity threshold/interpretationResult (Fig.)
ERMXR030RMA-1065Nuclear≥1% nuclear staining (ASCO/CAP guidelines)Positive, 80% (6B)
GATA3EP368RMA-1067NuclearAny distinct nuclear stainingPositive (6C)
GCDFP-15MX120MAB-1035CytoplasmicCytoplasmic stainingPositive (6D)
CK7MX053MAB-0828CytoplasmicCytoplasmic stainingPositive (6E)
CK8/18MX004+ MX035MAB-1002CytoplasmicCytoplasmic stainingPositive (6F)
CK20MX059MAB-0834CytoplasmicCytoplasmic stainingNegative (6G)
CK5/6MX040MAB-0744CytoplasmicCytoplasmic stainingNegative (6H)
p63MX013MAB-0694NuclearNuclear stainingNegative (6I)
TTF-1MX011MAB-0677NuclearNuclear stainingNegative (6J)
VillinMXR040RMA-1090CytoplasmicCytoplasmic stainingNegative (6K)
WT-1MX012MAB-0678NuclearNuclear stainingNegative (6L)
Ki-67MX006MAB-0672NuclearPercentage of positive tumor nuclei40% (S6)

[i] All primary antibodies were obtained from Fuzhou Maixin Biotechnology Development Co., Ltd., and were used at a dilution of 1:100. ER, estrogen receptor; ASCO/CAP, American Society of Clinical Oncology/College of American Pathologists; GATA3, GATA binding protein 3; GCDFP-15, gross cystic disease fluid protein 15; CK, cytokeratin; TTF-1, thyroid transcription factor 1; WT-1, Wilms tumor 1.

Discussion

A guide to the diagnostic workflow of the current study, from initial presentation to final diagnosis, is outlined in Fig. 7. To visually summarize the complex and multifactorial pathophysiology proposed, a schematic of the key interconnected mechanisms is provided in Fig. 8. The present case outlines a rare but notable manifestation of advanced breast cancer, namely marked diffuse gastric wall thickening leading to functional gastric outlet obstruction. While peritoneal metastasis from breast cancer is itself uncommon, its presentation as predominant gastric involvement with such notable wall thickening and functional impairment warrants a detailed exploration of the underlying pathophysiology. The present study proposes several interconnected mechanisms that may explain this clinical presentation, beyond the more common mucosal metastases.

Diagnostic and therapeutic workflow
based on the CARE guidelines guidelines. The algorithm outlines the
patient's journey from initial assessment and primary treatment
through follow-up, recurrence, key decision points and outcomes.
IHC, immunohistochemical; ER, estrogen receptor; PR, progesterone
receptor; EC, epirubicin and cyclophosphamide.

Figure 7

Diagnostic and therapeutic workflow based on the CARE guidelines guidelines. The algorithm outlines the patient's journey from initial assessment and primary treatment through follow-up, recurrence, key decision points and outcomes. IHC, immunohistochemical; ER, estrogen receptor; PR, progesterone receptor; EC, epirubicin and cyclophosphamide.

Proposed mechanism of gastric wall
thickening and functional gastric outlet obstruction in peritoneal
metastasis from breast cancer. Schematic diagrams illustrate six
key pathophysiological processes: (A) Serosal and lymphatic
infiltration causing edema; (B) Aberrant angiogenesis and vascular
leakage; (C) Transmural tumor invasion with desmoplasia; (D)
Autonomic nerve involvement leading to gastroparesis; (E) Injury to
interstitial cells of Cajal resulting in dysmotility; and (F)
Tumor-associated inflammation contributing to edema and impaired
motility. ICC, interstitial cells of Cajal.

Figure 8

Proposed mechanism of gastric wall thickening and functional gastric outlet obstruction in peritoneal metastasis from breast cancer. Schematic diagrams illustrate six key pathophysiological processes: (A) Serosal and lymphatic infiltration causing edema; (B) Aberrant angiogenesis and vascular leakage; (C) Transmural tumor invasion with desmoplasia; (D) Autonomic nerve involvement leading to gastroparesis; (E) Injury to interstitial cells of Cajal resulting in dysmotility; and (F) Tumor-associated inflammation contributing to edema and impaired motility. ICC, interstitial cells of Cajal.

First, extensive serosal and lymphatic infiltration is likely a primary contributor. Breast cancer cells seeding the peritoneum can extensively infiltrate the gastric serosa and subserosal lymphatic network. This widespread infiltration can obstruct lymphatic drainage, leading to notable edema and consequent uniform thickening of the gastric wall, a process occasionally termed ‘lymphangitic carcinomatosis’ of the stomach wall (a condition characterized by tumor cell infiltration and obstruction of the gastric wall lymphatic vessels), as described in cases of metastatic breast cancer to the gastrointestinal tract (9). This ‘lymphangitic carcinomatosis’ of the stomach wall primarily affects the outer layers, explaining the initial normal mucosal appearance on endoscopy.

Second, aberrant angiogenesis and increased vascular permeability represent another notable factor. Tumor cells induce angiogenesis, forming new but structurally abnormal and hyperpermeable vessels. Furthermore, both tumor-derived and host inflammatory cells release vasoactive factors, including VEGF, histamine and bradykinin. This process, which is part of the peritoneal metastatic microenvironment, leads to a notable increase in vascular permeability and extensive leakage of plasma proteins and fluid into the interstitium, causing severe interstitial edema (10). This process acts synergistically with lymphatic obstruction to exacerbate the diffuse, edematous gastric wall thickening observed radiologically. The resultant interstitial edema may also impair smooth muscle cell function, further contributing to the gastroparesis-like symptoms.

Third, transmural tumor invasion and a profound desmoplastic reaction serve a key role. Although the mucosa was initially spared, progressive invasion from the serosa through the muscularis propria can lead to transmural replacement by tumor cells. From a molecular pathological perspective, certain breast cancer subtypes, when metastasizing to the peritoneum, may adopt a growth pattern reminiscent of gastric signet-ring cell carcinoma or diffuse-type gastric cancer (linitis plastica). This pattern of infiltrative growth with desmoplastic stromal reaction has been observed in breast cancer metastases masquerading as primary gastric malignancies (11). Furthermore, tumor-associated inflammation, potentially involving cytokines such as IL-17, can drive fibroblast activation and collagen deposition, contributing to fibrotic remodeling of the gastric wall (12). Although IL-17 was not assessed through IHC in the present case, future studies in similar presentations should consider evaluating IL-17 and related cytokines to further elucidate their role in the desmoplastic reaction and fibrotic microenvironment associated with peritoneal metastases from breast cancer. This further contributes to wall thickening, rigidity and loss of peristaltic function, culminating in functional gastric outlet obstruction. This specific infiltrative pattern provides a molecular and histomorphological basis for the ‘leather bottle’ stomach appearance, explaining the marked thickening and functional impairment even in the absence of a large tumor mass.

Fourth, possible autonomic nerve plexus involvement provides a plausible explanation for the gastroparesis-like symptoms. The celiac plexus and other autonomic nerves regulating gastric motility are located in the retroperitoneum. Extensive peritoneal carcinomatosis, as seen in the present patient, can directly invade or exert perineural pressure on these structures. Perineural invasion is a recognized mechanism of cancer progression that can disrupt autonomic innervation (13), leading to impaired gastric motility and emptying, functionally presenting as obstruction (functional gastric outlet obstruction) even in the absence of a grossly occluded lumen. The extensive retroperitoneal disease observed on CT imaging in the present patient supports the potential for such neural compromise.

Fifth, potential injury to the interstitial cells of Cajal (ICC) may represent a key, underlying myogenic mechanism for the profound dysmotility. While not directly proven in the present case report, the marked functional impairment observed clinically and radiologically (marked gastric distension despite anatomical patency) is consistent with the known pathophysiology of ICC loss. ICCs are the pacemaker cells of the gastrointestinal tract, key in initiating and coordinating smooth muscle contractions. Tumor infiltration, local inflammation and ischemia secondary to vascular compromise can all lead to ICC network damage or depletion. The loss of functional ICCs has been shown to directly disrupt the rhythmicity and propagation of gastric contractions, resulting in severe gastroparesis and pseudo-obstruction, which aligns with the clinical presentation of functional gastric outlet obstruction (14). This ICC-centric mechanism, alongside autonomic nerve dysfunction, comprehensively explains the neuro-myogenic failure underlying the gastric outlet obstruction exhibited by the patient.

Finally, a paraneoplastic or inflammatory-mediated mechanism, though more speculative, cannot be entirely ruled out. Tumor-associated inflammatory cytokines, as part of the cancer-related inflammatory response, can affect smooth muscle function and interstitial fluid dynamics (15), contributing to both dysmotility and wall edema. This mechanism has also been proposed in cases of gastric metastasis from breast cancer (16).

In the present patient, the profound gastric wall thickening and obstructive symptoms may have resulted from a synergistic combination of these mechanisms. The dominant processes included lymphatic obstruction and increased vascular permeability causing marked mural edema, coupled with transmural tumor invasion and a powerful desmoplastic reaction leading to gastric wall rigidity. This structural pathology may have been compounded by a profound functional impairment potentially resulting from both neural dysfunction (autonomic plexus involvement) and myogenic failure (ICC injury), which collectively manifested clinically as severe, refractory symptoms suggestive of functional gastric outlet obstruction.

Table II summarizes the key differentiating features between primary linitis plastica and metastatic breast carcinoma to the stomach, highlighting the importance of clinical history and IHC profiling in forming an accurate diagnosis.

Table II

Contrasting features of primary linitis plastica and metastatic breast carcinoma to the stomach.

Table II

Contrasting features of primary linitis plastica and metastatic breast carcinoma to the stomach.

FeaturePrimary linitis plasticaMetastatic breast carcinoma to the stomach
Primary tumor historyUsually absent or synchronousKnown history of breast cancer
Endoscopic mucosaOften abnormal, may show erosions, rigidityFrequently normal initially (mucosa-sparing)
Histology (H&E)Signet-ring cells typicalDuctal or lobular morphology; signet-ring cells rare
Immunohistochemistry CK7+/CK20+ (variable) CK7+/CK20-
 CDX2+ (often) CDX2-
 E-cadherin loss (in diffuse-type)E-cadherin retained (in ductal carcinoma)
  ER-/PR- (typically) ER+/PR+ (frequently)
 GATA3- (typically) GATA3+
  GCDFP-15- (typically) GCDFP-15+ (often)
 HER2+ (subset)HER2 status matches primary breast cancer
Common clinical contextPrimary gastric cancer symptomsOften preceded by widespread metastases
Radiological findingsGastric wall thickening, limits plasticaGastric wall thickening + peritoneal deposits, ascites

[i] The combination of clinical history and a tailored immunohistochemical panel is key for accurate diagnosis. ER, estrogen receptor; PR, progesterone receptor; CK, cytokeratin; GATA3, GATA binding protein 3; GCDFP-15, gross cystic disease fluid protein 15; CDX2, caudal-type homeobox 2.

The present case exemplifies a diagnostic challenge in terms of contemporary breast oncology, with the struggle to distinguish CDK4/6 inhibitor-induced gastrointestinal toxicity from peritoneal carcinomatosis. The temporal onset of abdominal symptoms within 2 months of palbociclib initiation initially suggested a class-effect adverse event, which occurs in a notable proportion of patients. However, key discriminatory features emerged that pointed decisively toward a malignant etiology, including the unremitting nature of symptoms for >4 weeks despite drug cessation, their progression to refractory vomiting and the eventual development of unequivocal signs of functional gastric outlet obstruction. Although gastrointestinal symptoms are a well-documented class effect of CDK4/6 inhibitors (17-19), their persistence beyond a reasonable washout period must raise immediate concern for underlying disease progression. This underscores the necessity for a symptom-based risk stratification strategy. Low-risk features, such as symptom onset during the first treatment cycle, responsiveness to antiemetics and prompt resolution after drug holding, may be managed expectantly. By contrast, high-risk features, including symptom onset after multiple cycles, progression despite maximal supportive care, persistence beyond 2 weeks of drug interruption and accompanying constitutional symptoms, warrant prompt and comprehensive diagnostic investigation for disease progression (20). The course of the present patient is a good example of the latter scenario.

The diagnostic trajectory of the present case highlights the limitations of conventional techniques in detecting serosal-based metastases. Primary gastrointestinal malignancies typically present with mucosal abnormalities on endoscopy. By contrast, metastatic involvement often manifests as submucosal and muscular infiltration, frequently yielding normal endoscopic findings (21), as demonstrated in the present case, where gastric mucosal biopsies revealed only chronic superficial gastritis. This ‘mucosal-sparing’ pathophysiology is characteristic of peritoneal metastases, where malignant cells implant on the outer serosal surface and spread inward, initially preserving the mucosal lining. This explains both the initial futility of endoscopy and the delayed appearance of radiological signs on cross-sectional imaging, which only become evident after notable transmural infiltration or lymphatic obstruction develops (9). The interval between symptom onset and the development of definitive CT findings (diffuse gastric wall thickening with heterogeneous enhancement) in the present patient underscores the progressive nature of this process and mandates a low threshold for serial imaging in high-risk patients. Studies indicate that incidentally detected gastrointestinal wall thickening on CT often suggests underlying pathology, with malignancies accounting for ~30% of cases (22-25).

Emerging functional imaging techniques may offer enhanced diagnostic sensitivity in this challenging scenario. For example, Li et al (21) reported that 68Ga-FAPI PET/CT showed markedly higher tracer uptake in thickened gastric lining and peritoneum compared with fluorine-18 fluorodeoxyglucose PET/CT, and these findings may greatly aid in diagnosing metastatic, gastric, peritoneal involvement (21,26). However, imaging studies specifically focused on indirect, infiltrative gastric metastases remain limited. With regard to gastroscopy, metastatic deposits typically present in one of three patterns: i) A volcanic ulcer, ii) single or multiple localized nodules or polypoid lesions or iii) diffusely involved, rigid gastric walls with luminal narrowing. Notably, as the majority of gastric metastases originate from submucosal and muscular infiltration, endoscopic findings can often be deceptively normal, further underscoring the necessity for deep-wall biopsies or advanced imaging when clinical suspicion is high (27,28).

Therefore, in patients with a history of breast cancer and high clinical suspicion of peritoneal metastasis, proactive diagnostic measures, such as EUS, repeated cross-sectional imaging, advanced PET/CT techniques and, when clinical concern persists, diagnostic laparoscopy, should be pursued to establish a definitive diagnosis, even when initial biopsies are negative. In the present case, EUS was not performed due to the severe luminal narrowing and patient instability and 68Ga-FAPI PET/CT, although considered, was not performed as it was unavailable at the institution and was deemed impractical given concerns regarding tolerability and safety.

Histopathological features of peritoneal metastatic carcinoma are often non-specific, making determination of the tumor origin based solely on conventional H&E staining challenging. The comprehensive IHC analysis proved decisive in confirming the breast origin of the peritoneal metastases and exemplifies the systematic approach required for accurate diagnosis of unknown peritoneal malignancies. The strong nuclear expression of ER (80%) provided the first definitive indicator of a HR-positive breast primary, as gastrointestinal adenocarcinomas rarely express ER. GATA3, a transcription factor with high specificity for breast carcinoma, served as a notable marker in this context (29,30), while GCDFP-15 maintains high specificity for breast tissue and provided additional confirmatory evidence. The CK profile (CK7+/CK20-) effectively excluded colorectal adenocarcinoma (typically CK7-/CK20+) and supported an origin from the breast, lung or gynecological tract. The subsequent negation of TTF-1 (lung), WT-1 (ovarian serous carcinoma) and Villin (intestinal differentiation) completed this diagnostic algorithm, creating an immunophenotypic profile pathognomonic for breast origin. This systematic IHC approach, beginning with ER status, then employing tissue-specific markers (GATA3) and finally utilizing exclusion markers, provided a robust framework for determining the origin of peritoneal metastases, which is particularly important in patients with a history of multiple potential primaries.

It is uncommon for breast cancer to spread to the peritoneum, instead metastases more frequently originate from ovarian, colorectal or gastric primary tumors (10). The clinical presentation of peritoneal metastasis is highly variable and non-specific. Symptoms such as dyspepsia, anorexia, early satiety, epigastric pain, vomiting and hematemesis often mimic those of benign gastrointestinal disorders or primary gastric cancer, frequently leading to diagnostic delays. Among these manifestations, gastric outlet obstruction represents a particularly severe complication. Previous studies have documented that gastric metastases from breast cancer can result in pyloric stenosis (31,32). Although the symptoms of metastatic gastric involvement are non-specific and may resemble those of primary gastric cancer, malignant gastric outlet obstruction (MGOO) due to pyloric or duodenal obstruction markedly compromises both patient survival and quality of life. Primary treatment options for MGOO include surgical gastrojejunostomy, endoscopic placement of self-expanding metal stents and endoscopic ultrasound-guided gastroenterostomy using lumen-apposing metal stents (33). In the present case, the severity of pyloric stenosis precluded stent placement, necessitating jejunostomy.

Owing to the rarity of peritoneal metastasis originating from breast cancer, no consensus exists regarding its management and no large-scale studies have compared treatment strategies (34). Nevertheless, palliative surgery remains necessary to address symptomatic obstruction, bleeding or perforation, even in the absence of a demonstrated survival benefit (35). However, a number of retrospective studies have described the combined use of cytoreductive surgery and hyperthermic intraperitoneal chemotherapy in patients with secondary peritoneal carcinomatosis from breast cancer and other primaries, reporting improvements in both morbidity and mortality rates (36-38). However, these studies are limited by their inclusion of only patients with recurrent disease, their retrospective design and small sample sizes. Consequently, robust evidence regarding optimal management and accurate prognostic assessment remains scarce. Treatment should be individualized based on patient-specific factors, anticipated performance status and quality-of-life considerations. The role of surgery warrants further investigation in prospective studies focusing on patients with limited metastatic burden, no extraperitoneal disease and a high likelihood of complete cytoreduction.

Within the present case report, the limitations inherent to single-case reports must be acknowledged. However, the detailed diagnostic process and clinicopathological associations presented offer valuable insights for clinicians encountering similar diagnostic challenges. Future prospective studies are needed to establish optimal diagnostic algorithms and management strategies for this distinct clinical population. Numerous limitations within the present study must be acknowledged. Firstly, as a single-case report, the findings cannot be generalized. Secondly, the diagnostic evaluation was constrained by the critical condition of the patient and available resources. Specifically, objective gastric motility studies (such as scintigraphy or manometry) were not performed and advanced diagnostic modalities such as EUS and 68Ga-FAPI PET/CT were not available at the institution at the time. These factors preclude definitive conclusions on the functional nature of the obstruction and may have delayed the diagnosis. Finally, the quality of IHC staining, as presented in Fig. 6B-L, is suboptimal, which is attributed to fading of the original slides over time.

Overall, the present case underscores the importance of maintaining vigilant suspicion for peritoneal metastasis in patients with breast cancer receiving CDK4/6 inhibitors who develop persistent gastrointestinal symptoms. The present study advocates for a structured diagnostic approach that recognizes the limitations of conventional imaging and endoscopy for detecting serosal-based disease, utilizes IHC strategically for tissue confirmation and employs a low threshold for surgical evaluation when clinical suspicion persists despite initially negative investigations. Timely diagnosis remains key in implementing appropriate palliative interventions that can alleviate functional gastric outlet obstruction and preserve quality of life, and for identifying patients who may be candidates for more aggressive cytoreductive approaches where appropriate.

Supplementary Material

Histopathological and IHC findings of the primary breast tumor and CT-guided pelvic biopsy. (A-F) Photomicrographs of the primary breast tumor (invasive ductal carcinoma): (A) H&E staining (x100 magnification); (B) Estrogen receptor-positive (IHC; x100 magnification); (C) progesterone receptor-positive (IHC; x100 magnification); (D) HER2-negative (IHC; x100 magnification); (E) Ki-67 proliferative index ~20% (IHC; x100 magnification); (F) Photomicrograph (H&E; x100 magnification) of the CT-guided pelvic biopsy performed in July 2021, showing fragments of cortical bone, inflammatory exudate and necrotic bone, with no malignant cells identified. IHC, immunohistochemistry.
Chest CT and bone scintigraphy findings suggestive of osseous metastases. (A and B) Representative images from a chest CT scan (bone window) performed in December 2019, showing multiple punctate and patchy sclerotic densities involving the bilateral humeral heads, scapulae, sternum, thoracic vertebral bodies and portions of the ribs, suggestive of osseous metastases. (C) Whole-body bone scan revealing multiple foci of increased metabolic activity throughout the skeleton, highly indicative of metastatic disease.
Spinal MRI demonstrating progression of bony metastases. (A and B) Spinal MRI performed in December 2019: (A) T1WI showing scattered speckled and patchy abnormal signals in multiple vertebrae; (B) T2WI with corresponding signal abnormalities. (C and D) Follow-up spinal MRI performed in October 2021: (C) T1WI and (D) T2WI demonstrating unequivocal progression of bony lesions. WI, weighted image.
Longitudinal trends of serum tumor markers. Graph showing the dynamic changes in serum levels of CEA, CA125 and CA15-3 from the diagnosis of bone metastasis (December 2019) to the diagnosis of peritoneal disease (January 2022). CEA, carcinoembryonic antigen; CA, carbohydrate antigen.
Contrast-enhanced abdominal CT imaging demonstrating peritoneal involvement. (A) Axial CT image shows thick-ening and stranding of the mesentery (arrow). (B) Axial CT image reveals nodular changes and thickening of the omentum. (C) Coronal CT image depicts newly identified implant-like nodules on the peritoneal surface (arrow). These findings are consistent with peritoneal carcinomatosis.
IHC staining for Ki-67. Photomicrograph (IHC; magnification, x100) shows a Ki-67 proliferative index of ~40% in the tumor cells from the omental biopsy. IHC, immunohistochemistry.

Acknowledgements

The authors would like to thank Dr Fangyuan Kong (Department of Oncology, The General Hospital of Western Theater Command, Chengdu, China) for their insightful perspective on the diagnostic challenge of differentiating CDK4/6 inhibitor toxicity from disease progression in metastatic breast cancer. Their clinical expertise contributed to enriching the discussion on patient management strategies.

Funding

Funding: No funding was received.

Availability of data and materials

The data generated in the present study may be requested from the corresponding author.

Authors' contributions

BH and LLI contributed equally to this work. BH contributed to patient management, clinical data collection from the medical records (including treatments, laboratory results, imaging findings and follow-up information), data curation, figure preparation and initial manuscript drafting. LLI contributed to clinical and imaging data collection, ultrasonographic evaluation, image acquisition and interpretation, and manuscript review. TY was responsible for pathological diagnosis, immunohistochemical analysis and critical revision of the manuscript for important intellectual content. YT contributed to clinical data collection, literature review and manuscript editing. LZ was responsible for study conception and design, supervision, manuscript revision and final approval. All authors have read and approved the final version of the manuscript. BH and LZ confirm the authenticity of all the raw data.

Ethics approval and consent to participate

Not applicable.

Patient consent for publication

Written informed consent for the publication of anonymized clinical details and images was obtained from the patient's husband following the death of the patient.

Competing interests

The authors declare that they have no competing interests.

References

1 

Riihimäki M, Thomsen H, Sundquist K, Sundquist J and Hemminki K: Clinical landscape of cancer metastases. Cancer Med. 7:5534–5542. 2018.PubMed/NCBI View Article : Google Scholar

2 

Yu B, Yan L, Wang H and Yang J and Yang J: Invasive lobular carcinoma of the breast: Metastatic patterns and treatment modalities-a review. Front Oncol. 15(1631670)2025.PubMed/NCBI View Article : Google Scholar

3 

Bhaludin BN, Tunariu N, Koh DM, Messiou C, Okines AF, McGrath SE, Ring AE, Parton MM, Sharma B, Gagliardi T, et al: A review on the added value of whole-body MRI in metastatic lobular breast cancer. Eur Radiol. 32:6514–6525. 2022.PubMed/NCBI View Article : Google Scholar

4 

Inoue M, Nakagomi H, Nakada H, Furuya K, Ikegame K, Watanabe H, Omata M and Oyama T: Specific sites of metastases in invasive lobular carcinoma: A retrospective cohort study of metastatic breast cancer. Breast Cancer. 24:667–672. 2017.PubMed/NCBI View Article : Google Scholar

5 

Sledge GW Jr, Toi M, Neven P, Sohn J, Inoue K, Pivot X, Burdaeva O, Okera M, Masuda N, Kaufman PA, et al: MONARCH 2: Abemaciclib in combination with fulvestrant in women with HR+/HER2- advanced breast cancer who had progressed while receiving endocrine therapy. J Clin Oncol. 35:2875–2884. 2017.PubMed/NCBI View Article : Google Scholar

6 

Hortobagyi GN, Stemmer SM, Burris HA, Yap YS, Sonke GS, Paluch-Shimon S, Campone M, Blackwell KL, André F, Winer EP, et al: Ribociclib as first-line therapy for HR-positive, advanced breast cancer. N Engl J Med. 375:1738–1748. 2016.PubMed/NCBI View Article : Google Scholar

7 

Edge SB and Compton CC: The American joint committee on cancer: The 7th edition of the AJCC cancer staging manual and the future of TNM. Ann Surg Oncol. 17:1471–1474. 2010.PubMed/NCBI View Article : Google Scholar

8 

Oken MM, Creech RH, Tormey DC, Horton J, Davis TE, McFadden ET and Carbone PP: Toxicity and response criteria of the Eastern cooperative oncology group. Am J Clin Oncol. 5:649–655. 1982.PubMed/NCBI

9 

Nazareno J, Taves D and Preiksaitis HG: Metastatic breast cancer to the gastrointestinal tract: A case series and review of the literature. World J Gastroenterol. 12:6219–6224. 2006.PubMed/NCBI View Article : Google Scholar

10 

Mikuła-Pietrasik J, Uruski P, Tykarski A and Książek K: The peritoneal ‘soil’ for a cancerous ‘seed’: A comprehensive review of the pathogenesis of intraperitoneal cancer metastases. Cell Mol Life Sci. 75:509–525. 2018.PubMed/NCBI View Article : Google Scholar

11 

Schwarz RE, Klimstra DS and Turnbull AD: Metastatic breast cancer masquerading as gastrointestinal primary. Am J Gastroenterol. 93:111–114. 1998.PubMed/NCBI View Article : Google Scholar

12 

Zhou G, Li A and Wang R: The role of IL-17 family in the process of pulmonary fibrosis. Life Conflux: Jun 30, 2025 (Epub ahead of print).

13 

Liebig C, Ayala G, Wilks JA, Berger DH and Albo D: Perineural invasion in cancer: A review of the literature. Cancer. 115:3379–3391. 2009.PubMed/NCBI View Article : Google Scholar

14 

Wang TH, Angeli TR, Ishida S, Du P, Gharibans A, Paskaranandavadivel N, Imai Y, Miyagawa T, Abell TL, Farrugia G, et al: The influence of interstitial cells of Cajal loss and aging on slow wave conduction velocity in the human stomach. Physiol Rep. 8(e14659)2021.PubMed/NCBI View Article : Google Scholar

15 

Mantovani A, Allavena P, Sica A and Balkwill F: Cancer-related inflammation. Nature. 454:436–444. 2008.PubMed/NCBI View Article : Google Scholar

16 

Villa Guzmán JC, Espinosa J, Cervera R, Delgado M, Patón R and Cordero García JM: Gastric and colon metastasis from breast cancer: Case report, review of the literature, and possible underlying mechanisms. Breast Cancer (Dove Med Press). 9:1–7. 2016.PubMed/NCBI View Article : Google Scholar

17 

Thill M and Schmidt M: Management of adverse events during cyclin-dependent kinase 4/6 (CDK4/6) inhibitor-based treatment in breast cancer. Ther Adv Med Oncol: Sep 3, 2018 (Epub ahead of print).

18 

Onesti CE and Jerusalem G: CDK4/6 inhibitors in breast cancer: Differences in toxicity profiles and impact on agent choice. A systematic review and meta-analysis. Expert Rev Anticancer Ther. 21:283–298. 2021.PubMed/NCBI View Article : Google Scholar

19 

Braal CL, Jongbloed EM, Wilting SM, Mathijssen RHJ, Koolen SLW and Jager A: Inhibiting CDK4/6 in breast cancer with palbociclib, ribociclib, and abemaciclib: Similarities and differences. Drugs. 81:317–331. 2021.PubMed/NCBI View Article : Google Scholar

20 

Cardoso F, Paluch-Shimon S, Senkus E, Curigliano G, Aapro MS, André F, Barrios CH, Bergh J, Bhattacharyya GS, Biganzoli L, et al: 5th ESO-ESMO international consensus guidelines for advanced breast cancer (ABC 5). Ann Oncol. 31:1623–1649. 2020.PubMed/NCBI View Article : Google Scholar

21 

Li T, Jiang X, Zhang Z, Chen X, Wang J, Zhao X and Zhang J: Case report: 68Ga-FAPI PET/CT, a more advantageous detection mean of gastric, peritoneal, and ovarian metastases from breast cancer. Front Oncol 12:1013066, 2022.

22 

Somuncu E, Topal Ü, Sönmez S, Kara Y, Bozdağ E, Özcan A, Başaran C, Özkan C, Tatlıdil YE and Kalaycı MU: Incidentally detected gastrointestinal wall thickness on abdominal computed tomography; What does it mean for endoscopy? Arch Iran Med. 24:296–300. 2021.PubMed/NCBI View Article : Google Scholar

23 

Cai Q, Baumgarten DA, Affronti JP and Waring JP: Incidental findings of thickening luminal gastrointestinal organs on computed tomography: An absolute indication for endoscopy. Am J Gastroenterol. 98:1734–1737. 2003.PubMed/NCBI View Article : Google Scholar

24 

Bleibel W, Guerrero JE, Kim S, Leao L, Ghosh T and Kenney TJ Jr: The clinical significance of incidental computer tomography finding of gastrointestinal luminal wall thickening as evaluated by endoscopy. Dig Dis Sci. 52:1709–1712. 2007.PubMed/NCBI View Article : Google Scholar

25 

Tellez-Avila FI, García-Osogobio S, Chavez-Tapia NC, Ramirez-Luna MA, Franco-Guzman A, Sosa-Lozano A and Giovannini M: Utility of endoscopy in patients with incidental gastrointestinal luminal wall thickening detected with CT. Surg Endosc. 23:2191–2196. 2009.PubMed/NCBI View Article : Google Scholar

26 

Hathi DK and Jones EF: 68Ga FAPI PET/CT: Tracer uptake in 28 different kinds of cancer. Radiol Imaging Cancer. 1(e194003)2019.PubMed/NCBI View Article : Google Scholar

27 

Taal BG, Peterse H and Boot H: Clinical presentation, endoscopic features, and treatment of gastric metastases from breast carcinoma. Cancer. 89:2214–2221. 2000.PubMed/NCBI

28 

De Palma GD, Masone S, Rega M, Simeoli I, Donisi M, Addeo P, Iannone L, Pilone V and Persico G: Metastatic tumors to the stomach: Clinical and endoscopic features. World J Gastroenterol. 12:7326–7328. 2006.PubMed/NCBI View Article : Google Scholar

29 

Miettinen M, McCue PA, Sarlomo-Rikala M, Rys J, Czapiewski P, Wazny K, Langfort R, Waloszczyk P, Biernat W, Lasota J and Wang Z: GATA3: A multispecific but potentially useful marker in surgical pathology: A systematic analysis of 2500 epithelial and nonepithelial tumors. Am J Surg Pathol. 38:13–22. 2014.PubMed/NCBI View Article : Google Scholar

30 

Shield PW, Papadimos DJ and Walsh MD: GATA3: A promising marker for metastatic breast carcinoma in serous effusion specimens. Cancer Cytopathol. 122:307–312. 2014.PubMed/NCBI View Article : Google Scholar

31 

Kusunoki C, Hamakawa T, Mano M, Nishikawa K, Toshiyama R, Miyo M, Fujiwara A, Miyake M, Hama N, Miyamoto A, et al: A case of advanced gastric cancer with umbilical metastasis, pyloric stenosis, and peritoneal dissemination underwent palliative surgery after chemotherapy. Gan To Kagaku Ryoho. 47:513–515. 2020.PubMed/NCBI(In Japanese).

32 

Satoh E, Yatabe Y, Uehira D, Yonekura K, Murakata A, Toyofuku Y, Tanami H, Osanai T, Sugano N, Sakoma T and Maruyama S: A case of pyloric stenosis due to gastric metastasis of breast cancer. Gan To Kagaku Ryoho. 48:2103–2105. 2021.PubMed/NCBI(In Japanese).

33 

Troncone E, Fugazza A, Cappello A, Del Vecchio Blanco G, Monteleone G, Repici A, Teoh AYB and Anderloni A: Malignant gastric outlet obstruction: Which is the best therapeutic option? World J Gastroenterol. 26:1847–1860. 2020.PubMed/NCBI View Article : Google Scholar

34 

Beniey M: Peritoneal metastases from breast cancer: A scoping review. Cureus. 11(e5367)2019.PubMed/NCBI View Article : Google Scholar

35 

Tsujimura K, Teruya T, Kiyuna M, Higa K, Higa J, Iha K, Chinen K, Asato M, Takushi Y, Ota M, et al: Colonic metastasis from breast carcinoma: A case report. World J Surg Oncol. 15(124)2017.PubMed/NCBI View Article : Google Scholar

36 

Cardi M, Sammartino P, Framarino ML, Biacchi D, Cortesi E, Sibio S, Accarpio F, Luciani C, Palazzo A and di Giorgio A: Treatment of peritoneal carcinomatosis from breast cancer by maximal cytoreduction and HIPEC: A preliminary report on 5 cases. Breast. Oktober. 22:845–849. 2013.PubMed/NCBI View Article : Google Scholar

37 

Cardi M, Sammartino P, Mingarelli V, Sibio S, Accarpio F, Biacchi D, Musio D, Sollazzo B and Di Giorgio A: Cytoreduction and HIPEC in the treatment of ‘unconventional’ secondary peritoneal carcinomatosis. World J Surg Oncol. 13(305)2015.PubMed/NCBI View Article : Google Scholar

38 

Yu JH, Feng Y, Li XB, Zhang CY, Shi F, An SL, Liu G, Zhang YB, Zhang K, Ji ZH, et al: Cytoreductive surgery and hyperthermic intraperitoneal chemotherapy for peritoneal metastasis from breast cancer: A preliminary report of 4 cases. Gland Surg. 10:1315–1324. 2021.PubMed/NCBI View Article : Google Scholar

Related Articles

  • Abstract
  • View
  • Download
  • Twitter
Copy and paste a formatted citation
Spandidos Publications style
He B, Li LL, Yu T, Tan Y and Zhang L: <p>Gastric wall thickening and gastric outlet obstruction due to peritoneal metastasis in breast cancer: A case report</p>. Exp Ther Med 31: 86, 2026.
APA
He, B., Li, L.L., Yu, T., Tan, Y., & Zhang, L. (2026). <p>Gastric wall thickening and gastric outlet obstruction due to peritoneal metastasis in breast cancer: A case report</p>. Experimental and Therapeutic Medicine, 31, 86. https://doi.org/10.3892/etm.2026.13081
MLA
He, B., Li, L. L., Yu, T., Tan, Y., Zhang, L."<p>Gastric wall thickening and gastric outlet obstruction due to peritoneal metastasis in breast cancer: A case report</p>". Experimental and Therapeutic Medicine 31.4 (2026): 86.
Chicago
He, B., Li, L. L., Yu, T., Tan, Y., Zhang, L."<p>Gastric wall thickening and gastric outlet obstruction due to peritoneal metastasis in breast cancer: A case report</p>". Experimental and Therapeutic Medicine 31, no. 4 (2026): 86. https://doi.org/10.3892/etm.2026.13081
Copy and paste a formatted citation
x
Spandidos Publications style
He B, Li LL, Yu T, Tan Y and Zhang L: <p>Gastric wall thickening and gastric outlet obstruction due to peritoneal metastasis in breast cancer: A case report</p>. Exp Ther Med 31: 86, 2026.
APA
He, B., Li, L.L., Yu, T., Tan, Y., & Zhang, L. (2026). <p>Gastric wall thickening and gastric outlet obstruction due to peritoneal metastasis in breast cancer: A case report</p>. Experimental and Therapeutic Medicine, 31, 86. https://doi.org/10.3892/etm.2026.13081
MLA
He, B., Li, L. L., Yu, T., Tan, Y., Zhang, L."<p>Gastric wall thickening and gastric outlet obstruction due to peritoneal metastasis in breast cancer: A case report</p>". Experimental and Therapeutic Medicine 31.4 (2026): 86.
Chicago
He, B., Li, L. L., Yu, T., Tan, Y., Zhang, L."<p>Gastric wall thickening and gastric outlet obstruction due to peritoneal metastasis in breast cancer: A case report</p>". Experimental and Therapeutic Medicine 31, no. 4 (2026): 86. https://doi.org/10.3892/etm.2026.13081
Follow us
  • Twitter
  • LinkedIn
  • Facebook
About
  • Spandidos Publications
  • Careers
  • Cookie Policy
  • Privacy Policy
How can we help?
  • Help
  • Live Chat
  • Contact
  • Email to our Support Team