Spandidos Publications Logo
  • About
    • About Spandidos
    • Aims and Scopes
    • Abstracting and Indexing
    • Editorial Policies
    • Reprints and Permissions
    • Job Opportunities
    • Terms and Conditions
    • Contact
  • Journals
    • All Journals
    • Oncology Letters
      • Oncology Letters
      • Information for Authors
      • Editorial Policies
      • Editorial Board
      • Aims and Scope
      • Abstracting and Indexing
      • Bibliographic Information
      • Archive
    • International Journal of Oncology
      • International Journal of Oncology
      • Information for Authors
      • Editorial Policies
      • Editorial Board
      • Aims and Scope
      • Abstracting and Indexing
      • Bibliographic Information
      • Archive
    • Molecular and Clinical Oncology
      • Molecular and Clinical Oncology
      • Information for Authors
      • Editorial Policies
      • Editorial Board
      • Aims and Scope
      • Abstracting and Indexing
      • Bibliographic Information
      • Archive
    • Experimental and Therapeutic Medicine
      • Experimental and Therapeutic Medicine
      • Information for Authors
      • Editorial Policies
      • Editorial Board
      • Aims and Scope
      • Abstracting and Indexing
      • Bibliographic Information
      • Archive
    • International Journal of Molecular Medicine
      • International Journal of Molecular Medicine
      • Information for Authors
      • Editorial Policies
      • Editorial Board
      • Aims and Scope
      • Abstracting and Indexing
      • Bibliographic Information
      • Archive
    • Biomedical Reports
      • Biomedical Reports
      • Information for Authors
      • Editorial Policies
      • Editorial Board
      • Aims and Scope
      • Abstracting and Indexing
      • Bibliographic Information
      • Archive
    • Oncology Reports
      • Oncology Reports
      • Information for Authors
      • Editorial Policies
      • Editorial Board
      • Aims and Scope
      • Abstracting and Indexing
      • Bibliographic Information
      • Archive
    • Molecular Medicine Reports
      • Molecular Medicine Reports
      • Information for Authors
      • Editorial Policies
      • Editorial Board
      • Aims and Scope
      • Abstracting and Indexing
      • Bibliographic Information
      • Archive
    • World Academy of Sciences Journal
      • World Academy of Sciences Journal
      • Information for Authors
      • Editorial Policies
      • Editorial Board
      • Aims and Scope
      • Abstracting and Indexing
      • Bibliographic Information
      • Archive
    • International Journal of Functional Nutrition
      • International Journal of Functional Nutrition
      • Information for Authors
      • Editorial Policies
      • Editorial Board
      • Aims and Scope
      • Abstracting and Indexing
      • Bibliographic Information
      • Archive
    • International Journal of Epigenetics
      • International Journal of Epigenetics
      • Information for Authors
      • Editorial Policies
      • Editorial Board
      • Aims and Scope
      • Abstracting and Indexing
      • Bibliographic Information
      • Archive
    • Medicine International
      • Medicine International
      • Information for Authors
      • Editorial Policies
      • Editorial Board
      • Aims and Scope
      • Abstracting and Indexing
      • Bibliographic Information
      • Archive
  • Articles
  • Information
    • Information for Authors
    • Information for Reviewers
    • Information for Librarians
    • Information for Advertisers
    • Conferences
  • Language Editing
Spandidos Publications Logo
  • About
    • About Spandidos
    • Aims and Scopes
    • Abstracting and Indexing
    • Editorial Policies
    • Reprints and Permissions
    • Job Opportunities
    • Terms and Conditions
    • Contact
  • Journals
    • All Journals
    • Biomedical Reports
      • Information for Authors
      • Editorial Policies
      • Editorial Board
      • Aims and Scope
      • Abstracting and Indexing
      • Bibliographic Information
      • Archive
    • Experimental and Therapeutic Medicine
      • Information for Authors
      • Editorial Policies
      • Editorial Board
      • Aims and Scope
      • Abstracting and Indexing
      • Bibliographic Information
      • Archive
    • International Journal of Epigenetics
      • Information for Authors
      • Editorial Policies
      • Editorial Board
      • Aims and Scope
      • Abstracting and Indexing
      • Bibliographic Information
      • Archive
    • International Journal of Functional Nutrition
      • Information for Authors
      • Editorial Policies
      • Editorial Board
      • Aims and Scope
      • Abstracting and Indexing
      • Bibliographic Information
      • Archive
    • International Journal of Molecular Medicine
      • Information for Authors
      • Editorial Policies
      • Editorial Board
      • Aims and Scope
      • Abstracting and Indexing
      • Bibliographic Information
      • Archive
    • International Journal of Oncology
      • Information for Authors
      • Editorial Policies
      • Editorial Board
      • Aims and Scope
      • Abstracting and Indexing
      • Bibliographic Information
      • Archive
    • Medicine International
      • Information for Authors
      • Editorial Policies
      • Editorial Board
      • Aims and Scope
      • Abstracting and Indexing
      • Bibliographic Information
      • Archive
    • Molecular and Clinical Oncology
      • Information for Authors
      • Editorial Policies
      • Editorial Board
      • Aims and Scope
      • Abstracting and Indexing
      • Bibliographic Information
      • Archive
    • Molecular Medicine Reports
      • Information for Authors
      • Editorial Policies
      • Editorial Board
      • Aims and Scope
      • Abstracting and Indexing
      • Bibliographic Information
      • Archive
    • Oncology Letters
      • Information for Authors
      • Editorial Policies
      • Editorial Board
      • Aims and Scope
      • Abstracting and Indexing
      • Bibliographic Information
      • Archive
    • Oncology Reports
      • Information for Authors
      • Editorial Policies
      • Editorial Board
      • Aims and Scope
      • Abstracting and Indexing
      • Bibliographic Information
      • Archive
    • World Academy of Sciences Journal
      • Information for Authors
      • Editorial Policies
      • Editorial Board
      • Aims and Scope
      • Abstracting and Indexing
      • Bibliographic Information
      • Archive
  • Articles
  • Information
    • For Authors
    • For Reviewers
    • For Librarians
    • For Advertisers
    • Conferences
  • Language Editing
Login Register Submit
  • This site uses cookies
  • You can change your cookie settings at any time by following the instructions in our Cookie Policy. To find out more, you may read our Privacy Policy.

    I agree
Search articles by DOI, keyword, author or affiliation
Search
Advanced Search
presentation
Experimental and Therapeutic Medicine
Join Editorial Board Propose a Special Issue
Print ISSN: 1792-0981 Online ISSN: 1792-1015
Journal Cover
April-2026 Volume 31 Issue 4

Full Size Image

Sign up for eToc alerts
Recommend to Library

Journals

International Journal of Molecular Medicine

International Journal of Molecular Medicine

International Journal of Molecular Medicine is an international journal devoted to molecular mechanisms of human disease.

International Journal of Oncology

International Journal of Oncology

International Journal of Oncology is an international journal devoted to oncology research and cancer treatment.

Molecular Medicine Reports

Molecular Medicine Reports

Covers molecular medicine topics such as pharmacology, pathology, genetics, neuroscience, infectious diseases, molecular cardiology, and molecular surgery.

Oncology Reports

Oncology Reports

Oncology Reports is an international journal devoted to fundamental and applied research in Oncology.

Experimental and Therapeutic Medicine

Experimental and Therapeutic Medicine

Experimental and Therapeutic Medicine is an international journal devoted to laboratory and clinical medicine.

Oncology Letters

Oncology Letters

Oncology Letters is an international journal devoted to Experimental and Clinical Oncology.

Biomedical Reports

Biomedical Reports

Explores a wide range of biological and medical fields, including pharmacology, genetics, microbiology, neuroscience, and molecular cardiology.

Molecular and Clinical Oncology

Molecular and Clinical Oncology

International journal addressing all aspects of oncology research, from tumorigenesis and oncogenes to chemotherapy and metastasis.

World Academy of Sciences Journal

World Academy of Sciences Journal

Multidisciplinary open-access journal spanning biochemistry, genetics, neuroscience, environmental health, and synthetic biology.

International Journal of Functional Nutrition

International Journal of Functional Nutrition

Open-access journal combining biochemistry, pharmacology, immunology, and genetics to advance health through functional nutrition.

International Journal of Epigenetics

International Journal of Epigenetics

Publishes open-access research on using epigenetics to advance understanding and treatment of human disease.

Medicine International

Medicine International

An International Open Access Journal Devoted to General Medicine.

Journal Cover
April-2026 Volume 31 Issue 4

Full Size Image

Sign up for eToc alerts
Recommend to Library

  • Article
  • Citations
    • Cite This Article
    • Download Citation
    • Create Citation Alert
    • Remove Citation Alert
    • Cited By
  • Similar Articles
    • Related Articles (in Spandidos Publications)
    • Similar Articles (Google Scholar)
    • Similar Articles (PubMed)
  • Download PDF
  • Download XML
  • View XML
Article Open Access

Surgical treatment of extrahepatic intraabdominal hydatid cysts: A single‑centre retrospective analysis

  • Authors:
    • Fatih Dal
    • Tutkun Talih
    • Muhammet Akyüz
    • Uğur Topal
    • Gökhan Sönmez
    • Erdoğan Mütevelli Sözüer
    • Hizir Yakup Akyildiz
    • Mustafa Karaağaç
    • Sedat Çarkit
    • Doğan Gürkan İslam
  • View Affiliations / Copyright

    Affiliations: Department of General Surgery, Erciyes University School of Medicine, Kayseri 38030, Turkiye, Department of General Surgery, Çukurova University School of Medicine, Adana 01330, Turkiye, Department of Urology, Erciyes University School of Medicine, Kayseri 38030, Turkiye, Department of General Surgery, Goksun State Hospital, Kahramanmaras 46600, Turkiye
    Copyright: © Dal et al. This is an open access article distributed under the terms of Creative Commons Attribution License.
  • Article Number: 102
    |
    Published online on: February 9, 2026
       https://doi.org/10.3892/etm.2026.13096
  • Expand metrics +
Metrics: Total Views: 0 (Spandidos Publications: | PMC Statistics: )
Metrics: Total PDF Downloads: 0 (Spandidos Publications: | PMC Statistics: )
Cited By (CrossRef): 0 citations Loading Articles...

This article is mentioned in:


Abstract

Cystic echinococcosis is a zoonotic disease caused by Echinococcus granulosus. Although Echinococcal cysts are most frequently located in the liver (59‑75%), in rare circumstances they may develop in extra‑hepatic locations. Because extrahepatic cysts are rare and lack the characteristic appearance of hepatic cysts, diagnosis can be challenging. In the present retrospective study, the medical records of 41 patients surgically treated for intra‑abdominal extrahepatic hydatid cyst disease were analysed to collect the following: Demographic data, cyst localization, serological test results, surgical findings and procedures, length of hospital stay, post‑operative medical treatments and recurrence status. Based on this analysis, the female‑to‑male ratio was 27:14, with a mean age of 42.9±15.1 years (range, 19‑75 years). Diagnosis was based on ultrasound, computed tomography or magnetic resonance imaging, and confirmed pre‑operatively for 29 patients. Isolated kidney involvement was the most common finding (31.7%), whereas 12 patients had cysts in multiple locations. Isolated extrahepatic cysts were present in 30 patients (73.2%) and 11 (26.8%) had concurrent hepatic cysts. Surgery was performed on 34 patients for extrahepatic cysts alone, and on 7 (17%) for both hepatic and extrahepatic cysts; recurrence occurred in 4 patients (9.7%). Hepatic involvement (P=0.003), multiple cysts (P=0.033), multi‑site involvement (P=0.033), history of surgery (P=0.002), concurrent liver surgery (P=0.019) and positive serology (P=0.030) were identified as risk factors for recurrence. The present results show that although imaging remains the cornerstone of extrahepatic cyst diagnosis, the disease was confirmed by radiology in only one‑third of cases. Hydatid disease should be suspected in endemic regions; and surgery remains the most effective and commonly used treatment.

Introduction

Cystic echinococcosis is a zoonotic parasitic disease caused by Echinococcus granulosus, with humans serving as incidental hosts (1). The disease, endemic in specific geographic regions, most notably the Mediterranean and the Middle East, is a zoonosis caused by Echinococcus granulosus larvae in areas where there is a close link between sheep, dogs and humans (2). Echinococcal cysts are most commonly located in the liver (59-75%); whereas extrahepatic involvement has been reported less frequently, with the lungs representing the second most common site (27%). Isolated hydatid cysts in organs such as the spleen, heart, kidneys, bones, brain, pancreas and retroperitoneal space are rare (3).

E. granulosus, the causative agent of the disease, belongs to the Taeniidae family of the Cestoda class (1). In terms of genetic and biological characteristics, a total of six different types of E. granulosis have been identified (sheep, cattle, horse, camel, pig and deer). Of these, four are pathological for human health: E. granulosus (disease, cystic echinococcosis), E. multilocularis (disease, alveolar echinococcosis), E. vogeli and E. oligarthrus (disease, polycystic echinococcosis) (4).

Hydatid disease remains a notable public health issue in endemic regions, in large part due to insufficient preventive healthcare measures. In addition, extrahepatic hydatid cysts often do not present with clinical symptoms, and most cases are asymptomatic (5). At present, imaging studies serve as the cornerstone of diagnosis, where radiological findings may range from purely cystic to a more complex, solid appearance. Characteristic radiologic features include the ‘floating membrane’ sign, which is due to detachment of the endocyst from the pericyst, and is often accompanied by multiple daughter cysts; however, the rarity of extrahepatic involvement and the absence of typical imaging features can make diagnosis challenging (6).

The present study aimed to evaluate the diagnosis, clinical characteristics and treatment of isolated extrahepatic cysts, hydatid cysts and hepatic cysts occurring in various regions of the abdominal cavity, and report the cohort results.

Materials and methods

The medical records of patients, who were surgically treated for intra-abdominal extrahepatic hydatid disease at Erciyes University School of Medicine Hospital (Kayseri, Turkey) between January 2010 and April 2020, were retrospectively analysed. The present study was performed in accordance with the principles of the World Medical Association Declaration of Helsinki and was approved by the Local Ethics Committee of Erciyes University Faculty of Medicine (approval no. 279; date, June 2020). Although informed consent was not obtained due to the retrospective nature of the study, pre-operative informed consent was obtained for all interventional and surgical procedures performed. The study included patients >18 years of age who were diagnosed with extrahepatic hydatid cysts in the Department of Surgery, Erciyes University, and underwent surgical treatment. Patients with isolated liver cysts only, those lacking imaging or clinical-demographic data, those without postoperative follow-up data and those who did not undergo surgical treatment were excluded from the study. Among the 341 patients who underwent surgery for intra-abdominal hydatid disease, extrahepatic cysts were identified in 49 cases. Due to missing data or loss to follow-up, 8 patients were excluded from the present study, and the remaining 41 patients were included in the final analysis. Following ethics approval, patient charts, electronic records, pathology and operative reports and anaesthesia records were examined. Using this data, the following specific factors were retrospectively analysed: Demographic characteristics, cyst localization, serologic test results, intraoperative findings, surgical procedures, length of hospital stay, postoperative medical treatment and recurrence status.

For preoperative diagnostic evaluation, patients underwent ultrasound (US), computed tomography (CT) and/or magnetic resonance imaging (MRI), either individually or in combination. The choice of diagnostic modality was based on the clinician's experience and the diagnostic performance of the imaging method (e.g., CT was performed in some patients when US did not provide a definitive diagnosis). Regarding serological testing, a positive result was defined as a titre of ≥1/320 in the indirect haemagglutination assay (IHA). Western blot (WB) test analysis was performed using parasite-derived tissue protein extracts. Proteins were extracted using radioimmunoprecipitation assay buffer (50 mM Tris-HCl, 150 mM NaCl, 1% NP-40, 0.5% sodium deoxycholate and 0.1% SDS) supplemented with a protease inhibitor cocktail (MilliporeSigma). Protein concentrations were determined using the bicinchoninic acid assay. Equal amounts of protein (30 µg per lane) were separated on 12% SDS-polyacrylamide gels and transferred onto polyvinylidene difluoride membranes. Membranes were blocked with 5% non-fat dry milk in Tris-buffered saline containing 0.1% Tween-20 (TBST; MilliporeSigma) for 1 h at room temperature. Membranes were incubated overnight at 4˚C with patient sera diluted 1:200 as the primary antibody, followed by incubation with horseradish peroxidase (HRP)-conjugated anti-human IgG secondary antibody (1:5,000; MilliporeSigma) for 1 h at room temperature. β-actin was used as a reference protein. Immunoreactive bands were visualized using enhanced chemiluminescence substrate (MilliporeSigma), and the presence of a p7 band was considered a positive result.

Statistical analyses were performed using IBM SPSS 22.0 (IBM Corp.). Normal distribution of data was analyzed using Kolmogorov-Smirnov and Shapiro-Wilk tests. Continuous variables were presented as the mean ± standard deviation, whereas nominal variables were expressed as frequencies (n) and percentages (%) and were compared using the Fisher's Exact (used to compare groups with sample sizes <5). P<0.05 was considered to indicate a statistically significant difference.

Results

Data from 41 patients who met the study inclusion criteria were analysed, revealing 30 cases of isolated extrahepatic hydatid disease and 11 cases of extrahepatic hydatid disease with concurrent hepatic involvement. Of these 41 patients, 14 (34.1%) were men and 27 (65.9%) were women, with a mean age of 42.9±15.1 years (range, 19-75 years). The most common presenting symptom was abdominal pain, reported by 22 (53.6%) patients, followed by flank pain in 9 (21%) patients. Less frequent symptoms included urinary retention (n=1, 2.4%), vaginal bleeding (n=1, 2.4%), lumbar pain (n=1, 2.4%) and general malaise (n=1, 2.4%); 6 patients (14.6%) were asymptomatic, and hydatid cysts were detected incidentally during imaging studies performed for other reasons in these patients. None of the patients showed any signs of acute abdominal pathology and findings from abdominal examinations were normal in all cases. Demographic and clinical characteristics of the 41 patients included in the present study are summarised in Table I.

Table I

Demographic data and clinical characteristics of patients (n=41).

Table I

Demographic data and clinical characteristics of patients (n=41).

VariableValue
Age, years (range)42.9±15.1 (19-75)
Sex, n (%) 
     Female27 (65.9)
     Male14 (34.1)
Mean ± SD hospital stay, days5.5±2.2
Extrahepatic cyst rate, n/total n (%)41/341 (12.0)
     Isolated extrahepatic cyst30 (73.2)
     Hepatic + extrahepatic cyst11 (26.8)
Radiological positivity, n/total n (%)29/41 (70.7)
Average cyst diameter, mm84.1±36.8
IHA titre of positive patients (n=13)640 (320-1,280)
WB positivity rate, n/total n (%)18/34 (52.9)
Symptom, n (%) 
     Abdominal pain22 (53.6)
     Flank pain9 (21.0)
     Inability to urinate1 (2.4)
     Vaginal bleeding1 (2.4)
     Lumbar pain1 (2.4)
     Malaise1 (2.4)
     No complaints6 (14.5)

[i] WB, western blot of p7; IHA, indirect haemagglutination assay.

For diagnostic purposes, 16 patients were evaluated by CT, 8 by US and 3 by MRI imaging. An additional 7 patients were evaluated by both US and CT, whereas 4 were evaluated using CT and MRI, 2 using US and MRI and 1 patient using US, CT and MRI imaging. Based on these data, the mean cyst diameter was calculated to be 84.12±36.78 mm. Imaging findings were suggestive of hydatid cyst in 29 (70.7%) patients, whereas no radiological indication of hydatid disease was observed for the remaining 12 (29.3%) patients.

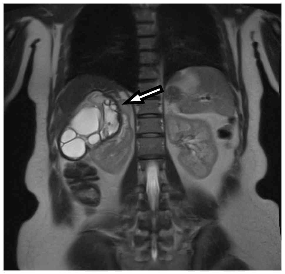
Analysis of cyst locations revealed isolated kidney involvement in 13 patients (31.7%) (Fig. 1); isolated splenic involvement in 5 patients (12.1%); isolated retroperitoneal involvement in 5 patients (12.1%) (Fig. 2A); isolated intraperitoneal involvement in 5 patients (12.1%); and isolated ovarian involvement in 1 patient (Fig. 2B); cyst localization data are summarised in Fig. 3. For the remaining 11 patients, cysts were identified in multiple locations. Out of the 41 patients included in the present study, 30 (73.2%) had isolated extrahepatic hydatid cysts, whereas 11 (26.8%) also had concurrent hepatic involvement.

MRI image of a hydatid cyst in the
right kidney. Daughter vesicles are seen within the cyst
(arrow).

Figure 1

MRI image of a hydatid cyst in the right kidney. Daughter vesicles are seen within the cyst (arrow).

(A) MRI image of a hydatid cyst with
daughter vesicles in the left retroperitoneum. (B) A 102 mm
diameter multiseptate hydatid cyst was observed in the adnexal area
in pelvic CT.

Figure 2

(A) MRI image of a hydatid cyst with daughter vesicles in the left retroperitoneum. (B) A 102 mm diameter multiseptate hydatid cyst was observed in the adnexal area in pelvic CT.

Lesion locations.

Figure 3

Lesion locations.

Serological testing, including an IHA test and WB analyses, were performed on 34 patients. The IHA test was positive for 13 patients (38.2%); whereas the WB test was positive for 18 (52.9%) patients. Of the 30 patients diagnosed with isolated extrahepatic disease, 26 underwent serological testing, with 9 (34.6%) yielding positive results (both IHA and WB). Of the 11 patients with concurrent hepatic hydatid disease, 8 underwent serological testing and 6 (75%) tested positive for both IHA and WB. In addition, 7 out of 10 patients with a history of previous hydatid surgery had positive serological test results.

Out of the 41 patients included in the present study, 31 (75.6%) had no prior history of surgery for hydatid disease; whereas 5 patients (12%) had previously undergone surgical and puncture, aspiration, injection, re-aspiration (PAIR) treatments for hepatic hydatid cysts in the liver and spleen; 3 patients (7%) had surgery for pulmonary hydatid cysts; and 1 patient (2%) had surgery for both hepatic and pulmonary hydatid cysts. In addition, 1 patient (2%) received only PAIR treatment for hepatic hydatid cysts.

Based on analysis of the surgical procedures used for patient treatments, 7 patients (17%) underwent simultaneous surgery for hepatic hydatid cysts; whereas 34 patients (83%) underwent surgery solely for extrahepatic hydatid disease. With respect to surgical treatment procedures used, partial or total cyst excision was performed on 28 patients (68%), a splenectomy on 5 patients (12%), a combined splenectomy and cyst excision was performed on 4 out of these 5 patients (10%), a partial nephrectomy on 2 patients (5%) and a total abdominal hysterectomy with bilateral salpingo-oophorectomy was used to treat 2 patients (5%). The mean hospital stay was 5.5±2.2 days (range, 2-12 days). Post-operatively, 10 patients received medical therapy (albendazole treatment was administered for varying durations depending on the patient's clinical condition); and recurrence was observed in 4 patients (9.7%), all of whom were receiving post-operative medical treatment. Out of the 4 patients with recurrence, 3 had undergone concurrent surgery for intra-abdominal and hepatic hydatid cysts.

Statistical analysis identified the following as significant risk factors for post-operative recurrence in extrahepatic cystic echinococcosis: Hepatic involvement (P=0.003), the presence of cysts at multiple sites (P=0.033), the presence of multiple cysts (P=0.001), a prior surgical history (P=0.002), concurrent liver surgery (P=0.019) and positive results from both serological tests (P=0.030). Factors affecting postoperative recurrence are detailed in Table II.

Table II

Risk factors for recurrence in operated extrahepatic hydatid cysts.

Table II

Risk factors for recurrence in operated extrahepatic hydatid cysts.

VariableRecurrence, nNon-recurrence, nP-value
Sex  0.107
     Male311 
     Female126 
Cyst location  0.003
     Isolated extrahepatic cyst030 
     Hepatic + extrahepatic cyst47 
Number of cysts  0.001
One028 
Multiple49 
Number of regions in which the cyst is found  0.033
     Single129 
     Multiple38 
IHA/WB  0.030
     Negative014 
     Only one positive05 
     Both positive425 
Previous cyst surgery  0.002
     Negative031 
     Positive46 
Concurrent liver surgery  0.019
     No132 
     Yes35 

[i] Fisher's Exact test was used to compare groups with sample <5. WB, western blot of p7; IHA, indirect haemagglutination assay.

Discussion

Hydatid disease is common in endemic regions, where it predominantly affects the liver and lungs; extrahepatic and extrapulmonary involvement is relatively rare and can present specific diagnostic challenges. Reported rates of extrahepatic hydatid disease in general vary between 6.9-20.3% (7-9); primary extrahepatic involvement without hepatic or pulmonary disease is rare, with an incidence rate ranging from 2.1 to 11.1% (7,10,11). Akcam et al (8) reported an extrahepatic involvement rate of 20.3% in the authors' cohort and noted extra-abdominal sites, such as the central nervous system, bones, thyroid, breasts, muscles and the heart; while the most common intra-abdominal sites included the peritoneal cavity, kidneys and spleen. Lianos et al (12) observed pulmonary involvement with concurrent extrahepatic disease in 7.8% of patients, with peritoneal and splenic involvement most frequently reported. Another study reported a 16.3% rate of extrahepatic involvement, predominantly in the peritoneum and spleen (9). Tsaroucha et al (11) found extrahepatic involvement in 17.8% of patients, including concurrent hepatic involvement in 6.7% and isolated extrahepatic involvement in 11.1%, with peritoneal and splenic sites most commonly affected. In the present study, the rate of extrahepatic intraperitoneal involvement was 14.3%, with the kidneys and spleen being the most frequently identified sites. Balik et al (7) reported that 70.4% of the patients were diagnosed with concurrent hepatic hydatid disease, while 29.6% were found to have isolated extrahepatic disease. By contrast, in the present study, concurrent hepatic involvement was found in 24.3% of the patients, with isolated extrahepatic disease observed in 75.6%. Nonetheless, while malignant mechanisms, such as hepatic cancer, have been well-investigated, the mechanisms governing development of extrahepatic hydatid cysts remain to be fully clarified (13).

Similar to hepatic hydatid disease, some patients with extrahepatic involvement also remain asymptomatic, whereas others develop symptoms related to complications or compression of adjacent structures by the cystic mass. In the present study, 22 patients (53.6%) presented with abdominal pain and 11 patients (22%) reported flank pain, whereas 6 patients (12%) were asymptomatic. In agreement with this, Gündeş et al (14) also reported abdominal and flank pain as the predominantly reported symptoms in their cohort, whereas Makni et al (15) identified abdominal pain as the most common presenting complaint (80%), while 18% of the patients were asymptomatic.

The diagnosis of hydatid disease primarily relies on imaging studies, with serological testing used to support radiological findings. However, diagnoses involving extrahepatic hydatid cysts are more challenging because of their relatively lower occurrence rate and lack of typical radiological features. US is the preferred imaging method for the evaluation and diagnosis of hepatic hydatid disease. A staging system consisting of five grades has been established based on the ultrasonographic characteristics of the cysts and the US findings (6,16). In addition, it is also useful for diagnosing extrahepatic hydatid disease in US-accessible regions, enabling visualisation of daughter cysts and the germinal layer and providing diagnostic support (6). In the present study, out of 14 patients evaluated by US, hydatid disease was diagnosed in 4 cases with splenic involvement and 2 with renal involvement; however, due to the narrowness of the pelvic area and the bony structures, US failed to diagnose cysts located in the pelvic region.

CT can effectively detect calcified cyst walls and provides valuable information regarding cyst size and its relationship with adjacent organs (6). In the present study, 31 patients underwent CT evaluation, which was used to facilitate diagnosis of cases with intraperitoneal, retroperitoneal and renal involvement. Inan et al (17) reported that in addition to conventional MRI imaging, diffusion-weighted MRI may be helpful for the diagnosis of extrahepatic hydatid cysts. DWI images provide rapid and effective imaging, particularly in differentiating between benign and malignant lesions, and between simple cysts and hydatid cysts. In a 2021 study, Guo et al (18) found that CT and MRI demonstrated similar efficacy for the diagnosis of extrahepatic hydatid cysts. In the present study, conventional MRI images were evaluated, and, to the best of our knowledge, the number of patients previously diagnosed by this MRI-based method is limited (17). Moreover, 4 of the present patients were evaluated using MRI, which was used to effectively visualise internal cysts and enabled diagnosis of 2 patients with splenic and retroperitoneal cysts. Beside this, although a definitive preoperative radiological diagnosis could not be made in 12 of the patients included in the present study, numerous had suspected hydatid cysts on imaging (mostly US). However, these patients were diagnosed by perioperative imaging or histopathological diagnosis. Furthermore, because the Interventional Radiology Unit at Erciyes University School of Medicine Hospital is the leading hydatid cyst diagnosis and treatment centre in the Middle Anatolian region, US was used for most of the diagnoses, eliminating the need to use World Health Organization Informal Working Group on Echinococcosis classification of cystic echinococcosis (CE), such as CE1, CE3c and CE4(16). In addition, since the present study was retrospective, it was not possible to apply all three imaging methods (US, MRI or CT) to all patients; diagnosis was made using one or more of the appropriate imaging methods.

Although serological tests using IHA and WB are commonly used for the diagnosis of hydatid disease; their diagnostic accuracy is reduced in patients with extrahepatic involvement vs. those with hepatic disease (19). In the present study, of the 29 patients evaluated by serological testing, 10 patients (34.4%) were found to be positive by IHA and 15 patients (51.7%) by WB. In the literature, serological positivity rates range from 50-77% (8,13,14,20). Among these tests, WB generally demonstrates a higher positivity rate than IHA, whereas overall serological positivity is lower in extrahepatic vs. hepatic hydatid disease (19). Similarly, in the present study, 42.8% of patients with extrahepatic hydatid cysts tested positive in serological assays, compared with a 75% positivity rate for those with hepatic involvement.

Albendazole-based therapy has been shown to have limited efficacy for the treatment of hydatid disease and is generally only recommended for smaller (<5 cm) asymptomatic cysts. Percutaneous treatments such as PAIR have been proposed as first-line therapy for eligible patients with hepatic hydatid disease (21). However, surgery remains the preferred approach for more complicated cases, such as those designated CE4 or CE5, as well as for patients deemed to be unsuitable for PAIR. Experience with percutaneous treatment of extrahepatic hydatid cysts is limited, and thus surgery is considered the primary treatment modality for such cases (22). When pre-operative diagnosis is uncertain, exploratory surgery may become necessary and can be used to both eradicate the disease and prevent recurrence, while minimising morbidity and mortality.

For surgical treatment of hepatic hydatid cysts, complete cyst resection is associated with a low recurrence rate and total cyst excision is preferred (1); however, when this is not feasible, partial excision should still be considered. Organ-preserving resections are recommended for lesions involving specific organs, such as the kidneys, spleen or ovaries, although organ removal may be required in cases of extensive damage. Due to technical challenges and the high complication risks associated with partial splenectomy, total splenectomy is recommended for splenic involvement (23); in the present cohort, 9 patients underwent splenectomy. For renal hydatid cysts, kidney-preserving total or partial cyst excision is preferred. Out of the 11 patients with kidney involvement in the present cohort, 2 patients underwent partial nephrectomy whereas 9 underwent cyst excision.

Wani et al (24) reported a 0% recurrence rate during follow-up in their study of 12 patients with extrahepatic intra-abdominal hydatid cysts, and Gündeş et al (14) observed no recurrence in 22 patients diagnosed with primary intra-abdominal hydatid cysts. In this study, the mean follow-up period of the patients was 40 months (range, 6-68 months). In addition, in a 2025 study involving 31 patients with extrahepatic hydatid cysts, a 0% recurrence rate was reported after a 36-month follow-up period in patients treated percutaneously (25). However, contrary to these results, recurrence rates in other studies have reached as high as 22% (11,26,27). In the present study, a recurrence rate of 9.7% was found during the follow-up period, which is consistent with recurrence rates reported in the literature.

To the best of our knowledge, in the literature a limited number of studies have been published that investigated factors influencing recurrence rates. A study by Gollackner et al (28) suggested that radical surgery reduces the risk of recurrence; whereas another study, published in 2015, identified a laparoscopic approach as the only factor influencing recurrence and reported a higher recurrence rate in patients that underwent laparoscopic surgery (29). The present study represents a detailed investigation on this topic, and identified the following factors associated with increased risk of recurrence: Hepatic involvement, cysts located in multiple sites, multiple cysts, a history of previous surgery, concurrent liver surgery and positive results by both serologic tests. Due to the limited number of patients and recurrence cases reported in the literature for extrahepatic hydatid cysts, factors associated with recurrence may have not been thoroughly investigated. In the present study, extensive disease was associated both with recurrence and treatment challenges, as evidenced by the development of recurrent disease despite post-operative medical therapy.

Total cyst excision should be performed whenever possible in cases with intraperitoneal and retroperitoneal lesions; however, if total excision is not feasible, evacuation of the cyst contents followed by partial resection should be carried out, with careful attention to avoid contamination of the surrounding tissues. Hamamci et al (9) reported performing a partial cystectomy on 4 patients with retroperitoneal hydatid cysts; one of these four patients reported a recurrence in the same area 1 year after surgery. In the present study, cyst excision was performed on 11 patients with peritoneal cysts, and of these, 6 patients had retroperitoneal cysts. A total of 4 out of these 11 patients underwent total cyst excision whereas 2 patients underwent partial cyst excision.

The present study has limitations similar to those frequently encountered in other studies addressing this topic; these include retrospective design, a single-centre study and a small sample size. In addition, due to the retrospective nature of the present study, the inability to access CT, MRI and US images of some patients is another limitation. Moreover, diagnosis of extrahepatic hydatid cysts is complicated by their lack of a characteristic radiological appearance; therefore, hydatid disease should be considered in patients presenting with cystic lesions in atypical locations, particularly in endemic regions. Due to the limited experience with medical and percutaneous treatments for these cases, surgery remains the primary and most effective treatment modality.

In conclusion, the demographic and clinical data collected from patients included in this study and followed throughout the study period are consistent with those reported in the literature. Furthermore, the present results contribute to the literature, as the present study is one of the rare studies investigating and analyzing factors influencing recurrence. Nevertheless, there is a need for larger-scale, multicenter clinical trials that analyze factors affecting disease recurrence.

Acknowledgements

Not applicable.

Funding

Funding: No funding was received.

Availability of data and materials

The data generated in the present study may be requested from the corresponding author.

Authors' contributions

FD and MA were responsible for the conceptualization of the present study and TT, UT and GS were responsible for the study design. DGİ, FD and MA contributed to the analysis using statistical software. FD, EMS and HYA checked the accuracy of the data and analyses; FD, SC and MK conducted the formal analysis; FD and MA were the primary investigators; FD and DGİ provided the resources; FD and TT wrote the original draft of the manuscript and; FD, MA and TT reviewed and edited the manuscript; and FD and UT supervised the study. All authors have read and agreed to the final version of the manuscript. TT and FD confirm the authenticity of all the raw data.

Ethics approval and consent to participate

The present research was conducted ethically following The Code of Ethics of the World Medical Association (Declaration of Helsinki). The responsible authorities approved the study (Local Ethics Committee of Erciyes University Faculty of Medicine; approval no. 279/June 2020). Although informed consent could not be obtained from patients for the study due to its retrospective nature, pre-operative informed consent was obtained for all interventional and surgical procedures performed.

Patient consent for publication

Not applicable.

Competing interests

The authors declared that they have no competing interests.

References

1 

Sozuer E, Akyuz M and Akbulut S: Open surgery for hepatic hydatid disease. Int Surg. 99:764–769. 2014.PubMed/NCBI View Article : Google Scholar

2 

Ahmad BS, Afzal A, Ashraf P, Abubakar SA and Munir A: Manifestation of hydatid cyst of liver with pancreatitis, cholangitis and jaundice: A case report. J Pak Med Assoc. 68:1097–1099. 2018.PubMed/NCBI

3 

Kushwaha JK, Sonkar AA, Verma AK and Pandey SK: Primary disseminated extrahepatic abdominal hydatid cyst: A rare disease. Case Rep. 2012(bcr0220125808)2012.PubMed/NCBI View Article : Google Scholar

4 

Bhutani N and Kajal P: Hepatic echinococcosis: A review. Ann Med Surg (Lond). 36:99–105. 2018.PubMed/NCBI View Article : Google Scholar

5 

Ahire P, Iyer N and Gada PB: Complication of hepatic hydatid cyst surgery presenting as obstructive jaundice. Cureus. 15(e35410)2023.PubMed/NCBI View Article : Google Scholar

6 

Zalaquett E, Menias C, Garrido F, Vargas M, Olivares JF, Campos D, Pinochet N, Luna A, Dahiya N and Huete Á: Imaging of hydatid disease with a focus on extrahepatic involvement. Radiographics. 37:901–923. 2017.PubMed/NCBI View Article : Google Scholar

7 

Balik AA, Celebi F, Başglu M, Oren D, Yildirgan I and Atamanalp SS: Intra-abdominal extrahepatic echinococcosis. Surg Today. 31:881–884. 2001.PubMed/NCBI View Article : Google Scholar

8 

Akcam AT, Ulku A, Koltas IS, Izol V, Bicer OS, Kilicbagir E, Sakman G, Poyrzoglu H, Erman T, Aridogan IA, et al: Clinical characterization of unusual cystic echinococcosis in southern part of Turkey. Ann Saudi Med. 34:508–516. 2014.PubMed/NCBI View Article : Google Scholar

9 

Hamamci EO, Besim H and Korkmaz A: Unusual locations of hydatid disease and surgical approach. ANZ J Surg. 74:356–360. 2004.PubMed/NCBI View Article : Google Scholar

10 

Mandal S and Mandal MD: Human cystic echinococcosis: Epidemiologic, zoonotic, clinical, diagnostic and therapeutic aspects. Asian Pac J Trop Med. 5:253–260. 2012.PubMed/NCBI View Article : Google Scholar

11 

Tsaroucha AK, Polychronidis AC, Lyrantzopoulos N, Pitiakoudis MS, J Karayiannakis A, Manolas KJ and Simopoulos CE: Hydatid disease of the abdomen and other locations. World J Surg. 29:1161–1165. 2005.PubMed/NCBI View Article : Google Scholar

12 

Lianos GD, Lazaros A, Vlachos K, Georgiou GK, Harissis HV, Mangano A, Rausei S, Boni L, Frattini F, Biondi A, et al: Unusual locations of hydatid disease: A 33 year's experience analysis on 233 patients. Updates Surg. 67:279–282. 2015.PubMed/NCBI View Article : Google Scholar

13 

Rizzo A and Ricci AD: Challenges and future trends of hepatocellular carcinoma immunotherapy. Int J Mol Sci. 23(11363)2022.PubMed/NCBI View Article : Google Scholar

14 

Gündeş E, Küçükkartallar T, Çakir M, Aksoy F, Ali B and Kartal A: Ekstrahepatik yerleşimli primer intraabdominal hidatik kist olguları. J Clin Exp Invest. 4:175–179. 2013.

15 

Makni A, Jouini M, Kacem M and Safta ZB: Extra-hepatic intra-abdominal hydatid cyst: Which characteristic, compared to the hepatic location? Updates Surg. 65:25–33. 2013.PubMed/NCBI View Article : Google Scholar

16 

WHO Informal Working Group. International classification of ultrasound images in cystic echinococcosis for application in clinical and field epidemiological settings. Acta Trop. 85:253–261. 2003.PubMed/NCBI View Article : Google Scholar

17 

Inan N, Akhun N, Akansel G, Arslan A, Ciftçi E and Demirci A: Conventional and diffusion-weighted MRI of extrahepatic hydatid cysts. Diagn Interv Radiol. 16:168–174. 2010.PubMed/NCBI View Article : Google Scholar

18 

Guo H, Liu W, Wang J and Xing Y: Extrahepatic alveolar echinococcus on multi-slice computed tomography and magnetic resonance imaging. Sci Rep. 11(9409)2021.PubMed/NCBI View Article : Google Scholar

19 

Biava MF, Dao A and Fortier B: Laboratory diagnosis of cystic hydatic disease. World J Surg. 25:10–14. 2001.PubMed/NCBI View Article : Google Scholar

20 

Aksakal N, Kement M, Okkabaz N, Altuntaş YE and Öncel M: Unusually located primary hydatid cysts. Ulus Cerrahi Derg. 32:130–133. 2015.PubMed/NCBI View Article : Google Scholar

21 

Brunetti E, Kern P and Vuitton DA: Writing Panel for the WHO-IWGE. Expert consensus for the diagnosis and treatment of cystic and alveolar echinococcosis in humans. Acta Trop. 114:1–16. 2010.PubMed/NCBI View Article : Google Scholar

22 

Arslan S, Bakdik S, Oncu F, Tolu I and Eryilmaz MA: Successful percutaneous treatment of extrahepatic cystic echinococcosis through PAIR and single puncture catheter techniques. Jpn J Radiol. 35:296–302. 2017.PubMed/NCBI View Article : Google Scholar

23 

Mejri A, Arfaoui K, Ayadi MF, Aloui B and Yaakoubi J: Primitive isolated hydatid cyst of the spleen: Total splenectomy versus spleen saving surgical modalities. BMC Surg. 21(46)2021.PubMed/NCBI View Article : Google Scholar

24 

Wani RA, Malik AA, Chowdri NA, Wani KA and Naqash SH: Primary extrahepatic abdominal hydatidosis. Int J Surg. 3:125–127. 2005.PubMed/NCBI View Article : Google Scholar

25 

Kahriman G, Onem MM and Talih G: Percutaneous management of extrahepatic cystic echinococcosis: Long-term outcomes and insights on rare locations. J Vasc Interv Radiol. 36:1567–1575. 2025.PubMed/NCBI View Article : Google Scholar

26 

Chautems R, Buhler L, Gold B, Chilcott M, Morel P and Mentha G: Long term results after complete or incomplete surgical resection of liver hydatid disease. Swiss Med Wkly. 133:258–262. 2003.PubMed/NCBI View Article : Google Scholar

27 

Cirenei A and Bertoldi I: Evolution of surgery for liver hydatidosis from 1950 to today: Analysis of a personal experience. World J Surg. 25:87–92. 2001.PubMed/NCBI View Article : Google Scholar

28 

Gollackner B, Längle F, Auer H, Maier A, Mittlböck M, Agstner I, Karner J, Langer F, Aspöck H, Loidolt H, et al: Radical surgical therapy of abdominal cystic hydatid disease: Factors of recurrence. World J Surg. 24:717–721. 2000.PubMed/NCBI View Article : Google Scholar

29 

Jerraya H, Khalfallah M, Osman SB, Nouira R and Dziri C: Predictive factors of recurrence after surgical treatment for liver hydatid cyst. Surg Endosc. 29:86–93. 2015.PubMed/NCBI View Article : Google Scholar

Related Articles

  • Abstract
  • View
  • Download
  • Twitter
Copy and paste a formatted citation
Spandidos Publications style
Dal F, Talih T, Akyüz M, Topal U, Sönmez G, Sözüer EM, Akyildiz HY, Karaağaç M, Çarkit S, İslam DG, İslam DG, et al: <p>Surgical treatment of extrahepatic intraabdominal hydatid cysts: A single‑centre retrospective analysis</p>. Exp Ther Med 31: 102, 2026.
APA
Dal, F., Talih, T., Akyüz, M., Topal, U., Sönmez, G., Sözüer, E.M. ... İslam, D.G. (2026). <p>Surgical treatment of extrahepatic intraabdominal hydatid cysts: A single‑centre retrospective analysis</p>. Experimental and Therapeutic Medicine, 31, 102. https://doi.org/10.3892/etm.2026.13096
MLA
Dal, F., Talih, T., Akyüz, M., Topal, U., Sönmez, G., Sözüer, E. M., Akyildiz, H. Y., Karaağaç, M., Çarkit, S., İslam, D. G."<p>Surgical treatment of extrahepatic intraabdominal hydatid cysts: A single‑centre retrospective analysis</p>". Experimental and Therapeutic Medicine 31.4 (2026): 102.
Chicago
Dal, F., Talih, T., Akyüz, M., Topal, U., Sönmez, G., Sözüer, E. M., Akyildiz, H. Y., Karaağaç, M., Çarkit, S., İslam, D. G."<p>Surgical treatment of extrahepatic intraabdominal hydatid cysts: A single‑centre retrospective analysis</p>". Experimental and Therapeutic Medicine 31, no. 4 (2026): 102. https://doi.org/10.3892/etm.2026.13096
Copy and paste a formatted citation
x
Spandidos Publications style
Dal F, Talih T, Akyüz M, Topal U, Sönmez G, Sözüer EM, Akyildiz HY, Karaağaç M, Çarkit S, İslam DG, İslam DG, et al: <p>Surgical treatment of extrahepatic intraabdominal hydatid cysts: A single‑centre retrospective analysis</p>. Exp Ther Med 31: 102, 2026.
APA
Dal, F., Talih, T., Akyüz, M., Topal, U., Sönmez, G., Sözüer, E.M. ... İslam, D.G. (2026). <p>Surgical treatment of extrahepatic intraabdominal hydatid cysts: A single‑centre retrospective analysis</p>. Experimental and Therapeutic Medicine, 31, 102. https://doi.org/10.3892/etm.2026.13096
MLA
Dal, F., Talih, T., Akyüz, M., Topal, U., Sönmez, G., Sözüer, E. M., Akyildiz, H. Y., Karaağaç, M., Çarkit, S., İslam, D. G."<p>Surgical treatment of extrahepatic intraabdominal hydatid cysts: A single‑centre retrospective analysis</p>". Experimental and Therapeutic Medicine 31.4 (2026): 102.
Chicago
Dal, F., Talih, T., Akyüz, M., Topal, U., Sönmez, G., Sözüer, E. M., Akyildiz, H. Y., Karaağaç, M., Çarkit, S., İslam, D. G."<p>Surgical treatment of extrahepatic intraabdominal hydatid cysts: A single‑centre retrospective analysis</p>". Experimental and Therapeutic Medicine 31, no. 4 (2026): 102. https://doi.org/10.3892/etm.2026.13096
Follow us
  • Twitter
  • LinkedIn
  • Facebook
About
  • Spandidos Publications
  • Careers
  • Cookie Policy
  • Privacy Policy
How can we help?
  • Help
  • Live Chat
  • Contact
  • Email to our Support Team