Spandidos Publications Logo
  • About
    • About Spandidos
    • Aims and Scopes
    • Abstracting and Indexing
    • Editorial Policies
    • Reprints and Permissions
    • Job Opportunities
    • Terms and Conditions
    • Contact
  • Journals
    • All Journals
    • Oncology Letters
      • Oncology Letters
      • Information for Authors
      • Editorial Policies
      • Editorial Board
      • Aims and Scope
      • Abstracting and Indexing
      • Bibliographic Information
      • Archive
    • International Journal of Oncology
      • International Journal of Oncology
      • Information for Authors
      • Editorial Policies
      • Editorial Board
      • Aims and Scope
      • Abstracting and Indexing
      • Bibliographic Information
      • Archive
    • Molecular and Clinical Oncology
      • Molecular and Clinical Oncology
      • Information for Authors
      • Editorial Policies
      • Editorial Board
      • Aims and Scope
      • Abstracting and Indexing
      • Bibliographic Information
      • Archive
    • Experimental and Therapeutic Medicine
      • Experimental and Therapeutic Medicine
      • Information for Authors
      • Editorial Policies
      • Editorial Board
      • Aims and Scope
      • Abstracting and Indexing
      • Bibliographic Information
      • Archive
    • International Journal of Molecular Medicine
      • International Journal of Molecular Medicine
      • Information for Authors
      • Editorial Policies
      • Editorial Board
      • Aims and Scope
      • Abstracting and Indexing
      • Bibliographic Information
      • Archive
    • Biomedical Reports
      • Biomedical Reports
      • Information for Authors
      • Editorial Policies
      • Editorial Board
      • Aims and Scope
      • Abstracting and Indexing
      • Bibliographic Information
      • Archive
    • Oncology Reports
      • Oncology Reports
      • Information for Authors
      • Editorial Policies
      • Editorial Board
      • Aims and Scope
      • Abstracting and Indexing
      • Bibliographic Information
      • Archive
    • Molecular Medicine Reports
      • Molecular Medicine Reports
      • Information for Authors
      • Editorial Policies
      • Editorial Board
      • Aims and Scope
      • Abstracting and Indexing
      • Bibliographic Information
      • Archive
    • World Academy of Sciences Journal
      • World Academy of Sciences Journal
      • Information for Authors
      • Editorial Policies
      • Editorial Board
      • Aims and Scope
      • Abstracting and Indexing
      • Bibliographic Information
      • Archive
    • International Journal of Functional Nutrition
      • International Journal of Functional Nutrition
      • Information for Authors
      • Editorial Policies
      • Editorial Board
      • Aims and Scope
      • Abstracting and Indexing
      • Bibliographic Information
      • Archive
    • International Journal of Epigenetics
      • International Journal of Epigenetics
      • Information for Authors
      • Editorial Policies
      • Editorial Board
      • Aims and Scope
      • Abstracting and Indexing
      • Bibliographic Information
      • Archive
    • Medicine International
      • Medicine International
      • Information for Authors
      • Editorial Policies
      • Editorial Board
      • Aims and Scope
      • Abstracting and Indexing
      • Bibliographic Information
      • Archive
  • Articles
  • Information
    • Information for Authors
    • Information for Reviewers
    • Information for Librarians
    • Information for Advertisers
    • Conferences
  • Language Editing
Spandidos Publications Logo
  • About
    • About Spandidos
    • Aims and Scopes
    • Abstracting and Indexing
    • Editorial Policies
    • Reprints and Permissions
    • Job Opportunities
    • Terms and Conditions
    • Contact
  • Journals
    • All Journals
    • Biomedical Reports
      • Information for Authors
      • Editorial Policies
      • Editorial Board
      • Aims and Scope
      • Abstracting and Indexing
      • Bibliographic Information
      • Archive
    • Experimental and Therapeutic Medicine
      • Information for Authors
      • Editorial Policies
      • Editorial Board
      • Aims and Scope
      • Abstracting and Indexing
      • Bibliographic Information
      • Archive
    • International Journal of Epigenetics
      • Information for Authors
      • Editorial Policies
      • Editorial Board
      • Aims and Scope
      • Abstracting and Indexing
      • Bibliographic Information
      • Archive
    • International Journal of Functional Nutrition
      • Information for Authors
      • Editorial Policies
      • Editorial Board
      • Aims and Scope
      • Abstracting and Indexing
      • Bibliographic Information
      • Archive
    • International Journal of Molecular Medicine
      • Information for Authors
      • Editorial Policies
      • Editorial Board
      • Aims and Scope
      • Abstracting and Indexing
      • Bibliographic Information
      • Archive
    • International Journal of Oncology
      • Information for Authors
      • Editorial Policies
      • Editorial Board
      • Aims and Scope
      • Abstracting and Indexing
      • Bibliographic Information
      • Archive
    • Medicine International
      • Information for Authors
      • Editorial Policies
      • Editorial Board
      • Aims and Scope
      • Abstracting and Indexing
      • Bibliographic Information
      • Archive
    • Molecular and Clinical Oncology
      • Information for Authors
      • Editorial Policies
      • Editorial Board
      • Aims and Scope
      • Abstracting and Indexing
      • Bibliographic Information
      • Archive
    • Molecular Medicine Reports
      • Information for Authors
      • Editorial Policies
      • Editorial Board
      • Aims and Scope
      • Abstracting and Indexing
      • Bibliographic Information
      • Archive
    • Oncology Letters
      • Information for Authors
      • Editorial Policies
      • Editorial Board
      • Aims and Scope
      • Abstracting and Indexing
      • Bibliographic Information
      • Archive
    • Oncology Reports
      • Information for Authors
      • Editorial Policies
      • Editorial Board
      • Aims and Scope
      • Abstracting and Indexing
      • Bibliographic Information
      • Archive
    • World Academy of Sciences Journal
      • Information for Authors
      • Editorial Policies
      • Editorial Board
      • Aims and Scope
      • Abstracting and Indexing
      • Bibliographic Information
      • Archive
  • Articles
  • Information
    • For Authors
    • For Reviewers
    • For Librarians
    • For Advertisers
    • Conferences
  • Language Editing
Login Register Submit
  • This site uses cookies
  • You can change your cookie settings at any time by following the instructions in our Cookie Policy. To find out more, you may read our Privacy Policy.

    I agree
Search articles by DOI, keyword, author or affiliation
Search
Advanced Search
presentation
Experimental and Therapeutic Medicine
Join Editorial Board Propose a Special Issue
Print ISSN: 1792-0981 Online ISSN: 1792-1015
Journal Cover
April-2026 Volume 31 Issue 4

Full Size Image

Sign up for eToc alerts
Recommend to Library

Journals

International Journal of Molecular Medicine

International Journal of Molecular Medicine

International Journal of Molecular Medicine is an international journal devoted to molecular mechanisms of human disease.

International Journal of Oncology

International Journal of Oncology

International Journal of Oncology is an international journal devoted to oncology research and cancer treatment.

Molecular Medicine Reports

Molecular Medicine Reports

Covers molecular medicine topics such as pharmacology, pathology, genetics, neuroscience, infectious diseases, molecular cardiology, and molecular surgery.

Oncology Reports

Oncology Reports

Oncology Reports is an international journal devoted to fundamental and applied research in Oncology.

Experimental and Therapeutic Medicine

Experimental and Therapeutic Medicine

Experimental and Therapeutic Medicine is an international journal devoted to laboratory and clinical medicine.

Oncology Letters

Oncology Letters

Oncology Letters is an international journal devoted to Experimental and Clinical Oncology.

Biomedical Reports

Biomedical Reports

Explores a wide range of biological and medical fields, including pharmacology, genetics, microbiology, neuroscience, and molecular cardiology.

Molecular and Clinical Oncology

Molecular and Clinical Oncology

International journal addressing all aspects of oncology research, from tumorigenesis and oncogenes to chemotherapy and metastasis.

World Academy of Sciences Journal

World Academy of Sciences Journal

Multidisciplinary open-access journal spanning biochemistry, genetics, neuroscience, environmental health, and synthetic biology.

International Journal of Functional Nutrition

International Journal of Functional Nutrition

Open-access journal combining biochemistry, pharmacology, immunology, and genetics to advance health through functional nutrition.

International Journal of Epigenetics

International Journal of Epigenetics

Publishes open-access research on using epigenetics to advance understanding and treatment of human disease.

Medicine International

Medicine International

An International Open Access Journal Devoted to General Medicine.

Journal Cover
April-2026 Volume 31 Issue 4

Full Size Image

Sign up for eToc alerts
Recommend to Library

  • Article
  • Citations
    • Cite This Article
    • Download Citation
    • Create Citation Alert
    • Remove Citation Alert
    • Cited By
  • Similar Articles
    • Related Articles (in Spandidos Publications)
    • Similar Articles (Google Scholar)
    • Similar Articles (PubMed)
  • Download PDF
  • Download XML
  • View XML
Case Report

Familial SCA14: A case report with review

  • Authors:
    • Han-Ke Huang
    • Chia-Ju Lee
    • Wen-Ling Cheng
    • Hui-Ju Chang
    • Chin-San Liu
  • View Affiliations / Copyright

    Affiliations: Department of Neurology, Changhua Christian Hospital, Changhua 50006, Taiwan, R.O.C., Institute of ATP, Vascular and Genomics Center, Changhua Christian Hospital, Changhua 50006, Taiwan, R.O.C., Center of Regenerative Medicine and Tissue Repair, Institute of ATP, Changhua Christian Hospital, Changhua 50006, Taiwan, R.O.C.
  • Article Number: 109
    |
    Published online on: February 12, 2026
       https://doi.org/10.3892/etm.2026.13104
  • Expand metrics +
Metrics: Total Views: 0 (Spandidos Publications: | PMC Statistics: )
Metrics: Total PDF Downloads: 0 (Spandidos Publications: | PMC Statistics: )
Cited By (CrossRef): 0 citations Loading Articles...

This article is mentioned in:


Abstract

Spinocerebellar ataxia type 14 (SCA14) is a rare autosomal dominant neurodegenerative disorder caused by mutations in the PRKCG gene, which encodes protein kinase Cγ (PKCγ). The clinical manifestations are heterogeneous, ranging from slowly progressive pure cerebellar ataxia to complex phenotypes with sensory or extrapyramidal involvement. To the best of our knowledge, the present report is the first to describe a Han Chinese family carrying the PRKCG c.424T>G (p.C142G) mutation, which has previously only been described in Danish and Japanese cohorts. The proband, a 72‑year‑old man, developed gait instability in his 40s, progressing to dysarthria, intention tremor, oculomotor slowing and sensory impairment. Brain MRI revealed severe diffuse cerebellar atrophy. The siblings and daughter of the patient presented with variable ataxic symptoms, confirming autosomal dominant inheritance. Genetic testing by next‑generation sequencing identified the heterozygous c.424T>G mutation, co‑segregating in affected family members. This mutation localizes to the C1 regulatory domain of PKCγ, a zinc‑finger structure critical for diacylglycerol binding and kinase autoinhibition. Substitution of cysteine by glycine at codon 142 destabilizes zinc coordination, impairs protein stability and disrupts membrane recruitment. Functional evidence suggests that C142G induces aberrant kinase activity, misfolding and altered MAPK signaling, resulting in chronic cellular stress without rapid neuronal death, thus accounting for the indolent course of the disease compared with that of polyglutamine SCAs. The present findings expand the knowledge regarding the ethnic and geographic distribution of the codon 142 mutation and highlight the complexity of genotype‑phenotype associations, as clinical presentations varied from mild gait ataxia to cognitive impairment and bulbar involvement. The report underscores the value of early genetic testing in unexplained ataxia, facilitating accurate diagnosis, genetic counseling and individualized management. Further functional studies are warranted to clarify the pathogenic mechanisms and to explore potential targeted therapies for SCA14.

Introduction

Spinocerebellar ataxia type 14 (SCA14) is a rare autosomal dominant neurodegenerative disorder caused by mutations in the PRKCG gene that encodes protein kinase Cγ (PKCγ). SCA14 accounts for 1-4% of autosomal dominant cerebellar ataxias overall, although the prevalence varies among cohorts and is possibly underestimated due to challenges with detection (1).

The clinical presentation of SCA14 is variable, with the age of onset ranging from early childhood to late adulthood, typically between the third and fifth decades. The disease can be subdivided into pure and complex phenotypes. The isolated variant is marked by slowly progressive cerebellar ataxia with or without brisk reflexes. By contrast, the complex variant includes ataxia with other neurological features (1). In certain patients, episodic ataxia is observed instead of progressive worsening, which is contradictory to the assumption that SCA14 has a relentlessly worsening course (2). Certain patients initially manifest with task-specific dystonia, namely writer's cramp or focal dystonia, and then develop frank ataxia (3). Furthermore, certain patients also experience sensory disturbances such as burning paresthesia and proprioceptive loss, which suggest simultaneous peripheral nervous system involvement along with cerebellar degeneration (4). While it is uncommon, Parkinsonism features have also been reported, which indicate overlapping neurodegenerative processes (5). These findings establish the importance of genetic testing in unexplained ataxia or movement disorder presentation to prevent misdiagnosis.

Neuroimaging of SCA14 is mostly characterized by diffuse cerebellar atrophy involving the vermis and cerebellar hemispheres, worsening with disease severity. The brainstem is typically spared, although mild pontine atrophy has occasionally been reported. T2 hyperintensity of dentate nuclei is also observed, as in other inherited ataxias (2). Advanced imaging, such as fluorodeoxyglucose positron emission tomography, has been found to reveal early microstructural as well as metabolic changes in the cerebellum even before significant atrophy can be identified (5). These findings indicate certain imaging features that permit early diagnosis and differentiation of SCA14 from other cerebellar ataxias.

The PRKCG gene codes for PKCγ, a neuron-specific isoform with predominant expression in Purkinje cells of the cerebellum. PKCγ contributes to regulation of synaptic plasticity, intracellular signaling and motor coordination, mainly via processes of long-term depression and postnatal synaptic pruning. Disruption in these pathways results in Purkinje cell dysfunction and cerebellar ataxia (6).

Genetic studies have revealed that most of the disease-causing mutations in PRKCG are missense mutations, although small deletions, insertions and splicing mutations have also been reported (1). Most mutations are found in the C1 and C2 regulatory domains, with the majority in C1, which is essential for diacylglycerol (DAG) binding and membrane translocation. Mutations in this region disrupt autoinhibitory regulation, leading to increased basal kinase activity, impaired protein degradation and persisting aberrant signaling. By contrast, mutations in the catalytic domain are less common but have been linked to more complex clinical features, further augmenting the genetic and phenotypic heterogeneity of SCA14 (6-9).

The present case report describes a 68-year-old man who carried a PRKCG mutation (c.424T>G; p.C142G). SCA14 with PRKCG mutation has been reported in multiple countries; however, the codon 142 variant is rare, previously documented only in two families in Denmark and Japan (1,3). The current report highlights features that are atypical in SCA14, including late onset, slow progression and sensory impairment in the present patient. The current study also discusses possible mechanisms of disease progression, whether anticipation is present or not, and differences from the pathogenic mechanisms observed in triplet repeat SCAs. The present article emphasizes the importance of genetic testing in undiagnosed ataxia and provides an overview of genotype-phenotype associations, disease mechanisms and possible targeted therapies.

Case report

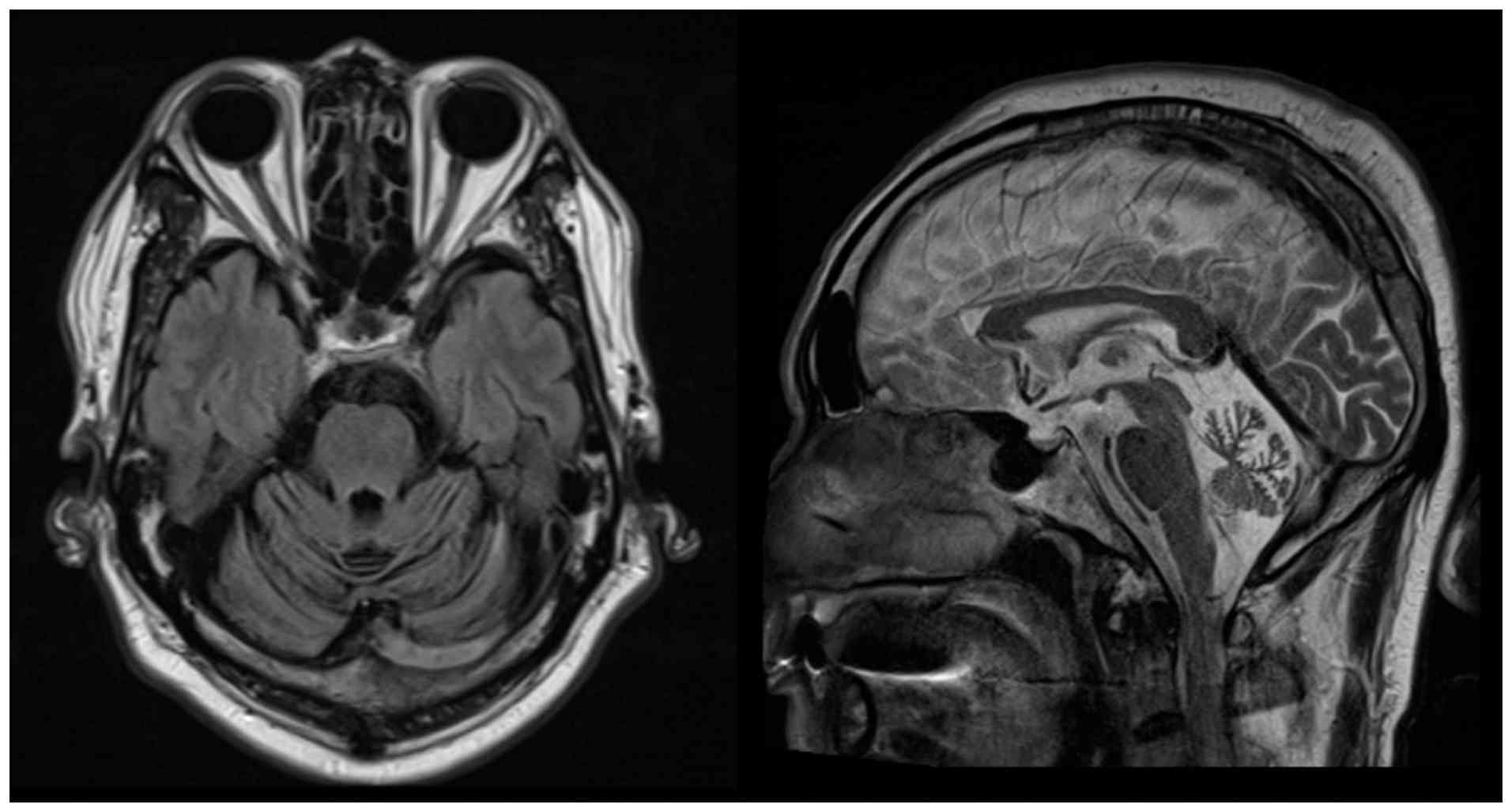
A 72-year-old male patient presented to Changhua Christian Hospital (Changhua City, Taiwan) in November 2020 with progressive gait instability that started when the patient was 40 years old. The patient had mild unsteadiness while walking, which worsened over the years. On the first visit, a neurological examination showed an unsteady wide-based gait and a positive Romberg sign with worsening instability while the eyes of the patient were closed. The patient also had bilateral mild intention tremor and dysmetria on the finger-nose-finger test. The Scale for the Assessment and Rating of Ataxia (SARA) score (10) of the patient was 8.5, with most impairment in gait and stance. Over the next few months, the patient developed mild dysarthria, slowed saccadic eye movements and numbness in the lower limbs, which was more pronounced on the left side. A sensory examination showed reduced light touch and pinprick sensation in the left lower limb. Brain MRI showed severe diffuse cerebellar atrophy with prominent cerebellar folia sulci (Fig. 1).

Brain MRI of the proband revealed
severe diffuse cerebellar atrophy.

Figure 1

Brain MRI of the proband revealed severe diffuse cerebellar atrophy.

The family history of the patient was notable for an autosomal dominant pattern of progressive gait ataxia (Fig. 2). The father of the patient had developed similar symptoms in his 50s. Furthermore, two elder brothers, two younger sisters, a daughter and a nephew all developed unsteady gait between 35 and 50 years of age. Given the strong family history, a genetic evaluation was pursued. An initial genetic panel for SCA1, SCA2, SCA3 and SCA6 was negative. Given the high suspicion of a hereditary ataxia, targeted sequencing was performed using the Illumina TruSight One Sequencing Panel v1.1 (Illumina, Inc.), which enriches for the coding regions of 4,814 clinically relevant genes encompassing ~12 Mb of the human genome. Genomic DNA was extracted from peripheral blood and quantified using a Qubit fluorometer (Thermo Fisher Scientific, Inc.). Library preparation was performed following the manufacturer's instructions (document no. 15046431 v03). Briefly, 50 ng of input DNA underwent Nextera transposome-mediated tagmentation to generate adapter-tagged libraries. Indexed libraries were pooled and hybridized with biotin-labeled oligonucleotide probes. The targeted regions were enriched by streptavidin bead capture and a second hybridization-capture cycle was performed to maximize on-target specificity. Enriched libraries were sequenced on an Illumina NextSeq 6000 platform using P3 Reagents (2x150 bp paired-end reads), achieving a mean depth of ≥200x across targeted regions. Sequence reads were aligned to the Genome Reference Consortium Human Build 38 (GRCh38) reference assembly (https://www.ncbi.nlm.nih.gov/datasets/genome/GCF_000001405.26/). This revealed a heterozygous missense mutation in PRKCG (c.424T>G; p.C142G; Chr19q13; exon 5). To identify the PRKCG (SCA14 c.424T>G) mutation, genomic DNA was amplified via polymerase chain reaction (PCR) using specific primers (forward, 5'-AAGTTCCGCCTGCATAGCTA-3' and reverse, 5'-GGATCTCATCTGCTGTGGGA-3') on an MJ Research Thermal Cycler (MJ Research PTC-200, Inc.). The PCR program consisted of an initial denaturation at 95˚C for 5 min, followed by 35 cycles of 95˚C for 1 min, 56˚C for 1 min and 72˚C for 1 min, with a final extension at 72˚C for 5 min. The resulting 353 bp amplicons were subsequently analyzed by Sanger sequencing. Purified amplicons were subjected to cycle sequencing in a total reaction volume of 10 µl containing purified PCR product, BigDye Terminator Ready Reaction Mix (BigDye™ Terminator v3.1 Cycle Sequencing Kit; Thermo Fisher Scientific, Inc.), sequencing buffer and a forward sequencing primer (5'-AAGTTCCGCCTGCATAGCTA-3'). Cycle sequencing was performed with an initial denaturation at 95˚C for 1 min, followed by 25 cycles of denaturation at 95˚C for 10 sec, annealing at 50˚C for 5 sec and extension at 60˚C for 4 min. Following cycle sequencing, reaction products were purified by ethanol/EDTA precipitation to remove unincorporated dye terminators. Purified sequencing products were resuspended in Hi-Di formamide, heat-denatured at 95˚C and immediately cooled on ice prior to analysis. Capillary electrophoresis was performed using an Applied Biosystems 3730xl DNA Analyzer (Thermo Fisher Scientific, Inc.). All procedures were conducted according to the manufacturer's instructions. Sequencing chromatograms were analyzed using Sequencing Analysis software (version 5.4; Applied Biosystems; Thermo Fisher Scientific, Inc.) and aligned to reference sequences for variant identification. This confirmed the diagnosis of SCA14.

Pedigree of the family of the present
study. The black arrow indicates the proband. Onset ages are shown
below the symbols.

Figure 2

Pedigree of the family of the present study. The black arrow indicates the proband. Onset ages are shown below the symbols.

The patient's younger sister, who had been experiencing gait ataxia since she was 30 years old, also presented with progressive wide-based unsteady gait and poor tandem walking. Additionally, the sister had dysphonia, episodic choking, impaired lateral gaze with slow saccades, dysmetria in both upper and lower limbs and ideomotor apraxia. A cognitive assessment showed poor calculation abilities and mild language impairment. Brain MRI at the age of 64 years showed cerebellar atrophy with focal gliotic changes in the left high frontal parasagittal region. Additionally, the younger sister and daughter of the patient were later diagnosed with SCA14. Both of them had developed a mild unsteady gait in their 30s. Brain MRI also demonstrated cerebellar atrophy in both individuals. Genetic testing via Sanger sequencing verified that all affected family members shared the identical PRKCG mutation (c.424T>G; p.C142G) (Fig. 3).

Sanger sequencing results of the PRKCG
gene in the proband (II-3) and affected members (II-4, II-5, III-2)
carrying the c.424T>G (p.C142G) mutation and an unaffected
individual (III-3). The black arrows indicate the mutation
site.

Figure 3

Sanger sequencing results of the PRKCG gene in the proband (II-3) and affected members (II-4, II-5, III-2) carrying the c.424T>G (p.C142G) mutation and an unaffected individual (III-3). The black arrows indicate the mutation site.

Discussion

To the best of our knowledge, the current case report is the first report of the PRKCG c.424T>G (p.C142G) mutation in a Han Chinese patient, expanding the knowledge regarding both the geographic and ethnic distribution of this rare variant. In contrast to typical SCA14 with gradually progressive ataxia within the average age of onset (mean, 30.6 years; range, 3-66 years) (1), the present patient had relatively delayed-onset symptoms with sensory deficits of numbness and altered pinprick sensation reflecting extra-cerebellar involvement. The SARA, an 8-item standardized and widely used clinical scale to quantify the severity of ataxia, ranges from 0 to 40, and a higher score indicates greater severity (10). A prior cohort study of 17 patients with SCA14 reported a mean SARA score of 13.1 at the final assessment, indicative of moderate severity (1). By comparison, the present patient's score of 8.5 suggests a milder degree of ataxia and is consistent with a low fall risk based on a functionality and balance study (11). The severe cerebellar atrophy observed in the current patient is uncommon, as in most cases, cerebellar abnormalities are mild or moderate.

The present case is notable due to the rare location of the mutation in PRKCG (c.424T>G; p.C142G), previously mentioned in only one Danish family as a novel missense mutation (1). Another case study from Japan reported the same amino acid residue of the PRKCG gene (c.424 T>A; p.C142S) (3). Whereas the current patient had late-onset ataxia, pronounced sensory impairment and cerebellar atrophy, the Japanese patient (p.C142S) had focal dystonia with writer's cramp and milder cerebellar involvement. By contrast, the Danish family presented with a wider onset age (3-48 years) and a milder course.

Comparison of all reported PRKCG codon 142 mutation cases (Table I), including the present 4 Taiwanese patients, 6 Danish family members and 1 Japanese case, showed that all affected individuals had cerebellar ataxia with limb involvement in a typically long disease duration, implying a slowly progressive course. None of the patients exhibited Parkinsonism and only a few had myoclonus, dystonia or peripheral neuropathy. Oculomotor findings such as broken-up pursuit and slowness of saccades were common, while dysarthria, cognitive dysfunction and upper motor neuron signs were variable. Notably, the sister of the current patient had a relatively earlier onset as a complex phenotype, including mental decline, dysphasia, oculomotor impairment and bulbar symptoms. This phenotypic heterogeneity with the same target codon reflects the complexity of genotype-phenotype associations in SCA14, and implies that certain amino acid substitutions, individual modifiers or environmental conditions are related to disease severity and expression.

Table I

Clinical comparison of PRKCG codon 142 variants in the Taiwanese family of the present study (n=4) and previously reported Danish (n=6) and Japanese (n=1) families.

Table I

Clinical comparison of PRKCG codon 142 variants in the Taiwanese family of the present study (n=4) and previously reported Danish (n=6) and Japanese (n=1) families.

CaseCountryPRKCG mutationAge at onset, yearsSymptom at onsetDisease duration, yearsSARA scorePhenotypeLimb ataxiaEye signsDysarthriaParkinsonismDystoniaMyoclonusPeripheral neuropathyPyramidal syndromeOtherCerebellar atrophy on MRI
Present studyTaiwan                
     II-3 (Proband) c.424T>G, p.C142G40sMild unsteady gait328.5Complex+Slowed saccadic eye movements+---+, Hypoesthesia at LLE-Positive Romberg sign, wide-based gaitSevere diffuse cerebellar atrophy with prominent cerebellar folia sulci
     II-4 c.424T>G, p.C142G30Mild unsteady gait397Pure+Multiple directions of nystagmus+------Severe diffuse cerebellar atrophy with prominent cerebellar folia sulci
     II-5 c.424T>G, p.C142G30Gait ataxia348Complex+Impaired lateral gaze with slow saccades+-----Episodic choking, ideomotor apraxiaCerebellar atrophy with focal gliotic changes in left high frontal parasagittal region
     III-2 c.424T>G, p.C142G35Mild unsteady gait83Pure+--------Atrophy of brainstem, cerebellum, and pituitary gland
Chelban et al (1)Denmark                
     Case 1 c.424T>G, p.C142G39Gait and balance impairment159.5Complex+Broken-up pursuit+----+-NA
     Case 2 c.424T>G, p.C142G48Gait impairment610Complex+Unstable pursuit+----+Urge incontinence, mild impairment of vibration senseNA
     Case 3 c.424T>G, p.C142G6Upper limbs postural tremor precedes gait and balance impairment5112Complex+Broken-up pursuit+-----Urge incontinence, decreased reflexes UL and LL, postural hand and head tremorNA
     Case 4 c.424T>G, p.C142G6Limb ataxia23NAPure+Slow pursuit------Increased patellar reflexesMild
     Case 5 c.424T>G, p.C142G30Balance impairment/tremor/limb ataxia69Complex+Broken-up pursuit+-----Increased reflexes UL, postural hand tremorNA
     Case 6 c.424T>G, p.C142G3Limb ataxia1NAComplex+-+--Occasional myoclonic truncal jerks---NA
Ito et al (3)Japanc.424T>A, p.C142S36Writer's cramp precedes gait and limb ataxia for four years1111Complex+Saccadic pursuit+-Writer's cramp --Mild cognitive impairment on memory, fluency, and languageCerebellar atrophy without apparent changes in the basal ganglia

[i] SARA score, scale for assessment and rating of ataxia score; NA, not available; +, present; -, absent; LL, lower limb; UL, upper limb; LLE, left lower extremity; MRI, magnetic resonance imaging.

The PRKCG (c.424T>G; p.C142G) variant is best categorized as ‘likely pathogenic’ according to the American College of Medical Genetics and Genomics guideline from 2015(12). This was supported by absence from population databases (PM2), presence in a known functional hotspot (PM1), consistent deleterious predictions from multiple computational predictors (PP3) and co-segregation in seven family members across generations (PP1).

In addition, the present patient also meets PM5 based on a previously reported pathogenic missense variant, p.C142S. Located within the C1 regulatory domain of PKCγ, C142S has been shown to cause abnormal protein conformation, reduced kinase activity and disrupted MAPK signaling in functional studies, confirming its pathogenicity (8). Clinical segregation data from a 2024 case report have also confirmed the disease association (3). With the combination of PS3, PM1, PM2, PP3 and PP1, the evidence supports the classification of p.C142S as pathogenic, which fulfills PM5 for the p.C142G variant of the current patient.

The PKCγ C1 domain possesses two zinc-finger motifs, C1A and C1B, which are both functional DAG-binding modules and contribute equally to ligand recognition and membrane association. The C142G mutation with cysteine-to-glycine substitution undermines zinc coordination and destabilizes the C1B fold due to the loss of structural restraints. This leads to impaired DAG binding affinity, membrane recruitment specificity and general protein stability that promotes misfolding (13).

The structural disturbance fundamentally alters the regulatory mechanisms of PKCγ. Although the pathogenic process of SCA14-associated PKCγ mutations is uncertain, post-mortem and induced pluripotent stem cell studies have suggested a dual process involving loss of PKCγ function at the plasma membrane in combination with gain-of-function effects due to hyperactivated and mislocalized PKCγ with impaired autophagy signaling (14). The latter mechanism may incapacitate autoinhibitory regulation, partially enhancing basal kinase activity rather than causing uncontrolled hyperactivation, which leads to disruption of synaptic signaling cascades in cerebellar Purkinje cells (7). The mutant PKCγ-C142G protein probably exhibits gain-of-function characteristics that activate MAPK pathways and affect downstream effectors essential for synaptic plasticity (8,15). This results in chronic, mild cellular stress that accumulates over time without inducing rapid neuronal death. As opposed to polyglutamine (polyQ) ataxias, in which the mutant proteins aggregate into insoluble, highly toxic particles causing neurodegeneration, PKCγ aggregation in SCA14 is limited and less pathogenic in vivo (13).

Mutant PKCγ also leads to aberrant regulation of calcium homeostasis and oxidative equilibrium, but these changes may progress gradually with cumulative stressors. This overloads protein quality control systems, including both ubiquitin-proteasome and autophagy pathways, eventually causing chronic activation of the unfolded protein response without triggering immediate cell death (13,15). Together, these mechanisms are responsible for the relatively slow course of SCA14 compared with that of the more virulent polyQ ataxias.

SCA14 is notable for its slow course. Most patients preserve mobility and independence for decades and reach a normal lifespan. Given the autosomal dominant inheritance of SCA14, genetic counseling and analysis allows for early detection of individuals in at-risk pedigrees. Additionally, the location of the mutation and the consequent amino acid substitution may help to predict the clinical manifestation and disease trajectory. Although no disease-modifying therapy is currently available, early genetic diagnosis provides prognostic clarity and reduces the psychological burden on the patient and family. Phenotypic differences reflect the individualized treatment strategies, including targeted rehabilitation and symptom-based support, which are critical for managing diverse clinical presentations and improving the quality of life of patients.

The findings demonstrate the utility of genetic testing in SCA14 diagnosis, particularly in atypical presentations, and suggest the need for future functional studies to confirm its pathogenic mechanism. Although the c.424T>G (p.C142G) mutation is a recognized variant, this is the first SCA14 case reported in a Han Chinese patient. Its identification not only expands the knowledge regarding the ethnic and geographic spread of this mutation but also broadens the understanding of the clinical and genetic landscape of SCA14 in East Asian populations.

Acknowledgements

The authors extend their thanks to Mr. Wen-Hsien (Bryce) Lin from The Genetics Generation Advancement Corporation, Taiwan for his bioinformatics support and insightful guidance in the analysis and interpretation of genetic variants.

Funding

Funding: The study was funded by a research grant from Changhua Christian Hospital (Changhua, Taiwan) (grant no. 113-CCH-IRP-065).

Availability of data and materials

The data generated in the present study may be requested from the corresponding author.

Authors' contributions

HH, CJL and CSL conceived and designed the study. HH and CJL analyzed and interpreted the data and drafted the manuscript. WC and HC collected the samples and contributed to data acquisition and analysis. WC and CSL confirm the authenticity of all the raw data. All authors critically revised the manuscript and have read and approved the final version.

Ethics approval and consent to participate

All procedures were approved by the Independent Ethics Committee of Changhua Christian Hospital (Changhua, Taiwan) (CCH-IRB approval no. 251222; approval date: December 21, 2025). Written informed consent was obtained from all participants, including genetic testing.

Patient consent for publication

Written informed consent for publication was obtained from the patients, including consent to publish anonymized clinical details, genetic testing results and accompanying imaging data (including brain MRI images).

Competing interests

The authors declare that they have no competing interests.

References

1 

Chelban V, Wiethoff S, Fabian-Jessing BK, Haridy NA, Khan A, Efthymiou S, Becker EBE, O'Connor E, Hersheson J, Newland K, et al: Genotype-phenotype correlations, dystonia and disease progression in spinocerebellar ataxia type 14. Mov Disord. 33:1119–1129. 2018.PubMed/NCBI View Article : Google Scholar

2 

De Michele G, Galatolo D, Galosi S, Mignarri A, Silvestri G, Casali C, Leuzzi V, Ricca I, Barghigiani M, Tessa A, et al: Episodic ataxia and severe infantile phenotype in spinocerebellar ataxia type 14: Expansion of the phenotype and novel mutations. J Neurol. 269:1476–1484. 2022.PubMed/NCBI View Article : Google Scholar

3 

Ito M, Sugiyama A, Higuchi Y, Takashima H, Takahashi Y, Mizusawa H and Kuwabara S: Writer's cramps as an initial symptom of spinocerebellar ataxia type 14. Intern Med. 63:2183–2186. 2024.PubMed/NCBI View Article : Google Scholar

4 

Nashi S, Singh R, Menon D, Arshad F, Alladi S and Mahale RR: Sensory neuropathy in spinocerebellar ataxia type 14: A novel phenotype. Ann Indian Acad Neurol. 26:591–593. 2023.PubMed/NCBI View Article : Google Scholar

5 

Chen Y, Liu P, Cen Z, Liao Y, Lin Z and Luo W: Early-onset Parkinson's disease with atypical molecular imaging abnormalities in a patient carrying the de novo PRKCG mutation. Parkinsonism Relat Disord. 95:100–102. 2022.PubMed/NCBI View Article : Google Scholar

6 

Shirafuji T, Shimazaki H, Miyagi T, Ueyama T, Adachi N, Tanaka S, Hide I, Saito N and Sakai N: Spinocerebellar ataxia type 14 caused by a nonsense mutation in the PRKCG gene. Mol Cell Neurosci. 98:46–53. 2019.PubMed/NCBI View Article : Google Scholar

7 

Pilo CA, Baffi TR, Kornev AP, Kunkel MT, Malfavon M, Chen DH, Rossitto LA, Chen DX, Huang LC, Longman C, et al: Mutations in protein kinase Cγ promote spinocerebellar ataxia type 14 by impairing kinase autoinhibition. Sci Signal. 15(eabk1147)2022.PubMed/NCBI View Article : Google Scholar

8 

Verbeek DS, Goedhart J, Bruinsma L, Sinke RJ and Reits EA: PKC gamma mutations in spinocerebellar ataxia type 14 affect C1 domain accessibility and kinase activity leading to aberrant MAPK signaling. J Cell Sci. 121 (Pt 14):2339–2349. 2008.PubMed/NCBI View Article : Google Scholar

9 

Grados M, Salehi M, Lotfi A, Dua S and Xie I: A selective review of inhibitors of protein kinase C gamma: A neuroplasticity-related common pathway for psychiatric illness. Front Drug Deliv. 4(1364037)2024.PubMed/NCBI View Article : Google Scholar

10 

Schmitz-Hübsch T, du Montcel ST, Baliko L, Berciano J, Boesch S, Depondt C, Giunti P, Globas C, Infante J, Kang JS, et al: Scale for the assessment and rating of ataxia: Development of a new clinical scale. Neurology. 66:1717–1720. 2006.PubMed/NCBI View Article : Google Scholar

11 

Cruz GCD, Zonta MB, Munhoz RP, Mello NM, Meira AT, Nunes MCA, Aranha NTG, Camargo CHF, Lopes Neto FDN and Teive HAG: Functionality and disease severity in spinocerebellar ataxias. Arq Neuropsiquiatr. 80:137–144. 2022.PubMed/NCBI View Article : Google Scholar

12 

Richards S, Aziz N, Bale S, Bick D, Das S, Gastier-Foster J, Grody WW, Hegde M, Lyon E, Spector E, et al: Standards and guidelines for the interpretation of sequence variants: A joint consensus recommendation of the American college of medical genetics and genomics and the association for molecular pathology. Genet Med. 17:405–424. 2015.PubMed/NCBI View Article : Google Scholar

13 

Adachi N, Kobayashi T, Takahashi H, Kawasaki T, Shirai Y, Ueyama T, Matsuda T, Seki T, Sakai N and Saito N: Enzymological analysis of mutant protein kinase Cgamma causing spinocerebellar ataxia type 14 and dysfunction in Ca2+ homeostasis. J Biol Chem. 283:19854–19863. 2008.PubMed/NCBI View Article : Google Scholar

14 

Wong MMK, Hoekstra SD, Vowles J, Watson LM, Fuller G, Németh AH, Cowley SA, Ansorge O, Talbot K and Becker EBE: Neurodegeneration in SCA14 is associated with increased PKCγ kinase activity, mislocalization and aggregation. Acta Neuropathol Commun. 6(99)2018.PubMed/NCBI View Article : Google Scholar

15 

Seki T, Takahashi H, Adachi N, Abe N, Shimahara T, Saito N and Sakai N: Aggregate formation of mutant protein kinase C gamma found in spinocerebellar ataxia type 14 impairs ubiquitin-proteasome system and induces endoplasmic reticulum stress. Eur J Neurosci. 26:3126–3140. 2007.PubMed/NCBI View Article : Google Scholar

Related Articles

  • Abstract
  • View
  • Download
  • Twitter
Copy and paste a formatted citation
Spandidos Publications style
Huang H, Lee C, Cheng W, Chang H and Liu C: Familial SCA14: A case report with review. Exp Ther Med 31: 109, 2026.
APA
Huang, H., Lee, C., Cheng, W., Chang, H., & Liu, C. (2026). Familial SCA14: A case report with review. Experimental and Therapeutic Medicine, 31, 109. https://doi.org/10.3892/etm.2026.13104
MLA
Huang, H., Lee, C., Cheng, W., Chang, H., Liu, C."Familial SCA14: A case report with review". Experimental and Therapeutic Medicine 31.4 (2026): 109.
Chicago
Huang, H., Lee, C., Cheng, W., Chang, H., Liu, C."Familial SCA14: A case report with review". Experimental and Therapeutic Medicine 31, no. 4 (2026): 109. https://doi.org/10.3892/etm.2026.13104
Copy and paste a formatted citation
x
Spandidos Publications style
Huang H, Lee C, Cheng W, Chang H and Liu C: Familial SCA14: A case report with review. Exp Ther Med 31: 109, 2026.
APA
Huang, H., Lee, C., Cheng, W., Chang, H., & Liu, C. (2026). Familial SCA14: A case report with review. Experimental and Therapeutic Medicine, 31, 109. https://doi.org/10.3892/etm.2026.13104
MLA
Huang, H., Lee, C., Cheng, W., Chang, H., Liu, C."Familial SCA14: A case report with review". Experimental and Therapeutic Medicine 31.4 (2026): 109.
Chicago
Huang, H., Lee, C., Cheng, W., Chang, H., Liu, C."Familial SCA14: A case report with review". Experimental and Therapeutic Medicine 31, no. 4 (2026): 109. https://doi.org/10.3892/etm.2026.13104
Follow us
  • Twitter
  • LinkedIn
  • Facebook
About
  • Spandidos Publications
  • Careers
  • Cookie Policy
  • Privacy Policy
How can we help?
  • Help
  • Live Chat
  • Contact
  • Email to our Support Team