Spandidos Publications Logo
  • About
    • About Spandidos
    • Aims and Scopes
    • Abstracting and Indexing
    • Editorial Policies
    • Reprints and Permissions
    • Job Opportunities
    • Terms and Conditions
    • Contact
  • Journals
    • All Journals
    • Oncology Letters
      • Oncology Letters
      • Information for Authors
      • Editorial Policies
      • Editorial Board
      • Aims and Scope
      • Abstracting and Indexing
      • Bibliographic Information
      • Archive
    • International Journal of Oncology
      • International Journal of Oncology
      • Information for Authors
      • Editorial Policies
      • Editorial Board
      • Aims and Scope
      • Abstracting and Indexing
      • Bibliographic Information
      • Archive
    • Molecular and Clinical Oncology
      • Molecular and Clinical Oncology
      • Information for Authors
      • Editorial Policies
      • Editorial Board
      • Aims and Scope
      • Abstracting and Indexing
      • Bibliographic Information
      • Archive
    • Experimental and Therapeutic Medicine
      • Experimental and Therapeutic Medicine
      • Information for Authors
      • Editorial Policies
      • Editorial Board
      • Aims and Scope
      • Abstracting and Indexing
      • Bibliographic Information
      • Archive
    • International Journal of Molecular Medicine
      • International Journal of Molecular Medicine
      • Information for Authors
      • Editorial Policies
      • Editorial Board
      • Aims and Scope
      • Abstracting and Indexing
      • Bibliographic Information
      • Archive
    • Biomedical Reports
      • Biomedical Reports
      • Information for Authors
      • Editorial Policies
      • Editorial Board
      • Aims and Scope
      • Abstracting and Indexing
      • Bibliographic Information
      • Archive
    • Oncology Reports
      • Oncology Reports
      • Information for Authors
      • Editorial Policies
      • Editorial Board
      • Aims and Scope
      • Abstracting and Indexing
      • Bibliographic Information
      • Archive
    • Molecular Medicine Reports
      • Molecular Medicine Reports
      • Information for Authors
      • Editorial Policies
      • Editorial Board
      • Aims and Scope
      • Abstracting and Indexing
      • Bibliographic Information
      • Archive
    • World Academy of Sciences Journal
      • World Academy of Sciences Journal
      • Information for Authors
      • Editorial Policies
      • Editorial Board
      • Aims and Scope
      • Abstracting and Indexing
      • Bibliographic Information
      • Archive
    • International Journal of Functional Nutrition
      • International Journal of Functional Nutrition
      • Information for Authors
      • Editorial Policies
      • Editorial Board
      • Aims and Scope
      • Abstracting and Indexing
      • Bibliographic Information
      • Archive
    • International Journal of Epigenetics
      • International Journal of Epigenetics
      • Information for Authors
      • Editorial Policies
      • Editorial Board
      • Aims and Scope
      • Abstracting and Indexing
      • Bibliographic Information
      • Archive
    • Medicine International
      • Medicine International
      • Information for Authors
      • Editorial Policies
      • Editorial Board
      • Aims and Scope
      • Abstracting and Indexing
      • Bibliographic Information
      • Archive
  • Articles
  • Information
    • Information for Authors
    • Information for Reviewers
    • Information for Librarians
    • Information for Advertisers
    • Conferences
  • Language Editing
Spandidos Publications Logo
  • About
    • About Spandidos
    • Aims and Scopes
    • Abstracting and Indexing
    • Editorial Policies
    • Reprints and Permissions
    • Job Opportunities
    • Terms and Conditions
    • Contact
  • Journals
    • All Journals
    • Biomedical Reports
      • Information for Authors
      • Editorial Policies
      • Editorial Board
      • Aims and Scope
      • Abstracting and Indexing
      • Bibliographic Information
      • Archive
    • Experimental and Therapeutic Medicine
      • Information for Authors
      • Editorial Policies
      • Editorial Board
      • Aims and Scope
      • Abstracting and Indexing
      • Bibliographic Information
      • Archive
    • International Journal of Epigenetics
      • Information for Authors
      • Editorial Policies
      • Editorial Board
      • Aims and Scope
      • Abstracting and Indexing
      • Bibliographic Information
      • Archive
    • International Journal of Functional Nutrition
      • Information for Authors
      • Editorial Policies
      • Editorial Board
      • Aims and Scope
      • Abstracting and Indexing
      • Bibliographic Information
      • Archive
    • International Journal of Molecular Medicine
      • Information for Authors
      • Editorial Policies
      • Editorial Board
      • Aims and Scope
      • Abstracting and Indexing
      • Bibliographic Information
      • Archive
    • International Journal of Oncology
      • Information for Authors
      • Editorial Policies
      • Editorial Board
      • Aims and Scope
      • Abstracting and Indexing
      • Bibliographic Information
      • Archive
    • Medicine International
      • Information for Authors
      • Editorial Policies
      • Editorial Board
      • Aims and Scope
      • Abstracting and Indexing
      • Bibliographic Information
      • Archive
    • Molecular and Clinical Oncology
      • Information for Authors
      • Editorial Policies
      • Editorial Board
      • Aims and Scope
      • Abstracting and Indexing
      • Bibliographic Information
      • Archive
    • Molecular Medicine Reports
      • Information for Authors
      • Editorial Policies
      • Editorial Board
      • Aims and Scope
      • Abstracting and Indexing
      • Bibliographic Information
      • Archive
    • Oncology Letters
      • Information for Authors
      • Editorial Policies
      • Editorial Board
      • Aims and Scope
      • Abstracting and Indexing
      • Bibliographic Information
      • Archive
    • Oncology Reports
      • Information for Authors
      • Editorial Policies
      • Editorial Board
      • Aims and Scope
      • Abstracting and Indexing
      • Bibliographic Information
      • Archive
    • World Academy of Sciences Journal
      • Information for Authors
      • Editorial Policies
      • Editorial Board
      • Aims and Scope
      • Abstracting and Indexing
      • Bibliographic Information
      • Archive
  • Articles
  • Information
    • For Authors
    • For Reviewers
    • For Librarians
    • For Advertisers
    • Conferences
  • Language Editing
Login Register Submit
  • This site uses cookies
  • You can change your cookie settings at any time by following the instructions in our Cookie Policy. To find out more, you may read our Privacy Policy.

    I agree
Search articles by DOI, keyword, author or affiliation
Search
Advanced Search
presentation
Experimental and Therapeutic Medicine
Join Editorial Board Propose a Special Issue
Print ISSN: 1792-0981 Online ISSN: 1792-1015
Journal Cover
May-2026 Volume 31 Issue 5

Full Size Image

Sign up for eToc alerts
Recommend to Library

Journals

International Journal of Molecular Medicine

International Journal of Molecular Medicine

International Journal of Molecular Medicine is an international journal devoted to molecular mechanisms of human disease.

International Journal of Oncology

International Journal of Oncology

International Journal of Oncology is an international journal devoted to oncology research and cancer treatment.

Molecular Medicine Reports

Molecular Medicine Reports

Covers molecular medicine topics such as pharmacology, pathology, genetics, neuroscience, infectious diseases, molecular cardiology, and molecular surgery.

Oncology Reports

Oncology Reports

Oncology Reports is an international journal devoted to fundamental and applied research in Oncology.

Experimental and Therapeutic Medicine

Experimental and Therapeutic Medicine

Experimental and Therapeutic Medicine is an international journal devoted to laboratory and clinical medicine.

Oncology Letters

Oncology Letters

Oncology Letters is an international journal devoted to Experimental and Clinical Oncology.

Biomedical Reports

Biomedical Reports

Explores a wide range of biological and medical fields, including pharmacology, genetics, microbiology, neuroscience, and molecular cardiology.

Molecular and Clinical Oncology

Molecular and Clinical Oncology

International journal addressing all aspects of oncology research, from tumorigenesis and oncogenes to chemotherapy and metastasis.

World Academy of Sciences Journal

World Academy of Sciences Journal

Multidisciplinary open-access journal spanning biochemistry, genetics, neuroscience, environmental health, and synthetic biology.

International Journal of Functional Nutrition

International Journal of Functional Nutrition

Open-access journal combining biochemistry, pharmacology, immunology, and genetics to advance health through functional nutrition.

International Journal of Epigenetics

International Journal of Epigenetics

Publishes open-access research on using epigenetics to advance understanding and treatment of human disease.

Medicine International

Medicine International

An International Open Access Journal Devoted to General Medicine.

Journal Cover
May-2026 Volume 31 Issue 5

Full Size Image

Sign up for eToc alerts
Recommend to Library

  • Article
  • Citations
    • Cite This Article
    • Download Citation
    • Create Citation Alert
    • Remove Citation Alert
    • Cited By
  • Similar Articles
    • Related Articles (in Spandidos Publications)
    • Similar Articles (Google Scholar)
    • Similar Articles (PubMed)
  • Download PDF
  • Download XML
  • View XML
Case Report Open Access

Hematemesis resulting from mesenteric venous thrombosis: A case report

  • Authors:
    • Chunyu Shi
    • Zhongmin Li
    • Lu Pan
    • Bin Song
  • View Affiliations / Copyright

    Affiliations: Department of Gastrointestinal and Colorectal Surgery, China‑Japan Union Hospital of Jilin University, Changchun, Jilin 130000, P.R. China, Department of Pediatric Rheumatology, Immunology and Allergy, The First Hospital of Jilin University, Changchun, Jilin 130000, P.R. China
    Copyright: © Shi et al. This is an open access article distributed under the terms of Creative Commons Attribution License.
  • Article Number: 125
    |
    Published online on: March 2, 2026
       https://doi.org/10.3892/etm.2026.13120
  • Expand metrics +
Metrics: Total Views: 0 (Spandidos Publications: | PMC Statistics: )
Metrics: Total PDF Downloads: 0 (Spandidos Publications: | PMC Statistics: )
Cited By (CrossRef): 0 citations Loading Articles...

This article is mentioned in:


Abstract

Mesenteric venous thrombosis (MVT) is a rare yet highly lethal condition, characterized by atypical clinical manifestations that often lead to delayed diagnosis and treatment. The present report describes the case of a 29‑year‑old man with a history of deep vein thrombosis who presented with intermittent upper abdominal pain and hematemesis. An initial abdominal CT scan suggested intestinal obstruction, and further conservative treatment provided temporary relief before the condition worsened with severe hematemesis and hypotension. Emergency surgery revealed MVT complicated by small bowel necrosis, which was managed with necrotic bowel resection, end‑to‑end anastomosis and postoperative anticoagulation. The patient recovered successfully. Overall, the present report highlights how an early diagnosis, use of contrast‑enhanced abdominal CT scans and timely intervention (primarily anticoagulation, with surgery for bowel necrosis/peritonitis) are key in MVT management.

Introduction

Mesenteric venous thrombosis (MVT) is a rare but life-threatening gastrointestinal (GI) vascular disorder, with an incidence rate of 1 in 5,000-15,000 hospital admissions and 1 in 1,000 Emergency Department visits worldwide (1). The mortality rate of acute MVT ranges from 20 to 50%, with delayed diagnosis and treatment markedly increasing the risk of bowel infarction, sepsis and multiorgan failure (2). As a notable cause of acute mesenteric ischemia, MVT differs from arterial mesenteric ischemia in its more insidious onset and non-specific clinical presentation, which often contribute to diagnostic delays (3). In addition, hematemesis is a rare manifestation of MVT, reported in <15% of cases in the existing literature, which further complicates the diagnostic process and may lead to misdiagnosis as common upper GI bleeding etiologies, such as peptic ulcers or esophageal varices (2).

Pathophysiologically, thrombus formation in the mesenteric venous system impairs intestinal venous return, causing venous engorgement and reduced arterial perfusion, and potentially transmural bowel infarction, bacterial translocation and life-threatening complications if untreated. MVT is categorized into primary (associated with obesity, diabetes and tobacco use, among others), secondary (associated with protein C, protein S or antithrombin deficiency, malignancy and oral contraceptives, among others) and idiopathic etiologies. Contrast-enhanced abdominal CT remains a standard procedure in diagnosis, while anticoagulation is central to all treatment options, with surgery being reserved for bowel necrosis, perforation or peritonitis (1-3). The present report aims to enhance clinicians' awareness by reporting a rare case of MVT complicated with hematemesis and small bowel necrosis, which was successfully managed through laparotomy.

Case report

A 29-year-old man presented to Emergency Department of Jilin Central Hospital (Jilin, China) in August 2018, with a 7-day history of intermittent upper abdominal pain. The pain was described as distended and non-radiating. The medical history of the patient included a left lower limb deep venous thrombosis and a stent implantation conducted in March 2008, at which time the patient was 175 cm in height, weighed 95 kg and exhibited a BMI of >30 kg/m2. The patient had no history of liver cirrhosis, portal hypertension, peptic ulcer disease or hematochezia. An initial abdominal CT scan revealed gas-fluid levels, leading to a diagnosis of intestinal obstruction. Conservative treatment was administered, which included symptomatic measures such as nil per os, gastrointestinal decompression, acid suppression (40 mg omeprazole per dose, intravenously, every 12 h for 5 days), anti-inflammatory therapy (1.5 g cefuroxime sodium per dose, intravenously, every 12 h for 5 days) and an enema, which temporarily alleviated the abdominal pain. However, 6 days later, the pain worsened and became persistent, prompting referral of the patient to Department of Gastrointestinal and Colorectal Surgery of China-Japan Union Hospital of Jilin University (Jilin, China).

Upon admission, the vital signs of the patient were stable (blood pressure, 140/80 mmHg; heart rate, 80 bpm). Physical examination revealed a flat, soft abdomen with mild tenderness in the upper quadrants, with no rebound tenderness or muscle rigidity. Shortly after transfer (~20 min after admission), the patient experienced nausea followed by hematemesis, vomiting ~1,200 ml blood. The blood pressure of the individual subsequently dropped to 80/40 mmHg, necessitating an immediate blood transfusion (4 units of packed red blood cells) and intravenous fluid resuscitation.

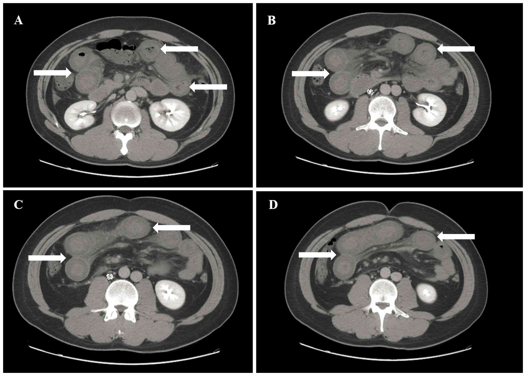
An emergency upper GI endoscopy was performed within 1 h of hematemesis, which revealed no source of bleeding in the esophagus, stomach or duodenum. Furthermore, an abdominal ultrasonography revealed moderate ascites, which was drained under ultrasound guidance, yielding ~500 ml of bloody fluid. An abdominal CT scan exhibited extensive dilation of the small intestine in the upper abdomen, with thickened intestinal walls also observed (maximum thickness, 0.9 cm; Fig. 1).

Consecutive axial contrast-enhanced
abdominal CT scans (A-D), showing extensive dilation of the small
intestine in the upper abdomen, with thickened intestinal walls
(arrows indicate dilated small intestinal loops with thickened
walls).

Figure 1

Consecutive axial contrast-enhanced abdominal CT scans (A-D), showing extensive dilation of the small intestine in the upper abdomen, with thickened intestinal walls (arrows indicate dilated small intestinal loops with thickened walls).

Laboratory findings upon admission included a blood leukocyte count of 23.87x109/l (normal range, 4-10x109/l), a neutrophil percentage of 92.8% (normal range, 50-70%), a platelet count of 171x109/l (normal range, 100-300x109/l), a red blood cell count of 5.05x1012/l (normal range, 4.00-5.00x1012/l), a hemoglobin level of 146 g/l (normal range, 120-160 g/l), a hematocrit level of 0.436 (normal range, 0.400-0.500) and a mean corpuscular volume of 86.3 fl (normal range, 80.0-100.0 fl). A plasma D-dimer level of 39.6 µg/ml (normal range, 0-0.5 µg/ml) and a serum amylase level of 42 U/l (normal range, 25-125 U/l) were noted. Prothrombin time was 15.5 sec (normal range, 11.0-15.0 sec) and activated partial thromboplastin time was 35.3 sec (normal range, 28.0-43.5 sec). The fibrinogen level was 4.57 g/l (normal range, 2.00-4.00 g/l), the serum level of alanine aminotransferase was 42.63 g/l (normal range, 5.00-40.00 g/l), the serum level of aspartate aminotransferase was 26.08 g/l (normal range, 8.00-40.00 g/l) and the serum level of LDH was 507.50 g/l (normal range, 80.00-248.00 g/l). Based on these findings, MVT with intestinal ischemia was highly suspected; accordingly, emergency transfusion of 4 units of packed red blood cells and 400 ml of plasma was administered, and an emergency laparotomy was performed 3 h after admission.

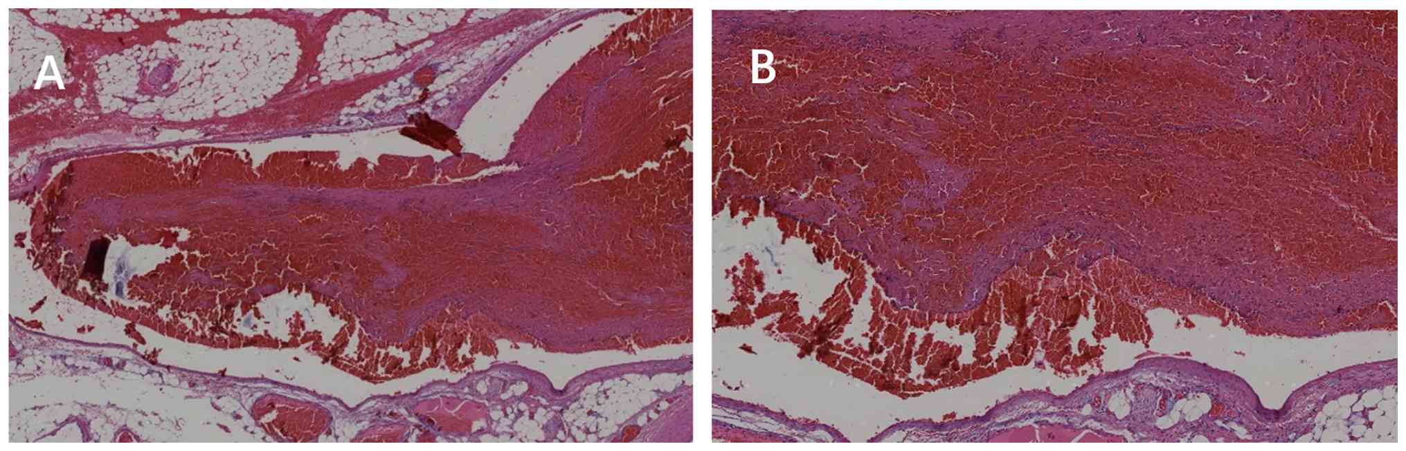
During surgery, a 110-cm segment of necrotic small intestine (180 cm distal to the ligament of Treitz), with thromboembolism in the corresponding mesenteric veins, was identified. The necrotic segment was resected and an end-to-end anastomosis was performed. Pathological examination demonstrated intestinal hemorrhagic infarction (Fig. 2).

Pathological examination of intestinal
tissue (hematoxylin and eosin staining) demonstrating intestinal
hemorrhagic infarction at (A) x200 and (B) x400 magnification
(arrows indicate extensive hemorrhagic infarction of the intestinal
wall).

Figure 2

Pathological examination of intestinal tissue (hematoxylin and eosin staining) demonstrating intestinal hemorrhagic infarction at (A) x200 and (B) x400 magnification (arrows indicate extensive hemorrhagic infarction of the intestinal wall).

To determine the diagnosis of intestinal hemorrhagic infarction in the present patient, the necrotic small intestinal tissue resected during laparotomy was subjected to H&E staining. Under sterile conditions, lesional intestinal tissue and adjacent normal intestinal tissue (serving as internal controls) were harvested immediately after sample acquisition. Sterile surgical blades were used to trim tissues into uniform cubic blocks (0.5x0.5x0.2 cm) to ensure complete and uniform fixative penetration. Trimmed tissues were immersed in 10% neutral buffered formalin (pH 7.2-7.4) at a fixative-to-tissue ratio ≥10:1 to prevent autolysis and incubated at 4˚C for 12-24 h. After fixation, tissues were rinsed with PBS (pH 7.4) for 5 min, then dehydrated with ethanol [70% (1 h), 80% (1 h), 95% (1 h) and 100% (twice, 1 h each)]. Dehydrated tissues were then subjected to xylene (twice, 30 min each) until completely transparent. Cleared tissues were immersed in molten paraffin (56-58˚C) twice for 1 h each, then embedded in fresh paraffin. Tissues were oriented to cover lesional and marginal normal areas, and paraffin blocks were solidified at room temperature and stored at 4˚C until sectioning.

All H&E staining steps were performed at 22-25˚C using analytical grade reagents and double-distilled water. Paraffin blocks were sectioned into 4- to 5-µm continuous serial sections using a rotary microtome. Sections were floated on 40-42˚C double-distilled water to flatten, mounted on poly-L-lysine-coated slides, baked at 60˚C for 1-2 h and cooled to room temperature. Slides were deparaffinized in xylene (twice, 10 min each), rehydrated using an alcohol gradient (100, 95, 80 and 70% ethanol; 5 min each) and rinsed with double-distilled water for 5 min. Rehydrated slides were stained with Harris hematoxylin for 5-10 min. Excess hematoxylin was rinsed off and slides were differentiated in 1% hydrochloric acid-ethanol for 30-60 sec, then blued with running tap water (10-15 min) or 1% ammonia water (1-2 min). Blued slides were stained with 0.5% eosin Y for 2-5 min. Slides were dehydrated (70, 80, 95 and 100% ethanol), cleared in xylene (twice, 5 min each), mounted with neutral balsam and air-dried for 24 h before observation.

Dried H&E-stained slides were examined with a compound light microscope equipped with 20X and 40X objective lenses (corresponding to x200 and x400 final magnifications). Digital images were captured at x200 and x400 magnifications using a charge-coupled device imaging system, with standardized parameters (exposure time, white balance, light intensity and resolution) for consistency. Numerous non-overlapping fields were captured per sample. Images were saved as uncompressed TIFF files (≥300 dpi) to preserve histological details for further analysis. The images obtained by H&E staining were captured as shown in Fig. 2, illustrating the typical histological features of intestinal hemorrhagic infarction.

The patient was discharged in late August 2018 (on the 10th postoperative day) without complications. Throughout the entire treatment process, cefuroxime sodium (1.5 g per dose, intravenously, every 12 h for 7 days), omeprazole (40 mg per dose, intravenously, every 12 h for 7 days) and low-molecular-weight heparin (4,000 IU per dose, subcutaneously, once a day for 10 days) were administered, along with parenteral nutrient solution (25-30 kcal/kg body weight per day, continuous administration via central venous catheter for 5 days). All drug dosages were based on adult clinical guidelines (4), with adjustments made according to the renal and hepatic function of the patient, as well as inflammatory indicators and improvements in clinical symptoms.

Since discharge, the patient has undergone intensive follow-up (each month for 3 months, then quarterly) from 2018-2019, 6-monthly follow-ups from 2019-2020 and annual follow-ups from 2020-2026. Follow-up data reported a height of 180 cm, a stable weight of 71-75 kg and a normal BMI (21.9-23.1 kg/m2), with no abdominal pain/distension recurrence, regular 10 mg daily oral rivaroxaban (no missed doses or adverse reactions), normal routine tests (complete blood count, liver function and coagulation function) and a healthy lifestyle. The patient has had no recurrence of symptoms, such as abdominal pain or abdominal distension since discharge, so abdominal CT and gastrointestinal endoscopy have not been performed.

No dosage adjustments or emergencies have occurred and the patient remains stable without recurrence or complications, with effective follow-up and good medication compliance.

Discussion

MVT is a rare but potentially lethal condition characterized by non-specific clinical and laboratory findings, resulting in diagnostic challenges and delayed intervention (5). Acute MVT typically presents with sudden, cramping abdominal pain disproportionate to physical examination findings. Bowel infarction, a severe complication, may manifest with peritoneal signs such as rebound tenderness (6). A delayed diagnosis is associated with mortality rates of 19-23% (5). Thrombosis typically originates from the superior mesenteric vein in 95% of cases, with the inferior mesenteric vein involved in only 4-6% of cases (1).

MVT is primarily divided into three etiologies: Primary, secondary and idiopathic (7). The leading causes of secondary MVT include protein C or S deficiency, antithrombin deficiency, myelofibrosis, malignancy, oral contraceptives, pregnancy, inflammatory bowel disease, peritonitis, abdominal trauma and cirrhosis (8). The risk factors for primary MVT include obesity (BMI >30 kg/m2), diabetes, tobacco use and thrombophilia (9,10). The present patient exhibited a heightened risk for primary thrombotic disorder due to a BMI >30 kg/m2 and a medical history of left lower limb deep venous thrombosis.

A diagnosis of MVT is often delayed due to its non-specific symptoms, which may mimic other acute abdominal conditions such as pancreatitis, intestinal perforation, cholecystitis or appendicitis. Patients with colonic ischemia often present with lower GI bleeding, whereas intestinal lesions proximal to the ligament of Treitz typically result in upper GI bleeding. A history of deep venous thrombosis or the presence of ascites in a patient with acute abdominal pain should therefore raise suspicion of MVT (11,12). Delayed treatment may lead to peritonitis or sepsis, resulting in hemodynamic instability and multiorgan system failure (13). In order to understand the consequences of undiagnosed and untreated MVT, the pathophysiology of this condition should be acknowledged. MVT impairs venous return from the bowel, resulting in venous engorgement and ischemia. Due to the rapid and complete occlusion of mesenteric veins, transmural bowel infarction may occur. In addition, venous engorgement may cause arterial spasm, with resulting irreversible bowel ischemia. With a transmural infarction, there is loss of integrity of the bowel mucosa, allowing bacterial translocation and potential for occurrence of the fatal consequence of lactic acidosis, sepsis, multiorgan failure and mortality (8). The present patient was initially incorrectly diagnosed with intestinal obstruction. Due to the lack of timely and effective treatment, the MVT of the patient progressed, resulting in jejunal necrosis 180 cm distal to the ligament of Treitz and subsequent upper GI bleeding.

Abdominal contrast-enhanced CT scans remain the standard for diagnosis for MVT, with an accuracy of 95-100% (14,15). Key findings from CT scans include filling defects in mesenteric veins, thickened bowel walls, dilated bowel loops, indistinct bowel margins, thickened mesentery and ascites (16). However, for the present patient, neither obvious MVT nor venous occlusion was recognized on admission. During surgery, a number of small venous occlusions were identified within the mesentery associated with the necrotic segment of the intestine. It was speculated that the small diameter of the embolized vein may have obscured the visualization of the thrombus. Other imaging techniques, such as Doppler ultrasound, may detect large thrombi but are unable to visualize small thrombi. Furthermore, nuclear angiography is rarely used in the contemporary evaluation of MVT due to its poor sensitivity and limited availability.

The primary goals of treatment for acute MVT are to prevent intestinal infarction and reduce the risk of thrombosis recurrence. Anticoagulation is a key therapy, alongside heparin initiation upon diagnosis (8). When the international normalized ratio reaches the target range of 2-3, heparin is discontinued and warfarin alone is continued (7). Long-term anticoagulation with warfarin is recommended for at least 3-6 months, with extended therapy further advised if residual thrombus or hypercoagulable disorders are present (17,18). For patients refractory to anticoagulation, catheter-directed therapy may be considered, although it is associated with a higher risk of complications, including bleeding (8). Surgical intervention remains reserved for patients with bowel infarction, perforation or peritonitis. Resection and anastomosis are the standard procedures, with the aim of preserving as much bowel as possible. A second-look operation may be necessary within 12 to 48 h to address additional necrotic segments (1,8).

In conclusion, the present case underscores the critical challenge of diagnosing MVT when it presents with the rare symptom of hematemesis. Diagnostic delay led to bowel necrosis, highlighting the need for a high index of suspicion in individuals with thrombophilic risk factors, even when initial tests are inconclusive. Optimal outcomes depend on prompt anticoagulation, emergent surgery for necrosis and structured long-term follow-up. This report contributes to the literature by emphasizing that an integrated clinical approach is essential to mitigate the high morbidity and mortality rates associated with atypical MVT presentations.

Acknowledgements

Not applicable.

Funding

Funding: The present study was supported by The Science and Technology Development Program of Jilin Province (grant no. YDZJ202501ZYTS054).

Availability of data and materials

The data generated in the present study may be requested from the corresponding author.

Authors' contributions

CS, ZL, LP and BS designed the present study. CS, ZL, LP and BS collected and analyzed the clinical data. CS and BS reviewed previous cases. CS and BS wrote and revised the manuscript. CS and BS confirm the authenticity of all the raw data. All authors have read and approved the final version of the manuscript.

Ethics approval and consent to participate

All procedures were performed in accordance with the 1964 Helsinki Declaration and its later amendments or comparable ethical standards.

Patient consent for publication

Written informed consent was obtained from the patient for the publication of the present manuscript and any accompanying images.

Competing interests

The authors declare that they have no competing interests.

References

1 

Harnik IG and Brandt LJ: Mesenteric venous thrombosis. Vasc Med. 15:407–418. 2010.PubMed/NCBI View Article : Google Scholar

2 

Kumar S, Sarr MG and Kamath PS: Mesenteric venous thrombosis. N Engl J Med. 345:1683–1688. 2001.PubMed/NCBI View Article : Google Scholar

3 

Russell CE, Wadhera RK and Piazza G: Mesenteric venous thrombosis. Circulation. 131:1599–1603. 2015.PubMed/NCBI View Article : Google Scholar

4 

Simonetto DA, Singal AK, Garcia-Tsao G, Caldwell SH, Ahn J and Kamath PS: ACG clinical guideline: Disorders of the hepatic and mesenteric circulation. Am J Gastroenterol. 115:18–40. 2020.PubMed/NCBI View Article : Google Scholar

5 

Acosta S, Ögren M, Sternby N-H, Bergqvist D and Björck M: Mesenteric venous thrombosis with transmural intestinal infarction: A population-based study. J Vasc Surg. 41:59–63. 2005.PubMed/NCBI View Article : Google Scholar

6 

García-Botella A, Asenjo S, De la Morena-Barrio ME, Corral J, Bolaños E, Carlin PS, López ES and García AJ: First case with antithrombin deficiency, mesenteric vein thrombosis and pregnancy: Multidisciplinary diagnosis and successful management. Thromb Res. 144:72–75. 2016.PubMed/NCBI View Article : Google Scholar

7 

Lim KH, Jang J, Yoon HY and Park J: Acute superior mesenteric vein thrombosis associated with abdominal trauma: A rare case report and literature review. Medicine (Baltimore). 96(e8863)2017.PubMed/NCBI View Article : Google Scholar

8 

Singal AK, Kamath PS and Tefferi A: Mesenteric venous thrombosis. Mayo Clin Proc. 88:285–294. 2013.PubMed/NCBI View Article : Google Scholar

9 

Walter G, Richert Q, Ponnampalam A and Sharma A: Acute superior mesenteric vein thrombosis in the setting of cytomegalovirus mononucleosis: A case report and review of the literature. Lancet Infect Dis. 21:e202–e207. 2021.PubMed/NCBI View Article : Google Scholar

10 

Gupta A, Sharma O, Srikanth K, Mishra R, Tandon A and Rajput D: Review of mesenteric ischemia in COVID-19 patients. Indian J Surg. 85 (Suppl 1):S313–S321. 2023.PubMed/NCBI View Article : Google Scholar

11 

Blumberg SN and Maldonado TS: Mesenteric venous thrombosis. J Vasc Surg Venous Lymphat Disord. 4:501–507. 2016.PubMed/NCBI View Article : Google Scholar

12 

Brandt LJ and Boley SJ: AGA technical review on intestinal ischemia. American gastrointestinal association. Gastroenterology. 118:954–968. 2000.PubMed/NCBI View Article : Google Scholar

13 

Klar E, Rahmanian PB, Bücker A, Hauenstein K, Jauch KW and Luther B: Acute mesenteric ischemia: A vascular emergency. Dtsch Arztebl Int. 109:249–256. 2012.PubMed/NCBI View Article : Google Scholar

14 

Hagspiel KD, Flors L, Hanley M and Norton PT: Computed tomography angiography and magnetic resonance angiography imaging of the mesenteric vasculature. Tech Vasc Interv Radiol. 18:2–13. 2015.PubMed/NCBI View Article : Google Scholar

15 

Acosta S, Alhadad A and Ekberg O: Findings in multi-detector row CT with portal phase enhancement in patients with mesenteric venous thrombosis. Emerg Radiol. 16:477–482. 2009.PubMed/NCBI View Article : Google Scholar

16 

Guan X, Huang L and Li L: Acute mesenteric venous thrombosis in a pregnant woman at 35 weeks of gestation: A case report and review of the literature. BMC Pregnancy Childbirth. 18(487)2018.PubMed/NCBI View Article : Google Scholar

17 

Malec L and Young G: Treatment of venous thromboembolism in pediatric patients. Front Pediatr. 5(26)2017.PubMed/NCBI View Article : Google Scholar

18 

Kim HS, Patra A, Khan J, Arepally A and Streiff MB: Transhepatic catheter-directed thrombectomy and thrombolysis of acute superior mesenteric venous thrombosis. J Vasc Interv Radiol. 16:1685–1691. 2005.PubMed/NCBI View Article : Google Scholar

Related Articles

  • Abstract
  • View
  • Download
  • Twitter
Copy and paste a formatted citation
Spandidos Publications style
Shi C, Li Z, Pan L and Song B: Hematemesis resulting from mesenteric venous thrombosis: A case report. Exp Ther Med 31: 125, 2026.
APA
Shi, C., Li, Z., Pan, L., & Song, B. (2026). Hematemesis resulting from mesenteric venous thrombosis: A case report. Experimental and Therapeutic Medicine, 31, 125. https://doi.org/10.3892/etm.2026.13120
MLA
Shi, C., Li, Z., Pan, L., Song, B."Hematemesis resulting from mesenteric venous thrombosis: A case report". Experimental and Therapeutic Medicine 31.5 (2026): 125.
Chicago
Shi, C., Li, Z., Pan, L., Song, B."Hematemesis resulting from mesenteric venous thrombosis: A case report". Experimental and Therapeutic Medicine 31, no. 5 (2026): 125. https://doi.org/10.3892/etm.2026.13120
Copy and paste a formatted citation
x
Spandidos Publications style
Shi C, Li Z, Pan L and Song B: Hematemesis resulting from mesenteric venous thrombosis: A case report. Exp Ther Med 31: 125, 2026.
APA
Shi, C., Li, Z., Pan, L., & Song, B. (2026). Hematemesis resulting from mesenteric venous thrombosis: A case report. Experimental and Therapeutic Medicine, 31, 125. https://doi.org/10.3892/etm.2026.13120
MLA
Shi, C., Li, Z., Pan, L., Song, B."Hematemesis resulting from mesenteric venous thrombosis: A case report". Experimental and Therapeutic Medicine 31.5 (2026): 125.
Chicago
Shi, C., Li, Z., Pan, L., Song, B."Hematemesis resulting from mesenteric venous thrombosis: A case report". Experimental and Therapeutic Medicine 31, no. 5 (2026): 125. https://doi.org/10.3892/etm.2026.13120
Follow us
  • Twitter
  • LinkedIn
  • Facebook
About
  • Spandidos Publications
  • Careers
  • Cookie Policy
  • Privacy Policy
How can we help?
  • Help
  • Live Chat
  • Contact
  • Email to our Support Team