Spandidos Publications Logo
  • About
    • About Spandidos
    • Aims and Scopes
    • Abstracting and Indexing
    • Editorial Policies
    • Reprints and Permissions
    • Job Opportunities
    • Terms and Conditions
    • Contact
  • Journals
    • All Journals
    • Oncology Letters
      • Oncology Letters
      • Information for Authors
      • Editorial Policies
      • Editorial Board
      • Aims and Scope
      • Abstracting and Indexing
      • Bibliographic Information
      • Archive
    • International Journal of Oncology
      • International Journal of Oncology
      • Information for Authors
      • Editorial Policies
      • Editorial Board
      • Aims and Scope
      • Abstracting and Indexing
      • Bibliographic Information
      • Archive
    • Molecular and Clinical Oncology
      • Molecular and Clinical Oncology
      • Information for Authors
      • Editorial Policies
      • Editorial Board
      • Aims and Scope
      • Abstracting and Indexing
      • Bibliographic Information
      • Archive
    • Experimental and Therapeutic Medicine
      • Experimental and Therapeutic Medicine
      • Information for Authors
      • Editorial Policies
      • Editorial Board
      • Aims and Scope
      • Abstracting and Indexing
      • Bibliographic Information
      • Archive
    • International Journal of Molecular Medicine
      • International Journal of Molecular Medicine
      • Information for Authors
      • Editorial Policies
      • Editorial Board
      • Aims and Scope
      • Abstracting and Indexing
      • Bibliographic Information
      • Archive
    • Biomedical Reports
      • Biomedical Reports
      • Information for Authors
      • Editorial Policies
      • Editorial Board
      • Aims and Scope
      • Abstracting and Indexing
      • Bibliographic Information
      • Archive
    • Oncology Reports
      • Oncology Reports
      • Information for Authors
      • Editorial Policies
      • Editorial Board
      • Aims and Scope
      • Abstracting and Indexing
      • Bibliographic Information
      • Archive
    • Molecular Medicine Reports
      • Molecular Medicine Reports
      • Information for Authors
      • Editorial Policies
      • Editorial Board
      • Aims and Scope
      • Abstracting and Indexing
      • Bibliographic Information
      • Archive
    • World Academy of Sciences Journal
      • World Academy of Sciences Journal
      • Information for Authors
      • Editorial Policies
      • Editorial Board
      • Aims and Scope
      • Abstracting and Indexing
      • Bibliographic Information
      • Archive
    • International Journal of Functional Nutrition
      • International Journal of Functional Nutrition
      • Information for Authors
      • Editorial Policies
      • Editorial Board
      • Aims and Scope
      • Abstracting and Indexing
      • Bibliographic Information
      • Archive
    • International Journal of Epigenetics
      • International Journal of Epigenetics
      • Information for Authors
      • Editorial Policies
      • Editorial Board
      • Aims and Scope
      • Abstracting and Indexing
      • Bibliographic Information
      • Archive
    • Medicine International
      • Medicine International
      • Information for Authors
      • Editorial Policies
      • Editorial Board
      • Aims and Scope
      • Abstracting and Indexing
      • Bibliographic Information
      • Archive
  • Articles
  • Information
    • Information for Authors
    • Information for Reviewers
    • Information for Librarians
    • Information for Advertisers
    • Conferences
  • Language Editing
Spandidos Publications Logo
  • About
    • About Spandidos
    • Aims and Scopes
    • Abstracting and Indexing
    • Editorial Policies
    • Reprints and Permissions
    • Job Opportunities
    • Terms and Conditions
    • Contact
  • Journals
    • All Journals
    • Biomedical Reports
      • Information for Authors
      • Editorial Policies
      • Editorial Board
      • Aims and Scope
      • Abstracting and Indexing
      • Bibliographic Information
      • Archive
    • Experimental and Therapeutic Medicine
      • Information for Authors
      • Editorial Policies
      • Editorial Board
      • Aims and Scope
      • Abstracting and Indexing
      • Bibliographic Information
      • Archive
    • International Journal of Epigenetics
      • Information for Authors
      • Editorial Policies
      • Editorial Board
      • Aims and Scope
      • Abstracting and Indexing
      • Bibliographic Information
      • Archive
    • International Journal of Functional Nutrition
      • Information for Authors
      • Editorial Policies
      • Editorial Board
      • Aims and Scope
      • Abstracting and Indexing
      • Bibliographic Information
      • Archive
    • International Journal of Molecular Medicine
      • Information for Authors
      • Editorial Policies
      • Editorial Board
      • Aims and Scope
      • Abstracting and Indexing
      • Bibliographic Information
      • Archive
    • International Journal of Oncology
      • Information for Authors
      • Editorial Policies
      • Editorial Board
      • Aims and Scope
      • Abstracting and Indexing
      • Bibliographic Information
      • Archive
    • Medicine International
      • Information for Authors
      • Editorial Policies
      • Editorial Board
      • Aims and Scope
      • Abstracting and Indexing
      • Bibliographic Information
      • Archive
    • Molecular and Clinical Oncology
      • Information for Authors
      • Editorial Policies
      • Editorial Board
      • Aims and Scope
      • Abstracting and Indexing
      • Bibliographic Information
      • Archive
    • Molecular Medicine Reports
      • Information for Authors
      • Editorial Policies
      • Editorial Board
      • Aims and Scope
      • Abstracting and Indexing
      • Bibliographic Information
      • Archive
    • Oncology Letters
      • Information for Authors
      • Editorial Policies
      • Editorial Board
      • Aims and Scope
      • Abstracting and Indexing
      • Bibliographic Information
      • Archive
    • Oncology Reports
      • Information for Authors
      • Editorial Policies
      • Editorial Board
      • Aims and Scope
      • Abstracting and Indexing
      • Bibliographic Information
      • Archive
    • World Academy of Sciences Journal
      • Information for Authors
      • Editorial Policies
      • Editorial Board
      • Aims and Scope
      • Abstracting and Indexing
      • Bibliographic Information
      • Archive
  • Articles
  • Information
    • For Authors
    • For Reviewers
    • For Librarians
    • For Advertisers
    • Conferences
  • Language Editing
Login Register Submit
  • This site uses cookies
  • You can change your cookie settings at any time by following the instructions in our Cookie Policy. To find out more, you may read our Privacy Policy.

    I agree
Search articles by DOI, keyword, author or affiliation
Search
Advanced Search
presentation
Experimental and Therapeutic Medicine
Join Editorial Board Propose a Special Issue
Print ISSN: 1792-0981 Online ISSN: 1792-1015
Journal Cover
May-2026 Volume 31 Issue 5

Full Size Image

Sign up for eToc alerts
Recommend to Library

Journals

International Journal of Molecular Medicine

International Journal of Molecular Medicine

International Journal of Molecular Medicine is an international journal devoted to molecular mechanisms of human disease.

International Journal of Oncology

International Journal of Oncology

International Journal of Oncology is an international journal devoted to oncology research and cancer treatment.

Molecular Medicine Reports

Molecular Medicine Reports

Covers molecular medicine topics such as pharmacology, pathology, genetics, neuroscience, infectious diseases, molecular cardiology, and molecular surgery.

Oncology Reports

Oncology Reports

Oncology Reports is an international journal devoted to fundamental and applied research in Oncology.

Experimental and Therapeutic Medicine

Experimental and Therapeutic Medicine

Experimental and Therapeutic Medicine is an international journal devoted to laboratory and clinical medicine.

Oncology Letters

Oncology Letters

Oncology Letters is an international journal devoted to Experimental and Clinical Oncology.

Biomedical Reports

Biomedical Reports

Explores a wide range of biological and medical fields, including pharmacology, genetics, microbiology, neuroscience, and molecular cardiology.

Molecular and Clinical Oncology

Molecular and Clinical Oncology

International journal addressing all aspects of oncology research, from tumorigenesis and oncogenes to chemotherapy and metastasis.

World Academy of Sciences Journal

World Academy of Sciences Journal

Multidisciplinary open-access journal spanning biochemistry, genetics, neuroscience, environmental health, and synthetic biology.

International Journal of Functional Nutrition

International Journal of Functional Nutrition

Open-access journal combining biochemistry, pharmacology, immunology, and genetics to advance health through functional nutrition.

International Journal of Epigenetics

International Journal of Epigenetics

Publishes open-access research on using epigenetics to advance understanding and treatment of human disease.

Medicine International

Medicine International

An International Open Access Journal Devoted to General Medicine.

Journal Cover
May-2026 Volume 31 Issue 5

Full Size Image

Sign up for eToc alerts
Recommend to Library

  • Article
  • Citations
    • Cite This Article
    • Download Citation
    • Create Citation Alert
    • Remove Citation Alert
    • Cited By
  • Similar Articles
    • Related Articles (in Spandidos Publications)
    • Similar Articles (Google Scholar)
    • Similar Articles (PubMed)
  • Download PDF
  • Download XML
  • View XML
Article Open Access

Effects of fullerenol C60 on the liver, heart and brain tissues of streptozotocin‑induced diabetic rats with sepsis

  • Authors:
    • Necmiye Şengel
    • Ömer Kubat
    • Laman Farajsoylu
    • Ahmet Çağri Büyükkasap
    • Muharrem Atli
    • Şaban Cem Sezen
    • Hasan Bostanci
    • Kürşat Dikmen
    • Işin Güneş
    • Fatma Er
    • Mustafa Kavutçu
    • Mustafa Arslan
  • View Affiliations / Copyright

    Affiliations: Department of Oral and Maxillofacial Surgery (Anesthesiology and Reanimation Specialist), Gazi University Faculty of Dentistry, Ankara 06490, Turkey, Department of General Surgery, Gazi University Faculty of Medicine, Ankara 06510, Turkey, Department of Dermatology, Lokman Hekim Hospital, Ankara 06010, Turkey, Department of Biology, Kırıkkale University Institute of Science and Technology, Kırıkkale 71450, Turkey, Department of Histology and Embryology, Kırıkkale University Faculty of Medicine, Kırıkkale 71450, Turkey, Department of Anesthesiology and Reanimation, Erciyes University Faculty of Medicine, Kayseri 38030, Turkey, Department of Medical Biochemistry, Gazi University Faculty of Medicine, Ankara 06510, Turkey, Department of Anesthesiology and Reanimation, Gazi University Faculty of Medicine, Ankara 06510, Turkey
    Copyright: © Şengel et al. This is an open access article distributed under the terms of Creative Commons Attribution License.
  • Article Number: 135
    |
    Published online on: March 13, 2026
       https://doi.org/10.3892/etm.2026.13130
  • Expand metrics +
Metrics: Total Views: 0 (Spandidos Publications: | PMC Statistics: )
Metrics: Total PDF Downloads: 0 (Spandidos Publications: | PMC Statistics: )
Cited By (CrossRef): 0 citations Loading Articles...

This article is mentioned in:


Abstract

In the present study, the protective effects of fullerenol C60, a nanomaterial with antioxidant properties, were investigated against sepsis‑induced multiple organ failure in liver, heart and brain tissues using a sepsis model [cecal ligation and puncture (CLP)] in diabetic rats. A total of 30 Wistar albino male rats were divided into four groups: Control, diabetic control, diabetes + sepsis (DM/SEP) and diabetes + sepsis + fullerenol C60 (FUL/C‑60). Streptozotocin was administered intraperitoneally at a dose of 55 mg/kg to induce diabetes in the rats; those with blood sugar levels >250 mg/dl 72 h after injection were considered diabetic. After 4 weeks, only laparotomy was performed in the control and diabetic control groups. CLP was applied to the DM/SEP and FUL/C‑60 groups to establish a sepsis model. After laparotomy, the abdomens of the rats were closed. In the FUL/C‑60 group, 100 mg/kg fullerenol C60 was administered intraperitoneally 30 min after the procedure. All rats were sacrificed 24 h later and blood and tissue samples from the brain, liver and heart were taken for histopathological and biochemical examination. The data distribution was analyzed using the Shapiro‑Wilk test. Data were evaluated using the Kruskal‑Wallis test followed by Dunn's post hoc test or one‑way ANOVA followed by Tukey's post hoc test. Fullerenol C60 markedly reduced sepsis‑induced tissue damage in the liver, heart and brain. Histopathological evaluation demonstrated significantly less hepatocyte degeneration (P=0.042), necrosis (P=0.040) and sinusoidal dilatation (P=0.013) in liver tissue; reduced interstitial fibrosis (P=0.040) in heart tissue; and decreased inflammatory cellularity (P=0.034) in brain tissue in the FUL/C‑60 group compared with the DM/SEP group. Biochemically, fullerenol C60 significantly attenuated oxidative stress in liver and brain tissues, as indicated by lower thiobarbituric acid reactive substance levels (both, P<0.001) and higher catalase activity (P=0.034 and P=0.009, respectively) in the FUL/C‑60 group. Consistent with these findings, liver function was substantially improved, as evidenced by reduced serum aspartate transaminase (P<0.001), alanine transaminase (P<0.001) and γ‑glutamyl transferase (P=0.008) levels, as well as lower total (P<0.001) and direct bilirubin (P<0.001) levels. Overall, fullerenol C60 effectively reduced organ damage by suppressing oxidative stress. Fullerenol C60 demonstrated protective effects against multiple organ failure in a diabetic sepsis model, indicating its potential as a supportive agent in sepsis treatment.

Introduction

Use of nanomaterials in medicine began in the mid-20th century and has increased steadily in previous years (1,2). The ability to protect tissues from ischemia, as well as antimicrobial properties that may help defend the host against pathogens, has encouraged researchers to investigate carbon-based nanomaterials (2). Fullerenes have become a central focus of this research. The antioxidant properties of nanomaterials such as fullerenes, along with their protective effects against ischemia and antimicrobial activity, facilitate their potential use as therapeutic agents (3-5). Among fullerene derivatives, fullerenol C60 exhibits higher aqueous solubility than other fullerene structures due to the presence of hydroxyl groups on its surface (6). The water solubility of fullerenol C60 makes it the most ideal nanomaterial among fullerenes, which also simplifies its use in in vivo (6,7).

The cecal ligation and puncture (CLP) method is a widely used procedure in animal models to induce polymicrobial sepsis and closely mimics the pathophysiology of clinical sepsis (8). This procedure involves surgically ligating a specific portion of the cecum and then puncturing it. CLP leads to an increased microbial load in the abdominal cavity and translocation of bacteria into the bloodstream, thereby triggering multiple organ failure, inflammation and immune responses that simulate clinical sepsis. Due to the immunological and physiological responses resembling clinical sepsis, this model is especially preferred in studies investigating sepsis pathogenesis and treatment (8,9). The CLP method is widely accepted as a reliable and reproducible experimental model for investigating sepsis-related complications and evaluating potential therapeutic interventions (8)

Sepsis is a life-threatening clinical condition caused by infection (10,11); it is estimated to account for ~49 million cases and ~11 million deaths worldwide each year, and remains one of the leading causes of mortality in Intensive Care Units (12).

Therefore, preventing sepsis or, if prevention is not possible, identifying effective treatment options is a primary focus for researchers. Although various therapeutic approaches, including early broad-spectrum antibiotics, fluid resuscitation, vasopressor support and adjunctive corticosteroid therapy, are routinely used in clinical practice, sepsis continues to be associated with high mortality, and no definitive therapy has yet demonstrated a consistent survival benefit (13). The development of multiple organ failure, particularly involving vital organs such as the liver, kidneys, lungs, brain and heart, presents significant challenges for clinicians, as it necessitates supportive interventions (for example, mechanical ventilation, vasopressor therapy and renal replacement therapy), complicates hemodynamic and metabolic stabilization, and is associated with increased morbidity and mortality (14). Sepsis is a significant global health problem; there are >30 million patients with sepsis worldwide every year (15). Sepsis-associated encephalopathy (SAE) is one of the symptoms of sepsis and has a clinical presentation ranging from confusion to delirium and coma. The symptom affects up to 70% of patients with sepsis (15) and increases the mortality rate (12). In the study by Krzyżaniak et al (12), which included 443 patients with sepsis, it was reported that 240 patients developed SAE; the mortality rate in the SAE group (45.42%) was significantly higher than that in the non-SAE group (7.88%). The liver plays a key role in immune responses through the synthesis of acute-phase proteins and complement components, cytokine production and pathogen clearance via Kupffer cells, functioning as a critical immunometabolic defense organ (16). The presence of chronic comorbidities alongside sepsis markedly increases the risk of end-organ failure (16,17). Therefore, in the treatment of sepsis, it is important to implement therapeutic strategies not only targeting the infectious agent, but also addressing underlying chronic conditions (14,17).

With the rise of sedentary lifestyles and obesity, diabetes has become a major global metabolic disease, currently affecting ~537 million adults worldwide and projected to reach 783 million by 2045(18). Diabetes is accompanied by chronic hyperglycemia, which increases the production of reactive oxygen species (ROS) within the cell (19). These radicals cause oxidative stress, leading to damage to cell membranes, proteins and DNA. Oxidative stress serves a role in the development of diabetic complications such as neuropathy, retinopathy and nephropathy (20,21). For this reason, antioxidant therapies are being investigated to reduce the oxidative damage associated with diabetes (20). In previous years, nanomaterials exhibiting antioxidant properties, particularly carbon-based nanomaterials, have emerged as potential therapeutic agents in this context (21). In the management of diabetes, reducing oxidative stress is considered as important as controlling blood glucose levels (19-21).

In diabetes, mitochondrial dysfunction has been observed; however, the underlying molecular mechanisms have not been fully elucidated (22), despite it contributing towards inflammatory processes by driving increased anaerobic metabolism at the tissue level, thereby increasing sepsis-related mortality (23). Sepsis-induced heart and kidney damage is a frequent complication in intensive care units and leads to high morbidity and mortality (24). The liver is an organ that serves a vital role in functions such as detoxification, immune regulation and the antioxidant system (including glutathione production) of the body (25). Therefore, protecting the liver during sepsis strengthens the antioxidant capacity of the body. In sepsis, increased blood-brain barrier permeability, overproduction of proinflammatory cytokines, such as tumor necrosis factor-α (TNF-α), IL-1β and IL-6, their infiltration into the brain parenchyma, activation of glial cells and sepsis-related mitochondrial dysfunction lead to an enhanced neuroimmune response, resulting in neuronal cell death (23).

In diabetic mice, fullerenol C60, with its notable antioxidant capacity, has been shown to protect against ischemia-reperfusion (I/R) injury in muscle, heart and lung tissues (26,27). Yavuz et al (28) also observed the protective effects of fullerenol C60 on liver tissue in a liver I/R injury model. Although very few studies have demonstrated the effectiveness of fullerenol C60 in sepsis, in our previous study, its protective effects on the kidneys and lungs were demonstrated in an abdominal sepsis model (29). Furthermore, the present study aimed to prevent multiple organ failure that may develop due to sepsis in diabetic rats by utilizing the antioxidant properties of fullerenol C60, as well as investigate its protective effects on the heart, brain and liver.

Materials and methods

In accordance with ARRIVE 2.0 guidelines (30), the present study was conducted at The Gazi University Laboratory Animal Breeding and Experimental Research Center (Ankara, Turkey) with approval from The Gazi University Experimental Animal Ethics Committee (Ankara, Turkey; approval no. G.Ü.ET-24.046). The present study was also conducted in accordance with The Guide for the Care and Use of Laboratory Animals (31).

A total of 30 Wistar albino male rats (6-7 weeks old; body weight, 200-225 g), obtained from the Gazi University Laboratory Animal Breeding and Experimental Research Center (Ankara, Türkiye), were used, comprising 24 rats with streptozotocin-induced diabetes and 6 healthy rats that served as the control group. The number of rats was determined according to the maximum number of rats permitted by the ethics committee. The rats were housed under a 12 h light/dark cycle, with an environmental temperature of 20-21˚C and humidity of 45-55%. The rats had free access to food and water.

Induction of diabetes

To induce diabetes, the same procedures were applied as outlined in our previous studies (32,33).

Experimental design

Rats were randomly assigned to four groups: Six in the control group and eight in all other groups. Before laparotomy, all rats were anesthetized through intramuscular administration of ketamine (50 mg/kg; Ketalar®; Pfizer Türkiye) and xylazine hydrochloride (10 mg/kg; Dogalazin® 2% xylazine injectable solution; Doğa İlaç) Procedures were performed under a heating lamp with the rats in the supine position to prevent heat loss during the experiment. The rats were treated as follows: i) In the control (S) group (n=6), after anesthesia, rats underwent midline laparotomy and the abdomen was closed without further intervention; ii) in the diabetic control (D) group (n=8), rats with streptozotocin-induced diabetes underwent the same sham laparotomy procedure as the S group without CLP induction; iii) in the diabetes + CLP (DM/SEP) group (n=8), rats underwent midline laparotomy followed by cecal ligation and puncture (CLP), performed using a 21-gauge syringe needle at the antimesenteric border, 1-2 cm distal to the ileocecal valve. The cecum was repositioned, and the abdomen was closed; iv) in the diabetes + CLP + fullerenol C60 (FUL/C-60) group (n=8), rats underwent the same CLP procedure as the DM/SEP group. At 30 min post-abdominal closure, fullerenol C60 (100 mg/kg) was administered intraperitoneally. The route of administration and dosage were determined based on previous studies (26-29). At 24 h post-laparotomy, the rats were anesthetized with ketamine hydrochloride (50 mg/kg) and xylazine hydrochloride (10 mg/kg), and sacrificed via intracardiac blood collection (5-10 ml). After cessation of heartbeat and respiration, animals were monitored for an additional 2 min. Liver, heart and brain tissues were carefully harvested for histopathological and oxidative stress analyses, and blood samples were collected for biochemical evaluation. No rats were lost during the study. Pre-determined humane endpoints were established in accordance with institutional animal care guidelines and included severe lethargy, inability to access food or water, persistent hypothermia, loss of >20% of body weight or signs of severe distress; animals meeting any of these criteria were humanely euthanized.

Histopathological evaluation

Liver, heart and brain tissues were fixed in 10% neutral-buffered formalin at room temperature (20-25˚C) for 24 h and embedded in paraffin. Paraffin blocks were sectioned at a 4-µm thickness using a rotary microtome. After deparaffinization in xylene and rehydration through graded ethanol, sections were stained with hematoxylin (5 min) and eosin (2 min) at room temperature. These sections were two experienced histopathologists, blinded to the procedures, using a semiquantitative grading scale (0, no change; +1, minimal change; +2, moderate change; +3, severe change) (29).

Biochemical evaluation

Oxidative stress assessment in the brain, liver and heart tissue samples was performed by measuring catalase (CAT) activity and thiobarbituric acid reactive substance (TBARS) levels. The TBARS assay for assessing lipid peroxidation was performed using the TBA method. Tissue homogenates were mixed with trichloroacetic acid and TBA solution and heated in a boiling water bath (95-100˚C) for 15 min under acidic conditions. After cooling, the mixture was centrifuged at 1,600 x g for 10 min at 4˚C, and the absorbance of the supernatant was measured spectrophotometrically at 532 nm. Malondialdehyde levels were calculated using 1,1,3,3-tetraethoxypropane as the standard (MilliporeSigma). CAT activity was measured based on the decomposition of hydrogen peroxide (H2O2). The decrease in absorbance due to H2O2 consumption was monitored at 240 nm for 1 min at room temperature using a spectrophotometer, and enzyme activity was expressed as U/mg protein. For serum biochemical analysis, blood samples were centrifuged at 1,000 x g for 10 min at room temperature to obtain serum. Serum AST (cat. no. 04490734190), ALT (cat. no. 04490718190), γ-GGT (cat. no. 03002728122), total bilirubin (cat. no. 05795393190), direct bilirubin (cat. no. 05795423190) and albumin (cat. no. 05166861190) levels were measured using commercially available assay kits (Roche Diagnostics) on an automated biochemical analyzer according to the manufacturer's instructions.

Statistical analysis

Statistical analysis was performed using SPSS for Windows (version 26.0; IBM Corp.) employing the tests listed below. Data distribution was analyzed using the Shapiro-Wilk test. Comparisons of >2 groups were performed using the Kruskal-Wallis test followed by Dunn's post hoc test or one-way ANOVA followed by Tukey's post hoc test, as appropriate. P<0.05 was considered to indicate a statistically significant difference. Data are expressed as mean ± SD and median with interquartile range.

Results

Histopathological examination of liver tissue

Under light microscopy, hepatocyte degeneration differed significantly among groups (P=0.017), being more frequent in the DM/SEP group compared with the S and D groups (P=0.001 and P=0.013, respectively). However, it was significantly reduced in the FUL/C-60 group compared with that in the DM/SEP group (P=0.042) (Table I; Fig. 1, Fig. 2, Fig. 3 and Fig. 4).

Representative light microscopy of
liver tissue from the group control group. H&E staining.
Magnification, x100. Arrows represent hepatocytes. VC, vena
centralis; HL, hepatic lobule; e, erythrocyte; ep, epithelium; k,
Kupffer cells; *, sinusoids.

Figure 1

Representative light microscopy of liver tissue from the group control group. H&E staining. Magnification, x100. Arrows represent hepatocytes. VC, vena centralis; HL, hepatic lobule; e, erythrocyte; ep, epithelium; k, Kupffer cells; *, sinusoids.

Representative light microscopy of
liver tissue from the diabetic control group. H&E staining.
Magnification, x100. Arrows represent hepatocytes. vc, vena
centralis; HL, hepatic lobule; dej, hepatocyte degeneration; ep,
epithelium; k, Kupffer cells; *, sinusoids.

Figure 2

Representative light microscopy of liver tissue from the diabetic control group. H&E staining. Magnification, x100. Arrows represent hepatocytes. vc, vena centralis; HL, hepatic lobule; dej, hepatocyte degeneration; ep, epithelium; k, Kupffer cells; *, sinusoids.

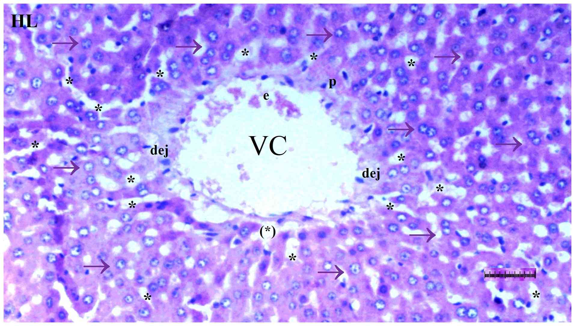
Representative light microscopy of
liver tissue from the diabetes + sepsis group. H&E staining.
Magnification, x100. Arrows represent hepatocytes. VC, vena
centralis; HL, hepatic lobule; dej, hepatocyte degeneration; e,
erythrocyte; p, picnotic and hyperchromatic cells; k, Kupffer
cells; *, sinusoids; (*), sinusoid
dilatation.

Figure 3

Representative light microscopy of liver tissue from the diabetes + sepsis group. H&E staining. Magnification, x100. Arrows represent hepatocytes. VC, vena centralis; HL, hepatic lobule; dej, hepatocyte degeneration; e, erythrocyte; p, picnotic and hyperchromatic cells; k, Kupffer cells; *, sinusoids; (*), sinusoid dilatation.

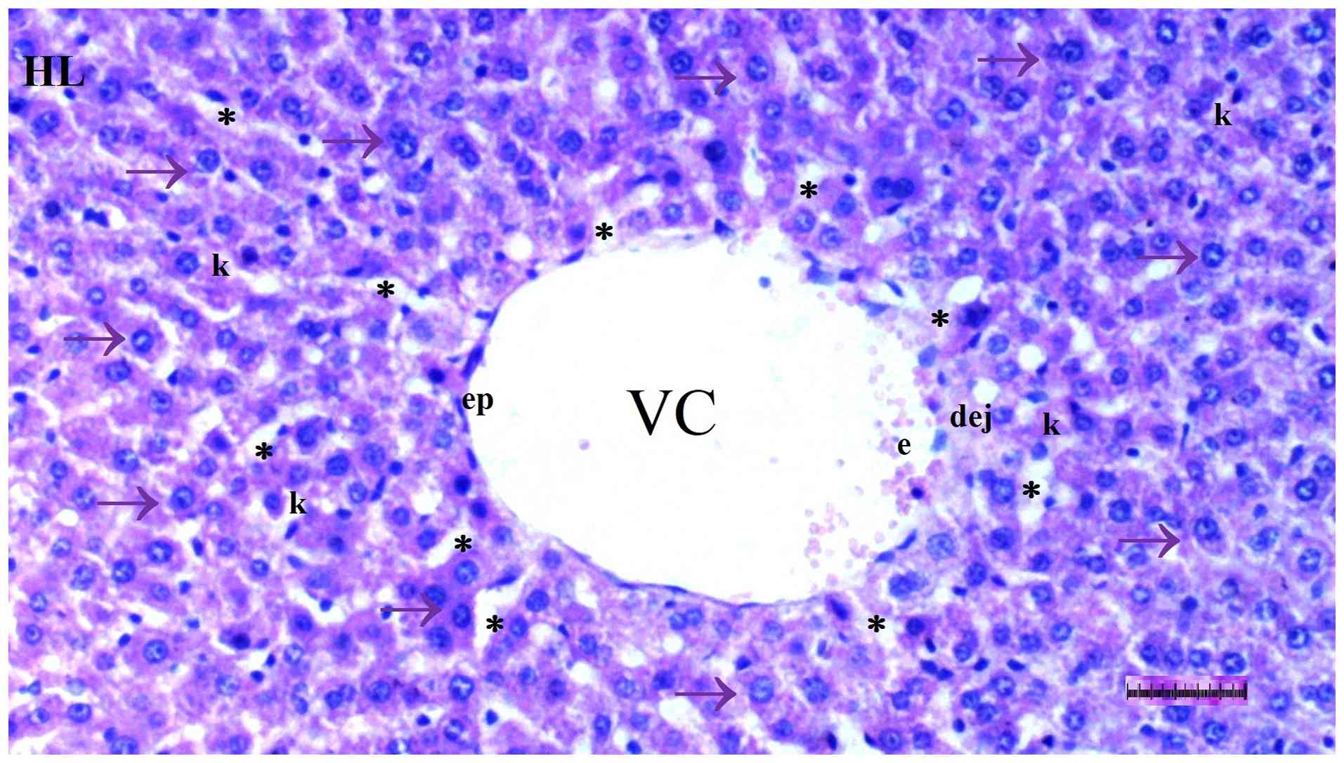
Representative light microscopy of
liver tissue from the diabetes + sepsis + fullerenol C60
group. H&E staining. Magnification, x100. Arrows represent
hepatocytes. VC, vena centralis; HL, hepatic lobule; dej,
hepatocyte degeneration; ep, epithelium; e, erythrocyte; k, Kupffer
cells; *, sinusoids.

Figure 4

Representative light microscopy of liver tissue from the diabetes + sepsis + fullerenol C60 group. H&E staining. Magnification, x100. Arrows represent hepatocytes. VC, vena centralis; HL, hepatic lobule; dej, hepatocyte degeneration; ep, epithelium; e, erythrocyte; k, Kupffer cells; *, sinusoids.

Table I

Histopathological findings of the S group (n=6), D group (n=8), DM/SEP group (n=8) and FUL/C-60 group (n=8) in liver tissue.

Table I

Histopathological findings of the S group (n=6), D group (n=8), DM/SEP group (n=8) and FUL/C-60 group (n=8) in liver tissue.

FeatureS groupD groupDM/SEPFUL/C-60P-value
Hepatocyte degeneration0.50 (0.00-1.00)1.00 (0.75-1.00)1.50 (1.00-2.25)a,b1.00 (1.00-1.00)c0.017
Sinusoidal dilatation0.00 (0.00-1.00)1.00 (0.75-1.25)1.50 (1.00-2.25)a1.00 (0.00-1.00)c0.022
Pyknotic cells0.00 (0.00-1.00)0.50 (0.00-1.00)1.00 (1.00-2.00)a,b0.50 (0.00-1.00)c0.044
Cells undergoing necrosis0.00 (0.00-0.25)0.50 (0.00-1.00)1.50 (1.00-2.25)a,b1.00 (1.00-1.00)a,c<0.001
Parenchymal MN cell infiltration0.00 (0.00-1.00)1.00 (0.00-1.25)1.00 (1.00-2.00)a1.00 (1.00-1.00)a0.035

[i] All values are presented as the median (IQR). P-values were determined by Kruskal-Wallis tests followed by Dunn's post hoc test (P<0.05).

[ii] aP<0.05 compared with the S group,

[iii] bP<0.05 compared with the D group and

[iv] cP<0.05 compared with the DM/SEP group. S, control; D, diabetic control; DM/SEP, diabetes + sepsis; FUL/C-60, diabetes + sepsis + fullerenol C60; MN, mononuclear.

Sinusoidal dilatation also differed significantly among groups (P=0.022), being more prominent in the DM/SEP group compared with the S group (P=0.002) and significantly lower in the FUL/C-60 group compared with the DM/SEP group (P=0.013) (Table I; Fig. 1, Fig. 2, Fig. 3 and Fig. 4).

The presence of pyknotic cells differed significantly among groups (P=0.044). Pyknotic cells were more commonly observed in the DM/SEP group compared with the S and D groups (P=0.003 and P=0.037, respectively), whereas pyknotic cells were significantly fewer in the FUL/C-60 group compared with the DM/SEP group (P=0.037) (Table I; Fig. 1, Fig. 2, Fig. 3 and Fig. 4).

The number of cells undergoing necrosis differed significantly among groups (P<0.001). More necrotic cells were observed in the DM/SEP group compared with the S and D groups (P<0.001 and P=0.004, respectively). Furthermore, the number of necrotic cells was higher in the FUL/C-60 group compared with the S group (P=0.012), but significantly lower in the FUL/C-60 group compared with the DM/SEP group (P=0.040) (Table I; Fig. 1, Fig. 2, Fig. 3 and Fig. 4).

Mononuclear (MN) cell infiltration in the parenchyma was significantly different among groups (P=0.035). MN cell infiltration was more pronounced in the DM/SEP and FUL/C-60 groups compared with the S group (P=0.004 and P=0.040, respectively) (Table I; Fig. 1, Fig. 2, Fig. 3 and Fig. 4).

Histopathological examination of heart tissue

Inflammation varied significantly among groups (P=0.036). The DM/SEP group exhibited a significantly higher degree of inflammation compared with the S group (P=0.013) (Table II; Fig. 5, Fig. 6, Fig. 7 and Fig. 8). Interstitial fibrosis differed significantly among groups (P=0.040); it was significantly greater in the DM/SEP group compared with the S and D groups (P=0.004 and P=0.012, respectively); however, it was significantly reduced in the FUL/C-60 group compared with the DM/SEP group (P=0.040) (Table II; Fig. 5, Fig. 6, Fig. 7 and Fig. 8).

Representative light microscopy of
heart tissue from the control group. H&E staining.
Magnification, x100. M, myocardium; n, nuclei; cv, cardiac blood
vessel.

Figure 5

Representative light microscopy of heart tissue from the control group. H&E staining. Magnification, x100. M, myocardium; n, nuclei; cv, cardiac blood vessel.

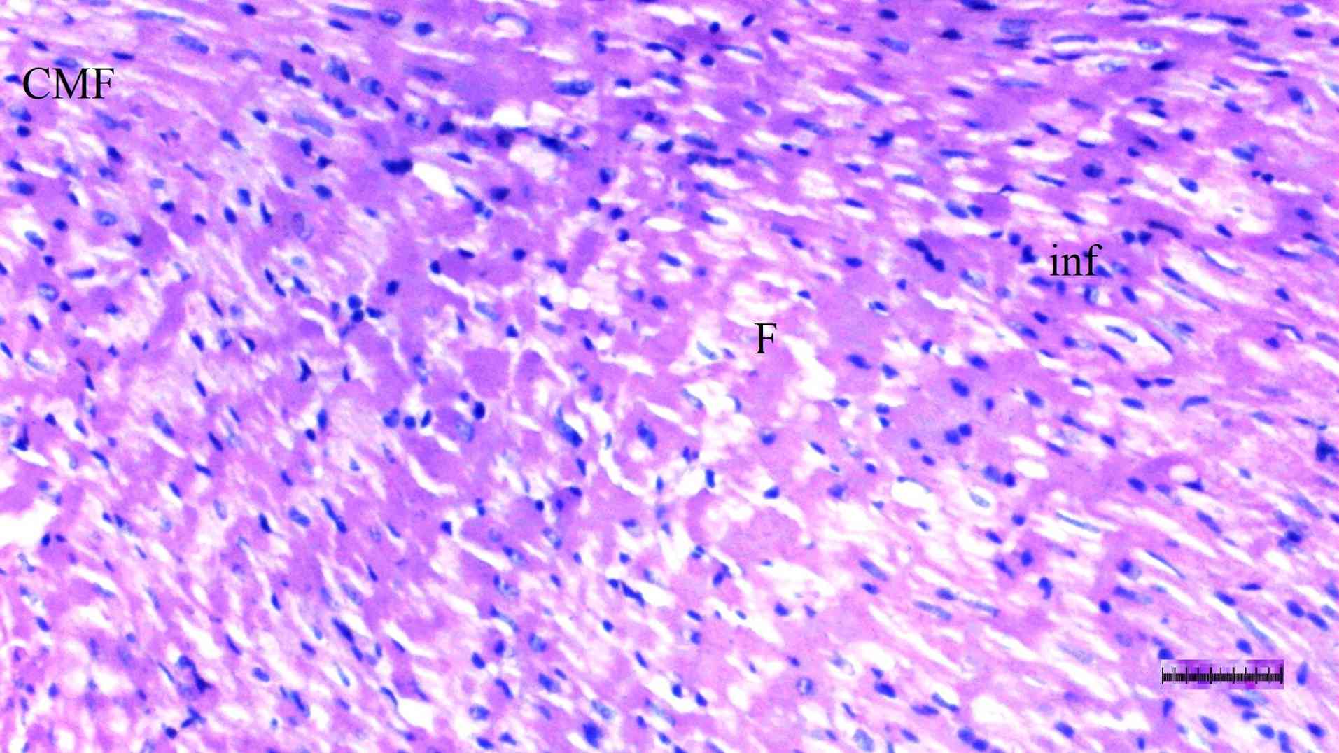
Representative light microscopy of
heart tissue from the diabetic control group. H&E staining.
Magnification, x100. CMF, cardiac muscle fibers; F, fibrosis; inf,
inflammation.

Figure 6

Representative light microscopy of heart tissue from the diabetic control group. H&E staining. Magnification, x100. CMF, cardiac muscle fibers; F, fibrosis; inf, inflammation.

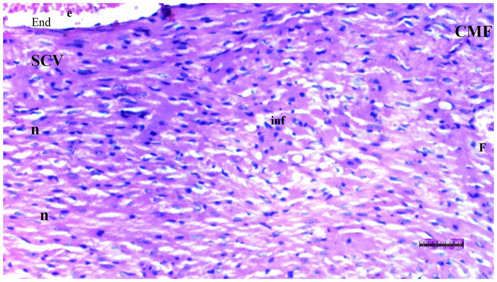
Representative light microscopy of
heart tissue from the diabetes + sepsis group. H&E staining.
Magnification, x100. CMF, cardiac muscle fibers; F, fibrosis; inf,
inflammation; e, erythrocyte; End, endothelium.

Figure 7

Representative light microscopy of heart tissue from the diabetes + sepsis group. H&E staining. Magnification, x100. CMF, cardiac muscle fibers; F, fibrosis; inf, inflammation; e, erythrocyte; End, endothelium.

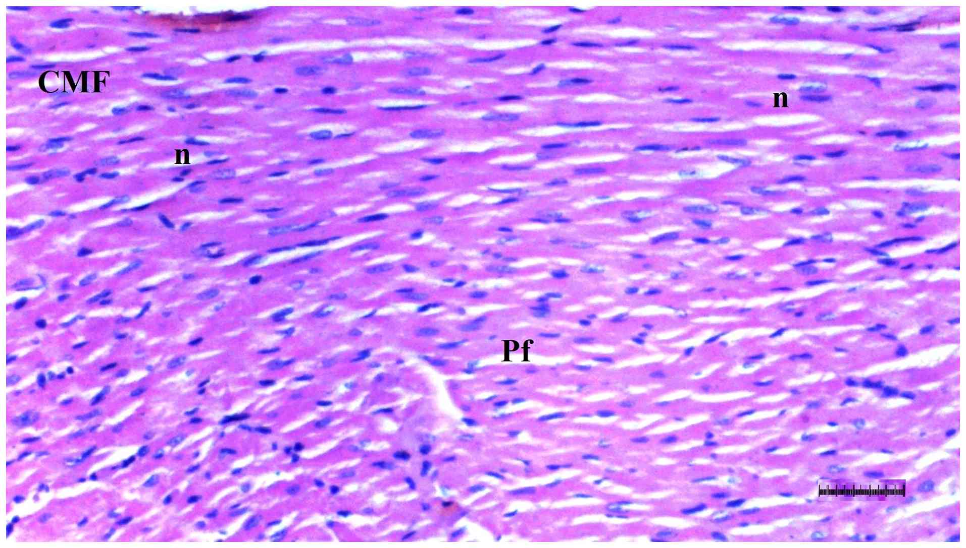
Representative light microscopy of
heart tissue from the diabetes + sepsis + fullerenol C60
group. H&E staining. Magnification, x100. CMF, cardiac muscle
fibers; Pf, Purkinje muscle fibers; n, nuclei.

Figure 8

Representative light microscopy of heart tissue from the diabetes + sepsis + fullerenol C60 group. H&E staining. Magnification, x100. CMF, cardiac muscle fibers; Pf, Purkinje muscle fibers; n, nuclei.

Table II

Histopathological findings of the S group (n=6), D group (n=8), DM/SEP group (n=8) and FUL/C-60 group (n=8) in heart tissue.

Table II

Histopathological findings of the S group (n=6), D group (n=8), DM/SEP group (n=8) and FUL/C-60 group (n=8) in heart tissue.

FeatureS groupD groupDM/SEPFUL/C-60P-value
Inflammation0.00 (0.00-0.25)0.50 (0.00-1.00)1.00 (1.00-1.00)a0.50 (0.00-1.00)0.036
Myocardial disorganization0.50 (0.00-1.00)1.00 (0.75-1.00)1.00 (1.00-2.00)1.00 (0.75-1.00)0.068
Interstitial fibrosis0.00 (0.00-1.00)0.50 (0.00-1.00)1.00 (1.00-2.00)a,b0.50 (0.00-1.00)c0.040

[i] All values are presented as the median (IQR). P-values were determined by Kruskal-Wallis tests followed by Dunn's post hoc test (P<0.05).

[ii] aP<0.05 compared with the S group,

[iii] bP<0.05 compared with the D group and

[iv] cP<0.05 compared with the DM/SEP group. S, control; D, diabetic control; DM/SEP, diabetes + sepsis; FUL/C-60, diabetes + sepsis + fullerenol C60.

Histopathological examination of brain tissue

An increase in cellularity (macrophages and astrocytes) was found to be significantly different among groups (P=0.014). The DM/SEP group showed a greater cellularity compared with the S and D groups (P<0.001 and P=0.003, respectively), while the FUL/C-60 group exhibited significantly lower cellularity (macrophages and astrocytes) compared with the DM/SEP group (P=0.034) (Table III; Fig. 9, Fig. 10, Fig. 11 and Fig. 12). Inflammation, both macrophagic and astroglial, was significantly different among groups (P=0.036), being significantly more pronounced in the DM/SEP group compared with the S group (P=0.003).

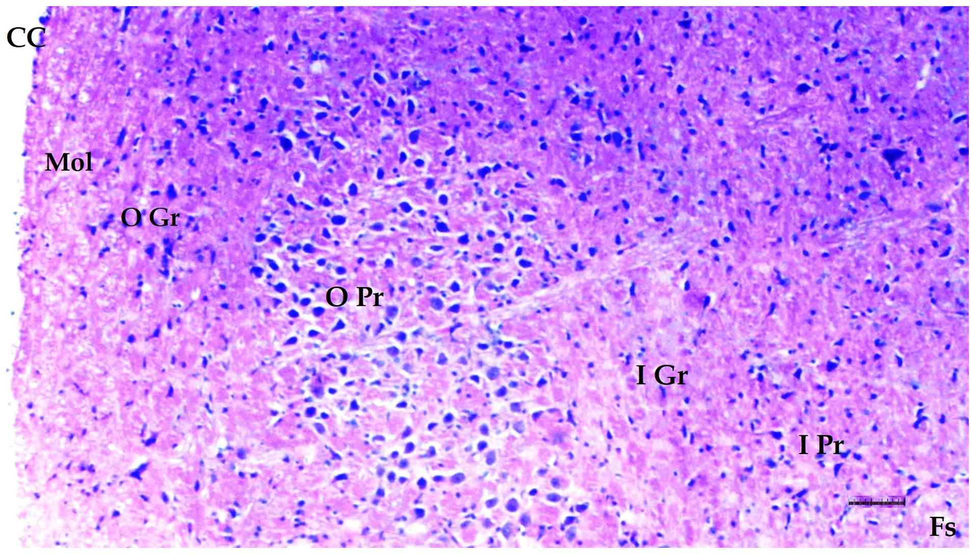
Representative light microscopy of
brain tissue from the control group. H&E staining.
Magnification, x40. CC, cerebral cortex; Mol, molecular layer; O
Gr, outer granular layer; O Pr, outer pyramidal layer; I Gr, inner
granular layer; I Pr, inner pyramidal layer; Fs, fusiform
layer.

Figure 9

Representative light microscopy of brain tissue from the control group. H&E staining. Magnification, x40. CC, cerebral cortex; Mol, molecular layer; O Gr, outer granular layer; O Pr, outer pyramidal layer; I Gr, inner granular layer; I Pr, inner pyramidal layer; Fs, fusiform layer.

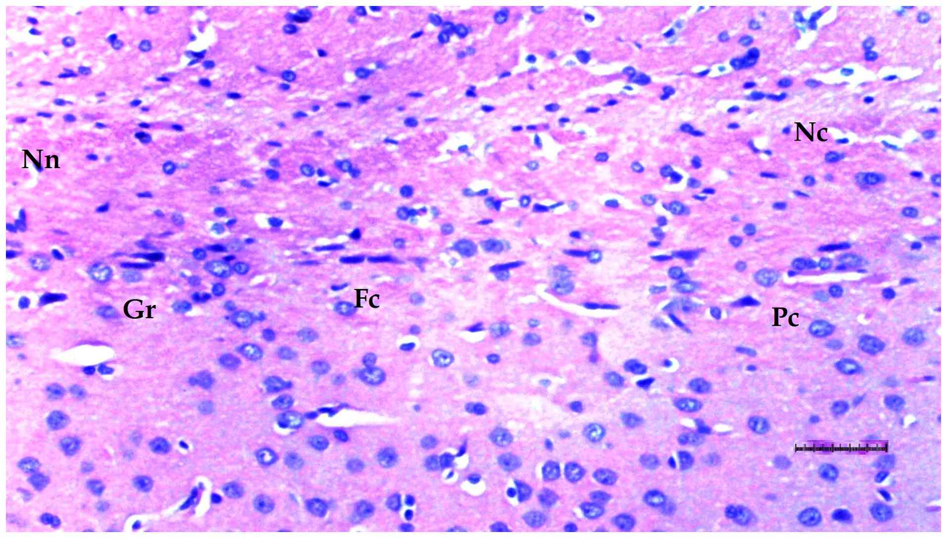
Representative light microscopy of
brain tissue from the diabetic control group. H&E staining.
Magnification, x100. Nc, neuroglial cells; Nn, neuroglia nuclei;
Fc, fusiform cells; Pc, pyramidal cells; Gr, granular layer.

Figure 10

Representative light microscopy of brain tissue from the diabetic control group. H&E staining. Magnification, x100. Nc, neuroglial cells; Nn, neuroglia nuclei; Fc, fusiform cells; Pc, pyramidal cells; Gr, granular layer.

Representative light microscopy of
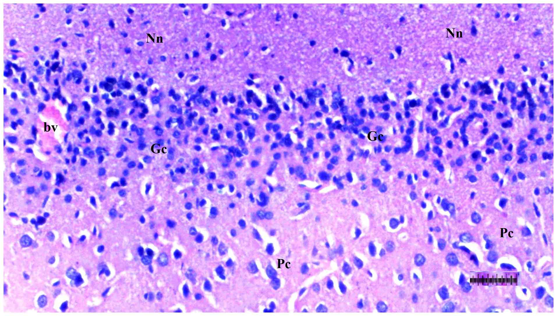
brain tissue from the diabetes + sepsis group. H&E staining.
Magnification, x100. Nn, neuroglia nuclei; Gc, fusiform cells; Pc,
pyramidal cells; bv, blood vessels.

Figure 11

Representative light microscopy of brain tissue from the diabetes + sepsis group. H&E staining. Magnification, x100. Nn, neuroglia nuclei; Gc, fusiform cells; Pc, pyramidal cells; bv, blood vessels.

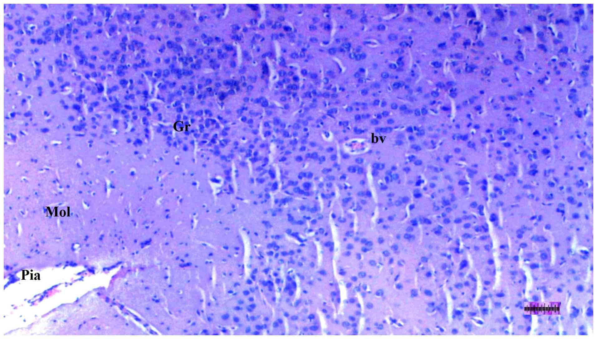
Representative light microscopy of
brain tissue from the diabetes + sepsis + fullerenol C60
group. H&E staining. Magnification, x40. Mol, molecular layer;
Gr, granular layer; Pia, pia matter; bv, blood vessels.

Figure 12

Representative light microscopy of brain tissue from the diabetes + sepsis + fullerenol C60 group. H&E staining. Magnification, x40. Mol, molecular layer; Gr, granular layer; Pia, pia matter; bv, blood vessels.

Table III

Histopathological findings of the S group (n=6), D group (n=8), DM/SEP group (n=8) and FUL/C-60 group (n=8) in in brain-cerebellar tissue.

Table III

Histopathological findings of the S group (n=6), D group (n=8), DM/SEP group (n=8) and FUL/C-60 group (n=8) in in brain-cerebellar tissue.

FeatureS groupD groupDM/SEPFUL/C-60P-value
Ischemic neuronal change (cortex/medulla)0.00 (0.00-0.25)0.00 (0.00-1.00)0.50 (0.00-1.25)0.00 (0.00-1.00)0.614
Increased cellularity (macrophages and astrocytes)0.00 (0.00-1.00)0.50 (0.00-1.00)1.50 (1.00-2.00)a,b1.00 (0.00-1.00)c0.014
Focal necrosis0.00 (0.00-1.00)0.00 (0.00-1.00)0.50 (0.00-1.25)0.50 (0.00-1.00)0.819
Inflammation (macrophagic and astroglial)0.00 (0.00-0.25)0.50 (0.00-1.00)1.00 (1.00-1.00)a0.50 (0.00-1.00)0.036

[i] All values are presented as the median (IQR). P-values were determined by Kruskal-Wallis tests followed by Dunn's post hoc test (P<0.05).

[ii] aP<0.05 compared with the S group,

[iii] bP<0.05 compared with the D group and

[iv] cP<0.05 compared with the DM/SEP group. S, control; D, diabetic control; DM/SEP, diabetes + sepsis; FUL/C-60, diabetes + sepsis + fullerenol C60.

Liver tissue oxidant status parameter assessment

When liver tissue was compared in terms of TBARS levels, a significant difference was observed among groups (P<0.001). TBARS levels were significantly higher in all groups compared with the S group (all P<0.001) and in the DM/SEP and FUL/C-60 groups compared with the D group (P<0.001 and P=0.002, respectively). These levels were significantly lower in the FUL/C-60 group compared with the DM/SEP group (P<0.001) (Table IV).

Table IV

Oxidative status parameters of the S group (n=6), D group (n=8), DM/SEP group (n=8) and FUL/C-60 group (n=8) in liver tissue.

Table IV

Oxidative status parameters of the S group (n=6), D group (n=8), DM/SEP group (n=8) and FUL/C-60 group (n=8) in liver tissue.

ParameterS groupD groupDM/SEPFUL/C-60P-value
TBARS, nmol/mg1.20±0.08 2.02±0.09a 4.71±0.39a,b 2.63±0.44a,b,c<0.001
CAT, IU/mg422.88±38.12 312.88±106.76a 98.28±9.17a,b 175.70±29.62a,b,c<0.001

[i] All values are presented as the mean ± SD. P-values were determined by ANOVA tests followed by Tukey's post hoc test (P<0.05).

[ii] aP<0.05 compared with the S group,

[iii] bP<0.05 compared with the D group and

[iv] cP<0.05 compared with the DM/SEP group. S, control; D, diabetic control; DM/SEP, diabetes + sepsis; FUL/C-60, diabetes + sepsis + fullerenol C60; TBARS, thiobarbituric acid reactive substance; CAT, catalase.

With regard to CAT enzyme activity in liver tissue, a significant difference was observed among groups (P<0.001). CAT enzyme activity was significantly lower in all experimental groups compared with the S group (P=0.004, P<0.001, and P<0.001, respectively) and in the DM/SEP and FUL/C-60 groups compared with the D group (both P<0.001). CAT activity was significantly higher in the FUL/C-60 group compared with the DM/SEP group (P=0.034) (Table IV).

Brain tissue oxidant status parameter assessment

When brain tissue was compared in terms of TBARS levels, a significant difference was identified (P<0.001). TBARS levels were significantly higher in all groups compared with the S group (all, P<0.001). In addition, TBARS levels were significantly higher in the DM/SEP group compared with the D group (P<0.001) and significantly lower in the FUL/C-60 group compared with the DM/SEP group (P<0.001) (Table V). With regard to CAT enzyme activity in brain tissue, a significant difference was observed among groups (P<0.001). Levels were significantly lower in the DM/SEP and FUL/C-60 groups compared with the D group (both, P<0.001) and significantly higher in the FUL/C-60 group compared with the DM/SEP group (P=0.009; Table V).

Table V

Oxidative status parameters of the S group (n=6), D group (n=8), DM/SEP group (n=8) and FUL/C-60 group (n=8) in brain tissue.

Table V

Oxidative status parameters of the S group (n=6), D group (n=8), DM/SEP group (n=8) and FUL/C-60 group (n=8) in brain tissue.

ParameterS groupD groupDM/SEPFUL/C-60P-value
TBARS, nmol/mg1.57±0.30 2.41±0.28a 4.29±0.38a,b 2.67±0.37a,b,c<0.001
CAT, IU/mg403.28±35.09 278.28±61.88a 91.25±13.36a,b 156.75±30.60a,b,c<0.001

[i] All values are presented as the mean ± SD. P-values were determined by ANOVA tests followed by Tukey's post hoc test (P<0.05).

[ii] aP<0.05 compared with the S group,

[iii] bP<0.05 compared with the D group and

[iv] cP<0.05 compared with the DM/SEP group. S, control; D, diabetic control; DM/SEP, diabetes + sepsis; FUL/C-60, diabetes + sepsis + fullerenol C60; TBARS, thiobarbituric acid reactive substance; CAT, catalase.

Serum AST, ALT, GGT, total bilirubin, direct bilirubin and albumin results

Serum AST, ALT, total bilirubin, direct bilirubin and albumin levels differed significantly among groups (all P<0.001; Table VI). AST and ALT levels were significantly elevated in the DM/SEP and FUL/C-60 groups compared with the S (all P<0.001) and D groups (all P<0.001). Levels were significantly lower in the FUL/C-60 group compared with the DM/SEP group (both P<0.001) (Table VI). GGT levels were significantly higher in the DM/SEP and FUL/C-60 groups compared with the S group (P<0.001 and P=0.004, respectively) and the D group (P<0.001 and P=0.032, respectively). Levels were significantly lower in the FUL/C-60 group compared with the DM/SEP group (P=0.008) (Table VI). Total and direct bilirubin levels were significantly higher in the DM/SEP and FUL/C-60 groups compared with the S group (all P<0.001) but significantly lower in the FUL/C-60 group compared with the DM/SEP group (both P<0.001) (Table VI). Albumin levels were significantly lower in the DM/SEP and FUL/C-60 groups compared with the S group (P<0.001 and P=0.005, respectively) and the D group (P=0.004) (Table VI).

Table VI

Serum levels of AST, ALT, GGT, bilirubin and albumin in the S group (n=6), D group (n=8), DM/SEP group (n=8) and FUL/C-60 group (n=8).

Table VI

Serum levels of AST, ALT, GGT, bilirubin and albumin in the S group (n=6), D group (n=8), DM/SEP group (n=8) and FUL/C-60 group (n=8).

ParameterS groupD groupDM/SEPFUL/C-60P-value
AST, IU/l141.17±8.90171.00±25.04 1,944.50±313.69a,b 1,133.17±34.36a,b,c<0.001
ALT, IU/l65.33±13.8766.83±12.92 305.83±55.28a,b 210.66±44.98a,b,c<0.001
GGT, U/l6.50±0.557.67±1.63 14.50±2.88a,b 10.67±3.01a,b,c<0.001
Total bilirubin, mg/dl0.11±0.010.12±0.03 0.34±0.09a,b 0.14±0.04c<0.001
Direct bilirubin, mg/dl0.10±0.000.12±0.04 0.29±0.09a,b 0.12±0.03c<0.001
Albumin, g/dl3.80±0.413.53±0.49 2.85±0.22a,b 3.15±0.24a<0.001

[i] All values are presented as the mean ± SD. P-values were determined by ANOVA tests followed by Tukey's post hoc test (P<0.05).

[ii] aP<0.05 compared with the S group,

[iii] bP<0.05 compared with the D group and

[iv] cP<0.05 compared with the DM/SEP group. S, control; D, diabetic control; DM/SEP, diabetes + sepsis; FUL/C-60, diabetes + sepsis + fullerenol C60; AST, aspartate aminotransferase; ALT, alanine aminotransferase.

Discussion

In the present study, the histopathological and biochemical effects of fullerenol C60 on sepsis-induced multiple organ failure were evaluated in a diabetic rat model of sepsis. The findings obtained through light microscopy and biochemical analyses demonstrated that pathological alterations triggered by sepsis were markedly increased, particularly in the liver, heart and brain tissues and that the administration of fullerenol C60 significantly attenuated these changes.

A number of antioxidant agents have been investigated in diabetic or septic models with varying degrees of success, including melatonin. Taher et al (34) reported that high-dose melatonin (50 mg for 5 consecutive nights) administered to patients with early septic shock was associated with a reduction in the Sequential Organ Failure Assessment (SOFA) score (11), a commonly used measure of organ dysfunction severity in critically ill patients, with higher scores being associated with increased mortality. Compared with placebo, melatonin treatment also resulted in a greater proportion of patients achieving SOFA scores ≤6 by day 28, along with markedly increased ventilator-free and vasopressor-free days, suggesting a potential role for melatonin as an adjunctive therapy in septic shock.

Rosengrave et al (35) evaluated the effects of intravenous vitamin C (25 mg/kg every 6 h for up to 96 h) on vasopressor requirements in 40 patients with septic shock. The study found no significant differences between the vitamin C and placebo groups in terms of vasopressor dose or duration, SOFA score, intensive care unit or hospital length of stay, or mortality, and stated that further studies are needed in this area. In their study evaluating the effects of curcumin supplementation (1,000 mg daily for 12 weeks) on psychological status and markers of inflammation and oxidative stress in patients with type 2 diabetes and coronary heart disease, Shafabakhsh et al (36) observed that curcumin intake markedly improved sleep quality and reduced oxidative damage, with a decrease in malondialdehyde levels and an increase in total antioxidant capacity and glutathione levels. These findings demonstrated that curcumin provides systemic antioxidant and anti-inflammatory benefits in patients with diabetes and cardiovascular disease. In line with the literature, the present results showed that fullerenol C60, reported to possess potent free radical scavenging and antioxidant properties (37), significantly reduced TBARS levels in liver and brain tissues and increased CAT activity. Although oxidative stress markers (TBARS and CAT) were evaluated only in liver and brain tissues, not in cardiac tissue, in the present study, significant histopathological improvement was observed in the liver, brain and heart.

Fullerenol C60, reported to possess potent antioxidant and free radical scavenging properties (37), can readily react with radical species through conjugated carbon-carbon double bonds, neutralizing oxygen-free radicals and mimicking superoxide dismutase (SOD) activity. The transcription factor nuclear factor erythroid 2 p45-associated factors 2 (Nrf2), regulates the endogenous antioxidant response pathway by binding to antioxidant response elements (AREs) in the promoter regions of antioxidants. Nrf2 regulates glutathione (GSH) recycling by controlling the expression of γ-GCL, a key enzyme in GSH biosynthesis. The matrix GSH redox cycle, coordinated with SOD-mediated clearance of superoxide anion, is key in preventing excessive ROS accumulation in the mitochondria. C60 has also been shown to modulate the activity and expression of antioxidant enzymes such as SOD and GSH through Nrf2/ARE-dependent pathways (37).

Sepsis is a major contributor to multiple organ failure, particularly through structural and functional impairments in the liver. Systemic inflammatory response-induced hypoperfusion and impaired oxygenation result in mitochondrial dysfunction and cellular injury in hepatocytes (38). This process increases ROS, which, in turn, leads to an increase in oxidative stress. Increased oxidative stress leads to lipid peroxidation in hepatocyte membranes, accelerating the hepatocyte injury and cell death. These alterations impair hepatic detoxification and bile excretory function, potentially leading to cholestasis and elevated bilirubin levels (38,39).

Furthermore, under the influence of pro-inflammatory cytokines, such as TNF-α, interleukin (IL)-1β and IL-6, hepatic microcirculation is disrupted, leading to a marked increase in hepatic enzyme levels. Consequently, sepsis-related liver dysfunction exacerbates disease severity and worsens prognosis (39). In addition, the systemic inflammatory response may induce notable dysfunction in the cardiovascular system. Increased vasodilation and capillary permeability lead to hypotension and impaired tissue perfusion. Mitochondrial dysfunction and cellular damage in cardiomyocytes, driven by inflammatory mediators, result in myocardial depression and reduced cardiac output. In addition, endothelial dysfunction and coagulopathy impair microcirculation by increasing vascular permeability and promoting microthrombus formation, thereby reducing capillary blood flow and leading to tissue hypoperfusion. These mechanisms form the basis of the high mortality rates associated with cardiovascular complications in sepsis (40).

Furthermore, sepsis can affect the central nervous system and lead to the development of sepsis-associated encephalopathy, a marked neurological complication that contributes to increased morbidity and mortality. Systemic inflammatory response and cerebral hypoperfusion induce metabolic stress in neurons, characterized by mitochondrial dysfunction and reduced ATP levels. During this pathophysiological process, excessive ROS production triggers oxidative damage, leading to lipid peroxidation, protein denaturation and disruption of DNA integrity. Furthermore, increased blood-brain barrier permeability facilitates the passage of peripheral pro-inflammatory cytokines, such as TNF-α, interleukin (IL)-1β and IL-6, into the brain parenchyma, enhancing glial activation and amplifying the neuroinflammatory response (15). Consequently, neuronal dysfunction and cellular injury provide the groundwork for a clinical setting characterized by cognitive impairment, confusion and decreased levels of consciousness.

In the present study, histopathological findings in line with those reported by Elshater et al (41) were observed. This study investigated the effects of fullerenes on the liver in rats. In particular, the notably increased level of hydropic degeneration, sinusoidal dilatation, pyknotic cells and necrotic cells in the DM/SEP group reflected the extent of liver damage induced by sepsis in diabetic rats. Sepsis-induced oxidative stress leads to the generation of free radicals that disrupt cellular functions and contribute to cell death. The reduction of these pathological changes in the FUL/C-60 group highlights the ability of fullerenol C60 to counteract free radical-induced cellular damage through its antioxidant properties.

The effect of fullerenol C60 on hepatic oxidative stress was also evident in the present biochemical analyses. TBARS levels, an indicator of lipid peroxidation and oxidative stress, are of particular importance. In the present study, findings similar to those in previous work by Kubat et al (29) were observed, a study in which the impact of fullerenol C60 on TBARS levels in kidney and lung tissues was reported. Similarly, Yavuz et al (28) demonstrated marked changes in TBARS levels associated with the effect of fullerenol C60 on the liver. In the present study, the significantly elevated TBARS levels in the DM/SEP group reflected the oxidative stress caused by sepsis, while the reduction of this parameter in the FUL/C-60 group suggested that fullerenol C60 mitigated lipid peroxidation and limited oxidative tissue damage. Furthermore, the increase in CAT enzyme activity indicated the potential of fullerenol C60 to support endogenous antioxidant defense mechanisms. This finding implied that fullerenol C60 modulated endogenous antioxidant enzyme activity and reduced the impact of free radicals.

As previously reported (41-46), the beneficial effects of fullerenes on the liver are well established. In the present study, significantly elevated levels of liver injury markers such as AST, ALT, GGT and bilirubin in the DM/SEP group indicated hepatic damage and leakage of intracellular enzymes into serum due to sepsis. However, the reduction in these enzyme levels in the FUL/C-60 group suggested that fullerenol C60 may exert hepatoprotective effects by maintaining hepatocyte stability and limiting enzyme release, findings that align with previous studies (41-46). This also indicates the potential anti-inflammatory properties of fullerenol C60, as suppression of sepsis-related inflammatory processes is key in preventing multiple organ failure.

Sepsis not only affects the liver but also negatively impacts cardiac tissue. In the present study, cardiac oxidative stress markers (such as TBARS and CAT) and inflammatory mediators were not assessed in heart tissue. However, histopathological findings showed that myocardial disorganization and interstitial fibrosis were more pronounced in the DM/SEP group compared with the other groups, indicating the detrimental cardiac effects of sepsis in patients with diabetic. Sepsis triggers a complex interplay of immune activation, oxidative stress, mitochondrial failure and cardiomyocyte apoptosis, resulting in myocardial disorganization and disruption of cardiomyocyte architecture and functional impairment. By contrast, interstitial fibrosis stiffens the tissue, thereby compromising cardiac performance (47). Similar to the findings of Injac et al (42), the present study showed a decrease in pathological changes in heart tissue in the FUL/C-60 group, suggesting that fullerenol C60 exhibited cardioprotective effects and alleviated sepsis-induced cardiotoxicity. The antioxidant and anti-inflammatory actions of fullerenol C60 may represent the underlying mechanisms of this protective effect.

Carbon-based antioxidants with neuroprotective and neuroregenerative properties may help limit the effects of sepsis on the brain (48,49). In parallel with our previous study, which showed the effects of fullerenol C60 on kidney and lung tissues (29), the changes observed in the levels of TBARS and CAT enzymes, indicators of oxidative stress processes in brain tissue and histopathological findings also support the neuroprotective effect of fullerenol C60. The elevated TBARS level observed in the brain tissue of the DM/SEP group indicated that oxidative stress triggered neurodegenerative processes. However, the reduction in TBARS levels in the FUL/C-60 group suggested that fullerenol C60 attenuated free radical-induced damage. In addition, the increase in CAT enzyme activity indicated the potential of fullerenol C60 to support antioxidant defense mechanisms in the brain.

Based on the findings of the present study, fullerenol C60 may be considered a potential prophylactic agent for preventing sepsis-induced organ tissue damage in diabetic rats. Given its ability to suppress sepsis-induced oxidative stress and inflammation, thereby reducing multiple organ failure, further experimental research is needed to determine its therapeutic efficacy and safety, supporting the clinical application of fullerenol C60.

However, the present study exhibits certain limitations. Markers of oxidative stress in the heart, systemic inflammatory markers (including cytokines) and the molecular mechanisms of action of fullerenol C60 were not studied. In the present study, based on previous research, fullerenol C60 was administered as a single dose. Samples were taken from rats 24 h after laparotomy, therefore the long-term effects of fullerenol C60 were not studied. Further research is required to understand the effects and mechanisms of action on dose-dependent response. Another limitation of the present study is the absence of a non-diabetic sepsis (CLP-only) group. Inclusion of such a group would have allowed more precise differentiation between the effects of diabetes and sepsis on organ injury and oxidative stress parameters. Due to ethical restrictions on the maximum number of animals permitted, the present experimental design focused primarily on the diabetic sepsis model. Future studies incorporating both diabetic and non-diabetic sepsis groups are warranted to further clarify the interaction between diabetes and sepsis in the context of fullerenol C60 treatment.

In conclusion, histopathologically, the present study found that fullerenol C60 reduced oxidative stress and inflammation in a streptozotocin-induced diabetic rat sepsis model, thereby reducing sepsis-induced damage in liver, heart and brain tissues. The structural and biochemical improvements observed in liver, heart and brain tissues in the present study suggested that fullerenol C60, with its antioxidant and anti-inflammatory properties, may be beneficial in the preventive treatment of multiple organ failure in sepsis. The precise molecular mechanisms underlying these protective effects of fullerenol C60 were not directly investigated in the present study. Future studies incorporating molecular analyses such as the evaluation of Nrf2/ARE pathway activation, NF-κB signaling modulation, mitochondrial function markers and apoptosis-related proteins will therefore contribute to an improved understanding of the safety and therapeutic efficacy fullerenol C60 and its organ-protective effects in diabetic sepsis, as well as provide a promising basis for new approaches to sepsis treatment in the diabetic population.

Acknowledgements

Not applicable.

Funding

Funding: No funding was received.

Availability of data and materials

The data generated in the present study may be requested from the corresponding author.

Authors' contributions

MAr, ÖK, KD, NŞ, LF and HB conceived and designed the study, and contributed to data analysis and interpretation. ÖK, HB and KD performed the experimental procedures. MK, FE, MAt and ŞS conducted the biochemical and histopathological analyses. ÖK and FE collected the samples. AB and IG contributed to data analysis and interpretation, and participated in the evaluation of the findings. AB, IG, KD, ÖK and MK confirm the authenticity of all the raw data. ÖK, MK, NŞ, LF, AB, IG, MAr, and ŞS critically revised the manuscript for important intellectual content. All authors have read and approved the final version of the manuscript, and agree to be accountable for all aspects of the work.

Ethics approval and consent to participate

Ethical approval for the present study was obtained from The Animal Research Committee of Gazi University (Ankara, Turkey; approval no. G.Ü.ET-24-046).

Patient consent for publication

Not applicable.

Competing interests

The authors declare that they have no competing interests.

References

1 

Afreen S, Muthoosamy K, Manickam S and Hashim U: Functionalized fullerene (C60) as a potential nanomediator in the fabrication of highly sensitive biosensors. Biosens Bioelectron. 63:354–364. 2015.PubMed/NCBI View Article : Google Scholar

2 

Díez-Pascual AM: Carbon-based nanomaterials. Int J Mol Sci. 22(7726)2021.PubMed/NCBI View Article : Google Scholar

3 

Bakry R, Vallant RM, Najam-ul-Haq M, Rainer M, Szabo Z, Huck CW and Bonn GK: Medicinal applications of fullerenes. Int J Nanomedicine. 2:639–649. 2007.PubMed/NCBI

4 

Anilkumar P, Lu F, Cao L, Luo PG, Liu JH, Sahu S, Tackett KN, Wang Y and Sun YP: Fullerenes for applications in biology and medicine. Curr Med Chem. 18:2045–2059. 2011.PubMed/NCBI View Article : Google Scholar

5 

Bogdanović G and Djordjević A: Carbon nanomaterials: Biologically active fullerene derivatives. Srp Arh Celok Lek. 144:222–231. 2016.PubMed/NCBI

6 

Nakamura S and Mashino T: Water-soluble fullerene derivatives for drug discovery. J Nippon Med Sch. 79:248–254. 2012.PubMed/NCBI View Article : Google Scholar

7 

Biswas R, Batista Da Rocha C, Bennick RA and Zhang J: Water-soluble fullerene monoderivatives for biomedical applications. Chem Med Chem. 18(e202300296)2023.PubMed/NCBI View Article : Google Scholar

8 

Dejager L, Pinheiro I, Dejonckheere E and Libert C: Cecal ligation and puncture: The gold standard model for polymicrobial sepsis? Trends Microbiol. 19:198–208. 2011.PubMed/NCBI View Article : Google Scholar

9 

Drechsler S and Osuchowski M: Cecal ligation and puncture. Methods Mol Biol. 2321:1–8. 2021.PubMed/NCBI View Article : Google Scholar

10 

Cecconi M, Evans L, Levy M and Rhodes A: sepsis and septic shock. Lancet. 392:75–87. 2018.PubMed/NCBI View Article : Google Scholar

11 

Singer M, Deutschman CS, Seymour CW, Shankar-Hari M, Annane D, Bauer M, Bellomo R, Bernard GR, Chiche JD, Coopersmith CM, et al: The third international consensus definitions for sepsis and septic shock (Sepsis-3). JAMA. 315:801–810. 2016.PubMed/NCBI View Article : Google Scholar

12 

Krzyżaniak K, Szymczyk A, Wściślak A, Szczygieł N, Zembrzuska S, Abramczyk-Suszek A, Krion R, Remisiewicz M and Siemiński M: Prevalence, symptoms, risk factors and impact of sepsis-associated encephalopathy in emergency department patients: A case-control study. BMC Emerg Med. 25(262)2025.PubMed/NCBI View Article : Google Scholar

13 

Gauer R, Forbes D and Boyer N: Sepsis: Diagnosis and management. Am Fam Physician. 101:409–418. 2020.PubMed/NCBI

14 

Baddam S and Burns B: Systemic inflammatory response syndrome. StatPearls [Internet] Treasure Island (FL): StatPearls Publishing, 2025.

15 

Pan S, Lv Z, Wang R, Shu H, Yuan S, Yu Y and Shang Y: Sepsis-induced brain dysfunction: Pathogenesis, diagnosis, and treatment. Oxid Med Cell Longev. 2022(1328729)2022.PubMed/NCBI View Article : Google Scholar

16 

Beyer D, Hoff J, Sommerfeld O, Zipprich A, Gaßler N and Press AT: The liver in sepsis: Molecular mechanism of liver failure and their potential for clinical translation. Mol Med. 28(84)2022.PubMed/NCBI View Article : Google Scholar

17 

Trevelin SC, Carlos D, Beretta M, da Silva JS and Cunha FQ: Diabetes mellitus and sepsis: A challenging association. Shock. 47:276–287. 2017.PubMed/NCBI View Article : Google Scholar

18 

Guariguata L, Whiting DR, Hambleton I, Beagley J, Linnenkamp U and Shaw JE: Global estimates of diabetes prevalence for 2013 and projections for 2035. Diabetes Res Clin Pract. 103:137–149. 2014.PubMed/NCBI View Article : Google Scholar

19 

Dilworth L, Stennett D, Facey A, Omoruyi F, Mohansingh S and Omoruyi FO: Diabetes and the associated complications: The role of antioxidants in diabetes therapy and care. Biomed Pharmacother. 181(117641)2024.PubMed/NCBI View Article : Google Scholar

20 

Darenskaya MA, Kolesnikova LI and Kolesnikov SI: Oxidative stress: pathogenetic role in diabetes mellitus and ıts complications and therapeutic approaches to correction. Bull Exp Biol Med. 171:179–189. 2021.PubMed/NCBI View Article : Google Scholar

21 

Jiang H, Xia C, Lin J, Garalleh HA, Alalawi A and Pugazhendhi A: Carbon nanomaterials: A growing tool for the diagnosis and treatment of diabetes mellitus. Environ Res. 221(115250)2023.PubMed/NCBI View Article : Google Scholar

22 

Pham L, Arroum T, Wan J, Pavelich L, Bell J, Morse PT, Lee I, Grossman LI, Sanderson TH, Malek MH and Hüttemann M: Regulation of mitochondrial oxidative phosphorylation through tight control of cytochrome c oxidase in health and disease - Implications for ischemia/reperfusion injury, inflammatory diseases, diabetes, and cancer. Redox Biol. 78(103426)2024.PubMed/NCBI View Article : Google Scholar

23 

de Souza Stork S, Hübner M, Biehl E, Danielski LG, Bonfante S, Joaquim L, Denicol T, Cidreira T, Pacheco A, Bagio E, et al: Diabetes exacerbates sepsis-ınduced neuroinflammation and brain mitochondrial dysfunction. Inflammation. 45:2352–2367. 2022.PubMed/NCBI View Article : Google Scholar

24 

Üstündağ H, Doğanay S, Kalındemirtaş FD, Demir Ö, Huyut MT, Kurt N, Özgeriş FB and Akbaba Ö: A new treatment approach: Melatonin and ascorbic acid synergy shields against sepsis-induced heart and kidney damage in male rats. Life Sci. 329(121875)2023.PubMed/NCBI View Article : Google Scholar

25 

Shang Y, Hewage SM, Wijerathne CUB, Siow YL, Isaak CK and Karmin O: Kidney ischemia-reperfusion elicits acute liver injury and inflammatory response. Front Med. 7(201)2020.PubMed/NCBI View Article : Google Scholar

26 

Polat Y, Şengel N, Küçük A, Özdemir Ç, Yığman Z, Balcı AB, Ergörün Aİ, Kavutçu M and Arslan M: Effects of sevoflurane and fullerenol C60 on lower limb ischemia-reperfusion injury in streptozocin-induced diabetic mice. Sci Prog. 107(368504241239444)2024.PubMed/NCBI View Article : Google Scholar

27 

Örnek E, Alkan M, Erel S, Yığman Z, Dursun AD, Dağlı A, Sarıkaya B, Kip G, Polat Y and Arslan M: Effects of sevoflurane and fullerenol C60 on the heart and lung in lower-extremity ıschemia-reperfusion ınjury in streptozotocin-ınduced diabetes mice. Medicina (Kaunas). 60(1232)2024.PubMed/NCBI View Article : Google Scholar

28 

Yavuz A, Tuna AT, Ozdemir C, Mortas T, Küçük A, Kasapbaşı E, Arslan M, Kavutçu M and Kurtipek Ö: Effects of fullerene C60 on liver tissue in liver ischemia reperfusion injury in rats undergoing sevoflurane anesthesia. Libyan J Med. 18(2281116)2023.PubMed/NCBI View Article : Google Scholar

29 

Kubat Ö, Dіkmen K, Bostanci H, Arslan M, Er F, Kavutçu M, Sezen ŞC and Atli M: Investigating the protective effects of fullerenol-C60 on kidney and lung tissues in streptozotocin-induced diabetic rats with cecal sepsis. Sci Rep. 15(19096)2025.PubMed/NCBI View Article : Google Scholar

30 

Percie du Sert N, Hurst V, Ahluwalia A, Alam S, Avey MT, Baker M, Browne WJ, Clark A, Cuthill IC, Dirnagl U, et al: The ARRIVE guidelines 2.0: Updated guidelines for reporting animal research. Br J Pharmacol. 177:3617–3624. 2020.PubMed/NCBI View Article : Google Scholar

31 

National Research Council Committee for the Update of the Guide for the, C. and A. Use of Laboratory, The National Academies Collection: Reports funded by National Institutes of Health, in Guide for the Care and Use of Laboratory Animals. 2011, National Academies Press (US) Copyright ©. 2011, National Academy of Sciences.: Washington (DC).

32 

Arslan M, Poyraz F, Kiraz HA, Alkan M, Kip G, Erdem OA, Ozer A, Şıvgın V and Comu FM: The effect of dexmedetomidine on myocardial ischemia reperfusion injury in streptozotocin induced diabetic rats. Anaesth Pain İntensive Care. 19:444–451. 2015.

33 

Özer A, Şengel N, Küçük A, Yığman Z, Özdemir Ç, Kılıç Y, Dursun AD, Bostancı H, Kip G and Arslan M: The effect of cerium oxide (CeO2) on ıschemia-reperfusion ınjury in skeletal muscle in mice with streptozocin-ınduced diabetes. Medicina (Kaunas). 60(752)2024.PubMed/NCBI View Article : Google Scholar

34 

Taher A, Shokoohmand F, Abdoli E, Mohammadi Y and Mehrpooya M: A pilot study on the melatonin treatment in patients with early septic shock: Results of a single-center randomized controlled trial. Ir J Med Sci. 191:1913–1924. 2022.PubMed/NCBI View Article : Google Scholar

35 

Rosengrave P, Spencer E, Williman J, Mehrtens J, Morgan S, Doyle T, Van Der Heyden K, Morris A, Shaw G and Carr AC: Intravenous vitamin C administration to patients with septic shock: A pilot randomised controlled trial. Crit Care. 26(26)2022.PubMed/NCBI View Article : Google Scholar

36 

Shafabakhsh R, Mobini M, Raygan F, Aghadavod E, Ostadmohammadi V, Amirani E, Mansournia MA and Asemi Z: Curcumin administration and the effects on psychological status and markers of inflammation and oxidative damage in patients with type 2 diabetes and coronary heart disease. Clin Nutr ESPEN. 40:77–82. 2020.PubMed/NCBI View Article : Google Scholar

37 

Gonchar OO, Maznychenko AV, Klyuchko OM, Mankovska IM, Butowska K, Borowik A, Piosik J and Sokolowska I: C60 fullerene reduces 3-nitropropionic acid-ınduced oxidative stress disorders and mitochondrial dysfunction in rats by modulation of p53, Bcl-2 and Nrf2 targeted proteins. Int J Mol Sci. 22(5444)2021.PubMed/NCBI View Article : Google Scholar

38 

Kasper P, Tacke F, Steffen HM and Michels G: Hepatic dysfunction in sepsis. Med Klin Intensivmed Notfmed. 115:609–619. 2020.PubMed/NCBI View Article : Google Scholar

39 

Sun J, Zhang J, Wang X, Ji F, Ronco C, Tian J and Yin Y: Gut-liver crosstalk in sepsis-induced liver injury. Crit Care. 24(614)2020.PubMed/NCBI View Article : Google Scholar

40 

Merx MW and Weber C: Sepsis and the heart. Circulation. 116:793–802. 2007.PubMed/NCBI View Article : Google Scholar

41 

Elshater AA, Haridy MAM, Salman MMA, Fayyad AS and Hammad S: Fullerene C60 nanoparticles ameliorated cyclophosphamide-induced acute hepatotoxicity in rats. Biomed Pharmacother. 97:53–59. 2018.PubMed/NCBI View Article : Google Scholar

42 

Injac R, Perse M, Cerne M, Potocnik N, Radic N, Govedarica B, Djordjevic A, Cerar A and Strukelj B: Protective effects of fullerenol C60(OH)24 against doxorubicin-induced cardiotoxicity and hepatotoxicity in rats with colorectal cancer. Biomaterials. 30:1184–1196. 2009.PubMed/NCBI View Article : Google Scholar

43 

Kuznietsova H, Dziubenko N, Herheliuk T, Prylutskyy Y, Tauscher E, Ritter U and Scharff P: Water-soluble pristine C60 fullerene ınhibits liver alterations associated with hepatocellular carcinoma in rat. Pharmaceutics. 12(794)2020.PubMed/NCBI View Article : Google Scholar

44 

Gharbi N, Pressac M, Hadchouel M, Szwarc H, Wilson SR and Moussa F: [60]Fullerene is a powerful antioxidant in vivo with no acute or subacute toxicity. Nano Letters. 5:2578–2585. 2005.PubMed/NCBI View Article : Google Scholar

45 

Injac R, Perse M, Obermajer N, Djordjevic-Milic V, Prijatelj M, Djordjevic A, Cerar A and Strukelj B: Potential hepatoprotective effects of fullerenol C60(OH)24 in doxorubicin-induced hepatotoxicity in rats with mammary carcinomas. Biomaterials. 29:3451–3460. 2008.PubMed/NCBI View Article : Google Scholar

46 

Kuznietsova H, Lynchak O, Dziubenko N, Herheliuk T, Prylutskyy Y, Rybalchenko V and Ritter U: Water-soluble pristine C60 fullerene attenuates acetaminophen-induced liver injury. Bioimpacts. 9:227–237. 2019.PubMed/NCBI View Article : Google Scholar

47 

Lukić I, Mihić D, Varžić SC, Relatić KS, Zibar L, Loinjak D, Ćurić ŽB, Klobučar L and Maričić L: Septic cardiomyopathy. Rev Cardiovasc Med. 25(23)2024.PubMed/NCBI View Article : Google Scholar

48 

Henna TK, Raphey VR, Sankar R, Ameena Shirin VK, Gangadharappa HV and Pramod K: Carbon nanostructures: The drug and the delivery system for brain disorders. Int J Pharm. 587(119701)2020.PubMed/NCBI View Article : Google Scholar

49 

Bolshakova OI, Borisenkova AA, Golomidov IM, Komissarov AE, Slobodina AD, Ryabova EV, Ryabokon IS, Latypova EM, Slepneva EE and Sarantseva SV and Sarantseva SV: Fullerenols prevent neuron death and reduce oxidative stress in drosophila huntington's disease model. Cells. 12(170)2022.PubMed/NCBI View Article : Google Scholar

Related Articles

  • Abstract
  • View
  • Download
  • Twitter
Copy and paste a formatted citation
Spandidos Publications style
Şengel N, Kubat Ö, Farajsoylu L, Büyükkasap AÇ, Atli M, Sezen ŞC, Bostanci H, Dikmen K, Güneş I, Er F, Er F, et al: Effects of fullerenol C<sub>60</sub> on the liver, heart and brain tissues of streptozotocin‑induced diabetic rats with sepsis. Exp Ther Med 31: 135, 2026.
APA
Şengel, N., Kubat, Ö., Farajsoylu, L., Büyükkasap, A.Ç., Atli, M., Sezen, Ş.C. ... Arslan, M. (2026). Effects of fullerenol C<sub>60</sub> on the liver, heart and brain tissues of streptozotocin‑induced diabetic rats with sepsis. Experimental and Therapeutic Medicine, 31, 135. https://doi.org/10.3892/etm.2026.13130
MLA
Şengel, N., Kubat, Ö., Farajsoylu, L., Büyükkasap, A. Ç., Atli, M., Sezen, Ş. C., Bostanci, H., Dikmen, K., Güneş, I., Er, F., Kavutçu, M., Arslan, M."Effects of fullerenol C<sub>60</sub> on the liver, heart and brain tissues of streptozotocin‑induced diabetic rats with sepsis". Experimental and Therapeutic Medicine 31.5 (2026): 135.
Chicago
Şengel, N., Kubat, Ö., Farajsoylu, L., Büyükkasap, A. Ç., Atli, M., Sezen, Ş. C., Bostanci, H., Dikmen, K., Güneş, I., Er, F., Kavutçu, M., Arslan, M."Effects of fullerenol C<sub>60</sub> on the liver, heart and brain tissues of streptozotocin‑induced diabetic rats with sepsis". Experimental and Therapeutic Medicine 31, no. 5 (2026): 135. https://doi.org/10.3892/etm.2026.13130
Copy and paste a formatted citation
x
Spandidos Publications style
Şengel N, Kubat Ö, Farajsoylu L, Büyükkasap AÇ, Atli M, Sezen ŞC, Bostanci H, Dikmen K, Güneş I, Er F, Er F, et al: Effects of fullerenol C<sub>60</sub> on the liver, heart and brain tissues of streptozotocin‑induced diabetic rats with sepsis. Exp Ther Med 31: 135, 2026.
APA
Şengel, N., Kubat, Ö., Farajsoylu, L., Büyükkasap, A.Ç., Atli, M., Sezen, Ş.C. ... Arslan, M. (2026). Effects of fullerenol C<sub>60</sub> on the liver, heart and brain tissues of streptozotocin‑induced diabetic rats with sepsis. Experimental and Therapeutic Medicine, 31, 135. https://doi.org/10.3892/etm.2026.13130
MLA
Şengel, N., Kubat, Ö., Farajsoylu, L., Büyükkasap, A. Ç., Atli, M., Sezen, Ş. C., Bostanci, H., Dikmen, K., Güneş, I., Er, F., Kavutçu, M., Arslan, M."Effects of fullerenol C<sub>60</sub> on the liver, heart and brain tissues of streptozotocin‑induced diabetic rats with sepsis". Experimental and Therapeutic Medicine 31.5 (2026): 135.
Chicago
Şengel, N., Kubat, Ö., Farajsoylu, L., Büyükkasap, A. Ç., Atli, M., Sezen, Ş. C., Bostanci, H., Dikmen, K., Güneş, I., Er, F., Kavutçu, M., Arslan, M."Effects of fullerenol C<sub>60</sub> on the liver, heart and brain tissues of streptozotocin‑induced diabetic rats with sepsis". Experimental and Therapeutic Medicine 31, no. 5 (2026): 135. https://doi.org/10.3892/etm.2026.13130
Follow us
  • Twitter
  • LinkedIn
  • Facebook
About
  • Spandidos Publications
  • Careers
  • Cookie Policy
  • Privacy Policy
How can we help?
  • Help
  • Live Chat
  • Contact
  • Email to our Support Team