Spandidos Publications Logo
  • About
    • About Spandidos
    • Aims and Scopes
    • Abstracting and Indexing
    • Editorial Policies
    • Reprints and Permissions
    • Job Opportunities
    • Terms and Conditions
    • Contact
  • Journals
    • All Journals
    • Oncology Letters
      • Oncology Letters
      • Information for Authors
      • Editorial Policies
      • Editorial Board
      • Aims and Scope
      • Abstracting and Indexing
      • Bibliographic Information
      • Archive
    • International Journal of Oncology
      • International Journal of Oncology
      • Information for Authors
      • Editorial Policies
      • Editorial Board
      • Aims and Scope
      • Abstracting and Indexing
      • Bibliographic Information
      • Archive
    • Molecular and Clinical Oncology
      • Molecular and Clinical Oncology
      • Information for Authors
      • Editorial Policies
      • Editorial Board
      • Aims and Scope
      • Abstracting and Indexing
      • Bibliographic Information
      • Archive
    • Experimental and Therapeutic Medicine
      • Experimental and Therapeutic Medicine
      • Information for Authors
      • Editorial Policies
      • Editorial Board
      • Aims and Scope
      • Abstracting and Indexing
      • Bibliographic Information
      • Archive
    • International Journal of Molecular Medicine
      • International Journal of Molecular Medicine
      • Information for Authors
      • Editorial Policies
      • Editorial Board
      • Aims and Scope
      • Abstracting and Indexing
      • Bibliographic Information
      • Archive
    • Biomedical Reports
      • Biomedical Reports
      • Information for Authors
      • Editorial Policies
      • Editorial Board
      • Aims and Scope
      • Abstracting and Indexing
      • Bibliographic Information
      • Archive
    • Oncology Reports
      • Oncology Reports
      • Information for Authors
      • Editorial Policies
      • Editorial Board
      • Aims and Scope
      • Abstracting and Indexing
      • Bibliographic Information
      • Archive
    • Molecular Medicine Reports
      • Molecular Medicine Reports
      • Information for Authors
      • Editorial Policies
      • Editorial Board
      • Aims and Scope
      • Abstracting and Indexing
      • Bibliographic Information
      • Archive
    • World Academy of Sciences Journal
      • World Academy of Sciences Journal
      • Information for Authors
      • Editorial Policies
      • Editorial Board
      • Aims and Scope
      • Abstracting and Indexing
      • Bibliographic Information
      • Archive
    • International Journal of Functional Nutrition
      • International Journal of Functional Nutrition
      • Information for Authors
      • Editorial Policies
      • Editorial Board
      • Aims and Scope
      • Abstracting and Indexing
      • Bibliographic Information
      • Archive
    • International Journal of Epigenetics
      • International Journal of Epigenetics
      • Information for Authors
      • Editorial Policies
      • Editorial Board
      • Aims and Scope
      • Abstracting and Indexing
      • Bibliographic Information
      • Archive
    • Medicine International
      • Medicine International
      • Information for Authors
      • Editorial Policies
      • Editorial Board
      • Aims and Scope
      • Abstracting and Indexing
      • Bibliographic Information
      • Archive
  • Articles
  • Information
    • Information for Authors
    • Information for Reviewers
    • Information for Librarians
    • Information for Advertisers
    • Conferences
  • Language Editing
Spandidos Publications Logo
  • About
    • About Spandidos
    • Aims and Scopes
    • Abstracting and Indexing
    • Editorial Policies
    • Reprints and Permissions
    • Job Opportunities
    • Terms and Conditions
    • Contact
  • Journals
    • All Journals
    • Biomedical Reports
      • Information for Authors
      • Editorial Policies
      • Editorial Board
      • Aims and Scope
      • Abstracting and Indexing
      • Bibliographic Information
      • Archive
    • Experimental and Therapeutic Medicine
      • Information for Authors
      • Editorial Policies
      • Editorial Board
      • Aims and Scope
      • Abstracting and Indexing
      • Bibliographic Information
      • Archive
    • International Journal of Epigenetics
      • Information for Authors
      • Editorial Policies
      • Editorial Board
      • Aims and Scope
      • Abstracting and Indexing
      • Bibliographic Information
      • Archive
    • International Journal of Functional Nutrition
      • Information for Authors
      • Editorial Policies
      • Editorial Board
      • Aims and Scope
      • Abstracting and Indexing
      • Bibliographic Information
      • Archive
    • International Journal of Molecular Medicine
      • Information for Authors
      • Editorial Policies
      • Editorial Board
      • Aims and Scope
      • Abstracting and Indexing
      • Bibliographic Information
      • Archive
    • International Journal of Oncology
      • Information for Authors
      • Editorial Policies
      • Editorial Board
      • Aims and Scope
      • Abstracting and Indexing
      • Bibliographic Information
      • Archive
    • Medicine International
      • Information for Authors
      • Editorial Policies
      • Editorial Board
      • Aims and Scope
      • Abstracting and Indexing
      • Bibliographic Information
      • Archive
    • Molecular and Clinical Oncology
      • Information for Authors
      • Editorial Policies
      • Editorial Board
      • Aims and Scope
      • Abstracting and Indexing
      • Bibliographic Information
      • Archive
    • Molecular Medicine Reports
      • Information for Authors
      • Editorial Policies
      • Editorial Board
      • Aims and Scope
      • Abstracting and Indexing
      • Bibliographic Information
      • Archive
    • Oncology Letters
      • Information for Authors
      • Editorial Policies
      • Editorial Board
      • Aims and Scope
      • Abstracting and Indexing
      • Bibliographic Information
      • Archive
    • Oncology Reports
      • Information for Authors
      • Editorial Policies
      • Editorial Board
      • Aims and Scope
      • Abstracting and Indexing
      • Bibliographic Information
      • Archive
    • World Academy of Sciences Journal
      • Information for Authors
      • Editorial Policies
      • Editorial Board
      • Aims and Scope
      • Abstracting and Indexing
      • Bibliographic Information
      • Archive
  • Articles
  • Information
    • For Authors
    • For Reviewers
    • For Librarians
    • For Advertisers
    • Conferences
  • Language Editing
Login Register Submit
  • This site uses cookies
  • You can change your cookie settings at any time by following the instructions in our Cookie Policy. To find out more, you may read our Privacy Policy.

    I agree
Search articles by DOI, keyword, author or affiliation
Search
Advanced Search
presentation
Experimental and Therapeutic Medicine
Join Editorial Board Propose a Special Issue
Print ISSN: 1792-0981 Online ISSN: 1792-1015
Journal Cover
May-2026 Volume 31 Issue 5

Full Size Image

Sign up for eToc alerts
Recommend to Library

Journals

International Journal of Molecular Medicine

International Journal of Molecular Medicine

International Journal of Molecular Medicine is an international journal devoted to molecular mechanisms of human disease.

International Journal of Oncology

International Journal of Oncology

International Journal of Oncology is an international journal devoted to oncology research and cancer treatment.

Molecular Medicine Reports

Molecular Medicine Reports

Covers molecular medicine topics such as pharmacology, pathology, genetics, neuroscience, infectious diseases, molecular cardiology, and molecular surgery.

Oncology Reports

Oncology Reports

Oncology Reports is an international journal devoted to fundamental and applied research in Oncology.

Experimental and Therapeutic Medicine

Experimental and Therapeutic Medicine

Experimental and Therapeutic Medicine is an international journal devoted to laboratory and clinical medicine.

Oncology Letters

Oncology Letters

Oncology Letters is an international journal devoted to Experimental and Clinical Oncology.

Biomedical Reports

Biomedical Reports

Explores a wide range of biological and medical fields, including pharmacology, genetics, microbiology, neuroscience, and molecular cardiology.

Molecular and Clinical Oncology

Molecular and Clinical Oncology

International journal addressing all aspects of oncology research, from tumorigenesis and oncogenes to chemotherapy and metastasis.

World Academy of Sciences Journal

World Academy of Sciences Journal

Multidisciplinary open-access journal spanning biochemistry, genetics, neuroscience, environmental health, and synthetic biology.

International Journal of Functional Nutrition

International Journal of Functional Nutrition

Open-access journal combining biochemistry, pharmacology, immunology, and genetics to advance health through functional nutrition.

International Journal of Epigenetics

International Journal of Epigenetics

Publishes open-access research on using epigenetics to advance understanding and treatment of human disease.

Medicine International

Medicine International

An International Open Access Journal Devoted to General Medicine.

Journal Cover
May-2026 Volume 31 Issue 5

Full Size Image

Sign up for eToc alerts
Recommend to Library

  • Article
  • Citations
    • Cite This Article
    • Download Citation
    • Create Citation Alert
    • Remove Citation Alert
    • Cited By
  • Similar Articles
    • Related Articles (in Spandidos Publications)
    • Similar Articles (Google Scholar)
    • Similar Articles (PubMed)
  • Download PDF
  • Download XML
  • View XML
Article Open Access

Immunohistochemical evaluation of gastric‑type markers in primary extramammary Paget disease: Differential MUC5AC expression between in situ and invasive lesions

  • Authors:
    • Naoto Kohno
    • Mitsuaki Ishida
    • Shizuka Ono
    • Yoshinobu Hirose
  • View Affiliations / Copyright

    Affiliations: Department of Pathology, Osaka Medical and Pharmaceutical University, Takatsuki, Osaka 569‑8686, Japan
    Copyright: © Kohno et al. This is an open access article distributed under the terms of Creative Commons Attribution License.
  • Article Number: 138
    |
    Published online on: March 19, 2026
       https://doi.org/10.3892/etm.2026.13133
  • Expand metrics +
Metrics: Total Views: 0 (Spandidos Publications: | PMC Statistics: )
Metrics: Total PDF Downloads: 0 (Spandidos Publications: | PMC Statistics: )
Cited By (CrossRef): 0 citations Loading Articles...

This article is mentioned in:


Abstract

Primary extramammary Paget disease (EMPD) is a rare cutaneous adenocarcinoma characterised by intraepithelial proliferation of mucin‑containing carcinoma cells, with invasive carcinoma occasionally present. A characteristic immunohistochemical feature of primary EMPD is expression of MUC5AC, a gastric‑type mucin core protein; however, the expression of MUC5AC in invasive EMPD remains controversial. Furthermore, the expression of other gastric‑type markers, including hepatocyte nuclear factor 4α (HNF4α) and claudin 18, has not been fully investigated in primary EMPD. The present study aimed to clarify the expression profiles of MUC5AC in both in situ and invasive EMPD lesions, as well as to evaluate HNF4α and claudin 18 expression in primary EMPD. Consecutive patients with primary EMPD who underwent surgical resection were included. Immunohistochemical staining for MUC5AC, HNF4α and claudin 18 was performed, and the results were semi‑quantitatively assessed using a four‑tier scoring system (0, <5%; 1, 5‑25%; 2, 26‑50%; 3, >50% positive neoplastic cells) in in situ and invasive components, when present. A total of 40 patients (9 female patients and 31 male patients) were included, comprising 25 cases in situ and 15 invasive cases. MUC5AC expression was observed in 24 in situ and 14 invasive EMPD cases. No significant difference in MUC5AC expression scores in in situ lesions was observed between in situ‑only and invasive EMPD cases (P=0.35). By contrast, MUC5AC expression scores in invasive components were significantly lower than those in the corresponding in situ lesions of invasive EMPD (P=0.0015). Neither in situ nor invasive EMPD lesions showed immunoreactivity for HNF4α or claudin 18. These findings obtained from the second‑largest cohort study to date suggested that MUC5AC expression was reduced in invasive lesions. Furthermore, MUC5AC expression in EMPD was not associated with the expression of HNF4α, despite its role in inducing MUC5AC expression in normal gastric tissues.

Introduction

Extramammary Paget disease (EMPD) is a rare cutaneous adenocarcinoma characterised by predominant intraepithelial growth of carcinoma cells (1). Primary EMPD originates from skin appendages, whereas secondary EMPD represents intraepithelial involvement by an underlying adenocarcinoma, most commonly originating from the lower gastrointestinal or urinary tract (1). The most common sites of primary EMPD include the vulva, perianal region, scrotum, and penis (1,2). The characteristic histopathological features of this rare carcinoma include intraepithelial proliferation of neoplastic cells with abundant amphophilic cytoplasm, mucin, and vesicular nuclei with prominent nucleoli, known as Paget cells. These cells appear as solitary cells, solid nests, or occasionally glandular structures, and may involve hair follicles and eccrine ducts (1). The origin of primary EMPD remains controversial, as this adenocarcinoma is hypothesised to arise from pluripotent germinative cells within the epidermis or skin adnexa. Alternatively, Toker cells, mammary gland-related intraepithelial cells present in the epithelium of the normal external genital region, have been proposed as a potential cell of origin (3-5).

The hallmark immunohistochemical characteristic of primary EMPD is positive immunoreactivity for MUC5AC (6-10), a gastric-type mucin core protein (10,11). MUC5AC is expressed in normal mucous cells of the surface foveolar epithelium of the stomach but not in the pyloric and fundic glands (11,12). MUC5AC expression has been reported in several types of carcinomas, including gastric, lung, and pancreatobiliary carcinomas (11). Its expression has also been described in non-digestive system carcinomas, such as primary EMPD and endocervical adenocarcinoma (6-10,13). However, whether MUC5AC expression correlates with the invasiveness of EMPD remains controversial. Two studies reported higher MUC5AC expression in in situ lesions than in invasive lesions (6,9), whereas another study demonstrated higher MUC5AC expression in invasive lesions compared with in situ lesions (7).

Recently, several gastric-type markers have been utilised in pathological diagnosis through immunohistochemical analysis and explored for targeted therapeutic applications. Claudin 18 is a member of the claudin family and a major component of tight junction complexes (14). Its expression is restricted to non-neoplastic gastric mucosa and alveolar epithelial cells (14) and is frequently observed in gastric carcinoma, oesophageal and pancreatobiliary tract adenocarcinomas, as well as mucinous carcinomas of the female genital tract (15-18). Accordingly, analysis of this tight junction protein may aid in identifying the primary origin of metastatic carcinoma (17). Moreover, claudin 18 has recently attracted attention as a promising therapeutic target in claudin 18-expressing malignant tumours (15,16). Zolbetuximab, a monoclonal antibody targeting claudin 18.2, a gastric mucosa-specific isoform, has been shown to improve survival in patients with claudin 18.2-positive advanced gastric cancer (15). In addition, hepatocyte nuclear factor 4α (HNF4α) is a nuclear transcription factor involved in liver and kidney development and intestinal functions; accordingly, its expression is observed in normal liver, kidney, stomach, and intestinal tissues (19,20). Although HNF4α is not a specific gastric-type marker, it has been shown to induce MUC5AC expression in the normal stomach (21), and most gastric adenocarcinomas demonstrate positive immunoreactivity for this marker (22). To date, the expression profiles of claudin 18 and HNF4α in primary EMPD have not been fully investigated. Therefore, the present study aimed to examine the expression profiles of MUC5AC, claudin 18, and HNF4α in EMPD, as well as the differences in MUC5AC expression between in situ and invasive lesions.

Materials and methods

Patient selection

Consecutive patients with primary EMPD who underwent surgical resection at Osaka Medical and Pharmaceutical University Hospital between January 2016 and December 2024 were included. Patients who underwent biopsy without subsequent surgical resection were excluded.

This retrospective, single-institution study was conducted in accordance with the tenets of the Declaration of Helsinki, and the study protocol was approved by the Institutional Review Board of Osaka Medical and Pharmaceutical University Hospital (Approval No.: #2025-030). All data were anonymised. Informed consent was obtained using the opt-out method because of the retrospective study design, in which medical records and archived samples were used and posed no risk to participants. In addition, the present study did not include minors. Information regarding the study, including the inclusion criteria and the opportunity to opt out, was provided on the institutional website (https://www.ompu.ac.jp/u-deps/path/img/file36.pdf).

Histopathological analysis

Surgically resected specimens were fixed in 10% neutral buffered formalin, sectioned, and stained with haematoxylin and eosin. Two researchers (NK and MI) independently evaluated the histopathological features of the slides. When invasive neoplastic growth was identified (defined as the growth of carcinoma cells over the basement membrane of the epidermis or skin appendages into the dermis), the tumours were classified as invasive EMPD, regardless of the depth of tumour invasion.

Immunohistochemical analysis

Immunohistochemical analysis was performed using an automated immunostainer (Discovery Ultra System; Roche Diagnostics), according to the manufacturer's instructions. The OptiView DAB Universal Kit (cat. no. 518-111427; Roche Diagnostics) was used for immunostaining. The primary antibodies used in the present study were mouse monoclonal antibody against claudin 18 (43-14A; Abcam, Cambridge, UK, diluted 1:8,000), rabbit monoclonal antibody against HNF4α (C11F12; Cell Signaling Technology, Danvers, MA, USA, diluted 1:200), and mouse monoclonal antibody against MUC5AC (45M1; Thermo Fisher Scientific Inc., MA, USA, diluted 1:4,000). Non-neoplastic gastric and colon mucosae and skin tissues were concurrently stained as the positive and negative controls, respectively, for these three markers.

Expression of these markers was assessed semi-quantitatively as follows: 0, <5%; 1, 5-25%; 2, 26-50%; 3, >50% of positive neoplastic cells, using the same method as in a previous study (7). Immunohistochemical expression in in situ and invasive lesions (when present) was evaluated separately.

Two researchers (NK and MI) independently evaluated the immunohistochemical findings. In cases of discrepancy, a final consensus was reached through reassessment using a multi-headed microscope.

Statistical analysis

Differences between the two groups were analysed using the Mann-Whitney U test or the Wilcoxon signed-rank test. Statistical significance was set at P<0.05.

Results

Patient characteristics

This study included 40 patients with EMPD, comprising nine women (22.5%) and 31 men (77.5%). The median age at the time of surgery was 74 (range: 45-89) years. Tumour locations were as follows: scrotum (26 patients), external genitalia (10 patients), penis (2 patients), and anus and vulva (1 patient each). Lymph node dissection was performed in seven patients. No follow-up analysis including recurrence was performed in the present study.

Histopathological characteristics

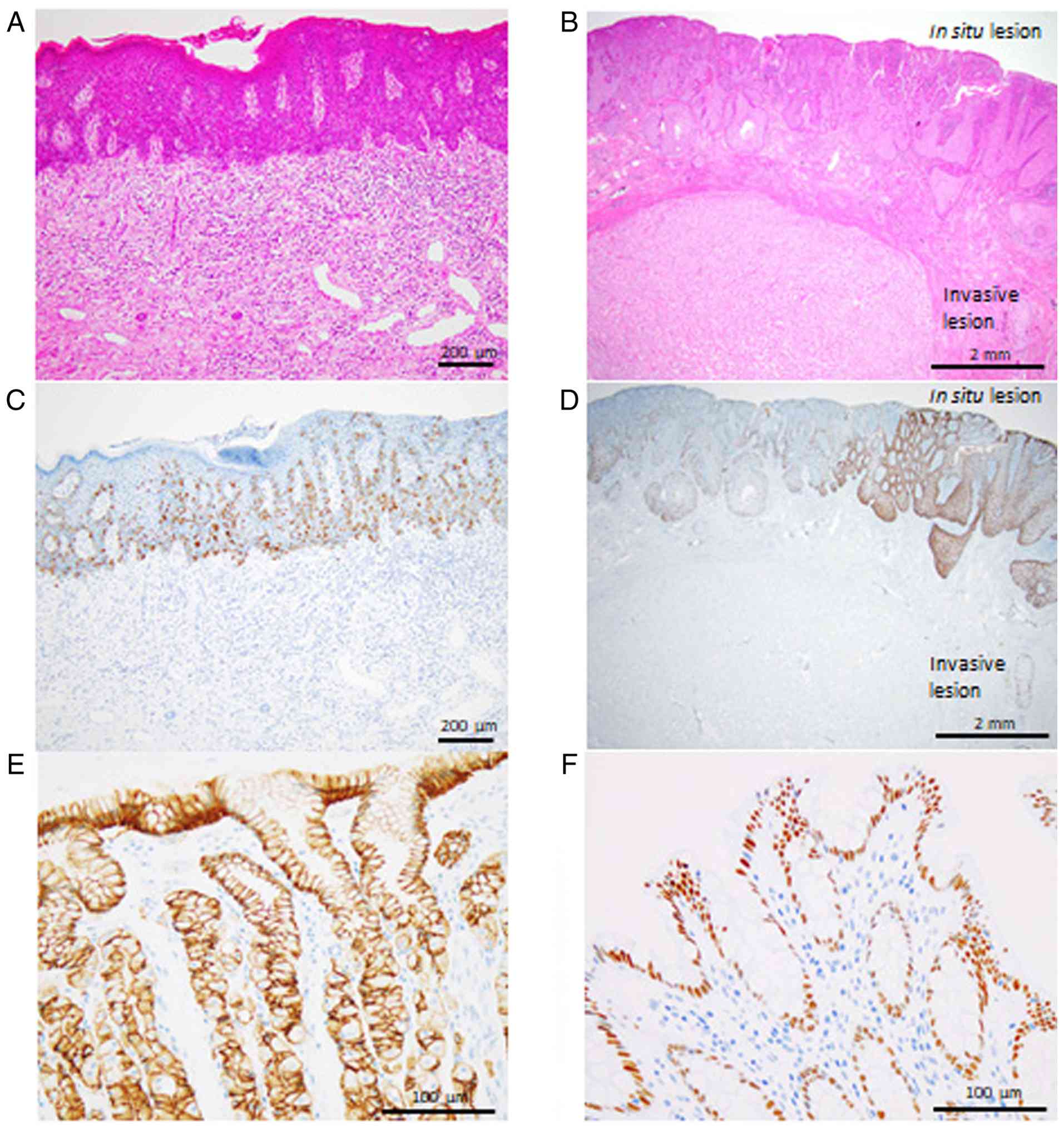
This cohort included 25 in situ and 15 invasive EMPD cases. In all invasive EMPD cases, in situ lesions were present overlying and/or surrounding the invasive components. Typical histopathological features of in situ and invasive EMPD are shown in Fig. 1A and B. Lymph node metastasis was identified in two patients with invasive EMPD; among the seven patients who underwent lymph node dissection, five had only in situ lesions, and no metastasis was observed in these cases.

Histopathological and
immunohistochemical features of primary EMPD. (A) Typical
histopathological features of in situ EMPD, showing
intraepidermal proliferation of the neoplastic cells with slightly
eosinophilic cytoplasm, predominantly in a single-cell pattern
(haematoxylin and eosin staining; original magnification, x200).
(B) Typical histopathological features of invasive EMPD.
Intraepidermal proliferation (in situ lesion) and invasive
neoplastic growth into the dermis (invasive lesion) are present
(haematoxylin and eosin staining; original magnification, x20). (C)
Immunohistochemical staining for MUC5AC showing cytoplasmic
positive immunoreactivity in the neoplastic cells of the in
situ lesion (original magnification, x200). (D)
Immunohistochemical staining for MUC5AC showing positive
immunoreactivity in the in situ lesion, but not in the
invasive lesion (original magnification, x20). (E)
Immunohistochemical staining for claudin 18 as a positive control.
Membranous positivity is noted in the non-neoplastic gastric
epithelial cells (original magnification, x400). (F) Immunostaining
for hepatocyte nuclear factor 4α as a positive control. Nuclear
positivity is noted in the non-neoplastic colon epithelial cells
(original magnification, x400). EMPD, extramammary Paget
disease.

Figure 1

Histopathological and immunohistochemical features of primary EMPD. (A) Typical histopathological features of in situ EMPD, showing intraepidermal proliferation of the neoplastic cells with slightly eosinophilic cytoplasm, predominantly in a single-cell pattern (haematoxylin and eosin staining; original magnification, x200). (B) Typical histopathological features of invasive EMPD. Intraepidermal proliferation (in situ lesion) and invasive neoplastic growth into the dermis (invasive lesion) are present (haematoxylin and eosin staining; original magnification, x20). (C) Immunohistochemical staining for MUC5AC showing cytoplasmic positive immunoreactivity in the neoplastic cells of the in situ lesion (original magnification, x200). (D) Immunohistochemical staining for MUC5AC showing positive immunoreactivity in the in situ lesion, but not in the invasive lesion (original magnification, x20). (E) Immunohistochemical staining for claudin 18 as a positive control. Membranous positivity is noted in the non-neoplastic gastric epithelial cells (original magnification, x400). (F) Immunostaining for hepatocyte nuclear factor 4α as a positive control. Nuclear positivity is noted in the non-neoplastic colon epithelial cells (original magnification, x400). EMPD, extramammary Paget disease.

Immunohistochemical characteristics

Table I summarises the expression scores of MUC5AC in both in situ and invasive EMPD. MUC5AC expression was observed in 23 in situ and 15 invasive EMPD cases, whereas no MUC5AC expression was observed in one in situ case and one invasive case. Representative immunohistochemical features of in situ and invasive EMPD are shown in Fig. 1C and D.

Table I

Immunohistochemical staining results of patients with primary EMPD.

Table I

Immunohistochemical staining results of patients with primary EMPD.

A, EMPD
 MUC5AC expression score
Group0, n1, n2, n3, n
In situ EMPD14515
Invasive EMPD1437
B, Invasive EMPD
In situ lesions1437
Invasive lesions11310

[i] EMPD, extramammary Paget disease.

There was no significant difference between the MUC5AC expression scores of in situ lesions in patients with in situ-only and invasive EMPD, as the mean expression score was 2.36 (range, 0-3) in patients with in situ EMPD and 2.07 (range, 0-3) in those with invasive EMPD (P=0.35) (Fig. 2A).

MUC5AC expression scores in primary
EMPD. (A) Comparison of MUC5AC expression scores in in situ
lesions between patients with in situ-only EMPD (n=25) and
those with invasive EMPD (n=15). (B) Comparison of MUC5AC
expression scores between in situ and invasive lesions in
patients with invasive EMPD (n=15). EMPD, extramammary Paget
disease.

Figure 2

MUC5AC expression scores in primary EMPD. (A) Comparison of MUC5AC expression scores in in situ lesions between patients with in situ-only EMPD (n=25) and those with invasive EMPD (n=15). (B) Comparison of MUC5AC expression scores between in situ and invasive lesions in patients with invasive EMPD (n=15). EMPD, extramammary Paget disease.

In patients with invasive EMPD, MUC5AC expression scores in the invasive EMPD lesions were significantly lower than those in the corresponding in situ lesions, with mean expression scores of 2.07 (range, 0-3) for in situ lesions and 0.33 (range, 0-2) for invasive lesions (P=0.0015) (Fig. 2B).

Moreover, MUC5AC expression scores in lymph node metastasis were 0 in both patients. Neither HNF4α nor claudin 18 expression was observed in any in situ or invasive EMPD lesions. Notably, claudin 18 and HNF4α positivity were observed in the non-neoplastic gastric and colon mucosae used as positive control (Fig. 1E and F).

Discussion

This study clearly demonstrated that MUC5AC expression scores were significantly lower in invasive lesions than in the corresponding in situ lesions of invasive EMPD, and that MUC5AC expression in in situ lesions did not differ significantly between in situ-only and invasive EMPD. Moreover, the present study is the first to demonstrate the absence of immunohistochemical expression of HNF4α and claudin 18 in primary EMPD.

It is well recognised that MUC5AC expression is present in primary EMPD, with reported positive expression rates ranging from 42.1 to 89% (6-10). The findings of the present study are consistent with previous reports (6-10), as 95% (38 of 40) of primary EMPD cases showed positive immunoreactivity for MUC5AC. In normal gastric mucosa, MUC5AC expression is induced by HNF4α (21), and most gastric adenocarcinomas also demonstrate positive immunoreactivity for this transcription factor (22). Although MUC5AC expression is observed in normal endocervical glandular cells and respiratory epithelium (13,23), HNF4α expression is not detected in these normal epithelial tissues (24). These findings suggest that the mechanisms regulating MUC5AC expression may differ among organs. In the present study, no immunohistochemical expression of HNF4α was detected in primary EMPD, including both in situ and invasive tumours. Further studies are required to elucidate the hitherto unknown molecular mechanisms underlying MUC5AC expression in patients with primary EMPD.

The expression profiles of MUC5AC in in situ and invasive lesions of primary EMPD remain controversial. Table II summarises the expression profiles of MUC5AC in invasive EMPD reported in previous studies, as well as in the present study (6,7,9). Three of four studies, including the present one, demonstrated that MUC5AC expression was significantly lower in invasive lesions than in situ lesions, although the methods used to evaluate MUC5AC expression differed among these studies. Specifically, the cut-off value for positivity was set at 5% of carcinoma cells in three studies including the present one (6,7), whereas the tumour was considered to be positive for MUC5AC expression when more than one MUC5AC-positive cell was present in one study (9). Moreover, expression scores were evaluated separately for in situ and invasive lesions in two studies, including the present study (9); however, the methods for evaluating MUC5AC expression scores in invasive EMPD were not fully described (whether only invasive lesions or both in situ and invasive lesions were evaluated) in the remaining two studies (6,7). The present study represents the second-largest cohort of both total and invasive EMPD cases (Table II) (6,7,9) and included a statistical comparison of MUC5AC expression scores between in situ and invasive lesions. Accordingly, MUC5AC expression may be decreased in invasive EMPD lesions, although further analyses in larger cohorts are required to clarify the expression profiles of MUC5AC in EMPD. In the present cohort, both lymph node metastases showed loss of MUC5AC expression implying that metastatic EMPD cells might lack MUC5AC expression; however, this preliminary observation was seen in only two patients. Finally, the molecular mechanisms underlying these changes remain unresolved, and it is still unclear whether these changes are the cause or the effects of invasion. Therefore, further studies are required to elucidate the mechanisms responsible for altered MUC5AC expression in invasive EMPD.

Table II

Expression profiles of MUC5AC in invasive EMPD.

Table II

Expression profiles of MUC5AC in invasive EMPD.

 MUC5AC-positive, n (%) 
First author/s, yearIn situ EMPDInvasive EMPD(Refs.)
Rao et al, 202264/72 (88.9)23/46 (50.0)(6)
Hata et al, 201412/28 (42.9)9/11 (81.8)(7)
Yoshii et al, 200223/23 (100.0)11/13 (84.6)(9)
Present study24/25 (96.0)4/15 (26.7)-

[i] EMPD, extramammary Paget disease.

Claudin 18 is a major component of tight junction proteins and plays an important role in epithelial barrier function and cellular polarity (14). Its expression is restricted to non-neoplastic gastric mucosa and alveolar epithelial cells of the lung (14). Claudin 18 has two splice variants, among which claudin 18.2 is a gastric mucosa-specific isoform (14). Recent advances in molecular-targeted therapy have demonstrated that zolbetuximab, a monoclonal antibody against claudin 18.2, significantly improves survival in patients with claudin 18.2-positive advanced gastric cancer (15). In addition, positive immunoreactivity for claudin 18 has been reported in pancreatobiliary tract adenocarcinomas and mucinous carcinomas of the female genital tract (15-18), suggesting that patients with these malignancies may be candidates for molecular-targeted therapy. However, the present study demonstrated a lack of claudin 18 expression in all primary EMPD cases examined. Accordingly, patients with primary EMPD are unlikely to benefit from anti-claudin 18-targeted therapy. Moreover, a monoclonal antibody against claudin 18 (clone 43-14A) was used for immunohistochemical detection in the present study. This antibody reacts with both claudin 18.1 and 18.2. Although the specific antibody against claudin 18.2 might have helped retrieve more information regarding expression of gastric-type marker in EMPD, we used this claudin 18 antibody clone because it was used for detecting claudin 18 expression in cancer tissues in a clinical trial that demonstrated the significant survival benefits of zolbetuximab in patients with claudin 18-positive gastric cancer (25) and is used as a companion diagnostics tool.

The present study had a few limitations. First, although this is the second-largest cohort of EMPD to be studied so far, it included a relatively small number of patients with EMPD (25 in situ and 15 invasive EMPD). As this study was a pilot study, further study with a larger cohort is required to overcome statistical bias. Moreover, the relationship between MUC5AC expression status and survival was not analysed, because this cohort included only two patients with metastatic EMPD. Second, the methods used to evaluate MUC5AC expression profiles differed among studies, as mentioned earlier, resulting in bias. Further analysis using standardized methods for evaluation of MUC5AC expression in a larger cohort is required. Third, the present study demonstrated that MUC5AC expression in EMPD was not correlated with HNF4α expression. Although different mechanisms of MUC5AC expression may be present, molecular analysis was not performed in the present study. Thus, further molecular study is needed to clarify the mechanism underlying MUC5AC expression in EMPD.

In conclusion, the present study demonstrated that MUC5AC expression was significantly lower in invasive lesions than in in situ lesions of invasive EMPD; however, MUC5AC expression in in situ lesions did not differ significantly between in situ-only and invasive EMPD. Although HNF4α induces MUC5AC expression in normal gastric mucosa, HNF4α expression was not detected in primary EMPD. Therefore, the molecular mechanisms underlying MUC5AC expression in primary EMPD warrant further investigation.

Acknowledgements

Not applicable.

Funding

Funding: No funding was received.

Availability of data and materials

The data generated in the present study may be requested from the corresponding author.

Authors' contributions

NK and MI conceived and designed the present study. NK and MI analysed histological and immunohistochemical staining. NK and MI confirm the authenticity of all the raw data. NK, MI, SO and YH analysed the data. NK and MI performed the statistical analyses. NK and MI wrote the manuscript and prepared figures and tables. All authors have read and approved the final version of the manuscript.

Ethics approval and consent to participate

The present retrospective, single-institution study was conducted in accordance with the tenets of The Declaration of Helsinki, and the study protocol was approved by the Institutional Review Board of Osaka Medical and Pharmaceutical University Hospital (approval no. 2025-030; Takatsuki, Japan). All data were anonymised. Informed consent was obtained from the patients using the opt-out methodology because of the retrospective study design, in which medical records and archived samples were used. The present study did not include minors.

Patient consent for publication

Not applicable.

Competing interests

The authors declare that they have no competing interests.

References

1 

Prieto VG, Kazakov DV, Konstantinova AM, McCluggage WG and Michal M: Extramammary Paget disease. In: WHO classification of tumours, Skin Tumours. 5th edition. IARC, Lyon, pp313-314, 2025.

2 

Ishizuki S and Nakamura Y: Extramammary Paget's disease: Diagnosis, pathogenesis, and treatment with focus on recent developments. Curr Oncol. 28:2969–2986. 2021.PubMed/NCBI View Article : Google Scholar

3 

Shah RR, Shah K, Wilson BN, Tchack M, Busam KJ, Moy A, Leitao MM, Cordova M, Neumann NM, Smogorzewski J, et al: Extramammary Paget disease. Part I. Epidemiology, pathogenesis, clinical features, and diagnosis. J Am Acad Dermatol. 91:409–418. 2024.PubMed/NCBI View Article : Google Scholar

4 

Simonds RM, Segal RJ and Sharma A: Extramammary Paget's disease: A review of the literature. Int J Dermatol. 58:871–879. 2019.PubMed/NCBI View Article : Google Scholar

5 

Belousova IE, Kazakov DV, Michal M and Suster S: Vulvar toker cells: the long-awaited missing link: A proposal for an origin-based histogenetic classification of extramammary Paget disease. Am J Dermpathol. 28:84–86. 2006.PubMed/NCBI View Article : Google Scholar

6 

Rao Y, Zhu J, Zheng H, Ren Y and Ji T: Cell origin and genome profile difference of penoscrotum invasive extramammary Paget disease compared with its in situ counterpart. Front Oncol. 12(972047)2022.PubMed/NCBI View Article : Google Scholar

7 

Hata H, Abe R, Hoshina D, Saito N, Homma E, Aoyagi S and Shimizu H: MUC5AC expression correlates with invasiveness and progression of extramammary Paget's disease. J Eur Acad Dermatol Venereol. 28:727–732. 2014.PubMed/NCBI View Article : Google Scholar

8 

Liegl B, Leibl S, Gogg-Kamerer M, Tessaro B, Horn LC and Moinfar F: Mammary and extramammary Paget's disease: An immunohistochemical study of 83 cases. Histopathology. 50:439–447. 2007.PubMed/NCBI View Article : Google Scholar

9 

Yoshii N, Kitajima S, Yonezawa S, Matsukita S, Setoyama M and Kanzaki T: Expression of mucin core proteins in extramammary Paget's disease. Pathol Int. 52:390–399. 2002.PubMed/NCBI View Article : Google Scholar

10 

Kuan SF, Montag AG, Hart J, Krausz T and Recant W: Differential expression of mucin genes in mammary and extramammary Paget's disease. Am J Surg Pathol. 25:1469–1477. 2001.PubMed/NCBI View Article : Google Scholar

11 

Krishn SR, Ganguly K, Kaur S and Batra SK: Ramifications of secreted mucin MUC5AC in malignant journey: a holistic view. Carcinogenesis. 39:633–651. 2018.PubMed/NCBI View Article : Google Scholar

12 

Johansson MEV, Sjövall H and Hansson GC: The gastrointestinal mucus system in health and disease. Nat Rev Gastroenterol Hepatol. 10:352–361. 2013.PubMed/NCBI View Article : Google Scholar

13 

Riethdorf L, O'Connell JT, Riethdorf S, Cviko A and Crum CP: Differential expression of MUC2 and MUC5AC in benign and malignant glandular lesions of the cervix uteri. Virchows Arch. 437:365–371. 2000.PubMed/NCBI View Article : Google Scholar

14 

Niimi T, Nagashima K, Ward JM, Minoo P, Zimonjic DB, Popescu NC and Kimura S: Claudin-18, a novel downstream target gene for the T/EBP/NKX2.1 homeodomain transcription factor, encodes lung- and stomach-specific isoforms through alternative splicing. Mol Cell Biol. 21:7380–7390. 2001.PubMed/NCBI View Article : Google Scholar

15 

Nakayama I, Qi C, Chen Y, Nakamura Y, Shen L and Shitara K: Claudin 18.2 as a novel therapeutic target. Nat Rev Clin Oncol. 21:354–369. 2024.PubMed/NCBI View Article : Google Scholar

16 

Hashimoto T, Iida N, Nakamura Y, Nonomura N, Morizane C, Iwata H, Okano S, Yamagami W, Yamazaki N, Kadowaki S, et al: Landscape analysis of CLDN18 expression and isoform distribution in solid tumors: Insights from MONSTAR-SCREEN-2 study. Cancer Sci. 116:2218–2231. 2025.PubMed/NCBI View Article : Google Scholar

17 

Li WT, Jeng YM and Yang CY: Claudin-18 as a marker for identifying the stomach and pancreatobiliary tract as the primary sites of metastatic adenocarcinoma. Am J Surg Pathol. 44:1643–1648. 2020.PubMed/NCBI View Article : Google Scholar

18 

Kiyokawa T, Hoang L, Pesci A, Alvarado-Cabrero I, Oliva E, Park KJ, Soslow RA and Stolnicu S: Claudin-18 as a promising surrogate marker for endocervical gastric-type carcinoma. Am J Surg Pathol. 46:628–636. 2022.PubMed/NCBI View Article : Google Scholar

19 

Sladek FM, Zhong WM, Lai E and Darnell JE Jr: Liver-enriched transcription factor HNF-4 is a novel member of the steroid hormone receptor superfamily. Genes Dev. 4:2353–2365. 1990.PubMed/NCBI View Article : Google Scholar

20 

Qu N, Luan T, Liu N, Kong C, Xu L, Yu H, Kang Y and Han Y: Hepatocyte nuclear factor 4 a (HNF4α): A perspective in cancer. Biomed Pharmacother. 169(115923)2023.PubMed/NCBI View Article : Google Scholar

21 

Jonckheere N, Vincent A, Franquet-Ansart H, Witte-Bouma J, Korteland-van Male A, Leteurtre E, Renes IB and van Seuningen I: GATA-4/-6 and HNF-1/-4 families of transcription factors control the transcriptional regulation of the murine Muc5ac mucin during stomach development and in epithelial cancer cells. Biochim Biophys Acta. 1819:869–876. 2012.PubMed/NCBI View Article : Google Scholar

22 

van der Post RS, Bult P, Vogelaar IP, Ligtenberg MJL, Hoogerbrugge N and van Krieken JH: HNF4A immunohistochemistry facilitates distinction between primary and metastatic breast and gastric carcinoma. Virchows Arch. 464:673–679. 2014.PubMed/NCBI View Article : Google Scholar

23 

Okuda K, Chen G, Subramani DB, Wolf M, Gilmore RC, Kato T, Radicioni G, Kesimer M, Chua M, Dang H, et al: Localization of secretory mucins MUC5AC and MUC5B in normal/healthy human airways. Am J Respir Crit Care Med. 199:715–727. 2019.PubMed/NCBI View Article : Google Scholar

24 

Tanaka T, Jiang S, Hotta H, Takano K, Iwanari H, Sumi K, Daigo K, Ohashi R, Sugai M, Ikegame C, et al: Dysregulated expression of P1 and P2 promoter-driven hepatocyte nuclear factor-4alpha in the pathogenesis of human cancer. J Pathol. 208:662–672. 2006.PubMed/NCBI View Article : Google Scholar

25 

Shitara K, Lordick F, Bang YJ, Enzinger P, Ilson D, Shah MA, Van Cutsem E, Xu RH, Aprile G, Xu J, et al: Zolbetuximab plus mFOLFOX6 in patients with CLDN18.2-positive, HER2-negative, untreated, locally advanced unresectable or metastatic gastric or gastro-oesophageal junction adenocarcinoma (SPOTLIGHT): A multicentre, randomised, double-blind, phase 3 trial. Lancet. 401:1655–1668. 2023.PubMed/NCBI View Article : Google Scholar

Related Articles

  • Abstract
  • View
  • Download
  • Twitter
Copy and paste a formatted citation
Spandidos Publications style
Kohno N, Ishida M, Ono S and Hirose Y: Immunohistochemical evaluation of gastric‑type markers in primary extramammary Paget disease: Differential MUC5AC expression between <em>in situ</em> and invasive lesions. Exp Ther Med 31: 138, 2026.
APA
Kohno, N., Ishida, M., Ono, S., & Hirose, Y. (2026). Immunohistochemical evaluation of gastric‑type markers in primary extramammary Paget disease: Differential MUC5AC expression between <em>in situ</em> and invasive lesions. Experimental and Therapeutic Medicine, 31, 138. https://doi.org/10.3892/etm.2026.13133
MLA
Kohno, N., Ishida, M., Ono, S., Hirose, Y."Immunohistochemical evaluation of gastric‑type markers in primary extramammary Paget disease: Differential MUC5AC expression between <em>in situ</em> and invasive lesions". Experimental and Therapeutic Medicine 31.5 (2026): 138.
Chicago
Kohno, N., Ishida, M., Ono, S., Hirose, Y."Immunohistochemical evaluation of gastric‑type markers in primary extramammary Paget disease: Differential MUC5AC expression between <em>in situ</em> and invasive lesions". Experimental and Therapeutic Medicine 31, no. 5 (2026): 138. https://doi.org/10.3892/etm.2026.13133
Copy and paste a formatted citation
x
Spandidos Publications style
Kohno N, Ishida M, Ono S and Hirose Y: Immunohistochemical evaluation of gastric‑type markers in primary extramammary Paget disease: Differential MUC5AC expression between <em>in situ</em> and invasive lesions. Exp Ther Med 31: 138, 2026.
APA
Kohno, N., Ishida, M., Ono, S., & Hirose, Y. (2026). Immunohistochemical evaluation of gastric‑type markers in primary extramammary Paget disease: Differential MUC5AC expression between <em>in situ</em> and invasive lesions. Experimental and Therapeutic Medicine, 31, 138. https://doi.org/10.3892/etm.2026.13133
MLA
Kohno, N., Ishida, M., Ono, S., Hirose, Y."Immunohistochemical evaluation of gastric‑type markers in primary extramammary Paget disease: Differential MUC5AC expression between <em>in situ</em> and invasive lesions". Experimental and Therapeutic Medicine 31.5 (2026): 138.
Chicago
Kohno, N., Ishida, M., Ono, S., Hirose, Y."Immunohistochemical evaluation of gastric‑type markers in primary extramammary Paget disease: Differential MUC5AC expression between <em>in situ</em> and invasive lesions". Experimental and Therapeutic Medicine 31, no. 5 (2026): 138. https://doi.org/10.3892/etm.2026.13133
Follow us
  • Twitter
  • LinkedIn
  • Facebook
About
  • Spandidos Publications
  • Careers
  • Cookie Policy
  • Privacy Policy
How can we help?
  • Help
  • Live Chat
  • Contact
  • Email to our Support Team