Spandidos Publications Logo
  • About
    • About Spandidos
    • Aims and Scopes
    • Abstracting and Indexing
    • Editorial Policies
    • Reprints and Permissions
    • Job Opportunities
    • Terms and Conditions
    • Contact
  • Journals
    • All Journals
    • Oncology Letters
      • Oncology Letters
      • Information for Authors
      • Editorial Policies
      • Editorial Board
      • Aims and Scope
      • Abstracting and Indexing
      • Bibliographic Information
      • Archive
    • International Journal of Oncology
      • International Journal of Oncology
      • Information for Authors
      • Editorial Policies
      • Editorial Board
      • Aims and Scope
      • Abstracting and Indexing
      • Bibliographic Information
      • Archive
    • Molecular and Clinical Oncology
      • Molecular and Clinical Oncology
      • Information for Authors
      • Editorial Policies
      • Editorial Board
      • Aims and Scope
      • Abstracting and Indexing
      • Bibliographic Information
      • Archive
    • Experimental and Therapeutic Medicine
      • Experimental and Therapeutic Medicine
      • Information for Authors
      • Editorial Policies
      • Editorial Board
      • Aims and Scope
      • Abstracting and Indexing
      • Bibliographic Information
      • Archive
    • International Journal of Molecular Medicine
      • International Journal of Molecular Medicine
      • Information for Authors
      • Editorial Policies
      • Editorial Board
      • Aims and Scope
      • Abstracting and Indexing
      • Bibliographic Information
      • Archive
    • Biomedical Reports
      • Biomedical Reports
      • Information for Authors
      • Editorial Policies
      • Editorial Board
      • Aims and Scope
      • Abstracting and Indexing
      • Bibliographic Information
      • Archive
    • Oncology Reports
      • Oncology Reports
      • Information for Authors
      • Editorial Policies
      • Editorial Board
      • Aims and Scope
      • Abstracting and Indexing
      • Bibliographic Information
      • Archive
    • Molecular Medicine Reports
      • Molecular Medicine Reports
      • Information for Authors
      • Editorial Policies
      • Editorial Board
      • Aims and Scope
      • Abstracting and Indexing
      • Bibliographic Information
      • Archive
    • World Academy of Sciences Journal
      • World Academy of Sciences Journal
      • Information for Authors
      • Editorial Policies
      • Editorial Board
      • Aims and Scope
      • Abstracting and Indexing
      • Bibliographic Information
      • Archive
    • International Journal of Functional Nutrition
      • International Journal of Functional Nutrition
      • Information for Authors
      • Editorial Policies
      • Editorial Board
      • Aims and Scope
      • Abstracting and Indexing
      • Bibliographic Information
      • Archive
    • International Journal of Epigenetics
      • International Journal of Epigenetics
      • Information for Authors
      • Editorial Policies
      • Editorial Board
      • Aims and Scope
      • Abstracting and Indexing
      • Bibliographic Information
      • Archive
    • Medicine International
      • Medicine International
      • Information for Authors
      • Editorial Policies
      • Editorial Board
      • Aims and Scope
      • Abstracting and Indexing
      • Bibliographic Information
      • Archive
  • Articles
  • Information
    • Information for Authors
    • Information for Reviewers
    • Information for Librarians
    • Information for Advertisers
    • Conferences
  • Language Editing
Spandidos Publications Logo
  • About
    • About Spandidos
    • Aims and Scopes
    • Abstracting and Indexing
    • Editorial Policies
    • Reprints and Permissions
    • Job Opportunities
    • Terms and Conditions
    • Contact
  • Journals
    • All Journals
    • Biomedical Reports
      • Information for Authors
      • Editorial Policies
      • Editorial Board
      • Aims and Scope
      • Abstracting and Indexing
      • Bibliographic Information
      • Archive
    • Experimental and Therapeutic Medicine
      • Information for Authors
      • Editorial Policies
      • Editorial Board
      • Aims and Scope
      • Abstracting and Indexing
      • Bibliographic Information
      • Archive
    • International Journal of Epigenetics
      • Information for Authors
      • Editorial Policies
      • Editorial Board
      • Aims and Scope
      • Abstracting and Indexing
      • Bibliographic Information
      • Archive
    • International Journal of Functional Nutrition
      • Information for Authors
      • Editorial Policies
      • Editorial Board
      • Aims and Scope
      • Abstracting and Indexing
      • Bibliographic Information
      • Archive
    • International Journal of Molecular Medicine
      • Information for Authors
      • Editorial Policies
      • Editorial Board
      • Aims and Scope
      • Abstracting and Indexing
      • Bibliographic Information
      • Archive
    • International Journal of Oncology
      • Information for Authors
      • Editorial Policies
      • Editorial Board
      • Aims and Scope
      • Abstracting and Indexing
      • Bibliographic Information
      • Archive
    • Medicine International
      • Information for Authors
      • Editorial Policies
      • Editorial Board
      • Aims and Scope
      • Abstracting and Indexing
      • Bibliographic Information
      • Archive
    • Molecular and Clinical Oncology
      • Information for Authors
      • Editorial Policies
      • Editorial Board
      • Aims and Scope
      • Abstracting and Indexing
      • Bibliographic Information
      • Archive
    • Molecular Medicine Reports
      • Information for Authors
      • Editorial Policies
      • Editorial Board
      • Aims and Scope
      • Abstracting and Indexing
      • Bibliographic Information
      • Archive
    • Oncology Letters
      • Information for Authors
      • Editorial Policies
      • Editorial Board
      • Aims and Scope
      • Abstracting and Indexing
      • Bibliographic Information
      • Archive
    • Oncology Reports
      • Information for Authors
      • Editorial Policies
      • Editorial Board
      • Aims and Scope
      • Abstracting and Indexing
      • Bibliographic Information
      • Archive
    • World Academy of Sciences Journal
      • Information for Authors
      • Editorial Policies
      • Editorial Board
      • Aims and Scope
      • Abstracting and Indexing
      • Bibliographic Information
      • Archive
  • Articles
  • Information
    • For Authors
    • For Reviewers
    • For Librarians
    • For Advertisers
    • Conferences
  • Language Editing
Login Register Submit
  • This site uses cookies
  • You can change your cookie settings at any time by following the instructions in our Cookie Policy. To find out more, you may read our Privacy Policy.

    I agree
Search articles by DOI, keyword, author or affiliation
Search
Advanced Search
presentation
Experimental and Therapeutic Medicine
Join Editorial Board Propose a Special Issue
Print ISSN: 1792-0981 Online ISSN: 1792-1015
Journal Cover
May-2026 Volume 31 Issue 5

Full Size Image

Sign up for eToc alerts
Recommend to Library

Journals

International Journal of Molecular Medicine

International Journal of Molecular Medicine

International Journal of Molecular Medicine is an international journal devoted to molecular mechanisms of human disease.

International Journal of Oncology

International Journal of Oncology

International Journal of Oncology is an international journal devoted to oncology research and cancer treatment.

Molecular Medicine Reports

Molecular Medicine Reports

Covers molecular medicine topics such as pharmacology, pathology, genetics, neuroscience, infectious diseases, molecular cardiology, and molecular surgery.

Oncology Reports

Oncology Reports

Oncology Reports is an international journal devoted to fundamental and applied research in Oncology.

Experimental and Therapeutic Medicine

Experimental and Therapeutic Medicine

Experimental and Therapeutic Medicine is an international journal devoted to laboratory and clinical medicine.

Oncology Letters

Oncology Letters

Oncology Letters is an international journal devoted to Experimental and Clinical Oncology.

Biomedical Reports

Biomedical Reports

Explores a wide range of biological and medical fields, including pharmacology, genetics, microbiology, neuroscience, and molecular cardiology.

Molecular and Clinical Oncology

Molecular and Clinical Oncology

International journal addressing all aspects of oncology research, from tumorigenesis and oncogenes to chemotherapy and metastasis.

World Academy of Sciences Journal

World Academy of Sciences Journal

Multidisciplinary open-access journal spanning biochemistry, genetics, neuroscience, environmental health, and synthetic biology.

International Journal of Functional Nutrition

International Journal of Functional Nutrition

Open-access journal combining biochemistry, pharmacology, immunology, and genetics to advance health through functional nutrition.

International Journal of Epigenetics

International Journal of Epigenetics

Publishes open-access research on using epigenetics to advance understanding and treatment of human disease.

Medicine International

Medicine International

An International Open Access Journal Devoted to General Medicine.

Journal Cover
May-2026 Volume 31 Issue 5

Full Size Image

Sign up for eToc alerts
Recommend to Library

  • Article
  • Citations
    • Cite This Article
    • Download Citation
    • Create Citation Alert
    • Remove Citation Alert
    • Cited By
  • Similar Articles
    • Related Articles (in Spandidos Publications)
    • Similar Articles (Google Scholar)
    • Similar Articles (PubMed)
  • Download PDF
  • Download XML
  • View XML
Article Open Access

Maresin 1 activates autophagy through SIRT1/PPAR‑γ signaling to mitigate high glucose‑induced pyroptosis in human retinal pigment epithelial cells

  • Authors:
    • Jun Zhang
    • Ding Zhao
    • Yuanqing Zhang
    • Haoxiang Sun
    • Zhipeng Yan
    • Haiyan Sun
  • View Affiliations / Copyright

    Affiliations: Department of Ophthalmology and Ophthalmic Diseases, Hebei Medical University Third Hospital, Shijiazhuang, Hebei 050051, P.R. China
    Copyright: © Zhang et al. This is an open access article distributed under the terms of Creative Commons Attribution License.
  • Article Number: 141
    |
    Published online on: March 19, 2026
       https://doi.org/10.3892/etm.2026.13134
  • Expand metrics +
Metrics: Total Views: 0 (Spandidos Publications: | PMC Statistics: )
Metrics: Total PDF Downloads: 0 (Spandidos Publications: | PMC Statistics: )
Cited By (CrossRef): 0 citations Loading Articles...

This article is mentioned in:


Abstract

Accumulating evidence suggests that maresin 1 (MaR1), a docosahexaenoic acid‑derived specialized pro‑resolving lipid mediator, safeguards ARPE‑19 cells against high glucose (HG)‑induced ferroptosis, with potential relevance in preventing the onset and progression of diabetic retinopathy (DR). Building upon this observation, the present study aimed to elaborate on the functional role of MaR1 in DR and explore the underlying mechanisms mediating its protective effects. ARPE‑19 cells were exposed to HG to mimic DR in vitro and treated with varying doses of MaR1. An MTT assay was conducted to assess cell viability, while ELISA was used to measure the levels of inflammatory factors in the cells. Monodansylcadaverine staining was used to evaluate autophagic flux. Additionally, immunofluorescence and western blot assays were used to detect the expression of proteins associated with pyroptosis, autophagy and the sirtuin 1 (SIRT1)/peroxisome proliferator‑activated receptor‑γ (PPAR‑γ) signaling pathway. To further investigate the mechanism underlying the actions of MaR1, ARPE‑19 cells were pretreated with a SIRT1 inhibitor (EX‑527) or an autophagy inhibitor (3‑MA) before the aforementioned treatments were administered. The findings revealed that MaR1 rescued cell viability and attenuated the expression and secretion of pro‑inflammatory cytokine levels (specifically IL‑1β and IL‑18) in HG‑challenged ARPE‑19 cells in a dose‑dependent manner, while also alleviating the HG‑induced reduction in autophagic flux. Pretreatment with MaR1 further reversed the HG‑mediated downregulation of beclin 1, LC3‑II/I, SIRT1 and PPAR‑γ, alongside the HG‑triggered upregulation of p62, gasdermin D N‑terminal, cleaved caspase‑1, NLR family pyrin domain containing 3, apoptosis‑associated speck‑like protein containing a CARD and IL‑18, as demonstrated through immunofluorescence and western blot analyses. Notably, an autophagy inhibitor blunted the regulatory effects of MaR1 on pyroptosis, whereas a SIRT1 inhibitor abrogated the protective actions of MaR1 against inflammation and pyroptosis, as well as its modulation of autophagy, as demonstrated by measuring key molecular markers of pyroptosis, inflammation and autophagy in treated ARPE‑19 cells. Overall, the results indicated that MaR1 mitigated HG‑induced pyroptosis in human retinal pigment epithelial cells, potentially by upregulating the SIRT1/PPAR‑γ signaling pathway to reinstate autophagy, thus ameliorating DR‑associated damage.

Introduction

Diabetic retinopathy (DR) is one of the most prevalent complications of diabetes mellitus, taking a marked toll on the quality of life of patients, with a global prevalence of 22.27% (95% CI, 19.73-25.03) among patients with diabetes; the global number of DR cases is estimated to increase from 103.12 million in 2020 to 160.50 million by 2045(1). Sustained hyperglycemia subjects retinal pigment epithelial (RPE) cells to prolonged high glucose (HG) exposure. As key cells in the outer retina, RPE cells serve a central role in physiological processes, such as maintaining retinal structural integrity, visual cycle and immune regulation (2,3). HG can induce metabolic disorders in RPE cells, increase oxidative stress, activate inflammatory responses and lead to pyroptosis, ultimately damaging the normal structure and function of the retina (4-6). Therefore, inhibiting RPE cell dysfunction or death under HG conditions may help alleviate DR progression.

Autophagy, as a cellular self-protection mechanism, maintains internal homeostasis by degrading and recycling damaged components (7). Autophagy activation can eliminate HG-induced toxic substances to preserve cellular stability, making it a key therapeutic target for DR (8,9). The balance between autophagy and pyroptosis is important in the pathological context of DR-associated injury. Cell death represents a tightly regulated, evolutionarily conserved process, key in maintaining tissue homeostasis and driving disease progression, with its diverse execution mechanisms ranging from apoptosis and necrosis to necroptosis and autophagic cell death (10). Pyroptosis, an inflammatory subtype of programmed necrosis, participates in DR through the overexpression of pyroptosis-related molecules such as gasdermin D (GSDMD) and gasdermin E (GSDME). This overexpression drives cellular perforation and the secretion of pro-inflammatory cytokines, ultimately culminating in inflammatory cell death (1,11,12). Accumulating evidence has suggested the existence of an intimate regulatory association between autophagy and pyroptosis, with bidirectional effects mediated by key molecules and pathways. Autophagy suppresses pyroptosis via lysosomal degradation of the NLRP3 inflammasome, thereby inhibiting caspase-1/GSDMD activation and IL-1β/IL-18 release; by contrast, impaired autophagy promotes pyroptotic cell death. This interaction is further modulated by the mTOR/ULK1 axis and STAT3-dependent signaling, highlighting the complexity of their regulatory network (13-15). Therefore, balancing the activities of autophagy and pyroptosis is central to the pathological progression of DR.

Maresin 1 (MaR1) is a specific pro-resolving lipid mediator derived from ω-3 fatty acid metabolism, possessing anti-inflammatory, antioxidant and tissue repair properties (16-18). Previous studies have demonstrated that MaR1 promotes autophagic flux in LPS-stimulated human periodontal ligament cells (19). Additionally, MaR1 has been shown to inhibit the activation of the NLRP3 inflammasome and subsequent pyroptosis in rat models of neuropathic pain and mouse models of liver ischemia-reperfusion injury (19-21). It has been reported that MaR1 blocks HG-induced ferroptosis in ARPE-19 cells, with this inhibition mediated through activation of the nuclear factor erythroid 2-related factor 2/heme oxygenase-1/glutathione peroxidase 4 pathway (22), findings that point to its potential utility in DR prevention and treatment. However, the precise mechanisms governing the regulation of autophagy and pyroptosis by MaR1 in RPE cells remain poorly understood.

The present study aimed to explore the effect of MaR1 on autophagy and pyroptosis in HG-stimulated ARPE-19 cells, along with the mechanisms driving these effects, in order to lay a theoretical foundation for the development and application of MaR1 in DR therapy.

Materials and methods

Cell culture and treatment

ARPE-19 (cat. no. iCell-h020; iCell Bioscience, Inc.), a human RPE cell line, was maintained in DMEM/F12 medium (Thermo Fisher Scientific, Inc.) supplemented with 10% FBS (Invitrogen; Thermo Fisher Scientific, Inc.) and 1% penicillin/streptomycin. Cultures were incubated at 37˚C in a humidified atmosphere containing 5% CO2. To mimic DR in vitro, ARPE-19 cells were subjected to 25 mmol/l HG for 48 h at 37˚C, with cells treated with 5.5 mmol/l normal glucose (NG) serving as the control group.

Following the guidance of previous literature, ARPE-19 cells were pretreated with MaR1 (cat. no. HY-116429; MedChemExpress), dissolved in dimethyl sulfoxide (DMSO), at concentrations of 1, 10 and 100 nmol/l for 30 min at 37˚C before HG exposure for 24 h (22-24). To investigate the role of autophagy and sirtuin 1 (SIRT1)/peroxisome proliferator-activated receptor-γ (PPAR-γ) signaling, ARPE-19 cells were treated with 10 µM of the SIRT1 inhibitor selisistat (EX527; C13H13ClN2O; cat. no. HY-15452; MedChemExpress) or 2.5 µM of the autophagy inhibitor 3-methyladenine (3-MA; C6H7N5; cat. no. HY-19312; MedChemExpress), both dissolved in DMSO, for 2 h at 37˚C before HG exposure. The dose and duration of EX527 and 3-MA administration were determined in relation to previous studies (25,26).

MTT assay

An MTT cell proliferation and cytotoxicity assay kit (cat. no. C0009S; Beyotime Biotechnology) was used to assess ARPE-19 cell viability. Briefly, 1x104 ARPE-19 cells were seeded into each well of a 96-well plate and treated as aforementioned. Following 48 h of treatment, the cells were incubated with 10 µl MTT solution (5 mg/ml) for 4 h at 37˚C. Subsequently, 150 µl DMSO was added to solubilize the formazan crystals and absorbance was measured at a wavelength of 570 nm.

ELISA

The culture medium was collected and centrifuged at 1,000 x g for 20 min at 4˚C to remove cell debris. Following this, the supernatant from ARPE-19 cells was collected. TNF-α (cat. no. 97072ES), IL-1β (cat. no. 97028ES) and IL-6 (cat. no. 97068ES) levels were quantified using corresponding ELISA kits from Shanghai Yeasen Biotechnology Co., Ltd., according to the manufacturer's protocols. All ELISA results were normalized by first subtracting the absorbance values of blank control wells (containing only assay diluent without cell supernatant) to eliminate non-specific background signals. The concentrations of cytokines in the cell supernatants were determined using ELISA kits according to the manufacturer's instructions. The results are expressed as pg/ml. To ensure consistency, the total protein concentration of each sample was also monitored using a BCA protein assay kit. All measurements were performed in triplicate wells and the coefficient of variation for replicate measurements was <15%.

Monodansylcadaverine (MDC) staining

MDC staining (cat. no. C3018S; Beyotime Biotechnology) was used to assess autophagy levels in ARPE-19 cells. ARPE-19 cells were seeded at a density of 2x105 cells/well in 6-well culture plates. Once ARPE-19 cells reached 70-80% confluency, they were washed with PBS and incubated with 1 ml freshly prepared MDC solution at 37˚C for 30 min. Following incubation, the MDC solution was aspirated and the cells were washed with PBS to eliminate any unbound dye. Finally, the cells were visualized using the CKX53 fluorescence microscope (Evident Corporation).

Immunofluorescence staining

ARPE-19 cells were seeded at a density of 2x104 cells/well in 24-well culture plates. After reaching the appropriate confluency, the cells were fixed in 4% paraformaldehyde (cat. no. P0099; Beyotime Biotechnology) for 20 min at room temperature, and then permeabilized with 0.1% Triton X-100 (cat. no. P0096; Beyotime Biotechnology) at room temperature for 15 min. Subsequently, the cells were blocked with 1% BSA solution (cat. no. ST023; Beyotime Biotechnology) at room temperature for 1 h, followed by overnight incubation at 4˚C with diluted anti-GSDMD N-terminal (GSDMD-N) primary antibody (1:100; cat. no. ER1901-37; HUABIO). The next day, the cells were further incubated with a FITC conjugated goat anti-rabbit IgG secondary antibody (1:1,000; cat. no. GB22303; Wuhan Servicebio Technology Co., Ltd.) at room temperature for 2 h in the dark. Finally, the cells were stained with a DAPI solution (1 µg/ml; cat. no. C1002; Beyotime Biotechnology) for 10 min at room temperature in the dark before images were captured using a CKX53 fluorescence microscope.

Western blotting

Protein extracts were prepared from ARPE-19 cells using RIPA buffer (cat. no. P0013B; Beyotime Biotechnology), and protein concentrations were further quantified using the same BCA protein assay kit as described in the ELISA section. A total of 30 µg protein per sample was used in SDS-PAGE for separation, before the separated proteins were transferred to PVDF membranes. After blocking with 5% non-fat milk at room temperature for 1 h, the membranes were probed with primary antibodies overnight at 4˚C. Following primary antibody incubation, the membranes were washed incubated with HRP-conjugated goat anti-rabbit IgG (1:5,000; cat. no. GB23303; Wuhan Servicebio Technology Co., Ltd.) or HRP-conjugated goat anti-mouse IgG (1:5,000; cat. no. GB23301; Wuhan Servicebio Technology Co., Ltd.) at room temperature for 2 h, depending on the host species of the primary antibodies. Blots were developed in the dark using an enhanced chemiluminescence (ECL) reagent (cat. no. WBKLS0100; MilliporeSigma), and protein bands were visualized using a gel documentation system (ChemiDoc MP; Bio-Rad Laboratories, Inc.). The densitometric analysis of the protein bands was performed using ImageJ software, version 1.53t (National Institutes of Health). The primary antibodies used in the present study included the following rabbit antibodies: Anti-beclin 1 (1:1,000; cat. no. AF5128; Affinity Biosciences, Ltd.), anti-p62 (1:1,000; cat. no. AF5384; Affinity Biosciences, Ltd.), anti-LC3 (1:1,000; cat. no. 14600-1-AP; Proteintech Group, Inc.), anti-caspase-1 (1:1,000; cat. no. 22915-1-AP; Proteintech Group, Inc.), anti-cleaved-caspase-1 (1:1,000; cat. no. AF4005; Affinity Biosciences, Ltd.), anti-GSDMD (1:1,000; cat. no. 20770-1-AP; Proteintech Group, Inc.), anti-GSDMD-N (1:1,000; cat. no. ER1901-37; HUABIO), anti-NLR family pyrin domain containing 3 (NLRP3; 1:1,000; cat. no. DF7438; Affinity Biosciences, Ltd.), anti-apoptosis-associated speck-like protein containing a CARD (ASC; 1:1,000; cat. no. DF6304; Affinity Biosciences, Ltd.), anti-IL-18 (1:1,000; cat. no. DF6252; Affinity Biosciences, Ltd.) and anti-β-actin (1:5,000; cat. no. AF7018; Affinity Biosciences, Ltd.). Mouse antibodies included: Anti-SIRT1 (1:2,000; cat. no. 60303-1-Ig; Proteintech Group, Inc.) and anti-PPAR-γ (1:2,000; cat. no. 66936-1-Ig; Proteintech Group, Inc.).

Statistical analysis

SPSS (version 24.0; IBM Corp.) was used for statistical analysis. Data were obtained from at least three independent experiments and are presented as the mean ± SD. Comparisons among multiple groups were analyzed using one-way ANOVA followed by Tukey's post hoc test. P<0.05 was considered to indicate a statistically significant difference.

Results

MaR1 ameliorates HG-induced ARPE-19 cell damage

As shown in Fig. 1A, MaR1 treatment at 1, 10 and 100 nmol/l did not significantly affect the viability of ARPE-19 cells under control conditions. However, under HG conditions, cell viability dropped significantly. By contrast, MaR1 reversed this viability reduction in a dose-dependent manner (Fig. 1B). ELISA assays revealed higher TNF-α, IL-1β and IL-6 levels in the supernatant of HG-exposed cells compared with those in the NG group. MaR1 treatment significantly mitigated the secretion of these inflammatory factors. Specifically, the 100 nmol/l dose exhibited the most potent anti-inflammatory effect, significantly suppressing cytokine levels compared with the lower doses (1 and 10 nmol/l), indicating a dose-dependent inhibition (Fig. 1C).

MaR1 ameliorates HG-induced ARPE-19
cell damage. (A) Effect of MaR1 treatment at varying concentrations
on ARPE-19 cell viability. (B) Effect of MaR1 treatment at varying
concentrations on HG-induced ARPE-19 cell viability. (C) Effect of
MaR1 treatment at varying concentrations on the HG-induced release
of inflammatory factors from ARPE-19 cells. Data are presented as
the mean ± SEM (n=3). *P<0.05, **P<0.01
and ***P<0.001. MaR1, maresin 1; HG, high glucose;
NG, normal glucose.

Figure 1

MaR1 ameliorates HG-induced ARPE-19 cell damage. (A) Effect of MaR1 treatment at varying concentrations on ARPE-19 cell viability. (B) Effect of MaR1 treatment at varying concentrations on HG-induced ARPE-19 cell viability. (C) Effect of MaR1 treatment at varying concentrations on the HG-induced release of inflammatory factors from ARPE-19 cells. Data are presented as the mean ± SEM (n=3). *P<0.05, **P<0.01 and ***P<0.001. MaR1, maresin 1; HG, high glucose; NG, normal glucose.

MaR1 ameliorates HG-induced pyroptosis in ARPE-19 cells

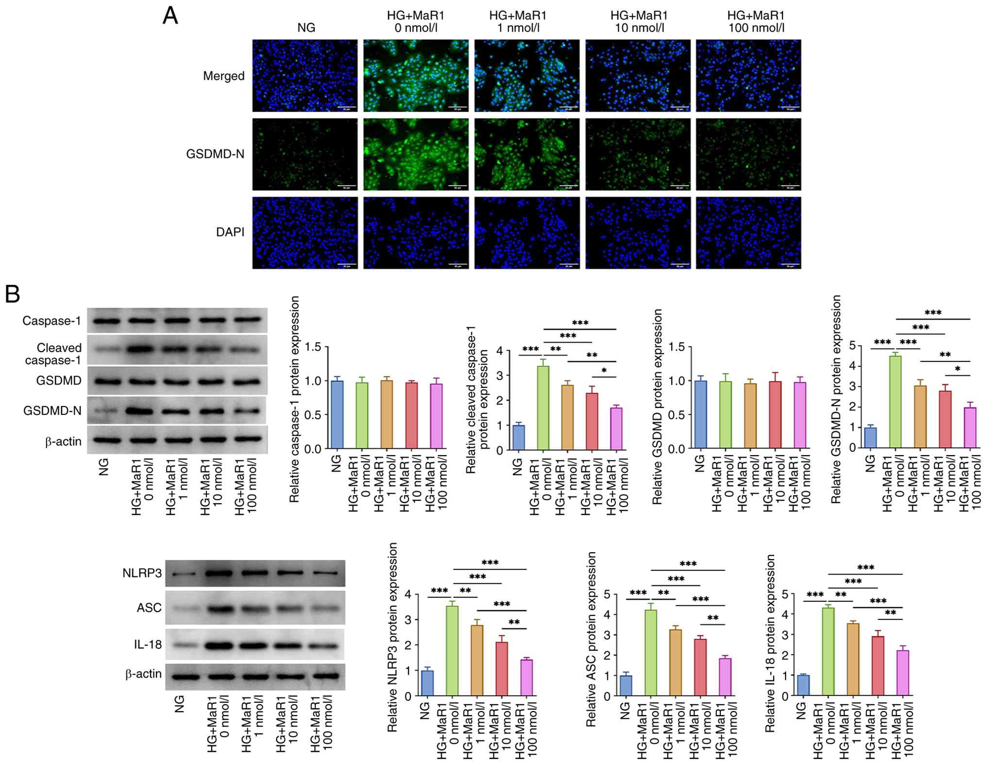
Immunofluorescence staining revealed that the expression of the pyroptosis marker GSDMD-N increased following HG exposure, as assessed through fluorescence intensity (Fig. 2A). However, MaR1 treatment significantly reduced this HG-induced fluorescence intensity. Western blotting further demonstrated that caspase-1 and GSDMD expression displayed no significant changes across different treatment groups. By contrast, ARPE-19 cells in the HG group exhibited markedly higher levels of GSDMD-N, cleaved caspase-1, NLRP3, ASC and IL-18 compared with those in the NG group (Fig. 2B). Crucially, MaR1 treatment reversed the upregulation of these pyroptosis-related proteins. These findings suggested that HG stimulation induced pyroptosis in ARPE-19 cells and that MaR1 dose-dependently inhibited the HG-induced increase in the expression of pyroptosis-related proteins.

MaR1 ameliorates HG-induced
pyroptosis in ARPE-19 cells. (A) Effect of MaR1 treatment at
varying concentrations on the fluorescence intensity of GSDMD-N in
HG-induced ARPE-19 cells. Scale bar, 50 µm. (B) Effect of MaR1
treatment at varying concentrations on the expression of
pyroptosis-related proteins (caspase-1, GSDMD, GSDMD-N, cleaved
caspase-1, NLRP3, ASC and IL-18) in HG-induced ARPE-19
cells.*P<0.05, **P<0.01 and
***P<0.001. MaR1, maresin 1; HG, high glucose; NG,
normal glucose; GSDMD, gasdermin D; GSDMD-N, GSDMD N-terminal;
NLRP3, NLR family pyrin domain containing 3; ASC,
apoptosis-associated speck-like protein containing a CARD.

Figure 2

MaR1 ameliorates HG-induced pyroptosis in ARPE-19 cells. (A) Effect of MaR1 treatment at varying concentrations on the fluorescence intensity of GSDMD-N in HG-induced ARPE-19 cells. Scale bar, 50 µm. (B) Effect of MaR1 treatment at varying concentrations on the expression of pyroptosis-related proteins (caspase-1, GSDMD, GSDMD-N, cleaved caspase-1, NLRP3, ASC and IL-18) in HG-induced ARPE-19 cells.*P<0.05, **P<0.01 and ***P<0.001. MaR1, maresin 1; HG, high glucose; NG, normal glucose; GSDMD, gasdermin D; GSDMD-N, GSDMD N-terminal; NLRP3, NLR family pyrin domain containing 3; ASC, apoptosis-associated speck-like protein containing a CARD.

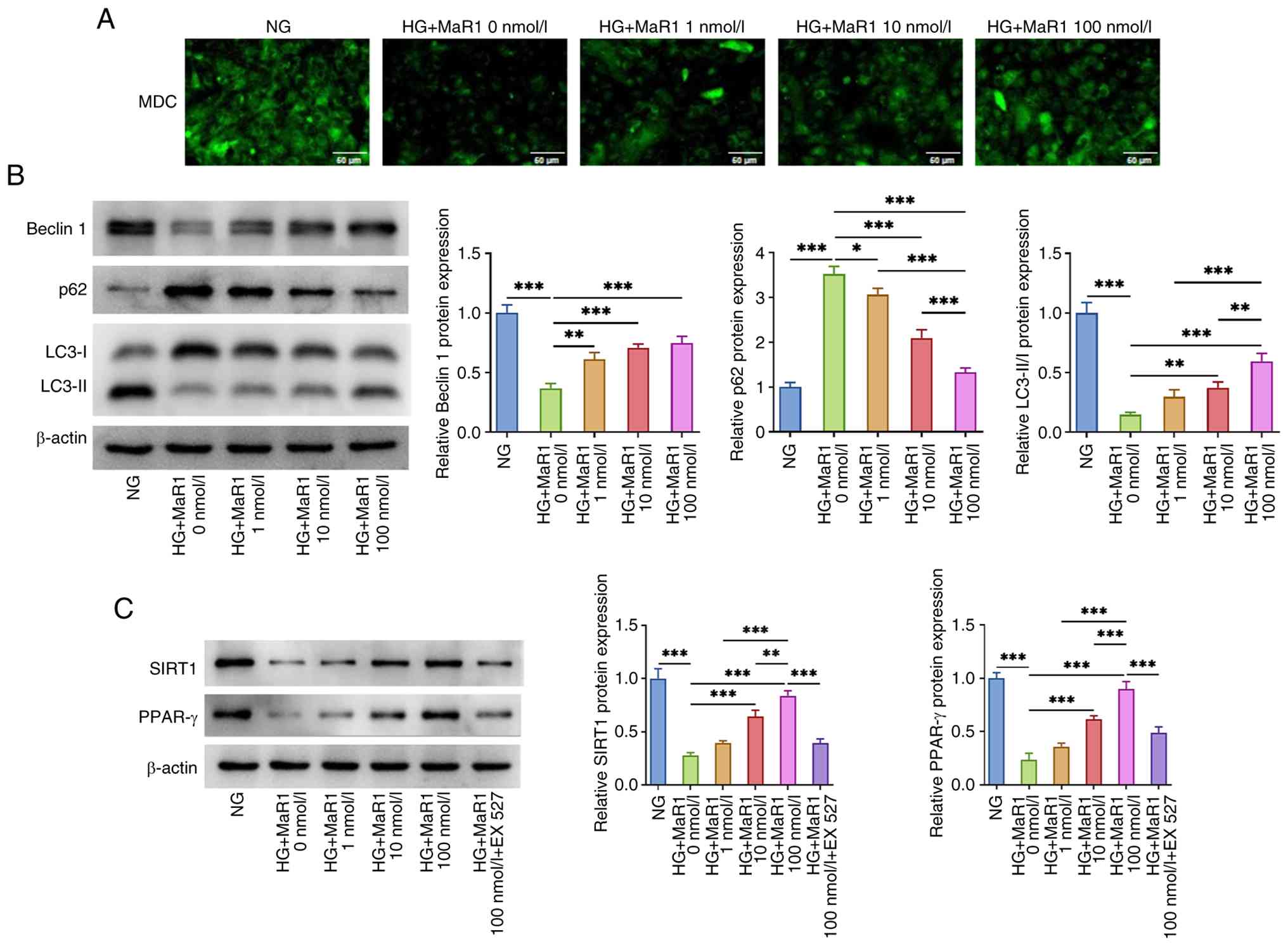
MaR1 improves HG-induced autophagy in ARPE-19 cells and regulates SIRT1/PPAR-γ signaling

MDC staining revealed that ARPE-19 cells in the HG group exhibited lower MDC fluorescence intensity compared with that in the NG group, suggesting that HG conditions led to a reduction in autophagic flux in ARPE-19 cells (Fig. 3A). Western blot results further corroborated this finding, as evidenced by the decreased expression of beclin 1, decreased LC3-II/I ratio and increased expression of p62 in the HG-treated group compared with the corresponding levels in the NG group (Fig. 3B). However, MaR1 reinstated the autophagic flux in HG-stimulated ARPE-19 cells in a concentration-dependent manner. Furthermore, it was observed that HG exposure reduced the expression levels of SIRT1 and PPAR-γ in ARPE-19 cells, whereas MaR1 reversed this reduction. Notably, the expression of SIRT1 and PPAR-γ significantly increased with higher doses of MaR1 (Fig. 3C). By contrast, the addition of the SIRT1 inhibitor EX527 effectively abolished the MaR1-induced upregulation of both SIRT1 and PPAR-γ, confirming the involvement of the SIRT1 pathway (Fig. 3C).

MaR1 improves HG-induced autophagy in
ARPE-19 cells and regulates SIRT1/PPAR-γ signaling. (A) Effect of
varying concentrations of MaR1 on autophagy flux in HG-induced
ARPE-19 cells. Scale bar, 50 µm. (B) Effect of MaR1 treatment at
varying concentrations on the expression of autophagy-related
proteins (beclin 1, LC3-II/I and p62) in HG-induced ARPE-19 cells.
(C) Effect of MaR1 treatment at varying concentrations on the
expression of SIRT1 and PPAR-γ in HG-induced ARPE-19 cells.
*P<0.05, **P<0.01 and
***P<0.001. MaR1, maresin 1; HG, high glucose; NG,
normal glucose; SIRT1, sirtuin 1; PPAR-γ, peroxisome
proliferator-activated receptor-γ; MDC, monodansylcadaverine.

Figure 3

MaR1 improves HG-induced autophagy in ARPE-19 cells and regulates SIRT1/PPAR-γ signaling. (A) Effect of varying concentrations of MaR1 on autophagy flux in HG-induced ARPE-19 cells. Scale bar, 50 µm. (B) Effect of MaR1 treatment at varying concentrations on the expression of autophagy-related proteins (beclin 1, LC3-II/I and p62) in HG-induced ARPE-19 cells. (C) Effect of MaR1 treatment at varying concentrations on the expression of SIRT1 and PPAR-γ in HG-induced ARPE-19 cells. *P<0.05, **P<0.01 and ***P<0.001. MaR1, maresin 1; HG, high glucose; NG, normal glucose; SIRT1, sirtuin 1; PPAR-γ, peroxisome proliferator-activated receptor-γ; MDC, monodansylcadaverine.

MaR1 ameliorates HG-induced inflammatory response and autophagy in ARPE-19 cells through SIRT1/PPAR-γ signaling

To explore the association between the SIRT1/PPAR-γ signaling pathway and the action of MaR1, the SIRT1 inhibitor EX527 was used to pretreat ARPE-19 cells before exposure to HG. Based on the preliminary findings that 100 nmol/l MaR1 exhibited the most potent protective and anti-inflammatory effects (Fig. 1, Fig. 2 and Fig. 3), this concentration was selected for all subsequent rescue experiments. ELISA results indicated that although MaR1 effectively inhibited the expression of inflammatory factors induced by HG in ARPE-19 cells, the administration of EX527 partially reversed this inhibition (Fig. 4A). In addition, EX527 reduced the ability of MaR1 to restore the autophagic flux (Fig. 4B), upregulate beclin 1 and LC3-II/I expression levels or reduce p62 levels (Fig. 4C) in HG-stimulated ARPE-19 cells.

MaR1 ameliorates HG-induced
inflammatory response and autophagy in ARPE-19 cells through
SIRT1/peroxisome proliferator-activated receptor-γ signaling. (A)
SIRT1 inhibitor EX527 resulted in an increase in inflammatory
factor levels in ARPE-19 cells treated with HG and MaR1. (B) EX527
reduced the autophagic flux in ARPE-19 cells treated with HG and
MaR1. Scale bar, 50 µm. (C) EX527 decreased the expression of
beclin 1 and LC3-II/I and elevated the expression of p62 in ARPE-19
cells treated with HG and MaR1. *P<0.05,
**P<0.01 and ***P<0.001. MaR1, maresin
1; HG, high glucose; NG, normal glucose; SIRT1, sirtuin 1; MDC,
monodansylcadaverine.

Figure 4

MaR1 ameliorates HG-induced inflammatory response and autophagy in ARPE-19 cells through SIRT1/peroxisome proliferator-activated receptor-γ signaling. (A) SIRT1 inhibitor EX527 resulted in an increase in inflammatory factor levels in ARPE-19 cells treated with HG and MaR1. (B) EX527 reduced the autophagic flux in ARPE-19 cells treated with HG and MaR1. Scale bar, 50 µm. (C) EX527 decreased the expression of beclin 1 and LC3-II/I and elevated the expression of p62 in ARPE-19 cells treated with HG and MaR1. *P<0.05, **P<0.01 and ***P<0.001. MaR1, maresin 1; HG, high glucose; NG, normal glucose; SIRT1, sirtuin 1; MDC, monodansylcadaverine.

MaR1 mediates autophagy through SIRT1/PPAR-γ signaling to ameliorate HG-induced pyroptosis in ARPE-19 cells

To further examine how SIRT1/PPAR-γ signaling-mediated autophagy is associated with the effects of MaR1, ARPE-19 cells were pretreated with the SIRT1 inhibitor EX527. Additionally, to rigorously confirm the specific involvement of the autophagy pathway in MaR1-mediated protection, the autophagy inhibitor 3-MA was used before subjecting the cells to HG. The findings showed that MaR1 markedly decreased GSDMD-N fluorescence intensity in ARPE-19 cells (Fig. 5A) and reduced the expression levels of GSDMD-N, cleaved caspase-1, NLRP3, ASC and IL-18 compared with those in the HG group (Fig. 5B). However, both EX527 and 3-MA significantly reversed the protective effects of MaR1, leading to the re-elevation of these pyroptosis-related markers. Notably, the 3-MA treatment resulted in significantly higher protein expression levels compared with the EX527 treatment, suggesting that direct autophagy inhibition had a more pronounced effect on blocking MaR1 activity than SIRT1 inhibition in this context.

MaR1 mediates autophagy through
SIRT1/peroxisome proliferator-activated receptor-γ signaling to
ameliorate HG-induced pyroptosis in ARPE-19 cells. (A) SIRT1
inhibitor EX527 and autophagy inhibitor 3-MA enhanced the
fluorescence intensity of GSDMD-N in ARPE-19 cells treated with HG
and MaR1. Scale bar, 50 µm. (B) EX527 and 3-MA upregulated the
expression of GSDMD-N, cleaved caspase-1, NLRP3, ASC and IL-18 in
ARPE-19 cells treated with HG and MaR1. *P<0.05,
**P<0.01 and ***P<0.001. MaR1, maresin
1; HG, high glucose; NG, normal glucose; SIRT1, sirtuin 1; GSDMD,
gasdermin D; GSDMD-N, GSDMD N-terminal; NLRP3, NLR family pyrin
domain containing 3; ASC, apoptosis-associated speck-like protein
containing a CARD; 3-MA, 3-methyladenine.

Figure 5

MaR1 mediates autophagy through SIRT1/peroxisome proliferator-activated receptor-γ signaling to ameliorate HG-induced pyroptosis in ARPE-19 cells. (A) SIRT1 inhibitor EX527 and autophagy inhibitor 3-MA enhanced the fluorescence intensity of GSDMD-N in ARPE-19 cells treated with HG and MaR1. Scale bar, 50 µm. (B) EX527 and 3-MA upregulated the expression of GSDMD-N, cleaved caspase-1, NLRP3, ASC and IL-18 in ARPE-19 cells treated with HG and MaR1. *P<0.05, **P<0.01 and ***P<0.001. MaR1, maresin 1; HG, high glucose; NG, normal glucose; SIRT1, sirtuin 1; GSDMD, gasdermin D; GSDMD-N, GSDMD N-terminal; NLRP3, NLR family pyrin domain containing 3; ASC, apoptosis-associated speck-like protein containing a CARD; 3-MA, 3-methyladenine.

Discussion

In the pathological progression of DR, an association exists between autophagy and pyroptosis, which is key in regulating the fate of retinal cells and the development of DR. As a notable pathogenic factor of DR, the HG environment induces metabolic disorders in RPE cells, including mitochondrial dysfunction, thereby triggering a series of cellular stress responses that contribute to HG-induced retinal damage. HG impairs mitochondrial respiratory chain function, particularly by suppressing the activities of complexes I and III, which in turn results in the overproduction of reactive oxygen species (ROS) within mitochondria. These ROS further damage the mitochondrial membrane structure and function, hindering the normal metabolism and energy supply of mitochondria. If damaged mitochondria are not promptly cleared, they will continuously generate ROS, forming a vicious cycle that exacerbates intracellular oxidative stress levels. Accumulating evidence indicates that oxidative and carbonyl stress, fueled by overproduction of ROS and reactive carbonyl species (such as methylglyoxal), act as a drivers of diabetic complications, including retinopathy, neuropathy and nephropathy (27,28). Therefore, inhibiting ROS production and scavenging excess ROS have been suggested as potential therapeutic strategies for DR (29).

Pyroptosis is an inflammatory type of programmed necrosis that regulates a number of cellular pathophysiological processes. During the pathological progression of DR, upstream pyroptosis-related molecules, such as GSDMD and GSDME are overexpressed, leading to cellular perforation, this process causes ruptured cells to release potent pro-inflammatory cytokines, specifically IL-1β, IL-18 and high mobility group box 1, thereby triggering inflammatory cell death and amplifying the chronic inflammatory response in the retina (11-13). NLRP3 inflammasome activation is associated with pyroptosis occurrence. In an HG environment, NLRP3 inflammasome, a multiprotein complex primarily composed of NLRP3 and the adaptor protein ASC and caspase-1, is activated by various signals. These include ROS produced by damaged mitochondria, as well as other cellular stress signals, such as potassium (K+) efflux, and endoplasmic reticulum stress (30,31). Once activated, the NLRP3 inflammasome processes procaspase-1 into active caspase-1. Active caspase-1 in turn cleaves the GSDMD protein to produce the GSDMD-N fragment. This fragment forms pores on the cell membrane, leading to the release of cellular contents and subsequent inflammatory responses and pyroptosis (32-34). Research has shown that in HG-induced RPE cell models, NLRP3 inflammasome activation increases markedly, alongside a notable rise in GSDMD-N levels, demonstrating that HG-induced pyroptosis occurs in these cells (35).

Autophagy, as an important intracellular self-protection mechanism, serves a key role in responding to mitochondrial damage (36,37). When damaged mitochondria accumulate in cells, autophagy is activated to encapsulate the damaged mitochondria into autophagosomes, which subsequently fuse with lysosomes, leading to the degradation of damaged mitochondria. Furthermore, 14S-hydroperoxydocosahexaenoic acid (14S-HpDHA) is an intermediate in the MaR synthesis pathway and previous studies have shown that 14S-HpDHA reaches a peak during the resolution of inflammation, suggesting that MaR is involved in inhibiting inflammation (24,38). MaR1 is a chemical isomer of MaR and growing evidence indicates that MaR1 can alleviate inflammatory responses and inhibit ROS production in various models, including LPS-stimulated human periodontal ligament cells, as well as rodent models of neuropathic pain and liver ischemia-reperfusion injury (21,39). The present study demonstrated that MaR1 supports autophagic recovery by upregulating autophagy-related genes and proteins. Beclin 1, a known initiator of autophagy, showed increased expression after MaR1 treatment, thereby indicating increased autophagosome formation. An elevated LC3-II/I ratio suggested greater autophagosome formation and turnover, implying that MaR1 enhanced autophagic flux by modulating LC3 conversion. Furthermore, reduced expression of p62, an autophagic degradation substrate, served as an indirect marker of enhanced autophagic activity (40). This suggests that MaR1 promotes efficient p62 degradation, reinforcing the role of MaR1in restoring autophagy in ARPE-19 cells. Simultaneously, the results suggested that 3-MA, an autophagy inhibitor, may abrogate the regulatory effect of MaR1 on pyroptosis, further demonstrating the key role of autophagy in MaR1-mediated attenuation of HG-induced cellular pyroptosis.

Autophagy and pyroptosis exhibit a negative regulatory association, in which autophagy can suppress pyroptosis. Mitophagy-mediated clearance of damaged mitochondria reduces ROS production, which in turn lowers NLRP3 inflammasome activation and suppresses pyroptosis. This provides an important protective mechanism for maintaining the homeostasis and function of retinal cells. Impaired autophagic function fails to efficiently clear damaged mitochondria or prevent NLRP3 inflammasome activation, triggering excessive pyroptosis, worsening retinal cell damage and death, as well as further driving the progression of DR (34,41). Therefore, further research on the pathological importance of the autophagy-pyroptosis crosstalk holds important theoretical and clinical value for understanding the pathogenesis of DR and identifying effective therapeutic targets.

SIRT1 is a NAD+-dependent deacetylase that performs a number of biological functions, such as regulating cellular metabolism via PGC-1α, oxidative stress responses and inflammatory processes through FOXO1 and Nrf2, and inflammatory processes by inhibiting the NF-κB signaling pathway (42). Previous studies have shown that activation of SIRT1 not only inhibits oxidative stress-induced apoptosis but also alleviates vascular dysfunction, exerting a protective effect against diabetes-induced retinal vascular leakage (43). PPAR-γ is a nuclear receptor that serves as a key regulator of lipid metabolism, inflammation modulation and cellular differentiation. SIRT1 exerts its functions through activating PPAR-γ (44). With regard to the regulatory mechanism of SIRT1 on PPAR-γ, two possible pathways exis.t: i) Direct deacetylation; and ii) indirect regulation through other intermediate molecules. In terms of direct deacetylation, studies have demonstrated that SIRT1 physically interacts with PPAR-γ and specifically mediates its deacetylation at key lysine residues (45,46). For instance, SIRT1 can deacetylate and activate PGC-1α, which serves as a potent co-activator for PPAR-γ, thereby enhancing its transcriptional activity (47). Additionally, SIRT1-mediated deacetylation of the NF-κB p65 subunit inhibits its transcriptional activity, which in turn alleviates the NF-κB-dependent transcriptional repression of PPAR-γ. This restoration of PPAR-γ signaling maintains mitochondrial homeostasis and antioxidant defenses in ARPE-19 cells under stress, as evidenced by the upregulation of downstream targets such as PGC-1α and SOD2 (48,49). The present study found that MaR1 pretreatment could restore the expression of SIRT1 and PPAR-γ in HG-induced ARPE-19 cells. This suggests that MaR1-mediated upregulation of the SIRT1/PPAR-γ signaling pathway may be a key potential mechanism underlying its effects in restoring autophagy, inhibiting pyroptosis and attenuating inflammatory responses. This hypothesis was further supported by employing a SIRT1 inhibitor. The results revealed that the SIRT1 inhibitor could simultaneously attenuate the regulatory effects of MaR1 on inflammation, pyroptosis and autophagy. This finding highlights the importance of the SIRT1/PPAR-γ signaling pathway in MaR1-mediated regulation of cellular pyroptosis and autophagy, contributing towards a more comprehensive understanding of the mechanism of action of MaR1. Therefore, future research should focus on elucidating the molecular association between SIRT1 and PPAR-γ, while also further exploring their synergy with regard to the regulation of autophagy and suppression of pyroptosis by MaR1, thus providing a clearer understanding of the regulatory mechanisms of this signaling pathway in DR.

In the present study, it was demonstrated that MaR1 treatment effectively restored the viability of ARPE-19 cells exposed to an HG environment. The results showed that under HG conditions, the metabolic and physiological functions of ARPE-19 cells were markedly impaired, leading to a significant decreased in cell viability. However, MaR1 treatment reversed these effects. Specifically, the data suggested that MaR1 might enhance cell viability by activating the SIRT1/PPAR-γ signaling pathways. Additionally, it was observed that MaR1 significantly reduced the levels of inflammatory factors in HG-exposed ARPE-19 cells, further supporting its protective role.

The present study demonstrated that MaR1 restored autophagy, potentially by upregulating the SIRT1/PPAR-γ signaling pathway, thereby effectively attenuating HG-induced pyroptosis and inflammatory responses in ARPE-19 cells (Fig. 6). However, a limitation of the present study is that the experiments were conducted using ARPE-19 cells. In vitro cell models offer advantages, such as easy control of experimental conditions and relatively simple operation, facilitating the investigation of intracellular molecular mechanisms and signaling pathways. However, notable differences exist between in vitro cell models and the complex physiological environment observed in vivo. Cells in vivo are influenced by numerous factors, including cell-cell interactions, the tissue microenvironment and systemic metabolic status, which are difficult to fully simulate through in vitro models.

Schematic illustration of the
protective mechanism of MaR1 against HG-induced pyroptosis in
ARPE-19 cells. High glucose stimulation triggers the overproduction
of ROS, leading to the activation of the NLRP3 inflammasome complex
(comprising NLRP3, ASC and Caspase-1). This activation results in
the cleavage of GSDMD, which forms membrane pores (GSDMD-N) and
promotes the release of pro-inflammatory cytokines, ultimately
inducing pyroptosis. However, MaR1 treatment effectively
upregulates SIRT1 expression, which in turn enhances PPAR-γ levels
and restores autophagic flux. The restored autophagy facilitates
the clearance of damaged mitochondria and ROS, thereby inhibiting
the NLRP3/GSDMD signaling pathway and protecting ARPE-19 cells from
HG-induced inflammatory damage. SIRT1, sirtuin 1; PPAR-γ,
peroxisome proliferator-activated receptor-γ; ROS, reactive oxygen
species; GSDMD-N, gasdermin D N-terminal; NLRP3, NLR family pyrin
domain containing 3; ASC, apoptosis-associated speck-like protein
containing a CARD.

Figure 6

Schematic illustration of the protective mechanism of MaR1 against HG-induced pyroptosis in ARPE-19 cells. High glucose stimulation triggers the overproduction of ROS, leading to the activation of the NLRP3 inflammasome complex (comprising NLRP3, ASC and Caspase-1). This activation results in the cleavage of GSDMD, which forms membrane pores (GSDMD-N) and promotes the release of pro-inflammatory cytokines, ultimately inducing pyroptosis. However, MaR1 treatment effectively upregulates SIRT1 expression, which in turn enhances PPAR-γ levels and restores autophagic flux. The restored autophagy facilitates the clearance of damaged mitochondria and ROS, thereby inhibiting the NLRP3/GSDMD signaling pathway and protecting ARPE-19 cells from HG-induced inflammatory damage. SIRT1, sirtuin 1; PPAR-γ, peroxisome proliferator-activated receptor-γ; ROS, reactive oxygen species; GSDMD-N, gasdermin D N-terminal; NLRP3, NLR family pyrin domain containing 3; ASC, apoptosis-associated speck-like protein containing a CARD.

To comprehensively verify the findings of the present study, further research in diabetic animal models is required. Currently, commonly used models include the streptozotocin (STZ)-induced diabetic rat model and the db/db diabetic mouse models, among others (50). Based on these models, diabetes can be established by intraperitoneal injection of STZ or using the gene knockout technology, followed by MaR1 intervention to observe the therapeutic effect on DR. Detecting autophagy and pyroptosis-related markers in retinal tissues, such as LC3 and GSDMD-N protein expression levels, along with inflammatory factor release, will allow for the assessment of whether the regulation of autophagy and pyroptosis by MaR1 extends to in vivo contexts. This will offer more robust theoretical evidence and experimental support for the use of MaR1 in DR therapy, while also advancing its translation from basic research to clinical practice.

Acknowledgements

Not applicable.

Funding

Funding: The present study was funded by the Medical Science Research Project of Hebei (grant no. 20240063) and the 2024 Government-Funded Training Program for Outstanding Clinical Medicine Talents (grant no. ZF2024074).

Availability of data and materials

The data generated in the present study may be requested from the corresponding author.

Authors' contributions

JZ collected and collated research data, drafted the initial manuscript and revised it based on peer review feedback. DZ designed the research methods, analyzed/interpreted key experimental results and helped refine the discussion section to enhance the academic depth of the manuscript. YZ conducted the literature review (systematic study screening and background summary), performed data analysis, and contributed to the interpretation of the results, ensuring the reliability and scientific rigor of the research foundation.. HaoS assisted with experimental procedures and the analysis and interpretation of the acquired data. ZY participated in the statistical analysis of experimental data (through professional software for data processing/validation) and manuscript proofreading (formatting and language error correction). HaiS conceived and designed the research framework, supervised the entire manuscript preparation process, provided critical revisions on intellectual content, approved the final publishable version and is accountable for all work aspects, ensuring proper investigation/resolution of issues related to research accuracy or integrity. JZ and HaiS confirm the authenticity of all the raw data. All authors read and approved the final version of the manuscript.

Ethics approval and consent to participate

Not applicable.

Patient consent for publication

Not applicable.

Competing interests

The authors declare that they have no competing interests.

References

1 

Teo ZL, Tham YC, Yu M, Chee ML, Rim TH, Cheung N, Bikbov MM, Wang YX, Tang Y, Lu Y, et al: Global prevalence of diabetic retinopathy and projection of burden through 2045: systematic review and Meta-analysis. Ophthalmology. 128:1580–1591. 2021.PubMed/NCBI View Article : Google Scholar

2 

Kim DH, Kim JH, Hwangbo H, Kim SY, Ji SY, Kim MY, Cha HJ, Park C, Hong SH, Kim GY, et al: Spermidine attenuates oxidative Stress-induced apoptosis via blocking Ca2+ overload in retinal pigment epithelial cells independently of ROS. Int J Mol Sci. 22(1361)2021.PubMed/NCBI View Article : Google Scholar

3 

Schäfer N, Wolf HN, Enzbrenner A, Schikora J, Reichenthaler M, Enzmann V and Pauly D: Properdin modulates complement component production in stressed human primary retinal pigment epithelium cells. Antioxidants (Basel). 9(793)2020.PubMed/NCBI View Article : Google Scholar

4 

Zhang Q, Li HS, Li R, Du JH and Jiao C: Autophagy dysregulation mediates the damage of high glucose to retinal pigment epithelium cells. Int J Ophthalmol. 14:805–811. 2021.PubMed/NCBI View Article : Google Scholar

5 

Liang GH, Luo YN, Wei RZ, Yin JY, Qin ZL, Lu LL and Ma WH: CircZNF532 knockdown protects retinal pigment epithelial cells against high glucose-induced apoptosis and pyroptosis by regulating the miR-20b-5p/STAT3 axis. J Diabetes Investig. 13:781–795. 2022.PubMed/NCBI View Article : Google Scholar

6 

Huang HW, Yang CM and Yang CH: Fibroblast growth factor type 1 ameliorates High-Glucose-induced oxidative stress and neuroinflammation in retinal pigment epithelial cells and a Streptozotocin-induced diabetic rat model. Int J Mol Sci. 22(7233)2021.PubMed/NCBI View Article : Google Scholar

7 

Hu Z, Wang X, Hu Q and Chen X: Exploring the protective effects of herbal monomers against diabetic retinopathy based on the regulation of autophagy and apoptosis: A review. Medicine (Baltimore). 102(e35541)2023.PubMed/NCBI View Article : Google Scholar

8 

Adornetto A, Gesualdo C, Laganà ML, Trotta MC, Rossi S and Russo R: Autophagy: A novel pharmacological target in diabetic retinopathy. Front Pharmacol. 12(695267)2021.PubMed/NCBI View Article : Google Scholar

9 

Feng L, Liang L, Zhang S, Yang J, Yue Y and Zhang X: HMGB1 downregulation in retinal pigment epithelial cells protects against diabetic retinopathy through the Autophagy-lysosome pathway. Autophagy. 18:320–339. 2022.PubMed/NCBI View Article : Google Scholar

10 

Mustafa M, Ahmad R, Tantry IQ, Ahmad W, Siddiqui S, Alam M, Abbas K, Moinuddin Hassan MI, Habib S and Islam S: Apoptosis: A comprehensive overview of signaling pathways, morphological changes, and physiological significance and therapeutic implications. Cells. 13(1838)2024.PubMed/NCBI View Article : Google Scholar

11 

Zheng X, Wan J and Tan G: The mechanisms of NLRP3 inflammasome/pyroptosis activation and their role in diabetic retinopathy. Front Immunol. 14(1151185)2023.PubMed/NCBI View Article : Google Scholar

12 

Al Mamun A, Mimi AA, Zaeem M, Wu Y, Monalisa I, Akter A, Munir F and Xiao J: Role of pyroptosis in diabetic retinopathy and its therapeutic implications. Eur J Pharmacol. 904(174166)2021.PubMed/NCBI View Article : Google Scholar

13 

Wu C, Chen H, Zhuang R, Zhang H, Wang Y, Hu X, Xu Y, Li J, Li Y, Wang X, et al: Betulinic acid inhibits pyroptosis in spinal cord injury by augmenting autophagy via the AMPK-mTOR-TFEB signaling pathway. Int J Biol Sci. 17:1138–1152. 2021.PubMed/NCBI View Article : Google Scholar

14 

Cai D, Li C, Zhang Y, He S, Guo Y, Liao W, Liao Y, Bin J and He X: CircHipk3 serves a dual role in macrophage pyroptosis by promoting NLRP3 transcription and inhibition of autophagy to induce abdominal aortic aneurysm formation. Clin Transl Med. 14(e70102)2024.PubMed/NCBI View Article : Google Scholar

15 

Zheng Q, Wang D, Lin R and Xu W: Pyroptosis, ferroptosis, and autophagy in spinal cord injury: Regulatory mechanisms and therapeutic targets. Neural Regen Res. 20:2787–2806. 2025.PubMed/NCBI View Article : Google Scholar

16 

Yin Z, Zhang J, Zhao M, Peng S, Ye J, Liu J, Xu Y, Xu S, Pan W, Wei C, et al: Maresin-1 ameliorates hypertensive vascular remodeling through its receptor LGR6. MedComm (2020). 5(e491)2024.PubMed/NCBI View Article : Google Scholar

17 

Saito-Sasaki N, Sawada Y and Nakamura M: Maresin-1 and inflammatory disease. Int J Mol Sci. 23(1367)2022.PubMed/NCBI View Article : Google Scholar

18 

Rodríguez MJ, Sabaj M, Tolosa G, Herrera Vielma F, Zúñiga MJ, González DR and Zúñiga-Hernández J: Maresin-1 prevents liver fibrosis by targeting Nrf2 and NF-κB, reducing oxidative stress and inflammation. Cells. 10(3406)2021.PubMed/NCBI View Article : Google Scholar

19 

Zhao M, Xian W, Liu W, Chen D, Wang S and Cao J: Maresin1 alleviates neuroinflammation by inhibiting caspase-3/GSDME-mediated pyroptosis in mice cerebral ischemia-reperfusion model. J Stroke Cerebrovasc Dis. 33(107789)2024.PubMed/NCBI View Article : Google Scholar

20 

Du L, Li Y and Liu W: Maresin 1 regulates autophagy and inflammation in human periodontal ligament cells through glycogen synthase kinase-3β/β-catenin pathway under inflammatory conditions. Arch Oral Biol. 87:242–247. 2018.PubMed/NCBI View Article : Google Scholar

21 

Yin P, Wang X, Wang S, Wei Y, Feng J and Zhu M: Maresin 1 improves cognitive decline and ameliorates inflammation in a mouse model of Alzheimer's disease. Front Cell Neurosci. 13(466)2019.PubMed/NCBI View Article : Google Scholar

22 

Li Y, Liu J, Ma X and Bai X: Maresin-1 inhibits high glucose induced ferroptosis in ARPE-19 cells by activating the Nrf2/HO-1/GPX4 pathway. BMC Ophthalmol. 23(368)2023.PubMed/NCBI View Article : Google Scholar

23 

Wang Y, Li R, Chen L, Tan W, Sun Z, Xia H, Li B, Yu Y, Gong J, Tang M, et al: Maresin 1 inhibits Epithelial-to-Mesenchymal transition in vitro and attenuates bleomycin induced lung fibrosis in vivo. Shock. 44:496–502. 2015.PubMed/NCBI View Article : Google Scholar

24 

Zhang P, Yin Y, Wang T, Li W, Li C, Zeng X, Yang W, Zhang R, Tang Y, Shi L, et al: Maresin 1 mitigates concanavalin A-induced acute liver injury in mice by inhibiting ROS-mediated activation of NF-κB signaling. Free Radic Biol Med. 147:23–36. 2020.PubMed/NCBI View Article : Google Scholar

25 

Wang G and Lin N: NAD-Dependent protein deacetylase Sirtuin-1 mediated mitophagy regulates early brain injury after subarachnoid hemorrhage. J Inflamm Res. 17:1971–1981. 2024.PubMed/NCBI View Article : Google Scholar

26 

Sheng Y, Sun B, Guo WT, Zhang YH, Liu X, Xing Y and Dong DL: 3-Methyladenine induces cell death and its interaction with chemotherapeutic drugs is independent of autophagy. Biochem Biophys Res Commun. 432:5–9. 2013.PubMed/NCBI View Article : Google Scholar

27 

Baynes JW and Thorpe SR: Role of oxidative stress in diabetic complications: A new perspective on an old paradigm. Diabetes. 48:1–9. 1999.PubMed/NCBI View Article : Google Scholar

28 

Islam S, Mir AR, Raghav A, Khan F, Alam K, Ali A and Uddin M: Neo-Epitopes generated on hydroxyl radical modified GlycatedIgG have role in immunopathology of diabetes type 2. PLoS One. 12(e0169099)2017.PubMed/NCBI View Article : Google Scholar

29 

Kang Q and Yang C: Oxidative stress and diabetic retinopathy: Molecular mechanisms, pathogenetic role and therapeutic implications. Redox Biol. 37(101799)2020.PubMed/NCBI View Article : Google Scholar

30 

Muñoz-Planillo R, Kuffa P, Martínez-Colón G, Smith BL, Rajendiran TM and Núñez G: K+ efflux is the common trigger of NLRP3 inflammasome activation by bacterial toxins and particulate matter. Immunity. 38:1142–1153. 2013.PubMed/NCBI View Article : Google Scholar

31 

Bronner DN, Abuaita BH, Chen X, Fitzgerald KA, Nuñez G, He Y, Yin XM and O'Riordan MX: Endoplasmic reticulum stress activates the inflammasome via NLRP3- and Caspase-2-driven mitochondrial damage. Immunity. 43:451–462. 2015.PubMed/NCBI View Article : Google Scholar

32 

Huang C, Qi P, Cui H, Lu Q and Gao X: CircFAT1 regulates retinal pigment epithelial cell pyroptosis and autophagy via mediating m6A reader protein YTHDF2 expression in diabetic retinopathy. Exp Eye Res. 222(109152)2022.PubMed/NCBI View Article : Google Scholar

33 

Wang JJ, Chen ZL, Wang DD, Wu KF, Huang WB and Zhang LQ: linc00174 deteriorates the pathogenesis of diabetic retinopathy via miR-26a-5p/PTEN/Akt signalling cascade-mediated pyroptosis. Biochem Biophys Res Commun. 630:92–100. 2022.PubMed/NCBI View Article : Google Scholar

34 

Wang N, Wei L, Liu D, Zhang Q, Xia X, Ding L and Xiong S: Identification and validation of Autophagy-related genes in diabetic retinopathy. Front Endocrinol (Lausanne). 13(867600)2022.PubMed/NCBI View Article : Google Scholar

35 

Wang P, Chen F, Wang W and Zhang XD: Hydrogen sulfide attenuates high Glucose-induced human retinal pigment epithelial cell inflammation by inhibiting ROS formation and NLRP3 inflammasome activation. Mediators Inflamm. 2019(8908960)2019.PubMed/NCBI View Article : Google Scholar

36 

Qi X, Mitter SK, Yan Y, Busik JV, Grant MB and Boulton ME: Diurnal rhythmicity of autophagy is impaired in the diabetic retina. Cells. 9(905)2020.PubMed/NCBI View Article : Google Scholar

37 

Chang HC and Guarente L: SIRT1 and other sirtuins in metabolism. Trends Endocrinol Metab. 25:138–145. 2014.PubMed/NCBI View Article : Google Scholar

38 

Abdulnour RE, Dalli J, Colby JK, Krishnamoorthy N, Timmons JY, Tan SH, Colas RA, Petasis NA, Serhan CN and Levy BD: Maresin 1 biosynthesis during platelet-neutrophil interactions is organ-protective. Proc Natl Acad Sci USA. 111:16526–16531. 2014.PubMed/NCBI View Article : Google Scholar

39 

Chatterjee A, Sharma A, Chen M, Toy R, Mottola G and Conte MS: The pro-resolving lipid mediator maresin 1 (MaR1) attenuates inflammatory signaling pathways in vascular smooth muscle and endothelial cells. PLoS One. 9(e113480)2014.PubMed/NCBI View Article : Google Scholar

40 

Bjørkøy G, Lamark T, Brech A, Outzen H, Perander M, Overvatn A, Stenmark H and Johansen T: p62/SQSTM1 forms protein aggregates degraded by autophagy and has a protective effect on huntingtin-induced cell death. J Cell Biol. 171:603–614. 2005.PubMed/NCBI View Article : Google Scholar

41 

Zhou R, Yazdi AS, Menu P and Tschopp J: A role for mitochondria in NLRP3 inflammasome activation. Nature. 469:221–225. 2011.PubMed/NCBI View Article : Google Scholar

42 

Imai S and Guarente L: NAD+ and sirtuins in aging and disease. Trends Cell Biol. 24:464–471. 2014.PubMed/NCBI View Article : Google Scholar

43 

Mortuza R, Feng B and Chakrabarti S: SIRT1 reduction causes renal and retinal injury in diabetes through endothelin 1 and transforming growth factor β1. J Cell Mol Med. 19:1857–1867. 2015.PubMed/NCBI View Article : Google Scholar

44 

Althagafy HS, Ali FEM, Hassanein EHM, Mohammedsaleh ZM, Kotb El-Sayed MI, Atwa AM, Sayed AM and Soubh AA: Canagliflozin ameliorates ulcerative colitis via regulation of TLR4/MAPK/NF-κB and Nrf2/PPAR-γ/SIRT1 signaling pathways. Eur J Pharmacol. 960(176166)2023.PubMed/NCBI View Article : Google Scholar

45 

Qiang L, Wang L, Kon N, Zhao W, Lee S, Zhang Y, Rosenbaum M, Zhao Y, Gu W, Farmer SR and Accili D: Brown remodeling of white adipose tissue by SirT1-dependent deacetylation of Pparγ. Cell. 150:620–632. 2012.PubMed/NCBI View Article : Google Scholar

46 

Picard F, Kurtev M, Chung N, Topark-Ngarm A, Senawong T, Machado De Oliveira R, Leid M, McBurney MW and Guarente L: Sirt1 promotes fat mobilization in white adipocytes by repressing PPAR-gamma. Nature. 429:771–776. 2004.PubMed/NCBI View Article : Google Scholar

47 

Rius-Pérez S, Torres-Cuevas I, Millán I, Ortega ÁL and Pérez S: PGC-1α, inflammation, and oxidative stress: An integrative view in metabolism. Oxid Med Cell Longev. 2020(1452696)2020.PubMed/NCBI View Article : Google Scholar

48 

Yang H, Zhang W, Pan H, Feldser HG, Lainez E, Miller C, Leung S, Zhong Z, Zhao H, Sweitzer S, et al: SIRT1 activators suppress inflammatory responses through promotion of p65 deacetylation and inhibition of NF-κB activity. PLoS One. 7(e46364)2012.PubMed/NCBI View Article : Google Scholar

49 

Guo Q, Jin Y, Chen X, Ye X, Shen X, Lin M, Zeng C, Zhou T and Zhang J: NF-κB in biology and targeted therapy: New insights and translational implications. Signal Transduct Target Ther. 9(53)2024.PubMed/NCBI View Article : Google Scholar

50 

Furman BL: Streptozotocin-induced diabetic models in mice and rats. Curr Protoc. 1(e78)2021.PubMed/NCBI View Article : Google Scholar

Related Articles

  • Abstract
  • View
  • Download
  • Twitter
Copy and paste a formatted citation
Spandidos Publications style
Zhang J, Zhao D, Zhang Y, Sun H, Yan Z and Sun H: Maresin 1 activates autophagy through SIRT1/PPAR‑&gamma; signaling to mitigate high glucose‑induced pyroptosis in human retinal pigment epithelial cells. Exp Ther Med 31: 141, 2026.
APA
Zhang, J., Zhao, D., Zhang, Y., Sun, H., Yan, Z., & Sun, H. (2026). Maresin 1 activates autophagy through SIRT1/PPAR‑&gamma; signaling to mitigate high glucose‑induced pyroptosis in human retinal pigment epithelial cells. Experimental and Therapeutic Medicine, 31, 141. https://doi.org/10.3892/etm.2026.13134
MLA
Zhang, J., Zhao, D., Zhang, Y., Sun, H., Yan, Z., Sun, H."Maresin 1 activates autophagy through SIRT1/PPAR‑&gamma; signaling to mitigate high glucose‑induced pyroptosis in human retinal pigment epithelial cells". Experimental and Therapeutic Medicine 31.5 (2026): 141.
Chicago
Zhang, J., Zhao, D., Zhang, Y., Sun, H., Yan, Z., Sun, H."Maresin 1 activates autophagy through SIRT1/PPAR‑&gamma; signaling to mitigate high glucose‑induced pyroptosis in human retinal pigment epithelial cells". Experimental and Therapeutic Medicine 31, no. 5 (2026): 141. https://doi.org/10.3892/etm.2026.13134
Copy and paste a formatted citation
x
Spandidos Publications style
Zhang J, Zhao D, Zhang Y, Sun H, Yan Z and Sun H: Maresin 1 activates autophagy through SIRT1/PPAR‑&gamma; signaling to mitigate high glucose‑induced pyroptosis in human retinal pigment epithelial cells. Exp Ther Med 31: 141, 2026.
APA
Zhang, J., Zhao, D., Zhang, Y., Sun, H., Yan, Z., & Sun, H. (2026). Maresin 1 activates autophagy through SIRT1/PPAR‑&gamma; signaling to mitigate high glucose‑induced pyroptosis in human retinal pigment epithelial cells. Experimental and Therapeutic Medicine, 31, 141. https://doi.org/10.3892/etm.2026.13134
MLA
Zhang, J., Zhao, D., Zhang, Y., Sun, H., Yan, Z., Sun, H."Maresin 1 activates autophagy through SIRT1/PPAR‑&gamma; signaling to mitigate high glucose‑induced pyroptosis in human retinal pigment epithelial cells". Experimental and Therapeutic Medicine 31.5 (2026): 141.
Chicago
Zhang, J., Zhao, D., Zhang, Y., Sun, H., Yan, Z., Sun, H."Maresin 1 activates autophagy through SIRT1/PPAR‑&gamma; signaling to mitigate high glucose‑induced pyroptosis in human retinal pigment epithelial cells". Experimental and Therapeutic Medicine 31, no. 5 (2026): 141. https://doi.org/10.3892/etm.2026.13134
Follow us
  • Twitter
  • LinkedIn
  • Facebook
About
  • Spandidos Publications
  • Careers
  • Cookie Policy
  • Privacy Policy
How can we help?
  • Help
  • Live Chat
  • Contact
  • Email to our Support Team