Spandidos Publications Logo
  • About
    • About Spandidos
    • Aims and Scopes
    • Abstracting and Indexing
    • Editorial Policies
    • Reprints and Permissions
    • Job Opportunities
    • Terms and Conditions
    • Contact
  • Journals
    • All Journals
    • Oncology Letters
      • Oncology Letters
      • Information for Authors
      • Editorial Policies
      • Editorial Board
      • Aims and Scope
      • Abstracting and Indexing
      • Bibliographic Information
      • Archive
    • International Journal of Oncology
      • International Journal of Oncology
      • Information for Authors
      • Editorial Policies
      • Editorial Board
      • Aims and Scope
      • Abstracting and Indexing
      • Bibliographic Information
      • Archive
    • Molecular and Clinical Oncology
      • Molecular and Clinical Oncology
      • Information for Authors
      • Editorial Policies
      • Editorial Board
      • Aims and Scope
      • Abstracting and Indexing
      • Bibliographic Information
      • Archive
    • Experimental and Therapeutic Medicine
      • Experimental and Therapeutic Medicine
      • Information for Authors
      • Editorial Policies
      • Editorial Board
      • Aims and Scope
      • Abstracting and Indexing
      • Bibliographic Information
      • Archive
    • International Journal of Molecular Medicine
      • International Journal of Molecular Medicine
      • Information for Authors
      • Editorial Policies
      • Editorial Board
      • Aims and Scope
      • Abstracting and Indexing
      • Bibliographic Information
      • Archive
    • Biomedical Reports
      • Biomedical Reports
      • Information for Authors
      • Editorial Policies
      • Editorial Board
      • Aims and Scope
      • Abstracting and Indexing
      • Bibliographic Information
      • Archive
    • Oncology Reports
      • Oncology Reports
      • Information for Authors
      • Editorial Policies
      • Editorial Board
      • Aims and Scope
      • Abstracting and Indexing
      • Bibliographic Information
      • Archive
    • Molecular Medicine Reports
      • Molecular Medicine Reports
      • Information for Authors
      • Editorial Policies
      • Editorial Board
      • Aims and Scope
      • Abstracting and Indexing
      • Bibliographic Information
      • Archive
    • World Academy of Sciences Journal
      • World Academy of Sciences Journal
      • Information for Authors
      • Editorial Policies
      • Editorial Board
      • Aims and Scope
      • Abstracting and Indexing
      • Bibliographic Information
      • Archive
    • International Journal of Functional Nutrition
      • International Journal of Functional Nutrition
      • Information for Authors
      • Editorial Policies
      • Editorial Board
      • Aims and Scope
      • Abstracting and Indexing
      • Bibliographic Information
      • Archive
    • International Journal of Epigenetics
      • International Journal of Epigenetics
      • Information for Authors
      • Editorial Policies
      • Editorial Board
      • Aims and Scope
      • Abstracting and Indexing
      • Bibliographic Information
      • Archive
    • Medicine International
      • Medicine International
      • Information for Authors
      • Editorial Policies
      • Editorial Board
      • Aims and Scope
      • Abstracting and Indexing
      • Bibliographic Information
      • Archive
  • Articles
  • Information
    • Information for Authors
    • Information for Reviewers
    • Information for Librarians
    • Information for Advertisers
    • Conferences
  • Language Editing
Spandidos Publications Logo
  • About
    • About Spandidos
    • Aims and Scopes
    • Abstracting and Indexing
    • Editorial Policies
    • Reprints and Permissions
    • Job Opportunities
    • Terms and Conditions
    • Contact
  • Journals
    • All Journals
    • Biomedical Reports
      • Information for Authors
      • Editorial Policies
      • Editorial Board
      • Aims and Scope
      • Abstracting and Indexing
      • Bibliographic Information
      • Archive
    • Experimental and Therapeutic Medicine
      • Information for Authors
      • Editorial Policies
      • Editorial Board
      • Aims and Scope
      • Abstracting and Indexing
      • Bibliographic Information
      • Archive
    • International Journal of Epigenetics
      • Information for Authors
      • Editorial Policies
      • Editorial Board
      • Aims and Scope
      • Abstracting and Indexing
      • Bibliographic Information
      • Archive
    • International Journal of Functional Nutrition
      • Information for Authors
      • Editorial Policies
      • Editorial Board
      • Aims and Scope
      • Abstracting and Indexing
      • Bibliographic Information
      • Archive
    • International Journal of Molecular Medicine
      • Information for Authors
      • Editorial Policies
      • Editorial Board
      • Aims and Scope
      • Abstracting and Indexing
      • Bibliographic Information
      • Archive
    • International Journal of Oncology
      • Information for Authors
      • Editorial Policies
      • Editorial Board
      • Aims and Scope
      • Abstracting and Indexing
      • Bibliographic Information
      • Archive
    • Medicine International
      • Information for Authors
      • Editorial Policies
      • Editorial Board
      • Aims and Scope
      • Abstracting and Indexing
      • Bibliographic Information
      • Archive
    • Molecular and Clinical Oncology
      • Information for Authors
      • Editorial Policies
      • Editorial Board
      • Aims and Scope
      • Abstracting and Indexing
      • Bibliographic Information
      • Archive
    • Molecular Medicine Reports
      • Information for Authors
      • Editorial Policies
      • Editorial Board
      • Aims and Scope
      • Abstracting and Indexing
      • Bibliographic Information
      • Archive
    • Oncology Letters
      • Information for Authors
      • Editorial Policies
      • Editorial Board
      • Aims and Scope
      • Abstracting and Indexing
      • Bibliographic Information
      • Archive
    • Oncology Reports
      • Information for Authors
      • Editorial Policies
      • Editorial Board
      • Aims and Scope
      • Abstracting and Indexing
      • Bibliographic Information
      • Archive
    • World Academy of Sciences Journal
      • Information for Authors
      • Editorial Policies
      • Editorial Board
      • Aims and Scope
      • Abstracting and Indexing
      • Bibliographic Information
      • Archive
  • Articles
  • Information
    • For Authors
    • For Reviewers
    • For Librarians
    • For Advertisers
    • Conferences
  • Language Editing
Login Register Submit
  • This site uses cookies
  • You can change your cookie settings at any time by following the instructions in our Cookie Policy. To find out more, you may read our Privacy Policy.

    I agree
Search articles by DOI, keyword, author or affiliation
Search
Advanced Search
presentation
Experimental and Therapeutic Medicine
Join Editorial Board Propose a Special Issue
Print ISSN: 1792-0981 Online ISSN: 1792-1015
Journal Cover
January-February 2010 Volume 1 Issue 1

Full Size Image

Sign up for eToc alerts
Recommend to Library

Journals

International Journal of Molecular Medicine

International Journal of Molecular Medicine

International Journal of Molecular Medicine is an international journal devoted to molecular mechanisms of human disease.

International Journal of Oncology

International Journal of Oncology

International Journal of Oncology is an international journal devoted to oncology research and cancer treatment.

Molecular Medicine Reports

Molecular Medicine Reports

Covers molecular medicine topics such as pharmacology, pathology, genetics, neuroscience, infectious diseases, molecular cardiology, and molecular surgery.

Oncology Reports

Oncology Reports

Oncology Reports is an international journal devoted to fundamental and applied research in Oncology.

Experimental and Therapeutic Medicine

Experimental and Therapeutic Medicine

Experimental and Therapeutic Medicine is an international journal devoted to laboratory and clinical medicine.

Oncology Letters

Oncology Letters

Oncology Letters is an international journal devoted to Experimental and Clinical Oncology.

Biomedical Reports

Biomedical Reports

Explores a wide range of biological and medical fields, including pharmacology, genetics, microbiology, neuroscience, and molecular cardiology.

Molecular and Clinical Oncology

Molecular and Clinical Oncology

International journal addressing all aspects of oncology research, from tumorigenesis and oncogenes to chemotherapy and metastasis.

World Academy of Sciences Journal

World Academy of Sciences Journal

Multidisciplinary open-access journal spanning biochemistry, genetics, neuroscience, environmental health, and synthetic biology.

International Journal of Functional Nutrition

International Journal of Functional Nutrition

Open-access journal combining biochemistry, pharmacology, immunology, and genetics to advance health through functional nutrition.

International Journal of Epigenetics

International Journal of Epigenetics

Publishes open-access research on using epigenetics to advance understanding and treatment of human disease.

Medicine International

Medicine International

An International Open Access Journal Devoted to General Medicine.

Journal Cover
January-February 2010 Volume 1 Issue 1

Full Size Image

Sign up for eToc alerts
Recommend to Library

  • Article
  • Citations
    • Cite This Article
    • Download Citation
    • Create Citation Alert
    • Remove Citation Alert
    • Cited By
  • Similar Articles
    • Related Articles (in Spandidos Publications)
    • Similar Articles (Google Scholar)
    • Similar Articles (PubMed)
  • Download PDF
Article

Clinical significance and prognostic value of S100A4 and matrix metalloproteinase-14 in patients with organ-confined bladder cancer

  • Authors:
    • Yuji Sagara
    • Yasuyoshi Miyata
    • Takahisa Iwata
    • Shigeru Kanda
    • Tomayoshi Hayashi
    • Hideki Sakai
    • Hiroshi Kanetake
  • View Affiliations / Copyright

    Affiliations: Department of Urology, Nagasaki University School of Medicine, Nagasaki, Japan
  • Pages: 27-31
    |
    Published online on: January 1, 2010
       https://doi.org/10.3892/etm_00000005
  • Expand metrics +
Metrics: Total Views: 0 (Spandidos Publications: | PMC Statistics: )
Metrics: Total PDF Downloads: 0 (Spandidos Publications: | PMC Statistics: )
Cited By (CrossRef): 0 citations Loading Articles...

This article is mentioned in:



Abstract

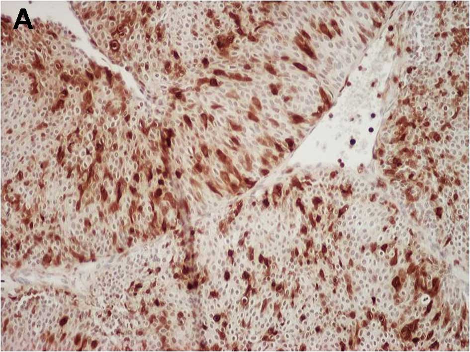
Various therapeutic modalities are available for treatment of bladder cancer, and their effectiveness and patient outcome often depend on cancer cell invasiveness. However, the mechanisms underlying the early steps of bladder cancer cell invasion remain unknown. This study aimed to clarify the relationships between S100A4 expression and bladder cancer invasion of surrounding muscles, prognosis and expression of matrix metalloproteinase (MMP)-14 in patients with organ-confined bladder cancer. S100A4 and MMP-14 expression was analyzed in 85 cases of organ-confined (pTa, pT1 and pT2) bladder cancer using immunohistochemical technique. The expression levels were compared among the pTa, pT1 and pT2 tumors. In addition, the predictive values of S100A4 or MMP-14 expression for muscle invasion, metastasis and survival were investigated, as was the possible correlation between the expression of the two proteins. The proportion of S100A4-positive cancer cells in pT2 tumors (53%) was significantly higher (p<0.001) than in pTa (38.7%) or pT1 (40.9%) tumors; there was no difference between pTa and pT1. The results were similar for MMP-14 expression, which was significantly correlated with S100A4 expression (r=0.360, p<0.001). S100A4 expression predicted metastasis-free survival (p=0.009), but not cause-specific survival. The results implicated S100A4 in the early steps of muscle invasion via MMP-14, but not for mucosal invasion. S100A4 is therefore a potential therapeutic target for bladder cancer, and its expression is a risk factor for muscle invasion in patients with superficial tumors. In addition, S100A4 expression may be a useful prognostic factor for metastasis in patients with organ-confined bladder cancer.
View Figures

Figure 1

Figure 2

Figure 3

View References

1. 

Heizmann CW, Fritz G and Schafer BW: S100 proteins: structure, functions and pathology. Front Biosci. 7:d1356–d1368. 2002.

2. 

Ebralidze A, Tulcinsky E, Grigorian M, Afanasyeva A, Senin V, Revazova E and Lukanidin E: Isolation and characterization of a gene specifically expressed in different metastatic cells and whose deduced gene product has a high degree of homology to a Ca2+-binding protein family. Genes Dev. 3:1086–1093. 1989.

3. 

Yao R, Davidson DD, Lopez-Beltran A, MacLennan GT, Montironi R and Cheng L: The S100 proteins for screening and prognostic grading of bladder cancer. Histol Histopathol. 22:1025–1032. 2007.

4. 

Matsumoto K, Irie A, Satoh T, Ishii J, Iwabuchi K, Iwamura M, Egawa S and Baba S: Expression of S100A2 and S100A4 predicts for disease progression and patient survival in bladder cancer. Urology. 70:602–607. 2007.

5. 

Jemal A, Siegel R, Ward E, Hao Y, Xu J, Murray T and Thun MJ: Cancer statistics, 2008. CA Cancer J Clin. 58:71–96. 2007.

6. 

Heney NM, Ahmed S, Flanagan MJ, Frable W, Corder MP, Haffermann MD and Hawkins IR: Superficial bladder cancer: progression and recurrence. J Urol. 130:1083–1086. 1983.

7. 

Sternberg S, Donat J, Bellmunt R, Millikan W, Stadler P, De Mulder A, Sherif H, von der Maase T, Tsukamoto M and Soloway M: Chemotherapy for bladder cancer: treatment guidelines for neoadjuvant chemotherapy and metastatic cancer. Urology. 69:62–79. 2007.

8. 

Bellmunt J, Albiol S and Kataja V; EMSO Guidelines Working Group: Invasive bladder cancer: ESMO clinical recommendations for diagnosis, treatment and follow-up. Ann Oncol. 19(Suppl 2): 47–48. 2008.

9. 

Garrett SC, Varney KM, Weber DJ and Bresnick AR: S100A4, a mediator of metastasis. J Biol Chem. 281:677–680. 2006.

10. 

Deryugina EI and Quigley JP: Matrix metalloproteinases and tumor metastasis. Cancer Metastasis Rev. 25:9–34. 2006.

11. 

Bjørnland K, Winberg JO, Odegaard OT, Hoving E, Loennechen T, Aasen AO, Fodstad O and Maelandsmo GM: S100A4 involvement in metastasis: degradation of matrix metalloproteinases and tissues inhibitors of matrix metalloproteinases in osteosarcoma cells transfected with an anti-S100A4 ribozyme. Cancer Res. 59:4702–4708. 1999.

12. 

Mathisen B, Lindstad RI, Hansen J, El-Gewely SA, Maelandsmo GM, Hoving E, Fodstad O, Loennechen T and Winberg JO: S100A4 regulates membrane induced activation of matrix metalloproteinase-2 in osteosarcoma cells. Clin Exp Metastasis. 20:701–711. 2003.

13. 

Saleem M, Kweon M-H, Johnson JJ, Adhami MA, Elcheva A, Khan N, Hataluri V and Mukhtar H: S100A4 accelerates tumorigenesis and invasion of human prostate cancer through the transcriptional regulation of matrix metalloproteinase 9. Proc Natl Acad Sci USA. 103:14825–14830. 2006.

14. 

Gontero P, Banisadr S, Frea B and Brausi M: Metastasis markers in bladder cancer; a review of literature and clinical considerations. Eur Urol. 46:296–311. 2004.

15. 

Kanayama H, Yokota K, Kurokawa Y, Murakami Y, Nishitani M and Kagawa S: Prognostic values of matrix metalloproteinase-2 and tissue inhibitor of matrix metalloproteinase-2 expression in bladder cancer. Cancer. 82:1359–1366. 1998.

16. 

Furukawa A, Tsuji M, Nishitani T, Kanda K, Inoue Y, Knayama H and Kagawa S: Role of the matrix metalloproteinase and tissue inhibitors of metalloproteinase families in noninvasive and invasive tumors transplanted in mice with severe combined immunodeficiency. Urology. 51:849–853. 1998.

17. 

Hara I, Miyake H, Hara S, Arakawa S and Kamidono S: Significance of matrix metalloproteinase and tissue inhibitors of metalloproteinase expression in the recurrence of superficial transitional cell carcinoma of the bladder. J Urol. 165:1769–1772. 2001.

18. 

Wallard MJ, Pennington CJ, Veerakumarasivam A, Burtt G, Mills IG, Warren A, Leung HY, Murphy G, Edwards DR, Neal DE and Kelly JD: Comprehensive profiling and localization of the matrix metalloproteinases in urothelial carcinoma. Br J Cancer. 94:569–757. 2006.

19. 

Ismail NI, Kaur G, Hashim H and Hassan MS: S100A4 overexpression proves to be independent marker for breast cancer progression. Cancer Cell Int. 5:8–12. 2008.

20. 

Maruta S, Sakai H, Kanda S, Hayashi T, Kanetake H and Miyata Y: E1AF expression is associated with extra-prostatic growth and matrix metalloproteinase-7 expression in prostate cancer. APMIS. 117:791–796. 2009.

21. 

Davies BR, O’Donnell M, Durkan GC, Rudland PS, Barraclough R, Neal DE and Mellon JK: Expression of S100A4 protein is associated with metastasis and reduced survival in human bladder cancer. J Pathol. 196:292–299. 2002.

22. 

DeLassus GS, Cho H, Park J and Eliceiri GL: New pathway links from cancer-progression determinants to gene expression of matrix metalloproteinases in breast cancer cells. J Cell Physiol. 217:739–744. 2008.

23. 

Agerbaek M, Alsner J, Marcussen N, Lundbeck F and von der Maase H: Focal S100A4 protein expression is an independent predictor of development of metastatic disease in cystectomized bladder cancer patients. Eur Urol. 50:777–785. 2006.

Related Articles

  • Abstract
  • View
  • Download
  • Twitter
Copy and paste a formatted citation
Spandidos Publications style
Sagara Y, Miyata Y, Iwata T, Kanda S, Hayashi T, Sakai H and Kanetake H: Clinical significance and prognostic value of S100A4 and matrix metalloproteinase-14 in patients with organ-confined bladder cancer . Exp Ther Med 1: 27-31, 2010.
APA
Sagara, Y., Miyata, Y., Iwata, T., Kanda, S., Hayashi, T., Sakai, H., & Kanetake, H. (2010). Clinical significance and prognostic value of S100A4 and matrix metalloproteinase-14 in patients with organ-confined bladder cancer . Experimental and Therapeutic Medicine, 1, 27-31. https://doi.org/10.3892/etm_00000005
MLA
Sagara, Y., Miyata, Y., Iwata, T., Kanda, S., Hayashi, T., Sakai, H., Kanetake, H."Clinical significance and prognostic value of S100A4 and matrix metalloproteinase-14 in patients with organ-confined bladder cancer ". Experimental and Therapeutic Medicine 1.1 (2010): 27-31.
Chicago
Sagara, Y., Miyata, Y., Iwata, T., Kanda, S., Hayashi, T., Sakai, H., Kanetake, H."Clinical significance and prognostic value of S100A4 and matrix metalloproteinase-14 in patients with organ-confined bladder cancer ". Experimental and Therapeutic Medicine 1, no. 1 (2010): 27-31. https://doi.org/10.3892/etm_00000005
Copy and paste a formatted citation
x
Spandidos Publications style
Sagara Y, Miyata Y, Iwata T, Kanda S, Hayashi T, Sakai H and Kanetake H: Clinical significance and prognostic value of S100A4 and matrix metalloproteinase-14 in patients with organ-confined bladder cancer . Exp Ther Med 1: 27-31, 2010.
APA
Sagara, Y., Miyata, Y., Iwata, T., Kanda, S., Hayashi, T., Sakai, H., & Kanetake, H. (2010). Clinical significance and prognostic value of S100A4 and matrix metalloproteinase-14 in patients with organ-confined bladder cancer . Experimental and Therapeutic Medicine, 1, 27-31. https://doi.org/10.3892/etm_00000005
MLA
Sagara, Y., Miyata, Y., Iwata, T., Kanda, S., Hayashi, T., Sakai, H., Kanetake, H."Clinical significance and prognostic value of S100A4 and matrix metalloproteinase-14 in patients with organ-confined bladder cancer ". Experimental and Therapeutic Medicine 1.1 (2010): 27-31.
Chicago
Sagara, Y., Miyata, Y., Iwata, T., Kanda, S., Hayashi, T., Sakai, H., Kanetake, H."Clinical significance and prognostic value of S100A4 and matrix metalloproteinase-14 in patients with organ-confined bladder cancer ". Experimental and Therapeutic Medicine 1, no. 1 (2010): 27-31. https://doi.org/10.3892/etm_00000005
Follow us
  • Twitter
  • LinkedIn
  • Facebook
About
  • Spandidos Publications
  • Careers
  • Cookie Policy
  • Privacy Policy
How can we help?
  • Help
  • Live Chat
  • Contact
  • Email to our Support Team