Spandidos Publications Logo
  • About
    • About Spandidos
    • Aims and Scopes
    • Abstracting and Indexing
    • Editorial Policies
    • Reprints and Permissions
    • Job Opportunities
    • Terms and Conditions
    • Contact
  • Journals
    • All Journals
    • Oncology Letters
      • Oncology Letters
      • Information for Authors
      • Editorial Policies
      • Editorial Board
      • Aims and Scope
      • Abstracting and Indexing
      • Bibliographic Information
      • Archive
    • International Journal of Oncology
      • International Journal of Oncology
      • Information for Authors
      • Editorial Policies
      • Editorial Board
      • Aims and Scope
      • Abstracting and Indexing
      • Bibliographic Information
      • Archive
    • Molecular and Clinical Oncology
      • Molecular and Clinical Oncology
      • Information for Authors
      • Editorial Policies
      • Editorial Board
      • Aims and Scope
      • Abstracting and Indexing
      • Bibliographic Information
      • Archive
    • Experimental and Therapeutic Medicine
      • Experimental and Therapeutic Medicine
      • Information for Authors
      • Editorial Policies
      • Editorial Board
      • Aims and Scope
      • Abstracting and Indexing
      • Bibliographic Information
      • Archive
    • International Journal of Molecular Medicine
      • International Journal of Molecular Medicine
      • Information for Authors
      • Editorial Policies
      • Editorial Board
      • Aims and Scope
      • Abstracting and Indexing
      • Bibliographic Information
      • Archive
    • Biomedical Reports
      • Biomedical Reports
      • Information for Authors
      • Editorial Policies
      • Editorial Board
      • Aims and Scope
      • Abstracting and Indexing
      • Bibliographic Information
      • Archive
    • Oncology Reports
      • Oncology Reports
      • Information for Authors
      • Editorial Policies
      • Editorial Board
      • Aims and Scope
      • Abstracting and Indexing
      • Bibliographic Information
      • Archive
    • Molecular Medicine Reports
      • Molecular Medicine Reports
      • Information for Authors
      • Editorial Policies
      • Editorial Board
      • Aims and Scope
      • Abstracting and Indexing
      • Bibliographic Information
      • Archive
    • World Academy of Sciences Journal
      • World Academy of Sciences Journal
      • Information for Authors
      • Editorial Policies
      • Editorial Board
      • Aims and Scope
      • Abstracting and Indexing
      • Bibliographic Information
      • Archive
    • International Journal of Functional Nutrition
      • International Journal of Functional Nutrition
      • Information for Authors
      • Editorial Policies
      • Editorial Board
      • Aims and Scope
      • Abstracting and Indexing
      • Bibliographic Information
      • Archive
    • International Journal of Epigenetics
      • International Journal of Epigenetics
      • Information for Authors
      • Editorial Policies
      • Editorial Board
      • Aims and Scope
      • Abstracting and Indexing
      • Bibliographic Information
      • Archive
    • Medicine International
      • Medicine International
      • Information for Authors
      • Editorial Policies
      • Editorial Board
      • Aims and Scope
      • Abstracting and Indexing
      • Bibliographic Information
      • Archive
  • Articles
  • Information
    • Information for Authors
    • Information for Reviewers
    • Information for Librarians
    • Information for Advertisers
    • Conferences
  • Language Editing
Spandidos Publications Logo
  • About
    • About Spandidos
    • Aims and Scopes
    • Abstracting and Indexing
    • Editorial Policies
    • Reprints and Permissions
    • Job Opportunities
    • Terms and Conditions
    • Contact
  • Journals
    • All Journals
    • Biomedical Reports
      • Information for Authors
      • Editorial Policies
      • Editorial Board
      • Aims and Scope
      • Abstracting and Indexing
      • Bibliographic Information
      • Archive
    • Experimental and Therapeutic Medicine
      • Information for Authors
      • Editorial Policies
      • Editorial Board
      • Aims and Scope
      • Abstracting and Indexing
      • Bibliographic Information
      • Archive
    • International Journal of Epigenetics
      • Information for Authors
      • Editorial Policies
      • Editorial Board
      • Aims and Scope
      • Abstracting and Indexing
      • Bibliographic Information
      • Archive
    • International Journal of Functional Nutrition
      • Information for Authors
      • Editorial Policies
      • Editorial Board
      • Aims and Scope
      • Abstracting and Indexing
      • Bibliographic Information
      • Archive
    • International Journal of Molecular Medicine
      • Information for Authors
      • Editorial Policies
      • Editorial Board
      • Aims and Scope
      • Abstracting and Indexing
      • Bibliographic Information
      • Archive
    • International Journal of Oncology
      • Information for Authors
      • Editorial Policies
      • Editorial Board
      • Aims and Scope
      • Abstracting and Indexing
      • Bibliographic Information
      • Archive
    • Medicine International
      • Information for Authors
      • Editorial Policies
      • Editorial Board
      • Aims and Scope
      • Abstracting and Indexing
      • Bibliographic Information
      • Archive
    • Molecular and Clinical Oncology
      • Information for Authors
      • Editorial Policies
      • Editorial Board
      • Aims and Scope
      • Abstracting and Indexing
      • Bibliographic Information
      • Archive
    • Molecular Medicine Reports
      • Information for Authors
      • Editorial Policies
      • Editorial Board
      • Aims and Scope
      • Abstracting and Indexing
      • Bibliographic Information
      • Archive
    • Oncology Letters
      • Information for Authors
      • Editorial Policies
      • Editorial Board
      • Aims and Scope
      • Abstracting and Indexing
      • Bibliographic Information
      • Archive
    • Oncology Reports
      • Information for Authors
      • Editorial Policies
      • Editorial Board
      • Aims and Scope
      • Abstracting and Indexing
      • Bibliographic Information
      • Archive
    • World Academy of Sciences Journal
      • Information for Authors
      • Editorial Policies
      • Editorial Board
      • Aims and Scope
      • Abstracting and Indexing
      • Bibliographic Information
      • Archive
  • Articles
  • Information
    • For Authors
    • For Reviewers
    • For Librarians
    • For Advertisers
    • Conferences
  • Language Editing
Login Register Submit
  • This site uses cookies
  • You can change your cookie settings at any time by following the instructions in our Cookie Policy. To find out more, you may read our Privacy Policy.

    I agree
Search articles by DOI, keyword, author or affiliation
Search
Advanced Search
presentation
Experimental and Therapeutic Medicine
Join Editorial Board Propose a Special Issue
Print ISSN: 1792-0981 Online ISSN: 1792-1015
Journal Cover
January-February 2010 Volume 1 Issue 1

Full Size Image

Sign up for eToc alerts
Recommend to Library

Journals

International Journal of Molecular Medicine

International Journal of Molecular Medicine

International Journal of Molecular Medicine is an international journal devoted to molecular mechanisms of human disease.

International Journal of Oncology

International Journal of Oncology

International Journal of Oncology is an international journal devoted to oncology research and cancer treatment.

Molecular Medicine Reports

Molecular Medicine Reports

Covers molecular medicine topics such as pharmacology, pathology, genetics, neuroscience, infectious diseases, molecular cardiology, and molecular surgery.

Oncology Reports

Oncology Reports

Oncology Reports is an international journal devoted to fundamental and applied research in Oncology.

Experimental and Therapeutic Medicine

Experimental and Therapeutic Medicine

Experimental and Therapeutic Medicine is an international journal devoted to laboratory and clinical medicine.

Oncology Letters

Oncology Letters

Oncology Letters is an international journal devoted to Experimental and Clinical Oncology.

Biomedical Reports

Biomedical Reports

Explores a wide range of biological and medical fields, including pharmacology, genetics, microbiology, neuroscience, and molecular cardiology.

Molecular and Clinical Oncology

Molecular and Clinical Oncology

International journal addressing all aspects of oncology research, from tumorigenesis and oncogenes to chemotherapy and metastasis.

World Academy of Sciences Journal

World Academy of Sciences Journal

Multidisciplinary open-access journal spanning biochemistry, genetics, neuroscience, environmental health, and synthetic biology.

International Journal of Functional Nutrition

International Journal of Functional Nutrition

Open-access journal combining biochemistry, pharmacology, immunology, and genetics to advance health through functional nutrition.

International Journal of Epigenetics

International Journal of Epigenetics

Publishes open-access research on using epigenetics to advance understanding and treatment of human disease.

Medicine International

Medicine International

An International Open Access Journal Devoted to General Medicine.

Journal Cover
January-February 2010 Volume 1 Issue 1

Full Size Image

Sign up for eToc alerts
Recommend to Library

  • Article
  • Citations
    • Cite This Article
    • Download Citation
    • Create Citation Alert
    • Remove Citation Alert
    • Cited By
  • Similar Articles
    • Related Articles (in Spandidos Publications)
    • Similar Articles (Google Scholar)
    • Similar Articles (PubMed)
  • Download PDF
  • Download XML
  • View XML
Article

Long-term maintenance of prognostic value of survivin and its relationship with p53 in T4 breast cancer patients

  • Authors:
    • Maria T. Ionta
    • Maria T. Perra
    • Francesco Atzori
    • Cristina Maxia
    • Valeria Pusceddu
    • Paolo Demurtas
    • Maria C. Deidda
    • Franca Piras
    • Barbara Frau
    • Daniela Murtas
    • Luigi Minerba
    • Bruno Massidda
    • Paola Sirigu
  • View Affiliations / Copyright

    Affiliations: Department of Medical Oncology, University of Cagliari, I-09042 Monserrato (CA), Italy
  • Pages: 59-64
    |
    Published online on: January 1, 2010
       https://doi.org/10.3892/etm_00000010
  • Expand metrics +
Metrics: Total Views: 0 (Spandidos Publications: | PMC Statistics: )
Metrics: Total PDF Downloads: 0 (Spandidos Publications: | PMC Statistics: )
Cited By (CrossRef): 0 citations Loading Articles...

This article is mentioned in:



Abstract

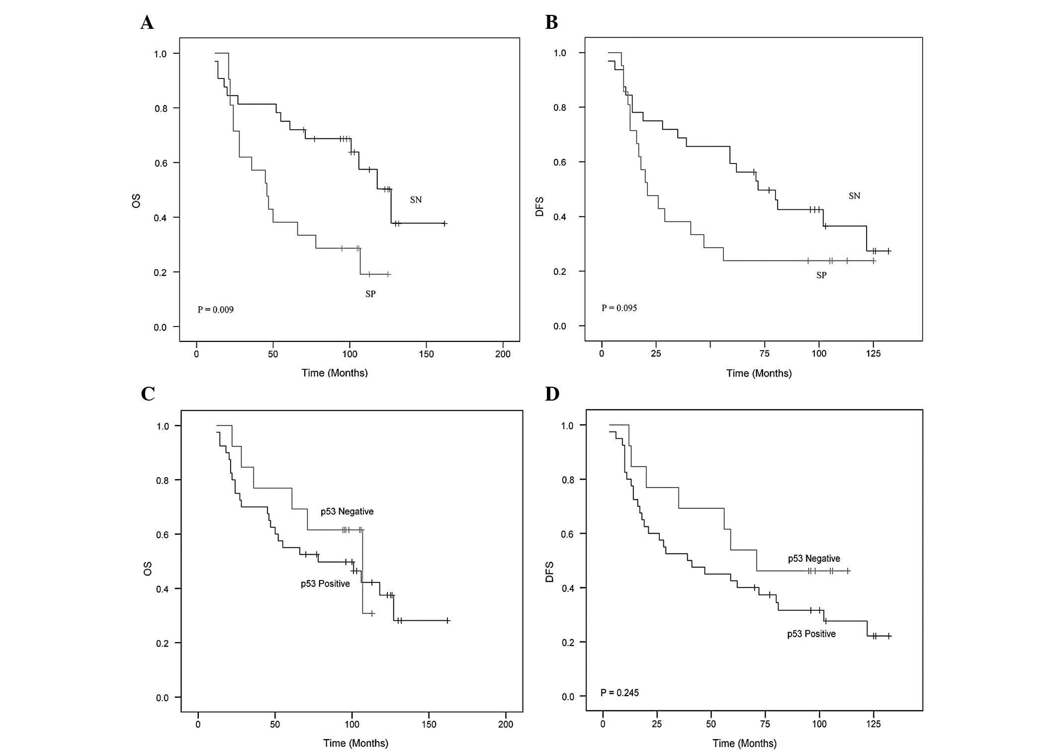
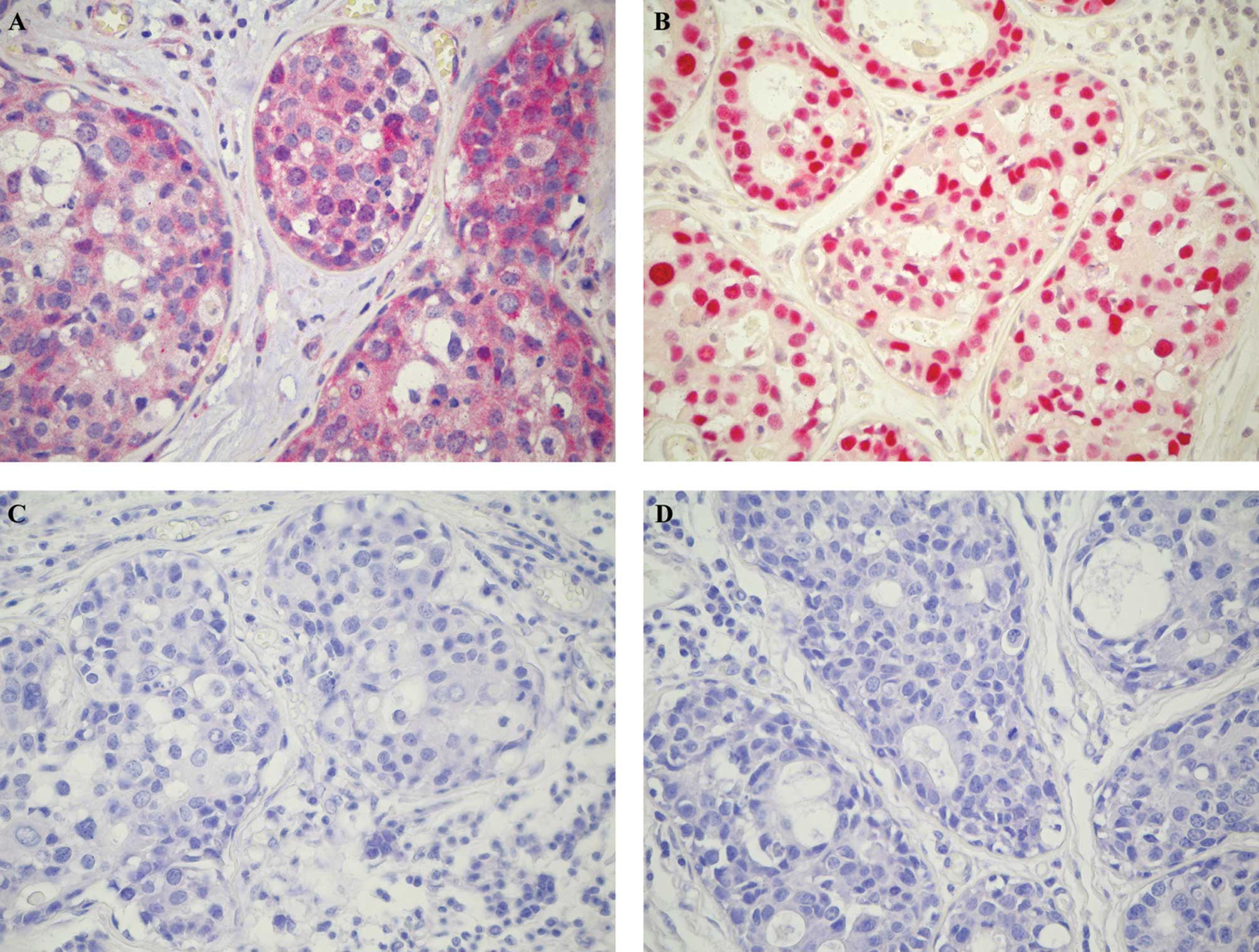
A large proportion of human tumors show deregulated expression of a variety of proteins that play a crucial role in the execution of the apoptotic program. Survivin belongs to the family of inhibitor of apoptosis proteins which were originally identified in baculoviruses. Ectopic expression of survivin conveys resistance to apoptosis to a variety of stimuli, and survivin is one of the most abundantly overexpressed genes in human tumors such as breast cancer. In this study we examined the expression of survivin protein in a series of T4 breast cancers to identify any correlation with long-term patient outcomes. Moreover, we investigated the hypothesis of a possible association between p53 and survivin as a factor further complicating the outcome. Archival specimens from 53 T4 breast cancer patients were included in the study and treated for the immunohistochemical localization of survivin and p53 using the streptavidin-biotin alkaline phosphatase method. The immunoreactivity was evaluated semiquantitatively according to the percentage of cells stained. Forty percent of tumors were positive for survivin. Statistical analysis revealed that survivin expression negatively influenced the 5- and 10-year disease-free and overall patient survival. In multivariate analysis, survivin expression was a significant independent prognostic indicator of worse outcome in overall survival [hazard ratio (HR)=2.61]. Our results showed that survivin is associated with a worse prognosis in patients with T4 breast cancer, and remarkably its prognostic relevance is maintained even long-term. Notably, p53 (HR=3.2) seems to negatively enhance the effect of survivin on survival.
View Figures

Figure 1

Figure 2

View References

1. 

Ferlay J, Bray F, Pisani P and Parkin DM; GLOBOCAN 2002: Cancer Incidence, Mortality and Prevalence Worldwide. IARC Press. Lyon: 2004.

2. 

Dowsett M and Dunbier AK: Emerging biomarkers and new understanding of traditional markers in personalized therapy for breast cancer. Clin Cancer Res. 14:8019–8026. 2008. View Article : Google Scholar : PubMed/NCBI

3. 

Altieri DC: Molecular cloning of effector cell protease receptor-1, a novel cell surface receptor for the protease factor Xa. J Biol Chem. 269:3139–3142. 1994.PubMed/NCBI

4. 

Altieri DC: Splicing of effector cell protease receptor-1 mRNA is modulated by an unusual retained intron. Biochemistry. 33:13848–13855. 1994. View Article : Google Scholar : PubMed/NCBI

5. 

Mita AC, Mita MM, Nawrocki ST and Giles FJ: Survivin: key regulator of mitosis and apoptosis and novel target for cancer therapeutics. Clin Cancer Res. 14:5000–5005. 2008. View Article : Google Scholar : PubMed/NCBI

6. 

Ambrosini G, Adida C and Altieri DC: A novel antiapoptosis gene, survivin expressed in cancer and lymphoma. Nat Med. 3:917–921. 1997. View Article : Google Scholar : PubMed/NCBI

7. 

Adida C, Crotty PL, McGrath J, et al: Developmentary regulated expression of the novel cancer antiapoptosis gene survivin in human and mouse differentiation. Am J Pathol. 152:43–49. 1998.PubMed/NCBI

8. 

Olie RA, Simões-Wüst AP, Baumann B, et al: A novel antisense oligonucleotide targeting survivin expression induces apoptosis and sensitizes lung cancer cells to chemotherapy. Cancer Res. 60:2805–2809. 2000.

9. 

Sah NK, Khan Z, Khan GJ and Bisen PS: Structural, functional and therapeutic biology of survivin. Cancer Lett. 244:164–171. 2006. View Article : Google Scholar : PubMed/NCBI

10. 

O'Driscoll L, Linehan R, Kennedy MS, et al: Lack of prognostic significance of survivin, survivin-ΔEx3, survivin-2B, galectin-3, bag-1, bax-α and MRP-1 mRNAs in breast cancer. Cancer Lett. 201:225–236. 2003.

11. 

Hinnis AR, Luckett JCA and Walker RA: Survivin is an independent predictor of short-term survival in poor prognostic breast cancer patients. Br J Cancer. 96:639–645. 2007. View Article : Google Scholar : PubMed/NCBI

12. 

Tanaka K, Iwamoto S, Gon G, et al: Expression of survivin and its relationship to loss of apoptosis in breast carcinomas. Clin Cancer Res. 6:127–134. 2000.PubMed/NCBI

13. 

Bertheau P, Espié M, Turpin E, et al: TP53 status and response to chemotherapy in breast cancer. Pathobiology. 75:132–139. 2008. View Article : Google Scholar : PubMed/NCBI

14. 

Brennan DJ, Rexhepaj E, O'Brien SL, et al: Altered cytoplasmic-to-nuclear ratio of survivin is a prognostic indicator in breast cancer. Clin Cancer Res. 14:2681–2689. 2008. View Article : Google Scholar : PubMed/NCBI

15. 

Hayward JL, Carbone PP, Heusen JC, et al: Assessment of response to therapy in advanced breast cancer. Br J Cancer. 35:292–298. 1977. View Article : Google Scholar : PubMed/NCBI

16. 

Sataloff DM, Mason BA, Prestipino AJ, et al: Pathologic response to induction chemotherapy in locally advanced carcinoma of the breast: a determinant of outcome. J Am Coll Surg. 180:297–306. 1995.PubMed/NCBI

17. 

Li F and Ling X: Survivin study: an update of ‘what is the next wave’? J Cell Physiol. 208:476–486. 2006.

18. 

Dohi T, Beltrami E, Wall NR, Plescia J and Altieri DC: Mitochondrial survivin inhibits apoptosis and promotes tumorigenesis. J Clin Invest. 114:1117–1127. 2004. View Article : Google Scholar : PubMed/NCBI

19. 

Li XN, Shu Q, Su JM, et al: Differential expression of survivin splice isoforms in medulloblastomas. Neuropathol Appl Neurobiol. 33:67–76. 2007.PubMed/NCBI

20. 

Altieri DC and Marchisio PC: Survivin apoptosis: an interloper between cell death and cell proliferation in cancer. Lab Invest. 79:1327–1333. 1999.PubMed/NCBI

21. 

Kennedy SM, O'Driscoll L, Purcell R, et al: Prognostic importance of survivin in breast cancer. Br J Cancer. 88:1077–1083. 2003. View Article : Google Scholar : PubMed/NCBI

22. 

Ponnelle T, Chapusot C, Martin L, et al: Cellular localisation of survivin: impact on the prognosis in colorectal cancer. J Cancer Res Clin Oncol. 131:504–510. 2005. View Article : Google Scholar : PubMed/NCBI

23. 

Xie D, Zeng YX, Wang HJ, et al: Expression of cytoplasmic and nuclear survivin in primary and secondary human glioblastoma. Br J Cancer. 94:108–114. 2006. View Article : Google Scholar : PubMed/NCBI

24. 

Piras F, Murtas D, Minerba L, et al: Nuclear survivin is associated with disease recurrence and poor survival in patients with cutaneous malignant melanoma. Histopathology. 50:835–842. 2007. View Article : Google Scholar : PubMed/NCBI

25. 

Mirza A, McGuirk M, Hockenberry TN, et al: Human survivin is negatively regulated by wild-type p53 and participates in p53-dependent apoptotic pathway. Oncogene. 21:2613–2622. 2002. View Article : Google Scholar : PubMed/NCBI

Related Articles

  • Abstract
  • View
  • Download
  • Twitter
Copy and paste a formatted citation
Spandidos Publications style
Ionta MT, Perra MT, Atzori F, Maxia C, Pusceddu V, Demurtas P, Deidda MC, Piras F, Frau B, Murtas D, Murtas D, et al: Long-term maintenance of prognostic value of survivin and its relationship with p53 in T4 breast cancer patients . Exp Ther Med 1: 59-64, 2010.
APA
Ionta, M.T., Perra, M.T., Atzori, F., Maxia, C., Pusceddu, V., Demurtas, P. ... Sirigu, P. (2010). Long-term maintenance of prognostic value of survivin and its relationship with p53 in T4 breast cancer patients . Experimental and Therapeutic Medicine, 1, 59-64. https://doi.org/10.3892/etm_00000010
MLA
Ionta, M. T., Perra, M. T., Atzori, F., Maxia, C., Pusceddu, V., Demurtas, P., Deidda, M. C., Piras, F., Frau, B., Murtas, D., Minerba, L., Massidda, B., Sirigu, P."Long-term maintenance of prognostic value of survivin and its relationship with p53 in T4 breast cancer patients ". Experimental and Therapeutic Medicine 1.1 (2010): 59-64.
Chicago
Ionta, M. T., Perra, M. T., Atzori, F., Maxia, C., Pusceddu, V., Demurtas, P., Deidda, M. C., Piras, F., Frau, B., Murtas, D., Minerba, L., Massidda, B., Sirigu, P."Long-term maintenance of prognostic value of survivin and its relationship with p53 in T4 breast cancer patients ". Experimental and Therapeutic Medicine 1, no. 1 (2010): 59-64. https://doi.org/10.3892/etm_00000010
Copy and paste a formatted citation
x
Spandidos Publications style
Ionta MT, Perra MT, Atzori F, Maxia C, Pusceddu V, Demurtas P, Deidda MC, Piras F, Frau B, Murtas D, Murtas D, et al: Long-term maintenance of prognostic value of survivin and its relationship with p53 in T4 breast cancer patients . Exp Ther Med 1: 59-64, 2010.
APA
Ionta, M.T., Perra, M.T., Atzori, F., Maxia, C., Pusceddu, V., Demurtas, P. ... Sirigu, P. (2010). Long-term maintenance of prognostic value of survivin and its relationship with p53 in T4 breast cancer patients . Experimental and Therapeutic Medicine, 1, 59-64. https://doi.org/10.3892/etm_00000010
MLA
Ionta, M. T., Perra, M. T., Atzori, F., Maxia, C., Pusceddu, V., Demurtas, P., Deidda, M. C., Piras, F., Frau, B., Murtas, D., Minerba, L., Massidda, B., Sirigu, P."Long-term maintenance of prognostic value of survivin and its relationship with p53 in T4 breast cancer patients ". Experimental and Therapeutic Medicine 1.1 (2010): 59-64.
Chicago
Ionta, M. T., Perra, M. T., Atzori, F., Maxia, C., Pusceddu, V., Demurtas, P., Deidda, M. C., Piras, F., Frau, B., Murtas, D., Minerba, L., Massidda, B., Sirigu, P."Long-term maintenance of prognostic value of survivin and its relationship with p53 in T4 breast cancer patients ". Experimental and Therapeutic Medicine 1, no. 1 (2010): 59-64. https://doi.org/10.3892/etm_00000010
Follow us
  • Twitter
  • LinkedIn
  • Facebook
About
  • Spandidos Publications
  • Careers
  • Cookie Policy
  • Privacy Policy
How can we help?
  • Help
  • Live Chat
  • Contact
  • Email to our Support Team