Spandidos Publications Logo
  • About
    • About Spandidos
    • Aims and Scopes
    • Abstracting and Indexing
    • Editorial Policies
    • Reprints and Permissions
    • Job Opportunities
    • Terms and Conditions
    • Contact
  • Journals
    • All Journals
    • Oncology Letters
      • Oncology Letters
      • Information for Authors
      • Editorial Policies
      • Editorial Board
      • Aims and Scope
      • Abstracting and Indexing
      • Bibliographic Information
      • Archive
    • International Journal of Oncology
      • International Journal of Oncology
      • Information for Authors
      • Editorial Policies
      • Editorial Board
      • Aims and Scope
      • Abstracting and Indexing
      • Bibliographic Information
      • Archive
    • Molecular and Clinical Oncology
      • Molecular and Clinical Oncology
      • Information for Authors
      • Editorial Policies
      • Editorial Board
      • Aims and Scope
      • Abstracting and Indexing
      • Bibliographic Information
      • Archive
    • Experimental and Therapeutic Medicine
      • Experimental and Therapeutic Medicine
      • Information for Authors
      • Editorial Policies
      • Editorial Board
      • Aims and Scope
      • Abstracting and Indexing
      • Bibliographic Information
      • Archive
    • International Journal of Molecular Medicine
      • International Journal of Molecular Medicine
      • Information for Authors
      • Editorial Policies
      • Editorial Board
      • Aims and Scope
      • Abstracting and Indexing
      • Bibliographic Information
      • Archive
    • Biomedical Reports
      • Biomedical Reports
      • Information for Authors
      • Editorial Policies
      • Editorial Board
      • Aims and Scope
      • Abstracting and Indexing
      • Bibliographic Information
      • Archive
    • Oncology Reports
      • Oncology Reports
      • Information for Authors
      • Editorial Policies
      • Editorial Board
      • Aims and Scope
      • Abstracting and Indexing
      • Bibliographic Information
      • Archive
    • Molecular Medicine Reports
      • Molecular Medicine Reports
      • Information for Authors
      • Editorial Policies
      • Editorial Board
      • Aims and Scope
      • Abstracting and Indexing
      • Bibliographic Information
      • Archive
    • World Academy of Sciences Journal
      • World Academy of Sciences Journal
      • Information for Authors
      • Editorial Policies
      • Editorial Board
      • Aims and Scope
      • Abstracting and Indexing
      • Bibliographic Information
      • Archive
    • International Journal of Functional Nutrition
      • International Journal of Functional Nutrition
      • Information for Authors
      • Editorial Policies
      • Editorial Board
      • Aims and Scope
      • Abstracting and Indexing
      • Bibliographic Information
      • Archive
    • International Journal of Epigenetics
      • International Journal of Epigenetics
      • Information for Authors
      • Editorial Policies
      • Editorial Board
      • Aims and Scope
      • Abstracting and Indexing
      • Bibliographic Information
      • Archive
    • Medicine International
      • Medicine International
      • Information for Authors
      • Editorial Policies
      • Editorial Board
      • Aims and Scope
      • Abstracting and Indexing
      • Bibliographic Information
      • Archive
  • Articles
  • Information
    • Information for Authors
    • Information for Reviewers
    • Information for Librarians
    • Information for Advertisers
    • Conferences
  • Language Editing
Spandidos Publications Logo
  • About
    • About Spandidos
    • Aims and Scopes
    • Abstracting and Indexing
    • Editorial Policies
    • Reprints and Permissions
    • Job Opportunities
    • Terms and Conditions
    • Contact
  • Journals
    • All Journals
    • Biomedical Reports
      • Information for Authors
      • Editorial Policies
      • Editorial Board
      • Aims and Scope
      • Abstracting and Indexing
      • Bibliographic Information
      • Archive
    • Experimental and Therapeutic Medicine
      • Information for Authors
      • Editorial Policies
      • Editorial Board
      • Aims and Scope
      • Abstracting and Indexing
      • Bibliographic Information
      • Archive
    • International Journal of Epigenetics
      • Information for Authors
      • Editorial Policies
      • Editorial Board
      • Aims and Scope
      • Abstracting and Indexing
      • Bibliographic Information
      • Archive
    • International Journal of Functional Nutrition
      • Information for Authors
      • Editorial Policies
      • Editorial Board
      • Aims and Scope
      • Abstracting and Indexing
      • Bibliographic Information
      • Archive
    • International Journal of Molecular Medicine
      • Information for Authors
      • Editorial Policies
      • Editorial Board
      • Aims and Scope
      • Abstracting and Indexing
      • Bibliographic Information
      • Archive
    • International Journal of Oncology
      • Information for Authors
      • Editorial Policies
      • Editorial Board
      • Aims and Scope
      • Abstracting and Indexing
      • Bibliographic Information
      • Archive
    • Medicine International
      • Information for Authors
      • Editorial Policies
      • Editorial Board
      • Aims and Scope
      • Abstracting and Indexing
      • Bibliographic Information
      • Archive
    • Molecular and Clinical Oncology
      • Information for Authors
      • Editorial Policies
      • Editorial Board
      • Aims and Scope
      • Abstracting and Indexing
      • Bibliographic Information
      • Archive
    • Molecular Medicine Reports
      • Information for Authors
      • Editorial Policies
      • Editorial Board
      • Aims and Scope
      • Abstracting and Indexing
      • Bibliographic Information
      • Archive
    • Oncology Letters
      • Information for Authors
      • Editorial Policies
      • Editorial Board
      • Aims and Scope
      • Abstracting and Indexing
      • Bibliographic Information
      • Archive
    • Oncology Reports
      • Information for Authors
      • Editorial Policies
      • Editorial Board
      • Aims and Scope
      • Abstracting and Indexing
      • Bibliographic Information
      • Archive
    • World Academy of Sciences Journal
      • Information for Authors
      • Editorial Policies
      • Editorial Board
      • Aims and Scope
      • Abstracting and Indexing
      • Bibliographic Information
      • Archive
  • Articles
  • Information
    • For Authors
    • For Reviewers
    • For Librarians
    • For Advertisers
    • Conferences
  • Language Editing
Login Register Submit
  • This site uses cookies
  • You can change your cookie settings at any time by following the instructions in our Cookie Policy. To find out more, you may read our Privacy Policy.

    I agree
Search articles by DOI, keyword, author or affiliation
Search
Advanced Search
presentation
Experimental and Therapeutic Medicine
Join Editorial Board Propose a Special Issue
Print ISSN: 1792-0981 Online ISSN: 1792-1015
Journal Cover
January-February 2010 Volume 1 Issue 1

Full Size Image

Sign up for eToc alerts
Recommend to Library

Journals

International Journal of Molecular Medicine

International Journal of Molecular Medicine

International Journal of Molecular Medicine is an international journal devoted to molecular mechanisms of human disease.

International Journal of Oncology

International Journal of Oncology

International Journal of Oncology is an international journal devoted to oncology research and cancer treatment.

Molecular Medicine Reports

Molecular Medicine Reports

Covers molecular medicine topics such as pharmacology, pathology, genetics, neuroscience, infectious diseases, molecular cardiology, and molecular surgery.

Oncology Reports

Oncology Reports

Oncology Reports is an international journal devoted to fundamental and applied research in Oncology.

Experimental and Therapeutic Medicine

Experimental and Therapeutic Medicine

Experimental and Therapeutic Medicine is an international journal devoted to laboratory and clinical medicine.

Oncology Letters

Oncology Letters

Oncology Letters is an international journal devoted to Experimental and Clinical Oncology.

Biomedical Reports

Biomedical Reports

Explores a wide range of biological and medical fields, including pharmacology, genetics, microbiology, neuroscience, and molecular cardiology.

Molecular and Clinical Oncology

Molecular and Clinical Oncology

International journal addressing all aspects of oncology research, from tumorigenesis and oncogenes to chemotherapy and metastasis.

World Academy of Sciences Journal

World Academy of Sciences Journal

Multidisciplinary open-access journal spanning biochemistry, genetics, neuroscience, environmental health, and synthetic biology.

International Journal of Functional Nutrition

International Journal of Functional Nutrition

Open-access journal combining biochemistry, pharmacology, immunology, and genetics to advance health through functional nutrition.

International Journal of Epigenetics

International Journal of Epigenetics

Publishes open-access research on using epigenetics to advance understanding and treatment of human disease.

Medicine International

Medicine International

An International Open Access Journal Devoted to General Medicine.

Journal Cover
January-February 2010 Volume 1 Issue 1

Full Size Image

Sign up for eToc alerts
Recommend to Library

  • Article
  • Citations
    • Cite This Article
    • Download Citation
    • Create Citation Alert
    • Remove Citation Alert
    • Cited By
  • Similar Articles
    • Related Articles (in Spandidos Publications)
    • Similar Articles (Google Scholar)
    • Similar Articles (PubMed)
  • Download PDF
Article

Prognostic value of c-Met expression in oral squamous cell carcinoma

  • Authors:
    • Christian Freudlsperger
    • Dorothea Alexander
    • Siegmar Reinert
    • Juergen Hoffmann
  • View Affiliations / Copyright

    Affiliations: Department of Oral and Maxillofacial Surgery, Tuebingen University Hospital, D-72076 Tuebingen, Germany. freudlsperger@klinikum.uni-tuebingen.de
  • Pages: 69-72
    |
    Published online on: January 1, 2010
       https://doi.org/10.3892/etm_00000012
  • Expand metrics +
Metrics: Total Views: 0 (Spandidos Publications: | PMC Statistics: )
Metrics: Total PDF Downloads: 0 (Spandidos Publications: | PMC Statistics: )
Cited By (CrossRef): 0 citations Loading Articles...

This article is mentioned in:



Abstract

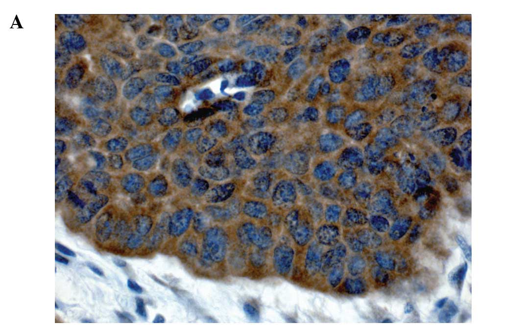
Expression of c-Met, an oncogene encoding the receptor for the hepatocyte growth factor, was found to be associated with the progression of various types of human carcinomas including squamous cell carcinoma of the head and neck. This study was performed to analyze the prognostic role of c-Met in oral squamous cell carcinoma (OSCC) by detecting its expression in relation to clinicopathological features. Two hundred and eleven patients with OSCC were analyzed for c-Met expression by immunohistochemistry. Specimens with ≥50% of cancer cells showing staining for c-Met were considered c-Met-positive. A pairwise multiple-comparison procedure (Fisher's exact test) and survival analyses using the Kaplan-Meier method were used to analyze the data. One hundred and seventy-five patients (82.9%) showed positivity for c-Met, while 36 patients (17.1%) showed no immunopositivity. In contrast to published studies, there was no statistically significant correlation between c-Met expression and tumor size, lymph node status, distant metastasis or survival rates. However, a statistically significant negative correlation between c-Met expression and tumor stage was apparent (p=0.022). Hence, this study did not confirm the role of c-Met as a prognostic marker in patients with OSCC.
View Figures

Figure 1

Figure 2

View References

1. 

Lothaire P, De Azambuja E, Dequanter D, et al: Molecular markers of head and neck squamous cell carcinoma: promising signs in need of prospective evaluation. Head Neck. 28:256–269. 2006.

2. 

De Herdt MJ and Baatenburg De Jong RJ: HGF and c-MET as potential orchestrators of invasive growth in head and neck squamous cell carcinoma. Front Biosci. 13:2516–2526. 2008.

3. 

Lo Muzio L, Farina A, Rubini C, et al: Effect of c-Met expression on survival in head and neck squamous cell carcinoma. Tumour Biol. 27:115–121. 2006.

4. 

Bottaro DP, Rubin JS, Faletto DL, et al: Identification of the hepatocyte growth factor receptor as the c-met proto-oncogene product. Science. 251:802–804. 1991.

5. 

Birchmeier C and Gherardi E: Developmental roles of HGF/SF and its receptor, the c-met tyrosine kinase. Trends Cell Biol. 8:404–410. 1998.

6. 

Nakamura T, Nishizawa T, Hagiya M, et al: Molecular cloning and expression of human hepatocyte growth factor. Nature. 342:440–443. 1989.

7. 

Zarnegar R and Michalopoulos GK: The many faces of hepatocyte growth factor: from hepatopoiesis to hematopoiesis. J Cell Biol. 129:1177–1180. 1995.

8. 

Chen YS, Wang JT, Chang YF, et al: Expression of hepatocyte growth factor and c-met protein is significantly associated with the progression of oral squamous cell carcinoma in Taiwan. J Oral Pathol Med. 33:209–217. 2004.

9. 

To C and Tsao M: The roles of hepatocyte growth factor/scatter factor and met receptor in human cancers (Review). Oncol Rep. 5:1013–1024. 1998.

10. 

Uchida D, Kawamata H, Omotehara F, et al: Role of HGF/c-met system in invasion and metastasis of oral squamous cell carcinoma cells in vitro and its clinical significance. Int J Cancer. 93:489–496. 2001.

11. 

Matsumoto K, Nakamura T and Kramer RH: Hepatocyte growth factor/scatter factor induces tyrosine phosphorylation of focal adhesion kinase (p125(FAK)) and promotes migration and invasion by oral squamous cell carcinoma cells. J Biol Chem. 269:31807–31813. 1994.

12. 

Patel SG and Shah JP: TNM staging of cancers of the head and neck: striving for uniformity among diversity. CA Cancer J Clin. 55:242–258. 2005.

13. 

Kunkel M, Reichert T, Benz P, et al: Overexpression of Glut-1 and increased glucose metabolism in tumors are associated with a poor prognosis in patients with oral squamous cell carcinoma. Cancer. 97:1015–1024. 2003.

14. 

Kim CH, Moon SK, Bae JH, et al: Expression of hepatocyte growth factor and c-Met in hypopharyngeal squamous cell carcinoma. Acta Otolaryngol. 126:88–94. 2006.

15. 

Sawatsubashi M, Sasatomi E, Mizokami H, Tokunaga O and Shin T: Expression of c-Met in laryngeal carcinoma. Virchows Arch. 432:331–335. 1998.

16. 

Galeazzi E, Olivero M, Gervasio FC, et al: Detection of MET oncogene/hepatocyte growth factor receptor in lymph node metastases from head and neck squamous cell carcinomas. Eur Arch Otorhinolaryngol. 254:S138–S143. 1997.

17. 

Lo Muzio L, Leonardi R, Mignogna MD, et al: Scatter factor receptor (c-Met) as possible prognostic factor in patients with oral squamous cell carcinoma. Anticancer Res. 24:1063–1069. 2004.

18. 

Marshall DD and Kornberg LJ: Overexpression of scatter factor and its receptor (c-met) in oral squamous cell carcinoma. Laryngoscope. 108:1413–1417. 1998.

19. 

Nakajima M, Sawada H, Yamada Y, et al: The prognostic significance of amplification and overexpression of c-met and c-erb B-2 in human gastric carcinomas. Cancer. 85:1894–1902. 1999.

20. 

Hanzawa M, Shindoh M, Higashino F, et al: Hepatocyte growth factor upregulates E1AF that induces oral squamous cell carcinoma cell invasion by activating matrix metalloproteinase genes. Carcinogenesis. 21:1079–1085. 2000.

21. 

Murai M, Shen X, Huang L, et al: Overexpression of c-met in oral SCC promotes hepatocyte growth factor-induced disruption of cadherin junctions and invasion. Int J Oncol. 25:831–840. 2004.

22. 

Han SU, Lee JH, Kim WH, Cho YK and Kim MW: Significant correlation between serum level of hepatocyte growth factor and progression of gastric carcinoma. World J Surg. 23:1176–1180. 1999.

23. 

Moghul A, Lin L, Beedle A, et al: Modulation of c-MET proto-oncogene (HGF receptor) mRNA abundance by cytokines and hormones: evidence for rapid decay of the 8 kb c-MET transcript. Oncogene. 9:2045–2052. 1994.

24. 

Boccaccio C, Gaudino G, Gambarotta G, Galimi F and Comoglio P: Hepatocyte growth factor (HGF) receptor expression is inducible and is part of the delayed-early response to HGF. J Biol Chem. 269:12846–12851. 1994.

Related Articles

  • Abstract
  • View
  • Download
  • Twitter
Copy and paste a formatted citation
Spandidos Publications style
Freudlsperger C, Alexander D, Reinert S and Hoffmann J: Prognostic value of c-Met expression in oral squamous cell carcinoma . Exp Ther Med 1: 69-72, 2010.
APA
Freudlsperger, C., Alexander, D., Reinert, S., & Hoffmann, J. (2010). Prognostic value of c-Met expression in oral squamous cell carcinoma . Experimental and Therapeutic Medicine, 1, 69-72. https://doi.org/10.3892/etm_00000012
MLA
Freudlsperger, C., Alexander, D., Reinert, S., Hoffmann, J."Prognostic value of c-Met expression in oral squamous cell carcinoma ". Experimental and Therapeutic Medicine 1.1 (2010): 69-72.
Chicago
Freudlsperger, C., Alexander, D., Reinert, S., Hoffmann, J."Prognostic value of c-Met expression in oral squamous cell carcinoma ". Experimental and Therapeutic Medicine 1, no. 1 (2010): 69-72. https://doi.org/10.3892/etm_00000012
Copy and paste a formatted citation
x
Spandidos Publications style
Freudlsperger C, Alexander D, Reinert S and Hoffmann J: Prognostic value of c-Met expression in oral squamous cell carcinoma . Exp Ther Med 1: 69-72, 2010.
APA
Freudlsperger, C., Alexander, D., Reinert, S., & Hoffmann, J. (2010). Prognostic value of c-Met expression in oral squamous cell carcinoma . Experimental and Therapeutic Medicine, 1, 69-72. https://doi.org/10.3892/etm_00000012
MLA
Freudlsperger, C., Alexander, D., Reinert, S., Hoffmann, J."Prognostic value of c-Met expression in oral squamous cell carcinoma ". Experimental and Therapeutic Medicine 1.1 (2010): 69-72.
Chicago
Freudlsperger, C., Alexander, D., Reinert, S., Hoffmann, J."Prognostic value of c-Met expression in oral squamous cell carcinoma ". Experimental and Therapeutic Medicine 1, no. 1 (2010): 69-72. https://doi.org/10.3892/etm_00000012
Follow us
  • Twitter
  • LinkedIn
  • Facebook
About
  • Spandidos Publications
  • Careers
  • Cookie Policy
  • Privacy Policy
How can we help?
  • Help
  • Live Chat
  • Contact
  • Email to our Support Team