Spandidos Publications Logo
  • About
    • About Spandidos
    • Aims and Scopes
    • Abstracting and Indexing
    • Editorial Policies
    • Reprints and Permissions
    • Job Opportunities
    • Terms and Conditions
    • Contact
  • Journals
    • All Journals
    • Oncology Letters
      • Oncology Letters
      • Information for Authors
      • Editorial Policies
      • Editorial Board
      • Aims and Scope
      • Abstracting and Indexing
      • Bibliographic Information
      • Archive
    • International Journal of Oncology
      • International Journal of Oncology
      • Information for Authors
      • Editorial Policies
      • Editorial Board
      • Aims and Scope
      • Abstracting and Indexing
      • Bibliographic Information
      • Archive
    • Molecular and Clinical Oncology
      • Molecular and Clinical Oncology
      • Information for Authors
      • Editorial Policies
      • Editorial Board
      • Aims and Scope
      • Abstracting and Indexing
      • Bibliographic Information
      • Archive
    • Experimental and Therapeutic Medicine
      • Experimental and Therapeutic Medicine
      • Information for Authors
      • Editorial Policies
      • Editorial Board
      • Aims and Scope
      • Abstracting and Indexing
      • Bibliographic Information
      • Archive
    • International Journal of Molecular Medicine
      • International Journal of Molecular Medicine
      • Information for Authors
      • Editorial Policies
      • Editorial Board
      • Aims and Scope
      • Abstracting and Indexing
      • Bibliographic Information
      • Archive
    • Biomedical Reports
      • Biomedical Reports
      • Information for Authors
      • Editorial Policies
      • Editorial Board
      • Aims and Scope
      • Abstracting and Indexing
      • Bibliographic Information
      • Archive
    • Oncology Reports
      • Oncology Reports
      • Information for Authors
      • Editorial Policies
      • Editorial Board
      • Aims and Scope
      • Abstracting and Indexing
      • Bibliographic Information
      • Archive
    • Molecular Medicine Reports
      • Molecular Medicine Reports
      • Information for Authors
      • Editorial Policies
      • Editorial Board
      • Aims and Scope
      • Abstracting and Indexing
      • Bibliographic Information
      • Archive
    • World Academy of Sciences Journal
      • World Academy of Sciences Journal
      • Information for Authors
      • Editorial Policies
      • Editorial Board
      • Aims and Scope
      • Abstracting and Indexing
      • Bibliographic Information
      • Archive
    • International Journal of Functional Nutrition
      • International Journal of Functional Nutrition
      • Information for Authors
      • Editorial Policies
      • Editorial Board
      • Aims and Scope
      • Abstracting and Indexing
      • Bibliographic Information
      • Archive
    • International Journal of Epigenetics
      • International Journal of Epigenetics
      • Information for Authors
      • Editorial Policies
      • Editorial Board
      • Aims and Scope
      • Abstracting and Indexing
      • Bibliographic Information
      • Archive
    • Medicine International
      • Medicine International
      • Information for Authors
      • Editorial Policies
      • Editorial Board
      • Aims and Scope
      • Abstracting and Indexing
      • Bibliographic Information
      • Archive
  • Articles
  • Information
    • Information for Authors
    • Information for Reviewers
    • Information for Librarians
    • Information for Advertisers
    • Conferences
  • Language Editing
Spandidos Publications Logo
  • About
    • About Spandidos
    • Aims and Scopes
    • Abstracting and Indexing
    • Editorial Policies
    • Reprints and Permissions
    • Job Opportunities
    • Terms and Conditions
    • Contact
  • Journals
    • All Journals
    • Biomedical Reports
      • Information for Authors
      • Editorial Policies
      • Editorial Board
      • Aims and Scope
      • Abstracting and Indexing
      • Bibliographic Information
      • Archive
    • Experimental and Therapeutic Medicine
      • Information for Authors
      • Editorial Policies
      • Editorial Board
      • Aims and Scope
      • Abstracting and Indexing
      • Bibliographic Information
      • Archive
    • International Journal of Epigenetics
      • Information for Authors
      • Editorial Policies
      • Editorial Board
      • Aims and Scope
      • Abstracting and Indexing
      • Bibliographic Information
      • Archive
    • International Journal of Functional Nutrition
      • Information for Authors
      • Editorial Policies
      • Editorial Board
      • Aims and Scope
      • Abstracting and Indexing
      • Bibliographic Information
      • Archive
    • International Journal of Molecular Medicine
      • Information for Authors
      • Editorial Policies
      • Editorial Board
      • Aims and Scope
      • Abstracting and Indexing
      • Bibliographic Information
      • Archive
    • International Journal of Oncology
      • Information for Authors
      • Editorial Policies
      • Editorial Board
      • Aims and Scope
      • Abstracting and Indexing
      • Bibliographic Information
      • Archive
    • Medicine International
      • Information for Authors
      • Editorial Policies
      • Editorial Board
      • Aims and Scope
      • Abstracting and Indexing
      • Bibliographic Information
      • Archive
    • Molecular and Clinical Oncology
      • Information for Authors
      • Editorial Policies
      • Editorial Board
      • Aims and Scope
      • Abstracting and Indexing
      • Bibliographic Information
      • Archive
    • Molecular Medicine Reports
      • Information for Authors
      • Editorial Policies
      • Editorial Board
      • Aims and Scope
      • Abstracting and Indexing
      • Bibliographic Information
      • Archive
    • Oncology Letters
      • Information for Authors
      • Editorial Policies
      • Editorial Board
      • Aims and Scope
      • Abstracting and Indexing
      • Bibliographic Information
      • Archive
    • Oncology Reports
      • Information for Authors
      • Editorial Policies
      • Editorial Board
      • Aims and Scope
      • Abstracting and Indexing
      • Bibliographic Information
      • Archive
    • World Academy of Sciences Journal
      • Information for Authors
      • Editorial Policies
      • Editorial Board
      • Aims and Scope
      • Abstracting and Indexing
      • Bibliographic Information
      • Archive
  • Articles
  • Information
    • For Authors
    • For Reviewers
    • For Librarians
    • For Advertisers
    • Conferences
  • Language Editing
Login Register Submit
  • This site uses cookies
  • You can change your cookie settings at any time by following the instructions in our Cookie Policy. To find out more, you may read our Privacy Policy.

    I agree
Search articles by DOI, keyword, author or affiliation
Search
Advanced Search
presentation
International Journal of Molecular Medicine
Join Editorial Board Propose a Special Issue
Print ISSN: 1107-3756 Online ISSN: 1791-244X
Journal Cover
May 2013 Volume 31 Issue 5

Full Size Image

Sign up for eToc alerts
Recommend to Library

Journals

International Journal of Molecular Medicine

International Journal of Molecular Medicine

International Journal of Molecular Medicine is an international journal devoted to molecular mechanisms of human disease.

International Journal of Oncology

International Journal of Oncology

International Journal of Oncology is an international journal devoted to oncology research and cancer treatment.

Molecular Medicine Reports

Molecular Medicine Reports

Covers molecular medicine topics such as pharmacology, pathology, genetics, neuroscience, infectious diseases, molecular cardiology, and molecular surgery.

Oncology Reports

Oncology Reports

Oncology Reports is an international journal devoted to fundamental and applied research in Oncology.

Experimental and Therapeutic Medicine

Experimental and Therapeutic Medicine

Experimental and Therapeutic Medicine is an international journal devoted to laboratory and clinical medicine.

Oncology Letters

Oncology Letters

Oncology Letters is an international journal devoted to Experimental and Clinical Oncology.

Biomedical Reports

Biomedical Reports

Explores a wide range of biological and medical fields, including pharmacology, genetics, microbiology, neuroscience, and molecular cardiology.

Molecular and Clinical Oncology

Molecular and Clinical Oncology

International journal addressing all aspects of oncology research, from tumorigenesis and oncogenes to chemotherapy and metastasis.

World Academy of Sciences Journal

World Academy of Sciences Journal

Multidisciplinary open-access journal spanning biochemistry, genetics, neuroscience, environmental health, and synthetic biology.

International Journal of Functional Nutrition

International Journal of Functional Nutrition

Open-access journal combining biochemistry, pharmacology, immunology, and genetics to advance health through functional nutrition.

International Journal of Epigenetics

International Journal of Epigenetics

Publishes open-access research on using epigenetics to advance understanding and treatment of human disease.

Medicine International

Medicine International

An International Open Access Journal Devoted to General Medicine.

Journal Cover
May 2013 Volume 31 Issue 5

Full Size Image

Sign up for eToc alerts
Recommend to Library

  • Article
  • Citations
    • Cite This Article
    • Download Citation
    • Create Citation Alert
    • Remove Citation Alert
    • Cited By
  • Similar Articles
    • Related Articles (in Spandidos Publications)
    • Similar Articles (Google Scholar)
    • Similar Articles (PubMed)
  • Download PDF
  • Download XML
  • View XML
Article

Activity of antibacterial protein from maggots against Staphylococcus aureus in vitro and in vivo

  • Authors:
    • Zhen Zhang
    • Jiangning Wang
    • Bo Zhang
    • Huanran Liu
    • Wei Song
    • Jiao He
    • Decheng Lv
    • Shouyu Wang
    • Xiaoguang Xu
  • View Affiliations / Copyright

    Affiliations: Department of Orthopedic Surgery, The First Affiliated Hospital of Dalian Medical University, Dalian 116011, P.R. China, Department of Reparative and Reconstructive Surgery, Luhe Hospital, Capital Medical University, Beijing 101100, P.R. China, Department of Neurosurgery, The First Affiliated Hospital of Dalian Medical University, Dalian 116011, P.R. China, Department of Clinical Laboratory, The First Affiliated Hospital of Dalian Medical University, Dalian 116011, P.R. China, Department of Neurosurgery, The Second Affiliated Hospital of Dalian Medical University, Dalian 116027, P.R. China
  • Pages: 1159-1165
    |
    Published online on: March 5, 2013
       https://doi.org/10.3892/ijmm.2013.1291
  • Expand metrics +
Metrics: Total Views: 0 (Spandidos Publications: | PMC Statistics: )
Metrics: Total PDF Downloads: 0 (Spandidos Publications: | PMC Statistics: )
Cited By (CrossRef): 0 citations Loading Articles...

This article is mentioned in:



Abstract

Maggots (larvae of Lucilia sericata) have shown therapeutic effects on refractory wounds infected with bacteria, yet the bacterial killing mechanisms are unclear. Herein, we report the isolation and purification of an antibacterial protein from maggots (MAMP). MAMP demonstrated inhibitory activity against both standard strains and clinically isolated antibiotic-resistant strains of Staphylococcus aureus in vitro. The topical use of MAMP effectively decreased the viability of S. aureus and promoted wound healing in an S. aureus mouse skin infection model. MAMP exerted its antibacterial activity via a bactericidal mechanism based on observations using scanning electron and transmission electron microscopy. MAMP interacted with the bacterial cell membrane and disrupted the cell surface structure. In addition, MAMP had weak hemolytic activity at a high concentration. Taken together, MAMP exhibits potential use as a topical agent for treating bacterial infections.

Introduction

Antibiotic resistance has become a serious and increasing threat to human health. For example, it is estremely difficult to treat infected wounds caused by antibiotic-resistant pathogens using common antibiotics (1). There is an urgent need for the development of new antibacterial agents. Natural product anti-infectious agents are attractive options.

Maggot (fly larva) therapy with the larvae of Lucilia sericata is an effective and simple method for cleaning infected and necrotic wounds (2–8). Its use dates back to the beginning of civilization, and it became popular and prevalent for the treatment of chronic or infected wounds worldwide during the 1930s (2). With the introduction and production of antibiotics in the 1940s, however, the academic and clinical interest in this biosurgery was unfortunately lost. In the 1990s the rising incidence of antibiotic resistance resulted in the renaissance of maggot therapy. Despite the repeated falling out of favor and the persistent public disdain which hamper its acceptance, the practice of maggot therapy is on the rise, attributed to its efficacy, safety and simplicity. Our group has performed successful maggot bio-debridement on diabetic foot ulcers, pressure ulcers after spinal cord injury and infected wounds after forearm replantation (7,8). Sherman (3) and Mumcuoglu (4) have confirmed that maggot therapy benefits patients through rapid wound debridement and elimination of infection. Recently, there is an increasing interest in investigating antimicrobial protein from maggots (MAMP) that belongs to the family of antimicrobial peptides (AMPs). Several reports have described that the maggot contains a diversity of bioactive proteins with antimicrobial function, either in the whole body or in the excretion/secretion (9–11).

AMPs have broad-spectrum activity against a wide range of micro-organisms including viruses, Gram-positive and Gram-negative bacteria, protozoa, yeasts and fungi (12,13). However, the mechanisms of action for its effects on infected wounds remain unclear. Staphylococci are common commensal bacteria of the skin (14) and are also an important pathogen in foreign-pathogen infections (15). The Gram-positive Staphylococcus (S.) aureus is a major human pathogen of many nosocomial infections, including life-threatening diseases such as toxic shock syndrome, endocarditis and chronic infected wounds (16). The emergence of multidrug-resistant strains of S. aureus, such as methicillin-resistant S. aureus (MRSA), has intensified the need for the development of new treatment modalities.

In the present study, we purified antimicrobial proteins from the body of maggots with ultrafiltration, and then investigated their in vitro and in vivo biological activities and the mechanisms of action on infected wounds caused by S. aureus. The results provide a basis for the further development of AMP-based therapy.

Materials and methods

Ethical considerations concerning the human subjects and animal use and care

The present study involving human participants was reviewed and approved by the Clinical Research Ethics Committee of Dalian Medical University, Dalian, China. Written consent was obtained from each of the participants who provided blood samples voluntarily for the study. All animal experiments were in accordance with the NIH Guide for the Care and Use of Laboratory Animals, and the protocols were reviewed and approved by the Committee on Research and Animal Care of Dalian Medical University.

Bacterial strains

S. aureus (ATCC 25923, 29213 and AB94004) was purchased from the China Center of Type Culture Collection. Clinical isolates were obtained from the Department of Clinical Laboratory, The First Affiliated Hospital of Dalian Medical University, including penicillin-resistant S. aureus 12SAU130, penicillin-resistant S. aureus 12SAU133, methicillin-resistant S. aureus 12SAU124 and methicillin-resistant S. aureus 12SAU145.

Crude protein extract from maggots

Eggs of L. sericata were collected from the eyes of Scomberomorus niphonius and were disinfected in 1% sodium sulfite solution for 3 min, followed by 3% Lysol disinfectant for 5 min. The disinfected eggs were transferred to sterile vials for cloning. The third stage L. sericata larvae were placed in 3.5% methanol/normal saline solution for 5 min, 2% hydrogen peroxide solution for 3 min, and 5% dilute hydrochloric acid solution for 5 min. Following a two-step disinfection, larvae were homogenized by a mortar in precooling TAE buffer solution (1:3 v/v). The homogenate was then centrifuged thrice at 12,000 × g at 4°C, for 30 min. The supernatant was collected and used as a crude protein extract.

Purification of the crude protein extract

The crude extract was primarily passed through a 30-kDa cut-off ultrafiltration membrane on a Labscale™ TFF System (Millipore, USA). The filtrate was then ultrafiltrated by a 10-kDa cut-off ultrafiltration membrane, and the filtrate (<10 kDa) and the cut-off fluid (10–30 kDa) were obtained for further testing.

Determination of protein concentration

The protein concentration was determined by the Bradford method (17) and bovine serum albumin (BSA) was used as the standard. The standard curve was established as follows: y = 0.0082× − 0.0035 (R2=0.9995) [where the x-axis represents the protein concentration and the y-axis represents the optical density (OD)]. The final concentration of protein in subsequent assays was 50 μg/ml.

Antimicrobial assays in vitro
Identification of the antimicrobial peptide from maggots (MAMP) using a turbidometric (TB) assay

The TB assay was modified from that of Thomas et al (18). S. aureus (ATCC 25923) was grown, washed in PBS and adjusted to a concentration of 105 CFUs in fresh tryptic soy broth (TSB). The crude protein extracts, cut-off fluid or filtrate (200 μl) were mixed, respectively, with 22 μl of 10% peptone water and the pH was measured. One hundred and fifty milliliters of the samples was incubated with 30 μl of the bacterial suspension in triplicate in a 96-well microtiter plate (Nunc; Fisher Scientific UK, Leicestershire, UK). Samples were incubated at 37°C for 24 h, and the optical density at 589 nm (OD589) was measured every 3 h. Controls consisted of 1% peptone water and were adjusted with 1 M NaOH to equalize the pH of the samples. All data points were subsequently blanked against time zero to account for the opacity of the samples. The sample subjected to the lowest OD value was identified as the antimicrobial peptide from the maggots (MAMP), and was used in the subsequent experiments.

Minimum inhibitory concentration (MIC) analysis

The MIC of MAMP was determined by a microdilution assay in 96-well microtiter plates according to the broth microdilution guideline of the Clinical and Laboratory Standards Institute (CLSI) (19). Overnight-cultured S. aureus (ATCC 25923) was diluted with Luria-Bertani (LB) medium to 104–106 CFU/ml. The bacterial suspension and the serially diluted MAMP were added to 96-well plates at a ratio of 4:1 in a final volume of 100 μl. The microplates were incubated at 37°C with continuous shaking. After 16 h, the optical density at 630 nm (OD630) was measured with a microplate reader. Vancomycin and penicillin were used as controls. The MIC values were determined at the zero optical density concentration. All experiments were repeated at least three times.

Antimicrobial assays in vivo
Experimental animals

Female BALB/c mice weighing 18–20 g were provided by the Animal Experimental Center of Dalian Medical University and housed one per cage for one week before study in a room with controlled environment (12 h/12 h light/dark cycle, 23±2°C and relative humidity 70%). They were also given free access to standard laboratory diet and water.

Gel preparation

MAMP was prepared in gel form in 0.5% hydroxypropylcellulose to a final concentration of 5 mg/ml.

Mouse skin abrasion and infection model

The activity of MAMP against S. aureus in vivo was determined according to the method of Cao et al (20) with minor modification. Briefly, mice were injected with 150 mg/kg of cyclophosphamide 4 days before infection, and with 100 mg/kg of cyclophosphamide 1 day before infection. After being anesthetized, the dorsal skin of the mice was shaved, and abrasions were produced in a 1×1 cm2 area using a blade. These abrasion wounds damaged only the stratum corneum and the upper layer of the epidermis, but not the dermis. Five minutes later, the wounds were inoculated with 20 ml of S. aureus (ATCC 25923) (107 CFUs). One group of mice was sacrificed 4 h after infection to control for the infectious dose. Four hours after infection, the wounds of the other mice were smeared with 20 ml of 2.5 mg/ml MAMP gel or a placebo control gel (0.5% hydroxypropylcellulose). The treatment lasted for 4 days, with two peptide gel applications being performed daily (morning and evening at 8 h intervals). At the end of the study, the mice were sacrificed, and the wound area of the skin was immediately excised and homogenized. Suitable dilutions of the homogenates were plated on LB plates to determine the number of living bacteria (CFUs).

Histological examination

After the animals were euthanized, biopsy specimens of the excised wound area of the skin were collected and immediately fixed in phosphate-buffered formalin. The biopsy specimens were then embedded in paraffin and stained with hematoxylin and eosin for pathological analysis.

Determination of the antibacterial mechanism
Membrane permeability

The assay was modified from that of Marri et al (21). S. aureus was grown, washed in PBS and adjusted to a concentration of 1×108 CFUs in fresh TSB. Ten microliters of 1× MIC MAMP, 10 μl of ortho-nitrophenylgalactoside (ONPG) and 30 μl of the bacterial suspension were mixed in triplicate in the wells of a 96-well microtiter plate. Triton X-100 was used as the positive control. Samples were incubated at 37°C for 3 h, and the optical density at 405 nm (OD405) was measured every 30 min.

Observation of the effect of MAMP on S. aureus using scanning electron microscopy (SEM) and transmission electron microscopy (TEM)

S. aureus was grown overnight to mid-logarithmic phase and diluted to a final density of 1×108 CFUs. The culture was centrifuged at 8,000 × g for 10 min; the supernatant was removed and 1 ml of 1× MIC MAMP was added to the bacteria, resuspended and cultured at 37°C for 6 or 12 h. After centrifuged at 8,000 × g for 10 min for the second time, the supernatant was removed and the bacteria precipitate was fixed in cold (4°C) 2.5% (v/v) glutaraldehyde in PBS (0.15 M, pH 7.2) for 24 h, and washed 3 times in PBS at 4°C. The bacteria were then dehydrated through an ascending series of acetone solutions, critical point dried, placed on aluminium stubs, sputter coated with gold, and then viewed under a field emission scanning electron microscope (JSM-6360LV, Japan). After dehydration, some bacteria were embedded in Epon-Araldite resin mixture, and then cut with an ultramicrotome. The sections were stained with uranyl/lead and viewed under a transmission electron microscope (JEM-2000EX, Japan).

Hemolytic activity

Fresh human blood treated with MAMP was centrifuged at 1,000 × g for 10 min, and the sediment was washed three times in HEPES (pH 7.2) by centrifugation at 1,000 × g for 10 min. The red blood cells were counted and diluted to a concentration of 107–108 cells/ml and then incubated at room temperature for 1 h with serially diluted MAMP at a ratio of 4:1 in a final volume of 100 μl. Finally, the OD570 was measured with a microplate reader. HC50 values were obtained according to the method of Cao et al (20). Saline solution at a concentration of 0.85% was used as the negative control, and 0.1% Triton X-100 was used as the positive control.

Statistical analysis

All experimental data are expressed as means ± standard deviation, and the differences among various groups were analyzed by one-way ANOVA and then Fisher’s least significant difference t-test, using the SPSS version 13.0 software (SPSS Inc., USA). P<0.05 was considered to indicate a statistically significant result.

Results

Antimicrobial activity in vitro

A comparison of the sensitivities of the S. aureus strains to protein extracts from maggots was investigated using TB assay. All the test crude protein extract, cut-off fluid and filtrate demonstrated significant antibacterial activity against S. aureus, compared with the controls. The crude protein extract and filtrate were more effective than the cut-off fluid, and the filtrate exhibited the strongest inhibitory activity (Fig. 1). Therefore, the filtrate was identified as MAMP and used in subsequent experiments.

Figure 1

Antibacterial activity of maggot protein components against S. aureus. The filtrate exhibited stronger inhibitory activity, as compared with the crude protein extract from maggots, cut-off fluid and negative control (P<0.05).

The MIC values for MAMP against S. aureus are shown in Table I. MAMP showed an MIC value of 25 μg/ml in the standard strains. The MIC values of MAMP were 100 and 200 μg/ml against penicillin-resistance S. aureus and MRSA, respectively.

Table I

MIC values of MAMP against standard stains and clinically isolated antibiotic-resistant strains of S. aureus.

Table I

MIC values of MAMP against standard stains and clinically isolated antibiotic-resistant strains of S. aureus.

MIC (μg/ml)

StrainsMAMPVancomycinPenicillin
Standard strains
 ATCC 25923253.136.25
 ATCC 29213253.1312.5
 AB 94004253.136.25
Penicillin-resistant strains
 12SAU1301003.1310,000
 12SAU1331006.2510,000
Methicillin-resistant strains
 12SAU1242006.2510,000
 12SAU1452006.2520,000

[i] MIC, minimum inhibitory concentration; MAMP, antibacterial protein from maggots.

Antimicrobial activity in vivo

The antibacterial activity of MAMP in vivo was determined by an S. aureus mouse skin infection model. One group of mice was sacrificed 4 h after formation of the infected wound, and the viable counts of bacteria on the skin were measured as a control. The other groups were treated and sacrificed 4 days after infection. The bacterial colony counts in the mouse wounds in the MAMP group were lower, when compared with these values in the placebo-treated mice and the untreated mice (P<0.05; Fig. 2).

Figure 2

Cutaneous viable counts of surviving S. aureus in infected wounds. The antibacterial activity of MAMP in vivo was determined by an S. aureus mouse skin infection model. The bacterial colony counts in the MAMP group were lower, as compared with those in the placebo-treated mice and the mice that were untreated. *Compared with 4 h after infection (P<0.05).

All of the mice were observed daily. On day 1 after infection, the skin of the mice in the group treated with MAMP showed slight signs of inflammation and was scabbed over (Fig. 3A), while the wounded skin sections of the group treated with placebo were characterized by a small amount of yellow exudates and presented with blistering (Fig. 3B). Additionally, blisters and light tissue fluid leakage were observed in the wounded skin sections of the untreated mice (Fig. 3C). Four days after infection, the skin in the MAMP group was almost closed, accompanied by a well-defined healing ridge (Fig. 3D). However, the blisters in the group treated with placebo deteriorated and became larger (Fig. 3E). Moreover, the skin sections exhibited a large amount of tissue fluid leakage in the untreated group (Fig. 3F).

Figure 3

Manifestation of infected wounds after treatment with MAMP or placebo or untreated on days 1 and 4. (A) The wound showed a slight inflammatory reaction. (B) Yellow exudates and blisters were observed. (C) There was a small amount of necrotic tissue in the wound bed, other than exudates and blisters. (D) The wound was almost healed with a slight scar. (E) Blisters in the wound deteriorated and became larger. (F) The wound exhibited a great amount of tissue fluid leakage without signs of healing.

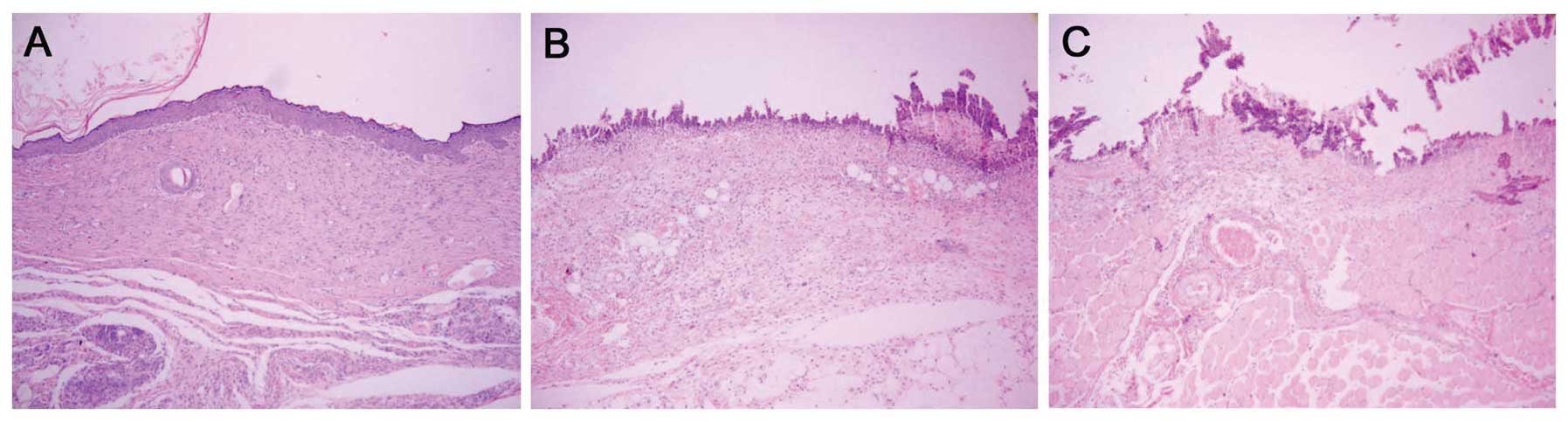
Histological observation demonstrated that on day 4 after infection, the wounds treated with MAMP had no sign of infection and collagen fiber was mature and well arranged, with presentation of intact structure. In addition, regenerative folliculus and sebaceous glands were detected in the fibrous connective tissues (Fig. 4A). In contrast, the untreated group and the placebo group lost nearly all of their epidermis, and the dermis was infected to a certain extent (Fig. 4B and C).

Figure 4

Histological morphologies of the infected wounds in the different groups (H&E staining; magnification, ×100). (A) Intact epidermis, mature collagen fibers and regenerative folliculus and sebaceous glands were detected without signs of infection in the MAMP group. (B) The epidermis was nearly destroyed with necrotic tissue and disorderly arranged collagen fibers in the placebo group. (C) The wound section showed obvious signs of infection, massive necrotic substances and a thin granulation tissue layer without regenerative skin appendages in the untreated group. H&E, hematoxylin and eosin.

Mechanisms of action
Membrane permeability

The membrane permeability of S. aureus was determined by the optical density values. As shown in Fig. 5, after 30 min the OD values in the MAMP group and Triton X-100 group were higher than that of the negative control group, indicating that MAMP increased the membrane permeability of S. aureus and exhibited a lytic activity against S. aureus.

Figure 5

Effects of MAMP on the permeability of the cell membrane of S. aureus. The membrane permeability of S. aureus was determined by the optical density value. MAMP and Triton X-100 increased the membrane permeability of S. aureus, as compared with PBS (P<0.05).

Scanning electron microscopy

SEM indicated that normal S. aureus was spherical and mellow in a grape cluster-like arrangement. The surface was smooth with a distinct boundary between the cells (Fig. 6A). After treated with MAMP for 6 h, S. aureus exhibited depressions, and cracks or holes formed on their surface (Fig. 6B). After 12 h, dramatic morphologic changes were noted in S. aureus. The cell membrane of S. aureus ruptured, and the contents oozed out from the cells (Fig. 6C).

Figure 6

Micrographs of scanning electron and transmission electron microscopy of S. aureus. (A) SEM and (D) TEM indicate normal S. aureus characterized by grape-like clusters, intact membrane and plentiful cytoplasmic contents. After 6 h of treatment with MAMP, (B) SEM and (E) TEM indicate that S. aureus exhibited slight depressions. After 12 h of treatment with MAMP, (C) SEM and (F) TEM indicated that S. aureus was obviously damaged with cell wall disruption and release of cell contents. SEM, scanning electron microscopy; TEM, transmission electron microscopy.

Transmission electron microscopy

TEM demonstrated that the wall and membrane of normal S. aureus were intact (Fig. 6D). After treatment with MAMP for 6 h, S. aureus showed a slight depression (Fig. 6E). After 12 h, the membrane integrity was largely damaged, resulting in the release of the cell content upon cell wall disruption. The residual cell walls showed a bacterial ‘ghost’ which was displayed as a cavity, indicating the absence of cytoplasmic contents and chromatin silk shift. Edema became widespread, with noticeable gaps between the cell membrane and the cytoplasm (Fig. 6F).

Hemolytic activity

The cytotoxicity of MAMP against mammalian cells was detected by a hemolysis assay. The results demonstrated that MAMP had weak hemolytic activity at a high concentration, and the HC50 value of MAMP was 342 μg/ml. At 200 μg/ml, the hemolytic activity of MAMP in human erythrocytes was lower than 30% (Fig. 7). At this concentration, MAMP effectively inhibited the growth of test bacteria, including MRSA.

Figure 7

Hemolytic activity of MAMP. The hemolytic activity of MAMP was estimated by monitoring the increase in the absorbance at 570 nm after incubating human red blood cells with different MAMP concentrations at 37°C for 1 h. The positive control was 0.1% Triton X-100, and 0.85% saline was used as a blank.

Discussion

Maggot therapy, also known as bio-debridement, is a highly successful clinical approach to the treatment of infected wounds. With the rising occurrence of antibiotic-resistant pathogens, maggot therapy has been widely utilized in many countries (22,23). However, little is known concerning the antibacterial mechanisms of maggots, in particular no reports on the mechanism of healing promotion and the effects on the bacterial ultrastructure exist. In the present study, we isolated and purified MAMP using ultrafiltration from the crude protein extract. Based on the TB assay, the filtrate (<10 kDa) exhibited the strongest inhibitory activity and therefore was identified as MAMP. The MIC values also indicated that MAMP effectively inhibited the growth of both standard S. aureus strains and MRSA. The inhibition of standard strains and clinically isolated antibiotic-resistant strains of S. aureus was in agreement with previously published research, which determined the activity of maggot secretions against bacterial liquid cultures (18). The results obtained in the present study confirmed that the proteins from maggots effective against S. aureus were of low molecule weight (<10 kDa). Furthermore, the hemolytic activity of MAMP has always been an obstacle to the application of AMPs in the clinic (24). In our study, the weak hemolytic activity observed in the experimental group demonstrated that MAMP had little influence on normal human cells.

Recently, clinical success of maggot therapy in wound healing has been well documented (25,26). However, little is known about the role of MAMP in infected tissue repair in vivo. In the present study, MAMP prepared in gel (0.5% hydroxypropylcellulose) was applied to treat an S. aureus mouse skin infection model, and the effect of MAMP upon infected wounds of mice was investigated. At a dosage of 200 times the MIC in vitro, topical application of MAMP resulted in the cure of a wound on the skin of mice infected with S. aureus. Significant lower bacterial colony counts were found in the MAMP group, compared with the controls. Based on morphological and histological evaluations, MAMP may have dual functions in the healing process: antibacterial activity and improvement in wound healing quality; the latter was evidenced by well-arranged collagen fibers, mature fusiform fibrocytes, and regenerative folliculus and sebiferous glands as observed in the MAMP group. In addition, the MAMP-treated mice did not show any signs of restlessness or scratching of the wound site, suggesting that MAMP did not cause irritation or pain to the animals. These results in vitro and in vivo imply that MAMP prepared in gel has potential for clinical application to treat wounds infected with S. aureus in a human setting.

Several antimicrobial peptides have been isolated and identified from a variety of organisms (27–30). Their mode of action includes disruption of membranes, interference with metabolism, and the targeting of cytoplasmic components (31,32). Several biolayer interaction and disruption models have been proposed for those AMPs that depend on membrane interference for their antibacterial activity, such as ‘barrel-stave pore’, ‘carpet mechanism’, ‘toroidal pore’ and ‘disordered toroidal pore’ (33). However, there are no reports concerning the influence of MAMP on the bacterial membrane. In the present study, following the treatment of MAMP for 30 min, the membrane permeability of S. aureus began to increase. Additionally, SEM and TEM examinations further demonstrated the effects of MAMP on the membrane structure of S. aureus, including cell membrane rupture and release of cellular contents.

In conclusion, MAMP with a molecular weight of less than 10 kDa, isolated and purified by ultrafiltration, had antimicrobial activities against standard strains and clinically isolated antibiotic-resistant strains of S. aureus in vitro and in vivo. The possible mechanism of action included the interaction with the bacterial cell membrane and disruption of the cell surface structure. Our data strongly suggest that MAMP can be developed as a topical therapeutic agent for the treatment of bacterial infections in wound healing.

Acknowledgements

The present study was supported by grants from the National Natural Science Foundation of China (no. 81270052), from Dalian Scientific and Technological Foundation (no. 2010J21DW022) and from Program for Liaoning Excellent Talents in University.

References

1 

Allen HK, Donato J, Wang HH, et al: Call of the wild: antibiotic resistance genes in natural environments. Nat Rev Microbiol. 8:251–259. 2010. View Article : Google Scholar : PubMed/NCBI

2 

Baer WS: The classic: the treatment of chronic osteomyelitis with the maggot (larva of the blow fly). 1931. Clin Orthop Relat Res. 469:920–944. 2011. View Article : Google Scholar

3 

Sherman RA: Maggot versus conservative debridement therapy for the treatment of pressure ulcers. Wound Repair Regen. 10:208–214. 2002. View Article : Google Scholar : PubMed/NCBI

4 

Mumcuoglu KY: Clinical applications for maggots in wound care. Am J Clin Dermatol. 2:219–227. 2001. View Article : Google Scholar : PubMed/NCBI

5 

Courtenay M, Church JC and Ryan TJ: Larva therapy in wound management. J R Soc Med. 93:72–74. 2000.PubMed/NCBI

6 

Davies CE, Turton G, Woolfrey G, et al: Exploring debridement options for chronic venous leg ulcers. Br J Nurs. 14:393–397. 2005. View Article : Google Scholar : PubMed/NCBI

7 

Wang J, Wang S, Zhao G, et al: Treatment of infected wounds with maggot therapy after replantation. J Reconstr Microsurg. 22:277–280. 2006. View Article : Google Scholar : PubMed/NCBI

8 

Wang SY, Wang JN, Lv DC, et al: Clinical research on the bio-debridement effect of maggot therapy for treatment of chronically infected lesions. Orthop Surg. 2:201–206. 2010. View Article : Google Scholar : PubMed/NCBI

9 

Kerridge A, Lappin-Scott H and Stevens JR: Antibacterial properties of larval secretions of the blowfly, Lucilia sericata. Med Vet Entomol. 19:333–337. 2005. View Article : Google Scholar : PubMed/NCBI

10 

Huberman L, Gollop N, Mumcuoglu KY, et al: Antibacterial substances of low molecular weight isolated from the blowfly, Lucilia sericata. Med Vet Entomol. 21:127–131. 2007. View Article : Google Scholar : PubMed/NCBI

11 

Bexfield A, Nigam Y, Thomas S, et al: Detection and partial characterisation of two antibacterial factors from the excretions/secretions of the medicinal maggot Lucilia sericata and their activity against methicillin-resistant Staphylococcus aureus (MRSA). Microbes Infect. 6:1297–1304. 2004. View Article : Google Scholar : PubMed/NCBI

12 

Hancock RE and Lehrer R: Cationic peptides: a new source of antibiotics. Trends Biotechnol. 16:82–88. 1998.PubMed/NCBI

13 

Gauri SS, Mandal SM, Pati BR, et al: Purification and structural characterization of a novel antibacterial peptide from Bellamya bengalensis: activity against ampicillin and chloramphenicol resistant Staphylococcus epidermidis. Peptides. 32:691–696. 2011. View Article : Google Scholar : PubMed/NCBI

14 

Menzies BE and Kenoyer A: Staphylococcus aureus infection of epidermal keratinocytes promotes expression of innate antimicrobial peptides. Infect Immun. 73:5241–5244. 2005. View Article : Google Scholar

15 

Knobloch JK, Horstkotte MA, Rohde H, et al: Evaluation of different detection methods of biofilm formation in Staphylococcus aureus. Med Microbiol Immunol. 191:101–106. 2002. View Article : Google Scholar : PubMed/NCBI

16 

Lowy FD: Staphylococcus aureus infections. N Engl J Med. 339:520–532. 1998. View Article : Google Scholar

17 

Bradford MM: A rapid and sensitive method for the quantitation of microgram quantities of protein utilizing the principle of protein-dye binding. Anal Biochem. 72:248–254. 1976. View Article : Google Scholar : PubMed/NCBI

18 

Thomas S, Andrews AM, Hay NP and Bourgoise S: The anti-microbial activity of maggot secretions: results of a preliminary study. J Tissue Viability. 9:127–132. 1999. View Article : Google Scholar : PubMed/NCBI

19 

Hou Z, Lu J, Fang C, et al: Underlying mechanism of in vivo and in vitro activity of C-terminal-amidated thanatin against clinical isolates of extended-spectrum beta-lactamase-producing Escherichia coli. J Infect Dis. 203:273–282. 2011. View Article : Google Scholar

20 

Cao L, Dai C, Li Z, et al: Antibacterial activity and mechanism of a scorpion venom peptide derivative in vitro and in vivo. PLoS One. 7:e401352012. View Article : Google Scholar : PubMed/NCBI

21 

Marri L, Dallai R and Marchini D: The novel antibacterial peptide ceratotoxin A alters permeability of the inner and outer membrane of Escherichia coli K-12. Curr Microbiol. 33:40–43. 1996. View Article : Google Scholar : PubMed/NCBI

22 

Dumville JC, Worthy G, Bland JM, et al: Larval therapy for leg ulcers (VenUS II): randomised controlled trial. BMJ. 338:b7732009. View Article : Google Scholar : PubMed/NCBI

23 

Whitaker IS, Twine C, Whitaker MJ, et al: Larval therapy from antiquity to the present day: mechanisms of action, clinical applications and future potential. Postgrad Med J. 83:409–413. 2007. View Article : Google Scholar : PubMed/NCBI

24 

Levy O: Antimicrobial proteins and peptides: anti-infective molecules of mammalian leukocytes. J Leukoc Biol. 76:909–925. 2004. View Article : Google Scholar : PubMed/NCBI

25 

Davydov L: Maggot therapy in wound management in modern era and a review of published literature. J Pharm Pract. 24:89–93. 2011. View Article : Google Scholar : PubMed/NCBI

26 

Opletalová K, Blaizot X, Mourgeon B, et al: Maggot therapy for wound debridement: a randomized multicenter trial. Arch Dermatol. 148:432–438. 2012.PubMed/NCBI

27 

Steiner H, Hultmark D, Engström A, et al: Sequence and specificity of two antibacterial proteins involved in insect immunity. Nature. 292:246–248. 1981. View Article : Google Scholar

28 

Cole AM, Weis P and Diamond G: Isolation and characterization of pleurocidin, an antimicrobial peptide in the skin secretions of winter flounder. J Biol Chem. 272:12008–12013. 1997. View Article : Google Scholar : PubMed/NCBI

29 

Park CB, Lee JH, Park IY, et al: A novel antimicrobial peptide from the loach, Misgurnus anguillicaudatus. FEBS Lett. 411:173–178. 1997. View Article : Google Scholar : PubMed/NCBI

30 

Nelson A, Hultenby K, Hell E, et al: Staphylococcus epidermidis isolated from newborn infants express pilus-like structures and are inhibited by the cathelicidin-derived antimicrobial peptide LL37. Pediatr Res. 66:174–178. 2009. View Article : Google Scholar

31 

Brogden KA: Antimicrobial peptides: pore formers or metabolic inhibitors in bacteria. Nat Rev Microbiol. 3:238–250. 2005. View Article : Google Scholar : PubMed/NCBI

32 

Yang L, Weiss TM, Lehrer RI, et al: Crystallization of antimicrobial pores in membranes: magainin and protegrin. Biophys J. 79:2002–2009. 2000. View Article : Google Scholar : PubMed/NCBI

33 

Melo MN, Ferre R and Castanho MA: Antimicrobial peptides: linking partition, activity and high membrane-bound concentrations. Nat Rev Microbiol. 7:245–250. 2009. View Article : Google Scholar : PubMed/NCBI

Related Articles

  • Abstract
  • View
  • Download
  • Twitter
Copy and paste a formatted citation
Spandidos Publications style
Zhang Z, Wang J, Zhang B, Liu H, Song W, He J, Lv D, Wang S and Xu X: Activity of antibacterial protein from maggots against Staphylococcus aureus in vitro and in vivo. Int J Mol Med 31: 1159-1165, 2013.
APA
Zhang, Z., Wang, J., Zhang, B., Liu, H., Song, W., He, J. ... Xu, X. (2013). Activity of antibacterial protein from maggots against Staphylococcus aureus in vitro and in vivo. International Journal of Molecular Medicine, 31, 1159-1165. https://doi.org/10.3892/ijmm.2013.1291
MLA
Zhang, Z., Wang, J., Zhang, B., Liu, H., Song, W., He, J., Lv, D., Wang, S., Xu, X."Activity of antibacterial protein from maggots against Staphylococcus aureus in vitro and in vivo". International Journal of Molecular Medicine 31.5 (2013): 1159-1165.
Chicago
Zhang, Z., Wang, J., Zhang, B., Liu, H., Song, W., He, J., Lv, D., Wang, S., Xu, X."Activity of antibacterial protein from maggots against Staphylococcus aureus in vitro and in vivo". International Journal of Molecular Medicine 31, no. 5 (2013): 1159-1165. https://doi.org/10.3892/ijmm.2013.1291
Copy and paste a formatted citation
x
Spandidos Publications style
Zhang Z, Wang J, Zhang B, Liu H, Song W, He J, Lv D, Wang S and Xu X: Activity of antibacterial protein from maggots against Staphylococcus aureus in vitro and in vivo. Int J Mol Med 31: 1159-1165, 2013.
APA
Zhang, Z., Wang, J., Zhang, B., Liu, H., Song, W., He, J. ... Xu, X. (2013). Activity of antibacterial protein from maggots against Staphylococcus aureus in vitro and in vivo. International Journal of Molecular Medicine, 31, 1159-1165. https://doi.org/10.3892/ijmm.2013.1291
MLA
Zhang, Z., Wang, J., Zhang, B., Liu, H., Song, W., He, J., Lv, D., Wang, S., Xu, X."Activity of antibacterial protein from maggots against Staphylococcus aureus in vitro and in vivo". International Journal of Molecular Medicine 31.5 (2013): 1159-1165.
Chicago
Zhang, Z., Wang, J., Zhang, B., Liu, H., Song, W., He, J., Lv, D., Wang, S., Xu, X."Activity of antibacterial protein from maggots against Staphylococcus aureus in vitro and in vivo". International Journal of Molecular Medicine 31, no. 5 (2013): 1159-1165. https://doi.org/10.3892/ijmm.2013.1291
Follow us
  • Twitter
  • LinkedIn
  • Facebook
About
  • Spandidos Publications
  • Careers
  • Cookie Policy
  • Privacy Policy
How can we help?
  • Help
  • Live Chat
  • Contact
  • Email to our Support Team