Spandidos Publications Logo
  • About
    • About Spandidos
    • Aims and Scopes
    • Abstracting and Indexing
    • Editorial Policies
    • Reprints and Permissions
    • Job Opportunities
    • Terms and Conditions
    • Contact
  • Journals
    • All Journals
    • Oncology Letters
      • Oncology Letters
      • Information for Authors
      • Editorial Policies
      • Editorial Board
      • Aims and Scope
      • Abstracting and Indexing
      • Bibliographic Information
      • Archive
    • International Journal of Oncology
      • International Journal of Oncology
      • Information for Authors
      • Editorial Policies
      • Editorial Board
      • Aims and Scope
      • Abstracting and Indexing
      • Bibliographic Information
      • Archive
    • Molecular and Clinical Oncology
      • Molecular and Clinical Oncology
      • Information for Authors
      • Editorial Policies
      • Editorial Board
      • Aims and Scope
      • Abstracting and Indexing
      • Bibliographic Information
      • Archive
    • Experimental and Therapeutic Medicine
      • Experimental and Therapeutic Medicine
      • Information for Authors
      • Editorial Policies
      • Editorial Board
      • Aims and Scope
      • Abstracting and Indexing
      • Bibliographic Information
      • Archive
    • International Journal of Molecular Medicine
      • International Journal of Molecular Medicine
      • Information for Authors
      • Editorial Policies
      • Editorial Board
      • Aims and Scope
      • Abstracting and Indexing
      • Bibliographic Information
      • Archive
    • Biomedical Reports
      • Biomedical Reports
      • Information for Authors
      • Editorial Policies
      • Editorial Board
      • Aims and Scope
      • Abstracting and Indexing
      • Bibliographic Information
      • Archive
    • Oncology Reports
      • Oncology Reports
      • Information for Authors
      • Editorial Policies
      • Editorial Board
      • Aims and Scope
      • Abstracting and Indexing
      • Bibliographic Information
      • Archive
    • Molecular Medicine Reports
      • Molecular Medicine Reports
      • Information for Authors
      • Editorial Policies
      • Editorial Board
      • Aims and Scope
      • Abstracting and Indexing
      • Bibliographic Information
      • Archive
    • World Academy of Sciences Journal
      • World Academy of Sciences Journal
      • Information for Authors
      • Editorial Policies
      • Editorial Board
      • Aims and Scope
      • Abstracting and Indexing
      • Bibliographic Information
      • Archive
    • International Journal of Functional Nutrition
      • International Journal of Functional Nutrition
      • Information for Authors
      • Editorial Policies
      • Editorial Board
      • Aims and Scope
      • Abstracting and Indexing
      • Bibliographic Information
      • Archive
    • International Journal of Epigenetics
      • International Journal of Epigenetics
      • Information for Authors
      • Editorial Policies
      • Editorial Board
      • Aims and Scope
      • Abstracting and Indexing
      • Bibliographic Information
      • Archive
    • Medicine International
      • Medicine International
      • Information for Authors
      • Editorial Policies
      • Editorial Board
      • Aims and Scope
      • Abstracting and Indexing
      • Bibliographic Information
      • Archive
  • Articles
  • Information
    • Information for Authors
    • Information for Reviewers
    • Information for Librarians
    • Information for Advertisers
    • Conferences
  • Language Editing
Spandidos Publications Logo
  • About
    • About Spandidos
    • Aims and Scopes
    • Abstracting and Indexing
    • Editorial Policies
    • Reprints and Permissions
    • Job Opportunities
    • Terms and Conditions
    • Contact
  • Journals
    • All Journals
    • Biomedical Reports
      • Information for Authors
      • Editorial Policies
      • Editorial Board
      • Aims and Scope
      • Abstracting and Indexing
      • Bibliographic Information
      • Archive
    • Experimental and Therapeutic Medicine
      • Information for Authors
      • Editorial Policies
      • Editorial Board
      • Aims and Scope
      • Abstracting and Indexing
      • Bibliographic Information
      • Archive
    • International Journal of Epigenetics
      • Information for Authors
      • Editorial Policies
      • Editorial Board
      • Aims and Scope
      • Abstracting and Indexing
      • Bibliographic Information
      • Archive
    • International Journal of Functional Nutrition
      • Information for Authors
      • Editorial Policies
      • Editorial Board
      • Aims and Scope
      • Abstracting and Indexing
      • Bibliographic Information
      • Archive
    • International Journal of Molecular Medicine
      • Information for Authors
      • Editorial Policies
      • Editorial Board
      • Aims and Scope
      • Abstracting and Indexing
      • Bibliographic Information
      • Archive
    • International Journal of Oncology
      • Information for Authors
      • Editorial Policies
      • Editorial Board
      • Aims and Scope
      • Abstracting and Indexing
      • Bibliographic Information
      • Archive
    • Medicine International
      • Information for Authors
      • Editorial Policies
      • Editorial Board
      • Aims and Scope
      • Abstracting and Indexing
      • Bibliographic Information
      • Archive
    • Molecular and Clinical Oncology
      • Information for Authors
      • Editorial Policies
      • Editorial Board
      • Aims and Scope
      • Abstracting and Indexing
      • Bibliographic Information
      • Archive
    • Molecular Medicine Reports
      • Information for Authors
      • Editorial Policies
      • Editorial Board
      • Aims and Scope
      • Abstracting and Indexing
      • Bibliographic Information
      • Archive
    • Oncology Letters
      • Information for Authors
      • Editorial Policies
      • Editorial Board
      • Aims and Scope
      • Abstracting and Indexing
      • Bibliographic Information
      • Archive
    • Oncology Reports
      • Information for Authors
      • Editorial Policies
      • Editorial Board
      • Aims and Scope
      • Abstracting and Indexing
      • Bibliographic Information
      • Archive
    • World Academy of Sciences Journal
      • Information for Authors
      • Editorial Policies
      • Editorial Board
      • Aims and Scope
      • Abstracting and Indexing
      • Bibliographic Information
      • Archive
  • Articles
  • Information
    • For Authors
    • For Reviewers
    • For Librarians
    • For Advertisers
    • Conferences
  • Language Editing
Login Register Submit
  • This site uses cookies
  • You can change your cookie settings at any time by following the instructions in our Cookie Policy. To find out more, you may read our Privacy Policy.

    I agree
Search articles by DOI, keyword, author or affiliation
Search
Advanced Search
presentation
International Journal of Molecular Medicine
Join Editorial Board Propose a Special Issue
Print ISSN: 1107-3756 Online ISSN: 1791-244X
Journal Cover
June-2014 Volume 33 Issue 6

Full Size Image

Sign up for eToc alerts
Recommend to Library

Journals

International Journal of Molecular Medicine

International Journal of Molecular Medicine

International Journal of Molecular Medicine is an international journal devoted to molecular mechanisms of human disease.

International Journal of Oncology

International Journal of Oncology

International Journal of Oncology is an international journal devoted to oncology research and cancer treatment.

Molecular Medicine Reports

Molecular Medicine Reports

Covers molecular medicine topics such as pharmacology, pathology, genetics, neuroscience, infectious diseases, molecular cardiology, and molecular surgery.

Oncology Reports

Oncology Reports

Oncology Reports is an international journal devoted to fundamental and applied research in Oncology.

Experimental and Therapeutic Medicine

Experimental and Therapeutic Medicine

Experimental and Therapeutic Medicine is an international journal devoted to laboratory and clinical medicine.

Oncology Letters

Oncology Letters

Oncology Letters is an international journal devoted to Experimental and Clinical Oncology.

Biomedical Reports

Biomedical Reports

Explores a wide range of biological and medical fields, including pharmacology, genetics, microbiology, neuroscience, and molecular cardiology.

Molecular and Clinical Oncology

Molecular and Clinical Oncology

International journal addressing all aspects of oncology research, from tumorigenesis and oncogenes to chemotherapy and metastasis.

World Academy of Sciences Journal

World Academy of Sciences Journal

Multidisciplinary open-access journal spanning biochemistry, genetics, neuroscience, environmental health, and synthetic biology.

International Journal of Functional Nutrition

International Journal of Functional Nutrition

Open-access journal combining biochemistry, pharmacology, immunology, and genetics to advance health through functional nutrition.

International Journal of Epigenetics

International Journal of Epigenetics

Publishes open-access research on using epigenetics to advance understanding and treatment of human disease.

Medicine International

Medicine International

An International Open Access Journal Devoted to General Medicine.

Journal Cover
June-2014 Volume 33 Issue 6

Full Size Image

Sign up for eToc alerts
Recommend to Library

  • Article
  • Citations
    • Cite This Article
    • Download Citation
    • Create Citation Alert
    • Remove Citation Alert
    • Cited By
  • Similar Articles
    • Related Articles (in Spandidos Publications)
    • Similar Articles (Google Scholar)
    • Similar Articles (PubMed)
  • Download PDF
  • Download XML
  • View XML
Article

Suppression of retinal neovascularization by small interfering RNA targeting PGC-1α

  • Authors:
    • Lixin Zhang
    • Jian Jiang
    • Xiaobo Xia
  • View Affiliations / Copyright

    Affiliations: Department of Ophthalmology, Xiangya Hospital, Central South University, Changsha, Hunan 410008, P.R. China
  • Pages: 1523-1530
    |
    Published online on: March 31, 2014
       https://doi.org/10.3892/ijmm.2014.1717
  • Expand metrics +
Metrics: Total Views: 0 (Spandidos Publications: | PMC Statistics: )
Metrics: Total PDF Downloads: 0 (Spandidos Publications: | PMC Statistics: )
Cited By (CrossRef): 0 citations Loading Articles...

This article is mentioned in:



Abstract

Peroxisome proliferator-activated receptor-γ coactivator-1α (PGC-1α) is a key coordinator of gene programs in metabolism and energy homeostasis in mammals. The aim of this study was to determine whether PGC-1α is involved in the transcriptional regulation of retinal neovascularization in oxygen-induced retinopathy (OIR). The expression of PGC-1α in the retina of mice with OIR was detected by real-time polymerase chain reaction (PCR) and western blot analysis. Mice with OIR were administered small interfering RNA (siRNA) targeting PGC-1α by intravitreal injection, and the effects of PGC-1α siRNA were confirmed by fluorescein angiography and quantification of pre-retinal neovascular nuclei in the retinal sections. PGC-1α was upregulated at both the mRNA and protein level under hypoxic conditions. Retinal neovascularization was inhibited by PGC-1α siRNA. Furthermore, PGC-1α mRNA and protein levels were also reduced by PGC-1α siRNA, which were detected by real-time PCR and western blot analysis. The downregulation of PGC-1α expression resulted in the reduction of vascular endothelial growth factor (VEGF) expression in the mice. In conclusion, siRNA targeting PGC-1α inhibits retinal neovascularization by downregulating the expression of PGC-1α and VEGF in the murine retina. Therefore, PGC-1α represents a potential therapeutic target for ischemia-induced retinal diseases and other ocular neovascular diseases.

Introduction

Retinal neovascularization is one of the vision-threatening complications of ocular vascular diseases. Recently, the incidence rate of these diseases, such as diabetic retinopathy, central retinal vein occlusion, neovascular glaucoma and retinopathy of prematurity has shown an increasing trend due to the aging of society and the improvement of living conditions (1). A series of events may be involved in the mechanisms of these diseases, such as the degradation of the extracellular matrix components, proliferation and migration of endothelial cells and tube formation. There are a number of angiogenic factors, such as insulin-like growth factor, basic fibroblast growth factor (bFGF), erythropoietin and vascular endothelial growth factor (VEGF), that may be involved in this complex process (2–5). Intensive biochemical and pharmacological studies have focused on anti-VEGF agents, which have been widely used in clinical trials for blocking pathological retinal neovascularization (6). However, the inhibition of VEGF alone cannot completely suppress pathological angiogenesis, as other angiogenic factors, such as hypoxia inducible factor (HIF)-1α (7), erythropoietin (8) and the recently described peroxisome proliferator-activated receptor-γ coactivator-1α (PGC-1α) (9,10) may participate in this pathological process.

PGC-1α is a recently discovered transcriptional coactivator; it belongs to gene families and has a variety of nuclear hormone receptor binding sites, and is involved in cell oxidation reaction and mitochondrial energy metabolism with height adjustment (11). It is abundantly expressed in human and rodent brown adipose tissue, skeletal muscle, the heart, kidneys, liver, brain and vascular endothelial cells (11–14). As is already known, the formation of new blood vessels is closely associated with ischemia and hypoxia. PGC-1α has been confirmed to be involved in the cellular response to tissue hypoxia. As previously demonstrated, under ischemic and hypoxic conditions, PGC-1α expression and transcriptional regulation are significantly enhanced in rat myocardial cells (15,16), the brain (17,18), rabbit renal tubular cells (19) and human skeletal muscle (20). Arany et al (9) demonstrated that PGC-1α upregulates the expression of angiogenic factors, including VEGF, and promotes neovascularization. Thus, another important function of PGC-1α in a hypoxic environment is to stimulate the formation of new blood vessels. Hypoxia upregulates PGC-1α expression, then stimulates the expression of VEGF, and this process does not require the participation of HIF-1 (9,21). Therefore, PGC-1α may be a novel therapeutic target in hypoxic or ischemic disease (22).

In this study, we demonstrate the expression of PGC-1α in the retina and the upregulation of PGC-1α under hypoxic conditions in the retina. We hypothesized that PGC-1α is involved in the regulation of pathological retinal neovascularization and may play a role in promoting pathological retinal neovascularization. Therefore, we aimed to determine whether PGC-1α plays such a role and to elucidate the molecular mechanisms of the regulation of pathological retinal neovascularization by PGC-1α. In order to confirm our hypothesis, we investigated the effects of small interfering RNA (siRNA) targeting PGC-1α on PGC-1α and VEGF mRNA and protein expression and retinal neovascularization in a murine model of oxygen-induced retinopathy (OIR).

Materials and methods

siRNA design

The selection of siRNAs was based on the characterization of siRNA by Elbashir et al (23). Three siRNAs targeting mouse PGC-1α mRNA (PGC-1α siRNA1–3) were designed. The sense strand of PGC-1α siRNA1 was 5′-CCAA GACUCUAGACAACUAdTdT-3′, and the antisense strand was 3′-dTdTGGUUCUGAGAUCUGUUGAU-5′. The sense strand of PGC-1α siRNA2 was 5′-GCAACAUGCUCAAG CCAAAdTdT-3′, and the antisense strand was 3′-dTdTCGUU GUACGAGUUCGGUUU-5′. The sense strand of PGC-1α siRNA3 was 5′-CUGCGAACAUUUUGAGAAdTdT-3′, and the antisense strand was 3′-dTdTGACGCUUGUAUAAAC UCUU-5′. One negative control siRNA which has limited homology to sequences in the human and mouse genomes and 3 PGC-1α siRNAs were synthesized and purified by a siRNA company (RiboBio, Guangzhou, China). In order to find the most effective siRNA, we transfected these 3 siRNAs into vascular endothelial cells using Lipofectamine 2000 (Invitrogen, Carlsbad, CA, USA). Real-time polymerase chain reaction (PCR) was used to evaluate the efficacy of the siRNAs in downregulating PGC-1α expression in the cells. The PGC-1α siRNA which had the best inhibitory effect on PGC-1α mRNA expression would be the one used in the following experiments.

Cell culture and transfection

Mouse retinal vascular endothelial cells (MIC-CELL-0055; PriCells, Wuhan, China) were cultured in DMEM supplemented with 10% fetal bovine serum and 1% penicillin-streptomycin in a humidified incubator containing 5% CO2 at 37°C. The transfection reagent, Lipofectamine 2000 (Invitrogen), was used to transfect PGC-1α siRNA into the retinal vascular endothelial cells according to the manufacturer’s instructions (Invitrogen).

Animal model

All animal experiments were carried out in accordance with the Association for Research in Vision and Ophthalmology (ARVO) Statement for the Use of Animals in Ophthalmic and Vision Research. The murine model of OIR was created as previously described (24). Briefly, C57BL/6J mice (purchased from Shanghai Laboratory Animal Center, Chinese Academy of Sciences, Shanghai, China) were exposed to 75±2% oxygen for 5 days from day 7 after birth [post-natal day (P)7] with nursing mothers. On P12, the mice were removed from the hyperoxic environment and maintained under normal conditions until P17. Age-matched C57BL/6J mice maintained under normal oxygen conditions were used as the controls. The mice were randomly divided into a normal group, an OIR group (murine model of OIR), a negative control siRNA group and a PGC-1α siRNA group.

Assessment of PGC-1α expression in the retinas of mice with OIR

Mice with OIR and normal (healthy) mice were sacrificed on P12 (0, 3 and 6 h), P13, P14, P17 and P26. An equal number of mice (n=5) was used at each time point; the eyes were enucleated and the total RNA and protein from the retinas were extracted. PGC-1α expression was detected by real-time PCR and western blot analysis.

Intravitreal injection

On P12, the mice (n=5 per group) were anesthetized by an intraperitoneal injection of 1% pentobarbital sodium (0.01 ml, 30 mg/kg body weight). The lid fissure was opened using a scalpel blade. A 32-gauge Hamilton needle and syringe were used to deliver 1 μl liposome-PGC-1α siRNA (2.5 μg) complex (PGC-1α siRNA group) or 1 μl control complex (liposome-negative control siRNA; negative control siRNA group) into the vitreous cavity. The eye was then repositioned and the lids were approximated over the cornea. Mice were returned to room air at P12.

Fluorescein angiography

On P17, mice (n=5/each group) from each group were deeply anesthetized and then perfused through the left ventricle with 1 ml of phosphate-buffered-saline (PBS) containing 50 mg fluorescein-conjugated dextran (Sigma, St. Louis, MO, USA). The eyes were then enucleated and fixed in 4% paraformaldehyde for 20 min. The retinas were dissected to remove the cornea, lens, sclera and placed in 4% paraformaldehyde for a further 5 min. The retina was cut in 4 places at the peripheral area and flat-mounted on the microscope slides with antifade solution. We analyzed the retinal size of the non-perfusion area by using the method of pixel detection of teh non-perfusion area and the whole area of the retina, as previously described (25,26). Images were analyzed using Photoshop software (Adobe Systems, Mountain View, CA, USA). The results are expressed as (non-perfusion area/total area) ×100%.

Real-time PCR

Total RNA was extracted and 1 μg template was reverse-transcribed using the RevertAid™ First-Strand cDNA synthesis kit from MBI Biosystems (Fermentas, Copenhagen, Denmark). Each RNA sample was obtained from 2 retinas. Real-time PCR was performed on a 7900HT Fast Real-Time PCR System apparatus (Applied Biosystems, Foster City, CA, USA) using SYBR Premix Ex Taq™ (Takara Bio, Inc., Shiga, Japan). The sequences of the PGC-1α (mouse) primers were: 5′-AGCAGAAAGCAATTGAAGAG-3′ (sense) and 5′-AGG TGTAACGGTAGGTGATG-3′ (antisense) 171 bp. The sequences of the β-actin (mouse) primers were: 5′-TTCCTTC TTGGGTATGGAAT-3′ (sense) and 5′-GAGCAATGATCTT GATCTTC-3′ (antisense) 203 bp. The sequences of the VEGF (mouse) primers were: 5′-CATCTTCAAGCCGTCCTGT-3′ (sense) and 5′-GAG GAAAGGGAAAGGGTCA-3′ (antisense) 240 bp. Thermal cycling conditions were as follows: 5′ at 95°C; 40 cycles of 20 sec at 94°C, 20 sec at 57–60°C, 20 sec at 72°C.

Western blot analysis

The murine retinas were collected and lysed in lysis buffer (150 mM NaCl, 50 mM Tris-HCl, pH 7.4, 2 mM EDTA and 1% NP-40) (Beyotime, Shanghai, China) containing protease inhibitors (Boehringer, Mannheim, Germany). Each protein sample was obtained from 4 retinas. Total protein was resolved by SDS polyacrylamide gel electrophoresis and was then transferred onto a nitrocellulose membrane (Millipore, Billerica, MA, USA). The membrane was incubated with rabbit polyclonal anti-mouse PGC-1α antibody (1:500 dilution; Abcam, Cambridge, MA, USA) or monoclonal anti-mouse VEGF antibody (1:200 dilution; Abcam) and monoclonal anti-mouse β-actin (1:10,000 dilution; Santa Cruz Biotechnology, Inc., Santa Cruz, CA, USA). Peroxidase-conjugated secondary antibodies (1:2,000 dilution; Abcam) were used as secondary detection reagents with an enhanced chemiluminescence kit (GE Healthcare, New York, NY, USA). Chemiluminescent signals were visualized by exposure to X-ray film (Kodar, Rochester, NY, USA). Band intensities were quantified using BandScan software (version 5.0). The expression levels of β-actin were used for standardization. The results are expressed as the ratio of PGC-1α/β-actin or VEGF/β-actin.

Histological analysis of neovascularization
Hematoxylin and eosin (H&E)

At P17, mice (n=5/each group) from each group were sacrificed by an intraperitoneal injection of an overdose of sodium pentobarbital. Their eyes were enucleated and fixed with 4% paraformaldehyde in PBS and embedded in paraffin. Serial sections (5 μm) of whole eyes were cut sagittally through the cornea and parallel to the optic nerve, then stained with CD31 antibody (1:50 dilution; Abcam) to mark the endothelial cells lining the blood vessels and stained with H&E to visualize nuclei anterior to the internal limiting membrane. Cross-sections including the optic nerve were excluded. A total of 10 non-serial sections were analyzed per eye. The nuclei above the internal limiting membrane were counted in 400 sections.

Immunofluorescence

The frozen sections were incubated with rabbit polyclonal anti-mouse PGC-1α antibody or monoclonal anti-mouse VEGF antibody at 4°C overnight. Cy3 or Alexa Fluor 488 secondary antibody (1:20; Santa Cruz Biotechnology, Inc.) were used to label the target protein, and microscopic evaluation and photo documentations were performed on a Leica microscope (Leica DFC310 FX; Leica Microsystems, Wetzlar, Germany).

Statistical analysis

Experimental data are expressed as the means ± standard error of the mean (SEM). One-way ANOVA followed by the LSD t-test were used to evaluate significance. A P-value <0.05 was considered to indicate a statistically significant difference.

Results

Upregulation of PGC-1α expression in the retinas of mice with OIR

The mRNA and protein levels of PGC-1α in the retinas of mice were evaluated. The mRNA and protein expression of PGC-1α was significantly (P<0.05) upregulated in the retinas of mice with OIR at P17 compared with the normal mice group ( Fig. 1). The mRNA and protein levels of PGC-1α were upregulated at P14, reaching a peak at P17 and were significantly increased by approximately 2-fold compared with the normal (healthy) mice (P<0.05; Fig. 1A and C).

Figure 1

Upregulation of peroxisome proliferator-activated receptor-γ coactivator-1α (PGC-1α) in the retinas of mice with oxygen-induced retinopathy (OIR). The expression of PGC-1α was detected in the retinas of mice with OIR by real-time polymerase chain reaction (PCR) and western blot analysis (A) The expression of PGC-1α mRNA at each time point. (B and C) The expression of PGC-1α protein at each time point. Results are expressed as the means ± standard error of the mean (SEM) and analyzed by one-way ANOVA followed by the LSD t-test to evaluate significance. Both the mRNA and protein expression of PGC-1α was significantly elevated in the retinas of mice with OIR at post-natal day (P)17 compared with mice in the normal group (*P<0.05); n=5 mice/each time point.

Suppression of PGC-1α expression in vitro and in vivo by PGC-1α siRNA

We found that the 3 designed siRNAs suppressed PGC-1α expression to a different extent. PGC-1α siRNA1 was found to be the most efficient siRNA (Fig. 2A). Therefore, PGC-1α siRNA1 was used in the intravitreal injection. The PGC-1α mRNA level in the PGC-1α siRNA1-transfected cells was markedly decreased compared with the cells transfected with the negative control siRNA (P<0.05). Real-time PCR and western blot analysis were also used to detect PGC-1α mRNA and protein levels in vivo. We found that the PGC-1α mRNA level was significantly downregulated by 54%, and the protein level was downregulated by 53% following the intravitreal injection of PGC-1α siRNA1 compared with the murine model of OIR and the negative control siRNA group (P<0.05; Fig. 2B–D).

Figure 2

Suppression of peroxisome proliferator-activated receptor-γ coactivator-1α (PGC-1α) mRNA expression by small interfering RNA (siRNA) against PGC-1α. Three siRNAs against PGC-1α (PGC-1α siRNA1-3) were synthesized and transfected into mouse retinal vascular endothelial cells by liposomes. (A) Real-time polymerase chain reaction (PCR) was used to evaluate the efficacy of siRNA in attenuating PGC-1α mRNA expression in the cells. PGC-1α siRNA1-3 inhibited PGC-1α expression to a different extent. PGC-1α siRNA1 was the most effective siRNA. (B) Relative PGC-1α mRNA expression was detected by real-time PCR. *P<0.05: the difference in PGC-1α mRNA levels between the PGC-1α siRNA group and the murine model of oxygen-induced retinopathy (OIR) was significant. (C) Relative expression of PGC-1α protein was detected by western blot analysis in vivo. (D) Western blot analysis of the expression levels of PGC-1α; the expression was significantly downregulated in vivo in the mice injected with PGC-1α siRNA1 (*P<0.05); n=5 mice/each group.

Concomitant downregulation of the VEGF expression by PGC-1α siRNA

We analyzed the levels of VEGF mRNA and protein in the retinas of mcie by real-time PCR and western blot analysis. Following the intravitreal injection of PGC-1α siRNA1, we found that the level of VEGF mRNA decreased by 48% (P<0.05; Fig. 3A) and the level of VEGF protein decreased by 40% (P<0.05; Fig. 3B and C), compared with the murine OIR model and the negative control siRNA group.

Figure 3

Concomitant downregulation of vascular endothelial growth factor (VEGF) expression by peroxisome proliferator-activated receptor-γ coactivator-1α (PGC-1α) small interfering RNA (siRNA). (A) Relative VEGF mRNA expression of PGC-1α siRNA group detected by real-time polymerase chain reaction (PCR) was downregulated significantly compared to the negative control siRNA group and the murine model of oxygen-induced retinopathy (OIR) (*P<0.05). (B) Relative VEGF protein expression in the PGC-1α siRNA group, as detected by western blot analysis was downregulated significantly compared to the negative control siRNA group and the murine model of OIR (*P<0.05). (C) VEGF protein level was determined by western blot analysis; it was downregulated following the intravitreal injection of PGC-1α siRNA1; n=5 mice/each group.

Angiographic evaluation of the effects of PGC-1α siRNA on retinal neovascularization

To evaluate the angiostatic efficacy of PGC-1α siRNA on oxygen-induced retinal neovascularization, the retinas were examined by fluorescein-dextran perfusion and flat-mounted on P17. No mice used in this study developed signs of infection and retinal detachment. The retinas of the room-air-raised mice revealed superficial and deep vascular layers that extended from the optic nerve to the periphery. Fewer neovascular complexes were observed in the retinas of the eyes of mice injected with PGC-1α siRNA1 (Fig. 4A). However, retinas from the hyperoxia-exposed mice injected with the negative control siRNA or from the mice not injected with siRNA contained multiple neovascular tufts and a central non-perfusion area (Fig. 4B and C). By contrast, the vessels formed a fine radial branching pattern in the superficial retinal layer and a polygonal reticular pattern in the deep retinal layer, without neovascular tufts (Fig. 4D). Areas of non-perfusion (yellow), as well as the total retinal area (blue line) were measured (Fig. 4E). The area ratio of the retinal non-perfusion area and total area of the murine model of OIR was 30±0.6%, in the negative control siRNA group it was 27.1±0.8%, while in the PGC-1α siRNA group (2.4±0.4%) it decreased significantly compared with mice with OIR and the negative control siRNA group (*P<0.05). No obvious non-perfusion area was observed in the normal group (Fig. 4F).

Figure 4

Angiographic analysis of the effects of peroxisome proliferator-activated receptor-γ coactivator-1α (PGC-1α) small interfering RNA (siRNA) on mouse retinal neovascularization. (A) The murine model injected with PGC-1α siRNA1. Neovascular tufts were markedly reduced and the non-perfusion area was greatly diminished. (B) The murine model injected with negative control siRNA. Neovascular tufts were apparent at the junction between the perfused and the non-perfused region. (C) The murine model of oxygen-induced retinopathy (not treated). Neovascular tufts (white arrows) appeared as hyperfluorescence at the junction between the perfused and non-perfused area (*). (D) Room air-raised mice with normal retinal vessel structure. (E) Non-perfusion area (yellow) and total retina area (blue line) are marked, measured by image-analysis software. (F) Quantification of the capillary-free area (%); n=5 mice/each group.

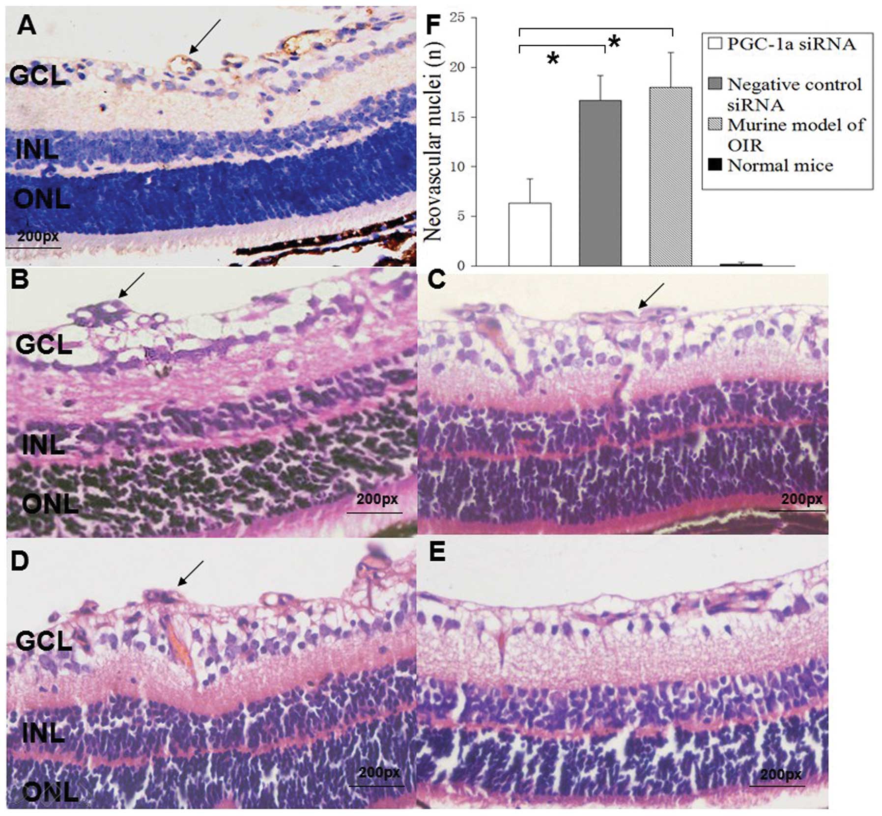
Histological analysis of retinal neovascularization

As shown in (Fig. 5B–F), there were no neovascular nuclei in the normal group (n=100 slices); however, the average number of neovascular nuclei were 18.0±3.5 in the non-injected eyes exposed to hyperoxic conditions (n=100 slices), 16.7±2.5 in the eyes injected with the negative control siRNA (n=100 slices) and 6.3±2.5 in the eyes injected with PGC-1α siRNA1 (n=100 slices). There was a significant reduction in retinal neovascularization in the PGC-1α siRNA group, approximately 65% (P<0.05).

Figure 5

Inhibition of ischemia-induced retinal neovascularization (arrows) by peroxisome proliferator-activated receptor-γ coactivator-1α (PGC-1α) small interfering RNA (siRNA). (A) Abnormal retinal vascularization which extend anterior to the inner limiting membrane is positive stained with CD31. (B) Mice with oxygen-induced retinopathy (OIR) transfected with PGC-1α siRNA1 on post-natal day (P)17. An obvious reduction in pre-retinal neovascularization was apparent compared with the negative control and non-injected eyed. (C) Mice with OIR transfected with negative control siRNA on P17. (D) Mice with OIR not injected with siRNA on P17. (E) Room air-raised mice on P17. (F) Quantification of retinal neovascularization. PGC-1α siRNA resulted in approximately 65% reduction in pre-retinal neovascularization. GCL, ganglion cell layer; INL, inner nuclear layer; ONL, outer nuclear layer; n=100 slices/each group.

To further confirm the inhibitory effects of PGC-1α siRNA on angiogenesis, immunofluorescence analysis was performed and the results indicated that PGC-1α and VEGF expression was were downregulated by PGC-1α siRNA1 compared with the mice with OIR (Fig. 6A–D and E–H). PGC-1α and VEGF expression was mainly observed in the ganglion cell layer and inner nuclear layer and was reduced mainly in the ganglion cell layer following the local administration of PGC-1α siRNA compared with the mice with OIR (murine model of OIR).

Figure 6

Localization of peroxisome proliferator-activated receptor-γ coactivator-1α (PGC-1α) and vascular endothelial growth factor (VEGF) distributed in murine retina and downregulation of PGC-1α and VEGF by PGC-1α small interfering RNA (siRNA) in murine retina were detected by immunofluorescence. PGC-1α: PGC-1α expression was observed in particular layers of the retina (inner nuclear layer and ganglion cell layer). It was downregulated following the local administration of PGC-1α siRNA compared to the murine model of oxygen-induced retinopathy (OIR) and the negative control siRNA group. (A) Mice with OIR transfected with PGC-1α siRNA1 on post-natal day (P)17. (B) Mice with OIR transfected with negative control siRNA on P17. (C) Mice with OIR not injected with siRNA on P17. (D) Room air-raised mice on P17. VEGF: VEGF expression was observed in a particular layer of retina (mainly in ganglion cell layer). It was downregulated following the local administration of PGC-1α siRNA compared to the murine model of OIR and the negative control siRNA group. (E) Mice with OIR transfected with PGC-1α siRNA1 on P17. (F) Mice with OIR transfected with negative control siRNA on P17. (G) Mice with OIR not injected with siRNA on P17. (H) Room air-raised mice on P17. GCL, ganglion cell layer; INL, inner nuclear layer; ONL, outer nuclear layer; n=100 slices/each group.

Discussion

Retinal neovascularization, the abnormal formation of new vessels from pre-existing capillaries in the retina, is a common complication of many ocular diseases, such as advanced diabetic retinopathy or retinopathy of prematurity. Neovascularization can lead to fibrosis and the disruption of delicate tissues required for vision (24). Although some orthodox treatments are effective in the suppression of angiogenesis in short term, they are also destructive to the retinal tissue, which lead to immediate and sometimes significant loss of vision. Therefore, therapy based on the molecular mechanisms of retinal neovascularization provides a potential for a more effective treatment.

In this study, in the mouse model of OIR, the retinal vasculature initially underwent reversible central vasoconstriction followed by non-perfusion on P7 when exposed to hyperoxia, then more peripheral vessels were spared, a small avascular zone appeared at the ora serrata, larger central radial vessels became tortuous and engorged on P14, and retinal neovascularization occurred extensively during P17 and P21 (8). In this study, the mRNA and protein expression of PGC-1α was highly upregulated in the retinas of the mice with OIR on P17 compared with the controls. The strong expression of PGC-1α was detected in the retinas of mice with OIR by immunofluorescence, which was mainly localized in the ganglion cell layer and inner nuclear layer. Furthermore, PGC-1α expression was observed in the areas of where neovascular vessels had broken through the inner limiting membrane. Therefore, PGC-1α is involved in retinal neovascularization and its upregulation may promote angiogenesis.

RNA interference (RNAi) is a sequence-specific RNA degradation process that is conserved in eukaryotes and mediates target-specific RNA sequence degradation through a double-stranded RNA-induced silencing complex (27). Recently, the RNAi pathway has become the predominant means of assessing loss of gene function in many organisms (28,29). The remarkable utility of siRNA in modulating gene expression has resulted in an explosion of interest in deciphering the molecular mechanisms that control this pathway and imaginative ideas of ways to apply it to research and clinical settings (30,31). In our stuty, in order to determine the most prominent inhibitory effect of PGC-1α siRNA, 3 sequences (PGC-1α siRNA1-3) were designed and synthesized. The results revealed that all 3 siRNAs suppressed PGC-1α expression to a different extent. The most significant inhibitory effect was observed with PGC-1α siRNA1, which inhibited the expression of PGC-1α by 80% in the cultured cells.

In this study, we found that retinal neovascularization was inhibited by 65% by counting the number of endothelial cell nuclei protruding into the vitreous cavity in the murine model of OIR following the injection of PGC-1α siRNA1 (2.5 μg). Retinal neovascularization and non-perfused areas were markedly reduced by PGC-1α siRNA transfection in the model of OIR. Moreover, the number of new vessels and endothelial cells protruding into the inner limiting membrane in the retinas treated with PGC-1α siRNA was also significantly reduced. PGC-1α mRNA and protein levels in the retinas were also significantly downregulated by PGC-1α siRNA. We speculated that PGC-1α exerts its functions in pathological angiogenesis through two possible mechanisms. Firstly, the localization where PGC-1α siRNA was distributed in the retina was close to the site of hypoxia-induced PGC-1α generation; it increased gene expression in a particular layer of the retina (either the ganglion cell layer or inner nuclear layer). We demonstrated that intravitreally injected siRNA rapidly accessed the internal limiting membrane and entered the inner retinal cells, which was consistent with the results of a previous study (32). Therefore, intravitreally injected PGC-1α siRNA can be carried successfully into retinal cells, which are responsible for producing hypoxia-induced PGC-1α. Secondly, the catalytic nature of RNAi was another reason. PGC-1α siRNA which was absorbed by the retinal cells can bind to the RNA-induced silencing complex (RISC), which in turn becomes activated. The activated RISC complex seeks the PGC-1α mRNA and then splices the mRNA at the site of the homologous sequence (33). Furthermore, in a multiple turnover kinetic manner, the activated RISC can seek another PGC-1α mRNA to bind and destroy. One activated RISC complex can bind and destroy hundreds of PGC-1α mRNA. Therefore, the local administration of a small amount of PGC-1α siRNA is an effective approach for suppressing retinal neovascularization.

VEGF is considered the primary factor that leads to angiogenesis in the retina. VEGF promotes the recruitment of endothelial precursor cells into the circulation during local hypoxia and the proliferation of resident retinal vasculature to respond to ischemic injury (34,35). During the past decade, relevant clinical trials emphasizing on inhibitors of the VEGF signaling pathway, have achieved successful attenuation of pathological angiogenesis and have improved the vision of patients (6). However, the regrowth of new vessels often occurs within a few months of the regression of neovascularization after the application of these agents (35). The inhibition of VEGF alone cannot completely suppress pathological angiogenesis, as other angiogenic factors may participate in this pathological process. PGC-1α induces the expression of VEGFA in numerous retinal cells, and PGC-1α expression is strongly induced during post-natal retinal development, coincident with VEGFA expression and angiogenesis (10). In this study, the mRNA and protein expression of VEGF were both downregulated following the administration of PGC-1α siRNA in the mouse model of OIR. VEGF expression was mainly observed in the ganglion cell layer and inner nuclear layer and was reduced mainly in the ganglion cell layer following the local administration of PGC-1α siRNA. The data presented in this study demonstrate that PGC-1α siRNA downregulates the expression of PGC-1α, which then reduces the expression of VEGF through the PGC-1α-VEGF signaling pathway, finally inhibiting neovascularization. Therefore, PGC-1α regulates the expression of VEGF in the retina, particularly in ganglion cells. Under hypoxic conditions, VEGF can be regulated by not only PGC-1α, but also by HIF-1α (36). The regulation of VEGF by PGC-1α is HIF-independent (9). In additoin, there are other angiogenic factors, such as platelet-derived growth factor-B (PDGF-B), angiopoietin-2 (Ang2) and bFGF regulated by PGC-1α (9,37). Therefore, we hypothesized that the suppression of PGC-1α may enhance other signaling pathways to promote the regrowth of vessels into the central avascular zone from P12 to P17, and reduce non-perfused areas in the model of OIR.

In conclusion, the data presented in this study demonstrate the expression of PGC-1α in the retina and the upregulation of PGC-1α under hypoxic conditions in a certain time period. The local administration of PGC-1α siRNA decreases both PGC-1α and VEGF expression, leading to a reduction in retinal neovascularization in the mouse model of OIR. The results of our study demonstrate that the local administration of PGC-1α siRNA holds great potential as a novel therapeutic strategy for ocular neovascular diseases.

Acknowledgements

This study was supported by the National Natural Science Fundation of China (grant no. 81000387).

References

1 

Al-Latayfeh M, Silva PS, Sun JK and Aiello LP: Antiangiogenic therapy for ischemic retinopathies. Cold Spring Harb Perspect Med. 2:a0064112012. View Article : Google Scholar : PubMed/NCBI

2 

Watanabe D, Suzuma K, Matsui S, Kurimoto M, Kiryu J, Kita M, Suzuma I, Ohashi H, Ojima T, Murakami T, Kobayashi T, Masuda S, Nagao M, Yoshimura N and Takagi H: Erythropoietin as a retinal angiogenic factor in proliferative diabetic retinopathy. N Engl J Med. 353:782–792. 2005. View Article : Google Scholar : PubMed/NCBI

3 

Pe’er J, Shweiki D, Itin A, Hemo I, Gnessin H and Keshet E: Hypoxia-induced expression of vascular endothelial growth factor by retinal cells is a common factor in neovascularizing ocular diseases. Lab Invest. 72:638–645. 1995.PubMed/NCBI

4 

Aiello LP, Northrup JM, Keyt BA, Takagi H and Iwamoto MA: Hypoxic regulation of vascular endothelial growth factor in retinal cells. Arch Ophthalmol. 113:1538–1544. 1995. View Article : Google Scholar : PubMed/NCBI

5 

Sondell M, Sundler F and Kanje M: Vascular endothelial growth factor is a neurotrophic factor which stimulates axonal outgrowth through the flk-1 receptor. Eur J Neurosci. 12:4243–4254. 2000. View Article : Google Scholar : PubMed/NCBI

6 

Rosenfeld PJ, Rich RM and Lalwani GA: Ranibizumab: Phase III clinical trial results. Ophthalmol Clin North Am. 19:361–372. 2006.PubMed/NCBI

7 

Xia XB, Xiong SQ, Xu HZ, Jiang J and Li Y: Suppression of retinal neovascularization by shRNA targeting HIF-1alpha. Curr Eye Res. 33:892–902. 2008. View Article : Google Scholar : PubMed/NCBI

8 

Xiong SQ, Xia XB, Xu HZ and Jiang J: Suppression of retinal neovascularization by small-interference RNA targeting erythropoietin. Ophthalmologica. 223:306–312. 2009. View Article : Google Scholar : PubMed/NCBI

9 

Arany Z, Foo SY, Ma Y, Ruas JL, Bommi-Reddy A, Girnun G, Cooper M, Laznik D, Chinsomboon J, Rangwala SM, Baek KH, Rosenzweig A and Spiegelman BM: HIF-independent regulation of VEGF and angiogenesis by the transcriptional coactivator PGC-1alpha. Nature. 451:1008–1012. 2008. View Article : Google Scholar : PubMed/NCBI

10 

Saint-Geniez M, Jiang A, Abend S, Liu L, Sweigard H, Connor KM and Arany Z: PGC-1α regulates normal and pathological angiogenesis in the retina. Am J Pathol. 182:255–265. 2013.

11 

Puigserver P, Wu Z, Park CW, Graves R, Wright M and Spiegelman BM: A cold-Iducible coactivator of nuclear receptors linked to adaptive thermogenesis. Cell. 92:829–839. 1998. View Article : Google Scholar : PubMed/NCBI

12 

Larrouy D, Vidal H, Andreelli F, Laville M and Langin D: Cloning and mRNA tissue distribution of human PPARgamma coactivator-1. Int J Obes Relat Metab Disord. 23:1327–1332. 1999. View Article : Google Scholar : PubMed/NCBI

13 

Valle I, Alvarez-Barrientos A, Arza E, Lamas S and Monsalve M: PGC-1alpha regulates the mitochondrial antioxidant defense system in vascular endothelial cells. Cardiovasc Res. 66:562–573. 2005. View Article : Google Scholar : PubMed/NCBI

14 

Borniquel S, Valle I, Cadenas S, Lamas S and Monsalve M: Nitric oxide regulates mitochondrial oxidative stress protection via the transcriptional coactivator PGC-1alpha. FASEB J. 20:1889–1991. 2006. View Article : Google Scholar : PubMed/NCBI

15 

Barger PM, Browning AC, Garner AN and Kelly DP: p38 mitogen-activated protein kinase activates peroxisome proliferator-activated receptor alpha: a potential role in the cardiac metabolic stress response. J Biol Chem. 276:44495–44501. 2001. View Article : Google Scholar

16 

Mascareno E, Manukyan I, Das DK and Siddiqui MA: Down-regulation of cardiac lineage protein (CLP-1) expression in CLP-1 +/− mice affords. J Cell Mol Med. 13:2744–2753. 2009.

17 

Gutsaeva DR, Carraway MS, Suliman HB, Demchenko IT, Shitara H, Yonekawa H and Piantadosi CA: Transient hypoxia stimulates mitochondrial biogenesis in brain subcortex by a neuronal nitric oxide synthase-dependent mechanism. J Neurosci. 28:2015–2024. 2008. View Article : Google Scholar

18 

Chen SD, Lin TK, Yang DI, Lee SY, Shaw FZ, Liou CW and Chuang YC: Protective effects of peroxisome proliferator-activated receptors gamma coactivator-1alpha against neuronal cell death in the hippocampal CA1 subfield after transient global ischemia. J Neurosci Res. 88:605–613. 2010.

19 

Rasbach KA and Schnellmann RG: Signaling of mitochondrial biogenesis following oxidant injury. J Biol Chem. 282:2355–2362. 2007. View Article : Google Scholar : PubMed/NCBI

20 

Norrbom J, Sunderg CJ, Ameln H, Kraus WE, Jansson E and Gustafsson T: PGC-1alpha mRNA expression is influenced by metabolic perturbation in exercising human skeletal muscle. J Appl Physiol (1985). 96:189–194. 2004. View Article : Google Scholar : PubMed/NCBI

21 

Stein RA, Gallard S and McDonnell DP: Estrogen-related receptor alpha induces the expression of vascular endothelial growth factor in breast cancer cells. J Steroid Biochem Mol Biol. 114:106–112. 2009. View Article : Google Scholar : PubMed/NCBI

22 

Carmeliet P and Baes M: Metabolism and therapeutic angiogenesis. N Engl J Med. 358:2511–2512. 2008. View Article : Google Scholar : PubMed/NCBI

23 

Elbashir SM, Lendeckel W and Tuschl T: RNA interference is mediated by 21- and 22-nucleotide RNAs. Genes Dev. 15:188–200. 2001. View Article : Google Scholar : PubMed/NCBI

24 

Smith LE, Wesolowski E, McLellan A, Kostyk SK, D’Amato R, Sullivan R and D’Amore PA: Oxygen-induced retinopathy in the mouse. Invest Ophthalmol Vis Sci. 35:101–111. 1994.PubMed/NCBI

25 

Banin E, Dorrell MI, Aguilar E, Ritter MR, Aderman CM, Smith AC, Friedlander J and Friedlander M: T2-TrpRS inhibits preretinal neovascularization and enhances physiological vascular regrowth in OIR as assessed by a new method of quantification. Invest Ophthalmol Vis Sci. 47:2125–2134. 2006. View Article : Google Scholar

26 

Gebarowska D, Stitt AW, Gardiner TA, Harriott P, Greer B and Nelson J: Synthetic peptides interacting with the 67-kd laminin receptor can reduce retinal ischemia and inhibit hypoxia-induced retinal neovascularization. Am J Pathol. 160:307–313. 2002. View Article : Google Scholar

27 

Abbas-Terki, Blanco-Bose W, Déglon N, Pralong W and Aebischer P: Lentiviral- mediated RNA interference. Hum Gene Ther. 13:2197–2201. 2002. View Article : Google Scholar : PubMed/NCBI

28 

Chin L, Hahn WC, Getz G and Meyerson M: Making sense of cancer genomic data. Genes Dev. 25:534–555. 2011. View Article : Google Scholar

29 

Zhang T, Zhou Q and Pignoni F: Yki/YAP, Sd/TEAD and Hth/MEIS control tissue specification in the Drosophila eye disc epithelium. PLoS One. 6:e222782011. View Article : Google Scholar : PubMed/NCBI

30 

Cooper TA, Wan L and Dreyfuss G: RNA and disease. Cell. 136:777–793. 2009. View Article : Google Scholar

31 

Olejniczak M, Galka P and Krzyzosiak WJ: Sequence-non-specific effects of RNA interference triggers and microRNA regulators. Nucleic Acids Res. 38:1–16. 2010. View Article : Google Scholar : PubMed/NCBI

32 

Shen J, Samul R, Silva RL, et al: Suppression of ocular neovascularization with siRNA targeting VEGF receptor 1. Gene Ther. 13:225–234. 2006. View Article : Google Scholar : PubMed/NCBI

33 

Lipardi C, Wei Q and Paterson BM: RNAi as random degradative PCR: siRNA primers convert mRNA into dsRNAs that are degraded to generate new siRNAs. Cell. 107:297–307. 2001. View Article : Google Scholar : PubMed/NCBI

34 

Arjamaa O and Nikinmaa M: Oxygen-dependent diseases in the retina: Role of hypoxia- inducible factors. Exp Eye Res. 83:473–483. 2006. View Article : Google Scholar : PubMed/NCBI

35 

Afzal A, Shaw LC, Ljubimov AV, Boulton ME, Segal MS and Grant MB: Retinal and choroidal microangiopathies: therapeutic opportunities. Microvasc Res. 74:131–144. 2007. View Article : Google Scholar : PubMed/NCBI

36 

Forsythe JA, Jiang BH, Iyer NV, Agani F, Leung SW, Koos RD and Semenza GL: Activation of vascular endothelial growth factor gene transcription by hypoxia-inducible factor 1. Mol Cell Biol. 16:4604–4613. 1996.PubMed/NCBI

37 

Fraisl P, Baes M and Carmeliet P: Hungry for blood vessels: linking metabolism and angiogenesis. Dev Cell. 14:313–314. 2008. View Article : Google Scholar : PubMed/NCBI

Related Articles

  • Abstract
  • View
  • Download
  • Twitter
Copy and paste a formatted citation
Spandidos Publications style
Zhang L, Jiang J and Xia X: Suppression of retinal neovascularization by small interfering RNA targeting PGC-1α. Int J Mol Med 33: 1523-1530, 2014.
APA
Zhang, L., Jiang, J., & Xia, X. (2014). Suppression of retinal neovascularization by small interfering RNA targeting PGC-1α. International Journal of Molecular Medicine, 33, 1523-1530. https://doi.org/10.3892/ijmm.2014.1717
MLA
Zhang, L., Jiang, J., Xia, X."Suppression of retinal neovascularization by small interfering RNA targeting PGC-1α". International Journal of Molecular Medicine 33.6 (2014): 1523-1530.
Chicago
Zhang, L., Jiang, J., Xia, X."Suppression of retinal neovascularization by small interfering RNA targeting PGC-1α". International Journal of Molecular Medicine 33, no. 6 (2014): 1523-1530. https://doi.org/10.3892/ijmm.2014.1717
Copy and paste a formatted citation
x
Spandidos Publications style
Zhang L, Jiang J and Xia X: Suppression of retinal neovascularization by small interfering RNA targeting PGC-1α. Int J Mol Med 33: 1523-1530, 2014.
APA
Zhang, L., Jiang, J., & Xia, X. (2014). Suppression of retinal neovascularization by small interfering RNA targeting PGC-1α. International Journal of Molecular Medicine, 33, 1523-1530. https://doi.org/10.3892/ijmm.2014.1717
MLA
Zhang, L., Jiang, J., Xia, X."Suppression of retinal neovascularization by small interfering RNA targeting PGC-1α". International Journal of Molecular Medicine 33.6 (2014): 1523-1530.
Chicago
Zhang, L., Jiang, J., Xia, X."Suppression of retinal neovascularization by small interfering RNA targeting PGC-1α". International Journal of Molecular Medicine 33, no. 6 (2014): 1523-1530. https://doi.org/10.3892/ijmm.2014.1717
Follow us
  • Twitter
  • LinkedIn
  • Facebook
About
  • Spandidos Publications
  • Careers
  • Cookie Policy
  • Privacy Policy
How can we help?
  • Help
  • Live Chat
  • Contact
  • Email to our Support Team