Spandidos Publications Logo
  • About
    • About Spandidos
    • Aims and Scopes
    • Abstracting and Indexing
    • Editorial Policies
    • Reprints and Permissions
    • Job Opportunities
    • Terms and Conditions
    • Contact
  • Journals
    • All Journals
    • Oncology Letters
      • Oncology Letters
      • Information for Authors
      • Editorial Policies
      • Editorial Board
      • Aims and Scope
      • Abstracting and Indexing
      • Bibliographic Information
      • Archive
    • International Journal of Oncology
      • International Journal of Oncology
      • Information for Authors
      • Editorial Policies
      • Editorial Board
      • Aims and Scope
      • Abstracting and Indexing
      • Bibliographic Information
      • Archive
    • Molecular and Clinical Oncology
      • Molecular and Clinical Oncology
      • Information for Authors
      • Editorial Policies
      • Editorial Board
      • Aims and Scope
      • Abstracting and Indexing
      • Bibliographic Information
      • Archive
    • Experimental and Therapeutic Medicine
      • Experimental and Therapeutic Medicine
      • Information for Authors
      • Editorial Policies
      • Editorial Board
      • Aims and Scope
      • Abstracting and Indexing
      • Bibliographic Information
      • Archive
    • International Journal of Molecular Medicine
      • International Journal of Molecular Medicine
      • Information for Authors
      • Editorial Policies
      • Editorial Board
      • Aims and Scope
      • Abstracting and Indexing
      • Bibliographic Information
      • Archive
    • Biomedical Reports
      • Biomedical Reports
      • Information for Authors
      • Editorial Policies
      • Editorial Board
      • Aims and Scope
      • Abstracting and Indexing
      • Bibliographic Information
      • Archive
    • Oncology Reports
      • Oncology Reports
      • Information for Authors
      • Editorial Policies
      • Editorial Board
      • Aims and Scope
      • Abstracting and Indexing
      • Bibliographic Information
      • Archive
    • Molecular Medicine Reports
      • Molecular Medicine Reports
      • Information for Authors
      • Editorial Policies
      • Editorial Board
      • Aims and Scope
      • Abstracting and Indexing
      • Bibliographic Information
      • Archive
    • World Academy of Sciences Journal
      • World Academy of Sciences Journal
      • Information for Authors
      • Editorial Policies
      • Editorial Board
      • Aims and Scope
      • Abstracting and Indexing
      • Bibliographic Information
      • Archive
    • International Journal of Functional Nutrition
      • International Journal of Functional Nutrition
      • Information for Authors
      • Editorial Policies
      • Editorial Board
      • Aims and Scope
      • Abstracting and Indexing
      • Bibliographic Information
      • Archive
    • International Journal of Epigenetics
      • International Journal of Epigenetics
      • Information for Authors
      • Editorial Policies
      • Editorial Board
      • Aims and Scope
      • Abstracting and Indexing
      • Bibliographic Information
      • Archive
    • Medicine International
      • Medicine International
      • Information for Authors
      • Editorial Policies
      • Editorial Board
      • Aims and Scope
      • Abstracting and Indexing
      • Bibliographic Information
      • Archive
  • Articles
  • Information
    • Information for Authors
    • Information for Reviewers
    • Information for Librarians
    • Information for Advertisers
    • Conferences
  • Language Editing
Spandidos Publications Logo
  • About
    • About Spandidos
    • Aims and Scopes
    • Abstracting and Indexing
    • Editorial Policies
    • Reprints and Permissions
    • Job Opportunities
    • Terms and Conditions
    • Contact
  • Journals
    • All Journals
    • Biomedical Reports
      • Information for Authors
      • Editorial Policies
      • Editorial Board
      • Aims and Scope
      • Abstracting and Indexing
      • Bibliographic Information
      • Archive
    • Experimental and Therapeutic Medicine
      • Information for Authors
      • Editorial Policies
      • Editorial Board
      • Aims and Scope
      • Abstracting and Indexing
      • Bibliographic Information
      • Archive
    • International Journal of Epigenetics
      • Information for Authors
      • Editorial Policies
      • Editorial Board
      • Aims and Scope
      • Abstracting and Indexing
      • Bibliographic Information
      • Archive
    • International Journal of Functional Nutrition
      • Information for Authors
      • Editorial Policies
      • Editorial Board
      • Aims and Scope
      • Abstracting and Indexing
      • Bibliographic Information
      • Archive
    • International Journal of Molecular Medicine
      • Information for Authors
      • Editorial Policies
      • Editorial Board
      • Aims and Scope
      • Abstracting and Indexing
      • Bibliographic Information
      • Archive
    • International Journal of Oncology
      • Information for Authors
      • Editorial Policies
      • Editorial Board
      • Aims and Scope
      • Abstracting and Indexing
      • Bibliographic Information
      • Archive
    • Medicine International
      • Information for Authors
      • Editorial Policies
      • Editorial Board
      • Aims and Scope
      • Abstracting and Indexing
      • Bibliographic Information
      • Archive
    • Molecular and Clinical Oncology
      • Information for Authors
      • Editorial Policies
      • Editorial Board
      • Aims and Scope
      • Abstracting and Indexing
      • Bibliographic Information
      • Archive
    • Molecular Medicine Reports
      • Information for Authors
      • Editorial Policies
      • Editorial Board
      • Aims and Scope
      • Abstracting and Indexing
      • Bibliographic Information
      • Archive
    • Oncology Letters
      • Information for Authors
      • Editorial Policies
      • Editorial Board
      • Aims and Scope
      • Abstracting and Indexing
      • Bibliographic Information
      • Archive
    • Oncology Reports
      • Information for Authors
      • Editorial Policies
      • Editorial Board
      • Aims and Scope
      • Abstracting and Indexing
      • Bibliographic Information
      • Archive
    • World Academy of Sciences Journal
      • Information for Authors
      • Editorial Policies
      • Editorial Board
      • Aims and Scope
      • Abstracting and Indexing
      • Bibliographic Information
      • Archive
  • Articles
  • Information
    • For Authors
    • For Reviewers
    • For Librarians
    • For Advertisers
    • Conferences
  • Language Editing
Login Register Submit
  • This site uses cookies
  • You can change your cookie settings at any time by following the instructions in our Cookie Policy. To find out more, you may read our Privacy Policy.

    I agree
Search articles by DOI, keyword, author or affiliation
Search
Advanced Search
presentation
International Journal of Molecular Medicine
Join Editorial Board Propose a Special Issue
Print ISSN: 1107-3756 Online ISSN: 1791-244X
Journal Cover
January-2015 Volume 35 Issue 1

Full Size Image

Sign up for eToc alerts
Recommend to Library

Journals

International Journal of Molecular Medicine

International Journal of Molecular Medicine

International Journal of Molecular Medicine is an international journal devoted to molecular mechanisms of human disease.

International Journal of Oncology

International Journal of Oncology

International Journal of Oncology is an international journal devoted to oncology research and cancer treatment.

Molecular Medicine Reports

Molecular Medicine Reports

Covers molecular medicine topics such as pharmacology, pathology, genetics, neuroscience, infectious diseases, molecular cardiology, and molecular surgery.

Oncology Reports

Oncology Reports

Oncology Reports is an international journal devoted to fundamental and applied research in Oncology.

Experimental and Therapeutic Medicine

Experimental and Therapeutic Medicine

Experimental and Therapeutic Medicine is an international journal devoted to laboratory and clinical medicine.

Oncology Letters

Oncology Letters

Oncology Letters is an international journal devoted to Experimental and Clinical Oncology.

Biomedical Reports

Biomedical Reports

Explores a wide range of biological and medical fields, including pharmacology, genetics, microbiology, neuroscience, and molecular cardiology.

Molecular and Clinical Oncology

Molecular and Clinical Oncology

International journal addressing all aspects of oncology research, from tumorigenesis and oncogenes to chemotherapy and metastasis.

World Academy of Sciences Journal

World Academy of Sciences Journal

Multidisciplinary open-access journal spanning biochemistry, genetics, neuroscience, environmental health, and synthetic biology.

International Journal of Functional Nutrition

International Journal of Functional Nutrition

Open-access journal combining biochemistry, pharmacology, immunology, and genetics to advance health through functional nutrition.

International Journal of Epigenetics

International Journal of Epigenetics

Publishes open-access research on using epigenetics to advance understanding and treatment of human disease.

Medicine International

Medicine International

An International Open Access Journal Devoted to General Medicine.

Journal Cover
January-2015 Volume 35 Issue 1

Full Size Image

Sign up for eToc alerts
Recommend to Library

  • Article
  • Citations
    • Cite This Article
    • Download Citation
    • Create Citation Alert
    • Remove Citation Alert
    • Cited By
  • Similar Articles
    • Related Articles (in Spandidos Publications)
    • Similar Articles (Google Scholar)
    • Similar Articles (PubMed)
  • Download PDF
  • Download XML
  • View XML
Article

MicroRNA expression profiles in rats with selenium deficiency and the possible role of the Wnt/β‑catenin signaling pathway in cardiac dysfunction

  • Authors:
    • Yujie Xing
    • Zhongwei Liu
    • Guang Yang
    • Dengfeng Gao
    • Xiaolin Niu
  • View Affiliations / Copyright

    Affiliations: Department of Cardiology, The Second Affiliated Hospital, Xi'an Jiaotong University School of Medicine, Xi'an, Shaanxi 710004, P.R. China
  • Pages: 143-152
    |
    Published online on: October 23, 2014
       https://doi.org/10.3892/ijmm.2014.1976
  • Expand metrics +
Metrics: Total Views: 0 (Spandidos Publications: | PMC Statistics: )
Metrics: Total PDF Downloads: 0 (Spandidos Publications: | PMC Statistics: )
Cited By (CrossRef): 0 citations Loading Articles...

This article is mentioned in:


Abstract

Selenium deficiency is a causative factor in heart failure and microRNAs (known as miRNAs or miRs) play an important role in numerous cardiovascular diseases. However, the changes of miRNA expression during selenium deficiency and whether selenium deficiency is involved in cardiac dysfunction remain unclear. In the present study, miRNA expression profiling was carried out in normal rats, selenium‑deficient rats and selenium‑supplemented rats by miRNA microarray. Cardiac function was evaluated by analyzing the plasma brain natriuretic peptide level, echocardiographic parameters and hemodynamic parameters. Cardiac glutathione peroxidase activity was assessed by spectrophotometry. The histological changes were examined by hematoxylin and eosin staining. Electrocardiograph was used to test the arrhythmia. The differentially expressed miRNAs were verified by reverse transcription‑polymerase chain reaction. Additionally, the underlying mechanism associated with the Wnt/β‑catenin signaling pathway was further explored. The cardiac dysfunction of the rat with selenium deficiency was mainly associated with five upregulated miRNAs, which were miR‑374, miR‑16, miR‑199a‑5p, miR‑195 and miR‑30e*, and three downregulated miRNAs, which were miR‑3571, miR‑675 and miR‑450a*. Among these, the expression of miR‑374 was the highest, which may be of vital importance in rats with selenium deficiency. In conclusion, the possible mechanism of selenium deficiency‑induced cardiac dysfunction was associated with the Wnt/β‑catenin signaling pathway.

Introduction

Selenium deficiency is considered a causative factor in various types of heart failure, including Keshan disease (KD), which is prevalent in China and is also one of the most harmful endemic diseases (1). Heart failure patients with reduced left ventricular contractility or systolic heart failure have lower blood selenium levels (2–4). In a small clinical study, selenium improved left ventricular function and quality of life in systolic heart failure (5). However, the selenium deficiency and cardiac dysfunction link remains to be understood.

microRNAs (miRNAs or miRs) are a class of endogenous non-coding small RNAs that are involved in the modulation of numerous biological processes by base-pairing, usually imperfectly, to the 3′ untranslated region of a target mRNA, leading to post-transcriptional inhibition and occasionally mRNA cleavage (6). miRNAs have been identified in the majority of types of cells and tissues. The current estimate is that 10–30% of genes may be regulated by miRNAs, particularly the members of signal transduction networks. Additionally, there is increasing evidence that miRNAs are involved in a numerous biological processes, including cell proliferation, differentiation, apoptosis and tumorigenesis (7). Aberrant and/or absent miRNA expression is frequently associated with pathophysiological disorders (8–10). However, miRNA expression changes in the condition of selenium deficiency and whether selenium deficiency is involved in cardiac dysfunction remains unclear.

Wnt/β-catenin signaling is subjected to multiple levels of molecular control. The canonical Wnt/β-catenin signaling pathway is initiated when Wnt ligands bind to its receptor(s), Frizzled (11) and low-density lipoprotein receptor-related protein-5 or -6 (LRP5 or LRP6) (12). The stabilized β-catenin accumulates in the cytoplasm and translocates into the cell nucleus following activation, where it forms a β-catenin-lymphoid enhancer-binding factor (LEF)/transcription factor (TCF) transcriptional complex and induces transcription of downstream genes implicated in carcinogenesis. In the absence of Wnt-ligand stimulation, β-catenin is sequestered in the ‘destruction complex,’ which leads to β-catenin degradation by the ubiquitin-proteasome mechanism and ultimately the inactivation of β-catenin signaling (13–15). The secretion of antagonists of the Wnt pathway, including Wnt inhibitory factor-1, secreted Frizzled-related proteins and Dickkopf1 (16) also regulate the suppression of β-catenin signaling. Wnt proteins belong to a large family of cysteine-rich secreted glycoproteins, which are highly conserved during evolution, and they activate a highly conserved intracellular signaling cascade with a significant influence in early embryogenesis and pattern regulations (17,18). These proteins have diverse mediated effects, including proliferation, apoptosis, migration, polarization, stem cell maintenance and differentiation (19). Wnt/β-catenin signaling plays significant roles in animal development and tissue homeostasis, and misregulation of this pathway has been associated in numerous pathological states, such as cancer, heart disease and Alzheimer’s (20).

Given the potential role of miRNAs, their expression was profiled in selenium-deficient rats by microarray. The differentially expressed miRNAs were selected and validated. Due to the importance of Wnt/β-catenin signaling in cardiac function, it was further investigated in an attempt to provide a novel insight into the limited understanding of the biological process and mechanism of cardiac dysfunction in selenium-deficient rats.

Materials and methods

Animals

A total of 60 male weaning Sprague-Dawley rats (3-weeks old; specific-pathogen-free class; body weight, 75±10 g) were raised under controlled-environmental conditions (12-h light-dark cycle; temperature, 25±1°C; humidity, 65±4%). The standard diet (containing 0.2 mg selenium/kg food) was produced by the Animal Experimental Center of Xi’an Jiaotong University (Xi’an, China) and the low-selenium diet (<0.02 mg selenium/kg food) was produced by Trophic Animal Feed High-tech Co. (Jiangsu, China) according to the AIN-93 M formula. The food was stored at 4°C and fresh tap water was allocated continuously. The study was carried out in strict accordance with the recommendations in the Guide for the Care and Use of Laboratory Animals of the National Institutes of Health. The protocol was approved by the Committee on the Ethics of Animal Experiments of Xi’an Jiaotong University. All the surgeries were performed under chloral hydrate anesthesia, and all efforts were made to minimize suffering.

Groups and treatments

All the animals were randomly assigned into three groups: Control (n=20), low selenium (LS) (n=20) and selenium supplementation (SS) (n=20). In the control group, the animals were fed with the standard diet for 14 weeks and were treated by intraperitoneal injection of physiological saline every day for 21 days. In the LS group, the animals were fed with the low-selenium diet for 14 weeks and were treated by intraperitoneal injection of physiological saline every day for 21 days. In the SS group, the animals were fed with the low-selenium diet for 14 weeks and were treated by intraperitoneal injection of sodium selenite (0.05 mg/kg bodyweight; Sigma-Aldrich, St. Louis, MO, USA) as selenium supplementation every day for 21 days (21). All the animals were monitored every two days by observing their mental status and activities. Two animals succumbed as a result of Se deficiency. Following this, these two animals were immediately quarantined and sent to the Animal Center for unified treatment.

Selenium concentration detection

Samples of whole blood and hearts harvested from rats were wet-washed by mixed acids (nitric acid and perchloric acid) in borosilicate reaction tubes. Following removal of the excess acids, the samples were titrated to 10 ml by ultra-pure water (Aqulix 5 water purification system; Merck Millipore, Billerica, MA, USA). The selenium concentration was subsequently determined by the flameless atomic absorption spectrophotometry method using a Z-5000 spectrophotometer (Hitachi, Ltd., Tokyo, Japan) with a cathode lamp of Se (resonance line, 196.0 nm; Photron, Victoria, Australia). Standard selenium solutions were used to calibrate the results.

Glutathione peroxidase activity assay

Cardiac glutathione peroxidase (GPx) activity in heart extract was assessed by a spectrophotometry method using the Glutathione Peroxidase Cellular Activity Assay kit (Sigma-Aldrich), following the manufacturer’s instructions. The assay is based on the reaction in which oxidation of glutathione (GSH) to oxidized glutathione (GSSG) is catalyzed by GPx. As NADPH is consumed when GSSG is recycled back to GSH, the decrease in NADPH absorbance at 340 nm (Tecan Sunrise Absorbance Reader, Tecan, Austria) can be utilized to calculate the activity of GPx indirectly.

Plasma brain natriuretic peptide (BNP) assay

Following femoral artery puncture, whole blood samples were collected using EDTA-Na2 vacuum blood collection tubes. The supernatant was collected after centrifugation at 377 × g for 20 min. The samples were processed by the Triage BNP assay (Biosite, San Diego, CA, USA) within 1 h after collection at room temperature, according to the manufacturer’s instructions.

Electrocardiography (ECG)

ECG in lead II was recorded (PowerLab 4/25; ADInstrument, New South Wales, Australia) during the experiment time. Prior to electrocardiography, all the rats were anesthetized by intraperitoneal injection of chloral hydrate (10%, 0.03 ml/kg bodyweight). The left upper limb, right upper limb and right lower limb electrodes were placed for leads I. Subsequently, the ECG was analyzed for changes in the ST segment, T wave, AV block and arrhythmia (premature ventricular contraction, ventricular tachycardia and fibrillation and atrial fibrillation). Cardiac conduction of rats was evaluated by the number of ventricular arrhythmic events (VAEs) within 15 min.

Echocardiography

Echocardiographic tests were performed according to the instructions described in previous studies (22,23). Animals were anesthetized with chloral hydrate (10%, 0.03 ml/kg bodyweight) intraperitoneally 10 min before imaging. In order to maintain an optimal image quality, the hair of the anterior chest wall was removed by 7% sodium sulfite solution and the rats were placed left laterally. Vivid 7 dimension (GE Healthcare, Pittsburgh, PA, USA) with a probe (12 L) working at 10 MHz was utilized. The probe was placed parallel to the left margin of the sternum and adjusting the image depth, ranging 2.0–4.0 cm. Regurgitant jets were assessed by two-dimensional color and continuous Doppler. M-mode tracings were applied to determine the left ventricular end-systole diameter (LVESD) and left ventricular end-diastole diameter (LVEDD). Finally, the functional parameters, including left ventricular fractional shortening (LVFS%), which is the percentage of blood ejected by the left ventricle for each heart beat, and left ventricular ejection fraction (LVEF%), which measures the change in the left ventricular diameter from each diastole to systole were calculated respectively: LVFS% = ((LVEDD − LVESD)/LVEDD)%; and LVEF% = [(LVEDV − LVESV)/LVEDV]%.

Hemodynamic parameters

Hemodynamic determination was conducted according to methods described in a previous study (24). The animals were anesthetized with chloral hydrate (10%, 0.03 ml/kg bodyweight) intraperitoneally. A catheter connected to the Powerlab 4/25 biological analysis system was intubated from the right carotid artery into the left ventricle. Left ventricular systolic pressure (LVSP), left ventricular end-diastolic pressure (LVEDP), maximum rising rate of left ventricular pressure (LVdp/dtmax) and maximum dropping rate of left ventricular pressure (LVdp/dtmin) were measured.

Histological examination

The animals were anesthetized with chloral hydrate (10%, 0.03 ml/kg bodyweight) intraperitoneally. Subsequently, they were sacrificed by removing the hearts following complete anesthesia. The harvested hearts were rinsed in phosphate-buffered saline, fixed in 4% paraformaldehyde for 24 h, embedded in paraffin and cross-sectioned into 10-μm slices. The sections were stained with hematoxylin and eosin (HE) for cells alignment according to the general procedure. The morphological structures of the heart were observed by light microscopy.

miRNA microarray analysis

Total RNA was isolated using TRIzol (Invitrogen) and the miRNeasy mini kit (Qiagen) according to the manufacturer’s instructions, which efficiently recovered all RNA species, including miRNAs. RNA quality and quantity was measured by using nanodrop spectrophotometer (ND-1000, Nanodrop Technologies, Wilmington, DE, USA) and RNA integrity was determined by gel electrophoresis. Following RNA isolation from the samples, the miRCURY™ Hy3™/Hy5™ Power labeling kit (Exiqon, Vedbaek, Denmark) was used according to the manufacturer’s guideline for miRNA labeling. Each sample (1 μg) was 3′-end-labeled with the Hy3TM fluorescent label, using T4 RNA ligase as follows: RNA in 2.0 μl water was combined with 1.0 μl calf intestinal alkaline phosphatase (CIP) buffer and CIP (Exiqon). The mixture was incubated for 30 min at 37°C, and was terminated by incubation for 5 min at 95°C. Subsequently, 3.0 μl labeling buffer, 1.5 μl fluorescent label (Hy3TM), 2.0 μl dimethyl sulfoxide and 2.0 μl labeling enzyme were added into the mixture. The labeling reaction was incubated for 1 h at 16°C, and terminated by incubation for 15 min at 65°C. Subsequent to stopping the labeling procedure, the Hy3TM-labeled samples were hybridized on the miRCURYTM LNA Array (v.16.0) (Exiqon) according to the array instructions. The total mixture (25 μl) from Hy3TM-labeled samples with 25 μl hybridization buffer were first denatured for 2 min at 95°C, incubated on ice for 2 min and hybridized to the microarray for 16–20 h at 56°C in a 12-Bay Hybridization System (Hybridization System-Nimblegen Systems, Inc., Madison, WI, USA), which provides an active mixing action and constant incubation temperature to improve hybridization uniformity and to enhance the signal. Following hybridization, the slides were obtained, washed several times using Wash buffer kit (Exiqon), and dried by centrifugation for 5 min at 100 × g. Subsequently, the slides were scanned using the Axon GenePix 4000B microarray scanner (Axon Instruments, Foster City, CA). The scanned images were imported into the GenePix Pro 6.0 software (Axon Instruments) for grid alignment and data extraction. Replicated miRNAs were averaged and miRNAs with intensities >50 in all the samples were chosen for calculating normalization factor. Expressed data were normalized using the Median normalization (25). Following normalization, differentially expressed miRNAs were identified through fold change filtering. Hierarchical clustering was performed using the MEV software (Dana-Farber Cancer Institute, Boston, MA, USA).

Gene ontology (GO) analysis

GO analysis was applied in order to organize genes into hierarchical categories and uncover the miR-gene regulatory network on the basis of biological process and molecular function. In detail, two-side Fisher’s exact test was used to classify the GO category, and the false discovery rate (FDR) was calculated to correct the P-value. Only GOs that had a P-value of <0.001 and an FDR of <0.05 were chosen. Within the significant category, the enrichment rare earth (Re) was: Re=(nf/n)/(Nf)/N), where nf is the number of flagged genes within the particular category, n is the total number of genes within the same category, Nf is the number of flagged genes in the entire microarray and N is the total number of genes in the microarray. Subsequently, the apoptosis-related network of miRNA-mRNA interaction, representing the critical miRNAs and their targets, was established according to the degree of miRNA (26).

Reverse transcription-quantitative polymerase chain reaction (RT-qPCR) of miRNA

Differentially expressed miRNAs of miR-374, miR-16, miR-199a-5p, miR-195, miR-30e*, miR-3571, miR-675 and miR-450a* were selected for verification. Total RNA was extracted from harvested heart using the MiniBEST Universal RNA Extraction kit (Takara, Otsu, Japan). cDNA was synthesized from total RNA with the SYBR PrimeScript™ miRNA RT-PCR kit (Takara). The expression of miRNA was analyzed by qPCR using SYBR Premix Ex TaqTMII (Takara). PCR was performed in triplicate for each sample. The relative amount of miRNAs was normalized against U6 small nuclear RNA. Detection of mRNA was performed as described previously (27). The sequences of the primers are shown in Table I.

Table I

Primers used in TaqMan RT-qPCR.

Table I

Primers used in TaqMan RT-qPCR.

Gene primerProduct size, bpNumber gene primer (5′→3′)
U662F: 5′-GCTTCGGCAGCACATATACTAAAAT-3′
R: 5′-CGCTTCACGAATTTGCGTGTCAT-3′
rno-miR-37468F: 5′-CTCGGATGGATATAATACA-3′
R: 5′-CTCGGACAATAATAATACA-3′
rno-miR-1662F: 5′-GGGGTAGCAGCACGTAAATA-3′
R: 5′-GTGCGTGTCGTGGAGTCG-3′
rno-miR-199a-5p94F: 5′-CTTCTGGAGATCCTGCTC-3′
R: 5′-TGCCCAGTCTAACCAATG-3′
rno-miR-19578F: 5′-AACTCTCCTGGCTCTAGC-3′
R: 5′-GCCTGGAGCAGCACAG-3′
rno-miR-30e86F: 5′-GGGCAGTCTTTGCTACTG-3′
R: 5′-CCTGCCGCTGTAAACATC-3′
rno-miR-357196F: 5′-GGACATTACCTACCCAA-3′
R: 5′-TAGTGCCTACTCAGAGC-3′
rno-miR-67570F: 5′-GGACTGGTGCGGAAAGG-3′
R: 5′-AGACCCAGGGACTGAGC-3′
rno-miR-450a70F: 5′-AGAGATGCGGAGCTGTT-3′
R: 5′-TATGCAAAATGTTCCCAAT-3′

[i] RT-qPCR, reverse transcription-quantitative polymerase chain reaction; bp, base pair; F, forward primer; R, reverse primer.

Western blotting

Frozen cardiac tissue was homogenized in radioimmunoprecipitation assay lysis buffer system (Santa Cruz Biotechnology, Inc., Dallax, TX, USA) with phenylmethylsulfonyl fluoride (Santa Cruz Biotechnology, Inc.). All the procedures followed manufacturer’s instructions. The sample protein concentration was detected by using bicinchoninic acid protein assay kit (Santa Cruz Biotechnology, Inc.). The sample protein was boiled in 1x SDS-PAGE loading buffer, separated by electrophoresis in 10% SDS-polyacrylamide gel and subsequently transferred to a polyvinylidene fluoride membrane. Antibodies against Wnt (ab15251) and β-catenin (ab6302) (Abcam, Cambridge, MA, USA) were applied to incubate the bolts at 4°C overnight. Tris-buffered saline (containing 0.02% Tween 20) was used to wash the membranes, which were subsequently incubated with goat polyclonal secondary antibody to rabbit immunoglobulin G conjugated to horseradish peroxidase (Abcam). The membranes were developed using Super Signal West Pico chemiluminescence reagent (Thermo Scientific, Waltham, MA, USA) and were visualized on X-ray films.

Statistical analysis

All the results were expressed as mean ± standard deviation. Statistical analysis was performed with one-way analysis of variance for multiple comparisons. P<0.05 was considered to indicate a statistically significant difference.

Results

Se concentration in blood samples

The Se concentration in blood is shown in Fig. 1. Significant changes of Se concentration were observed in the LS and SS groups. Compared to the control group, the Se concentration in blood decreased significantly in the LS and SS groups (P<0.05). Se intraperitoneal injection was proved to increase the Se concentration in blood in the SS group compared to the LS group (P<0.05).

Figure 1

Se concentrations for each group. Se concentrations in the blood of rats were analyzed by spectrophotometry. *P<0.05 vs. control; #P<0.05 vs. LS. LS, low selenium; SS, selenium supplementation.

Effects of Se deficiency and Se supplementation on GPx activity

As shown in Fig. 2, the activity of GPx in the LS and SS groups decreased significantly compared to the control group (P<0.05). The activity of GPx was observed to reduce more significantly in the LS group. However, an evident recovery of GPx activity in the SS group was confirmed by the GPx activity assay when compared to the LS group (P<0.05).

Figure 2

Effects of Se deficiency/supplementation on GPx activity. A spectrophotometry method was utilized to examine the activity of GPx. Values indicated by columns in the graph are presented as mean ± standard deviation. *P<0.05 vs. control; #P<0.05 vs. LS. LS, low selenium; SS, selenium supplementation; GPx, glutathione peroxidase.

Plasma BNP

The Triage BNP assay showed that the plasma BNP level increased significantly in the LS and SS groups compared to the control group (P<0.05). A clearer increase of plasma BNP was found in the LS group. Following Se supplementation by intra-peritoneal injections, a reduction in the plasma BNP level in the SS group was identified compared to the LS group (P<0.05) (Fig. 3).

Figure 3

Effects of Se deficiency/supplementation on plasma BNP level. Plasma BNP concentration (pg/ml) was examined by the Triage BNP Assay. The values indicated by the columns in the graph are presented as mean ± standard deviation. *P<0.05 vs. control; #P<0.05 vs. LS. LS, low selenium; SS, selenium supplementation; BNP, brain natriuretic peptide.

ECG features

ECG of rats in the control group was normal (Fig. 4A). However, ECG of rats in the LS group showed significant differences. In the LS group, a few rats exhibited normal ECG, but the majority had abnormal ECG, which manifested as premature ventricular contraction and paroxysmal supraventricular tachycardia (Fig. 4B and C). The majority of ECG in the SS group were normal, but there remained a few abnormal ECG (Fig. 4D). VAEs in the LS group were higher than those of the control group (P<0.05), but following Se supplementation the VAEs significantly decreased compared to the LS group (P<0.05) (Fig. 4E).

Figure 4

ECG features. (A) Normal ECG in the control group, (B) premature ventricular contraction in the LS group, (C) paroxysmal supraventricular tachycardia in the LS group and (D) premature atrial contraction in the SS group. (E) Analysis of VAEs (a,#P<0.001 vs. control; b,#P<0.001 vs. LS). ECG, electrocardiography; LS, low selenium; SS, selenium supplementation; VAE, ventricular arrhythmic event.

Echocardiographic detection

The echocardiographic parameters, including LVEDD, LVESD, LVEF and LVFS, were detected and calculated in the present study as shown in Table II. An overall increase of LVEDD and LVESD accompanied by an overall decrease of LVEF and LVFS were found in the LS and SS groups. However, there was a significant increase of LVEDD and LVESD and a significant decrease of LVEF and LVFS in the LS group compared to the SS group. A significant recovery of cardiac function marked by echocardiographic parameters was found in the SS group compared to the LS group, which was evidenced by restoration of LVEDD, LVESD, LVEF and LVFS following Se supplementation.

Table II

Echocardiographic parameters of the rats in the different groups.

Table II

Echocardiographic parameters of the rats in the different groups.

GroupNo.LVEDD, mmLVESD, mmLVEF, %LVFS, %
Control104.14±0.381.13±0.7785.60±11.0275.64±8.30
LS10 5.29±0.26a* 2.77±0.35a,c 68.93±10.92a,c 50.44±5.73a,d
SS10 4.92±0.79b* 2.05±0.23b,c 79.20±9.41b,c 97.73±6.28b,d

[i] Cardiac functions (left ventricular functions) were assessed by echocardiographic detection. All the results are presented as mean ± standard deviation. aValues are significantly different from the control (P<0.05) (cP<0.05; dP<0.01). bValues are significantly different from the LS group (P<0.05) (cP<0.05; dP<0.01). LVEDD, left ventricular end-diastole diameter; LVESD, left ventricular end-systole diameter; LVEF, left ventricular ejection fraction; LVFS, left ventricular fractional shortening.

Hemodynamic detection

The hemodynamic parameters, including LVEDP, LVSP, LVdp/dtmax and LVdp/dtmin, were detected and calculated in the study as shown in Table III. An overall increase of LVEDP and LVSP accompanied by an overall decrease of LVdp/dtmax and LVdp/dtmin were found in the LS and SS groups. However, there was a significant increase of LVEDP and LVSP and decrease of LVdp/dtmax and LVdp/dtmin in the LS group compared to the SS group. A significant recovery of cardiac function marked by hemodynamic parameters was found in the SS group compared to the LS group, which was evidenced by restoration of LVEDP, LVSP, LVdp/dtmax and LVdp/dtmin following Se supplementation.

Table III

Hemodynamic parameters of the rats in the different groups.

Table III

Hemodynamic parameters of the rats in the different groups.

GroupNo.LVEDP, mmHgLVSP, mmHg LVdp/dtmax, mmHg/sec LVdp/dtmin, mmHg/sec
Control747.62±6.41185.32±13.283794.55±127.472887.65±154.13
LS8 67.81±5.50a* 157.69±14.24a,c 2640.31±144.20a,c 2216.28±138.69a,c
SS8 53.29±5.13b** 162.30±14.68b,c 2948.19±152.35b,c 2677.00±142.98b,c

[i] Cardiac functions (left ventricular functions) were assessed by hemodynamic tests using a cardiac intubation method. All the results are presented as mean ± standard deviation. aValues are significantly different from the control (cP<0.05). bValues are significantly different from the LS group (cP<0.05). LS, low selenium; SS, selenium supplementation; LVSP, left ventricular systolic pressure; LVEDP, left ventricular end-diastole pressure; LVdp/dtmax, maximum rising rate of left ventricular pressure; LVdp/dtmin, maximum dropping rate of left ventricular pressure.

Histological characterization of the heart

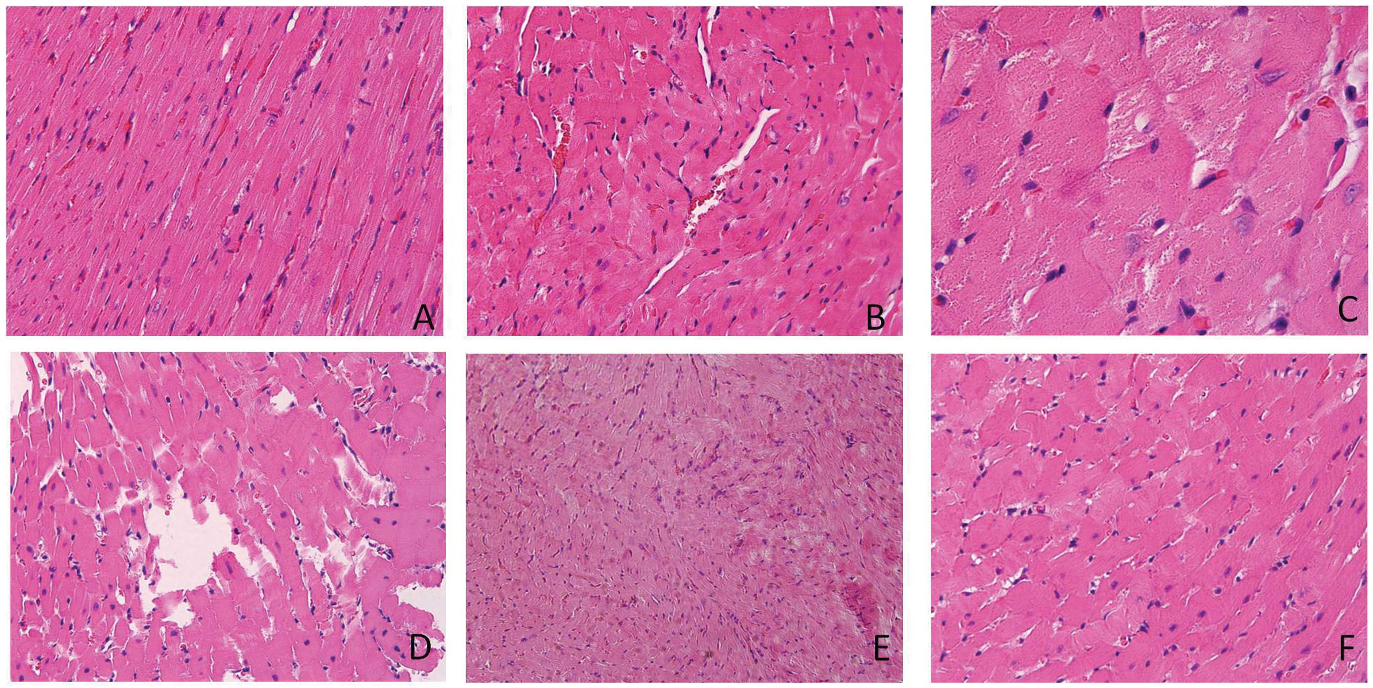
HE staining showed that the structure of myocardial tissue in the control group was clear, including well-connected intercalated discs and normally arranged filaments (Fig. 5A). In the LS group, the muscle fibers of the rats were swelling and disorganized (Fig. 5B). Myocardial necrosis, nuclear condensation and partially intermittent muscle fibers were observed in the LS group (Fig. 5C and D). In addition, the small myocardial necrosis focus accompanied by inflammatory infiltration can be observed in certain areas (Fig. 5E). Following Se supplementation, the myocardial fibers were mildly swelling compared to the control group, but their arrangements were orderly (Fig. 5F).

Figure 5

Histological changes of the rat hearts. (A) Control, (B–E) LS and (F) SS groups. (A) Normal structure of myocardial tissue (magnification: ×400). (B) Swelling and disorganized muscle fibers (magnification, ×400). (C) Myocardial necrosis and nuclear condensation (magnification, ×1000). (D) Intermittent muscle fibers (magnification, ×400). (E) Small myocardial necrosis stove accompanied by inflammatory infiltration (magnification, ×200). (F) Mild swelling and orderly arrangement myocardial fibers (magnification, ×400). LS, low selenium; SS, selenium supplementation.

miRNA expression profiles

Using the miRCURY LNA Array platform, the miRNAs expression profiles were assessed in Se-deficient rats. The expression profiles of 116 miRNAs were regulated between the control, LS and SS groups, and the samples were separated into biologically interpretable groups. Among these, 5 miRNAs were identified to be upregulated >5-fold in the LS group compared to the SS group, whereas 3 miRNAs were less than the threshold level (3-fold) set during the progression of Se deficiency, but following selenium supplementation these miRNAs were >1.5-fold compared to Se deficiency. These 8 miRNAs were validated to be significantly different (P<0.05). As shown in Fig. 6, the levels of miR-374, miR-16, miR-199a-5p, miR-195 and miR-30e* were upregulated in rats with selenium deficiency, while miR-3571, miR-675 and miR-450a* showed an opposite expression pattern, in agreement with the results of microarray hybridization.

Figure 6

miRNA profiles differentiate rats with normal diet from rats with Se deficiency or Se supplementation. Five upregulated (miR-374, miR-16, miR-199a-5p, miR-195 and miR-30e*) and three downregulated (miR-3571, miR-675 and miR-450a*) miRNAs were identified using RT-qPCR. Triplicate assays were performed for each RNA sample and the relative amount of each miRNA was normalized to U6 smal nuclear RNA. A statistically significant difference between every group is indicated by *P<0.01. LS, low selenium; SS, selenium supplementation; RT-qPCR, reverse transcription-quantitative polymerase chain reaction.

Microarray-based GO analysis

According to the threshold of GOs that were significantly regulated by miRNAs, the P-value and FDR was <0.001 and <0.05, respectively. The high-enrichment GOs targeted by upregulated miRNAs included signal transduction, transport, cell differentiation and response to stress. By contrast, the significant GOs corresponding to downregulated miRNAs appeared to include signal transduction, cell differentiation, transport and cell proliferation. Among these, the maximum-enriched-GO associated with signal transduction, together with the numerous miRNAs that interacted with signal transduction-related genes, suggested them to have an important role in the activation of selenium deficiency (Fig. 7).

Figure 7

GO of significant microRNAs. The gray column shows the GOs targeted by upregulated miRNAs and the black column shows the GOs targeted by downregulated miRNAs. All these GOs show increased enrichment. The vertical axis is the GO category and the horizontal axis is the enrichment of GO. GO, gene ontology.

Expression of Wnt/β-catenin

Western blotting was employed to detect the changes of Wnt and β-catenin expression in the present study. As shown in Fig. 8, the protein expression of Wnt and β-catenin in cardiac tissue were highest in the LS group compared to the control group. Increasing expression of Wnt and β-catenin in the LS group was decreased by Se supplementation. However, it appeared that Se supplementation reversed the increasing expression of Wnt and β-catenin in the LS group.

Figure 8

Effects of Se deficiency and Se supplementation on protein expression of Wnt and β-catenin in cardiac tissue. Sample protein was extracted, separated and detected by specific antibodies against Wnt and β-catenin. The expression of Wnt and β-catenin were normalized by β-actin in the same sample. The darkness of the immunoblots represents the expression level of the protein. (A) Western blotting of Wnt and β-catenin. (B) Analysis of the relative expression of Wnt and (C) β-catenin normalized by β-actin. *Values are significantly different from LS (P<0.05). LS, low selenium; SS, selenium supplementation.

Discussion

In China, KD is the most detrimental and widely distributed endemic cardiomyopathy. In an observational epidemiological study and from population-based intervention trial results, it was concluded that Se deficiency is the critical etiological factor for KD (28–31). An early population-based clinical study showed that a low selenium level was associated with cardiovascular outcomes (32). In a recent prospective cohort study of patients with coronary artery disease, the individual baseline serum selenium concentration was inversely associated with mortality of acute coronary syndrome. Low serum selenium was considered independent of classic risk factors, including biomarkers of necrosis and LVEF, of acute coronary syndrome (33). In an animal study, Se deficiency was associated with evident worsening of cardiac functional parameters and cardiac hypertrophy, associated with a marked decrease of GPx activity in cardiac tissue (34). In the present study, the deterioration of cardiac function in rats receiving a low-Se diet by plasma BNP and echocardiographic determinations was determined. The results demonstrated that the serum BNP level, LVEDD and LVESD increased, and LVEF and LVFS decreased in low-Se-diet treated rats. These results were in accordance with those in the above studies.

Increasing evidence has confirmed miRNA as one of the most significant and critical factors controlling gene expression. Thus far, miRNAs have been noted to play an extremely important role in cardiac development, homeostasis and pathobiology (35,36). Although miRNAs function as endogenous intracellular regulators of mRNA translation, they can be detected in circulating blood or its components in a markedly stable form and, therefore, should be considered as disease biomarkers, for instance, in cardiovascular diseases (37,38). A series of significant advances have been found in the research of cardiac hypertrophy (39), congenital heart disease (40), heart failure (41,42), arrhythmia (43), arterial atherosclerosis (44) and hypertension (45), and miRNAs have become a current interest for international cardiovascular research. However, no research has been reported regarding miRNAs and KD thus far. Therefore, the miRNAs expression profile in rats with Se deficiency was evaluated. In comparison to those of Se supplementation and normal Se supply, the microarray revealed a set of differentially expressed miRNAs, 5 significantly upregulated and 3 significantly downregulated, in the rats with Se deficiency. Evaluation of miR-374, miR-16, miR-199a-5p, miR-195, miR-30e*, miR-3571, miR-675 and miR-450a* further validated the reliability of micoarray hybridization.

Molecular mechanisms underlying cardiac dysfunction caused by Se deficiency should be intensively studied. Wnt signaling is required for various features of cardiac and vascular development, such as myocardial specification, cardiac morphogenesis and cardiac valve formation, as well as endothelial and vascular smooth muscle cell proliferation (46). Defective Wnt signaling can lead to various cardiac and vascular abnormalities. Wnt signaling activity is quite low under normal conditions in the adult heart and blood vessels. However, during the pathological cardiac remodeling induced by pressure overload, in injured arteries and following myocardial infarction, this pathway is reactivated. Genetically modified animal models have shown that inhibition of Wnt signaling results in increased angiogenesis, improved infarct healing and an attenuated hypertrophic response of the heart, indicating that pharmacological inhibition of Wnt signaling provided a novel therapeutic strategy to prevent excessive cardiac and vascular remodeling (47). The β-catenin gene is a critical component of the Wnt signaling, where it transmits extracellular Wnt signals to the nucleus. The level of β-catenin in the cytoplasm and nucleus is tightly regulated. In the absence of the Wnt signal, cytoplasmic β-catenin is maintained at a low level through ubiquitin-mediated proteasomal degradation, which is controlled by the destruction complex consisting of glycogen synthase kinase 3b/adenomatous polyposis coli/Axin. Upon receiving Wnt signals, cell degradation of β-catenin by the destruction complex and ubiquitin-proteasome complex is inhibited, resulting in accumulation of β-catenin in the cytoplasm and translocation into the nucleus. β-catenin heterodimerizes with members of the TCF/LEF transcription factors to activate transcription of the target genes in the nucleus. The nuclear translocation of β-catenin is involved in epithelial-mesenchymal transformation, which is an initial and critical step in fibrosing processes, including pulmonary fibrosis and myocardial infarction repair (48,49). Zelarayán et al (50) found that β-catenin depletion was beneficial in postinfarction LV remodeling partly through enhanced differentiation of α-MHCpos cardiac resident progenitor cells. Downregulation of β-catenin improved cardiac function following experimental infarction. The study indicated that endogenous cardiac regeneration contributes to LV remodeling following chronic ischemia through differentiation of resident precursor cells, amplified by β-catenin downregulation (50). In the present study, selenium deficiency was demonstrated to result in cardiac dysfunction by increasing the expression of Wnt and β-catenin, however, following selenium supplementation cardiac function partially recovery and Wnt and β-catenin expression decreased compared to the LS group. Therefore, the Wnt/β-catenin signaling pathway may be involved in the process of cardiac function deterioration.

In conclusion, Se deficiency is associated with eight miRNAs: miR-374, miR-16, miR-199a-5p, miR-195, miR-30e*, miR-3571, miR-675 and miR-450a*. Their wide range of actions may regulate cardiac function. The expression of miR-374 was the highest, which may be significant in rats with selenium deficiency. The possible mechanism of cardiac dysfunction was associated with the Wnt/β-catenin signaling pathway. These findings not only highlight the incidence of cardiac dysfunction caused by Se deficiency, but also facilitate access to a novel therapeutic strategy from a molecular level against cardiac dysfunction and offer insight into its progression.

Acknowledgements

The present study was supported by the Natural Science Foundation of China (NSFC) (grant no. 30972557). The company Genminix provided technical assistance.

References

1 

Ge K, Xue A, Bai J and Wang S: Keshan disease-an endemic cardiomyopathy in China. Virchows Arch A Pathol Anat Histopathol. 401:1–15. 1983. View Article : Google Scholar : PubMed/NCBI

2 

Oster O, Prellwitz W, Kasper W and Meinertz T: Congestive cardiomyopathy and the selenium content of serum. Clin Chim Acta. 128:125–132. 1983. View Article : Google Scholar : PubMed/NCBI

3 

de Lorgeril M, Salen P, Accominotti M, Cadau M, Steghens JP, Boucher F and de Leiris J: Dietary and blood antioxidants in patients with chronic heart failure. Insights into the potential importance of selenium in heart failure. Eur J Heart Fail. 3:661–669. 2001. View Article : Google Scholar : PubMed/NCBI

4 

Arroyo M, Laguardia SP, Bhattacharya SP, Nelson MD, Johnson PL, Carbone LD, et al: Micronutrients in African-Americans with decompensated and compensated heart failure. Transl Res. 148:301–308. 2006. View Article : Google Scholar : PubMed/NCBI

5 

Witte KK, Nikitin NP, Parker AC, von Haehling S, Volk HD, Anker SD, et al: The effect of micronutrient supplementation on quality-of-life and left ventricular function in elderly patients with chronic heart failure. Eur Heart J. 26:2238–2244. 2005. View Article : Google Scholar : PubMed/NCBI

6 

Djuranovic S, Nahvi A and Green R: A parsimonious model for gene regulation by miRNAs. Science. 331:550–553. 2011. View Article : Google Scholar : PubMed/NCBI

7 

Ambros V: The functions of animal microRNAs. Nature. 431:350–355. 2004. View Article : Google Scholar : PubMed/NCBI

8 

Viader A, Chang LW, Fahrner T, Nagarajan R and Milbrandt J: MicroRNAs modulate Schwann cell response to nerve injury by reinforcing transcriptional silencing of dedifferentiation-related genes. J Neurosci. 31:17358–17369. 2011. View Article : Google Scholar : PubMed/NCBI

9 

Roldo C, Missiaglia E, Hagan JP, Falconi M, Capelli P, Bersani S, et al: MicroRNA expression abnormalities in pancreatic endocrine and acinar tumors are associated with distinctive pathologic features and clinical behavior. J Clin Oncol. 24:4677–4684. 2006. View Article : Google Scholar : PubMed/NCBI

10 

Zhao JJ, Hua YJ, Sun DG, Meng XX, Xiao HS and Ma X: Genome-wide microRNA profiling in human fetal nervous tissues by oligonucleotide microarray. Childs Nerv Syst. 22:1419–1425. 2006. View Article : Google Scholar : PubMed/NCBI

11 

Bhanot P, Brink M, Samos CH, Hsieh JC, Wang Y, Macke JP, et al: A new member of the frizzled family from Drosophila functions as a Wingless receptor. Nature. 382:225–230. 1996. View Article : Google Scholar : PubMed/NCBI

12 

Tamai K, Semenov M, Kato Y, Spokony R, Liu C, Katsuyama Y, et al: LDL-receptor-related proteins in Wnt signal transduction. Nature. 407:530–535. 2000. View Article : Google Scholar : PubMed/NCBI

13 

Kishida S, Yamamoto H, Ikeda S, Kishida M, Sakamoto I, Koyama S and Kikuchi A: Axin, a negative regulator of the wnt signaling pathway, directly interacts with adenomatous polyposis coli and regulates the stabilization of beta-catenin. J Biol Chem. 273:10823–10826. 1998. View Article : Google Scholar : PubMed/NCBI

14 

Sakanaka C, Weiss JB and Williams LT: Bridging of beta-catenin and glycogen synthase kinase-3beta by axin and inhibition of beta-catenin-mediated transcription. Proc Natl Acad Sci USA. 95:3020–3023. 1998. View Article : Google Scholar : PubMed/NCBI

15 

Behrens J, Jerchow BA, Wurtele M, Grimm J, Asbrand C, Wirtz R, et al: Functional interaction of an axin homolog, conductin, with beta-catenin, APC, and GSK3beta. Science. 280:596–599. 1998. View Article : Google Scholar : PubMed/NCBI

16 

Kawano Y and Kypta R: Secreted antagonists of the Wnt signalling pathway. J Cell Sci. 116:2627–2634. 2003. View Article : Google Scholar : PubMed/NCBI

17 

Cadigan KM: Wnt-beta-catenin signaling. Curr Biol. 18:R943–R947. 2008. View Article : Google Scholar : PubMed/NCBI

18 

Rao TP and Kuhl M: An updated overview on Wnt signaling pathways: a prelude for more. Circ Res. 106:1798–1806. 2010. View Article : Google Scholar : PubMed/NCBI

19 

Klaus A and Birchmeier W: Wnt signalling and its impact on development and cancer. Nat Rev Cancer. 8:387–398. 2008. View Article : Google Scholar : PubMed/NCBI

20 

Katoh M and Katoh M: Wnt signaling pathway and stem cell signaling network. Clin Cancer Res. 13:4042–4045. 2007. View Article : Google Scholar : PubMed/NCBI

21 

Dursun N, Taskin E, Yerer AM and Sahin L: Selenium-mediated cardioprotection against adriamycin-induced mitochondrial damage. Drug Chem Toxicol. 34:199–207. 2011. View Article : Google Scholar : PubMed/NCBI

22 

Gu L, Pandey V, Geenen DL, Chowdhury SA and Piano MR: Cigarette smoke-induced left ventricular remodelling is associated with activation of mitogen-activated protein kinases. Eur J Heart Fail. 10:1057–1064. 2008. View Article : Google Scholar : PubMed/NCBI

23 

Ma J, Qian J, Ge J, Zeng X, Sun A, Chang S, et al: Changes in left ventricular ejection fraction and coronary flow reserve after coronary microembolization. Arch Med Sci. 8:63–69. 2012. View Article : Google Scholar : PubMed/NCBI

24 

Jiang K, Shui Q, Xia Z and Yu Z: Changes in the gene and protein expression of K (ATP) channel subunits in the hippocampus of rats subjected to picrotoxin-induced kindling. Brain Res Mol Brain Res. 128:83–89. 2004. View Article : Google Scholar : PubMed/NCBI

25 

Zhang L, Yang M, Marks P, White LM, Hurtig M, Mi QS, Divine G and Gibson G: Serum non-coding RNAs as biomarkers for osteoarthritis progression after ACL injury. Osteoarthritis Cartilage. 20:1631–1637. 2012. View Article : Google Scholar : PubMed/NCBI

26 

Guo CJ, Pan Q, Li DG, Sun H and Liu BW: miR-15b and miR-16 are implicated in activation of the rat hepatic stellate cell: An essential role for apoptosis. J Hepatol. 50:766–778. 2009. View Article : Google Scholar : PubMed/NCBI

27 

Guan H, Song L, Cai J, Huang Y, Wu J, Yuan J, et al: Sphingosine kinase 1 regulates the Akt/FOXO3a/Bim pathway and contributes to apoptosis resistance in glioma cells. PLoS One. 6:e199462011. View Article : Google Scholar : PubMed/NCBI

28 

Chen J: An original discovery: selenium deficiency and Keshan disease (an endemic heart disease). Asia Pacific J Clin Nutr. 21:320–326. 2012.

29 

Xu GL: The effectiveness of sodium Selenite on prevention of acute attacks ofKeshan diseases. Chin Med J. 92:471–476. 1979.

30 

Chen X, Yang G, Chen J, Chen X, Wen Z and Ge K: Studies on the relationships of selenium and Keshan disease. Biol Trace Elem Res. 2:91–107. 1980. View Article : Google Scholar : PubMed/NCBI

31 

Li Q, Liu M, Hou J, Jiang C, Li S and Wang T: The prevalence of Keshan disease in China. Int J Cardiol. 168:1121–1126. 2013. View Article : Google Scholar

32 

Salonen JT, Alfthan G, Huttunen JK, Pikkarainen J and Puska P: Association between cardiovascular death and myocardial infarction and serum selenium in a matched-pair longitudinal study. Lancet. 2:175–179. 1982. View Article : Google Scholar : PubMed/NCBI

33 

Lubos E, Sinning CR, Schnabel RB, Wild PS, Zeller T, Rupprecht HJ, et al: Serum selenium and prognosis in cardiovascular disease: results from the AtheroGene study. Atherosclerosis. 209:271–277. 2010. View Article : Google Scholar :

34 

Lymbury RS, Marino MJ and Perkins AV: Effect of dietary selenium on the progression of heart failure in the ageing spontaneously hypertensive rat. Mol Nutr Food Res. 54:1436–1444. 2010. View Article : Google Scholar : PubMed/NCBI

35 

Latronico MV and Condorelli G: MicroRNAs and cardiac pathology. Nat Rev Cardiol. 6:419–429. 2009. View Article : Google Scholar : PubMed/NCBI

36 

Porrello ER: microRNAs in cardiac development and regeneration. Clin Sci (Lond). 125:151–166. 2013. View Article : Google Scholar

37 

Van Aelst LN and Heymans S: MicroRNAs as biomarkers for ischemic heart disease. J Cardiovasc Transl Res. 6:458–470. 2013. View Article : Google Scholar : PubMed/NCBI

38 

Nabialek E, Wanha W, Kula D, Jadczyk T, Krajewska M, Kowalowka A, et al: Circulating microRNAs (miR-423-5p, miR-208a and miR-1) in acute myocardial infarction and stable coronary heart disease. Minerva Cardioangiol. 61:627–637. 2013.PubMed/NCBI

39 

Sayed D, Hong C, Chen IY, Lypowy J and Abdellatif M: MicroRNAs play an essential role in the development of cardiac hypertrophy. Circ Res. 100:416–424. 2007. View Article : Google Scholar : PubMed/NCBI

40 

Xing HJ, Li YJ, Ma QM, Wang AM, Wang JL, Sun M, et al: Identification of microRNAs present in congenital heart disease associated copy number variants. Eur Rev Med Pharmacol Sci. 17:2114–2120. 2013.PubMed/NCBI

41 

Melman YF, Shah R and Das S: MicroRNAs in heart failure: is the picture becoming less miRky? Circ Heart Fail. 7:203–214. 2014. View Article : Google Scholar : PubMed/NCBI

42 

Oliveira-Carvalho V, Da SM, Guimaraes GV, Bacal F and Bocchi EA: MicroRNAs: new players in heart failure. Mol Biol Rep. 40:2663–2670. 2013. View Article : Google Scholar

43 

Kim GH: MicroRNA regulation of cardiac conduction and arrhythmias. Transl Res. 161:381–392. 2013. View Article : Google Scholar : PubMed/NCBI

44 

Madrigal-Matute J, Rotllan N, Aranda JF and Fernández-Hernando C: MicroRNAs and atherosclerosis. Curr Atheroscler Rep. 15:3222013. View Article : Google Scholar : PubMed/NCBI

45 

Kontaraki JE, Marketou ME, Zacharis EA, Parthenakis FI and Vardas PE: Differential expression of vascular smooth muscle-modulating microRNAs in human peripheral blood mononuclear cells: novel targets in essential hypertension. J Hum Hypertens. 28:5410–516. 2014. View Article : Google Scholar

46 

Gessert S and Kühl M: The multiple phases and faces of wnt signaling during cardiac differentiation and development. Circ Res. 107:186–199. 2010. View Article : Google Scholar : PubMed/NCBI

47 

van de Schans VA, Smits JF and Blankesteijn WM: The Wnt/frizzled pathway in cardiovascular development and disease: friend or foe? Eur J Pharmacol. 585:338–345. 2008. View Article : Google Scholar : PubMed/NCBI

48 

Blankesteijn WM, van Gijn ME, Essers-Janssen YP, Daemen MJ and Smits JF: Beta-catenin, an inducer of uncontrolled cell proliferation and migration in malignancies, is localized in the cytoplasm of vascular endothelium during neovascularization after myocardial infarction. Am J Pathol. 157:877–883. 2000. View Article : Google Scholar : PubMed/NCBI

49 

Chilosi M, Poletti V, Zamò A, Lestani M, Montagna L, Piccoli P, et al: Aberrant Wnt/beta-catenin pathway activation in idiopathic pulmonary fibrosis. Am J Pathol. 162:1495–1502. 2003. View Article : Google Scholar : PubMed/NCBI

50 

Zelarayán LC, Noack C, Sekkali B, Kmecova J, Gehrke C, Renger A, et al: Beta-Catenin downregulation attenuates ischemic cardiac remodeling through enhanced resident precursor cell differentiation. Proc Natl Acad Sci USA. 105:19762–19767. 2008. View Article : Google Scholar : PubMed/NCBI

Related Articles

  • Abstract
  • View
  • Download
  • Twitter
Copy and paste a formatted citation
Spandidos Publications style
Xing Y, Liu Z, Yang G, Gao D and Niu X: MicroRNA expression profiles in rats with selenium deficiency and the possible role of the Wnt/β‑catenin signaling pathway in cardiac dysfunction. Int J Mol Med 35: 143-152, 2015.
APA
Xing, Y., Liu, Z., Yang, G., Gao, D., & Niu, X. (2015). MicroRNA expression profiles in rats with selenium deficiency and the possible role of the Wnt/β‑catenin signaling pathway in cardiac dysfunction. International Journal of Molecular Medicine, 35, 143-152. https://doi.org/10.3892/ijmm.2014.1976
MLA
Xing, Y., Liu, Z., Yang, G., Gao, D., Niu, X."MicroRNA expression profiles in rats with selenium deficiency and the possible role of the Wnt/β‑catenin signaling pathway in cardiac dysfunction". International Journal of Molecular Medicine 35.1 (2015): 143-152.
Chicago
Xing, Y., Liu, Z., Yang, G., Gao, D., Niu, X."MicroRNA expression profiles in rats with selenium deficiency and the possible role of the Wnt/β‑catenin signaling pathway in cardiac dysfunction". International Journal of Molecular Medicine 35, no. 1 (2015): 143-152. https://doi.org/10.3892/ijmm.2014.1976
Copy and paste a formatted citation
x
Spandidos Publications style
Xing Y, Liu Z, Yang G, Gao D and Niu X: MicroRNA expression profiles in rats with selenium deficiency and the possible role of the Wnt/β‑catenin signaling pathway in cardiac dysfunction. Int J Mol Med 35: 143-152, 2015.
APA
Xing, Y., Liu, Z., Yang, G., Gao, D., & Niu, X. (2015). MicroRNA expression profiles in rats with selenium deficiency and the possible role of the Wnt/β‑catenin signaling pathway in cardiac dysfunction. International Journal of Molecular Medicine, 35, 143-152. https://doi.org/10.3892/ijmm.2014.1976
MLA
Xing, Y., Liu, Z., Yang, G., Gao, D., Niu, X."MicroRNA expression profiles in rats with selenium deficiency and the possible role of the Wnt/β‑catenin signaling pathway in cardiac dysfunction". International Journal of Molecular Medicine 35.1 (2015): 143-152.
Chicago
Xing, Y., Liu, Z., Yang, G., Gao, D., Niu, X."MicroRNA expression profiles in rats with selenium deficiency and the possible role of the Wnt/β‑catenin signaling pathway in cardiac dysfunction". International Journal of Molecular Medicine 35, no. 1 (2015): 143-152. https://doi.org/10.3892/ijmm.2014.1976
Follow us
  • Twitter
  • LinkedIn
  • Facebook
About
  • Spandidos Publications
  • Careers
  • Cookie Policy
  • Privacy Policy
How can we help?
  • Help
  • Live Chat
  • Contact
  • Email to our Support Team