Spandidos Publications Logo
  • About
    • About Spandidos
    • Aims and Scopes
    • Abstracting and Indexing
    • Editorial Policies
    • Reprints and Permissions
    • Job Opportunities
    • Terms and Conditions
    • Contact
  • Journals
    • All Journals
    • Oncology Letters
      • Oncology Letters
      • Information for Authors
      • Editorial Policies
      • Editorial Board
      • Aims and Scope
      • Abstracting and Indexing
      • Bibliographic Information
      • Archive
    • International Journal of Oncology
      • International Journal of Oncology
      • Information for Authors
      • Editorial Policies
      • Editorial Board
      • Aims and Scope
      • Abstracting and Indexing
      • Bibliographic Information
      • Archive
    • Molecular and Clinical Oncology
      • Molecular and Clinical Oncology
      • Information for Authors
      • Editorial Policies
      • Editorial Board
      • Aims and Scope
      • Abstracting and Indexing
      • Bibliographic Information
      • Archive
    • Experimental and Therapeutic Medicine
      • Experimental and Therapeutic Medicine
      • Information for Authors
      • Editorial Policies
      • Editorial Board
      • Aims and Scope
      • Abstracting and Indexing
      • Bibliographic Information
      • Archive
    • International Journal of Molecular Medicine
      • International Journal of Molecular Medicine
      • Information for Authors
      • Editorial Policies
      • Editorial Board
      • Aims and Scope
      • Abstracting and Indexing
      • Bibliographic Information
      • Archive
    • Biomedical Reports
      • Biomedical Reports
      • Information for Authors
      • Editorial Policies
      • Editorial Board
      • Aims and Scope
      • Abstracting and Indexing
      • Bibliographic Information
      • Archive
    • Oncology Reports
      • Oncology Reports
      • Information for Authors
      • Editorial Policies
      • Editorial Board
      • Aims and Scope
      • Abstracting and Indexing
      • Bibliographic Information
      • Archive
    • Molecular Medicine Reports
      • Molecular Medicine Reports
      • Information for Authors
      • Editorial Policies
      • Editorial Board
      • Aims and Scope
      • Abstracting and Indexing
      • Bibliographic Information
      • Archive
    • World Academy of Sciences Journal
      • World Academy of Sciences Journal
      • Information for Authors
      • Editorial Policies
      • Editorial Board
      • Aims and Scope
      • Abstracting and Indexing
      • Bibliographic Information
      • Archive
    • International Journal of Functional Nutrition
      • International Journal of Functional Nutrition
      • Information for Authors
      • Editorial Policies
      • Editorial Board
      • Aims and Scope
      • Abstracting and Indexing
      • Bibliographic Information
      • Archive
    • International Journal of Epigenetics
      • International Journal of Epigenetics
      • Information for Authors
      • Editorial Policies
      • Editorial Board
      • Aims and Scope
      • Abstracting and Indexing
      • Bibliographic Information
      • Archive
    • Medicine International
      • Medicine International
      • Information for Authors
      • Editorial Policies
      • Editorial Board
      • Aims and Scope
      • Abstracting and Indexing
      • Bibliographic Information
      • Archive
  • Articles
  • Information
    • Information for Authors
    • Information for Reviewers
    • Information for Librarians
    • Information for Advertisers
    • Conferences
  • Language Editing
Spandidos Publications Logo
  • About
    • About Spandidos
    • Aims and Scopes
    • Abstracting and Indexing
    • Editorial Policies
    • Reprints and Permissions
    • Job Opportunities
    • Terms and Conditions
    • Contact
  • Journals
    • All Journals
    • Biomedical Reports
      • Information for Authors
      • Editorial Policies
      • Editorial Board
      • Aims and Scope
      • Abstracting and Indexing
      • Bibliographic Information
      • Archive
    • Experimental and Therapeutic Medicine
      • Information for Authors
      • Editorial Policies
      • Editorial Board
      • Aims and Scope
      • Abstracting and Indexing
      • Bibliographic Information
      • Archive
    • International Journal of Epigenetics
      • Information for Authors
      • Editorial Policies
      • Editorial Board
      • Aims and Scope
      • Abstracting and Indexing
      • Bibliographic Information
      • Archive
    • International Journal of Functional Nutrition
      • Information for Authors
      • Editorial Policies
      • Editorial Board
      • Aims and Scope
      • Abstracting and Indexing
      • Bibliographic Information
      • Archive
    • International Journal of Molecular Medicine
      • Information for Authors
      • Editorial Policies
      • Editorial Board
      • Aims and Scope
      • Abstracting and Indexing
      • Bibliographic Information
      • Archive
    • International Journal of Oncology
      • Information for Authors
      • Editorial Policies
      • Editorial Board
      • Aims and Scope
      • Abstracting and Indexing
      • Bibliographic Information
      • Archive
    • Medicine International
      • Information for Authors
      • Editorial Policies
      • Editorial Board
      • Aims and Scope
      • Abstracting and Indexing
      • Bibliographic Information
      • Archive
    • Molecular and Clinical Oncology
      • Information for Authors
      • Editorial Policies
      • Editorial Board
      • Aims and Scope
      • Abstracting and Indexing
      • Bibliographic Information
      • Archive
    • Molecular Medicine Reports
      • Information for Authors
      • Editorial Policies
      • Editorial Board
      • Aims and Scope
      • Abstracting and Indexing
      • Bibliographic Information
      • Archive
    • Oncology Letters
      • Information for Authors
      • Editorial Policies
      • Editorial Board
      • Aims and Scope
      • Abstracting and Indexing
      • Bibliographic Information
      • Archive
    • Oncology Reports
      • Information for Authors
      • Editorial Policies
      • Editorial Board
      • Aims and Scope
      • Abstracting and Indexing
      • Bibliographic Information
      • Archive
    • World Academy of Sciences Journal
      • Information for Authors
      • Editorial Policies
      • Editorial Board
      • Aims and Scope
      • Abstracting and Indexing
      • Bibliographic Information
      • Archive
  • Articles
  • Information
    • For Authors
    • For Reviewers
    • For Librarians
    • For Advertisers
    • Conferences
  • Language Editing
Login Register Submit
  • This site uses cookies
  • You can change your cookie settings at any time by following the instructions in our Cookie Policy. To find out more, you may read our Privacy Policy.

    I agree
Search articles by DOI, keyword, author or affiliation
Search
Advanced Search
presentation
International Journal of Molecular Medicine
Join Editorial Board Propose a Special Issue
Print ISSN: 1107-3756 Online ISSN: 1791-244X
Journal Cover
May-2018 Volume 41 Issue 5

Full Size Image

Sign up for eToc alerts
Recommend to Library

Journals

International Journal of Molecular Medicine

International Journal of Molecular Medicine

International Journal of Molecular Medicine is an international journal devoted to molecular mechanisms of human disease.

International Journal of Oncology

International Journal of Oncology

International Journal of Oncology is an international journal devoted to oncology research and cancer treatment.

Molecular Medicine Reports

Molecular Medicine Reports

Covers molecular medicine topics such as pharmacology, pathology, genetics, neuroscience, infectious diseases, molecular cardiology, and molecular surgery.

Oncology Reports

Oncology Reports

Oncology Reports is an international journal devoted to fundamental and applied research in Oncology.

Experimental and Therapeutic Medicine

Experimental and Therapeutic Medicine

Experimental and Therapeutic Medicine is an international journal devoted to laboratory and clinical medicine.

Oncology Letters

Oncology Letters

Oncology Letters is an international journal devoted to Experimental and Clinical Oncology.

Biomedical Reports

Biomedical Reports

Explores a wide range of biological and medical fields, including pharmacology, genetics, microbiology, neuroscience, and molecular cardiology.

Molecular and Clinical Oncology

Molecular and Clinical Oncology

International journal addressing all aspects of oncology research, from tumorigenesis and oncogenes to chemotherapy and metastasis.

World Academy of Sciences Journal

World Academy of Sciences Journal

Multidisciplinary open-access journal spanning biochemistry, genetics, neuroscience, environmental health, and synthetic biology.

International Journal of Functional Nutrition

International Journal of Functional Nutrition

Open-access journal combining biochemistry, pharmacology, immunology, and genetics to advance health through functional nutrition.

International Journal of Epigenetics

International Journal of Epigenetics

Publishes open-access research on using epigenetics to advance understanding and treatment of human disease.

Medicine International

Medicine International

An International Open Access Journal Devoted to General Medicine.

Journal Cover
May-2018 Volume 41 Issue 5

Full Size Image

Sign up for eToc alerts
Recommend to Library

  • Article
  • Citations
    • Cite This Article
    • Download Citation
    • Create Citation Alert
    • Remove Citation Alert
    • Cited By
  • Similar Articles
    • Related Articles (in Spandidos Publications)
    • Similar Articles (Google Scholar)
    • Similar Articles (PubMed)
  • Download PDF
  • Download XML
  • View XML
Article Open Access

The interplay of BMP4 and IL‑7 regulates the apoptosis of intestinal intraepithelial lymphocytes under conditions of ischemia̸reperfusion

  • Authors:
    • Binyu Luo
    • Kang Chen
    • Qi Feng
    • Weidong Xiao
    • Dan Ma
    • Hua Yang
    • Chaojun Zhang
  • View Affiliations / Copyright

    Affiliations: Department of General Surgery Two, Nanchong Central Hospital, The Second Clinical College of North Sichuan Medical University, Nanchong, Sichuan 637000, P.R. China, Department of General Surgery, Xinqiao Hospital, The Third Military Medical University, Chongqing 400037, P.R. China
    Copyright: © Luo et al. This is an open access article distributed under the terms of Creative Commons Attribution License.
  • Pages: 2640-2650
    |
    Published online on: February 9, 2018
       https://doi.org/10.3892/ijmm.2018.3480
  • Expand metrics +
Metrics: Total Views: 0 (Spandidos Publications: | PMC Statistics: )
Metrics: Total PDF Downloads: 0 (Spandidos Publications: | PMC Statistics: )
Cited By (CrossRef): 0 citations Loading Articles...

This article is mentioned in:



Abstract

The number and function of intestinal intraepithelial lymphocytes (IELs) have been found to be significantly reduced following induction of acute intestinal mucosal damage via intestinal ischemia̸reperfusion (I̸R). However, the mechanism underlying this reduction remains unclear. Therefore, it was hypothesized that the interplay of bone morphogenetic protein (BMP)4 and interleukin (IL)‑7 regulates IEL function and number. Recent studies have demonstrated that the different components of the BMP2̸4 signaling pathway are expressed in intestinal epithelial cells (IECs) via the activation of nuclear factor (NF)‑κB. In the present study, reverse transcription‑polymerase chain reaction analysis and flow cytometry demonstrated that IELs express BMP receptors (BMPRIA, BMPRIB, ActRIA and BMPRII) and non‑canonical signal transduction molecules (NF‑κB). an in vivo mouse intestinal I̸R model was used, and I̸R was shown to increase the expression of BMP4 in IECs and upregulate the expression levels of BMPRIA, BMPRIB and phosphorylated NF‑κB in IELs. Following isolation and culture of IELs, it was observed that exogenous BMP4 also upregulated the expression of BMPRIA and BMPRIB and activated NF‑κB signaling in IELs, inducing IEL apoptosis. In addition, the rate of apoptosis of IELs decreased following treatment with the BMP‑specific antagonist Noggin or with the NF‑κB inhibitor pyrrolidine dithiocarbamate. Furthermore, it was observed that exogenous IL‑7 can decrease BMP4 protein expression in IECs and the expression of phosphorylated NF‑κB protein in IELs. The findings of the present study suggest that, under conditions of I̸R, IEC‑derived BMP4 activates NF‑κB signaling in IELs, inducing IEL apoptosis, further aggravating the dysfunction of the intestinal mucosal barrier. However, these effects may be alleviated by IL‑7 treatment. Therefore, BMP4 and IL‑7 appear to be involved in the interaction between IECs and IELs and in the mechanism underlying intestinal mucosal barrier dysfunction.

Introduction

Intestinal ischemia/reperfusion (I/R) injury is a common clinical event that occurs during surgery for abdominal aortic aneurysm, mesenteric artery occlusion, small bowel transplantation, cardiopulmonary bypass, strangulated hernias, trauma, and shock (1). Acute intestinal ischemia is a life-threatening emergency that is associated with substantial morbidity and mortality (2). However, the exact mechanism involved in the pathogenesis of acute intestinal ischemia has not yet been clearly defined. The intestinal mucosal barrier is a complex entity comprising different structural, mechanical, physical, immune, biological and chemical components, among others. Due to the presence of intestinal epithelial cells (IECs) and intestinal intraepithelial lymphocytes (IELs) in the intestinal mucosa, the epithelial layer is a key factor that determines the barrier function of the intestinal mucosa (3,4). IELs mainly consist of T cells, which are interspersed among the IECs in the small intestine; there are ~20 IELs for every 100 IECs in the small intestine (5). IELs play an important role in the maintenance of mucosal homeostasis, as they form the first line of immune defense against invasion, while they also preserve the integrity of the mucosal barrier (6). I/R-induced acute intestinal mucosal damage significantly promotes apoptosis of IELs and affects the phenotype and function of IELs (7). The immune function of IELs may be regulated by IECs. In order for the intestinal barrier to function properly, there must be communication between the IELs and the IECs, which is initiated through the activation of IECs by direct contact or through the effects of secreted factors on IELs, maintaining their growth and metabolism. However, the mechanism underlying this dialogue remains unclear (8).

Bone morphogenetic proteins (BMPs) play a pivotal role in the patterning and cellular fate of numerous tissues and organs, including the intestinal mucosal epithelium (9). Over 30 BMPs have been reported, and they all belong to the larger transforming growth factor (TGF)-β family. BMP signaling includes the canonical Smad signaling pathway and the non-canonical mitogen-activated protein kinase and nuclear factor (NF)-κB signaling pathways (10). BMPs are primarily found in epithelial cells (ECs) in the intestinal mucosal barrier. It was previously reported that the abundance of BMP2, BMP4 and BMP receptors at the protein level was greater in the total parenteral nutrition (TPN) group compared with that in the control (11). In addition, hypoxia and I/R were found to increase the expression of BMP2/4 and upregulated the expression of the BMP receptors BMPRIA and BMPRII in an in vivo mouse intestinal I/R model. I/R also activated the NF-κB signaling pathway, which led to increased levels of inflammatory factors, such as tumor necrosis factor (TNF)-α and interleukin (IL)-6; this in turn aggravated the damage to the intestinal mucosal barrier (12). Therefore, the expression of BMP4 was increased in the intestinal mucosal epithelial cells under simulated stress conditions. Moreover, BMP2/4 signaling is involved in thymocyte development (13), and it has been reported that it directly regulates fetal T-cell development through BMPRIA. Additionally, use of the specific BMP antagonist NOGGIN revealed that BMP2/4 signaling is a negative regulator of fetal T-cell development (14). BMP4 treatment of human-mouse fetal thymus organ culture resulted in a reduction in the recovery of human cells and the inhibition of CD34+ progenitor cell proliferation and differentiation (15). NF-κB signaling proteins comprise a family of pleiotropic transcription factors that are involved in the embryonic development of various organs, inflammation, the immune response, cell survival, proliferation and differentiation (16). Additionally, it was determined that NF-κB is activated within a few hours after I/R, leading to upregulation of inflammatory proteins (17).

IL-7 is produced by stromal cell components in the bone marrow, thymus and in peripheral lymphoid compartments, and is a master regulator of T-cell development and homeostasis (18,19). IL-7 binds to the IL-7R heterodimer, which is composed of the IL-7-specific IL-7R α-chain (CD127) and the γc-chain (CD132). IL-7 induces CD127, which is linked to the activation of the janus kinase/signal transducer and activator of transcription 5 (STAT5) signaling pathway. This pathway is crucial for cell survival and the upregulation of anti-apoptotic Bcl-2 proteins, which maintain T-cell homeostasis and prevent the progression of inflammation (20,21). IL-7 signaling and the CD127 receptor were found to maintain the balance of regulatory T cells in vivo (22). In the intestine, IL-7 is produced by IECs and, in turn, IL-7 receptors (CD127 and CD132) have been detected on IELs (23). The IL-7/IL-7R signaling pathway plays a key role in the regulation of IELs (24), as IL-7 has been demonstrated to increase the numbers and functional capacity of IELs. It was previously demonstrated that TPN results in loss of IEC-derived IL-7, which leads to a marked weakening in the function and phenotype of IELs (25,26). IL-7 produced in the thymus is also essential for the development of IELs (27). Therefore, IL-7/IL-7R signaling appears to be crucial for the maintenance of the function and growth of IELs.

It was reported that the interplay of BMP4 and IL-7 is key to the maintenance of the human thymic progenitor population. BMP4 downregulates the expression of CD127 in the precursor cell population, which leads to a reduction in the proliferation and differentiation of CD34+ progenitor cells. In addition, IL-7 stimulates the expansion and differentiation of intrathymic precursors (13,15). Therefore, it was hypothesized that the interplay between BMP4 and IL-7 regulates the number and function of IELs following I/R. Our data indicated that IELs express functional BMP receptors. BMP proteins activate the NF-κB signaling pathway, which increases apoptosis, but they also inhibit apoptosis induced by IL-7/IL-7R signaling and maintain the number of IELs, indicating that the interplay between the BMP4 and IL-7 signaling pathways is important in the dialogue between IECs and IELs.

Materials and methods

Preparation of test substances

Anti-p-NF-κB-PE (cat. no. 9401S; 1:50) was purchased from Cell Signaling Technology, Inc. (Boston, MA, USA). Anti-CD45-APC (cat. no. MHCD4527; 1:200), anti-BMPRIA-FITC (cat. no. 11-7301-34; 1:150), anti-BMPRIB-FITC (cat. no. 11-6587-72; 1:150) and anti-CD127-Alexa Fluor 488 (cat. no. 53-1271-80; 1:100) were purchased from eBioscience (San Diego, CA, USA). The anti-GAPDH antibody (cat. no. 10494-1-AP; 1:5,000) was purchased from the ProteinTech group, Inc. (Chicago, IL, USA), whereas anti-BMP4 (cat. no. sc-6267; 1:500), anti-IL7 (cat. no. sc-365306; 1:500) and anti-BMPRIA (cat. no. sc-293175; 1:200) were purchased from Santa Cruz Biotechnology, Inc. (Santa Cruz, CA, USA). Recombinant BMP4 protein (cat. no. 315-27; 30 ng/ml) and recombinant murine IL-7 protein (cat. no. 217-17; 2 ng/ml) were both purchased from ProteinTech Group, Inc. Pyrrolidine dithiocarbamate (PDTC; cat. no. S1808; 30 ng/ml), an inhibitor of NF-κB, was purchased from Beyotime Institute of Biotechnology (Wuhan, China).

Cell culture

IEC-6 IECs were purchased from the American Type Culture Collection (Manassas, VA, USA) and were grown in Dulbecco's modified Eagle's medium (Hyclone, Logan, UT, USA) supplemented with 10% fetal bovine serum (FBS; Gibco; Thermo Fisher Scientific, Carlsbad, CA, USA), 100 IU/ml penicillin, and 100 mg/ml streptomycin. IEC-6 cells were cultured at 37°C under normoxic (5% Co2 and 20% O2) conditions (Thermo Fisher Scientific, Inc., Waltham, MA, USA). For the western blot analysis, IL-7 was added to the medium for 6 h.

Western blot analysis

The cells were washed twice with phosphate-buffered saline (PBS) prior to lysis in cold RIPA buffer [50 mM Tris, 150 mM NaCl, 1% Triton X-100, 1% sodium deoxycholate, 0.1% sodium dodecyl sulfate (SDS) and 2 mM sodium pyrophosphate]. The samples were then mixed with loading buffer and boiled for 5 min prior to electrophoresis. The proteins were loaded onto 8–10% SDS-PAGE gels and were subjected to electrophoresis at 100 V for 2 h. After electrophoresis, the proteins were electroblotted onto nitrocellulose membranes at 200 mA for 2 h. Non-specific binding was blocked by incubation in Tris-buffered saline (TBS) with 0.1% Tween-20 (TBS-T) and 5% skimmed milk. The transferred membranes were incubated overnight at 4°C with the following primary antibodies: Anti-BMP4 (1:500), anti-BMPRIA (1:200) and anti-GAPDH (1:5,000). After washing three times in TBS-T, the membranes were incubated with anti-rabbit IgG (cat. no. BA1001; Zhongshan Bio-Tech Co., Ltd., Beijing, China) conjugated to horseradish peroxidase at a dilution of 1:3,000 in TBS-T containing 5% skimmed milk for 1 h at 37°C. After three additional washes in TBS-T, the signals were visualized with the SuperSignal West Pico Trial kit (Pierce Biotechnology, Inc., Rockford, IL, USA) and detected with Image Station 4000R (Kodak, Rochester, NY, USA).

Animal experiments

Male C57BL/6 pathogen-free mice, aged 6–8 weeks (weight, 20–30 g), were purchased from the Laboratory Animal Center of the Third Military Medical University (Chongqing, China), and maintained in a temperature-, humidity- and light-controlled environment. The mice were randomly assigned to one of two groups (n=12/group), the first of which was the I/R group. Following intraperitoneal anesthesia with 40 mg/kg pentobarbital, the abdomen was opened at the midline, and the superior mesenteric artery was occluded for 30 min using non-traumatic vascular clamps, followed by predefined times of reperfusion. The second group was the sham group, which included animals that were subjected to anesthesia and laparotomy without ischemia. All mice were sacrificed after 6 h by CO2 asphyxiation. The jejunal part of the small intestine was cut along the longitudinal axis, washed in physiological saline, and immediately frozen in liquid nitrogen and stored at −70°C until use. The present study was approved by the Ethics Committee of Xinqiao Hospital, the Third Military Medical University. All animals were handled according to the guidelines for the Care and Use of Laboratory Animals (NIH publication no. 85–23, revised 1996).

Immunofluorescence analysis

In the present study, 10-µm frozen sections were cut from the jejunum and were fixed onto slides. After fixation in 4% formaldehyde for 20 min, the sections were incubated in 3% H2O2 for 30 min to quench endogenous peroxidase activity. Non-specific binding was blocked with 5% bovine serum albumin (BSA) in PBS for 30 min at room temperature. The sections were then incubated overnight at 4°C in 3% BSA in PBS with the following primary antibodies: Anti-BMP4 and anti-IL-7, at a dilution of 1:50. The sections were washed three times with BSA in PBS and were incubated with Alexa 488-conjugated goat anti-rabbit antibody for 1 h at RT. After the nuclei were stained with DAPI, images were captured and analyzed with a Leica TCSSP confocal imaging system (Leica, Heidelberg, Germany).

Isolation of IELs from the small intestine

The isolation of IELs was performed according to the protocol of Mosley and Klein (28). Briefly, the small bowel was placed in RPMI-1640 tissue culture media supplemented with 10% FBS (both from Gibco; Thermo Fisher Scientific). The sections were cut into 5-mm pieces, washed in an extraction buffer, and incubated in the same buffer with continuous brisk stirring at 37°C for 25 min. The supernatant was filtered rapidly through a glass wool column. After centrifugation, the pellets were purified in 40% isotonic Percoll (GE Healthcare Biosciences, Pittsburgh, PA, USA) and reconstituted in RPMI tissue culture media. The purity of the IELs was >95%, as assessed by trypan blue exclusion staining. Isolated IELs were counted with a Neubauer hemocytometer (Reichert Technologies, Buffalo, NY, USA).

IEL cell culture

IELs were isolated from the small intestine and grown in RPMI-1640 supplemented with 10% FBS, 100 IU/ml penicillin and 100 mg/ml streptomycin. The IELs were cultured at 37°C under normoxic (5% Co2 and 20% O2) conditions (Thermo Fisher Scientific, Inc.), and the viability of the IELs automatically decreased under culture without interference. For flow cytometry, BMP4, NOGGIN, PDTC and IL-7 were added to the medium for 6 h.

Flow cytometric analysis

The IEL phenotype was assessed with fluorescent antibody staining detected by flow cytometry. The following anti-mouse monoclonal antibodies were used: CD45-APC, BMPRIA-FITC, BMPRIB-FITC and CD127-Alexa Fluor 488. Isotype-matched, irrelevant antibodies were used as negative controls. The apoptotic ratios for the IELs in the different groups were measured by flow cytometry according to the manufacturer's instructions. Double staining for FITC-Annexin V binding and cellular DNA using propidium iodide were performed as described in the manufacturer's protocol. The acquisition and analysis were performed with MoFlo (Beckman Coulter, Brea, CA, USA).

Reverse trancsription-polymerase chain reaction (RT-PCR) analysis

Total RNA was isolated with TRIzol reagent (Takara Biotechnology Co., Ltd., Dalian, China). Single-stranded cDNA was synthesized with Moloney murine leukemia virus reverse transcriptase (Takara Biotechnology Co., Ltd.) and then used for PCR analysis. RT-PCR was performed with a SYBR PrimeScript RT kit according to the manufacturer's instructions (Takara Biotechnology Co., Ltd.). Amplifications were performed under the following conditions: 94°C for 5 min, followed by 35 cycles at 94°C for 30 sec, 59°C for 30 sec, and 72°C for 30 sec, followed by 72°C for 10 min in a PCR System 7500 (Applied Biosystems, Carlsbad, CA, USA). The following PCR primers were used: BMPRIA forward, 5′-CTTATTCTGCTGCTTGTGGTC-3′ and reverse, 5′-AGCGGTTAGACACGATTGG-3′; BMPRIB forward, 5′-AGGGTCAGATTTTCAATGTCG-3′ and reverse, 5′-GAGGTCGGGCTTCTTGTCT-3′; BMPRII forward, 5′-GATACAGAATGTTGACAGGAGACAGG-3′ and reverse, 5′-GGAAATTGCAGGTTTGTAATGATCTC-3′; ActRIA forward, 5′-GGTTCCCAATGACCCAAGTTT-3′ and reverse, 5′-CGAGCGAGGTTAGGGTGGTT-3′; p-NF-κB forward, 5′-CCTCGGGACAAACAGCCTC-3′ and reverse, 5′-CACGGCGCGCTAAAGTAAAG-3′; IKb forward, 5′-CCTCACCCTTCCCCAATAAT-3′ and reverse, 5′-GTGTGAATGGTGCCTGTGAC-3′; β-actin forward, 5′-ACCGTGAAAAGATGACCCAGATC-3′ and reverse, 5′-GCCACAGGATTCCATACCCAG-3′; RT-qPCR products were directly loaded onto non-denaturing 2% agarose gels, stained with SYBR Safe (Invitrogen Life Technologies; Thermo Fisher Scientific, Carlsbad, CA, USA), and visualized under UV transillumination. The specificity of the primers was determined by sequencing the amplification products.

Statistical analysis

Statistical analyses were performed with SPSS 13.0 statistical software (SPSS Inc., Chicago, IL, USA). All data are expressed as the means ± standard deviation. The results were analyzed using analysis of variance. Statistical significance was defined as P<0.05.

Results

The BMP signaling pathway is functionally active in IELs

It has been previously reported that IEC dysfunction induced by BMP2/4 activates NF-κB signaling following I/R (12). In a similar manner, the inhibition of CD34+ progenitor cell differentiation under stimulation of the BMP2/4 signaling pathway has also been demonstrated (15). To determine whether BMP4 signaling also activates NF-κB signaling in IELs, it was first demonstrated by flow cytometry that the purity of IELs isolated from the small intestine of mice reached 94.5%, as shown in Fig. 1A. RT-PCR analysis demonstrated that IELs expressed three type I BMP receptors (BMPRIA, BaMPRIB and ActRIA), as well as one type II BMP receptor (BMPRII). Similarly, IELs expressed specific RNA for p-NF-κB (IKKβ), as shown in Fig. 1B. The flow cytometric analysis revealed that the IELs expressed BMPRIA (4.24±0.37%), BMPRIB (12.8±0.67%), and phosphorylated NF-κB (P65) (7.14±1.36%), as shown in Fig. 1C. Therefore, it may be hypothesized that BMP binds to BMP receptors and activates NF-κB signaling in IELs of the small intestine.

Figure 1

Intraepithelial lymphocytes (IELs) express bone morphogenetic protein (BMP) signaling pathway proteins. (A) Flow cytometric analysis of the purity of IELs that were isolated from the small intestine of mice. (B) Reverse transcription-polymerase chain reaction analysis of the expression of different components of the BMP signaling pathway in isolated IELs. Band sizes are indicated. H2o served as the negative control. (C) Surface expression of type I BMP receptors and phosphorylated nuclear factor (NF)-κB in IELs. The percentage of positive cells are shown in each histogram. Red curves indicate background staining. The results are representative of three independent experiments.

I/R induces an increase the expression of BMP4 in IECs and upregulates BMP receptors and the phosphorylation of NF-κB in IELs

A previous study revealed more severe destruction of the intestinal morphology and some changes in protein secretion 6 h after I/R (29); moreover, the expression of the BMP4 protein was determined in IECs. The protein level of BMP4 in IECs was analyzed by immunofluorescence in the I/R group compared with the sham group, and the expression level of BMP4 was found to be markedly increased in IECs, as shown in Fig. 2A. Moreover, it was recently reported that I/R significantly altered IEL-derived cytokine expression in IELs (7). To better understand the changes in BMP receptors and NF-κB signaling in IELs following I/R, flow cytometry was performed and it demonstrated that the expression of BMPRIA, BMPRIB and phosphorylated NF-κB increased following I/R (BMPRIA, 12.66±0.91%; BMPRIB, 16.70±2.22%; and p-NF-κB, 8.56±2.87%), as shown in Fig. 2B. These data suggest that I/R induces expression of IEC-derived BMP4 and activation of NF-κB signaling in IELs.

Figure 2

The bone morphogenetic protein (BMP) signaling pathway is activated in intestinal epithelial cells and intraepithelial lymphocytes (IELs) following ischemia/reperfusion (I/R). (A) The level of BMP4 protein (red) expression significantly increased in the mid-to-distal villus region after 6 h of I/R, according to immunofluorescence staining. (B) The expression levels of the type I BMP receptor and phosphorylated nuclear factor (p-NF)-κB were both significantly increased after 6 h of I/R in IELs. *P<0.05, 3-4 mice/group; the results are representative of three independent experiments.

Exogenous BMP4 regulates the NF-κB signaling pathway in IELs

The primary BMP receptors include two type I receptors (BMPRIA and BMPRIB) and one type II receptor (BMPRII). Typically, BMP4 binds to BMPRIA and BMPRIB, both of which have a high-affinity binding site for BMP4 (9). To determine whether the activation of NF-κB signaling in IELs involves IEC-derived BMP4, IELs from the small intestines of mice were isolated and cultured. It was observed that the protein levels of BMPRIA, BMPRIB and phosphorylated NF-κB were highly upregulated in IELs that were cultured in the presence of BMP4 (30 ng/ml), as assessed by flow cytometry (BMPRIA, 9.88±0.56%; BMPRIB, 15.00±1.42%; and p-NF-κB, 11.33±1.45%). However, this effect was abolished by the BMP-specific antagonist NOGGIN (30 ng/ml), as shown in Fig. 3. Therefore, it is hypothesized that I/R induces the activation of NF-κB signaling in IELs, possibly through IEC-derived BMP4.

Figure 3

Activation of nuclear factor (NF)-κB signaling by bone morphogenetic protein (BMP)4 stimulation in intraepithelial lymphocytes (IELs). Flow cytometry determined the expression of the BMP type I receptor and phosphorylated NF-κB in IELs in culture. Following treatment with BMP4 for 6 h, the expression of the BMP type I receptor and phosphorylated NF-κB was significantly increased compared with that in the control group. NOGGIN partially decreased the expression of the BMP type I receptor, as well as NF-κB transcriptional activity. The results are representative of three independent experiments. P<0.05.

BMP4/NF-κB signaling enhances the apoptosis of IELs cells

The effects of BMP4 on apoptosis of IELs were next evaluated following addition of exogenous recombinant BMP4 to the IEL cultures. Although the viability of the IELs decreased from 94.5 to 45% under without interference cultured, it was also observed that BMP4 induces IELs to undergo apoptosis (13.20±2.25%). Activation of NF-κB in IELs by IEC-derived BMP4 (30 ng/ml) was observed. The blockade of BMP activity by the BMP antagonist NOGGIN (30 ng/ml), or by PDTC (30 ng/ml), resulted in a marked decrease in IEL apoptosis, as shown in Fig. 4. Therefore, these results strongly suggest that IEC-derived BMP4 activates NF-κB signaling in IELs, which leads to enhanced IEL apoptosis.

Figure 4

Bone morphogenetic protein (BMP)4 induces intraepithelial lymphocytes (IELs) to undergo apoptosis. Intestinal IELs were examined by flow cytometry for markers of apoptosis (FITC-Annexin V and PI). FITC-Annexin V+/PI+ indicates late apoptosis, FITC-Annexin V+/PI− indicates early apoptosis, and FITC-Annexin V−/PI− indicates live cells. The extent of apoptosis of IELs after treatment with BMP4 for 6 h was then determined. The expression of FITC-Annexin V+/PI+ IELs in the BMP4 group was significantly higher compared with that in the control group, but these effects were decreased by treatment with NOGGIN or pyrrolidine dithiocarbamate (PDTC). P<0.05, 3-4 mice/group; each experiment was repeated three times.

I/R induces a decrease the expression of IL-7 in IECs and downregulates the expression of IL-7Rα/CD127 and phosphorylated STAT5 in IELs

IEC-derived IL-7 plays a key role in the regulation of the development and homeostasis of neighboring IELs. IL-7 was also shown to significantly affect the phenotype and function of IELs, and caused an increase in the number of IELs (30). In a previous study, an decrease in IL-7 expression was confirmed in an intestinal I/R mouse model (31). In addition, by immunofluorescence analysis, a decreased expression of IL-7 in the cytoplasm of IECs after I/R was also confirmed compared with sham animals. Moreover, it has been reported that IL-7Rα/CD127 may induce the phosphorylation of STAT5, which acts to maintain T-cell homeostasis and prevents the progression of inflammation. To better understand CD127 and the changes in phosphorylation of STAT5 in IELs after I/R, flow cytometric analysis was performed and revealed that CD127 expression and the phosphorylation of STAT5 decreased after I/R (CD127, 12.87±1.32%; and p-STAT5, 6.48±1.23%), as shown in Fig. 5. These data suggest that the IL-7/CD127 signaling pathway is inhibited in IECs after I/R, further aggravating the deterioration of intestinal barrier function.

Figure 5

The interleukin (IL)-7̸CD127 signaling pathway is downregulated in intestinal epithelial cells and intraepithelial lymphocytes (IELs) following ischemia/reperfusion (I/R). (A) The expression level of the IL-7 protein (green) was significantly decreased in the mid-to-distal villus region after 6 h of I/R according to immunofluorescence staining. (B) The expression levels of phosphorylated CD127 and STAT5 were both significantly downregulated after 6 h of I/R in IELs. *P<0.05, 3-4 mice/group; the results are representative of three independent experiments.

IL-7 inhibits BMP4, which induces the apoptosis of IELs

It is a known fact that the interaction between BMP4 and IL-7 maintains the balance of proliferation and differentiation in CD34+ cells. To establish whether the interaction between BMP4 and IL-7 regulates the number of IELs, exogenous BMP4 (30 ng/ml) and IL-7 (2 ng/ml) proteins were added to cultured IELs for 6 h. Flow cytometry demonstrated that treatment with IL-7 reduced the extent of apoptosis of IELs (11.1±0.93%), and enhanced the apoptosis of IELs in the presence of BMP4 (11.8±0.47%). Of note, no difference in the apoptosis of IELs in the presence of BMP4 combined with IL-7 stimulation was observed compared with the control group, as shown in Fig. 6. These results indicate that IEC-derived IL-7 signaling promotes the survival of IELs and neutralizes IEC-derived BMP4, which promotes the apoptosis of IELs following I/R.

Figure 6

Inhibition of bone morphogenetic protein (BMP)4 induces the apoptosis of intraepithelial lymphocytes (IELs) that has been stimulated by interleukin (IL)-7. Flow cytometry and apoptosis markers (FITC-Annexin V and PI) were used to examine IEL apoptosis after treatment with BMP4, IL-7 or BMP4 + IL-7 for 6 h. The expression of FITC-Annexin V+/PI+ IELs in the IL-7 treatment group was significantly lower compared with that in the control group, whereas the expression of FITC-Annexin V+/PI+ IELs in the BMP4 treatment group was significantly higher compared with that in the control group. However, the expression of FITC-Annexin V+/PI+ IELs in the BMP4 + IL-7 treatment group exhibited no changes compared with the control group. Each experiment was repeated three times; 4-5 mice/group. P<0.05.

IL-7 downregulates the BMP/NF-κB signaling pathway in IECs and in IELs

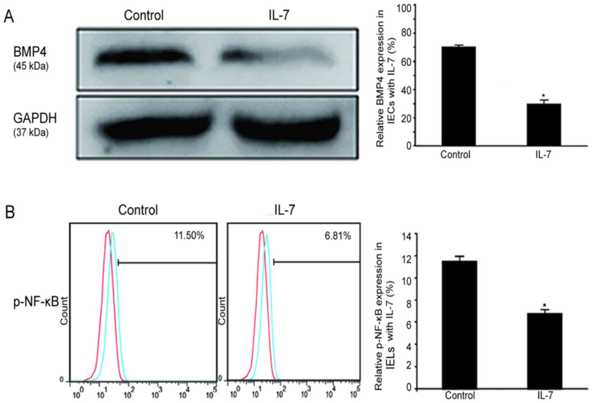
To determine how to delay the induction of IEL apoptosis by BMP4 in the presence of IL-7, the expression of BMP4 in IECs under IL-7 protein (2 ng/ml) stimulation was evaluated by western blot analysis. The expression level of BMP4 was found to be significantly decreased, as shown in Fig. 7A. Moreover, flow cytometry revealed that the expression of phosphorylated NF-κB protein was downregulated as a result of IL-7 (2 ng/ml) stimulation in IELs in culture (5.18±1.12%), as shown in Fig. 7B. NF-κB signaling is known to increase the levels of inflammatory factors. It was hypothesized that IL-7 downregulates BMP4 and the phosphorylation of NF-κB, thereby decreasing the expression of inflammatory factors to prevent the apoptosis of IELs.

Figure 7

Interleukin (IL)-7 downregulates the bone morphogenetic protein (BMP) signaling pathway in intestinal epithelial cells (IECs) and intraepithelial lymphocytes (IELs). (A) Western blot analysis was used to determine the expression of BMP4 in IEC-6 cells following treatment with IL-7 for 6 h. The expression of BMP4 was significantly decreased compared with that in the control group. (B) Flow cytometry, was used to detect the phosphorylation of nuclear factor (NF)-κB following treatment with IL-7 for 6 h. The expression of phosphorylated NF-κB was significantly decreased compared with that in the control group. Each experiment was repeated three times; 4-5 mice/group. *P<0.05 vs. control. GAPDH, glyceraldehyde 3-phosphate dehydrogenase.

BMP4 regulates the IL-7/CD127 signaling pathway in IECs and IELs

The majority of studies have demonstrated the role of IL-7 in T-cell homeostasis, in that CD127 induces STAT5 activation. The expression levels of CD127 were found to be highly downregulated in BMP4-treated CD34+ cells (15). Therefore, it was hypothesized that BMP4 promotes the apoptosis of IELs by downregulating CD127 in intestinal mucosal epithelial cells. Western blot analysis revealed that BMP4 (30 ng/ml) decreased the expression of the IL-7 protein in IECs, as shown in Fig. 8A. The expression level of CD127 dictates the levels of IL-7, which affect T-cell sensitivity (22). However, the expression of CD127 and the phosphorylation of STAT5 were downregulated in IELs that were cultured in the presence of BMP4 (30 ng/ml) (CD127, 7.30±0.48%; and p-STAT5, 4.77±1.77%), but these effects were abolished with the application of NOGGIN (30 ng/ml), as shown in Fig. 8B. Therefore, it was hypothesized that BMP4 reduces IL-7 and IEL sensitivity through the downregulation of CD127 and the expression of phosphorylated STAT5, which would in turn negatively affect the number and function of IELs.

Figure 8

Bone morphogenetic protein (BMP)4 regulates the interleukin (IL)-7α/CD127 signaling pathway in intestinal epithelial cells (IECs) and intraepithelial lymphocytes (IELs). (A) Western blot analysis determined the expression of IL-7 in IEC-6 cells following treatment with BMP4 for 6 h. The IL-7 level was significantly decreased compared with that in the control group. (B) Flow cytometry, was used to detect the expression of CD127 and phosphorylated signal transducer and activator of transcription (STAT)5 proteins following treatment with BMP4 for 6 h. The levels of CD127 and phosphorylated STAT5 proteins were significantly decreased compared with those in the control group. Each experiment was repeated three times; 4-5 mice/group. *P<0.05 for control vs. treatment with BMP4 alone; **P<0.05 for control vs. the BMP4 + NOGGIN group. GAPDH, glyceraldehyde 3-phosphate dehydrogenase.

Discussion

The present study demonstrated that IEC-derived BMP4 activates the NF-κB signaling pathway to promote apoptosis of IELs following I/R. IL-7 exerts these inhibitory effects by counteracting the actions of BMP4. Previous studies have investigated the roles of the BMP proteins in early intestinal development and in the proliferation and differentiation of IECs (32,33). We observed that the expression of BMP4 increases and that the expression of BMP receptors is also upregulated in IECs after hypoxia and I/R. BMP4 then activates NF-κB signaling, which leads to increased levels of inflammatory factors, such as TNF-α and IL-6. These factors can destroy the intestinal mucosal barrier, weakening its function (12). IEC-derived IL-7 plays a crucial role in the control of the development and homeostasis of neighboring IELs (23). Previous studies investigated the regulation of the population of progenitor cells in the human thymus and indicated that the balance between signals occurs as a result of the interplay between the BMP and IL-7 signaling pathways (15). However, the association between the interaction of the BMP and IL-7 signaling pathways and the regulation of IEL apoptosis following I/R has rarely been reported.

The BMP signaling pathway plays a critical role in inflammatory reactions (34,36). It was therefore hypothesized that the BMP signaling pathway contributes to the mechanisms that are involved in the promotion of apoptosis of IELs. The present study investigated the expression of BMP receptors (BMPRIA, BMPRIB, ActRIA and BMPRII) and phosphorylated NF-κB protein in IELs by RT-PCR and flow cytometry. Following I/R, IECs produce BMP4 abundantly, and IELs express increased levels of BMPRIA, BMPRIB and phosphorylated NF-κB proteins. Thus, the evidence suggests that BMP may activate NF-κB signaling in IELs after I/R. The addition of exogenous recombinant BMP4 to isolated and cultured IELs was found to directly activate NF-κB signaling, and this effect was weakened by the addition of the BMP-specific antagonist NOGGIN. It is known that an increase in the inflammatory cytokines IL-6 and TNF-α is mediated via the NF-κB signaling pathway (12) and, thus, flow cytometry was used and revealed that the addition of exogenous recombinant BMP4 promoted IEL apoptosis. This effect was attenuated in part by either the BMP-specific antagonist NOGGIN or the NF-κB inhibitor PDTC. The present study provides new evidence that, following I/R, BMP4 derived from IECs may bind to the BMP receptors on IELs. The phosphorylation of NF-κB allows for its translocation to the nucleus, so that it can trigger the transcription of genes that are involved in inflammatory cellular responses and other types of signaling (35). This, in turn, promotes the apoptosis of IELs. It was also recently confirmed that activating the canonical Smad signaling pathway promotes the apoptosis of IELs after I/R. However, the underlying mechanism requires further elucidation.

The administration of IEC-derived IL-7 protein significantly affects the function and phenotype of IELs. The IL-7-induced increase in the number of IELs may be associated with the increased rate of IEL proliferation observed by immunofluorescence; however, the expression level of the IL-7 protein was found to be decreased in IECs following I/R for 6 h. IL-7 affects T-cell sensitivity through the expression of CD127, and it is possible that the availability of IL-7 is limited in vivo (36,37). Moreover, IL-7 induces the phosphorylation of STAT5, which then translocates into the nucleus where it controls the expression of target genes that are involved in the survival and proliferation of T cells (38). It has been reported that BMP4 exerts an inhibitory effect on proliferation and differentiation and, thus counteracts the functions of IL-7 in human intrathymic CD34+ precursor cells (15). These effects are mediated by BMP4-induced downregulation of CD127 expression in CD34+ precursor cells. CD127 deletion caused a 30% reduction in the numbers of CD4+ and CD8+ T cells, which confirms a key role for IL-7R in the maintenance of peripheral T-cell survival (39). More importantly, other data directly indicate that BMP4 downregulates the level of CD127 and p-STAT5 expression in IELs in culture, which leads to a reduction in the sensitivity of IELs to IL-7. Therefore, BMP4 induces a decrease in the number of IELs and weakens IEL function. Based on these data, it may be inferred that IEC-derived BMP4 not only activates NF-κB signaling to induce IEL apoptosis, but also downregulates CD127 and p-STAT5 protein expression to shorten the survival of IELs. IEC-derived IL-7 directly affects the number and function of IELs; furthermore, it was observed that IL-7 protein expression decreases following BMP4 stimulation. It may thus be hypothesized that the decreasing expression of IL-7 was associated with the increasing expression of BMP4 in IECs following I/R. The reasons for this finding are not clear and require confirmation in future experiments.

The protein level of BMP4 in IECs, as well as the phosphorylation of NF-κB in IELs, were found to be significantly downregulated in the presence of IL-7. The addition of exogenous IL-7 markedly reversed BMP4-induced apoptosis of IELs. As a result, it may be inferred that IL-7 exerts protective effects in terms of the number and function of IELs through the downregulation of deleterious factors that are triggered by the BMP/NF-κB signaling pathways. This protective effect decreases IEL apoptosis after I/R, effectively preventing further deterioration of intestinal barrier function.

The regulation of NF-κB expression in developing T cells and the role of this pathway in selection and lineage determination is complex (16). Recent studies reported that basal nuclear NF-κB activity plays an important role in the transcription of CD127, which facilitates the responsiveness of naïve T cells to the prosurvival effects of IL-7 and allows for T-cell persistence in vivo (40). Additionally, a developmental function has been reported for NF-κB signaling in the homeostatic maturation of new T cells via the regulation of IL-7Rα expression (41). Our data revealed an increase the phosphorylation of NF-κB and decrease in IL-7/CD127 protein expression in IELs after I/R. However, whether there is an association between NF-κB and IL-7/CD127 remains unclear. Hence, it is recommended that the association between NF-κB and IL-7/CD127 is further investigated in a mouse model of I/R.

To the best of our knowledge, the present study is the first to report that BMP4 expression was increased in IECs and that IEC-derived BMP4 can directly activate NF-κB signaling and induce apoptosis of IELs following I/R. Additionally, IEC-derived IL-7 was shown to downregulate BMP4 signaling after I/R, which limits the extent of IEL apoptosis. This may result in the maintenance of the balance of the number of IELs and their function following I/R. All these effects indicate the importance of the interplay of BMP4 and IL-7 and the dialogue between IECs and IELs in the intergrity of the intestinal mucosal barrier.

Acknowledgments

The present study was supported by the National Natural Science Foundation of China (grant nos. NSFC 81071532 and 81370479 to C.J.Z.).

Notes

[1] Competing interests

The authors declare that they have no competing interests.

References

1 

Collard CD and Gelman S: Pathophysiology, clinical manifestations, and prevention of ischemia-reperfusion injury. Anesthesiology. 94:1133–1138. 2001. View Article : Google Scholar : PubMed/NCBI

2 

Grootjans J, Lenaerts K, Derikx JP, Matthijsen RA, de Bruïne AP, van Bijnen AA, van Dam RM, Dejong CH and Buurman WA: Human intestinal ischemia-reperfusion-induced inflammation characterized: experiences from a new translational model. Am J Pathol. 176:2283–2291. 2010. View Article : Google Scholar : PubMed/NCBI

3 

Andrade ME, Araújo RS, de Barros PA, Soares AD, Abrantes FA, Generoso SV, Fernandes SO and Cardoso VN: The role of immunomodulators on intestinal barrier homeostasis in experimental models. Clin Nutr. 34:1080–1087. 2015. View Article : Google Scholar : PubMed/NCBI

4 

Andres SF, Simmons JG, Mah AT, Santoro MA, Van Landeghem L and Lund PK: Insulin receptor isoform switching in intestinal stem cells, progenitors, differentiated lineages and tumors: evidence that IR-B limits proliferation. J Cell Sci. 126:5645–5656. 2013. View Article : Google Scholar : PubMed/NCBI

5 

Beagley KW, Fujihashi K, Lagoo AS, Lagoo-Deenadaylan S, Black CA, Murray AM, Sharmanov AT, Yamamoto M, McGhee JR, Elson CO, et al: Differences in intraepithelial lymphocyte T cell subsets isolated from murine small versus large intestine. J Immunol. 154:5611–5619. 1995.PubMed/NCBI

6 

Cheroutre H, Lambolez F and Mucida D: The light and dark sides of intestinal intraepithelial lymphocytes. Nat Rev Immunol. 11:445–456. 2011. View Article : Google Scholar : PubMed/NCBI

7 

Qiu Y, Yu M, Yang Y, Sheng H, Wang W, Sun L, Chen G, Liu Y, Xiao W and Yang H: Disturbance of intraepithelial lymphocytes in a murine model of acute intestinal ischemia̸reperfusion. J Mol Histol. 45:217–227. 2014. View Article : Google Scholar

8 

Qiu Y and Yang H: Effects of intraepithelial lymphocyte-derived cytokines on intestinal mucosal barrier function. J Interferon Cytokine Res. 33:551–562. 2013. View Article : Google Scholar : PubMed/NCBI

9 

Miyazono K, Kamiya Y and Morikawa M: Bone morphogenetic protein receptors and signal transduction. J Biochem. 147:35–51. 2010. View Article : Google Scholar

10 

Core AB, Canali S and Babitt JL: Hemojuvelin and bone morphogenetic protein (BMP) signaling in iron homeostasis. Front Pharmacol. 5:1042014. View Article : Google Scholar : PubMed/NCBI

11 

Zhang C, Feng Y, Yang H, Koga H and Teitelbaum DH: The bone morphogenetic protein signaling pathway is upregulated in a mouse model of total parenteral nutrition. J Nutr. 139:1315–1321. 2009. View Article : Google Scholar : PubMed/NCBI

12 

Chen K, Xie W, Luo B, Xiao W, Teitelbaum DH, Yang H, Zhang K and Zhang C: Intestinal mucosal barrier is injured by BMP2/4 via activation of NF-κB signals after ischemic reperfusion. Mediators Inflamm. 2014:9015302014. View Article : Google Scholar

13 

Yoshioka Y, Ono M, Osaki M, Konishi I and Sakaguchi S: Differential effects of inhibition of bone morphogenic protein (BMP) signalling on T-cell activation and differentiation. Eur J Immunol. 42:749–759. 2012. View Article : Google Scholar

14 

Hager-Theodorides AL, Ross SE, Sahni H, Mishina Y, Furmanski AL and Crompton T: Direct BMP2/4 signaling through BMP receptor IA regulates fetal thymocyte progenitor homeostasis and differentiation to CD4+CD8+ double-positive cell. Cell Cycle. 13:324–333. 2014. View Article : Google Scholar

15 

Varas A, Sacedón R, Hidalgo L, Martínez VG, Valencia J, Cejalvo T, Zapata A, Hernández-López C and Vicente A: Interplay between BMP4 and IL-7 in human intrathymic precursor cells. Cell Cycle. 8:4119–4126. 2009. View Article : Google Scholar : PubMed/NCBI

16 

Gerondakis S, Fulford TS, Messina L and Grumont RJ: NF-κB control of T cell development. Nat Immunol. 15:15–25. 2014. View Article : Google Scholar

17 

Fan Z, Jing H, Yao J, Li Y, Hu X, Shao H, Shen G, Pan J, Luo F and Tian X: The protective effects of curcumin on experimental acute liver lesion induced by intestinal ischemia-reperfusion through inhibiting the pathway of NF-κB in a rat model. Oxid Med Cell Longev. 2014:1916242014. View Article : Google Scholar

18 

Kim GY, Hong C and Park JH: Seeing is believing: illuminating the source of in vivo interleukin-7. Immune Netw. 11:1–10. 2011. View Article : Google Scholar : PubMed/NCBI

19 

Sprent J and Surh CD: Normal T cell homeostasis: the conversion of naive cells into memory-phenotype cells. Nat Immunol. 12:478–484. 2011. View Article : Google Scholar : PubMed/NCBI

20 

Chetoui N, Boisvert M, Gendron S and Aoudjit F: Interleukin-7 promotes the survival of human CD4+ effector/memory T cells by up-regulating Bcl-2 proteins and activating the JAK/STAT signalling pathway. Immunology. 130:418–426. 2010. View Article : Google Scholar : PubMed/NCBI

21 

Tal N, Shochat C, Geron I, Bercovich D and Izraeli S: Interleukin 7 and thymic stromal lymphopoietin: from immunity to leukemia. Cell Mol Life Sci. 71:365–378. 2014. View Article : Google Scholar

22 

Carrette F and Surh CD: IL-7 signaling and CD127 receptor regulation in the control of T cell homeostasis. Semin Immunol. 24:209–217. 2012. View Article : Google Scholar : PubMed/NCBI

23 

Monneret G, Villars-Méchin A, Demaret J, Foray AP and Venet F: Interleukin-7, a new immunoadjuvant for the treatment of septic shock. Med Sci (Paris). 30:160–165. 2014.In French. View Article : Google Scholar

24 

Geiselhart LA, Humphries CA, Gregorio TA, Mou S, Subleski J and Komschlies KL: IL-7 administration alters the CD4:CD8 ratio, increases T cell numbers, and increases T cell function in the absence of activation. J Immunol. 166:3019–3027. 2001. View Article : Google Scholar : PubMed/NCBI

25 

Cai YJ, Wang WS, Yang Y, Sun LH, Teitelbaum DH and Yang H: Up-regulation of intestinal epithelial cell derived IL-7 expression by keratinocyte growth factor through STAT1/IRF-1, IRF-2 pathway. PLoS one. 8:e586472013. View Article : Google Scholar : PubMed/NCBI

26 

Yang H, Gumucio DL and Teitelbaum DH: Intestinal specific overexpression of interleukin-7 attenuates the alternation of intestinal intraepithelial lymphocytes after total parenteral nutrition administration. Ann Surg. 248:849–856. 2008. View Article : Google Scholar : PubMed/NCBI

27 

Shitara S, Hara T, Liang B, Wagatsuma K, Zuklys S, Holländer GA, Nakase H, Chiba T, Tani-ichi S and Ikuta K: IL-7 produced by thymic epithelial cells plays a major role in the development of thymocytes and TCRγδ+ intraepithelial lymphocytes. J Immunol. 190:6173–6179. 2013. View Article : Google Scholar : PubMed/NCBI

28 

Mosley RL and Klein JR: A rapid method for isolating murine intestine intraepithelial lymphocytes with high yield and purity. J Immunol Methods. 156:19–26. 1992. View Article : Google Scholar : PubMed/NCBI

29 

Vollmar B and Menger MD: Intestinal ischemia/reperfusion: microcirculatory pathology and functional consequences. Langenbecks Arch Surg. 396:13–29. 2011. View Article : Google Scholar

30 

Ji T, Xu C, Sun L, Yu M, Peng K, Qiu Y, Xiao W and Yang H: Aryl hydrocarbon receptor activation down-regulates IL-7 and reduces inflammation in a mouse model of DSS-induced colitis. Dig Dis Sci. 60:1958–1966. 2015. View Article : Google Scholar : PubMed/NCBI

31 

Cai YJ, Wang WS, Liang HY, Sun LH, Teitelbaum DH and Yang H: Keratinocyte growth factor up-regulates interleukin-7 expression following intestinal ischemia/reperfusion in vitro and in vivo. Int J Clin Exp Pathol. 5:569–580. 2012.PubMed/NCBI

32 

Jain AP, Pundir S and Sharma A: Bone morphogenetic proteins: the anomalous molecules. J Indian Soc Periodontol. 17:583–586. 2013. View Article : Google Scholar : PubMed/NCBI

33 

Bandyopadhyay A, Yadav PS and Prashar P: BMP signaling in development and diseases: a pharmacological perspective. Biochem Pharmacol. 85:857–864. 2013. View Article : Google Scholar : PubMed/NCBI

34 

Bruun C, Christensen GL, Jacobsen ML, Kanstrup MB, Jensen PR, Fjordvang H, Mandrup-Poulsen T and Billestrup N: Inhibition of beta cell growth and function by bone morphogenetic proteins. Diabetologia. 57:2546–2554. 2014. View Article : Google Scholar : PubMed/NCBI

35 

Yan R, Li Y, Zhang L, Xia N, Liu Q, Sun H and Guo H: Augmenter of liver regeneration attenuates inflammation of renal ischemia/reperfusion injury through the NF-kappa B pathway in rats. Int Urol Nephrol. 47:861–868. 2015. View Article : Google Scholar : PubMed/NCBI

36 

Park JH, Yu Q, Erman B, Appelbaum JS, Montoya-Durango D, Grimes HL and Singer A: Suppression of IL7Ralpha transcription by IL-7 and other prosurvival cytokines: a novel mechanism for maximizing IL-7-dependent T cell survival. Immunity. 21:289–302. 2004. View Article : Google Scholar : PubMed/NCBI

37 

Henriques CM, Rino J, Nibbs RJ, Graham GJ and Barata JT: IL-7 induces rapid clathrin-mediated internalization and JAK3-dependent degradation of IL-7Ralpha in T cells. Blood. 115:3269–3277. 2010. View Article : Google Scholar : PubMed/NCBI

38 

Jiang Q, Li WQ, Aiello FB, Mazzucchelli R, Asefa B, Khaled AR and Durum SK: Cell biology of IL-7, a key lymphotrophin. Cytokine Growth Factor Rev. 16:513–533. 2005. View Article : Google Scholar : PubMed/NCBI

39 

Jacobs SR, Michalek RD and Rathmell JC: IL-7 is essential for homeostatic control of T cell metabolism in vivo. J Immunol. 184:3461–3469. 2010. View Article : Google Scholar : PubMed/NCBI

40 

Miller ML, Mashayekhi M, Chen L, Zhou P, Liu X, Michelotti M, Tramontini Gunn N, Powers S, Zhu X, Evaristo C, et al: Basal NF-κB controls IL-7 responsiveness of quiescent naïve T cells. Proc Natl Acad Sci USA. 111:7397–7402. 2014. View Article : Google Scholar

41 

Silva A, Cornish G, Ley SC and Seddon B: NF-κB signaling mediates homeostatic maturation of new T cells. Proc Natl Acad Sci USA. 111:E846–E855. 2014. View Article : Google Scholar

Related Articles

  • Abstract
  • View
  • Download
  • Twitter
Copy and paste a formatted citation
Spandidos Publications style
Luo B, Chen K, Feng Q, Xiao W, Ma D, Yang H and Zhang C: The interplay of BMP4 and IL‑7 regulates the apoptosis of intestinal intraepithelial lymphocytes under conditions of ischemia̸reperfusion. Int J Mol Med 41: 2640-2650, 2018.
APA
Luo, B., Chen, K., Feng, Q., Xiao, W., Ma, D., Yang, H., & Zhang, C. (2018). The interplay of BMP4 and IL‑7 regulates the apoptosis of intestinal intraepithelial lymphocytes under conditions of ischemia̸reperfusion. International Journal of Molecular Medicine, 41, 2640-2650. https://doi.org/10.3892/ijmm.2018.3480
MLA
Luo, B., Chen, K., Feng, Q., Xiao, W., Ma, D., Yang, H., Zhang, C."The interplay of BMP4 and IL‑7 regulates the apoptosis of intestinal intraepithelial lymphocytes under conditions of ischemia̸reperfusion". International Journal of Molecular Medicine 41.5 (2018): 2640-2650.
Chicago
Luo, B., Chen, K., Feng, Q., Xiao, W., Ma, D., Yang, H., Zhang, C."The interplay of BMP4 and IL‑7 regulates the apoptosis of intestinal intraepithelial lymphocytes under conditions of ischemia̸reperfusion". International Journal of Molecular Medicine 41, no. 5 (2018): 2640-2650. https://doi.org/10.3892/ijmm.2018.3480
Copy and paste a formatted citation
x
Spandidos Publications style
Luo B, Chen K, Feng Q, Xiao W, Ma D, Yang H and Zhang C: The interplay of BMP4 and IL‑7 regulates the apoptosis of intestinal intraepithelial lymphocytes under conditions of ischemia̸reperfusion. Int J Mol Med 41: 2640-2650, 2018.
APA
Luo, B., Chen, K., Feng, Q., Xiao, W., Ma, D., Yang, H., & Zhang, C. (2018). The interplay of BMP4 and IL‑7 regulates the apoptosis of intestinal intraepithelial lymphocytes under conditions of ischemia̸reperfusion. International Journal of Molecular Medicine, 41, 2640-2650. https://doi.org/10.3892/ijmm.2018.3480
MLA
Luo, B., Chen, K., Feng, Q., Xiao, W., Ma, D., Yang, H., Zhang, C."The interplay of BMP4 and IL‑7 regulates the apoptosis of intestinal intraepithelial lymphocytes under conditions of ischemia̸reperfusion". International Journal of Molecular Medicine 41.5 (2018): 2640-2650.
Chicago
Luo, B., Chen, K., Feng, Q., Xiao, W., Ma, D., Yang, H., Zhang, C."The interplay of BMP4 and IL‑7 regulates the apoptosis of intestinal intraepithelial lymphocytes under conditions of ischemia̸reperfusion". International Journal of Molecular Medicine 41, no. 5 (2018): 2640-2650. https://doi.org/10.3892/ijmm.2018.3480
Follow us
  • Twitter
  • LinkedIn
  • Facebook
About
  • Spandidos Publications
  • Careers
  • Cookie Policy
  • Privacy Policy
How can we help?
  • Help
  • Live Chat
  • Contact
  • Email to our Support Team