Spandidos Publications Logo
  • About
    • About Spandidos
    • Aims and Scopes
    • Abstracting and Indexing
    • Editorial Policies
    • Reprints and Permissions
    • Job Opportunities
    • Terms and Conditions
    • Contact
  • Journals
    • All Journals
    • Oncology Letters
      • Oncology Letters
      • Information for Authors
      • Editorial Policies
      • Editorial Board
      • Aims and Scope
      • Abstracting and Indexing
      • Bibliographic Information
      • Archive
    • International Journal of Oncology
      • International Journal of Oncology
      • Information for Authors
      • Editorial Policies
      • Editorial Board
      • Aims and Scope
      • Abstracting and Indexing
      • Bibliographic Information
      • Archive
    • Molecular and Clinical Oncology
      • Molecular and Clinical Oncology
      • Information for Authors
      • Editorial Policies
      • Editorial Board
      • Aims and Scope
      • Abstracting and Indexing
      • Bibliographic Information
      • Archive
    • Experimental and Therapeutic Medicine
      • Experimental and Therapeutic Medicine
      • Information for Authors
      • Editorial Policies
      • Editorial Board
      • Aims and Scope
      • Abstracting and Indexing
      • Bibliographic Information
      • Archive
    • International Journal of Molecular Medicine
      • International Journal of Molecular Medicine
      • Information for Authors
      • Editorial Policies
      • Editorial Board
      • Aims and Scope
      • Abstracting and Indexing
      • Bibliographic Information
      • Archive
    • Biomedical Reports
      • Biomedical Reports
      • Information for Authors
      • Editorial Policies
      • Editorial Board
      • Aims and Scope
      • Abstracting and Indexing
      • Bibliographic Information
      • Archive
    • Oncology Reports
      • Oncology Reports
      • Information for Authors
      • Editorial Policies
      • Editorial Board
      • Aims and Scope
      • Abstracting and Indexing
      • Bibliographic Information
      • Archive
    • Molecular Medicine Reports
      • Molecular Medicine Reports
      • Information for Authors
      • Editorial Policies
      • Editorial Board
      • Aims and Scope
      • Abstracting and Indexing
      • Bibliographic Information
      • Archive
    • World Academy of Sciences Journal
      • World Academy of Sciences Journal
      • Information for Authors
      • Editorial Policies
      • Editorial Board
      • Aims and Scope
      • Abstracting and Indexing
      • Bibliographic Information
      • Archive
    • International Journal of Functional Nutrition
      • International Journal of Functional Nutrition
      • Information for Authors
      • Editorial Policies
      • Editorial Board
      • Aims and Scope
      • Abstracting and Indexing
      • Bibliographic Information
      • Archive
    • International Journal of Epigenetics
      • International Journal of Epigenetics
      • Information for Authors
      • Editorial Policies
      • Editorial Board
      • Aims and Scope
      • Abstracting and Indexing
      • Bibliographic Information
      • Archive
    • Medicine International
      • Medicine International
      • Information for Authors
      • Editorial Policies
      • Editorial Board
      • Aims and Scope
      • Abstracting and Indexing
      • Bibliographic Information
      • Archive
  • Articles
  • Information
    • Information for Authors
    • Information for Reviewers
    • Information for Librarians
    • Information for Advertisers
    • Conferences
  • Language Editing
Spandidos Publications Logo
  • About
    • About Spandidos
    • Aims and Scopes
    • Abstracting and Indexing
    • Editorial Policies
    • Reprints and Permissions
    • Job Opportunities
    • Terms and Conditions
    • Contact
  • Journals
    • All Journals
    • Biomedical Reports
      • Information for Authors
      • Editorial Policies
      • Editorial Board
      • Aims and Scope
      • Abstracting and Indexing
      • Bibliographic Information
      • Archive
    • Experimental and Therapeutic Medicine
      • Information for Authors
      • Editorial Policies
      • Editorial Board
      • Aims and Scope
      • Abstracting and Indexing
      • Bibliographic Information
      • Archive
    • International Journal of Epigenetics
      • Information for Authors
      • Editorial Policies
      • Editorial Board
      • Aims and Scope
      • Abstracting and Indexing
      • Bibliographic Information
      • Archive
    • International Journal of Functional Nutrition
      • Information for Authors
      • Editorial Policies
      • Editorial Board
      • Aims and Scope
      • Abstracting and Indexing
      • Bibliographic Information
      • Archive
    • International Journal of Molecular Medicine
      • Information for Authors
      • Editorial Policies
      • Editorial Board
      • Aims and Scope
      • Abstracting and Indexing
      • Bibliographic Information
      • Archive
    • International Journal of Oncology
      • Information for Authors
      • Editorial Policies
      • Editorial Board
      • Aims and Scope
      • Abstracting and Indexing
      • Bibliographic Information
      • Archive
    • Medicine International
      • Information for Authors
      • Editorial Policies
      • Editorial Board
      • Aims and Scope
      • Abstracting and Indexing
      • Bibliographic Information
      • Archive
    • Molecular and Clinical Oncology
      • Information for Authors
      • Editorial Policies
      • Editorial Board
      • Aims and Scope
      • Abstracting and Indexing
      • Bibliographic Information
      • Archive
    • Molecular Medicine Reports
      • Information for Authors
      • Editorial Policies
      • Editorial Board
      • Aims and Scope
      • Abstracting and Indexing
      • Bibliographic Information
      • Archive
    • Oncology Letters
      • Information for Authors
      • Editorial Policies
      • Editorial Board
      • Aims and Scope
      • Abstracting and Indexing
      • Bibliographic Information
      • Archive
    • Oncology Reports
      • Information for Authors
      • Editorial Policies
      • Editorial Board
      • Aims and Scope
      • Abstracting and Indexing
      • Bibliographic Information
      • Archive
    • World Academy of Sciences Journal
      • Information for Authors
      • Editorial Policies
      • Editorial Board
      • Aims and Scope
      • Abstracting and Indexing
      • Bibliographic Information
      • Archive
  • Articles
  • Information
    • For Authors
    • For Reviewers
    • For Librarians
    • For Advertisers
    • Conferences
  • Language Editing
Login Register Submit
  • This site uses cookies
  • You can change your cookie settings at any time by following the instructions in our Cookie Policy. To find out more, you may read our Privacy Policy.

    I agree
Search articles by DOI, keyword, author or affiliation
Search
Advanced Search
presentation
International Journal of Molecular Medicine
Join Editorial Board Propose a Special Issue
Print ISSN: 1107-3756 Online ISSN: 1791-244X
Journal Cover
May-2018 Volume 41 Issue 5

Full Size Image

Sign up for eToc alerts
Recommend to Library

Journals

International Journal of Molecular Medicine

International Journal of Molecular Medicine

International Journal of Molecular Medicine is an international journal devoted to molecular mechanisms of human disease.

International Journal of Oncology

International Journal of Oncology

International Journal of Oncology is an international journal devoted to oncology research and cancer treatment.

Molecular Medicine Reports

Molecular Medicine Reports

Covers molecular medicine topics such as pharmacology, pathology, genetics, neuroscience, infectious diseases, molecular cardiology, and molecular surgery.

Oncology Reports

Oncology Reports

Oncology Reports is an international journal devoted to fundamental and applied research in Oncology.

Experimental and Therapeutic Medicine

Experimental and Therapeutic Medicine

Experimental and Therapeutic Medicine is an international journal devoted to laboratory and clinical medicine.

Oncology Letters

Oncology Letters

Oncology Letters is an international journal devoted to Experimental and Clinical Oncology.

Biomedical Reports

Biomedical Reports

Explores a wide range of biological and medical fields, including pharmacology, genetics, microbiology, neuroscience, and molecular cardiology.

Molecular and Clinical Oncology

Molecular and Clinical Oncology

International journal addressing all aspects of oncology research, from tumorigenesis and oncogenes to chemotherapy and metastasis.

World Academy of Sciences Journal

World Academy of Sciences Journal

Multidisciplinary open-access journal spanning biochemistry, genetics, neuroscience, environmental health, and synthetic biology.

International Journal of Functional Nutrition

International Journal of Functional Nutrition

Open-access journal combining biochemistry, pharmacology, immunology, and genetics to advance health through functional nutrition.

International Journal of Epigenetics

International Journal of Epigenetics

Publishes open-access research on using epigenetics to advance understanding and treatment of human disease.

Medicine International

Medicine International

An International Open Access Journal Devoted to General Medicine.

Journal Cover
May-2018 Volume 41 Issue 5

Full Size Image

Sign up for eToc alerts
Recommend to Library

  • Article
  • Citations
    • Cite This Article
    • Download Citation
    • Create Citation Alert
    • Remove Citation Alert
    • Cited By
  • Similar Articles
    • Related Articles (in Spandidos Publications)
    • Similar Articles (Google Scholar)
    • Similar Articles (PubMed)
  • Download PDF
  • Download XML
  • View XML
Article

GLP‑1R agonists ameliorate peripheral nerve dysfunction and inflammation via p38 MAPK/NF‑κB signaling pathways in streptozotocin‑induced diabetic rats

  • Authors:
    • Jingjing Ma
    • Min Shi
    • Xiangcheng Zhang
    • Xiaoning Liu
    • Juan Chen
    • Ridong Zhang
    • Xingzhou Wang
    • Hong Zhang
  • View Affiliations / Copyright

    Affiliations: Department of Endocrinology, Huai'an First People's Hospital, Nanjing Medical University, Huai'an, Jiangsu 223300, P.R. China
  • Pages: 2977-2985
    |
    Published online on: February 23, 2018
       https://doi.org/10.3892/ijmm.2018.3509
  • Expand metrics +
Metrics: Total Views: 0 (Spandidos Publications: | PMC Statistics: )
Metrics: Total PDF Downloads: 0 (Spandidos Publications: | PMC Statistics: )
Cited By (CrossRef): 0 citations Loading Articles...

This article is mentioned in:



Abstract

The present study aimed to investigate the mechanism of glucagon‑like peptide‑1 receptor (GLP‑1R) agonists in the progression of diabetic peripheral neuropathy (DPN) in streptozotocin (STZ)‑induced diabetic rats, through inflammatory signaling pathways. The DPN rat model was generated by intraperitoneal injection of STZ and then treated with the GLP‑1R agonist liraglutide or saline for 8 weeks. These animals were randomly divided into 4 groups (10 rats in each): The normal control + saline group, the normal control + liraglutide group, the diabetic + saline (DM) group and the diabetic + liraglutide (DML) group. The nerve conduction velocity (NCV) in the sciatic nerves of the rats was monitored over a period of 8 weeks. Peripheral serum was obtained for the measurement of blood glucose, tumor necrosis factor‑α (TNF‑α), interleukin‑6 (IL‑6) and IL‑1β level. The protein levels of phosphorylated (p‑) and total extracellular signal‑regulated kinase, c‑Jun NH2‑terminal kinases, p38 mitogen‑activated protein kinases (MAPK), and nuclear and cytoplasmic nuclear factor‑κB (NF‑κB) were measured through western blot analysis. Sciatic nerve mRNA expression levels of proinflammatory chemokines (TNF‑α, IL‑6 and IL‑1β), chemokines [monocyte chemoattractant protein‑1 (MCP‑1)], adhesion molecules [intercellular adhesion molecule 1 (ICAM‑1)], neurotrophic factors [neuritin, nerve growth factor (NGF) and neuron‑specific enolase (NSE)] and NADPH oxidase 4 (NOX4) were evaluated by reverse transcription-quantitative polymerase chain reaction. Subsequent to 8 weeks of treatment with liraglutide, the density of myelin nerve fibers was partially restored in the DML group. The delayed motor NCV and sensory NCV in the DML group were improved. The IOD value of NOX4 staining in the DML group (24.43±9.01) was reduced compared with that in the DM group (56.60±6.91). The levels of TNF‑α, IL‑1β and IL‑6 in the peripheral serum of the DML group were significantly suppressed compared with those of the DM group. It was also observed that the mRNA expression levels of TNF‑α, IL‑6, IL‑1β, MCP‑1, ICAM‑1 and NOX4 in the sciatic nerve were attenuated in the DML group. The mRNA expression of neuritin and NGF was significantly increased in the DML group compared with that of the DM group; NSE was reduced in the sciatic nerves of the DML group compared with that of the DM group. Additionally, the protein expression of p‑p38 MAPK and NF‑κB in the DML group was significantly suppressed. These data demonstrated that GLP‑1R agonists may prevent nerve dysfunction in the sciatic nerves of diabetic rats via p38 MAPK/NF‑κB signaling pathways independent of glycemic control. GLP‑1R agonists may be a useful therapeutic strategy for slowing the progression of DPN.

Introduction

Diabetic peripheral neuropathy (DPN) is the most common microvascular complication of diabetes, with an overall prevalence of 50–60%, and an association with high morbidity and mortality rates (1). DPN exhibits characteristics of progressive, distal-to-proximal peripheral nerve degeneration leading to pain and weakness, followed by loss of sensation (2). Despite the existence of various drugs that have anti-oxidative stress and neurotrophic factor properties, which have been shown to ameliorate DPN, the number of patients with the condition is increasing markedly worldwide (3–7). Therefore, there is a requirement to identify novel drugs and targets for alleviating DPN.

Glucagon-like peptide-1 receptor (GLP-1R) agonist, liraglutide, is a type of GLP-1 derivative that has a 97% homologous amino-acid sequence to GLP-1, with the addition of a fatty acid (8). Liraglutide has been established as a daily injectable treatment for type 2 diabetes mellitus, with effects including the stimulation of insulin secretion, the suppression of glucagon and a decrease in appetite (9). Recently, studies have revealed the that GLP-1R agonists can exhibit beneficial effects in the central and peripheral nervous systems, which may have therapeutic implications for treating diabetic neuropathy (10–12). However, the exact mechanisms involved remain under study. Persistent hyperglycemia is believed to activate oxidative stress and inflammatory pathways. The activation of inflammatory pathways can upregulate the gene expression of proinflammatory cytokines, and serve a critical role in the initiation and perpetuation of DPN (13,14). The involvement of oxidative stress has consistently been indicated in peripheral nerve demyelination and degeneration, increased sensory afferent excitability and neuropathic pain induction (1). The present study investigated whether liraglutide alleviates the severity of DPN by inhibiting inflammatory signaling pathways.

Materials and methods

Drugs and reagents

GLP-1R agonist liraglutide (batch no. CP51039) was purchased from Novo Nordisk Pharmaceutical Co., Ltd., (Beijing, China). Streptozotocin (STZ; cat. no. WXBB2432V) was obtained from Sigma-Aldrich; Merck KGaA (Darmstadt, Germany). Citric acid (cat. no. 20100830) was from Chengdu Kelong Chemical Reagent Factory (Chengdu, Sichuan, China) and trisodium citrate (cat. no. 2011092803) was purchased from Shanghai Real Chemical Reagent Co., Ltd. (Shanghai, China). Rat tumor necrosis factor-α (TNF-α; cat. no. 100335038), interleukin-1β (IL-1β; cat. no. 101064016) and IL-6 (cat. no. 100527031) platinum enzyme-linked immunosorbent assay (ELISA) reagents were obtained from Bender MedSystems GmbH (Vienna, Austria). The reverse transcription kit (cat. no. R011) was purchased from Takara Biotechnology Co., Ltd. (Dalian, China). Antibodies against phosphorylated (p)-extracellular signal-regulated kinases (ERK; Thr202/Tyr204), total ERK, p-c-Jun NH2-terminal kinases (JNK; Thr183/Tyr185), total JNK, p-p38 mitogen-activated protein kinase (MAPK; Tyr322), total p38 MAPK, p65 subunit of nuclear factor-κB (NF-κB p65), goat anti-rabbit, rabbit anti-mouse, glyceraldehyde 3-phosphate dehydrogenase (GAPDH) and Histone H3 were purchased from Cell Signaling Technology, Inc. (Danvers, MA, USA).

Experimental animals

Male Sprague-Dawley (SD) rats (n=40; 180–200 g weight, 8 weeks old) were purchased from Shanghai Sippr-BK Laboratory Animal Co., Ltd. (Shanghai, China). All rats were maintained under an environmentally controlled atmosphere (temperature, 23°C; relative humidity, 45%) and a 12 h light/12 h dark cycle. Rats received water and food freely and were allowed to acclimatize for 1 week before drugs injection. The specific pathogen-free SD rat certification number was SCXK(Hu) 2013–0016. All animal experiments were approved by the Ethics Committee of Animal Care of the Nanjing Medical University (Huai'an, Jiangsu, China), according to the Guidelines for Animal Experiments of the Chinese Academy of Medical Sciences. After 12 h of fasting, the fasting blood glucose (FPG) was monitored and selected <8.9 mmol/l FPG was selected as the rat model. Diabetic rats were then induced by intraperitoneal injection of a single dose of STZ at 60 mg/kg body weight, in an injection volume of 1 ml/100 g. After 72 h, STZ-injected rats with a blood glucose level of >16.65 mmol/l were selected as the diabetic animal model. The control group was injected with equal amounts of sterile citric acid/sodium citrate buffer. The animals were randomly divided into 4 groups (10 rats in each): The normal control + saline group (NC), the normal control + liraglutide group (NCL), the diabetic + saline (DM) group and the diabetic + liraglutide (DML) group. The NCL group and the DML group were treated with liraglutide at 200 µg/kg/day for 8 weeks. The NC group and the DM group were treated with saline at the same dose for 8 weeks. Blood glucose levels and body weight were monitored each week during the experiment. Tail vein blood was used for measuring the level of blood glucose by OneTouch® UltraVue™ (Johnson & Johnson Medical Companies, Shanghai, China). The diabetic animals were continuously fed for 8 weeks to generate animals with DPN.

Histological examination

The rats were anesthetized by peritoneal injection with 10% chloral hydrate (500 mg/kg) prior to sciatic nerve tissue samples being taken. Sciatic nerve tissue from the same rat was isolated after the NCV determination. Sciatic nerve tissue samples (sections 4 µm thick) were fixed in 10% formalin at 4°C for 24 h, dehydrated through a graduated ethanol series and embedded in paraffin blocks. The sciatic nerve sections were stained with H&E at room temperature. The staining procedure was as follows: The sections were deparaffinized, followed by 2 changes of xylene for 10 min each, re-hydration in 2 changes of absolute alcohol for 5 min each, then 95% alcohol and 70% alcohol for 2 min, and washing in distilled water. The sections were then stained in Harris' hematoxylin solution for 8 min and washed under running tap water for 5 min. This was followed by differentiation in 1% acid alcohol for 30 sec and washing under running tap water for 1 min, and then by bluing in 0.2% ammonia water for 30 sec, washing again for 5 min, rinsing in 95% alcohol, and counterstaining with eosin-phloxine solution for 30 sec. The setions were then dehydrated with 95% alcohol and absolute alcohol for 5 min each, followed by 2 changes of xylene for 5 min each. Finally, the setions were mounted with xylene-based mounting medium.

Morphological changes were observed under a Olympus DX45 microscope (Camera DP72; Olympus, Tokyo, Japan). Microscopic fields were randomly selected for observation in each paraffin section.

Measurement of serum proinflammatory cytokines by ELISA

The blood from the vena cava was drawn and then centrifuged at 3,000 rpm for 5 min to measure TNF-α, IL-1β and IL-6 levels were measured by enzyme-linked immunosorbent assay (ELISA) using a commercial kit according to the manufacturer's protocols.

Measurement of NCV

Nerve conduction velocity (NCV) was measured in the sciatic nerves of the rats. The rats were anesthetized by peritoneal injection with 10% chloral hydrate (500 mg/kg). Following disinfection of the right leg with alcohol, the stimulating and recording electrodes were placed. The sciatic nerve was stimulated with single supramaximal square wave pluses (1.2 V in intensity, 1 msec in width), using the Functional Experiment System (BL-420s; Taimeng, Sichuan, China). The distance between the two sites of stimulation was 6 mm. The distance (D) between the stimulating and recording electrodes, and the action potential latency (L) of the sciatic nerve were measured to calculate the motor NCV (MNCV) as follows: MNCV (m/sec)= D / L. For the determination of sensory NCV (SNCV), the recording site was located in the sciatic notch. SNCV was calculated in the same manner as the MNCV.

Western blot analysis

The sciatic nerve tissues were washed twice with cold PBS and lysed in an ice-cold cell lysis buffer which was supplemented with a Protease Inhibitor Cocktail (Roche, Basel, Switzerland) to extract the total protein. The protein concentration was determined using the bicinchoninic acid method. The total protein lysates were dissolved in the gel loading buffer and boiled for 5 min. Equal amounts of protein were subjected to SDS-PAGE electrophoresis on 10% gel and transferred to nitrocellulose membranes (EMD Millipore, Billerica, MA, USA). Immunodetection was performed using antibodies against NF-κBp65 (cat. no. 8242; 1:1,000), p-p38MAPK (cat. no. 8690; 1:1,000), p-ERK (cat. no. 4370; 1:1,000) and p-JNK (cat. no. 9251; 1:1,000). After overnight incubation with primary antibodies, the membranes were washed in Tris buffered saline with 0.1% Tween-20 (TBST), and then incubated in BLOTTO containing horseradish peroxidase-conjugated rabbit anti-mouse (cat. no. 58802; 1:8,000) and goat anti-rabbit (cat. no. 7074; 1:500) secondary antibodies (Nanjing Enogene Biotech. Co., Ltd.) for 1 h at room temperature. The blots were rinsed and proteins were visualized by enhanced chemiluminescence (ECL; EMD Millipore) and quantified by densitometry (Quantity One; Bio-Rad, Hercules, CA, USA). Membranes were stripped and reprobed with GAPDH (cat. no. 2118; 1:2000) to evaluate the lane-loading control. Histone-H3 (cat. no. 14269; 1:2,000), t-p38MAPK (cat. no. 2387; 1:1,000), t-ERK (cat. no. 4067; 1:1,000) and t-JNK (cat. no. 9252; 1:1,000) were used as loading controls. Results were expressed graphically as a ratio of phosphorylated to total protein.

Reverse transcription-quantitative polymerase chain reaction (RT-qPCR)

The mRNA transcripts were analyzed by qPCR of the sciatic nerve tissue. The RT-PCR reaction system (20 µl) was as follows: 10 µl SYBR Premix Ex Taq™ (2X), 0.4 µl PCR Forward Primer (10 µM), 0.4 µl PCR Reverse Primer (10 µM), 0.4 µl ROX Reference Dye (50X), 2.0 µl cDNA, 6.8 µl ddH2O. Total RNA was isolated using a standard TRIzol RNA isolation method (Invitrogen; Thermo Fisher Scientific, Inc., Waltham, MA, USA) following the manufacturer's protocols and was subjected to reverse transcription using Promega M-MLV reverse transcriptase (cat no. 9PIM170; Promega Corporation, Madison, WI, USA). SYBR-green qPCR was performed using a Bio-Rad iQ5 Real-Time PCR system according to the protocols provided with the SYBR Premix Ex Taq™ (Takara Biotechnology Co., Ltd.). The relative mRNA levels were normalized to the mRNA levels of β-actin and the fold-change of each mRNA was calculated using the 2−ΔΔCq method (15). Primer sequences for these biomarkers are as shown in Table I.

Table I

Primer sequence of different genes for reverse transcription-quantitative polymerase chain reaction.

Table I

Primer sequence of different genes for reverse transcription-quantitative polymerase chain reaction.

GenesPrimer sequences (5′–3′)
TNF-αF: GTCTGTGCCTCAGCCTCTTC
R: TGGAACTGATGAGAGGGAGC
IL-1βF: CACCTCTCAAGCAGAGCACAGA
R: ACGGGTTCCATGGTGAAGTC
IL-6F: TCCAGTTGCCTTCTTGGGAC
R: GTACTCCAGAAGACCAGAGG
ICAM-1F: AGGTATCCATCCATCCCACA
R: GCCACAGTTCTCAAAGCACA
MCP-1F: GTGCTGACCCCAATAAGGAA
R: TGAGGTGGTTGTGGAAAAGA
NeuritinF: GGGCGAAAGATATGTGGGAT
R: CGAGAGAGACACCAGGAGCA
NGFF: CTGGACCCAAGCTCACCTCA
R: GTGGATGAGCGCTTGCTCCT
NSEF: GAACTATCCTGTGGTCTCC
R: CGACATTGGCTGTGAACTTG
NOX4F: GAAGCCCATTTGAGGAGTCA
R: GGGTCCACAGCAGAAAACTC
β-actinF: ACGGGGTCACCCACACTGTGC
R: CTAGAAGCATTTGCGGTGGACGATG

[i] TNF-α, tumor necrosis factor-α; IL, interleukin; ICAM-1, inter-cellular adhesion molecule 1; MCP-1, monocyte chemoattractant protein-1; NGF, nerve growth factor; NSE, neuron-specific enolase; NOX4, NADPH oxidase 4; F, forward; R, reverse.

Statistical analysis

All statistical analyses were conducted using statistical analysis software (SPSS 18.0; IBMM, Armonk, NY, USA). Comparisons between groups were performed using either paired Student's t-tests or one-way analysis of variance, where indicated. Data are presented as the mean ± standard deviation. Differences were considered significant at values of P<0.05.

Results

Body weight and blood glucose level

At 8 weeks post-liraglutide treatment, the rats in the DM group exhibited an increased blood glucose level and decreased body weight compared with the rats in the NC group. Treatment with liraglutide did not alter body weight or blood sugar levels in the groups (Fig. 1).

Figure 1

Changes in body weight and blood glucose level in the 4 groups are presented over an 8-week period. (A and B) Body weight and glucose level changes in the NC, NCL, DM and DML groups. Data are expressed as the mean ± standard deviation of each group (n=6–10). **P<0.01 vs. the NC group. NC, normal control + saline group; NCL, normal control + liraglutide group; DM, diabetic + saline group; DML, diabetic + liraglutide group.

Histological analysis of DPN among groups

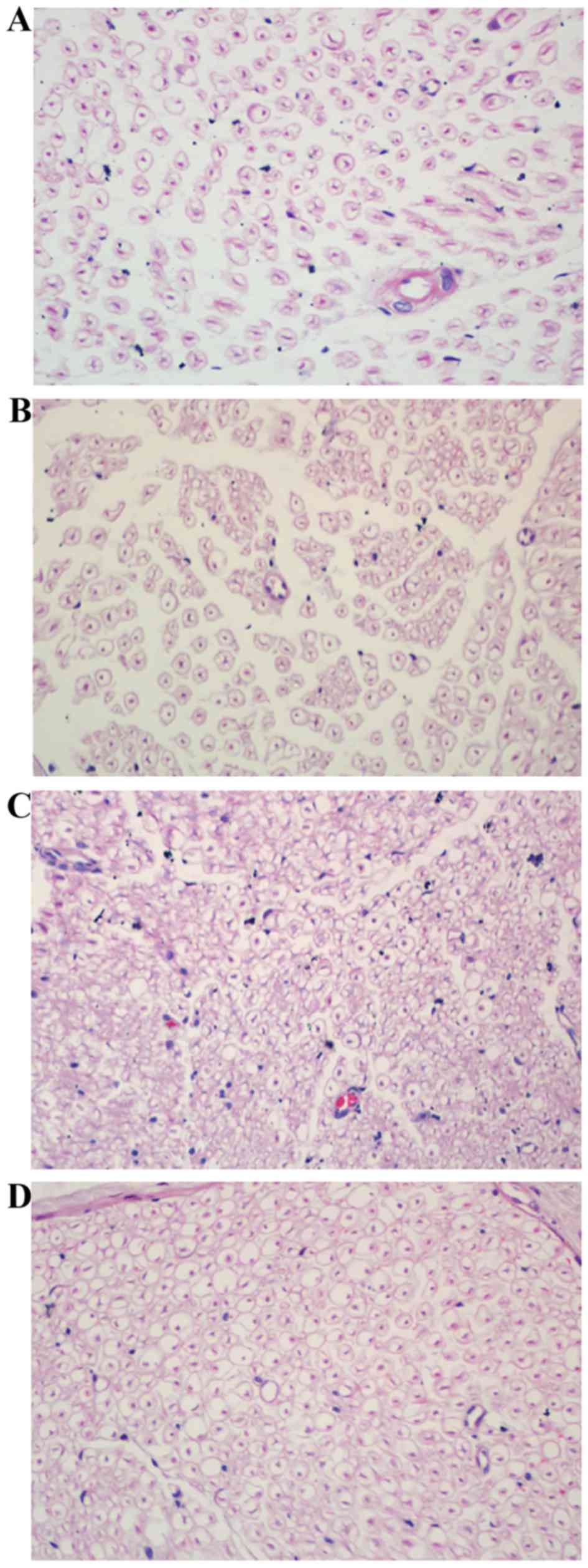
The myelin of the myelinated nerve fibers in the NC group and the NCL group appeared dense, round and uniform, with an ordered lamellar structure presenting with neither axonal shrinkage nor swelling (Fig. 2A and B). However, in the DM group, the myelin sheath was thin, loose and disorganized, with vacuolar-like defects (Fig. 2C). Following treatment with liraglutide for 8 weeks, the density of the myelin nerve fibers was partially restored in the DML group (Fig. 2D).

Figure 2

Histological alterations of hematoxylin and eosin-stained sciatic nerves (magnification, ×400). (A) The normal control + saline group; (B) the normal control + liraglutide group; (C) the diabetic + saline group; and (D) the diabetic + liraglutide group.

Liraglutide improves sciatic NCV

Sciatic nerve MNCV and SNCV of the 4 groups are presented in Fig. 3. The DM group exhibited significantly reduced MNCV and SNCV compared with the NC group (P<0.01). MNCV and SNCV were each significantly increased (P<0.01) in the DML compared with those in the DM group (Fig. 3).

Figure 3

(A) MNCV and (B) SNCV were measured at 8 weeks post-treatment with saline or liraglutide in each group. Data are presented as the mean + standard error of the mean (n=10). In the DM group, the MNCV and SNCV were significantly reduced compared with that in the NC group. In the DML group, the MNCV and SNCV were increased significantly compared with that in the DM group. **P<0.01 vs. the NC group; #P<0.05 vs. the DM group; ##P<0.01 vs. the DM group. NC, normal control + saline group; NCL, normal control + liraglutide group; DM, diabetic + saline group; DML, diabetic + liraglutide group; MNCV, motor nerve conduction velocity; SNCV, sensory nerve conduction velocity.

Liraglutide decreases the level of proinflammatory cytokines in serum and sciatic nerves

The results data showed a significant increase in serum proinflammatory cytokine (TNF-α, IL-6 and IL-1β) level in the DM group compared with that in rats of the NC and NCL groups. Following 8 weeks of treatment with liraglutide, the level of TNF-α, IL-1β and IL-6 in the peripheral serum of the DML group was significantly suppressed compared with that of the DM group (Table II). In addition, a similar phenomenon was observed at the gene level, where the mRNA expression of TNF-α, IL-6 and IL-1β was increased in the sciatic nerves of the rats in the DM group compared with that in the NC and NCL group. The mRNA expression levels of TNF-α, IL-6 and IL-1β in the sciatic nerves were attenuated in the DML group compared with that in the DM group (Fig. 4A–C). In the present study, it was also observed that the mRNA expression levels of MCP-1 and ICAM-1 were increased in the sciatic nerves of the DM group compared with that in the NC and NCL groups. Subsequent to liraglutide treatment, the mRNA expression levels of MCP-1 and ICAM-1 were decreased in the sciatic nerves of the DML group compared with that in the DM group (Fig. 4D and E).

Figure 4

mRNA expression levels of TNF-α, IL-6, IL-1β, ICAM-1 and MCP-1 were quantified in the sciatic nerve by quantitative polymerase chain reaction. The relative mRNA levels were normalized to the mRNA levels of β-actin and the fold-change of each mRNA was calculated using the 2−ΔΔCq method. (A) TNF-α; (B) IL-6; (C) IL-1β; (D) ICAM-1; and (E) MCP-1. **P<0.01 vs. the NC group; ##P<0.01 vs. the DM group. NC, normal control + saline group; NCL, normal control + liraglutide group; DM, diabetic + saline group; DML, diabetic + liraglutide group; TNF-α, tumor necrosis factor-α; IL, interleukin; ICAM-1, intercellular adhesion molecule 1; MCP-1, monocyte chemoattractant protein-1.

Table II

Serum proinflammatory cytokine levels of each group of rats treated with saline or liraglutide for 8 weeks.

Table II

Serum proinflammatory cytokine levels of each group of rats treated with saline or liraglutide for 8 weeks.

GroupsTNF-α, pg/mlIL-6, pg/mlIL-1β, pg/ml
NC86.10±6.61145.58±16.54248.65±120.27
NCL90.49±13.42151.10±25.81250.11±50.08
DM 134.40±27.87a 254.62±25.46a 530.68±65.78a
DML96.12±7.72b 166.80±28.15c 258.41±20.32c

{ label (or @symbol) needed for fn[@id='tfn2-ijmm-41-05-2977'] } Data are presented as the group mean ± standard deviation.

a P<0.01 vs. NC group;

b P<0.05 and

c P<0.01 vs. DM group. TNF-α, tumor necrosis factor-α; IL, interleukin; NC, normal control + saline group; NCL, normal control + liraglutide group; DM, diabetic + saline group; DML, diabetic + liraglutide group.

Liraglutide inhibits the expression of NOX4 in the rat sciatic nerve tissue

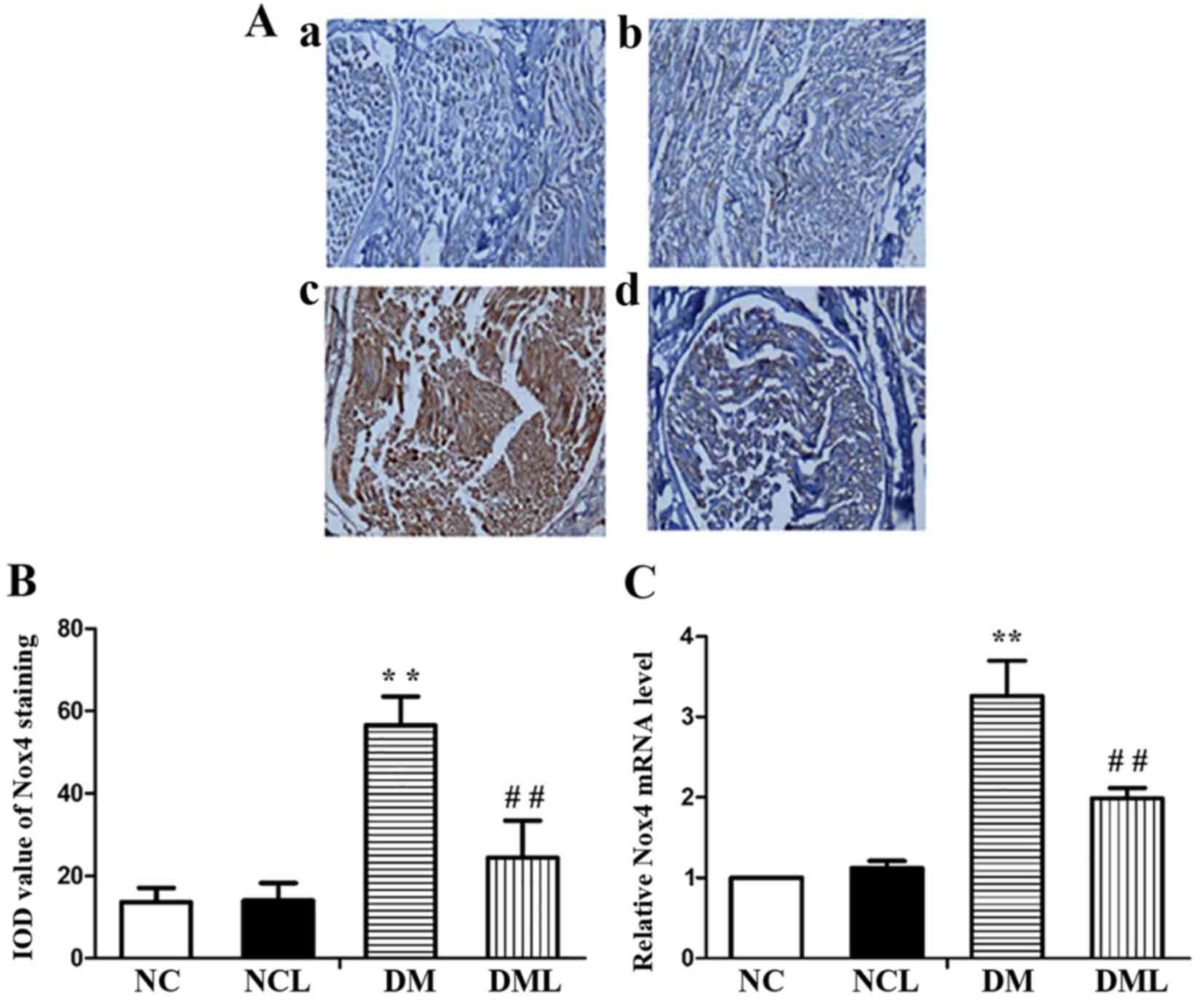
The IOD value of NOX4 staining in the NC group was 13.60±3.51; the IOD value of NOX4 staining in the NCL group was 14.02±4.22; the IOD value of NOX4 staining in the DM group was 56.60±6.91; the IOD value of NOX4 staining in the DML group was 24.43±9.01. There was a significant increase in the IOD value of NOX4 staining in diabetic rat sciatic nerves compared with that in the NC group (Fig. 5A and B). Following liraglutide treatment for 8 weeks, the IOD value of NOX4 staining in the DML group was reduced compared with that in the DM group (Fig. 5A and B). In addition, it was also observed that the mRNA expression of NOX4 was increased significantly (P<0.01) in the DM group compared with that of the NC group (Fig. 5C). Following treatment with liraglutide for 8 weeks, the mRNA expression of NOX4 was significantly lower (P<0.01) in the DML group compared with that in the DM group (Fig. 5C).

Figure 5

(A) Immunohistochemical staining of NOX4-positive cells in the 4 groups (magnification, ×400). (a) The NC group; (b) the NCL group; (c) the DM group; and (d) the DML group. (B) IOD value of NOX4 staining in the sciatic nerves of each group. (C) Gene expression of NOX4 was quantified in the sciatic nerves by quantitative polymerase chain reaction. The relative mRNA levels were normalized to the mRNA levels of β-actin and the fold-change of each mRNA was calculated using the 2−ΔΔCq method. **P<0.01 vs. the NC group; ##P<0.01 vs. the DM group. NC, normal control + saline group; NCL, normal control + liraglutide group; DM, diabetic + saline group; DML, diabetic + liraglutide group; NOX4, NADPH oxidase 4.

mRNA expression levels of neurotrophic factor in the sciatic nerve

In this study, the role of neurotrophic factor in DPN was also observed. Gene expression of neuritin, nerve growth factor (NGF) and neuron-specific enolase (NSE) was quantified by qPCR in the sciatic nerves of 4 groups (Fig. 6). It was observed that the mRNA expression levels of neuritin and NGF were reduced in the sciatic nerves of the DM group compared with those of the NC and NCL groups. However, NSE was significantly increased in the sciatic nerves of the DM group compared with those of the NC and NCL groups. Subsequent to 8 weeks of treatment with liraglutide, the mRNA expression of neuritin and NGF was significantly increased (P<0.01) in the DML group compared with that of the DM group, NSE was reduced in the sciatic nerves of the DML group compared with that of the DM group (Fig. 6).

Figure 6

Levels of mRNA expression of neuritin, NGF and NSE were quantified in the sciatic nerve by quantitative polymerase chain reaction. The relative mRNA levels were normalized to the mRNA levels of β-actin and the fold-change of each mRNA was calculated using the 2−ΔΔCq method. (A) Neuritin; (B) NGF; and (C) NSE. **P<0.01 vs. the NC group; #P<0.05 vs. the DM group; ##P<0.01 vs. the DM group. NC, normal control + saline group; NCL, normal control + liraglutide group; DM, diabetic + saline group; DML, diabetic + liraglutide group; NGF, nerve growth factor; NSE, neuron-specific enolase.

Liraglutide inhibits the p-p38 MAPK/NF-κB pathway

As is known, there are three distinct subfamilies of MAPKs: ERK, JNK and p38 kinases. In the present study, the levels of MAPK were examined in the sciatic nerve tissue of each group. At 8 weeks post-liraglutide treatment, it was found that p-p38 MAPK was inhibited in the DML group compared with that in the DM group (Fig. 7). However, there was no significant difference in the protein expression levels of p-ERK and p-JNK among the groups (Fig. 7). The protein expression levels of NF-κB p65 were also examined in the nucleus and cytoplasm in the sciatic nerve tissue of each group. Cytoplasmic NF-κB p65 expression in the DM group was significantly lower (P<0.05) than that in the NC and NCL groups (Fig. 7). However, nuclear NF-κB p65 expression in the DM group was significantly increased (P<0.01) compared with that in the NC and NCL groups (Fig. 7). Following treatment with liraglutide for 8 weeks, the NF-κB pathway was markedly inhibited in the DML group (Fig. 7).

Figure 7

(A) Representative western blotting of p- and t-ERK, p- and t-JNK, p- and t-p38 MAPK, and nuclear and cytoplasmic NF-κB p65 expression in NC, NCL, DM and DML groups. (B) Semi-quantitative densitometric analysis was used to summarize the fold-change in p- to t-ERK, p- to t-JNK, p- to t-p38 MAPK, nuclear NF-κB p65 to histone H3 and cytoplasmic NF-κB p65 to GAPDH in each group. *P<0.05 vs. the NC group; **P<0.01 vs. the NC group; #P<0.05 vs. the DM group; ##P<0.01 vs. the DM group. NC, normal control + saline group; NCL, normal control + liraglutide group; DM, diabetic + saline group; DML, diabetic + liraglutide group; p-, phosphorylated; t-, total; ERK, extracellular signal-regulated kinase; JNK, c-Jun NH2-terminal kinases; MAPK, mitogen-activated protein kinase; GAPDH, glyceraldehyde 3-phosphate dehydrogenase.

Discussion

DPN is the most frequently occurring chronic complication of diabetes and is associated with significant morbidity and mortality in diabetes patients (16). Various theories have been proposed concerning the pathogenesis of DPN, including oxidative stress, polyol pathway activation, increased amounts of advanced glycation end products, protein kinase C and MAPK activation, increased levels of inflammatory cytokines, including TNF-α and IL-6, and neurotrophic factor deficiency (1,17–22). Among the various theories concerning the pathogenesis of DPN, the pathway most vital for the development and progression of DPN appears to be that of inflammation (1). The role of inflammation in DPN has previously been reported (23,24). NF-κB and Nrf2 pathways are 2 important pathways mediating cellular homeostasis through controlling nueroinflammation (1). Current theories that are focused on inflammation cytokine milieu and signaling pathways, such as the nuclear factor erythroid 2-related factor 2 and NK-κB pathways, discuss the role of inflammation in the development and progression of DPN, with an emphasis on therapeutic strategies.

The glucose-dependent insulinotropic hormone GLP-1 is produced by cleaving pro-glucagon in intestinal L cells (25–28). GLP-1R agonists are approved to improve glycemic control in diabetes patients, based on their abilities to slow gastric emptying, to suppress glucagon secretion and to stimulate insulin secretion from pancreatic β-cells in a glucose-dependent manner (29). In addition to their insulinotropic actions, certain studies have demonstrated that GLP-1R agonists exhibit neurotrophic and neuroprotective properties in certain neurons and neural cells (16,30–34). GLP-1 receptors are present on sciatic nerve axons, Schwann cells and dorsal root ganglia (DRG) sensory neurons of normal and diabetic rats (11). Previous studies have suggested that GLP-1 can enhance neuronal survival and plasticity in the brain (29). GLP-1 could thus be considered to possess the ability for the enhancement of neuroprotection within the peripheral nervous system, but not in the central nervous system. A previous study also demonstrated that GLP-1 receptor agonism could be neuroprotective in an experimental model of sensory neuropathy (35). Based on these findings, Liu et al (12) showed that synthetic exendin-4 may ameliorate DPN in skin and sciatic nerves through activating the GLP-1 receptor, antiapoptotic effects and restoration of cyclic adenosine monophosphate content. The present study investigated how liraglutide alleviates the severity of DPN by inhibiting inflammatory signaling pathways.

Previous studies demonstrated that persistent hyperglycemia is a major nerve damaging factor (36,37); therefore, the normalization of the blood glucose level is vital for DPN therapy. However, such intensive therapies in DPN patients may increase the mortality risk and are likely associated with frequent severe hypoglycemia. Therefore, to prevent DPN, therapeutic strategies other than those those that target blood glucose normalization are required. In the present study, liraglutide did not alter body weight or blood sugar levels in any of the groups. Based on this, whether liraglutide alleviates the severity of DPN independent of glycemic control was investigated. It was observed that the myelin sheath of the DM group was thin, loose, disorganized and exhibited vacuolar-like defects, and MNCV and SNCV were significantly reduced. Subsequent to 8 weeks of treatment with liraglutide, morphological and functional abnormalities were ameliorated in DML group rats. The present study therefore aimed to investigate the mechanism of GLP-1R agonists in the progression of DPN.

Certain studies have shown the association between inflammation and DPN (1,23,24). However, the mechanism has not been fully elucidated. Therefore, the present study aimed to investigate whether inflammatory mediators are central to the pathogenesis of DPN. The serum levels of TNF-α, IL-6 and IL-1β were found to be significantly higher in the DM group than the control groups. Following 8 weeks of treatment with liraglutide, the level of TNF-α, IL-1β, and IL-6 in the peripheral serum of the DML group was significantly suppressed compared with that of the DM group. It was also observed that the mRNA expression levels of TNF-α, IL-6, IL-1β, MCP-1 and ICAM-1 in the rat sciatic nerves were attenuated in the DML group. Hence, it was shown that GLP-1R agonists reduced the serum levels of TNF-α, IL-1β and IL-6, and inhibited the mRNA expression levels of proinflammataory cytokines in the rat sciatic nerve.

The MAPK pathway is a classical pathway that can indirectly or directly initiate the production of inflammatory mediators and the activation of NF-κB (1). A previous study showed that high glucose activated JNK and p38 MAPK which did not result in cell damage. However, oxidative stress activated ERK and p38 MAPKs which resulted in cellular damage. In the dorsal root ganglia of type 1 diabetic rats, ERK and p38 MAPK were activated at 8 weeks, and then JNK was activated at 12 weeks (38). The present study examined the activation of p38 MAPK in the sciatic nerve from 8-week streptozotocin-induced diabetic rats; however, there was no activation of ERK and JNK in the sciatic nerves. Following 8 weeks of treatment with liraglutide, GLP-1R agonists inhibited the p38 MAPK activation. The activation of transcription factor NF-κB p65 was also observed in the sciatic nerves of the streptozotocin-induced diabetic rats. Following treatment with liraglutide for 8 weeks, the activation of NF-κB p65 was markedly inhibited in the DML group. We hypothesize that persistent hyperglycemia in the DM group ould induce the inflammatory cascade through the activation of the p38 MAPK/NF-κB pathway. p38 MAPK/NF-κB is a transcription modulator that upregulates the gene expression of proinflammatory cytokines. The anti-inflammatory effects of GLP-1R agonists may be mediated through the inhibition of the activation of the p38 MAPK/NF-κB pathway, as activated p38 MAPK/NF-κB promotes the gene expression of TNF-α, IL-6 and IL-1β. The present study demonstrates that the p38 MAPK/NF-κB pathway can provide a targeted approach for the prevention of inflammatory changes in DPN.

Previous studies have demonstrated that oxidative stress has a significant impact on the pathogenesis of diabetes, including the associated complications such as DPN (4–6). A previous study demonstrated that oxidative stress serves a key contributory role in the progressive nature of DPN (1). Our present study also suggested that NOX4 is an important source of reactive oxygen species (ROS) production. Upon activation, it induces the production of superoxide via oxidative stress and inflammatory responses in the mitochondria' such ROS are indicated to be involved in the pathogenesis of diabetic complications, such as neuropathy. NOX4 is a subunit of NADPH, so it was as a marker of oxidative stress in the present study. There was a significant increase in the IOD value of NOX4 staining in the diabetic rat sciatic nerves. Following 8 weeks of treatment with liraglutide, the IOD value of NOX4 staining in the DML group was significantly lower than that in the DM group. It was also observed that the mRNA expression of NOX4 was significantly lower in the DML group, thus indicating DPN amelioration in liraglutide-treated rats.

A number of studies have suggested that neuritin and NGF serve key roles in the progressive nature of DPN (39). Karamoysoyli et al (22) showed that neuritin levels could be manipulated in diabetes to provide a potential therapeutic target in the management of neuropathy via mitogen-activated protein kinase activation. In the present study, it was observed that the mRNA expression levels of neuritin and NGF were reduced in the DM group. Following treatment with liraglutide for 8 weeks, the mRNA expression of neuritin and NGF was significantly increased in the DML group, thus indicating that liraglutide may ameliorate DPN. NSE, which is a highly soluble intracellular enzyme normally located in the cytoplasm in neuroendocrine cells, may be a novel biomarker of peripheral neuropathy in diabetes. Li et al (40) showed that serum NSE levels were increased in diabetic neuropathy subjects and that the elevated NSE levels were closely associated with DPN. In the present study, to the best of our knowledge, it was observed for the first time that the mRNA expression levels of NSE increased significantly in the DM group compared with the controls. The mRNA expression of NSE was significantly reduced in the DML group compared with that in the DM group, thus indicating that liraglutide may ameliorate DPN.

In conclusion, these data demonstrate that inflammation and oxidative stress serve key roles in the pathogenesis of DPN, and that GLP-1R agonists may prevent nerve dysfunction in the sciatic nerves of diabetic rats via the p38 MAPK/NF-κB signaling pathways, independent of glycemic control. Use of GLP-1R agonists may be a therapeutic strategy for slowing the progression of DPN.

Acknowledgments

The authors wish to thank Professor Dawei Gong from the School of Medicine, University of Maryland (Baltimore, MA, USA) for helping in revising the paper and the experimental methods. The authors also wish to thank Dr Wei Li from the Affiliated Hospital of Xuzhou Medical College for providing help with the study design.

Notes

[1] Funding

This study was supported by the National Natural Science Foundation of China Grant Award (grant nos. 81200595, 81400807 and 81700723), the Project of Six High-Peak Talents of Jiangsu Province (grant no. WSN-101) and the Research Project of Jiangsu Provincial Commission of Health and Family Planning (grant nos. H201253, H201554, F201549 and H201667).

[2] Availability of data and materials

All data generated or analyzed during this study are included in this published article.

[3] Authors' contributions

JM and HZ coordinated the study and contributed to the acquisition of funding, study design, data collection, statistical analysis, draft and revision of the paper. MS, XZ and XL contributed to the study design, acquisition of data, and statistical analysis. JC, RZ, and XW contributed to acquisition of data, statistical analysis and revision of important intellectual content. All authors read and approved the final manuscript.

[4] Ethics approval and consent to participate

All animal experiments were approved by the Ethics Committee of Animal Care of the Nanjing Medical University, according to the Guidelines for Animal Experiments of the Chinese Academy of Medical Sciences.

[5] Consent for publication

Not applicable.

[6] Competing interests

The authors declare that they have no competing interests.

References

1 

Sandireddy R, Yerra VG, Areti A, Komirishetty P and Kumar A: Neuroinflammation and oxidative stress in diabetic neuropathy: Futuristic strategies based on these targets. Int J Endocrinol. 2014:6749872014. View Article : Google Scholar : PubMed/NCBI

2 

O'Brien PD, Sakowski SA and Feldman EL: Mouse models of diabetic neuropathy. ILAR J. 54:259–272. 2014. View Article : Google Scholar : PubMed/NCBI

3 

Bae SM, Bae MN, Kim EY, Kim IK, Seo MW, Shin JK, Cho SR and Jeong GH: Recurrent insulin autoimmune syndrome caused by α-Lipoic acid in type 2 diabetes. Endocrinol Metab (Seoul). 28:326–330. 2013. View Article : Google Scholar

4 

Oyenihi AB, Ayeleso AO, Mukwevho E and Masola B: Antioxidant strategies in the management of diabetic neuropathy. BioMed Res Int. 2015:5150422015. View Article : Google Scholar : PubMed/NCBI

5 

Verdile G, Keane KN, Cruzat VF, Medic S, Sabale M, Rowles J, Wijesekara N, Martins RN, Fraser PE and Newsholme P: Inflammation and oxidative stress: The molecular connectivity between insulin resistance, obesity, and Alzheimer's disease. Mediators Inflamm. 2015:1058282015. View Article : Google Scholar : PubMed/NCBI

6 

Xiao Q, Yang YA, Zhao XY, He LS, Qin Y, He YH, Zhang GP and Luo JD: Oxidative stress contributes to the impaired sonic hedgehog pathway in type 1 diabetic mice with myocardial infarction. Exp Ther Med. 10:1750–1758. 2015. View Article : Google Scholar : PubMed/NCBI

7 

Yang XW, Liu FQ, Guo JJ, Yao WJ, Li QQ, Liu TH and Xu LP: Antioxidation and anti-inflammatory activity of Tang Bi Kang in rats with diabetic peripheral neuropathy. BMC Complement Altern Med. 15:662015. View Article : Google Scholar : PubMed/NCBI

8 

Sato K, Kameda M, Yasuhara T, Agari T, Baba T, Wang F, Shinko A, Wakamori T, Toyoshima A, Takeuchi H, et al: Neuroprotective effects of liraglutide for stroke model of rats. Int J Mol Sci. 14:21513–21524. 2013. View Article : Google Scholar : PubMed/NCBI

9 

Inoue K, Maeda N, Kashine S, Fujishima Y, Kozawa J, Hiuge-Shimizu A, Okita K, Imagawa A, Funahashi T and Shimomura I: Short-term effects of liraglutide on visceral fat adiposity, appetite, and food preference: A pilot study of obese Japanese patients with type 2 diabetes. Cardiovasc Diabetol. 10:1092011. View Article : Google Scholar : PubMed/NCBI

10 

Jaiswal M, Martin CL, Brown MB, Callaghan B, Albers JW, Feldman EL and Pop-Busui R: Effects of exenatide on measures of diabetic neuropathy in subjects with type 2 diabetes: Results from an 18-month proof-of-concept open-label randomized study. J Diabetes Complications. 29:1287–1294. 2015. View Article : Google Scholar : PubMed/NCBI

11 

Jolivalt CG, Fineman M, Deacon CF, Carr RD and Calcutt NA: GLP-1 signals via ERK in peripheral nerve and prevents nerve dysfunction in diabetic mice. Diabetes Obes Metab. 13:990–1000. 2011. View Article : Google Scholar : PubMed/NCBI

12 

Liu WJ, Jin HY, Lee KA, Xie SH, Baek HS and Park TS: Neuroprotective effect of the glucagon-like peptide-1 receptor agonist, synthetic exendin-4, in streptozotocin-induced diabetic rats. Br J Pharmacol. 164:1410–1420. 2011. View Article : Google Scholar : PubMed/NCBI

13 

Ganesh Yerra V, Negi G, Sharma SS and Kumar A: Potential therapeutic effects of the simultaneous targeting of the Nrf2 and NF-κB pathways in diabetic neuropathy. Redox Biol. 1:394–397. 2013. View Article : Google Scholar : PubMed/NCBI

14 

Ramesh G, MacLean AG and Philipp MT: Cytokines and chemokines at the crossroads of neuroinflammation, neurodegeneration, and neuropathic pain. Mediators Inflamm. 2013:4807392013. View Article : Google Scholar : PubMed/NCBI

15 

Livak and Schmittgen: Analysis of relative gene expression data using real-time quantitative PCR and the 2-ΔΔCt method. Methods. 25:402–408. 2001. View Article : Google Scholar

16 

Höke A: Animal models of peripheral neuropathies. Neurotherapeutics. 9:262–269. 2012. View Article : Google Scholar : PubMed/NCBI

17 

Chapter MC, White CM, DeRidder A, Chadwick W, Martin B and Maudsley S: Chemical modification of class II G protein-coupled receptor ligands: Frontiers in the development of peptide analogs as neuroendocrine pharmacological therapies. Pharmacol Ther. 125:39–54. 2010. View Article : Google Scholar

18 

Douglas DS and Popko B: Mouse forward genetics in the study of the peripheral nervous system and human peripheral neuropathy. Neurochem Res. 34:124–137. 2009. View Article : Google Scholar :

19 

Edwards JL, Vincent AM, Cheng HT and Feldman EL: Diabetic neuropathy: Mechanisms to management. Pharmacol Ther. 120:1–34. 2008. View Article : Google Scholar : PubMed/NCBI

20 

Lupachyk S, Stavniichuk R, Komissarenko JI, Drel VR, Obrosov AA, El-Remessy AB, Pacher P and Obrosova IG: Na+/H+-exchanger-1 inhibition counteracts diabetic cataract formation and retinal oxidative-nitrative stress and apoptosis. Int J Mol Med. 29:989–998. 2012.PubMed/NCBI

21 

Tesfaye S, Boulton AJ and Dickenson AH: Mechanisms and management of diabetic painful distal symmetrical polyneuropathy. Diabetes Care. 36:2456–2465. 2013. View Article : Google Scholar : PubMed/NCBI

22 

Karamoysoyli E, Burnand RC, Tomlinson DR and Gardiner NJ: Neuritin mediates nerve growth factor-induced axonal regeneration and is deficient in experimental diabetic neuropathy. Diabetes. 57:181–189. 2008. View Article : Google Scholar

23 

Gorska-Ciebiada M, Saryusz-Wolska M, Borkowska A, Ciebiada M and Loba J: Serum levels of inflammatory markers in depressed elderly patients with diabetes and mild cognitive impairment. PLoS One. 10:e01204332015. View Article : Google Scholar : PubMed/NCBI

24 

Zong H, Ward M, Madden A, Yong PH, Limb GA, Curtis TM and Stitt AW: Hyperglycaemia-induced pro-inflammatory responses by retinal Müller glia are regulated by the receptor for advanced glycation end-products (RAGE). Diabetologia. 53:2656–2666. 2010. View Article : Google Scholar : PubMed/NCBI

25 

Heni M, Kullmann S, Gallwitz B, Häring HU, Preissl H and Fritsche A: Dissociation of GLP-1 and insulin association with food processing in the brain: GLP-1 sensitivity despite insulin resistance in obese humans. Mol Metab. 4:971–976. 2015. View Article : Google Scholar

26 

May AA and Woods SC: Is endogenous GLP-1 a major influence on the orbitofrontal cortex? Mol Metab. 4:977–978. 2015. View Article : Google Scholar

27 

Meng J, Ma X, Wang N, Jia M, Bi L, Wang Y, Li M, Zhang H, Xue X, Hou Z, et al: Activation of GLP-1 receptor promotes bone marrow stromal cell osteogenic differentiation through beta-catenin. Stem Cell Reports. 6:6332016. View Article : Google Scholar

28 

Yamamoto T, Nakade Y, Yamauchi T, Kobayashi Y, Ishii N, Ohashi T, Ito K, Sato K, Fukuzawa Y and Yoneda M: Glucagon-like peptide-1 analogue prevents nonalcoholic steatohepatitis in non-obese mice. World J gastroenterol. 22:2512–2523. 2016. View Article : Google Scholar : PubMed/NCBI

29 

Seino Y and Yabe D: Glucose-dependent insulinotropic polypeptide and glucagon-like peptide-1: Incretin actions beyond the pancreas. J Diabetes Investig. 4:108–130. 2013. View Article : Google Scholar : PubMed/NCBI

30 

Greig NH, Tweedie D, Rachmany L, Li Y, Rubovitch V, Schreiber S, Chiang YH, Hoffer BJ, Miller J, Lahiri DK, et al: Incretin mimetics as pharmacologic tools to elucidate and as a new drug strategy to treat traumatic brain injury. Alzheimers Dement. 10(Suppl): S62–S75. 2014. View Article : Google Scholar : PubMed/NCBI

31 

Harkavyi A and Whitton PS: Glucagon-like peptide 1 receptor stimulation as a means of neuroprotection. Br J Pharmacol. 159:495–501. 2010. View Article : Google Scholar : PubMed/NCBI

32 

Janssens J, Etienne H, Idriss S, Azmi A, Martin B, Maudsley S and Systems-Level G: Systems-level G protein-coupled receptor therapy across a neurodegenerative continuum by the GLP-1 receptor system. Front Endocrinol (Lausanne). 5:1422014.

33 

Li Y, Perry T, Kindy MS, Harvey BK, Tweedie D, Holloway HW, Powers K, Shen H, Egan JM, Sambamurti K, et al: GLP-1 receptor stimulation preserves primary cortical and dopaminergic neurons in cellular and rodent models of stroke and Parkinsonism. Proc Natl Acad Sci USA. 106:1285–1290. 2009. View Article : Google Scholar : PubMed/NCBI

34 

Salcedo I, Tweedie D, Li Y and Greig NH: Neuroprotective and neurotrophic actions of glucagon-like peptide-1: An emerging opportunity to treat neurodegenerative and cerebrovascular disorders. Br J Pharmacol. 166:1586–1599. 2012. View Article : Google Scholar : PubMed/NCBI

35 

Perry T, Holloway HW, Weerasuriya A, Mouton PR, Duffy K, Mattison JA and Greig NH: Evidence of GLP-1-mediated neuroprotection in an animal model of pyridoxine-induced peripheral sensory neuropathy. Exp Neurol. 203:293–301. 2007. View Article : Google Scholar :

36 

Katagi M, Terashima T, Okano J, Urabe H, Nakae Y, Ogawa N, Udagawa J, Maegawa H, Matsumura K, Chan L, et al: Hyperglycemia induces abnormal gene expression in hematopoietic stem cells and their progeny in diabetic neuropathy. FEBS Lett. 588:1080–1086. 2014. View Article : Google Scholar : PubMed/NCBI

37 

Yan LJ: Pathogenesis of chronic hyperglycemia: From reductive stress to oxidative stress. J Diabetes Res. 2014:1379192014. View Article : Google Scholar : PubMed/NCBI

38 

Purves T, Middlemas A, Agthong S, Jude EB, Boulton AJ, Fernyhough P and Tomlinson DR: A role for mitogen-activated protein kinases in the etiology of diabetic neuropathy. FASEB J. 15:2508–2514. 2001. View Article : Google Scholar : PubMed/NCBI

39 

Jiang C and Salton SR: The role of neurotrophins in major depressive disorder. Transl Neurosci. 4:46–58. 2013. View Article : Google Scholar : PubMed/NCBI

40 

Li J, Zhang H, Xie M, Yan L, Chen J and Wang H: NSE, a potential biomarker, is closely connected to diabetic peripheral neuropathy. Diabetes Care. 36:3405–3410. 2013. View Article : Google Scholar : PubMed/NCBI

Related Articles

  • Abstract
  • View
  • Download
  • Twitter
Copy and paste a formatted citation
Spandidos Publications style
Ma J, Shi M, Zhang X, Liu X, Chen J, Zhang R, Wang X and Zhang H: GLP‑1R agonists ameliorate peripheral nerve dysfunction and inflammation via p38 MAPK/NF‑κB signaling pathways in streptozotocin‑induced diabetic rats. Int J Mol Med 41: 2977-2985, 2018.
APA
Ma, J., Shi, M., Zhang, X., Liu, X., Chen, J., Zhang, R. ... Zhang, H. (2018). GLP‑1R agonists ameliorate peripheral nerve dysfunction and inflammation via p38 MAPK/NF‑κB signaling pathways in streptozotocin‑induced diabetic rats. International Journal of Molecular Medicine, 41, 2977-2985. https://doi.org/10.3892/ijmm.2018.3509
MLA
Ma, J., Shi, M., Zhang, X., Liu, X., Chen, J., Zhang, R., Wang, X., Zhang, H."GLP‑1R agonists ameliorate peripheral nerve dysfunction and inflammation via p38 MAPK/NF‑κB signaling pathways in streptozotocin‑induced diabetic rats". International Journal of Molecular Medicine 41.5 (2018): 2977-2985.
Chicago
Ma, J., Shi, M., Zhang, X., Liu, X., Chen, J., Zhang, R., Wang, X., Zhang, H."GLP‑1R agonists ameliorate peripheral nerve dysfunction and inflammation via p38 MAPK/NF‑κB signaling pathways in streptozotocin‑induced diabetic rats". International Journal of Molecular Medicine 41, no. 5 (2018): 2977-2985. https://doi.org/10.3892/ijmm.2018.3509
Copy and paste a formatted citation
x
Spandidos Publications style
Ma J, Shi M, Zhang X, Liu X, Chen J, Zhang R, Wang X and Zhang H: GLP‑1R agonists ameliorate peripheral nerve dysfunction and inflammation via p38 MAPK/NF‑κB signaling pathways in streptozotocin‑induced diabetic rats. Int J Mol Med 41: 2977-2985, 2018.
APA
Ma, J., Shi, M., Zhang, X., Liu, X., Chen, J., Zhang, R. ... Zhang, H. (2018). GLP‑1R agonists ameliorate peripheral nerve dysfunction and inflammation via p38 MAPK/NF‑κB signaling pathways in streptozotocin‑induced diabetic rats. International Journal of Molecular Medicine, 41, 2977-2985. https://doi.org/10.3892/ijmm.2018.3509
MLA
Ma, J., Shi, M., Zhang, X., Liu, X., Chen, J., Zhang, R., Wang, X., Zhang, H."GLP‑1R agonists ameliorate peripheral nerve dysfunction and inflammation via p38 MAPK/NF‑κB signaling pathways in streptozotocin‑induced diabetic rats". International Journal of Molecular Medicine 41.5 (2018): 2977-2985.
Chicago
Ma, J., Shi, M., Zhang, X., Liu, X., Chen, J., Zhang, R., Wang, X., Zhang, H."GLP‑1R agonists ameliorate peripheral nerve dysfunction and inflammation via p38 MAPK/NF‑κB signaling pathways in streptozotocin‑induced diabetic rats". International Journal of Molecular Medicine 41, no. 5 (2018): 2977-2985. https://doi.org/10.3892/ijmm.2018.3509
Follow us
  • Twitter
  • LinkedIn
  • Facebook
About
  • Spandidos Publications
  • Careers
  • Cookie Policy
  • Privacy Policy
How can we help?
  • Help
  • Live Chat
  • Contact
  • Email to our Support Team