Spandidos Publications Logo
  • About
    • About Spandidos
    • Aims and Scopes
    • Abstracting and Indexing
    • Editorial Policies
    • Reprints and Permissions
    • Job Opportunities
    • Terms and Conditions
    • Contact
  • Journals
    • All Journals
    • Oncology Letters
      • Oncology Letters
      • Information for Authors
      • Editorial Policies
      • Editorial Board
      • Aims and Scope
      • Abstracting and Indexing
      • Bibliographic Information
      • Archive
    • International Journal of Oncology
      • International Journal of Oncology
      • Information for Authors
      • Editorial Policies
      • Editorial Board
      • Aims and Scope
      • Abstracting and Indexing
      • Bibliographic Information
      • Archive
    • Molecular and Clinical Oncology
      • Molecular and Clinical Oncology
      • Information for Authors
      • Editorial Policies
      • Editorial Board
      • Aims and Scope
      • Abstracting and Indexing
      • Bibliographic Information
      • Archive
    • Experimental and Therapeutic Medicine
      • Experimental and Therapeutic Medicine
      • Information for Authors
      • Editorial Policies
      • Editorial Board
      • Aims and Scope
      • Abstracting and Indexing
      • Bibliographic Information
      • Archive
    • International Journal of Molecular Medicine
      • International Journal of Molecular Medicine
      • Information for Authors
      • Editorial Policies
      • Editorial Board
      • Aims and Scope
      • Abstracting and Indexing
      • Bibliographic Information
      • Archive
    • Biomedical Reports
      • Biomedical Reports
      • Information for Authors
      • Editorial Policies
      • Editorial Board
      • Aims and Scope
      • Abstracting and Indexing
      • Bibliographic Information
      • Archive
    • Oncology Reports
      • Oncology Reports
      • Information for Authors
      • Editorial Policies
      • Editorial Board
      • Aims and Scope
      • Abstracting and Indexing
      • Bibliographic Information
      • Archive
    • Molecular Medicine Reports
      • Molecular Medicine Reports
      • Information for Authors
      • Editorial Policies
      • Editorial Board
      • Aims and Scope
      • Abstracting and Indexing
      • Bibliographic Information
      • Archive
    • World Academy of Sciences Journal
      • World Academy of Sciences Journal
      • Information for Authors
      • Editorial Policies
      • Editorial Board
      • Aims and Scope
      • Abstracting and Indexing
      • Bibliographic Information
      • Archive
    • International Journal of Functional Nutrition
      • International Journal of Functional Nutrition
      • Information for Authors
      • Editorial Policies
      • Editorial Board
      • Aims and Scope
      • Abstracting and Indexing
      • Bibliographic Information
      • Archive
    • International Journal of Epigenetics
      • International Journal of Epigenetics
      • Information for Authors
      • Editorial Policies
      • Editorial Board
      • Aims and Scope
      • Abstracting and Indexing
      • Bibliographic Information
      • Archive
    • Medicine International
      • Medicine International
      • Information for Authors
      • Editorial Policies
      • Editorial Board
      • Aims and Scope
      • Abstracting and Indexing
      • Bibliographic Information
      • Archive
  • Articles
  • Information
    • Information for Authors
    • Information for Reviewers
    • Information for Librarians
    • Information for Advertisers
    • Conferences
  • Language Editing
Spandidos Publications Logo
  • About
    • About Spandidos
    • Aims and Scopes
    • Abstracting and Indexing
    • Editorial Policies
    • Reprints and Permissions
    • Job Opportunities
    • Terms and Conditions
    • Contact
  • Journals
    • All Journals
    • Biomedical Reports
      • Information for Authors
      • Editorial Policies
      • Editorial Board
      • Aims and Scope
      • Abstracting and Indexing
      • Bibliographic Information
      • Archive
    • Experimental and Therapeutic Medicine
      • Information for Authors
      • Editorial Policies
      • Editorial Board
      • Aims and Scope
      • Abstracting and Indexing
      • Bibliographic Information
      • Archive
    • International Journal of Epigenetics
      • Information for Authors
      • Editorial Policies
      • Editorial Board
      • Aims and Scope
      • Abstracting and Indexing
      • Bibliographic Information
      • Archive
    • International Journal of Functional Nutrition
      • Information for Authors
      • Editorial Policies
      • Editorial Board
      • Aims and Scope
      • Abstracting and Indexing
      • Bibliographic Information
      • Archive
    • International Journal of Molecular Medicine
      • Information for Authors
      • Editorial Policies
      • Editorial Board
      • Aims and Scope
      • Abstracting and Indexing
      • Bibliographic Information
      • Archive
    • International Journal of Oncology
      • Information for Authors
      • Editorial Policies
      • Editorial Board
      • Aims and Scope
      • Abstracting and Indexing
      • Bibliographic Information
      • Archive
    • Medicine International
      • Information for Authors
      • Editorial Policies
      • Editorial Board
      • Aims and Scope
      • Abstracting and Indexing
      • Bibliographic Information
      • Archive
    • Molecular and Clinical Oncology
      • Information for Authors
      • Editorial Policies
      • Editorial Board
      • Aims and Scope
      • Abstracting and Indexing
      • Bibliographic Information
      • Archive
    • Molecular Medicine Reports
      • Information for Authors
      • Editorial Policies
      • Editorial Board
      • Aims and Scope
      • Abstracting and Indexing
      • Bibliographic Information
      • Archive
    • Oncology Letters
      • Information for Authors
      • Editorial Policies
      • Editorial Board
      • Aims and Scope
      • Abstracting and Indexing
      • Bibliographic Information
      • Archive
    • Oncology Reports
      • Information for Authors
      • Editorial Policies
      • Editorial Board
      • Aims and Scope
      • Abstracting and Indexing
      • Bibliographic Information
      • Archive
    • World Academy of Sciences Journal
      • Information for Authors
      • Editorial Policies
      • Editorial Board
      • Aims and Scope
      • Abstracting and Indexing
      • Bibliographic Information
      • Archive
  • Articles
  • Information
    • For Authors
    • For Reviewers
    • For Librarians
    • For Advertisers
    • Conferences
  • Language Editing
Login Register Submit
  • This site uses cookies
  • You can change your cookie settings at any time by following the instructions in our Cookie Policy. To find out more, you may read our Privacy Policy.

    I agree
Search articles by DOI, keyword, author or affiliation
Search
Advanced Search
presentation
International Journal of Molecular Medicine
Join Editorial Board Propose a Special Issue
Print ISSN: 1107-3756 Online ISSN: 1791-244X
Journal Cover
October-2018 Volume 42 Issue 4

Full Size Image

Sign up for eToc alerts
Recommend to Library

Journals

International Journal of Molecular Medicine

International Journal of Molecular Medicine

International Journal of Molecular Medicine is an international journal devoted to molecular mechanisms of human disease.

International Journal of Oncology

International Journal of Oncology

International Journal of Oncology is an international journal devoted to oncology research and cancer treatment.

Molecular Medicine Reports

Molecular Medicine Reports

Covers molecular medicine topics such as pharmacology, pathology, genetics, neuroscience, infectious diseases, molecular cardiology, and molecular surgery.

Oncology Reports

Oncology Reports

Oncology Reports is an international journal devoted to fundamental and applied research in Oncology.

Experimental and Therapeutic Medicine

Experimental and Therapeutic Medicine

Experimental and Therapeutic Medicine is an international journal devoted to laboratory and clinical medicine.

Oncology Letters

Oncology Letters

Oncology Letters is an international journal devoted to Experimental and Clinical Oncology.

Biomedical Reports

Biomedical Reports

Explores a wide range of biological and medical fields, including pharmacology, genetics, microbiology, neuroscience, and molecular cardiology.

Molecular and Clinical Oncology

Molecular and Clinical Oncology

International journal addressing all aspects of oncology research, from tumorigenesis and oncogenes to chemotherapy and metastasis.

World Academy of Sciences Journal

World Academy of Sciences Journal

Multidisciplinary open-access journal spanning biochemistry, genetics, neuroscience, environmental health, and synthetic biology.

International Journal of Functional Nutrition

International Journal of Functional Nutrition

Open-access journal combining biochemistry, pharmacology, immunology, and genetics to advance health through functional nutrition.

International Journal of Epigenetics

International Journal of Epigenetics

Publishes open-access research on using epigenetics to advance understanding and treatment of human disease.

Medicine International

Medicine International

An International Open Access Journal Devoted to General Medicine.

Journal Cover
October-2018 Volume 42 Issue 4

Full Size Image

Sign up for eToc alerts
Recommend to Library

  • Article
  • Citations
    • Cite This Article
    • Download Citation
    • Create Citation Alert
    • Remove Citation Alert
    • Cited By
  • Similar Articles
    • Related Articles (in Spandidos Publications)
    • Similar Articles (Google Scholar)
    • Similar Articles (PubMed)
  • Download PDF
  • Download XML
  • View XML
Article Open Access

miR‑330‑5p inhibits H2O2‑induced adipogenic differentiation of MSCs by regulating RXRγ

  • Authors:
    • Weiping Huang
    • Ke Li
    • Aijun Liu
    • Zeyu Yang
    • Chenxia Hu
    • Dongfeng Chen
    • Hongqi Wang
  • View Affiliations / Copyright

    Affiliations: Research Center of Integrative Medicine, School of Basic Medical Science, Guangzhou University of Chinese Medicine, Guangzhou, Guangdong 510006, P.R. China, School of Pharmaceutical Science, Guangzhou University of Chinese Medicine, Guangzhou, Guangdong 510006, P.R. China
    Copyright: © Huang et al. This is an open access article distributed under the terms of Creative Commons Attribution License.
  • Pages: 2042-2052
    |
    Published online on: July 12, 2018
       https://doi.org/10.3892/ijmm.2018.3773
  • Expand metrics +
Metrics: Total Views: 0 (Spandidos Publications: | PMC Statistics: )
Metrics: Total PDF Downloads: 0 (Spandidos Publications: | PMC Statistics: )
Cited By (CrossRef): 0 citations Loading Articles...

This article is mentioned in:



Abstract

The elucidation of the underlying molecular mechanism of H2O2‑induced adipocyte differentiation in mesenchymal stem cells (MSCs) is important for the development of treatments for metabolic diseases. The aim of the present study was to identify microRNA (miR)‑330‑5p, which targets retinoid X receptor γ (RXRγ) and to determine the function of H2O2‑induced adipogenic differentiation of MSCs. During differentiation of MSCs into adipocytes induced by H2O2, miR‑330‑5p expression was decreased with a concomitant increase in RXRγ expression. A luciferase assay with RXRγ 3'‑untranslated region (UTR) reporter plasmid, including the miR‑330‑5p‑binding sequences, identified that the introduction of miR‑330‑5p decreases luciferase activity. However, it did not affect the activity of mutated RXRγ 3'‑UTR reporter. Enforced expression of miR‑330‑5p significantly inhibited adipocyte differentiation by decreasing RXRγ mRNA and protein levels. In contrast, inhibition of the endogenous miR‑330‑5p promoted the formation of lipid droplets by rescuing RXRγ expression. Furthermore, the effects of inhibition of RXRγ were similar to those of overexpression of miR‑330‑5p on H2O2‑induced adipogenic differentiation from MSCs. miR‑330‑5p inhibits H2O2‑induced adipogenic differentiation of MSCs, and this is dependent on RXRγ. Taken together, the results of the present study revealed that miR‑330‑5p acts as a critical regulator of RXRγ, and is able to determinate the fate of MSCs to differentiate into adipocytes. This suggests that miR‑330‑5p and RXRγ may be target molecules for controlling metabolic diseases.

Introduction

Obesity is associated with an increased risk of chronic diseases, and is a major health concern worldwide (1). Clinical data have revealed that there is a positive correlation between oxidative stress and obesity (2,3). The effects of oxidative stress on adipocyte differentiation of mesenchymal stem cells (MSCs) is of research interest. Previous studies have revealed that oxidative stress is able to regulate stem cell differentiation into adipocyte lineage, which is involved in the pathogenesis of obesity, but the underlying molecular mechanisms remain unclear (4,5). The elucidation of the molecular mechanisms involved in the adipocyte differentiation of MSCs induced by oxidative stress is of vital importance for the development of therapeutics for obesity and diabetes. It is well-known that MSCs are regulated by a number of transcription factors and microRNAs (miRNAs) in the process of differentiation into adipocytes.

Retinoid X receptor γ (RXRγ), a member of the nuclear receptor superfamily, is expressed in brown adipocytes and an increased gene expression is observed during brown adipogenesis in stem cells (6,7). It has an important function in the control of adipogenic differentiation of MSCs (8), modulating MSC commitment and differentiation to determine whether cells partake in adipogenesis. RXR homodimers may promote adipogenesis by activating the target genes of peroxisome proliferator-activated receptor (PPAR) (9). RXRγ activates PPARγ expression, thus promoting the entry of MSCs to the adipocyte lineage while impeding progression for alternative lineage pathways (10). The RXR ligand LGD1069 increases the expression of adipogenesis-associated genes (11). The functions of RXR agonists in adipogenesis are cell type-specific and are based on the integration of signals from different RXR dimers (12). These results indicated that RXRγ is a positive regulator of adipogenesis. However, the epigenetic regulation of RXRγ in adipogenic differentiation in MSCs remains unclear.

miRNAs have been identified as essential elements of the epigenetic machinery which post-transcriptionally repress the expression of target genes, contributing to the regulation of a number of biological effects (13). Previous studies have revealed that miRNAs targeting osteoblast-associated genes are involved in adipogenic differentiation of MSCs. miR-204/211, miR-320 and miR-30 target Runt-related transcription factor 2 to promote adipocytic differentiation of human MSCs (14). miRNAs targeting adipocyte-associated genes negatively regulate adipogenic differentiation of MSCs (15,16). miRNAs targeting cell cycle and self-renewal-associated genes indirectly regulate adipogenic differentiation of MSCs, as identified with miR-21 (17). These results strongly suggested that the regulation of transcription factors by miRNAs is a notable component of the regulatory machinery. The results of the present study predicted that the target gene of miR-330-5p is RXRγ, using bioinformatics to further investigate the function of miR-330-5p in targeting RXRγ involved in H2O2-induced adipogenic differentiation of MSCs.

Materials and methods

Culture of MSCs

Sprague-Dawley rat MSCs were purchased from Cyagen Biosciences Inc. (Guangzhou, China). The cells have been tested for bacteria, fungi and Mycoplasma, and were assessed for cell-surface markers. CD29, CD44 and CD90 were markedly expressed, whereas the expression of CD34, CD45 and CD11 was <5%. Cells were grown in accordance with the supplier's specifications, seeded at 37°C under 5% CO2 in low-glucose Dulbecco's modified Eagle's medium (DMEM; Thermo Fisher Scientific, Inc., Waltham, MA, USA) supplemented with 10% fetal bovine serum (Thermo Fisher Scientific, Inc.) and 1% penicillin/streptomycin (mother solution was 1×104 U/ml; Thermo Fisher Scientific, Inc.). The cells were passaged at a density of 2.0×104 cells/cm2 or cryopre-served at a density of (1.0–1.5) ×106 cells/ml.

Induction of adipogenic differentiation

The model was established and optimized as described previously (18-21). To induce differentiation, 2-day post-confluent MSCs (designated day 0) were incubated in DMEM containing 10% fetal bovine serum; differentiation was induced with 10% fetal bovine serum and 100 µM H2O2 for 1 h. After 1 h of H2O2 induction, the induction medium was replaced with DMEM containing 10% fetal bovine serum. The medium was replaced every 2-3 days. Cell RNA and protein were determined on day 3, and Oil Red O staining was performed on day 7.

Reverse transcription-quantitative polymerase chain reaction (RT-qPCR)

The total RNA was extracted using TRIzol® (Thermo Fisher Scientific, Inc.) and chloroform. Samples of 2 µl were tested for concentration and purity using an ultraviolet spectrophotometer (BioSpec-Nano, Shimadzu Corporation, Kyoto, Japan) at the wavelengths of 260/280 nm. A total of 1-3 µg RNA was used to synthesize first-strand cDNA (miRNA using specific RT primers and mRNA using random primers). Reverse transcription was performed using a RevertAid First Strand cDNA Synthesis kit (Thermo Fisher Scientific, Inc.), according to the manufacturer's protocol, with specific retrovirus conditions as follows: 65°C for 5 min, followed by placing on ice, then 42°C for 60 min, heating to 70°C for 5 min and finally cooling to 4°C. The qPCR adopted the two-step method, with a 20 µl reaction volume and specific reaction conditions using a Talent fluorescent quantitative detection kit (SYBR-Green) (Tiangen Biotech Co., Ltd., Beijing, China), according to the manufacturer's protocol as follows: 95°C pre-degeneration for 3 min; then 40 cycles of 95°C degeneration for 5 sec, 60°C annealing/extension for 15 sec and fluorescence signal collection. The differences in gene expression were analyzed using the 2−ΔΔCq method (22). U6 was used as the internal reference for miRNA detection, and β-actin or GAPDH was used as internal references for the detection of mRNA. The primer sequences are presented in Table I.

Table I

Primers for RT-qPCR.

Table I

Primers for RT-qPCR.

GeneSequenceSupplier
β-actinForward, 5′-cccatctatgagggttacgc-3′Sangon Biotech, Co., Ltd., Shanghai, China
Reverse, 5′-tttaatgtcacgcacgatttc-3′
PPARγForward, 5′-gtcagtactgtcggtttcagaag-3′
Reverse, 5′-gcatggtgtagatgatctcatgg-3′
aP2Forward, 5′-tcgtcatccggtcagagagt-3′
Reverse, 5′-ccagcttgtcaccatctcgt-3′
RXRγForward, 5′-cgagcagagagtgaggcaga-3′
Reverse, 5′-acactcatgtcgccgtagga-3′
U6RT-qPCR forward and reverse primers, sequences unavailable from the supplier; cat. no. MQP-0201Guangzhou RiboBio Co., Ltd., Guangzhou, China
rno-miR-330-5pRT-PCR forward and reverse primers, sequences unavailable from the supplier; cat. no. MQP-0101

[i] RT-qPCR, reverse transcription-quantitative PCR; PPARγ, peroxisome proliferator-activated receptor γ; aP2, adipocyte protein 2; RXRγ, retinoid X receptor γ; rno, Rattus norvegicus; miR, microRNA.

Western blotting

Total protein was extracted using radioimmunoprecipitation assay lysis and extraction buffer (Thermo Fisher Scientific, Inc.) on ice, and bicinchoninic acid protein quantification (Beyotime Institute of Biotechnology, Haimen, China) was used to adjust the sample concentration. Samples were boiled in loading buffer for denaturation. A total of 30-50 µg/lane protein was separated by SDS-PAGE (10% gel; conditions, 80 V for 30 min and 120 V for 60 min) prior to wet transfer (conditions, 300 mA for 80 min) onto polyvinylidene difluoride membranes. Following blocking each membranes with 5% skimmed milk in Tris-buffered saline containing 0.01% Tween-20 (TBST) for 2 h at room temperature, membranes were incubated with primary antibodies at 4°C overnight. Following elution with TBST, membranes were incubated with secondary antibodies for 1 h at room temperature, prior to elution with TBST. The enhanced chemiluminescence working fluid (Beyotime Institute of Biotechnology) was used with the Tanon 5200 Multi Chemiluminescent Imaging system (Tanon Science & Technology Co., Ltd., Shanghai, China) exposure strip. ImageJ software (version 1.4; National Institutes of Health, Bethesda, MD, USA) was used to analyze the gray values of each group. Anti-PPARγ (cat. no. sc-7237; dilution, 1:200) and anti-CCAAT/enhancer-binding protein α (C/EBPα; cat. no. sc-365318; dilution, 1:200) antibodies were purchased from Santa Cruz Biotechnology, Inc. (Dallas, TX, USA); anti-GAPDH (cat. no. AC002; dilution, 1:20,000), anti-β-actin (cat. no. AC004; dilution, 1:20,000), anti-glucose transporter 4 (Glut4; cat. no. A0071; dilution, 1:500), anti-30 kDa adipocyte complement-related protein (Acrp30; cat. no. A2543; dilution, 1:1,000) and horseradish peroxidase (HRP)-conjugated goat anti-mouse immunoglobulin G (IgG; cat. no. AS003; dilution, 1:25,000) antibodies were all purchased from ABclonal Biotech Co., Ltd. (Woburn, MA, USA); and anti-RXRγ (cat. no. ab15518, dilution, 1:150), anti-adipocyte protein 2 (aP2; cat. no. ab186424; dilution, 1:3,000) and HRP-conjugated goat anti-rabbit IgG (cat. no. ab97051; dilution, 1:20,000) antibodies were all purchased from Abcam (Cambridge, MA, USA). Antibodies were diluted with 5% bovine serum albumin, according to the manufacturers' protocols.

Oil Red O assay

According to a protocol described previously (23), the conditioned medium was discarded and rat MSCs were washed with PBS twice. Subsequently, cells were fixed with 4% paraformaldehyde for 20 min and rinsed once with ultrapure water. Next, 60% isopropanol was added for a 5 min wash, and Oil Red O working liquid was added at room temperature for 30 min. Subsequently, 60% isopropanol was used again two or three times to rapidly wash away the excess dye, with ultrapure water; hematoxylin (final concentration, 99.25 mM) staining occurred for 20 sec and tap water was used to wash cells three times. Finally, cells were sealed with glycerol gelatin. Using the image analysis system, five random images were captured. Oil Red O working liquid and hematoxylin were provided by Professor Saixia Zhang (School of Basic Medical Science, Guangzhou University of Chinese Medicine, Guangzhou, China).

Bioinformatic prediction of the target gene of miR-330-5p

According to a protocol described previously (24), the target gene of Rattus norvegicus (rno)-miR-330-5p was predicted and screened using bioinformatics websites, including miRbase (www.mirbase.org), miRWalk2.0 (zmf.umm.uni-heidelberg.de/apps/zmf/mirwalk2/index.html), TargetScan (www.targetscan.org/mmu_71), microRNA.org (www.microrna.org), miRTarBase (mirtarbase.mbc.nctu.edu.tw/php/index.php), FINDTAR3 (bio.sz.tsinghua.edu.cn). The predicted gene was selected using a Venn diagram, when the number of genes in the intersection number >3 were imported into the DAVID Bioinformatics Resources 6.8 website (david.ncifcrf.gov) for gene identity conversion. Following protein enrichment and Kyoto Encyclopedia of Genes and Genomes (www.kegg.jp/kegg/pathway.html) signal pathway analysis, a series of genes associated with adipose differentiation were selected as candidate target genes, including RXRγ. Subsequently, biological products of miR-330-5p and RXRγ were constructed for verification by western blot assay and dual-luciferase reporter gene analysis. The sequences of miRNA and small interfering (si)RNA are presented in Table II.

Table II

miRNAs and siRNA sequences.

Table II

miRNAs and siRNA sequences.

NameSequence
miR-330-5p mimic 5′-ucucugggccugugucuuaggc-3′
5′-agagacccggacacagaauccg-3′
miR-330-5p inhibitor 5′-gccuaagacacaggcccagaga-3′
siR-RXRγ fragments001, actggctccacatccatga
002, gacagtcatcccagctaca
003, ctcctccgggaatcaactt
miRNA mimic negative control uuuguacuacacaaaaguacug
miRNA inhibitor negative control uuuguacuacacaaaaguacug
siRNA negative controlSequence unavailable from the supplier; cat. no. siN05815122147-1-5

[i] miRNAs and siRNAs were from Guangzhou RiboBio Co., Ltd., Guangzhou, China. miRNA/miR, microRNA; siRNA/siR, short interfering RNA; RXRγ, retinoid X receptor γ.

Transient transfection of MSCs with miR-330-5p mimic, inhibitor and the respective negative controls (m-NC and i-NC) or siRNA (siR)-RXRγ

On the day before transfection, MSCs were inoculated into different plates according to certain density (24-well plates, 3.0×104 cells/well; 6-well plates, 1.5×105 cells/well), fusion for cell proliferation to ~55% for transfection. Transfection of miR-330-5p or siR-RXRγ used a RiboFect™ CP transfection kit (Guangzhou RiboBio Co., Ltd., Guangzhou, China). Preparation of specific transfection complexes was according to the manufacturer's protocol. The final concentration of mimic, m-NC and siRNAs was 50 nM, and the final concentration of inhibitor and i-NC was 100 nM. Western blotting and RT-qPCR analysis were performed after 48 h.

Co-transfection of fluorescent reporter plasmid containing RXRγ-3′-untranslated region (UTR) fragments

MSCs were inoculated at 3.0×104 cells/well density in 24-well plates, then co-transfection of mimic, m-NC, inhibitor and i-NC with pLUC-RXRγ-wild-type (WT) 3′-UTR and pLUC-RXRγ-mutant (MUT) 3′-UTR plasmid (Shenzhen Huaan Ping Kang Bio Technology, Inc., Shenzhen, China) using Lipofectamine® 3000 reagent (Thermo Fisher Scientific, Inc.) was performed according to the manufacturer's protocol. The final concentration of miR-330-5p mimic and its control was 50 nM, the final concentration of miR-330-5p inhibitor and its control was 100 nM, and plasmid content was 500 ng. After 48 h, using the Dual-Luciferase® Reporter assay kit (Promega Corporation, Madison, WI, USA) according to the manufacturer's protocol, the degree of activation of the target reporter gene in different samples was compared on the basis of the ratio obtained. Using a GloMax®-20/20 Single Tube Luminometer (Promega Corporation) to obtain the fluorescence ratio at 465 nm (Renilla luciferase)/560 nm (firefly luciferase). Comparing the fluorescence ratio of the experimental group and the control group to determine the accuracy of the target gene.

Co-transfection of the miR-330-5p mimic and its control with siR-RXRγ and its control

Using a protocol described previously (25), MSCs were inoculated at a density of 3.0×104 cells/well in a 24-well plate or 1.5×105 cells/well in a 6-well plate. Following transfection, 1.25 or 5 µl mimic, m-NC, siR-RXRγ-002 and siRNA negative control (siR-NC) were diluted with 50 or 200 µl 1X riboFECT™ CP buffer (Guangzhou RiboBio Co., Ltd.), respectively, and mixed with 5 or 20 µl riboFECT™ CP reagent (Guangzhou RiboBio Co., Ltd.). Cells were mixed evenly and incubated at room temperature for 15 min. The transfected complex was added to the medium without antibiotics to a volume of 500 µl or 2 ml. Following transfection for 12 h, the original cell culture medium was re-added and incubation at 37°C was performed for 48 h. Subsequently, western blotting and RT-qPCR assays were performed.

Statistical analysis

Data are presented as the mean ± standard deviation. Data were analyzed using Excel 2016 (Microsoft Corporation, Redmond, WA, USA), SPSS 20 (version 20; IBM Corp., Armonk, NY, USA) and GraphPad Prism (version 7.0; GraphPad Software, Inc., La Jolla, CA, USA). The comparison between two sample groups was analyzed using a t-test. The comparison between multiple sample groups was analyzed using analysis of variance followed by Dunnett's multiple comparisons test for post hoc analysis. P<0.05 was considered to indicate a statistically significant difference.

Results

H2O2 induces adipogenic differentiation of MSCs

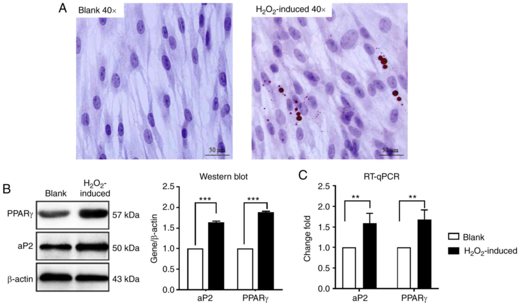
To investigate whether H2O2 affects adipocyte differentiation in MSCs, H2O2 (100 µM) was added to the culture medium. As presented in Fig. 1A, H2O2 treatment induced differentiation, as detected using an Oil Red O assay, and the number of lipid droplets increased markedly in the H2O2-induced group compared with the blank group. RT-qPCR and western blot assay also indicated that the expression of PPARγ and aP2 was also increased significantly compared with the blank control group (Fig. 1B and C). These data suggested that H2O2 induces adipogenic differentiation of MSCs.

Figure 1

H2O2 induces adipogenic differentiation of MSCs. (A) An Oil Red O assay identified that the lipid droplets were accumulated in the H2O2-induced group compared with the blank group. (B) The expression of the fat-associated genes aP2 and PPARγ was determined by western blotting. β-actin was used as a reference. (C) The expression of aP2 and PPARγ was determined by reverse transcription-quantitative polymerase chain reaction. β-actin served as the internal reference. **P<0.01, ***P<0.001 vs. the H2O2-induced group. MSC, mesenchymal stem cell; ap2, adipocyte protein 2; PPARγ, peroxisome proliferator-activated receptor γ.

miR-330-5p expression is decreased and RXRγ expression is increased in the H2O2-induced adipogenic differentiation of MSCs

To determine whether miR-330-5p expression changes during the process of H2O2-induced adipogenic differentiation, an RT-qPCR assay was performed. When adipogenic differentiation of MSCs was induced by H2O2, the expression of rno-miR-330-5p was decreased significantly compared with the blank group (Fig. 2A). A western blot assay was used to detect the expression of RXRγ, which identified that the expression of RXRγ was significantly increased in the H2O2-induced group (Fig. 2B). The results indicated that the miR-330-5p expression was decreased and RXRγ expression was increased in the H2O2-induced adipogenic differentiation of MSCs.

Figure 2

miR-330-5p expression is decreased and RXRγ expression is increased in H2O2-induced adipogenic differentiation of MSCs. (A) Expression levels of miR-330-5p in the H2O2-induced group and the blank group were determined using the reverse transcription-quantitative polymerase chain reaction. U6 was used as an internal control. (B) Expression levels of RXRγ in the H2O2-induced group and blank group were determined by western blotting. β-actin was used as an internal control. *P<0.05, **P<0.01 vs. the H2O2-induced group. miR, microRNA; RXRγ, retinoid X receptor γ; MSC, mesenchymal stem cell.

miR-330-5p inhibits H2O2-induced adipogenic differentiation of MSCs

In order to further clarify the function of miR-330-5p in the H2O2-induced adipogenic differentiation of MSCs, miR-330-5p mimic or m-NC were used to transfect MSCs, which were subjected to adipogenic differentiation when induced with H2O2. An Oil Red O assay revealed that the number of lipid droplets in the miR-330-5p mimic group was decreased compared with the H2O2-induced group and m-NC group, and cell morphology tended to be in the original form of MSCs (Fig. 3A). Western blotting also indicated that the expression of PPARγ, aP2, Glut4 and C/EBPα in the H2O2-induced group and the m-NC group was significantly increased compared with that in the blank group (Fig. 3B). In contrast, the expression of PPARγ, aP2, Glut4 and C/EBPα in the miR-330-5p mimic group was decreased (Fig. 3B). These data suggested that miR-330-5p inhibited H2O2-induced adipogenic differentiation of MSCs.

Figure 3

miR-330-5p inhibits the adipogenic differentiation process of MSCs. (A) An Oil Red O assay identified that the H2O2-induced group and the m-NC group contained large numbers of lipid droplets, and overexpression of miR-330-5p decreased the number of lipid droplets. (B) Western blotting indicated that the gene expression levels of PPARγ, aP2, Glut4 and C/EBPα in the H2O2-induced group and the m-NC group were increased compared with the blank group. Overexpression of miR-330-5p inhibited expression of the aforementioned genes. **P<0.01, ***P<0.001 vs. the H2O2-induced group; NS, not significant. miR, microRNA; MSC, mesenchymal stem cell; m-NC, mimic negative control; PPARγ, peroxisome proliferator-activated receptor γ; aP2, adipocyte protein 2; Glut4, glucose transporter 4; C/EBPα, CCAAT/enhancer-binding protein α.

RXRγ is a potential target of miR-330-5p

The aforementioned results suggested that miR-330-5p negatively regulated adipogenesis and increased RXRγ. Bioinformatics predicted the miR-330-5p sequence. GGGUCUC was associated with the RXRγ gene sequence CCCAGAG (Fig. 4A). To determine whether RXRγ is targeted to miR-330-5p through this sequence, luciferase reporters were constructed that had either a WT 3′-UTR or a 3′-UTR containing mutant sequences of the miR-330-5p-binding site. It was revealed that overexpression of miR-330-5p significantly inhibited the luciferase reporter activity of the WT RXRγ 3′-UTR, but not that of the mutated 3′-UTR or the 3′-UTR of another gene (Fig. 4B). These results indicated that miR-330-5p may directly regulate RXRγ expression. Further experiments confirmed that miR-330-5p overexpression significantly suppressed the expression of RXRγ, at the mRNA and protein levels compared with the m-NC group (Fig. 4C and D). These results indicated that RXRγ is a target gene of miR-330-5p.

Figure 4

RXRγ is a potential target of miR-330-5p. (A) RXRγ was predicted by miRbase, miRWalk2.0, microRNA.org and FINDTAR3 target prediction websites, and the construction of pLUC-RXRγ-WT and pLUC-RXRγ-MUT was conducted by Shenzhen Huaan Ping Kang Bio Technology, Inc., Shenzhen, China. (B) Dual-luciferase reporter gene results indicated that there is an association between miR-330-5p and RXRγ. (C) Western blotting results identified that in MSCs, transfection of miR-330-5p mimic decreased RXRγ expression compared with the m-NC group, and transfection of the miR-330-5p inhibitor was reversed. (D) Reverse transcription-quantitative polymerase chain reaction results identified that RXRγ mRNA decreased in the miR-330-5p group. *P<0.05, **P<0.01, ***P<0.001 vs. the respective NC groups; NS, not significant. RXRγ, retinoid X receptor γ; miR, microRNA; MSC, mesenchymal stem cell; m-NC, mimic negative control; WT, wild-type; MUT, mutant; i-NC, inhibitor negative control.

Silencing RXRγ inhibits adipogenic differentiation of MSCs

To further understand the effect of RXRγ on MSCs adipogenesis, siR-RXRγ-001, siR-RXRγ-002 or siR-RXRγ-003 were transfected into MSCs. Western blotting and RT-qPCR analysis verified that siR-RXRγ-002 effectively suppressed the expression of RXRγ at the protein and mRNA levels compared with the siR-NC group (Fig. 5A and B). The decrease in RXRγ significantly inhibited the expression levels of the adipogenic marker genes PPARγ, aP2, Glut4 and C/EBPα compared with the H2O2-induced group, as indicated by western blotting (Fig. 5C). The Oil Red O assay clearly indicated that the downregulation of RXRγ also resulted in decreases in the accumulation of lipid droplets (Fig. 5D). The data demonstrated that the downregulation of RXRγ effectively inhibited H2O2-induced adipogenic differentiation of MSCs.

Figure 5

Silencing of RXRγ inhibits adipogenic differentiation of MSCs. Screening of the optimal silent fragments by transfection into rat MSCs. The second RXRγ siRNA fragment silencing effect was selected by (A) western blotting and (B) reverse transcription-quantitative polymerase chain reaction assay, and β-actin was used as the internal reference for the two experiments. *P<0.05, **P<0.01 vs. the siR-NC group. (C) Western blotting indicated that the expression levels of PPARγ, aP2, Glut4 and C/EBPα were decreased following silencing of RXRγ. β-actin was used as an internal reference. *P<0.05, ***P<0.001 vs. the H2O2-induced group; NS, not significant. (D) An Oil Red O assay identified that the silencing of RXRγ decreased the number of lipid droplets. RXRγ, retinoid X receptor γ; MSC, mesenchymal stem cell; siRNA/siR, short interfering RNA; NC, negative control; PPARγ, peroxisome proliferator-activated receptor γ; aP2, adipocyte protein 2; Glut4, glucose transporter 4; C/EBPα, CCAAT/enhancer-binding protein α.

miR-330-5p inhibition of H2O2-induced adipogenic differentiation of MSCs is dependent on RXRγ

From the aforementioned experiments, it may be concluded that miR-330-5p and RXRγ are different in the process of adipogenic differentiation of MSCs. RXRγ positively regulated the adipogenic differentiation of MSCs, whereas miR-330-5p negatively regulated the process. Experiments have confirmed that miR-330-5p specifically regulated RXRγ expression; it was therefore hypothesized that miR-330-5p inhibited MSCs differentiation by directly targeting RXRγ, from the miR-330-5p/RXRγ signaling pathway. To demonstrate that miR-330-5p inhibited RXRγ-dependent adipogenic differentiation, miR-330-5p and RXRγ-interfering fragments were co-transfected into MSCs. The western blot assay results revealed that when siR-NC was co-transfected with miR-330-5p mimic, inhibitor and negative control, the expression of RXRγ in the mimic + siR-NC group was decreased compared with that of the m-NC + siR-NC group and the effects of the inhibitor + siR-NC group were the opposite. However, on co-transfection with miR-330-5p and siR-RXRγ-002, the expression of RXRγ was significantly less in the mimic + siR-RXRγ-002 group (Fig. 6A). RT-qPCR results also identified that RXRγ mRNA levels were significantly decreased in the mimic + siR-RXRγ-002 group (Fig. 6B). The western blot assay revealed that transfection of mimic, without silencing of RXRγ (i.e. siR-NC + mimic group), was able to decrease the expression of PPARγ, C/EBPα and Acrp30, but following transfection of mimic and silent RXRγ (i.e. siR-RXRγ + mimic group), the decrease in PPARγ, C/EBPα and Acrp30 was greater. Silencing RXRγ without transfection of mimic (i.e. siR-RXRγ + m-NC group) was able to decrease the expression of PPARγ, C/EBPα and Acrp30; however, the decrease in PPARγ, C/EBPα and Acrp30 was greater following transfection of mimic and silent RXRγ (i.e. siR-RXRγ + mimic group). Briefly, co-transfection of miR-330-5p mimic with siR-RXRγ-002 significantly decreased the expression of PPARγ, C/EBPα and Acrp30 compared with the H2O2-induced group, the siR-NC + m-NC group, the siR-NC + mimic group or the siR- RXRγ + m-NC group (Fig. 6C). The gain of miR-330-5p function promoted the inhibitory effect on adipogenesis of RXRγ siRNA. These results indicated that miR-330-5p inhibited H2O2-induced adipogenic differentiation of MSCs, dependent on RXRγ.

Figure 6

Inhibitory effects of miR-330-5p on H2O2-induced adipogenic differentiation of MSCs depend on RXRγ. (A) Western blotting and (B) RT-qPCR detected the protein and mRNA level of RXRγ, respectively. **P<0.01 vs. the respective NC groups; NS, not significant. (C) Western blotting indicated that the expression levels of PPARγ, C/EBPα and Acrp30 in the siR-RXRγ + mimic group were significantly decreased compared with the H2O2-induced group, the siR-NC + m-NC group, the siR-NC + mimic group or the siR-RXRγ + m-NC group. *P<0.05, **P<0.01 vs. the H2O2-induced group; NS, not significant. miR, microRNA; MSC, mesenchymal stem cell; RXRγ, retinoid X receptor γ; NC, negative control; PPARγ, peroxisome proliferator-activated receptor γ; C/EBPα, CCAAT/enhancer-binding protein α; Acrp30, 30 kDa adipocyte complement-related protein; siR, short interfering RNA.

Discussion

Oxidative stress has been associated with increased dysfunctional adipogenesis (5,26-28), but its molecular mechanism is unclear. Adipogenic differentiation of MSCs contributes greatly to metabolic diseases. Therefore, it is of the utmost importance to explore the positive and negative regulators of adipogenic differentiation of MSCs. The results may provide promising therapeutic targets for metabolic diseases. The present study used an H2O2-treated MSC model to simulate a number of significant characteristics in the process of metabolic disorders of fat, to identify further the function of miRNAs in regulating adipogenic differentiation of MSCs induced by oxidative stress. The principal results of the present study were: i) Low concentration of H2O2-induced adipogenic differentiation of MSCs; ii) miR-330-5p was downregulated, accompanied by upregulated RXRγ during H2O2- induced adipogenic differentiation of MSCs; iii) miR-330-5p was demonstrated to be a negative regulator of H2O2-induced adipogenic differentiation of MSCs; iv) RXRγ was demonstrated to be a positive regulator of H2O2-induced adipogenic differentiation of MSCs; and v) RXRγ was identified as a direct target of miR-330-5p. These results suggested that the miR-330-5p/RXRγ signaling pathway is an important part of the regulatory mechanisms involved in early adipogenesis and that the miR-330-5p/RXRγ signaling pathway may be a key target for drug development in metabolic diseases.

The key result of the present study is that miR-330-5p is a negative regulator of H2O2-induced adipogenic differentiation of MSCs. A recent study identified that miR-330-5p may be associated with cancer progression (29) and may regulate leukemia (30). However, the regulatory function of miR-330-5p on adipogenic differentiation of MSCs has not been reported. Compared with the younger MSCs, miR-330-5p is altered in the aging MSCs (31). Aging is associated with oxidative stress, and it was hypothesized that miR-330-5p serves a function in adipogenic differentiation of MSCs induced by oxidative stress. To confirm the hypothesis, H2O2-induced adipogenic differentiation of MSCs was used, which is an established cell model (20). MSCs have been widely used for elucidating the molecular mechanisms involved in adipogenesis (32). In the present study, miR-330-5p was downregulated in H2O2-induced adipogenic differentiation of MSCs. Therefore, it was further inferred that miR-330-5p is a negative regulator of H2O2-induced adipogenic differentiation of MSCs. Furthermore, the data suggested that overexpression of miR-330-5p inhibited the process of adipogenic differentiation induced by H2O2, which indicated that miR-330-5p is indeed a negative regulator of H2O2-induced adipogenic differentiation of MSCs. These results may provide a new regulatory function of miR-330-5p in the process of H2O2- induced adipogenic differentiation.

The key molecular mechanism identified in the present study is that RXRγ is a direct target of miR-330-5p. RXRγ is initially associated with the development of the animal (including human) fetus and is used to detect genetic variation associated with growth, reproduction, selection of metabolic characteristics and breeding (33). RXRγ, expressed in white and brown fat cells, increases markedly following the differentiation of lipids (34). Previous studies have identified that RXRγ is crucial for fat differentiation since, in the late stage of adipocyte differentiation, it is able to form a heterodimer with PPAR (8,10). The RXRγ-PPARγ association is enriched near the 5′-region of the transcriptional start site to promote the upregulation of gene transcription associated with fatty acid and lipid metabolism. RXRγ is activated to modify the whole genome histone 3 Lys27 trimethylation, promoting adipogenic differentiation. It has been identified that the expression of the adipose differentiation-associated protein is regulated by RXRγ, which accelerates the accumulation of neutral lipid (35). It has also been identified that RXRγ contributes to the genetic background of familial combined hyperlipidemia (36). Therefore, RXRγ is a novel target for the treatment of adipose disease (37). In view of this, investigation has focused on RXRγ. In the present study, expression of RXRγ was positively associated with H2O2-induced adipogenic differentiation of MSCs. Using target prediction tools, including miRWalk2.0 and microRNA.org, it was observed that RXRγ is one target of miR-330-5p. The luciferase activity result revealed that overexpression of miR-330-5p mimic suppressed RXRγ expression. However, this effect was abolished when a luciferase reporter containing a mutant 3′-UTR of RXRγ was co-transfected with mimic miR-330-5p, thus confirming the specificity of action. Enforced expression of miR-330-5p significantly inhibited adipocyte differentiation by decreasing RXRγ mRNA and protein levels. In contrast, inhibition of the endogenous miR-330-5p promoted the formation of lipid droplets by rescuing RXRγ expression. Furthermore, the effects of the inhibition of silencing RXRγ were similar to those of overexpression of miR-330-5p on H2O2-induced adipogenic differentiation from MSCs. miR-330-5p inhibited H2O2-induced adipogenic differentiation of MSCs, and this effect was dependent on RXRγ. Taken together, the results of the present study identified that miR-330-5p negatively regulates H2O2-induced adipogenic differentiation of MSCs by targeting RXRγ.

The potential molecular pathway speculated in the present study is that RXRγ regulates the adipogenesis of MSCs through the PPARγ signaling pathway. It was identified that PPARγ, C/EBPα, aP2 and Glut4 were all altered following silencing of RXRγ. PPARγ, C/EBPα and aP2 are all key genes for fat differentiation, and they all exist in the PPAR signaling pathway. Glut4 is involved in the AMP-activated protein kinase (AMPK) signaling pathway. It has been identified that the AMPK and PPARγ signaling pathways are interrelated in the process of 3T3-IL adipocyte differentiation and co-regulate the formation of adipocytes (38). Considering that RXR is more likely to form a heteropolymer with PPAR, we hypothesize that RXRγ regulates H2O2-induced adipogenic differentiation of MSCs that may be associated with the PPARγ and AMPK signaling pathways, particularly the PPARγ pathway. However, additional data are required to confirm this.

The results of the present study have a number important clinical implications. First, obesity is associated with increased risk of heart disease, stroke and diabetes. By 2016, there were >1.9 billion adults >18 years that were overweight globally, of whom >650 million were obese (39). Obesity and associated disorders lead to heavy economic burdens (40). Understanding of adipogenic differentiation of MSCs to develop effective drugs for the prevention and treatment of obesity and associated disorders is vital; alterations in adipocyte differentiation of MSCs may lead to obesity and associated disorders. The earliest symptoms of obesity and associated disorders present as a relative deficit. Therefore, sensitive and specific biomarkers for early detection are urgently required. In the present study, it was demonstrated that miR-330-5p was decreased significantly in early adipogenic differentiation. Thus, miR-330-5p may be a potential biomarker for the early diagnosis of obesity and its associated disorders. Secondly, currently, there are no therapies to prevent the progression of obesity or its associated disorders. It was revealed that miR-330-5p functions as a negative regulator of adipogenesis by repressing RXRγ expression, which in turn, may result in suppression of the RXRγ signaling pathway. Therefore, a pharmacological regulator of miR-330-5p may represent a therapeutic strategy for obesity. Thirdly, the present study employed an H2O2-induced adipogenic differentiation of MSCs and provided an example of highly efficient miRNA identification and functional dissection of the miRNA/RXRγ signaling pathway regulating stem cell fate. Further studies on the identified miRNA/RXRγ network will aid in understanding the critical molecular switches in adipogenic differentiation of MSCs, and facilitate the characterization of the miRNA basis of obesity and associated disorders as well as the development of novel therapies to treat them.

In conclusion, the present study aimed to detect the effect of miR-330-5p on the adipogenic differentiation of MSCs under oxidative stress and searching for its target genes. The results of the present study revealed that miR-330-5p functions as a negative regulator of H2O2-induced adipogenic differentiation of MSCs by repressing RXRγ expression. miR-330-5p should be considered an important candidate molecular target of adipogenic differentiation of MSCs for the development of preventive or therapeutic approaches against obesity and its associated disorders.

Acknowledgments

The authors thank Professor Saixia Zhang (School of Basic Medical Science, Guangzhou University of Chinese Medicine, Guangzhou, China) for providing the materials and methods of Oil Red O assay.

Funding

The present study was supported by the Guangdong Provincial Natural Science Foundation of China (grant no. 2017A030312009) and Guangdong Provincial Science and Technology Plan Project (grant no. 2016A050503039).

Availability of data and materials

The analyzed datasets generated during the study are available from the corresponding author on reasonable request.

Authors' contributions

WH performed the experiments and wrote the manuscript; KL performed the experiments; AL performed experimental technical guidance; ZY provided the reagents/materials; CH analyzed the data; DC and HW conceived and designed the experiments. All authors have read and approved the final manuscript.

Ethics approval and consent to participate

Not applicable.

Patient consent for publication

Not applicable.

Competing interests

The authors declare that they have no competing interests.

References

1 

Bidwell AJ: Chronic fructose ingestion as a major health concern: Is a sedentary lifestyle making it worse? A review. Nutrients. 9:E5492017. View Article : Google Scholar : PubMed/NCBI

2 

Savini I, Gasperi V and Catani MV: Oxidative stress and obesity. Springer International Publishing; 2016

3 

Morihiro M and Iichiro S: Oxidative stress and obesity: Their impact on metabolic syndrome. 2013.

4 

Tormos KV, Anso E, Hamanaka RB, Eisenbart J, Joseph J, Kalyanaraman B and Chandel NS: Mitochondrial complex III ROS regulate adipocyte differentiation. Cell Metab. 14:537–544. 2011. View Article : Google Scholar : PubMed/NCBI

5 

Kanda Y, Hinata T, Kang SW and Watanabe Y: Reactive oxygen species mediate adipocyte differentiation in mesenchymal stem cells. Life Sciences. 89:250–258. 2011. View Article : Google Scholar : PubMed/NCBI

6 

Evans RM and Mangelsdorf DJ: Nuclear receptors, RXR, and the Big Bang. Cell. 157:255–266. 2014. View Article : Google Scholar : PubMed/NCBI

7 

Svensson PA, Lindberg K, Hoffmann JM, Taube M, Pereira MJ, Mohsen-Kanson T, Hafner AL, Rizell M, Palming J, Dani C and Svensson MK: Characterization of brown adipose tissue in the human perirenal depot. Obesity (Silver Spring). 22:1830–1837. 2014. View Article : Google Scholar

8 

Shoucri BM, Martinez ES, Abreo TJ, Hung VT, Moosova Z, Shioda T and Blumberg B: Retinoid X receptor activation alters the chromatin landscape to commit mesenchymal stem cells to the adipose lineage. Endocrinology. 158:3109–3125. 2017. View Article : Google Scholar : PubMed/NCBI

9 

Ijpenberg A, Tan NS, Gelman L, Kersten S, Seydoux J, Xu J, Metzger D, Canaple L, Chambon P, Wahli W and Desvergne B: In vivo activation of PPAR target genes by RXR homodimers. EMBO J. 23:2083–2091. 2004. View Article : Google Scholar : PubMed/NCBI

10 

Hamza MS, Pott S, Vega VB, Thomsen JS, Kandhadayar GS, Ng PWP, Chiu KP, Pettersson S, Wei CL, Ruan Y and Liu ET: De-Novo identification of PPARgamma/RXR binding sites and direct targets during adipogenesis. PLoS One. 4:e49072009. View Article : Google Scholar : PubMed/NCBI

11 

Agarwal VR, Bischoff ED, Hermann T and Lamph WW: Induction of adipocyte-specific gene expression is correlated with mammary tumor regression by the retinoid X receptor-ligand LGD1069 (targretin). Cancer Res. 60:6033–6038. 2000.PubMed/NCBI

12 

Cao J, Ma Y, Yao W, Zhang X and Wu D: Retinoids regulate adipogenesis involving the TGFβ/SMAD and Wnt/β-catenin pathways in human bone marrow mesenchymal stem cells. Int J Mol Sci. 18:E8422017. View Article : Google Scholar

13 

Ebert M and Sharp P: Roles for MicroRNAs in conferring robustness to biological processes. Cell. 149:515–524. 2012. View Article : Google Scholar : PubMed/NCBI

14 

Hamam D, Ali D, Vishnubalaji R, Hamam R, Al-Nbaheen M, Chen L, Kassem M, Aldahmash A and Alajez NM: microRNA-320/RUNX2 axis regulates adipocytic differentiation of human mesenchymal (skeletal) stem cells. Cell Death Dis. 5:e14992014. View Article : Google Scholar : PubMed/NCBI

15 

Kim SY, Kim AY, Lee HW, Son YH, Lee GY, Lee JW, Lee YS and Kim JB: miR-27a is a negative regulator of adipocyte differentiation via suppressing PPARgamma expression. Biochem Biophys Res Commun. 392:323–328. 2010. View Article : Google Scholar : PubMed/NCBI

16 

Lee EK, Lee MJ, Abdelmohsen K, Kim W, Kim MM, Srikantan S, Martindale JL, Hutchison ER, Kim HH, Marasa BS, et al: miR-130 suppresses adipogenesis by inhibiting peroxisome proliferator-activated receptor gamma expression. Mol Cell Biol. 31:626–638. 2011. View Article : Google Scholar

17 

Kang M, Yan LM, Zhang WY, Li YM, Tang AZ and Ou HS: Role of microRNA-21 in regulating 3T3-L1 adipocyte differentiation and adiponectin expression. Mol Biol Rep. 40:5027–5034. 2013. View Article : Google Scholar : PubMed/NCBI

18 

Furukawa S, Fujita T, Shimabukuro M, Iwaki M, Yamada Y, Nakajima Y, Nakayama O, Makishima M, Matsuda M and Shimomura I: Increased oxidative stress in obesity and its impact on metabolic syndrome. J Clin Invest. 114:1752–1761. 2005. View Article : Google Scholar

19 

Lin CH, Li NT, Cheng HS and Yen ML: Oxidative stress induces imbalance of adipogenic/osteoblastic lineage commitment in mesenchymal stem cells through decreasing SIRT1 functions. J Cell Mol Med. 22:786–796. 2018.

20 

Lee H, Lee YJ, Choi H, Ko EH and Kim JW: Reactive oxygen species facilitate adipocyte differentiation by accelerating mitotic clonal expansion. J Biol Chem. 284:10601–10609. 2009. View Article : Google Scholar : PubMed/NCBI

21 

Zhou J, Li H, Song S, Chen J, Du S, Li Y and Chen D: Effects of H2O2 on proliferation of bone marrow mesenchymal stem cell. Guangdong Med J. 26:1199–1200. 2005.In Chinese.

22 

Livak KJ and Schmittgen TD: Analysis of relative gene expression data using real-time quantitative PCR and the 2(-Delta Delta C(T)) method. Methods. 25:402–408. 2001. View Article : Google Scholar

23 

Hopper N, Wardale J, Howard D, Brooks R, Rushton N and Henson F: Peripheral blood derived mononuclear cells enhance the migration and chondrogenic differentiation of multipotent mesenchymal stromal cells. Stem Cells Int. 2015:3234542015. View Article : Google Scholar : PubMed/NCBI

24 

Wang H, Zheng Y, Wang G and Li H: Identification of microRNA and bioinformatics target gene analysis in beef cattle intramuscular fat and subcutaneous fat. Mol Biosyst. 9:2154–2162. 2013. View Article : Google Scholar : PubMed/NCBI

25 

Mao C, Zhang J, Lin S, Jing L, Xiang J, Wang M, Wang B, Xu P, Liu W, Song X and Lv C: miRNA-30a inhibits AECs-II apoptosis by blocking mitochondrial fission dependent on Drp-1. J Cell Mol Med. 18:2404–2416. 2014. View Article : Google Scholar : PubMed/NCBI

26 

Turker I, Zhang Y, Zhang Y and Rehman J: Oxidative stress as a regulator of adipogenesis. FASEB J. 21:A1053. 2007.

27 

Youn JY, Siu KL, Lob HE, Itani H, Harrison DG and Cai H: Role of vascular oxidative stress in obesity and metabolic syndrome. Diabetes. 63:2344–2355. 2014. View Article : Google Scholar : PubMed/NCBI

28 

Tumova E, Sun W, Jones PH, Vrablik M, Ballantyne CM and Hoogeveen RC: The impact of rapid weight loss on oxidative stress markers and the expression of the metabolic syndrome in obese individuals. J Obes. 2013:7295152013. View Article : Google Scholar

29 

Fu X, Zhang L, Dan L, Wang K and Xu Y: LncRNA EWSAT1 promotes ovarian cancer progression through targeting miR-3305pexpression. Am J Transl Res. 9:4094–4103. 2017.

30 

Fooladinezhad H, Khanahmad H, Ganjalikhani-Hakemi M and Doosti A: Negative regulation of TIM-3 expression in AML cell line (HL-60) using miR-3305p. Br J Biomed Sci. 73:129–133. 2016. View Article : Google Scholar : PubMed/NCBI

31 

Yoo JK, Kim CH, Jung HY, Lee DR and Kim JK: Discovery and characterization of miRNA during cellular senescence in bone marrow-derived human mesenchymal stem cells. Exp Gerontol. 58:139–145. 2014. View Article : Google Scholar : PubMed/NCBI

32 

Kim DH, Vanella L, Inoue K, Burgess A, Gotlinger K, Manthati VL, Koduru SR, Zeldin DC, Falck JR, Schwartzman ML and Abraham NG: Epoxyeicosatrienoic acid agonist regulates human mesenchymal stem cell-derived adipocytes through activation of HO-1-pAKT signaling and a decrease in PPARγ. Stem Cells Dev. 19:1863–1873. 2010. View Article : Google Scholar : PubMed/NCBI

33 

Nair U, Bartsch H and Nair J: Lipid peroxidation-induced DNA damage in cancer-prone inflammatory diseases: A review of published adduct types and levels in humans. Free Radic Biol Med. 43:1109–1120. 2007. View Article : Google Scholar : PubMed/NCBI

34 

Nielsen S, Åkerström T, Rinnov A, Yfanti C, Scheele C, Pedersen BK and Laye MJ: The miRNA plasma signature in response to acute aerobic exercise and endurance training. PLoS One. 9:e873082014. View Article : Google Scholar : PubMed/NCBI

35 

Suzuki K, Takahashi K, Nishimaki-Mogami T, Kagechika H, Yamamoto M and Itabe H: Docosahexaenoic acid induces adipose differentiation-related protein through activation of retinoid x receptor in human choriocarcinoma BeWo cells. Biol Pharm Bull. 32:1177–1182. 2009. View Article : Google Scholar : PubMed/NCBI

36 

Nohara A, Kawashiri MA, Claudel T, Mizuno M, Tsuchida M, Takata M, Katsuda S, Miwa K, Inazu A, Kuipers F, et al: High frequency of a retinoid X receptor gamma gene variant in familial combined hyperlipidemia that associates with atherogenic dyslipidemia. Arterioscl Throm Vasc Biol. 27:923–928. 2007. View Article : Google Scholar

37 

Blumberg B: Obesogens, stem cells and the maternal programming of obesity. J Dev Orig Health Dis. 2:3–8. 2011. View Article : Google Scholar : PubMed/NCBI

38 

Jiang S, Wang W, Miner J and Fromm M: Cross regulation of sirtuin 1, AMPK, and PPARgamma in conjugated linoleic acid treated adipocytes. PLoS One. 7:e488742012. View Article : Google Scholar

39 

World Health Organizstion Western Pacific Region (WPRO): Reports of obesity and overweight. http://www.who.int/media-centre/factsheets/fs311/zh/. Accessed Jan 27, 2018.

40 

Schwartz MW, Seeley RJ, Zeltser LM, Drewnowski A, Ravussin E, Redman LM and Leibel RL: Obesity pathogenesis: An endocrine society scientific statement. Endocr Rev. 38:267–296. 2017. View Article : Google Scholar : PubMed/NCBI

Related Articles

  • Abstract
  • View
  • Download
  • Twitter
Copy and paste a formatted citation
Spandidos Publications style
Huang W, Li K, Liu A, Yang Z, Hu C, Chen D and Wang H: miR‑330‑5p inhibits H2O2‑induced adipogenic differentiation of MSCs by regulating RXRγ. Int J Mol Med 42: 2042-2052, 2018.
APA
Huang, W., Li, K., Liu, A., Yang, Z., Hu, C., Chen, D., & Wang, H. (2018). miR‑330‑5p inhibits H2O2‑induced adipogenic differentiation of MSCs by regulating RXRγ. International Journal of Molecular Medicine, 42, 2042-2052. https://doi.org/10.3892/ijmm.2018.3773
MLA
Huang, W., Li, K., Liu, A., Yang, Z., Hu, C., Chen, D., Wang, H."miR‑330‑5p inhibits H2O2‑induced adipogenic differentiation of MSCs by regulating RXRγ". International Journal of Molecular Medicine 42.4 (2018): 2042-2052.
Chicago
Huang, W., Li, K., Liu, A., Yang, Z., Hu, C., Chen, D., Wang, H."miR‑330‑5p inhibits H2O2‑induced adipogenic differentiation of MSCs by regulating RXRγ". International Journal of Molecular Medicine 42, no. 4 (2018): 2042-2052. https://doi.org/10.3892/ijmm.2018.3773
Copy and paste a formatted citation
x
Spandidos Publications style
Huang W, Li K, Liu A, Yang Z, Hu C, Chen D and Wang H: miR‑330‑5p inhibits H2O2‑induced adipogenic differentiation of MSCs by regulating RXRγ. Int J Mol Med 42: 2042-2052, 2018.
APA
Huang, W., Li, K., Liu, A., Yang, Z., Hu, C., Chen, D., & Wang, H. (2018). miR‑330‑5p inhibits H2O2‑induced adipogenic differentiation of MSCs by regulating RXRγ. International Journal of Molecular Medicine, 42, 2042-2052. https://doi.org/10.3892/ijmm.2018.3773
MLA
Huang, W., Li, K., Liu, A., Yang, Z., Hu, C., Chen, D., Wang, H."miR‑330‑5p inhibits H2O2‑induced adipogenic differentiation of MSCs by regulating RXRγ". International Journal of Molecular Medicine 42.4 (2018): 2042-2052.
Chicago
Huang, W., Li, K., Liu, A., Yang, Z., Hu, C., Chen, D., Wang, H."miR‑330‑5p inhibits H2O2‑induced adipogenic differentiation of MSCs by regulating RXRγ". International Journal of Molecular Medicine 42, no. 4 (2018): 2042-2052. https://doi.org/10.3892/ijmm.2018.3773
Follow us
  • Twitter
  • LinkedIn
  • Facebook
About
  • Spandidos Publications
  • Careers
  • Cookie Policy
  • Privacy Policy
How can we help?
  • Help
  • Live Chat
  • Contact
  • Email to our Support Team