Spandidos Publications Logo
  • About
    • About Spandidos
    • Aims and Scopes
    • Abstracting and Indexing
    • Editorial Policies
    • Reprints and Permissions
    • Job Opportunities
    • Terms and Conditions
    • Contact
  • Journals
    • All Journals
    • Oncology Letters
      • Oncology Letters
      • Information for Authors
      • Editorial Policies
      • Editorial Board
      • Aims and Scope
      • Abstracting and Indexing
      • Bibliographic Information
      • Archive
    • International Journal of Oncology
      • International Journal of Oncology
      • Information for Authors
      • Editorial Policies
      • Editorial Board
      • Aims and Scope
      • Abstracting and Indexing
      • Bibliographic Information
      • Archive
    • Molecular and Clinical Oncology
      • Molecular and Clinical Oncology
      • Information for Authors
      • Editorial Policies
      • Editorial Board
      • Aims and Scope
      • Abstracting and Indexing
      • Bibliographic Information
      • Archive
    • Experimental and Therapeutic Medicine
      • Experimental and Therapeutic Medicine
      • Information for Authors
      • Editorial Policies
      • Editorial Board
      • Aims and Scope
      • Abstracting and Indexing
      • Bibliographic Information
      • Archive
    • International Journal of Molecular Medicine
      • International Journal of Molecular Medicine
      • Information for Authors
      • Editorial Policies
      • Editorial Board
      • Aims and Scope
      • Abstracting and Indexing
      • Bibliographic Information
      • Archive
    • Biomedical Reports
      • Biomedical Reports
      • Information for Authors
      • Editorial Policies
      • Editorial Board
      • Aims and Scope
      • Abstracting and Indexing
      • Bibliographic Information
      • Archive
    • Oncology Reports
      • Oncology Reports
      • Information for Authors
      • Editorial Policies
      • Editorial Board
      • Aims and Scope
      • Abstracting and Indexing
      • Bibliographic Information
      • Archive
    • Molecular Medicine Reports
      • Molecular Medicine Reports
      • Information for Authors
      • Editorial Policies
      • Editorial Board
      • Aims and Scope
      • Abstracting and Indexing
      • Bibliographic Information
      • Archive
    • World Academy of Sciences Journal
      • World Academy of Sciences Journal
      • Information for Authors
      • Editorial Policies
      • Editorial Board
      • Aims and Scope
      • Abstracting and Indexing
      • Bibliographic Information
      • Archive
    • International Journal of Functional Nutrition
      • International Journal of Functional Nutrition
      • Information for Authors
      • Editorial Policies
      • Editorial Board
      • Aims and Scope
      • Abstracting and Indexing
      • Bibliographic Information
      • Archive
    • International Journal of Epigenetics
      • International Journal of Epigenetics
      • Information for Authors
      • Editorial Policies
      • Editorial Board
      • Aims and Scope
      • Abstracting and Indexing
      • Bibliographic Information
      • Archive
    • Medicine International
      • Medicine International
      • Information for Authors
      • Editorial Policies
      • Editorial Board
      • Aims and Scope
      • Abstracting and Indexing
      • Bibliographic Information
      • Archive
  • Articles
  • Information
    • Information for Authors
    • Information for Reviewers
    • Information for Librarians
    • Information for Advertisers
    • Conferences
  • Language Editing
Spandidos Publications Logo
  • About
    • About Spandidos
    • Aims and Scopes
    • Abstracting and Indexing
    • Editorial Policies
    • Reprints and Permissions
    • Job Opportunities
    • Terms and Conditions
    • Contact
  • Journals
    • All Journals
    • Biomedical Reports
      • Information for Authors
      • Editorial Policies
      • Editorial Board
      • Aims and Scope
      • Abstracting and Indexing
      • Bibliographic Information
      • Archive
    • Experimental and Therapeutic Medicine
      • Information for Authors
      • Editorial Policies
      • Editorial Board
      • Aims and Scope
      • Abstracting and Indexing
      • Bibliographic Information
      • Archive
    • International Journal of Epigenetics
      • Information for Authors
      • Editorial Policies
      • Editorial Board
      • Aims and Scope
      • Abstracting and Indexing
      • Bibliographic Information
      • Archive
    • International Journal of Functional Nutrition
      • Information for Authors
      • Editorial Policies
      • Editorial Board
      • Aims and Scope
      • Abstracting and Indexing
      • Bibliographic Information
      • Archive
    • International Journal of Molecular Medicine
      • Information for Authors
      • Editorial Policies
      • Editorial Board
      • Aims and Scope
      • Abstracting and Indexing
      • Bibliographic Information
      • Archive
    • International Journal of Oncology
      • Information for Authors
      • Editorial Policies
      • Editorial Board
      • Aims and Scope
      • Abstracting and Indexing
      • Bibliographic Information
      • Archive
    • Medicine International
      • Information for Authors
      • Editorial Policies
      • Editorial Board
      • Aims and Scope
      • Abstracting and Indexing
      • Bibliographic Information
      • Archive
    • Molecular and Clinical Oncology
      • Information for Authors
      • Editorial Policies
      • Editorial Board
      • Aims and Scope
      • Abstracting and Indexing
      • Bibliographic Information
      • Archive
    • Molecular Medicine Reports
      • Information for Authors
      • Editorial Policies
      • Editorial Board
      • Aims and Scope
      • Abstracting and Indexing
      • Bibliographic Information
      • Archive
    • Oncology Letters
      • Information for Authors
      • Editorial Policies
      • Editorial Board
      • Aims and Scope
      • Abstracting and Indexing
      • Bibliographic Information
      • Archive
    • Oncology Reports
      • Information for Authors
      • Editorial Policies
      • Editorial Board
      • Aims and Scope
      • Abstracting and Indexing
      • Bibliographic Information
      • Archive
    • World Academy of Sciences Journal
      • Information for Authors
      • Editorial Policies
      • Editorial Board
      • Aims and Scope
      • Abstracting and Indexing
      • Bibliographic Information
      • Archive
  • Articles
  • Information
    • For Authors
    • For Reviewers
    • For Librarians
    • For Advertisers
    • Conferences
  • Language Editing
Login Register Submit
  • This site uses cookies
  • You can change your cookie settings at any time by following the instructions in our Cookie Policy. To find out more, you may read our Privacy Policy.

    I agree
Search articles by DOI, keyword, author or affiliation
Search
Advanced Search
presentation
International Journal of Molecular Medicine
Join Editorial Board Propose a Special Issue
Print ISSN: 1107-3756 Online ISSN: 1791-244X
Journal Cover
November-2021 Volume 48 Issue 5

Full Size Image

Sign up for eToc alerts
Recommend to Library

Journals

International Journal of Molecular Medicine

International Journal of Molecular Medicine

International Journal of Molecular Medicine is an international journal devoted to molecular mechanisms of human disease.

International Journal of Oncology

International Journal of Oncology

International Journal of Oncology is an international journal devoted to oncology research and cancer treatment.

Molecular Medicine Reports

Molecular Medicine Reports

Covers molecular medicine topics such as pharmacology, pathology, genetics, neuroscience, infectious diseases, molecular cardiology, and molecular surgery.

Oncology Reports

Oncology Reports

Oncology Reports is an international journal devoted to fundamental and applied research in Oncology.

Experimental and Therapeutic Medicine

Experimental and Therapeutic Medicine

Experimental and Therapeutic Medicine is an international journal devoted to laboratory and clinical medicine.

Oncology Letters

Oncology Letters

Oncology Letters is an international journal devoted to Experimental and Clinical Oncology.

Biomedical Reports

Biomedical Reports

Explores a wide range of biological and medical fields, including pharmacology, genetics, microbiology, neuroscience, and molecular cardiology.

Molecular and Clinical Oncology

Molecular and Clinical Oncology

International journal addressing all aspects of oncology research, from tumorigenesis and oncogenes to chemotherapy and metastasis.

World Academy of Sciences Journal

World Academy of Sciences Journal

Multidisciplinary open-access journal spanning biochemistry, genetics, neuroscience, environmental health, and synthetic biology.

International Journal of Functional Nutrition

International Journal of Functional Nutrition

Open-access journal combining biochemistry, pharmacology, immunology, and genetics to advance health through functional nutrition.

International Journal of Epigenetics

International Journal of Epigenetics

Publishes open-access research on using epigenetics to advance understanding and treatment of human disease.

Medicine International

Medicine International

An International Open Access Journal Devoted to General Medicine.

Journal Cover
November-2021 Volume 48 Issue 5

Full Size Image

Sign up for eToc alerts
Recommend to Library

  • Article
  • Citations
    • Cite This Article
    • Download Citation
    • Create Citation Alert
    • Remove Citation Alert
    • Cited By
  • Similar Articles
    • Related Articles (in Spandidos Publications)
    • Similar Articles (Google Scholar)
    • Similar Articles (PubMed)
  • Download PDF
  • Download XML
  • View XML
Article Open Access

Reversal of brain aging by targeting telomerase: A nutraceutical approach

  • Authors:
    • Dimitris Tsoukalas
    • Ana Maria Buga
    • Anca Oana Docea
    • Evangelia Sarandi
    • Radu Mitrut
    • Elisavet Renieri
    • Demetrios A. Spandidos
    • Ion Rogoveanu
    • Liliana Cercelaru
    • Mihaela Niculescu
    • Aristidis Tsatsakis
    • Daniela Calina
  • View Affiliations / Copyright

    Affiliations: Department of Clinical Pharmacy, University of Medicine and Pharmacy of Craiova, 200349 Craiova, Romania, Department of Biochemistry, University of Medicine and Pharmacy of Craiova, 200349 Craiova, Romania, Department of Toxicology, University of Medicine and Pharmacy of Craiova, 200349 Craiova, Romania, Metabolomic Medicine, Health Clinic for Autoimmune and Chronic Diseases, 10674 Athens, Greece, Department of Cardiology, University and Emergency Hospital, 050098 Bucharest, Romania, Laboratory of Toxicology and Forensic Sciences, Medical School, University of Crete, 71003 Heraklion, Greece, Laboratory of Clinical Virology, Medical School, University of Crete, 71409 Heraklion, Greece, Department of Internal Medicine, University of Medicine and Pharmacy of Craiova, 200349 Craiova, Romania, Department of Anatomy and Embryology, University of Medicine and Pharmacy of Craiova, 200349 Craiova, Romania
    Copyright: © Tsoukalas et al. This is an open access article distributed under the terms of Creative Commons Attribution License.
  • Article Number: 199
    |
    Published online on: September 10, 2021
       https://doi.org/10.3892/ijmm.2021.5032
  • Expand metrics +
Metrics: Total Views: 0 (Spandidos Publications: | PMC Statistics: )
Metrics: Total PDF Downloads: 0 (Spandidos Publications: | PMC Statistics: )
Cited By (CrossRef): 0 citations Loading Articles...

This article is mentioned in:



Abstract

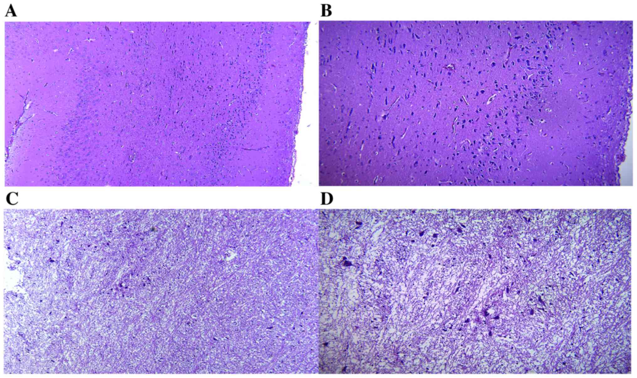
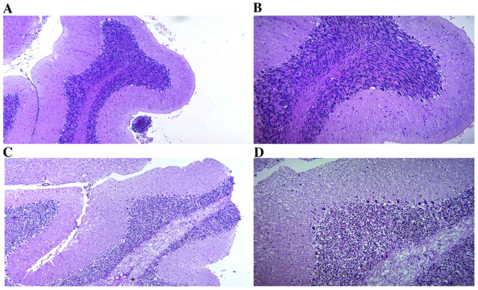
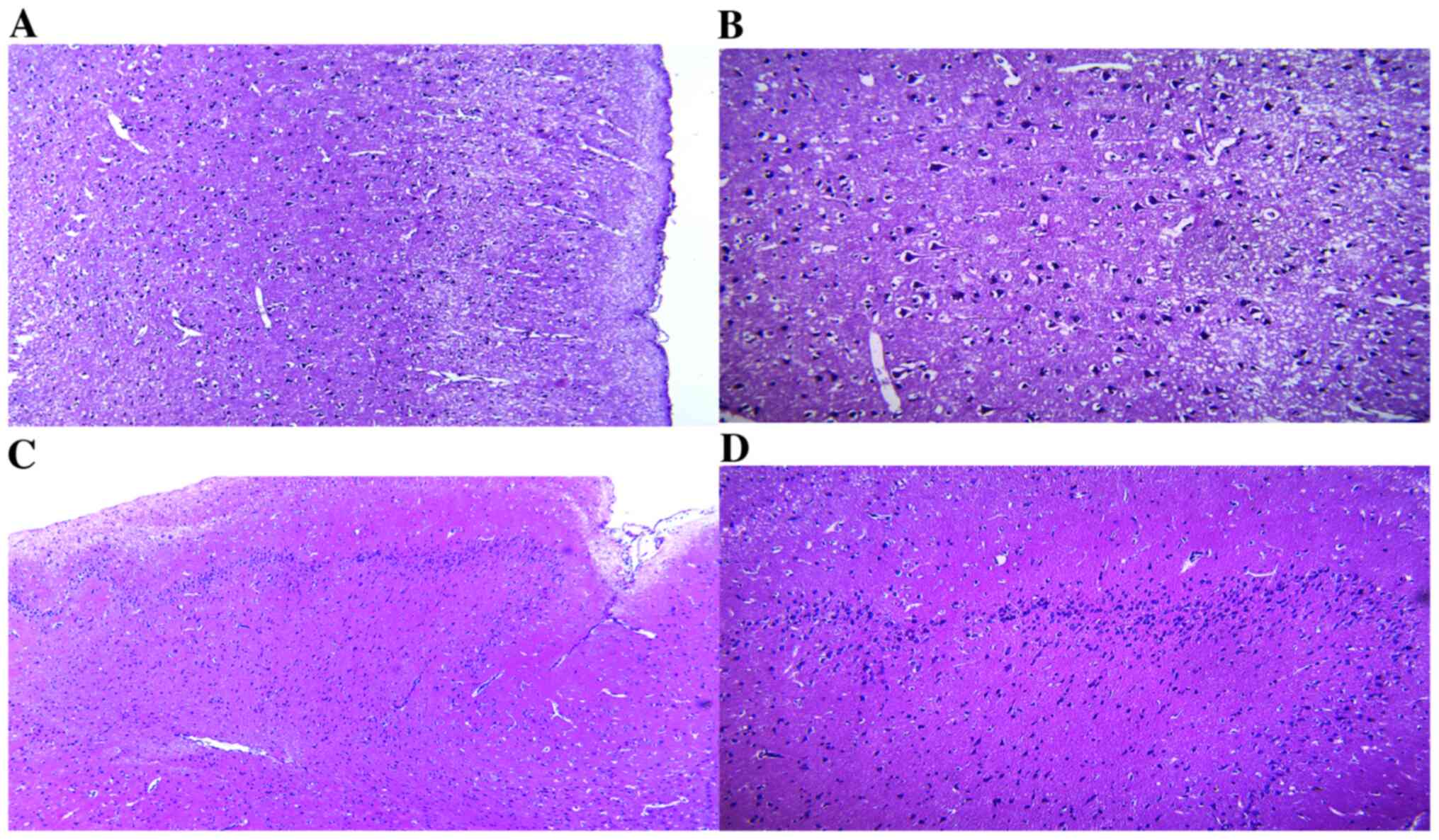
Telomeres, the protective caps of chromosomes, shorten with age, as telomerase, the enzyme responsible for the compensation of telomere erosion, is inactive in the majority of cells. Telomere shortening and subsequent cell senescence lead to tissue aging and age‑related diseases. Neurodegenerative disorders, characterized by the progressive loss of neurons among other hallmarks of aged tissue, and poor cognitive function, have been associated with a short telomere length. Thus, telomerase activity has emerged as a therapeutic target, with novel agents being under investigation. The present study aimed to examine the effects of a novel natural telomerase activator, ‘Reverse™’, containing Centella asiatica extract, vitamin C, zinc and vitamin D3 on the brains of 18‑month‑old rats. The administration of the ‘Reverse™’ supplement for 3 months restored telomerase reverse transcriptase (TERT) expression in the brains of rats, as revealed by ELISA and immunohistochemistry. In addition, the findings from PCR‑ELISA demonstrated an enhanced telomerase activity in the cerebellum and cortex cells in the brains of rats treated with the ‘Reverse™’ supplement. The histopathological findings confirmed a structural reversibility effect close to the differentiation observed in the young control group of rats treated with two capsules/kg body weight of the ‘Reverse™’ supplement. On the whole, the findings of the present study provide a strong indication that an increased telomerase activity and TERT expression may be achieved not only in the postnatal or embryonic period, but also in the brains of middle‑aged rats through nutraceutical supplementation. The use of the ‘Reverse™’ supplement may thus contribute to the potential alleviation of a number of central nervous system diseases.
View Figures

Figure 1

Figure 2

Figure 3

Figure 4

Figure 5

Figure 6

Figure 7

Figure 8

View References

1 

de Lange T: T-loops and the origin of telomeres. Nat Rev Mol Cell Biol. 5:323–329. 2004. View Article : Google Scholar

2 

Miwa S, Czapiewski R, Wan T, Bell A, Hill KN, von Zglinicki T and Saretzki G: Decreased mTOR signalling reduces mitochondrial ROS in brain via accumulation of the telomerase protein TERT within mitochondria. Aging (Albany NY). 8:2551–2567. 2016. View Article : Google Scholar

3 

Singhapol C, Pal D, Czapiewski R, Porika M, Nelson G and Saretzki GC: Mitochondrial telomerase protects cancer cells from nuclear DNA damage and apoptosis. PLoS One. 8. pp. e529892013, View Article : Google Scholar

4 

Martens A, Schmid B, Akintola O and Saretzki G: Telomerase Does Not Improve DNA Repair in Mitochondria upon Stress but Increases MnSOD Protein under Serum-Free Conditions. Int J Mol Sci. 21:212019. View Article : Google Scholar

5 

Rosen J, Jakobs P, Ale-Agha N, Altschmied J and Haendeler J: Non-canonical functions of Telomerase Reverse Transcriptase - Impact on redox homeostasis. Redox Biol. 34:101543. 2020. View Article : Google Scholar

6 

Padureanu R, Albu CV, Mititelu RR, Bacanoiu MV, Docea AO, Calina D, Padureanu V, Olaru G, Sandu RE, Malin RD, et al: Oxidative Stress and Inflammation Interdependence in Multiple Sclerosis. J Clin Med. 8:112019. View Article : Google Scholar

7 

Tsoukalas D, Fragkiadaki P, Docea AO, Alegakis AK, Sarandi E, Vakonaki E, Salataj E, Kouvidi E, Nikitovic D, Kovatsi L, et al: Association of nutraceutical supplements with longer telomere length. Int J Mol Med. 44:218–226. 2019.

8 

Tsoukalas D, Fragoulakis V, Sarandi E, Docea AO, Papakonstaninou E, Tsilimidos G, Anamaterou C, Fragkiadaki P, Aschner M, Tsatsakis A, et al: Targeted Metabolomic Analysis of Serum Fatty Acids for the Prediction of Autoimmune Diseases. Front Mol Biosci. 6:1202019. View Article : Google Scholar

9 

Tsoukalas D, Sarandi E, Thanasoula M, Docea AO, Tsilimidos G, Calina D and Tsatsakis A: Metabolic Fingerprint of Chronic Obstructive Lung Diseases: A New Diagnostic Perspective. Metabolites. 9:182019. View Article : Google Scholar

10 

Tsoukalas D, Zlatian O, Mitroi M, Renieri E, Tsatsakis A, Izotov BN, Burada F, Sosoi S, Burada E, Buga AM, et al: A Novel Nutraceutical Formulation Can Improve Motor Activity and Decrease the Stress Level in a Murine Model of Middle-Age Animals. J Clin Med. 10:6242021. View Article : Google Scholar

11 

Palm W and de Lange T: How shelterin protects mammalian telomeres. Annu Rev Genet. 42:301–334. 2008. View Article : Google Scholar

12 

Victorelli S and Passos JF: Telomeres and Cell Senescence - Size Matters Not. EBioMedicine. 21:14–20. 2017. View Article : Google Scholar

13 

Carneiro MC, de Castro IP and Ferreira MG: Telomeres in aging and disease: Lessons from zebrafish. Dis Model Mech. 9:737–748. 2016. View Article : Google Scholar

14 

Calina D, Buga AM, Mitroi M, Buha A, Caruntu C, Scheau C, Bouyahya A, El Omari N, El Menyiy N and Docea AO: The Treatment of Cognitive, Behavioural and Motor Impairments from Brain Injury and Neurodegenerative Diseases through Cannabinoid System Modulation-Evidence from In Vivo Studies. J Clin Med. 9:282020. View Article : Google Scholar

15 

Salehi B, Sestito S, Rapposelli S, Peron G, Calina D, Sharifi-Rad M, Sharopov F, Martins N and Sharifi-Rad J: Epibatidine: A Promising Natural Alkaloid in Health. Biomolecules. 9:102018. View Article : Google Scholar

16 

Salehi B, Quispe C, Chamkhi I, El Omari N, Balahbib A, Sharifi-Rad J, Bouyahya A, Akram M, Iqbal M, Docea AO, et al: Pharmacological Properties of Chalcones: A Review of Preclinical Including Molecular Mechanisms and Clinical Evidence. Front Pharmacol. 11:5926542021. View Article : Google Scholar

17 

Salehi B, Sharifi-Rad J, Cappellini F, Reiner Ž, Zorzan D, Imran M, Sener B, Kilic M, El-Shazly M, Fahmy NM, et al: The Therapeutic Potential of Anthocyanins: Current Approaches Based on Their Molecular Mechanism of Action. Front Pharmacol. 11:13002020. View Article : Google Scholar

18 

Radu G, Bordejevic AD, Buda V, Tomescu MC, Dragan I, Dehelean L, Cocos IL, Cheveresan A and Andor M: Cardiovascular risk factors for different types of psychiatric pathologies. A correlative study Farmacia. 68:835–842. 2020. View Article : Google Scholar

19 

Lex K, Maia Gil M, Lopes-Bastos B, Figueira M, Marzullo M, Giannetti K, Carvalho T and Ferreira MG: Telomere shortening produces an inflammatory environment that increases tumor incidence in zebrafish. Proc Natl Acad Sci USA. 117:15066–15074. 2020. View Article : Google Scholar

20 

Liu P, Zhao H and Luo Y: Anti-Aging Implications of Astragalus membranaceus (Huangqi): A Well-Known Chinese Tonic. Aging Dis. 8:868–886. 2017. View Article : Google Scholar

21 

Harley CB, Liu W, Flom PL and Raffaele JM: A natural product telomerase activator as part of a health maintenance program: Metabolic and cardiovascular response. Rejuvenation Res. 16:386–395. 2013. View Article : Google Scholar

22 

Tsoukalas D, Fragkiadaki P, Docea AO, Alegakis AK, Sarandi E, Thanasoula M, Spandidos DA, Tsatsakis A, Razgonova MP and Calina D: Discovery of potent telomerase activators: Unfolding new therapeutic and anti-aging perspectives. Mol Med Rep. 20:3701–3708. 2019.

23 

Institute of Medicine (US) Panel on Dietary Antioxidants Related Compounds: Dietary Reference Intakes for Vitamin C, Vitamin E, Selenium, and Carotenoids. National Academies Press (US); Washington, DC: 2000

24 

Sil S, Ghosh T, Gupta P, Ghosh R, Kabir SN and Roy A: Dual Role of Vitamin C on the Neuroinflammation Mediated Neurodegeneration and Memory Impairments in Colchicine Induced Rat Model of Alzheimer Disease. J Mol Neurosci. 60:421–435. 2016. View Article : Google Scholar

25 

Holick MF, Binkley NC, Bischoff-Ferrari HA, Gordon CM, Hanley DA, Heaney RP, Murad MH and Weaver CM: Guidelines for preventing and treating vitamin D deficiency and insufficiency revisited. J Clin Endocrinol Metab. 97:1153–1158. 2012. View Article : Google Scholar

26 

Williamson L, Hayes A, Hanson ED, Pivonka P, Sims NA and Gooi JH: High dose dietary vitamin D3 increases bone mass and strength in mice. Bone Rep. 6:44–50. 2017. View Article : Google Scholar

27 

Institute of Medicine (US) Panel on Micronutrients: Dietary Reference Intakes for Vitamin A, Vitamin K, Arsenic, Boron, Chromium, Copper, Iodine, Iron, Manganese, Molybdenum, Nickel, Silicon, Vanadium, and Zinc. National Academies Press (US); Washington, DC: 2001

28 

Rao SB, Chetana M and Uma Devi P: Centella asiatica treatment during postnatal period enhances learning and memory in mice. Physiol Behav. 86:449–457. 2005. View Article : Google Scholar

29 

Nair AB and Jacob S: A simple practice guide for dose conversion between animals and human. J Basic Clin Pharm. 7:27–31. 2016. View Article : Google Scholar

30 

Grin Y, Admoni T and Priel E: Telomerase activity in the various regions of mouse brain: Non-radioactive telomerase repeat amplification protocol (TRAP) assay. J Vis Exp. 91:e518652014.

31 

Iordache AM, Buga AM, Albulescu D, Vasile RC, Mitrut R, Georgiadis G, Zisis IE, Mamoulakis C, Tsatsakis A, Docea AO, et al: Phosphodiesterase-5 inhibitors ameliorate structural kidney damage in a rat model of contrast-induced nephropathy. Food Chem Toxicol. 143:1115352020. View Article : Google Scholar

32 

Salehi B, Prakash Mishra A, Nigam M, Karazhan N, Shukla I, Kiełtyka-Dadasiewicz A, Sawicka B, Głowacka A, Abu-Darwish MS, Hussein Tarawneh A, et al: Ficus plants: State of the art from a phytochemical, pharmacological, and toxicological perspective. Phytother Res. 35:1187–1217. 2021. View Article : Google Scholar

33 

Aloizou AM, Siokas V, Pateraki G, Liampas I, Bakirtzis C, Tsouris Z, Lazopoulos G, Calina D, Docea AO, Tsatsakis A, et al: Thinking outside the Ischemia Box: Advancements in the Use of Multiple Sclerosis Drugs in Ischemic Stroke. J Clin Med. 10:192021. View Article : Google Scholar

34 

Saretzki G and Wan T: Telomerase in Brain: The New Kid on the Block and Its Role in Neurodegenerative Diseases. Biomedicines. 9:4902021. View Article : Google Scholar

35 

Desbordes P and Cohadon F: Brain water and aging. J Gerontol. 42:655–659. 1987. View Article : Google Scholar

36 

Spear LP: The adolescent brain and age-related behavioral manifestations. Neurosci Biobehav Rev. 24:417–463. 2000. View Article : Google Scholar

37 

Morterá P and Herculano-Houzel S: Age-related neuronal loss in the rat brain starts at the end of adolescence. Front Neuroanat. 6:452012. View Article : Google Scholar

38 

Saretzki G: Telomerase, mitochondria and oxidative stress. Exp Gerontol. 44:485–492. 2009. View Article : Google Scholar

39 

Ahmed S, Passos JF, Birket MJ, Beckmann T, Brings S, Peters H, Birch-Machin MA, von Zglinicki T and Saretzki G: Telomerase does not counteract telomere shortening but protects mitochondrial function under oxidative stress. J Cell Sci. 121:1046–1053. 2008. View Article : Google Scholar

40 

Wan T, Weir EJ, Johnson M, Korolchuk VI and Saretzki GC: Increased telomerase improves motor function and alpha-synuclein pathology in a transgenic mouse model of Parkinson's disease associated with enhanced autophagy. Prog Neurobiol. 199:101953. 2021. View Article : Google Scholar

41 

Puttarak P, Dilokthornsakul P, Saokaew S, Dhippayom T, Kongkaew C, Sruamsiri R, Chuthaputti A and Chaiyakunapruk N: Effects of Centella asiatica (L.) Urb. on cognitive function and mood related outcomes: A Systematic Review and Meta-analysis. Sci Rep. 7:10646. 2017. View Article : Google Scholar

42 

Han QQ, Shen TT, Wang F, Wu PF and Chen JG: Preventive and Therapeutic Potential of Vitamin C in Mental Disorders. Curr Med Sci. 38:1–10. 2018. View Article : Google Scholar

43 

Islam MT, Salehi B, Karampelas O, Sharifi-Rad J, Docea AO, Martorell M and Calina D: High skin melanin content, vitamin D deficiency and immunity: potential interference for severity of COVID-19. Farmacia. 68:970–983. 2020. View Article : Google Scholar

44 

Sidiropoulou P, Docea AO, Nikolaou V, Katsarou MS, Spandidos DA, Tsatsakis A, Calina D and Drakoulis N: Unraveling the roles of vitamin D status and melanin during Covid-19 (Review). Int J Mol Med. 47:92–100. 2021. View Article : Google Scholar

45 

Islam MT, Quispe C, Martorell M, Docea AO, Salehi B, Calina D, Reiner Ž and Sharifi-Rad J: Dietary supplements, vitamins and minerals as potential interventions against viruses: Perspectives for COVID-19. Int J Vitam Nutr Res. Jan 13–2021.Epub ahead of print. View Article : Google Scholar

46 

Ragab D, Soliman D, Samaha D and Yassin A: Vitamin D status and its modulatory effect on interferon gamma and interleukin-10 production by peripheral blood mononuclear cells in culture. Cytokine. 85:5–10. 2016. View Article : Google Scholar

47 

Farahzadi R, Fathi E, Mesbah-Namin SA and Zarghami N: Zinc sulfate contributes to promote telomere length extension via increasing telomerase gene expression, telomerase activity and change in the TERT gene promoter CpG island methylation status of human adipose-derived mesenchymal stem cells. PLoS One. 12:e01880522017. View Article : Google Scholar

48 

Wei F, Qu C, Song T, Ding G, Fan Z, Liu D, Liu Y, Zhang C, Shi S and Wang S: Vitamin C treatment promotes mesenchymal stem cell sheet formation and tissue regeneration by elevating telomerase activity. J Cell Physiol. 227:3216–3224. 2012. View Article : Google Scholar

49 

Islam MS, Quispe C, Hossain R, Islam MT, Al-Harrasi A, Al-Rawahi A, Martorell M, Mamurova A, Seilkhan A, Altybaeva N, et al: Neuropharmacological Effects of Quercetin: A Literature-Based Review. Front Pharmacol. 12:6650312021. View Article : Google Scholar

50 

Sharifi-Rad J, Dey A, Koirala N, Shaheen S, El Omari N, Salehi B, Goloshvili T, Cirone Silva NC, Bouyahya A, Vitalini S, et al: Cinnamomum Species: Bridging Phytochemistry Knowledge, Pharmacological Properties and Toxicological Safety for Health Benefits. Front Pharmacol. 12:600139. 2021. View Article : Google Scholar

51 

Zarini GG, McLean M, Vaccaro J, Exebio J, Ajabshir S and Huffman FG: Effect of Vitamin D3 Supplementation on Telomerase Activity in Hispanics with Type 2 Diabetes. FASEB J. 30:1156.1. 2016.

52 

Salehi B, Calina D, Docea AO, Koirala N, Aryal S, Lombardo D, Pasqua L, Taheri Y, Marina Salgado Castillo C, Martorell M, et al: Curcumin's Nanomedicine Formulations for Therapeutic Application in Neurological Diseases. J Clin Med. 9:352020.

53 

Deshpande P, Gogia N and Singh A: Exploring the efficacy of natural products in alleviating Alzheimer's disease. Neural Regen Res. 14:1321–1329. 2019. View Article : Google Scholar

54 

Sharifi-Rad M, Anil Kumar NV, Zucca P, Varoni EM, Dini L, Panzarini E, Rajkovic J, Tsouh Fokou PV, Azzini E, Peluso I, et al: Lifestyle, Oxidative Stress, and Antioxidants: Back and Forth in the Pathophysiology of Chronic Diseases. Front Physiol. 11:6942020. View Article : Google Scholar

55 

Gupta C and Prakash D: Nutraceuticals for geriatrics. J Tradit Complement Med. 5:5–14. 2014. View Article : Google Scholar

56 

Sharifi-Rad J, Quispe C, Herrera-Bravo J, Martorell M, Sharopov F, Tumer TB, Kurt B, Lankatillake C, Docea AO, Moreira AC, et al: A Pharmacological Perspective on Plant-derived Bioactive Molecules for Epilepsy. Neurochem Res. 46:2205–2225. 2021. View Article : Google Scholar

57 

Wyss-Coray T: Ageing, neurodegeneration and brain rejuvenation. Nature. 539:180–186. 2016. View Article : Google Scholar

58 

Guan JZ, Guan WP, Maeda T, Guoqing X, GuangZhi W and Makino N: Patients with multiple sclerosis show increased oxidative stress markers and somatic telomere length shortening. Mol Cell Biochem. 400:183–187. 2015. View Article : Google Scholar

59 

Guo T, Zhang D, Zeng Y, Huang TY, Xu H and Zhao Y: Molecular and cellular mechanisms underlying the pathogenesis of Alzheimer's disease. Mol Neurodegener. 15:40. 2020. View Article : Google Scholar

60 

Apostolova N and Victor VM: Molecular strategies for targeting antioxidants to mitochondria: Therapeutic implications. Antioxid Redox Signal. 22:686–729. 2015. View Article : Google Scholar

Related Articles

  • Abstract
  • View
  • Download
  • Twitter
Copy and paste a formatted citation
Spandidos Publications style
Tsoukalas D, Buga AM, Docea AO, Sarandi E, Mitrut R, Renieri E, Spandidos DA, Rogoveanu I, Cercelaru L, Niculescu M, Niculescu M, et al: Reversal of brain aging by targeting telomerase: A nutraceutical approach. Int J Mol Med 48: 199, 2021.
APA
Tsoukalas, D., Buga, A.M., Docea, A.O., Sarandi, E., Mitrut, R., Renieri, E. ... Calina, D. (2021). Reversal of brain aging by targeting telomerase: A nutraceutical approach. International Journal of Molecular Medicine, 48, 199. https://doi.org/10.3892/ijmm.2021.5032
MLA
Tsoukalas, D., Buga, A. M., Docea, A. O., Sarandi, E., Mitrut, R., Renieri, E., Spandidos, D. A., Rogoveanu, I., Cercelaru, L., Niculescu, M., Tsatsakis, A., Calina, D."Reversal of brain aging by targeting telomerase: A nutraceutical approach". International Journal of Molecular Medicine 48.5 (2021): 199.
Chicago
Tsoukalas, D., Buga, A. M., Docea, A. O., Sarandi, E., Mitrut, R., Renieri, E., Spandidos, D. A., Rogoveanu, I., Cercelaru, L., Niculescu, M., Tsatsakis, A., Calina, D."Reversal of brain aging by targeting telomerase: A nutraceutical approach". International Journal of Molecular Medicine 48, no. 5 (2021): 199. https://doi.org/10.3892/ijmm.2021.5032
Copy and paste a formatted citation
x
Spandidos Publications style
Tsoukalas D, Buga AM, Docea AO, Sarandi E, Mitrut R, Renieri E, Spandidos DA, Rogoveanu I, Cercelaru L, Niculescu M, Niculescu M, et al: Reversal of brain aging by targeting telomerase: A nutraceutical approach. Int J Mol Med 48: 199, 2021.
APA
Tsoukalas, D., Buga, A.M., Docea, A.O., Sarandi, E., Mitrut, R., Renieri, E. ... Calina, D. (2021). Reversal of brain aging by targeting telomerase: A nutraceutical approach. International Journal of Molecular Medicine, 48, 199. https://doi.org/10.3892/ijmm.2021.5032
MLA
Tsoukalas, D., Buga, A. M., Docea, A. O., Sarandi, E., Mitrut, R., Renieri, E., Spandidos, D. A., Rogoveanu, I., Cercelaru, L., Niculescu, M., Tsatsakis, A., Calina, D."Reversal of brain aging by targeting telomerase: A nutraceutical approach". International Journal of Molecular Medicine 48.5 (2021): 199.
Chicago
Tsoukalas, D., Buga, A. M., Docea, A. O., Sarandi, E., Mitrut, R., Renieri, E., Spandidos, D. A., Rogoveanu, I., Cercelaru, L., Niculescu, M., Tsatsakis, A., Calina, D."Reversal of brain aging by targeting telomerase: A nutraceutical approach". International Journal of Molecular Medicine 48, no. 5 (2021): 199. https://doi.org/10.3892/ijmm.2021.5032
Follow us
  • Twitter
  • LinkedIn
  • Facebook
About
  • Spandidos Publications
  • Careers
  • Cookie Policy
  • Privacy Policy
How can we help?
  • Help
  • Live Chat
  • Contact
  • Email to our Support Team