Spandidos Publications Logo
  • About
    • About Spandidos
    • Aims and Scopes
    • Abstracting and Indexing
    • Editorial Policies
    • Reprints and Permissions
    • Job Opportunities
    • Terms and Conditions
    • Contact
  • Journals
    • All Journals
    • Oncology Letters
      • Oncology Letters
      • Information for Authors
      • Editorial Policies
      • Editorial Board
      • Aims and Scope
      • Abstracting and Indexing
      • Bibliographic Information
      • Archive
    • International Journal of Oncology
      • International Journal of Oncology
      • Information for Authors
      • Editorial Policies
      • Editorial Board
      • Aims and Scope
      • Abstracting and Indexing
      • Bibliographic Information
      • Archive
    • Molecular and Clinical Oncology
      • Molecular and Clinical Oncology
      • Information for Authors
      • Editorial Policies
      • Editorial Board
      • Aims and Scope
      • Abstracting and Indexing
      • Bibliographic Information
      • Archive
    • Experimental and Therapeutic Medicine
      • Experimental and Therapeutic Medicine
      • Information for Authors
      • Editorial Policies
      • Editorial Board
      • Aims and Scope
      • Abstracting and Indexing
      • Bibliographic Information
      • Archive
    • International Journal of Molecular Medicine
      • International Journal of Molecular Medicine
      • Information for Authors
      • Editorial Policies
      • Editorial Board
      • Aims and Scope
      • Abstracting and Indexing
      • Bibliographic Information
      • Archive
    • Biomedical Reports
      • Biomedical Reports
      • Information for Authors
      • Editorial Policies
      • Editorial Board
      • Aims and Scope
      • Abstracting and Indexing
      • Bibliographic Information
      • Archive
    • Oncology Reports
      • Oncology Reports
      • Information for Authors
      • Editorial Policies
      • Editorial Board
      • Aims and Scope
      • Abstracting and Indexing
      • Bibliographic Information
      • Archive
    • Molecular Medicine Reports
      • Molecular Medicine Reports
      • Information for Authors
      • Editorial Policies
      • Editorial Board
      • Aims and Scope
      • Abstracting and Indexing
      • Bibliographic Information
      • Archive
    • World Academy of Sciences Journal
      • World Academy of Sciences Journal
      • Information for Authors
      • Editorial Policies
      • Editorial Board
      • Aims and Scope
      • Abstracting and Indexing
      • Bibliographic Information
      • Archive
    • International Journal of Functional Nutrition
      • International Journal of Functional Nutrition
      • Information for Authors
      • Editorial Policies
      • Editorial Board
      • Aims and Scope
      • Abstracting and Indexing
      • Bibliographic Information
      • Archive
    • International Journal of Epigenetics
      • International Journal of Epigenetics
      • Information for Authors
      • Editorial Policies
      • Editorial Board
      • Aims and Scope
      • Abstracting and Indexing
      • Bibliographic Information
      • Archive
    • Medicine International
      • Medicine International
      • Information for Authors
      • Editorial Policies
      • Editorial Board
      • Aims and Scope
      • Abstracting and Indexing
      • Bibliographic Information
      • Archive
  • Articles
  • Information
    • Information for Authors
    • Information for Reviewers
    • Information for Librarians
    • Information for Advertisers
    • Conferences
  • Language Editing
Spandidos Publications Logo
  • About
    • About Spandidos
    • Aims and Scopes
    • Abstracting and Indexing
    • Editorial Policies
    • Reprints and Permissions
    • Job Opportunities
    • Terms and Conditions
    • Contact
  • Journals
    • All Journals
    • Biomedical Reports
      • Information for Authors
      • Editorial Policies
      • Editorial Board
      • Aims and Scope
      • Abstracting and Indexing
      • Bibliographic Information
      • Archive
    • Experimental and Therapeutic Medicine
      • Information for Authors
      • Editorial Policies
      • Editorial Board
      • Aims and Scope
      • Abstracting and Indexing
      • Bibliographic Information
      • Archive
    • International Journal of Epigenetics
      • Information for Authors
      • Editorial Policies
      • Editorial Board
      • Aims and Scope
      • Abstracting and Indexing
      • Bibliographic Information
      • Archive
    • International Journal of Functional Nutrition
      • Information for Authors
      • Editorial Policies
      • Editorial Board
      • Aims and Scope
      • Abstracting and Indexing
      • Bibliographic Information
      • Archive
    • International Journal of Molecular Medicine
      • Information for Authors
      • Editorial Policies
      • Editorial Board
      • Aims and Scope
      • Abstracting and Indexing
      • Bibliographic Information
      • Archive
    • International Journal of Oncology
      • Information for Authors
      • Editorial Policies
      • Editorial Board
      • Aims and Scope
      • Abstracting and Indexing
      • Bibliographic Information
      • Archive
    • Medicine International
      • Information for Authors
      • Editorial Policies
      • Editorial Board
      • Aims and Scope
      • Abstracting and Indexing
      • Bibliographic Information
      • Archive
    • Molecular and Clinical Oncology
      • Information for Authors
      • Editorial Policies
      • Editorial Board
      • Aims and Scope
      • Abstracting and Indexing
      • Bibliographic Information
      • Archive
    • Molecular Medicine Reports
      • Information for Authors
      • Editorial Policies
      • Editorial Board
      • Aims and Scope
      • Abstracting and Indexing
      • Bibliographic Information
      • Archive
    • Oncology Letters
      • Information for Authors
      • Editorial Policies
      • Editorial Board
      • Aims and Scope
      • Abstracting and Indexing
      • Bibliographic Information
      • Archive
    • Oncology Reports
      • Information for Authors
      • Editorial Policies
      • Editorial Board
      • Aims and Scope
      • Abstracting and Indexing
      • Bibliographic Information
      • Archive
    • World Academy of Sciences Journal
      • Information for Authors
      • Editorial Policies
      • Editorial Board
      • Aims and Scope
      • Abstracting and Indexing
      • Bibliographic Information
      • Archive
  • Articles
  • Information
    • For Authors
    • For Reviewers
    • For Librarians
    • For Advertisers
    • Conferences
  • Language Editing
Login Register Submit
  • This site uses cookies
  • You can change your cookie settings at any time by following the instructions in our Cookie Policy. To find out more, you may read our Privacy Policy.

    I agree
Search articles by DOI, keyword, author or affiliation
Search
Advanced Search
presentation
International Journal of Molecular Medicine
Join Editorial Board Propose a Special Issue
Print ISSN: 1107-3756 Online ISSN: 1791-244X
Journal Cover
January-2025 Volume 55 Issue 1

Full Size Image

Sign up for eToc alerts
Recommend to Library

Journals

International Journal of Molecular Medicine

International Journal of Molecular Medicine

International Journal of Molecular Medicine is an international journal devoted to molecular mechanisms of human disease.

International Journal of Oncology

International Journal of Oncology

International Journal of Oncology is an international journal devoted to oncology research and cancer treatment.

Molecular Medicine Reports

Molecular Medicine Reports

Covers molecular medicine topics such as pharmacology, pathology, genetics, neuroscience, infectious diseases, molecular cardiology, and molecular surgery.

Oncology Reports

Oncology Reports

Oncology Reports is an international journal devoted to fundamental and applied research in Oncology.

Experimental and Therapeutic Medicine

Experimental and Therapeutic Medicine

Experimental and Therapeutic Medicine is an international journal devoted to laboratory and clinical medicine.

Oncology Letters

Oncology Letters

Oncology Letters is an international journal devoted to Experimental and Clinical Oncology.

Biomedical Reports

Biomedical Reports

Explores a wide range of biological and medical fields, including pharmacology, genetics, microbiology, neuroscience, and molecular cardiology.

Molecular and Clinical Oncology

Molecular and Clinical Oncology

International journal addressing all aspects of oncology research, from tumorigenesis and oncogenes to chemotherapy and metastasis.

World Academy of Sciences Journal

World Academy of Sciences Journal

Multidisciplinary open-access journal spanning biochemistry, genetics, neuroscience, environmental health, and synthetic biology.

International Journal of Functional Nutrition

International Journal of Functional Nutrition

Open-access journal combining biochemistry, pharmacology, immunology, and genetics to advance health through functional nutrition.

International Journal of Epigenetics

International Journal of Epigenetics

Publishes open-access research on using epigenetics to advance understanding and treatment of human disease.

Medicine International

Medicine International

An International Open Access Journal Devoted to General Medicine.

Journal Cover
January-2025 Volume 55 Issue 1

Full Size Image

Sign up for eToc alerts
Recommend to Library

  • Article
  • Citations
    • Cite This Article
    • Download Citation
    • Create Citation Alert
    • Remove Citation Alert
    • Cited By
  • Similar Articles
    • Related Articles (in Spandidos Publications)
    • Similar Articles (Google Scholar)
    • Similar Articles (PubMed)
  • Download PDF
  • Download XML
  • View XML
Article Open Access

Giant Centella asiatica, a novel cultivar rich in madecassoside and asiaticoside, suppresses α‑melanocyte‑stimulating hormone‑induced melanogenesis through MC1R binding

  • Authors:
    • Jiwon Seo
    • Chanhyeok Jeong
    • Seung Man Oh
    • Sung-Young Lee
    • Han Woong Park
    • Dae Bang Seo
    • Dae Sung Yoo
    • Woo-Jin Sim
    • Tae-Gyu Lim
    • Jung Han Yoon Park
    • Chang Hyung Lee
    • Ki Won Lee
  • View Affiliations / Copyright

    Affiliations: Department of Agricultural Biotechnology and Research Institute of Agriculture and Life Sciences, Seoul National University, Seoul 08826, Republic of Korea, Bio‑MAX Institute, Seoul National University, Seoul 08826, Republic of Korea, ASK Company Co., Ltd., Daegu 42176, Republic of Korea, Department of Food Science and Biotechnology, Sejong University, Seoul 05006, Republic of Korea
    Copyright: © Seo et al. This is an open access article distributed under the terms of Creative Commons Attribution License.
  • Article Number: 13
    |
    Published online on: November 4, 2024
       https://doi.org/10.3892/ijmm.2024.5454
  • Expand metrics +
Metrics: Total Views: 0 (Spandidos Publications: | PMC Statistics: )
Metrics: Total PDF Downloads: 0 (Spandidos Publications: | PMC Statistics: )
Cited By (CrossRef): 0 citations Loading Articles...

This article is mentioned in:



Abstract

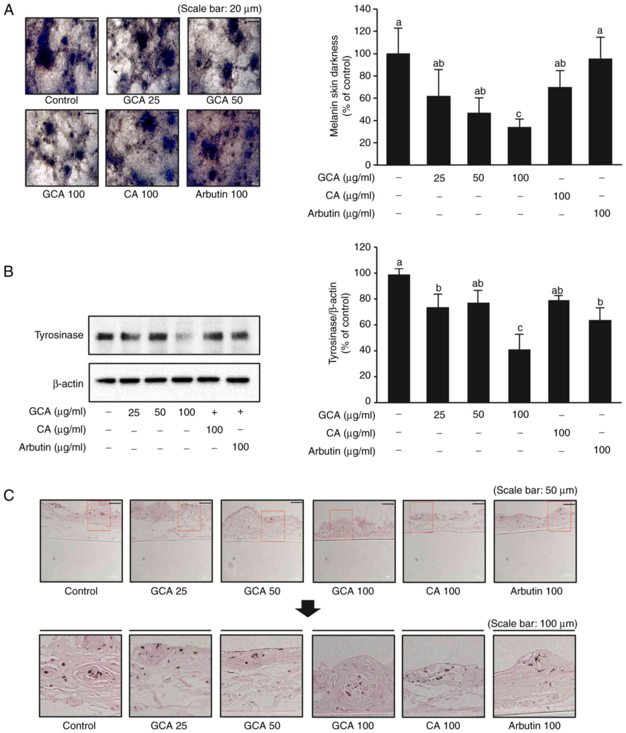
The present study investigated the anti‑melanogenesis effects of Giant Centella asiatica (GCA), a new cultivator of Centella asiatica (CA) cataloged by the Korea Forest Service in 2022, and compared its efficacy with that of traditional CA. GCA has a high yield per unit area and enhanced antioxidant properties. The anti‑melanogenic effects of GCA were investigated using B16F10 melanoma cells and a 3D human skin‑equivalent model. Key molecular mechanisms were elucidated through western blotting, cAMP assays and molecular docking studies. Focus was addressed on the effect of GCA on skin whitening by comparing the ability of a GCA extract to inhibit melanin production in B16F10 melanoma cells and a 3D human skin‑equivalent model to that of CA. The results showed that the GCA extracts more effectively reduced melanin production, which was attributed to their higher content of two active components, madecassoside and asiaticoside. Further investigation revealed that GCA primarily inhibited melanogenesis through the PKA‑cAMP response element‑binding (CREB)‑microphthalmia‑associated transcription factor (MITF) axis, a key regulatory pathway in melanin synthesis. Notably, the present study, to the best of our knowledge, is the first to demonstrate that madecassoside and asiaticoside, the two principal compounds in GCA, directly bound to MC1R, which contributed to the significant skin‑whitening effects. Moreover, GCA reduced melanin production in a 3D human skin‑equivalent model, showing efficacy within a complex skin environment. These results demonstrated the superior effectiveness of GCA to that of CA for skin anti‑melanogenesis, indicating its potential as a promising natural material for targeting pigmentation disorders.
View Figures

Figure 1

Figure 2

Figure 3

Figure 4

Figure 5

Figure 6

Figure 7

View References

1 

Shon YJ, Kim WC, Lee SH, Hong S, Kim SY, Park MH, Lee P, Lee J, Park KH, Lim W and Lim TG: Antimelanogenic potential of brewer's spent grain extract through modulation of the MAPK/MITF axis. Sustain. Mater. Technol. 38:e007212023.

2 

Hong S, Lee S, Sim WJ, Kim WC, Kim SY, Park MH, Lim W and Lim TG: Ultrasound-assisted pumpkin tendril extracts inhibits melanogenesis by suppressing the CREB/MITF signaling pathway in B16F10 melanoma cells, zebrafish, and a human skin model. J Funct Foods. 109:1058132023. View Article : Google Scholar

3 

Ito S; IFPCS: The IFPCS presidential lecture: A chemist's view of melanogenesis. Pigment Cell Res. 16:230–236. 2003. View Article : Google Scholar : PubMed/NCBI

4 

Videira IF, Moura DF and Magina S: Mechanisms regulating melanogenesis. An Bras Dermatol. 88:76–83. 2013. View Article : Google Scholar : PubMed/NCBI

5 

Böhm M, Wolff I, Scholzen TE, Robinson SJ, Healy E, Luger TA, Schwarz T and Schwarz A: alpha-Melanocyte-stimulating hormone protects from ultraviolet radiation-induced apoptosis and DNA damage. J Biol Chem. 280:5795–5802. 2005. View Article : Google Scholar

6 

García-Borrón JC, Abdel-Malek Z and Jiménez-Cervantes C: MC1R, the cAMP pathway, and the response to solar UV: Extending the horizon beyond pigmentation. Pigment Cell Melanoma Res. 27:699–720. 2014. View Article : Google Scholar : PubMed/NCBI

7 

Dessinioti C, Antoniou C, Katsambas A and Stratigos AJ: Melanocortin 1 receptor variants: functional role and pigmentary associations. Photochem Photobiol. 87:978–987. 2011. View Article : Google Scholar : PubMed/NCBI

8 

Park HY, Wu C, Yonemoto L, Murphy-Smith M, Wu H, Stachur CM and Gilchrest BA: MITF mediates cAMP-induced protein kinase C-beta expression in human melanocytes. Biochem J. 395:571–578. 2006. View Article : Google Scholar : PubMed/NCBI

9 

Shin H, Hong SD, Roh E, Jung SH, Cho WJ, Park SH, Yoon DY, Ko SM, Hwang BY, Hong JT, et al: cAMP-dependent activation of protein kinase A as a therapeutic target of skin hyperpigmentation by diphenylmethylene hydrazinecarbothioamide. Br J Pharmacol. 172:3434–3445. 2015. View Article : Google Scholar : PubMed/NCBI

10 

Zhang H, Kong Q, Wang J, Jiang Y and Hua H: Complex roles of cAMP-PKA-CREB signaling in cancer. Exp Hematol Oncol. 9:322020. View Article : Google Scholar : PubMed/NCBI

11 

Taylor SS, Kim C, Cheng CY, Brown SH, Wu J and Kannan N: Signaling through cAMP and cAMP-dependent protein kinase: Diverse strategies for drug design. Biochim Biophys Acta. 1784:16–26. 2008. View Article : Google Scholar :

12 

Ahmed MB, Alghamdi AAA, Islam SU, Lee JS and Lee YS: cAMP Signaling in Cancer: A PKA-CREB and EPAC-Centric Approach. Cells. 11:20202022. View Article : Google Scholar : PubMed/NCBI

13 

Hartman ML and Czyz M: MITF in melanoma: Mechanisms behind its expression and activity. Cell Mol Life Sci. 72:1249–1260. 2015. View Article : Google Scholar :

14 

Gelmi MC, Houtzagers LE, Strub T, Krossa I and Jager MJ: Mitf in normal melanocytes, cutaneous and uveal melanoma: A delicate balance. Int J Mol Sci. 23:60012022. View Article : Google Scholar : PubMed/NCBI

15 

Pillaiyar T, Manickam M and Namasivayam V: Skin whitening agents: Medicinal chemistry perspective of tyrosinase inhibitors. J Enzyme Inhib Med Chem. 32:403–425. 2017. View Article : Google Scholar : PubMed/NCBI

16 

Mohania D, Chandel S, Kumar P, Verma V, Digvijay K, Tripathi D, Choudhury K, Mitten SK and Shah D: Ultraviolet Radiations: Skin defense-damage mechanism. Adv Exp Med Biol. 996:71–87. 2017. View Article : Google Scholar : PubMed/NCBI

17 

Zamudio Díaz DF, Busch L, Kröger M, Klein AL, Lohan SB, Mewes KR, Vierkotten L, Witzel C, Rohn S and Meinke MC: Significance of melanin distribution in the epidermis for the protective effect against UV light. Sci Rep. 14:34882024. View Article : Google Scholar : PubMed/NCBI

18 

Torbati FA, Ramezani M, Dehghan R, Amiri MS, Moghadam AT, Shakour N, Elyasi S, Sahebkar A and Emami SA: Ethnobotany, phytochemistry and pharmacological features of Centella asiatica: A comprehensive review. Adv Exp Med Biol. 1308:451–499. 2021. View Article : Google Scholar : PubMed/NCBI

19 

Bylka W, Znajdek-Awiżeń P, Studzińska-Sroka E and Brzezińska M: Centella asiatica in cosmetology. Postepy Dermatol Alergol. 30:46–49. 2013. View Article : Google Scholar : PubMed/NCBI

20 

Sun B, Wu L, Wu Y, Zhang C, Qin L, Hayashi M, Kudo M, Gao M and Liu T: Therapeutic potential of Centella asiatica and its triterpenes: A review. Front Pharmacol. 11:5680322020. View Article : Google Scholar : PubMed/NCBI

21 

Park KS: Pharmacological effects of Centella asiatica on skin diseases: Evidence and possible mechanisms. Evid Based Complement Alternat Med. 2021:54626332021. View Article : Google Scholar : PubMed/NCBI

22 

Idana F, Putra WAAG and Winarti NW: Centella asiatica extract cream inhibited microphthalmia-associated transcription factor (MITF) expression and prevented melanin amount increase in Guinea pig skin exposed to ultraviolet-B. Neurologico Spinale Medico Chirurgico. 5:27–31. 2022.

23 

Bylka W, Znajdek-Awiżeń P, Studzińska-Sroka E, Dańczak-Pazdrowska A and Brzezińska M: Centella asiatica in dermatology: An overview. Phytother Res. 28:1117–1124. 2014. View Article : Google Scholar : PubMed/NCBI

24 

Gohil KJ, Patel JA and Gajjar AK: Pharmacological review on Centella asiatica: A potential herbal cure-all. Indian J Pharm Sci. 72:546–556. 2010. View Article : Google Scholar

25 

Oh S, Park S, Lee S, Park Y, Jang KI, Yu KW, Kim D and Shin H: Comparison of growth characteristics and physiological activity of two Centella asiatica cultivars in greenhouse soil culture. J Bio-Environ Control. 30:351–358. 2021. View Article : Google Scholar

26 

Park H, Seo JW, Lee TK, Kim JH, Kim JE, Lim TG, Park JHY, Huh CS, Yang H and Lee KW: Ethanol extract of Yak-Kong fermented by lactic acid bacteria from a Korean infant markedly reduces matrix metallopreteinase-1 expression induced by solar ultraviolet irradiation in human keratinocytes and a 3D skin model. Antioxidants (Basel). 10:2912021. View Article : Google Scholar : PubMed/NCBI

27 

Valdés-Tresanco MS, Valdés-Tresanco ME, Valiente PA and Moreno E: AMDock: A versatile graphical tool for assisting molecular docking with Autodock Vina and Autodock4. Biol Direct. 15:122020. View Article : Google Scholar : PubMed/NCBI

28 

Kim JH, Lee JE, Kim T, Yeom MH, Park JS, di Luccio E, Chen H, Dong Z, Lee KW and Kang NJ: 7, 3′, 4′-trihydroxyisoflavone, a metabolite of the soy isoflavone daidzein, suppresses α-melanocyte-stimulating hormone-induced melanogenesis by targeting melanocortin 1 receptor. Front Mol Biosci. 7:5772842020. View Article : Google Scholar

29 

Javed A, Alam MB, Naznin M, Ahmad R, Lee CH, Kim S and Lee SH: RSM-and ANN-based multifrequency ultrasonic extraction of polyphenol-rich Sargassum horneri extracts exerting antioxidative activity via the regulation of MAPK/Nrf2/HO-1 machinery. Antioxidants (Basel). 13:6902024. View Article : Google Scholar

30 

Nam G, An SK, Park IC, Bae S and Lee JH: Daphnetin inhibits α-MSH-induced melanogenesis via PKA and ERK signaling pathways in B16F10 melanoma cells. Biosci Biotechnol Biochem. 86:596–609. 2022. View Article : Google Scholar : PubMed/NCBI

31 

Yoon Y, Bae S, Kim TJ, An S and Lee JH: Nodakenin inhibits melanogenesis Via the ERK/MSK1 Signaling Pathway. Pharmazie. 78:6–12. 2023.PubMed/NCBI

32 

Bahraman AG, Jamshidzadeh A, Keshavarzi M, Arabnezhad MR, Mohammadi H and Mohammadi-Bardbori A: α-Melanocytestimulating hormone triggers melanogenesis via activation of the aryl hydrocarbon receptor pathway in B16F10 mouse melanoma cells. Int J Toxicol. 40:153–160. 2021. View Article : Google Scholar : PubMed/NCBI

33 

Seo GY, Ha Y, Park AH, Kwon OW and Kim YJ: Leathesia difformis extract inhibits α-MSH-induced melanogenesis in B16F10 cells via down-regulation of CREB signaling pathway. Int J Mol Sci. 20:5362019. View Article : Google Scholar

34 

Kim DH, Shin DW and Lim BO: Fermented Aronia melanocarpa inhibits melanogenesis through dual mechanisms of the PI3K/AKT/GSK-3β and PKA/CREB pathways. Molecules. 28:29812023. View Article : Google Scholar

35 

Kim MJ, Mohamed EA, Kim DS, Park MJ, Ahn BJ, Jeung EB and An BS: Inhibitory effects and underlying mechanisms of Artemisia capillaris essential oil on melanogenesis in the B16F10 cell line. Mol Med Rep. 25:1132022. View Article : Google Scholar :

36 

Wu PY, You YJ, Liu YJ, Hou CW, Wu CS, Wen KC, Lin CY and Chiang HM: Sesamol inhibited melanogenesis by regulating melanin-related signal transduction in B16F10 cells. Int J Mol Sci. 19:11082018. View Article : Google Scholar : PubMed/NCBI

37 

Lim YJ, Lee EH, Kang TH, Ha SK, Oh MS, Kim SM, Yoon TJ, Kang C, Park JH and Kim SY: Inhibitory effects of arbutin on melanin biosynthesis of alpha-melanocyte stimulating hormone-induced hyperpigmentation in cultured brownish guinea pig skin tissues. Arch Pharm Res. 32:367–373. 2009. View Article : Google Scholar : PubMed/NCBI

38 

Otręba M, Rok J, Buszman E and Wrześniok D: Regulation of melanogenesis: the role of cAMP and MITF. Postepy Hig Med Dosw (Online). 66:33–40. 2012.In Polish.

39 

Kwon KJ, Bae S, Kim K, An IS, Ahn KJ, An S and Cha HJ: Asiaticoside, a component of Centella asiatica, inhibits melanogenesis in B16F10 mouse melanoma. Mol Med Rep. 10:503–507. 2014. View Article : Google Scholar : PubMed/NCBI

40 

Jung E, Lee JA, Shin S, Roh KB, Kim JH and Park D: Madecassoside inhibits melanin synthesis by blocking ultraviolet-induced inflammation. Molecules. 18:15724–15736. 2013. View Article : Google Scholar : PubMed/NCBI

41 

Prusis P, Schiöth HB, Muceniece R, Herzyk P, Afshar M, Hubbard RE and Wikberg JE: Modeling of the three-dimensional structure of the human melanocortin 1 receptor, using an automated method and docking of a rigid cyclic melanocyte-stimulating hormone core peptide. J Mol Graph Model. 15:307–317.334. 1997. View Article : Google Scholar

42 

Yang CW, Ran JS, Yu CL, Qiu MH, Zhang ZR, Du HR, Li QY, Xiong X, Song XY, Xia B, et al: Polymorphism in MC1R, TYR and ASIP genes in different colored feather chickens. 3 Biotech. 9:2032019. View Article : Google Scholar : PubMed/NCBI

43 

Gallina L, Cravotto C, Capaldi G, Grillo G and Cravotto G: Plant extraction in water: Towards highly efficient industrial applications. Processes. 10:22332022. View Article : Google Scholar

Related Articles

  • Abstract
  • View
  • Download
  • Twitter
Copy and paste a formatted citation
Spandidos Publications style
Seo J, Jeong C, Oh SM, Lee S, Park HW, Seo DB, Yoo DS, Sim W, Lim T, Park J, Park J, et al: Giant <em>Centella asiatica</em>, a novel cultivar rich in madecassoside and asiaticoside, suppresses &alpha;‑melanocyte‑stimulating hormone‑induced melanogenesis through MC1R binding. Int J Mol Med 55: 13, 2025.
APA
Seo, J., Jeong, C., Oh, S.M., Lee, S., Park, H.W., Seo, D.B. ... Lee, K.W. (2025). Giant <em>Centella asiatica</em>, a novel cultivar rich in madecassoside and asiaticoside, suppresses &alpha;‑melanocyte‑stimulating hormone‑induced melanogenesis through MC1R binding. International Journal of Molecular Medicine, 55, 13. https://doi.org/10.3892/ijmm.2024.5454
MLA
Seo, J., Jeong, C., Oh, S. M., Lee, S., Park, H. W., Seo, D. B., Yoo, D. S., Sim, W., Lim, T., Park, J., Lee, C. H., Lee, K. W."Giant <em>Centella asiatica</em>, a novel cultivar rich in madecassoside and asiaticoside, suppresses &alpha;‑melanocyte‑stimulating hormone‑induced melanogenesis through MC1R binding". International Journal of Molecular Medicine 55.1 (2025): 13.
Chicago
Seo, J., Jeong, C., Oh, S. M., Lee, S., Park, H. W., Seo, D. B., Yoo, D. S., Sim, W., Lim, T., Park, J., Lee, C. H., Lee, K. W."Giant <em>Centella asiatica</em>, a novel cultivar rich in madecassoside and asiaticoside, suppresses &alpha;‑melanocyte‑stimulating hormone‑induced melanogenesis through MC1R binding". International Journal of Molecular Medicine 55, no. 1 (2025): 13. https://doi.org/10.3892/ijmm.2024.5454
Copy and paste a formatted citation
x
Spandidos Publications style
Seo J, Jeong C, Oh SM, Lee S, Park HW, Seo DB, Yoo DS, Sim W, Lim T, Park J, Park J, et al: Giant <em>Centella asiatica</em>, a novel cultivar rich in madecassoside and asiaticoside, suppresses &alpha;‑melanocyte‑stimulating hormone‑induced melanogenesis through MC1R binding. Int J Mol Med 55: 13, 2025.
APA
Seo, J., Jeong, C., Oh, S.M., Lee, S., Park, H.W., Seo, D.B. ... Lee, K.W. (2025). Giant <em>Centella asiatica</em>, a novel cultivar rich in madecassoside and asiaticoside, suppresses &alpha;‑melanocyte‑stimulating hormone‑induced melanogenesis through MC1R binding. International Journal of Molecular Medicine, 55, 13. https://doi.org/10.3892/ijmm.2024.5454
MLA
Seo, J., Jeong, C., Oh, S. M., Lee, S., Park, H. W., Seo, D. B., Yoo, D. S., Sim, W., Lim, T., Park, J., Lee, C. H., Lee, K. W."Giant <em>Centella asiatica</em>, a novel cultivar rich in madecassoside and asiaticoside, suppresses &alpha;‑melanocyte‑stimulating hormone‑induced melanogenesis through MC1R binding". International Journal of Molecular Medicine 55.1 (2025): 13.
Chicago
Seo, J., Jeong, C., Oh, S. M., Lee, S., Park, H. W., Seo, D. B., Yoo, D. S., Sim, W., Lim, T., Park, J., Lee, C. H., Lee, K. W."Giant <em>Centella asiatica</em>, a novel cultivar rich in madecassoside and asiaticoside, suppresses &alpha;‑melanocyte‑stimulating hormone‑induced melanogenesis through MC1R binding". International Journal of Molecular Medicine 55, no. 1 (2025): 13. https://doi.org/10.3892/ijmm.2024.5454
Follow us
  • Twitter
  • LinkedIn
  • Facebook
About
  • Spandidos Publications
  • Careers
  • Cookie Policy
  • Privacy Policy
How can we help?
  • Help
  • Live Chat
  • Contact
  • Email to our Support Team