Spandidos Publications Logo
  • About
    • About Spandidos
    • Aims and Scopes
    • Abstracting and Indexing
    • Editorial Policies
    • Reprints and Permissions
    • Job Opportunities
    • Terms and Conditions
    • Contact
  • Journals
    • All Journals
    • Oncology Letters
      • Oncology Letters
      • Information for Authors
      • Editorial Policies
      • Editorial Board
      • Aims and Scope
      • Abstracting and Indexing
      • Bibliographic Information
      • Archive
    • International Journal of Oncology
      • International Journal of Oncology
      • Information for Authors
      • Editorial Policies
      • Editorial Board
      • Aims and Scope
      • Abstracting and Indexing
      • Bibliographic Information
      • Archive
    • Molecular and Clinical Oncology
      • Molecular and Clinical Oncology
      • Information for Authors
      • Editorial Policies
      • Editorial Board
      • Aims and Scope
      • Abstracting and Indexing
      • Bibliographic Information
      • Archive
    • Experimental and Therapeutic Medicine
      • Experimental and Therapeutic Medicine
      • Information for Authors
      • Editorial Policies
      • Editorial Board
      • Aims and Scope
      • Abstracting and Indexing
      • Bibliographic Information
      • Archive
    • International Journal of Molecular Medicine
      • International Journal of Molecular Medicine
      • Information for Authors
      • Editorial Policies
      • Editorial Board
      • Aims and Scope
      • Abstracting and Indexing
      • Bibliographic Information
      • Archive
    • Biomedical Reports
      • Biomedical Reports
      • Information for Authors
      • Editorial Policies
      • Editorial Board
      • Aims and Scope
      • Abstracting and Indexing
      • Bibliographic Information
      • Archive
    • Oncology Reports
      • Oncology Reports
      • Information for Authors
      • Editorial Policies
      • Editorial Board
      • Aims and Scope
      • Abstracting and Indexing
      • Bibliographic Information
      • Archive
    • Molecular Medicine Reports
      • Molecular Medicine Reports
      • Information for Authors
      • Editorial Policies
      • Editorial Board
      • Aims and Scope
      • Abstracting and Indexing
      • Bibliographic Information
      • Archive
    • World Academy of Sciences Journal
      • World Academy of Sciences Journal
      • Information for Authors
      • Editorial Policies
      • Editorial Board
      • Aims and Scope
      • Abstracting and Indexing
      • Bibliographic Information
      • Archive
    • International Journal of Functional Nutrition
      • International Journal of Functional Nutrition
      • Information for Authors
      • Editorial Policies
      • Editorial Board
      • Aims and Scope
      • Abstracting and Indexing
      • Bibliographic Information
      • Archive
    • International Journal of Epigenetics
      • International Journal of Epigenetics
      • Information for Authors
      • Editorial Policies
      • Editorial Board
      • Aims and Scope
      • Abstracting and Indexing
      • Bibliographic Information
      • Archive
    • Medicine International
      • Medicine International
      • Information for Authors
      • Editorial Policies
      • Editorial Board
      • Aims and Scope
      • Abstracting and Indexing
      • Bibliographic Information
      • Archive
  • Articles
  • Information
    • Information for Authors
    • Information for Reviewers
    • Information for Librarians
    • Information for Advertisers
    • Conferences
  • Language Editing
Spandidos Publications Logo
  • About
    • About Spandidos
    • Aims and Scopes
    • Abstracting and Indexing
    • Editorial Policies
    • Reprints and Permissions
    • Job Opportunities
    • Terms and Conditions
    • Contact
  • Journals
    • All Journals
    • Biomedical Reports
      • Information for Authors
      • Editorial Policies
      • Editorial Board
      • Aims and Scope
      • Abstracting and Indexing
      • Bibliographic Information
      • Archive
    • Experimental and Therapeutic Medicine
      • Information for Authors
      • Editorial Policies
      • Editorial Board
      • Aims and Scope
      • Abstracting and Indexing
      • Bibliographic Information
      • Archive
    • International Journal of Epigenetics
      • Information for Authors
      • Editorial Policies
      • Editorial Board
      • Aims and Scope
      • Abstracting and Indexing
      • Bibliographic Information
      • Archive
    • International Journal of Functional Nutrition
      • Information for Authors
      • Editorial Policies
      • Editorial Board
      • Aims and Scope
      • Abstracting and Indexing
      • Bibliographic Information
      • Archive
    • International Journal of Molecular Medicine
      • Information for Authors
      • Editorial Policies
      • Editorial Board
      • Aims and Scope
      • Abstracting and Indexing
      • Bibliographic Information
      • Archive
    • International Journal of Oncology
      • Information for Authors
      • Editorial Policies
      • Editorial Board
      • Aims and Scope
      • Abstracting and Indexing
      • Bibliographic Information
      • Archive
    • Medicine International
      • Information for Authors
      • Editorial Policies
      • Editorial Board
      • Aims and Scope
      • Abstracting and Indexing
      • Bibliographic Information
      • Archive
    • Molecular and Clinical Oncology
      • Information for Authors
      • Editorial Policies
      • Editorial Board
      • Aims and Scope
      • Abstracting and Indexing
      • Bibliographic Information
      • Archive
    • Molecular Medicine Reports
      • Information for Authors
      • Editorial Policies
      • Editorial Board
      • Aims and Scope
      • Abstracting and Indexing
      • Bibliographic Information
      • Archive
    • Oncology Letters
      • Information for Authors
      • Editorial Policies
      • Editorial Board
      • Aims and Scope
      • Abstracting and Indexing
      • Bibliographic Information
      • Archive
    • Oncology Reports
      • Information for Authors
      • Editorial Policies
      • Editorial Board
      • Aims and Scope
      • Abstracting and Indexing
      • Bibliographic Information
      • Archive
    • World Academy of Sciences Journal
      • Information for Authors
      • Editorial Policies
      • Editorial Board
      • Aims and Scope
      • Abstracting and Indexing
      • Bibliographic Information
      • Archive
  • Articles
  • Information
    • For Authors
    • For Reviewers
    • For Librarians
    • For Advertisers
    • Conferences
  • Language Editing
Login Register Submit
  • This site uses cookies
  • You can change your cookie settings at any time by following the instructions in our Cookie Policy. To find out more, you may read our Privacy Policy.

    I agree
Search articles by DOI, keyword, author or affiliation
Search
Advanced Search
presentation
International Journal of Molecular Medicine
Join Editorial Board Propose a Special Issue
Print ISSN: 1107-3756 Online ISSN: 1791-244X
Journal Cover
April-2025 Volume 55 Issue 4

Full Size Image

Sign up for eToc alerts
Recommend to Library

Journals

International Journal of Molecular Medicine

International Journal of Molecular Medicine

International Journal of Molecular Medicine is an international journal devoted to molecular mechanisms of human disease.

International Journal of Oncology

International Journal of Oncology

International Journal of Oncology is an international journal devoted to oncology research and cancer treatment.

Molecular Medicine Reports

Molecular Medicine Reports

Covers molecular medicine topics such as pharmacology, pathology, genetics, neuroscience, infectious diseases, molecular cardiology, and molecular surgery.

Oncology Reports

Oncology Reports

Oncology Reports is an international journal devoted to fundamental and applied research in Oncology.

Experimental and Therapeutic Medicine

Experimental and Therapeutic Medicine

Experimental and Therapeutic Medicine is an international journal devoted to laboratory and clinical medicine.

Oncology Letters

Oncology Letters

Oncology Letters is an international journal devoted to Experimental and Clinical Oncology.

Biomedical Reports

Biomedical Reports

Explores a wide range of biological and medical fields, including pharmacology, genetics, microbiology, neuroscience, and molecular cardiology.

Molecular and Clinical Oncology

Molecular and Clinical Oncology

International journal addressing all aspects of oncology research, from tumorigenesis and oncogenes to chemotherapy and metastasis.

World Academy of Sciences Journal

World Academy of Sciences Journal

Multidisciplinary open-access journal spanning biochemistry, genetics, neuroscience, environmental health, and synthetic biology.

International Journal of Functional Nutrition

International Journal of Functional Nutrition

Open-access journal combining biochemistry, pharmacology, immunology, and genetics to advance health through functional nutrition.

International Journal of Epigenetics

International Journal of Epigenetics

Publishes open-access research on using epigenetics to advance understanding and treatment of human disease.

Medicine International

Medicine International

An International Open Access Journal Devoted to General Medicine.

Journal Cover
April-2025 Volume 55 Issue 4

Full Size Image

Sign up for eToc alerts
Recommend to Library

  • Article
  • Citations
    • Cite This Article
    • Download Citation
    • Create Citation Alert
    • Remove Citation Alert
    • Cited By
  • Similar Articles
    • Related Articles (in Spandidos Publications)
    • Similar Articles (Google Scholar)
    • Similar Articles (PubMed)
  • Download PDF
  • Download XML
  • View XML

  • Supplementary Files
    • Supplementary_Data.pdf
Article Open Access

The off‑target effect of loratadine triggers autophagy‑mediated apoptosis in lung adenocarcinoma cells by deactivating JNK, p38, and STAT3 signaling through both PP2A‑dependent and independent pathways

  • Authors:
    • Ming-Hsien Chien
    • Wen-Yueh Hung
    • Tsung-Ching Lai
    • Ching Han Tsai
    • Kai-Ling Lee
    • Feng-Koo Hsieh
    • Wei-Jiunn Lee
    • Jer-Hwa Chang
  • View Affiliations / Copyright

    Affiliations: Graduate Institute of Clinical Medicine, College of Medicine, Taipei Medical University, Taipei 11031, Taiwan, R.O.C., Pulmonary Research Center, Wan Fang Hospital, Taipei Medical University, Taipei 11696, Taiwan, R.O.C., The Genome Engineering and Stem Cell Center, School of Medicine, Washington University, St. Louis, MO 63105, USA
    Copyright: © Chien et al. This is an open access article distributed under the terms of Creative Commons Attribution License [CC BY 4.0].
  • Article Number: 54
    |
    Published online on: January 29, 2025
       https://doi.org/10.3892/ijmm.2025.5495
  • Expand metrics +
Metrics: Total Views: 0 (Spandidos Publications: | PMC Statistics: )
Metrics: Total PDF Downloads: 0 (Spandidos Publications: | PMC Statistics: )
Cited By (CrossRef): 0 citations Loading Articles...

This article is mentioned in:



Abstract

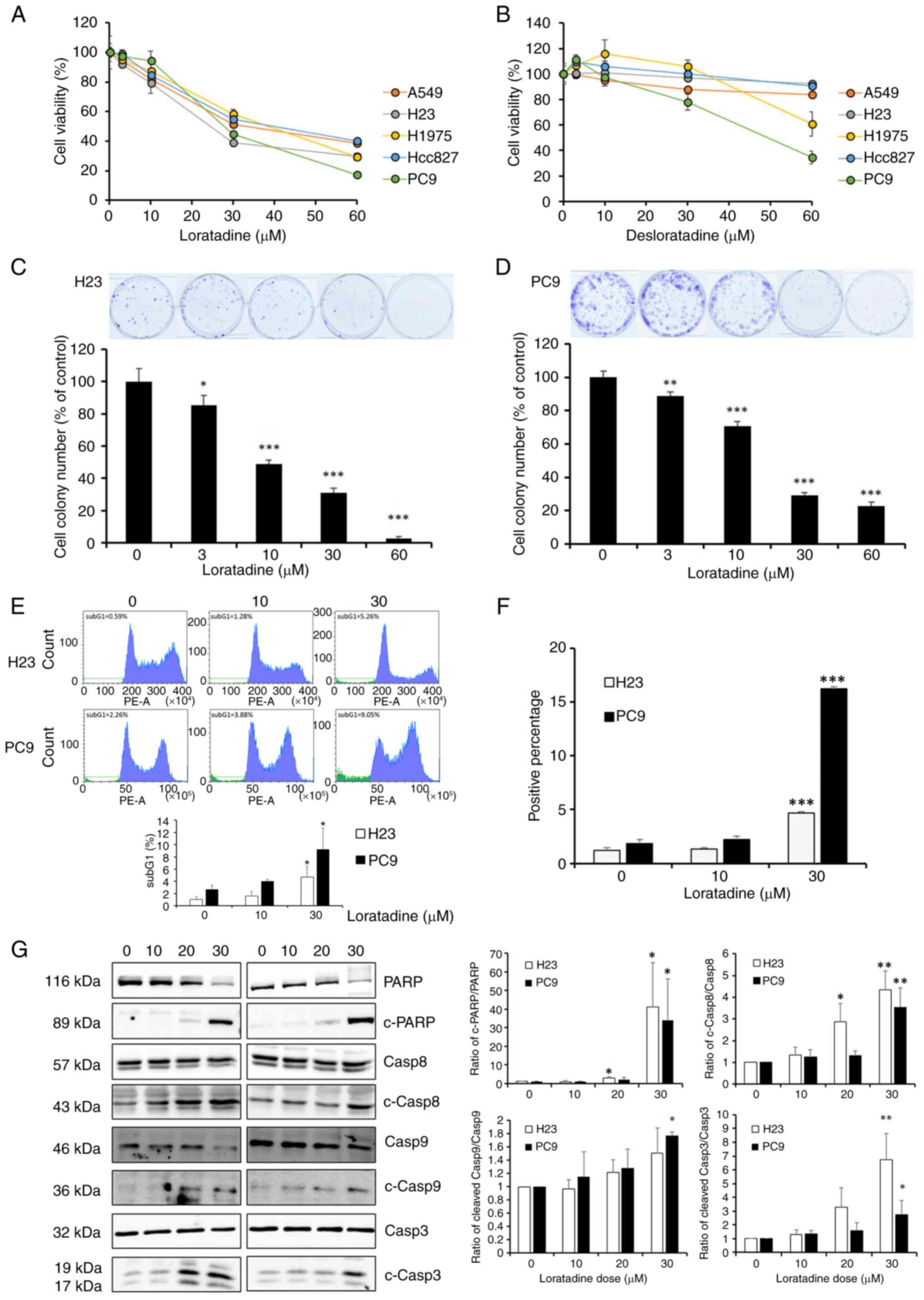
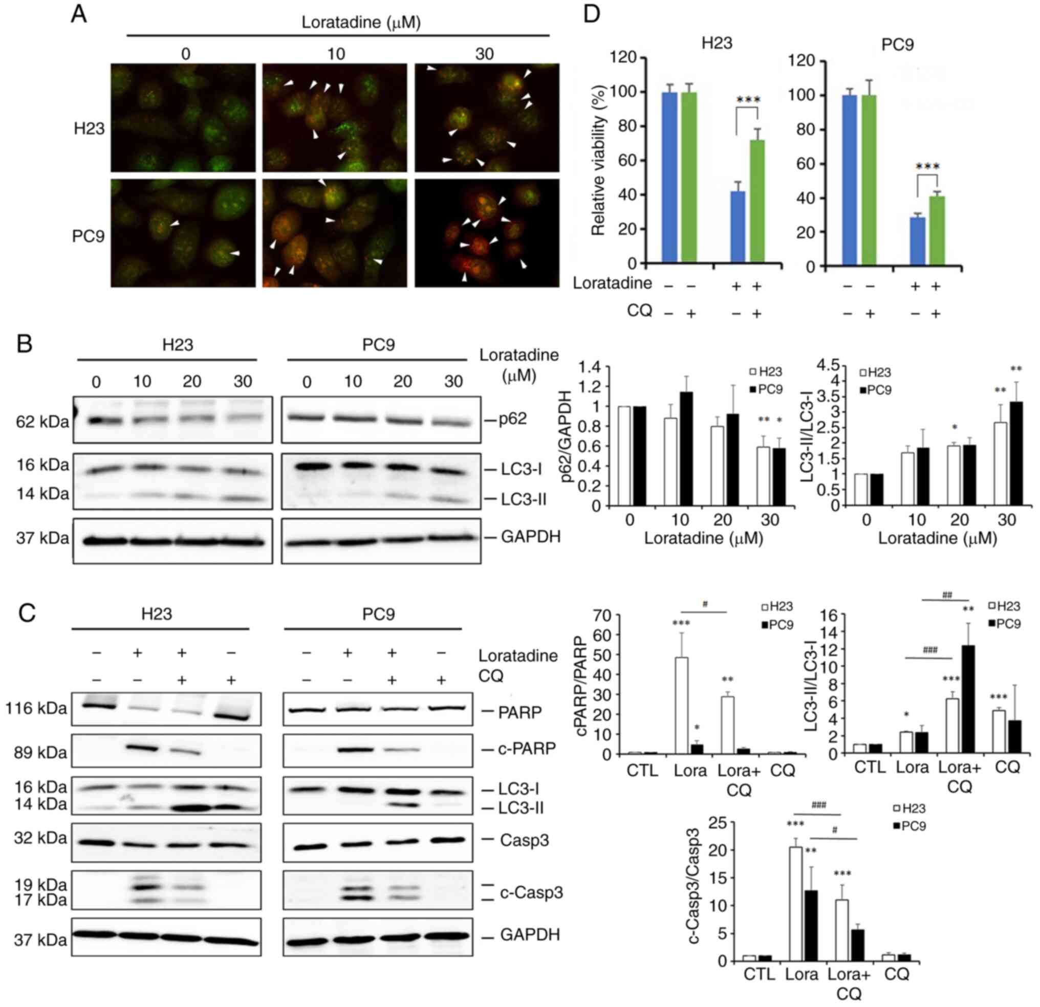
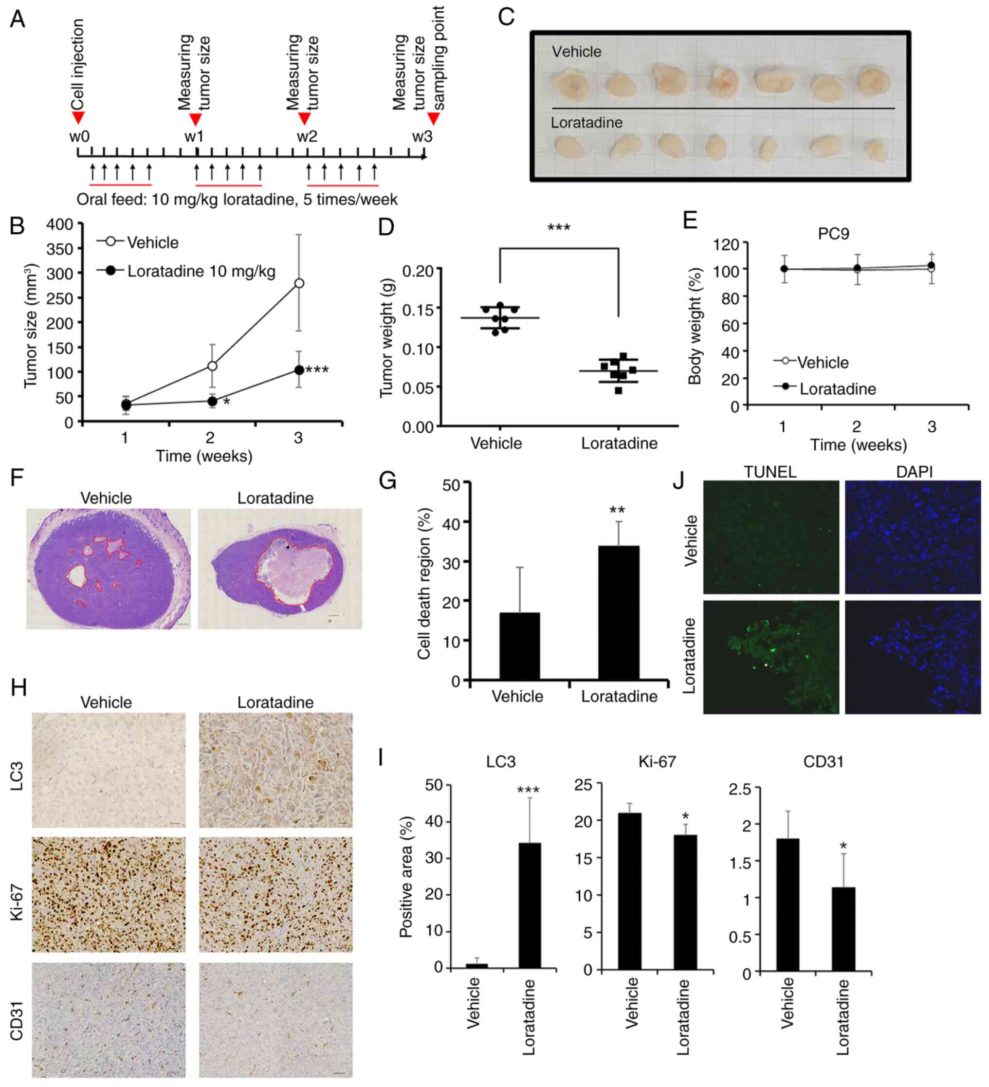
Lung adenocarcinoma (LUAD) is a typical inflammation‑associated cancer, and anti‑inflammatory medications can be valuable in cancer therapy. Loratadine, a histamine receptor H1 (HRH1) antagonist, shows both anti‑inflammatory and anticancer properties. The present study aimed to evaluate impacts of loratadine on LUAD cells as well as in a LUAD xenograft mouse model, and explore underlying mechanisms. Mechanistic investigations were conducted through using western blotting, flow cytometry, immunohistochemistry, acridine orange staining, TUNEL assays, and in silico analyses of loratadine‑modulated genes in LUAD specimens. It was observed that loratadine inhibited LUAD cell proliferation and colony formation by inducing autophagy‑mediated apoptotic cell death independently of HRH1. In a LUAD xenograft model, loratadine decreased tumor proliferation and angiogenesis while enhancing autophagy and apoptosis. Mechanistically, loratadine induced protein phosphatase 2A (PP2A) activation to deactivate c‑Jun N‑terminal kinase (JNK)1/2 and p38 in H23 and PC9 LUAD cells. Additionally, loratadine inhibited signal transducer and activator of transcription 3 (STAT3) activation via a PP2A‑independent pathway. Furthermore, the combination of loratadine with inhibitors for JNK, p38 and STAT3 all enhanced proliferation inhibition of loratadine alone in both cell lines. In the clinic, patients with LUAD expressing high PP2A had favorable prognoses. The present study suggests that loratadine can be used as a PP2A activator for LUAD treatment, and the combination of repurposing loratadine with inhibitors of STAT3, JNK and p38 would be an effectively strategy for inhibiting LUAD growth.
View Figures

Figure 1

Figure 2

Figure 3

Figure 4

Figure 5

Figure 6

Figure 7

Figure 8

View References

1 

Sung H, Ferlay J, Siegel RL, Laversanne M, Soerjomataram I, Jemal A and Bray F: Global Cancer Statistics 2020: GLOBOCAN Estimates of Incidence and Mortality Worldwide for 36 Cancers in 185 Countries. CA Cancer J Clin. 71:209–249. 2021. View Article : Google Scholar : PubMed/NCBI

2 

Dearden S, Stevens J, Wu YL and Blowers D: Mutation incidence and coincidence in non small-cell lung cancer: Meta-analyses by ethnicity and histology (mutMap). Ann Oncol. 24:2371–2376. 2013. View Article : Google Scholar : PubMed/NCBI

3 

Yang SR, Schultheis AM, Yu H, Mandelker D, Ladanyi M and Buttner R: Precision medicine in non-small cell lung cancer: Current applications and future directions. Semin Cancer Biol. 84:184–198. 2022. View Article : Google Scholar

4 

Shafiei-Irannejad V, Samadi N, Salehi R, Yousefi B and Zarghami N: New insights into antidiabetic drugs: Possible applications in cancer treatment. Chem Biol Drug Des. 90:1056–1066. 2017. View Article : Google Scholar : PubMed/NCBI

5 

Veschi S, De Lellis L, Florio R, Lanuti P, Massucci A, Tinari N, De Tursi M, di Sebastiano P, Marchisio M, Natoli C and Cama A: Effects of repurposed drug candidates nitroxoline and nelfinavir as single agents or in combination with erlotinib in pancreatic cancer cells. J Exp Clin Cancer Res. 37:2362018. View Article : Google Scholar : PubMed/NCBI

6 

Baker NC, Ekins S, Williams AJ and Tropsha A: A bibliometric review of drug repurposing. Drug Discov Today. 23:661–672. 2018. View Article : Google Scholar : PubMed/NCBI

7 

May JR and Dolen WK: Management of allergic rhinitis: A review for the community pharmacist. Clin Ther. 39:2410–2419. 2017. View Article : Google Scholar : PubMed/NCBI

8 

Fritz I, Wagner P, Bottai M, Eriksson H, Ingvar C, Krakowski I, Nielsen K and Olsson H: Desloratadine and loratadine use associated with improved melanoma survival. Allergy. 75:2096–2099. 2020. View Article : Google Scholar : PubMed/NCBI

9 

Fritz I, Wagner P, Broberg P, Einefors R and Olsson H: Desloratadine and loratadine stand out among common H(1)-antihistamines for association with improved breast cancer survival. Acta Oncol. 59:1103–1109. 2020. View Article : Google Scholar : PubMed/NCBI

10 

Fritz I, Wagner P and Olsson H: Improved survival in several cancers with use of H(1)-antihistamines desloratadine and loratadine. Transl Oncol. 14:1010292021. View Article : Google Scholar : PubMed/NCBI

11 

Chen T, Hu Y, Liu B, Huang X, Li Q, Gao N, Jin Z, Jia T, Guo D and Jin G: Combining thioridazine and loratadine for the treatment of gastrointestinal tumor. Oncol Lett. 14:4573–4580. 2017. View Article : Google Scholar : PubMed/NCBI

12 

Ma J, Qi J, Li S, Zhang C, Wang H, Shao L, Yuan X and Sha Q: Desloratadine, a novel antigrowth reagent for bladder cancer. Technol Cancer Res Treat. 19:15330338209265912020. View Article : Google Scholar : PubMed/NCBI

13 

Nicolau-Galmés F, Asumendi A, Alonso-Tejerina E, Pérez-Yarza G, Jangi SM, Gardeazabal J, Arroyo-Berdugo Y, Careaga JM, Díaz-Ramón JL, Apraiz A and Boyano MD: Terfenadine induces apoptosis and autophagy in melanoma cells through ROS-dependent and -independent mechanisms. Apoptosis. 16:1253–1267. 2011. View Article : Google Scholar : PubMed/NCBI

14 

Guo Q, Jin Y, Chen X, Ye X, Shen X, Lin M, Zeng C, Zhou T and Zhang J: NF-κB in biology and targeted therapy: New insights and translational implications. Signal Transduct Target Ther. 9:532024. View Article : Google Scholar

15 

Jang J, Hunto ST, Kim JW, Lee HP, Kim HG and Cho JY: Anti-Inflammatory activities of an anti-histamine drug, loratadine, by suppressing TAK1 in AP-1 pathway. Int J Mol Sci. 23:39862022. View Article : Google Scholar : PubMed/NCBI

16 

Zhu J, Li Q, He JT and Liu GY: Expression of TAK1/TAB1 expression in non-small cell lung carcinoma and adjacent normal tissues and their clinical significance. Int J Clin Exp Pathol. 8:15801–15807. 2015.

17 

Shimada K, Bachman JA, Muhlich JL and Mitchison TJ: shinyDepMap, a tool to identify targetable cancer genes and their functional connections from cancer dependency map data. Elife. 10:e571162021. View Article : Google Scholar : PubMed/NCBI

18 

Chandrashekar DS, Bashel B, Balasubramanya SAH, Creighton CJ, Ponce-Rodriguez I, Chakravarthi B and Varambally S: UALCAN: A portal for facilitating tumor subgroup gene expression and survival analyses. Neoplasia. 19:649–658. 2017. View Article : Google Scholar : PubMed/NCBI

19 

Chien MH, Lin YW, Wen YC, Yang YC, Hsiao M, Chang JL, Huang HC and Lee WJ: Targeting the SPOCK1-snail/slug axis-mediated epithelial-to-mesenchymal transition by apigenin contributes to repression of prostate cancer metastasis. J Exp Clin Cancer Res. 38:2462019. View Article : Google Scholar : PubMed/NCBI

20 

Livak KJ and Schmittgen TD: Analysis of relative gene expression data using real-time quantitative PCR and the 2(-Delta Delta C(T)) method. Methods. 25:402–408. 2001. View Article : Google Scholar

21 

Shen YC, Hsu HC, Lin TM, Chang YS, Hu LF, Chen LF, Lin SH, Kuo PI, Chen WS, Lin YC, et al: H1-Antihistamines reduce the risk of hepatocellular carcinoma in patients with hepatitis B virus, hepatitis C virus, or dual hepatitis B virus-hepatitis C Virus infection. J Clin Oncol. 40:1206–1219. 2022. View Article : Google Scholar : PubMed/NCBI

22 

Ellegaard AM, Dehlendorff C, Vind AC, Anand A, Cederkvist L, Petersen NHT, Nylandsted J, Stenvang J, Mellemgaard A, Osterlind K, et al: Repurposing cationic amphiphilic antihistamines for cancer treatment. EBioMedicine. 9:130–139. 2016. View Article : Google Scholar : PubMed/NCBI

23 

Chen C, Gao H and Su X: Autophagy-related signaling pathways are involved in cancer (Review). Exp Ther Med. 22:7102021. View Article : Google Scholar : PubMed/NCBI

24 

Anjum J, Mitra S, Das R, Alam R, Mojumder A, Emran TB, Islam F, Rauf A, Hossain MJ, Aljohani ASM, et al: A renewed concept on the MAPK signaling pathway in cancers: Polyphenols as a choice of therapeutics. Pharmacol Res. 184:1063982022. View Article : Google Scholar : PubMed/NCBI

25 

Muilenburg D, Parsons C, Coates J, Virudachalam S and Bold RJ: Role of autophagy in apoptotic regulation by Akt in pancreatic cancer. Anticancer Res. 34:631–637. 2014.PubMed/NCBI

26 

Liu B, Chen R, Zhang Y, Huang J, Luo Y, Rosthoj S, Zhao C and Jäättelä M: Cationic amphiphilic antihistamines inhibit STAT3 via Ca(2+)-dependent lysosomal H(+) efflux. Cell Rep. 42:1121372023. View Article : Google Scholar

27 

Bryant JP, Levy A, Heiss J and Banasavadi-Siddegowda YK: Review of PP2A tumor biology and antitumor effects of PP2A inhibitor LB100 in the nervous system. Cancers (Basel). 13:30872021. View Article : Google Scholar : PubMed/NCBI

28 

Liu CC, Lin SP, Hsu HS, Yang SH, Lin CH, Yang MH, Hung MC and Hung SC: Suspension survival mediated by PP2A-STAT3-Col XVII determines tumour initiation and metastasis in cancer stem cells. Nat Commun. 7:117982016. View Article : Google Scholar : PubMed/NCBI

29 

Chen J, Martin BL and Brautigan DL: Regulation of protein serine-threonine phosphatase type-2A by tyrosine phosphorylation. Science. 257:1261–1264. 1992. View Article : Google Scholar : PubMed/NCBI

30 

Tilly BC, Tertoolen LG, Remorie R, Ladoux A, Verlaan I, de Laat SW and Moolenaar WH: Histamine as a growth factor and chemoattractant for human carcinoma and melanoma cells: Action through Ca2(+)-mobilizing H1 receptors. J Cell Biol. 110:1211–1215. 1990. View Article : Google Scholar : PubMed/NCBI

31 

Kennedy L, Hodges K, Meng F, Alpini G and Francis H: Histamine and histamine receptor regulation of gastrointestinal cancers. Transl Gastrointest Cancer. 1:215–227. 2012.PubMed/NCBI

32 

Jangi SM, Ruiz-Larrea MB, Nicolau-Galmés F, Andollo N, Arroyo-Berdugo Y, Ortega-Martínez I, Díaz-Pérez JL and Boyano MD: Terfenadine-induced apoptosis in human melanoma cells is mediated through Ca2+ homeostasis modulation and tyrosine kinase activity, independently of H1 histamine receptors. Carcinogenesis. 29:500–509. 2008. View Article : Google Scholar : PubMed/NCBI

33 

Liu G, Pei F, Yang F, Li L, Amin AD, Liu S, Buchan JR and Cho WC: Role of autophagy and apoptosis in non-small-cell lung cancer. Int J Mol Sci. 18:3672017. View Article : Google Scholar : PubMed/NCBI

34 

Nikoletopoulou V, Markaki M, Palikaras K and Tavernarakis N: Crosstalk between apoptosis, necrosis and autophagy. Biochim Biophys Acta. 1833:3448–3459. 2013. View Article : Google Scholar : PubMed/NCBI

35 

Liu X, Zhong R, Huang J, Chen Z, Xu H, Lin L, Cai Q, He M, Lao S, Deng H, et al: Loratidine is associated with improved prognosis and exerts antineoplastic effects via apoptotic and pyroptotic crosstalk in lung cancer. J Exp Clin Cancer Res. 43:52024. View Article : Google Scholar : PubMed/NCBI

36 

Ummanni R, Mannsperger HA, Sonntag J, Oswald M, Sharma AK, König R and Korf U: Evaluation of reverse phase protein array (RPPA)-based pathway-activation profiling in 84 non-small cell lung cancer (NSCLC) cell lines as platform for cancer proteomics and biomarker discovery. Biochim Biophys Acta. 1844:950–959. 2014. View Article : Google Scholar

37 

Betin VM and Lane JD: Atg4D at the interface between autophagy and apoptosis. Autophagy. 5:1057–1059. 2009. View Article : Google Scholar : PubMed/NCBI

38 

Han J, Hou W, Goldstein LA, Stolz DB, Watkins SC and Rabinowich H: A complex between Atg7 and Caspase-9: A novel mechanism of cross-regulation between autophagy and apoptosis. J Biol Chem. 289:6485–6497. 2014. View Article : Google Scholar :

39 

Zheng Y, Sun W, Wang Z, Liu J, Shan C, He C, Li B, Hu X, Zhu W, Liu L, et al: Activation of pancreatic Acinar FXR Protects against pancreatitis via osgin1-mediated restoration of efficient autophagy. Research (Wash D C). 2022:97840812022.PubMed/NCBI

40 

Sukkar MB and Harris J: Potential impact of oxidative stress induced growth inhibitor 1 (OSGIN1) on airway epithelial cell autophagy in chronic obstructive pulmonary disease (COPD). J Thorac Dis. 9:4825–4827. 2017. View Article : Google Scholar

41 

Wang G, Zhou H, Strulovici-Barel Y, Al-Hijji M, Ou X, Salit J, Walters MS, Staudt MR, Kaner RJ and Crystal RG: Role of OSGIN1 in mediating smoking-induced autophagy in the human airway epithelium. Autophagy. 13:1205–1220. 2017. View Article : Google Scholar : PubMed/NCBI

42 

Jin X, Shang B, Wang J, Sun J, Li J, Liang B, Wang X, Su L, You W and Jiang S: Farnesoid X receptor promotes non-small cell lung cancer metastasis by activating Jak2/STAT3 signaling via transactivation of IL-6ST and IL-6 genes. Cell Death Dis. 15:1482024. View Article : Google Scholar : PubMed/NCBI

43 

Xie X, Laster KV, Li J, Nie W, Yi YW, Liu K, Seong YS, Dong Z and Kim DJ: OSGIN1 is a novel TUBB3 regulator that promotes tumor progression and gefitinib resistance in non-small cell lung cancer. Cell Mol Life Sci. 80:2722023. View Article : Google Scholar : PubMed/NCBI

44 

Yue J and López JM: Understanding MAPK signaling pathways in apoptosis. Int J Mol Sci. 21:23462020. View Article : Google Scholar : PubMed/NCBI

45 

Brown M, Strudwick N, Suwara M, Sutcliffe LK, Mihai AD, Ali AA, Watson JN and Schröder M: An initial phase of JNK activation inhibits cell death early in the endoplasmic reticulum stress response. J Cell Sci. 129:2317–2328. 2016. View Article : Google Scholar : PubMed/NCBI

46 

Tran TH, Andreka P, Rodrigues CO, Webster KA and Bishopric NH: Jun kinase delays caspase-9 activation by interaction with the apoptosome. J Biol Chem. 282:20340–20350. 2007. View Article : Google Scholar : PubMed/NCBI

47 

Yu C, Minemoto Y, Zhang J, Liu J, Tang F, Bui TN, Xiang J and Lin A: JNK suppresses apoptosis via phosphorylation of the proapoptotic Bcl-2 family protein BAD. Mol Cell. 13:329–340. 2004. View Article : Google Scholar : PubMed/NCBI

48 

Chen L, Mayer JA, Krisko TI, Speers CW, Wang T, Hilsenbeck SG and Brown PH: Inhibition of the p38 kinase suppresses the proliferation of human ER-negative breast cancer cells. Cancer Res. 69:8853–8861. 2009. View Article : Google Scholar : PubMed/NCBI

49 

Ricote M, García-Tuñón I, Bethencourt F, Fraile B, Onsurbe P, Paniagua R and Royuela M: The p38 transduction pathway in prostatic neoplasia. J Pathol. 208:401–407. 2006. View Article : Google Scholar

50 

Seifert A and Clarke PR: p38alpha- and DYRK1A-dependent phosphorylation of caspase-9 at an inhibitory site in response to hyperosmotic stress. Cell Signal. 21:1626–1633. 2009. View Article : Google Scholar : PubMed/NCBI

51 

Janssens V, Goris J and Van Hoof C: PP2A: The expected tumor suppressor. Curr Opin Genet Dev. 15:34–41. 2005. View Article : Google Scholar : PubMed/NCBI

52 

Yu H, Zaveri S, Sattar Z, Schaible M, Gandara BP, Uddin A, McGarvey LR, Ohlmeyer M and Geraghty P: Protein phosphatase 2A as a therapeutic target in pulmonary diseases. Medicina (Kaunas). 59:15522023. View Article : Google Scholar : PubMed/NCBI

53 

Wu SY, Wen YC, Ku CC, Yang YC, Chow JM, Yang SF, Lee WJ and Chien MH: Penfluridol triggers cytoprotective autophagy and cellular apoptosis through ROS induction and activation of the PP2A-modulated MAPK pathway in acute myeloid leukemia with different FLT3 statuses. J Biomed Sci. 26:632019. View Article : Google Scholar : PubMed/NCBI

54 

Hung MH, Wang CY, Chen YL, Chu PY, Hsiao YJ, Tai WT, Chao TT, Yu HC, Shiau CW and Chen KF: SET antagonist enhances the chemosensitivity of non-small cell lung cancer cells by reactivating protein phosphatase 2A. Oncotarget. 7:638–655. 2016. View Article : Google Scholar :

55 

Tohmé R, Izadmehr S, Gandhe S, Tabaro G, Vallabhaneni S, Thomas A, Vasireddi N, Dhawan NS, Ma'ayan A, Sharma N, et al: Direct activation of PP2A for the treatment of tyrosine kinase inhibitor-resistant lung adenocarcinoma. JCI Insight. 4:e1256932019. View Article : Google Scholar : PubMed/NCBI

56 

Zhang Y, Wang X, Li A, Guan Y, Shen P, Ni Y and Han X: PP2A regulates metastasis and vasculogenic mimicry formation via PI3K/AKT/ZEB1 axis in non-small cell lung cancers. J Pharmacol Sci. 150:56–66. 2022. View Article : Google Scholar : PubMed/NCBI

Related Articles

  • Abstract
  • View
  • Download
  • Twitter
Copy and paste a formatted citation
Spandidos Publications style
Chien M, Hung W, Lai T, Tsai C, Lee K, Hsieh F, Lee W and Chang J: The off‑target effect of loratadine triggers autophagy‑mediated apoptosis in lung adenocarcinoma cells by deactivating JNK, p38, and STAT3 signaling through both PP2A‑dependent and independent pathways. Int J Mol Med 55: 54, 2025.
APA
Chien, M., Hung, W., Lai, T., Tsai, C., Lee, K., Hsieh, F. ... Chang, J. (2025). The off‑target effect of loratadine triggers autophagy‑mediated apoptosis in lung adenocarcinoma cells by deactivating JNK, p38, and STAT3 signaling through both PP2A‑dependent and independent pathways. International Journal of Molecular Medicine, 55, 54. https://doi.org/10.3892/ijmm.2025.5495
MLA
Chien, M., Hung, W., Lai, T., Tsai, C., Lee, K., Hsieh, F., Lee, W., Chang, J."The off‑target effect of loratadine triggers autophagy‑mediated apoptosis in lung adenocarcinoma cells by deactivating JNK, p38, and STAT3 signaling through both PP2A‑dependent and independent pathways". International Journal of Molecular Medicine 55.4 (2025): 54.
Chicago
Chien, M., Hung, W., Lai, T., Tsai, C., Lee, K., Hsieh, F., Lee, W., Chang, J."The off‑target effect of loratadine triggers autophagy‑mediated apoptosis in lung adenocarcinoma cells by deactivating JNK, p38, and STAT3 signaling through both PP2A‑dependent and independent pathways". International Journal of Molecular Medicine 55, no. 4 (2025): 54. https://doi.org/10.3892/ijmm.2025.5495
Copy and paste a formatted citation
x
Spandidos Publications style
Chien M, Hung W, Lai T, Tsai C, Lee K, Hsieh F, Lee W and Chang J: The off‑target effect of loratadine triggers autophagy‑mediated apoptosis in lung adenocarcinoma cells by deactivating JNK, p38, and STAT3 signaling through both PP2A‑dependent and independent pathways. Int J Mol Med 55: 54, 2025.
APA
Chien, M., Hung, W., Lai, T., Tsai, C., Lee, K., Hsieh, F. ... Chang, J. (2025). The off‑target effect of loratadine triggers autophagy‑mediated apoptosis in lung adenocarcinoma cells by deactivating JNK, p38, and STAT3 signaling through both PP2A‑dependent and independent pathways. International Journal of Molecular Medicine, 55, 54. https://doi.org/10.3892/ijmm.2025.5495
MLA
Chien, M., Hung, W., Lai, T., Tsai, C., Lee, K., Hsieh, F., Lee, W., Chang, J."The off‑target effect of loratadine triggers autophagy‑mediated apoptosis in lung adenocarcinoma cells by deactivating JNK, p38, and STAT3 signaling through both PP2A‑dependent and independent pathways". International Journal of Molecular Medicine 55.4 (2025): 54.
Chicago
Chien, M., Hung, W., Lai, T., Tsai, C., Lee, K., Hsieh, F., Lee, W., Chang, J."The off‑target effect of loratadine triggers autophagy‑mediated apoptosis in lung adenocarcinoma cells by deactivating JNK, p38, and STAT3 signaling through both PP2A‑dependent and independent pathways". International Journal of Molecular Medicine 55, no. 4 (2025): 54. https://doi.org/10.3892/ijmm.2025.5495
Follow us
  • Twitter
  • LinkedIn
  • Facebook
About
  • Spandidos Publications
  • Careers
  • Cookie Policy
  • Privacy Policy
How can we help?
  • Help
  • Live Chat
  • Contact
  • Email to our Support Team