Spandidos Publications Logo
  • About
    • About Spandidos
    • Aims and Scopes
    • Abstracting and Indexing
    • Editorial Policies
    • Reprints and Permissions
    • Job Opportunities
    • Terms and Conditions
    • Contact
  • Journals
    • All Journals
    • Oncology Letters
      • Oncology Letters
      • Information for Authors
      • Editorial Policies
      • Editorial Board
      • Aims and Scope
      • Abstracting and Indexing
      • Bibliographic Information
      • Archive
    • International Journal of Oncology
      • International Journal of Oncology
      • Information for Authors
      • Editorial Policies
      • Editorial Board
      • Aims and Scope
      • Abstracting and Indexing
      • Bibliographic Information
      • Archive
    • Molecular and Clinical Oncology
      • Molecular and Clinical Oncology
      • Information for Authors
      • Editorial Policies
      • Editorial Board
      • Aims and Scope
      • Abstracting and Indexing
      • Bibliographic Information
      • Archive
    • Experimental and Therapeutic Medicine
      • Experimental and Therapeutic Medicine
      • Information for Authors
      • Editorial Policies
      • Editorial Board
      • Aims and Scope
      • Abstracting and Indexing
      • Bibliographic Information
      • Archive
    • International Journal of Molecular Medicine
      • International Journal of Molecular Medicine
      • Information for Authors
      • Editorial Policies
      • Editorial Board
      • Aims and Scope
      • Abstracting and Indexing
      • Bibliographic Information
      • Archive
    • Biomedical Reports
      • Biomedical Reports
      • Information for Authors
      • Editorial Policies
      • Editorial Board
      • Aims and Scope
      • Abstracting and Indexing
      • Bibliographic Information
      • Archive
    • Oncology Reports
      • Oncology Reports
      • Information for Authors
      • Editorial Policies
      • Editorial Board
      • Aims and Scope
      • Abstracting and Indexing
      • Bibliographic Information
      • Archive
    • Molecular Medicine Reports
      • Molecular Medicine Reports
      • Information for Authors
      • Editorial Policies
      • Editorial Board
      • Aims and Scope
      • Abstracting and Indexing
      • Bibliographic Information
      • Archive
    • World Academy of Sciences Journal
      • World Academy of Sciences Journal
      • Information for Authors
      • Editorial Policies
      • Editorial Board
      • Aims and Scope
      • Abstracting and Indexing
      • Bibliographic Information
      • Archive
    • International Journal of Functional Nutrition
      • International Journal of Functional Nutrition
      • Information for Authors
      • Editorial Policies
      • Editorial Board
      • Aims and Scope
      • Abstracting and Indexing
      • Bibliographic Information
      • Archive
    • International Journal of Epigenetics
      • International Journal of Epigenetics
      • Information for Authors
      • Editorial Policies
      • Editorial Board
      • Aims and Scope
      • Abstracting and Indexing
      • Bibliographic Information
      • Archive
    • Medicine International
      • Medicine International
      • Information for Authors
      • Editorial Policies
      • Editorial Board
      • Aims and Scope
      • Abstracting and Indexing
      • Bibliographic Information
      • Archive
  • Articles
  • Information
    • Information for Authors
    • Information for Reviewers
    • Information for Librarians
    • Information for Advertisers
    • Conferences
  • Language Editing
Spandidos Publications Logo
  • About
    • About Spandidos
    • Aims and Scopes
    • Abstracting and Indexing
    • Editorial Policies
    • Reprints and Permissions
    • Job Opportunities
    • Terms and Conditions
    • Contact
  • Journals
    • All Journals
    • Biomedical Reports
      • Information for Authors
      • Editorial Policies
      • Editorial Board
      • Aims and Scope
      • Abstracting and Indexing
      • Bibliographic Information
      • Archive
    • Experimental and Therapeutic Medicine
      • Information for Authors
      • Editorial Policies
      • Editorial Board
      • Aims and Scope
      • Abstracting and Indexing
      • Bibliographic Information
      • Archive
    • International Journal of Epigenetics
      • Information for Authors
      • Editorial Policies
      • Editorial Board
      • Aims and Scope
      • Abstracting and Indexing
      • Bibliographic Information
      • Archive
    • International Journal of Functional Nutrition
      • Information for Authors
      • Editorial Policies
      • Editorial Board
      • Aims and Scope
      • Abstracting and Indexing
      • Bibliographic Information
      • Archive
    • International Journal of Molecular Medicine
      • Information for Authors
      • Editorial Policies
      • Editorial Board
      • Aims and Scope
      • Abstracting and Indexing
      • Bibliographic Information
      • Archive
    • International Journal of Oncology
      • Information for Authors
      • Editorial Policies
      • Editorial Board
      • Aims and Scope
      • Abstracting and Indexing
      • Bibliographic Information
      • Archive
    • Medicine International
      • Information for Authors
      • Editorial Policies
      • Editorial Board
      • Aims and Scope
      • Abstracting and Indexing
      • Bibliographic Information
      • Archive
    • Molecular and Clinical Oncology
      • Information for Authors
      • Editorial Policies
      • Editorial Board
      • Aims and Scope
      • Abstracting and Indexing
      • Bibliographic Information
      • Archive
    • Molecular Medicine Reports
      • Information for Authors
      • Editorial Policies
      • Editorial Board
      • Aims and Scope
      • Abstracting and Indexing
      • Bibliographic Information
      • Archive
    • Oncology Letters
      • Information for Authors
      • Editorial Policies
      • Editorial Board
      • Aims and Scope
      • Abstracting and Indexing
      • Bibliographic Information
      • Archive
    • Oncology Reports
      • Information for Authors
      • Editorial Policies
      • Editorial Board
      • Aims and Scope
      • Abstracting and Indexing
      • Bibliographic Information
      • Archive
    • World Academy of Sciences Journal
      • Information for Authors
      • Editorial Policies
      • Editorial Board
      • Aims and Scope
      • Abstracting and Indexing
      • Bibliographic Information
      • Archive
  • Articles
  • Information
    • For Authors
    • For Reviewers
    • For Librarians
    • For Advertisers
    • Conferences
  • Language Editing
Login Register Submit
  • This site uses cookies
  • You can change your cookie settings at any time by following the instructions in our Cookie Policy. To find out more, you may read our Privacy Policy.

    I agree
Search articles by DOI, keyword, author or affiliation
Search
Advanced Search
presentation
International Journal of Molecular Medicine
Join Editorial Board Propose a Special Issue
Print ISSN: 1107-3756 Online ISSN: 1791-244X
Journal Cover
May-2026 Volume 57 Issue 5

Full Size Image

Sign up for eToc alerts
Recommend to Library

Journals

International Journal of Molecular Medicine

International Journal of Molecular Medicine

International Journal of Molecular Medicine is an international journal devoted to molecular mechanisms of human disease.

International Journal of Oncology

International Journal of Oncology

International Journal of Oncology is an international journal devoted to oncology research and cancer treatment.

Molecular Medicine Reports

Molecular Medicine Reports

Covers molecular medicine topics such as pharmacology, pathology, genetics, neuroscience, infectious diseases, molecular cardiology, and molecular surgery.

Oncology Reports

Oncology Reports

Oncology Reports is an international journal devoted to fundamental and applied research in Oncology.

Experimental and Therapeutic Medicine

Experimental and Therapeutic Medicine

Experimental and Therapeutic Medicine is an international journal devoted to laboratory and clinical medicine.

Oncology Letters

Oncology Letters

Oncology Letters is an international journal devoted to Experimental and Clinical Oncology.

Biomedical Reports

Biomedical Reports

Explores a wide range of biological and medical fields, including pharmacology, genetics, microbiology, neuroscience, and molecular cardiology.

Molecular and Clinical Oncology

Molecular and Clinical Oncology

International journal addressing all aspects of oncology research, from tumorigenesis and oncogenes to chemotherapy and metastasis.

World Academy of Sciences Journal

World Academy of Sciences Journal

Multidisciplinary open-access journal spanning biochemistry, genetics, neuroscience, environmental health, and synthetic biology.

International Journal of Functional Nutrition

International Journal of Functional Nutrition

Open-access journal combining biochemistry, pharmacology, immunology, and genetics to advance health through functional nutrition.

International Journal of Epigenetics

International Journal of Epigenetics

Publishes open-access research on using epigenetics to advance understanding and treatment of human disease.

Medicine International

Medicine International

An International Open Access Journal Devoted to General Medicine.

Journal Cover
May-2026 Volume 57 Issue 5

Full Size Image

Sign up for eToc alerts
Recommend to Library

  • Article
  • Citations
    • Cite This Article
    • Download Citation
    • Create Citation Alert
    • Remove Citation Alert
    • Cited By
  • Similar Articles
    • Related Articles (in Spandidos Publications)
    • Similar Articles (Google Scholar)
    • Similar Articles (PubMed)
  • Download PDF
  • Download XML
  • View XML

  • Supplementary Files
    • Supplementary_Data.pdf
Article Open Access

Siglec‑15 dysregulation and its therapeutic implications in new‑onset type 1 diabetes 

  • Authors:
    • Heming Guo
    • Yunwen Tao
    • Sicheng Li
    • Ying Gu
    • Yiting Huang
    • Chen Fang
    • Ji Hu
  • View Affiliations / Copyright

    Affiliations: Department of Endocrinology, The Second Affiliated Hospital of Soochow University, Suzhou, Jiangsu 215004, P.R. China, Department of Clinical Nutrition, The Second Affiliated Hospital of Soochow University, Suzhou, Jiangsu 215004, P.R. China
    Copyright: © Guo et al. This is an open access article distributed under the terms of Creative Commons Attribution License.
  • Article Number: 135
    |
    Published online on: March 20, 2026
       https://doi.org/10.3892/ijmm.2026.5806
  • Expand metrics +
Metrics: Total Views: 0 (Spandidos Publications: | PMC Statistics: )
Metrics: Total PDF Downloads: 0 (Spandidos Publications: | PMC Statistics: )
Cited By (CrossRef): 0 citations Loading Articles...

This article is mentioned in:


Abstract

Type 1 diabetes (T1D) is a T cell‑mediated autoimmune disorder characterized by the destruction of insulin‑producing β‑cells. Sialic acid‑binding Ig‑like lectin 15 (Siglec‑15) could inhibit T‑cell activation and suppress immune responses. However, the association between Siglec‑15 expression levels and T1D is largely unknown. Serum concentrations of soluble Siglec‑15 were quantified in a cohort comprising 34 individuals newly diagnosed with T1D and 21 healthy control subjects. A murine mesenchymal stem cell (MSC) line, C3H10 T1/2, was genetically engineered to stably express SIGLEC15 through lentiviral transduction. Non‑obese diabetic (NOD) mice were administered treatments with Siglec15‑expressing MSCs, control MSCs, or phosphate‑buffered saline. The present study evaluated diabetes incidence, blood glucose concentrations, the severity of insulitis and the composition of immune cell populations in the pancreatic lymph nodes and spleens. In the present study, measurement of human serum specimens by ELISA revealed a positive association between new‑onset T1D and soluble Siglec‑15 levels. In NOD mice, treatment with Siglec15‑MSCs resulted in a significant reduction in diabetes incidence, preservation of insulin‑positive islets and mitigation of insulitis. Flow cytometric analysis demonstrated an increase in CD4+effector memory T cells within the pancreatic‑draining lymph nodes of mice treated with Siglec15‑MSCs, while no significant alterations were observed in splenic T cell populations or the frequencies of regulatory T cells. The findings of this study underscore the potential of Siglec‑15‑overexpressing MSCs as a promising cell‑based therapeutic approach for T1D, primarily through the localized modulation of memory T cells within the pancreatic lymph nodes.

Introduction

Type 1 diabetes (T1D) is a chronic autoimmune disorder characterized by the destruction of pancreatic β-cells. The pathogenesis of T1D is considered to result from a synergistic interaction among genetic, environmental and immune factors (1). Currently, insulin replacement therapy remains the primary treatment for T1D; however, achieving optimal glycemic control continues to pose significant challenges (2). Mesenchymal stem cells (MSCs) are known to attenuate inflammation and modulate the immune system, although the precise mechanisms underlying MSC-mediated immunomodulation have yet to be fully elucidated. Due to their multilineage differentiation capacity and immunomodulatory properties, MSCs have been extensively researched for treating degenerative and autoimmune diseases, including T1D. An increasing body of preclinical and clinical evidence suggests that MSCs can enhance islet β-cell function in individuals with T1D (3-5). However, a major caveat is that MSCs from pre-clinical models as well as T1D patients show gross defects in a number of these properties and lack the ability to promote protection from T1D, raising the concern that unaltered autologous MSCs may not have therapeutic value (6,7). The potential explanation for the limited efficacy of MSCs therapy in T1D may lie in the nonspecific nature of MSCs' immunoregulatory functions, coupled with the unique characteristics of the immune dysregulation observed in this disease. Consequently, the mere reinfusion of MSCs fails to provide targeted therapeutic benefits for T1D.

Sialic acid-binding immunoglobulin-like lectins (Siglecs) constitute a family of glycan-recognizing proteins that are part of the immunoglobulin superfamily. The Siglec family has the potential to restore immune tolerance in the context of autoimmune diseases. A number of Siglecs act as inhibitory receptors, attenuating activation signals in various immune cells by binding to sialic acid ligands, which serve as markers of self. Previous research has demonstrated that Siglec-7 is expressed on β-cells and is downregulated in both type 1 and type 2 diabetes, as well as in infiltrating activated immune cells (8). Additionally, Siglec-10 is expressed on tissue-infiltrating T cells and has been shown to confer protection against T1D in murine models (9). The research group led by Guo (10) identified a novel subset of SIGLEC-1+ monocytes, which may serve as a significant biomarker for early diagnosis, assessment of disease activity and monitoring of therapeutic efficacy in T1D.

Siglec-15 is a Siglec family protein that acts as a significant immune suppressor by inhibiting T-cell activation and fostering immunosuppressive myeloid cells, thereby suppressing antigen-specific T cell responses (7,11). Its critical role in tumor immune evasion is well-documented. Seminal work by Wang et al (12) established that Siglec-15 directly inhibits tumor-specific CD8+ T cells and its blockade enhances antitumor immunity. This concept is further supported by findings from Hu et al (13), which associated high Siglec-15 expression with a non-inflamed, therapy-resistant microenvironment in bladder cancer. Collectively, these studies indicate that Siglec-15 suppresses T-cell responses likely via an unidentified receptor, playing a pivotal role in maintaining immune tolerance. This function is of particular interest given that disrupted tolerance is a hallmark of autoimmune pathologies. Nonetheless, the specific role of Siglec-15 in immune homeostasis and its involvement in autoimmune diseases, such as T1D, remain poorly characterized. Our prior research identified that T-cell immunoglobulin mucin-1 (Tim-1) and T-cell immunoglobulin mucin-4 (Tim-4) are integral to the pathogenesis of T1D (14). Notably, the V-set Ig-like domain of Siglec-15 exhibits considerable sequence homology with those of Tim-1 and Tim-4 (15). This observation implies a potential association of Siglec-15 with the development of T1D.

The present study examined the presence of Siglec-15 in the serum of patients with T1D and investigated the factors influencing Siglec-15 expression. Additionally, it explored the negative regulatory properties of MSCs as a potential tool for modulating the immune system in T1D. The present study developed SIGLEC15 gene-transfected MSCs, designated as C3H10/SIGLEC15, which are murine MSC C3H10 T1/2 cells that stably express SIGLEC15. An enhanced understanding of the characteristics of SIGLEC15 in C3H10 cells may offer novel insights into stem cell therapy for T1D.

Materials and methods

Patients and controls

Patients were recruited from the Second Affiliated Hospital of Soochow University. There were 34 patients with newly diagnosed T1D (diagnosed with the criteria of American Diabetes Association) (16) and 21 healthy volunteers who were recruited from hospital staff. Participants were excluded if they had one of the following conditions: Acute or chronic inflammatory diseases, other autoimmune diseases, infectious diseases, cancer, or if they were on antibiotic treatment. Biochemical and clinical data were obtained from patient medical records. Blood samples were collected after overnight fasting from patients between March 2021 and March 2024. Blood samples underwent centrifugation at 4°C and 1,800 x g for a duration of 10 min, after which the resulting cell-free serum was preserved at -80°C until analysis. Serum concentrations of Siglec-15 were quantified using an enzyme-linked immunosorbent assay (ELISA) kit (cat. no. EKN53372; Biomatik). Clinical and biochemical characteristics of the patients are given in Table I.

Table I

Clinical and biochemical characteristics of the patients.

Table I

Clinical and biochemical characteristics of the patients.

CharacteristicT1D groupControl groupP-value
Number of participants3421
Age, years33.51±7.636.48±9.70.181
Sex. male/female23/1113/80.189
TC, mmol/l4.31±1.094.00±0.930.287
TG, mmol/l1.29±0.940.78±0.430.026
LDL-C, mmol/l2.78±0.852.38±0.760.082
Uric acid, µmol/l325.18±144.98249.52±82.470.034
BMI, kg/m221.67±3.5820.80±2.150.321
Diabetes duration, weeks1.45±0.941--
HbA1c, %11.06±2.36--
FCP, ng/ml0.57±0.46--
2hCP, ng/ml0.97±1.21--
Positive-anti ICA, (%)23 (41.8)--
Positive-anti GADA, (%)29 (52.7)--
Positive-anti IAA, (%)4 (7.3)--
Positive-anti IA2A, (%)13 (23.6)--
Positive-anti ZnT8A, (%)0 (0)--
Active smoking, n (%)6 (10.9)--
Alcohol intake, n (%)1 (1.8)--
Siglec15 levels (ng/ml)117.6 (40.69-207.89)222 (114.26-649.77)<0.001

[i] T1D, type 1 diabetes; TC, total cholesterol; TG, triglycerides; LDL, low-density lipoprotein; BMI, body mass index; HbA1c, hemoglobin A1c; FCP, fasting C-peptide; 2hCP, 2-hour postprandial C-peptide; ICA, islet cell cytoplasmic autoantibody; GADA, glutamic acid decarboxylase antibody; IAA, insulin autoantibody; IA2A, protein tyrosine phosphatase-like protein antibodies; ZnT8A, zinc transporter 8 antibody.

Animals

Female non-obese diabetic (NOD) mice, aged 6-8 weeks and weighing 18-22 g, were purchased from Cavens Biogle and maintained under pathogen-free conditions at the Model Animal Research Center of Soochow University. Mice were housed in a room maintained at 22°C and 50-60% humidity under a 12-h light/dark cycle (lights off from 08:00 to 20:00). Food and water were replaced every other day. A total of 18 mice [PBS group (n=6), Control-MSCs group (n=6), Siglec15-MSCs group (n=6)] were used in the present experiments. Mice were randomly allocated to the PBS, Siglec15-MSCs group (overexpression of Siglec-15 in MSC) or Control-MSCs so that blood glucose means at the start of the experiment were even. Blinding was not carried out in any of the experiments. All animal experiments were approved by the Institutional Animals Ethics Committee at Soochow University, Suzhou, China (approval no. 202412A0289).

Cell culture

293T cells and the mouse MSC line, C3H10 T1/2, were originally obtained from the Cell Resource Center, Peking Union Medical College. Cell lines C3H10 T1/2 were cultured in minimum essential medium (MEM; Gibco; Thermo Fisher Scientific, Inc.) with 10% fetal bovine serum (FBS; Gibco; Thermo Fisher Scientific, Inc.) and 1% Non-Essential Amino Acids (NEAA; Jiangsu KeyGen Biotech Co., Ltd.). All cells were incubated at 37°C in a humidified atmosphere containing 5% CO2.

Reagents

The following antibodies were purchased from BioLegend, Inc.: APC anti-mouse Perforin Antibody (cat. no. 154404), Brilliant Violet 421 anti-mouse CD11b Antibody (cat. no. 101251), PE anti-mouse CD11b Antibody (cat. no. 101207), APC anti-mouse CD44 Antibody (cat. no. 103012), FITC anti-mouse CD4 Antibody (cat. no. 100405), Brilliant Violet 421 anti-mouse CD62L Antibody (cat. no. 104436), APC/Cyanine7 anti-mouse CD8 Antibody (cat. no. 100714), Brilliant Violet 421 anti-mouse CD8a Antibody (cat. no. 100753), FITC anti-mouse CD8a Antibody (cat. no. 100705), PE anti-mouse CD8a Antibody (cat. no. 100707), PE anti-mouse FOXP3 Antibody (cat. no. 320008), FITC anti-mouse IFN-γ Antibody (cat. no. 505806), Brilliant Violet 421 anti-mouse IL-17A Antibody (cat. no. 506926), APC anti-mouse CD4 Antibody (cat. no. 100411). The following antibodies were purchased from Abcam: FITC anti-mouse IL-4 Antibody (cat. no. ab186716), FITC anti-mouse CD3 Antibody (cat. no. ab34722), Alexa Fluor 647 Anti-Insulin antibody (cat. no. ab309368), Alexa Fluor 488 Anti-Glucagon antibody (cat. no. ab307340). The human Siglec15 ELISA Kit was purchased from Biomatik (cat. no. EKN53372).

Establishment of a genetically engineered cell line

The full length of mouse SIGLEC15 cDNA (https://www.ncbi.nlm.nih.gov/nuccore/NM_001101038.2) was subcloned into lentiviral vector pSLenti-Puro (Shanghai Obio Technology Corp., Ltd.). Using a second-generation packaging system, lentiviral particles were generated by co-transfecting 293T cells (Cell Resource Center, Peking Union Medical College) with 2.0 µg of the recombinant plasmid, 1.5 µg of the packaging plasmid pHIT60 (Shanghai Obio Technology Corp., Ltd.), and 0.5 µg of the envelope plasmid pHIT456 (Shanghai Obio Technology Corp., Ltd.) at a 4:3:1 ratio using Lipofectamine® 3000 (Invitrogen; Thermo Fisher Scientific, Inc.). After 48 h of incubation at 37°C, viral supernatants were collected. C3H10 T1/2 cells were then transduced with the viral supernatant at a multiplicity of infection (MOI) of 20 in the presence of 8 µg/ml polybrene (cat. no. C0351; Beyotime Biotechnology). Following 24 h of transduction, the virus-containing medium was replaced with fresh complete medium. At 48 h post-transduction, cells were subjected to selection with 3.5 µg/ml puromycin (cat. no. ST551; Beyotime Biotechnology) for 1 week to establish stable polyclonal populations. The puromycin concentration was subsequently reduced to 1 µg/ml for maintenance. The resulting puromycin-resistant C3H10 T1/2 cell line stably expressing SIGLEC15 was designated Siglec15-MSCs.

Treatment of NOD mice with engineered MSCs

Pre-diabetic (10-12-week-old) NOD mice from multiple cages were pooled and randomly allocated into three treatment groups. Each mouse received two intravenous injections (on day 0 and day 3) at the following doses per injection: The PBS group received 200 µl of PBS alone; the Control-MSCs group received 5×105 control MSCs resuspended in 200 µl of PBS; and the Siglec15-MSCs group received 5×105 Siglec15-MSCs in 200 µl of PBS. Three groups of mice were monitored for hyperglycemia by testing for blood glucose levels twice a week. Blood glucose was measured from the tail vein in the ad libitum-fed state, with 5-10 µl of blood collected for each measurement. Blood glucose was assayed using Yuwell 580 (Yuwell). NOD mice with glucose levels <5.6 mmol/l were considered pre-diabetic. Diabetes was defined as two consecutive readings above 13.9 mmol/l (17). Cohorts of mice were euthanized at week 8 to determine the degree of insulitis, immune cell phenotype and diabetes incidence. Mice were sacrificed by cervical dislocation after being deeply anesthetized with 5% isoflurane inhalation and loss of respiration and reflexes was confirmed before tissue collection.

Flow cytometry

The surface epitopes of the cells were analyzed by flow cytometry using a series of anti-mouse monoclonal antibodies (mAbs; eBioscience; Thermo Fisher Scientific, Inc.). For the direct immunofluorescence assay, cells were stained with fluorescein isothiocyanate (FITC)- or phycoerythrin (PE)-conjugated mAbs for 30 min at 4°C in the dark. For intracellular staining, the cells were fixed with 2% paraformaldehyde for 30 min at room temperature, permeabilized with 0.5% saponin and stained with FITC- or PE-conjugated rat anti-mouse mAbs for 30 min at 4°C in the dark. Rat isotype immunoglobulin (Ig)-PE or Ig-FITC served as negative controls. A BD FACSCanto II flow cytometer (BD Biosciences) was used for data acquisition, and the data were analyzed using FlowJo v10.10.0 (BD Biosciences).

Histochemistry

Mouse pancreas samples were dissected, fixed in 4% paraformaldehyde in PBS at 4°C and embedded in paraffin. The sections (2 µm thick) were deparaffinized and stained with hematoxylin and eosin (H&E) for general morphological assessment. The deparaffinized sections were also treated with citrate buffer (TRS; pH 6.0; Wuhan Servicebio Technology Co., Ltd.) using a high pressure oven for 30 sec at 121°C and 10 sec at 90°C. The sections were blocked for 30 min at room temperature using a blocking buffer consisting of 3% BSA. Islets were stained for insulin (cat. no. I2018; 1:100; R&D Systems) and glucagon (cat. no. ab10988; 1:100; Abcam). Primary antibody incubation was carried out overnight at 4°C. Cell nuclei were counterstained with DAPI. The stained sections were analyzed by a FLUOVIEW FV3000 laser scanning confocal microscope (Nikon Corporation) for high-resolution micro-imaging.

Reverse transcription-quantitative (RT-q) PCR

Total RNA was extracted from MSCs, Control-MSCs, and Siglec15-MSCs cultured to 70-90% confluence using TRIzol® Reagent (cat. no. 15596018; Thermo Fisher Scientific, Inc.) A total of 3 µg of RNA was used for reverse transcription using the PrimeScript II 1st Strand cDNA Synthesis Kit (cat. no. 6210A; Takara Biotechnology Co., Ltd.) according to the manufacturer's protocol. The cDNA was further used to conduct qPCR analysis per the BeyoFast SYBR Green qPCR Mix (cat. no. D7260; Beyotime Biotechnology). The thermocycling protocol was: Initial denaturation at 95°C for 2 min, followed by 40 cycles of 95°C for 15 sec, 55°C for 20 sec and 72°C for 30 sec. A melting curve analysis was performed from 60°C to 95°C to verify amplification specificity. Gene expression levels were calculated using the 2-ΔΔCq method (18). All reactions were performed in triplicate. The according primer pairs for the target gene and housekeeping gene were as follows: Siglec-15 (Forward: TGC TGC TGC TTG GCA TTC TGG, Reverse: CCT GAG CCT GAG ACC GTG GAG) and β-actin (Forward: AGG TCA TCA CTA TTG GCA ACG AGC, Reverse: AGA GGT CTT TAC GGA TGT CAA CGTC).

Statistical analysis

Data are expressed as the mean ± SEM. Differences between the indicated two groups were analyzed by unpaired Student's t-test. The data of RT-qPCR and flow cytometry were evaluated using one-way ANOVA followed by Tukey's test for multiple group comparisons. For analysis of diabetes-free rate, the log-rank test was performed between the indicated two groups. Correlations were evaluated using Spearman's correlation test and Mann-Whitney U test. Blood glucose levels were evaluated using mixed ANOVA followed by Sidak's test for multiple group comparisons. Fisher's exact test was used to compare the frequency of insulitis grades. All statistical analyses were performed using SPSS (version 27.0; IBM Corp.) and GraphPad Prism 10 (Dotmatics). P<0.05 was considered to indicate a statistically significant difference.

Results

Soluble Siglec-15 in new-onset T1D and healthy controls

The present study enrolled a total of 56 participants, categorized into a new-onset T1D group consisting of 34 individuals and a healthy control group comprising 21 individuals. The clinical characteristics of the present study population are detailed in Table I. Soluble Siglec-15 was detectable in both the T1D cohort and the healthy controls. Notably, serum levels of Siglec-15 were markedly reduced in the new-onset T1D patients [117.6 (40.69-207.89) ng/ml] compared with the healthy control group [222 (114.26-649.77) ng/ml], with a statistical significance of P<0.001 (Fig. 1). However, within the new-onset T1D group, no significant correlations were observed between the titers of soluble Siglec-15 and various clinical parameters, including fasting C-peptide, random blood glucose levels, age, disease duration, HbA1c, autoantibodies (AAbs), creatinine (Cr), blood urea nitrogen (BUN), uric acid (UA), alanine aminotransferase (ALT), aspartate aminotransferase (AST), total cholesterol (TC), triglycerides (TG), low-density lipoprotein (LDL) and high-density lipoprotein (HDL; Tables SI and SII).

Comparison of serum levels of
Siglec15 between new-onset T1D patients and healthy control group.
New-onset T1D, n=34; healthy control, n=21. Data are shown as the
means. P-value was determined by unpaired Student's t-test.
Siglec15, sialic acid-binding Ig-like lectin 15; T1D, type 1
diabetes.

Figure 1

Comparison of serum levels of Siglec15 between new-onset T1D patients and healthy control group. New-onset T1D, n=34; healthy control, n=21. Data are shown as the means. P-value was determined by unpaired Student's t-test. Siglec15, sialic acid-binding Ig-like lectin 15; T1D, type 1 diabetes.

Expression of SIGLEC15 gene in C3H10 T1/2 cell line

To generate SIGLEC15-expressing MSCs, C3H10 T1/2 cells were transduced with either control or SIGLEC15 lentivirus particles, both incorporating a GFP reporter. The efficiency of transduction, as indicated by GFP expression, was verified through fluorescence microscopy (Fig. 2A). RT-qPCR analysis confirmed that SIGLEC15 transcript levels were markedly elevated in Siglec15-MSCs compared with Control-MSCs (Fig. 2B). The immunofluorescent staining results demonstrated a similar trend (Fig. 2C), indicating that C3H10 T1/2 cells can be effectively engineered to express SIGLEC15.

Ectopic expression of Siglec15 in
C3H10 cells. (A) Representative microscopy images of Control-MSCs
and Siglec15-MSCs are shown. Scale bar, 50 µm (left), 100
µm (right). (B) Reverse transcription-quantitative PCR
quantified the relative expression of Siglec15 in Siglec-15-MSCs
compared with Control-MSCs. Data are shown as the means ± SEM.
P-value was determined by one-way ANOVA with post hoc multiple
comparisons. SEM, standard error of the mean.
***P<0.001; ns, not significant. (C) Comparative
immunofluorescence analysis of Siglec15 expression in Siglec15-MSCs
vs. Control-MSCs. Siglec15, sialic acid-binding Ig-like lectin 15;
MSCs, mesenchymal stem cells. Scale bar, 100 µm (left), 50
µm (right).

Figure 2

Ectopic expression of Siglec15 in C3H10 cells. (A) Representative microscopy images of Control-MSCs and Siglec15-MSCs are shown. Scale bar, 50 µm (left), 100 µm (right). (B) Reverse transcription-quantitative PCR quantified the relative expression of Siglec15 in Siglec-15-MSCs compared with Control-MSCs. Data are shown as the means ± SEM. P-value was determined by one-way ANOVA with post hoc multiple comparisons. SEM, standard error of the mean. ***P<0.001; ns, not significant. (C) Comparative immunofluorescence analysis of Siglec15 expression in Siglec15-MSCs vs. Control-MSCs. Siglec15, sialic acid-binding Ig-like lectin 15; MSCs, mesenchymal stem cells. Scale bar, 100 µm (left), 50 µm (right).

Siglec15-MSCs treatment at pre-diabetic stage results in diminished insulitis and prevention of T1D in NOD mice

To evaluate the impact of Siglec15-MSCs treatment on insulitis and the incidence of T1D, pre-diabetic female NOD mice were administered Siglec15-MSCs, Control-MSCs, or PBS twice during the first week (Fig. 3). The cohorts were subsequently monitored for hyperglycemia by measuring blood glucose levels biweekly. As illustrated in Fig. 4A, administration of Siglec15-MSCs resulted in a reduced incidence of overt diabetes, with 83% of the Siglec15-MSCs-treated mice maintaining euglycemia for at least 8 weeks post-treatment. By contrast, more than 17% of the untreated (PBS) group and 33% of the Control-MSCs-treated group developed hyperglycemia during this period. Furthermore, Siglec15-MSCs administration led to markedly lower mean blood glucose levels compared with the untreated and Control-MSCs-treated group (Fig. 4B).

Experimental design showing
intravenous injection and subsequent euthanasia in NOD mice. NOD,
non-obese diabetic; PLNs, pancreatic lymph nodes.

Figure 3

Experimental design showing intravenous injection and subsequent euthanasia in NOD mice. NOD, non-obese diabetic; PLNs, pancreatic lymph nodes.

Effect of Siglec 15-MSCs treatment on
T1D incidence. (A) Diabetes-free rate at week 8 post-injection.
Mice with blood glucose levels greater than 13.9 mmol/l were
regarded as diabetic. (B) The mean blood glucose level in each
group. Blood glucose levels were measured with a simple glucose
meter. Those exceeding the upper limit of measurement with a simple
blood glucose meter were regarded as having a blood glucose level
of 33.3 mmol/l. PBS, n=6; Control-MSCs, n=6; Siglec15-MSCs, n=6.
Data are shown as the means ± SEM. The log-rank test was used to
compare diabetes-free rates (Fig.
4A). Blood glucose levels were analyzed by mixed ANOVA followed
by Sidak's test (Fig. 4B).
*P<0.05; **P<0.01;
***P<0.001. Siglec15, sialic acid-binding Ig-like
lectin 15; MSCs, mesenchymal stem cells; T1D, type 1 diabetes.

Figure 4

Effect of Siglec 15-MSCs treatment on T1D incidence. (A) Diabetes-free rate at week 8 post-injection. Mice with blood glucose levels greater than 13.9 mmol/l were regarded as diabetic. (B) The mean blood glucose level in each group. Blood glucose levels were measured with a simple glucose meter. Those exceeding the upper limit of measurement with a simple blood glucose meter were regarded as having a blood glucose level of 33.3 mmol/l. PBS, n=6; Control-MSCs, n=6; Siglec15-MSCs, n=6. Data are shown as the means ± SEM. The log-rank test was used to compare diabetes-free rates (Fig. 4A). Blood glucose levels were analyzed by mixed ANOVA followed by Sidak's test (Fig. 4B). *P<0.05; **P<0.01; ***P<0.001. Siglec15, sialic acid-binding Ig-like lectin 15; MSCs, mesenchymal stem cells; T1D, type 1 diabetes.

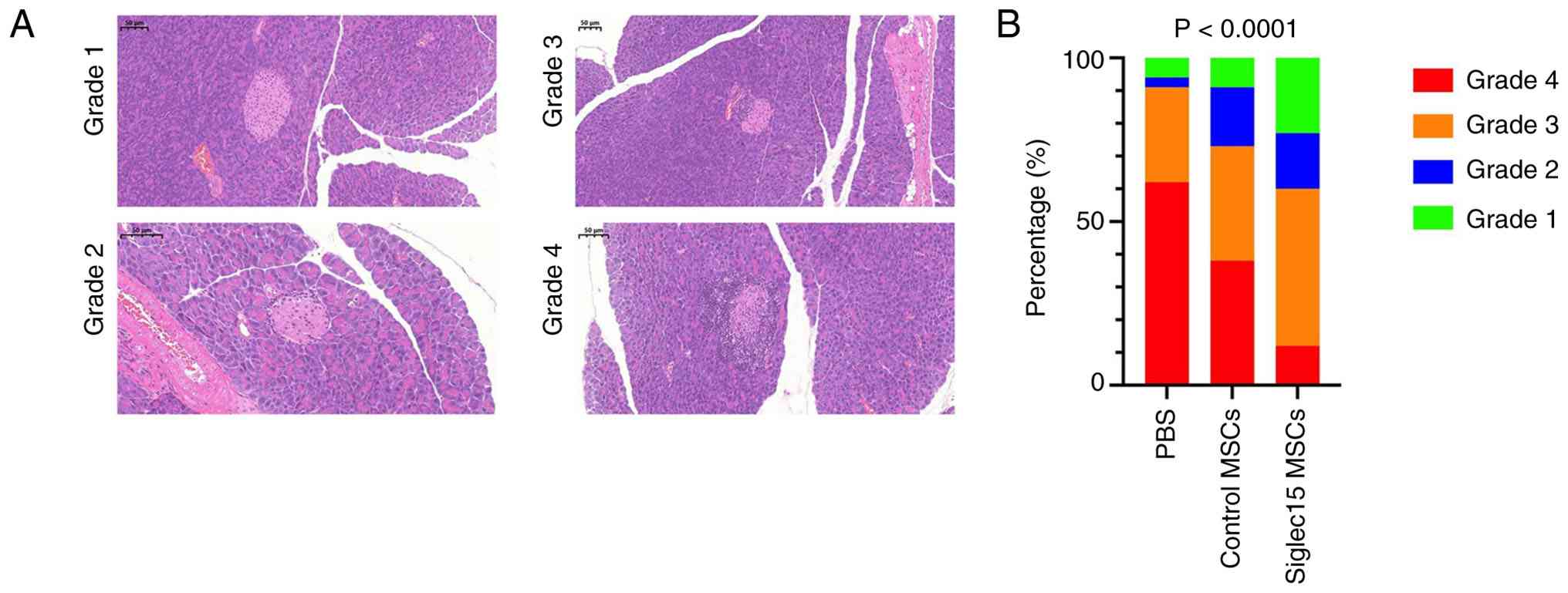
The degree of insulitis was assessed after 49 days by subjecting pancreatic sections to H&E staining and grading for insulitis severity. As illustrated in Fig. 5A, the grading scale reflects the severity of islet lymphocyte infiltration, with higher grades indicating increased infiltration (1=peri-islet infiltration (<5%), 2=5-25% islet infiltration, 3=25-50% islet infiltration and 4=>50% islet infiltration). Fig. 5B demonstrated that a total of 100 areas (25 islet areas per pancreas) were analyzed across three or more intermittent sections for each experimental group. Statistical significance was evaluated using Fisher's exact test to compare the relative frequencies of islets with insulitis grades ≤2 and ≥3 between the groups. Notably, NOD mice treated with Siglec15-MSCs exhibited markedly reduced insulitis compared with those treated with control-MSCs or PBS. These findings suggested that a single administration of Siglec15-MSCs can preserve a substantial number of intact islets or islets with less severe insulitis, thereby preventing hyperglycemia for a considerable period.

Morphological changes following
Siglec-15-MSCs treatment. (A) Cohorts of mice were sacrificed week
8 post-treatment, pancreatic sections were subjected to hematoxylin
and eosin staining and grading for insulitis severity. Examples of
islets with different insulitis grades are shown. Scale bar, 50
µm. (B) The percentage of medium and large islet areas was
quantified and is shown according to insulitis grade. Fisher's
exact test to compare the relative frequencies of islets with
insulitis grades ≤2 and ≥3 between the groups. Siglec15, sialic
acid-binding Ig-like lectin 15; MSCs, mesenchymal stem cells.

Figure 5

Morphological changes following Siglec-15-MSCs treatment. (A) Cohorts of mice were sacrificed week 8 post-treatment, pancreatic sections were subjected to hematoxylin and eosin staining and grading for insulitis severity. Examples of islets with different insulitis grades are shown. Scale bar, 50 µm. (B) The percentage of medium and large islet areas was quantified and is shown according to insulitis grade. Fisher's exact test to compare the relative frequencies of islets with insulitis grades ≤2 and ≥3 between the groups. Siglec15, sialic acid-binding Ig-like lectin 15; MSCs, mesenchymal stem cells.

Preservation of insulin-secreting islets by Siglec15-MSCs treatment at the pre-diabetic stage

To assess the effect of Siglec15-MSCs treatment on the abundance of functional islets, the frequency of insulin-positive islets was measured in mice treated with Siglec15-MSCs, control-MSCs, or PBS, seven weeks post-treatment. As illustrated in Fig. 6A, the majority of islets in the Siglec15-MSCs group exhibited mild perinsulitis, while maintaining well-preserved insulin and glucagon staining. By contrast, the islets in the control and PBS groups demonstrated poorly preserved insulin and glucagon staining. The characteristics of the islets were graded on a scale from I to V, based on the extent of immune cell infiltration (determined by DAPI staining) and insulin presence (positive or negative): Grade I (<5% infiltration/insulin+), Grade II (5-25% infiltration/insulin+), Grade III (25-50% infiltration/insulin+), Grade IV (50-100% infiltration/insulin+) and Grade V (50-100% infiltration/insulin-). A total of 40 areas (10 islet areas per pancreas) from three or more intermittent sections were analyzed for each group. The P-value was calculated using Fisher's exact test to compare the relative numbers of islets with insulitis grades ≤III and ≥IV between the Siglec15-MSCs and Control MSCs groups (Fig. 6B). These findings suggested that the prevention of T1D in mice treated with Siglec15-MSCs is associated with the preservation of insulin-producing islet mass and the restoration of insulin expression in non-functional β-cells.

Effect of Siglec15-MSCs treatment on
insulin positive islet. (A) Immunofluorescence staining of
pancreatic sections for insulin (red), glucagon (green) and nuclei
(blue), assessed for insulitis and insulin-positive islets. Scale
bar, 20 µm. (B) Analysis of insulitis severity, showing the
percentage of islets at each grade. Fisher's exact test was used to
compare the frequency of low-grade (≤III) vs. high-grade (≥IV)
insulitis between the Siglec15-MSCs and Control-MSCs groups.
Siglec15, sialic acid-binding Ig-like lectin 15; MSCs, mesenchymal
stem cells.

Figure 6

Effect of Siglec15-MSCs treatment on insulin positive islet. (A) Immunofluorescence staining of pancreatic sections for insulin (red), glucagon (green) and nuclei (blue), assessed for insulitis and insulin-positive islets. Scale bar, 20 µm. (B) Analysis of insulitis severity, showing the percentage of islets at each grade. Fisher's exact test was used to compare the frequency of low-grade (≤III) vs. high-grade (≥IV) insulitis between the Siglec15-MSCs and Control-MSCs groups. Siglec15, sialic acid-binding Ig-like lectin 15; MSCs, mesenchymal stem cells.

Siglec15-MSCs ameliorate autoimmunity via memory T cells

The present study investigated the alterations in memory T-cell and regulatory T-cell (Treg) populations within the pancreas-draining lymph nodes and spleen following treatment with Siglec15-MSCs. As depicted in Fig. 7A, there was no significant difference in the frequency of Treg cells in the pancreas-draining lymph nodes and spleen across the three experimental groups. Flow cytometric analysis demonstrated that Siglec15-MSCs therapy markedly increased the percentages of CD4+ effector memory T cells (TEMs) (P<0.001) in the draining lymph nodes compared with both the control and PBS groups. Additionally, Siglec15-MSCs therapy resulted in a significant increase in the percentages of CD8+ TEM cells (P<0.05) relative to the PBS group; however, no significant difference was observed between the Siglec15-MSCs and control groups (Fig. 7B). The frequencies of CD4+ and CD8+ memory T cells in the spleen did not differ markedly among the Siglec15-MSCs, Control-MSCs and PBS-treated mice (Fig. 7C).

Effect of Siglec15-MSCs treatment on
Tregs and memory T-cells. (A) Percentages of Tregs in pancreatic
draining lymph nodes (upper panel) and the spleen (lower panel)
across the three groups. (B) Comparison of memory T-cell subset
percentages in pancreatic draining lymph nodes across the three
groups. (C) Comparison of memory T-cell subset percentages in the
spleen across the three groups. PBS, n=4; Control-MSCs, n=4;
Siglec15-MSCs, n=4. Data are shown as the means ± SEM. Statistical
analyses were performed using one-way ANOVA and post hoc multiple
comparisons. *P<0.05; **P<0.01;
***P<0.001. Siglec15, sialic acid-binding Ig-like
lectin 15; Tregs, regulatory T cells; MSCs, mesenchymal stem cells;
TEM. effector memory T cell; Foxp3, forkhead box protein P3.

Figure 7

Effect of Siglec15-MSCs treatment on Tregs and memory T-cells. (A) Percentages of Tregs in pancreatic draining lymph nodes (upper panel) and the spleen (lower panel) across the three groups. (B) Comparison of memory T-cell subset percentages in pancreatic draining lymph nodes across the three groups. (C) Comparison of memory T-cell subset percentages in the spleen across the three groups. PBS, n=4; Control-MSCs, n=4; Siglec15-MSCs, n=4. Data are shown as the means ± SEM. Statistical analyses were performed using one-way ANOVA and post hoc multiple comparisons. *P<0.05; **P<0.01; ***P<0.001. Siglec15, sialic acid-binding Ig-like lectin 15; Tregs, regulatory T cells; MSCs, mesenchymal stem cells; TEM. effector memory T cell; Foxp3, forkhead box protein P3.

Discussion

Siglec15 is a type I transmembrane protein characterized by two immunoglobulin-like domains and is highly conserved across vertebrate species, indicating its significant and fundamental role in immune regulation (19). In contrast to a number of other Siglecs, which contain immunoreceptor tyrosine-based inhibitory motif and transmit inhibitory signals, Siglec15 interacts with activating adaptor proteins such as DAP12, thereby initiating activating immune signals (15). Wang et al (12) identified Siglec15 as a critical immune suppressor within the tumor microenvironment, where it is upregulated on human cancer cells and tumor-associated macrophages. Due to its distinct immunosuppressive properties and non-redundant function compared with PD-1/PD-L1, Siglec15 has emerged as a promising target for cancer immunotherapy. Nevertheless, the role of Siglec15 in autoimmune diseases has been largely overlooked. In this study, we provide a comprehensive elucidation of the multifaceted role of Siglec15 and MSCs engineered to express SIGLEC15 in the modulation of T1D.

The present study initially demonstrated that soluble Siglec15 serum levels are markedly reduced in patients with new-onset T1D compared with healthy controls, indicating a potential dysregulation of Siglec15-mediated immune modulation during the early stages of the disease. Importantly, soluble Siglec15 levels did not exhibit an association with traditional clinical parameters such as C-peptide, HbA1c, or autoantibody titers. This suggested that Siglec15 may operate independently of, or upstream from, overt β-cell dysfunction and glycemic control. This observation is consistent with existing literature that highlights the critical roles of Siglec family members in immune tolerance and homeostasis (20). Nonetheless, the proposed causal relationship requires further validation. The observed reduction in Siglec15 levels in patients with new-onset T1D prompts consideration of two potential possibilities. One possibility is that decreased secretion of Siglec15 by patient cells contributes directly to disease pathogenesis. In this scenario, diminished Siglec15 secretion leads to impaired immunoregulatory capacity, which, in combination with other predisposing factors, results in autoimmune destruction of pancreatic islets. Alternatively, the reduction in circulating Siglec15 may be consequential rather than causal. During the progression of T1D, as autoreactive T cells attack islet β-cells, Siglec15 may be continuously consumed in an effort to suppress the ongoing autoimmune response. In this context, Siglec15 could play an immunosuppressive role and its progressive depletion may reflect the intensity and persistence of the autoimmune attack. When Siglec15 levels fall below the threshold required to maintain immune tolerance equilibrium, the clinical onset of T1D may occur. Regardless of whether the reduction in Siglec15 is a cause or a consequence of the autoimmune process, this early immunological phase may represent a critical therapeutic window for interventions aimed at restoring immune balance and preserving islet function.

Moreover, it has been demonstrated that MSCs can mitigate tissue damage and enhance function following lung injury, kidney disease and diabetes (21). The inherent ability of MSCs to migrate within the body has also been documented (22,23). T1D is an autoimmune disorder characterized by the immune-mediated destruction of pancreatic β-cells. Studies have explored the use of MSCs as a potential therapeutic approach for T1D; however, the outcomes have often been inconsistent and suboptimal (24,25). The heterogeneity observed in clinical outcomes may be attributed to the diversity of MSCs sources used across studies. MSCs can be readily isolated from several tissues, such as bone marrow, adipose tissue and umbilical cord, each of which exhibits distinct biological properties. In clinical practice, bone marrow-derived MSCs (BM-MSCs) and umbilical cord-derived MSCs (UC-MSCs) are among the most frequently employed (26). A comparative study by Zhang et al (3) in NOD mice demonstrated that both UC-MSCs and BM-MSCs yielded comparable therapeutic effects, including reduced blood glucose levels, preserved β-cell function and similar immunomodulatory outcomes, such as mitigating insulitis, decreasing Th17 cell populations and elevating regulatory T cell numbers. Thus, given that no single MSC source has shown definitive superiority for T1D treatment, research efforts are increasingly directed toward engineering MSCs to enhance their therapeutic potential for this specific condition (27-29).

The present study demonstrated that engineering MSCs to overexpress SIGLEC15 markedly improved their therapeutic potency in the NOD mouse model. Administration of Siglec15-MSCs during the pre-diabetic stage notably delayed the onset of diabetes and preserved insulin-positive islets, while also reducing the severity of insulitis, surpassing the performance of control MSCs and PBS groups. These findings supported the hypothesis that engineering MSCs to express immunomodulatory molecules can address the inherent deficiencies observed in syngeneic MSCs derived from diabetic models (29,30). This effect was associated with the selective expansion of CD4+ effector memory T cells in the pancreas-draining lymph nodes.

Effector memory T cells are integral to the pathogenesis of T1D, an autoimmune disorder characterized by the T cell-mediated destruction of pancreatic β-cells. Various immunotherapeutic approaches for T1D have been shown to modulate both the frequency and phenotype of memory T cells. Alefacept, for instance, selectively depletes CD2high TEMs and central memory T cells (TCMs), while preserving naïve and Regulatory T cells (Tregs). Additionally, it promotes the expansion of a subset of exhausted-like TIGIT+PD1+CD4+TEMs, which exhibit reduced production of pro-inflammatory cytokines. This alteration in TEM phenotype is associated with diminished β-cell destruction and clinical improvement in individuals with new-onset T1D (31). Furthermore, stem cell educator therapy entails the ex vivo exposure of a patient's lymphocytes to cord blood-derived multipotent stem cells (CB-SCs), which function to 'educate' the immune cells. This intervention results in a decreased proportion of TEMs in peripheral blood, enhanced CCR7 expression and the conversion of TEMs into TCMs or naïve T cells, thereby restoring immune homeostasis (32). Tolerogenic dendritic cells or ethylene carbodiimide-fixed splenocytes presenting islet antigens facilitate antigen-specific anergy or functional inactivation in pathogenic effector/memory T cells. These therapeutic approaches reduce the frequency and activity of TEMs, promote the expansion of regulatory T cells and restore immune tolerance to β-cell antigens, thereby preventing or delaying the progression of T1D (33,34).

In contrast to these treatments, the present study revealed no alteration in the proportion of TEMs in peripheral sites, such as the spleen. However, a significant increase in CD4+ TEMs was specifically noted in the pancreatic draining lymph nodes. The pancreatic lymph nodes (pLNs) serve as critical sites for the initiation and regulation of autoimmune responses against pancreatic β-cells in T1D. Unlike peripheral blood or distal lymphoid tissues, pLNs are strategically positioned to sample pancreatic antigens and coordinate local immune responses. Consequently, alterations within the pLNs are of paramount significance. A previous study identified significant alterations in CD4+TEMs within pLNs at various stages of T1D development. In both pre-T1D and T1D individuals, the frequency of CD4+TEMs was markedly reduced in pLNs compared with non-diabetic controls (35). Through modulation of the immune environment within the pLNs, treatment with Siglec15-MSCs reversed the alterations in CD4+ TEMs in NOD mice, thereby preventing the progression of T1D.

However, the molecular mechanism by which Siglec15 interacts with CD4+TEMs remains unclear and its role in autoimmunity has not been explored, as previous research has primarily focused on types of cancer. A prior study has demonstrated that Siglec15 may act as a central glyco-immune checkpoint by promoting osteoclastogenesis and suppressing T cell immunity through sialic acid-mediated interactions, thereby facilitating breast cancer bone metastasis and the spread to secondary organs (36). Furthermore, Siglec15 can suppress T cell activity by binding to sialylated glycans on CD11b via its V-set domain and this interaction can be inhibited by antibodies targeting its glycan-binding site (37). The Kyn/AhR/Siglec15 axis has been identified as a novel immune escape mechanism in head and neck squamous cell carcinoma, wherein Siglec15 functions as an immunosuppressive checkpoint that inhibits CD8+T cell activity, independent of the PD-1/PD-L1 pathway. Notably, these findings offer valuable insights for future research into the specific role of Siglec15 in T1D (38).

Recent advances in the immunological understanding of T1D are facilitating the development of innovative therapeutic strategies that hold the potential for achieving a cure with an acceptable safety profile. However, current monotherapies are constrained by their limited efficacy and transient effects. Combination immunotherapy presents a promising approach to overcoming these limitations by synergistically targeting multiple disease pathways. Through clinical data analyses, Siglec15 has been identified as a novel therapeutic target in T1D. Consequently, the present study engineered MSCs to overexpress this immunomodulatory molecule. The resulting Siglec15-MSCs, representing a novel combination immunotherapy strategy, exhibited markedly enhanced immunoregulatory capacity and superior therapeutic efficacy compared with control MSCs in NOD mice. Looking ahead, the administration of Siglec15-expressing MSCs, potentially in conjunction with other islet-regenerative or immunomodulatory agents, represents a promising strategy to enhance therapeutic efficacy and promote sustained euglycemia, even in patients with established disease.

The present study was subject to several limitations. First, the sample size of participants was limited and there is an absence of data concerning the long-term safety and efficacy of the intervention. Second, the specific mechanisms through which Siglec15 modulates T-cell autoimmunity and maintains β-cell function were not explored. Additionally, although the animal experiments did not demonstrate tumorigenesis, previous studies have linked elevated Siglec15 expression with tumor immune suppression, underscoring the need for comprehensive safety assessments to exclude any potential oncogenic risks associated with this therapeutic target (38,40). Consequently, future research involving larger cohorts and extended observation periods is essential to validate these findings and address the current limitations.

The present study is the first to report a significant reduction in circulating soluble Siglec15 levels in patients with newly diagnosed T1D compared with healthy controls. Although no correlation with clinical parameters was detected within the patient cohort, functional analyses demonstrated that mesenchymal stem cells engineered to overexpress SIGLEC15 exert a robust protective effect. In NOD mice, administration of Siglec15-MSCs during the pre-diabetic stage markedly reduced diabetes incidence, mitigated the severity of insulitis and preserved functional, insulin-producing islet mass. The therapeutic mechanism appears to involve immunomodulation, specifically through the expansion of memory T-cell populations in pancreatic-draining lymph nodes. Collectively, these findings underscored the potential of Siglec15-MSCs-based therapy as a novel strategy to modulate autoimmunity and prevent the onset of T1D.

Supplementary Data

Availability of data and materials

The data generated in the present study may be requested from the corresponding author.

Authors' contributions

HG conceptualized the present study and analyzed the data, performed the investigation, the visualization and validation and designed the methodology; he also wrote the original draft and reviewed and edited the manuscript. YT, SL, YG, YH and CF performed the investigation, visualization and data validation. CF and JH conceptualized the present study and wrote, reviewed and edited the manuscript. They were also responsible for the funding acquisition and the supervision. JH and CF confirm the authenticity of all the raw data. All authors reviewed and approved the final manuscript.

Ethics approval and consent to participate

All patients provided signed, informed consent for their tissues to be used for scientific research. Ethical approval for the present study was obtained from the Second Affiliated Hospital of Soochow University (Suzhou, China; approval no. JD-LK2025059-IO1). The in vivo experimental procedures performed in the present study were approved by the Institutional Animal Care and Use Committee of Soochow University (Suzhou, China; approval no. 202412A0289.

Patient consent for publication

Not applicable.

Competing interests

The authors declare that they have no competing interests.

Authors' information

Dr Chen Fang ORCID: 0000-0003-4329-9471

Acknowledgments

Not applicable.

Funding

The present study received funding from National Natural Science Foundation of China (grant no. 82100881 to Heming Guo); The Suzhou Science and Education Strengthening Health Youth Project (grant no. KJXW2022014 to Ying Gu and grant no. KJXW2022013 to Yiting Huang).

References

1 

Quattrin T, Mastrandrea LD and Walker LSK: Type 1 diabetes. Lancet. 401:2149–2162. 2023. View Article : Google Scholar : PubMed/NCBI

2 

Subramanian S, Khan F and Hirsch IB: New advances in type 1 diabetes. BMJ. 384:e0756812024. View Article : Google Scholar : PubMed/NCBI

3 

Zhang W, Ling Q, Wang B, Wang K, Pang J, Lu J, Bi Y and Zhu D: Comparison of therapeutic effects of mesenchymal stem cells from umbilical cord and bone marrow in the treatment of type 1 diabetes. Stem Cell Res Ther. 13:4062022. View Article : Google Scholar : PubMed/NCBI

4 

Primavera R, Regmi S, Yarani R, Levitte S, Wang J, Ganguly A, Chetty S, Guindani M, Ricordi C, Meyer E and Thakor AS: Precision delivery of human bone marrow-derived mesenchymal stem cells into the pancreas via intra-arterial injection prevents the onset of diabetes. Stem Cells Transl Med. 13:559–571. 2024. View Article : Google Scholar : PubMed/NCBI

5 

Madani S, Amanzadi M, Aghayan HR, Setudeh A, Rezaei N, Rouhifard M and Larijani B: Investigating the safety and efficacy of hematopoietic and mesenchymal stem cell transplantation for treatment of T1DM: A systematic review and meta-analysis. Syst Rev. 11:822022. View Article : Google Scholar : PubMed/NCBI

6 

de Lima KA, de Oliveira GL, Yaochite JN, Pinheiro DG, de Azevedo JT, Silva WA Jr, Covas DT, Couri CE, Simões BP, Voltarelli JC, et al: Transcriptional profiling reveals intrinsic mRNA alterations in multipotent mesenchymal stromal cells isolated from bone marrow of newly-diagnosed type 1 diabetes patients. Stem Cell Res Ther. 7:922016. View Article : Google Scholar : PubMed/NCBI

7 

Carlsson PO, Schwarcz E, Korsgren O and Le Blanc K: Preserved β-cell function in type 1 diabetes by mesenchymal stromal cells. Diabetes. 64:587–592. 2015. View Article : Google Scholar

8 

Dharmadhikari G, Stolz K, Hauke M, Morgan NG, Varki A, de Koning E, Kelm S and Maedler K: Siglec-7 restores β-cell function and survival and reduces inflammation in pancreatic islets from patients with diabetes. Sci Rep. 7:453192017. View Article : Google Scholar

9 

Bandala-Sanchez E, Zhang Y, Reinwald S, Dromey JA, Lee BH, Qian J, Böhmer RM and Harrison LC: T cell regulation mediated by interaction of soluble CD52 with the inhibitory receptor Siglec-10. Nat Immunol. 14:741–748. 2013. View Article : Google Scholar : PubMed/NCBI

10 

Guo M, Guo H, Zhu J, Wang F, Chen J, Wan C, Deng Y, Wang F, Xu L, Chen Y, et al: A novel subpopulation of monocytes with a strong interferon signature indicated by SIGLEC-1 is present in patients with in recent-onset type 1 diabetes. Diabetologia. 67:623–640. 2024. View Article : Google Scholar : PubMed/NCBI

11 

He F, Wang N, Li J, He L, Yang Z, Lu J, Xiong G, Yu C and Wang S: High affinity monoclonal antibody targeting Siglec-15 for cancer immunotherapy. J Clin Transl Res. 7:739–749. 2021.

12 

Wang J, Sun J, Liu LN, Flies DB, Nie X, Toki M, Zhang J, Song C, Zarr M, Zhou X, et al: Siglec-15 as an immune suppressor and potential target for normalization cancer immunotherapy. Nat Med. 25:656–666. 2019. View Article : Google Scholar : PubMed/NCBI

13 

Hu J, Yu A, Othmane B, Qiu D, Li H, Li C, Liu P, Ren W, Chen M, Gong G, et al: Siglec15 shapes a non-inflamed tumor microenvironment and predicts the molecular subtype in bladder cancer. Theranostics. 11:3089–3108. 2021. View Article : Google Scholar : PubMed/NCBI

14 

Guo H, Shen Y, Kong YH, Li S, Jiang R, Liu C, Fang C and Hu J: The expression of Tim-1 and Tim-4 molecules in regulatory T cells in type 1 diabetes. Endocrine. 68:64–70. 2020. View Article : Google Scholar : PubMed/NCBI

15 

Angata T and Varki A: Discovery, classification, evolution and diversity of siglecs. Mol Aspects Med. 90:1011172023. View Article : Google Scholar

16 

American Diabetes Association: 2. Classification and diagnosis of diabetes: Standards of medical care in diabetes-2021. Diabetes Care. 44:S15–S33. 2021. View Article : Google Scholar

17 

Ansari MJ, Salama AD, Chitnis T, Smith RN, Yagita H, Akiba H, Yamazaki T, Azuma M, Iwai H, Khoury SJ, et al: The programmed death-1 (PD-1) pathway regulates autoimmune diabetes in nonobese diabetic (NOD) mice. J Exp Med. 198:63–69. 2003. View Article : Google Scholar : PubMed/NCBI

18 

Livak KJ and Schmittgen TD: Analysis of relative gene expression data using real-time quantitative PCR and the 2(-delta delta C(T)) method. Methods. 25:402–408. 2001. View Article : Google Scholar

19 

Hiruma Y, Hirai T and Tsuda E: Siglec-15, a member of the sialic acid-binding lectin, is a novel regulator for osteoclast differentiation. Biochem Biophys Res Commun. 409:424–429. 2011. View Article : Google Scholar : PubMed/NCBI

20 

Du H, Tang J, Li X, Wang X, Wu L, Zhang R, Hu P and Yang Y: Siglec-15 is an immune suppressor and potential target for immunotherapy in the pre-metastatic lymph node of colorectal cancer. Front Cell Dev Biol. 9:6919372021. View Article : Google Scholar : PubMed/NCBI

21 

Kucia M, Reca R, Jala VR, Dawn B, Ratajczak J and Ratajczak MZ: Bone marrow as a home of heterogenous populations of nonhematopoietic stem cells. Leukemia. 19:1118–1127. 2005. View Article : Google Scholar : PubMed/NCBI

22 

Ji JF, He BP, Dheen ST and Tay SS: Interactions of chemokines and chemokine receptors mediate the migration of mesenchymal stem cells to the impaired site in the brain after hypoglossal nerve injury. Stem Cells. 22:415–427. 2004. View Article : Google Scholar : PubMed/NCBI

23 

Ratajczak J, Wysoczynski M, Zuba-Surma E, Wan W, Kucia M, Yoder MC and Ratajczak MZ: Adult murine bone marrow-derived very small embryonic-like stem cells differentiate into the hematopoietic lineage after coculture over OP9 stromal cells. Exp Hematol. 39:225–237. 2011. View Article : Google Scholar

24 

Izadi M, Sadr Hashemi Nejad A, Moazenchi M, Masoumi S, Rabbani A, Kompani F, Hedayati Asl AA, Abbasi Kakroodi F, Jaroughi N, Mohseni Meybodi MA, et al: Mesenchymal stem cell transplantation in newly diagnosed type-1 diabetes patients: A phase I/II randomized placebo-controlled clinical trial. Stem Cell Res Ther. 13:2642022. View Article : Google Scholar : PubMed/NCBI

25 

Wu H and Mahato RI: Mesenchymal stem cell-based therapy for type 1 diabetes. Discov Med. 17:139–143. 2014.PubMed/NCBI

26 

Zhou T, Yuan Z, Weng J, Pei D, Du X, He C and Lai P: Challenges and advances in clinical applications of mesenchymal stromal cells. J Hematol Oncol. 14:242021. View Article : Google Scholar : PubMed/NCBI

27 

Gou W, Hua W, Swaby L, Cui W, Green E, Morgan KA, Strange C and Wang H: Stem cell therapy improves human islet graft survival in mice via regulation of macrophages. Diabetes. 71:2642–2655. 2022. View Article : Google Scholar : PubMed/NCBI

28 

Özçelik H, Yazır Y, Duruksu G, Kılıç KC and Öztürk A: Membrane-engineered Wharton's Jelly derived mesenchymal stem cells with anti-CD2 antibody coating modulate activated CD3+ T-cell responses. Tissue Cell. 99:1032742026. View Article : Google Scholar

29 

Khazaei M, Khazaei F, Niromand E and Ghanbari E: Tissue engineering approaches and generation of insulin-producing cells to treat type 1 diabetes. J Drug Target. 31:14–31. 2023. View Article : Google Scholar

30 

Luque-Campos N, Contreras-López RA, Jose Paredes-Martínez M, Torres MJ, Bahraoui S, Wei M, Espinoza F, Djouad F, Elizondo-Vega RJ and Luz-Crawford P: Mesenchymal stem cells improve rheumatoid arthritis progression by controlling memory T cell response. Front Immunol. 10:7982019. View Article : Google Scholar : PubMed/NCBI

31 

Higdon LE, Cooney LA, Serti E, Suwannasaen D, Muir VS, Wiedeman AE, Harris KM, Pardo J, Anderson MS, Speake C, et al: Early expansion of TIGIT+PD1+ effector memory CD4 T cells via agonistic effect of alefacept in new-onset type 1 diabetes. J Immunol. 214:12–22. 2025. View Article : Google Scholar : PubMed/NCBI

32 

Zhao Y, Knight CM, Jiang Z, Delgado E, Van Hoven AM, Ghanny S, Zhou Z, Zhou H, Yu H, Hu W, et al: Stem cell educator therapy in type 1 diabetes: From the bench to clinical trials. Autoimmun Rev. 21:1030582022. View Article : Google Scholar : PubMed/NCBI

33 

Passeri L, Andolfi G, Bassi V, Russo F, Giacomini G, Laudisa C, Marrocco I, Cesana L, Di Stefano M, Fanti L, et al: Tolerogenic IL-10-engineered dendritic cell-based therapy to restore antigen-specific tolerance in T cell mediated diseases. J Autoimmun. 138:1030512023. View Article : Google Scholar : PubMed/NCBI

34 

Luo X, Pothoven KL, McCarthy D, DeGutes M, Martin A, Getts DR, Xia G, He J, Zhang X, Kaufman DB and Miller SD: ECDI-fixed allogeneic splenocytes induce donor-specific tolerance for long-term survival of islet transplants via two distinct mechanisms. Proc Natl Acad Sci USA. 105:14527–14532. 2008. View Article : Google Scholar : PubMed/NCBI

35 

Golden GJ, Wu VH, Hamilton JT, Amses KR, Shapiro MR, Sada Japp A, Liu C, Pampena MB, Kuri-Cervantes L, Knox JJ, et al: Immune perturbations in human pancreas lymphatic tissues prior to and after type 1 diabetes onset. Nat Commun. 16:46212025. View Article : Google Scholar : PubMed/NCBI

36 

Wang Y, Xu Z, Wu KL, Yu L, Wang C, Ding H, Gao Y, Sun H, Wu YH, Xia M, et al: Siglec-15/sialic acid axis as a central glyco-immune checkpoint in breast cancer bone metastasis. Proc Natl Acad Sci USA. 121:e23129291212024. View Article : Google Scholar : PubMed/NCBI

37 

Lenza MP, Egia-Mendikute L, Antoñana-Vildosola A, Soares CO, Coelho H, Corzana F, Bosch A, Manisha P, Quintana JI, Oyenarte I, et al: Structural insights into Siglec-15 reveal glycosylation dependency for its interaction with T cells through integrin CD11b. Nat Commun. 14:34962023. View Article : Google Scholar : PubMed/NCBI

38 

Zhang XY, Shi JB, Jin SF, Wang RJ, Li MY, Zhang ZY, Yang X and Ma HL: Metabolic landscape of head and neck squamous cell carcinoma informs a novel kynurenine/Siglec-15 axis in immune escape. Cancer Commun (Lond). 44:670–694. 2024. View Article : Google Scholar : PubMed/NCBI

Related Articles

  • Abstract
  • View
  • Download
  • Twitter
Copy and paste a formatted citation
Spandidos Publications style
Guo H, Tao Y, Li S, Gu Y, Huang Y, Fang C and Hu J: Siglec‑15 dysregulation and its therapeutic implications in new‑onset type 1 diabetes&nbsp;. Int J Mol Med 57: 135, 2026.
APA
Guo, H., Tao, Y., Li, S., Gu, Y., Huang, Y., Fang, C., & Hu, J. (2026). Siglec‑15 dysregulation and its therapeutic implications in new‑onset type 1 diabetes&nbsp;. International Journal of Molecular Medicine, 57, 135. https://doi.org/10.3892/ijmm.2026.5806
MLA
Guo, H., Tao, Y., Li, S., Gu, Y., Huang, Y., Fang, C., Hu, J."Siglec‑15 dysregulation and its therapeutic implications in new‑onset type 1 diabetes&nbsp;". International Journal of Molecular Medicine 57.5 (2026): 135.
Chicago
Guo, H., Tao, Y., Li, S., Gu, Y., Huang, Y., Fang, C., Hu, J."Siglec‑15 dysregulation and its therapeutic implications in new‑onset type 1 diabetes&nbsp;". International Journal of Molecular Medicine 57, no. 5 (2026): 135. https://doi.org/10.3892/ijmm.2026.5806
Copy and paste a formatted citation
x
Spandidos Publications style
Guo H, Tao Y, Li S, Gu Y, Huang Y, Fang C and Hu J: Siglec‑15 dysregulation and its therapeutic implications in new‑onset type 1 diabetes&nbsp;. Int J Mol Med 57: 135, 2026.
APA
Guo, H., Tao, Y., Li, S., Gu, Y., Huang, Y., Fang, C., & Hu, J. (2026). Siglec‑15 dysregulation and its therapeutic implications in new‑onset type 1 diabetes&nbsp;. International Journal of Molecular Medicine, 57, 135. https://doi.org/10.3892/ijmm.2026.5806
MLA
Guo, H., Tao, Y., Li, S., Gu, Y., Huang, Y., Fang, C., Hu, J."Siglec‑15 dysregulation and its therapeutic implications in new‑onset type 1 diabetes&nbsp;". International Journal of Molecular Medicine 57.5 (2026): 135.
Chicago
Guo, H., Tao, Y., Li, S., Gu, Y., Huang, Y., Fang, C., Hu, J."Siglec‑15 dysregulation and its therapeutic implications in new‑onset type 1 diabetes&nbsp;". International Journal of Molecular Medicine 57, no. 5 (2026): 135. https://doi.org/10.3892/ijmm.2026.5806
Follow us
  • Twitter
  • LinkedIn
  • Facebook
About
  • Spandidos Publications
  • Careers
  • Cookie Policy
  • Privacy Policy
How can we help?
  • Help
  • Live Chat
  • Contact
  • Email to our Support Team