Spandidos Publications Logo
  • About
    • About Spandidos
    • Aims and Scopes
    • Abstracting and Indexing
    • Editorial Policies
    • Reprints and Permissions
    • Job Opportunities
    • Terms and Conditions
    • Contact
  • Journals
    • All Journals
    • Oncology Letters
      • Oncology Letters
      • Information for Authors
      • Editorial Policies
      • Editorial Board
      • Aims and Scope
      • Abstracting and Indexing
      • Bibliographic Information
      • Archive
    • International Journal of Oncology
      • International Journal of Oncology
      • Information for Authors
      • Editorial Policies
      • Editorial Board
      • Aims and Scope
      • Abstracting and Indexing
      • Bibliographic Information
      • Archive
    • Molecular and Clinical Oncology
      • Molecular and Clinical Oncology
      • Information for Authors
      • Editorial Policies
      • Editorial Board
      • Aims and Scope
      • Abstracting and Indexing
      • Bibliographic Information
      • Archive
    • Experimental and Therapeutic Medicine
      • Experimental and Therapeutic Medicine
      • Information for Authors
      • Editorial Policies
      • Editorial Board
      • Aims and Scope
      • Abstracting and Indexing
      • Bibliographic Information
      • Archive
    • International Journal of Molecular Medicine
      • International Journal of Molecular Medicine
      • Information for Authors
      • Editorial Policies
      • Editorial Board
      • Aims and Scope
      • Abstracting and Indexing
      • Bibliographic Information
      • Archive
    • Biomedical Reports
      • Biomedical Reports
      • Information for Authors
      • Editorial Policies
      • Editorial Board
      • Aims and Scope
      • Abstracting and Indexing
      • Bibliographic Information
      • Archive
    • Oncology Reports
      • Oncology Reports
      • Information for Authors
      • Editorial Policies
      • Editorial Board
      • Aims and Scope
      • Abstracting and Indexing
      • Bibliographic Information
      • Archive
    • Molecular Medicine Reports
      • Molecular Medicine Reports
      • Information for Authors
      • Editorial Policies
      • Editorial Board
      • Aims and Scope
      • Abstracting and Indexing
      • Bibliographic Information
      • Archive
    • World Academy of Sciences Journal
      • World Academy of Sciences Journal
      • Information for Authors
      • Editorial Policies
      • Editorial Board
      • Aims and Scope
      • Abstracting and Indexing
      • Bibliographic Information
      • Archive
    • International Journal of Functional Nutrition
      • International Journal of Functional Nutrition
      • Information for Authors
      • Editorial Policies
      • Editorial Board
      • Aims and Scope
      • Abstracting and Indexing
      • Bibliographic Information
      • Archive
    • International Journal of Epigenetics
      • International Journal of Epigenetics
      • Information for Authors
      • Editorial Policies
      • Editorial Board
      • Aims and Scope
      • Abstracting and Indexing
      • Bibliographic Information
      • Archive
    • Medicine International
      • Medicine International
      • Information for Authors
      • Editorial Policies
      • Editorial Board
      • Aims and Scope
      • Abstracting and Indexing
      • Bibliographic Information
      • Archive
  • Articles
  • Information
    • Information for Authors
    • Information for Reviewers
    • Information for Librarians
    • Information for Advertisers
    • Conferences
  • Language Editing
Spandidos Publications Logo
  • About
    • About Spandidos
    • Aims and Scopes
    • Abstracting and Indexing
    • Editorial Policies
    • Reprints and Permissions
    • Job Opportunities
    • Terms and Conditions
    • Contact
  • Journals
    • All Journals
    • Biomedical Reports
      • Information for Authors
      • Editorial Policies
      • Editorial Board
      • Aims and Scope
      • Abstracting and Indexing
      • Bibliographic Information
      • Archive
    • Experimental and Therapeutic Medicine
      • Information for Authors
      • Editorial Policies
      • Editorial Board
      • Aims and Scope
      • Abstracting and Indexing
      • Bibliographic Information
      • Archive
    • International Journal of Epigenetics
      • Information for Authors
      • Editorial Policies
      • Editorial Board
      • Aims and Scope
      • Abstracting and Indexing
      • Bibliographic Information
      • Archive
    • International Journal of Functional Nutrition
      • Information for Authors
      • Editorial Policies
      • Editorial Board
      • Aims and Scope
      • Abstracting and Indexing
      • Bibliographic Information
      • Archive
    • International Journal of Molecular Medicine
      • Information for Authors
      • Editorial Policies
      • Editorial Board
      • Aims and Scope
      • Abstracting and Indexing
      • Bibliographic Information
      • Archive
    • International Journal of Oncology
      • Information for Authors
      • Editorial Policies
      • Editorial Board
      • Aims and Scope
      • Abstracting and Indexing
      • Bibliographic Information
      • Archive
    • Medicine International
      • Information for Authors
      • Editorial Policies
      • Editorial Board
      • Aims and Scope
      • Abstracting and Indexing
      • Bibliographic Information
      • Archive
    • Molecular and Clinical Oncology
      • Information for Authors
      • Editorial Policies
      • Editorial Board
      • Aims and Scope
      • Abstracting and Indexing
      • Bibliographic Information
      • Archive
    • Molecular Medicine Reports
      • Information for Authors
      • Editorial Policies
      • Editorial Board
      • Aims and Scope
      • Abstracting and Indexing
      • Bibliographic Information
      • Archive
    • Oncology Letters
      • Information for Authors
      • Editorial Policies
      • Editorial Board
      • Aims and Scope
      • Abstracting and Indexing
      • Bibliographic Information
      • Archive
    • Oncology Reports
      • Information for Authors
      • Editorial Policies
      • Editorial Board
      • Aims and Scope
      • Abstracting and Indexing
      • Bibliographic Information
      • Archive
    • World Academy of Sciences Journal
      • Information for Authors
      • Editorial Policies
      • Editorial Board
      • Aims and Scope
      • Abstracting and Indexing
      • Bibliographic Information
      • Archive
  • Articles
  • Information
    • For Authors
    • For Reviewers
    • For Librarians
    • For Advertisers
    • Conferences
  • Language Editing
Login Register Submit
  • This site uses cookies
  • You can change your cookie settings at any time by following the instructions in our Cookie Policy. To find out more, you may read our Privacy Policy.

    I agree
Search articles by DOI, keyword, author or affiliation
Search
Advanced Search
presentation
International Journal of Oncology
Join Editorial Board Propose a Special Issue
Print ISSN: 1019-6439 Online ISSN: 1791-2423
Journal Cover
June-2022 Volume 60 Issue 6

Full Size Image

Cover Legend PDF

Sign up for eToc alerts
Recommend to Library

Journals

International Journal of Molecular Medicine

International Journal of Molecular Medicine

International Journal of Molecular Medicine is an international journal devoted to molecular mechanisms of human disease.

International Journal of Oncology

International Journal of Oncology

International Journal of Oncology is an international journal devoted to oncology research and cancer treatment.

Molecular Medicine Reports

Molecular Medicine Reports

Covers molecular medicine topics such as pharmacology, pathology, genetics, neuroscience, infectious diseases, molecular cardiology, and molecular surgery.

Oncology Reports

Oncology Reports

Oncology Reports is an international journal devoted to fundamental and applied research in Oncology.

Experimental and Therapeutic Medicine

Experimental and Therapeutic Medicine

Experimental and Therapeutic Medicine is an international journal devoted to laboratory and clinical medicine.

Oncology Letters

Oncology Letters

Oncology Letters is an international journal devoted to Experimental and Clinical Oncology.

Biomedical Reports

Biomedical Reports

Explores a wide range of biological and medical fields, including pharmacology, genetics, microbiology, neuroscience, and molecular cardiology.

Molecular and Clinical Oncology

Molecular and Clinical Oncology

International journal addressing all aspects of oncology research, from tumorigenesis and oncogenes to chemotherapy and metastasis.

World Academy of Sciences Journal

World Academy of Sciences Journal

Multidisciplinary open-access journal spanning biochemistry, genetics, neuroscience, environmental health, and synthetic biology.

International Journal of Functional Nutrition

International Journal of Functional Nutrition

Open-access journal combining biochemistry, pharmacology, immunology, and genetics to advance health through functional nutrition.

International Journal of Epigenetics

International Journal of Epigenetics

Publishes open-access research on using epigenetics to advance understanding and treatment of human disease.

Medicine International

Medicine International

An International Open Access Journal Devoted to General Medicine.

Journal Cover
June-2022 Volume 60 Issue 6

Full Size Image

Cover Legend PDF

Sign up for eToc alerts
Recommend to Library

  • Article
  • Citations
    • Cite This Article
    • Download Citation
    • Create Citation Alert
    • Remove Citation Alert
    • Cited By
  • Similar Articles
    • Related Articles (in Spandidos Publications)
    • Similar Articles (Google Scholar)
    • Similar Articles (PubMed)
  • Download PDF
  • Download XML
  • View XML

  • Supplementary Files
    • Supplementary_Data1.pdf
    • Supplementary_Data2.pdf
Article Open Access

Visfatin inhibits colon cancer cell apoptosis and decreases chemosensitivity to 5‑FU by promoting the SDF‑1/CXCR4/Akt axis

  • Authors:
    • Quan Zhao
    • Yaxin Long
    • Wen Cheng
    • Yingguang Huang
    • Jinyuan Li
    • Yuejin Li
    • Xing Li
    • Xiaodong Guo
    • Yu Li
    • Guosan Li
    • Kunmei Gong
    • Jian Zhang
  • View Affiliations / Copyright

    Affiliations: Department of General Surgery I, The First People's Hospital of Yunnan Province, The Affiliated Hospital of Kunming University of Science and Technology, Kunming, Yunnan 650031, P.R. China, Department of General Surgery I, The First People's Hospital of Yunnan Province, The Affiliated Hospital of Kunming University of Science and Technology, Kunming, Yunnan 650031, P.R. China, Medical Faculty, Kunming University of Science and Technology, Kunming, Yunnan 650500, P.R. China
    Copyright: © Zhao et al. This is an open access article distributed under the terms of Creative Commons Attribution License.
  • Article Number: 75
    |
    Published online on: April 29, 2022
       https://doi.org/10.3892/ijo.2022.5365
  • Expand metrics +
Metrics: Total Views: 0 (Spandidos Publications: | PMC Statistics: )
Metrics: Total PDF Downloads: 0 (Spandidos Publications: | PMC Statistics: )
Cited By (CrossRef): 0 citations Loading Articles...

This article is mentioned in:



Abstract

5‑Fluorouracil (5‑FU) is the preferred chemotherapeutic drug used in the treatment of colon cancer; however, drug resistance affects its clinical efficacy. Visfatin, an adipokine that promotes tumour development, has the potential to increase resistance to chemotherapy. The present study aimed to verify the effects of visfatin on the sensitivity of colon cancer cells to 5‑FU and to elucidate the potential mechanisms involved. Tissue microarrays (TMAs) were used to analyse visfatin differential expression in normal colon and colon cancer tissues, and the data were further validated in vitro. Cell Counting Kit‑8, clone formation, caspase‑3/7 activity assays, as well as other analyses were used to verify the effects of visfatin on sensitivity to 5‑FU. TMA and correlation analyses were used to predict and verify the correlation between visfatin and stromal cell‑derived factor‑1 (SDF‑1). Rescue experiments and PI3K/Akt inhibitors were used to verify the role of the visfatin/SDF‑1/Akt axis in the sensitivity of colon cancer cells to 5‑FU. Visfatin was found to be highly expressed in colon cancer tissues and cell lines. Moreover, visfatin knockdown increased apoptosis, reduced cell proliferation and enhanced the chemosensitivity of DLD‑1 and SW48 cells to 5‑FU. A positive correlation between visfatin and SDF‑1 was observed, with the knockdown of visfatin enhancing cell sensitivity to 5‑FU chemotherapy by targeting the SDF‑1/C‑X‑C chemokine receptor type 4 (CXCR4) axis. Furthermore, the Akt signalling pathway downstream of SDF‑1/CXCR4 proved to be critical in the decreased sensitisation of colon cancer cells to 5‑FU induced by visfatin. On the whole, the present study demonstrates that visatin can potentially decrease colon cancer cell apoptosis, promote proliferation and decrease colon cancer cell sensitivity to 5‑FU via the visfatin/SDF‑1/Akt axis.

Introduction

Colon cancer is a malignant tumour, with the second and fifth highest mortality rates in USA and China, respectively. Its morbidity and mortality rates are currently increasing in China (1-3). Of note, <20% of first-time diagnosed patients with metastatic colon cancer survive for >5 years and 60% of these patients are already in the advanced stage of the disease at the time of consultation (4). Current colon cancer treatments are based on surgical resection and supplemented with concurrent chemotherapy, targeted therapy and biological therapy (5). 5-Fluorouracil (5-FU) drug-based chemotherapeutic regimens have been reported to effectively improve the tumour-free survival rate of patients with colorectal cancer (CRC); however, patients with CRC have exhibited varying degrees of resistance to 5-FU (6). This innate or acquired chemoresistance affects the treatment efficacy (7). Therefore, the identification of a molecular target that can effectively predict and combat resistance to 5-FU is essential in improving CRC treatment efficacy and reducing mortality rates. Visfatin, also known as nicotinamide phosphoribosyl transferase (NAMPT), has been reported to decrease the sensitivity of cancer cells to chemotherapeutic drugs (8).

Visfatin is an adipocytokine secreted by visceral fat tissue. The human visfatin gene, NAMPT, is located between chromosomes 7q22.1 and 7q31.33 and has a relative molecular weight of 52,000, comprising 473 amino acid residues (9). Clinical studies have found that the extracellular expression of visfatin in T4 stage tumour tissues is significantly increased compared to its expression in initial stage II-III tumour tissues, and this elevated expression of visfatin is a strong risk factor for advanced- and early-stage CRC (10,11). Clinical studies have confirmed the association of visfatin with cancer staging, lymph node metastasis and other adverse factors, which affect patient survival, in colon cancer and gliomas (12,13). It is worth further investigating whether the upregulation of visfatin is part of the stem cell phenotype or simply the result of other malignant changes. Visfatin catalyses the conversion of nicotinamide mononucleotide, which is the rate-limiting step in the NAD salvage pathway (14), thereby enhancing cancer cell proliferation. However, decreasing proliferation could decrease tumour sensitivity to drugs that target proliferating cells. Therefore, NAMPT has been proposed as a promising anticancer target (14). For example, NAMPT inhibitors combined with platinum-based chemotherapy have been shown to suppress senescence-associated cancer stem-like cells (CSCs) and reduce tumour recurrence (15). The overexpression of visfatin can also downregulate the sensitivity of non-small-cell lung cancer (NSCLC) cells to doxorubicin, and can upregulate the mRNA and protein expression of ATP binding cassette subfamily C member 1 (ABCC1) (16). Moreover, as previously demonstrated, NAMPT inhibition by FK866 inhibits cell viability and aggravates apoptosis in cancer cells treated with 4-hydroxytamoxifen, while NAMPT overexpression promotes xenograft tumour growth in nude mice (17). Thus, previous studies prove the suppressive effects of visfatin on sensitivity to chemotherapeutic drugs. PI3K/Akt is a typical downstream pathway of visfatin in various types of cancer, including CRC (18,19), and it has been frequently found to be associated with stromal cell-derived factor-1 (SDF-1) in cancer (20-22). Therefore, it was hypothesised that the role and regulatory mechanisms of visfatin in CRC may be related to changes in SDF-1/chemokine receptor type 4 (CXCR4) levels; this hypothesis was preliminarily confirmed in a previously published study by the authors (23).

The present study aimed to further explore the effects and mechanisms of action of visfatin on the sensitivity of colon cancer cells to 5-FU. Visfatin expression in colon cancer tissues and cells was determined, followed by the verification of the suppressive effects of visfatin on the sensitivity of CRC to 5-FU chemotherapy in vitro. Furthermore, the downstream signalling pathway involved in the effects of visfatin on sensitivity to 5-FU was analysed and verified using correlation analysis, rescue experiments, as well as other analyses.

Materials and methods

Tissue microarray (TMA)

A TMA was purchased from the Xian Alenabio Biotechnology Company (China), which included 57 tissue samples from patients with colon cancer whose clinical characteristics are presented in Table SI. Immunohistochemistry was performed on the TMA samples, and each tumour included three 0.6-mm core biopsies. Briefly, the chips were placed in a 67°C oven for 2 h. Citrate buffer [pH 6.0, Sangon Biotech (Shanghai) Co., Ltd.] was added to the microwave box and microwaved at mid-range for 10 min. Primary antibody dilutions of visfatin (1:1,000, cat. no. ab236091) or SDF-1 (1:1,000, cat. no. ab25117) (both from Abcam) were added to the chip and incubated overnight at 4°C. The secondary antibody (S0001, 1:5,000, Affinity Biosciences) was then added in a dropwise manner followed by incubation at 37°C for 2 h. The TMA slides were scanned and the Quant centre (Panoramic MIDI II, Sysmex Europe GmbH) was used to analyse the digital images. Each slide was annotated using automatic TMA de-arrangement tools (Quant Center) and detection classifiers to distinguish tumours. The immunostaining percentage and staining intensity (0, negative; 1+, weak; 2+, moderate; and 3+, strong) were recorded. Furthermore, the H-score was used to score the staining as follows: H-score=(percentage of cells of weak intensity ×1) + (percentage of cells of moderate-intensity ×2) + percentage of cells of strong intensity ×3), as previously described (24). The nuclear tests were visually inspected and then manually corrected to eliminate staining artefacts.

Clinical samples

Colon cancer tissues were obtained from 3 patients with colon cancer and 3 control volunteers at the First People's Hospital of Yunnan Province from April, 2020 to May, 2020. All patients provided written informed consent. The present study was approved and supervised by the Ethics Committee of the First People's Hospital of Yunnan Province in accordance with the International Ethical Guidelines for Biomedical Research Involving Human Subjects (CIOMS).

Cells and cell culture

Colon cancer DLD-1 [CCL-221, American Type Culture Collection (ATCC)], SW48 (CCL-231, ATCC), HCT116 (CCL-247EMT, ATCC) and SW620 (CCL-227, ATCC) cells were cultured using Dulbecco modified Eagle's medium (DMEM, Invitrogen; Thermo Fisher Scientific, Inc.), containing 10% foetal bovine serum (FBS), at 37°C and 5% CO2. Human colonic epithelial NCM460 cells were incubated in DMEM containing 10% FBS [Sangon Biotech (Shanghai) Co., Ltd.], 100 U/ml penicillin [Sangon Biotech (Shanghai) Co., Ltd.] and 100 µg/ml streptomycin [Sangon Biotech (Shanghai) Co., Ltd.]. These cell lines were purchased from the Institute of Biochemistry and Cell Biology, Chinese Academy of Sciences (Shanghai, China) or the American Type Culture Collection. Additionally, cells were tested for mycoplasma contamination.

Cell transfection

Full-length visfatin or SDF-1 coding sequences were amplified using polymerase chain reaction (PCR), according to the sequence available at the National Center for Biotechnology Information database (Shanghai, China) and cloned into pcDNA3.1 [Sangon Biotech (Shanghai) Co., Ltd.]. Following the manufacturer's instructions, Lipofectamine® 2000 (Invitrogen; Thermo Fisher Scientific, Inc.) was used to transfect the pcDNA-visfatin or pcDNA-SDF-1 vector (20 nmol/l) into the DLD-1 and SW48 cells cultured in six-well plates. Using Lipofectamine™ 2000, a short hairpin RNA [shRNA, Sangon Biotech (Shanghai) Co., Ltd.] that specifically targets visfatin was transiently transfected into the DLD-1 and SW48 cells. The transfection group with a scrambled shRNA sequence was used as the mock group. The sequences were as follows: Visfatin-shRNA-1 Sense, ccg gCT TGA GGA ATA TGG TCA GGA Tct cga gAT CCT GAC CAT ATT CCT CAA Gtt ttt g and antisense, AAT Tca aaa aCT TGA GGA ATA TGG TCA GGA Tct cga gAT CCT GAC CAT ATT CCT CAA G; Visfatin-shRNA-2 sense, ccg gTT CTC CAT ACT GTC TTC AAG Act cga gTC TTG AAG ACA GTA TGG AGA Att ttt g and antisense, AAT Tca aaa aTT CTC CAT ACT GTC TTC AAG Act cga gTC TTG AAG ACA GTA TGG AGA A; SDF-1 shRNA sense, ccg gCC GTC AGC CTG AGC TAC AGA Tct cga gAT CTG TAG CTC AGG CTG ACG Gtt ttt g and antisense, AAT Tca aaa aCC GTC AGC CTG AGC TAC AGA Tct cga gAT CTG TAG CTC AGG CTG ACG G; scrambled shRNA sense, ccg gTA CTG AAC CGT AAA GCA GGT Act cga gTA CCT GCT TTA CGG TTC AGT Attt ttg and antisense, AAT Tca aaa aTA CTG AAC CGT AAA GCA GGT Act cga gTA CCT GCT TTA CGG TTC AGT A. PI3K inhibitor (LY294002, 10 µmol/l, Selleck Chemicals) was used to treat the cells for 24 h to verify the association between SDF-1 and the PI3K/AKT axis. Total RNA was isolated using TRIzol reagent (Takara Biotechnology Co., Ltd.) following 48 h of transfection, and visfatin and SDF-1 expression levels were detected using reverse transcription-quantitative PCR (RT-qPCR) and western blot analysis.

Animal experiments

A total of 15 NOD/SCID mice (Shanghai SLAC Laboratory Animal Co., Ltd.; 6 weeks old, female), were accommodated at a constant temperature of 22°C, with a relative humidity of 30% and a 12-h light/dark cycle, and standard conditions with free access to food and water. When the confluency of the cells subjected to visfatin knockdown or overexpression reached 80-90%, 0.25% trypsin digestion was performed to obtain a single-cell suspension. The cells were resuspended in phosphate-buffered saline (PBS) and adjusted to 1×107/ml density. Each mouse was inoculated with 0.2 ml cell suspension subcutaneously into the right armpit. Mice were randomly divided into the nock group, shRNA2 group, and shRNA2 + visfatin group, with 5 mice in each group. When the tumour tissues of the mice in the mock group reached a volume of 1,000 mm3, all mice were sacrificed by an intraperitoneal injection of sodium pentobarbital (150 mg/kg). The tumour tissue was collected for volume and weight measurements. The experimental protocol was approved by the Animal Protection and Use Agency Committee of Kunming University of Science and Technology and conducted in accordance with the Laboratory animal Guideline for ethical review of animal welfare (GB/T 35892-2018).

Cell viability assay

The Cell Counting Kit-8 (CCK-8; Beyotime Institute of Biotechnology) was used to detect cell viability in each group. The experimental procedures were performed following the manufacturer's instructions. Briefly, cells were seeded in a 96-well plate at a density of 5.0×103/well. Following gradient 5-FU (10, 20, 30, 40, 50, 60 µM; ST1060, Beyotime Institute of Biotechnology) treatments and vector transfection for 24 h, 10 µl CCK-8 reagent were added to each well and incubated at 37°C for 2 h. The absorbance was evaluated using a microplate reader at 450 nm (Tecan Group, Ltd.).

Colony formation assay

The clone formation experiment was used to detect the passage and proliferative ability of the cells in each group. The cells were evenly spread into a six-well plate (300 cells/well) following suspension treatment after 5-FU (40 µM) treatment, and incubated at 37°C, with 5% CO2 and saturated humidity for 2 to 3 weeks. When macroscopic clones were observed in the Petri dish under an inverted light microscope (CKX3-SLP, Olympus Corporation), the supernatant was discarded and the cells were fixed with 4% paraformaldehyde (Dalian Meilun Biotechnology Co., Ltd.) at room temperature for 20 min. The cells were then stained with crystal violet (Dalian Meilun Biotechnology Co., Ltd.) at room temperature for 20 min, and the clone formation number was calculated using ImageJ 1.51J8 software (National Institutes of Health) after obtaining images under an inverted light microscope (CKX3-SLP, Olympus Corporation).

Immunofluorescence

Immunofluorescence was used to detect caspase-3 expression in cells. After immunofluorescence processing, the cells were mounted onto slides. The slides were washed thrice with PBS for 3 min each time. After fixing the cells with 4% paraformaldehyde at room temperature for 15 min, they were washed thrice with PBS for 3 min each time. The cells were infiltrated with 0.5% Triton X-100 (prepared in PBS) for 20 min and then blocked using goat serum for at room temperature 30 min. After absorbing the excess blocking solution with an absorbent paper, a sufficient diluted cleaved caspase-3 primary antibody (1:1,000, cat. no. ab32042, Abcam) was added to each slide. The slides were placed in a wet box and incubated overnight at 4°C. Subsequently, the corresponding fluorescent secondary antibody [IgG H&L (HRP) (S0001, 1:500, Affinity Biosciences)] was added to the glass slide, followed by the addition of DAPI (C1002, Beyotime Institute of Biotechnology) and incubation at room temperature for 5 min in a dark room. After the addition of an anti-fluorescence quencher (P0126, Beyotime Institute of Biotechnology) to the glass slide and incubated at room temperature, the images were observed under a fluorescence microscope.

Flow cytometric analysis

The cells were seeded in a 12-well plate (5×104 cells per well) for apoptosis analysis using flow cytometry. Following 12 h of transfection, each well was replaced with a cell culture medium containing 5-FU and further incubated at 37°C for 72 h. An AnnexinV-FITC/PI Apoptosis Kit (Multisciences (Lianke) Biotech Co., Ltd.) was used to measure cell apoptosis, following the manufacturer's instructions. Flow cytometric analysis was performed using the BD FACSCalibur™ (BD Bioscience) flow cytometer system.

Caspase-3/7 assay

Apoptosis was detected using the caspase-3/7 kit (AAT Bioquest). The operation steps were as follows: The cells were seeded into 96-well plates at 20,000 cells/well in a growth medium (DMEM and 10% FBS). Subsequently, 10 µl per well of 10× the test compound was added to a 96-well plate for cell processing. For blank wells, compound buffer (10 µl/well) was added. The cell plate was incubated at 37°C in 5% CO2. Furthermore, a caspase-3/7 substrate working solution (100 µl/well) was added to the plate. The cells were incubated for at least 1 h in a dark room at room temperature. A fluorescence microplate reader (Fluoroskan ascent FL, Thermo Fisher Scientific, Inc.) was used to monitor the fluorescence intensity.

RT-qPCR

According to the manufacturer's instructions, total RNA was extracted from the DLD-1 and SW-48 cells using TRIzol reagent and a high-purity total RNA rapid extraction kit (Takara Biotechnology Co., Ltd.) and reverse transcribed into complementary DNA (cDNA) using the 5X Prime Script RT Master Mix (Takara Bio, Inc.) by incubating at 85°C for 5 min. RNase inhibitor diethylpyrocarbonate (DEPC, ST036, Beyotime Institute of Biotechnology) were used to inhibit RNA degradation. SYBR-Green and other reagents (Takara Bio, Inc.) were prepared in accordance with the manufacturer's instructions for an RT-PCR reaction. The PCR reaction conditions were 95°C for 5 min, 95°C for 30 cycles, 60°C for 30 sec, 72°C for 30 sec, and finally 72°C for 7 min. The primer sequences used were as follows: SDF-1 forward, 5′-CTA CAG ATG CCC ATG CCG AT-3′ and reverse, 5′-CAG CCG GGC TAC AAT CTG AA-3′; CXCR4 forward, 5′-ATC AGT CTG GAC CGC TAC CT-3′ and reverse, 5′-CCA CCT TTT CAG CCA ACA GC-3′; β-actin forward, 5′-ACA TGC AGC CAG AAG AGG AC-3′ and reverse, 5′-ACA CCA TGC CGT GAA TGT CT-3′. The relative expression was obtained using the 2−ΔΔCq method (25). β-actin was used as an internal control.

Western blot analysis

Proteins were extracted from cells after processing using RIPA lysis buffer (Beyotime Institute of Biotechnology), and the protein concentration was measured using Bradford analysis (Bio-Rad Laboratories, Inc.). Proteins (20 µg/lane) were separated using sodium dodecyl sulfate-polyacrylamide gel electrophoresis (SDS-PAGE, 8-12%) and transferred to a PVDF membrane (MilliporeSigma). The membrane was then sealed with 5% (w/v) skimmed milk at room temperature for 1 h and subsequently combined with visfatin (1:1,000, cat. no. ab23609), SDF-1 (1:1,000, cat. no. ab25117), CXCR4 (1:1,000, cat. no. ab181020), caspase-3 (1:1,000, cat. no. ab32351), caspase-7 (1:1,000, cat. no. ab32522), proliferating cell nuclear antigen (PCNA; 1:1,000, cat. no. ab18197), Ki-67 (1:1,000, cat. no. ab92742), cleaved caspase-3 (1:1,000, cat. no. ab32042), survivin (1:1,000, cat. no. ab76424), Livin (1:1,000, cat. no. ab236500), p53 (1:1,000, cat. no. ab32389), Bax (1:1,000, cat. no. ab32503), Bcl-2 (1:1,000, cat. no. ab32124), Akt (1:1,000, cat. no. ab8805), phosphorylated (p-)Akt (1:1,000, cat. no. ab38449), PI3K (1:1,000, cat. no. ab140307), p-PI3K (1:1,000, cat. no. ab278545), glycogen synthase kinase (GSK)3β (1:1,000, cat. no. ab32391), p-GSK3β (1:1,000, cat. no. ab75814) and β-actin (1:5,000, cat. no. ab8227) primary antibodies (all from Abcam) at 4°C overnight. Following this, the membrane was incubated with the secondary antibody (S0001, 1:5,000, Affinity Biosciences) at 37°C for 2 h. The liquid on the membrane was dried using a filter paper and reacted in the enhanced chemiluminescence (Amersham; Cytiva) reaction mixture in a dark room for 2-3 min. For the stabilisation experiments, cells were collected after being treated with cycloheximide (CHX, 100 µg/ml DMSO, C8500, USBiological) for 0, 2, 4, 8 or 24 h, and western blot analysis was used to examine the stabilisation of SDF-1 and CXCR4. Specific bands were detected. ImageJ 1.51J8 software (National Institutes of Health) was used to count the grayscale of the strips.

Statistical analyses

The experiments requiring statistical analyses were repeated thrice. The experimental data are expressed as the mean ± standard deviation. Statistical analyses were performed using SPSS software (version 13.0, SPSS, Inc.) with one-way or two-way analysis of variance, followed by Tukey's post hoc test. Pearson's correlation analysis was used for correlation analysis. A value of P<0.05 was considered to indicate a statistically significant difference.

Results

Close association between visfatin expression and colon cancer

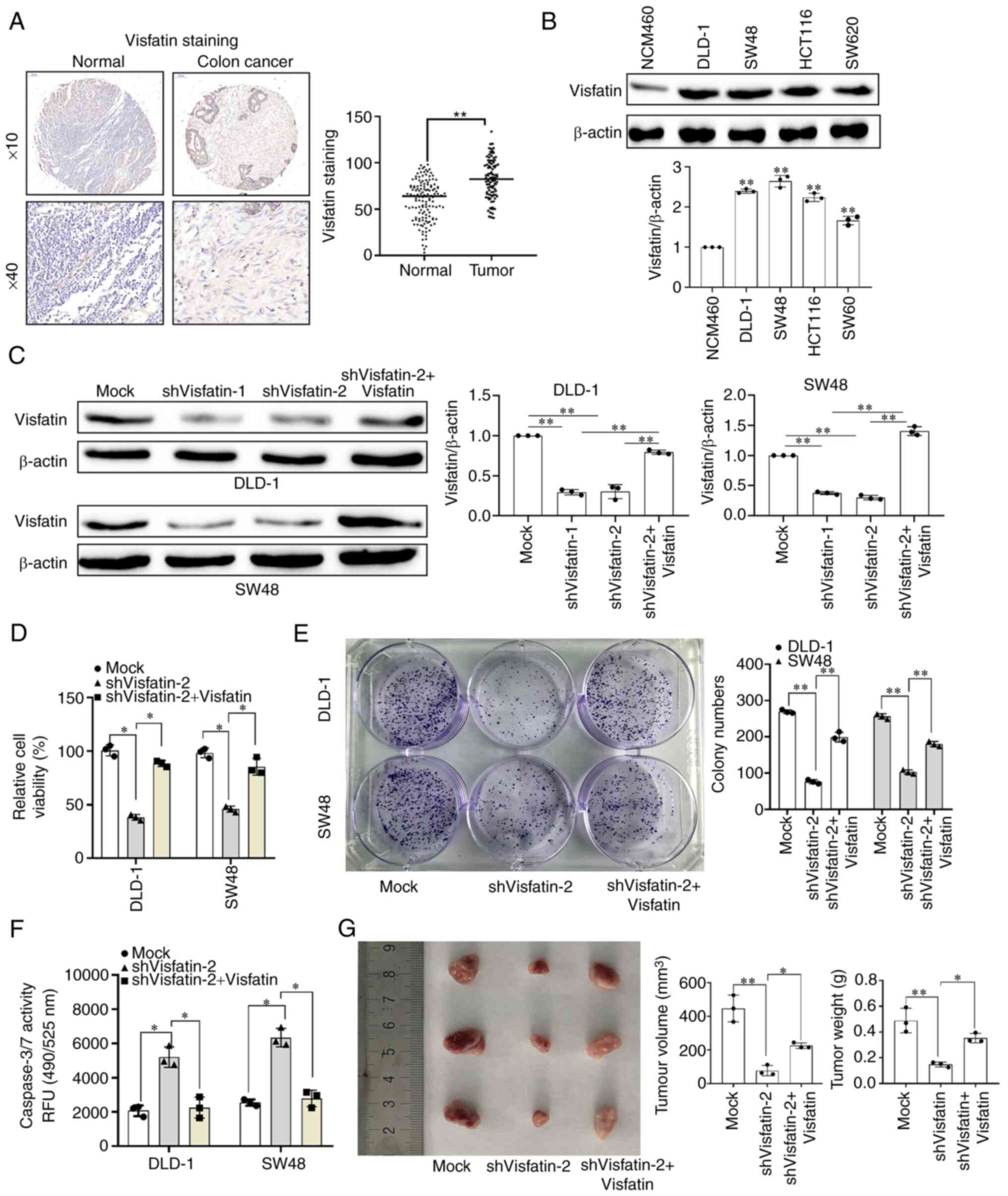
The TMA results revealed that visfatin was highly expressed in colon cancer tissues (Fig. 1A). The evaluation of visfatin expression in various colon cancer cell lines in vitro revealed that visfatin was highly expressed in colon cancer cells (Fig. 1B). Among these, the DLD-1 and SW48 cells exhibited the highest protein expression levels; hence, they were selected for use in subsequent experiments. Following transfection with shRNA1 and shRNA 2, visfatin protein expression was significantly downregulated; however, upon transfection with the overexpression vector, its expression was significantly upregulated (Figs. 1C and S1). shRNA2 was selected for subsequent studies based on the rotational efficiency and stability. Following visfatin knockdown, the activity and proliferative ability of the DLD-1 and SW48 cells were significantly decreased; however, this decrease was reversed on the overexpression of visfatin (Fig. 1D and E). Apoptosis-related protein detection (caspase-3/7) also revealed that visfatin knockdown promoted colon cancer cell apoptosis, whereas visfatin overexpression inhibited it (Fig. 1F). Following the construction of a colon cancer mouse model in which mice were injected with cells in which visfatin expression was knocked down or overexpressed, the tumour volume and weight were significantly reduced in the group injected with the cells in which visfatin expression was knocked down compared with the mock group. However, following visfatin overexpression, the tumour volume and weight increased (Fig. 1G).

Figure 1

Close association between visfatin expression and colon cancer. (A) Immunohistochemical staining of visfatin was performed on a tissue microarray. (B) Western blot analysis was performed to analyse visfatin expression in colon cancer cells. (C) shRNA and overexpression plasmids were used for 48 h to construct visfatin knockdown or overexpressing cell lines. (D-F) Cell viability, colony formation capacity and caspase-3/7 activity were measured using a (D) Cell Counting Kit-8, (E) colony formation assay and (F) Caspase-3/7 kit, respectively. (G) Tumour volume was measured after transfected cells were inoculated into mice. *P<0.05 and **P<0.01.

Visfatin regulates the sensitivity of DLD-1 and SW48 cells to 5-FU

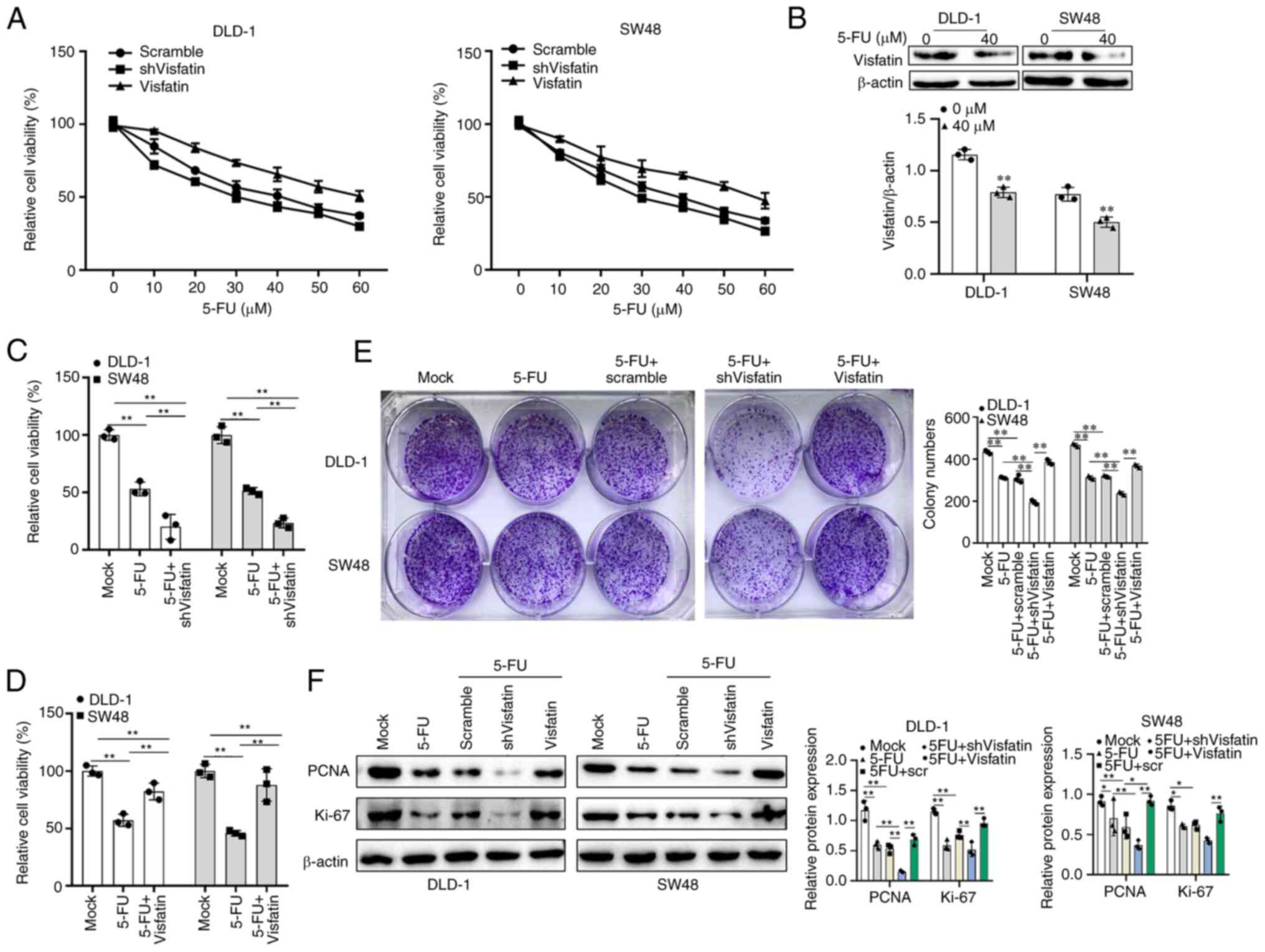
The DLD-1 and SW48 cells were treated with a gradient of 5-FU and cell viability was detected. The concentration of 40 µM was selected for subsequent 5-FU treatment (Fig. 2A). Following treatment with 40 µM 5-FU, visfatin protein expression in the DLD-1 and SW48 cells was significantly decreased (Fig. 2B). Following the knockdown of visfatin in colon cancer cells treated with 5-FU, cell viability was significantly decreased. However, the overexpression of visfatin, cell viability was significantly increased compared with that of the cells treated with 5-FU alone (Fig. 2C and D). The colony formation assay demonstrated the proliferative ability of the colon cancer cells. Following visfatin knockdown, the staining of the 5-FU-treated cells was significantly reduced, whereas visfatin overexpression reversed this effect (Fig. 2E). Similar results were observed for the other two tumour cell proliferation protein markers, PCNA and Ki-67. Therefore, the knockdown of visfatin decreased the expression of PCNA and Ki-67, while the overexpression of visfatin increased their expression (Fig. 2F).

Figure 2

Visfatin regulates the sensitivity of DLD-1 and SW48 cells to 5-FU. (A) Viability of DLD-1 and SW48 cells was examined following 5-FU gradient treatment. (B) Western blot analysis was used to analyse the visfatin protein levels in DLD-1 and SW48 cells treated with 5-FU (0 and 40 µM) for 24 h (C and D). 5-FU-mediated inhibition of proliferation was enhanced upon visfatin knockdown and reversed upon visfatin overexpression in colon cancer cells. Cell viability, colony formation capacity and caspase-3/7 activity were measured using a (C and D) Cell Counting Kit-8 and (E) colony formation assay. (F) Western blot analysis was used to analyse the protein levels of PCNA and Ki-67 in DLD-1 and SW48 cells following visfatin knockdown and overexpression. *P<0.05 and **P<0.01. 5-FU, 5-fluorouracil; PCNA, proliferating cell nuclear antigen.

Visfatin inhibits the 5-FU-induced apoptosis of DLD-1 and SW48 cells

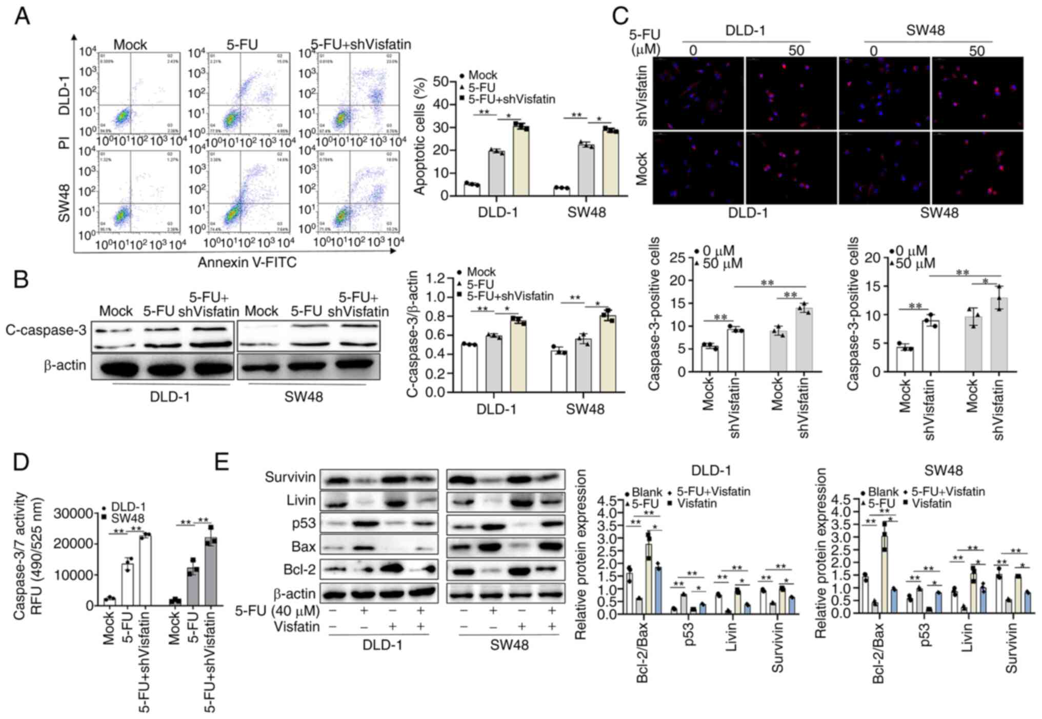
The evaluation of apoptosis using flow cytometry revealed that visfatin knockdown increased the apoptotic cell numbers following treatment with 5-FU (Fig. 3A). In addition, the knockdown of visfatin significantly increased the expression of cleaved caspase-3 following treatment with 5-FU (Fig. 3B). However, following the overexpression of visfatin and treatment with 5-FU, cell apoptosis was decreased and the expression of cleaved caspase-3 did not increase (Fig. S2A and B). The expression of cleaved caspase-3 in DLD-1 and SW48 cells treated with 5-FU was examined using immunofluorescence staining. The results revealed that following visfatin knockdown, the fluorescence intensity increased (Fig. 3C); however, this decreased upon visfatin overexpression (Fig. S2C). 5-FU treatment increased the activity of caspase-3/7 in colon cancer cells, with visfatin knockdown significantly increasing this effect (Fig. 3D). However, visfatin overexpression suppressed this effect (Fig. S2D). Additionally, the other apoptotic proteins tested revealed the same results. In the colon cancer cells treated with 5-FU, the expression levels of Bcl-2/Bax, Livin and survivin were significantly reduced, whereas those of the pro-apoptotic p53 protein were significantly increased. Following the overexpression of visfatin and treatment with 5-FU, the effects of 5-FU on these pro-apoptotic proteins were attenuated (Fig. 3E).

Figure 3

Visfatin inhibits the 5-FU-induced apoptosis of DLD-1 and SW48 cells. (A) Flow cytometry was performed to measure cell apoptosis, and 5-FU-mediated cell apoptosis was enhanced upon visfatin knockdown and reversed upon visfatin overexpression in colon cancer cells (Fig. S2). (B) 5-FU (40 µM) induced caspase substrates, as examined using western blot analysis, which used anti-cleaved caspase substrate antibodies, in DLD-1 and SW48 cells. (C) Immunofluorescence assay revealed that visfatin reduced caspase-3 cleavage in DLD-1 and SW48 cells treated with 5-FU (40 µM) for 24 h. (D) The Caspase-3/7 assay kit was used to examine the effects of visfatin on 5-FU-induced caspase-3/7 activity. (E) Western blot analysis was used to measure apoptotic protein expression. Visfatin inhibited 5-FU-induced apoptotic protein expression. *P<0.05 and **P<0.01. 5-FU, 5-fluorouracil.

Positive correlation between visfatin and SDF-1

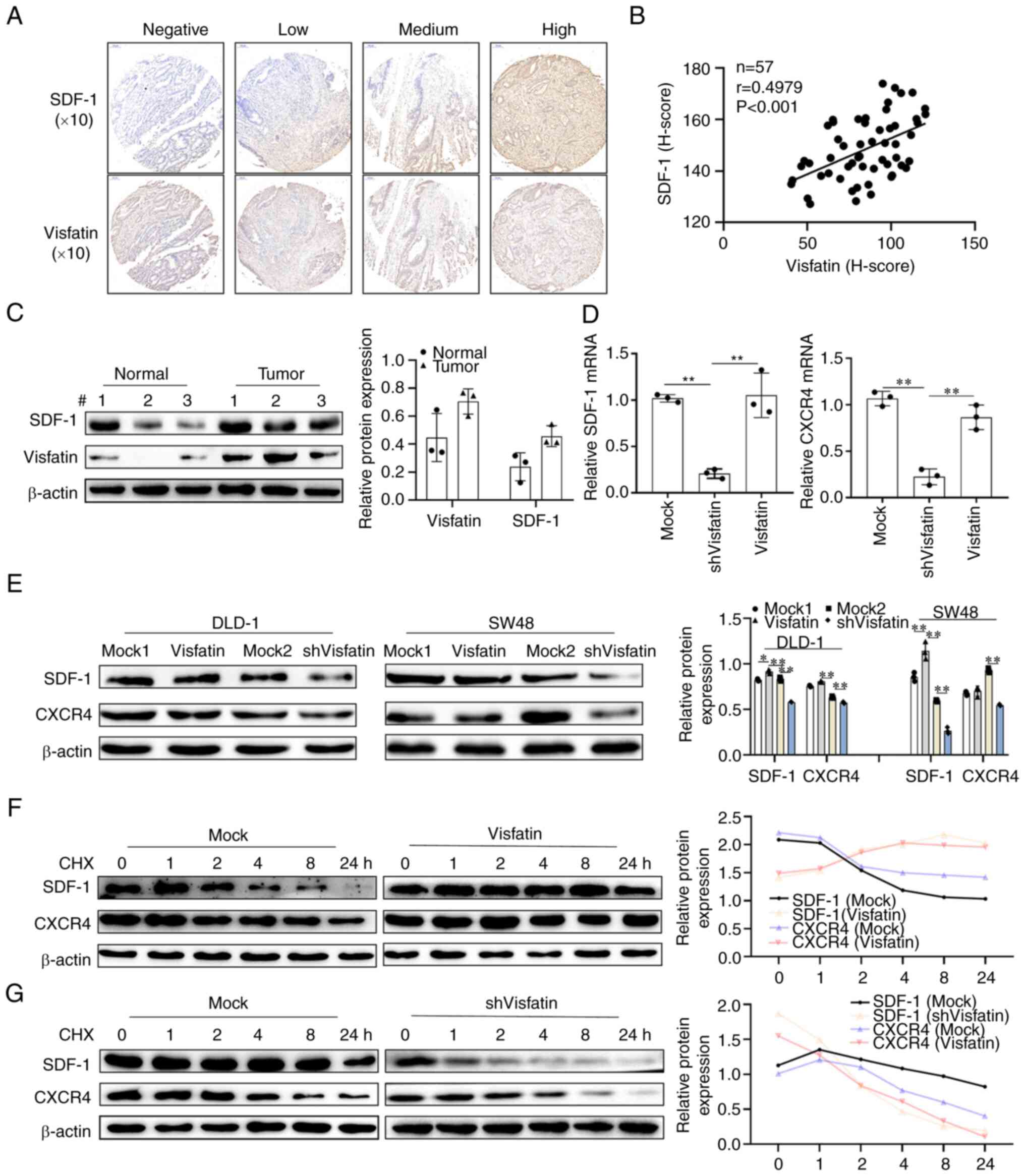
The suppressive effects of visfatin on the sensitivity of the colon cancer cells to 5-FU were confirmed. However, the underlying mechanisms required further investigation. The TMA results revealed that when visfatin exhibited negative staining, SDF-1 staining was also negative. The positive degree of SDF-1 staining increased with the increase in the positive degree of visfatin staining. In addition, the correlation analysis of the two H-scores revealed that visfatin and SDF-1 positively correlated (Fig. 4A and B). Both SDF-1 and visfatin were found to be highly expressed in tumour tissues compared to normal tissues (Fig. 4C). As the receptor of SDF-1, the mRNA and protein expression of CXCR4 is the same as that of SDF-1; this was found to decrease with visfatin knockdown (Fig. 4D and E). Visfatin also affected the stability of SDF-1 and CXCR4. Following treatment of the colon cancer cells with CHX for different periods of time, the SDF-1 and CXCR4 levels gradually decreased; however, visfatin overexpression reversed the instability of SDF-1 and CXCR4. Visfatin knockdown further decreased the SDF-1 and CXCR4 levels (Fig. 4F and G).

Figure 4

Close association between visfatin and SDF-1. (A) Representative immunohistochemistry images of visfatin and SDF-1 staining from tumour microarray analysis. (B) Statistical analysis of the tumour microarray data. Pearson's correlation analysis was used to examine the correlation between visfatin and SDF-1. (C) Expression of SDF-1 and visfatin was examined using western blot analysis in patients with colon cancer. (D and E) Effects of the inhibition of SDF-1 and CXCR4 expression in colon cancer cells upon visfatin knockdown. The expression was measured using (D) reverse transcription-quantitative PCR and (E) western blot analysis. (F and G) Cells were collected after being treated with CHX (100 µg/ml DMSO) for 0, 2, 4, 8 or 24 h, and western blot analysis was used to examine the stabilisation of SDF-1 and CXCR4. *P<0.05 and **P<0.01. SDF-1, stromal cell-derived factor-1; CXCR4, C-X-C chemokine receptor type 4.

Visfatin inhibits the sensitivity of DLD-1 and SW48 cells to 5-FU through SDF-1

Further experiments were conducted to verify the role of SDF-1 in the regulatory effects of visfatin on the sensitivity of the colon cancer cells to 5-FU. First, SDF-1 was overexpressed in the DLD-1 and SW48 cells, and the transfection efficiency was examined (Fig. 5A). Upon SDF-1 overexpression in colon cancer cells treated with 5-FU or 5-FU and subjected to visfatin knockdown, cell viability was significantly increased, indicating that SDF-1 overexpression inhibited the suppressive effects of 5-FU and visfatin knockdown on cell viability (Fig. 5B). Second, apoptosis-related protein caspase-3/7 expression was increased following treatment with 5-FU or 5-FU treatment plus visfatin knockdown, whereas SDF-1 overexpression significantly decreased caspase-3/7 expression (Fig. 5C). Upon SDF-1 knockdown in colon cancer cells treated with 5-FU or in those treated with 5-FU and subjected to visfatin overexpression, cell viability was significantly decreased, indicating that SDF-1 knockdown promoted the inhibitory effects of 5-FU on cell viability even in the cells overexpressing visfatin (Fig. 5D). Apoptosis-related protein caspase-3/7 expression was increased following 5-FU treatment and decreased following 5-FU treatment and visfatin overexpression, whereas SDF-1 knockdown significantly increased the apoptosis even of the cells treated with 5-FU and overexpressing visfatin (Fig. 5E), confirming that SDF-1 is an intermediate molecule in the regulatory effects of visfatin on sensitivity to 5-FU.

Figure 5

Visfatin regulates the sensitivity of DLD-1 and SW48 cells to 5-FU through SDF-1. (A) The overexpression efficacy of SDF-1 was measured using western blot analysis. (B and C) Visfatin knockdown-mediated impairments in transformed phenotypes were reversed upon SDF-1 overexpression in colon cancer cells. Cell viability and caspase-3/7 activity were measured using a (B) Cell Counting Kit-8 and (C) Caspase-3/7 Glo LUC Reagent, respectively. (D and E) Visfatin regulates the 5-FU mediated impairments in transformed phenotypes of DLD-1 and SW48 cells through SDF-1. *P<0.05 and **P<0.01. 5-FU, 5-fluorouracil; SDF-1, stromal cell-derived factor-1.

Akt functions as a common target of visfatin and SDF-1

Furthermore, the regulatory mechanisms of the SDF-1/CXCR4 axis in the effects of visfatin on sensitivity to 5-FU were examined. Following treatment of the DLD-1 and SW48 cells with 5-FU, the activity of Akt decreased (Fig. 6A), with was consistent with the decrease in the expression of visfatin (Fig. 2B). Upon visfatin overexpression in the colon cancer cells, Akt phosphorylation increased and GSK3β phosphorylation decreased (Fig. 6B). The results observed following the overexpression of SDF-1 were similar to those observed following the overexpression of visfatin, wherein the Akt pathway was activated (Fig. 6C). Following the knockdown of visfatin, the phosphorylation of Akt and PI3K decreased, whereas that of GSK3β increased. However, upon SDF-1 overexpression, this effect was attenuated. The overexpression of visfatin increased the phosphorylation of Akt and PI3K, and decreased the phosphorylation of GSK3β, and this effect was attenuated by the knockdown of SDF-1 (Fig. 6D). The overexpression of visfatin increased the expression of Bcl-2, Livin and survivin, whereas it decreased the expression of the pro-apoptotic proteins, Bax and p53, in the DLD-1 and SW48 cells. Upon visfatin overexpression and simultaneous treatment with PI3K/Akt pathway inhibitor (LY294002, 10 µmol/l), this effect was reversed, and an increase in cell apoptosis was observed (Fig. 6E).

Figure 6

Akt functions as a common target of visfatin and SDF-1. (A) Western blot analysis was used to measure Akt phosphorylation in DLD-1 and SW48 cells following treatment with 5-FU. (B and C) Visfatin and SDF-1 exerted similar effects on PI3K/Akt. Visfatin and SDF-1 enhanced Akt phosphorylation in DLD-1 and SW48 cells, respectively. (D) The visfatin-mediated effect of PI3K/Akt was reversed upon SDF-1 overexpression in colon cancer cells, which was measured using western blot analysis. (E) The blockage of PI3K/AKT regulated apoptotic protein expression changes upon the overexpression of visfatin. **P<0.01. 5-FU, 5-fluorouracil; GSK3β, glycogen synthase kinase 3 β.

Discussion

In the present study, the knockdown of visfatin inhibited colon cancer cell viability and proliferation, promoted apoptosis and inhibited tumour formation in vivo. The sensitivity of colon cancer cells to 5-FU was promoted by visfatin knockdown and inhibited by its overexpression. Furthermore, these effects were attenuated by the overexpression of SDF-1 and PI3K/Akt inhibitors. Thus, the present study confirms the modulating effects of the visfatin/SDF-1/Akt axis on sensitivity to 5-FU.

Globally, the incidence and mortality rates associated with CRC are high compared to other cancer types (26). Tumour recurrence or distant metastasis following surgery, with various other consequent severe complications, is the main cause of mortality of patients with CRC. Therefore, radical surgery combined with chemotherapy is the conventional form of treatment for colon cancer. 5-FU is among the most important and commonly used drugs for treating patients with advanced colon cancer. However, the effectiveness of 5-FU in the treatment of advanced colon cancer varies among individuals, with resistance to 5-FU chemotherapy contributing to treatment failure (27,28). The mechanisms of resistance to 5-FU chemotherapy remain unclear (29); however, two main theories exist: i) Genetic and epigenetic alterations, such as antiapoptotic protein Bcl-2 and Bcl-xL overexpression; and ii) ATP-binding cassette transporter overexpression, leading to drug efflux that decreases intracellular drug accumulation (30). The mechanism of resistance to 5-FU is also related to the increased expression of nucleoside metabolizing enzymes, p53 gene mutation or loss of function and the imbalance of the mismatch repair system (31-33). Strategies against resistance to 5-FU, including gene therapy, drug combination and drug repurposing, are currently being studied in-depth. miR-122, which is significantly downregulated in 5-FU-resistant CRC cells, has the potential to restore chemosensitivity by targeting pyruvate kinase type M2 (34). Additionally, metformin has been reported to downregulate the DNA replication machinery proteins (MCM2 and PCNA) selectively in 5-FU-resistant colon cancer cell lines, leading to a synergistic effect with chemotherapy (35). The combination of celecoxib and 5-FU chemotherapy has been shown to induce significant therapeutic responses in chemo-refractory CRC cells and overcome resistance in both in vivo and in vitro colorectal cancer cells (36). Visfatin promotes resistance to 5-FU by affecting the proliferation and apoptosis of tumour cells via the SDF-1/CXCR4/Akt axis. As demonstrated herein, after the blocking of PI3K/AKT, p53 expression increased and 5-FU resistance was weakened. The present study confirmed that visfatin has the potential to enhance the sensitivity to chemotherapeutic drugs, providing a novel foundation to combat drug resistance using drug combinations.

Chemokines affect tumour and endothelial cells in the tumour microenvironment, regulating tumour cell growth, proliferation and invasion, significantly impacting cancer treatment outcomes (37). SDF-1 is a member of the CXC subfamily of chemokines, and high levels of SDF-1 have been shown to be associated with CRC tumour progression; therefore, SDF-1 is considered a key negative prognostic marker in CRC (38,39). Visfatin is involved in tumour progression, similar to other adipokines. It has been confirmed that visfatin promotes the downstream regulator, silent information regulator 1 (SIRT1), by affecting the activity of nicotinamide adenine dinucleotide and the proliferation and apoptosis of prostate cancer cells (40). Furthermore, visfatin activates STAT3 by inducing the secretion of the inflammatory factor IL-6, thereby promoting the proliferation and metastasis of breast cancer (41). In colon cancer, visfatin mRNA and protein are highly expressed in colon cancer tissues and are related to distant metastasis, anaemia and poor prognosis (42). Visfatin has also been found to downregulate E-cadherin and upregulate N-cadherin and transcription factor 1 (Snail-1) expression in a time- and concentration-dependent manner, while Snail-1 inhibitors have been shown to weaken the effect of visfatin on epithelial-mesenchymal transition markers (43). Additionally, visfatin participates in mediating cancer stem pathways in CRC tumours through the downstream effectors, SIRT1 and PARP1. Moreover, NAMPT inhibition increases the sensitivity to apoptosis in both NAMPT-expressing cells and tumour spheres (8). NAMPT affects the proliferation of colon cancer cells by inhibiting Axin and activating the Wnt pathway (44). In 5-FU-resistant colon cancer cell lines, the Wnt pathway is activated, thereby inhibiting the p53 pathway and enhancing cell survival. Consistent with the findings of previous studies, the present study confirmed the importance of NAMPT the resistance of CRC to 5-FU (45). The present study further demonstrated that visfatin promoted tumorigenesis and inhibited sensitivity to 5-FU via the SDF-1/CXCR4 axis.

SDF-1/CXCR4 signal transduction is a complex process influenced by a number of factors (such as signal network system). It activates various signalling pathways to affect tumour proliferation, migration and prognosis. PI3K/Akt and extracellular signalling-regulated protein kinases 1 and 2 (ERK 1/2) are two key signalling pathways involved in cell signal transduction, colorectal cancer cell survival and 5-FU resistance (45,46). CSCs initiate heterogeneous tumours and repopulate metastatic outgrowths (47). A previous clinical study found that: SDF-1 and CXCR4 expression was significantly elevated in CRC tissues and patients with CXCR4 nuclear-type expression exhibited more frequent lymph node metastasis. The data of the present study suggest that there is a significant association between SDF-1/CXCR4 to enhance the liver metastases causing poor prognosis in CRC (48). The high expression of SDF-1/CXCR4 in CD44+/CD133+ prostate CSCs indicates that a potential function of the CXCR12/CXCL4 axis that promotes prostate cancer metastasis could be to maintain the stemness of CSCs (49). This axis promotes tumour metastasis mediated by actin polymerisation and prosthetic foot formation, playing a key role in CSC's self-renewal in drug-resistant NSCLC (50). The present study further suggests that visfatin is closely related to SDF-1 and is involved in affecting the sensitivity of colon cancer cells to 5-FU. In the present study, SDF-1 exhibited a positive correlation with visfatin in colon cancer tissue samples. Furthermore, the present study confirmed that the SDF-1/CXCR4 axis functioned as a downstream module of visfatin and affected the PI3K/Akt signalling pathway, which is involved in regulating the sensitivity of colon cancer cells to 5-FU.

Owing to time and funding constraints, a complete in vivo experimental verification could not be conducted. Another limitation of the present study is that only the effects of visfatin on the sensitivity of colon cancer cells to 5-FU were investigated, disregarding other chemotherapeutic drugs. Therefore, further research is required to elucidate the mechanisms involved in the effects of visfatin on sensitivity to chemotherapeutics.

In conclusion, the present study demonstrated that visfatin inhibited the chemotherapeutic effects of 5-FU on colon cancer cells via the visfatin/SDF-1/Akt axis. Therefore, the application of 5-FU combined with visfatin inhibition may provide a novel strategy which may be used to reduce the resistance of colon cancer to chemotherapeutic drugs.

Supplementary Data

Availability of data and materials

All data generated or analysed during this study are included in this published article or in the accompanying supplementary material.

Authors' contributions

KG and JZ contributed to the study conception and design. Material preparation, data collection and analysis were performed by QZ and YaxinL, who contributed equally to the study. The initial draft of the manuscript was written by QZ and YaxinL. WC, YH, JL, YuejinL, XL, XG, YuL and GL were responsible for data visualisation and the literature review. KG and JZ contributed to the critical revision of the manuscript. QZ and JZ confirmed the authenticity of all the raw data. All authors have read and approved the final manuscript.

Ethics approval and consent to participate

The present study was approved by the Ethics Committee of the First People's Hospital of Yunnan Province in accordance with the International Ethical Guidelines for Biomedical Research Involving Human Subjects (CIOMS). The experimental procedure was approved by the Animal Protection and Use Agency Committee of the Kunming University of Science and Technology and conducted in accordance with the Laboratory animal Guideline for ethical review of animal welfare (GB/T 35892-2018).

Patient consent for publication

Not applicable.

Competing interests

The authors declare that they have no competing interests.

Acknowledgments

Not applicable.

Funding

The present study was supported by the Health and Science Foundation of Yunnan Province (grant no. 2017NS208), the Open Project of Vascular Disease Clinical Medical Center of Yunnan First People's Hospital in 2021 (grant no. 2021LCZXXF-XG01), and the Special Fund for Clinical Research of Wu Jieping Medical Foundation (grant no. 320.6750.18403).

References

1 

Chen W, Zheng R, Baade PD, Zhang S, Zeng H, Bray F, Jemal A, Yu XQ and He J: Cancer statistics in China, 2015. CA Cancer J Clin. 66:115–132. 2016. View Article : Google Scholar

2 

Siegel RL, Miller KD and Jemal A: Cancer statistics, 2017. CA Cancer J Clin. 67:7–30. 2017. View Article : Google Scholar

3 

Shi Q, Paul J and Grothey A: Duration of adjuvant chemotherapy for stage III colon cancer. N Engl J Med. 379:396–397. 2018.

4 

Dienstmann R, Vermeulen L, Guinney J, Kopetz S, Tejpar S and Tabernero J: Consensus molecular subtypes and the evolution of precision medicine in colorectal cancer. Nat Rev Cancer. 17:79–92. 2017. View Article : Google Scholar

5 

Labianca R, Beretta GD, Kildani B, Milesi L, Merlin F, Mosconi S, Pessi MA, Prochilo T, Quadri A, Gatta G, et al: Colon cancer. Crit Rev Oncol Hematol. 74:106–133. 2010. View Article : Google Scholar

6 

Vodenkova S, Buchler T, Cervena K, Veskrnova V, Vodicka P and Vymetalkova V: 5-fluorouracil and other fluoropyrimidines in colorectal cancer: Past, present and future. Pharmacol Ther. 206:1074472020. View Article : Google Scholar

7 

Marin JJG, Macias RIR, Monte MJ, Her raez E, Peleteiro-Vigil A, Blas BS, Sanchon-Sanchez P, Temprano AG, Espinosa-Escudero RA, Lozano E, et al: Cellular mechanisms accounting for the refractoriness of colorectal carcinoma to pharmacological treatment. Cancers (Basel). 12:26052020. View Article : Google Scholar

8 

Lucena-Cacace A, Otero-Albiol D, Jiménez-García MP, Muñoz-Galvan S and Carnero A: NAMPT is a potent oncogene in colon cancer progression that modulates cancer stem cell properties and resistance to therapy through Sirt1 and PARP. Clin Cancer Res. 24:1202–1215. 2018. View Article : Google Scholar

9 

Fukuhara A, Matsuda M, Nishizawa M, Segawa K, Tanaka M, Kishimoto K, Matsuki Y, Murakami M, Ichisaka T, Murakami H, et al: Visfatin: A protein secreted by visceral fat that mimics the effects of insulin. Science. 307:426–430. 2005. View Article : Google Scholar

10 

Hufton SE, Moerkerk PT, Brandwijk R, de Bruïne AP, Arends JW and Hoogenboom HR: A profile of differentially expressed genes in primary colorectal cancer using suppression subtractive hybridization. FEBS Lett. 463:77–82. 1999. View Article : Google Scholar : PubMed/NCBI

11 

Nakajima TE, Yamada Y, Hamano T, Furuta K, Matsuda T, Fujita S, Kato K, Hamaguchi T and Shimada Y: Adipocytokines as new promising markers of colorectal tumors: Adiponectin for colorectal adenoma, and resistin and visfatin for colorectal cancer. Cancer Sci. 101:1286–1291. 2010. View Article : Google Scholar

12 

Lucena-Cacace A, Otero-Albiol D, Jiménez-García MP, Peinado-Serrano J and Carnero A: NAMPT overexpression induces cancer stemness and defines a novel tumor signature for glioma prognosis. Oncotarget. 8:99514–99530. 2017. View Article : Google Scholar

13 

Chen M, Wang Y, Li Y, Zhao L, Ye S, Wang S, Yu C and Xie H: Association of plasma visfatin with risk of colorectal cancer: An observational study of Chinese patients. Asia Pac J Clin Oncol. 12:e65–74. 2016. View Article : Google Scholar

14 

Lucas S, Soave C, Nabil G, Ahmed ZSO, Chen G, El-Banna HA, Dou QP and Wang J: Pharmacological inhibitors of NAD biosynthesis as potential an ticancer agents. Recent Pat Anticancer Drug Discov. 12:190–207. 2017. View Article : Google Scholar

15 

Nacarelli T, Fukumoto T, Zundell JA, Fatkhutdinov N, Jean S, Cadungog MG, Borowsky ME and Zhang R: NAMPT inhibition suppresses cancer stem-like cells associated with therapy-induced senescence in ovarian cancer. Cancer Res. 80:890–900. 2020. View Article : Google Scholar

16 

Cao Z, Liang N, Yang H and Li S: Visfatin mediates doxorubicin resistance in human non-small-cell lung cancer via Akt-mediated up-regulation of ABCC1. Cell Prolif. 50:e123662017. View Article : Google Scholar

17 

Ge X, Zhao Y, Dong L, Seng J, Zhang X and Dou D: NAMPT regulates PKM2 nuclear location through 14-3-3ζ: Conferring resistance to tamoxifen in breast cancer. J Cell Physiol. 234:23409–23420. 2019. View Article : Google Scholar

18 

Bi TQ and Che XM: Nampt/PBEF/visfatin and cancer. Cancer Biol Ther. 10:119–125. 2010. View Article : Google Scholar

19 

Li XQ, Lei J, Mao LH, Wang QL, Xu F, Ran T, Zhou ZH and He S: NAMPT and NAPRT, key enzymes in NAD salvage synthesis pathway, are of negative prognostic value in colorectal cancer. Front Oncol. 9:7362019. View Article : Google Scholar : PubMed/NCBI

20 

Ma J, Sun X and Wang Y, Chen B, Qian L and Wang Y: Fibroblast-derived CXCL12 regulates PTEN expression and is associated with the proliferation and invasion of colon cancer cells via PI3k/Akt signaling. Cell Commun Signal. 17:1192019. View Article : Google Scholar

21 

Ma J, Su H, Yu B, Guo T, Gong Z, Qi J, Zhao X and Du J: CXCL12 gene silencing down-regulates metastatic potential via blockage of MAPK/PI3K/AP-1 signaling pathway in colon cancer. Clin Transl Oncol. 20:1035–1045. 2018. View Article : Google Scholar : PubMed/NCBI

22 

Conley-LaComb MK, Saliganan A, Kandagatla P, Chen YQ, Cher ML and Chinni SR: PTEN loss mediated Akt activation promotes prostate tumor growth and metastasis via CXCL12/CXCR4 signaling. Mol Cancer. 12:852013. View Article : Google Scholar

23 

Zhao Q, Li JY, Zhang J, Long YX, Li YJ, Guo XD, Wei MN and Liu WJ: Role of visfatin in promoting proliferation and invasion of colorectal cancer cells by downregulating SDF-1/CXCR4-mediated miR-140-3p expression. Eur Rev Med Pharmacol Sci. 24:5367–5377. 2020.

24 

Azim HA Jr, Peccatori FA, Brohée S, Branstetter D, Loi S, Viale G, Piccart M, Dougall WC, Pruneri G and Sotiriou C: RANK-ligand (RANKL) expression in young breast cancer patients and during pregnancy. Breast Cancer Res. 17:242015. View Article : Google Scholar : PubMed/NCBI

25 

Livak KJ and Schmittgen TD: Analysis of relative gene expression data using real-time quantitative PCR and the 2(-Delta Delta C(T)) method. Methods. 25:402–408. 2001. View Article : Google Scholar

26 

Bray F, Ferlay J, Soerjomataram I, Siegel RL, Torre LA and Jemal A: Global cancer statistics 2018: GLOBOCAN estimates of incidence and mortality worldwide for 36 cancers in 185 countries. CA Cancer J Clin. 68:394–424. 2018. View Article : Google Scholar

27 

Wang W, Guo W, Li L, Fu Z, Liu W, Gao J, Shu Y, Xu Q, Sun Y and Gu Y: Andrographolide reversed 5-FU resistance in human colorectal cancer by elevating BAX expression. Biochem Pharmacol. 121:8–17. 2016. View Article : Google Scholar

28 

Marjaneh RM, Khazaei M, Ferns GA, Avan A and Aghaee-Bakhtiari SH: The role of microRNAs in 5-FU resistance of colorectal cancer: Possible mechanisms. J Cell Physiol. 234:2306–2316. 2019. View Article : Google Scholar

29 

Wei L, Wang X, Lv L, Zheng Y, Zhang N and Yang M: The emerging role of noncoding RNAs in colorectal cancer chemoresistance. Cell Oncol (Dordr). 42:757–768. 2019. View Article : Google Scholar

30 

Hu T, Li Z, Gao CY and Cho CH: Mechanisms of drug resistance in colon cancer and its therapeutic strategies. World J Gastroenterol. 22:6876–6889. 2016. View Article : Google Scholar

31 

van Staveren MC, Opdam F, Guchelaar HJ, van Kuilenburg AB, Maring JG and Gelderblom H: Influence of metastatic disease on the usefulness of uracil pharmacokinetics as a screening tool for DPD activity in colorectal cancer patients. Cancer Chemother Pharmacol. 76:47–52. 2015. View Article : Google Scholar : PubMed/NCBI

32 

Wang W, Cassidy J, O'Brien V, Ryan KM and Collie-Duguid E: Mechanistic and predictive profiling of 5-Fluorouracil resistance in human cancer cells. Cancer Res. 64:8167–8176. 2004. View Article : Google Scholar

33 

Leckband S, Kelsoe J, Dunnenberger H, George AL Jr, Tran E, Berger R, Müller DJ, Whirl-Carrillo M, Caudle KE and Pirmohamed M; Clinical Pharmacogenetics Implementation Consortiu: Clinical pharmacogenetics implementation consortium guidelines for HLA-B genotype and carbamazepine dosing. Clin Pharmacol Ther. 94:324–328. 2013. View Article : Google Scholar

34 

van Niekerk G and Engelbrecht AM: Role of PKM2 in directing the metabolic fate of glucose in cancer: A potential therapeutic target. Cell Oncol (Dordr). 41:343–351. 2018. View Article : Google Scholar

35 

Kim SH, Kim SC and Ku JL: Metformin increases chemo-sensitivity via gene downregulation encoding DNA replication proteins in 5-Fu resistant colorectal cancer cells. Oncotarget. 8:56546–56557. 2017. View Article : Google Scholar :

36 

Fong W and To KKW: Drug repurposing to overcome resistance to various therapies for colorectal cancer. Cell Mol Life Sci. 76:3383–3406. 2019. View Article : Google Scholar

37 

Nagarsheth N, Wicha MS and Zou W: Chemokines in the cancer microenvironment and their relevance in cancer immunotherapy. Nat Rev Immunol. 17:559–572. 2017. View Article : Google Scholar

38 

Yoshitake N, Fukui H, Yamagishi H, Sekikawa A, Fujii S, Tomita S, Ichikawa K, Imura J, Hiraishi H and Fujimori T: Expression of SDF-1 alpha and nuclear CXCR4 predicts lymph node metastasis in colorectal cancer. Br J Cancer. 98:1682–1689. 2008. View Article : Google Scholar

39 

Akishima-Fukasawa Y, Nakanishi Y, Ino Y, Moriya Y, Kanai Y and Hirohashi S: Prognostic significance of CXCL12 expression in patients with colorectal carcinoma. Am J Clin Pathol. 132:202–210; quiz 307. 2009. View Article : Google Scholar

40 

Wang B, Hasan MK, Alvarado E, Yuan H, Wu H and Chen WY: NAMPT overexpression in prostate cancer and its contribution to tumor cell survival and stress response. Oncogene. 30:907–921. 2011. View Article : Google Scholar

41 

Hung AC, Lo S, Hou MF, Lee YC, Tsai CH, Chen YY, Liu W, Su YH, Lo YH, Wang CH, et al: Extracellular visfatin-promoted malignant behavior in breast cancer is mediated through c-Abl and STAT3 activation. Clin Cancer Res. 22:4478–4490. 2016. View Article : Google Scholar

42 

Yang J, Zhang K, Song H, Wu M, Li J, Yong Z, Jiang S, Kuang X and Zhang T: Visfatin is involved in promotion of colorectal carcinoma malignancy through an inducing EMT mechanism. Oncotarget. 7:32306–32317. 2016. View Article : Google Scholar

43 

Cheng G, Liu C, Sun X, Zhang L, Liu L, Ouyang J and Li B: Visfatin promotes osteosarcoma cell migration and invasion via induction of epithelial-mesenchymal transition. Oncol Rep. 34:987–994. 2015. View Article : Google Scholar

44 

Ye C, Qi L, Li X, Wang J, Yu J, Zhou B, Guo C, Chen J and Zheng S: Targeting the NAD+ salvage pathway suppresses APC mutation-driven colorectal cancer growth and Wnt/β-catenin signaling via increasing Axin level. Cell Commun Signal. 18:162020. View Article : Google Scholar

45 

Ding D, Zhang P, Liu Y and Wang Y, Sun W, Yu Z, Cheng Z and Wang Y: Runx2 was correlated with neurite outgrowth and schwann cell differentiation, migration after sciatic nerve crush. Neurochem Res. 43:2423–2434. 2018. View Article : Google Scholar

46 

Yu JS and Cui W: Proliferation, survival and metabolism: The role of PI3K/AKT/mTOR signalling in pluripotency and cell fate determination. Development. 143:3050–3060. 2016. View Article : Google Scholar

47 

Celià-Terrassa T and Jolly MK: Cancer stem cells and epithelial-to-mesenchymal transition in cancer metastasis. Cold Spring Harb Perspect Med. 10:a0369052020. View Article : Google Scholar

48 

Amara S, Chaar I, Khiari M, Ounissi D, Weslati M, Boughriba R, Hmida AB and Bouraoui S: Stromal cell derived factor-1 and CXCR4 expression in colorectal cancer promote liver metastasis. Cancer Biomark. 15:869–879. 2015. View Article : Google Scholar

49 

Jung Y, Cackowski FC, Yumoto K, Decker AM, Wang J, Kim JK, Lee E, Wang Y, Chung JS, Gursky AM, et al: CXCL12γ promotes metastatic castration-resistant prostate cancer by inducing cancer stem cell and neuroendocrine phenotypes. Cancer Res. 78:2026–2039. 2018. View Article : Google Scholar

50 

Jung MJ, Rho JK, Kim YM, Jung JE, Jin YB, Ko YG, Lee JS, Lee SJ, Lee JC and Park MJ: Upregulation of CXCR4 is functionally crucial for maintenance of stemness in drug-resistant non-small cell lung cancer cells. Oncogene. 32:209–221. 2013. View Article : Google Scholar

Related Articles

  • Abstract
  • View
  • Download
  • Twitter
Copy and paste a formatted citation
Spandidos Publications style
Zhao Q, Long Y, Cheng W, Huang Y, Li J, Li Y, Li X, Guo X, Li Y, Li G, Li G, et al: Visfatin inhibits colon cancer cell apoptosis and decreases chemosensitivity to 5‑FU by promoting the SDF‑1/CXCR4/Akt axis. Int J Oncol 60: 75, 2022.
APA
Zhao, Q., Long, Y., Cheng, W., Huang, Y., Li, J., Li, Y. ... Zhang, J. (2022). Visfatin inhibits colon cancer cell apoptosis and decreases chemosensitivity to 5‑FU by promoting the SDF‑1/CXCR4/Akt axis. International Journal of Oncology, 60, 75. https://doi.org/10.3892/ijo.2022.5365
MLA
Zhao, Q., Long, Y., Cheng, W., Huang, Y., Li, J., Li, Y., Li, X., Guo, X., Li, Y., Li, G., Gong, K., Zhang, J."Visfatin inhibits colon cancer cell apoptosis and decreases chemosensitivity to 5‑FU by promoting the SDF‑1/CXCR4/Akt axis". International Journal of Oncology 60.6 (2022): 75.
Chicago
Zhao, Q., Long, Y., Cheng, W., Huang, Y., Li, J., Li, Y., Li, X., Guo, X., Li, Y., Li, G., Gong, K., Zhang, J."Visfatin inhibits colon cancer cell apoptosis and decreases chemosensitivity to 5‑FU by promoting the SDF‑1/CXCR4/Akt axis". International Journal of Oncology 60, no. 6 (2022): 75. https://doi.org/10.3892/ijo.2022.5365
Copy and paste a formatted citation
x
Spandidos Publications style
Zhao Q, Long Y, Cheng W, Huang Y, Li J, Li Y, Li X, Guo X, Li Y, Li G, Li G, et al: Visfatin inhibits colon cancer cell apoptosis and decreases chemosensitivity to 5‑FU by promoting the SDF‑1/CXCR4/Akt axis. Int J Oncol 60: 75, 2022.
APA
Zhao, Q., Long, Y., Cheng, W., Huang, Y., Li, J., Li, Y. ... Zhang, J. (2022). Visfatin inhibits colon cancer cell apoptosis and decreases chemosensitivity to 5‑FU by promoting the SDF‑1/CXCR4/Akt axis. International Journal of Oncology, 60, 75. https://doi.org/10.3892/ijo.2022.5365
MLA
Zhao, Q., Long, Y., Cheng, W., Huang, Y., Li, J., Li, Y., Li, X., Guo, X., Li, Y., Li, G., Gong, K., Zhang, J."Visfatin inhibits colon cancer cell apoptosis and decreases chemosensitivity to 5‑FU by promoting the SDF‑1/CXCR4/Akt axis". International Journal of Oncology 60.6 (2022): 75.
Chicago
Zhao, Q., Long, Y., Cheng, W., Huang, Y., Li, J., Li, Y., Li, X., Guo, X., Li, Y., Li, G., Gong, K., Zhang, J."Visfatin inhibits colon cancer cell apoptosis and decreases chemosensitivity to 5‑FU by promoting the SDF‑1/CXCR4/Akt axis". International Journal of Oncology 60, no. 6 (2022): 75. https://doi.org/10.3892/ijo.2022.5365
Follow us
  • Twitter
  • LinkedIn
  • Facebook
About
  • Spandidos Publications
  • Careers
  • Cookie Policy
  • Privacy Policy
How can we help?
  • Help
  • Live Chat
  • Contact
  • Email to our Support Team