Spandidos Publications Logo
  • About
    • About Spandidos
    • Aims and Scopes
    • Abstracting and Indexing
    • Editorial Policies
    • Reprints and Permissions
    • Job Opportunities
    • Terms and Conditions
    • Contact
  • Journals
    • All Journals
    • Oncology Letters
      • Oncology Letters
      • Information for Authors
      • Editorial Policies
      • Editorial Board
      • Aims and Scope
      • Abstracting and Indexing
      • Bibliographic Information
      • Archive
    • International Journal of Oncology
      • International Journal of Oncology
      • Information for Authors
      • Editorial Policies
      • Editorial Board
      • Aims and Scope
      • Abstracting and Indexing
      • Bibliographic Information
      • Archive
    • Molecular and Clinical Oncology
      • Molecular and Clinical Oncology
      • Information for Authors
      • Editorial Policies
      • Editorial Board
      • Aims and Scope
      • Abstracting and Indexing
      • Bibliographic Information
      • Archive
    • Experimental and Therapeutic Medicine
      • Experimental and Therapeutic Medicine
      • Information for Authors
      • Editorial Policies
      • Editorial Board
      • Aims and Scope
      • Abstracting and Indexing
      • Bibliographic Information
      • Archive
    • International Journal of Molecular Medicine
      • International Journal of Molecular Medicine
      • Information for Authors
      • Editorial Policies
      • Editorial Board
      • Aims and Scope
      • Abstracting and Indexing
      • Bibliographic Information
      • Archive
    • Biomedical Reports
      • Biomedical Reports
      • Information for Authors
      • Editorial Policies
      • Editorial Board
      • Aims and Scope
      • Abstracting and Indexing
      • Bibliographic Information
      • Archive
    • Oncology Reports
      • Oncology Reports
      • Information for Authors
      • Editorial Policies
      • Editorial Board
      • Aims and Scope
      • Abstracting and Indexing
      • Bibliographic Information
      • Archive
    • Molecular Medicine Reports
      • Molecular Medicine Reports
      • Information for Authors
      • Editorial Policies
      • Editorial Board
      • Aims and Scope
      • Abstracting and Indexing
      • Bibliographic Information
      • Archive
    • World Academy of Sciences Journal
      • World Academy of Sciences Journal
      • Information for Authors
      • Editorial Policies
      • Editorial Board
      • Aims and Scope
      • Abstracting and Indexing
      • Bibliographic Information
      • Archive
    • International Journal of Functional Nutrition
      • International Journal of Functional Nutrition
      • Information for Authors
      • Editorial Policies
      • Editorial Board
      • Aims and Scope
      • Abstracting and Indexing
      • Bibliographic Information
      • Archive
    • International Journal of Epigenetics
      • International Journal of Epigenetics
      • Information for Authors
      • Editorial Policies
      • Editorial Board
      • Aims and Scope
      • Abstracting and Indexing
      • Bibliographic Information
      • Archive
    • Medicine International
      • Medicine International
      • Information for Authors
      • Editorial Policies
      • Editorial Board
      • Aims and Scope
      • Abstracting and Indexing
      • Bibliographic Information
      • Archive
  • Articles
  • Information
    • Information for Authors
    • Information for Reviewers
    • Information for Librarians
    • Information for Advertisers
    • Conferences
  • Language Editing
Spandidos Publications Logo
  • About
    • About Spandidos
    • Aims and Scopes
    • Abstracting and Indexing
    • Editorial Policies
    • Reprints and Permissions
    • Job Opportunities
    • Terms and Conditions
    • Contact
  • Journals
    • All Journals
    • Biomedical Reports
      • Information for Authors
      • Editorial Policies
      • Editorial Board
      • Aims and Scope
      • Abstracting and Indexing
      • Bibliographic Information
      • Archive
    • Experimental and Therapeutic Medicine
      • Information for Authors
      • Editorial Policies
      • Editorial Board
      • Aims and Scope
      • Abstracting and Indexing
      • Bibliographic Information
      • Archive
    • International Journal of Epigenetics
      • Information for Authors
      • Editorial Policies
      • Editorial Board
      • Aims and Scope
      • Abstracting and Indexing
      • Bibliographic Information
      • Archive
    • International Journal of Functional Nutrition
      • Information for Authors
      • Editorial Policies
      • Editorial Board
      • Aims and Scope
      • Abstracting and Indexing
      • Bibliographic Information
      • Archive
    • International Journal of Molecular Medicine
      • Information for Authors
      • Editorial Policies
      • Editorial Board
      • Aims and Scope
      • Abstracting and Indexing
      • Bibliographic Information
      • Archive
    • International Journal of Oncology
      • Information for Authors
      • Editorial Policies
      • Editorial Board
      • Aims and Scope
      • Abstracting and Indexing
      • Bibliographic Information
      • Archive
    • Medicine International
      • Information for Authors
      • Editorial Policies
      • Editorial Board
      • Aims and Scope
      • Abstracting and Indexing
      • Bibliographic Information
      • Archive
    • Molecular and Clinical Oncology
      • Information for Authors
      • Editorial Policies
      • Editorial Board
      • Aims and Scope
      • Abstracting and Indexing
      • Bibliographic Information
      • Archive
    • Molecular Medicine Reports
      • Information for Authors
      • Editorial Policies
      • Editorial Board
      • Aims and Scope
      • Abstracting and Indexing
      • Bibliographic Information
      • Archive
    • Oncology Letters
      • Information for Authors
      • Editorial Policies
      • Editorial Board
      • Aims and Scope
      • Abstracting and Indexing
      • Bibliographic Information
      • Archive
    • Oncology Reports
      • Information for Authors
      • Editorial Policies
      • Editorial Board
      • Aims and Scope
      • Abstracting and Indexing
      • Bibliographic Information
      • Archive
    • World Academy of Sciences Journal
      • Information for Authors
      • Editorial Policies
      • Editorial Board
      • Aims and Scope
      • Abstracting and Indexing
      • Bibliographic Information
      • Archive
  • Articles
  • Information
    • For Authors
    • For Reviewers
    • For Librarians
    • For Advertisers
    • Conferences
  • Language Editing
Login Register Submit
  • This site uses cookies
  • You can change your cookie settings at any time by following the instructions in our Cookie Policy. To find out more, you may read our Privacy Policy.

    I agree
Search articles by DOI, keyword, author or affiliation
Search
Advanced Search
presentation
International Journal of Oncology
Join Editorial Board Propose a Special Issue
Print ISSN: 1019-6439 Online ISSN: 1791-2423
Journal Cover
December-2023 Volume 63 Issue 6

Full Size Image

Cover Legend PDF

Sign up for eToc alerts
Recommend to Library

Journals

International Journal of Molecular Medicine

International Journal of Molecular Medicine

International Journal of Molecular Medicine is an international journal devoted to molecular mechanisms of human disease.

International Journal of Oncology

International Journal of Oncology

International Journal of Oncology is an international journal devoted to oncology research and cancer treatment.

Molecular Medicine Reports

Molecular Medicine Reports

Covers molecular medicine topics such as pharmacology, pathology, genetics, neuroscience, infectious diseases, molecular cardiology, and molecular surgery.

Oncology Reports

Oncology Reports

Oncology Reports is an international journal devoted to fundamental and applied research in Oncology.

Experimental and Therapeutic Medicine

Experimental and Therapeutic Medicine

Experimental and Therapeutic Medicine is an international journal devoted to laboratory and clinical medicine.

Oncology Letters

Oncology Letters

Oncology Letters is an international journal devoted to Experimental and Clinical Oncology.

Biomedical Reports

Biomedical Reports

Explores a wide range of biological and medical fields, including pharmacology, genetics, microbiology, neuroscience, and molecular cardiology.

Molecular and Clinical Oncology

Molecular and Clinical Oncology

International journal addressing all aspects of oncology research, from tumorigenesis and oncogenes to chemotherapy and metastasis.

World Academy of Sciences Journal

World Academy of Sciences Journal

Multidisciplinary open-access journal spanning biochemistry, genetics, neuroscience, environmental health, and synthetic biology.

International Journal of Functional Nutrition

International Journal of Functional Nutrition

Open-access journal combining biochemistry, pharmacology, immunology, and genetics to advance health through functional nutrition.

International Journal of Epigenetics

International Journal of Epigenetics

Publishes open-access research on using epigenetics to advance understanding and treatment of human disease.

Medicine International

Medicine International

An International Open Access Journal Devoted to General Medicine.

Journal Cover
December-2023 Volume 63 Issue 6

Full Size Image

Cover Legend PDF

Sign up for eToc alerts
Recommend to Library

  • Article
  • Citations
    • Cite This Article
    • Download Citation
    • Create Citation Alert
    • Remove Citation Alert
    • Cited By
  • Similar Articles
    • Related Articles (in Spandidos Publications)
    • Similar Articles (Google Scholar)
    • Similar Articles (PubMed)
  • Download PDF
  • Download XML
  • View XML
Correction Open Access

[Corrigendum] Wnt‑signaling and apoptosis after neoadjuvant short‑term radiotherapy for rectal cancer

  • Authors:
    • Nikolaus Gassler
    • Ingrid Herr
    • Martina Keith
    • Frank Autschbach
    • Hubertus Schmitz-Winnenthal
    • Alexis Ulrich
    • Herwart F. Otto
    • Jürgen Kartenbeck
    • Kaspar Z'Graggen
  • View Affiliations / Copyright

    Affiliations: Department of Pathology, University of Heidelberg, D-69120 Heidelberg, Germany, Clinical Cooperation Unit Molecular Oncology/Pediatrics, Deutsches Krebsforschungszentrum, D-69120 Heidelberg, Germany, Department of Surgery, University of Heidelberg, D-69120 Heidelberg, Germany, Division of Cell Biology, Deutsches Krebsforschungszentrum, D-69120 Heidelberg, Germany
    Copyright: © Gassler et al. This is an open access article distributed under the terms of Creative Commons Attribution License [CC BY 4.0].
  • Article Number: 132
    |
    Published online on: October 16, 2023
       https://doi.org/10.3892/ijo.2023.5580
  • Expand metrics +
Metrics: Total Views: 0 (Spandidos Publications: | PMC Statistics: )
Metrics: Total PDF Downloads: 0 (Spandidos Publications: | PMC Statistics: )
Cited By (CrossRef): 0 citations Loading Articles...

This article is mentioned in:



Article

Int J Oncol 25: [Related article:] 1543-1549, 2004; DOI: 10.3892/ijo.25.6.1543

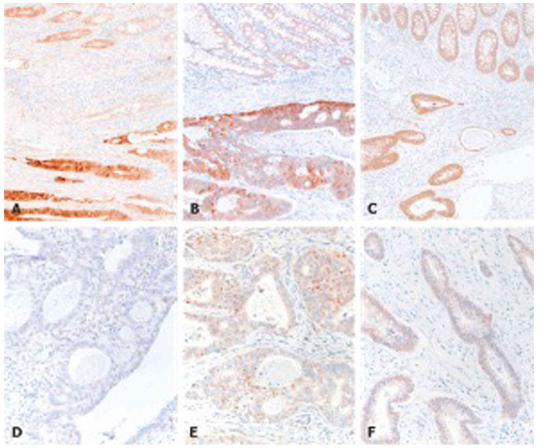
Subsequently to the publication of the above article, an interested reader drew to the authors' attention that, for the images shown to represent different immunostaining experiments in Fig. 1B and E (the 'Group 2' experiments), the images were overlapping, which seemed to suggest that either the image for β-catenin or the image for c-Myc did not accurately represent the results of the experiment in question.

Figure 1

Immunohistochemistry of β-catenin (A-C) and c-Myc (D-F) in adenocarcinomas of the rectum after STNR group 1 (A and D) and group 2 (B and E) as well as without any radiation group 3 (C and F). (A and B) Strong nuclear and cytoplasmic expression of β-catenin is found in group 1 and group 2 tumour cells (lower part) after STNR in comparison to both normal mucosa (upper part) and group 3 control (C). Group 1 and group 2 tumours are different concerning the expression of c-Myc: (D) The tumour in (A) exhibits only a week immunostaining of c-Myc, whereas (E) illustrates that the tumour from (B) exibits a strong nuclear c-Myc immunostaining. (F) Nuclear expression of c-Myc was found in tumour cells without any radiotherapy (group 3). Original magnification: (A-C), ×20; (D-E), ×40.

After having re-examined their original data, the authors have realized that an error was inadvertently made during the assembly of this figure; namely, that Fig. 1E showed a section of Fig. 1B at a higher magnification (both images showed β-catenin immunostaining). The revised version of Fig. 1, correctly showing the results of the β-catenin immunostaining experiment in Fig. 1B and the c-Myc immunostaining experiment in Fig. 1E, is shown on the next page. The authors are grateful to the Editor of International Journal of Oncology for allowing them this opportunity to publish a Corrigendum, and all the authors agree with its publication. Furthermore, the authors apologize to the readership for any inconvenience caused.

Related Articles

  • Abstract
  • View
  • Download
  • Twitter
Copy and paste a formatted citation
Spandidos Publications style
Gassler N, Herr I, Keith M, Autschbach F, Schmitz-Winnenthal H, Ulrich A, Otto HF, Kartenbeck J and Z'Graggen K: [Corrigendum] Wnt‑signaling and apoptosis after neoadjuvant short‑term radiotherapy for rectal cancer. Int J Oncol 63: 132, 2023.
APA
Gassler, N., Herr, I., Keith, M., Autschbach, F., Schmitz-Winnenthal, H., Ulrich, A. ... Z'Graggen, K. (2023). [Corrigendum] Wnt‑signaling and apoptosis after neoadjuvant short‑term radiotherapy for rectal cancer. International Journal of Oncology, 63, 132. https://doi.org/10.3892/ijo.2023.5580
MLA
Gassler, N., Herr, I., Keith, M., Autschbach, F., Schmitz-Winnenthal, H., Ulrich, A., Otto, H. F., Kartenbeck, J., Z'Graggen, K."[Corrigendum] Wnt‑signaling and apoptosis after neoadjuvant short‑term radiotherapy for rectal cancer". International Journal of Oncology 63.6 (2023): 132.
Chicago
Gassler, N., Herr, I., Keith, M., Autschbach, F., Schmitz-Winnenthal, H., Ulrich, A., Otto, H. F., Kartenbeck, J., Z'Graggen, K."[Corrigendum] Wnt‑signaling and apoptosis after neoadjuvant short‑term radiotherapy for rectal cancer". International Journal of Oncology 63, no. 6 (2023): 132. https://doi.org/10.3892/ijo.2023.5580
Copy and paste a formatted citation
x
Spandidos Publications style
Gassler N, Herr I, Keith M, Autschbach F, Schmitz-Winnenthal H, Ulrich A, Otto HF, Kartenbeck J and Z'Graggen K: [Corrigendum] Wnt‑signaling and apoptosis after neoadjuvant short‑term radiotherapy for rectal cancer. Int J Oncol 63: 132, 2023.
APA
Gassler, N., Herr, I., Keith, M., Autschbach, F., Schmitz-Winnenthal, H., Ulrich, A. ... Z'Graggen, K. (2023). [Corrigendum] Wnt‑signaling and apoptosis after neoadjuvant short‑term radiotherapy for rectal cancer. International Journal of Oncology, 63, 132. https://doi.org/10.3892/ijo.2023.5580
MLA
Gassler, N., Herr, I., Keith, M., Autschbach, F., Schmitz-Winnenthal, H., Ulrich, A., Otto, H. F., Kartenbeck, J., Z'Graggen, K."[Corrigendum] Wnt‑signaling and apoptosis after neoadjuvant short‑term radiotherapy for rectal cancer". International Journal of Oncology 63.6 (2023): 132.
Chicago
Gassler, N., Herr, I., Keith, M., Autschbach, F., Schmitz-Winnenthal, H., Ulrich, A., Otto, H. F., Kartenbeck, J., Z'Graggen, K."[Corrigendum] Wnt‑signaling and apoptosis after neoadjuvant short‑term radiotherapy for rectal cancer". International Journal of Oncology 63, no. 6 (2023): 132. https://doi.org/10.3892/ijo.2023.5580
Follow us
  • Twitter
  • LinkedIn
  • Facebook
About
  • Spandidos Publications
  • Careers
  • Cookie Policy
  • Privacy Policy
How can we help?
  • Help
  • Live Chat
  • Contact
  • Email to our Support Team